X- QUANG NGỰC
PGS. Trần Văn Ngọc
vu do minh [Date] [Course title]
Nội dung:
– Bài này cung cấp cho các bạn những kiến thức cơ bản về X-quang ngực, giải phẫu hô hấp,
cây phế quản, hướng dẫn các bạn cách đọc một phim X-quang cơ bản, thứ tự đọc phim x-
quang, những dấu hiệu cơ bản trên phim X-quang ngực.
– Nhắc lại giải phẫu hô hấp: Các bạn cần lưu ý đến các chi tiết:
+ Khí phế quản
+ Nhu mô phổi
+ Trung thất
+ Tim
+ Mạch máu
– Đường hô hấp dưới bắt đầu dưới nắp thanh môn bao gồm khí quản sau khi đi vào lồng
ngực chia 2 thành PQ gốc phải và trái . Những phế quản nầy phân chia thành các phế quản
thùy và phân thùy . PQ phân thùy tiếp tục phân chia thành những PQ tiểu phân thùy lớn ( 5
thế hệ ) và nhỏ ( 15 thế hệ ). Những PQ nầy ít sụn dần và không còn sụn khi đến tiểu PQ.
Tiểu PQ phân nhánh thành tiểu PQ hô hấp thế hệ 1  thế hệ 2  thế hệ 3  ống phế
nang  túi phế nang và phế nang. Một tiểu thùy phổi bao gồm tiểu PQ tận và Acinus ( tiểu
PQ hô hấp 3-8 thế hệ + túi phế nang và phế nang )
– Sơ đồ một tiểu thùy thứ phát là những cấu trúc hình đa diện không đều, kích thước từ 1-2,5 cm đường kính ,
có động mạch trung tâm tiểu thùy , tiểu phế quản và vách sợi liên kết dày # 0,1 mm. Vách mô liên kết nầy tạo
thành ranh giới của tiểu thùy thứ phát bao quanh các tĩnh mạch và mạch bạch huyết . Mạch bạch huyết thấy
trong cấu trúc vách và trung tâm tiểu thùy (không nhìn thấy bằng HRCT). Tiểu PQ hô hấp , ống phế nang và
phế nang nằm giữa lõi và vách.
– Acinus : là phần phổi nằm sau tiểu phế quản tận và bao gồm tiểu phế quản hô hấp , ống
phế nang , túi phế nang , phế nang và mạch máu đi kèm cùng mô liên kết. Đường kính
acinus từ 6-10 mm.
– Cung cấp máu cho phế nang là từ những nhánh của động mạch phổi , còn tĩnh mạch phổi cung cấp máu cho
phế quản. Hệ thống mao mạch dầy đặc xung quanh phế nang giúp tăng sự trao đổi khí theo nhu cầu sinh lý của
cơ thể. Máu Tĩnh mạch từ động mạch phổi đến phế nang mang nhiều CO2 và khuếch tán qua màng phế nang
mao mạch vào phế nang và nhận O2 từ phế nang vào máu theo tĩnh mạch phổi về tim và cung cấp cho cơ thể.
Thân ĐMP chia 2 nhánh ĐMP(P) và ĐMP(T).
ĐMP phân chia theo dạng cành cây . Bình thường khó thấy mạch máu phổi ở vùng ngoại biên (cách 3-4cm tính
từ ngoài vào)
ĐMP song song với phế quản, ( TM thì không.)
Khẩu kính ĐMP/ phế quản  1,2.
Khẩu kính ĐMP ở 1/3 trên = ½ ở 1/3 dưới khi đứng và bằng nhau khi nằm.
Kỹ thuật chụp X-quang ngực
– Tư thế sau trước : Ngực BN áp sát vào bảng phim , tia X đi từ sau ra trước. BN hít sâu và nín thở , 2 tay chống
ngang hông và 2 vai áp ra trước giúp xương vai không năm trong phế trường. Đây là tư thế chụp thường
xuyên nhất vì kích thước các cơ quan trong lồng ngực gần như thật.
– Tư thế trước sau : dành cho những BN nằm tại giường , không đứng được . Kích thước các cơ quan trung
thất to hơn kích thước thật do cơ quan trung thất nằm xa bảng phim.
