X QUANG NGỰC
Đối tượng: sinh viên Y2 module hô hấp
BS. TRẦN THỊ MAI THUỲ
BM CĐHA ĐH Y DƯỢC TP.HCM
MỤC TIÊU
1/ Trình bày được các kỹ thuật khảo sát X quang
ngực và các tiêu chuẩn đánh giá
2/ Đọc được hình ảnh X quang ngực bình thường
3/ Nhận diện được một số bất thường thường gặp
trên XQ ngực
Nội dung
1/ Kỹ thuật khảo sát X quang ngực
2/ Giải phẫu X quang ngực
3/ Một số bất thường trên X quang ngực
Kỹ thuật X quang ngực: thế chụp
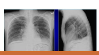
1. Thế thẳng: sau-trước, trước sau
2. Thế nghiêng
3. Thế chếch
4. Thế đỉnh ưỡn
5. Thế nằm nghiêng tia chiếu ngang
6. Chụp thì thở ra
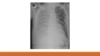
Thế thẳng sau -
‐trước (P.A)
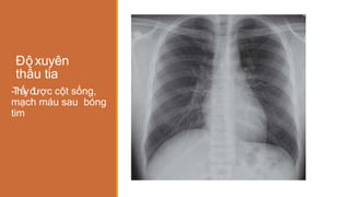
Đánh giá kỹ thuật
- Độ xuyên thấu tia
- Hít đủ sâu
- Hình cân xứng
- Sự phóng đại
Độ xuyên
thấu tia
-
T
h
ấ
yđ
ược cột sống,
mạch máu sau bóng
tim
Tia yếu (hình
quá trắng)
-
‐Vòm hoành (T) có thể
không nhìn thấy rõ do
đáy phổi (T) bị mờ 

Giả bệnh lý hoặc ẩn đi
bệnh lý của đáy phổi (T)
-
‐Các mạch máu phổi có
thể sẽ thấy rõ rang, nổi
bật hơn Nhầm với
suy tim sung huyết, xơ
phổi
Tia cứng (hình
quá đen)
-
‐Các mạch máu phổi
nhìn có vẻ giảm
hoặc không thấy
Hít đủsâu
-
‐Cung sau xương
sườn 10 nằm trên
vòm hoành (P)
Hít không đủ
sâu
-
‐Các mạch máu phổi
sẽ bị dồn ép lại đặc
biệt là vùng đáy phổi
Nhầm với viêm
thùy dưới phổi
Hình cân xứng
-
‐Khoảng cách từ
đầu trong xương
đòn đến mỏm gai
đốt sống ngực hai
bên bằng nhau
Khi hình bịxoay
-
‐Xoay các cấu trúc
mạch máu, tim, rốn
phổi và cơ hoành
-
‐Rốn phổi bên xa
cassette sẽ to hơn
-
‐Vòm hoành bên xa
cassette sẽ cao hơn
Sự phóng đại
-
‐Cấu trúc càng gần
cassette càng ít
phóng đại ngược lại
càng xa cassette
càng bị phóng đại so
với kích thước thật.
Thế thẳng trước ‐sau (A.P)
Thế
nghiêng
Nguyên tắc:
nghiêng bên nào
bên đó gần phim
Nhận biết: đa số trường hợp
phim nghiêng (P) có 2 vòm
hoành song song với nhau,
phim nghiêng (T) 2 vòm
hoành cắt nhau. Ngoại lệ:
dựa vào các xương sườn
Thế nghiêng: Đạt yêu cầu
1. Thấy toàn bộ phổi từ đỉnh tới góc sườn hoành
2. Cánh tay không chồng lên phế trường
3. Xương ức không bị xoay
4. Các xương sườn hai bên chồng nhau
5. Thấy mạch máu ở khoảng sáng sau tim
-
‐Thành ngực bên cần chụp áp vào hộp phim,
tạo với cassette một góc # 450
-
‐Đạt yêu cầu:
1. Thấy toàn bộ và rõ hai phổi
2. Khoảng cách từ cột sống đến bờ ngoài
phần ngực phía xa phim rộng gấp 2 lần
phía đối bên
Thế chếch:
-
‐Hiện nay ít được chỉ định
-
‐Xem gãy xương sườn, tổn
thương phổi
-
‐Chếch trước (P) và trước (T)
-
‐Chếch sau (P) và sau (T)
Chếch trước (P)
Chếch trước (T)
Thế đỉnh ưỡn (apicallordotic)
Do Felix Fleischner thực hiện từ năm 1926.
Chỉ định:
- Cần làm rõ tổn thương vùng đỉnh phổi bị che bởi xương đòn
-Nghi ngờ xẹp/đông đặc thùy giữa phổi (P), phân thùy lưỡi của
thùy trên phổi (T) trên phim thẳng/nghiêng
Phim đỉnh ưỡn
đạt yêu cầu khi
-
‐2 xương đòn cân xứng
và nằm trên vùng đỉnh
phổi
-
‐Thấy được đỉnh phổi
và toàn bộ phổi
-
‐Xương sườn hơi biến
dạng, đôi khi cung trước
và sau hơi chồng lên
nhau
Xẹp thùy giữa phổi (P)
Chụp thì thở ra
Tìm ứ khí ở phổi khu
trú hay lan tỏa
Tràn khí màng phổi
lượng ít
Hít vào Thở ra
Câu hỏi
Clicker
Trong chụp X
quang ngực,
chiều thế nào
được sử dụng
thường qui
A B
C D
Giải phẫu X quangngực
1/ Mô mềm
2/ Khung xương
3/ Màng phổi
4/ Rốn phổi
5/ Khí - Phế quản - Nhu mô phổi
6/ Trung thất
7/ Cơ hoành
1/ Mô mềm
- Các nếp da
- Cơ ức đòn chũm
- Bóng mờ “đi kèm” của xương đòn
- Bóng vú
- Núm vú
2/ Xương lồngngực
- Xương sườn
- Xương ức
- Cột sống ngực
- Xương vai
- Xương đòn
Khung xương
Bờ dưới xương sườn
Bờ dưới xương sườn vùng giữa và thấp dạng dải mờ (tránh lầm phản ứng màng xương)
Đầu xương sườn phía sau khớp vào thân
sống và mỏm ngang 
tránh lầm gãy
xương sườn
Nam: thường đóng vôi bờ
trên và dưới
Nữ: trung tâm
Bắt đầu x.sườn 1 (#30 tuổi)


xs cuối 

x.sườn 2 (70
tuổi)
Gãy xương ức (PB: khớp cán ức-thân ức (T4), khớp thân ức-mũi kiếm (T9)
3/ Màng phổi -‐khoang màng phổi
Góc sườn hoành: nhọn
Góc tâm hoành: tù nhẹ
(mỡ)
Các rãnh màng phổi
Rãnh liên thùy bé: hơi lồi về phía trên, ngoài cao nhẹ, dài 2/3 phế trường, dạng 1 hoặc 2 đường mờ
Các rãnh phụ màngphổi
Tần suất gặp cao 

thấp: rãnh phụ dưới
(10-20%), rãnh liên thùy
bé (T) (2%), rãnh tĩnh
mạch đơn (0.4%), rãnh
phụ trên,
Rãnh TM đơn hình ảnh “giọt lệ”
4/ Rốn phổi
Rốn phổi
Rốn phổi
5/ Khí -‐Phế quản -‐Nhu mô phổi
Cây khí -‐phế quản
Nhu mô phổi
Phân vùng phổi
1.Vùng đỉnh phổi.
