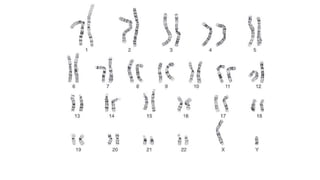
CHROMOSOMAL
ANOMALIES
• DNA is the basic template that provides the blueprint for the formation
and maintenance of an organism
• DNA is packaged into chromosomes
• Cytogenetics: The study of chromosomes and cell division
• The nucleus of human somatic cells consists of 46 chromosomes,
arranged in 23 pairs
• Autosomes: 22 pairs
• Sex chromosomes: 2 X chromosomes in females
X and Y chromosome in males.
• 20,000 chromosomal abnormalities have been registered
• Approximately 1 in 200 newborn infants has some form of chromosomal
abnormality.
• In 50% of first-trimester spontaneous abortions, the fetus has a chromosomal
abnormality
• Abnormalities of chromosomes - a) Numeric abnormalities
b) Structural abnormalities
• May involve one or more autosomes, sex chromosomes or both
simultaneously.
NUMERIC ABNORMALITIES
• The normal chromosome count is 46 ( 2n =46).
• Euploid- Any exact multiple of the haploid number (n)
• Polyploid-Chromosome numbers such as 3n and 4n
Polyploidy generally results in a spontaneous abortion.
• Aneuploid- Any number that is not an exact multiple of n
a) Monosomy
b) Trisomy
• Mosaicism - presence of two or more populations of cells with different
complements of chromosomes in the same individual
STRUCTURAL ABNORMALITIES
• Chromosomal breakage followed by loss or rearrangement of material
• Deletion - loss of a portion of a chromosome.
• Translocation - transfer of a part of one chromosome to another
chromosome.
• Inversions - two interstitial breaks in a chromosome, and the segment
reunites after a complete turnaround.
• Isochromosomes - the centromere divides horizontally rather than
vertically
• Insertions - a segment removed from one chromosome is inserted into a
different chromosome, either in its usual orientation or inverted
• Ring chromosome - After loss of segments from each end of the
chromosome, the arms unite to form a ring
• Duplications - A portion of the chromosome is duplicated, resulting in extra
genetic material
DOWN SYNDROME
• Incidence at birth – USA 1: 800
• Chromosomal findings – Trisomy 21 ( 95% )
– Robertsonian translocation ( 4% )
– Mosaicism
• Maternal age has a strong influence
on the incidence of Down syndrome.
• Down syndrome is a leading cause of
severe mental retardation
• Approximately 80% of those afflicted
have an IQ of 25 to 50.
• Clinical features
Flat facial profile
Protruding tongue(furrowed)
Brachycephaly
Small ears
Epicanthic fold
Upward sloping palpebral fissure
Brushfield spot
Hypotonia
Sleepy
Excess nuchal skin
Flat occiput
Sandal gap deformity
Simian crease
Small middle phalanx of 5th finger
• Congenital cardiac defects - 40% ( ASD,VSD, AV valve malformations )
• Malformations such as duodenal atresia and tracheoesophageal fistula are
more common
• 10 to 20 fold increased risk of developing acute leukemia.
• Alzheimer disease, a degenerative disorder of the brain
• Abnormal immune responses
PRENATAL SCREENING
Triple test
• Combined biochemical test - Maternal Serum AFP, hCG and unconjugated
estriol.
• The level of Maternal Serum AFP and Unconjugated estriol tend to be low
while that of hCG is high.
• It is performed at 15–18 weeks. It gives a risk ratio and
For confirmation amniocentesis has to be done.
PATAU SYNDROME
• Incidence - 1 in 15,000 to 25,000 births.
• Associated with increased maternal age
• 20% of the cases are caused by an unbalanced translocation
• The empirical risk that a subsequent live born child will have the syndrome is
less than 2%.
• Clinically severe - about 50% individuals die within the first month.
• Growth retardation and severe mental retardation
Clinical features
Postaxial polydactyly
Hands clench with overlapping of digits
Simian crease may be present
Microcephaly
Cleft lip and palate
Malformed ears
Rocker-bottom feet
Microphthalmia
Malformed, low set ears
Severe CNS malformations
like holoprosencephaly.
