SEMINAR BY:
RAJANA RAGHUNATH
PG STUDENT
KVGDC CONSERVATIVE DEPT
PORCELAIN LAMINATE
VENEERS
CONTENTS
 DEFINITION
 INTRODUCTION
 HISTORY OF DEVELOPMENT
 INDICATION
 CONTRAINDICATIONS
 TYPES OF VENEERS
 IDEAL REQUIREMENTS
 CLINICAL CONSIDERATIONS
PREPERATION DESIGN FOR LAMINATES
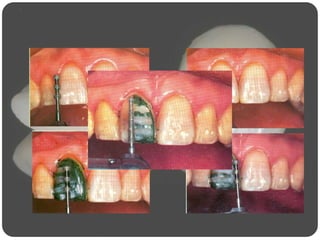
PROCEDURE
TEMPORIZATION
BASIC LABORATORY TECHNIQUE
CAST CERAMIC LAMINATE SYSTEMS
PLACEMENT OF VENEERS
PATIENT INSTRUCTION
FAILURES OF LAMINATE VENEERS
CONCLUSION
REFERENCES
Laminate Veneers : A superficial or attractive
display in multiple layers
 A veneer is a layer of tooth-colored material that
is applied to a tooth to restore localized or
generalized defects and intrinsic discolorations
-Sturdevants
Introduction
 The treatment of unsightly but sound teeth now
has the potential to bring much more satisfaction
to both the dentist and the patient than ever
before.
 The laminate veneer is a conservative alternative
to full coverage for improving the appearance of
an anterior tooth
 Made of chairside composite, porcelain or cast
ceramic materials
History of Development
 The idea of porcelain veneers is not new.
 In the 1930s and 1940s Dr Charles Pincus used
thin porcelain veneers “HOLLYWOOD BRIDGE”
to improve the esthetics of movie stars' teeth.
Unfortunately, he had to use denture adhesive to
hold the veneers in place
 The introduction of the acid-etch technique by
Buonocore (1955), followed by the development
of composite resin by Bowen, have totally
expanded options for malformed, disfigured or
discoloured teeth. The new methods are both
conservative and aesthetic.
 The concept of laminate veneers got its surface in
1975 by Rochette who introduced the use of
silane coupling agents with porcelain laminate
veneers.
 Popularity of porcelain laminates skyrocketed in
1980’s partly because of its conservative nature
and dental researches in the acid etching
technique and new bonding methods.
Indications
Type I : Teeth resistant to bleaching
 Type IA : Tetracycline discoloration
 Type IB : No response to external or internal
bleaching
Type II : Major morphologic modifications
 Type II A : Conoid teeth
 Type II B : Diastemata and interdental triangles to be
closed
 Type II C : Augmentation of incisal length and
prominence
Type III : Extensive restoration (adults)
 Type III A : Extensive coronal fracture
 Type III B : Extensive loss of enamel by erosion and
wear
 Usually only the six maxillary anterior teeth require
correction, because they are the most noticeable
when a person smiles or talks. However, the maxillary
first premolars (and to a lesser extent, second
premolars) also are included if they, too, are
noticeably apparent upon smiling.
 Discolored mandibular anterior teeth are rarely
indicated for veneers, because the facioincisal
portions are thin and usually subject to biting forces
and attrition.
 Therefore veneering lower teeth is discouraged if the
teeth are in normal occlusal contact, because it is
exceedingly difficult to achieve adequate reduction of
the enamel to totally compensate for the thickness of
the veneering material. Also, if porcelain veneers are
placed, they may accelerate wear of the opposing
maxillary teeth because of the abrasive nature of the
porcelain.
CONTRAINDICATIONS
 Insufficient surface enamel (60%)
 Highly flouridated teeth
 Unsuitable occlusion
 Parafunction
 Poor dental care and hygiene
 Presence of gingival / periodontal diseases
Types of Veneers
 Based on extend of preparation
 Based on type of material employed
 Based on mode of fabrication
Based on extend of preparation
1. Partial Veneers: restoration of localized defects
or areas of intrinsic discolorations
2. Full Veneers : restoration of generalized defects
or areas of intrinsic staining involving most of
the facial surface of the tooth
Based on type of material employed
 Directly applied composite veneer
 Processed composite veneer
 Porcelain or pressed ceramic veneer
Based on mode of fabrication
1. Direct Veneers
a. Partial veneer
b. Full veneer
2. Indirect veneers
a. No prep Veneer
b. Etched veneer
c. Pressed ceramic veneer
No prep veneer
 Teeth with inherently under contoured teeth
 Interdental spaces &/or incisal embrasures are
present
 Inherently made thinner hence more prone to
fracture
 Interproximal areas are difficult to access for
proper finishing
 If cases selection done not properly the resulting
veneers may be over contoured
Lumineers
 When placing lumineers, the structure of the tooth
remains unchanged.
 Are as thick as a contact lens, but this does not
make them less durable.
 Might feel a little bulkier than the classic porcelain
veneers.
 The tooth is still protected by its natural enamel,
even if the lumineers need to be taken off.
 In terms of costs, lumineers have similar costs as
the porcelain veneers.