2.Vùng hạ đòn.
3.Vùng giữa phổi.
4.Vùng đáy phổi.
Phân vùng phổi
Các thùy phổi
- Phổi (P): Thùy trên, giữa và dưới
- Phổi (T): thùy trên và dưới
Các thùy phổi
Các thùy phổi
Các thùy phổi
Các thùy phổi
Các thùy phổi
Mạch máu phổi
Giới hạn để nhìn thấy mạch
máu phổi là 1,5cm từ thành
ngực.
KT mạch máu vùng đáy
gấp 2 vùng đỉnh.
Số lượng mạch máu: 1/3
dưới > 1/3 giữa > 1/3 trên
Câu hỏi Clicker
Về phân thùy phổi, CHỌN CÂU SAI
A. Phổi (P) có 3 thùy: trên, giữa và dưới
B. Phổi (T) có 3 thùy: trên, lưỡi và dưới
C. Thùy giữa phổi (P) phân cách với thùy trên và dưới bởi rãnh liên thùy
bé và lớn
D. Thùy dưới phổi (T) không có phân thùy đáy trong
6/ Trung thất
Trung thất
Aorta: động mạch chủ
Superior vena cava: TM chủ trên
Right atrium: nhĩ phải
Right ventricle: thất phải
Inferior vena cava: TM chủ dưới
Pulmonary trunk: thân ĐM phổi
Leí atrium: nhĩtrái
Pulmpnary vein: TM mạch phổi
Leí ventricle: thấttrái
Các bờ trung thất
Bờ trái
ĐM dưới đòn (T)
Cung động mạch chủ
Cung ĐM phổi
Bờ ngoài thất (T)
BỜ TIỂU NHĨ (T): không thấy
Bờ phải
TM chủ trên
Bờ ngoài nhĩ (P)
Bờ TMC dưới: không thấy
Chỉ số tim-ngực
(r + l)/td
Bình thường
0,4 - 0,5
Bóng tim to > 0,5
Bóng tim nhỏ < 0,4
r
l
td
Bóng tim
7/ Cơ hoành
P cao hơn T: 88%, kc#1.5 – 2cm.
P ngang T: 9%
P thấp hơn T: 3% nhưng kc <1cm
Bờ nhẵn đều hoặc lồi phân múi
Cơ hoành
Vòm hoành cao bất thường
TDMP thể hoành
Nhão hoành, liệt cơ hoành
Abscess dưới hoành
Gan to, u gan
Báng bụng…
Tóm tắt
X quang ngực thế sau - trước (PA) là thế được sử
dụng thường qui.
Thành ngực bao gồm mô mềm và khung xương thành
ngực
Phổi (P) có 3 thùy. Phổi (T) có 2 thùy, phổi (T) không
có thùy giữa.
Chỉ số tim-lồng ngực bình thường 0,4-0,5
CÁC VÙNG DỄ BỎ SÓT TRONG KHẢO SÁT XQ PHỔI
BẤT THƯỜNG
XƯƠNG THÀNH NGỰC
BẨM SINH:
◦ LÕM NGỰC
◦ LỒI NGỰC
MẮC PHẢI:
◦ CHẤN THƯƠNG: GÃY XƯƠNG SƯỜN, XƯƠNG ĐÒN
LÕM NGỰC
(PECTUS EXCAVATUM)
Lõm ngực: xương ức lõm, chèn ép
tim và nhu mô phổi
LỒI NGỰC
(pectus carinatum)
Xương ức nhô ra trước (lồng ngực ức gà)
GÃY XƯƠNG
Gãy xương đòn (P) và x. sườn 2


6
(P)
Câu hỏi clicker
Em hãy chọn hình có gãy xương sườn, cho biết gãy xương sườn nào và vị trí gãy?
