NON CARIOUS LESIONS &NON CARIOUS LESIONS &
THEIR MANAGEMENTTHEIR MANAGEMENT 11
Non carious destructionNon carious destruction AttritionAttrition
 AbrasionAbrasion
 AbfractionAbfraction
 ErosionErosion
 Localized non-hereditary enamel hypoplasiaLocalized non-hereditary enamel hypoplasia
 Localized non-hereditary enamel hypocalcificationLocalized non-hereditary enamel hypocalcification
 Localized non-hereditary dentinal hypoplasiaLocalized non-hereditary dentinal hypoplasia
 Localized non-hereditary dentin hypocalcificationLocalized non-hereditary dentin hypocalcification
 DiscolorationDiscoloration
 MalformationMalformation
 Amelogenesis imperfectaAmelogenesis imperfecta
 Dentinogenesis imperfectaDentinogenesis imperfecta
 TraumaTrauma 22
AttritionAttrition
 It can be defined as surface tooth structure lossIt can be defined as surface tooth structure loss
resulting from direct frictional forces betweenresulting from direct frictional forces between
contacting teethcontacting teeth
 Continuous ,age dependent process usuallyContinuous ,age dependent process usually
physiologicphysiologic
 Affects occluding surfaces and results in flattening ofAffects occluding surfaces and results in flattening of
their inclined planes and in facet formationtheir inclined planes and in facet formation
 ‘‘Reverse cusp’ is seen in severe casesReverse cusp’ is seen in severe cases
 Accelerated by parafunctionaL mandibular movementAccelerated by parafunctionaL mandibular movement
noticebly brusixmnoticebly brusixm
33
 Can precipitate any of following:Can precipitate any of following:
 Physiologic surface attrition (proximal surfacePhysiologic surface attrition (proximal surface
faceting)faceting)
 Results from surface tooth structure loss andResults from surface tooth structure loss and
flattening wideni ng of the proximal contactflattening wideni ng of the proximal contact
areas.areas.
 Therefore area proximally is increased inTherefore area proximally is increased in
dimension and is susceptible to decay.dimension and is susceptible to decay.
44
Mesiodistal dimension of teeth are decreasedMesiodistal dimension of teeth are decreased
↓↓
Overall reduction of arch lengthOverall reduction of arch length
↓↓
Interproximal space will be decreased in dimensionInterproximal space will be decreased in dimension
↓↓
Thereby interfering physiology of interdental papillaeThereby interfering physiology of interdental papillae
↓↓
More plaque accumulationMore plaque accumulation
↓↓
PeriodontitisPeriodontitis
55
 Occluding surface attritionOccluding surface attrition
 Loss ,flattening, faceting and/or reverse cusping of occludingLoss ,flattening, faceting and/or reverse cusping of occluding
elements → loss of vertical dimension of toothelements → loss of vertical dimension of tooth
 If wear is severe ,generalized and accomplished in relativelyIf wear is severe ,generalized and accomplished in relatively
shorter time →vertical loss on face as well as loss of verticalshorter time →vertical loss on face as well as loss of vertical
dimensiondimension
 If wear is over a long period of time alveolar bone can growIf wear is over a long period of time alveolar bone can grow
occlusally →vertical dimension loss is seen but not impartedocclusally →vertical dimension loss is seen but not imparted
to face.to face.
 Deficient masticatory capabilities ,blunting of cusps mayDeficient masticatory capabilities ,blunting of cusps may
compel patient to apply more force on teeth.compel patient to apply more force on teeth.
 Cheek biting is sequelae of occlusal surface attritionCheek biting is sequelae of occlusal surface attrition
 Decay at occluding area leads to more exposed dentinDecay at occluding area leads to more exposed dentin
 Tooth sensitivityTooth sensitivity
66
77

Severe generalized attrition fromSevere generalized attrition from
tooth grinding with abrasion oftooth grinding with abrasion of
exposed dentinexposed dentin
The diestone cast shows flat
enamel facet with well defined
margins resulting from attrition
Severe attrition
88
ATTRITION DUE TO BRUXISM.ATTRITION DUE TO BRUXISM.
99
Treatment modalitiesTreatment modalities
 Extraction of pulpally involved teethExtraction of pulpally involved teeth
 Parafunctional activities ,bruxism should beParafunctional activities ,bruxism should be
controlledcontrolled
 Myofunctional,TMJ,or any stomatognathic systemMyofunctional,TMJ,or any stomatognathic system
disorders should be diagnosed and resolveddisorders should be diagnosed and resolved
 Occlusal equilibrium should be performedOcclusal equilibrium should be performed
 Protect sensitive dentinal areas and actual cariesProtect sensitive dentinal areas and actual caries
should be obliteratedshould be obliterated
 Restorative modalities should be done.Restorative modalities should be done.
1010
An acrylic resin maxillary occlusal
splint for correction of bruxism
1111
AbrasionAbrasion
 Defined as surface loss of tooth structureDefined as surface loss of tooth structure
resulting from direct friction forces betweenresulting from direct friction forces between
the teeth and external objects or from frictionalthe teeth and external objects or from frictional
forces between contacting teeth components inforces between contacting teeth components in
the presence of an abrasive medicinethe presence of an abrasive medicine
 Pathologic processPathologic process
 Sometimes abrasion rate is faster than theSometimes abrasion rate is faster than the
dentin deposition rate →direct or indirectdentin deposition rate →direct or indirect
pulpal involvementpulpal involvement
1212

Cervical abrasion in unopposed
premolar tooth resulting from
incorrect tooth brushing and
dentifrices
Abrasion results in a more rounded and
less well defined occlusal appearance
1313
1414
TOOTH BRUSH ABRASION.TOOTH BRUSH ABRASION.
1515
1616
Toothbrush abrasion most predominantToothbrush abrasion most predominant
 Occur cervically,usually to the most faciallyOccur cervically,usually to the most facially
prominent teeth in the archprominent teeth in the arch
 Its surface extent, depth and rate of formation isIts surface extent, depth and rate of formation is
dictated by:dictated by:
 The direction of brushing strokes.The direction of brushing strokes.
 The size of the abrasive.The size of the abrasive.
 The percentage of abrasives in the dentrificeThe percentage of abrasives in the dentrifice
 Type of abrasiveType of abrasive
 Diameter of brush bristlesDiameter of brush bristles
 Type of bristleType of bristle
 Forces used in brushingForces used in brushing
 Type of tooth tissues being abradedType of tooth tissues being abraded
1717
 Signs and symptoms of toothbrush abrasion:Signs and symptoms of toothbrush abrasion:
 The lesion may be linear in outline, following theThe lesion may be linear in outline, following the
path of brush bristles.path of brush bristles.
 The peripheries of the lesion are very angularlyThe peripheries of the lesion are very angularly
demarcated from the adjacent tooth surface.demarcated from the adjacent tooth surface.
 The surface of the lesion is extremely smooth andThe surface of the lesion is extremely smooth and
polished, and it seldom has any plaque accumulationpolished, and it seldom has any plaque accumulation
or carious activity in it.or carious activity in it.
 The surrounding walls of abrasive lesion tend toThe surrounding walls of abrasive lesion tend to
make a v-shape ,by meeting at an acute angle axially.make a v-shape ,by meeting at an acute angle axially.
 Probing or stimulating (hot, cold or sweets) the lesionProbing or stimulating (hot, cold or sweets) the lesion
can elicit pain.can elicit pain.
1818
 Other oral habits which create abrasion:Other oral habits which create abrasion:
a.Chewing tobaccoa.Chewing tobacco
b.Toothpickb.Toothpick
c.Cutting sewing thread with incisor teethc.Cutting sewing thread with incisor teeth
d.Holding and pulling nails with front teethd.Holding and pulling nails with front teeth
 IatrogenicIatrogenic
 Dentures with porcelain teeth opposing naturalDentures with porcelain teeth opposing natural
teethteeth
 Use of cast alloy with higher abrasiveUse of cast alloy with higher abrasive
resistance than tooth enamel in a restorationresistance than tooth enamel in a restoration
opposing natural teethopposing natural teeth
1919
Treatment modalitiesTreatment modalities
 Diagnose the cause of the presented abrasion.Diagnose the cause of the presented abrasion.