• Congenital cardiac defects – VSD, PDA
• Urogenital defects - Cryptorchidism
Bicornuate uterus and hypoplastic ovaries
Polycystic kidneys
EDWARDS SYNDROME
• Incidence in liveborn infants - 1 in 7500 births
• About 95% are aborted spontaneously.
• Postnatal survival is poor
• Increased maternal age is a factor,
• In 20% of cases, there is a translocation involving chromosome 18
• The trisomy may also be present in mosaic form
• Mental retardation and failure to thrive present
• Hypertonia is a typical finding
Prominent occiput
Jaw recedes
The ears are low-set and malformed.
The fists clench in a characteristic way, the second and fifth
digits overlapping the third and fourth
Hypoplastic nails
The feet have a “rocker-bottom” appearance, with
prominent calcanei.
• Congenital heart defects
• Urogenital defects
• Limited hip abduction
KLINEFELTER SYNDROME
• Male hypogonadism that develops when there are at least 2 X chromosomes
and one or more Y chromosomes.
• Incidence - 1 in 1000 male live births
• Most affected patients have a 47 XXY karyotype
• Variants – 48 XXYY, 48 XXXY, and 49 XXXXY.
• As a rule, the additional X chromosomes cause a correspondingly more
severe phenotype
• Advanced maternal age and a history of irradiation in either parent
• Klinefelter syndrome is the most common cause of hypogonadism in males
Hypogonadism
Eunuchoid body habitus
Tall and thin,long legs
Reduced facial body and pubic hair
Testicular atrophy – infertility
Mild mental retardation
Gynaecomastia
• Persistent androgen deficiency results in decreased muscle tone, loss of
libido and decreased bone mineral density.
• The risk of breast cancer is 20 to 50 times higher
• Increased risk of extragonadal germ cell tumors and autoimmune diseases
such as systemic lupus erythematosus
TURNER SYNDROME
• Primary hypogonadism in phenotypic females due to partial or complete
monosomy of the short arm of the X chromosome
• Incidence : 1 in 5000 to 1 in 10000 live births
• 99% abort spontaneously.
• 50% patients have 45 X karyotype
• Mosaicism i.e 45X/46XX in 20%
• Intelligence is usually considered to be normal
• The chromosome error leading to loss of a sex chromosome is usually
paternal
Swelling of the nape of the neck due to distended
lymphatic channels
Lymphedema of the hands
and feet
Webbed neck
Low posterior hairline
Broad chest with widely spaced nipples
Short stature
Cubitus valgus
Infantile genitalia
Minimal breast development is minimal
Gonadal dysgenesis (usually streak gonads)
Primary amenorrhoea and infertility
• Congenital malformations - horseshoe kidney,
- bicuspid aortic valve
- coarctation of the aorta (15%)
• Cardiovascular abnormalities are the most common cause of death in
childhood.
• Oestrogen replacement therapy should be initiated at adolescence
TRIPLE X SYNDROME
• Incidence - 1 in 1000 female births.
• Mild reduction of IQ present
• Adults are fertile
• Severity of mental retardation proportional to number of extra X
chromosomes
XYY SYNDROME
• Incidence - 1 in 1000
• Increased risk of educational or behavioural problems in comparison with
chromosomally normal males.
• They have normal intelligence and are not dysmorphic.
• Fertility is usually normal
• IQ scores are about 10 to 15 points below average.
• Attention deficits, hyperactivity and impulsiveness
CRI DU CHAT SYNDROME
• Terminal or interstitial deletion of part of the short arm of chromosome
5(5p15)
• Crying infants with this disorder sound like a mewing cat.
• Accounts for about 1% of all institutionalized mentally retarded patients.
• Moderate to severe mental retardation and heart defects
Microcephaly
Micrognathia
Hypertelorism
Epicanthal folds
Low-set ears
SYNDROME CHROMOSOME
Smith-Magenis syndrome 17p deletion
DiGeorge syndrome/ Velocardiofacial syndrome 22q deletion
Williams syndrome 7q deletion
Angelman syndrome 15q deletion
Prader willi Syndrome 15q deletion
WAGR syndrome 11p deletion
Chromosomal anomalies

Chromosomal anomalies

  • 1.
