CT PERFUSION AND ITS
APPLICATION IN NEUROIMAGING.
Dr.Pooja.S
Radiology resident
Stroke is the leading cause of disability and most of the cases are those of
ischemic stroke.
Intravenous tissue plasminogen activator (tPA)
(to be used within 4.5 hours of stroke )and the
MERCI clot retrieval device (to be used within 9
hours of stroke onset) are the only treatments
currently approved by the Food and Drug
Administration (FDA) for acute stroke.
The only imaging modality currently required
before intravenous tPA administration is
unenhanced head computed tomography (CT),
-to exclude intracranial hemorrhage (an
absolute contraindication)
- infarct size greater than one-third of the
middle cerebral artery (MCA) territory (a
relative contraindication, and predictor of
increased hemorrhagic risk following tPA
administration)
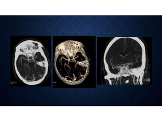
 Computed tomographic perfusion (CTP) imaging is an advanced modality
that provides important information about capillary-level hemodynamics
of the brain parenchyma.
 CT perfusion (CTP) expands the role of CT in the evaluation of acute stroke
by providing physiologic insights into cerebral hemodynamics, and in so
doing complements the strengths of CT angiography (CTA) by determining
the consequences of vessel occlusions and stenoses
Acute ischemic stroke
• Characterization and management typically require an answer to the
following 4 critical questions :
• • Is there hemorrhage that explains the symptoms or excludes lytic
therapies?
• • Is there intravascular thrombus that can be targeted for thrombolysis?
• • Is there a “core” of critically ischemic infarcted tissue, and if so, how
large?
• • Is there a “penumbra” of severely ischemic but potentially viable
tissue?
NORMAL PERFUSION
• Blood Flow or Perfusion
• • Flow rate through vasculature in tissue region (mL per 100 g/min)
• BV or Blood volume
• • Volume of flowing blood within a vasculature in tissue region (mL per 100 g)
• MTT or Mean transit time
• • Average time taken to travel from artery to vein (Seconds)
• PS or Permeability surface
• • Total flux from plasma to interstitial space (mL per 100 g/min)
• Time to peak enhancement
• • the time from the beginning of contrast material injection to the maximum concentration of
contrast
• MTT can be approximated according to the
central volume principle: MTT = CBV / CBF.
• CT perfusion parameters can be analyzed by –
• • Compartmental analysis
• • Deconvolution analysis
• Both the analytical methods require obtaining time attenuation
data from the arterial input for estimation of tissue vascularity
and to correct for inter patient variations in bolus geometry.
Why measure CBV?
• 1. Vasodilation (increased CBV ) may occur distal to narrowed
carotid arteries.
• 2. Decreased CBV/CBF may reflect slowed cerebral circulation.
• 3. CBV necessary to measure residual Oxygen in tissue
• The evaluation of brain perfusion is based on the central
volume principle, according to which CBF = CBV/MTT
• • The two most commonly used CT perfusion imaging
techniques
• 1. dynamic contrast material–enhanced perfusion imaging
• 2.perfused-blood-volume mapping.
DYNAMIC CONTRAST-ENHANCED CT
 Based on the multicompartmental tracer kinetic model and
performed by monitoring the first pass of an iodinated
contrast agent bolus through the cerebral circulation.
 The contrast agent bolus causes a transient increase in
attenuation that is linearly proportional to the amount of
contrast material in a given region.
 This principle is used to generate time-attenuation curves for
an arterial ROI, a venous ROI, and each pixel.
 The perfusion parameters then can be calculated by
employing mathematical modeling techniques such as
deconvolution analysis
 Both the arterial and the venous ROIs are chosen in large
vessels that course in a direction nearly perpendicular to the
plane of CT acquisition (the axial plane).
 Color-coded perfusion maps of cerebral blood volume,
cerebral blood flow, and mean transit time are then generated
at the workstation
TECHNICAL IMPLEMENTATIONS
 The baseline CT study should have 3 components:
- unenhanced CT,
- vertex to-arch CT angiography (CTA),
- dynamic first-pass CTP
• cardiac MDCT detection of possible left atrial appendage thrombus is
[optional]
 Contrast Administration - A contrast bolus of 35–45 mL is administered via
power injector at a rate of 7 mL/s, with a saline “chaser” of 20–40 mL at
the same injection rate. The contrast used should typically be a high
concentration, ideally 350–370 g/dL of iodine.
 The CTP imaging protocol has been performed at 80 kV, rather than the
more conventional 120–140 kV. Theoretically, given a constant
milliampere-second (typically 200 mAs), this kilovolt setting would reduce
the administered radiation dose. • maximum degree of vertical coverage
could potentially be doubled for each bolus by using a “shuttle-mode”
technique.
