EXTERN CONFERENCE
Ext. Panjapa Suvanmalee
Faculty of medicine, Ramathibodi hospital
4 June 2018
Patient Profile
• ผู้ป่วยชายไทย อายุ 26 ปี อาชีพช่างเครื่องยนต์
ภูมิลาเนา จังหวัด นครราชสีมา
• ขับมอเตอร์ไซค์ล้มเอง 2 ชั่วโมงก่อนมาโรงพยาบาล
Chief Complaint
Primary Survey at MNRH
• A : Can speak, Full ROM of neck, No C-spine tenderness
• B : Trachea in midline, Equal breath sound, RR 20/min,
Chest compression test negative
• C : BP 125/89 mmHg, PR 82 bpm, Pelvic compression test negative
• D : E4V5M6, Pupil 2 mm RTLBE
• E : Laceration wound 3 x 1 cm at dorsum of right foot, No deformity,
No active bleeding
Secondary Survey
• A : No history of food and drug allergy
• M : No current medication
• P : No underlying disease
• L : Last meal 1 hour before go to hospital
• E : As present illness
Present Illness
2 ชั่วโมงก่อนมาโรงพยาบาล หลังดื่มสุราเสร็จ(ประมาณ 19.00 น.) ได้ขับรถกลับบ้าน ระหว่างทางผู้ป่วย
ขับรถตกหลุมบนถนนเสียหลักล้ม อะไหล่รถที่เป็นเหล็กทิ่มเท้าขวา มีแผลเปิดเลือดไหลที่หลังเท้าขวา ปวดมาก
พอเดินได้ขยับข้อเท้าและนิ้วเท้าได้ไม่มีแผลหรือเจ็บบริเวณอื่น
Past history
- ปฎิเสธประวัติโรคประจาตัว/ประวัติผ่าตัด
- ปฏิเสธประวัติอุบัติเหตุรุนแรงอื่นๆ
Personal History
- ปฏิเสธประวัติแพ้ยา/แพ้อาหาร
- ไม่มียาที่ต้องรับประทานประจา
- ดื่มสุราเป็นประจา ( 2-3 ครั้ง/สัปดาห์ )
Physical Examination
• V/S : Temp 36 c, BP 125/89 mmHg, HR 82 bpm, RR 14 /min
• GA : A Thai man, Good consciousness
• HEENT : No pale conjunctivae, Anicteric sclerae
• Neck : Active movement
• Heart : Normal S1 S2 no murmur
• Respiratory : Normal breath sound, Equal both lung
• Abdomen : Soft, not tender, Normoactive bowel sound
Physical Examination
• Extremities : Rt. Foot - Laceration wound size 3 x 1 cm. at lateral side
in dorsum of foot, No active bleeding,
no fat globule seen, no deformity
- Motor : Limit due to pain but can
dorsi/plantar flexion, eversion and
inversion
- Sensory : intact
- Capillary refill : 2+
: Others - WNL
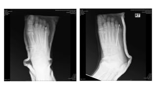
Investigation : Film Rt. foot AP/Oblique
Impression
• Open fracture Rt. 4th-5th metatarsal bone ( Grade II )
Warning sign
Open fracture
Deformity
Bone penetrate fracture site
Fat globule
Unstoppable bleeding
Wound near fracture site
a fracture with direct
communication to the
external environment
Gustilo - Anderson Classification
Control
bleeding
Decontamination
wound
Stabilization
Antibiotic
& Immunizaion
Goal
At ER
Antibiotics
• Type I & II - 1st generation cephalosporin
- Clindamycin or Vancomycin can also be used if allergies
• Type III - 1st generation cephalosporin + Aminoglycoside
Duration - Initiate as soon as possible
- Continue 24 hours after initial injury
if wound is able to close primarily
- Continue until 24 hours after final closure
if wound is not closed during initial surgical debridement
Tetanus immunization
Control bleeding
• Direct pressure will control active bleeding
• Do not blindly clamp or place tourniquets on damaged extremities
Decontamination wound
• Remove gross debris from wound
• Place sterile saline-soked dressing from on the wound
Stabilization
• Splint fracture for temporary stabilization
• Assess soft tissue damage and neurovascular injury
decreases pain,
further injury from bone ends,
and disruption of clots
Basic Principles of Open Fracture
Management in the Operating Room
• When ?
- as soon as possible ( emergency )
• How ?
- Debridement
- Irrigation
- Fracture stabilization
- Wound closure
Basic Principles of Open Fracture
Management in the Operating Room
• Aggressive debridement and irrigation
- Thorough debridement is critical to prevention of deep infection
- Low and high pressure lavage are equally effective in reducing
bacterial counts
- Saline shown to be most effective irrigating agent
- Bony fragments without soft tissue attachment can be removed
Type I – 3 L Type II – 6 L Type III – 9 L
Basic Principles of Open Fracture
Management in the Operating Room
• Fracture stabilization
- can be with internal or external fixation, as indicated
• Staged debridement and irrigation
- performed every 24 or 48 hours as needed
• Early soft tissue coverage or wound closure is ideal
- increased risk of infection beyond 7 days
Basic Principles of Open Fracture
Management in the Operating Room
Type Recommendation fixation
Grade I Any device suitable for the fracture
Grade II Intramedullary nail
Grade IIIA Intramedullary nail
Grade IIIB External fixator
Grade IIIC External fixator
Intramedullary nail External fixation
Operation : Excisional debridement with
K-wire 5th toe
Thank you

Extern conference ny

  • 1.