BẤT THƯỜNG MÀNG PHỔI
TRÀN DỊCH MÀNG PHỔI:
◦TDMP tự do
◦TDMP thể hoành
◦TDMP khu trú
TRÀN KHÍ MÀNG PHỔI
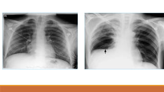
TDMP TỰ DO
PHIM THẲNG ĐỨNG
•TÙ GÓC SƯỜN HOÀNH
•BÓNG MỜ VÙNG THẤP XÓA BỜ VÒM HOÀNH VỚI
GIỚI HẠN TRÊN LÀ ĐƯỜNG CONG DAMOISEAU
•ĐẨY TRUNG THẤT VỀ PHÍA ĐỐIDIỆN
•XẸP PHỔI THỤ ĐỘNG (+/-)
•THAY ĐỔI THEO TƯ THẾ
TDMP TỰ DO
PHIM NGHIÊNG
•TÙ GÓC SƯỜN HOÀNH TRƯỚC VÀ SAU
•BÓNG MỜ VÙNG THẤP VỚI GIỚI HẠN TRÊN LÀ
ĐƯỜNG CONG LÕM XUỐNG DƯỚI
ĐƯỜNG CONG DAMOISEAU
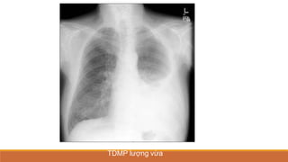
TDMP lượng ít
TDMP lượng vừa
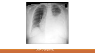
TDMP lượng nhiều
TDMP ÁP LỰC, ĐẨY TRUNG THẤT VỀ PHÍA ĐỐIDIỆN
TDMP TỰ DO
PHIM NẰM
MỜ LAN TỎA PHẾ TRƯỜNG VỚI BÓNG MẠCH MÁU VẪN CÒN
MỜ VÙNG ĐỈNH PHỔI VÀ NGOẠI BIÊN
MẤT BÓNG MỜ SẮC NÉT CỦA VÒM HOÀNH ĐỒNG BÊN
TÙ GÓC SƯỜN HOÀNH
DÀY RÃNH LIÊN THÙY BÉ
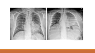
TDMP THỂ HOÀNH
PHIM ĐỨNG
◦ KHÔNG CÓ ĐƯỜNG CONG DAMOISEAU
◦ BÊN (T): ĐÁY PHỔI CAO, TĂNG KC BÓNG HƠI DẠ DÀY-ĐÁY PHỔI >
1,5CM
◦ BÊN (P): ĐÁY PHỔI (P) CAO BẤT THƯỜNG VỚI ĐỈNH LỆCH RA
NGOÀI ĐƯỜNG TRUNG ĐÒN
TDMP KHU TRÚ
KHÔNG THAY ĐỔI THEO TƯ THẾ
PHIM THẲNG VÀ TIẾP TUYẾN: GIỐNG TT THÀNH NGỰC
PHIM NGHIÊNG:
◦ TRÀN DỊCH RÃNH LIÊN THÙY: BÓNG MỜ HÌNH THOI, HAI ĐẦU NHỌN, Ở
VỊ TRÍ RÃNH LIÊN THÙY 

HÌNH ẢNH GIẢ U HAY U MA, MẤT ĐI SAU ĐIỀU
TRỊ (PB VỚI U)
TRÀN DỊCH RÃNH LIÊN THÙY BÉ
TRÀN KHÍ MÀNG PHỔI
• PHIM ĐỨNG:
• VÙNG SÁNG VÔ MẠCH NẰM NGOÀI LÁ TẠNG
• ĐƯỜNG MỜ CỦA LÁ TẠNG BAO BỌC NHU MÔ PHỔI XẸP
• TKMP ÁP LỰC: ĐẨY TRUNG THẤT VỀ ĐỐI BÊN, XẸP PHỔI THỤ ĐỘNG,VÒM
HOÀNH DẸT, RỘNG KHOẢNG LIÊN SƯỜN
• PHIM NẰM:
• GIỐNG PHIM ĐỨNG
• DH KHE SÂU
TKMP TƯ THẾ ĐỨNG
TKMP ÁP LỰC
TKMP CHỤP TƯ THẾĐỨNG
TKMP CHỤP TƯ THẾNẰM: DH khe sâu
Câu hỏi Clicker
Bạn hãy chọn hình tràn dịch màng phổi và mô tả hình ảnh đó?
TỔN THƯƠNG MÔ KẼ
ĐN: có dịch, tế bào bất thường trong khoảng kẽ
NGUYÊN NHÂN:
◦ TỔN THƯƠNG MÔ KẼ DẠNG ĐƯỜNG: suy tim (T)
◦ DẠNG NỐT: lao, di căn
◦ DẠNG TỔ ONG: xơ phổi, bụi phổi…
BIỂU HIỆN TT MÔ KẼ
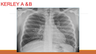
DẠNG ĐƯỜNG:
◦ KERLEY A: đỉnh, trung tâm, hình cung, dài #3-5cm, dày #3-4mm, bản chất là dày
mô kẽ trục PQ-MM
◦ KERLEY B: đáy, ngoại biên, vuông góc màng phổi, dài #2cm, dày <2mm, bản
chất là mô kẽ ngoại biên (vách liên tiểu thùy)
◦ KERLEY C: chồng nhau của Kerley A vàB
DẠNG BÓNG MỜ:
◦ Nốt: nhỏ, lớn
◦ Lưới, lưới-nốt, tổ ong
BIỂU HIỆN TỔN THƯƠNG MÔKẼ
TT MÔ KẼ DẠNG NỐT
TT MÔ KẼ DẠNG NỐT
TT MÔ KẼ DẠNG LƯỚI-NỐT
TTMK DẠNG TỔ ONG
DẠNG NỐT LỚN:
- 1 nốt
- nhiều nốt
Di căn phổi: hình ảnh “bong bóng bay”
CÁC ĐƯỜNG KERLEY
NGUYÊN NHÂN THƯỜNG GẶP NHẤT: PHÙ PHỔI
NGUYÊN NHÂN KHÁC:
◦ HẸP VAN 2 LÁ
◦ LYMPHANGITIC CARCINOMATOSIS
◦ LYMPHOMA
◦ XƠ PHỔI VÔ CĂN
◦ SARCOIDOSIS
KERLEY A &B
SUY TIM
TỔN THƯƠNG PHẾ NANG
TỔN THƯƠNG PHẾ NANG
ĐN: có dịch, tế bào bất thường (xác BC, TB K), thức ăn (trong HC Mendelson hay
thuốc cản quang trong phế nang.
NGUYÊN NHÂN:
◦ TỔN THƯƠNG PN KHU TRÚ: viêm, nhồi máu, lao, nấm, K, …
◦ TỔN THƯƠNG PN LAN TỎA:
CẤPTÍNH: OAP, viêm phổi…
MẠNTÍNH: lao, nấm, K (UTTPQ-PN), sỏi nhỏ phế nang (microlithiasis)…
TỔN THƯƠNG PHẾ NANG
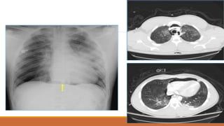
Bn hít thuốc cản quang
PHÂN BIỆT TT PHẾ NANG VÀ MÔ KẼ
1. BỜ CỦA TỔNTHƯƠNG
2. TÍNH HỢP LƯU
Kênh Lambert (canal of Lambert) (6): các
đường dẫn khí bàng hệ nhỏ (collateral
airways) giữa các tiểu phế quản xa với phế
nang lân cận.
Lỗ Kohn (pore of Kohn) (8): lỗ thông thương
nhỏ giữa các chùm phế nang tạo đường
thông khí bàng hệ giữa các phế nang, đường
kính <10 micrometers.
2. TÍNH HỢP LƯU
2. TÍNH HỢP LƯU
3. TÍNH
HỆ THỐNG
4.KHÍ PHẾ QUẢN ĐỒ (air-bronchogram)
Là hình ảnh khí trong các phế quản và phế nang còn bình thường (biểu hiện trên Xquang là đường
sáng phân nhánh hay hình sáng trong phế nang) nằm trong vùng mờ của các phế nang bị tổn
thương.
Là hình ảnh đặc trưng của tổn thương phế nang. Khi các phế quản bị lấp đầy bởi dịch hay tổn
thương phế nang do tắc nghẽn (khí bị tái hấp thu), không thấy hình ảnh này.