 Correct or replace the iatrogenic dental work,habitCorrect or replace the iatrogenic dental work,habit
 Restorative treatment if habits are not broken.Restorative treatment if habits are not broken.
 Abrasive lesions at non occluding tooth surfacesAbrasive lesions at non occluding tooth surfaces
should be critically evaluatedshould be critically evaluated
 If teeth are sensitive ,desensitize exposed dentinIf teeth are sensitive ,desensitize exposed dentin
before starting restorative treatment is startedbefore starting restorative treatment is started
 Restorative treatmentRestorative treatment
2020

2121
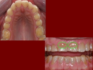
AbfractionAbfraction
 Syn.idiopathic erosionSyn.idiopathic erosion
 Cervical wedge shaped defects or abfractures caused by strongCervical wedge shaped defects or abfractures caused by strong
eccentric occlusal forceseccentric occlusal forces
 Caused due to excessive occlusal stresses andCaused due to excessive occlusal stresses and
 Only a single tooth may b affected leaving the neighbouringOnly a single tooth may b affected leaving the neighbouring
teeth uninvolvedteeth uninvolved
 More number of teeth are affected in bruxists and in olderMore number of teeth are affected in bruxists and in older
patientspatients
 These lesions can progress around existing cervicalThese lesions can progress around existing cervical
restorations and extend subgingivallyrestorations and extend subgingivally
 The lingual surfaces of mandibular teeth are rarely affected.The lingual surfaces of mandibular teeth are rarely affected.
2222
treatment modalitestreatment modalites
2323
ErosionErosion
 Defined as the loss of tooth structure resulting from chemico-Defined as the loss of tooth structure resulting from chemico-
mechanical acts in the absence of specific microorganism.mechanical acts in the absence of specific microorganism.
 Popular theories of causes and pathogenesis:Popular theories of causes and pathogenesis:
 Ingested acidIngested acid
 Salivary citratesSalivary citrates
 Secreted acids’Secreted acids’
 Mechanical abrasionMechanical abrasion
 Chelating microbial metabolic productsChelating microbial metabolic products
 Acid fumesAcid fumes
 Excessive tensile stresses at the tooth clinical cervixExcessive tensile stresses at the tooth clinical cervix
 Refused acids’Refused acids’
 Salivary flowSalivary flow
2424
2525

Progressive erosion results in
occlusal scooping or cupping of the
exposed softer dentin in posterior
teeth and grooving in anterior
teeth
Extensive erosion in teeth of
wine tester
Teeth showing acid erosion
2626
Treatment modalitiesTreatment modalities
 Eliminate the causesEliminate the causes
 Preoperative study models or photographsPreoperative study models or photographs
 Give restorative modalities in extremelyGive restorative modalities in extremely
symptomatic of disfiguring lesionssymptomatic of disfiguring lesions
 Metallic restoration should be the material ofMetallic restoration should be the material of
choice if restorations are indicatedchoice if restorations are indicated
2727
Localized non hereditaryLocalized non hereditary
enamel hypoplasiaenamel hypoplasia
 During enamel formation if ameloblasts are irritatedDuring enamel formation if ameloblasts are irritated
,their metabolic product,i.e the enamel matrix,will not,their metabolic product,i.e the enamel matrix,will not
be properly formed ,causing certain interruptions andbe properly formed ,causing certain interruptions and
defects.defects.
 When the teeth erupt ,these defect are seen in crownWhen the teeth erupt ,these defect are seen in crown
portion of tooth and is known as localized nonportion of tooth and is known as localized non
hereditary enamel hypoplasiahereditary enamel hypoplasia
 Lesion range from isolated pits to widespread linearLesion range from isolated pits to widespread linear
defects ,depressions ,or loss of a segment in thedefects ,depressions ,or loss of a segment in the
enamelenamel
 Discoloration increases with ageDiscoloration increases with age 2828
 Factors that can injure or destroy theFactors that can injure or destroy the
ameloblast includesameloblast includes
 Systemic disordersSystemic disorders
 Localized disordersLocalized disorders
 fluoridesfluorides
2929
Treatment modalitiesTreatment modalities
 If defects are of minimum size : SelectiveIf defects are of minimum size : Selective
odontotomyodontotomy
 If defect is at occluding or contacting area goIf defect is at occluding or contacting area go
for metallic or cast restorationsfor metallic or cast restorations
 If lesions are discolured and veneeringIf lesions are discolured and veneering
procedures are not planned,vital bleaching canprocedures are not planned,vital bleaching can
be attemptedbe attempted
3030
Localized non hereditaryLocalized non hereditary
enamel hypocalcificationenamel hypocalcification
 Destruction of ameloblasts can interfere with theDestruction of ameloblasts can interfere with the
enamel matrix formation,it can also interfere with theenamel matrix formation,it can also interfere with the
mineralization of this matrix ,even it is formed thismineralization of this matrix ,even it is formed this
leads to Localized non hereditary enamelleads to Localized non hereditary enamel
hypocalcificationhypocalcification
 Signs and symptoms same as enamel hypoplasiaSigns and symptoms same as enamel hypoplasia
 Affective areas appear chalky and soft to identationAffective areas appear chalky and soft to identation
and will be very stainableand will be very stainable
 Enamel can be chipped if lesion involves entireEnamel can be chipped if lesion involves entire
surface of a toothsurface of a tooth
3131
3232
Treatment modalitiesTreatment modalities
 If diagnosis is made early, Mineralization ofIf diagnosis is made early, Mineralization of
tooth enamel is done using periodic fluoridetooth enamel is done using periodic fluoride
application, fluoride ionophoresis and strictapplication, fluoride ionophoresis and strict
prevention of plaque accumulation in theseprevention of plaque accumulation in these
areasareas
 Vital bleaching ,laminated veneeringVital bleaching ,laminated veneering
,composite veneering and porcelain fused to,composite veneering and porcelain fused to
metal and cast ceramic crownsmetal and cast ceramic crowns
3333
Localized non-hereditary dentinLocalized non-hereditary dentin
hypocalcificationhypocalcification
 Same causes as hypoplasiaSame causes as hypoplasia
 Dentin will be present in substance ,it will beDentin will be present in substance ,it will be
softer, more penetrable and lesssofter, more penetrable and less
resilent.eg:interglobular dentinresilent.eg:interglobular dentin
 Treatment: intermediary basingTreatment: intermediary basing
3434
DiscolorationDiscoloration
 Classified from etiologic aspect asClassified from etiologic aspect as
 Extrinsic : due to surface staining , calculus orExtrinsic : due to surface staining , calculus or
any other surface depositsany other surface deposits
 Intrinsic : created from changes in one or moreIntrinsic : created from changes in one or more
of the tooth tissuesof the tooth tissues
 Discoloring changes in enamel includeDiscoloring changes in enamel include
hypoplasia and hypocalcificationhypoplasia and hypocalcification
3535
 Discoloring changes in dentin may result fromDiscoloring changes in dentin may result from
non – vitality resulting in disintegration of thenon – vitality resulting in disintegration of the
dentinal tubules contents or fromdentinal tubules contents or from
pigmentation and staining which is due topigmentation and staining which is due to
external sources e.g. corrosion products ofexternal sources e.g. corrosion products of
metallic restorations,medications,microbialmetallic restorations,medications,microbial
metabolites,etcmetabolites,etc
 Tetracycline colorationTetracycline coloration
 Discoloring changes in the pulp root canalDiscoloring changes in the pulp root canal
system can result from pulpal necrosissystem can result from pulpal necrosis
3636
Treatment modalitiesTreatment modalities
 By scaling and polishing with abrasivesBy scaling and polishing with abrasives
 Intrinsic discoloration in enamel and dentinIntrinsic discoloration in enamel and dentin
can be treated by Vital bleaching ,laminatedcan be treated by Vital bleaching ,laminated
veneering ,composite veneering and porcelainveneering ,composite veneering and porcelain
fused to metal and cast ceramic crowns as infused to metal and cast ceramic crowns as in
localized non hereditary enamel hypoplasialocalized non hereditary enamel hypoplasia
and hypocalcification.and hypocalcification.
