DR. MAYANK NAHTA
RUNGTA COLLEGE OF DENTAL
SCIENCES AND RESEARCH, BHILAI
1
1. Introduction
2. Definition
3. Prevalence & distribution
4. Etiology
5. Pathogenesis
6. Anatomy of dentin-pulp complex
7. Functional characteristics of pulpal nociceptors
8. Response of pulp nociceptors to injury/inflammation
9. Mechanism of dentin sensitivity
10. Theories of DH
11. Clinical features
12. Diagnosis & differential diagnosis
13. Prevention of DH
14. Management of DH
15. Conclusion 2
 Dentinal hypersensitivity is one of the most
commonly encountered clinical problems.
 It is clinically described as an exaggerated
response to application of a stimulus to exposed
dentin, regardless of its location.
 It can be a challenging condition for patients to
describe and dental professionals to accurately
diagnose.
3
 Patients may or may not report this painful and
often chronic condition to their dentist or dental
hygienist and when they do, they report
experiencing short, sharp pain after a variety of
stimuli.
 A definitive diagnosis of dentinal hypersensitivity
can be challenging and practitioners must rule out
other problems, such as caries, fractured or
cracked teeth, defective restorations, occlusal
trauma, or gingival conditions that could be the
underlying cause of the dental pain a patient
experiences.
4
 Johnson & coworkers in 1982, stated that, “dentin
hypersensitivity is an enigma, being frequently
encountered yet ill understood”.
 Acc. To Pashley (1990), DH is an inaccurate term for
the condition.
 Dowell & Addy in 1983 stated, there being no evidence
that the dentin is in any way different or the pulpal
response exaggerated. Therefore, ‘DENTIN
SENSITIVITY’ may be more correct.
 Acc. To Ishikawa 1969, Absi et al 1987,1989:
“There are many more & wider open dentinal tubules at
the surface in DH than in non-sensitive teeth”.
5
6
 Acc. to MARTIN ADDY :
“Dentinal hypersensitivity (DH) is characterized
by short sharp pain arising from exposed dentine
in response to stimuli typically thermal,
evaporative, tactile, osmotic or chemical and
which cannot be ascribed to any other form of
dental defect or pathology”.
[Dowell P, Addy M (1983) Dentine hypersensitivity – a
review. Aetiology, symptoms and theories of pain
production. J Clin Periodontol 10, 341-350].
7
 A modification of this definition was suggested by the
Canadian Advisory Board on Dentine Hypersensitivity
in 2003, which suggested that ‘disease’ should be
substituted for ‘pathology’.
“Dentine hypersensitivity is defined as a distinctive
short sharp pain arising from exposed dentine
characteristically in response to an array of stimuli
including thermal, tactile, evaporative, osmotic or
chemical, which cannot be attributed to any other
form of dental defect, disease or pathology”.
Canadian Advisory Board on Dentin Hypersensitivity
(2003) Consensus-based recommendations for the
diagnosis and management of dentin hypersensitivity
J Can Dent Assoc 69,221-226. 8
 Incidence ranging from 4 to 74%.
 Generally, in patients complaining of DH as a result of
periodontal disease and/or its treatment show higher
prevalence values of 60–98%.
 Gender – females > males
 Age – 20 to 50 yrs. Peak between – 30 to 40 yrs.
 Teeth – Canines> 1st PMs>Incisors & 2nd PMs>Molars
 Surface – buccal surface
 Site – cervical area
 Side – left side
9
 TRUE DENTIN HYPERSENSITIVITY
 AGE
 GENDER
 DIET
 PLAQUE
 SOCIO-ECONOMIC STATUS
 OCCUPATION
 SPECIFIC ORAL HYGIENE PRACTICES
10
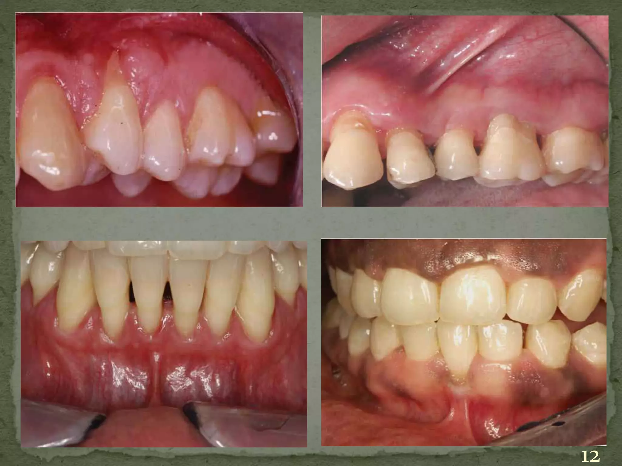
 Gingival Recession
 Anatomy of the labial plate of the alveolar bone
 Periodontal disease
 Frenum involvement
 Toothbrush abrasion
 Poor oral hygiene
 Inadequate attached gingiva
 Periodontal surgery(pocket reduction)
 Iatrogenic loss during restorative procedures
 Aggressive scaling and root planing
 Acute or chronic trauma
 Occlusal trauma, tooth malposition
 Excessive oral hygiene 11
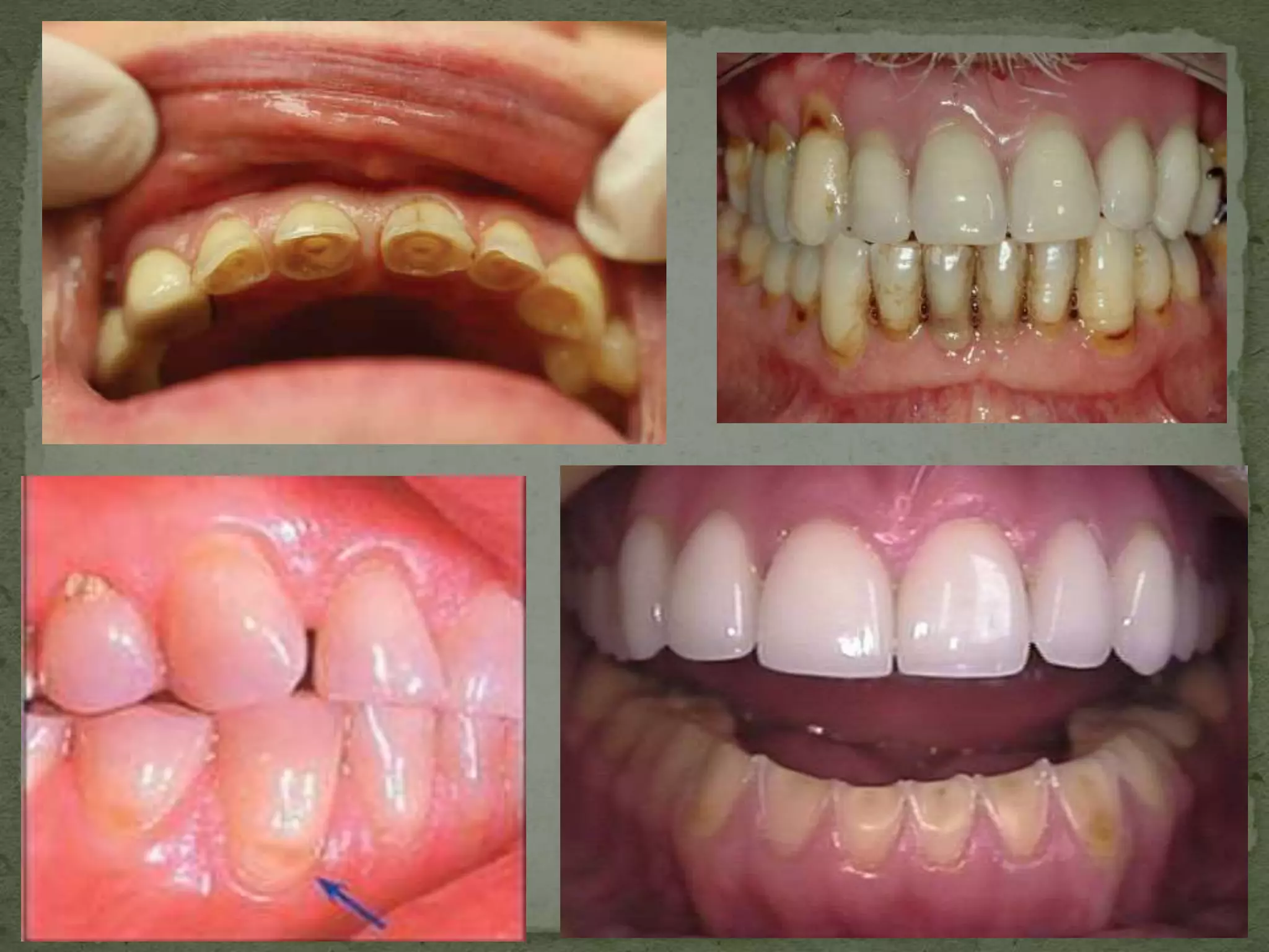
12
 Exposed cementum and/or dentin are readily abraded,
dentin abrades 25 times faster than enamel and
cementum abrades 35 times faster.