Có thể gặp trong:
◦ Đông đặc phổi
◦ Phù phổi cấp
◦ Xẹp phổi không do tắc nghẽn (non-obstructive atelectasis)
◦ U (UTBM TPQ-PN, lymphoma)
◦ Nhồi máu phổi
Hình ảnh KPQ đồ tồn tại trong nhiều tuần dù điều trị kháng sinh thích hợp nghingờ u phổi kếthợp
CT và sinh thiết
4.KHÍ PHẾ QUẢN ĐỒ
(air-bronchogram)
4.KHÍ PHẾ QUẢN ĐỒ
5. HÌNH CÁNH BƯỚM (CÁNH DƠI)
Được mô tả trên XQ và CT
5. HÌNH CÁNH BƯỚM
Nguyên nhân:
◦ Phù phổi cấp (đặc biệt OAP do tim)
◦ Viêm phổi
◦ Tổn thương phổi do hít khí độc, chất lỏng
◦ Bệnh lắng đọng protein phế nang
◦ Xuất huyết phế nang
◦ Lymphoma, leukaemia
◦ Ung thư tiểu phế quản phế nang (UTTPQ-PN)
PHÙ PHỔI CẤP
BN nam 25 tuổi, ho ra máu và tiểu máu cấp tính, có triệu chứng nhiễm siêu vi trước đó 5 tuần, sinh thiết thận cho thấy lắng
đọng kháng thể IgG tại cầu thận, XQ: tổn thương phế nang hình cánh bướm do xuất huyết phế nang lan tỏa 

H
C
Goodpasture
PB HÌNH MỜ CỦA PHẾ NANG & MÔ KẼ
Câu hỏi clicker
Em hãy chọn hình có tổn thương mô kẽ và mô tả hình ảnh tổn
thương
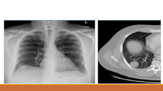
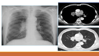
XẸP THÙY TRÊN(P)
XẸP PHỔI DO U
XẸP THÙY GIỮA(P)
XẸP THÙY GIỮA(P)
XẸP THÙY DƯỚI(P)
XẸP THÙY DƯỚI(P)
Ít gặp, thường do u chèn ép phế quản trung gian. XQ: xóa bờ tim (P) và vòm hoành (P), rãnh liên thùy lớn (mũi tên đen) và
rãnh liên thùy bé (mũi tên trắng) bị kéo xuống
XẸP THÙY TRÊN(T)
XẸP THÙY TRÊN(T)
XẸP THÙY DƯỚI(T)
XẸP THÙY DƯỚI(T)
Cần phân biệt xẹp phổi và đông đặcphổi


giống nhau: hình mờ


khác nhau: dấu hiệu giảm thể tích: xẹp
phổi (+), đông đặc (-)
ĐÔNG ĐẶC THÙY TRÊN(P)
HÌNH ẢNH GIẢ ĐÔNG ĐẶC THÙYTRÊN
DH cánh buồm: tuyến ức bình thường ở trẻ em
ĐÔNG ĐẶC THÙY GIỮA(P)
HÌNH ẢNH GIẢ ĐÔNG ĐẶC THÙYGIỮA
ĐÔNG ĐẶC THÙY DƯỚI (P)
ĐÔNG ĐẶC THÙY TRÊN(T)
ĐÔNG ĐẶC THÙY DƯỚI (T)
CÁC DẠNG TỔN THƯƠNG NHU MÔ PHỔI
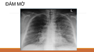
ĐÁM MỜ
KHỐI MỜ (ĐK>3CM)
NỐT MỜ (ĐK</=3CM)
Ứ KHÍ PHẾ NANG
KHÍ PHẾ THŨNG
Câu hỏi clicker
Em hãy chọn hình xẹp phổi và mô tả hình ảnh tổn thương:
DH BÓNG MỜ (xóabờ) (Silhouette sign)
Nguyên lý: hai cấu trúc có cùng đậm độ dịch tiếp xúc nhau, bờ của chúng sẽ bị xóa
ĐN của B. Felson năm 1950: nếu bóng mờ trong lồng ngực tiếp xúc với bờ tim hay ĐMCN
sẽ xóa bờ của chúng, còn nếu không tiếp xúc sẽ không xóa bờ của chúng.
Dùng để xác định vị trí tổn thương trong phổi và tổn thương thuộc ngăn trung thất nào dựa
vào tính chất xóa bờ tim hay bờ ĐMC ngực
U trung thất trước (xóa bờ ĐMC lên và không xóa bờ ĐMC xuống) và trên
DH CHE PHỦ RỐN PHỔI
Felson mô tả
Nếu bờ mạch máu rốn phổi còn thấy rõ thì khối mờ nằm phía trước hay sau rốn phổi,
nếu bờ mạch máu bị xóa thì tổn thương nằm tại rốn phổi
DH NGỰC BỤNG
Do Felson mô tả
Góc sườn hoành sau đi xuống sâu hơn đáy phổi phía trước
Tổn thương nằm ở phần thấp của vùng ngực, nếu bờ dưới còn rõ khi
vượt qua vòm hoành thì ở trong lồng ngực, nếu bờ gián đoạn đột ngột khi
đi qua vòm hoành thì có phần trong lồng ngực, có phần trong ổ bụng
DẤU HIỆU VÒM HOÀNH LIÊN TỤC
Levin mô tả năm 1973
Bình thường không thấy phần giữa của cơ hoành do áp vào tim
Khí nằm giữa tim và cơ hoành tạo ra giao diện mô-khí
Thấy trên XQ thế thẳng đứng
Điển hình của tràn khí trung thất, có thể gặp trong: tràn khí ổ bụng, tràn khí
màng tim
Cần phân biệt với liềm hơi dướihoành
KẾT LUẬN
TDMP: hình ảnh XQ thay đổi tuỳ loại tràn dịch và tư thế chụp phim
TT phế nang: đám mờ, giới hạn không rõ, khí phế quản đồ
TT mô kẽ: nốt, lưới, đường Kerley
Đông đặc thuỳ phổi: mờ một thuỳ phổi, không kéo các cấu trúc xung quanh
Xẹp phổi thuỳ: mờ một thuỳ phổi, không kéo các cấu trúc xung quanh
U phổi: khối mờ, nốt mờ, dấu hiệu xẹp phổi do u
TÀI LIỆU THAM KHẢO
1. Lê Văn Phước, XQ ngực, 2013
2. Phạm Ngọc Hoa, Bài giảng Xquang, 2013
3. William E. Brant, Fundamentals of diagnostic radiology, 2013
4. Christopher Clarke, Chest X-rays for Medical Students, 2013
5. Jonathan Corne, Chest X-Ray Made Easy, 2010
X quang ngực-module ho hap.pptx

X quang ngực-module ho hap.pptx

  • 1.
