Contemporary Esthetic
Restorative Procedure
Restorative Procedure II
5th Year
College Of Dentistry
University Of Dammam
Color
• Three Color Dimensions
Hue
Chroma
Value

•

Color Mixing
Primary Hues
Secondary Hues
Complementary Hues
Color And Teeth
• Human Teeth are NEVER a single color
• Cervical Third: the Perceived color
close to pure dentin.

• Middle Third: (Body color) mainly the
Dentin Hue, influenced by the thick
layer of overlying Enamel.

• Incisal Third: minimal influence of

dentin, mainly the influence of Enamel.
Color Perception
& Shade Selection
• Optical Properties
• Spectral Reflection
• Metamerism

www.logodesignworks.com/blog/
images/eye-perce
Sensitivity of
the Observer
Eye

www.logodesignworks.com/blog/images/eye-perce

• Perception threshold & light sensitivity
• Color Fatigue
• Color Blindness
Viewing Conditions
• Lightning: Standard day light, Artificial light (color
corrected CRI > 90)

• Surroundings: walls, floors, sealing ..etc
• Time: Initial diagnosis appointment and again at the
beginning of preparation appointment

• Patient Position
• Tooth condition
Esthetic/Cosmetic
Dentistry
• Esthetic: relating to sense

perception, judgement and taste
concerning beauty .. a pleasing
appearance or effect”

Webster 3rd International Dictionary

• Cosmetics: The ART of beatifying or
altering the appearance.

Webster 3rd International Dictionary
Factors Altering
Esthetics
• Exogenous
• Endogenous
• Defects of Enamel and Dentin
•
•

http://www.sciencephoto.com/images/showEnlarged.html/
P486115-Tooth_enamel,_SEM-SPL.jpg?id=804860115

Environmental
Hereditary

• Other factors

http://www.sciencephoto.com/images/showFullWatermarked.html/
P486153-Tooth_dentine,_SEM-SPL.jpg?id=804860153
Esthetic Modification

HEALTH

FUNCTION

ESTHETICS
Smile Design
Visible Incisal
Length
Incisal edge position with
lips at rest.
Incisal edge position framed
between upper and lower lip.
Maxillary and mandibular
incisal edge relationship.

http://c1-preview.prosites.com/10426/wy/images/Embrasures.gifweb.gif
Tooth Position &
Relationships
Tooth Access
Zenith Point

http://c1-preview.prosites.com/10426/wy/images/Tooth%20proportionweb.gif
Interdental Contact Area
Interdental Contact Point
Incisal Embrasure
Tooth Dimension &
Proportions

Tooth Shape
Central Incisor
• The length to width proportion
•
•

(10:8)
The rule of 1/16” (tooth &
face)
Size, gender and shape

http://www.confidentsmile.com/smile-design/
Symmetry &
Proportionality
•
•
•

The Golden Proportion
Visual Width
Repeated Ratio (more more
practical)

http://c1-preview.prosites.com/10426/wy/images/Embrasures.gifweb.gif

http://c1-preview.prosites.com/10426/wy/images/Tooth%20proportionweb.gif
Tooth
Character
•
•
•
•
•
•

Surface Texture
Surface Contour
Surface Luster
Line Angle Position
Embrasure Form
Incisal Edge Form

http://www.confidentsmile.com/smile-design/
Gingiva &
Supporting
Tissue
http://www.scielo.br/img/revistas/dpjo/v15n1/en_14f04.jpg

•
•
•
•
•

Lip Line
Lip Profile
Upper & Lower lip interrelationship
Commissure Width & Location
Size of Buccal Corridor
Age
Characteristics
of Teeth
• Chroma & Value
• Surface Texture
Causes of Esthetic
Defects
• Caries.
• Occlusal Disharmony.
• Loss of tooth substance.
• Discoloration.
• Minor abnormality in size and shape of teeth.
• Missing teeth.
Teeth Defects
http://3.bp.blogspot.com/_r2K1IjhvZV0/TB_NX0Y6K-I/
AAAAAAAAADI/8YUuvcQ312g/s1600/erosion.jpg

http://t1.gstatic.com/images?
q=tbn:ANd9GcSoIFfH6j4RLrYKO_QtZDC_7qMc7yeGrD6hPrGm-8d
_b4EjS3H75g
Objectives of Restoring
Esthetics
• Restore Affected teeth into normal form,

size, position, alignment, color, surface and
optical characteristics and occlusion.

