T CELL LYMPHOMAS
BY: Dr. M.Swetha
CONTENTS
• INTRODUCTION
• PRECURSOR T-CELL NEOPLASM
• MATURE T-CELL NEOPLASMS
• SUMMARY
INTRODUCTION
• Mature T- and Natural killer (NK)- cell malignancies are rare, accounting
for 10 – 12% of all Non-Hodgkin's lymphoma.
• More common in Asia and linked to EBV viral infection (NK-cell
lymphomas) and human T-cell leukaemia virus (HTLV-1) (adult T-cell
leukaemia/lymphoma).
• More aggressive than B-cell lymphomas.
WHO CLASSIFICATION OF PRECURSOR LYMPHOID NEOPLASMS
• T-Lymphoblastic leukemia/lymphoma
• Early T-cell Precursor lymphoblastic leukemia
• Nk-lymphoblastic leukemia/lymphoma
T-LYMPHOBLASTIC LEUKEMIA/LYMPHOMA
(Precursor T-lymphoblastic leukaemia/ lymphoma)
• Definition : Refers to neoplasm of immature lymphoid cells
(lymphoblasts) of T-cell lineage.
• Age : Most common in adolescents and young adults
Median age of 28 years.
• SEX: Males > Females.
• Clinical findings : Widespread lymphadenopathy (neck, axillae and
supraclavicular).
• Mediastinal mass is common
• Hepatosplenomegaly often present.
T-Lymphoblastic leukemia
T-ALL T-LBL
• Involving Bone marrow and
Blood
• 15% of childhood ALL cases
• 25% of cases of adult ALL
• Involving Thymus or Nodal or
Extra nodal
• 85–90% of all LBLs
Peripheral blood smear and Bone Marrow
• Anemia
• Granulocytopenia,
• Lymphoblasts >25%
• Thrombocytopenia
LYMPH NODE
• Architecture : Effaced
• Capsule & Para cortex :
Involved
• Pattern : Multinodular –
mimicking Follicular
lymphoma.
Starry Sky -
mimicking Burkitt lymphoma.
• Lymphoblasts : Medium sized-
round or Convoluted nuclei -
High N: C ratio, Frequent
mitotic figures.
TdT, CD34, CD1a & CD99 are positive
(suggest Precursor T-lymphoblasts)
CD7, CD3(cytoplasmic), CD2, CD5
(Immature markers) are often positive.
CD4, CD8 & CD10 are Positive
• The most common recurrent
cytogenetic abnormality
involves the αδ TR loci at
14q11.2.
• β locus at 7q35, and the γ locus
at 7p14-15, with a variety of
partner genes
• Deletions of (9q)
CYTOGENETICS
CRITERIA FOR DIAGNOSIS
1. Frequently associated with mediastinal mass
2. Relatively uniform cell population with high mitotic rate
3. Variable number of round - convoluted (deeply indented) nuclei
4. Dense, finely granular chromatin, mostly inconspicuous nucleoli
5. Scanty, pale, fragile cytoplasm.
6. Immunophenotype: TdT, most often CD3 (cytoplasmic) and CD7;
Often CD4 and CD8 double positive or double negative; variable positivity
with CD1a, CD34, CD10.
7. 50-70% abnormal karyotype.
WHO CLASSIFICATION
• Mycosis fungoides
• Sézary syndrome
• Primary cutaneous CD30+ T cell lymphoproliferative disorders
• Lymphomatoid papulosis
• Primary cutaneous anaplastic large cell lymphoma
• Primary cutaneous gamma delta cell lymphoma
• Primary cutaneous CD8+ aggressive epidermotropic cytotoxic
T cell lymphoma
• Primary cutaneous acral CD8+ T cell lymphoma*
• Primary cutaneous CD4+ small / medium T cell
lymphoproliferative disorder*
• Peripheral T cell lymphoma, NOS
• Angioimmunoblastic T cell lymphoma
• Follicular T cell lymphoma*
• Nodal peripheral T cell lymphoma with T follicular helper
phenotype*
• Anaplastic large cell lymphoma, ALK+
• Anaplastic large cell lymphoma, ALK-*
• Breast implant associated anaplastic large cell lymphoma*
MATURE T-CELL AND NK CELL NEOPLASMS
• T cell prolymphocytic leukemia
• T cell large granular lymphocytic leukemia
• Chronic lymphoproliferative disorder of NK cells
• Aggressive NK cell leukemia
• Systemic Epstein-Barr virus+ T cell lymphoma of
childhood*
• Hydroa vacciniforme-like lymphoproliferative disorder*
• Adult T cell leukemia / lymphoma
• Extranodal NK / T cell lymphoma, nasal type
• Enteropathy associated T cell lymphoma
• Monomorphic epitheliotropic intestinal T cell lymphoma*
• Indolent T cell lymphoproliferative disorder of the GI
tract*
• Hepatosplenic T cell lymphoma
• Subcutaneous panniculitis-like T cell lymphoma
FREQUENCY OF T- cell LYMPHOMAS
NODAL T- CELL LYMPHOMAS
ANGIOIMMUNOBLASTIC T-CELL LYMPHOMA
(Lymphogranulomatosis-x)
• DEFINITION: Neoplasm of Mature T follicular helper (TFH) cells
characterized by Systemic disease & Lymphadenopathy with polymorphous
infiltrate involving lymph nodes with prominent proliferation of high
endothelial venules (HEV’s) & Follicular dendritic cells (FDC’s)
• AGE : Elderly individuals.
• SEX : Males > Females
• LOCALIZATION : Lymph node(Primary site), Spleen, liver, skin, and bone
marrow .
• CLINICAL FEATURES : Generalised lymphadenopathy, hepatosplenomegaly
and polyclonal hypergammaglobulinemia
PATHOGENESIS
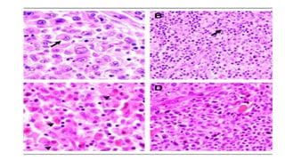
MICROSCOPIC
• Lymph node: Three most common
features are
1. Diffuse pattern with Partial or
complete architecture effacement.
2. Numerous arborizing blood vessels,
lined by hyperplastic endothelial
cells.
3. Polymorphous population of cells
with a variable number of small and
large size with Hyperchromatic
nuclei and clear cytoplasm.
4. Numerous reactive cells including
plasma cells, eosinophils,
immunoblasts, small lymphocytes
and follicular dendritic cells.
• Subdivided into 3 histological patterns
TYPE-I
• Architecture-
Partially
preserved and
hyperplastic
follicles with
tingible body
macrophages
and indistinct
mantle zones
• Seen in 10-20%
of cases
TYPE-
II
• Architecture-
Preserved
mostly with
residual follicles.
• In half of the
cases
TYPE-III
• Architecture-
Completely
effaced without
residual
follicles.
• In remaining
cases.
IMMUNOPHENOTYPE
• T cell antigens: εCD3, CD4, CD5 and CD7.
• Follicular dendritic cells: CD21, CD23, CD35
• TFH markers: CXCL13, CD10, PD1 & BCL6
• EBER (Epstein-Barr virus encoded small RNAs)
• Loss of sCD3 is more common in bone marrow and peripheral blood
compared to lymph nodes.
• CD8 –Ve and loss of CD7 is also observed
CYTOGENETICS/MOLECULAR STUDIES
• Karyotypic abnormalities in 90% of
the cases.
• Trisomy of chromosomes 3,5 and
21. Gain of chromosome X.
• Monoclonal T-cell receptor gene
rearrangements γ or β in 80%-90%
of AILT cases.
• Next generation sequencing panel
showed TET2, DNMT3, RHOA and
IDH2 mutations.
DIFFERENTIAL DIAGNOSIS
• Reactive lymphoid hyperplasia
• Classic hodgkins lymphoma, mixed
cellularity
• Peripheral T cell lymphoma –NOS
• EBV+ diffuse large B cell lymphoma, NOS
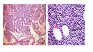
ANAPLASTIC LARGE – CELL LYMPHOMA-ALK POSITIVE
(Malignant Histiocytosis)
• Definition:
A peripheral T cell lymphoma consisting of large lymphoid cells with abundant
amphophilic cytoplasm, often horseshoe shaped nuclei, an ALK (anaplastic
lymphoma kinase) gene translocation, expression of ALK protein (CD246) and
CD30
• Constitutes 10-20% of childhood lymphomas.
