Jongsiriyunyong K. EP rj
 Progressive        and Non fully reversible airflow
    limitation
   COPD is a disorder in which subsets have dominant
    features of

       chronic bronchitis
         chronic productive cough for 3 months during each of
          2 consecutive years
       emphysema, or asthma
         permanent enlargement of the air spaces distal to the
          terminal bronchioles, without obvious fibrosis
   The Global Initiative for Chronic Obstructive
    Lung Disease (GOLD) guidelines define COPD as a
    disease state characterized by
       Airflow limitation that is not fully reversible, is usually
        progressive, and
       Associated with an abnormal inflammatory response of
        the lungs to inhaled noxious particles or gases
1          1           2
                       5                4
         3
                       8
              6                 7

                       9                      10




Venn diagram of chronic obstructive pulmonary disease (COPD).
Histopathology of chronic bronchitis showing hyperplasia of mucous glands
and infiltration of the airway wall with inflammatory cells
Gross pathology of advanced emphysema. Large bullae are present on the
surface of the lung.
At high magnification, loss of alveolar walls and dilatation of airspaces in
emphysema can be seen.
This phenomenon is called
                      dynamic hyperinflation




Pathophysiological
   Cigarette smoking- 90%
   Environmental factors
     Biomass fuels with indoor cooking and heating
     Traffic-related air pollution

   Airway hyperresponsiveness
   Alpha1-antitrypsin deficiency
     Panacinar emphysema
     Premature emphysema at an average age of 53 years for
      nonsmokers and 40 years for smokers

   Intravenous drug use
       Pulmonary vascular damage
           Insoluble filler (eg, cornstarch, cotton fibers, cellulose, talc)
            contained in methadone or methylphenidate
           Cocaine or heroin
   Immunodeficiency syndromes
       Independent risk

   Vasculitis syndrome
       Hypocomplementemic vasculitis urticaria syndrome (HVUS)

   Connective tissue disorders
     Cutis laxa is a disorder of elastin , various forms of inheritance
     Marfan syndrome is an autosomal dominant inherited disease
      of type I collagen
     Ehlers-Danlos syndrome

   Salla disease
       Autosomal recessive storage disorder , sialic acid
   For assess an individual’s risk of death or
    hospitalization

   History

   Multifactorial with
       Individual lifestyle
       Socioeconomic factors
       Education / Knowledge
4-year survival

     0-2 points = 80%
     3-4 points = 67%
     5-6 points = 57%
     7-10 points = 18%
   Typically combination of signs and symptoms of
    chronic bronchitis, emphysema, and reactive
    airway disease.
   Cough                            Systemic manifestations
   worsening dyspnea                    decreased fat-free mass
   progressive exercise                 impaired systemic muscle
    intolerance                           function
                                         Osteoporosis
   sputum production
                                         Anemia
   alteration in mental status
                                         Depression
   Productive cough or acute            pulmonary hypertension
    chest illness
                                         cor pulmonale
   Breathlessness                       left-sided heart failure
   Wheezing
   Hx of more than 40 pack-yrs of smoking was the
    best single predictor of airflow obstruction

   If all 3 signs are absent, airflow obstruction can
    be nearly ruled out
       Self-reported smoking Hx of > 55 pack-yrs
       Wheezing on auscultation
       Self-reported wheezing
   Hyperinflation (barrel chest)

   Wheezing – Frequently heard on forced and
    unforced expiration

   Diffusely decreased breath sounds

   Hyperresonance on percussion

   Prolonged expiration phase
   obese                             thin with a barrel chest
   Frequent cough and                little or no cough
    expectoration                     Breathing may be assisted
   Use of accessory muscles           by pursed lips
    of respiration is common          patients may adopt the
   Coarse rhonchi and                 tripod sitting position
    wheezing may be heard on          hyperresonant, and
    auscultation                       wheezing may be heard
   signs of right heart failure      Distant Heart sounds
       Cor pulmonale
           edema and cyanosis


            Chronic bronchitis               Emphysema
 Alpha1-Antitrypsin     def

 Bronchitis

 Emphysema

 Nicotine   Addiction

 Pulmonary    Embolism
   Pulmonary Function Tests
       For diagnosis
       Assessment of severity
       Following its progress