3737
 In intrinsic discoloration due to discoloringIn intrinsic discoloration due to discoloring
changes in pulp-root canal system firstchanges in pulp-root canal system first
endodontic therapy should be instituted andendodontic therapy should be instituted and
then proceed with following treatmentthen proceed with following treatment
sequencesequence
 non-vital bleachingnon-vital bleaching
 If no pleasant result are there it may beIf no pleasant result are there it may be
necessary to to resort laminated veneer ornecessary to to resort laminated veneer or
porcelain fused to metal or cast ceramicporcelain fused to metal or cast ceramic
veneering restorationsveneering restorations 3838
MalformationMalformation
 Can be either in micro- or macroforms andCan be either in micro- or macroforms and
usually of hereditary origin.usually of hereditary origin.
 One or two teeth (usually upper lateral) thatOne or two teeth (usually upper lateral) that
are noticebly smaller in size than surroundingare noticebly smaller in size than surrounding
ones ,with pointed incisal edges(peg teeth)-ones ,with pointed incisal edges(peg teeth)-
most common malformationmost common malformation
3939
Treatment modalitiesTreatment modalities
 If the affected tooth is properly aligned in the archIf the affected tooth is properly aligned in the arch
and has intact enamel and is not subjected toand has intact enamel and is not subjected to
extensive occluding forces,then conditioning of theextensive occluding forces,then conditioning of the
enamel & building the tooth up with a direct tooth-enamel & building the tooth up with a direct tooth-
colored resinous material is done.colored resinous material is done.
 If the affected tooth is malaligned ,repositioningIf the affected tooth is malaligned ,repositioning
should be performed before restorationshould be performed before restoration
 If excessive occluding forces are present selectIf excessive occluding forces are present select
porcelain fused to metal or cast ceramic veneeringporcelain fused to metal or cast ceramic veneering
restorations.restorations.
4040
Amelogenesis imperfectaAmelogenesis imperfecta
 Results from genetically determined abnormalities inResults from genetically determined abnormalities in
the formative stage of enamel unassociated withthe formative stage of enamel unassociated with
evidence of biochemical or systemic diseases.evidence of biochemical or systemic diseases.
 Can be autosomal dominantCan be autosomal dominant
traits(hypocalcification,hereditary generalized andtraits(hypocalcification,hereditary generalized and
localized hypoplasia) or they can be X-linked traitlocalized hypoplasia) or they can be X-linked trait
(hypomaturation) or a recessive trait (pigmented(hypomaturation) or a recessive trait (pigmented
hypomaturation)hypomaturation)
 The abnormality could be in the matrix formationThe abnormality could be in the matrix formation
leading to hypoplasia or it could be in theleading to hypoplasia or it could be in the
mineralization leading to hypomineralization.mineralization leading to hypomineralization.
 Affects one type of dentition,and only enamelAffects one type of dentition,and only enamel 4141
 Classes of hypoplasia show following featuresClasses of hypoplasia show following features
 Thin enamelThin enamel
 Open contactOpen contact
 Small teeth ,with short roots ,very limited pulpSmall teeth ,with short roots ,very limited pulp
chambers and root canal dimensionschambers and root canal dimensions
 Delay in eruptionDelay in eruption
 Sometimes the enamel is glassy(prismless)Sometimes the enamel is glassy(prismless)
 There may be some discoloration ,usuallyThere may be some discoloration ,usually
yellowyellow
 The enamel could look wrinkledThe enamel could look wrinkled
 All signs of severe occlusal wearAll signs of severe occlusal wear
4242
 Class of hypomineralization imperfectasClass of hypomineralization imperfectas
shows:shows:
 Enamel is usually stained (yellow or black).itEnamel is usually stained (yellow or black).it
may be chalky at early stages of life.may be chalky at early stages of life.
 The enamel chips easilyThe enamel chips easily
 enamel can be very soft in consistencyenamel can be very soft in consistency
(cheesy)(cheesy)
 Teeth are normally erupted but have dullTeeth are normally erupted but have dull
surfaces readily stainable by agesurfaces readily stainable by age
 Enamel is worn away very easily in life withEnamel is worn away very easily in life with
all signs and symptoms of severe attrition .all signs and symptoms of severe attrition .
4343
Treatment modalitiesTreatment modalities
 Selective odontotomySelective odontotomy
 Full veneering includes procedures withFull veneering includes procedures with
metallic , metallic based or cast ceramicmetallic , metallic based or cast ceramic
restorations.restorations.
4444
Dentinogenesis imperfectaDentinogenesis imperfecta
 Genetically dictated classes of diseases affecting theGenetically dictated classes of diseases affecting the
formation and/or maturation of the dentin matrix information and/or maturation of the dentin matrix in
the absence of any obvious systemic or biochemicalthe absence of any obvious systemic or biochemical
changes.changes.
 Clinical featuresClinical features
 Color may be from grey,brown ,yellow brown toColor may be from grey,brown ,yellow brown to
violetviolet
 Most of them exhibit a translucent hue.Most of them exhibit a translucent hue.
 The enamel ,although intact ,is easily chippedThe enamel ,although intact ,is easily chipped
because of defective dentino -enamel junctionbecause of defective dentino -enamel junction
4545
 The crowns are overcontoured.The crowns are overcontoured.
 The roots are short and slenderThe roots are short and slender
 There are signs and symptoms of extensiveThere are signs and symptoms of extensive
attritionattrition
 The dentin is devoid of tubulesThe dentin is devoid of tubules
 The dentin contains a lot of interglobular dentin.The dentin contains a lot of interglobular dentin.
 The decay process ,if initiated ,will spreadThe decay process ,if initiated ,will spread
laterally.laterally.
 Root canal and pulp chamber space is obliterated.Root canal and pulp chamber space is obliterated.
 Dentin hardness and resilience is almost half thatDentin hardness and resilience is almost half that
of normal dentinof normal dentin
4646
4747
Treatment modalitiesTreatment modalities
 Selective odontotomySelective odontotomy
 Permanent full veneeringPermanent full veneering
4848
CLINICALCLINICAL
MANAGEMENT OFMANAGEMENT OF
NON-CARIOUSNON-CARIOUS
LESIONSLESIONS
4949
 Non-carious lesions require clinical attention ifNon-carious lesions require clinical attention if
any of the following factors exist :any of the following factors exist :
 Tooth sensitivityTooth sensitivity
 Compromised estheticCompromised esthetic
 Risk of tooth fractureRisk of tooth fracture
 Pulpal damagePulpal damage
 CariesCaries
 Poor periodontal healthPoor periodontal health
5050
Treatment optionsTreatment options
 Dentin desensitizationDentin desensitization
 RestorationsRestorations
 Endodontic therapyEndodontic therapy
 Periodontal therapyPeriodontal therapy
5151
1) Dentin desensitization1) Dentin desensitization
 Used in situations where minimal amount ofUsed in situations where minimal amount of
dentin is exposed (less than 1mm) & patientdentin is exposed (less than 1mm) & patient
experiences hypersesitivity.experiences hypersesitivity.
 This managed by any of the method suggestedThis managed by any of the method suggested
for dentin desensitization such as :for dentin desensitization such as :
 Fluoride varnishes or fluride iontophoresisFluoride varnishes or fluride iontophoresis
 Dentin bonding agentsDentin bonding agents
 Use of desensitization tooth pastesUse of desensitization tooth pastes
5252
2) Restortions2) Restortions
 Indicated in following situationsIndicated in following situations
 Considerable loss enamel and dentinConsiderable loss enamel and dentin
 Esthetic is compromisedEsthetic is compromised
 Deep lesion affecting the strength of the tooth and pulpalDeep lesion affecting the strength of the tooth and pulpal
integrityintegrity
 Caries beginning in the cervical lesionCaries beginning in the cervical lesion
 Significant sensitivity of the exposed dentinSignificant sensitivity of the exposed dentin
 Choice of restorative material :Choice of restorative material :
 Class v non carious lesion with any of the permanentClass v non carious lesion with any of the permanent
restorative material presently available.restorative material presently available.
