Visit us:www.dentaltutot.in
www.dentaltutot.in
 Cell injury is defined as a variety of stresses a
cell encounters as a result of changes in its
internal and external environment.
 Virchow’s Cellular theory of disease (1859):
diseases occur due to abnormalities at the
level of cells
 The cellular response to stress may vary and
depends upon the following:
◦ The type of cell and tissue involved.
◦ Extent and type of cell injury
www.dentaltutot.in
www.dentaltutot.in
Genetic causes Acquired causes
 Developmental defects:
Errors in
morphogenesis
 Cytogenetic
(Karyotypic) defects:
chromosomal
abnormalities
 Single-gene defects:
Mendelian disorders
 Multifactorial
inheritance disorders
 Hypoxia and ischaemia
 Physical agents
 Chemical agents and
drugs
 Microbial agents
 Immunologic agents
 Nutritional derangements
 Aging
 Psychogenic diseases
 Iatrogenic factors
 Idiopathic diseases.
www.dentaltutot.in
www.dentaltutot.in
HYPOXIA
Ischemia ( loss of blood supply ).
Inadequate oxygenation
(cardiorespiratory failure).
Loss of oxygen carrying capacity
of the blood ( anemia or CO
poisoning ).
www.dentaltutot.in
HYPOXIC INJURY
 Loss of oxidative phosphorylation and ATP
generation by mitochondria.
 Decreased ATP (with increase in AMP):
stimulating fructokinase and phosphorylation,
resulting in aerobic glycolysis.
 Depleted glycogen.
 Reduced intracellular pH: Lactic acid and
inorganic phosphate.
 Clumping of nuclear chromatin.
www.dentaltutot.in
Trauma
Heat
Cold
Radiation
Electric shock
www.dentaltutot.in
• Endogenous products: urea
• Exogenous agents
•Therapeutic drugs: hormones
•Nontherapeutic agents: lead
or alcohol
www.dentaltutot.in
 Absorption of energy (UV light and x-rays)
 Oxidative metabolic reactions
 Enzymatic conversion of exogenous
chemicals or drugs (CCl4>CCl3
.)
 Oxygen-derived radicals
 Superoxide
www.dentaltutot.in
Viruses
Rickettsiae
Bacteria
Fungi
Parasites
www.dentaltutot.in
The immune process is normally protective
but in certain circumstances the reaction may
become deranged.
◦ Hypersensitivity to various substances can lead to
anaphylaxis or to more localized lesions such as
asthma.
◦ In other circumstances the immune process may act
against the body cells - autoimmunity.
www.dentaltutot.in
 Protein-calorie deficiencies are the most
examples of nutrition deficiencies.
 Vitamins deficiency.
 Excess in nutrition are important causes of
morbidity and mortality.
 Excess calories and diet rich in animal fat are
now strongly implicated in the development of
atherosclerosis.
 Obesity alone leads to an increased
vulnerability to certain disorders, such as
atherosclerosis, coronary heart disease, diabetes
mellitus
www.dentaltutot.in
 Programmed aging whereby after a defined
number of divisions the cell undergoes
terminal differentiation.
 Development of an increasing population of
cells irreversibly committed to senescence
and death.
 Increased susceptibility to somatic mutation
and a build-up of errors leading to an
eventual’ error catastrophe.
 Faulty DNA repair mechanisms.
www.dentaltutot.in
 Cellular adaptation
1. Hyperplasia
2. Hypertrophy
3. Atrophy
4. Metaplasia
5. Dysplasia
 Reversible injury
1. intracellular edema,
2. fatty change,
3. hyaline change,
4. amyloidosis,
5. mucoid degeneration,
6. pathologic pigments
 Irreversible injury and dying: Necrosis, Gangrene followed by
pathological calcification
www.dentaltutot.in
www.dentaltutot.in
www.dentaltutot.in
 Adaptations are reversible changes in the size,
number, phenotype, metabolic activity, or
functions of cells in response to changes in their
environment
 Cells must constantly adapt, even under normal
conditions, to changes in their environment.
 These physiological adaptations usually represent
responses of cells to normal stimulation by
hormones or endogenous chemical substances.
◦ For example, as in the enlargement of the breast and
induction of lactation by pregnancy.
www.dentaltutot.in
 Pathologic adaptations may share the same
underlying mechanisms, but they provide the
cells with the ability to survive in their
environment and perhaps escape injury.
 Cellular adaptation is a state that lies
intermediate between the normal, unstressed
cell and the injured, overstressed cell.
www.dentaltutot.in
 Cell can adapt themselves by undergoing 5
different conditions
1. Hyperplasia
2. Hypertrophy
3. Atrophy
4. Metaplasia
5. Dysplasia
www.dentaltutot.in
www.dentaltutot.in
An increase in the
number of cells in
an organ or tissue,
which may then
have increased
volume.
www.dentaltutot.in
a. Hormonal : influence of hormonal stimulation
 hyperplasia of the female breast epithelium at puberty or
in pregnancy.
 pregnant uterus
 normal endometrium after a normal menstrual cycle.
 Prostatic hyperplasia in old age
b. Compensatory: hyperplasia occurring following
removal of part of an organ or a contralateral organ in
paired organ
 Regeneration of the liver following partial hepatectomy
 Regeneration of epidermis after skin abrasion
 Following nephrectomy on one side, there is hyperplasia
of nephrons of the other kidney.
www.dentaltutot.in
 Excessive stimulation of hormones or growth
factors
◦ Endometrial hyperplasia
◦ wound healing - of granulation tissue due to
proliferation of fibroblasts and endothelial cells.
◦ skin warts from hyperplasia of epidermis due to
human papilloma virus.
◦ Pseudocarcinomatous hyperplasia of the skin
www.dentaltutot.in
Definition: An increase in the size of cells, and with
such change, an increase in the size of the organ.
Types:
• Physiologic: physiologic growth of the uterus
during pregnancy involves both hypertrophy and
hyperplasia.
• Pathologic causes: increased workload, hormonal
stimulation and growth factors stimulation.
• hypertrophy of heart the most common stimulus is
chronic hemodynamic overload
www.dentaltutot.in
Hypertrophied heart
(From ROBBINS BASIC PATHOLOGY,2003)
www.dentaltutot.in
Physiologic hypertrophy of the uterus during pregnancy.A, gross
appearance of a normal uterus (right) and a gravid uterus (left) that was
removed for postpartum bleeding,
Normal uterus gravid uterus
(From ROBBINS BASIC PATHOLOGY,2003)
www.dentaltutot.in
Although hypertrophy and hyperplasia are
two distinct processes, frequently both
occur together, and they well be triggered
by the same mechanism.
www.dentaltutot.in
Definition: Acquired loss of size due to
reduction of cell size or number of
parenchyma cells in an organ
Types: Physiologic or Pathological
www.dentaltutot.in
Left Normal Right
Atrophy
 A normal process of
aging in some tissues,
which could be due to
loss of endocrine
stimulation or
arteriosclerosis.
◦ Atrophy of lymphoid tissue
in lymph nodes, appendix
and thymus.
◦ Atrophy of gonads after
menopause.
◦ Atrophy of brain with
aging.
www.dentaltutot.in
 Starvation atrophy.
 Ischaemic atrophy
 Disuse atrophy.
 Neuropathic atrophy.
 Endocrine atrophy
 Pressure atrophy.
 Idiopathic atrophy
www.dentaltutot.in
Definition: Metaplasia is a reversible change in
which one adult cell type is replaced by
another adult cell type.