   ABG
       Hypoxemia / hypercapnia
       Acidosis

   Serum Chemistries
       Retain sodium /Lower potassium levels /bicarbonate
           Chronic respiratory acidosis leads to compensatory
            metabolic alkalosis
   CBC
       Secondary polycythemia
           Hct>52% in men or 47% in women

   Alpha1-Antitrypsin
       all patients < 40 yrs or Fm Hx of emphysema at early age

   Sputum Evaluation
       Streptococcus pneumoniae
       Haemophilus influenzae
       Moraxella catarrhalis
       Pseudomonas aeruginosa

   Chest Radiography +/- CT scan
COPD: Hyperinflation, depressed diaphragm, increased retrosternal space,
and hypovascularity of lung parenchyma are demonstrated.
Emphysema : increased AP diameter, increased retrosternal airspace, and
flattened diaphragm on lateral chest radiograph.
A lung with emphysema shows increased anteroposterior (AP) diameter,
increased retrosternal airspace, and flattened diaphragm on posteroanterior
chest radiograph
A computed tomography (CT) scan shows hyperlucency due to diffuse
hypovascularity and bullae formation, predominantly in the upper lobes.
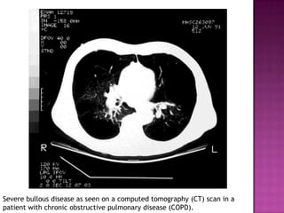
Severe bullous disease as seen on a computed tomography (CT) scan in a
patient with chronic obstructive pulmonary disease (COPD).
 Acute    exacerbation

 Stable   COPD
    Rx base on severity of disease
Acute exacerbation
 Severity         evaluate
    Mild to moderate
     
        Hemodynamic stable
                                       bronchodilator
        Pred 30-40 mg/dy for 7dy
    Moderate to severe
        Risk for respiratory failure
            AOC
            Accessory muscle used: paradoxical chest/abd motion
            SpO2 < 90% or PaO2 < 60 mmHg
            PaCO2 > 45 mmHg or pH < 7.35
 Indication     for admit
    Severe exarcerbation
    Severe stage of COPD
    New onset of : cyanosis, peripheral edema
    Unimprove after appropriated Tx
    Multi-Comorbit : CAD, DM, HT
    New onset Arrhythmia
    Undefinite Diagnosis
    Old age or Homeless
treatment
Acute exacerbation : 1-3 wk onset
   Bronchodilator
       Beta2-agonist
       Anticholinergic
       Methylxantine

   Corticosteroid
       Systemic corticosteroids

   Oxygen
       All pt with SpO2 < 90% keep SpO2 90-94%

   Antibiotic
       Cover Streptococcus pneumoniae, Hemophilus influenza, Morexella
        catarrhalis, Klebsiella pneumoniae ; Pseudomonas aeruginosa

   Machanical ventilation
       Non-invasive positive pressure ventilation: NIPPV
       Invasive mechanical ventilation
Acute exacerbation : 1-3 wk onset

   Short acting Beta2-agonist is first line but
    recommended combine of SABA and
    Anticholinergic for limited S/E (palpitation,
    tachycardia, tremor)
       Fenoterol/Ipratropium bromide
       Every 15-20 min in 1st hour then 4-6 hr interval
       Addition SABA every 1-2 hr
Medication       type      Onset (min)     duration   Route            drug
                                             (hour)
 Beta2agonist     Short         3-5           4-6      Inhale   Salbutamol(ventolin®)
                                                        Oral         Terbutaline
                                                         IV           Fenoterol
                                              8-12     Inhale        Procaterol
                                                        Oral
                  Long         30-45          > 12     Inhale        Salmeterol
                                                                     Formoterol
Anticholinergic   Short        10-15          6-8      Inhale    Ipratopium bromide

                  Long           5            >24      Inhale   Tiotropium (Spiriva®)

Methylxanthine    Uncertained in sustained release     Oral        Theophylline
                                                        IV         Aminophylline
Acute exacerbation : 1-3 wk onset

 Systemic         corticosteroid
     Limited systemic inflammation and airway
      inflammation
         Decrease sputum eosinophil
         Decrease serum CRP
         Improve FEV1 and PaO2
         Minimize treatment failure / Length of stay in Hospital/
          Exacerbation
         No improve of mortality