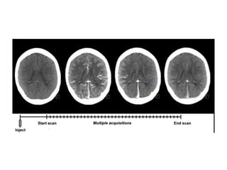
PERFUSION CT PROTOCOL
 A typical perfusion CT protocol consists of a baseline acquisition without
contrast enhancement, followed by a dynamic acquisition performed
sequentially after intravenous injection of CM
 The dynamic image acquisition includes a first-pass study, a delayed study, or
both, depending on the pertinent physiologic parameter that needs to be
analyzed.
 Unenhanced CT Acquisition
 Provides wide coverage to include the organ of interest.
 Serves as a localizer to select the appropriate tissue area to be included in
the contrast-enhanced dynamic imaging range.
• Dynamic CT Acquisition  The imaging volume is chosen on
the basis of the unenhanced CT images.
• The first-pass study for perfusion measurements comprises
images acquired in the initial cine/helical phase for a total of
approximately 40 to 60 seconds.
• For permeability measurements with the compartmental
model, images are acquired every 10 to 20 seconds.
OTHER TECHNICAL CONSIDERATIONS
 Motion during data acquisition can lead to image misregistration and can
cause errors in the estimation of perfusion values.
 breath-holding instructions to the patient, use of abdominal Straps , use of
motility-inhibiting agents, to curtail bowel peristalsis during the perfusion
examination of bowel.
 In addition, luminal distention with water or saline is encouraged for studies
of hollow viscera to enable optimal tumor delineation.
 Metallic stents, prostheses, and surgical implants cause beam-hardening
artifacts and can negatively influence the perfusion measurements.
 Areas with excessive tumor necrosis or those located along organs with
motion (in chest examinations) and areas near metallic prostheses or stents
should be avoided.
 A major concern of perfusion CT is the risk for exposure to ionizing radiation,
especially in patients who require serial perfusion studies.
 In patients with compromised renal function, contrast-induced nephropathy is
a valid concern and should be dealt with cautiously
PERFUSED-BLOOD-VOLUME MAPPING
• Unenhanced CT followed by CT angiography of the brain can be used to assess arterial
patency and tissue perfusion during the infusion of a single bolus of contrast.
• Cerebral blood volume values are obtained by subtracting the unenhanced CT image data
from the CT angiographic source image data.
• Degree of parenchymal enhancement depends on the actual cerebral blood volume and the
quantity of contrast material reaching the tissue during the image acquisition - the
subtracted images are referred to as perfused-blood- volume maps.
• Can depict entire brain parenchyma, however cannot quantitate CBF and MTT.
PITFALL AND CONTROVERSIES
 the accuracy of the flow values obtained has not been fully validated.
 Perfusion CT uses an intravascular tracer to measure CBF, which reflects a
different physiologic mechanism than that of PET and xenon CT.
 Few studies reported systematically low values for CBF as measured with
perfusion CT, compared with xenon CT.
 Larger ROIs may result in greater volume averaging of gray and white
matter - lower quantitative values for CBF, compared with the results
obtained when smaller ROIs are used.
 It is probably more accurate to use an input artery from the normal side.
Extra-cranial arteries can be better choices.
 The reproducibility of perfusion CT has also not been fully validated.
 restricted anatomic coverage
 Increased radiation exposure.
APPLICATION IN NEUROIMAGING
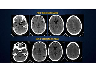
ACUTE STROKE IMAGING PROTOCOL
• When acute stroke patients present within 6 hours of the onset of
symptoms - un-enhanced CT or with conventional/MR imaging.
• Hemorrhage at unenhanced CT or >1/3 MCA territory - not treated
with thrombolytic drugs.
• Ischemia of < 1/3 MCA territory, those who present <3 hours after
the onset of acute stroke - intravenous thrombolytic drugs
• 3–6 hours after the onset of symptoms - CT angiography and CT
perfusion imaging to assess the intracranial and neck vessels and
detect any penumbra.
• Intraarterial therapy is usually considered for patients in whom a
penumbra is seen.
• Patients in whom no penumbra is seen are not usually treated with
thrombolytic drugs
CTP IN STROKE
• • Stroke is a leading cause of mortality and morbidity in the developed world.
• • The goals of an imaging evaluation are
• I. to establish a diagnosis as early as possible
• II. to obtain accurate information about the intracranial vasculature
• III. to identify critically ischemic or irreversibly infarcted tissue (“core”)
and to identify severely ischemic but potentially salvageable tissue
(“penumbra”).
• This information can guide triage and management in acute stroke.