Etched Porcelain Veneer
 Preferred type ( fledspathic veneer)
 Capable of achieving high bond strengths to the
etched enamel through a resin bonding
mechanism
 Highly esthetic
 Stain resistant
Pressed ceramic veneers
 In contrast to etched porcelain veneers that are
fabricated by stacking and firing fledspathic
porcelain, pressed ceramic veneers are literally
cast using a lost wax technique ( e.g. IPS
Empress or e.max)
 Excellent esthetics – mild to moderate
discolorations
 Due to more translucent nature, dark
discolorations are treated with etched porcelain
veneers
 Slightly greater tooth reduction depth
 Superior marginal fit
Ideal Requirements
 Should provide excellent tooth contour with
minimal thickness (0-5mm)
 The surface and margins of the veneer should be
smooth and be able to retain a high luster.
 It should be able to mask all forms of
discoloration well without necessitating an
excessive increase in bulk or contour.
 It should be able to mimic the variations in body
colour and incisal translucency of natural teeth for
maximum aesthetic appearance.
 It should be biocompatible to the gingival tissues.
C. G. Toh et al.Indirect dental laminate
veneersan
overview.J. Dent. 1987; 15: 117-l 24
 It should be able to resist wear from the normal
abrasive, erosive, and attritive processes present
in the oral environment.
 It should be highly resistant to extrinsic stains.
 It should require little finishing at the chairside.
 It should resist fracture under normal function
and be easily repaired or replaced if fracture does
occur.
 It should be cost effective
Clinical Considerations
I. Patient factors : several important factors,
including patients age, occlusion tissue health,
position & alignment of teeth & ORAL
HYGEINE MUST BE evaluated before pursing
full veneers as option
II. Indirect Vs Direct Veneers :
1. Less technique sensitive
2. Multiple teeth- predictable result
3. Last much longer
4. Resistance to abrasion
5. Resistance to Fluid Absorption
3. Preparation Depth
intraenamel preparation is strongly
recommended :
1. To provide space for bonding and veneering
materials for max. esthetics without over
contouring
2. To remove the outer fluoride- rich layer
3. To create rough surface
4. To establish a definitive finish line
5. Enamel provides a better seal and more
effectively diminishes marginal leakage than a
finish line in either cementum or glass ionomer
4. Level of gingival margin
supragingival & extend of the defects/
discolouration and the amount of tooth structure
visible with maximum smiling
PREPERATION DESIGN FOR
LAMINATES
Window preparation
 A Window preparation is recommended for most
of the direct and indirect composite veneers.
 This intraenamel preparation design preserves
the functional lingual and incisal surfaces of the
maxillary anterior teeth, protecting the veneers
from significant occlusal surfaces.
 This design is particularly useful in preparing
maxillary canines in a patient with canine-guided
occlusion. By using a window preparation, the
functional surfaces are better preserved in
enamel
Incisal lapping preparation
 An incisal lapping preparation is indicated when
the tooth being veneered needs lengthening or
when an incisal defect warrants restoration.
 Additionally, the incisal lapping design is
frequently used with porcelain veneers, because
it not only facilitates accurate seating of the
veneer upon cementation, but also allows for
improved esthetics along the incisal edge
Procedure
 Graded tooth reduction
 The minimal thickness for a porcelain laminateveneer
is 0.3 to 0.5 mm. The required uniform reduction can
be achieved by following an orderly progression of
 Labial reduction
 Interproximal extension
 Sulcular extension
 Incisal or occlusal modification
 Lingual reduction
Labial reduction
 The labial preparation should encompass the
amount of reduction necessary to facilitate the
placement of an esthetic restoration. Ideally, one
would like to replace the same amount of enamel
that is removed by the preparation.
Depth Guide
 LVS no. 1 – 0.5mm reduction
 LVS no. 2 – 0.3 mm reduction
Reduction of the remaining enamel:
 The labial reduction should encompass two
aspects
 The bulk of the reduction should be done with a
coarse diamond in order to facilitate added
retention and better refraction of the light
transmitted back out through the laminate and
 At the marginal area, it is desirable to use a fine
grit diamond that will create a definitive, smooth
finish line to enhance the seal at the periphery.
Interproximal extension
 Margin should be hidden within the embrasure
area.
 Extend about half way into the interproximal
area.
 Move the margin just lingual to the buccal
surface of the interproximal papillae so that it will
not be visible from lateral oblique view or directly
from the front.
 Interproximally, the authors recommend staying
slightly labial or facial to the contact area, which
conserves interproximal enamel.
 Why to preserve the contact area ?
 Extremely difficult to reproduce.
 Simplifies try-in
 Saves clinical time
 Simplifies bonding and finishing
 Better access
 The exception to this is if a tooth needs to be
widened as in the case of a pegged lateral
 Small proximal caries lesion
 Old composite restorations
 Angle fractures
 Closing a diastema
 Changing shape / position .
 The finish line should then be taken more
lingually toward the lingual transitional line angle
so that the contour of the porcelain can be started
from the lingual and be built up to properly close
the interproximal space
 Beyond the visible area.