     Prednisoline   30-40 mg/dy for 7-14 dy or
     Dexamethasone 5- 10 mg q 6 hr or
     Hydrocortisone 100-200 mg q 6 hr
Acute exacerbation : 1-3 wk onset

   Oxygen
       All pt with SpO2 < 90% keep SpO2 90-94%

   Limited S/E of Oxygen supplement
          hypoxic drive           hypoventilation
           ventilation / perfusion mismatch       deadspace
       Haldane effect
           rightward displacement of the CO2-hemoglobin dissociation curve in
            the presence of increased oxygen saturation, increasing the amount
            of CO2 dissolved in blood
Acute exacerbation : 1-3 wk onset

   Machanical ventilation
       Indication of NIPPV
                            accessory muscle with abd paradox
           Acidosis pH 7.25-7.35 and/or PaCO2 > 45 mmHg
           RR > 24 / min

       C/I of NIPPV
           Uncooperation
        

        

           Cardiovascular instability
           Life-threatening hypoxemia
           Severe acidosis : pH < 7.25
Acute exacerbation : 1-3 wk onset

 Machanical  ventilation
   Indication of Invasive mechanical
    ventilation
       Respiratory failure
           Severe acidosis : pH < 7.25
           RR > 35/min
           Accessory muscle used
       with
         C/I for NIPPV
         Fail NIPPV
treatment
Stable COPD : base on severity
   Bronchodilator
       Beta2-agonist
       Anticholinergic
       Methylxantine
   Corticosteroid
       inhaled corticosteroids
   Vaccination
     Annual influenza vaccine
     Pneumococcal vaccination

   Pulmonary rehabilitation
       Improve quality of life
   Oxygen therapy
     Short term
     Long term

   sugery
Stable COPD : at ALL stage

 Avoidance   of risk factor(s)
 Influenza   vaccination
 Pneumococcal     vaccination
Stable COPD : Mild COPD

   Short-acting bronchodilator when needed
Stable COPD : Moderate COPD

   Short-acting bronchodilator when needed

   Regular treatment with one or more long-acting
    bronchodilators

   Rehabilitation
Stable COPD : Severe COPD

   Short-acting bronchodilator when needed

   Regular treatment with one or more long-acting
    bronchodilators

   Rehabilitation

   Inhaled glucocorticoids if significant symptoms,
    lung function response, or if repeated
    exacerbations
Combination            Dose(ug/dy)      Trade name
Fluticasone/Salmeterol    500/100-1000/100   Seretide®
Budesonide / Formeterol     320/9-640/18     Symbicort®
Medication       type      Onset (min)     duration   Route            drug
                                             (hour)
 Beta2agonist     Short         3-5           4-6      Inhale   Salbutamol(ventolin®)
                                                        Oral         Terbutaline
                                                         IV           Fenoterol
                                              8-12     Inhale        Procaterol
                                                        Oral
                  Long         30-45          > 12     Inhale        Salmeterol
                                                                     Formoterol
Anticholinergic   Short        10-15          6-8      Inhale    Ipratopium bromide

                  Long           5            >24      Inhale   Tiotropium (Spiriva®)

Methylxanthine    Uncertained in sustained release     Oral        Theophylline
                                                        IV         Aminophylline
Stable COPD : Very severe COPD
   Short-acting bronchodilator when needed
   Regular treatment with one or more long-acting
    bronchodilators
   Inhaled glucocorticoids if significant symptoms, lung
    function response, or if repeated exacerbations
   Treatment of complications : CHF, infection, nutrition
   Rehabilitation
   Long-term oxygen therapy if chronic respiratory
    failure
   Consider surgical treatment
       3
       Short-term therapy
       Long-term continuous therapy
       During exercise
                     PaO2                   60 mmHg
                       SaO2            90%
                         O2
 Indication   for STOT
     Recent Exacerbation with new hypoxemia