    X QUANG NGỰC Đốitượng: sinh viên Y2 module hô hấp BS. TRẦN THỊ MAI THUỲ BM CĐHA ĐH Y DƯỢC TP.HCM
  • 2.
    MỤC TIÊU 1/ Trìnhbày được các kỹ thuật khảo sát X quang ngực và các tiêu chuẩn đánh giá 2/ Đọc được hình ảnh X quang ngực bình thường 3/ Nhận diện được một số bất thường thường gặp trên XQ ngực
  • 3.
    Nội dung 1/ Kỹthuật khảo sát X quang ngực 2/ Giải phẫu X quang ngực 3/ Một số bất thường trên X quang ngực
  • 4.
    Kỹ thuật Xquang ngực: thế chụp 1. Thế thẳng: sau-trước, trước sau 2. Thế nghiêng 3. Thế chếch 4. Thế đỉnh ưỡn 5. Thế nằm nghiêng tia chiếu ngang 6. Chụp thì thở ra
  • 5.
    Thế thẳng sau- ‐trước (P.A)
  • 6.
    Đánh giá kỹthuật - Độ xuyên thấu tia - Hít đủ sâu - Hình cân xứng - Sự phóng đại
  • 7.
    Độ xuyên thấu tia - T h ấ yđ ượccột sống, mạch máu sau bóng tim
  • 8.
    Tia yếu (hình quátrắng) - ‐Vòm hoành (T) có thể không nhìn thấy rõ do đáy phổi (T) bị mờ   Giả bệnh lý hoặc ẩn đi bệnh lý của đáy phổi (T) - ‐Các mạch máu phổi có thể sẽ thấy rõ rang, nổi bật hơn Nhầm với suy tim sung huyết, xơ phổi
  • 9.
    Tia cứng (hình quáđen) - ‐Các mạch máu phổi nhìn có vẻ giảm hoặc không thấy
  • 10.
    Hít đủsâu - ‐Cung sauxương sườn 10 nằm trên vòm hoành (P)
  • 11.
    Hít không đủ sâu - ‐Cácmạch máu phổi sẽ bị dồn ép lại đặc biệt là vùng đáy phổi Nhầm với viêm thùy dưới phổi
  • 12.
    Hình cân xứng - ‐Khoảngcách từ đầu trong xương đòn đến mỏm gai đốt sống ngực hai bên bằng nhau
  • 13.
    Khi hình bịxoay - ‐Xoaycác cấu trúc mạch máu, tim, rốn phổi và cơ hoành - ‐Rốn phổi bên xa cassette sẽ to hơn - ‐Vòm hoành bên xa cassette sẽ cao hơn
  • 14.
    Sự phóng đại - ‐Cấutrúc càng gần cassette càng ít phóng đại ngược lại càng xa cassette càng bị phóng đại so với kích thước thật.
  • 15.
  • 16.
    Thế nghiêng Nguyên tắc: nghiêng bênnào bên đó gần phim Nhận biết: đa số trường hợp phim nghiêng (P) có 2 vòm hoành song song với nhau, phim nghiêng (T) 2 vòm hoành cắt nhau. Ngoại lệ: dựa vào các xương sườn
  • 17.
    Thế nghiêng: Đạtyêu cầu 1. Thấy toàn bộ phổi từ đỉnh tới góc sườn hoành 2. Cánh tay không chồng lên phế trường 3. Xương ức không bị xoay 4. Các xương sườn hai bên chồng nhau 5. Thấy mạch máu ở khoảng sáng sau tim
  • 18.
    - ‐Thành ngực bêncần chụp áp vào hộp phim, tạo với cassette một góc # 450 - ‐Đạt yêu cầu: 1. Thấy toàn bộ và rõ hai phổi 2. Khoảng cách từ cột sống đến bờ ngoài phần ngực phía xa phim rộng gấp 2 lần phía đối bên Thế chếch: - ‐Hiện nay ít được chỉ định - ‐Xem gãy xương sườn, tổn thương phổi - ‐Chếch trước (P) và trước (T) - ‐Chếch sau (P) và sau (T)
  • 19.
  • 20.
  • 21.
    Thế đỉnh ưỡn(apicallordotic) Do Felix Fleischner thực hiện từ năm 1926. Chỉ định: - Cần làm rõ tổn thương vùng đỉnh phổi bị che bởi xương đòn -Nghi ngờ xẹp/đông đặc thùy giữa phổi (P), phân thùy lưỡi của thùy trên phổi (T) trên phim thẳng/nghiêng
  • 22.
    Phim đỉnh ưỡn đạtyêu cầu khi - ‐2 xương đòn cân xứng và nằm trên vùng đỉnh phổi - ‐Thấy được đỉnh phổi và toàn bộ phổi - ‐Xương sườn hơi biến dạng, đôi khi cung trước và sau hơi chồng lên nhau
  • 26.
  • 27.
    Chụp thì thởra Tìm ứ khí ở phổi khu trú hay lan tỏa Tràn khí màng phổi lượng ít
  • 28.
  • 29.
    Câu hỏi Clicker Trong chụpX quang ngực, chiều thế nào được sử dụng thường qui A B C D
  • 30.
    Giải phẫu Xquangngực 1/ Mô mềm 2/ Khung xương 3/ Màng phổi 4/ Rốn phổi 5/ Khí - Phế quản - Nhu mô phổi 6/ Trung thất 7/ Cơ hoành
  • 31.
    1/ Mô mềm -Các nếp da - Cơ ức đòn chũm - Bóng mờ “đi kèm” của xương đòn - Bóng vú - Núm vú
  • 33.
    2/ Xương lồngngực -Xương sườn - Xương ức - Cột sống ngực - Xương vai - Xương đòn
  • 34.
  • 36.
  • 37.
    Bờ dưới xươngsườn vùng giữa và thấp dạng dải mờ (tránh lầm phản ứng màng xương)
  • 38.
    Đầu xương sườnphía sau khớp vào thân sống và mỏm ngang  tránh lầm gãy xương sườn
  • 39.
    Nam: thường đóngvôi bờ trên và dưới Nữ: trung tâm Bắt đầu x.sườn 1 (#30 tuổi)   xs cuối   x.sườn 2 (70 tuổi)
  • 40.
