Complicated Hernia
Chea Chan Hooi
General Surgeon
Sibu Hospital
Content
• Definition
• Epidemiology
• Classification
• Clinical presentation
• Investigations
• Treatment
Definition
• Hernia
• Abnormal exit of tissue/organ through the wall of the cavity in which it
normally resides
• Complicated
• Obstructed
• Strangulated
• Incarcerated
• Recurrent
Epidemiology
• 5 - 10% in the US
• IH > FH > others
• Men 8x more likely to develop hernia and 20x more likely to need
repair compared with women
• Women manifest groin hernias at a later age
Classification
External
• Ventral
• Epigastric
• Spigelian
• Umbilical
• Umbilical per se
• Paraumbilical
• Groin
• Inguinal
• Femoral
• Obturator
• Incisional
• Dorsal
• Lumbar
• Sciatic
Internal
• Cerebral
• Hiatal
Clinical presentation
• Uncomplicated
• Impulse on coughing/straining
• Reducible
• Extent
• Bubonocele - within inguinal canal
• Funicular - exited superficial ring
• Complete inguinoscrotal - into
scrotal sac
Complicated
• Obstructed
• Features of intestinal obstruction
• Irreducible
• Strangulated
• Irreducible
• Tender, indurated, erythematous skin
• Sepsis
• Features of intestinal obstruction
• Incarcerated
• Irreducible
• Relatively well
• No features of obstruction/strangulation
• Recurrent
• Evidence of prior repair
Investigations
• FBC - leukocytosis
• BUSEC - electrolyte derangements, AKI
• ABG - acid-base imbalance
• PT/PTT - sepsis with coagulopathy
• Blood C+S - sepsis
• GSH
Management of Complicated Inguinal Hernia
• Resuscitation
• Volume
• Perfusion
• Acid-base disturbance
• Electrolyte imbalance
• Symptomatic relief
• Ryle's tube
• Analgesics
• Antipyretic
• Antibiotics
• Closed loop obstruction
• Strangulation
• Bowel perforation
Manual reduction
• Rule out strangulation
• Cold pack for 30 mins
• Adequate analgesia and sedation
• Trendelenburg position
• Patient group
• Adults
• Pressure to fundus of the hernia while guiding the proximal portion into the abdomen through the fascial
defect
• Only 1 - 2 attempts
• Controversial
• Children
• Ipsilateral frog leg position
• Deep ring in infants is more medial, i.e. the canal more vertical
• First choice treatment
• Ultrasonography
• Identify the nature of hernia content
• Helps locate the deep ring
• Gives the operator an inside 'view' on the forces & direction for reduction
• Possible complications
• Unrecognised strangulated hernia --> bowel perforation
• Reduction en masse
• Retroperitoneal haematoma
Reduction en-masse
• Migration of a hernial sac along
with its entrapped content into
the properitoneal space
• Usually due to forceful reduction
of a hernia
• Although non-visible, the
pathologic process is on-going
• Patient does not improve or
continues to deteriorate after
'reduction'
Transferring to another hospital
• Resuscitation
• NG tube
• CBD
• Adequate analgesia
• Blood investigations
• Empirical antibiotics
• Trendelenburg position
Surgery
• Anticipate omental & bowel resection
• Mode depends on hernia content involved, degree of contamination,
available equipments & expertise
• Modes
• Open
• Hernioplasty, herniorraphy, herniotomy
• Laparotomy
• Laparoscopic
• Minimal bowel dilatation
• No overt, generalised peritonitis
• Esp. if suspect complicated omentocele
Femoral hernia
• About 10% of groin hernias
• More commonly occur in females (gynecoid pelvis)
• More commonly present with complications
Problems
• Signs not clear-cut
• Location of fundus tends to vary
• Variety of differential diagnoses -
LN, pseudoaneurysm, saphena
varix, psoas abscess pointing,
soft tissue tumour/abscess
• Commonly present with
complication
Management
• Identify complicated FH
• Resuscitate
• Empirical antiobiotics
• Investigations
• Abdominal x-ray
• Ultrasonography
• In ambiguous cases TRO other differentials
• Blood tests
• Surgery
• NO ROLE OF MANUAL REDUCTION
Surgery
• Anticipate bowel resection
• Modes
• Laparoscopic
• Open
• High approach
• Better access & visualisation
• Trans-inguinal approach
• Infra-inguinal approach
Obturator hernia
• Typically an elderly, frail lady who had lost
significant body fat thus opening up the
obturator foramen
• Pain
• In medial thigh/region of greater trochanter
• Relieved by thigh flexion
• Worsened by lateral rotation & extension of
ipsilateral hip (Howship-Romberg sign)
• Intestinal obstruction
• Sepsis from strangulated bowel +- perforation
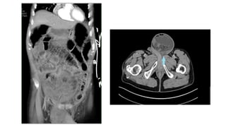
Diagnosis
• Pre-op: high index of clinical suspicion, notorious to be
missed on x-ray, confirmed on CT scan
• Intra-op: during exploratory laparotomy
Treatment
• NO ROLE FOR MANUAL
REDUCTION
• Emergency laparotomy
• Bowel gangrene is common
• Elderly patient with multiple
significant co-morbidities
• Effects of
pneumoperitoneum
• Elective repair
• Laparoscopic or open
Conclusion
• Groin hernias are common --> patients presenting with complications
therefore proportionately high
• Potentially life-threatening
• FH & OH might present with diagnostic dilemma
• Surgical exploration, resection of devitalised tissue and repair is the
main-stay treatment
• Laparoscopic repair is feasible in well-selected emergency patients
Thank you!