 Re-evaluate     at wk 4
     Continue STOT if still hypoxemia

 Re-evaluate     at Mo 3
     Treat as LTOT
 Continue       Oxygen supplement > 15 hr/dy
        mortality
         exercise tolerance
     Quality of life: psychotherypy
     Prevent pulmonary HT
 Ind     for LTOT
     PaO2 < 55 mmHg or SaO2 < 88%
     PaO2 < 56-59 mmHg or SaO2 < 89% with sign of
      chronic hypoxemia
         Pul HT
         Peripheral edema      CHF
         Polycythemia (Hct > 55%)
     Failed STOT
Oxygen therapy via nasal cannula   Home supplemental oxygen
Bilevel positive airway pressure (BiPAP)
 Hemodynamic    stable

 Bronchodilator   supply less than every 4 hr

 SpO2   >90% w/o O2 supplement at least 24 hr
COPD review

COPD review

  • 1.
  • 2.
     Progressive and Non fully reversible airflow limitation  COPD is a disorder in which subsets have dominant features of  chronic bronchitis  chronic productive cough for 3 months during each of 2 consecutive years  emphysema, or asthma  permanent enlargement of the air spaces distal to the terminal bronchioles, without obvious fibrosis
  • 4.
    The Global Initiative for Chronic Obstructive Lung Disease (GOLD) guidelines define COPD as a disease state characterized by  Airflow limitation that is not fully reversible, is usually progressive, and  Associated with an abnormal inflammatory response of the lungs to inhaled noxious particles or gases
  • 5.
    1 1 2 5 4 3 8 6 7 9 10 Venn diagram of chronic obstructive pulmonary disease (COPD).
  • 6.
    Histopathology of chronicbronchitis showing hyperplasia of mucous glands and infiltration of the airway wall with inflammatory cells
  • 7.
    Gross pathology ofadvanced emphysema. Large bullae are present on the surface of the lung.
  • 8.
    At high magnification,loss of alveolar walls and dilatation of airspaces in emphysema can be seen.
  • 9.
    This phenomenon iscalled dynamic hyperinflation Pathophysiological
  • 10.
    Cigarette smoking- 90%  Environmental factors  Biomass fuels with indoor cooking and heating  Traffic-related air pollution  Airway hyperresponsiveness  Alpha1-antitrypsin deficiency  Panacinar emphysema  Premature emphysema at an average age of 53 years for nonsmokers and 40 years for smokers  Intravenous drug use  Pulmonary vascular damage  Insoluble filler (eg, cornstarch, cotton fibers, cellulose, talc) contained in methadone or methylphenidate  Cocaine or heroin
  • 11.
    Immunodeficiency syndromes  Independent risk  Vasculitis syndrome  Hypocomplementemic vasculitis urticaria syndrome (HVUS)  Connective tissue disorders  Cutis laxa is a disorder of elastin , various forms of inheritance  Marfan syndrome is an autosomal dominant inherited disease of type I collagen  Ehlers-Danlos syndrome  Salla disease  Autosomal recessive storage disorder , sialic acid
  • 12.
    For assess an individual’s risk of death or hospitalization  History  Multifactorial with  Individual lifestyle  Socioeconomic factors  Education / Knowledge
  • 13.
    4-year survival  0-2 points = 80%  3-4 points = 67%  5-6 points = 57%  7-10 points = 18%
  • 16.
    Typically combination of signs and symptoms of chronic bronchitis, emphysema, and reactive airway disease.  Cough  Systemic manifestations  worsening dyspnea  decreased fat-free mass  progressive exercise  impaired systemic muscle intolerance function  Osteoporosis  sputum production  Anemia  alteration in mental status  Depression  Productive cough or acute  pulmonary hypertension chest illness  cor pulmonale  Breathlessness  left-sided heart failure  Wheezing
  • 17.
    Hx of more than 40 pack-yrs of smoking was the best single predictor of airflow obstruction  If all 3 signs are absent, airflow obstruction can be nearly ruled out  Self-reported smoking Hx of > 55 pack-yrs  Wheezing on auscultation  Self-reported wheezing
  • 18.