    Gãy xương ức(PB: khớp cán ức-thân ức (T4), khớp thân ức-mũi kiếm (T9)
  • 42.
    3/ Màng phổi-‐khoang màng phổi Góc sườn hoành: nhọn Góc tâm hoành: tù nhẹ (mỡ)
  • 43.
  • 44.
    Rãnh liên thùybé: hơi lồi về phía trên, ngoài cao nhẹ, dài 2/3 phế trường, dạng 1 hoặc 2 đường mờ
  • 45.
    Các rãnh phụmàngphổi Tần suất gặp cao   thấp: rãnh phụ dưới (10-20%), rãnh liên thùy bé (T) (2%), rãnh tĩnh mạch đơn (0.4%), rãnh phụ trên,
  • 46.
    Rãnh TM đơnhình ảnh “giọt lệ”
  • 47.
  • 48.
  • 49.
  • 50.
    5/ Khí -‐Phếquản -‐Nhu mô phổi
  • 51.
  • 52.
  • 53.
    Phân vùng phổi 1.Vùngđỉnh phổi. 2.Vùng hạ đòn. 3.Vùng giữa phổi. 4.Vùng đáy phổi.
  • 54.
  • 55.
    Các thùy phổi -Phổi (P): Thùy trên, giữa và dưới - Phổi (T): thùy trên và dưới
  • 56.
  • 57.
  • 58.
  • 59.
  • 60.
  • 61.
    Mạch máu phổi Giớihạn để nhìn thấy mạch máu phổi là 1,5cm từ thành ngực. KT mạch máu vùng đáy gấp 2 vùng đỉnh. Số lượng mạch máu: 1/3 dưới > 1/3 giữa > 1/3 trên
  • 62.
    Câu hỏi Clicker Vềphân thùy phổi, CHỌN CÂU SAI A. Phổi (P) có 3 thùy: trên, giữa và dưới B. Phổi (T) có 3 thùy: trên, lưỡi và dưới C. Thùy giữa phổi (P) phân cách với thùy trên và dưới bởi rãnh liên thùy bé và lớn D. Thùy dưới phổi (T) không có phân thùy đáy trong
  • 63.
  • 64.
    Trung thất Aorta: độngmạch chủ Superior vena cava: TM chủ trên Right atrium: nhĩ phải Right ventricle: thất phải Inferior vena cava: TM chủ dưới Pulmonary trunk: thân ĐM phổi Leí atrium: nhĩtrái Pulmpnary vein: TM mạch phổi Leí ventricle: thấttrái
  • 65.
    Các bờ trungthất Bờ trái ĐM dưới đòn (T) Cung động mạch chủ Cung ĐM phổi Bờ ngoài thất (T) BỜ TIỂU NHĨ (T): không thấy
  • 66.
    Bờ phải TM chủtrên Bờ ngoài nhĩ (P) Bờ TMC dưới: không thấy
  • 67.
    Chỉ số tim-ngực (r+ l)/td Bình thường 0,4 - 0,5 Bóng tim to > 0,5 Bóng tim nhỏ < 0,4 r l td Bóng tim
  • 68.
  • 69.
    P cao hơnT: 88%, kc#1.5 – 2cm. P ngang T: 9% P thấp hơn T: 3% nhưng kc <1cm Bờ nhẵn đều hoặc lồi phân múi Cơ hoành
  • 70.
    Vòm hoành caobất thường TDMP thể hoành Nhão hoành, liệt cơ hoành Abscess dưới hoành Gan to, u gan Báng bụng…
  • 71.
    Tóm tắt X quangngực thế sau - trước (PA) là thế được sử dụng thường qui. Thành ngực bao gồm mô mềm và khung xương thành ngực Phổi (P) có 3 thùy. Phổi (T) có 2 thùy, phổi (T) không có thùy giữa. Chỉ số tim-lồng ngực bình thường 0,4-0,5
  • 72.
    CÁC VÙNG DỄBỎ SÓT TRONG KHẢO SÁT XQ PHỔI
  • 73.
    BẤT THƯỜNG XƯƠNG THÀNHNGỰC BẨM SINH: ◦ LÕM NGỰC ◦ LỒI NGỰC MẮC PHẢI: ◦ CHẤN THƯƠNG: GÃY XƯƠNG SƯỜN, XƯƠNG ĐÒN
  • 74.
    LÕM NGỰC (PECTUS EXCAVATUM) Lõmngực: xương ức lõm, chèn ép tim và nhu mô phổi
  • 75.
    LỒI NGỰC (pectus carinatum) Xươngức nhô ra trước (lồng ngực ức gà)
  • 76.
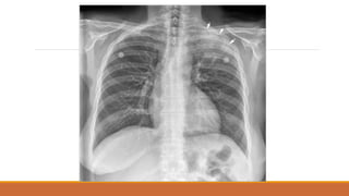
    GÃY XƯƠNG Gãy xươngđòn (P) và x. sườn 2   6 (P)
  • 77.
    Câu hỏi clicker Emhãy chọn hình có gãy xương sườn, cho biết gãy xương sườn nào và vị trí gãy?
  • 78.
    BẤT THƯỜNG MÀNGPHỔI TRÀN DỊCH MÀNG PHỔI: ◦TDMP tự do ◦TDMP thể hoành ◦TDMP khu trú TRÀN KHÍ MÀNG PHỔI
  • 79.
    TDMP TỰ DO PHIMTHẲNG ĐỨNG •TÙ GÓC SƯỜN HOÀNH •BÓNG MỜ VÙNG THẤP XÓA BỜ VÒM HOÀNH VỚI GIỚI HẠN TRÊN LÀ ĐƯỜNG CONG DAMOISEAU •ĐẨY TRUNG THẤT VỀ PHÍA ĐỐIDIỆN •XẸP PHỔI THỤ ĐỘNG (+/-) •THAY ĐỔI THEO TƯ THẾ
  • 80.
    TDMP TỰ DO PHIMNGHIÊNG •TÙ GÓC SƯỜN HOÀNH TRƯỚC VÀ SAU •BÓNG MỜ VÙNG THẤP VỚI GIỚI HẠN TRÊN LÀ ĐƯỜNG CONG LÕM XUỐNG DƯỚI
  • 81.
  • 82.
  • 83.
  • 84.
  • 85.
    TDMP ÁP LỰC,ĐẨY TRUNG THẤT VỀ PHÍA ĐỐIDIỆN
  • 86.