 0.8 – 1mm
 Miniature rounded channel
 Interlock improve the stability and mechanical
properties
Sulcular Extension and Marginal
Placement:
 Sulcular extension and marginal placement are
carried out with the LVS two grit diamond. A
narrow gingival displacement cord is placed in the
sulcus for about eight to ten minutes to slightly
displace the tissue. This system of first
developing a preparation line confluent with the
gingival marginal and then placing a retraction
cord prior to refining and extending it into the
sulcus ensures.
 Access for the diamond.
 Less gingival trauma and
 Direct vision of the margin during all
procedures
Finish Line Configuration:
 A feather or knife edge finish line is the most
conservative preparation but is inordinately
complex because of:
 The difficulty in fabrication of porcelain to the
required degree of thinness accurately and there
is invariably a poor marginal fit or seal.
 Laboratory problems in delineating the exact end
of preparation line.
 It would appear that the most desired form of
finish line is a modified chamfer created by the
LVS two grit diamond or one of similar shape.
This modified chamfer preparation is of nominal
depth (0.25mm) near the cementoenamel
junction.
 The preparation of a chamfer in this cervical
area aids in sealing the restoration by removing
the acid resistant surface enamel and exposing
subsurface enamel which is more readily etched.
 The modified chamfer as developed by the two
grit diamond seems to be the preparation of
choice.
Benefits of Modified Chamfer Finish Line:
 An increased bulk of porcelain at the margin and
hence increased strength without over contour.
 Correct enamel preparation exposing correctly
aligned enamel rods for increased bond strength
at the cervical margin.
 A definitive stop to aid in seating the laminate in
the correct position on the tooth.
 An accurately fitting restoration with sound
marginal seal
Incisal or Occlusal reduction:
 The fabrication of a porcelain veneer lapping the
incisal edge makes placement of the restoration
much easier by virtue of having a definitive stop
during seating.
 The incisal edge gives the clinician a specific
relationship from which to evaluate whether the
restoration is correctly positioned.
 The sharp line angles created on the buccal and
lingual surfaces must be rounded
The incisal preparation design
 Gilmour and Stone and Glyde and Gilmour have
classified the preparation of this site into four type.:
1. Window or intraenamel preparation labially with
intact incisal enamel (results in an inferior
appearance).
2. Feathered incisal preparation labially (porcelain is
prone to fracture).
3. Incisal edge preparation of 0.5 to 1.0mm tooth
reduction incisally (if no tooth lengthening needed)
to form a butt joint lingually, and.
4. Incisal edge preparation as in 3, but overlapped
onto the lingual surface by using a heavy chamfer
preparation, the most versatile.
Lingual Reduction:
 Any reduction of the incisal edge would
necessitate some lingual enamel modification so
that there is no butt joint at this incisal/lingual
junction but rather a rounded chamfer. This
modification will help to prevent the porcelain
from shearing away from the incisal edge during
function. It also ensures;
 Increased thickness of porcelain in this
critical lingual area that is being used for incising
and guidance.
 Enamel bonds at right angles to those on the
incisal edge, and Increases strength.
 Reduction – 1mm
 Spherical diamond
 Fine grit diamond
 20,000-60,000 rpm under air/water spray.
 Prepared wet and examined dry
Impression Technique:

 Tissue Management:
 The tissue is displaced so that the final finish line
can be seen in the sulcus..
 This procedure will displace tissue laterally and
provide access to the sulcus.
 The cord needs to remain in place for some five
minutes.
Impression:
 The impression material used should be of two
viscosities; light and heavy.
 The light material should be be syringed into the
sulcus
Temporization:
 Temporization for laminates is usually
unnecessary because, in most situations, only
half of the enamel surface is removed and the
dentinal tubules are not exposed; therefore there
should be little or no sensitivity and only minimal
esthetic compromise.
 However, in certain situations, temporization may
become necessary
 There are four basic techniques for developing
the temporary veneers.
 Direct composite resin veneer.
 Direct composite Resin Veneer Utilizing Vacuform
Matrix.
 Direct Acrylic Veneers.
 Indirect Composite Resin/ Acrylic Resin Veneer
DIRECT
COMPOSITE RESIN
TEMPORARIZATION
 DIRECT COMPOSITE RESIN VENEER
UTILISING VACUFORM MATRIX
 INDIRECT COMPOSITE RESIN/ACRYLIC
RESIN VENEER
Basic laboratory technique
 Platinum foil backing
 Refractory models
 Direct castings
 CAD –CAM machining
 Platinum foil backing :
thin layer of platinum foil is placed on the die .The
porcelain is layered on the foil. Then the porcelain
foil combination is removed from the die and fired in
an oven . Before try-in ,the foil is removed and the
porcelain is etched .
 Refractory models :
The restoration is fired directly on the refractory
die. This eliminates the platinum layer but makes
repeated firings difficult once the laminate veneer
has been removed from the die.
 Direct castings :
cast ceramic restorations are fabricated using the
‘lost wax’ technique. This eliminates the need for
multiple firings but requires extrinsic staining for
coloration.
 CAD/CAM Machining :
A model or video image of the preparation is
required, and the restoration always requires
modification of the surface porcelain to obtain
proper color esthetics.
Cast ceramic Laminate systems:
There are two distinct system of casts ceramic
laminates:
 Castable ceramic (Dicor, Dentsply/York Div., York
Pa).