Causes
 Changes in environment
 Irritation or inflammation
 Nutritional
www.dentaltutot.in
 There are basically 2 types of metaplasia
 EPITHELIAL METAPLASIA
◦ Squamous metaplasia: changes in bronchus, uterine
endocervix, gallbladder, prostate, renal pelvis and urinary
bladder
 vitamin A deficiency: squamous metaplasia in the nose, bronchi,
urinary tract, lacrimal and salivary glands
◦ Columnar metaplasia: Intestinal metaplasia in healed
chronic gastric ulcer and Barrett’s oesophagus
 MESENCHYMAL METAPLASIA
◦ Osseous metaplasia.
◦ Cartilaginous metaplasia.
www.dentaltutot.in
Squamous metaplasia in bronchitis
(offered by Prof.Orr)
www.dentaltutot.in
Schematic diagram of columnar to squamous metaplasia
(From ROBBINS BASIC PATHOLOGY,2003)
www.dentaltutot.in
 disordered cellular development.
 also referred to as atypical hyperplasia
 Epithelial dysplasia is characterised by cellular
proliferation and cytologic changes
◦ Increased number of layers of epithelial cells
◦ Disorderly arrangement of cells from basal layer to the surface
layer
◦ Loss of basal polarity i.e. nuclei lying away from basement
membrane
◦ Cellular and nuclear pleomorphism
◦ Increased nucleocytoplasmic ratio
◦ Nuclear hyperchromatism
◦ Increased mitotic activity.
• The two most common examples of dysplastic
changes are the uterine cervix and respiratory tract
www.dentaltutot.in
www.dentaltutot.in
www.dentaltutot.in
• Intracellular edema,
• Fatty change,
• Hyaline change,
• Amyloidosis,
• Mucoid Degeneration,
• Pathologic Pigments
 Also known as cloudy swelling.
 Accumulation of watery fluid in cells.
 Commonest and earliest form of cell
injury
 Caused by bacterial toxins, chemicals, poisons,
burns, high fever, intravenous administration of
hypertonic glucose or saline.
 Impaired regulation of sodium and potassium at the
level of cell
membrane.
 Morphologic change
• Gross features: cloudy swelling
• M/S Changes: Parenchymal cells swollen.
www.dentaltutot.in
Left Granularity change in kidney Right Hydropic change
www.dentaltutot.in
Definition: There is the accumulation of fat in
non-fatty cells.
 Also known as steatosis
Morphologic change:
• Gross features: The organ enlarges and
becomes yellow, soft, and greasy.
• M/S: An Fatty change appears as clear
vacuoles within parenchymal cells.
www.dentaltutot.in
• Since this organ plays a
central role in fat metabolism,
• The accumulation of fat in
toxic conditions can be very
dangerous.
• Depending upon the cause
and amount of accumulation,
fatty change may be
• mild and reversible,
• or severe producing irreversible
cell injury and cell death
www.dentaltutot.in
 Conditions with excess fat
◦ Obesity
◦ Diabetes mellitus
◦ Congenital hyperlipidaemia
 Liver cell damage:
◦ Alcoholic liver disease (most common)
◦ Starvation
◦ Protein calorie malnutrition
◦ Chronic illnesses (e.g. tuberculosis)
◦ Acute fatty liver in late pregnancy
◦ Hypoxia (e.g. anaemia, cardiac failure)
◦ Hepatotoxins (e.g. carbon tetrachloride, chloroform, ether, aflatoxins and
other poisons)
◦ Drug-induced liver cell injury (e.g. administration of methotrexate, steroids,
CCl4, halothane anaesthetic, tetracycline etc)
◦ Reye’s syndrome
www.dentaltutot.in
 Grossly
◦ the liver in fatty change is
enlarged with a tense, glistening
capsule and rounded margins.
◦ The cut surface bulges slightly
and is pale-yellow to yellow and is
greasy to touch
 Microscopically
◦ characteristic feature is the
presence of numerous lipid
vacuoles in the cytoplasm of
hepatocytes.
www.dentaltutot.in
• It occurs in two patterns,
• Prolonged moderate hypoxia causes
intracellular deposits of fat,
• grossly apparent bands of yellowed
myocardium alterations with bands of
darker, red-brown, uninvolved
myocardium (tigered effect).
• Profound hypoxia or diphtheritic
myocarditis, the myocardial cells are
uniformly affected.
www.dentaltutot.in
tigered effect
Prof. (From CIBA PHARMACEUTICAL PRODUCTS, INC. 1948) Orr
www.dentaltutot.in
• In most cases fatty change is confined to the epithelium of the
convoluted tubules,
• but in severe poisoning it may affect all structures including the
glomerule.
Causes:
 Poisons. e. g. carbon tetrachloride, phosphorus (liver)
 Chronic alcoholism (liver)
 Infections
 Congestive cardiac failure
 Severe anaemia
 Ischaemia
 Diabetes mellitus
 Malnutrition and wasting disease.
www.dentaltutot.in
 Not a distinct chemical
entity.
 Various histological or
cytological alterations
characterized by
homogeneous, glasslike
appearance in
hematoxylin and eosin-
stained sections.
 It may be intracellular or
extracellular.
www.dentaltutot.in
Hyalinization Arteriolar Sclerosi
 Its mainly seen in epithelial cells.
 Hyaline droplets in the proximal tubular epithelial
cells: excessive reabsorption of plasma proteins.
 Hyaline degeneration of rectus abdominalis muscle
called Zenker’s degeneration, occurring in typhoid
fever.
 Mallory’s hyaline represents aggregates of
intermediate
filaments in the hepatocytes in alcoholic liver cell
injury.
 Nuclear or cytoplasmic hyaline inclusions seen in
some viral infections.
 Russell’s bodies representing excessive
immunoglobulins www.dentaltutot.in
www.dentaltutot.in
Intracellular
hyaline as
Russell’s bodies
in the plasma
cells. The
cytoplasm shows
pink
homogeneous
globular material
due to
accumulated
immunoglobulins.
 Extracellular hyaline is seen in connective tissues.
 A few examples of extracellular hyaline change are as
under:
◦ Hyaline degeneration in leiomyomas of the uterus
◦ Hyalinised old scar of fibro-collagenous tissues.
◦ Hyaline arteriolosclerosis in renal vessels in hypertension
and diabetes mellitus.
◦ Hyalinised glomeruli in chronic glomerulonephritis.
◦ Corpora amylacea are rounded masses of concentric hyaline
laminae seen in the prostate in the elderly, in the brain and
in the spinal cord in old age, and in old infarcts of the lung.
www.dentaltutot.in
www.dentaltutot.in
Extracellular hyaline deposit
in leiomyoma uterus. The
centres of whorls of smooth
muscle and connective tissue
show pink homogeneous
hyaline material (connective
tissue hyaline)
www.dentaltutot.in
 Mucus containing mucin (glycoprotein) secreted
by mucous glands.
 In certain cellular injur, there is change
characterized by accumulation of mucin in
intracellular or extracellular loci.
 Epithelial
◦ composed of sialomucin plus neutral
mucopolysaccharide.
◦ May accumulate in intracellular or extracellular (if
secreted) locations.
 Connective tissue
◦ predominantly acid mucopolysaccharide, sulfated or
carboxylated
www.dentaltutot.in
 Following are some examples of functional
excess of epithelial mucin:
 Catarrhal inflammation of mucous membrane
(e.g. of respiratory tract, alimentary tract, uterus).
 Obstruction of duct leading to mucocele in the
oral cavity and gallbladder.
 Cystic fibrosis of the pancreas.