Xác định phim chụp sau trước bằng cách nhìn vào khe sáng giữa 2 đốt sống cổ có hình dấu ( ˅ ) và thấy rõ
xương sườn trước và nằm ngang .Trong khi đó , ta sẽ thấy khe sáng giữa 2 đốt sống có hình dấu ( ^ ) .
– Chụp nghiêng phải hay trái : BN áp thành ngực bên bệnh một góc 90o vào bảng phim , 2 tay đưa lên cao .
– Hình ảnh X quang thẳng cho thấy hình ảnh bóng mờ giới hạn rõ vùng trung tâm phổi phải .
X quang nghiêng phải ghinhận bóng mờ dạng hình thoi năm ngay đường đi rãng liên thùy lớn , điển hình
của tràn dịch màng phổi rãng liên thùy
– Chụp chéo sau trước hay trước sau ( BN nghiêng 45o) , tùy thuộc vào nơi tổn thương . Xương sườn nằm
song song với phim nếu có thể và tia hướng vào bờ dưới xương sườn và chụp khi BN thở ra và nín thở
– Trước khi phân tích 1 phim x quang , cần lưu ý tên BN , ngày sinh , khoa phòng , và luôn luôn kiểm tra ngày
chụp phim và sắp xếp theo thứ tự từ trước đến nay.
– Yêu cầu kỹ thuật :
Khoảng cách phim – đầu đèn : 185cm
Hít vào đủ sâu : vòm hoành ngang mức cung sau xương sường 9
Cân xứng : mỏm gai T3 nằm giữa hai khớp ức đòn
Tia vừa đủ : thấy rõ các đốt sống từ T4 trở lên , bóng tim , cơ hoành mạch máu sắc nét
Xương vai phải tách khỏi phế trường
Búi tóc phải bới cao trên đầu …
– Tư thế cân đối khi mỏm gai T3 nằm giữa 2 khớp ức đòn. Tư thế đúng giúp đánh giá trung thất chính xác hơn.
Hình 1: mỏm gai cột sống lệch trái
Hình 2: mỏm gai nằm giữa 2 đầu xương đòn.
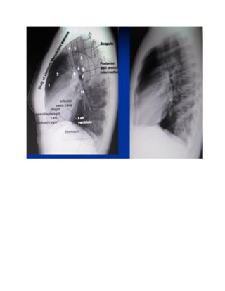
– Các cấu trúc bình thường trong lồng ngực .
1: Khí quản
2: PQ gốc phải
3: PQ gốc trái
4: ĐMP trái
5:ĐMP thùy trên
6:ĐMP thùy dưới
7:PQ gốc trái
8: Cung ĐMC
9: Thân TM tay đầu
10 :TM Azygos
– Quan sát khung xương : về số lượng và tính chất của xương sườn , xương đòn , xương vai và cột sống. Dấu
hiệu bất thường có thể là gẫy , mất hay hũy xương , can xương , khuyết xương .
Cơ hoành phải cao hơn trái 2-3 cm . Vòm hoành hướng vể đỉnh phổi và chiều cao 1,5 cm và thường đồng nhất .
Khoảng cách bờ dưới phổi trái và bóng hơi dạ dày thường < 1 cm
Một số hình thái cơ hoành bình thường :
A. Cơ hoành hình mép vỏ sò
B. mép cơ
C. cơ hoành dạng bướu
– Không thấy được màng phổi tạng do áp lực âm trong xoang màng phổi làm màng phổi tạng áp sát vào lồng
ngực .Có thể thấy được rãnh liên thùy bé
– Bờ ngoài cơ ức đòn chũm hay xương sườn 1 tạo nên hình ảnh giả hang vùng đỉnh phổi .
– Đường đi của rãnh liên thùy và các thùy phổi đối chiếu lên thành ngực .
A. Rãnh liên thùy bé : nằm ngang khoảng liên sườn 4
B. Rãnh liên thùy lớn : chạy chéo từ sau ( liên sườn 3 ra trước và chấm dứt ở xương sườn 6 đường trung đòn
Thứ tự đọc phim X-quang ngực
P : patient information : tên , bệnh sử , hình X quang ngực trước
I : inspiration : hít vào đủ sâu
P : penetration : độ xuyên thấu
E : exposed area : Vùng tiếp xúc
R : Rotation : xoay
A: airway : Đường thở
B: Breathing : Thở
C: Circulation : tuần hoàn
D: Diaphragm : Cơ hoành
E: Everything else : các bộ phận khác

Xcr

  • 1.