    EXTERN CONFERENCE Ext. PanjapaSuvanmalee Faculty of medicine, Ramathibodi hospital 4 June 2018
  • 2.
    Patient Profile • ผู้ป่วยชายไทยอายุ 26 ปี อาชีพช่างเครื่องยนต์ ภูมิลาเนา จังหวัด นครราชสีมา • ขับมอเตอร์ไซค์ล้มเอง 2 ชั่วโมงก่อนมาโรงพยาบาล Chief Complaint
  • 3.
    Primary Survey atMNRH • A : Can speak, Full ROM of neck, No C-spine tenderness • B : Trachea in midline, Equal breath sound, RR 20/min, Chest compression test negative • C : BP 125/89 mmHg, PR 82 bpm, Pelvic compression test negative • D : E4V5M6, Pupil 2 mm RTLBE • E : Laceration wound 3 x 1 cm at dorsum of right foot, No deformity, No active bleeding
  • 6.
    Secondary Survey • A: No history of food and drug allergy • M : No current medication • P : No underlying disease • L : Last meal 1 hour before go to hospital • E : As present illness
  • 7.
    Present Illness 2 ชั่วโมงก่อนมาโรงพยาบาลหลังดื่มสุราเสร็จ(ประมาณ 19.00 น.) ได้ขับรถกลับบ้าน ระหว่างทางผู้ป่วย ขับรถตกหลุมบนถนนเสียหลักล้ม อะไหล่รถที่เป็นเหล็กทิ่มเท้าขวา มีแผลเปิดเลือดไหลที่หลังเท้าขวา ปวดมาก พอเดินได้ขยับข้อเท้าและนิ้วเท้าได้ไม่มีแผลหรือเจ็บบริเวณอื่น Past history - ปฎิเสธประวัติโรคประจาตัว/ประวัติผ่าตัด - ปฏิเสธประวัติอุบัติเหตุรุนแรงอื่นๆ
  • 8.
    Personal History - ปฏิเสธประวัติแพ้ยา/แพ้อาหาร -ไม่มียาที่ต้องรับประทานประจา - ดื่มสุราเป็นประจา ( 2-3 ครั้ง/สัปดาห์ )
  • 9.
    Physical Examination • V/S: Temp 36 c, BP 125/89 mmHg, HR 82 bpm, RR 14 /min • GA : A Thai man, Good consciousness • HEENT : No pale conjunctivae, Anicteric sclerae • Neck : Active movement • Heart : Normal S1 S2 no murmur • Respiratory : Normal breath sound, Equal both lung • Abdomen : Soft, not tender, Normoactive bowel sound
  • 10.
    Physical Examination • Extremities: Rt. Foot - Laceration wound size 3 x 1 cm. at lateral side in dorsum of foot, No active bleeding, no fat globule seen, no deformity - Motor : Limit due to pain but can dorsi/plantar flexion, eversion and inversion - Sensory : intact - Capillary refill : 2+ : Others - WNL
  • 11.
    Investigation : FilmRt. foot AP/Oblique
  • 12.
    Impression • Open fractureRt. 4th-5th metatarsal bone ( Grade II )
  • 13.
    Warning sign Open fracture Deformity Bonepenetrate fracture site Fat globule Unstoppable bleeding Wound near fracture site a fracture with direct communication to the external environment
  • 14.
    Gustilo - AndersonClassification
  • 16.
  • 17.
    Antibiotics • Type I& II - 1st generation cephalosporin - Clindamycin or Vancomycin can also be used if allergies • Type III - 1st generation cephalosporin + Aminoglycoside Duration - Initiate as soon as possible - Continue 24 hours after initial injury if wound is able to close primarily - Continue until 24 hours after final closure if wound is not closed during initial surgical debridement
  • 18.
  • 19.
    Control bleeding • Directpressure will control active bleeding • Do not blindly clamp or place tourniquets on damaged extremities
  • 20.
    Decontamination wound • Removegross debris from wound • Place sterile saline-soked dressing from on the wound
  • 21.
    Stabilization • Splint fracturefor temporary stabilization • Assess soft tissue damage and neurovascular injury decreases pain, further injury from bone ends, and disruption of clots
  • 22.
    Basic Principles ofOpen Fracture Management in the Operating Room • When ? - as soon as possible ( emergency ) • How ? - Debridement - Irrigation - Fracture stabilization - Wound closure
  • 23.
    Basic Principles ofOpen Fracture Management in the Operating Room • Aggressive debridement and irrigation - Thorough debridement is critical to prevention of deep infection - Low and high pressure lavage are equally effective in reducing bacterial counts - Saline shown to be most effective irrigating agent - Bony fragments without soft tissue attachment can be removed Type I – 3 L Type II – 6 L Type III – 9 L
  • 24.
    Basic Principles ofOpen Fracture Management in the Operating Room • Fracture stabilization - can be with internal or external fixation, as indicated • Staged debridement and irrigation - performed every 24 or 48 hours as needed • Early soft tissue coverage or wound closure is ideal - increased risk of infection beyond 7 days
  • 25.
    Basic Principles ofOpen Fracture Management in the Operating Room Type Recommendation fixation Grade I Any device suitable for the fracture Grade II Intramedullary nail Grade IIIA Intramedullary nail Grade IIIB External fixator Grade IIIC External fixator
  • 26.
  • 27.
    Operation : Excisionaldebridement with K-wire 5th toe
  • 30.