 Mucin-secreting tumours (e.g. of ovary, stomach,
large bowel etc)
www.dentaltutot.in
www.dentaltutot.in
Mucinous
cystadenoma of the
ovary showing
intracytoplasmic
mucinous material
in the epithelial
cells lining the cyst
 A few examples of disturbances of connective
tissue mucin are as under
◦ Mucoid or myxoid degeneration in some tumours e.g.
myxomas, neurofibromas, fibroadenoma, soft tissue
sarcomas etc
◦ Dissecting aneurysm of the aorta due to Erdheim’s
medial degeneration and Marfan’s syndrome.
◦ Myxomatous change in the dermis in myxoedema.
◦ Myxoid change in the synovium in ganglion on the wris
www.dentaltutot.in
www.dentaltutot.in
Myxoid change
in neurofibroma
 Extracellular deposition of
fibrillar proteinaceous
substance called amyloid
◦ a ‘waxy substance’ composed
essentially of an abnormal
protein
◦ Particularly around the
supporting fibres of blood
vessels and basement
membranes.
 Associated with a number of
inherited and inflammatory
disorders
www.dentaltutot.in
Primary Amyloidosis of kidneys
www.dentaltutot.in
Electron micrograph of 7.5-10 nm
amyloid fibrils.
Congo red staining shows an
apple-green birefringence under
polarized light, a diagnostic feature
of amyloid.
 Based on the biochemical analysis, its composed of 2 main
types of complex proteins.
 Fibril proteins: comprise about 95% of amyloid.
◦ AL (amyloid light chain) protein
◦ AA (amyloid associated) protein
◦ Other proteins (Transthyretin (TTR), Aβ2-microglobulin (Aβ2M),
β-amyloid protein (Aβ), Immunoglobulin heavy chain amyloid
(AH))
 Non-fibrillar components: which include P-component
predominantly; constitute the remaining 5% of amyloid
◦ Amyloid P (AP)-component
◦ Apolipoprotein-E (apoE)
◦ α-1 anti-chymotrypsin.
◦ Protein X.
www.dentaltutot.in
 Result of immunologic mechanisms.
 Multifactorial and that different
mechanisms are involved in different
types of amyloid.
 Fundamentally a disorder of protein
misfolding.
 More than 20 (at last count, 23) different
proteins can aggregate and form fibrils
with the appearance of amyloid
 The dye Congo red binds to these fibrils
and produces a red-green dichroism
(birefringence)
◦ commonly used to identify amyloid
desposits in tissues
www.dentaltutot.in
www.dentaltutot.in
 Based on cause
◦ Primary : with unknown cause and the deposition is in the disease
itself
◦ Secondary: as a complication of some underlying known disease
 Based on extent of amyloid deposition
◦ Systemic (generalised) involving multiple organs
◦ Localised amyloidosis involving one or two organs or sites
 Based on histological basis
◦ Pericollagenous: corresponding in distribution to primary
amyloidosis
◦ Perireticulin: corresponding in distribution to secondary
amyloidosis
www.dentaltutot.in
 Based on clinical location,
◦ Pattern I: involving tongue, heart, bowel, skeletal and
smooth muscle, skin and nerves),
◦ Pattern II: principally involving liver, spleen, kidney and
adrenals
◦ Mixed pattern : involving sites of both pattern I and II
 Based on tissues in which amyloid is deposited,
◦ Mesenchymal : organs derived from mesoderm
◦ Parenchymal: organs derived from ectoderm and endoderm
 Based on precursor biochemical proteins, into
specific type of serum amyloid proteins.
www.dentaltutot.in
www.dentaltutot.in
(AL= Amyloid light chain; AA= Amyloid-associated protein; Aβ2M= Amyloid
β2-microglobulin; ATTR= Amyloid transthyretin; APrP=Amyloid of prion
proteins, Aβ= β-amyloid protein).
 STAIN ON GROSS
◦ Virchow
◦ frozen/paraffin section
◦ Lugol’s iodine imparts
mahogany brown colour to
the amyloid
◦ on addition of dilute sulfuric
acid turns
blue.
 H & E
◦ extracellular, homogeneous,
structureless
◦ Eosinophilic hyaline material,
especially in
relation to blood vessels
www.dentaltutot.in
 BIOPSY EXAMINATION: commonest and
confirmatory method for diagnosis in a
suspected case of amyloidosis.
 IN VIVO CONGO RED TEST: confirmatory
 OTHER TESTS
◦ supportive of amyloid disease
◦ electrophoresis, immunoelectrophoresis of urine
and serum, and bone marrow aspiration
www.dentaltutot.in
www.dentaltutot.in
AMYLOID DEPOSITION
Pressure on adjacent cells Blood vessels
Atrophy Narrowing Increased permeability
Transudation of protein
out of vessels
 Different organs shows variation in morphologic pattern,
some features are applicable in general to most of the
involved organs
 Most commonly amyloid deposits appear at the contacts
between the vascular spaces and parenchymal cells
 Grossly
◦ affected organ is usually enlarged, pale and rubbery
◦ Cut surface shows firm, waxy and translucent parenchyma
◦ positive staining with the iodine test.
 Microscopically
◦ the deposits of amyloid are found in the extracellular locations,
initially in the walls of small blood vessels producing microscopic
changes and effects,
◦ the deposits are in large amounts causing macroscopic changes
and effects of pressure atrophy.
www.dentaltutot.in
www.dentaltutot.in
The kidney is small
and pale in colour.
Sectioned surface
shows loss of
cortico-medullary
distinction
(arrow) and pale,
waxy translucency.
www.dentaltutot.in
The amyloid deposits are seen mainly in the glomerular capillary
tuft. The deposits are also present in peritubular connective
tissue producing atrophic tubules and amyloid casts in the
tubular lumina, and in the arterial wall producing luminal
narrowing.
www.dentaltutot.in
www.dentaltutot.in
The sectioned surface
shows presence of plae
waxy translucency in a
map-like pattern
www.dentaltutot.in
A, The pink acellular amyloid material is seen in the red pulp
causing atrophy of while pulp.
B, Congo red staining shows Congophilia as seen by red-pink
colour.
C, When viewed under polarising microscopy the corresponding
area shows apple-green birefringence.
www.dentaltutot.in
A, The deposition is extensive in
the space of Disse causing
compression and pressure
atrophy of hepatocytes. B,
Congo red staining shows
congophilia which under
polarising microscopy.
 Pigments are
coloured substances
present in most living
beings including
humans.
 There are 2 broad
categories of
pigments:
endogenous and
exogenous.
www.dentaltutot.in
 Melanin
◦ Generalised
hyperpigmentation:
Addison’s disease,
Chloasma, chronic
arsenical poisoning
◦ Focal hyperpigmentation:
Cäfe-au-lait spots, Peutz-
Jeghers syndrome,
Melanosis coli, Melanotic
tumours, Lentigo ,
Dermatopathic
lymphadenitis
◦ Generalised
hypopigmentation:
Albinism
◦ Localised
hypopigmentation:
Leucoderma, Vitiligo ,
Acquired focal
hypopigmentation, leprosy,
 Melanin-like pigment
◦ Alkaptonuria
◦ Dubin-Johnson syndrome
 Haemoprotein-derived
pigments
◦ Haemosiderin
◦ Acid haematin (Haemozoin)
◦ Bilirubin
◦ Porphyrins
 Lipofuscin (Wear and tear
pigment)
www.dentaltutot.in
www.dentaltutot.in
Brown atrophy of the heart. The lipofuscin pigment granules are seen
in the cytoplasm of the myocardial fibres, especially around the nuclei.
www.dentaltutot.in
Compound naevus showing clusters of benign naevus cells in the
dermis as well as in lower epidermis. These cells contain coarse,
granular, brown-black melanin pigment
 Inhaled pigments
◦ Atmospheric pollutants and of smokers
◦ Pneumoconiosis: occupational lung diseases
◦ Anthracosis: deposition of coal
 Ingested pigments
◦ Argyria : silver compounds - brownish pigmentation in the skin, bowel,
and kidney.