    X- QUANG NGỰC PGS.Trần Văn Ngọc vu do minh [Date] [Course title]
  • 2.
    Nội dung: – Bàinày cung cấp cho các bạn những kiến thức cơ bản về X-quang ngực, giải phẫu hô hấp, cây phế quản, hướng dẫn các bạn cách đọc một phim X-quang cơ bản, thứ tự đọc phim x- quang, những dấu hiệu cơ bản trên phim X-quang ngực. – Nhắc lại giải phẫu hô hấp: Các bạn cần lưu ý đến các chi tiết: + Khí phế quản + Nhu mô phổi + Trung thất + Tim + Mạch máu
  • 3.
    – Đường hôhấp dưới bắt đầu dưới nắp thanh môn bao gồm khí quản sau khi đi vào lồng ngực chia 2 thành PQ gốc phải và trái . Những phế quản nầy phân chia thành các phế quản thùy và phân thùy . PQ phân thùy tiếp tục phân chia thành những PQ tiểu phân thùy lớn ( 5 thế hệ ) và nhỏ ( 15 thế hệ ). Những PQ nầy ít sụn dần và không còn sụn khi đến tiểu PQ. Tiểu PQ phân nhánh thành tiểu PQ hô hấp thế hệ 1  thế hệ 2  thế hệ 3  ống phế nang  túi phế nang và phế nang. Một tiểu thùy phổi bao gồm tiểu PQ tận và Acinus ( tiểu PQ hô hấp 3-8 thế hệ + túi phế nang và phế nang )
  • 4.
    – Sơ đồmột tiểu thùy thứ phát là những cấu trúc hình đa diện không đều, kích thước từ 1-2,5 cm đường kính , có động mạch trung tâm tiểu thùy , tiểu phế quản và vách sợi liên kết dày # 0,1 mm. Vách mô liên kết nầy tạo thành ranh giới của tiểu thùy thứ phát bao quanh các tĩnh mạch và mạch bạch huyết . Mạch bạch huyết thấy trong cấu trúc vách và trung tâm tiểu thùy (không nhìn thấy bằng HRCT). Tiểu PQ hô hấp , ống phế nang và phế nang nằm giữa lõi và vách. – Acinus : là phần phổi nằm sau tiểu phế quản tận và bao gồm tiểu phế quản hô hấp , ống phế nang , túi phế nang , phế nang và mạch máu đi kèm cùng mô liên kết. Đường kính acinus từ 6-10 mm.
  • 7.
    – Cung cấpmáu cho phế nang là từ những nhánh của động mạch phổi , còn tĩnh mạch phổi cung cấp máu cho phế quản. Hệ thống mao mạch dầy đặc xung quanh phế nang giúp tăng sự trao đổi khí theo nhu cầu sinh lý của cơ thể. Máu Tĩnh mạch từ động mạch phổi đến phế nang mang nhiều CO2 và khuếch tán qua màng phế nang mao mạch vào phế nang và nhận O2 từ phế nang vào máu theo tĩnh mạch phổi về tim và cung cấp cho cơ thể. Thân ĐMP chia 2 nhánh ĐMP(P) và ĐMP(T). ĐMP phân chia theo dạng cành cây . Bình thường khó thấy mạch máu phổi ở vùng ngoại biên (cách 3-4cm tính từ ngoài vào) ĐMP song song với phế quản, ( TM thì không.) Khẩu kính ĐMP/ phế quản  1,2. Khẩu kính ĐMP ở 1/3 trên = ½ ở 1/3 dưới khi đứng và bằng nhau khi nằm.
  • 13.
    Kỹ thuật chụpX-quang ngực – Tư thế sau trước : Ngực BN áp sát vào bảng phim , tia X đi từ sau ra trước. BN hít sâu và nín thở , 2 tay chống ngang hông và 2 vai áp ra trước giúp xương vai không năm trong phế trường. Đây là tư thế chụp thường xuyên nhất vì kích thước các cơ quan trong lồng ngực gần như thật.
  • 15.
    – Tư thếtrước sau : dành cho những BN nằm tại giường , không đứng được . Kích thước các cơ quan trung thất to hơn kích thước thật do cơ quan trung thất nằm xa bảng phim. Xác định phim chụp sau trước bằng cách nhìn vào khe sáng giữa 2 đốt sống cổ có hình dấu ( ˅ ) và thấy rõ xương sườn trước và nằm ngang .Trong khi đó , ta sẽ thấy khe sáng giữa 2 đốt sống có hình dấu ( ^ ) .