    Hyperinflation (barrel chest)  Wheezing – Frequently heard on forced and unforced expiration  Diffusely decreased breath sounds  Hyperresonance on percussion  Prolonged expiration phase
  • 19.
    obese  thin with a barrel chest  Frequent cough and  little or no cough expectoration  Breathing may be assisted  Use of accessory muscles by pursed lips of respiration is common  patients may adopt the  Coarse rhonchi and tripod sitting position wheezing may be heard on  hyperresonant, and auscultation wheezing may be heard  signs of right heart failure  Distant Heart sounds  Cor pulmonale  edema and cyanosis Chronic bronchitis Emphysema
  • 20.
     Alpha1-Antitrypsin def  Bronchitis  Emphysema  Nicotine Addiction  Pulmonary Embolism
  • 21.
    Pulmonary Function Tests  For diagnosis  Assessment of severity  Following its progress  ABG  Hypoxemia / hypercapnia  Acidosis  Serum Chemistries  Retain sodium /Lower potassium levels /bicarbonate  Chronic respiratory acidosis leads to compensatory metabolic alkalosis
  • 22.
    CBC  Secondary polycythemia  Hct>52% in men or 47% in women  Alpha1-Antitrypsin  all patients < 40 yrs or Fm Hx of emphysema at early age  Sputum Evaluation  Streptococcus pneumoniae  Haemophilus influenzae  Moraxella catarrhalis  Pseudomonas aeruginosa  Chest Radiography +/- CT scan
  • 23.
    COPD: Hyperinflation, depresseddiaphragm, increased retrosternal space, and hypovascularity of lung parenchyma are demonstrated.
  • 24.
    Emphysema : increasedAP diameter, increased retrosternal airspace, and flattened diaphragm on lateral chest radiograph.
  • 25.
    A lung withemphysema shows increased anteroposterior (AP) diameter, increased retrosternal airspace, and flattened diaphragm on posteroanterior chest radiograph
  • 26.
    A computed tomography(CT) scan shows hyperlucency due to diffuse hypovascularity and bullae formation, predominantly in the upper lobes.
  • 27.
    Severe bullous diseaseas seen on a computed tomography (CT) scan in a patient with chronic obstructive pulmonary disease (COPD).
  • 28.
     Acute exacerbation  Stable COPD  Rx base on severity of disease
  • 29.
    Acute exacerbation  Severity evaluate  Mild to moderate   Hemodynamic stable  bronchodilator  Pred 30-40 mg/dy for 7dy  Moderate to severe  Risk for respiratory failure  AOC  Accessory muscle used: paradoxical chest/abd motion  SpO2 < 90% or PaO2 < 60 mmHg  PaCO2 > 45 mmHg or pH < 7.35
  • 30.
     Indication for admit  Severe exarcerbation  Severe stage of COPD  New onset of : cyanosis, peripheral edema  Unimprove after appropriated Tx  Multi-Comorbit : CAD, DM, HT  New onset Arrhythmia  Undefinite Diagnosis  Old age or Homeless
  • 31.
  • 32.
    Acute exacerbation :1-3 wk onset  Bronchodilator  Beta2-agonist  Anticholinergic  Methylxantine  Corticosteroid  Systemic corticosteroids  Oxygen  All pt with SpO2 < 90% keep SpO2 90-94%  Antibiotic  Cover Streptococcus pneumoniae, Hemophilus influenza, Morexella catarrhalis, Klebsiella pneumoniae ; Pseudomonas aeruginosa  Machanical ventilation  Non-invasive positive pressure ventilation: NIPPV  Invasive mechanical ventilation
  • 33.
    Acute exacerbation :1-3 wk onset  Short acting Beta2-agonist is first line but recommended combine of SABA and Anticholinergic for limited S/E (palpitation, tachycardia, tremor)  Fenoterol/Ipratropium bromide  Every 15-20 min in 1st hour then 4-6 hr interval  Addition SABA every 1-2 hr
  • 34.
    Medication type Onset (min) duration Route drug (hour) Beta2agonist Short 3-5 4-6 Inhale Salbutamol(ventolin®) Oral Terbutaline IV Fenoterol 8-12 Inhale Procaterol Oral Long 30-45 > 12 Inhale Salmeterol Formoterol Anticholinergic Short 10-15 6-8 Inhale Ipratopium bromide Long 5 >24 Inhale Tiotropium (Spiriva®) Methylxanthine Uncertained in sustained release Oral Theophylline IV Aminophylline
  • 35.