    TDMP TỰ DO PHIMNẰM MỜ LAN TỎA PHẾ TRƯỜNG VỚI BÓNG MẠCH MÁU VẪN CÒN MỜ VÙNG ĐỈNH PHỔI VÀ NGOẠI BIÊN MẤT BÓNG MỜ SẮC NÉT CỦA VÒM HOÀNH ĐỒNG BÊN TÙ GÓC SƯỜN HOÀNH DÀY RÃNH LIÊN THÙY BÉ
  • 88.
    TDMP THỂ HOÀNH PHIMĐỨNG ◦ KHÔNG CÓ ĐƯỜNG CONG DAMOISEAU ◦ BÊN (T): ĐÁY PHỔI CAO, TĂNG KC BÓNG HƠI DẠ DÀY-ĐÁY PHỔI > 1,5CM ◦ BÊN (P): ĐÁY PHỔI (P) CAO BẤT THƯỜNG VỚI ĐỈNH LỆCH RA NGOÀI ĐƯỜNG TRUNG ĐÒN
  • 91.
    TDMP KHU TRÚ KHÔNGTHAY ĐỔI THEO TƯ THẾ PHIM THẲNG VÀ TIẾP TUYẾN: GIỐNG TT THÀNH NGỰC PHIM NGHIÊNG: ◦ TRÀN DỊCH RÃNH LIÊN THÙY: BÓNG MỜ HÌNH THOI, HAI ĐẦU NHỌN, Ở VỊ TRÍ RÃNH LIÊN THÙY   HÌNH ẢNH GIẢ U HAY U MA, MẤT ĐI SAU ĐIỀU TRỊ (PB VỚI U)
  • 94.
    TRÀN DỊCH RÃNHLIÊN THÙY BÉ
  • 95.
    TRÀN KHÍ MÀNGPHỔI • PHIM ĐỨNG: • VÙNG SÁNG VÔ MẠCH NẰM NGOÀI LÁ TẠNG • ĐƯỜNG MỜ CỦA LÁ TẠNG BAO BỌC NHU MÔ PHỔI XẸP • TKMP ÁP LỰC: ĐẨY TRUNG THẤT VỀ ĐỐI BÊN, XẸP PHỔI THỤ ĐỘNG,VÒM HOÀNH DẸT, RỘNG KHOẢNG LIÊN SƯỜN • PHIM NẰM: • GIỐNG PHIM ĐỨNG • DH KHE SÂU
  • 96.
  • 97.
  • 98.
    TKMP CHỤP TƯTHẾĐỨNG
  • 99.
    TKMP CHỤP TƯTHẾNẰM: DH khe sâu
  • 100.
    Câu hỏi Clicker Bạnhãy chọn hình tràn dịch màng phổi và mô tả hình ảnh đó?
  • 102.
    TỔN THƯƠNG MÔKẼ ĐN: có dịch, tế bào bất thường trong khoảng kẽ NGUYÊN NHÂN: ◦ TỔN THƯƠNG MÔ KẼ DẠNG ĐƯỜNG: suy tim (T) ◦ DẠNG NỐT: lao, di căn ◦ DẠNG TỔ ONG: xơ phổi, bụi phổi…
  • 103.
    BIỂU HIỆN TTMÔ KẼ DẠNG ĐƯỜNG: ◦ KERLEY A: đỉnh, trung tâm, hình cung, dài #3-5cm, dày #3-4mm, bản chất là dày mô kẽ trục PQ-MM ◦ KERLEY B: đáy, ngoại biên, vuông góc màng phổi, dài #2cm, dày <2mm, bản chất là mô kẽ ngoại biên (vách liên tiểu thùy) ◦ KERLEY C: chồng nhau của Kerley A vàB DẠNG BÓNG MỜ: ◦ Nốt: nhỏ, lớn ◦ Lưới, lưới-nốt, tổ ong
  • 104.
    BIỂU HIỆN TỔNTHƯƠNG MÔKẼ
  • 105.
    TT MÔ KẼDẠNG NỐT
  • 106.
    TT MÔ KẼDẠNG NỐT
  • 107.
    TT MÔ KẼDẠNG LƯỚI-NỐT
  • 108.
  • 109.
    DẠNG NỐT LỚN: -1 nốt - nhiều nốt Di căn phổi: hình ảnh “bong bóng bay”
  • 110.
    CÁC ĐƯỜNG KERLEY NGUYÊNNHÂN THƯỜNG GẶP NHẤT: PHÙ PHỔI NGUYÊN NHÂN KHÁC: ◦ HẸP VAN 2 LÁ ◦ LYMPHANGITIC CARCINOMATOSIS ◦ LYMPHOMA ◦ XƠ PHỔI VÔ CĂN ◦ SARCOIDOSIS
  • 111.
  • 113.
  • 114.
  • 115.
    TỔN THƯƠNG PHẾNANG ĐN: có dịch, tế bào bất thường (xác BC, TB K), thức ăn (trong HC Mendelson hay thuốc cản quang trong phế nang. NGUYÊN NHÂN: ◦ TỔN THƯƠNG PN KHU TRÚ: viêm, nhồi máu, lao, nấm, K, … ◦ TỔN THƯƠNG PN LAN TỎA: CẤPTÍNH: OAP, viêm phổi… MẠNTÍNH: lao, nấm, K (UTTPQ-PN), sỏi nhỏ phế nang (microlithiasis)…
  • 116.
    TỔN THƯƠNG PHẾNANG Bn hít thuốc cản quang
  • 117.
    PHÂN BIỆT TTPHẾ NANG VÀ MÔ KẼ
  • 118.
    1. BỜ CỦATỔNTHƯƠNG
  • 119.
    2. TÍNH HỢPLƯU Kênh Lambert (canal of Lambert) (6): các đường dẫn khí bàng hệ nhỏ (collateral airways) giữa các tiểu phế quản xa với phế nang lân cận. Lỗ Kohn (pore of Kohn) (8): lỗ thông thương nhỏ giữa các chùm phế nang tạo đường thông khí bàng hệ giữa các phế nang, đường kính <10 micrometers.
  • 120.
  • 121.
  • 122.
  • 123.
    4.KHÍ PHẾ QUẢNĐỒ (air-bronchogram) Là hình ảnh khí trong các phế quản và phế nang còn bình thường (biểu hiện trên Xquang là đường sáng phân nhánh hay hình sáng trong phế nang) nằm trong vùng mờ của các phế nang bị tổn thương. Là hình ảnh đặc trưng của tổn thương phế nang. Khi các phế quản bị lấp đầy bởi dịch hay tổn thương phế nang do tắc nghẽn (khí bị tái hấp thu), không thấy hình ảnh này.