◦ Burtonian Lines: Chronic lead poisoning - blue lines on teeth at the
gumline.
◦ Melanosis coli : cathartics (stimulates evacuation of the bowels)
◦ Carotenaemia: yellowish-red colouration of the skin - ingestion of carrots
which contain carotene.
 Injected pigments (Tattooing): India ink, cinnabar and carbon
deposited in dermis
www.dentaltutot.in
www.dentaltutot.in
Anthracosis lung: There is presence of abundant coarse black
carbon pigment in the septal walls and around the bronchiole
www.dentaltutot.in
 Cell death is a state of irreversible injury,
 It may occur in the living body as a local or focal
change: autolysis, necrosis and apoptosis
 The changes that follow it: gangrene and
pathologic calcification
www.dentaltutot.in
 Defined as a localised area of death of tissue
followed by degradation of tissue by hydrolytic
enzymes liberated from dead cells.
 It is invariably accompanied by inflammatory
reaction.
 Various agents such as hypoxia, chemical and
physical agents, microbial agents, immunological
injury, etc
 Two essential changes characterise irreversible
cell injury in necrosis of all types
◦ Cell digestion by lytic enzymes
◦ Denaturation of proteins
www.dentaltutot.in
Morphologically, there are five
types of necrosis
 Cogulative
 Liquefaction
 Caseous
 Fat
 Fibrinoid
www.dentaltutot.in
 It’s a form of tissue necrosis in which the
component cells are dead but the basic tissue
architecture is preserved for at least several days.
 The affected tissues take on a firm texture
 Presumably the injury denatures not only
structural proteins but also enzymes and so
blocks the proteolysis of the dead cells
◦ as a result, eosinophilic, anucleate cells may persist for
days or weeks
◦ Ultimately, the necrotic cells are removed by
phagocytosis of the cellular debris.
www.dentaltutot.in
 Most common type of
necrosis
 Mostly from sudden
cessation of blood flow
(ischaemia)
 Less often from bacterial
and chemical agents.
 It’s characteristic of infarcts
(areas of ischemic necrosis)
in all solid organs except
the brain.
 The organs commonly
affected are the heart,
kidney, and spleen
www.dentaltutot.in
Coagulative necrosis of the left
ventricular wall
 Gross
◦ foci of coagulative necrosis in the early stage are pale, firm, and
slightly swollen.
◦ With progression, they become more yellowish, softer, and
shrunken.
 Microscopically
◦ the hallmark of coagulative necrosis - the conversion of normal
cells into their ‘tombstones’
 outlines of the cells are retained so that the cell type but their
cytoplasmic and nuclear details are lost.
◦ The necrosed cells are swollen and appear more eosinophilic than
the normal, along with nuclear changes described above.
◦ But cell digestion and liquefaction fail to occur
◦ Eventually, the necrosed focus is infiltrated by inflammatory cells
◦ And the dead cells are phagocytosed leaving granular debris and
fragments of cells
www.dentaltutot.in
www.dentaltutot.in
Infarct Kidney
The affected area on right shows cells with intensely eosinophilic
cytoplasm of tubular cells but the outlines of tubules are still
maintained.
The nuclei show granular debris.
The interface between viable and non-viable area shows nonspecific
chronic inflammation and proliferating vessels
 Due to ischaemic injury and bacterial or fungal
infections
 degradation of tissue by the action of powerful
hydrolytic enzyme.
 The common examples are infarct brain
and abscess cavity.
 Whatever the pathogenesis, liquefaction completely
digests the dead cells, resulting in transformation of
the tissue into a liquid viscous mass.
 If the process was initiated by acute inflammation,
the material is frequently creamy yellow and is called
pus
www.dentaltutot.in
www.dentaltutot.in
 Gross
◦ The affected area is soft with liquefied centre containing
necrotic debris.
◦ Later, a cyst wall is formed.
 Microscopically,
◦ the cystic space contains necrotic cell debris and
macrophages filled with phagocytosed material.
◦ The cyst wall is formed by proliferating capillaries,
inflammatory cells, and gliosis (proliferating glial cells)
in the case of brain
◦ proliferating fibroblasts in the case of abscess cavity
www.dentaltutot.in
www.dentaltutot.in
Liquefactive necrosis brain
The necrosed area on right side of the field
shows a cystic space containing cell debris,
while the surrounding zone shows granulation
tissue and gliosis.
 found in the centre of foci
of tuberculous infections.
 It combines features of
both coagulative and
liquefactive necrosis.
 term "caseous" (cheese-
like) is derived from the
friable yellow-white
appearance of the area of
necrosis
www.dentaltutot.in
www.dentaltutot.in
 Grossly
◦ foci of caseous necrosis,
◦ as the name implies, resemble dry cheese and are soft,
granular and yellowish.
◦ This appearance is partly attributed to the histotoxic effects of
lipopolysaccharides present in the capsule of the tubercle
bacilli, Mycobacterium tuberculosis.
 Microscopically
◦ the necrosed foci are structureless, eosinophilic, and contain
granular debris
◦ The surrounding tissue shows characteristic granulomatous
inflammatory reaction
 Consisting of epithelioid cells with interspersed giant cells of
Langhans’ or foreign body type
 And peripheral mantle of lymphocytes.
www.dentaltutot.in
www.dentaltutot.in
Caseous necrosis lymph node
There is eosinophilic, amorphous, granular material, while the periphery
shows granulomatous inflammation.
 Refers to focal areas of fat destruction
◦ Acute pancreatic necrosis,
◦ traumatic fat necrosis commonly in breasts
 Pancreatic enzymes that have leaked out of
acinar cells and ducts
◦ liquefy the membranes of fat cells in the peritoneum.
◦ lipases split the triglyceride esters contained within fat
cells to fatty acid.
◦ These combines calcium to produce grossly visible
chalky white areas (fat saponification)
www.dentaltutot.in
www.dentaltutot.in
Fat necrosis in acute pancreatitis.
The areas of white chalky deposits represent foci of fat
necrosis with calcium soap formation (saponification) at sites
of lipid breakdown in the mesentery.
 Grossly
◦ fat necrosis appears as
yellowish-white and firm
deposits.
◦ Formation of calcium soaps
imparts the necrosed foci
firmer and chalky white
appearance.
 Microscopically
◦ the necrosed fat cells have
cloudy appearance
◦ surrounded by an
inflammatory reaction.
www.dentaltutot.in
Formation of calcium
soaps is identified in
the tissue sections as
amorphous, granular
and basophilic material
 Characterised by deposition of fibrin-like
material which has the staining properties of
fibrin.
 It is encountered in various examples of
immunologic tissue injury
◦ immune complex vasculitis,
◦ autoimmune diseases,
◦ Arthus reaction
 Arterioles in hypertension, peptic ulcer
www.dentaltutot.in
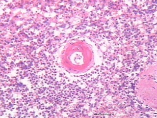
www.dentaltutot.in
Fibrinoid necrosis in an artery in a patient with polyarteritis nodosa.