• Restore normal periodontium
Limitation in Restoring
Esthetic
• Color matching.
• Gingival and periodontal health.
• Occlusion
• Available restorative materials
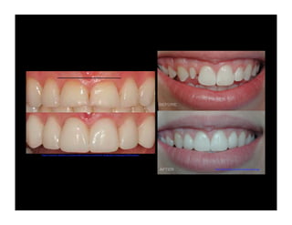
Correctable
Defects
•
•
•
•
•
•

Incisal Irregularities
Length/ Width discrepancies
Shape discrepancies
Enamel Defects
Diastema
Slight Malposition

http://boca-raton-cosmetic-dentist.co.cc/wp-content/uploads/2009/01/porcelain_veneers.jpg
http://www.knoxsmiles.com/Images/LumineersBA1.gif
Treatment
Modalities
•
•
•
•
•
•
•

Visual Mock-ups
Bleaching
Micro-abrasion
Reshaping
Direct Resin Bonding
Indirect Veneers
Crowns
Esthetic Treatment
Modalities
Mock-up
Teeth Re-shaping
http://www.drglasband.com/blog/wp-content/uploads/2010/11/after-reshaping1-300x160.png
http://dentalclinicintoronto.ca/wp-content/uploads/2010/07/contouring_before_after.jpg
http://www.dentalcomposites.com/Recontabc29.gif
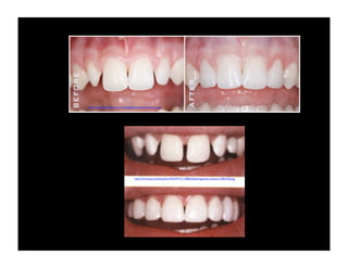
Diastema

http://www.dentalcomposites.com/Didddaste44.gif
http://www.renicholsdds.com/images/gap_smile.jpg

http://www.zimbio.com/go/vGZHexiokZ6/http://www.brooksidedental.com/blog/wp-content/uploads/2008/12/diastema-after-cosmetic-dentistry.jpg
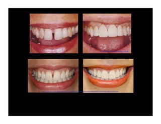
Cosmetic Bonding
http://www.charlesortiz.net/wp-content/uploads/2009/07/Patients-588x391.jpg
http://bansaldentalcare.com/images/contour.jpg
http://www.yourdentistingoa.com/images/Cosmetic-Bonding-3.jpg
http://www.dentalcomposites.com/rotate2.jpg

http://www.dentalcomposites.com/rotate5055.gif
http://cosmetic-dentistry-and-porcelain-veneers.com/smile-design/gum-shape/gums9drhuefner/

http://eshomdds.com/services/gumcont.jpg
http://www.blakesmiles.com/img/before-after/veneer-b-a.jpg

http://2.imimg.com/data2/LL/NO/MY-2113805/bleahingtooth-veeners-250x250.jpg
http://sherwooddental.ca/images/smilegallery/6.png
Direct Composite
Veneers
Black Triangle
Esthetic Cavity
Design
•

Should reflect the
concept of esthetics.

•

Modified Designs.
Restorative Materials &
Techniques
Natural Tooth
Bleaching
Tooth Bleaching
•
•

As early as 1890’s (Pyrozone)

•
•
•
•

1940’s (Hydrogen Peroxide + ether)

1910 in-office bleach (Hydrogen
Peroxide)

1950’s (Pyrozone + Na-perborate)
1960’s (10% Carbamide Peroxide)
1989 (Profession Acceptance)
Types & Nature of
Staining
•

Poor oral hygiene,
chromatogenic food & drinks.