CT perfusion
CT perfusion
CT perfusion
CT perfusion
CT perfusion
CT perfusion
CT perfusion
CT perfusion
CT perfusion
CT perfusion
CT perfusion
CT perfusion
CT perfusion
CT perfusion
CT perfusion
CT perfusion
CT perfusion
CT perfusion
CT perfusion
CT perfusion
CT perfusion
CT perfusion
CT perfusion
CT perfusion
CT perfusion
CT perfusion
CT perfusion
CT perfusion
CT perfusion
CT perfusion
CT perfusion
CT perfusion
CT perfusion
CT perfusion

CT perfusion

  • 1.
    CT PERFUSION ANDITS APPLICATION IN NEUROIMAGING. Dr.Pooja.S Radiology resident
  • 2.
    Stroke is theleading cause of disability and most of the cases are those of ischemic stroke. Intravenous tissue plasminogen activator (tPA) (to be used within 4.5 hours of stroke )and the MERCI clot retrieval device (to be used within 9 hours of stroke onset) are the only treatments currently approved by the Food and Drug Administration (FDA) for acute stroke. The only imaging modality currently required before intravenous tPA administration is unenhanced head computed tomography (CT), -to exclude intracranial hemorrhage (an absolute contraindication) - infarct size greater than one-third of the middle cerebral artery (MCA) territory (a relative contraindication, and predictor of increased hemorrhagic risk following tPA administration)
  • 3.
     Computed tomographicperfusion (CTP) imaging is an advanced modality that provides important information about capillary-level hemodynamics of the brain parenchyma.  CT perfusion (CTP) expands the role of CT in the evaluation of acute stroke by providing physiologic insights into cerebral hemodynamics, and in so doing complements the strengths of CT angiography (CTA) by determining the consequences of vessel occlusions and stenoses
  • 4.
    Acute ischemic stroke •Characterization and management typically require an answer to the following 4 critical questions : • • Is there hemorrhage that explains the symptoms or excludes lytic therapies? • • Is there intravascular thrombus that can be targeted for thrombolysis? • • Is there a “core” of critically ischemic infarcted tissue, and if so, how large? • • Is there a “penumbra” of severely ischemic but potentially viable tissue?
  • 9.
    NORMAL PERFUSION • BloodFlow or Perfusion • • Flow rate through vasculature in tissue region (mL per 100 g/min) • BV or Blood volume • • Volume of flowing blood within a vasculature in tissue region (mL per 100 g) • MTT or Mean transit time • • Average time taken to travel from artery to vein (Seconds) • PS or Permeability surface • • Total flux from plasma to interstitial space (mL per 100 g/min) • Time to peak enhancement • • the time from the beginning of contrast material injection to the maximum concentration of contrast
  • 11.
    • MTT canbe approximated according to the central volume principle: MTT = CBV / CBF.
  • 13.
    • CT perfusionparameters can be analyzed by – • • Compartmental analysis • • Deconvolution analysis • Both the analytical methods require obtaining time attenuation data from the arterial input for estimation of tissue vascularity and to correct for inter patient variations in bolus geometry.
  • 22.
    Why measure CBV? •1. Vasodilation (increased CBV ) may occur distal to narrowed carotid arteries. • 2. Decreased CBV/CBF may reflect slowed cerebral circulation. • 3. CBV necessary to measure residual Oxygen in tissue
  • 24.
    • The evaluationof brain perfusion is based on the central volume principle, according to which CBF = CBV/MTT • • The two most commonly used CT perfusion imaging techniques • 1. dynamic contrast material–enhanced perfusion imaging • 2.perfused-blood-volume mapping.
  • 25.
    DYNAMIC CONTRAST-ENHANCED CT Based on the multicompartmental tracer kinetic model and performed by monitoring the first pass of an iodinated contrast agent bolus through the cerebral circulation.  The contrast agent bolus causes a transient increase in attenuation that is linearly proportional to the amount of contrast material in a given region.  This principle is used to generate time-attenuation curves for an arterial ROI, a venous ROI, and each pixel.  The perfusion parameters then can be calculated by employing mathematical modeling techniques such as deconvolution analysis
  • 26.
     Both thearterial and the venous ROIs are chosen in large vessels that course in a direction nearly perpendicular to the plane of CT acquisition (the axial plane).  Color-coded perfusion maps of cerebral blood volume, cerebral blood flow, and mean transit time are then generated at the workstation
  • 28.
    TECHNICAL IMPLEMENTATIONS  Thebaseline CT study should have 3 components: - unenhanced CT, - vertex to-arch CT angiography (CTA), - dynamic first-pass CTP • cardiac MDCT detection of possible left atrial appendage thrombus is [optional]
  • 29.