 Of these, Amalgam, direct gold, cast gold inlays and ceramicOf these, Amalgam, direct gold, cast gold inlays and ceramic
inlays are no longer preffered as they require some amount ofinlays are no longer preffered as they require some amount of
cavity preparation to make the restoration retentive.cavity preparation to make the restoration retentive.
5353
 Currently composite resins and glass ionomerCurrently composite resins and glass ionomer
cements are used.Because they are adhesive and docements are used.Because they are adhesive and do
not require extensive cavity preparation.not require extensive cavity preparation.
Composite resin restorations :Composite resin restorations :
StepsSteps
a) Tooth preparation :a) Tooth preparation :
 No cavity preparation is necessary for class v nonNo cavity preparation is necessary for class v non
carious lesions.Shape of the defect is amendable forcarious lesions.Shape of the defect is amendable for
filling .However enamel margin beveled to increasefilling .However enamel margin beveled to increase
the surface area for bonding & to produce esthetic .the surface area for bonding & to produce esthetic .
b) Pumice prophylaxis :b) Pumice prophylaxis :
 Clean the surface of any debris or plaque.Clean the surface of any debris or plaque.
5454
c)Shade selectionc)Shade selection
d) Isolationd) Isolation
e)Acid etching & dentin bondinge)Acid etching & dentin bonding
f)Composite resin placementf)Composite resin placement
g)Finishing & polishingg)Finishing & polishing
Compomer Restoration :Compomer Restoration :
 New variety introduced in 1990sNew variety introduced in 1990s
 Combines the durability of composite & fluorideCombines the durability of composite & fluoride
releasing ability of GIC.releasing ability of GIC.
 Available as a single component light curableAvailable as a single component light curable
material in a syringe.material in a syringe.
 Steps is same as that of composite restorationSteps is same as that of composite restoration 5555
 Indicated for class V cavities.Indicated for class V cavities.
 Glass Ionomer Cements :Glass Ionomer Cements :
 Chemically cured GIC have an excellent trackChemically cured GIC have an excellent track
record for restoring class V noncarios defects.record for restoring class V noncarios defects.
 Nowadays resin-modified GIC are referred.Nowadays resin-modified GIC are referred.
3) ENDONTIC THERAPY :3) ENDONTIC THERAPY :
 When cervical tooth loss is extensive resltingWhen cervical tooth loss is extensive reslting
in pulpal involvement, endodontic therapy isin pulpal involvement, endodontic therapy is
necessary followed by post placement & fullnecessary followed by post placement & full
coverage in the form of crowncoverage in the form of crown
5656
4)PERIODONTALTHERAPY:4)PERIODONTALTHERAPY:
Requiredwhennon-carioscervicaldefectsareassociatedwithgingivalrecessionandmucogingivalproblems.Requiredwhennon-carioscervicaldefectsareassociatedwithgingivalrecessionandmucogingivalproblems.
PREVENTIONPREVENTION
DietcouncillingDietcouncilling
UseofsodiumbicarbonatemouthrinseUseofsodiumbicarbonatemouthrinse
Useoffluoridemouthrinse&xylitolgumUseoffluoridemouthrinse&xylitolgum
PsychiatricconsultationPsychiatricconsultation 5757
Management of AttritionManagement of Attrition
 Pulpally involved tooth should be extracted orPulpally involved tooth should be extracted or
undergo endontic therapy.undergo endontic therapy.
 Para-functional activities, notably bruxism,Para-functional activities, notably bruxism,
controlled with proper discluding-protectingcontrolled with proper discluding-protecting
occlusal splints.occlusal splints.
 Occlusal equilibration – by selective grindingOcclusal equilibration – by selective grinding
of tooth surfaces (include rounding andof tooth surfaces (include rounding and
smoothening the perepheries of occlusalsmoothening the perepheries of occlusal
tables.tables.
 Restorative modalities- Metallic restoration inRestorative modalities- Metallic restoration in5858
Management of AbrasionManagement of Abrasion
 Remove the cause.Remove the cause.
 Treated with fluoride solution to improve its cariesTreated with fluoride solution to improve its caries
resistance.resistance.
 Lesion is exceeding 0.5mm into dentin, it should beLesion is exceeding 0.5mm into dentin, it should be
restored.restored.
 Tooth is sensitive then desensitize the exposed dentinTooth is sensitive then desensitize the exposed dentin
before starting restorative treatment. (Desensitizationbefore starting restorative treatment. (Desensitization
by 8-30% Na or Stannous fluoride for 4 to 8 min )by 8-30% Na or Stannous fluoride for 4 to 8 min )
 Restoration by Direct tooth coloured materials(inRestoration by Direct tooth coloured materials(in
anterior) & metallic restoration in posteriors.anterior) & metallic restoration in posteriors.
5959
Management of ErosionManagement of Erosion
 Remove the cause.Remove the cause.
 If restoration is the choice of treatment,If restoration is the choice of treatment,
metallic restoration is ndicated because it ismetallic restoration is ndicated because it is
resistant to erosion.resistant to erosion.
6060
Management of FracturesManagement of Fractures
 RestorationRestoration
 Pulp therapyPulp therapy
 ProsthesisProsthesis
6161
Management of Enamel HypoplasiaManagement of Enamel Hypoplasia
 Bleach the affected teeth with an agent such as HydrogenBleach the affected teeth with an agent such as Hydrogen
peroxideperoxide
 This carried out periodically,since the teeth continue toThis carried out periodically,since the teeth continue to
stain.stain.
BLEACHINGBLEACHING
 Lightening of discolourations of teeth through theLightening of discolourations of teeth through the
application of chemical agents to oxidize the organicapplication of chemical agents to oxidize the organic
pigmentation of teethpigmentation of teeth
 Bleaching Agents :Bleaching Agents :
Hydrogen peroxideHydrogen peroxide
Sodium perborateSodium perborate
Carbamide peroxideCarbamide peroxide 6262
Mechansm of Action :Mechansm of Action :
 Low mol. Wt of H2O2 allows it to easilyLow mol. Wt of H2O2 allows it to easily
diffuse through enamel & dentin.diffuse through enamel & dentin.
 Here it breaks down in to water and releasesHere it breaks down in to water and releases
perhydroxyl ions and nascent oxygen.perhydroxyl ions and nascent oxygen.
 Due to its great oxidative power it breaks upDue to its great oxidative power it breaks up
large macromolecule stains into smaller stains.large macromolecule stains into smaller stains.
 These reflect less light and tooth appearThese reflect less light and tooth appear
lighter.The free oxygen opens the c-ring oflighter.The free oxygen opens the c-ring of
pigment molecules converting them intopigment molecules converting them into
colourless hydroxyl compound.colourless hydroxyl compound.
6363
Non Hereditary EnamelNon Hereditary Enamel
HypocalcificationHypocalcification
 Mineralization of tooth enamel should beMineralization of tooth enamel should be
made using fluoride application, fluoridemade using fluoride application, fluoride
ionophoresis .ionophoresis .
 Vital bleaching,laminated veneering,compositeVital bleaching,laminated veneering,composite
veneering, and porcelian fused to metal andveneering, and porcelian fused to metal and
cast ceramic crownscast ceramic crowns
6464
Non heritary dentin hypoplasiaNon heritary dentin hypoplasia
and hypocalcificationand hypocalcification
 Intermediary basesIntermediary bases
 Calcium HydroxideCalcium Hydroxide
 Zinc phosphateZinc phosphate
 PolycarboxylatePolycarboxylate
6565
Management of DiscolourationManagement of Discolouration
 Extrinsic – Scaling & polishingExtrinsic – Scaling & polishing
 Intrinsic – Bleaching,laminated veneering,Intrinsic – Bleaching,laminated veneering,
composite veneeringcomposite veneering
 Endodontic therapyEndodontic therapy
6666
Management of MalformationManagement of Malformation
 RestorationRestoration
 Malaligned teeth is repositionedMalaligned teeth is repositioned
orthodontically.orthodontically.