 Enamel Loss
1. Abrasion
2. Attrition
3. Erosion
4. Abfraction
13
 Erosion(intrinsic/extrinsic)
1. Acid reflux disease
2. Bulimia
3. Frequent consumption of acidic foods & drinks
 Erosion is a more important factor than abrasion in
removing the smear layer or dentinal plugs.
 Softening of remaining structure along with bulk loss
of enamel.
14
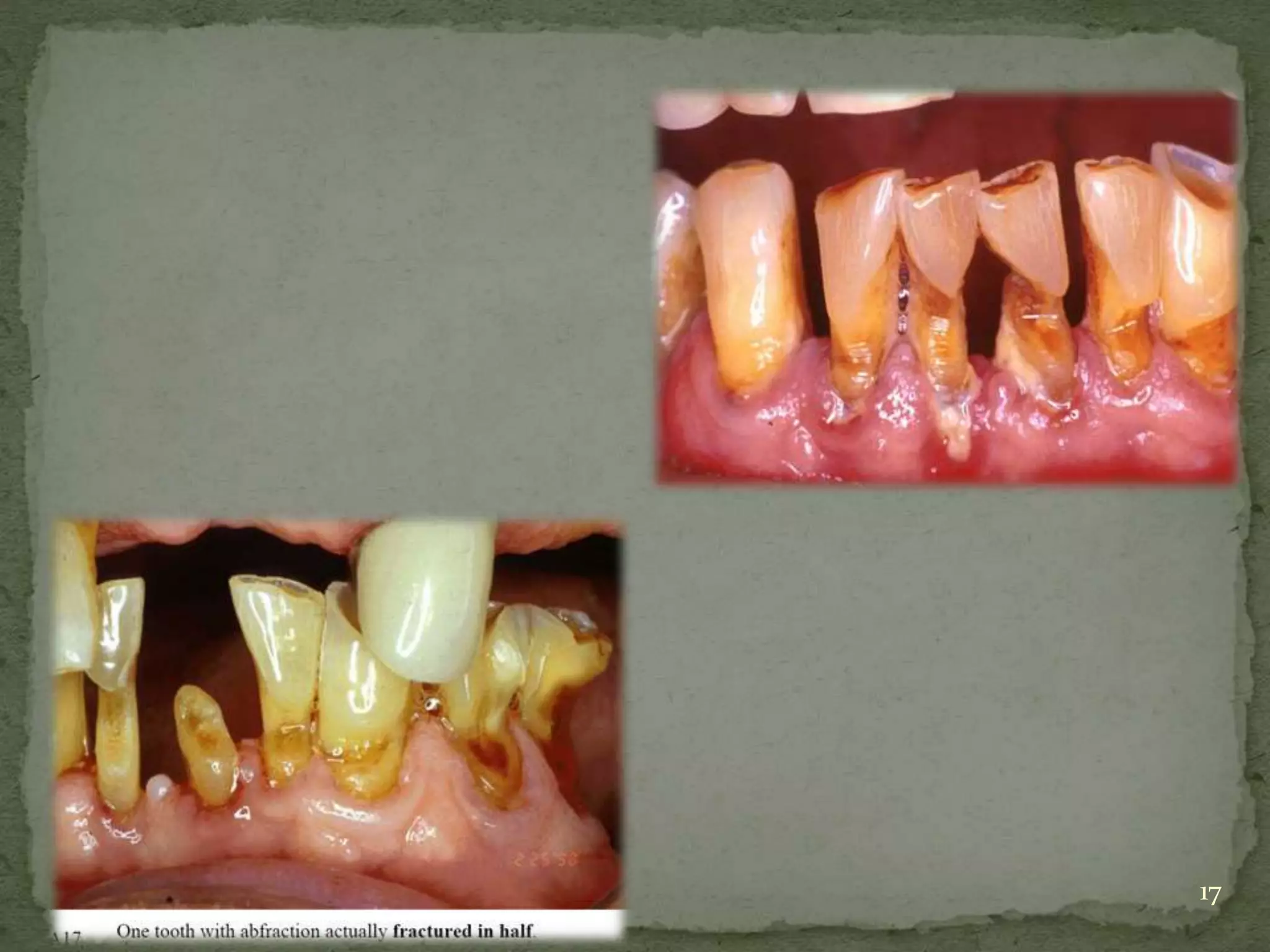
15
16
17
 Other reasons:
1. Denudation of cementum, root caries
2. Bleaching
3. Genetic(gap joint CEJ, thin periodontium)
4. Poor plaque control
5. Cervical decay
6. Bruxism
7. Toothbrush abrasion
8. Crown preparation
 Sensitive teeth after bleaching happens for two reasons:
1. Bleaching molecules penetrate into the teeth increasing blood
flow and pressure in the tooth pulp causing mild pulpitis.
Although diffusion into the teeth helps
amplify whitening effects, the increased pressure irritates the
tooth nerve slightly and makes your teeth more sensitive to
stimuli in general.
Everyone responds differently and this mild pulpitis can last for
about 2 weeks after whitening.
2. Increased tooth porosity and removal of the
protective protein layer on the surface of your teeth.
Maintaining the protein pellicle is important in keeping
the pores in exposed dentin closed off from
the oral environment.
For better or worse, all whitening products must strip off this
protein layer in order to dissolve surface stains. This will open
up pores in exposed dentin and cause sensitivity.
19
1. As a general rule, if you have teeth sensitive to
whitening, stick to products with lower peroxide
levels (around five to six percent) and shorter
application times (five minutes an application).
Example : Crest 3D White strips Gentle Routine.
2. Using even the mildest products can cause tooth
whitening sensitivity for some people. One of
the best ways to minimize discomfort is to stick
with room temperature beverages just after
whitening. Extremely hot or extremely cold
beverages can cause painful sensitivity.
3. Soft toothbrush & lukewarm water.
20
 Brush your teeth before whitening,
not after whitening.
 Use a Desensitizing Gel to calm the
nerves of the teeth prior to whitening.
 Rinse out your mouth thoroughly after bleaching
with water, or better use a pH re-balancing mouth
rinse.
 Use your finger to gently apply to your teeth one of
the Calcium-Based Desensitizing pastes.
21
 Dentinal tubules must be open at the dentin surface
and patent to the vital pulp.
 LESION LOCALIZATION : dentin must be exposed
by etiological agents(loss of enamel or gingival
recession).
 LESION INITIATION : NOT ALL EXPOSED
DENTIN IS SENSITIVE.
 Sensitivity must be induced by tubule exposure. It
can occur either by removal of smear layer or
dentinal plugs(mainly via erosion or abrasion). 22
 Dentin – protected by hard tissue (enamel/cementum)
 Dentin - organic component(collagen fibers in a matrix of
collagenous proteins) and an inorganic component
(hydroxyapatite crystals).
 Within the dentin, dentinal tubules run from the pulp to
the outer dentinal surface.
 The number of tubules varies: Pulp:DEJ (4:1)(permeability)
 Diameter of tubules: pulp>DEJ
 The dentinal tubules contain Tomes’ fibers, first described
by Sir John Tomes in 1850, that extend into the dentinal
tubules from the odontoblasts that communicate with the
pulp.(sensitivity of dentin)
 Extension of odontoblastic processes.
 Periodontoblastic space – dentinal fluid(22% of total
volume of dentin). 23
 Three types of nerve fibers (A-delta fibers, A-beta fibers,
and C-fibers) are found within the dentin.
 Majority of axons(70-80%) entering the pup are non-
myelinated.
 The two grps respond differently to various stimuli.
 A-fibres are responsible for dentin sensitivity.
 Low threshold fastest conducting, A-beta fibres, respond to
non-noxious mechanical & electrical stimulus (pre-pain
sensation).
 Summation of A-delta & A-beta leads to pain sensation
(from pre-pain).
 After the peripheral pulp tissue is destroyed due to any
stimulus, this distortion acts as stimulus for C-fibres
activation. 24
 Intense stimulus to plup proper is needed for
activation of high threshold C-fibres.
 Dentinal(hydrodynamic) stimulus seems to be
ineffective.
