COPD (CHRONIC
OBSTRUCTIVE PULMONARY
DISEASE)
Presented by:
Sonam
COPD (CHRONIC OBSTRUCTIVE
PULMONARY DISEASE)
• CHRONIC OBSTRUCTIVE LUNG DISEASE (COLD),
• CHRONIC OBSTRUCTIVE AIRWAY DISEASE (COAD),
• CHRONIC AIRFLOW LIMITATION (CAL), AND
• CHRONIC OBSTRUCTIVE RESPIRATORY DISEASE
(CORD).
INTRODUCTION
• A pair of two commonly co-existing disease of the lungs in
which the airways become narrowed.
• Leads to a limitation of the flow of air to and from the lungs
causing shortness of breath.
• Is a preventable and treatable slowly progressive respiratory
disease of airflow obstruction involving the airways,
pulmonary parenchyma, or both.
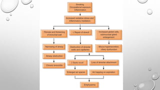
EPIDEMIOLOGY
CAUSES
• .
CHRONIC BRONCHITIS
•Cough with expectoration
for at least 3 months a
year for more than 2
consecutive years and
there is no other cause of
expectoration.
.
TYPES:
•SIMPLE CHRONIC BRONCHITIS
•CHRONIC MUCOPURULENT BRONCHITIS
•CHRONIC BRONCHITIS WITH
OBSTRUCTION/CHRONIC ASTHMATIC
BRONCHITIS
EMPHYSEMA
•Permanent & destructive
enlargement of airspaces
distal to the terminal
bronchioles with out
obvious fibrosis and
with loss of normal
architecture
TYPES:
CLINICAL FEATURES
ASSESSMENT AND DIAGNOSTIC
EVALUATION
HEALTH HISTORY
• Cold or flu or respiratory difficulty
• Pattern of symptom development
• Exertion increase the dyspnea
• Limits of the patients tolerance for exercise
• Smoke or spend time around others who smoke
• Exposed to dust, fumes, vapors, or air pollution
CONTD…
• At what times during the day does the patient complain most of
fatigue and shortness of breath
• Any discomfort or pain in any part of the body
• Exposed to risk factors (types, intensity, duration)
• Past medical history of respiratory diseases
• Family history of chronic obstructive pulmonary disease or other
chronic respiratory diseases
• Eating and sleeping habits
• Impact of respiratory disease on quality of life
CONTD…
• Smoking history
• Occupational exposure
• The triggering events (e.g., Exertion, strong odors, dust,
exposure to animals)
• History of exacerbations or previous hospitalizations for
respiratory problems
• Comorbidities present
• Current medical treatments
• Available social and family support
• Potential for reducing risk factors (e.g., Smoking cessation)
PHYSICALASSESSMENT
• Notice the position the patient assume during the interview
• Vital signs especially respiratory rate and its depth and respiratory
pattern
• Character of respirations? Even and without effort
• Can the patient complete a sentence without having to take a breath
• Contraction of the abdominal muscles during inspiration
• Use of accessory muscles of the shoulders and neck when breathing
• Patient take a long time to exhale (prolonged expiration)
• Central cyanosis evident
CONTD…
• Neck veins engorged
• Peripheral edema
• Coughing
• Color, amount, and consistency of the sputum
• Clubbing of the fingers
• Types of breath sounds (i.e., Clear, diminished or distant, crackles, and
wheezes)
• Sensory deficits
• Short- or long-term memory impairment
• Increasing stupor
• Apprehension
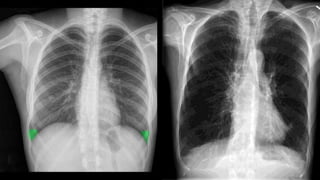
DIAGNOSTIC EVALUATION
• ABG analysis- to assess baseline oxygenation and gas exchange
• Screening of alpha 1 antitrypsin deficiency – done for patients
with age less than 45 years and for those with family history of
COPD
• CT scan- not done routinely, by may help in differential diagnosis
• Spirometry is used to evaluate airflow obstruction, which is
determined by the ratio of FEV1 to FVC
• PFT- to help confirm the diagnosis of COPD, determine disease
severity, and monitor disease progression
.