 Porcelain fusedto metal or cast ceramicPorcelain fusedto metal or cast ceramic
veneering restorationveneering restoration
6767
 Management of Dentinogenesis ImperfectaManagement of Dentinogenesis Imperfecta
 Cast metal crown or on posterior teeth andCast metal crown or on posterior teeth and
jacket crown on anterior teeth.jacket crown on anterior teeth.
 Filling are not usually permanent because ofFilling are not usually permanent because of
softness of dentin.softness of dentin.
6868

07.non carious lesions

  • 1.
    NON CARIOUS LESIONS&NON CARIOUS LESIONS & THEIR MANAGEMENTTHEIR MANAGEMENT 11
  • 2.
    Non carious destructionNoncarious destruction AttritionAttrition  AbrasionAbrasion  AbfractionAbfraction  ErosionErosion  Localized non-hereditary enamel hypoplasiaLocalized non-hereditary enamel hypoplasia  Localized non-hereditary enamel hypocalcificationLocalized non-hereditary enamel hypocalcification  Localized non-hereditary dentinal hypoplasiaLocalized non-hereditary dentinal hypoplasia  Localized non-hereditary dentin hypocalcificationLocalized non-hereditary dentin hypocalcification  DiscolorationDiscoloration  MalformationMalformation  Amelogenesis imperfectaAmelogenesis imperfecta  Dentinogenesis imperfectaDentinogenesis imperfecta  TraumaTrauma 22
  • 3.
    AttritionAttrition  It canbe defined as surface tooth structure lossIt can be defined as surface tooth structure loss resulting from direct frictional forces betweenresulting from direct frictional forces between contacting teethcontacting teeth  Continuous ,age dependent process usuallyContinuous ,age dependent process usually physiologicphysiologic  Affects occluding surfaces and results in flattening ofAffects occluding surfaces and results in flattening of their inclined planes and in facet formationtheir inclined planes and in facet formation  ‘‘Reverse cusp’ is seen in severe casesReverse cusp’ is seen in severe cases  Accelerated by parafunctionaL mandibular movementAccelerated by parafunctionaL mandibular movement noticebly brusixmnoticebly brusixm 33
  • 4.
     Can precipitateany of following:Can precipitate any of following:  Physiologic surface attrition (proximal surfacePhysiologic surface attrition (proximal surface faceting)faceting)  Results from surface tooth structure loss andResults from surface tooth structure loss and flattening wideni ng of the proximal contactflattening wideni ng of the proximal contact areas.areas.  Therefore area proximally is increased inTherefore area proximally is increased in dimension and is susceptible to decay.dimension and is susceptible to decay. 44
  • 5.
    Mesiodistal dimension ofteeth are decreasedMesiodistal dimension of teeth are decreased ↓↓ Overall reduction of arch lengthOverall reduction of arch length ↓↓ Interproximal space will be decreased in dimensionInterproximal space will be decreased in dimension ↓↓ Thereby interfering physiology of interdental papillaeThereby interfering physiology of interdental papillae ↓↓ More plaque accumulationMore plaque accumulation ↓↓ PeriodontitisPeriodontitis 55
  • 6.
     Occluding surfaceattritionOccluding surface attrition  Loss ,flattening, faceting and/or reverse cusping of occludingLoss ,flattening, faceting and/or reverse cusping of occluding elements → loss of vertical dimension of toothelements → loss of vertical dimension of tooth  If wear is severe ,generalized and accomplished in relativelyIf wear is severe ,generalized and accomplished in relatively shorter time →vertical loss on face as well as loss of verticalshorter time →vertical loss on face as well as loss of vertical dimensiondimension  If wear is over a long period of time alveolar bone can growIf wear is over a long period of time alveolar bone can grow occlusally →vertical dimension loss is seen but not impartedocclusally →vertical dimension loss is seen but not imparted to face.to face.  Deficient masticatory capabilities ,blunting of cusps mayDeficient masticatory capabilities ,blunting of cusps may compel patient to apply more force on teeth.compel patient to apply more force on teeth.  Cheek biting is sequelae of occlusal surface attritionCheek biting is sequelae of occlusal surface attrition  Decay at occluding area leads to more exposed dentinDecay at occluding area leads to more exposed dentin  Tooth sensitivityTooth sensitivity 66
  • 7.
  • 8.
     Severe generalized attritionfromSevere generalized attrition from tooth grinding with abrasion oftooth grinding with abrasion of exposed dentinexposed dentin The diestone cast shows flat enamel facet with well defined margins resulting from attrition Severe attrition 88
  • 9.
    ATTRITION DUE TOBRUXISM.ATTRITION DUE TO BRUXISM. 99
  • 10.
    Treatment modalitiesTreatment modalities Extraction of pulpally involved teethExtraction of pulpally involved teeth  Parafunctional activities ,bruxism should beParafunctional activities ,bruxism should be controlledcontrolled  Myofunctional,TMJ,or any stomatognathic systemMyofunctional,TMJ,or any stomatognathic system disorders should be diagnosed and resolveddisorders should be diagnosed and resolved  Occlusal equilibrium should be performedOcclusal equilibrium should be performed  Protect sensitive dentinal areas and actual cariesProtect sensitive dentinal areas and actual caries should be obliteratedshould be obliterated  Restorative modalities should be done.Restorative modalities should be done. 1010
  • 11.
    An acrylic resinmaxillary occlusal splint for correction of bruxism 1111
  • 12.
    AbrasionAbrasion  Defined assurface loss of tooth structureDefined as surface loss of tooth structure resulting from direct friction forces betweenresulting from direct friction forces between the teeth and external objects or from frictionalthe teeth and external objects or from frictional forces between contacting teeth components inforces between contacting teeth components in the presence of an abrasive medicinethe presence of an abrasive medicine  Pathologic processPathologic process  Sometimes abrasion rate is faster than theSometimes abrasion rate is faster than the dentin deposition rate →direct or indirectdentin deposition rate →direct or indirect pulpal involvementpulpal involvement 1212
  • 13.
     Cervical abrasion inunopposed premolar tooth resulting from incorrect tooth brushing and dentifrices Abrasion results in a more rounded and less well defined occlusal appearance 1313
  • 14.
  • 15.
    TOOTH BRUSH ABRASION.TOOTHBRUSH ABRASION. 1515
  • 16.
  • 17.
    Toothbrush abrasion mostpredominantToothbrush abrasion most predominant  Occur cervically,usually to the most faciallyOccur cervically,usually to the most facially prominent teeth in the archprominent teeth in the arch  Its surface extent, depth and rate of formation isIts surface extent, depth and rate of formation is dictated by:dictated by:  The direction of brushing strokes.The direction of brushing strokes.  The size of the abrasive.The size of the abrasive.  The percentage of abrasives in the dentrificeThe percentage of abrasives in the dentrifice  Type of abrasiveType of abrasive  Diameter of brush bristlesDiameter of brush bristles  Type of bristleType of bristle  Forces used in brushingForces used in brushing  Type of tooth tissues being abradedType of tooth tissues being abraded 1717
  • 18.
     Signs andsymptoms of toothbrush abrasion:Signs and symptoms of toothbrush abrasion:  The lesion may be linear in outline, following theThe lesion may be linear in outline, following the path of brush bristles.path of brush bristles.  The peripheries of the lesion are very angularlyThe peripheries of the lesion are very angularly demarcated from the adjacent tooth surface.demarcated from the adjacent tooth surface.  The surface of the lesion is extremely smooth andThe surface of the lesion is extremely smooth and polished, and it seldom has any plaque accumulationpolished, and it seldom has any plaque accumulation or carious activity in it.or carious activity in it.  The surrounding walls of abrasive lesion tend toThe surrounding walls of abrasive lesion tend to make a v-shape ,by meeting at an acute angle axially.make a v-shape ,by meeting at an acute angle axially.  Probing or stimulating (hot, cold or sweets) the lesionProbing or stimulating (hot, cold or sweets) the lesion can elicit pain.can elicit pain. 1818
  • 19.