 A-fibres – fast conducting, sharp, short duration,
localised pain (shorter latency period)
 C-fibres – slow conducting, dull, lingering, diffused
pain (longer latency period)
25
 The degree of injury is dependent on the type and intensity
of applied stimulus.
 It may include aspiration of odontoblasts in the tubules
leading to disruption of the cellular barrier.
 Nerve endings in the are gets injured.
 Release of neuropeptides (SP & Calcitonin gene related
peptide, CGRP) from activated nerve endings, responsible
for pulp inflammation and nerve sensitization.
 Sprouting of nerve endings, increase in neuropeptides.
(defense and repair mechanism of pulp).
 These neurogenic inflammatory response is also found in
normal conditions, but get more pronounced in injured &
inflammed pulp.
26
 Exposed sensitive dentinal tubules
 Pulp irritation
 Nerve activation, sprouting, neuoropeptide release
 Inflammation & nerve sensitization
 Dentine hypersensitivity
27
 In 1900, Gysi said dentin sensitivity is “of secondary nature
and is not physiologic”.
 The dentinal canaliculi contain "a watery organic substance."
The pressure on the dentinal canaliculi is transmitted from
one end of the tubule, which is open and full of water, to the
other end, which is loosely woven to the odontoblasts.
 The canaliculi are “interwoven with nerves and they felt
pressure as a sensation of pain”.
 Munch also showed that any stimulation on dentin was
perceived as pain.
 Symons learned that interfering with the contents of the
tubules at the outer end resulted in changes in capillary
forces and caused an outward flow, and that pain was a result
of this outward flow.
 The application of heat, however, caused the fluid to flow
toward the pulp and did not produce pain as readily.
28
 Centrifugal fluid movement
 Away from the pulp: Towards the pulp:
(outward) (inward)
 Cooling Heating
 Drying Probing
 Evaporation
 Osmotic(hypertonic)
 Tactile
 RAPID MOVEMENT SLOW/SLUGGISH
 MORE PAINFUL/sharp LESS PAINFUL/dull
 75% of pain
 A-delta fibres C fibres
(myelinated) (non-myelinated)
(low threshold) (high threshold)
29
 “The coefficient of thermal expansion of the
tubule fluid is about ten times that of the tubule
wall. Therefore, heat applied to dentin will result
in expansion of the fluid and cold will result in
contraction of the fluid, both creating an
excitation of the ‘mechanoreceptor’.”
• Berman LH. Dentinal sensation and hypersensitivity. A
review of mechanisms and treatment alternatives. J
Periodontol 1985;56;216-22.
30
 The most important variable affecting the fluid
flow in dentin is the radius of the tubule.
 If the radius is reduced by one-half, the fluid flow
within the tubule falls to one-sixteenth of its
original rate.
 Consequently, the creation of a smear layer or
obliteration of the tubule can greatly increase the
effectiveness of the treatment of this malady.
 Micheleih V, Pashley DH, Whitford GM. Dentin permeability.
A comparison of functional versus anatomical tubular radii. J
Dent Res 1978;57:1019-24.
31
32
1. NEURAL THEORY
2. ODONTOBLASTIC TRANSDUCTION THEORY
3. HYDRODYNAMIC THEORY
 DIRECT INNERVATION THEORY
 This theory advocates that thermal, or mechanical
stimuli, directly affect nerve endings within the
dentinal tubules through direct communication with
pulpal nerve fibres.
 While this theory has been supported by the
observation of the presence of unmyelinated nerve
fibres in the outer layer of root dentine and the
presence of putative neurogenic polypeptides, this
theory is still considered theoretical with little solid
evidence to support it.
33
34
 ODONTOBLAST RECEPTOR THEORY
 According to this theory, odontoblastic processes are
exposed on the dentine surface and can be excited by a
variety of chemical and mechanical stimuli.
 As a result of such stimulation neurotransmitters are
released and impulses are transmitted towards the
nerve endings.
 To date no neurotransmitters have been found to be
produced or released by odontoblastic processes.
35
36
 FLUID MOVEMENT THEORY
 Postulated by Gysi in 1900 and developed by
Brannstrom and co-workers in 1963.
 This theory postulates that fluids within the dentinal
tubules are disturbed either by temperature, physical
or osmotic changes and that these fluid changes or
movements stimulate a baroreceptor which leads to
neural discharge.
 The basis of this theory is that the fluid filled dentinal
tubules are open to the oral cavity at the dentine
surface as well as within the pulp.
37
38
39
 MODULATION THEORY : Nerve impulses are
modulated through the liberation of polypeptides
from the odontoblasts, when injured.
 GATE CONTROL THEORY : Melzack & Wall in 1965.
 Transmission of impulses to the brain are modulated
by spinal-gating system.
 Large (A-beta) fibres inhibit transmission and small
(A-delta & C) fibres facilitate it.
 When activity of spinal cord transmission cells
exceed a threshold, pain is percieved.
 VIBRATION THEORY : Vibratory motion leads to
fluid disturbance and hence nerve stimulation.
40
 Pain arising from DH can range from mild
discomfort to extreme severity.
 It may emanate from one tooth or several teeth
and it is sometimes felt in all quadrants of the jaws.
 Most patients describe the pain from DH as being rapid in
onset, sharp in character, and of short duration.
 The external stimuli eliciting dentinal pain can be thermal,
osmotic, chemical, physical, or mechanical in nature.
 Presence of gingival recession or enamel/cementum loss
 Patients with exposed dentin – a sign that dentinal
hypersensitivity may be present – may or may not
experience sensitivity.
41
 Patient history and examination
 Pain evoked by any stimuli (source of pain)
 Consider detailed, written, dietary histories and oral
hygiene habits (eg, frequency, duration, and timing of
brushing; estimation of brushing force; frequency of
brush change). Any symptoms during brushing?
 Site, Character, Severity, Duration
 Exclusion of differential diagnosis(Treat any and all
secondary conditions that induce symptoms similar to
DHS).
42
43
 The patient's response to various triggering stimuli should
be recorded. The stimuli are sorted into four categories:
mechanical, chemical, electrical, and thermal.
 MECHANICAL (TACTILE):
 Sharp tipped probe
 Mechanical pressure stimulator
(Yeaple’s probe, electromagnetive device,
70 gms, 5 gms increment)
 Jay Sensitive Sensor Probe(Kakar A)
(microprocessor controlled pre-set force
limits, digital display, foot control)
44
 CHEMICAL (OSMOTIC):
 Hypertonic solution
 Acidic solutions(not used now)
 Cold air (1 cm distance, 1 sec, 45 psi, 190 to 240)
 Cold water stimulation at 70 (00-200, 3 secs, 3 min
interval)
• THERMOELECTRIC TECHNIQUES (fine tipped
thermal probe, initiated at 250)
• ELECTRICAL STIMULATION (electric pulp testers)
45
 Scaling procedures
 Single-tufted brush
 Dental pulp stethoscope
 Evaporative stimuli
 Temptronic device (microprocessor temperature-
controlled air delivery system)
 Electronic threshold measurement device
46
 VERBAL RATING SCALE (VRS)
(0 = no discomfort, 1 = mild discomfort, 2 = significant
discomfort, 3 = significant discomfort lasting more
than 10 seconds)
 VISUAL ANALOG SCALE (VAS)
10-cm straight line (0 = no pain, 10 = extreme pain).
 NUMERICAL RATING SCALE (NRS)
These scales consist of a range of numbers from which
patients select the number most representative of their
pain, usually from 0 to 10 or 0 to 100.
47
 FACES PAIN SCALE-REVISED (FPS-R)
 This is a self-reported measure of pain intensity
developed for children(4-16yrs).
 It was adapted from the Faces Pain Scale in order to
make it possible to score on the widely accepted 0 to 10
metric.
48
1. Cracked tooth syndrome
2. Fractured restoration
3. Restoration in traumatic occlusion
4. Chipped teeth, hypoplastic enamel
5. Dental or root caries
6. Postoperative sensitivity
7. Pulpal response to restorative treatment or material
8. Marginal leakage of restoration
9. Pulpitis (pulpal status)
10. Gingival inflammation
11. Vital bleaching procedures
12. Atypical odontaglia
13. Palatogingival grooves 49
Suggestions for patients:
1. Avoid gingival recession due to poor plaque removal by
practicing good oral hygiene techniques.
2. Avoid using large amounts of dentifrice or reapplying it
during brushing.
3. Avoid medium- or hard-bristle toothbrushes.
4. Avoid brushing teeth immediately after ingesting acidic
foods.
5. Avoid brushing teeth with excessive pressure or for an
extended period of time.
6. Avoid excessive flossing or improper use of other
interproximal cleaning devices.