    Acute exacerbation :1-3 wk onset  Systemic corticosteroid  Limited systemic inflammation and airway inflammation  Decrease sputum eosinophil  Decrease serum CRP  Improve FEV1 and PaO2  Minimize treatment failure / Length of stay in Hospital/ Exacerbation  No improve of mortality  Prednisoline 30-40 mg/dy for 7-14 dy or  Dexamethasone 5- 10 mg q 6 hr or  Hydrocortisone 100-200 mg q 6 hr
  • 36.
    Acute exacerbation :1-3 wk onset  Oxygen  All pt with SpO2 < 90% keep SpO2 90-94%  Limited S/E of Oxygen supplement  hypoxic drive hypoventilation  ventilation / perfusion mismatch deadspace  Haldane effect  rightward displacement of the CO2-hemoglobin dissociation curve in the presence of increased oxygen saturation, increasing the amount of CO2 dissolved in blood
  • 37.
    Acute exacerbation :1-3 wk onset  Machanical ventilation  Indication of NIPPV  accessory muscle with abd paradox  Acidosis pH 7.25-7.35 and/or PaCO2 > 45 mmHg  RR > 24 / min  C/I of NIPPV  Uncooperation    Cardiovascular instability  Life-threatening hypoxemia  Severe acidosis : pH < 7.25
  • 38.
    Acute exacerbation :1-3 wk onset  Machanical ventilation  Indication of Invasive mechanical ventilation  Respiratory failure  Severe acidosis : pH < 7.25  RR > 35/min  Accessory muscle used  with  C/I for NIPPV  Fail NIPPV
  • 39.
  • 40.
    Stable COPD :base on severity  Bronchodilator  Beta2-agonist  Anticholinergic  Methylxantine  Corticosteroid  inhaled corticosteroids  Vaccination  Annual influenza vaccine  Pneumococcal vaccination  Pulmonary rehabilitation  Improve quality of life  Oxygen therapy  Short term  Long term  sugery
  • 41.
    Stable COPD :at ALL stage  Avoidance of risk factor(s)  Influenza vaccination  Pneumococcal vaccination
  • 42.
    Stable COPD :Mild COPD  Short-acting bronchodilator when needed
  • 43.
    Stable COPD :Moderate COPD  Short-acting bronchodilator when needed  Regular treatment with one or more long-acting bronchodilators  Rehabilitation
  • 44.
    Stable COPD :Severe COPD  Short-acting bronchodilator when needed  Regular treatment with one or more long-acting bronchodilators  Rehabilitation  Inhaled glucocorticoids if significant symptoms, lung function response, or if repeated exacerbations
  • 45.
    Combination Dose(ug/dy) Trade name Fluticasone/Salmeterol 500/100-1000/100 Seretide® Budesonide / Formeterol 320/9-640/18 Symbicort®
  • 46.
    Medication type Onset (min) duration Route drug (hour) Beta2agonist Short 3-5 4-6 Inhale Salbutamol(ventolin®) Oral Terbutaline IV Fenoterol 8-12 Inhale Procaterol Oral Long 30-45 > 12 Inhale Salmeterol Formoterol Anticholinergic Short 10-15 6-8 Inhale Ipratopium bromide Long 5 >24 Inhale Tiotropium (Spiriva®) Methylxanthine Uncertained in sustained release Oral Theophylline IV Aminophylline
  • 47.
    Stable COPD :Very severe COPD  Short-acting bronchodilator when needed  Regular treatment with one or more long-acting bronchodilators  Inhaled glucocorticoids if significant symptoms, lung function response, or if repeated exacerbations  Treatment of complications : CHF, infection, nutrition  Rehabilitation  Long-term oxygen therapy if chronic respiratory failure  Consider surgical treatment
  • 50.
    3  Short-term therapy  Long-term continuous therapy  During exercise  PaO2 60 mmHg SaO2 90% O2
  • 51.
     Indication for STOT  Recent Exacerbation with new hypoxemia  Re-evaluate at wk 4  Continue STOT if still hypoxemia  Re-evaluate at Mo 3  Treat as LTOT
  • 52.
     Continue Oxygen supplement > 15 hr/dy  mortality  exercise tolerance  Quality of life: psychotherypy  Prevent pulmonary HT  Ind for LTOT  PaO2 < 55 mmHg or SaO2 < 88%  PaO2 < 56-59 mmHg or SaO2 < 89% with sign of chronic hypoxemia  Pul HT  Peripheral edema CHF  Polycythemia (Hct > 55%)  Failed STOT
  • 53.
    Oxygen therapy vianasal cannula Home supplemental oxygen
  • 54.
    Bilevel positive airwaypressure (BiPAP)
  • 55.
     Hemodynamic stable  Bronchodilator supply less than every 4 hr  SpO2 >90% w/o O2 supplement at least 24 hr