     Other oralhabits which create abrasion:Other oral habits which create abrasion: a.Chewing tobaccoa.Chewing tobacco b.Toothpickb.Toothpick c.Cutting sewing thread with incisor teethc.Cutting sewing thread with incisor teeth d.Holding and pulling nails with front teethd.Holding and pulling nails with front teeth  IatrogenicIatrogenic  Dentures with porcelain teeth opposing naturalDentures with porcelain teeth opposing natural teethteeth  Use of cast alloy with higher abrasiveUse of cast alloy with higher abrasive resistance than tooth enamel in a restorationresistance than tooth enamel in a restoration opposing natural teethopposing natural teeth 1919
  • 20.
    Treatment modalitiesTreatment modalities Diagnose the cause of the presented abrasion.Diagnose the cause of the presented abrasion.  Correct or replace the iatrogenic dental work,habitCorrect or replace the iatrogenic dental work,habit  Restorative treatment if habits are not broken.Restorative treatment if habits are not broken.  Abrasive lesions at non occluding tooth surfacesAbrasive lesions at non occluding tooth surfaces should be critically evaluatedshould be critically evaluated  If teeth are sensitive ,desensitize exposed dentinIf teeth are sensitive ,desensitize exposed dentin before starting restorative treatment is startedbefore starting restorative treatment is started  Restorative treatmentRestorative treatment 2020
  • 21.
  • 22.
    AbfractionAbfraction  Syn.idiopathic erosionSyn.idiopathicerosion  Cervical wedge shaped defects or abfractures caused by strongCervical wedge shaped defects or abfractures caused by strong eccentric occlusal forceseccentric occlusal forces  Caused due to excessive occlusal stresses andCaused due to excessive occlusal stresses and  Only a single tooth may b affected leaving the neighbouringOnly a single tooth may b affected leaving the neighbouring teeth uninvolvedteeth uninvolved  More number of teeth are affected in bruxists and in olderMore number of teeth are affected in bruxists and in older patientspatients  These lesions can progress around existing cervicalThese lesions can progress around existing cervical restorations and extend subgingivallyrestorations and extend subgingivally  The lingual surfaces of mandibular teeth are rarely affected.The lingual surfaces of mandibular teeth are rarely affected. 2222
  • 23.
  • 24.
    ErosionErosion  Defined asthe loss of tooth structure resulting from chemico-Defined as the loss of tooth structure resulting from chemico- mechanical acts in the absence of specific microorganism.mechanical acts in the absence of specific microorganism.  Popular theories of causes and pathogenesis:Popular theories of causes and pathogenesis:  Ingested acidIngested acid  Salivary citratesSalivary citrates  Secreted acids’Secreted acids’  Mechanical abrasionMechanical abrasion  Chelating microbial metabolic productsChelating microbial metabolic products  Acid fumesAcid fumes  Excessive tensile stresses at the tooth clinical cervixExcessive tensile stresses at the tooth clinical cervix  Refused acids’Refused acids’  Salivary flowSalivary flow 2424
  • 25.
  • 26.
     Progressive erosion resultsin occlusal scooping or cupping of the exposed softer dentin in posterior teeth and grooving in anterior teeth Extensive erosion in teeth of wine tester Teeth showing acid erosion 2626
  • 27.
    Treatment modalitiesTreatment modalities Eliminate the causesEliminate the causes  Preoperative study models or photographsPreoperative study models or photographs  Give restorative modalities in extremelyGive restorative modalities in extremely symptomatic of disfiguring lesionssymptomatic of disfiguring lesions  Metallic restoration should be the material ofMetallic restoration should be the material of choice if restorations are indicatedchoice if restorations are indicated 2727
  • 28.
    Localized non hereditaryLocalizednon hereditary enamel hypoplasiaenamel hypoplasia  During enamel formation if ameloblasts are irritatedDuring enamel formation if ameloblasts are irritated ,their metabolic product,i.e the enamel matrix,will not,their metabolic product,i.e the enamel matrix,will not be properly formed ,causing certain interruptions andbe properly formed ,causing certain interruptions and defects.defects.  When the teeth erupt ,these defect are seen in crownWhen the teeth erupt ,these defect are seen in crown portion of tooth and is known as localized nonportion of tooth and is known as localized non hereditary enamel hypoplasiahereditary enamel hypoplasia  Lesion range from isolated pits to widespread linearLesion range from isolated pits to widespread linear defects ,depressions ,or loss of a segment in thedefects ,depressions ,or loss of a segment in the enamelenamel  Discoloration increases with ageDiscoloration increases with age 2828
  • 29.
     Factors thatcan injure or destroy theFactors that can injure or destroy the ameloblast includesameloblast includes  Systemic disordersSystemic disorders  Localized disordersLocalized disorders  fluoridesfluorides 2929
  • 30.
    Treatment modalitiesTreatment modalities If defects are of minimum size : SelectiveIf defects are of minimum size : Selective odontotomyodontotomy  If defect is at occluding or contacting area goIf defect is at occluding or contacting area go for metallic or cast restorationsfor metallic or cast restorations  If lesions are discolured and veneeringIf lesions are discolured and veneering procedures are not planned,vital bleaching canprocedures are not planned,vital bleaching can be attemptedbe attempted 3030
  • 31.
    Localized non hereditaryLocalizednon hereditary enamel hypocalcificationenamel hypocalcification  Destruction of ameloblasts can interfere with theDestruction of ameloblasts can interfere with the enamel matrix formation,it can also interfere with theenamel matrix formation,it can also interfere with the mineralization of this matrix ,even it is formed thismineralization of this matrix ,even it is formed this leads to Localized non hereditary enamelleads to Localized non hereditary enamel hypocalcificationhypocalcification  Signs and symptoms same as enamel hypoplasiaSigns and symptoms same as enamel hypoplasia  Affective areas appear chalky and soft to identationAffective areas appear chalky and soft to identation and will be very stainableand will be very stainable  Enamel can be chipped if lesion involves entireEnamel can be chipped if lesion involves entire surface of a toothsurface of a tooth 3131
  • 32.
  • 33.
    Treatment modalitiesTreatment modalities If diagnosis is made early, Mineralization ofIf diagnosis is made early, Mineralization of tooth enamel is done using periodic fluoridetooth enamel is done using periodic fluoride application, fluoride ionophoresis and strictapplication, fluoride ionophoresis and strict prevention of plaque accumulation in theseprevention of plaque accumulation in these areasareas  Vital bleaching ,laminated veneeringVital bleaching ,laminated veneering ,composite veneering and porcelain fused to,composite veneering and porcelain fused to metal and cast ceramic crownsmetal and cast ceramic crowns 3333
  • 34.
    Localized non-hereditary dentinLocalizednon-hereditary dentin hypocalcificationhypocalcification  Same causes as hypoplasiaSame causes as hypoplasia  Dentin will be present in substance ,it will beDentin will be present in substance ,it will be softer, more penetrable and lesssofter, more penetrable and less resilent.eg:interglobular dentinresilent.eg:interglobular dentin  Treatment: intermediary basingTreatment: intermediary basing 3434
  • 35.
    DiscolorationDiscoloration  Classified frometiologic aspect asClassified from etiologic aspect as  Extrinsic : due to surface staining , calculus orExtrinsic : due to surface staining , calculus or any other surface depositsany other surface deposits  Intrinsic : created from changes in one or moreIntrinsic : created from changes in one or more of the tooth tissuesof the tooth tissues  Discoloring changes in enamel includeDiscoloring changes in enamel include hypoplasia and hypocalcificationhypoplasia and hypocalcification 3535
  • 36.
     Discoloring changesin dentin may result fromDiscoloring changes in dentin may result from non – vitality resulting in disintegration of thenon – vitality resulting in disintegration of the dentinal tubules contents or fromdentinal tubules contents or from pigmentation and staining which is due topigmentation and staining which is due to external sources e.g. corrosion products ofexternal sources e.g. corrosion products of metallic restorations,medications,microbialmetallic restorations,medications,microbial metabolites,etcmetabolites,etc  Tetracycline colorationTetracycline coloration  Discoloring changes in the pulp root canalDiscoloring changes in the pulp root canal system can result from pulpal necrosissystem can result from pulpal necrosis 3636
  • 37.