The wall of the artery shows a circumferential bright pink area of
necrosis with protein deposition and inflammation (dark nuclei of
neutrophils).
 Microscopically
◦ identified by brightly
eosinophilic, hyaline-like
deposition in the vessel
wall.
◦ Necrotic focus is
surrounded by nuclear
debris of neutrophils
(leucocytoclasis)
◦ Local haemorrhage may
occur due to rupture of the
blood vessel.
www.dentaltutot.in
Fibrinoid necrosis in autoimmune
vasculitis. The vessel wall shows
brightly pink amorphous material
and nuclear fragments of necrosed
neutrophils
 A form of necrosis of tissue with superadded
putrefaction.
 All types of gangrene, necrosis undergoes
liquefaction by the action of putrefactive bacteria.
 It may be caused either ischemic or inflammatory
 Coagulative Necrosis due to ischaemia
◦ gangrene of the bowel,
◦ gangrene of limb
 Gangrenous or necrotising inflammation: primarily
inflammation provoked by virulent bacteria resulting
in massive tissue necrosis.
◦ Gangrenous appendicitis,
◦ Gangrenous stomatitis (noma, cancrum oris)
www.dentaltutot.in
 2 main forms of
gangrene
 Dry gangrene
 Wet Gangrene
◦ Gas gangrene: a
kind of wet
gangrene
www.dentaltutot.in
 begins in the distal part of a limb due to ischaemia.
 The gangrene spreads slowly upwards until it reaches
a point where the blood supply is adequate to keep
the tissue viable.
 A line of separation is formed at this point between
the gangrenous part and the viable part.
◦ Toes and feet of an old patient due to arteriosclerosis.
◦ Thromboangiitis obliterans (Buerger’s disease),
◦ Raynaud’s disease,
◦ Trauma
◦ Ergot poisoning
www.dentaltutot.in
Dry gangrene
www.dentaltutot.in
Dry
Gangren
e
 Grossly
◦ the affected part is dry, shrunken
and dark black, resembling the foot
of a mummy.
◦ It is black due to liberation of
haemoglobin from haemolysed red
blood cells which is acted upon by
hydrogen disulfide (H2S) produced
by bacteria resulting
in formation of black iron sulfide.
◦ The line of separation usually brings
about complete separation with
eventual falling off of the
gangrenous tissue if it is not
removed surgically
 Histologically
◦ Necrosis with smudging of the
tissue.
◦ The line of separation consists of
inflammatory granulation tissue
www.dentaltutot.in
 Naturally moist tissues and organs such as the
mouth, bowel, lung, cervix, vulva.
 develops rapidly due to blockage of venous, and
less commonly, arterial blood flow from
thrombosis or embolism.
 The affected part is stuffed with blood which
favours the rapid growth of putrefactive bacteria.
 The toxic products formed by bacteria are
absorbed causing profound systemic
manifestations of septicaemia, and finally death.
www.dentaltutot.in
 Diabetic foot
◦ high sugar content in
the necrosed tissue
which favours growth of
bacteria.
 Bed sores
◦ bed-ridden patient due
to pressure on sites like
the sacrum, buttocks
and heels
www.dentaltutot.in
Wet
gangrene
Intestine
www.dentaltutot.in
 Grossly,
◦ the affected part is soft, swollen, putrid, rotten and dark.
◦ The classic example is gangrene of bowel, commonly due to
strangulated hernia, volvulus or intussusception.
◦ The part is stained dark due to the same mechanism as in dry
gangrene
 Histologically,
◦ coagulative necrosis with stuffing of affected part with blood.
◦ There is ulceration of the mucosa and intense inflammatory
infiltration.
◦ Lumen of the bowel contains mucus and blood.
◦ The line of demarcation between gangrenous segment and viable
bowel is generally not clear-cut
www.dentaltutot.in
www.dentaltutot.in
Coagulative necrosis of the affected bowel wall and thrombosed
vessels while the junction with normal intestine is indistinct and shows
an inflammatory infiltrate
www.dentaltutot.in
 Special form of wet gangrene caused by gas-forming
clostridia (gram-positive anaerobic bacteria).
 gain entry into the tissues through open
contaminated wounds,
 especially in the muscles, or as a complication of
operation on colon which normally contains
clostridia.
 It produce various toxins which produce necrosis and
oedema locally
 Also absorbed producing profound systemic
manifestations.
www.dentaltutot.in
www.dentaltutot.in
 Grossly
◦ the affected area is swollen, oedematous, painful and
crepitant due to accumulation of gas bubbles within the
tissues.
◦ Subsequently, the affected tissue becomes dark black and
foul smelling.
 Microscopically
◦ the muscle fibres undergo coagulative necrosis with
liquefaction
◦ Large number of gram-positive bacilli can be identified.
◦ At the periphery, a zone of leucocytic infiltration, oedema
and congestion are found.
◦ Capillary and venous thrombi are common.
www.dentaltutot.in
www.dentaltutot.in
Definition: Abnormal deposits of calcium salts
occur in any tissues except bones and teeth.
 Two distinct types of pathologic calcification:
◦ Dystrophic calcification: characterised by deposition
of calcium salts in dead or degenerated tissues with
normal calcium metabolism and normal serum
calcium levels.
◦ Metastatic calcification: apparently normal tissues
and is associated with deranged calcium metabolism
and hypercalcaemia.
www.dentaltutot.in
 Etiology and pathogenesis of the two are different.
 But morphologically the deposits in both resemble normal
minerals of the bone.
 H and E stained sections,
◦ Calcium salts appear as deeply basophilic, irregular and
granular clumps.
◦ The deposits may be intracellular, extracellular, or at both
locations.
◦ Occasionally, heterotopic bone formation (ossification)
may occur.
◦ Calcium deposits can be confirmed by special stains
 Silver impregnation method of von-Kossa producing
black colour,
 Alizarin red S that produces red staining.
◦ Pathologic calcification is often accompanied by diffuse orwww.dentaltutot.in
 Encountered in areas of
necrosis of any type
 Although dystrophic
calcification may be an
incidental finding
indicating insignificant
past cell injury, it may also
be a cause of organ
dysfunction
 May occur due to 2 types
of causes:
◦ Dead tissue
◦ Degenerated tissue.
www.dentaltutot.in
Calcification of the aortic valve
 Caseous necrosis in tuberculosis is the most common site
 Liquefaction necrosis in chronic abscesses may get calcified.
 Fat necrosis following acute pancreatitis or traumatic fat necrosis in
the breast results in deposition of calcium soaps.
 Gamna-Gandy bodies in chronic venous congestion (CVC) of the
spleen is characterised by calcific deposits admixed with
haemosiderin on fibrous tissue.
 Infarcts may sometimes undergo dystrophic calcification.
 Thrombi, especially in the veins, may produce phleboliths.
 Haematomas in the vicinity of bones may undergo dystrophic
calcification.
 Dead parasites like in hydatid cyst, Schistosoma eggs, and
cysticercosis.
 Calcification in breast cancer detected by mammography.
 Congenital toxoplasmosis involving the central nervous system
visualised by calcification in the infant brain.
www.dentaltutot.in
 Dense old scars may undergo hyaline degeneration and subsequent
calcification.
 Atheromas in the aorta and coronaries frequently undergo
calcification.
 Mönckeberg’s sclerosis shows calcification in the tunica media of
muscular arteries in elderly people
 Stroma of tumours such as uterine fibroids, breast cancer, thyroid
adenoma, goitre etc show calcification.