  • 2.
    • DNA isthe basic template that provides the blueprint for the formation and maintenance of an organism • DNA is packaged into chromosomes • Cytogenetics: The study of chromosomes and cell division • The nucleus of human somatic cells consists of 46 chromosomes, arranged in 23 pairs • Autosomes: 22 pairs • Sex chromosomes: 2 X chromosomes in females X and Y chromosome in males.
  • 4.
    • 20,000 chromosomalabnormalities have been registered • Approximately 1 in 200 newborn infants has some form of chromosomal abnormality. • In 50% of first-trimester spontaneous abortions, the fetus has a chromosomal abnormality • Abnormalities of chromosomes - a) Numeric abnormalities b) Structural abnormalities • May involve one or more autosomes, sex chromosomes or both simultaneously.
  • 5.
    NUMERIC ABNORMALITIES • Thenormal chromosome count is 46 ( 2n =46). • Euploid- Any exact multiple of the haploid number (n) • Polyploid-Chromosome numbers such as 3n and 4n Polyploidy generally results in a spontaneous abortion. • Aneuploid- Any number that is not an exact multiple of n a) Monosomy b) Trisomy • Mosaicism - presence of two or more populations of cells with different complements of chromosomes in the same individual
  • 6.
    STRUCTURAL ABNORMALITIES • Chromosomalbreakage followed by loss or rearrangement of material • Deletion - loss of a portion of a chromosome.
  • 7.
    • Translocation -transfer of a part of one chromosome to another chromosome.
  • 8.
    • Inversions -two interstitial breaks in a chromosome, and the segment reunites after a complete turnaround.
  • 9.
    • Isochromosomes -the centromere divides horizontally rather than vertically
  • 10.
    • Insertions -a segment removed from one chromosome is inserted into a different chromosome, either in its usual orientation or inverted
  • 11.
    • Ring chromosome- After loss of segments from each end of the chromosome, the arms unite to form a ring
  • 12.
    • Duplications -A portion of the chromosome is duplicated, resulting in extra genetic material
  • 13.
  • 14.
    • Incidence atbirth – USA 1: 800 • Chromosomal findings – Trisomy 21 ( 95% ) – Robertsonian translocation ( 4% ) – Mosaicism • Maternal age has a strong influence on the incidence of Down syndrome. • Down syndrome is a leading cause of severe mental retardation • Approximately 80% of those afflicted have an IQ of 25 to 50.
  • 15.
    • Clinical features Flatfacial profile Protruding tongue(furrowed) Brachycephaly Small ears Epicanthic fold Upward sloping palpebral fissure Brushfield spot Hypotonia Sleepy Excess nuchal skin Flat occiput
  • 16.
    Sandal gap deformity Simiancrease Small middle phalanx of 5th finger
  • 17.
    • Congenital cardiacdefects - 40% ( ASD,VSD, AV valve malformations ) • Malformations such as duodenal atresia and tracheoesophageal fistula are more common • 10 to 20 fold increased risk of developing acute leukemia. • Alzheimer disease, a degenerative disorder of the brain • Abnormal immune responses
  • 18.
    PRENATAL SCREENING Triple test •Combined biochemical test - Maternal Serum AFP, hCG and unconjugated estriol. • The level of Maternal Serum AFP and Unconjugated estriol tend to be low while that of hCG is high. • It is performed at 15–18 weeks. It gives a risk ratio and For confirmation amniocentesis has to be done.
  • 19.
  • 20.
    • Incidence -1 in 15,000 to 25,000 births. • Associated with increased maternal age • 20% of the cases are caused by an unbalanced translocation • The empirical risk that a subsequent live born child will have the syndrome is less than 2%. • Clinically severe - about 50% individuals die within the first month. • Growth retardation and severe mental retardation
  • 21.
    Clinical features Postaxial polydactyly Handsclench with overlapping of digits Simian crease may be present Microcephaly Cleft lip and palate Malformed ears
  • 22.