• Age : First 3 decades of life
• SEX : M: F - 1.5 :1
• LOCALIZATION : Lymph nodes & extra nodal sites.
PATHOGENESIS
• Neoplastic cells are activated mature cytotoxic T cells (CD30+)
• Oncogenic translocations result in constitutive activation of the ALK tyrosine
kinase
• Resulting fusion proteins are shown to be involved in different downstream signalling
pathways including RAS/ERK, PI3K/Akt and JAK/STAT.
MICROSCOPY
• Small-medium-large anaplastic cells
• Interfollicular T zones and subcapsular
sinuses infiltration
• Cohesive growth pattern
• Intrasinusoidal infiltration pattern
• Anaplastic large cells with abundant
cytoplasm, wreath-like or multiple nuclei,
open chromatin, multiple nucleoli,
perinuclear eosinophilic region
(prominent Golgi zone)
• Cells with horseshoe / kidney / embryo
shaped nuclei are referred to as
“hallmark cells”.
• Brisk mitotic activity
• Lympho histiocytic (10%)
• Numerous histiocytes and small lymphocytes, occasional
erythrophagocytosis
• Small cell (5 - 10%)
• Predominantly small cells with irregular nuclei, hallmark cells present (tend
to be perivascular), occasional fried egg cells, rare signet ring cells
• Hodgkin-like (1 - 3%)
• Mimics nodular sclerosis classic Hodgkin lymphoma;
• Hypocellular
• Small cell types may have hypocellular, granulation tissue-like appearance
• Composite pattern (10 - 20%)
• More than one pattern.
VARIANTS
IMMUNOPHENOTYPING
Positive stains:
• ALK1
• CD30
• CD2
• CD4
• CD5
• TIA1
• Granzyme B
• Perforin
Negative stains :
• PAX5
• CD15
• CD20
• CD79a
• EBER
CYTOGENETICS /MOLECULAR DIAGNOSIS
• Clonal T cell receptor (TCR) gene rearrangement seen in 90%
• All translocations result in upregulation of ALK protein
• ALK translocation results in activation of the downstream oncogenic
transcription factor, STAT3
• STAT3 activation regulates availability of hypoxia inducible factors involved in
tumor growth and metastasis
• t(2;5)(p23;q35): ALK and NPM (75 - 85%)
• t(1;2)(q25;p23): tropomyosin 3 (TPM3) and ALK (13%)
• inv(2)(p23;q35): ALK and ATIC (1%)
DIFFERENTIAL DIAGNOSIS
• ALK –ve anaplastic large cell lymphoma
• Hodgkins lymphoma
• Histiocytic sarcoma
ALK NEGATIVE ANAPLASTIC LARGE CELL LYMPHOMA
• Morphologically similar to ALK +ALCL but is ALK negative.
• Common in Adults (40-65 years)
• Sites: Both lymph nodes and extra nodal sites, including bone, soft
tissue and skin
• Etiology : Unknown
PATHOPHYSIOLOGY:
• Recurrent rearrangement involving the TP63 gene
• STAT3 activating mutations
• DUSP22 rearrangements
MICROSCOPY
• Morphologically indistinguishable from ALCL, ALK positive
• Effaced architecture with solid, cohesive sheets of neoplastic cells
• May show preserved lymph node architecture with neoplastic cells
growing intrasinusoidally or only within the T cell areas
• Large cells with round to indented nuclei, deeply staining cytoplasm,
with prominent Golgi zone
• Hallmark cells (cells with eccentric, horseshoe or kidney shaped nuclei)
• Cases with DUSP22 rearrangements show smaller, monomorphic cells
with central nuclear pseudo inclusions (doughnut cells)
IMMUNOPHENOTYPING
POSITIVE STAINS
• CD30
• CD43
• CD45
• CD2
NEGATIVE STAINS
• ALK
• CD3
• CD5
• CD15
• EBV (EBER & LMP)
DIFFERENTIAL DIAGNOSIS
• ALK + ALCL
• Classic Hodgkins lymphoma
• Peripheral T – Cell lymphoma (NOS)
PERIPHERAL T-CELL LYMPHOMA (NOS)
(lymphoepithelioid lymphoma; Lennert lymphoma)
• Definition: Mature T cell lymphoma that does not meet WHO classification
criteria of other mature T cell lymphoma entities
• Heterogeneous category of nodal and extra nodal mature T-cell
lymphomas. (Wastebasket category)
• AGE : Adults, and has an aggressive clinical course.
• PTCL-U can be preceded by an immunologic disorder such as Hashimotos
thyroiditis, Immune thrombocytopenic purpura and Rheumatoid arthritis.
• Cell of origin: Activated mature T cells (CD4+ memory T cell)
LYMPH NODE
• Effacement of the normal
architecture.
• Para cortical or diffuse infiltrates
• Polymorphous to monomorphic.
• Most cases consist of medium-large
cells with irregular, pleomorphic,
hyperchromatic, or vesicular nuclei;
prominent nucleoli; and many
mitotic figures.
• Clear cells and Reed-
Sternberg―like cells can also be
seen. Rare cases have a
predominance of small lymphoid
cells with atypical, irregular nuclei.
• An inflammatory background is
often present.
MOLECULAR SUBTYPES
•GATA3 subtype (35% of PTCL, NOS):
• ≥ 50% tumor cells positive for GATA3 or
CXCR3 by IHC
• Associated with monomorphic
morphology with minimal inflammatory
background
• Very poor overall survival
•TBX21 subtype (58% of PTCL, NOS):
• ≥ 20% tumor cells positive for TBX21 or
CCR4 by IHC
• Associated with polymorphous
morphology
• Longer overall survival
Lymphoepithelioid variant
•Typically shows a diffuse infiltrate
of small cells with subtle nuclear
atypia numerous epithelioid
histiocytes which often form
clusters
•Correlates with TBX21 molecular
subtype
•May have better prognosis than
other PTCL, NOS subsets
• Extra nodal – Diffuse
infiltration with similar
cells
• SKIN : Infiltration in the
dermis and subcutis, often
producing nodules, which
may undergo central
necrosis.
Epidermotropism,
angiocentricity, and
adnexal involvement are
sometimes seen.
IMMUNOPHENOTYPING
• Pan T cell antigens CD3, CD5 and/or CD7 +ve.
• CD4+/CD8-
• Cases may be double positive or double negative for CD4 and CD8
• TCR alpha/beta
• CD30 : Variable (heterogeneous)
• ALK –ve
• T follicular helper markers -ve (CD10, BCL6, PD1, CXCL13)
• EBER -ve
MOLECULAR DIAGNOSIS
• PCR demonstrates
clonal rearrangement of
TCR genes.
• Next generation
sequencing shows
recurrent alterations of
TP53, TET2, CDKN2A ...
DIFFERENTIAL DIAGNOSIS
• Classic hodgkins lymphoma
• ALK negative Anaplastic large cell
lymphoma
• Angioimmunoblastic T cell lymphoma
• Adult T cell leukemia/ lymphoma
• Mycosis fungoides
EXTRANODAL T-CELL LYMPHOMAS
EXTRA NODAL NK /T CELL LYMPHOMA –NASAL TYPE
(Polymorphic reticulosis/Malignant midline reticulosis/Lethal midline granuloma/Angiocentric T cell
lymphoma)
• DEFINITION : Aggressive extranodal lymphoma of NK / T cell origin
characterized by angiotropism and angiodestruction, necrosis and association
with Epstein-Barr virus (EBV)
• AGE : 5th to 7th decade.
