TRAUMA
DR. HADI MUNIB
ORAL AND MAXILLOFACIAL SURGERY RESIDENT
OUTLINE
• Definition of Trauma
• Causes of Trauma
• Soft Tissue and Dento-Alveolar Trauma
• Initial Management of Trauma Patients
• Mandibular Fractures
• Maxillary Fractures
• Zygomatic Complex, Orbital and Frontal Sinuses and Naso-Orbito-Ethmoidal fractures
• Pan-facial Fractures
DEFINITION
•Physical or Psychological Injury.
CAUSES OF TRAUMA
• Car Accidents
• Fights
• Abuse
• Natural Disasters
• Sports
SOFT TISSUE
INJURIES
ABRASION
• Wound caused by friction.
• Usually Superficial denudes epithelium
• Painful?
• Bleeding?
• Healing depends on Size, Site and Depth of the wound.
CONTUSION
• Bruise
• Sub-mucosal or Subcutaneous Hemorrhage without a break in the
surface
• Blunt Objects
LACERATION
• Tear in the epithelial and sub-epithelial tissues
• Most frequent type
• Sharp Objects
• Debridement not necessary usually
MANAGEMENT
• 1. Cleansing; Saline vs. Iodine; Irrigation
• 2. Debridement; devitalized tissue
• 3. Hemostasis.
• 4. Closure; Suturing vs. Layered Suturing.
• 5. Antibiotics
• 6. Sutures Removal.
• Follow- up.
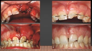
MANAGEMENT OF DENTO-ALVEOLAR
INJURIES
• History:
• Who is the patient?
• When did the injury occur?
• Where did the injury occur?
• How did the injury occur?
• What Treatment has been provided to the patient?
• Did anyone note teeth or pieces of teeth at the site of the accident?
• What is the general health of the patient?
• Did the patient have nausea, vomiting, unconsciousness, amnesia,
headache, visual disturbances, or confusion after the accident?
• Is there any disturbance in the bite?
MANAGEMENT OF DENTO-ALVEOLAR
INJURIES
• Clinical Examination:
• Extra-Oral Soft tissue wounds
• Intra-Oral Soft tissue wounds
• Fractures of the jaw and alveolar process.
• Examination of the tooth crowns for the presence of fractures or pulp exposure.
• Displacement of the teeth
• Mobility of the teeth
• Percussion of the teeth
• Pulp Testing
MANAGEMENT OF DENTO-ALVEOLAR
INJURIES
• Radiographic Examination
1. Presence of root fracture
2. Degree of extrusion or intrusion
3. Presence of preexisting periapical disease
4. Extent of root development
5. Size of the pulp chamber and root canal
6. Presence of jaw fractures
7. Tooth fragments and foreign bodies lodged in soft tissues
MANAGEMENT OF DENTO-ALVEOLAR
INJURIES
CLASSIFICATIO
N
CROWN CRAZE OR CRACK
• Limited to the enamel
• No treatment is usually indicated.
• Periodic follow-up examinations.
• Multiple cracks.
CROWN FRACTURE
• Depth of involved tissue
• Enamel vs. Dentin involvement vs. Pulpal involvement
• Periodic Follow-up
CROWN-ROOT
FRACTURE.
• Location of the fracture and local anatomic variance.
• If the fracture does not descend too far apically, restorable and the pulp has not been
exposed.
• Orthodontic extrusion, Periodontal procedures, endodontic treatment
HORIZONTAL ROOT
FRACTURE
• The position of the fracture in relation to the gingival crevice.
• Restorability.
• Middle to apical one third of the root have a good prognosis
TOOTH
DISPLACEMENT
• Mobility
• Concussion
• Intrusion
• Extrusion
• Avulsion
AVULSION
TREATMENT
• Keep it wet; 20 minutes.
• Milk
• Water; Hypotonic
• Normal Saline
• Mouth Vestibule
• Saliva
• HBSS; the best.
ALVEOLAR
FRACTURES
REFERENCES
• Chapter 24: Soft Tissue and Dento-Alveolar
Fractures
THANK YOU

Dental Trauma

  • 1.