7. Avoid “picking” or scratching at the gumline or using
toothpicks inappropriately.
50
Suggestions for dental professionals:
1. Avoid over-instrumenting the root surfaces during
scaling and root planing, particularly in the cervical
area of the tooth.
2. Avoid over-polishing exposed dentine during stain
removal.
3. Avoid violating the biological width during restoration
placement, as this may cause recession.
4. Avoid burning the gingival tissues during in-office
bleaching, and advise patients to be careful when
using home bleaching products.
51
 MECHANISM OF ACTION:
a) Nerve desensitization b) Tubule occlusion
52
 Desensitization of Nerve by Potassium Salts
 5% potassium nitrate in dentifrices has been in use since
1980’s.
 The active ingredient which is 2% potassium ion is released
from dentifrices which contain:
a) potassium nitrate (5%),
b) potassium chloride (3.75%) and
c) potassium citrate (5.5%).
 It is thought that the synapse between the nerve cells is
blocked by potassium ions, which will reduce the nerve
excitation and the pain associated with it.
 Potassium oxalate is another potassium salt which has
demonstrated the formation of calcium oxalate crystals
onto the tooth surface (acid resistant and temporary
occlusion of tubules). 53
 Tubule Occlusion
 One of the logical conclusions to treat DH is to
occlude the tubules.
 Reduction in dentin permeability as well as sensitivity
occurs with occlusion of dentinal tubules.
 But the effectiveness of agents occluding the tubules is
dependent on their removal resistance.
 Some of the occluding agents could be resistant while
others are acid liable and could be easily washed away.
54
55
1. Nerve desensitization:
Potassium nitrate
2. Anti-inflammatory agents:
Corticosteroids
3. Cover or plugging dentinal
tubules:
a. Plugging (sclerosing) dentinal
tubules
 Ions/salts
i. Calcium hydroxide
ii. Calcium phoshate/carbonate
iii. Ferrous oxide
iv. Potassium oxalate
v. Sodium monofluorophosphate
vi. Sodium fluoride
vii. Sodium fluoride/stannous
fluoride combination
viii. Stannous fluoride
ix. Strontium chloride
x. Bio-active glass
 Protein precipitants
i. Formaldehyde/Glutaraldehyde
ii. Zinc chloride
iii. Silver nitrate
iv. Strontium chloride hexahydrate
 Casein phosphopeptides
 Burnishing
 Fluoride iontophoresis
b. Dentine sealers
i. Glass ionomer cements
ii. Composites
iii. Oxalic acids and Resins
iv. Fluoride Varnishes
v. Sealants
vi. Dentin bonding agents
c. Periodontal soft tissue grafting
d. Crown placement/restorative
material
e. Laser
f. Homeopathy – propolis, plantago56
57
58
59
60
61
heat cold
Dental varnish
BLOCKED
DENTINAL
TUBULES (AFTER)
62
 Apply calcium hydroxide paste for 3-5 mins through
burnishing by wooden stick or rubber tip.
 Promotes perituular dentin formation(blocking the
tubule)
 High pH may provoke odontoblastic process protien
coagulation, ppt. of protien, clogging the tubule,
decreasing hydraulic conductance
63
 Fluorides, such as sodium and stannous fluoride can
reduce DH.
 The application of fluorides seems to create a barrier by
precipitation of the calcium fluoride crystals which are
formed especially in the inlet of the dentinal tubules.
 Increases the resistance of dentin to acid dissolution, also
helps in remineralization.
 The precipitate is slowly soluble in saliva, which may
explain the transitory action of this barrier .
 Aqueous solution provides an immediate effect when
applied for 3 to 5 minutes in-office.
 The stannous fluoride gel has a gradual effect and it can be
used by the patient at home to obtain a long-term effect. 64
 Introducing ionic drugs into body surfaces for
therapeutic purposes.
 Charged drug is delivered via an electrode.
 Leads to deep penetration of ions in the tubules
leading to tubole occlusion.
 Fluoride iontophoresis: fluoride ion penetration
 Desensitization: intratubular microprecipitation of
calcium fluoride and effect of fluoride on neural
transduction mechanism.
 Since calcium fluoride is an unstable compound,
iontophoresis increases the depth of penetration.
65
 Topical use of 3% potassium oxalate on exposed dentin
after periodontal procedures results in a reduction of DH.
 The desensitizing action of potassium oxalate occurs by the
deposition of calcium oxalate crystals on the dentin
surface.
 The calcium oxalate crystals formed on the dentin surface
are easily removed by daily brushing.
 However, when dentin is previously etched with 35%
phosphoric acid, the penetration depth of oxalate buffer
into the dentinal tubules is about 6-7 μm and thus, pain
relief can be expected for a longer period.
 The application of potassium oxalate on the etched dentin
can also be associated with a covering of dentinal adhesives66
 Calcium phosphate minerals are the main inorganic
constituents of dentin, and mineral rich deposits obstruct
tubule orifices in the physiological process of dentin
sclerosis.
 A method of mimicking this natural process may provide
an effective clinical treatment for dentin hypersensitivity.
 ACP has the highest rate of formation and dissolution
under physiologic oral conditions. This compound is also
capable of rapid conversion into hydroxyapatite crystals
under these same conditions, which can precipitate in the
lumen of open dentinal tubules.
 CPP-ACP is stable and prevents dissolution of ca. & p. &
maintains a supersaturated solution of bioavailable ca. 7
phospates.
67
 No prior surface conditioning was used other than
normal brushing and flossing. The solutions were
easily placed using cotton tip applicators and isolation
with cotton rolls was maintained during treatment.
 The precipitation of calcium phosphates provides a
very natural and biocompatible treatment.
 Home use of CPP-ACP-containing dentifrice has been
found to help inhibit demineralization and to promote
remineralization.
 The mechanism of anti-cariogenicity for CPP-ACPF
involves elevating levels of calcium, phosphate and
fluoride ions at the tooth surface and within dental
plaque, thereby depressing enamel demineralization
and enhancing remineralization.
68
 This is based on 8% arginine (an amino acid),
bicarbonate (pH buffer), calcium carbonate (calcium
source) & 1450 ppm fluoride as sodium
monofluorophosphate.
 Application of this product consists of using a low
speed handpiece with the paste and burnishing the
paste into the dentinal tubules causing them to
become occluded.
 Mechanism of action: this technology physically
seals dentin tubules with a plug that contains
arginine, calcium carbonate, and phosphate. This
plug, which is resistant to normal pulpal
pressures and to acid challenge, effectively
reduces dentin fluid flow and, thereby, reduces
sensitivity. 69
 Using this product either before or after dental
procedures has been found to provide immediate and
lasting relief.
 Specifically, when this product is applied immediately
after dental scaling, the relief of hypersensitivity may
last for up to four weeks when used as the final
polishing step during a professional cleaning.
 ProClude®, Ortek Therapeutics,
Roslyn Heights, NY, USA
 DenClude®, Ortek Therapeutics, Roslyn Heights, NY, USA
 Colgate® Sensitive Toothpaste containing 4.0% arginine
and 1450 MFP in a calcium carbonate base (Colgate-
Palmolive Co., New York, NY, USA).
70
 Trade name – Denshield
 NovaMin, the active ingredient in Denshield, is a bioactive
glass that has been ground into a fine particulate with a
median size of <20 mm and is composed of Ca, P, Na, Si,
and O.
 When exposed to an aqueous environment, it releases Ca+2
and (PO4)3 ions.
 A layer is formed through several reactions starting from
nucleation sites and finally crystallizes into
hydroxylcarbonate apatite, which is equivalent to hydroxyl-
phosphate apatite in biological behavior .
 Acid-resistant, offers long term relief.
 The combination of the residual NovaMin particles and the
hydroxyl-carbonate apatite layer results in the physical
occlusion of dentinal tubules, which is claimed to relieve
hypersensitivity. 71
 As early as 1985, laser irradiation had been applied for the
treatment of DH.
 There are 2 categories of applications that have mainly
been used:
 (1) low-power lasers (eg, diode and Ga-Al-As ) and
 (2) medium-power devices (eg, CO2 and Nd:YAG ).
 For low-output power lasers (diode lasers [l = 80–900 nm]
or He-Ne lasers [l = 632.8 nm]), the desensitizing effect
seems to be related to laser activity at the nervous level.
 They are thought to work by coagulation of proteins in the
dentinal fluid and hence reduce permeability.
(denaturation of odontoblastic process or over heating of
dental fluid).