• SEX : M:F – 2:1
• SITES : Nasal cavity (mc), GIT, Skin, Testis, Lung, Spleen and liver
• Clinical features : Nasal / upper airways obstruction, purulent discharge,
epistaxis and facial mass with surrounding edema, Pleural effusion and
elevated serum LDH
PATHOPHYSIOLOGY
• Nk cells infected by EBV secrete IL9 and IL10 which promote cell
activation and proliferation.
• Frequent 30 base pair deletion in LMP1 gene leads to a decrease in
immune recognition
LYMPH NODE
• Monotonous population of cells
• Paracortex or medullary
infiltration.
• Moderate cytoplasm, folded
nuclei and indistinct nucleoli.
• Coagulative necrosis
• Frequent mitosis
SKIN
• Dense and atypical lymphoid
infiltrate in dermis and subcutis
• Frequent mitoses, necrosis and
angioinvasion
• Association with microthrombi
• Involvement of hair follicles and
sweat glands
CD56
CD7
cCD3
EBER
ENTEROPATHY ASSOCIATED T CELL LYMPHOMAS
• Definition : Intestinal lymphoma derived from intraepithelial T cells
which occurs in patients with celiac disease
• Age : 6th to 7th decade
• SEX : M=F In few areas Female preponderance.
• SITES : Small intestine more frequent
Jejunum > Ileum or Duodenum
• Clinical features :
Abdominal pain, diarrhoea and vomiting, Malabsorption, Fever,
Fatigue, Weight loss.
MICROSCOPY
• Intestinal involvement:
Ulcerated lesion with diffuse
and pleomorphic infiltrate of
medium to large cells ,
angulated nuclei, prominent
nucleoli and abundant
cytoplasm.
Mitotic figures and necrosis
are common.
Angiotropism.
Background inflammatory
cells.
Features of celiac disease –
Mucosa adjacent to EATL.
• Lymph node : Sinusoidal
pattern.
MONOMORPHIC EPITHELIOTROPHIC INTESTINAL T-CELL LYMPHOMA
• Definition : Previously known as Type-II enteropathy associated T-cell lymphoma,
is a mature intestinal T-cell lymphoma.
• Arise from intraepithelial T-lymphocytes & lacks association with Celiac disease.
• Rare, aggressive disease
• Median age in the sixth decade
• M:F = 2:1
• Sites : Small bowel, especially the jejunum, followed by ileum
• Clinical features : Abdominal pain, Obstruction or Perforation, weight lss,
diarrhea & gastro intestinal bleeding.
GROSS
• Neoplastic lymphocytes are relatively
monotonous, intermediate in size, with
round or slightly irregular nuclear contours,
dispersed chromatin, inconspicuous nucleoli
and scant rim of pale cytoplasm
• Prominent epitheliotropism as well as
transmural infiltrate are characteristic
• Few inflammatory cells are noted in the
background.
MICROSCOPY
• Spleen tyrosine kinase (SYK) was
overexpressed in MEITL.
• Extra signals for MYC at 8q24 are
commonly seen
• Proliferation index (Ki67) was
approximately 90% Differential Diagnosis
• Enteropathy associated T cell
lymphoma (EATL)
• Mycosis fungoides with gastrointestinal
involvement
Positive: surface CD3, CD8, CD56,
granzyme B and TCRδγ
Negative: CD4, CD5, surface TCRαβ
Cytogenetics/Molecular diagnosis
HEPATOSPLENIC T CELL LYMPHOMA
(Erythrophagocytic Tγ lymphoma)
• Definition : Rare, aggressive extra nodal neoplasm that originates from cytotoxic T
cells; it usually expresses the T cell receptor (TCR) γδ (gamma delta)
• More common in young adult men, median age ~35 years.
• M > F
• Clinical findings : Hepatomegaly and splenomegaly, Moderate anemia,
Thrombocytopenia and Neutropenia, Lymphadenopathy is uncommon.
Pathophysiology
• Neoplastic clonal proliferation of γδ T cells induced by the
upregulation of the JAK / STAT (STAT3 and STAT5B) and PI3K
signaling pathways
(Or)
• Mutations of chromatin modifiers (SETD2, INO80 and ARID1B)
MICROSCOPY
Cytogenetics/Molecular diagnosis
• Gamma delta origin: biallelic
rearrangement of TRG
• Mutations in JAK / STAT pathway
• Isochromosome (7q) or ring
chromosome 7
• Trisomy 8
Differential Diagnosis
• Splenic marginal zone lymphoma
• T-cell large granular lymphocytic
leukemia
TCRγδ in 80% of cases
CD2+, CD3+, CD7+, CD56+, CD8+/-,
CD4-, CD5-,
Variable CD16 and CD94 (dim or negative)
LEUKEMIC LYMPHOMAS
ADULT T CELL LEUKEMIA/LYMPHOMA
• Definition : Aggressive T cell neoplasm of mature CD4+ T cells
associated with human T lymphotropic virus 1 (HTLV1)
• SITES : Widespread lymph node involvement in most
• Systemic: Spleen and extranodal sites including the skin, peripheral blood.
• Age : Adults average 58 years
• SEX : M: F – 1.5:1
PATHOPHYSIOLOGY
• Cell of origin is peripheral CD4+ T regulatory αβ T cell (CD4+ CD25+
FoxP3+)
• ATLL patients suffer from profound immunodeficiency
Clinical manifestation Acute (mc) Lymphomatous Smouldering Chronic
Lymphocytosis Increased No No Mildly increased
Blood abnormal
lymphocyte
Increased No* > 5% Mildly increased
Increased LDH Yes No No Minimal
Hypercalcemia Yes Variable No No
Skin rash Variable: > 50% Variable: > 50% Erythematous rash Rash, papules
Lymphadenopathy Generalized Yes No Mild
Hepatosplenomegaly Usually present Often present No Mild
Bone marrow
infiltration
May be present No No No
Median survival < 1 year < 1 year > 2 years > 2 years
SHIMOYAMA CLASSIFICATION FOR CLINICAL VARIANTS
MICROSCOPY
PERIPHERAL BLOOD:
• Medium to large sized
lymphocytes with multilobulated
nuclei (flower cells), condensed
chromatin, absent or small
nucleoli, scant slightly basophilic
cytoplasm
BONE MARROW
• Pattern of marrow involvement
can be diffuse, interstitial or
sinusoidal
• Often evidence of bone resorption
and osteoclastic activity
• Bone trabeculae: may show
remodelling
• Lytic bone lesions can be present
even in the absence of tumoral
bone infiltration
LYMPH NODE
• Involves paracortical T cell zones
• Diffuse architectural effacement
• May be subdivided according to
cell type and pattern
• Pleomorphic medium and
large cell type / pattern (most
common)
• Anaplastic large cell-like
• Hodgkin lymphoma-like: seen
in early phase of some adult T
cell lymphoma
SKIN LESIONS
• Epidermal infiltration with
Pautrier-like micro-abscesses is
common.
• Hyperparakeratosis is variably
present in the overlying epidermis
• Dermal infiltration: mainly
perivascular but larger tumor
nodules with extension to
subcutaneous fat may be
observed
• Papules and nodules: composed
of larger cells that replace dermis
IMMUNOPHENOTYPING
• ATLL is neoplasm of mature T
cells, CD2+, CD3+, CD5+,TCR
αβ+, CD1a-, CD7-, CD10-, PD-1-
• ~ 90% of cases are CD4+ CD8-
DIFFERENTIAL DIAGNOSIS
• Peripheral T cell lymphoma –NOS
• Angioimmunoblastic T-cell
lymphoma
• Anaplastic large cell lymphoma
T-PROLYMPHOCYTIC LEUKEMIA
(T cell chronic lymphocytic leukemia (small cell variant of T cell prolymphocytic leukemia)
• Definition : Aggressive, mature T cell leukemia, composed of small to medium sized
mature T cells, with high white blood cell (WBC) count and widespread organ
involvement
• Rare (2% of mature lymphocytic leukemias)
• Adults and elderly (> 30 years) Median age: 65 years
• Sites : Peripheral blood, bone marrow, lymph nodes, spleen, liver, skin
• Clinical picture : Hepatosplenomegaly, lymphadenopathy, Anemia & thrombocytopenia,
high leukocyte count (>100 x 109/L) with skin and mucosal lesions.