 Castable apatite (Cera Pearl), Kyocera
International Japan).
The two systems are remarkably similar despite the
fact that the procedures and material are very
different. In both, a wax pattern is produced on a
conventional in the harmonious esthetic tooth form
desired. These patterns are finished in their entirely
removed, sprued and invested in their respective
types of crucibles, depending on the type of system
 For the Dicor system, the cast glass laminate is
removed from the investment and placed in the
ceramming oven; this process changes the external
surface of the glass and crystalline structure.
 For the Cera pearl system, the entire mold is
transferred to the crystallization oven and heated at
8700C for one hour.
 Crystallization takes place producing a casting of
hydroxyapatite crystals. The casting is then separated
from the investment and cleaned, using the
conventional sand blasting technique with alumina
oxide powder.
 The cast ceramic laminates can then be smoothed,
polished and tried into the patient’s mouth.
Placement of veneers
 Three stage Try-in procedure
 Check Intimate adaptation of each individual
porcelain laminate to the prepared tooth surface.
 Evaluate the collective fit and relationship of one
laminate to another and the contact points.
 Assess the color and if necessary, modify.
Porcelain conditioning
 Combination of micromechanical interlocking and
chemical coupling
 Hydrofluoric acid etching
 Silane coupling agent applied
 Treat the etched veneer with a silane coupling
agent to enhance the adhesive properties of
resin.
 A pre-activated silane is painted onto the veneer
surface and allowed to dry for one minute.
 Then the excess alcohol vehicle is gently
evaporated by passing a stream of air parallel to
and approx. 6 in. above the surface of veneer.
 This leaves a dry, silanated veneer
 Isolate tooth by mylar strips or soft metal matrix
band.
 Etch enamel with 30%to 37% phosphoric acid for
15 to 20 secs.
 Wash etchant with water for 30 secs.
 Coat etched tooth surface by enamel or dentin
bonding agent.
 Disperse the bonding agent into a fine thin layer
using a stream of dry air and light cure and seal
the surface of the tooth.
Luting agents
 Desirable features for Thin film thickness: 10 to
20um.
 High compressive strength
 High tensile strength
 Relative low viscosity
 Ability to opaque, tint and characterize
 Low polymerization shrinkage
 Color stability.
Light cured composite resin system preferred.
In case of thick or very opaque veneers, dual cured system are
preferred
 Fill the laminate with the selected composite resin
luting agent..
PLACEMENT AND CURING
 During placement gently rocking or pulsing
motion is used.
 Don’t slide the veneer into place.
 Lingual aspect is cured first.
 Polymerization process is completed by curing
various areas of veneer for at least 60 sec. each.
FINISHING
 Use carbide finishing bur to remove excess
cement.
 Use the LVS no. 8 bur to remove composite resin
along the incisal margin.
Patient Instruction
 First 72 hours: Avoid any hard foods and maintain
a relatively soft diet. Avoid extremes in
temperatures. Alcohol and some medicated
mouthwashes should not be used during this
period
 Routine cleanings are must- at least every four
months with a dentist.
 Use a soft brush with rounded bristles, and floss,
as you do with your natural teeth.
 Use a less abrasive toothpaste and one that is
not highly fluoridated.
Failures of laminate veneers
 MECHANICAL
 Chips
 Cracks
 Fractures during try in
 Debonding –attributed to error in bonding procedure.
 BIOLOGICAL
 Postoperative sensitivity
 Marginal microleakage
 ESTHETIC
 Shade selection inappropriate
Conclusion
 Perfect smile improves the self confidence,
personality; social life and have psychological
effect on improving self image with enhanced self
esteem of the patient
 New emerging concepts in esthetic dentistry with
regards to materials, technology and public
awareness has made veneers on demand
 The objective of cosmetic dentistry must be to
provide the maximum improvement in esthetic
with minimum trauma to the dentition.
 There are a number of procedures to achieve
this and the most notable is that of porcelain
laminate veneers.
 But the process is highly technique sensitive and
must be performed with utmost care for optimum
results.
References
 Sturdevant s The Art and Science of Operative
Dentistry, Fifth Edition
 Shillingburg. Fundamentals of fixed
prosthodontics .third edition
 Kenneth Anusavice J. 1996: "Philips' Science of
Dental materials".
 Graber A.David 1989: "Direct composite veneers
versus etched porcelain laminate veneers".
DCNA. Vo1.33 (2),301-304
 Graber A.David 1989: "Direct composite veneers
versus etched porcelain laminate veneers".
DCNA. Vo1.33 (2),301-304.
 Tjan Anthony H.L. et al 1989 : "microleakage
patterns of porcelain and castable ceramic
laminate veneers". JPD. Vol.61, 276-282
 Faunce F R, Myers D R. Laminate veneer
restoration of permanent incisors. J Am Dent
Assoc 1976;93:790-792
Thank you !!!

Porcelain Laminate Veneer

  • 1.
    SEMINAR BY: RAJANA RAGHUNATH PGSTUDENT KVGDC CONSERVATIVE DEPT PORCELAIN LAMINATE VENEERS
  • 2.