  • 124.
    Có thể gặptrong: ◦ Đông đặc phổi ◦ Phù phổi cấp ◦ Xẹp phổi không do tắc nghẽn (non-obstructive atelectasis) ◦ U (UTBM TPQ-PN, lymphoma) ◦ Nhồi máu phổi Hình ảnh KPQ đồ tồn tại trong nhiều tuần dù điều trị kháng sinh thích hợp nghingờ u phổi kếthợp CT và sinh thiết 4.KHÍ PHẾ QUẢN ĐỒ (air-bronchogram)
  • 125.
  • 126.
    5. HÌNH CÁNHBƯỚM (CÁNH DƠI) Được mô tả trên XQ và CT
  • 127.
    5. HÌNH CÁNHBƯỚM Nguyên nhân: ◦ Phù phổi cấp (đặc biệt OAP do tim) ◦ Viêm phổi ◦ Tổn thương phổi do hít khí độc, chất lỏng ◦ Bệnh lắng đọng protein phế nang ◦ Xuất huyết phế nang ◦ Lymphoma, leukaemia ◦ Ung thư tiểu phế quản phế nang (UTTPQ-PN)
  • 128.
  • 129.
    BN nam 25tuổi, ho ra máu và tiểu máu cấp tính, có triệu chứng nhiễm siêu vi trước đó 5 tuần, sinh thiết thận cho thấy lắng đọng kháng thể IgG tại cầu thận, XQ: tổn thương phế nang hình cánh bướm do xuất huyết phế nang lan tỏa   H C Goodpasture
  • 130.
    PB HÌNH MỜCỦA PHẾ NANG & MÔ KẼ
  • 131.
    Câu hỏi clicker Emhãy chọn hình có tổn thương mô kẽ và mô tả hình ảnh tổn thương
  • 132.
  • 134.
  • 135.
  • 136.
  • 137.
  • 138.
  • 139.
    Ít gặp, thườngdo u chèn ép phế quản trung gian. XQ: xóa bờ tim (P) và vòm hoành (P), rãnh liên thùy lớn (mũi tên đen) và rãnh liên thùy bé (mũi tên trắng) bị kéo xuống
  • 140.
  • 141.
  • 142.
  • 143.
  • 144.
    Cần phân biệtxẹp phổi và đông đặcphổi   giống nhau: hình mờ   khác nhau: dấu hiệu giảm thể tích: xẹp phổi (+), đông đặc (-)
  • 145.
  • 147.
    HÌNH ẢNH GIẢĐÔNG ĐẶC THÙYTRÊN DH cánh buồm: tuyến ức bình thường ở trẻ em
  • 148.
  • 150.
    HÌNH ẢNH GIẢĐÔNG ĐẶC THÙYGIỮA
  • 151.
  • 153.
  • 155.
  • 157.
    CÁC DẠNG TỔNTHƯƠNG NHU MÔ PHỔI
  • 158.
  • 159.
  • 160.
  • 161.
  • 162.
    Câu hỏi clicker Emhãy chọn hình xẹp phổi và mô tả hình ảnh tổn thương:
  • 163.
    DH BÓNG MỜ(xóabờ) (Silhouette sign) Nguyên lý: hai cấu trúc có cùng đậm độ dịch tiếp xúc nhau, bờ của chúng sẽ bị xóa ĐN của B. Felson năm 1950: nếu bóng mờ trong lồng ngực tiếp xúc với bờ tim hay ĐMCN sẽ xóa bờ của chúng, còn nếu không tiếp xúc sẽ không xóa bờ của chúng. Dùng để xác định vị trí tổn thương trong phổi và tổn thương thuộc ngăn trung thất nào dựa vào tính chất xóa bờ tim hay bờ ĐMC ngực
  • 170.
    U trung thấttrước (xóa bờ ĐMC lên và không xóa bờ ĐMC xuống) và trên
  • 173.
    DH CHE PHỦRỐN PHỔI Felson mô tả Nếu bờ mạch máu rốn phổi còn thấy rõ thì khối mờ nằm phía trước hay sau rốn phổi, nếu bờ mạch máu bị xóa thì tổn thương nằm tại rốn phổi
  • 176.
    DH NGỰC BỤNG DoFelson mô tả Góc sườn hoành sau đi xuống sâu hơn đáy phổi phía trước Tổn thương nằm ở phần thấp của vùng ngực, nếu bờ dưới còn rõ khi vượt qua vòm hoành thì ở trong lồng ngực, nếu bờ gián đoạn đột ngột khi đi qua vòm hoành thì có phần trong lồng ngực, có phần trong ổ bụng
  • 179.
    DẤU HIỆU VÒMHOÀNH LIÊN TỤC Levin mô tả năm 1973 Bình thường không thấy phần giữa của cơ hoành do áp vào tim Khí nằm giữa tim và cơ hoành tạo ra giao diện mô-khí Thấy trên XQ thế thẳng đứng Điển hình của tràn khí trung thất, có thể gặp trong: tràn khí ổ bụng, tràn khí màng tim
  • 181.
    Cần phân biệtvới liềm hơi dướihoành
  • 182.
    KẾT LUẬN TDMP: hìnhảnh XQ thay đổi tuỳ loại tràn dịch và tư thế chụp phim TT phế nang: đám mờ, giới hạn không rõ, khí phế quản đồ TT mô kẽ: nốt, lưới, đường Kerley Đông đặc thuỳ phổi: mờ một thuỳ phổi, không kéo các cấu trúc xung quanh Xẹp phổi thuỳ: mờ một thuỳ phổi, không kéo các cấu trúc xung quanh U phổi: khối mờ, nốt mờ, dấu hiệu xẹp phổi do u
  • 183.
    TÀI LIỆU THAMKHẢO 1. Lê Văn Phước, XQ ngực, 2013 2. Phạm Ngọc Hoa, Bài giảng Xquang, 2013 3. William E. Brant, Fundamentals of diagnostic radiology, 2013 4. Christopher Clarke, Chest X-rays for Medical Students, 2013 5. Jonathan Corne, Chest X-Ray Made Easy, 2010

Editor's Notes

  • #114 A chest x-ray showing heart failure encompasses a few different concepts we have already covered, including cardiomegaly (increased heart size/increased cardiothoracic ratio) and pleural effusion. Two additional chest x-ray signs of heart failure are: “Kerley B lines” (not to be confused with Cardi B…): short parallel lines at the edge of the lungs “cephalization of vessels“: the blood vessels in the upper chest (closer to the “cepha” or head) are more prominent due to high blood pressure in the pulmonary veins