Pathophysiology
• Overexpression of TCL1 family of proteins (which
stimulate AKT / protein kinase B driven
proliferation)
• Functional deficit of ATM
PERIPHERAL SMEAR
• Lymphocytosis with small
to medium sized
lymphocytes with
cytoplasmic blebs,
clumped chromatin and
variably prominent
central nucleolus
• Small cell variant in 25%
• Cerebriform variant in 5%
LYMPH NODE
Effaced with Monotonous lymphoid aggregates Intermediate sized atypical cells
CD3+ TCL1A+
Cytogenetics/Molecular diagnosis
• Clonal T cell receptor gene
rearrangements
• TCL1A / TCL1B rearrangement:
inv(14)(q11;q32) in 80%,
t(14;14)(q11;q32) in 10%
• Rarely MTCP1 rearrangement
t(X;14)(q28;q11)
• Complex karyotype in 70 - 80%;
• Mutations in ATM gene on 11q23 in
80 - 90%
Differential diagnosis
• Adult T-cell leukemia/ lymphoma
• T-cell large granular lymphocytic leukemia
Mature CD3 positive T cells, usually
express pan T markers CD2, CD5 and
CD7; positive for CD52
CD4+, CD8- in 60%
T-CELL LARGE GRANULAR LYMPHOCYTIC LEUKEMIA
• DEFINITION: A chronic T cell lymphoproliferative disorder- clonal proliferation of mature
cytotoxic T cells without an identified cause. Presenting with cytopenia.
• 2 - 5% of mature lymphocytic leukemias
• Gender : M = F
• Age : Elderly with a median age of 60 years
• SITES : Peripheral blood, bone marrow, spleen, liver
• Clinical Features :
• Majority have neutropenia or anemia
• 30% are asymptomatic but regular complete blood count reveals lymphocytosis and
cytopenia
• Splenomegaly , autoimmune disorders- Rheumatoid arthritis(most common)
• Associated with other hematologic malignancies such as B cell lymphoma, myelodysplastic
syndrome and aplastic anemia
PATHOPHYSIOLOGY
• Oligo clonal expansion of cytotoxic large granular T cells in response to antigen
stimulation
• Upregulation of cellular survival signals or downregulation of apoptotic pathways
• STAT3 / STAT5b mutation as a secondary event
• Other secondary events - Resistance to Fas / FasL mediated cell death.
BONE MARROW
CD3+ CD8+
granzyme B+
TIA1+
No abnormal lymphocytic infiltration by
H&E
IHC demonstrates Intra-sinusoidal pattern
PERIPHERAL SMEAR
• Increased lymphocytes
containing small to
intermediate sized
reticulated nuclei and
fine to coarse azurophilic
cytoplasmic granules
Cytogenetics/Molecular studies
• Clonal T cell receptor (TCR) gene
rearrangements
• STAT3 mutation in 40 - 50% of T cell large
granular lymphocytic leukemia
• STAT5b mutation in 2% of T cell large
granular lymphocytic leukemia
Differential diagnosis
• Chronic lymphoproliferative disorder
of NK cells
• Peripheral T cell lymphoma
Mature CD3 positive T cells,
usually coexpress NK cell
associated markers (CD16 and
CD57)
CD4- CD8+
CUTANEOUS T –CELL LYMPHOMAS
MYCOSIS FUNGOIDES
• DEFINITION : Peripheral T cell lymphoma derived from Mature, post-
thymic T lymphocytes
• Presents as cutaneous patches and can progress to plaques, tumors and
erythroderma
• EPIDEMIOLOGY : M>F ; Median age - 50yrs
• SITES: Bathing trunk distribution.
• CELL OF ORIGIN: Effector Memory T cells
MICROSCOPY
• Early lesions are histologically
indistinguishable from inflammatory skin
diseases
• Band-like papillary dermal lymphoid
infiltrate
• Intraepidermal lymphocytes out of
proportion with spongiosis
(epidermotropism) ± Pautrier
microabscesses
• Lymphocytes in the junction and within the
epidermis may have haloes & variable
nuclear pleomorphism, nuclear contour
irregularity (cerebriform cytomorphology
can be difficult to appreciate on biopsies)
and hyperchromasia
VARIANTS
Folliculotropic MF Granulomatous slack skin
Pagetoid reticulosis
STAGING (ISCL & EORTC)
Skin
T1
Limited patches, papules or plaques covering <
10% of the skin surface:
T1a: patch only
T1b: plaque with or without patch
T2
Patches, papules or plaques covering ≥ 10% of
the skin surface:
T2a: patch only
T2b: plaque with or without patch
T3 One or more tumors (≥ 1cm diameter)
T4
Confluence of erythema covering ≥ 80% body
surface area
Node
N0 No clinically abnormal peripheral lymph node
N1
Clinically abnormal peripheral lymph nodes;
histopathology Dutch grade 1 or NCI LN0-2
N1a: clone negative
N1b: clone positive
N2
Clinically abnormal peripheral lymph nodes;
histopathology Dutch grade 2 or NCI LN3
N2a: clone negative
N2b: clone positive
N3
Clinically abnormal peripheral lymph nodes;
histopathology Dutch grade 3 - 4 or NCI LN4;
clone positive or negative
Nx
Clinically abnormal peripheral lymph nodes with
no histological confirmation
Visceral
M0
No visceral organ
involvement
M1
Visceral involvement (must
have pathological
confirmation)
Peripheral Blood (PB)
B0
Absence of significant
blood involvement: ≤ 5%
Sézary cells in PB
B0a: clone negative
B0b: clone positive
B1
Low blood tumor burden: >
5% Sézary cells in PB and
does not meet criteria of B2
B1a: clone negative
B1b: clone positive
B2
High blood tumor burden: ≥
1000/µL Sézary cells in PB
with clone positive
IMMUNOHISTOCHEMISTRY
• Diagnosis of exclusion
• Mature T cell phenotype ( CD45RO+, TCRβ+, CD2+, CD3+, CD4+
[frequent], CD5+, CD7+) is most commonly observed
• Loss of CD2 or CD5 favors mycosis fungoides
• Partial loss of CD7 is common.
• TCR gamma, CD8 & EBER are negative.
SEZARY SYNDROME
• Definition : Leukemic variant of cutaneous T cell lymphoma (CTCL)
defined by the presence of erythroderma, generalized
lymphadenopathy and clonal T cells with cerebriform nuclei (Sézary
cells)
• If same clone expressed in skin, lymph node and Peripheral blood –
Stronger diagnosis
• Cell of origin : Effector memory T cells (CD45RO)
PATHOPHYSIOLOGY
• Abnormalities in pathways:
NFκB / JAK STAT activation, cell
cycle dysregulation / apoptosis
and DNA structural
dysregulation affecting gene
• Chemokine receptors:
CCR4/CCR10
• Overexpression of CD47
CLINICAL FEATURES
• Erythroderma
• Alopecia
• Nail dystrophy
• Pruritis
Note: Clinical presentation with
erythroderma with < 1 x 109/L is
defined as pre-Sézary and some
patients progress to SS
MICROSCOPY
• SS is histologically similar to mycosis fungoides but sometimes epidermotropism is not
present
• May range from limited to superficial perivascular lymphocytic and eosinophilic
dermatitis with or without spongiosis (atopic-like lesions)
• Pautrier microabscesses are not common
• Peripheral blood
• Sézary cells: Atypical lymphocytes of intermediate to large size and cerebriform
nuclei
• Lymph node
• Complete effacement of the nodal architecture by monotonous infiltrating
population of Sézary cells
• Large cell or blastoid morphology may occur in advanced stages.
LYMPH NODE
IMMUNOPHENOTYPING
• Positive for CD3, CD4, CD5 and
CD45RO
• Negative for CD2, CD7 and
CD30.