 Psammoma bodies or calcospherites: characteristic spherules of
calcification such as in meningioma, papillary serous
cystadenocarcinoma of the ovary and papillary carcinoma of the
thyroid.
 Cysts which have been present for a long time e.g. epidermal and
pilar cysts.
 Calcinosis cutis is a condition of unknown cause in which there are
irregular nodular deposits of calcium salts in the skin and
subcutaneous tissue.
www.dentaltutot.in
www.dentaltutot.in
Fibrosis and dystrophic
calcifications of the
pancreatic parenchyma.
www.dentaltutot.in
Mitral Stenosis:
Gross natural
color opened
valve with
commissure
fusion
dystrophic
calcification
www.dentaltutot.in
Degenerated tunica media of
muscular artery of uterine
myometrium in Mönckeberg’s
arteriosclerosis
Caseous necrosis in tuberculous
lymph node. In H & E, the deposits
are basophilic granular while the
periphery shows healed granulomas.
 Denatured proteins in necrotic or degenerated tissue
bind phosphate ions, which react with calcium ions to
form precipitates of calcium phosphate.
 It involves 2 steps
 Initiation (or nucleation)
◦ phase in which precipitates of calcium phosphate begin to
accumulate intracellularly in the mitochondria,
◦ or extracellularly in membrane-bound vesicles: matrix
vesicles
 Propagation
◦ phase in which minerals deposited in the initiation phase are
propagated to form mineral crystals
www.dentaltutot.in
 Calcification in normal
tissue whenever there
is hypercalcemia.
 These may be due to
◦ Excessive mobilisation of
calcium from the bone
◦ Excessive absorption of
calcium from the gut
www.dentaltutot.in
 Hyperparathyroidism
◦ Primary : parathyroid adenoma,
◦ Secondary: parathyroid hyperplasia, chronic renal failure
 Bony destructive lesions
◦ Multiple myeloma
◦ Metastatic carcinoma
◦ leukemia
 Prolonged immobilisation
◦ Disuse atrophy of the bones and hypercalcaemia.
www.dentaltutot.in
 Hypervitaminosis D
 Milk-alkali syndrome
◦ Excessive oral intake of calcium in the form of milk
◦ And administration of calcium carbonate in the
treatment of peptic ulcer.
 Hypercalcaemia of infancy
 Sarcoidosis: macrophages activate a vitamin
D precursor
www.dentaltutot.in
 May occur in any normal tissue of the
body but affects the
following organs more commonly:
 Kidneys, especially at the basement
membrane of tubular
epithelium and in the tubular lumina
causing nephrocalcinosis
 Lungs, especially in the alveolar walls.
 Stomach, on the acid-secreting fundal
glands.
 Blood vessels, especially on the internal
elastic lamina.
 Cornea: another site affected by
metastatic calcification.
 Synovium of the joint causing pain and
dysfunction.
www.dentaltutot.in
Tubular basement membrane
in nephrocalcinosis due to
hypercalcaemia
www.dentaltutot.in
Lung:
Metastatic
Calcificatio
n
www.dentaltutot.in
www.dentaltutot.in
 a form of ‘coordinated and internally
programmed cell death’
 pathway of cell death that is induced by a tightly
regulated suicide program in which cells destined
to die activate enzymes capable of degrading the
cells' own nuclear DNA and nuclear and
cytoplasmic proteins
 Apoptosis is responsible for mediating cell death
in a wide variety of physiologic and pathologic
processes
www.dentaltutot.in
www.dentaltutot.in
 The plasma membrane of the apoptotic cell
remains intact, but the membrane is altered in
such a way that the cell and its fragments
become avid targets for phagocytes.
 The dead cell is rapidly cleared before its
contents have leaked out, and therefore cell
death by this pathway does not elicit an
inflammatory reaction in the host
 Thus, apoptosis differs from necrosis
 However, apoptosis and necrosis sometimes
coexist, and apoptosis induced by some
pathologic stimuli may progress to necrosis
www.dentaltutot.in
www.dentaltutot.in
 Organised cell destruction in sculpting of tissues
during development of embryo.
 Physiologic involution of cells in hormone-
dependent tissues
◦ Endometrial shedding during mensuration
◦ Regression of lactating breast after withdrawal of
breast-feeding.
 Normal cell destruction followed by replacement
proliferation such as in intestinal epithelium.
 Involution of the thymus in early age.
www.dentaltutot.in
 Cell death in tumours exposed to chemotherapeutic
agents.
 Cell death by cytotoxic T cells in immune mechanisms
such as in graft-versus-host disease and rejection
reactions.
 Progressive depletion of CD4+T cells in the pathogenesis
of AIDS.
 Cell death in viral infections e.g. viral hepatitis.
 Pathologic atrophy of organs and tissues on withdrawal of
stimuli e.g. prostatic atrophy after orchiectomy, atrophy of
kidney or salivary gland on obstruction of ureter or ducts,
respectively.
 Cell death in response to injurious agents involved in
causation of necrosis e.g. radiation, hypoxia and mild
thermal injury.
 In degenerative diseases of CNS e.g. in Alzheimer’s
disease,
Parkinson’s disease, and chronic infective dementias
www.dentaltutot.in
A,Apoptosis in the skin in an immune-mediated reaction
B,High power of apoptotic cell in live in immune-mediated hepatic cell injury.
www.dentaltutot.in
Ultrastructural changes
 Margination or progressive loss of nuclear chromatin
 Focal rupture of the nuclear membrane
 Breakdown of the plasmalemma.
 Development of flocculent densities in mitochondria.
Changes in the nucleus
 Pyknosis: condensation of chromatin of chromatin
and shrinkage of the nucleus.
 Karyorrhexis: fragmentation of the nucleus.
 Karyolysis: dissolution of the nucleus.
www.dentaltutot.inNormal Pyknosis Karyorrhexis
Changes in cytoplasm staining
• Positive staining with vital dyes such as Trepan blue which reflects
abnormal membrane permeability.
• Opacification: denaturation of proteins lead to aggregation with
resultant opacification of the cytoplasm.
• Eosinophilia: exposure of basic amino groups results in increased
affinity for acidic dyes such as eosin.
Biochemical changes
 Release of K+ by dead cells.
 Release of enzymes into the blood. e. g. increased plasma levels of
creatine kinases, lactic dehydrogenase and aspartate
aminotransferase.
 Release of protein or protein breakdown products into the blood.
www.dentaltutot.in
Postmortem change
 Tissues in dead body can be distinguished
from necrosis by being diffuse and not
associated with inflammatory response.
Autolysis
 Digestion of cell by enzymes released from
lysosome; occurs after cell dies.
www.dentaltutot.in
 Robbinson's basic pathology 8 ed
 Harsh Mohan - Textbook of Pathology 6th Ed.
 Color atlas of pathology
www.dentaltutot.in

Cell injury

  • 1.
  • 2.
     Cell injuryis defined as a variety of stresses a cell encounters as a result of changes in its internal and external environment.  Virchow’s Cellular theory of disease (1859): diseases occur due to abnormalities at the level of cells  The cellular response to stress may vary and depends upon the following: ◦ The type of cell and tissue involved. ◦ Extent and type of cell injury www.dentaltutot.in
  • 3.
  • 4.
    Genetic causes Acquiredcauses  Developmental defects: Errors in morphogenesis  Cytogenetic (Karyotypic) defects: chromosomal abnormalities  Single-gene defects: Mendelian disorders  Multifactorial inheritance disorders  Hypoxia and ischaemia  Physical agents  Chemical agents and drugs  Microbial agents  Immunologic agents  Nutritional derangements  Aging  Psychogenic diseases  Iatrogenic factors  Idiopathic diseases. www.dentaltutot.in
  • 5.