MEDICAL MANAGEMENT
1) Risk reduction
Contd…
2) Pharmacological therapy
 For grade I – mild COPD – a short acting bronchodilator
 For grade II or III COPD – a short acting bronchodilator
and regular treatment with one or more long acting
bronchodilator
 For grade III or IV COPD (severe or very severe) – regular
treatment with one or more bronchodilators and/or inhaled
corticosteroids for repeated exacerbations.
Contd…
Use of pressurized metered-dose inhaler
(pmdi)
• Drugs include:
o Short acting beta agonist (salbutamol,
albuterol, levabuterol) and
o Long acting beta agonists (salmetrol,
formoterol, indacterol),
o Muscuranic agonists(anticholinergics –
ipratropium bromide) and
o Combination agents (fenoterol and
ipratropium).
o Corticosteroids
Contd…
• Other medications: alpha 1 antitrypsin augmentation therapy,
antibiotic agents, mucolytic agents, antitussive agents, vasodilators.
• Vaccine: such as influenza vaccine can reduce serious morbidity and
death in patients with COPD by approximately 50%.
3) Management of exacerbations: Roflumilast may be used to
reduce the risk of exacerbations. It is a selective phosphodiesterase-4
(PDE4) inhibitor.
4) general principles of oxygen therapy: To increase the baseline
resting partial pressure of arterial oxygen to increase the baseline
resting partial pressure of arterial oxygen
SURGICAL MANAGEMENT
1. BULLECTOMY: TO REMOVE DAMAGED AIR SACS IN THE LUNGS
2. LUNG VOLUME REDUCTION SURGERY
LUNG
TRANSPLANTATION
PULMONARY REHABILITATION
• PATIENT EDUCATION
• BREATHING EXERCISES
• ACTIVITY PACING
• SELF CARE ACTIVITIES
Contd…
• PHYSICAL CONDITIONING
• OXYGEN THERAPY
• NUTRITIONAL THERAPY
• COPING MEASURES
• PALLIATIVE CARE
NURSING MANAGEMENT
•Ineffective airway clearance related to excessive
secretion and ineffective coughing
•Impaired breathing pattern related to decreased
ventilation and mucous plugs
•Activity intolerance related to inadequate oxygenation
and dyspnea
•Risk of potential complication related to chronic
pulmonary obstructive disease
COMPLICATIONS
o Respiratory insufficiency
o Respiratory failure
o Pneumonia
o Chronic atelectasis
o Respiratory infections
o Pneumothorax
o Pulmonary artery hypertension.
GENERALADVISE
 Take the medications regularly as prescribed, if having any
doubt reach to the nearby hospital.
 Exercise regularly every day or else at least 4 out of 7 days.
 Remember to take vaccination regularly
 Stay away from infections by maintaining good hygiene
 Quit smoking
 Eat a regular balanced diet
 Drink plenty of plain fresh water at least 1.5l/day
 Drink caffeinated drinks and alcohol in moderation
 Get plenty of sleep
CONCLUSION
• Chronic obstructive pulmonary disease is a preventable and
treatable progressive lung disease. People with COPD works
harder to breathe, which can lead to shortness of breath, and/or
feeling tired. Early in the disease, people with COPD may feel
short of breath when they exercise.
• A person with COPD may have obstructive bronchitis,
emphysema, or a combination of both conditions. The amount of
each of these conditions differs from person to person. With
proper use of MDI, pulmonary rehabilitation and following
medical management the disease progression can be reduced and
surgical management is the last resort for these patients.
REFERENCES
 Brunner and suddharths. Textbook of medical and surgical nursing. 13th edition vol. I. .New
delhi: reed elsevier india pvt. Ltd.; 2014. Pg. No. 360- 395
 Lewis. Medical surgical nursing. Assessment and management of clinical problems. 2015. New
delhi. Elsevier vol. I. Pg. No. 461-493
 Joyce M. Black and jane hokanson; medical surgical nursing; volume 2, 8th edition, reed elsevier,
india pvt.
 Https://www.Thoracic.Org/.../patient-resources/resources/copd-intro.Pdf
 Https://www.Who.Int/medicines/areas/priority_medicines/BP6_13COPD
• Research hyperlinks:
 Altman, pablo et al. “Comparison of peak inspiratory flow rate via the breezhaler®, ellipta® and
handihaler® dry powder inhalers in patients with moderate to very severe COPD: a randomized
cross-over trial.” BMC pulmonary medicine vol. 18,1 100. 14 jun. 2018, doi:10.1186/s12890-
018-0662-0
 Ali, lilas et al. “Need of support in people with chronic obstructive pulmonary disease.” Journal
of clinical nursing vol. 27,5-6 (2018): e1089-e1096. Doi:10.1111/jocn.14170
THANK
YOU
COPD(chronic obstructive pulmonary disease) ppt slideshare

COPD(chronic obstructive pulmonary disease) ppt slideshare

  • 1.