Questions?

Complicated hernia

  • 1.
    Complicated Hernia Chea ChanHooi General Surgeon Sibu Hospital
  • 2.
    Content • Definition • Epidemiology •Classification • Clinical presentation • Investigations • Treatment
  • 3.
    Definition • Hernia • Abnormalexit of tissue/organ through the wall of the cavity in which it normally resides • Complicated • Obstructed • Strangulated • Incarcerated • Recurrent
  • 4.
    Epidemiology • 5 -10% in the US • IH > FH > others • Men 8x more likely to develop hernia and 20x more likely to need repair compared with women • Women manifest groin hernias at a later age
  • 5.
    Classification External • Ventral • Epigastric •Spigelian • Umbilical • Umbilical per se • Paraumbilical • Groin • Inguinal • Femoral • Obturator • Incisional • Dorsal • Lumbar • Sciatic Internal • Cerebral • Hiatal
  • 6.
    Clinical presentation • Uncomplicated •Impulse on coughing/straining • Reducible • Extent • Bubonocele - within inguinal canal • Funicular - exited superficial ring • Complete inguinoscrotal - into scrotal sac
  • 7.
    Complicated • Obstructed • Featuresof intestinal obstruction • Irreducible • Strangulated • Irreducible • Tender, indurated, erythematous skin • Sepsis • Features of intestinal obstruction • Incarcerated • Irreducible • Relatively well • No features of obstruction/strangulation • Recurrent • Evidence of prior repair
  • 9.
  • 10.
    • FBC -leukocytosis • BUSEC - electrolyte derangements, AKI • ABG - acid-base imbalance • PT/PTT - sepsis with coagulopathy • Blood C+S - sepsis • GSH
  • 12.
    Management of ComplicatedInguinal Hernia • Resuscitation • Volume • Perfusion • Acid-base disturbance • Electrolyte imbalance • Symptomatic relief • Ryle's tube • Analgesics • Antipyretic • Antibiotics • Closed loop obstruction • Strangulation • Bowel perforation
  • 13.
    Manual reduction • Ruleout strangulation • Cold pack for 30 mins • Adequate analgesia and sedation • Trendelenburg position • Patient group • Adults • Pressure to fundus of the hernia while guiding the proximal portion into the abdomen through the fascial defect • Only 1 - 2 attempts • Controversial • Children • Ipsilateral frog leg position • Deep ring in infants is more medial, i.e. the canal more vertical • First choice treatment
  • 15.
    • Ultrasonography • Identifythe nature of hernia content • Helps locate the deep ring • Gives the operator an inside 'view' on the forces & direction for reduction • Possible complications • Unrecognised strangulated hernia --> bowel perforation • Reduction en masse • Retroperitoneal haematoma
  • 16.
    Reduction en-masse • Migrationof a hernial sac along with its entrapped content into the properitoneal space • Usually due to forceful reduction of a hernia • Although non-visible, the pathologic process is on-going • Patient does not improve or continues to deteriorate after 'reduction'
  • 17.
    Transferring to anotherhospital • Resuscitation • NG tube • CBD • Adequate analgesia • Blood investigations • Empirical antibiotics • Trendelenburg position
  • 18.
    Surgery • Anticipate omental& bowel resection • Mode depends on hernia content involved, degree of contamination, available equipments & expertise • Modes • Open • Hernioplasty, herniorraphy, herniotomy • Laparotomy • Laparoscopic • Minimal bowel dilatation • No overt, generalised peritonitis • Esp. if suspect complicated omentocele
  • 21.
    Femoral hernia • About10% of groin hernias • More commonly occur in females (gynecoid pelvis) • More commonly present with complications
  • 22.
    Problems • Signs notclear-cut • Location of fundus tends to vary • Variety of differential diagnoses - LN, pseudoaneurysm, saphena varix, psoas abscess pointing, soft tissue tumour/abscess • Commonly present with complication
  • 23.
    Management • Identify complicatedFH • Resuscitate • Empirical antiobiotics • Investigations • Abdominal x-ray • Ultrasonography • In ambiguous cases TRO other differentials • Blood tests • Surgery • NO ROLE OF MANUAL REDUCTION
  • 24.
    Surgery • Anticipate bowelresection • Modes • Laparoscopic • Open • High approach • Better access & visualisation • Trans-inguinal approach • Infra-inguinal approach
  • 25.
    Obturator hernia • Typicallyan elderly, frail lady who had lost significant body fat thus opening up the obturator foramen • Pain • In medial thigh/region of greater trochanter • Relieved by thigh flexion • Worsened by lateral rotation & extension of ipsilateral hip (Howship-Romberg sign) • Intestinal obstruction • Sepsis from strangulated bowel +- perforation
  • 26.
    Diagnosis • Pre-op: highindex of clinical suspicion, notorious to be missed on x-ray, confirmed on CT scan • Intra-op: during exploratory laparotomy
  • 27.
    Treatment • NO ROLEFOR MANUAL REDUCTION • Emergency laparotomy • Bowel gangrene is common • Elderly patient with multiple significant co-morbidities • Effects of pneumoperitoneum • Elective repair • Laparoscopic or open
  • 28.
    Conclusion • Groin herniasare common --> patients presenting with complications therefore proportionately high • Potentially life-threatening • FH & OH might present with diagnostic dilemma • Surgical exploration, resection of devitalised tissue and repair is the main-stay treatment • Laparoscopic repair is feasible in well-selected emergency patients
  • 29.