  • 6.
    HYPOXIA Ischemia ( lossof blood supply ). Inadequate oxygenation (cardiorespiratory failure). Loss of oxygen carrying capacity of the blood ( anemia or CO poisoning ). www.dentaltutot.in
  • 7.
    HYPOXIC INJURY  Lossof oxidative phosphorylation and ATP generation by mitochondria.  Decreased ATP (with increase in AMP): stimulating fructokinase and phosphorylation, resulting in aerobic glycolysis.  Depleted glycogen.  Reduced intracellular pH: Lactic acid and inorganic phosphate.  Clumping of nuclear chromatin. www.dentaltutot.in
  • 8.
  • 9.
    • Endogenous products:urea • Exogenous agents •Therapeutic drugs: hormones •Nontherapeutic agents: lead or alcohol www.dentaltutot.in
  • 10.
     Absorption ofenergy (UV light and x-rays)  Oxidative metabolic reactions  Enzymatic conversion of exogenous chemicals or drugs (CCl4>CCl3 .)  Oxygen-derived radicals  Superoxide www.dentaltutot.in
  • 11.
  • 12.
    The immune processis normally protective but in certain circumstances the reaction may become deranged. ◦ Hypersensitivity to various substances can lead to anaphylaxis or to more localized lesions such as asthma. ◦ In other circumstances the immune process may act against the body cells - autoimmunity. www.dentaltutot.in
  • 13.
     Protein-calorie deficienciesare the most examples of nutrition deficiencies.  Vitamins deficiency.  Excess in nutrition are important causes of morbidity and mortality.  Excess calories and diet rich in animal fat are now strongly implicated in the development of atherosclerosis.  Obesity alone leads to an increased vulnerability to certain disorders, such as atherosclerosis, coronary heart disease, diabetes mellitus www.dentaltutot.in
  • 14.
     Programmed agingwhereby after a defined number of divisions the cell undergoes terminal differentiation.  Development of an increasing population of cells irreversibly committed to senescence and death.  Increased susceptibility to somatic mutation and a build-up of errors leading to an eventual’ error catastrophe.  Faulty DNA repair mechanisms. www.dentaltutot.in
  • 15.
     Cellular adaptation 1.Hyperplasia 2. Hypertrophy 3. Atrophy 4. Metaplasia 5. Dysplasia  Reversible injury 1. intracellular edema, 2. fatty change, 3. hyaline change, 4. amyloidosis, 5. mucoid degeneration, 6. pathologic pigments  Irreversible injury and dying: Necrosis, Gangrene followed by pathological calcification www.dentaltutot.in
  • 16.
  • 17.
  • 18.
     Adaptations arereversible changes in the size, number, phenotype, metabolic activity, or functions of cells in response to changes in their environment  Cells must constantly adapt, even under normal conditions, to changes in their environment.  These physiological adaptations usually represent responses of cells to normal stimulation by hormones or endogenous chemical substances. ◦ For example, as in the enlargement of the breast and induction of lactation by pregnancy. www.dentaltutot.in
  • 19.
     Pathologic adaptationsmay share the same underlying mechanisms, but they provide the cells with the ability to survive in their environment and perhaps escape injury.  Cellular adaptation is a state that lies intermediate between the normal, unstressed cell and the injured, overstressed cell. www.dentaltutot.in
  • 20.
     Cell canadapt themselves by undergoing 5 different conditions 1. Hyperplasia 2. Hypertrophy 3. Atrophy 4. Metaplasia 5. Dysplasia www.dentaltutot.in
  • 21.
  • 22.
    An increase inthe number of cells in an organ or tissue, which may then have increased volume. www.dentaltutot.in
  • 23.
    a. Hormonal :influence of hormonal stimulation  hyperplasia of the female breast epithelium at puberty or in pregnancy.  pregnant uterus  normal endometrium after a normal menstrual cycle.  Prostatic hyperplasia in old age b. Compensatory: hyperplasia occurring following removal of part of an organ or a contralateral organ in paired organ  Regeneration of the liver following partial hepatectomy  Regeneration of epidermis after skin abrasion  Following nephrectomy on one side, there is hyperplasia of nephrons of the other kidney. www.dentaltutot.in
  • 24.
     Excessive stimulationof hormones or growth factors ◦ Endometrial hyperplasia ◦ wound healing - of granulation tissue due to proliferation of fibroblasts and endothelial cells. ◦ skin warts from hyperplasia of epidermis due to human papilloma virus. ◦ Pseudocarcinomatous hyperplasia of the skin www.dentaltutot.in
  • 25.
    Definition: An increasein the size of cells, and with such change, an increase in the size of the organ. Types: • Physiologic: physiologic growth of the uterus during pregnancy involves both hypertrophy and hyperplasia. • Pathologic causes: increased workload, hormonal stimulation and growth factors stimulation. • hypertrophy of heart the most common stimulus is chronic hemodynamic overload www.dentaltutot.in
  • 26.
    Hypertrophied heart (From ROBBINSBASIC PATHOLOGY,2003) www.dentaltutot.in
  • 27.
    Physiologic hypertrophy ofthe uterus during pregnancy.A, gross appearance of a normal uterus (right) and a gravid uterus (left) that was removed for postpartum bleeding, Normal uterus gravid uterus (From ROBBINS BASIC PATHOLOGY,2003) www.dentaltutot.in
  • 28.
    Although hypertrophy andhyperplasia are two distinct processes, frequently both occur together, and they well be triggered by the same mechanism. www.dentaltutot.in
  • 29.
    Definition: Acquired lossof size due to reduction of cell size or number of parenchyma cells in an organ Types: Physiologic or Pathological www.dentaltutot.in Left Normal Right Atrophy
  • 30.
     A normalprocess of aging in some tissues, which could be due to loss of endocrine stimulation or arteriosclerosis. ◦ Atrophy of lymphoid tissue in lymph nodes, appendix and thymus. ◦ Atrophy of gonads after menopause. ◦ Atrophy of brain with aging. www.dentaltutot.in
  • 31.
     Starvation atrophy. Ischaemic atrophy  Disuse atrophy.  Neuropathic atrophy.  Endocrine atrophy  Pressure atrophy.  Idiopathic atrophy www.dentaltutot.in
  • 32.
    Definition: Metaplasia isa reversible change in which one adult cell type is replaced by another adult cell type. Causes  Changes in environment  Irritation or inflammation  Nutritional www.dentaltutot.in
  • 33.
     There arebasically 2 types of metaplasia  EPITHELIAL METAPLASIA ◦ Squamous metaplasia: changes in bronchus, uterine endocervix, gallbladder, prostate, renal pelvis and urinary bladder  vitamin A deficiency: squamous metaplasia in the nose, bronchi, urinary tract, lacrimal and salivary glands ◦ Columnar metaplasia: Intestinal metaplasia in healed chronic gastric ulcer and Barrett’s oesophagus  MESENCHYMAL METAPLASIA ◦ Osseous metaplasia. ◦ Cartilaginous metaplasia. www.dentaltutot.in
  • 34.
    Squamous metaplasia inbronchitis (offered by Prof.Orr) www.dentaltutot.in
  • 35.