    TRAUMA DR. HADI MUNIB ORALAND MAXILLOFACIAL SURGERY RESIDENT
  • 2.
    OUTLINE • Definition ofTrauma • Causes of Trauma • Soft Tissue and Dento-Alveolar Trauma • Initial Management of Trauma Patients • Mandibular Fractures • Maxillary Fractures • Zygomatic Complex, Orbital and Frontal Sinuses and Naso-Orbito-Ethmoidal fractures • Pan-facial Fractures
  • 3.
  • 4.
    CAUSES OF TRAUMA •Car Accidents • Fights • Abuse • Natural Disasters • Sports
  • 5.
  • 6.
    ABRASION • Wound causedby friction. • Usually Superficial denudes epithelium • Painful? • Bleeding? • Healing depends on Size, Site and Depth of the wound.
  • 8.
    CONTUSION • Bruise • Sub-mucosalor Subcutaneous Hemorrhage without a break in the surface • Blunt Objects
  • 10.
    LACERATION • Tear inthe epithelial and sub-epithelial tissues • Most frequent type • Sharp Objects • Debridement not necessary usually
  • 12.
    MANAGEMENT • 1. Cleansing;Saline vs. Iodine; Irrigation • 2. Debridement; devitalized tissue • 3. Hemostasis. • 4. Closure; Suturing vs. Layered Suturing. • 5. Antibiotics • 6. Sutures Removal. • Follow- up.
  • 14.
    MANAGEMENT OF DENTO-ALVEOLAR INJURIES •History: • Who is the patient? • When did the injury occur? • Where did the injury occur? • How did the injury occur? • What Treatment has been provided to the patient? • Did anyone note teeth or pieces of teeth at the site of the accident? • What is the general health of the patient?
  • 15.
    • Did thepatient have nausea, vomiting, unconsciousness, amnesia, headache, visual disturbances, or confusion after the accident? • Is there any disturbance in the bite? MANAGEMENT OF DENTO-ALVEOLAR INJURIES
  • 16.
    • Clinical Examination: •Extra-Oral Soft tissue wounds • Intra-Oral Soft tissue wounds • Fractures of the jaw and alveolar process. • Examination of the tooth crowns for the presence of fractures or pulp exposure. • Displacement of the teeth • Mobility of the teeth • Percussion of the teeth • Pulp Testing MANAGEMENT OF DENTO-ALVEOLAR INJURIES
  • 17.
    • Radiographic Examination 1.Presence of root fracture 2. Degree of extrusion or intrusion 3. Presence of preexisting periapical disease 4. Extent of root development 5. Size of the pulp chamber and root canal 6. Presence of jaw fractures 7. Tooth fragments and foreign bodies lodged in soft tissues MANAGEMENT OF DENTO-ALVEOLAR INJURIES
  • 20.
  • 21.
    CROWN CRAZE ORCRACK • Limited to the enamel • No treatment is usually indicated. • Periodic follow-up examinations. • Multiple cracks.
  • 22.
    CROWN FRACTURE • Depthof involved tissue • Enamel vs. Dentin involvement vs. Pulpal involvement • Periodic Follow-up
  • 23.
    CROWN-ROOT FRACTURE. • Location ofthe fracture and local anatomic variance. • If the fracture does not descend too far apically, restorable and the pulp has not been exposed. • Orthodontic extrusion, Periodontal procedures, endodontic treatment
  • 24.
    HORIZONTAL ROOT FRACTURE • Theposition of the fracture in relation to the gingival crevice. • Restorability. • Middle to apical one third of the root have a good prognosis
  • 25.
    TOOTH DISPLACEMENT • Mobility • Concussion •Intrusion • Extrusion • Avulsion
  • 27.
    AVULSION TREATMENT • Keep itwet; 20 minutes. • Milk • Water; Hypotonic • Normal Saline • Mouth Vestibule • Saliva • HBSS; the best.
  • 31.
  • 32.
    REFERENCES • Chapter 24:Soft Tissue and Dento-Alveolar Fractures
  • 33.