    CONTENTS  DEFINITION  INTRODUCTION HISTORY OF DEVELOPMENT  INDICATION  CONTRAINDICATIONS  TYPES OF VENEERS  IDEAL REQUIREMENTS  CLINICAL CONSIDERATIONS PREPERATION DESIGN FOR LAMINATES PROCEDURE TEMPORIZATION BASIC LABORATORY TECHNIQUE CAST CERAMIC LAMINATE SYSTEMS PLACEMENT OF VENEERS PATIENT INSTRUCTION FAILURES OF LAMINATE VENEERS CONCLUSION REFERENCES
  • 3.
    Laminate Veneers :A superficial or attractive display in multiple layers  A veneer is a layer of tooth-colored material that is applied to a tooth to restore localized or generalized defects and intrinsic discolorations -Sturdevants
  • 4.
    Introduction  The treatmentof unsightly but sound teeth now has the potential to bring much more satisfaction to both the dentist and the patient than ever before.  The laminate veneer is a conservative alternative to full coverage for improving the appearance of an anterior tooth  Made of chairside composite, porcelain or cast ceramic materials
  • 5.
    History of Development The idea of porcelain veneers is not new.  In the 1930s and 1940s Dr Charles Pincus used thin porcelain veneers “HOLLYWOOD BRIDGE” to improve the esthetics of movie stars' teeth. Unfortunately, he had to use denture adhesive to hold the veneers in place  The introduction of the acid-etch technique by Buonocore (1955), followed by the development of composite resin by Bowen, have totally expanded options for malformed, disfigured or discoloured teeth. The new methods are both conservative and aesthetic.
  • 6.
     The conceptof laminate veneers got its surface in 1975 by Rochette who introduced the use of silane coupling agents with porcelain laminate veneers.  Popularity of porcelain laminates skyrocketed in 1980’s partly because of its conservative nature and dental researches in the acid etching technique and new bonding methods.
  • 7.
    Indications Type I :Teeth resistant to bleaching  Type IA : Tetracycline discoloration  Type IB : No response to external or internal bleaching Type II : Major morphologic modifications  Type II A : Conoid teeth  Type II B : Diastemata and interdental triangles to be closed  Type II C : Augmentation of incisal length and prominence Type III : Extensive restoration (adults)  Type III A : Extensive coronal fracture  Type III B : Extensive loss of enamel by erosion and wear
  • 8.
     Usually onlythe six maxillary anterior teeth require correction, because they are the most noticeable when a person smiles or talks. However, the maxillary first premolars (and to a lesser extent, second premolars) also are included if they, too, are noticeably apparent upon smiling.  Discolored mandibular anterior teeth are rarely indicated for veneers, because the facioincisal portions are thin and usually subject to biting forces and attrition.  Therefore veneering lower teeth is discouraged if the teeth are in normal occlusal contact, because it is exceedingly difficult to achieve adequate reduction of the enamel to totally compensate for the thickness of the veneering material. Also, if porcelain veneers are placed, they may accelerate wear of the opposing maxillary teeth because of the abrasive nature of the porcelain.
  • 9.
    CONTRAINDICATIONS  Insufficient surfaceenamel (60%)  Highly flouridated teeth  Unsuitable occlusion  Parafunction  Poor dental care and hygiene  Presence of gingival / periodontal diseases
  • 10.
    Types of Veneers Based on extend of preparation  Based on type of material employed  Based on mode of fabrication
  • 11.
    Based on extendof preparation 1. Partial Veneers: restoration of localized defects or areas of intrinsic discolorations 2. Full Veneers : restoration of generalized defects or areas of intrinsic staining involving most of the facial surface of the tooth
  • 12.
    Based on typeof material employed  Directly applied composite veneer  Processed composite veneer  Porcelain or pressed ceramic veneer
  • 13.
    Based on modeof fabrication 1. Direct Veneers a. Partial veneer b. Full veneer 2. Indirect veneers a. No prep Veneer b. Etched veneer c. Pressed ceramic veneer
  • 14.
    No prep veneer Teeth with inherently under contoured teeth  Interdental spaces &/or incisal embrasures are present  Inherently made thinner hence more prone to fracture  Interproximal areas are difficult to access for proper finishing  If cases selection done not properly the resulting veneers may be over contoured
  • 15.
    Lumineers  When placinglumineers, the structure of the tooth remains unchanged.  Are as thick as a contact lens, but this does not make them less durable.  Might feel a little bulkier than the classic porcelain veneers.  The tooth is still protected by its natural enamel, even if the lumineers need to be taken off.  In terms of costs, lumineers have similar costs as the porcelain veneers.
  • 16.
    Etched Porcelain Veneer Preferred type ( fledspathic veneer)  Capable of achieving high bond strengths to the etched enamel through a resin bonding mechanism  Highly esthetic  Stain resistant
  • 17.
    Pressed ceramic veneers In contrast to etched porcelain veneers that are fabricated by stacking and firing fledspathic porcelain, pressed ceramic veneers are literally cast using a lost wax technique ( e.g. IPS Empress or e.max)  Excellent esthetics – mild to moderate discolorations  Due to more translucent nature, dark discolorations are treated with etched porcelain veneers  Slightly greater tooth reduction depth  Superior marginal fit
  • 18.