•
•
•
•

Aging.
Tetracyclic Staining.
Fluorosis.
Some systemic conditions.
Factors Altering
Esthetics
• Exogenous
• Endogenous
• Defects of Enamel and Dentin
•
•

http://www.sciencephoto.com/images/showEnlarged.html/
P486115-Tooth_enamel,_SEM-SPL.jpg?id=804860115

Environmental
Hereditary

• Other factors

http://www.sciencephoto.com/images/showFullWatermarked.html/
P486153-Tooth_dentine,_SEM-SPL.jpg?id=804860153
Bleaching Agent Mode
of Action
Indication for Bleaching
•
•
•

Pt discomfort
Further Treatment
Presence of other
restorations
Contraindication for
Bleaching
•

Superficial or extrinsic
Staining

•

Discolored carious
lesion or restoration

•

In-home & pregnant
women or lactating

•

Root of teeth

•

In-office & teeth with
large pulp, exposed
dentin, cracks, caries ...

•

Broxers needs to alter
the wearing time of inhome trays

•

Bonding has to be
delayed for 7 to 10 days
• Treatment Planning
• Shade Selection and Record Collection
• Patient Education
Current Bleaching
Modalities
Non-Vital Bleaching
•
•

Sodium Perborate
10% Carbamide
Peroxide
http://www.scritube.com/files/limba/engleza/health/170_poze/image059.jpg

•

Hydrogen Peroxide

•
•

Thermocatalytic
Walking bleach
•
•
•
•
•
•

Hydrogen Peroxide
Heat
Trauma
Cementum
Infection
Seal
http://cro.sagepub.com/content/14/4/292/F3.medium.gif
Vital Bleaching
• In-office
• At home
http://img.diytrade.com/cdimg/556049/8452357/0/1271005827.jpg
Factors Affecting
Bleaching Process
•
•
•
•
•
•
•

Surface Cleanliness
Concentration of Peroxide
Temperature (in-office)
pH
Time
Sealed environment
Additives
In-Office Technique
Dentist-Supervised AtHome Technique

• Over Night
• Day Time
http://veneerstooth.net/wp-content/uploads/2011/02/laser-whitening.jpg
Safety Factors

• Tooth &

Pulpal
Problems
•Soft Tissue
Respond
•Soft Tissue
Respond
Effect on Restorations
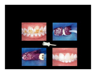
Enamel Micro-abrasion
•

Indications:

•
•

Extrinsic stains

•

White, hypo-calcified
spots

Cream, yellow &
brown flourosis
Mechanism of Action
•
•
•

Physical Removal
Etching
Oxidation
Pasts
•
•
•

30% H2O2
36% HCL
18% H2O2
Risks
•

Excessive Removal of
Enamel

•
•
•
•

Compounds (36-62
Micron)
Normal Prophylaxis (4-8
Micron)

Chemical Burns
Post-operative Sensitivity
http://www.drdanmckay.com/images/results_laser_gum_contouring.jpg
http://cosmetic-dentistry-and-porcelain-veneers.com/wp-content/uploads/2010/10/gums6drhuefner.jpg
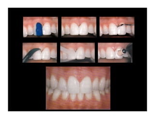
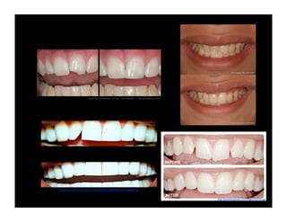
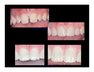
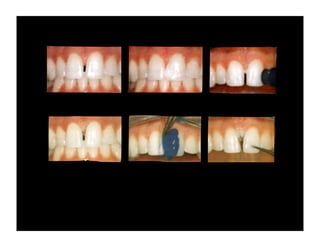
Contemporary aesthetic restorative procedure

Contemporary aesthetic restorative procedure