    Rocker-bottom feet Microphthalmia Malformed, lowset ears Severe CNS malformations like holoprosencephaly.
  • 23.
    • Congenital cardiacdefects – VSD, PDA • Urogenital defects - Cryptorchidism Bicornuate uterus and hypoplastic ovaries Polycystic kidneys
  • 24.
  • 25.
    • Incidence inliveborn infants - 1 in 7500 births • About 95% are aborted spontaneously. • Postnatal survival is poor • Increased maternal age is a factor, • In 20% of cases, there is a translocation involving chromosome 18 • The trisomy may also be present in mosaic form • Mental retardation and failure to thrive present • Hypertonia is a typical finding
  • 26.
    Prominent occiput Jaw recedes Theears are low-set and malformed. The fists clench in a characteristic way, the second and fifth digits overlapping the third and fourth Hypoplastic nails
  • 27.
    The feet havea “rocker-bottom” appearance, with prominent calcanei. • Congenital heart defects • Urogenital defects • Limited hip abduction
  • 28.
  • 29.
    • Male hypogonadismthat develops when there are at least 2 X chromosomes and one or more Y chromosomes. • Incidence - 1 in 1000 male live births • Most affected patients have a 47 XXY karyotype • Variants – 48 XXYY, 48 XXXY, and 49 XXXXY. • As a rule, the additional X chromosomes cause a correspondingly more severe phenotype • Advanced maternal age and a history of irradiation in either parent • Klinefelter syndrome is the most common cause of hypogonadism in males
  • 30.
    Hypogonadism Eunuchoid body habitus Talland thin,long legs Reduced facial body and pubic hair Testicular atrophy – infertility Mild mental retardation Gynaecomastia
  • 31.
    • Persistent androgendeficiency results in decreased muscle tone, loss of libido and decreased bone mineral density. • The risk of breast cancer is 20 to 50 times higher • Increased risk of extragonadal germ cell tumors and autoimmune diseases such as systemic lupus erythematosus
  • 32.
  • 33.
    • Primary hypogonadismin phenotypic females due to partial or complete monosomy of the short arm of the X chromosome • Incidence : 1 in 5000 to 1 in 10000 live births • 99% abort spontaneously. • 50% patients have 45 X karyotype • Mosaicism i.e 45X/46XX in 20% • Intelligence is usually considered to be normal • The chromosome error leading to loss of a sex chromosome is usually paternal
  • 34.
    Swelling of thenape of the neck due to distended lymphatic channels Lymphedema of the hands and feet
  • 35.
    Webbed neck Low posteriorhairline Broad chest with widely spaced nipples
  • 36.
    Short stature Cubitus valgus Infantilegenitalia Minimal breast development is minimal Gonadal dysgenesis (usually streak gonads) Primary amenorrhoea and infertility
  • 37.
    • Congenital malformations- horseshoe kidney, - bicuspid aortic valve - coarctation of the aorta (15%) • Cardiovascular abnormalities are the most common cause of death in childhood. • Oestrogen replacement therapy should be initiated at adolescence
  • 38.
  • 39.
    • Incidence -1 in 1000 female births. • Mild reduction of IQ present • Adults are fertile • Severity of mental retardation proportional to number of extra X chromosomes
  • 40.
  • 41.
    • Incidence -1 in 1000 • Increased risk of educational or behavioural problems in comparison with chromosomally normal males. • They have normal intelligence and are not dysmorphic. • Fertility is usually normal • IQ scores are about 10 to 15 points below average. • Attention deficits, hyperactivity and impulsiveness
  • 42.
    CRI DU CHATSYNDROME • Terminal or interstitial deletion of part of the short arm of chromosome 5(5p15) • Crying infants with this disorder sound like a mewing cat. • Accounts for about 1% of all institutionalized mentally retarded patients. • Moderate to severe mental retardation and heart defects
  • 43.
  • 44.
    SYNDROME CHROMOSOME Smith-Magenis syndrome17p deletion DiGeorge syndrome/ Velocardiofacial syndrome 22q deletion Williams syndrome 7q deletion Angelman syndrome 15q deletion Prader willi Syndrome 15q deletion WAGR syndrome 11p deletion