 Only the Nd:YAG laser at 1,064 nm has an additional
analgesic effect, probably because the irradiation can
temporally alter the ending of the sensory axons and block
both C and A-beta fibers. (depressed nerve transmission). 72
 Nd:YAG energy is not absorbed intensively by dentin
and water because of its wavelength.
 Nd:YAG laser irradiation melts the superficial layer of
dentin. (vitrification)
 When recrystallization occurs, it seals the dentin
tubules in a depth of 3 to 4 mm without dentin surface
cracking. This effect is pronounced when used along
with a fluoride containing substance.
 During Nd:YAG laser irradiation of dentin, the thermal
effects on the pulp are of concern.
 The thermal threshold for pulpal damage is generally
not exceeded when the energy and power settings of the
laser remain within the reported range.
73
 Propolis is efficient in the treatment of DH.
 Mahmoud et al., studied the effect of Propolis as a
desensitizing agent and demonstrated that 85% of subjects
were found highly satisfied during the study period as in
comparison to this study.
 The mechanism of action is because of high content of
Flavanoids in Propolis.
 Flavanoids may be able to suppress the information of free
radicals by binding heavy metals in ions which are known
to catalyze many processes leading to the appearance of
full radicals.
 Propolis is known to be an antioxidant, antimicrobial, anti-
inflammatory, immunostimulatory, and heavy metal
chelating agent.
 It also has an effect on tissue regeneration and wound
healing 74
 Adhesive restorative materials and dentinal adhesives
are considered dentinal tubule sealers.
 Resinous dentinal desensitizers, such as Gluma
Desensitizer (Heraeus Kulzer) are products which
unite dentin and they can effectively seal the dentinal
tubule openings.
 Basically, in their composition they have: hydroxyethyl
methacrylate (HEMA), benzalkonium chloride,
glutaraldehyde and fluoride.
 HEMA physically blocks the dentinal tubules and
glutaraldehyde causes coagulation of plasma proteins
of the tubule fluid, resulting in the reduction of
dentinal permeability. 75
 HEMA can be absorbed by dentin and collagen and
glutaraldehyde can form cross-links with bovine serum
collagen and albumin. These results, found by Qin et
al., suggest that Gluma acts as a desensitizer by means
of two reactions.
 First, the glutaraldehyde reacts with part of the serum
albumin in the dentinal fluid which induces albumin
precipitation, and then a second reaction of
glutaraldehyde with albumin induces HEMA
polymerization.
 No loss of tooth structure – DBAs & varnishes
 Loss of tooth stucture – resin composite & GICs
76

77
78
79
 Recent approaches to advancing the treatment of
dentinal hypersensitivity have also looked at potential
avenues to remineralize the tooth structure by
increasing salivary calcium and phosphate levels as
well an increasing the salivary pH, stimulating the
formation of calcium phosphate or hydoxyapatite.
80
 DH is a common dental complaint, and prior to treatment,
a differential diagnosis is critical.
 Identification of the various risk factors should be
ascertained, and a determination should be made of
whether the pain is local or generalized.
 Unfortunately, most currently available tests are subjective.
Ideally, a more objective technique is required in order to
adequately quantify the patient's response.
 Although many theories have been suggested over the past
century, the hydrodynamic hypothesis that was initially
proposed in the 1960s by Brännström remains the one that
is usually accepted.
 It has been suggested that the odontoblasts, which form
the outermost layer of the dental pulp, act as sensory
receptor cells.
81
 Some studies have indicated that human odontoblasts
express functional TRP channels, which may play a
vital role in facilitating thermal sensation in teeth.
 Further research is needed to ascertain the validity of
these studies and to develop tests for DH that are not
as subjective as current modalities.
 Self applied treatments such as desensitizing
dentifrices, are still largely used as home-made
desensitizing agent.
 The adhesive systems are one of the most effective
clinical treatments and the lasers are expected to play
an imp. role in treating DH.
82
1. Addy and Martin. Textbook of tooth wear and sensitivity.
2. Suchetha A,B S Keshava Prasad,Apoorva SM,Lakshmi P.
Dentinal Hypersensitivity - A Review, Indian Journal of
Dental Sciences,June 2013 Issue:2, Vol.:5
3. Canadian Advisory Board on Dentin Hypersensitivity
(2003) Consensus-based recommendations for the
diagnosis and management of dentin
hypersensitivity J Can Dent Assoc 69,221-226.
4. Berman LH. Dentinal sensation and hypersensitivity. A
review of mechanisms and treatment alternatives. J
Periodontol 1985;56:216-22.
5. Micheleih V, Pashley DH, Whitford GM. Dentin
permeability. A comparison of functional versus
anatomical tubular radii. J Dent Res 1978;57:1019-24.
83

Dentin hypersensitivity

  • 1.
    DR. MAYANK NAHTA RUNGTACOLLEGE OF DENTAL SCIENCES AND RESEARCH, BHILAI 1
  • 2.
    1. Introduction 2. Definition 3.Prevalence & distribution 4. Etiology 5. Pathogenesis 6. Anatomy of dentin-pulp complex 7. Functional characteristics of pulpal nociceptors 8. Response of pulp nociceptors to injury/inflammation 9. Mechanism of dentin sensitivity 10. Theories of DH 11. Clinical features 12. Diagnosis & differential diagnosis 13. Prevention of DH 14. Management of DH 15. Conclusion 2
  • 3.
     Dentinal hypersensitivityis one of the most commonly encountered clinical problems.  It is clinically described as an exaggerated response to application of a stimulus to exposed dentin, regardless of its location.  It can be a challenging condition for patients to describe and dental professionals to accurately diagnose. 3
  • 4.
     Patients mayor may not report this painful and often chronic condition to their dentist or dental hygienist and when they do, they report experiencing short, sharp pain after a variety of stimuli.  A definitive diagnosis of dentinal hypersensitivity can be challenging and practitioners must rule out other problems, such as caries, fractured or cracked teeth, defective restorations, occlusal trauma, or gingival conditions that could be the underlying cause of the dental pain a patient experiences. 4
  • 5.
     Johnson &coworkers in 1982, stated that, “dentin hypersensitivity is an enigma, being frequently encountered yet ill understood”.  Acc. To Pashley (1990), DH is an inaccurate term for the condition.  Dowell & Addy in 1983 stated, there being no evidence that the dentin is in any way different or the pulpal response exaggerated. Therefore, ‘DENTIN SENSITIVITY’ may be more correct.  Acc. To Ishikawa 1969, Absi et al 1987,1989: “There are many more & wider open dentinal tubules at the surface in DH than in non-sensitive teeth”. 5
  • 6.
  • 7.
     Acc. toMARTIN ADDY : “Dentinal hypersensitivity (DH) is characterized by short sharp pain arising from exposed dentine in response to stimuli typically thermal, evaporative, tactile, osmotic or chemical and which cannot be ascribed to any other form of dental defect or pathology”. [Dowell P, Addy M (1983) Dentine hypersensitivity – a review. Aetiology, symptoms and theories of pain production. J Clin Periodontol 10, 341-350]. 7
  • 8.
     A modificationof this definition was suggested by the Canadian Advisory Board on Dentine Hypersensitivity in 2003, which suggested that ‘disease’ should be substituted for ‘pathology’. “Dentine hypersensitivity is defined as a distinctive short sharp pain arising from exposed dentine characteristically in response to an array of stimuli including thermal, tactile, evaporative, osmotic or chemical, which cannot be attributed to any other form of dental defect, disease or pathology”. Canadian Advisory Board on Dentin Hypersensitivity (2003) Consensus-based recommendations for the diagnosis and management of dentin hypersensitivity J Can Dent Assoc 69,221-226. 8
  • 9.
     Incidence rangingfrom 4 to 74%.  Generally, in patients complaining of DH as a result of periodontal disease and/or its treatment show higher prevalence values of 60–98%.  Gender – females > males  Age – 20 to 50 yrs. Peak between – 30 to 40 yrs.  Teeth – Canines> 1st PMs>Incisors & 2nd PMs>Molars  Surface – buccal surface  Site – cervical area  Side – left side 9
  • 10.
     TRUE DENTINHYPERSENSITIVITY  AGE  GENDER  DIET  PLAQUE  SOCIO-ECONOMIC STATUS  OCCUPATION  SPECIFIC ORAL HYGIENE PRACTICES 10
  • 11.
     Gingival Recession Anatomy of the labial plate of the alveolar bone  Periodontal disease  Frenum involvement  Toothbrush abrasion  Poor oral hygiene  Inadequate attached gingiva  Periodontal surgery(pocket reduction)  Iatrogenic loss during restorative procedures  Aggressive scaling and root planing  Acute or chronic trauma  Occlusal trauma, tooth malposition  Excessive oral hygiene 11
  • 12.