DIFFERENTIAL DIAGNOSIS
• Non-neoplastic Erythroderma
• Adult T – cell
leukemia/lymphoma
SUMMARY
REFERENCES
• WHO HEMATOLYMPHOID NEOPLASMS, Revised 4th edition
• IAOCHIMS LYMPH NODE PATHOLOGY 4th edition
• WASHINGTON MANUAL BOOK OF SURGICAL PATHOLOGY
T cell lymphomas - By Dr MULUKALA SWETHA

T cell lymphomas - By Dr MULUKALA SWETHA

  • 1.
  • 2.
    CONTENTS • INTRODUCTION • PRECURSORT-CELL NEOPLASM • MATURE T-CELL NEOPLASMS • SUMMARY
  • 8.
    INTRODUCTION • Mature T-and Natural killer (NK)- cell malignancies are rare, accounting for 10 – 12% of all Non-Hodgkin's lymphoma. • More common in Asia and linked to EBV viral infection (NK-cell lymphomas) and human T-cell leukaemia virus (HTLV-1) (adult T-cell leukaemia/lymphoma). • More aggressive than B-cell lymphomas.
  • 9.
    WHO CLASSIFICATION OFPRECURSOR LYMPHOID NEOPLASMS • T-Lymphoblastic leukemia/lymphoma • Early T-cell Precursor lymphoblastic leukemia • Nk-lymphoblastic leukemia/lymphoma
  • 10.
    T-LYMPHOBLASTIC LEUKEMIA/LYMPHOMA (Precursor T-lymphoblasticleukaemia/ lymphoma) • Definition : Refers to neoplasm of immature lymphoid cells (lymphoblasts) of T-cell lineage. • Age : Most common in adolescents and young adults Median age of 28 years. • SEX: Males > Females. • Clinical findings : Widespread lymphadenopathy (neck, axillae and supraclavicular). • Mediastinal mass is common • Hepatosplenomegaly often present.
  • 11.
    T-Lymphoblastic leukemia T-ALL T-LBL •Involving Bone marrow and Blood • 15% of childhood ALL cases • 25% of cases of adult ALL • Involving Thymus or Nodal or Extra nodal • 85–90% of all LBLs
  • 12.
    Peripheral blood smearand Bone Marrow • Anemia • Granulocytopenia, • Lymphoblasts >25% • Thrombocytopenia
  • 13.
    LYMPH NODE • Architecture: Effaced • Capsule & Para cortex : Involved • Pattern : Multinodular – mimicking Follicular lymphoma. Starry Sky - mimicking Burkitt lymphoma. • Lymphoblasts : Medium sized- round or Convoluted nuclei - High N: C ratio, Frequent mitotic figures.
  • 14.
    TdT, CD34, CD1a& CD99 are positive (suggest Precursor T-lymphoblasts) CD7, CD3(cytoplasmic), CD2, CD5 (Immature markers) are often positive. CD4, CD8 & CD10 are Positive • The most common recurrent cytogenetic abnormality involves the αδ TR loci at 14q11.2. • β locus at 7q35, and the γ locus at 7p14-15, with a variety of partner genes • Deletions of (9q) CYTOGENETICS
  • 15.
    CRITERIA FOR DIAGNOSIS 1.Frequently associated with mediastinal mass 2. Relatively uniform cell population with high mitotic rate 3. Variable number of round - convoluted (deeply indented) nuclei 4. Dense, finely granular chromatin, mostly inconspicuous nucleoli 5. Scanty, pale, fragile cytoplasm. 6. Immunophenotype: TdT, most often CD3 (cytoplasmic) and CD7; Often CD4 and CD8 double positive or double negative; variable positivity with CD1a, CD34, CD10. 7. 50-70% abnormal karyotype.
  • 16.
    WHO CLASSIFICATION • Mycosisfungoides • Sézary syndrome • Primary cutaneous CD30+ T cell lymphoproliferative disorders • Lymphomatoid papulosis • Primary cutaneous anaplastic large cell lymphoma • Primary cutaneous gamma delta cell lymphoma • Primary cutaneous CD8+ aggressive epidermotropic cytotoxic T cell lymphoma • Primary cutaneous acral CD8+ T cell lymphoma* • Primary cutaneous CD4+ small / medium T cell lymphoproliferative disorder* • Peripheral T cell lymphoma, NOS • Angioimmunoblastic T cell lymphoma • Follicular T cell lymphoma* • Nodal peripheral T cell lymphoma with T follicular helper phenotype* • Anaplastic large cell lymphoma, ALK+ • Anaplastic large cell lymphoma, ALK-* • Breast implant associated anaplastic large cell lymphoma* MATURE T-CELL AND NK CELL NEOPLASMS • T cell prolymphocytic leukemia • T cell large granular lymphocytic leukemia • Chronic lymphoproliferative disorder of NK cells • Aggressive NK cell leukemia • Systemic Epstein-Barr virus+ T cell lymphoma of childhood* • Hydroa vacciniforme-like lymphoproliferative disorder* • Adult T cell leukemia / lymphoma • Extranodal NK / T cell lymphoma, nasal type • Enteropathy associated T cell lymphoma • Monomorphic epitheliotropic intestinal T cell lymphoma* • Indolent T cell lymphoproliferative disorder of the GI tract* • Hepatosplenic T cell lymphoma • Subcutaneous panniculitis-like T cell lymphoma
  • 17.
    FREQUENCY OF T-cell LYMPHOMAS
  • 18.
    NODAL T- CELLLYMPHOMAS
  • 19.
    ANGIOIMMUNOBLASTIC T-CELL LYMPHOMA (Lymphogranulomatosis-x) •DEFINITION: Neoplasm of Mature T follicular helper (TFH) cells characterized by Systemic disease & Lymphadenopathy with polymorphous infiltrate involving lymph nodes with prominent proliferation of high endothelial venules (HEV’s) & Follicular dendritic cells (FDC’s) • AGE : Elderly individuals. • SEX : Males > Females • LOCALIZATION : Lymph node(Primary site), Spleen, liver, skin, and bone marrow . • CLINICAL FEATURES : Generalised lymphadenopathy, hepatosplenomegaly and polyclonal hypergammaglobulinemia
  • 20.
  • 21.
    MICROSCOPIC • Lymph node:Three most common features are 1. Diffuse pattern with Partial or complete architecture effacement. 2. Numerous arborizing blood vessels, lined by hyperplastic endothelial cells. 3. Polymorphous population of cells with a variable number of small and large size with Hyperchromatic nuclei and clear cytoplasm. 4. Numerous reactive cells including plasma cells, eosinophils, immunoblasts, small lymphocytes and follicular dendritic cells.
  • 22.
    • Subdivided into3 histological patterns TYPE-I • Architecture- Partially preserved and hyperplastic follicles with tingible body macrophages and indistinct mantle zones • Seen in 10-20% of cases TYPE- II • Architecture- Preserved mostly with residual follicles. • In half of the cases TYPE-III • Architecture- Completely effaced without residual follicles. • In remaining cases.
  • 24.
    IMMUNOPHENOTYPE • T cellantigens: εCD3, CD4, CD5 and CD7. • Follicular dendritic cells: CD21, CD23, CD35 • TFH markers: CXCL13, CD10, PD1 & BCL6 • EBER (Epstein-Barr virus encoded small RNAs) • Loss of sCD3 is more common in bone marrow and peripheral blood compared to lymph nodes. • CD8 –Ve and loss of CD7 is also observed
  • 25.
    CYTOGENETICS/MOLECULAR STUDIES • Karyotypicabnormalities in 90% of the cases. • Trisomy of chromosomes 3,5 and 21. Gain of chromosome X. • Monoclonal T-cell receptor gene rearrangements γ or β in 80%-90% of AILT cases. • Next generation sequencing panel showed TET2, DNMT3, RHOA and IDH2 mutations. DIFFERENTIAL DIAGNOSIS • Reactive lymphoid hyperplasia • Classic hodgkins lymphoma, mixed cellularity • Peripheral T cell lymphoma –NOS • EBV+ diffuse large B cell lymphoma, NOS
  • 26.