     Contrast Administration- A contrast bolus of 35–45 mL is administered via power injector at a rate of 7 mL/s, with a saline “chaser” of 20–40 mL at the same injection rate. The contrast used should typically be a high concentration, ideally 350–370 g/dL of iodine.  The CTP imaging protocol has been performed at 80 kV, rather than the more conventional 120–140 kV. Theoretically, given a constant milliampere-second (typically 200 mAs), this kilovolt setting would reduce the administered radiation dose. • maximum degree of vertical coverage could potentially be doubled for each bolus by using a “shuttle-mode” technique.
  • 32.
    PERFUSION CT PROTOCOL A typical perfusion CT protocol consists of a baseline acquisition without contrast enhancement, followed by a dynamic acquisition performed sequentially after intravenous injection of CM  The dynamic image acquisition includes a first-pass study, a delayed study, or both, depending on the pertinent physiologic parameter that needs to be analyzed.  Unenhanced CT Acquisition  Provides wide coverage to include the organ of interest.  Serves as a localizer to select the appropriate tissue area to be included in the contrast-enhanced dynamic imaging range.
  • 33.
    • Dynamic CTAcquisition  The imaging volume is chosen on the basis of the unenhanced CT images. • The first-pass study for perfusion measurements comprises images acquired in the initial cine/helical phase for a total of approximately 40 to 60 seconds. • For permeability measurements with the compartmental model, images are acquired every 10 to 20 seconds.
  • 38.
    OTHER TECHNICAL CONSIDERATIONS Motion during data acquisition can lead to image misregistration and can cause errors in the estimation of perfusion values.  breath-holding instructions to the patient, use of abdominal Straps , use of motility-inhibiting agents, to curtail bowel peristalsis during the perfusion examination of bowel.  In addition, luminal distention with water or saline is encouraged for studies of hollow viscera to enable optimal tumor delineation.  Metallic stents, prostheses, and surgical implants cause beam-hardening artifacts and can negatively influence the perfusion measurements.  Areas with excessive tumor necrosis or those located along organs with motion (in chest examinations) and areas near metallic prostheses or stents should be avoided.  A major concern of perfusion CT is the risk for exposure to ionizing radiation, especially in patients who require serial perfusion studies.  In patients with compromised renal function, contrast-induced nephropathy is a valid concern and should be dealt with cautiously
  • 39.
    PERFUSED-BLOOD-VOLUME MAPPING • UnenhancedCT followed by CT angiography of the brain can be used to assess arterial patency and tissue perfusion during the infusion of a single bolus of contrast. • Cerebral blood volume values are obtained by subtracting the unenhanced CT image data from the CT angiographic source image data. • Degree of parenchymal enhancement depends on the actual cerebral blood volume and the quantity of contrast material reaching the tissue during the image acquisition - the subtracted images are referred to as perfused-blood- volume maps. • Can depict entire brain parenchyma, however cannot quantitate CBF and MTT.
  • 40.
    PITFALL AND CONTROVERSIES the accuracy of the flow values obtained has not been fully validated.  Perfusion CT uses an intravascular tracer to measure CBF, which reflects a different physiologic mechanism than that of PET and xenon CT.  Few studies reported systematically low values for CBF as measured with perfusion CT, compared with xenon CT.  Larger ROIs may result in greater volume averaging of gray and white matter - lower quantitative values for CBF, compared with the results obtained when smaller ROIs are used.  It is probably more accurate to use an input artery from the normal side. Extra-cranial arteries can be better choices.  The reproducibility of perfusion CT has also not been fully validated.  restricted anatomic coverage  Increased radiation exposure.
  • 41.
  • 43.
    ACUTE STROKE IMAGINGPROTOCOL • When acute stroke patients present within 6 hours of the onset of symptoms - un-enhanced CT or with conventional/MR imaging. • Hemorrhage at unenhanced CT or >1/3 MCA territory - not treated with thrombolytic drugs. • Ischemia of < 1/3 MCA territory, those who present <3 hours after the onset of acute stroke - intravenous thrombolytic drugs • 3–6 hours after the onset of symptoms - CT angiography and CT perfusion imaging to assess the intracranial and neck vessels and detect any penumbra. • Intraarterial therapy is usually considered for patients in whom a penumbra is seen. • Patients in whom no penumbra is seen are not usually treated with thrombolytic drugs
  • 44.
    CTP IN STROKE •• Stroke is a leading cause of mortality and morbidity in the developed world. • • The goals of an imaging evaluation are • I. to establish a diagnosis as early as possible • II. to obtain accurate information about the intracranial vasculature • III. to identify critically ischemic or irreversibly infarcted tissue (“core”) and to identify severely ischemic but potentially salvageable tissue (“penumbra”). • This information can guide triage and management in acute stroke.