  • 13.
     Exposed cementumand/or dentin are readily abraded, dentin abrades 25 times faster than enamel and cementum abrades 35 times faster.  Enamel Loss 1. Abrasion 2. Attrition 3. Erosion 4. Abfraction 13
  • 14.
     Erosion(intrinsic/extrinsic) 1. Acidreflux disease 2. Bulimia 3. Frequent consumption of acidic foods & drinks  Erosion is a more important factor than abrasion in removing the smear layer or dentinal plugs.  Softening of remaining structure along with bulk loss of enamel. 14
  • 15.
  • 16.
  • 17.
  • 18.
     Other reasons: 1.Denudation of cementum, root caries 2. Bleaching 3. Genetic(gap joint CEJ, thin periodontium) 4. Poor plaque control 5. Cervical decay 6. Bruxism 7. Toothbrush abrasion 8. Crown preparation
  • 19.
     Sensitive teethafter bleaching happens for two reasons: 1. Bleaching molecules penetrate into the teeth increasing blood flow and pressure in the tooth pulp causing mild pulpitis. Although diffusion into the teeth helps amplify whitening effects, the increased pressure irritates the tooth nerve slightly and makes your teeth more sensitive to stimuli in general. Everyone responds differently and this mild pulpitis can last for about 2 weeks after whitening. 2. Increased tooth porosity and removal of the protective protein layer on the surface of your teeth. Maintaining the protein pellicle is important in keeping the pores in exposed dentin closed off from the oral environment. For better or worse, all whitening products must strip off this protein layer in order to dissolve surface stains. This will open up pores in exposed dentin and cause sensitivity. 19
  • 20.
    1. As ageneral rule, if you have teeth sensitive to whitening, stick to products with lower peroxide levels (around five to six percent) and shorter application times (five minutes an application). Example : Crest 3D White strips Gentle Routine. 2. Using even the mildest products can cause tooth whitening sensitivity for some people. One of the best ways to minimize discomfort is to stick with room temperature beverages just after whitening. Extremely hot or extremely cold beverages can cause painful sensitivity. 3. Soft toothbrush & lukewarm water. 20
  • 21.
     Brush yourteeth before whitening, not after whitening.  Use a Desensitizing Gel to calm the nerves of the teeth prior to whitening.  Rinse out your mouth thoroughly after bleaching with water, or better use a pH re-balancing mouth rinse.  Use your finger to gently apply to your teeth one of the Calcium-Based Desensitizing pastes. 21
  • 22.
     Dentinal tubulesmust be open at the dentin surface and patent to the vital pulp.  LESION LOCALIZATION : dentin must be exposed by etiological agents(loss of enamel or gingival recession).  LESION INITIATION : NOT ALL EXPOSED DENTIN IS SENSITIVE.  Sensitivity must be induced by tubule exposure. It can occur either by removal of smear layer or dentinal plugs(mainly via erosion or abrasion). 22
  • 23.
     Dentin –protected by hard tissue (enamel/cementum)  Dentin - organic component(collagen fibers in a matrix of collagenous proteins) and an inorganic component (hydroxyapatite crystals).  Within the dentin, dentinal tubules run from the pulp to the outer dentinal surface.  The number of tubules varies: Pulp:DEJ (4:1)(permeability)  Diameter of tubules: pulp>DEJ  The dentinal tubules contain Tomes’ fibers, first described by Sir John Tomes in 1850, that extend into the dentinal tubules from the odontoblasts that communicate with the pulp.(sensitivity of dentin)  Extension of odontoblastic processes.  Periodontoblastic space – dentinal fluid(22% of total volume of dentin). 23
  • 24.
     Three typesof nerve fibers (A-delta fibers, A-beta fibers, and C-fibers) are found within the dentin.  Majority of axons(70-80%) entering the pup are non- myelinated.  The two grps respond differently to various stimuli.  A-fibres are responsible for dentin sensitivity.  Low threshold fastest conducting, A-beta fibres, respond to non-noxious mechanical & electrical stimulus (pre-pain sensation).  Summation of A-delta & A-beta leads to pain sensation (from pre-pain).  After the peripheral pulp tissue is destroyed due to any stimulus, this distortion acts as stimulus for C-fibres activation. 24
  • 25.
     Intense stimulusto plup proper is needed for activation of high threshold C-fibres.  Dentinal(hydrodynamic) stimulus seems to be ineffective.  A-fibres – fast conducting, sharp, short duration, localised pain (shorter latency period)  C-fibres – slow conducting, dull, lingering, diffused pain (longer latency period) 25
  • 26.
     The degreeof injury is dependent on the type and intensity of applied stimulus.  It may include aspiration of odontoblasts in the tubules leading to disruption of the cellular barrier.  Nerve endings in the are gets injured.  Release of neuropeptides (SP & Calcitonin gene related peptide, CGRP) from activated nerve endings, responsible for pulp inflammation and nerve sensitization.  Sprouting of nerve endings, increase in neuropeptides. (defense and repair mechanism of pulp).  These neurogenic inflammatory response is also found in normal conditions, but get more pronounced in injured & inflammed pulp. 26
  • 27.
     Exposed sensitivedentinal tubules  Pulp irritation  Nerve activation, sprouting, neuoropeptide release  Inflammation & nerve sensitization  Dentine hypersensitivity 27
  • 28.
     In 1900,Gysi said dentin sensitivity is “of secondary nature and is not physiologic”.  The dentinal canaliculi contain "a watery organic substance." The pressure on the dentinal canaliculi is transmitted from one end of the tubule, which is open and full of water, to the other end, which is loosely woven to the odontoblasts.  The canaliculi are “interwoven with nerves and they felt pressure as a sensation of pain”.  Munch also showed that any stimulation on dentin was perceived as pain.  Symons learned that interfering with the contents of the tubules at the outer end resulted in changes in capillary forces and caused an outward flow, and that pain was a result of this outward flow.  The application of heat, however, caused the fluid to flow toward the pulp and did not produce pain as readily. 28
  • 29.
     Centrifugal fluidmovement  Away from the pulp: Towards the pulp: (outward) (inward)  Cooling Heating  Drying Probing  Evaporation  Osmotic(hypertonic)  Tactile  RAPID MOVEMENT SLOW/SLUGGISH  MORE PAINFUL/sharp LESS PAINFUL/dull  75% of pain  A-delta fibres C fibres (myelinated) (non-myelinated) (low threshold) (high threshold) 29
  • 30.
     “The coefficientof thermal expansion of the tubule fluid is about ten times that of the tubule wall. Therefore, heat applied to dentin will result in expansion of the fluid and cold will result in contraction of the fluid, both creating an excitation of the ‘mechanoreceptor’.” • Berman LH. Dentinal sensation and hypersensitivity. A review of mechanisms and treatment alternatives. J Periodontol 1985;56;216-22. 30
  • 31.
     The mostimportant variable affecting the fluid flow in dentin is the radius of the tubule.  If the radius is reduced by one-half, the fluid flow within the tubule falls to one-sixteenth of its original rate.  Consequently, the creation of a smear layer or obliteration of the tubule can greatly increase the effectiveness of the treatment of this malady.  Micheleih V, Pashley DH, Whitford GM. Dentin permeability. A comparison of functional versus anatomical tubular radii. J Dent Res 1978;57:1019-24. 31
  • 32.
    32 1. NEURAL THEORY 2.ODONTOBLASTIC TRANSDUCTION THEORY 3. HYDRODYNAMIC THEORY
  • 33.
     DIRECT INNERVATIONTHEORY  This theory advocates that thermal, or mechanical stimuli, directly affect nerve endings within the dentinal tubules through direct communication with pulpal nerve fibres.  While this theory has been supported by the observation of the presence of unmyelinated nerve fibres in the outer layer of root dentine and the presence of putative neurogenic polypeptides, this theory is still considered theoretical with little solid evidence to support it. 33
  • 34.
  • 35.
     ODONTOBLAST RECEPTORTHEORY  According to this theory, odontoblastic processes are exposed on the dentine surface and can be excited by a variety of chemical and mechanical stimuli.  As a result of such stimulation neurotransmitters are released and impulses are transmitted towards the nerve endings.  To date no neurotransmitters have been found to be produced or released by odontoblastic processes. 35
  • 36.
  • 37.
     FLUID MOVEMENTTHEORY  Postulated by Gysi in 1900 and developed by Brannstrom and co-workers in 1963.  This theory postulates that fluids within the dentinal tubules are disturbed either by temperature, physical or osmotic changes and that these fluid changes or movements stimulate a baroreceptor which leads to neural discharge.  The basis of this theory is that the fluid filled dentinal tubules are open to the oral cavity at the dentine surface as well as within the pulp. 37
  • 38.