  • 2.
    COPD (CHRONIC OBSTRUCTIVE PULMONARYDISEASE) • CHRONIC OBSTRUCTIVE LUNG DISEASE (COLD), • CHRONIC OBSTRUCTIVE AIRWAY DISEASE (COAD), • CHRONIC AIRFLOW LIMITATION (CAL), AND • CHRONIC OBSTRUCTIVE RESPIRATORY DISEASE (CORD).
  • 3.
    INTRODUCTION • A pairof two commonly co-existing disease of the lungs in which the airways become narrowed. • Leads to a limitation of the flow of air to and from the lungs causing shortness of breath. • Is a preventable and treatable slowly progressive respiratory disease of airflow obstruction involving the airways, pulmonary parenchyma, or both.
  • 4.
  • 7.
  • 10.
    CHRONIC BRONCHITIS •Cough withexpectoration for at least 3 months a year for more than 2 consecutive years and there is no other cause of expectoration.
  • 11.
    . TYPES: •SIMPLE CHRONIC BRONCHITIS •CHRONICMUCOPURULENT BRONCHITIS •CHRONIC BRONCHITIS WITH OBSTRUCTION/CHRONIC ASTHMATIC BRONCHITIS
  • 12.
    EMPHYSEMA •Permanent & destructive enlargementof airspaces distal to the terminal bronchioles with out obvious fibrosis and with loss of normal architecture
  • 13.
  • 17.
  • 22.
    ASSESSMENT AND DIAGNOSTIC EVALUATION HEALTHHISTORY • Cold or flu or respiratory difficulty • Pattern of symptom development • Exertion increase the dyspnea • Limits of the patients tolerance for exercise • Smoke or spend time around others who smoke • Exposed to dust, fumes, vapors, or air pollution
  • 23.
    CONTD… • At whattimes during the day does the patient complain most of fatigue and shortness of breath • Any discomfort or pain in any part of the body • Exposed to risk factors (types, intensity, duration) • Past medical history of respiratory diseases • Family history of chronic obstructive pulmonary disease or other chronic respiratory diseases • Eating and sleeping habits • Impact of respiratory disease on quality of life
  • 24.
    CONTD… • Smoking history •Occupational exposure • The triggering events (e.g., Exertion, strong odors, dust, exposure to animals) • History of exacerbations or previous hospitalizations for respiratory problems • Comorbidities present • Current medical treatments • Available social and family support • Potential for reducing risk factors (e.g., Smoking cessation)
  • 26.
    PHYSICALASSESSMENT • Notice theposition the patient assume during the interview • Vital signs especially respiratory rate and its depth and respiratory pattern • Character of respirations? Even and without effort • Can the patient complete a sentence without having to take a breath • Contraction of the abdominal muscles during inspiration • Use of accessory muscles of the shoulders and neck when breathing • Patient take a long time to exhale (prolonged expiration) • Central cyanosis evident
  • 27.
    CONTD… • Neck veinsengorged • Peripheral edema • Coughing • Color, amount, and consistency of the sputum • Clubbing of the fingers • Types of breath sounds (i.e., Clear, diminished or distant, crackles, and wheezes) • Sensory deficits • Short- or long-term memory impairment • Increasing stupor • Apprehension
  • 28.
    DIAGNOSTIC EVALUATION • ABGanalysis- to assess baseline oxygenation and gas exchange • Screening of alpha 1 antitrypsin deficiency – done for patients with age less than 45 years and for those with family history of COPD • CT scan- not done routinely, by may help in differential diagnosis • Spirometry is used to evaluate airflow obstruction, which is determined by the ratio of FEV1 to FVC • PFT- to help confirm the diagnosis of COPD, determine disease severity, and monitor disease progression
  • 31.
  • 33.
  • 34.
    Contd… 2) Pharmacological therapy For grade I – mild COPD – a short acting bronchodilator  For grade II or III COPD – a short acting bronchodilator and regular treatment with one or more long acting bronchodilator  For grade III or IV COPD (severe or very severe) – regular treatment with one or more bronchodilators and/or inhaled corticosteroids for repeated exacerbations.