  • 16.
    – Chụp nghiêngphải hay trái : BN áp thành ngực bên bệnh một góc 90o vào bảng phim , 2 tay đưa lên cao .
  • 17.
    – Hình ảnhX quang thẳng cho thấy hình ảnh bóng mờ giới hạn rõ vùng trung tâm phổi phải . X quang nghiêng phải ghinhận bóng mờ dạng hình thoi năm ngay đường đi rãng liên thùy lớn , điển hình của tràn dịch màng phổi rãng liên thùy
  • 19.
    – Chụp chéosau trước hay trước sau ( BN nghiêng 45o) , tùy thuộc vào nơi tổn thương . Xương sườn nằm song song với phim nếu có thể và tia hướng vào bờ dưới xương sườn và chụp khi BN thở ra và nín thở
  • 20.
    – Trước khiphân tích 1 phim x quang , cần lưu ý tên BN , ngày sinh , khoa phòng , và luôn luôn kiểm tra ngày chụp phim và sắp xếp theo thứ tự từ trước đến nay. – Yêu cầu kỹ thuật : Khoảng cách phim – đầu đèn : 185cm Hít vào đủ sâu : vòm hoành ngang mức cung sau xương sường 9 Cân xứng : mỏm gai T3 nằm giữa hai khớp ức đòn Tia vừa đủ : thấy rõ các đốt sống từ T4 trở lên , bóng tim , cơ hoành mạch máu sắc nét Xương vai phải tách khỏi phế trường Búi tóc phải bới cao trên đầu …
  • 23.
    – Tư thếcân đối khi mỏm gai T3 nằm giữa 2 khớp ức đòn. Tư thế đúng giúp đánh giá trung thất chính xác hơn.
  • 24.
    Hình 1: mỏmgai cột sống lệch trái Hình 2: mỏm gai nằm giữa 2 đầu xương đòn.
  • 26.
    – Các cấutrúc bình thường trong lồng ngực .
  • 28.
    1: Khí quản 2:PQ gốc phải 3: PQ gốc trái 4: ĐMP trái 5:ĐMP thùy trên 6:ĐMP thùy dưới 7:PQ gốc trái 8: Cung ĐMC 9: Thân TM tay đầu 10 :TM Azygos
  • 29.
    – Quan sátkhung xương : về số lượng và tính chất của xương sườn , xương đòn , xương vai và cột sống. Dấu hiệu bất thường có thể là gẫy , mất hay hũy xương , can xương , khuyết xương .
  • 30.
    Cơ hoành phảicao hơn trái 2-3 cm . Vòm hoành hướng vể đỉnh phổi và chiều cao 1,5 cm và thường đồng nhất . Khoảng cách bờ dưới phổi trái và bóng hơi dạ dày thường < 1 cm Một số hình thái cơ hoành bình thường : A. Cơ hoành hình mép vỏ sò B. mép cơ C. cơ hoành dạng bướu
  • 31.
    – Không thấyđược màng phổi tạng do áp lực âm trong xoang màng phổi làm màng phổi tạng áp sát vào lồng ngực .Có thể thấy được rãnh liên thùy bé
  • 33.
    – Bờ ngoàicơ ức đòn chũm hay xương sườn 1 tạo nên hình ảnh giả hang vùng đỉnh phổi .
  • 35.
    – Đường đicủa rãnh liên thùy và các thùy phổi đối chiếu lên thành ngực .
  • 37.
    A. Rãnh liênthùy bé : nằm ngang khoảng liên sườn 4 B. Rãnh liên thùy lớn : chạy chéo từ sau ( liên sườn 3 ra trước và chấm dứt ở xương sườn 6 đường trung đòn
  • 40.
    Thứ tự đọcphim X-quang ngực P : patient information : tên , bệnh sử , hình X quang ngực trước I : inspiration : hít vào đủ sâu P : penetration : độ xuyên thấu E : exposed area : Vùng tiếp xúc R : Rotation : xoay A: airway : Đường thở B: Breathing : Thở C: Circulation : tuần hoàn D: Diaphragm : Cơ hoành E: Everything else : các bộ phận khác