    Ideal Requirements  Shouldprovide excellent tooth contour with minimal thickness (0-5mm)  The surface and margins of the veneer should be smooth and be able to retain a high luster.  It should be able to mask all forms of discoloration well without necessitating an excessive increase in bulk or contour.  It should be able to mimic the variations in body colour and incisal translucency of natural teeth for maximum aesthetic appearance.  It should be biocompatible to the gingival tissues.
  • 19.
    C. G. Tohet al.Indirect dental laminate veneersan overview.J. Dent. 1987; 15: 117-l 24  It should be able to resist wear from the normal abrasive, erosive, and attritive processes present in the oral environment.  It should be highly resistant to extrinsic stains.  It should require little finishing at the chairside.  It should resist fracture under normal function and be easily repaired or replaced if fracture does occur.  It should be cost effective
  • 20.
    Clinical Considerations I. Patientfactors : several important factors, including patients age, occlusion tissue health, position & alignment of teeth & ORAL HYGEINE MUST BE evaluated before pursing full veneers as option II. Indirect Vs Direct Veneers : 1. Less technique sensitive 2. Multiple teeth- predictable result 3. Last much longer 4. Resistance to abrasion 5. Resistance to Fluid Absorption
  • 21.
    3. Preparation Depth intraenamelpreparation is strongly recommended : 1. To provide space for bonding and veneering materials for max. esthetics without over contouring 2. To remove the outer fluoride- rich layer 3. To create rough surface 4. To establish a definitive finish line 5. Enamel provides a better seal and more effectively diminishes marginal leakage than a finish line in either cementum or glass ionomer
  • 22.
    4. Level ofgingival margin supragingival & extend of the defects/ discolouration and the amount of tooth structure visible with maximum smiling
  • 23.
    PREPERATION DESIGN FOR LAMINATES Windowpreparation  A Window preparation is recommended for most of the direct and indirect composite veneers.  This intraenamel preparation design preserves the functional lingual and incisal surfaces of the maxillary anterior teeth, protecting the veneers from significant occlusal surfaces.  This design is particularly useful in preparing maxillary canines in a patient with canine-guided occlusion. By using a window preparation, the functional surfaces are better preserved in enamel
  • 24.
    Incisal lapping preparation An incisal lapping preparation is indicated when the tooth being veneered needs lengthening or when an incisal defect warrants restoration.  Additionally, the incisal lapping design is frequently used with porcelain veneers, because it not only facilitates accurate seating of the veneer upon cementation, but also allows for improved esthetics along the incisal edge
  • 26.
    Procedure  Graded toothreduction  The minimal thickness for a porcelain laminateveneer is 0.3 to 0.5 mm. The required uniform reduction can be achieved by following an orderly progression of  Labial reduction  Interproximal extension  Sulcular extension  Incisal or occlusal modification  Lingual reduction
  • 28.
    Labial reduction  Thelabial preparation should encompass the amount of reduction necessary to facilitate the placement of an esthetic restoration. Ideally, one would like to replace the same amount of enamel that is removed by the preparation.
  • 29.
    Depth Guide  LVSno. 1 – 0.5mm reduction  LVS no. 2 – 0.3 mm reduction
  • 32.
    Reduction of theremaining enamel:  The labial reduction should encompass two aspects  The bulk of the reduction should be done with a coarse diamond in order to facilitate added retention and better refraction of the light transmitted back out through the laminate and  At the marginal area, it is desirable to use a fine grit diamond that will create a definitive, smooth finish line to enhance the seal at the periphery.
  • 33.
    Interproximal extension  Marginshould be hidden within the embrasure area.  Extend about half way into the interproximal area.  Move the margin just lingual to the buccal surface of the interproximal papillae so that it will not be visible from lateral oblique view or directly from the front.
  • 34.
     Interproximally, theauthors recommend staying slightly labial or facial to the contact area, which conserves interproximal enamel.  Why to preserve the contact area ?  Extremely difficult to reproduce.  Simplifies try-in  Saves clinical time  Simplifies bonding and finishing  Better access
  • 35.
     The exceptionto this is if a tooth needs to be widened as in the case of a pegged lateral  Small proximal caries lesion  Old composite restorations  Angle fractures  Closing a diastema  Changing shape / position .  The finish line should then be taken more lingually toward the lingual transitional line angle so that the contour of the porcelain can be started from the lingual and be built up to properly close the interproximal space
  • 36.
     Beyond thevisible area.  0.8 – 1mm  Miniature rounded channel  Interlock improve the stability and mechanical properties
  • 37.
    Sulcular Extension andMarginal Placement:  Sulcular extension and marginal placement are carried out with the LVS two grit diamond. A narrow gingival displacement cord is placed in the sulcus for about eight to ten minutes to slightly displace the tissue. This system of first developing a preparation line confluent with the gingival marginal and then placing a retraction cord prior to refining and extending it into the sulcus ensures.  Access for the diamond.  Less gingival trauma and  Direct vision of the margin during all procedures
  • 38.