    ANAPLASTIC LARGE –CELL LYMPHOMA-ALK POSITIVE (Malignant Histiocytosis) • Definition: A peripheral T cell lymphoma consisting of large lymphoid cells with abundant amphophilic cytoplasm, often horseshoe shaped nuclei, an ALK (anaplastic lymphoma kinase) gene translocation, expression of ALK protein (CD246) and CD30 • Constitutes 10-20% of childhood lymphomas. • Age : First 3 decades of life • SEX : M: F - 1.5 :1 • LOCALIZATION : Lymph nodes & extra nodal sites.
  • 27.
    PATHOGENESIS • Neoplastic cellsare activated mature cytotoxic T cells (CD30+) • Oncogenic translocations result in constitutive activation of the ALK tyrosine kinase • Resulting fusion proteins are shown to be involved in different downstream signalling pathways including RAS/ERK, PI3K/Akt and JAK/STAT.
  • 29.
    MICROSCOPY • Small-medium-large anaplasticcells • Interfollicular T zones and subcapsular sinuses infiltration • Cohesive growth pattern • Intrasinusoidal infiltration pattern • Anaplastic large cells with abundant cytoplasm, wreath-like or multiple nuclei, open chromatin, multiple nucleoli, perinuclear eosinophilic region (prominent Golgi zone) • Cells with horseshoe / kidney / embryo shaped nuclei are referred to as “hallmark cells”. • Brisk mitotic activity
  • 30.
    • Lympho histiocytic(10%) • Numerous histiocytes and small lymphocytes, occasional erythrophagocytosis • Small cell (5 - 10%) • Predominantly small cells with irregular nuclei, hallmark cells present (tend to be perivascular), occasional fried egg cells, rare signet ring cells • Hodgkin-like (1 - 3%) • Mimics nodular sclerosis classic Hodgkin lymphoma; • Hypocellular • Small cell types may have hypocellular, granulation tissue-like appearance • Composite pattern (10 - 20%) • More than one pattern. VARIANTS
  • 32.
    IMMUNOPHENOTYPING Positive stains: • ALK1 •CD30 • CD2 • CD4 • CD5 • TIA1 • Granzyme B • Perforin Negative stains : • PAX5 • CD15 • CD20 • CD79a • EBER
  • 33.
    CYTOGENETICS /MOLECULAR DIAGNOSIS •Clonal T cell receptor (TCR) gene rearrangement seen in 90% • All translocations result in upregulation of ALK protein • ALK translocation results in activation of the downstream oncogenic transcription factor, STAT3 • STAT3 activation regulates availability of hypoxia inducible factors involved in tumor growth and metastasis • t(2;5)(p23;q35): ALK and NPM (75 - 85%) • t(1;2)(q25;p23): tropomyosin 3 (TPM3) and ALK (13%) • inv(2)(p23;q35): ALK and ATIC (1%)
  • 34.
    DIFFERENTIAL DIAGNOSIS • ALK–ve anaplastic large cell lymphoma • Hodgkins lymphoma • Histiocytic sarcoma
  • 35.
    ALK NEGATIVE ANAPLASTICLARGE CELL LYMPHOMA • Morphologically similar to ALK +ALCL but is ALK negative. • Common in Adults (40-65 years) • Sites: Both lymph nodes and extra nodal sites, including bone, soft tissue and skin • Etiology : Unknown PATHOPHYSIOLOGY: • Recurrent rearrangement involving the TP63 gene • STAT3 activating mutations • DUSP22 rearrangements
  • 36.
    MICROSCOPY • Morphologically indistinguishablefrom ALCL, ALK positive • Effaced architecture with solid, cohesive sheets of neoplastic cells • May show preserved lymph node architecture with neoplastic cells growing intrasinusoidally or only within the T cell areas • Large cells with round to indented nuclei, deeply staining cytoplasm, with prominent Golgi zone • Hallmark cells (cells with eccentric, horseshoe or kidney shaped nuclei) • Cases with DUSP22 rearrangements show smaller, monomorphic cells with central nuclear pseudo inclusions (doughnut cells)
  • 37.
    IMMUNOPHENOTYPING POSITIVE STAINS • CD30 •CD43 • CD45 • CD2 NEGATIVE STAINS • ALK • CD3 • CD5 • CD15 • EBV (EBER & LMP)
  • 38.
    DIFFERENTIAL DIAGNOSIS • ALK+ ALCL • Classic Hodgkins lymphoma • Peripheral T – Cell lymphoma (NOS)
  • 39.
    PERIPHERAL T-CELL LYMPHOMA(NOS) (lymphoepithelioid lymphoma; Lennert lymphoma) • Definition: Mature T cell lymphoma that does not meet WHO classification criteria of other mature T cell lymphoma entities • Heterogeneous category of nodal and extra nodal mature T-cell lymphomas. (Wastebasket category) • AGE : Adults, and has an aggressive clinical course. • PTCL-U can be preceded by an immunologic disorder such as Hashimotos thyroiditis, Immune thrombocytopenic purpura and Rheumatoid arthritis. • Cell of origin: Activated mature T cells (CD4+ memory T cell)
  • 40.
    LYMPH NODE • Effacementof the normal architecture. • Para cortical or diffuse infiltrates • Polymorphous to monomorphic. • Most cases consist of medium-large cells with irregular, pleomorphic, hyperchromatic, or vesicular nuclei; prominent nucleoli; and many mitotic figures. • Clear cells and Reed- Sternberg―like cells can also be seen. Rare cases have a predominance of small lymphoid cells with atypical, irregular nuclei. • An inflammatory background is often present.
  • 41.
    MOLECULAR SUBTYPES •GATA3 subtype(35% of PTCL, NOS): • ≥ 50% tumor cells positive for GATA3 or CXCR3 by IHC • Associated with monomorphic morphology with minimal inflammatory background • Very poor overall survival •TBX21 subtype (58% of PTCL, NOS): • ≥ 20% tumor cells positive for TBX21 or CCR4 by IHC • Associated with polymorphous morphology • Longer overall survival
  • 42.
    Lymphoepithelioid variant •Typically showsa diffuse infiltrate of small cells with subtle nuclear atypia numerous epithelioid histiocytes which often form clusters •Correlates with TBX21 molecular subtype •May have better prognosis than other PTCL, NOS subsets
  • 43.
    • Extra nodal– Diffuse infiltration with similar cells • SKIN : Infiltration in the dermis and subcutis, often producing nodules, which may undergo central necrosis. Epidermotropism, angiocentricity, and adnexal involvement are sometimes seen.
  • 44.
    IMMUNOPHENOTYPING • Pan Tcell antigens CD3, CD5 and/or CD7 +ve. • CD4+/CD8- • Cases may be double positive or double negative for CD4 and CD8 • TCR alpha/beta • CD30 : Variable (heterogeneous) • ALK –ve • T follicular helper markers -ve (CD10, BCL6, PD1, CXCL13) • EBER -ve
  • 45.
    MOLECULAR DIAGNOSIS • PCRdemonstrates clonal rearrangement of TCR genes. • Next generation sequencing shows recurrent alterations of TP53, TET2, CDKN2A ... DIFFERENTIAL DIAGNOSIS • Classic hodgkins lymphoma • ALK negative Anaplastic large cell lymphoma • Angioimmunoblastic T cell lymphoma • Adult T cell leukemia/ lymphoma • Mycosis fungoides
  • 46.
  • 47.
    EXTRA NODAL NK/T CELL LYMPHOMA –NASAL TYPE (Polymorphic reticulosis/Malignant midline reticulosis/Lethal midline granuloma/Angiocentric T cell lymphoma) • DEFINITION : Aggressive extranodal lymphoma of NK / T cell origin characterized by angiotropism and angiodestruction, necrosis and association with Epstein-Barr virus (EBV) • AGE : 5th to 7th decade. • SEX : M:F – 2:1 • SITES : Nasal cavity (mc), GIT, Skin, Testis, Lung, Spleen and liver • Clinical features : Nasal / upper airways obstruction, purulent discharge, epistaxis and facial mass with surrounding edema, Pleural effusion and elevated serum LDH
  • 48.