Editor's Notes

  • #6 This nonproportionalVenn diagram shows subsets of patients withchronic bronchitis, emphysema, and asthma (black circles). The subsetsdefined as COPD are shaded gray. Subset areas are not proportional toactual relative subset sizes. Asthma is, by definition, associated withreversible airflow obstruction; in variant asthma, special maneuvers maybe necessary to make the obstruction evident. Patients with asthmawhose airflow obstruction is completely reversible (subset 9) are notconsidered to have COPD. In many cases it is virtually impossible todifferentiate patients with asthma whose airflow obstruction does notremit completely from persons with chronic bronchitis and emphysemawho have partially reversible airflow obstruction with airwayhyperreactivity. Thus, patients with unremitting asthma are classified as
  • #10 Figure 1. Pathophysiological Features of Airflow Obstruction in Chronic Obstructive Pulmonary Disease (COPD).Airflow obstruction in COPD is largely due to emphysema, characterized by disruption of the alveolar walls, along withinflammation of lung tissue, fibrosis, and mucus plugging in the distal airways (Panel A, normal distal airway surroundedby intact alveolar walls; Panel B, abnormal distal airway surrounded by disrupted alveolar walls). Alveolarattachments provide a radial tethering effect that is essential for keeping small airways patent in the normal lung.Airways narrow at smaller lung volumes because of decreased lung elasticity and weaker tethering effects. Consequently,maximal expiratory airflow decreases as the lung empties and ceases at 25 to 35% of total lung capacity.The remaining air is termed the residual volume. In patients with COPD who have emphysema, the disruption of alveolarattachments, coupled with distal airway disease, causes a substantial decrease in maximal expiratory airflow(Panel A, normal flow; Panel B, reduced flow). Residual volume may account for as much as 60 to 70% of predictedtotal lung capacity. Patients with COPD must breathe at larger lung volumes to optimize expiratory airflow, but thisrequires greater respiratory work because the lungs and chest wall become stiffer at larger volumes. These effects areaccentuated with exercise. A normal respiratory system meets the increased ventilatory demands of exercise by increasingboth tidal volume and respiratory rate, with little change in the final end-expiratory lung volume. In patientswith COPD, the respiratory rate does increase in response to exercise, but with insufficient expiratory time, breathsbecome increasingly shallow and end-expiratory lung volume progressively enlarges (Panel A, normal response to exercise;Panel B, response with COPD). This phenomenon is called dynamic hyperinflation and is thought to be animportant factor in the reduction of exercise capacity and the development of dyspnea.