  • 39.
  • 40.
     MODULATION THEORY: Nerve impulses are modulated through the liberation of polypeptides from the odontoblasts, when injured.  GATE CONTROL THEORY : Melzack & Wall in 1965.  Transmission of impulses to the brain are modulated by spinal-gating system.  Large (A-beta) fibres inhibit transmission and small (A-delta & C) fibres facilitate it.  When activity of spinal cord transmission cells exceed a threshold, pain is percieved.  VIBRATION THEORY : Vibratory motion leads to fluid disturbance and hence nerve stimulation. 40
  • 41.
     Pain arisingfrom DH can range from mild discomfort to extreme severity.  It may emanate from one tooth or several teeth and it is sometimes felt in all quadrants of the jaws.  Most patients describe the pain from DH as being rapid in onset, sharp in character, and of short duration.  The external stimuli eliciting dentinal pain can be thermal, osmotic, chemical, physical, or mechanical in nature.  Presence of gingival recession or enamel/cementum loss  Patients with exposed dentin – a sign that dentinal hypersensitivity may be present – may or may not experience sensitivity. 41
  • 42.
     Patient historyand examination  Pain evoked by any stimuli (source of pain)  Consider detailed, written, dietary histories and oral hygiene habits (eg, frequency, duration, and timing of brushing; estimation of brushing force; frequency of brush change). Any symptoms during brushing?  Site, Character, Severity, Duration  Exclusion of differential diagnosis(Treat any and all secondary conditions that induce symptoms similar to DHS). 42
  • 43.
  • 44.
     The patient'sresponse to various triggering stimuli should be recorded. The stimuli are sorted into four categories: mechanical, chemical, electrical, and thermal.  MECHANICAL (TACTILE):  Sharp tipped probe  Mechanical pressure stimulator (Yeaple’s probe, electromagnetive device, 70 gms, 5 gms increment)  Jay Sensitive Sensor Probe(Kakar A) (microprocessor controlled pre-set force limits, digital display, foot control) 44
  • 45.
     CHEMICAL (OSMOTIC): Hypertonic solution  Acidic solutions(not used now)  Cold air (1 cm distance, 1 sec, 45 psi, 190 to 240)  Cold water stimulation at 70 (00-200, 3 secs, 3 min interval) • THERMOELECTRIC TECHNIQUES (fine tipped thermal probe, initiated at 250) • ELECTRICAL STIMULATION (electric pulp testers) 45
  • 46.
     Scaling procedures Single-tufted brush  Dental pulp stethoscope  Evaporative stimuli  Temptronic device (microprocessor temperature- controlled air delivery system)  Electronic threshold measurement device 46
  • 47.
     VERBAL RATINGSCALE (VRS) (0 = no discomfort, 1 = mild discomfort, 2 = significant discomfort, 3 = significant discomfort lasting more than 10 seconds)  VISUAL ANALOG SCALE (VAS) 10-cm straight line (0 = no pain, 10 = extreme pain).  NUMERICAL RATING SCALE (NRS) These scales consist of a range of numbers from which patients select the number most representative of their pain, usually from 0 to 10 or 0 to 100. 47
  • 48.
     FACES PAINSCALE-REVISED (FPS-R)  This is a self-reported measure of pain intensity developed for children(4-16yrs).  It was adapted from the Faces Pain Scale in order to make it possible to score on the widely accepted 0 to 10 metric. 48
  • 49.
    1. Cracked toothsyndrome 2. Fractured restoration 3. Restoration in traumatic occlusion 4. Chipped teeth, hypoplastic enamel 5. Dental or root caries 6. Postoperative sensitivity 7. Pulpal response to restorative treatment or material 8. Marginal leakage of restoration 9. Pulpitis (pulpal status) 10. Gingival inflammation 11. Vital bleaching procedures 12. Atypical odontaglia 13. Palatogingival grooves 49
  • 50.
    Suggestions for patients: 1.Avoid gingival recession due to poor plaque removal by practicing good oral hygiene techniques. 2. Avoid using large amounts of dentifrice or reapplying it during brushing. 3. Avoid medium- or hard-bristle toothbrushes. 4. Avoid brushing teeth immediately after ingesting acidic foods. 5. Avoid brushing teeth with excessive pressure or for an extended period of time. 6. Avoid excessive flossing or improper use of other interproximal cleaning devices. 7. Avoid “picking” or scratching at the gumline or using toothpicks inappropriately. 50
  • 51.
    Suggestions for dentalprofessionals: 1. Avoid over-instrumenting the root surfaces during scaling and root planing, particularly in the cervical area of the tooth. 2. Avoid over-polishing exposed dentine during stain removal. 3. Avoid violating the biological width during restoration placement, as this may cause recession. 4. Avoid burning the gingival tissues during in-office bleaching, and advise patients to be careful when using home bleaching products. 51
  • 52.
     MECHANISM OFACTION: a) Nerve desensitization b) Tubule occlusion 52
  • 53.
     Desensitization ofNerve by Potassium Salts  5% potassium nitrate in dentifrices has been in use since 1980’s.  The active ingredient which is 2% potassium ion is released from dentifrices which contain: a) potassium nitrate (5%), b) potassium chloride (3.75%) and c) potassium citrate (5.5%).  It is thought that the synapse between the nerve cells is blocked by potassium ions, which will reduce the nerve excitation and the pain associated with it.  Potassium oxalate is another potassium salt which has demonstrated the formation of calcium oxalate crystals onto the tooth surface (acid resistant and temporary occlusion of tubules). 53
  • 54.
     Tubule Occlusion One of the logical conclusions to treat DH is to occlude the tubules.  Reduction in dentin permeability as well as sensitivity occurs with occlusion of dentinal tubules.  But the effectiveness of agents occluding the tubules is dependent on their removal resistance.  Some of the occluding agents could be resistant while others are acid liable and could be easily washed away. 54
  • 55.
  • 56.
    1. Nerve desensitization: Potassiumnitrate 2. Anti-inflammatory agents: Corticosteroids 3. Cover or plugging dentinal tubules: a. Plugging (sclerosing) dentinal tubules  Ions/salts i. Calcium hydroxide ii. Calcium phoshate/carbonate iii. Ferrous oxide iv. Potassium oxalate v. Sodium monofluorophosphate vi. Sodium fluoride vii. Sodium fluoride/stannous fluoride combination viii. Stannous fluoride ix. Strontium chloride x. Bio-active glass  Protein precipitants i. Formaldehyde/Glutaraldehyde ii. Zinc chloride iii. Silver nitrate iv. Strontium chloride hexahydrate  Casein phosphopeptides  Burnishing  Fluoride iontophoresis b. Dentine sealers i. Glass ionomer cements ii. Composites iii. Oxalic acids and Resins iv. Fluoride Varnishes v. Sealants vi. Dentin bonding agents c. Periodontal soft tissue grafting d. Crown placement/restorative material e. Laser f. Homeopathy – propolis, plantago56
  • 57.
  • 58.
  • 59.
  • 60.
  • 61.
  • 62.
  • 63.
     Apply calciumhydroxide paste for 3-5 mins through burnishing by wooden stick or rubber tip.  Promotes perituular dentin formation(blocking the tubule)  High pH may provoke odontoblastic process protien coagulation, ppt. of protien, clogging the tubule, decreasing hydraulic conductance 63
  • 64.
     Fluorides, suchas sodium and stannous fluoride can reduce DH.  The application of fluorides seems to create a barrier by precipitation of the calcium fluoride crystals which are formed especially in the inlet of the dentinal tubules.  Increases the resistance of dentin to acid dissolution, also helps in remineralization.  The precipitate is slowly soluble in saliva, which may explain the transitory action of this barrier .  Aqueous solution provides an immediate effect when applied for 3 to 5 minutes in-office.  The stannous fluoride gel has a gradual effect and it can be used by the patient at home to obtain a long-term effect. 64
  • 65.
     Introducing ionicdrugs into body surfaces for therapeutic purposes.  Charged drug is delivered via an electrode.  Leads to deep penetration of ions in the tubules leading to tubole occlusion.  Fluoride iontophoresis: fluoride ion penetration  Desensitization: intratubular microprecipitation of calcium fluoride and effect of fluoride on neural transduction mechanism.  Since calcium fluoride is an unstable compound, iontophoresis increases the depth of penetration. 65
  • 66.