    PATHOPHYSIOLOGY • Nk cellsinfected by EBV secrete IL9 and IL10 which promote cell activation and proliferation. • Frequent 30 base pair deletion in LMP1 gene leads to a decrease in immune recognition
  • 49.
    LYMPH NODE • Monotonouspopulation of cells • Paracortex or medullary infiltration. • Moderate cytoplasm, folded nuclei and indistinct nucleoli. • Coagulative necrosis • Frequent mitosis
  • 50.
    SKIN • Dense andatypical lymphoid infiltrate in dermis and subcutis • Frequent mitoses, necrosis and angioinvasion • Association with microthrombi • Involvement of hair follicles and sweat glands
  • 51.
  • 52.
    ENTEROPATHY ASSOCIATED TCELL LYMPHOMAS • Definition : Intestinal lymphoma derived from intraepithelial T cells which occurs in patients with celiac disease • Age : 6th to 7th decade • SEX : M=F In few areas Female preponderance. • SITES : Small intestine more frequent Jejunum > Ileum or Duodenum • Clinical features : Abdominal pain, diarrhoea and vomiting, Malabsorption, Fever, Fatigue, Weight loss.
  • 53.
    MICROSCOPY • Intestinal involvement: Ulceratedlesion with diffuse and pleomorphic infiltrate of medium to large cells , angulated nuclei, prominent nucleoli and abundant cytoplasm. Mitotic figures and necrosis are common. Angiotropism. Background inflammatory cells. Features of celiac disease – Mucosa adjacent to EATL. • Lymph node : Sinusoidal pattern.
  • 54.
    MONOMORPHIC EPITHELIOTROPHIC INTESTINALT-CELL LYMPHOMA • Definition : Previously known as Type-II enteropathy associated T-cell lymphoma, is a mature intestinal T-cell lymphoma. • Arise from intraepithelial T-lymphocytes & lacks association with Celiac disease. • Rare, aggressive disease • Median age in the sixth decade • M:F = 2:1 • Sites : Small bowel, especially the jejunum, followed by ileum • Clinical features : Abdominal pain, Obstruction or Perforation, weight lss, diarrhea & gastro intestinal bleeding.
  • 55.
    GROSS • Neoplastic lymphocytesare relatively monotonous, intermediate in size, with round or slightly irregular nuclear contours, dispersed chromatin, inconspicuous nucleoli and scant rim of pale cytoplasm • Prominent epitheliotropism as well as transmural infiltrate are characteristic • Few inflammatory cells are noted in the background. MICROSCOPY
  • 57.
    • Spleen tyrosinekinase (SYK) was overexpressed in MEITL. • Extra signals for MYC at 8q24 are commonly seen • Proliferation index (Ki67) was approximately 90% Differential Diagnosis • Enteropathy associated T cell lymphoma (EATL) • Mycosis fungoides with gastrointestinal involvement Positive: surface CD3, CD8, CD56, granzyme B and TCRδγ Negative: CD4, CD5, surface TCRαβ Cytogenetics/Molecular diagnosis
  • 58.
    HEPATOSPLENIC T CELLLYMPHOMA (Erythrophagocytic Tγ lymphoma) • Definition : Rare, aggressive extra nodal neoplasm that originates from cytotoxic T cells; it usually expresses the T cell receptor (TCR) γδ (gamma delta) • More common in young adult men, median age ~35 years. • M > F • Clinical findings : Hepatomegaly and splenomegaly, Moderate anemia, Thrombocytopenia and Neutropenia, Lymphadenopathy is uncommon.
  • 59.
    Pathophysiology • Neoplastic clonalproliferation of γδ T cells induced by the upregulation of the JAK / STAT (STAT3 and STAT5B) and PI3K signaling pathways (Or) • Mutations of chromatin modifiers (SETD2, INO80 and ARID1B)
  • 60.
  • 61.
    Cytogenetics/Molecular diagnosis • Gammadelta origin: biallelic rearrangement of TRG • Mutations in JAK / STAT pathway • Isochromosome (7q) or ring chromosome 7 • Trisomy 8 Differential Diagnosis • Splenic marginal zone lymphoma • T-cell large granular lymphocytic leukemia TCRγδ in 80% of cases CD2+, CD3+, CD7+, CD56+, CD8+/-, CD4-, CD5-, Variable CD16 and CD94 (dim or negative)
  • 62.
  • 63.
    ADULT T CELLLEUKEMIA/LYMPHOMA • Definition : Aggressive T cell neoplasm of mature CD4+ T cells associated with human T lymphotropic virus 1 (HTLV1) • SITES : Widespread lymph node involvement in most • Systemic: Spleen and extranodal sites including the skin, peripheral blood. • Age : Adults average 58 years • SEX : M: F – 1.5:1
  • 64.
    PATHOPHYSIOLOGY • Cell oforigin is peripheral CD4+ T regulatory αβ T cell (CD4+ CD25+ FoxP3+) • ATLL patients suffer from profound immunodeficiency
  • 65.
    Clinical manifestation Acute(mc) Lymphomatous Smouldering Chronic Lymphocytosis Increased No No Mildly increased Blood abnormal lymphocyte Increased No* > 5% Mildly increased Increased LDH Yes No No Minimal Hypercalcemia Yes Variable No No Skin rash Variable: > 50% Variable: > 50% Erythematous rash Rash, papules Lymphadenopathy Generalized Yes No Mild Hepatosplenomegaly Usually present Often present No Mild Bone marrow infiltration May be present No No No Median survival < 1 year < 1 year > 2 years > 2 years SHIMOYAMA CLASSIFICATION FOR CLINICAL VARIANTS
  • 66.
    MICROSCOPY PERIPHERAL BLOOD: • Mediumto large sized lymphocytes with multilobulated nuclei (flower cells), condensed chromatin, absent or small nucleoli, scant slightly basophilic cytoplasm
  • 67.
    BONE MARROW • Patternof marrow involvement can be diffuse, interstitial or sinusoidal • Often evidence of bone resorption and osteoclastic activity • Bone trabeculae: may show remodelling • Lytic bone lesions can be present even in the absence of tumoral bone infiltration
  • 68.
    LYMPH NODE • Involvesparacortical T cell zones • Diffuse architectural effacement • May be subdivided according to cell type and pattern • Pleomorphic medium and large cell type / pattern (most common) • Anaplastic large cell-like • Hodgkin lymphoma-like: seen in early phase of some adult T cell lymphoma
  • 69.
    SKIN LESIONS • Epidermalinfiltration with Pautrier-like micro-abscesses is common. • Hyperparakeratosis is variably present in the overlying epidermis • Dermal infiltration: mainly perivascular but larger tumor nodules with extension to subcutaneous fat may be observed • Papules and nodules: composed of larger cells that replace dermis
  • 70.
    IMMUNOPHENOTYPING • ATLL isneoplasm of mature T cells, CD2+, CD3+, CD5+,TCR αβ+, CD1a-, CD7-, CD10-, PD-1- • ~ 90% of cases are CD4+ CD8- DIFFERENTIAL DIAGNOSIS • Peripheral T cell lymphoma –NOS • Angioimmunoblastic T-cell lymphoma • Anaplastic large cell lymphoma
  • 71.
    T-PROLYMPHOCYTIC LEUKEMIA (T cellchronic lymphocytic leukemia (small cell variant of T cell prolymphocytic leukemia) • Definition : Aggressive, mature T cell leukemia, composed of small to medium sized mature T cells, with high white blood cell (WBC) count and widespread organ involvement • Rare (2% of mature lymphocytic leukemias) • Adults and elderly (> 30 years) Median age: 65 years • Sites : Peripheral blood, bone marrow, lymph nodes, spleen, liver, skin • Clinical picture : Hepatosplenomegaly, lymphadenopathy, Anemia & thrombocytopenia, high leukocyte count (>100 x 109/L) with skin and mucosal lesions.
  • 72.