    Treatment modalitiesTreatment modalities By scaling and polishing with abrasivesBy scaling and polishing with abrasives  Intrinsic discoloration in enamel and dentinIntrinsic discoloration in enamel and dentin can be treated by Vital bleaching ,laminatedcan be treated by Vital bleaching ,laminated veneering ,composite veneering and porcelainveneering ,composite veneering and porcelain fused to metal and cast ceramic crowns as infused to metal and cast ceramic crowns as in localized non hereditary enamel hypoplasialocalized non hereditary enamel hypoplasia and hypocalcification.and hypocalcification. 3737
  • 38.
     In intrinsicdiscoloration due to discoloringIn intrinsic discoloration due to discoloring changes in pulp-root canal system firstchanges in pulp-root canal system first endodontic therapy should be instituted andendodontic therapy should be instituted and then proceed with following treatmentthen proceed with following treatment sequencesequence  non-vital bleachingnon-vital bleaching  If no pleasant result are there it may beIf no pleasant result are there it may be necessary to to resort laminated veneer ornecessary to to resort laminated veneer or porcelain fused to metal or cast ceramicporcelain fused to metal or cast ceramic veneering restorationsveneering restorations 3838
  • 39.
    MalformationMalformation  Can beeither in micro- or macroforms andCan be either in micro- or macroforms and usually of hereditary origin.usually of hereditary origin.  One or two teeth (usually upper lateral) thatOne or two teeth (usually upper lateral) that are noticebly smaller in size than surroundingare noticebly smaller in size than surrounding ones ,with pointed incisal edges(peg teeth)-ones ,with pointed incisal edges(peg teeth)- most common malformationmost common malformation 3939
  • 40.
    Treatment modalitiesTreatment modalities If the affected tooth is properly aligned in the archIf the affected tooth is properly aligned in the arch and has intact enamel and is not subjected toand has intact enamel and is not subjected to extensive occluding forces,then conditioning of theextensive occluding forces,then conditioning of the enamel & building the tooth up with a direct tooth-enamel & building the tooth up with a direct tooth- colored resinous material is done.colored resinous material is done.  If the affected tooth is malaligned ,repositioningIf the affected tooth is malaligned ,repositioning should be performed before restorationshould be performed before restoration  If excessive occluding forces are present selectIf excessive occluding forces are present select porcelain fused to metal or cast ceramic veneeringporcelain fused to metal or cast ceramic veneering restorations.restorations. 4040
  • 41.
    Amelogenesis imperfectaAmelogenesis imperfecta Results from genetically determined abnormalities inResults from genetically determined abnormalities in the formative stage of enamel unassociated withthe formative stage of enamel unassociated with evidence of biochemical or systemic diseases.evidence of biochemical or systemic diseases.  Can be autosomal dominantCan be autosomal dominant traits(hypocalcification,hereditary generalized andtraits(hypocalcification,hereditary generalized and localized hypoplasia) or they can be X-linked traitlocalized hypoplasia) or they can be X-linked trait (hypomaturation) or a recessive trait (pigmented(hypomaturation) or a recessive trait (pigmented hypomaturation)hypomaturation)  The abnormality could be in the matrix formationThe abnormality could be in the matrix formation leading to hypoplasia or it could be in theleading to hypoplasia or it could be in the mineralization leading to hypomineralization.mineralization leading to hypomineralization.  Affects one type of dentition,and only enamelAffects one type of dentition,and only enamel 4141
  • 42.
     Classes ofhypoplasia show following featuresClasses of hypoplasia show following features  Thin enamelThin enamel  Open contactOpen contact  Small teeth ,with short roots ,very limited pulpSmall teeth ,with short roots ,very limited pulp chambers and root canal dimensionschambers and root canal dimensions  Delay in eruptionDelay in eruption  Sometimes the enamel is glassy(prismless)Sometimes the enamel is glassy(prismless)  There may be some discoloration ,usuallyThere may be some discoloration ,usually yellowyellow  The enamel could look wrinkledThe enamel could look wrinkled  All signs of severe occlusal wearAll signs of severe occlusal wear 4242
  • 43.
     Class ofhypomineralization imperfectasClass of hypomineralization imperfectas shows:shows:  Enamel is usually stained (yellow or black).itEnamel is usually stained (yellow or black).it may be chalky at early stages of life.may be chalky at early stages of life.  The enamel chips easilyThe enamel chips easily  enamel can be very soft in consistencyenamel can be very soft in consistency (cheesy)(cheesy)  Teeth are normally erupted but have dullTeeth are normally erupted but have dull surfaces readily stainable by agesurfaces readily stainable by age  Enamel is worn away very easily in life withEnamel is worn away very easily in life with all signs and symptoms of severe attrition .all signs and symptoms of severe attrition . 4343
  • 44.
    Treatment modalitiesTreatment modalities Selective odontotomySelective odontotomy  Full veneering includes procedures withFull veneering includes procedures with metallic , metallic based or cast ceramicmetallic , metallic based or cast ceramic restorations.restorations. 4444
  • 45.
    Dentinogenesis imperfectaDentinogenesis imperfecta Genetically dictated classes of diseases affecting theGenetically dictated classes of diseases affecting the formation and/or maturation of the dentin matrix information and/or maturation of the dentin matrix in the absence of any obvious systemic or biochemicalthe absence of any obvious systemic or biochemical changes.changes.  Clinical featuresClinical features  Color may be from grey,brown ,yellow brown toColor may be from grey,brown ,yellow brown to violetviolet  Most of them exhibit a translucent hue.Most of them exhibit a translucent hue.  The enamel ,although intact ,is easily chippedThe enamel ,although intact ,is easily chipped because of defective dentino -enamel junctionbecause of defective dentino -enamel junction 4545
  • 46.
     The crownsare overcontoured.The crowns are overcontoured.  The roots are short and slenderThe roots are short and slender  There are signs and symptoms of extensiveThere are signs and symptoms of extensive attritionattrition  The dentin is devoid of tubulesThe dentin is devoid of tubules  The dentin contains a lot of interglobular dentin.The dentin contains a lot of interglobular dentin.  The decay process ,if initiated ,will spreadThe decay process ,if initiated ,will spread laterally.laterally.  Root canal and pulp chamber space is obliterated.Root canal and pulp chamber space is obliterated.  Dentin hardness and resilience is almost half thatDentin hardness and resilience is almost half that of normal dentinof normal dentin 4646
  • 47.
  • 48.
    Treatment modalitiesTreatment modalities Selective odontotomySelective odontotomy  Permanent full veneeringPermanent full veneering 4848
  • 49.
  • 50.
     Non-carious lesionsrequire clinical attention ifNon-carious lesions require clinical attention if any of the following factors exist :any of the following factors exist :  Tooth sensitivityTooth sensitivity  Compromised estheticCompromised esthetic  Risk of tooth fractureRisk of tooth fracture  Pulpal damagePulpal damage  CariesCaries  Poor periodontal healthPoor periodontal health 5050
  • 51.
    Treatment optionsTreatment options Dentin desensitizationDentin desensitization  RestorationsRestorations  Endodontic therapyEndodontic therapy  Periodontal therapyPeriodontal therapy 5151
  • 52.
    1) Dentin desensitization1)Dentin desensitization  Used in situations where minimal amount ofUsed in situations where minimal amount of dentin is exposed (less than 1mm) & patientdentin is exposed (less than 1mm) & patient experiences hypersesitivity.experiences hypersesitivity.  This managed by any of the method suggestedThis managed by any of the method suggested for dentin desensitization such as :for dentin desensitization such as :  Fluoride varnishes or fluride iontophoresisFluoride varnishes or fluride iontophoresis  Dentin bonding agentsDentin bonding agents  Use of desensitization tooth pastesUse of desensitization tooth pastes 5252
  • 53.