  • #14 Six-Minute Walking DistanceThe distance walked in 6 minutes (6MWD) is a good predictor of all-cause and respiratory mortality in patients with moderate COPD.[37, 38]Patients with COPD who desaturate during the 6MWD have a higher mortality rate than do those who do not desaturate.Consequently, this test is used as a part of the BODE index (body mass index, obstruction [FEV1], dyspnea [modified Medical Research Council dyspnea scale], and exercise capacity [6MWD]),[26] which was designed to help predict mortality in COPD patients.
  • #41 Bronchodilatorช่วยให้อาการดีขึ้น แม้ FEV1ไม่ได้เพิ่มขึ้น ซึ่งส่วนหนึ่งมาจากหลอดลมที่ขยายตัวแม้ไม่มาก แต่ช่วยให้อากศที่ค้างอยู่ในปอดออกมาได้มากขึ้น(ลด synamic hyperinflation ทั้งในขณะพักและออกกำลัง) ทำให้คุณภาพชีวิตดีขึ้นยาขยายหลอดลมมี 3 กลุ่มคือB2agonist, anticholinergicและmethylxanthineหลักการให้ยาขยายดดยทั่วไป ในรายที่มีอาการเหนื่อยเพียงเล็กน้อยและนานๆครั้ง ควรเริ่มด้วยยาขยายหลอดลมออกฤทธิ์สั้นชนิดสูดเฉพาะเวลามีอาการ(short acting B2agonist, anticholinergic ) ห้างมีอาการเหนื่อยอาจใช้ นถ้ายักมีอาการเหนื่อยตลอดเวลา หลังจากประเมินแล้วว่าเกิดจาก COPD ไม่ใช่จากโรคร่วม อาจเพิ่มยาเช่น ให้สูดยาขยายหลอดลมชนิดออกฤทธ์สั้นวันละ 4 ครั้ง หลังจากนั้นหากยังมีอาการเหนื่อยอาจใช้ theophyllineขนาดต่ำ (ระดับยาในเลือด 5 mg/l) เช่น theophylline sustained-release 100 mg bid มี่ฤทธิ์ต้านการอักเสบช่วยลดการเกิดอาการกำเริบลงได้ หลังจากนี้ถ้ายังมีอาการอาจเพิ่มยาขยายหลอดลม long acting anticholinergicหรือ B2agonist ชนิดสูด ซึ่งยากลุ่มนี้มีประสิทธิภาพดีและสะดวกในการใช้มากกว่ายาที่ออกฤทธิ์สั้น แต่ยังมีราคาแพง สำหรับ LABA ในไทยไม่มียาเดี่ยวแต่อยู่ในรูปผสมกับ corticosteriodการใช้ยาขยายหลอดลมสองชนิดที่มีกลไกและระยะเวลาการออกฤทธิ์ต่างกัน อาจช่วยเสริมฤทธิ์ขยายหลอดลมหรือลดผลข้างเคียง เช่น ยาผสมระหว่าง SABA/anticholinergicทำให้ค่า FEV1 เพิ่มขึ้นมากกว่าและนานกว่าการใช้ยาเดี่ยวการบริหารยาควรใช้วิธีสูด โดยเลือก MDI (metered-dose inhaler) หรือ DPI (dry-powder inhaler) เป็นอันดับแรก เนื่องจากผลข้างเคียงน้อยกว่ายารับประทาน แต่ถ้าผู้ป่วยไม่สามารถใช้ยาแบบสูดได้ถูกวิธีหลังจากสอนหลายคร้งแล้ว อาจอนุโลมให้ใช้ยารับประทานได้ ในคนแก่อาจมีปัญหาในการใช้ MDI ให้ถูกวิธี ดังนั้นควรต้องสอนและตรวจสอบทุกครั้งที่ผู้ป่วยมารับการรักษา บางรายอาจต้องใช้ spacer ร่วมด้วย หรืออาจต้องเปลี่ยนเป็นใช้ยาสูดรูปแบบอื่นเช่น DPI ซึ่งใช้ง่ายกว่าแต่ข้อเสียคือต้องใช้แรงสูดมากซึ่งมีปัญหาในคนแก่ที่ไม่มีแรงพอ สำหรับ nebulizer ไม่แนะนำให้ใช้ใน stable COPD เนื่องจากแพงและต้องดูแลทำความสะอาด แต่อาจใช้ในกรณีผู้ป่วยไม่สามารถสูด MDI or DPI ได้อย่างมีประสิทธิภาพสิ่งสำคัญในการรักษาคือติดตามการตอบสนองต่อการรักษา พิจารณาปรับยาให้เหมาะสมกับผู้ป่วยแต่ละราย ผลข้างเคียงของยา ขึ้นกับปริมาณยาที่ใช้ ควรระวังโรคร่วมอื่นซึ่งอาจทำให้ผลข้างเคียงของยาเพิ่มขึ้น โดย S/E B2agonist : มือสั่น ใจสั่น ชีพจรเร็ว , anticholinergic : ปากแห้ง , theophylline : arrhythmia ชัก ปวดหัว นอนไม่หลับ N/V
  • #50 goals of the program are to:Decrease and gain control of respiratory symptoms and complicationsImprove physical conditioning and exercise toleranceImprove general health and emotional well-beingEncourage self-management of symptoms and control of activities of daily livingReduce hospitalizations and improve quality of life