    Pathophysiology • Overexpression ofTCL1 family of proteins (which stimulate AKT / protein kinase B driven proliferation) • Functional deficit of ATM
  • 73.
    PERIPHERAL SMEAR • Lymphocytosiswith small to medium sized lymphocytes with cytoplasmic blebs, clumped chromatin and variably prominent central nucleolus • Small cell variant in 25% • Cerebriform variant in 5%
  • 74.
    LYMPH NODE Effaced withMonotonous lymphoid aggregates Intermediate sized atypical cells CD3+ TCL1A+
  • 75.
    Cytogenetics/Molecular diagnosis • ClonalT cell receptor gene rearrangements • TCL1A / TCL1B rearrangement: inv(14)(q11;q32) in 80%, t(14;14)(q11;q32) in 10% • Rarely MTCP1 rearrangement t(X;14)(q28;q11) • Complex karyotype in 70 - 80%; • Mutations in ATM gene on 11q23 in 80 - 90% Differential diagnosis • Adult T-cell leukemia/ lymphoma • T-cell large granular lymphocytic leukemia Mature CD3 positive T cells, usually express pan T markers CD2, CD5 and CD7; positive for CD52 CD4+, CD8- in 60%
  • 76.
    T-CELL LARGE GRANULARLYMPHOCYTIC LEUKEMIA • DEFINITION: A chronic T cell lymphoproliferative disorder- clonal proliferation of mature cytotoxic T cells without an identified cause. Presenting with cytopenia. • 2 - 5% of mature lymphocytic leukemias • Gender : M = F • Age : Elderly with a median age of 60 years • SITES : Peripheral blood, bone marrow, spleen, liver • Clinical Features : • Majority have neutropenia or anemia • 30% are asymptomatic but regular complete blood count reveals lymphocytosis and cytopenia • Splenomegaly , autoimmune disorders- Rheumatoid arthritis(most common) • Associated with other hematologic malignancies such as B cell lymphoma, myelodysplastic syndrome and aplastic anemia
  • 77.
    PATHOPHYSIOLOGY • Oligo clonalexpansion of cytotoxic large granular T cells in response to antigen stimulation • Upregulation of cellular survival signals or downregulation of apoptotic pathways • STAT3 / STAT5b mutation as a secondary event • Other secondary events - Resistance to Fas / FasL mediated cell death.
  • 78.
    BONE MARROW CD3+ CD8+ granzymeB+ TIA1+ No abnormal lymphocytic infiltration by H&E IHC demonstrates Intra-sinusoidal pattern
  • 79.
    PERIPHERAL SMEAR • Increasedlymphocytes containing small to intermediate sized reticulated nuclei and fine to coarse azurophilic cytoplasmic granules
  • 80.
    Cytogenetics/Molecular studies • ClonalT cell receptor (TCR) gene rearrangements • STAT3 mutation in 40 - 50% of T cell large granular lymphocytic leukemia • STAT5b mutation in 2% of T cell large granular lymphocytic leukemia Differential diagnosis • Chronic lymphoproliferative disorder of NK cells • Peripheral T cell lymphoma Mature CD3 positive T cells, usually coexpress NK cell associated markers (CD16 and CD57) CD4- CD8+
  • 81.
  • 82.
    MYCOSIS FUNGOIDES • DEFINITION: Peripheral T cell lymphoma derived from Mature, post- thymic T lymphocytes • Presents as cutaneous patches and can progress to plaques, tumors and erythroderma • EPIDEMIOLOGY : M>F ; Median age - 50yrs • SITES: Bathing trunk distribution. • CELL OF ORIGIN: Effector Memory T cells
  • 83.
    MICROSCOPY • Early lesionsare histologically indistinguishable from inflammatory skin diseases • Band-like papillary dermal lymphoid infiltrate • Intraepidermal lymphocytes out of proportion with spongiosis (epidermotropism) ± Pautrier microabscesses • Lymphocytes in the junction and within the epidermis may have haloes & variable nuclear pleomorphism, nuclear contour irregularity (cerebriform cytomorphology can be difficult to appreciate on biopsies) and hyperchromasia
  • 84.
    VARIANTS Folliculotropic MF Granulomatousslack skin Pagetoid reticulosis
  • 85.
    STAGING (ISCL &EORTC) Skin T1 Limited patches, papules or plaques covering < 10% of the skin surface: T1a: patch only T1b: plaque with or without patch T2 Patches, papules or plaques covering ≥ 10% of the skin surface: T2a: patch only T2b: plaque with or without patch T3 One or more tumors (≥ 1cm diameter) T4 Confluence of erythema covering ≥ 80% body surface area Node N0 No clinically abnormal peripheral lymph node N1 Clinically abnormal peripheral lymph nodes; histopathology Dutch grade 1 or NCI LN0-2 N1a: clone negative N1b: clone positive N2 Clinically abnormal peripheral lymph nodes; histopathology Dutch grade 2 or NCI LN3 N2a: clone negative N2b: clone positive N3 Clinically abnormal peripheral lymph nodes; histopathology Dutch grade 3 - 4 or NCI LN4; clone positive or negative Nx Clinically abnormal peripheral lymph nodes with no histological confirmation Visceral M0 No visceral organ involvement M1 Visceral involvement (must have pathological confirmation) Peripheral Blood (PB) B0 Absence of significant blood involvement: ≤ 5% Sézary cells in PB B0a: clone negative B0b: clone positive B1 Low blood tumor burden: > 5% Sézary cells in PB and does not meet criteria of B2 B1a: clone negative B1b: clone positive B2 High blood tumor burden: ≥ 1000/µL Sézary cells in PB with clone positive
  • 86.
    IMMUNOHISTOCHEMISTRY • Diagnosis ofexclusion • Mature T cell phenotype ( CD45RO+, TCRβ+, CD2+, CD3+, CD4+ [frequent], CD5+, CD7+) is most commonly observed • Loss of CD2 or CD5 favors mycosis fungoides • Partial loss of CD7 is common. • TCR gamma, CD8 & EBER are negative.
  • 87.
    SEZARY SYNDROME • Definition: Leukemic variant of cutaneous T cell lymphoma (CTCL) defined by the presence of erythroderma, generalized lymphadenopathy and clonal T cells with cerebriform nuclei (Sézary cells) • If same clone expressed in skin, lymph node and Peripheral blood – Stronger diagnosis • Cell of origin : Effector memory T cells (CD45RO)
  • 88.
    PATHOPHYSIOLOGY • Abnormalities inpathways: NFκB / JAK STAT activation, cell cycle dysregulation / apoptosis and DNA structural dysregulation affecting gene • Chemokine receptors: CCR4/CCR10 • Overexpression of CD47 CLINICAL FEATURES • Erythroderma • Alopecia • Nail dystrophy • Pruritis Note: Clinical presentation with erythroderma with < 1 x 109/L is defined as pre-Sézary and some patients progress to SS
  • 89.
    MICROSCOPY • SS ishistologically similar to mycosis fungoides but sometimes epidermotropism is not present • May range from limited to superficial perivascular lymphocytic and eosinophilic dermatitis with or without spongiosis (atopic-like lesions) • Pautrier microabscesses are not common • Peripheral blood • Sézary cells: Atypical lymphocytes of intermediate to large size and cerebriform nuclei • Lymph node • Complete effacement of the nodal architecture by monotonous infiltrating population of Sézary cells • Large cell or blastoid morphology may occur in advanced stages.
  • 91.
  • 92.
    IMMUNOPHENOTYPING • Positive forCD3, CD4, CD5 and CD45RO • Negative for CD2, CD7 and CD30. DIFFERENTIAL DIAGNOSIS • Non-neoplastic Erythroderma • Adult T – cell leukemia/lymphoma
  • 93.
  • 94.
    REFERENCES • WHO HEMATOLYMPHOIDNEOPLASMS, Revised 4th edition • IAOCHIMS LYMPH NODE PATHOLOGY 4th edition • WASHINGTON MANUAL BOOK OF SURGICAL PATHOLOGY