    Finish Line Configuration: A feather or knife edge finish line is the most conservative preparation but is inordinately complex because of:  The difficulty in fabrication of porcelain to the required degree of thinness accurately and there is invariably a poor marginal fit or seal.  Laboratory problems in delineating the exact end of preparation line.
  • 39.
     It wouldappear that the most desired form of finish line is a modified chamfer created by the LVS two grit diamond or one of similar shape. This modified chamfer preparation is of nominal depth (0.25mm) near the cementoenamel junction.  The preparation of a chamfer in this cervical area aids in sealing the restoration by removing the acid resistant surface enamel and exposing subsurface enamel which is more readily etched.  The modified chamfer as developed by the two grit diamond seems to be the preparation of choice.
  • 40.
    Benefits of ModifiedChamfer Finish Line:  An increased bulk of porcelain at the margin and hence increased strength without over contour.  Correct enamel preparation exposing correctly aligned enamel rods for increased bond strength at the cervical margin.  A definitive stop to aid in seating the laminate in the correct position on the tooth.  An accurately fitting restoration with sound marginal seal
  • 41.
    Incisal or Occlusalreduction:  The fabrication of a porcelain veneer lapping the incisal edge makes placement of the restoration much easier by virtue of having a definitive stop during seating.  The incisal edge gives the clinician a specific relationship from which to evaluate whether the restoration is correctly positioned.  The sharp line angles created on the buccal and lingual surfaces must be rounded
  • 42.
    The incisal preparationdesign  Gilmour and Stone and Glyde and Gilmour have classified the preparation of this site into four type.: 1. Window or intraenamel preparation labially with intact incisal enamel (results in an inferior appearance). 2. Feathered incisal preparation labially (porcelain is prone to fracture). 3. Incisal edge preparation of 0.5 to 1.0mm tooth reduction incisally (if no tooth lengthening needed) to form a butt joint lingually, and. 4. Incisal edge preparation as in 3, but overlapped onto the lingual surface by using a heavy chamfer preparation, the most versatile.
  • 43.
    Lingual Reduction:  Anyreduction of the incisal edge would necessitate some lingual enamel modification so that there is no butt joint at this incisal/lingual junction but rather a rounded chamfer. This modification will help to prevent the porcelain from shearing away from the incisal edge during function. It also ensures;  Increased thickness of porcelain in this critical lingual area that is being used for incising and guidance.  Enamel bonds at right angles to those on the incisal edge, and Increases strength.
  • 44.
     Reduction –1mm  Spherical diamond  Fine grit diamond  20,000-60,000 rpm under air/water spray.  Prepared wet and examined dry
  • 45.
    Impression Technique:   TissueManagement:  The tissue is displaced so that the final finish line can be seen in the sulcus..  This procedure will displace tissue laterally and provide access to the sulcus.  The cord needs to remain in place for some five minutes.
  • 46.
    Impression:  The impressionmaterial used should be of two viscosities; light and heavy.  The light material should be be syringed into the sulcus
  • 48.
    Temporization:  Temporization forlaminates is usually unnecessary because, in most situations, only half of the enamel surface is removed and the dentinal tubules are not exposed; therefore there should be little or no sensitivity and only minimal esthetic compromise.  However, in certain situations, temporization may become necessary
  • 49.
     There arefour basic techniques for developing the temporary veneers.  Direct composite resin veneer.  Direct composite Resin Veneer Utilizing Vacuform Matrix.  Direct Acrylic Veneers.  Indirect Composite Resin/ Acrylic Resin Veneer
  • 50.
  • 51.
     DIRECT COMPOSITERESIN VENEER UTILISING VACUFORM MATRIX
  • 52.
     INDIRECT COMPOSITERESIN/ACRYLIC RESIN VENEER
  • 53.
    Basic laboratory technique Platinum foil backing  Refractory models  Direct castings  CAD –CAM machining
  • 54.
     Platinum foilbacking : thin layer of platinum foil is placed on the die .The porcelain is layered on the foil. Then the porcelain foil combination is removed from the die and fired in an oven . Before try-in ,the foil is removed and the porcelain is etched .  Refractory models : The restoration is fired directly on the refractory die. This eliminates the platinum layer but makes repeated firings difficult once the laminate veneer has been removed from the die.
  • 55.
     Direct castings: cast ceramic restorations are fabricated using the ‘lost wax’ technique. This eliminates the need for multiple firings but requires extrinsic staining for coloration.  CAD/CAM Machining : A model or video image of the preparation is required, and the restoration always requires modification of the surface porcelain to obtain proper color esthetics.
  • 56.
    Cast ceramic Laminatesystems: There are two distinct system of casts ceramic laminates:  Castable ceramic (Dicor, Dentsply/York Div., York Pa).  Castable apatite (Cera Pearl), Kyocera International Japan). The two systems are remarkably similar despite the fact that the procedures and material are very different. In both, a wax pattern is produced on a conventional in the harmonious esthetic tooth form desired. These patterns are finished in their entirely removed, sprued and invested in their respective types of crucibles, depending on the type of system
  • 57.