  • 35.
    Contd… Use of pressurizedmetered-dose inhaler (pmdi) • Drugs include: o Short acting beta agonist (salbutamol, albuterol, levabuterol) and o Long acting beta agonists (salmetrol, formoterol, indacterol), o Muscuranic agonists(anticholinergics – ipratropium bromide) and o Combination agents (fenoterol and ipratropium). o Corticosteroids
  • 37.
    Contd… • Other medications:alpha 1 antitrypsin augmentation therapy, antibiotic agents, mucolytic agents, antitussive agents, vasodilators. • Vaccine: such as influenza vaccine can reduce serious morbidity and death in patients with COPD by approximately 50%. 3) Management of exacerbations: Roflumilast may be used to reduce the risk of exacerbations. It is a selective phosphodiesterase-4 (PDE4) inhibitor. 4) general principles of oxygen therapy: To increase the baseline resting partial pressure of arterial oxygen to increase the baseline resting partial pressure of arterial oxygen
  • 38.
    SURGICAL MANAGEMENT 1. BULLECTOMY:TO REMOVE DAMAGED AIR SACS IN THE LUNGS 2. LUNG VOLUME REDUCTION SURGERY
  • 39.
  • 40.
    PULMONARY REHABILITATION • PATIENTEDUCATION • BREATHING EXERCISES • ACTIVITY PACING • SELF CARE ACTIVITIES
  • 41.
    Contd… • PHYSICAL CONDITIONING •OXYGEN THERAPY • NUTRITIONAL THERAPY • COPING MEASURES • PALLIATIVE CARE
  • 42.
    NURSING MANAGEMENT •Ineffective airwayclearance related to excessive secretion and ineffective coughing •Impaired breathing pattern related to decreased ventilation and mucous plugs •Activity intolerance related to inadequate oxygenation and dyspnea •Risk of potential complication related to chronic pulmonary obstructive disease
  • 43.
    COMPLICATIONS o Respiratory insufficiency oRespiratory failure o Pneumonia o Chronic atelectasis o Respiratory infections o Pneumothorax o Pulmonary artery hypertension.
  • 44.
    GENERALADVISE  Take themedications regularly as prescribed, if having any doubt reach to the nearby hospital.  Exercise regularly every day or else at least 4 out of 7 days.  Remember to take vaccination regularly  Stay away from infections by maintaining good hygiene  Quit smoking  Eat a regular balanced diet  Drink plenty of plain fresh water at least 1.5l/day  Drink caffeinated drinks and alcohol in moderation  Get plenty of sleep
  • 45.
    CONCLUSION • Chronic obstructivepulmonary disease is a preventable and treatable progressive lung disease. People with COPD works harder to breathe, which can lead to shortness of breath, and/or feeling tired. Early in the disease, people with COPD may feel short of breath when they exercise. • A person with COPD may have obstructive bronchitis, emphysema, or a combination of both conditions. The amount of each of these conditions differs from person to person. With proper use of MDI, pulmonary rehabilitation and following medical management the disease progression can be reduced and surgical management is the last resort for these patients.
  • 46.
    REFERENCES  Brunner andsuddharths. Textbook of medical and surgical nursing. 13th edition vol. I. .New delhi: reed elsevier india pvt. Ltd.; 2014. Pg. No. 360- 395  Lewis. Medical surgical nursing. Assessment and management of clinical problems. 2015. New delhi. Elsevier vol. I. Pg. No. 461-493  Joyce M. Black and jane hokanson; medical surgical nursing; volume 2, 8th edition, reed elsevier, india pvt.  Https://www.Thoracic.Org/.../patient-resources/resources/copd-intro.Pdf  Https://www.Who.Int/medicines/areas/priority_medicines/BP6_13COPD • Research hyperlinks:  Altman, pablo et al. “Comparison of peak inspiratory flow rate via the breezhaler®, ellipta® and handihaler® dry powder inhalers in patients with moderate to very severe COPD: a randomized cross-over trial.” BMC pulmonary medicine vol. 18,1 100. 14 jun. 2018, doi:10.1186/s12890- 018-0662-0  Ali, lilas et al. “Need of support in people with chronic obstructive pulmonary disease.” Journal of clinical nursing vol. 27,5-6 (2018): e1089-e1096. Doi:10.1111/jocn.14170
  • 47.