     Topical useof 3% potassium oxalate on exposed dentin after periodontal procedures results in a reduction of DH.  The desensitizing action of potassium oxalate occurs by the deposition of calcium oxalate crystals on the dentin surface.  The calcium oxalate crystals formed on the dentin surface are easily removed by daily brushing.  However, when dentin is previously etched with 35% phosphoric acid, the penetration depth of oxalate buffer into the dentinal tubules is about 6-7 μm and thus, pain relief can be expected for a longer period.  The application of potassium oxalate on the etched dentin can also be associated with a covering of dentinal adhesives66
  • 67.
     Calcium phosphateminerals are the main inorganic constituents of dentin, and mineral rich deposits obstruct tubule orifices in the physiological process of dentin sclerosis.  A method of mimicking this natural process may provide an effective clinical treatment for dentin hypersensitivity.  ACP has the highest rate of formation and dissolution under physiologic oral conditions. This compound is also capable of rapid conversion into hydroxyapatite crystals under these same conditions, which can precipitate in the lumen of open dentinal tubules.  CPP-ACP is stable and prevents dissolution of ca. & p. & maintains a supersaturated solution of bioavailable ca. 7 phospates. 67
  • 68.
     No priorsurface conditioning was used other than normal brushing and flossing. The solutions were easily placed using cotton tip applicators and isolation with cotton rolls was maintained during treatment.  The precipitation of calcium phosphates provides a very natural and biocompatible treatment.  Home use of CPP-ACP-containing dentifrice has been found to help inhibit demineralization and to promote remineralization.  The mechanism of anti-cariogenicity for CPP-ACPF involves elevating levels of calcium, phosphate and fluoride ions at the tooth surface and within dental plaque, thereby depressing enamel demineralization and enhancing remineralization. 68
  • 69.
     This isbased on 8% arginine (an amino acid), bicarbonate (pH buffer), calcium carbonate (calcium source) & 1450 ppm fluoride as sodium monofluorophosphate.  Application of this product consists of using a low speed handpiece with the paste and burnishing the paste into the dentinal tubules causing them to become occluded.  Mechanism of action: this technology physically seals dentin tubules with a plug that contains arginine, calcium carbonate, and phosphate. This plug, which is resistant to normal pulpal pressures and to acid challenge, effectively reduces dentin fluid flow and, thereby, reduces sensitivity. 69
  • 70.
     Using thisproduct either before or after dental procedures has been found to provide immediate and lasting relief.  Specifically, when this product is applied immediately after dental scaling, the relief of hypersensitivity may last for up to four weeks when used as the final polishing step during a professional cleaning.  ProClude®, Ortek Therapeutics, Roslyn Heights, NY, USA  DenClude®, Ortek Therapeutics, Roslyn Heights, NY, USA  Colgate® Sensitive Toothpaste containing 4.0% arginine and 1450 MFP in a calcium carbonate base (Colgate- Palmolive Co., New York, NY, USA). 70
  • 71.
     Trade name– Denshield  NovaMin, the active ingredient in Denshield, is a bioactive glass that has been ground into a fine particulate with a median size of <20 mm and is composed of Ca, P, Na, Si, and O.  When exposed to an aqueous environment, it releases Ca+2 and (PO4)3 ions.  A layer is formed through several reactions starting from nucleation sites and finally crystallizes into hydroxylcarbonate apatite, which is equivalent to hydroxyl- phosphate apatite in biological behavior .  Acid-resistant, offers long term relief.  The combination of the residual NovaMin particles and the hydroxyl-carbonate apatite layer results in the physical occlusion of dentinal tubules, which is claimed to relieve hypersensitivity. 71
  • 72.
     As earlyas 1985, laser irradiation had been applied for the treatment of DH.  There are 2 categories of applications that have mainly been used:  (1) low-power lasers (eg, diode and Ga-Al-As ) and  (2) medium-power devices (eg, CO2 and Nd:YAG ).  For low-output power lasers (diode lasers [l = 80–900 nm] or He-Ne lasers [l = 632.8 nm]), the desensitizing effect seems to be related to laser activity at the nervous level.  They are thought to work by coagulation of proteins in the dentinal fluid and hence reduce permeability. (denaturation of odontoblastic process or over heating of dental fluid).  Only the Nd:YAG laser at 1,064 nm has an additional analgesic effect, probably because the irradiation can temporally alter the ending of the sensory axons and block both C and A-beta fibers. (depressed nerve transmission). 72
  • 73.
     Nd:YAG energyis not absorbed intensively by dentin and water because of its wavelength.  Nd:YAG laser irradiation melts the superficial layer of dentin. (vitrification)  When recrystallization occurs, it seals the dentin tubules in a depth of 3 to 4 mm without dentin surface cracking. This effect is pronounced when used along with a fluoride containing substance.  During Nd:YAG laser irradiation of dentin, the thermal effects on the pulp are of concern.  The thermal threshold for pulpal damage is generally not exceeded when the energy and power settings of the laser remain within the reported range. 73
  • 74.
     Propolis isefficient in the treatment of DH.  Mahmoud et al., studied the effect of Propolis as a desensitizing agent and demonstrated that 85% of subjects were found highly satisfied during the study period as in comparison to this study.  The mechanism of action is because of high content of Flavanoids in Propolis.  Flavanoids may be able to suppress the information of free radicals by binding heavy metals in ions which are known to catalyze many processes leading to the appearance of full radicals.  Propolis is known to be an antioxidant, antimicrobial, anti- inflammatory, immunostimulatory, and heavy metal chelating agent.  It also has an effect on tissue regeneration and wound healing 74
  • 75.
     Adhesive restorativematerials and dentinal adhesives are considered dentinal tubule sealers.  Resinous dentinal desensitizers, such as Gluma Desensitizer (Heraeus Kulzer) are products which unite dentin and they can effectively seal the dentinal tubule openings.  Basically, in their composition they have: hydroxyethyl methacrylate (HEMA), benzalkonium chloride, glutaraldehyde and fluoride.  HEMA physically blocks the dentinal tubules and glutaraldehyde causes coagulation of plasma proteins of the tubule fluid, resulting in the reduction of dentinal permeability. 75
  • 76.
     HEMA canbe absorbed by dentin and collagen and glutaraldehyde can form cross-links with bovine serum collagen and albumin. These results, found by Qin et al., suggest that Gluma acts as a desensitizer by means of two reactions.  First, the glutaraldehyde reacts with part of the serum albumin in the dentinal fluid which induces albumin precipitation, and then a second reaction of glutaraldehyde with albumin induces HEMA polymerization.  No loss of tooth structure – DBAs & varnishes  Loss of tooth stucture – resin composite & GICs 76
  • 77.
  • 78.
  • 79.
  • 80.
     Recent approachesto advancing the treatment of dentinal hypersensitivity have also looked at potential avenues to remineralize the tooth structure by increasing salivary calcium and phosphate levels as well an increasing the salivary pH, stimulating the formation of calcium phosphate or hydoxyapatite. 80
  • 81.
     DH isa common dental complaint, and prior to treatment, a differential diagnosis is critical.  Identification of the various risk factors should be ascertained, and a determination should be made of whether the pain is local or generalized.  Unfortunately, most currently available tests are subjective. Ideally, a more objective technique is required in order to adequately quantify the patient's response.  Although many theories have been suggested over the past century, the hydrodynamic hypothesis that was initially proposed in the 1960s by Brännström remains the one that is usually accepted.  It has been suggested that the odontoblasts, which form the outermost layer of the dental pulp, act as sensory receptor cells. 81
  • 82.
     Some studieshave indicated that human odontoblasts express functional TRP channels, which may play a vital role in facilitating thermal sensation in teeth.  Further research is needed to ascertain the validity of these studies and to develop tests for DH that are not as subjective as current modalities.  Self applied treatments such as desensitizing dentifrices, are still largely used as home-made desensitizing agent.  The adhesive systems are one of the most effective clinical treatments and the lasers are expected to play an imp. role in treating DH. 82
  • 83.
    1. Addy andMartin. Textbook of tooth wear and sensitivity. 2. Suchetha A,B S Keshava Prasad,Apoorva SM,Lakshmi P. Dentinal Hypersensitivity - A Review, Indian Journal of Dental Sciences,June 2013 Issue:2, Vol.:5 3. Canadian Advisory Board on Dentin Hypersensitivity (2003) Consensus-based recommendations for the diagnosis and management of dentin hypersensitivity J Can Dent Assoc 69,221-226. 4. Berman LH. Dentinal sensation and hypersensitivity. A review of mechanisms and treatment alternatives. J Periodontol 1985;56:216-22. 5. Micheleih V, Pashley DH, Whitford GM. Dentin permeability. A comparison of functional versus anatomical tubular radii. J Dent Res 1978;57:1019-24. 83