    2) Restortions2) Restortions Indicated in following situationsIndicated in following situations  Considerable loss enamel and dentinConsiderable loss enamel and dentin  Esthetic is compromisedEsthetic is compromised  Deep lesion affecting the strength of the tooth and pulpalDeep lesion affecting the strength of the tooth and pulpal integrityintegrity  Caries beginning in the cervical lesionCaries beginning in the cervical lesion  Significant sensitivity of the exposed dentinSignificant sensitivity of the exposed dentin  Choice of restorative material :Choice of restorative material :  Class v non carious lesion with any of the permanentClass v non carious lesion with any of the permanent restorative material presently available.restorative material presently available.  Of these, Amalgam, direct gold, cast gold inlays and ceramicOf these, Amalgam, direct gold, cast gold inlays and ceramic inlays are no longer preffered as they require some amount ofinlays are no longer preffered as they require some amount of cavity preparation to make the restoration retentive.cavity preparation to make the restoration retentive. 5353
  • 54.
     Currently compositeresins and glass ionomerCurrently composite resins and glass ionomer cements are used.Because they are adhesive and docements are used.Because they are adhesive and do not require extensive cavity preparation.not require extensive cavity preparation. Composite resin restorations :Composite resin restorations : StepsSteps a) Tooth preparation :a) Tooth preparation :  No cavity preparation is necessary for class v nonNo cavity preparation is necessary for class v non carious lesions.Shape of the defect is amendable forcarious lesions.Shape of the defect is amendable for filling .However enamel margin beveled to increasefilling .However enamel margin beveled to increase the surface area for bonding & to produce esthetic .the surface area for bonding & to produce esthetic . b) Pumice prophylaxis :b) Pumice prophylaxis :  Clean the surface of any debris or plaque.Clean the surface of any debris or plaque. 5454
  • 55.
    c)Shade selectionc)Shade selection d)Isolationd) Isolation e)Acid etching & dentin bondinge)Acid etching & dentin bonding f)Composite resin placementf)Composite resin placement g)Finishing & polishingg)Finishing & polishing Compomer Restoration :Compomer Restoration :  New variety introduced in 1990sNew variety introduced in 1990s  Combines the durability of composite & fluorideCombines the durability of composite & fluoride releasing ability of GIC.releasing ability of GIC.  Available as a single component light curableAvailable as a single component light curable material in a syringe.material in a syringe.  Steps is same as that of composite restorationSteps is same as that of composite restoration 5555
  • 56.
     Indicated forclass V cavities.Indicated for class V cavities.  Glass Ionomer Cements :Glass Ionomer Cements :  Chemically cured GIC have an excellent trackChemically cured GIC have an excellent track record for restoring class V noncarios defects.record for restoring class V noncarios defects.  Nowadays resin-modified GIC are referred.Nowadays resin-modified GIC are referred. 3) ENDONTIC THERAPY :3) ENDONTIC THERAPY :  When cervical tooth loss is extensive resltingWhen cervical tooth loss is extensive reslting in pulpal involvement, endodontic therapy isin pulpal involvement, endodontic therapy is necessary followed by post placement & fullnecessary followed by post placement & full coverage in the form of crowncoverage in the form of crown 5656
  • 57.
  • 58.
    Management of AttritionManagementof Attrition  Pulpally involved tooth should be extracted orPulpally involved tooth should be extracted or undergo endontic therapy.undergo endontic therapy.  Para-functional activities, notably bruxism,Para-functional activities, notably bruxism, controlled with proper discluding-protectingcontrolled with proper discluding-protecting occlusal splints.occlusal splints.  Occlusal equilibration – by selective grindingOcclusal equilibration – by selective grinding of tooth surfaces (include rounding andof tooth surfaces (include rounding and smoothening the perepheries of occlusalsmoothening the perepheries of occlusal tables.tables.  Restorative modalities- Metallic restoration inRestorative modalities- Metallic restoration in5858
  • 59.
    Management of AbrasionManagementof Abrasion  Remove the cause.Remove the cause.  Treated with fluoride solution to improve its cariesTreated with fluoride solution to improve its caries resistance.resistance.  Lesion is exceeding 0.5mm into dentin, it should beLesion is exceeding 0.5mm into dentin, it should be restored.restored.  Tooth is sensitive then desensitize the exposed dentinTooth is sensitive then desensitize the exposed dentin before starting restorative treatment. (Desensitizationbefore starting restorative treatment. (Desensitization by 8-30% Na or Stannous fluoride for 4 to 8 min )by 8-30% Na or Stannous fluoride for 4 to 8 min )  Restoration by Direct tooth coloured materials(inRestoration by Direct tooth coloured materials(in anterior) & metallic restoration in posteriors.anterior) & metallic restoration in posteriors. 5959
  • 60.
    Management of ErosionManagementof Erosion  Remove the cause.Remove the cause.  If restoration is the choice of treatment,If restoration is the choice of treatment, metallic restoration is ndicated because it ismetallic restoration is ndicated because it is resistant to erosion.resistant to erosion. 6060
  • 61.
    Management of FracturesManagementof Fractures  RestorationRestoration  Pulp therapyPulp therapy  ProsthesisProsthesis 6161
  • 62.
    Management of EnamelHypoplasiaManagement of Enamel Hypoplasia  Bleach the affected teeth with an agent such as HydrogenBleach the affected teeth with an agent such as Hydrogen peroxideperoxide  This carried out periodically,since the teeth continue toThis carried out periodically,since the teeth continue to stain.stain. BLEACHINGBLEACHING  Lightening of discolourations of teeth through theLightening of discolourations of teeth through the application of chemical agents to oxidize the organicapplication of chemical agents to oxidize the organic pigmentation of teethpigmentation of teeth  Bleaching Agents :Bleaching Agents : Hydrogen peroxideHydrogen peroxide Sodium perborateSodium perborate Carbamide peroxideCarbamide peroxide 6262
  • 63.
    Mechansm of Action:Mechansm of Action :  Low mol. Wt of H2O2 allows it to easilyLow mol. Wt of H2O2 allows it to easily diffuse through enamel & dentin.diffuse through enamel & dentin.  Here it breaks down in to water and releasesHere it breaks down in to water and releases perhydroxyl ions and nascent oxygen.perhydroxyl ions and nascent oxygen.  Due to its great oxidative power it breaks upDue to its great oxidative power it breaks up large macromolecule stains into smaller stains.large macromolecule stains into smaller stains.  These reflect less light and tooth appearThese reflect less light and tooth appear lighter.The free oxygen opens the c-ring oflighter.The free oxygen opens the c-ring of pigment molecules converting them intopigment molecules converting them into colourless hydroxyl compound.colourless hydroxyl compound. 6363
  • 64.
    Non Hereditary EnamelNonHereditary Enamel HypocalcificationHypocalcification  Mineralization of tooth enamel should beMineralization of tooth enamel should be made using fluoride application, fluoridemade using fluoride application, fluoride ionophoresis .ionophoresis .  Vital bleaching,laminated veneering,compositeVital bleaching,laminated veneering,composite veneering, and porcelian fused to metal andveneering, and porcelian fused to metal and cast ceramic crownscast ceramic crowns 6464
  • 65.
    Non heritary dentinhypoplasiaNon heritary dentin hypoplasia and hypocalcificationand hypocalcification  Intermediary basesIntermediary bases  Calcium HydroxideCalcium Hydroxide  Zinc phosphateZinc phosphate  PolycarboxylatePolycarboxylate 6565
  • 66.
    Management of DiscolourationManagementof Discolouration  Extrinsic – Scaling & polishingExtrinsic – Scaling & polishing  Intrinsic – Bleaching,laminated veneering,Intrinsic – Bleaching,laminated veneering, composite veneeringcomposite veneering  Endodontic therapyEndodontic therapy 6666
  • 67.
    Management of MalformationManagementof Malformation  RestorationRestoration  Malaligned teeth is repositionedMalaligned teeth is repositioned orthodontically.orthodontically.  Porcelain fusedto metal or cast ceramicPorcelain fusedto metal or cast ceramic veneering restorationveneering restoration 6767
  • 68.
     Management ofDentinogenesis ImperfectaManagement of Dentinogenesis Imperfecta  Cast metal crown or on posterior teeth andCast metal crown or on posterior teeth and jacket crown on anterior teeth.jacket crown on anterior teeth.  Filling are not usually permanent because ofFilling are not usually permanent because of softness of dentin.softness of dentin. 6868