     For theDicor system, the cast glass laminate is removed from the investment and placed in the ceramming oven; this process changes the external surface of the glass and crystalline structure.  For the Cera pearl system, the entire mold is transferred to the crystallization oven and heated at 8700C for one hour.  Crystallization takes place producing a casting of hydroxyapatite crystals. The casting is then separated from the investment and cleaned, using the conventional sand blasting technique with alumina oxide powder.  The cast ceramic laminates can then be smoothed, polished and tried into the patient’s mouth.
  • 58.
    Placement of veneers Three stage Try-in procedure  Check Intimate adaptation of each individual porcelain laminate to the prepared tooth surface.  Evaluate the collective fit and relationship of one laminate to another and the contact points.  Assess the color and if necessary, modify.
  • 59.
    Porcelain conditioning  Combinationof micromechanical interlocking and chemical coupling  Hydrofluoric acid etching  Silane coupling agent applied
  • 60.
     Treat theetched veneer with a silane coupling agent to enhance the adhesive properties of resin.  A pre-activated silane is painted onto the veneer surface and allowed to dry for one minute.  Then the excess alcohol vehicle is gently evaporated by passing a stream of air parallel to and approx. 6 in. above the surface of veneer.  This leaves a dry, silanated veneer
  • 61.
     Isolate toothby mylar strips or soft metal matrix band.  Etch enamel with 30%to 37% phosphoric acid for 15 to 20 secs.  Wash etchant with water for 30 secs.  Coat etched tooth surface by enamel or dentin bonding agent.  Disperse the bonding agent into a fine thin layer using a stream of dry air and light cure and seal the surface of the tooth.
  • 62.
    Luting agents  Desirablefeatures for Thin film thickness: 10 to 20um.  High compressive strength  High tensile strength  Relative low viscosity  Ability to opaque, tint and characterize  Low polymerization shrinkage  Color stability. Light cured composite resin system preferred. In case of thick or very opaque veneers, dual cured system are preferred
  • 63.
     Fill thelaminate with the selected composite resin luting agent..
  • 64.
    PLACEMENT AND CURING During placement gently rocking or pulsing motion is used.  Don’t slide the veneer into place.  Lingual aspect is cured first.  Polymerization process is completed by curing various areas of veneer for at least 60 sec. each.
  • 66.
    FINISHING  Use carbidefinishing bur to remove excess cement.  Use the LVS no. 8 bur to remove composite resin along the incisal margin.
  • 69.
    Patient Instruction  First72 hours: Avoid any hard foods and maintain a relatively soft diet. Avoid extremes in temperatures. Alcohol and some medicated mouthwashes should not be used during this period  Routine cleanings are must- at least every four months with a dentist.  Use a soft brush with rounded bristles, and floss, as you do with your natural teeth.  Use a less abrasive toothpaste and one that is not highly fluoridated.
  • 70.
    Failures of laminateveneers  MECHANICAL  Chips  Cracks  Fractures during try in  Debonding –attributed to error in bonding procedure.  BIOLOGICAL  Postoperative sensitivity  Marginal microleakage  ESTHETIC  Shade selection inappropriate
  • 71.
    Conclusion  Perfect smileimproves the self confidence, personality; social life and have psychological effect on improving self image with enhanced self esteem of the patient  New emerging concepts in esthetic dentistry with regards to materials, technology and public awareness has made veneers on demand  The objective of cosmetic dentistry must be to provide the maximum improvement in esthetic with minimum trauma to the dentition.
  • 72.
     There area number of procedures to achieve this and the most notable is that of porcelain laminate veneers.  But the process is highly technique sensitive and must be performed with utmost care for optimum results.
  • 73.
    References  Sturdevant sThe Art and Science of Operative Dentistry, Fifth Edition  Shillingburg. Fundamentals of fixed prosthodontics .third edition  Kenneth Anusavice J. 1996: "Philips' Science of Dental materials".  Graber A.David 1989: "Direct composite veneers versus etched porcelain laminate veneers". DCNA. Vo1.33 (2),301-304
  • 74.
     Graber A.David1989: "Direct composite veneers versus etched porcelain laminate veneers". DCNA. Vo1.33 (2),301-304.  Tjan Anthony H.L. et al 1989 : "microleakage patterns of porcelain and castable ceramic laminate veneers". JPD. Vol.61, 276-282  Faunce F R, Myers D R. Laminate veneer restoration of permanent incisors. J Am Dent Assoc 1976;93:790-792
  • 75.

Editor's Notes

  • #8 Laminate veneers is a cons sol to an esthetic problm ,not meant restore function . Will fare best under conditions of min occlusal forces
  • #15 Esp in try in ph
  • #21 ColorBond strengthPeriodontal health Time consuming Expensive Modifications in color of the laminates is impossible after cementation The veneer itself is rather fragile, but once it is luted to enamel ,the restoration develops both high tensile and shear strengths. This is clinical evident by the fact that veneers cannot be “popped” off teeth but actually have to be ground away using rotary diamonds through to the original tooth surface.
  • #24 if the patient exhibits significant occlusal function (as evidenced by wear facets on the lingual and incisal surfaces).
  • #43 The incisal preparation design is somewhat controversial.
  • #49 Mandibular teeth with incisial reduction should be prevented from erupting by some form of temporary veneers. Those situations where the reduced teeth are just too unesthetic for the patient to function adequate also require temporization.