    Schematic diagram ofcolumnar to squamous metaplasia (From ROBBINS BASIC PATHOLOGY,2003) www.dentaltutot.in
  • 36.
     disordered cellulardevelopment.  also referred to as atypical hyperplasia  Epithelial dysplasia is characterised by cellular proliferation and cytologic changes ◦ Increased number of layers of epithelial cells ◦ Disorderly arrangement of cells from basal layer to the surface layer ◦ Loss of basal polarity i.e. nuclei lying away from basement membrane ◦ Cellular and nuclear pleomorphism ◦ Increased nucleocytoplasmic ratio ◦ Nuclear hyperchromatism ◦ Increased mitotic activity. • The two most common examples of dysplastic changes are the uterine cervix and respiratory tract www.dentaltutot.in
  • 37.
  • 38.
    www.dentaltutot.in • Intracellular edema, •Fatty change, • Hyaline change, • Amyloidosis, • Mucoid Degeneration, • Pathologic Pigments
  • 39.
     Also knownas cloudy swelling.  Accumulation of watery fluid in cells.  Commonest and earliest form of cell injury  Caused by bacterial toxins, chemicals, poisons, burns, high fever, intravenous administration of hypertonic glucose or saline.  Impaired regulation of sodium and potassium at the level of cell membrane.  Morphologic change • Gross features: cloudy swelling • M/S Changes: Parenchymal cells swollen. www.dentaltutot.in
  • 40.
    Left Granularity changein kidney Right Hydropic change www.dentaltutot.in
  • 41.
    Definition: There isthe accumulation of fat in non-fatty cells.  Also known as steatosis Morphologic change: • Gross features: The organ enlarges and becomes yellow, soft, and greasy. • M/S: An Fatty change appears as clear vacuoles within parenchymal cells. www.dentaltutot.in
  • 42.
    • Since thisorgan plays a central role in fat metabolism, • The accumulation of fat in toxic conditions can be very dangerous. • Depending upon the cause and amount of accumulation, fatty change may be • mild and reversible, • or severe producing irreversible cell injury and cell death www.dentaltutot.in
  • 43.
     Conditions withexcess fat ◦ Obesity ◦ Diabetes mellitus ◦ Congenital hyperlipidaemia  Liver cell damage: ◦ Alcoholic liver disease (most common) ◦ Starvation ◦ Protein calorie malnutrition ◦ Chronic illnesses (e.g. tuberculosis) ◦ Acute fatty liver in late pregnancy ◦ Hypoxia (e.g. anaemia, cardiac failure) ◦ Hepatotoxins (e.g. carbon tetrachloride, chloroform, ether, aflatoxins and other poisons) ◦ Drug-induced liver cell injury (e.g. administration of methotrexate, steroids, CCl4, halothane anaesthetic, tetracycline etc) ◦ Reye’s syndrome www.dentaltutot.in
  • 44.
     Grossly ◦ theliver in fatty change is enlarged with a tense, glistening capsule and rounded margins. ◦ The cut surface bulges slightly and is pale-yellow to yellow and is greasy to touch  Microscopically ◦ characteristic feature is the presence of numerous lipid vacuoles in the cytoplasm of hepatocytes. www.dentaltutot.in
  • 45.
    • It occursin two patterns, • Prolonged moderate hypoxia causes intracellular deposits of fat, • grossly apparent bands of yellowed myocardium alterations with bands of darker, red-brown, uninvolved myocardium (tigered effect). • Profound hypoxia or diphtheritic myocarditis, the myocardial cells are uniformly affected. www.dentaltutot.in
  • 46.
    tigered effect Prof. (FromCIBA PHARMACEUTICAL PRODUCTS, INC. 1948) Orr www.dentaltutot.in
  • 47.
    • In mostcases fatty change is confined to the epithelium of the convoluted tubules, • but in severe poisoning it may affect all structures including the glomerule. Causes:  Poisons. e. g. carbon tetrachloride, phosphorus (liver)  Chronic alcoholism (liver)  Infections  Congestive cardiac failure  Severe anaemia  Ischaemia  Diabetes mellitus  Malnutrition and wasting disease. www.dentaltutot.in
  • 48.
     Not adistinct chemical entity.  Various histological or cytological alterations characterized by homogeneous, glasslike appearance in hematoxylin and eosin- stained sections.  It may be intracellular or extracellular. www.dentaltutot.in Hyalinization Arteriolar Sclerosi
  • 49.
     Its mainlyseen in epithelial cells.  Hyaline droplets in the proximal tubular epithelial cells: excessive reabsorption of plasma proteins.  Hyaline degeneration of rectus abdominalis muscle called Zenker’s degeneration, occurring in typhoid fever.  Mallory’s hyaline represents aggregates of intermediate filaments in the hepatocytes in alcoholic liver cell injury.  Nuclear or cytoplasmic hyaline inclusions seen in some viral infections.  Russell’s bodies representing excessive immunoglobulins www.dentaltutot.in
  • 50.
    www.dentaltutot.in Intracellular hyaline as Russell’s bodies inthe plasma cells. The cytoplasm shows pink homogeneous globular material due to accumulated immunoglobulins.
  • 51.
     Extracellular hyalineis seen in connective tissues.  A few examples of extracellular hyaline change are as under: ◦ Hyaline degeneration in leiomyomas of the uterus ◦ Hyalinised old scar of fibro-collagenous tissues. ◦ Hyaline arteriolosclerosis in renal vessels in hypertension and diabetes mellitus. ◦ Hyalinised glomeruli in chronic glomerulonephritis. ◦ Corpora amylacea are rounded masses of concentric hyaline laminae seen in the prostate in the elderly, in the brain and in the spinal cord in old age, and in old infarcts of the lung. www.dentaltutot.in
  • 52.
    www.dentaltutot.in Extracellular hyaline deposit inleiomyoma uterus. The centres of whorls of smooth muscle and connective tissue show pink homogeneous hyaline material (connective tissue hyaline)
  • 53.
  • 54.
     Mucus containingmucin (glycoprotein) secreted by mucous glands.  In certain cellular injur, there is change characterized by accumulation of mucin in intracellular or extracellular loci.  Epithelial ◦ composed of sialomucin plus neutral mucopolysaccharide. ◦ May accumulate in intracellular or extracellular (if secreted) locations.  Connective tissue ◦ predominantly acid mucopolysaccharide, sulfated or carboxylated www.dentaltutot.in
  • 55.
     Following aresome examples of functional excess of epithelial mucin:  Catarrhal inflammation of mucous membrane (e.g. of respiratory tract, alimentary tract, uterus).  Obstruction of duct leading to mucocele in the oral cavity and gallbladder.  Cystic fibrosis of the pancreas.  Mucin-secreting tumours (e.g. of ovary, stomach, large bowel etc) www.dentaltutot.in
  • 56.
    www.dentaltutot.in Mucinous cystadenoma of the ovaryshowing intracytoplasmic mucinous material in the epithelial cells lining the cyst
  • 57.
     A fewexamples of disturbances of connective tissue mucin are as under ◦ Mucoid or myxoid degeneration in some tumours e.g. myxomas, neurofibromas, fibroadenoma, soft tissue sarcomas etc ◦ Dissecting aneurysm of the aorta due to Erdheim’s medial degeneration and Marfan’s syndrome. ◦ Myxomatous change in the dermis in myxoedema. ◦ Myxoid change in the synovium in ganglion on the wris www.dentaltutot.in
  • 58.
  • 59.
     Extracellular depositionof fibrillar proteinaceous substance called amyloid ◦ a ‘waxy substance’ composed essentially of an abnormal protein ◦ Particularly around the supporting fibres of blood vessels and basement membranes.  Associated with a number of inherited and inflammatory disorders www.dentaltutot.in Primary Amyloidosis of kidneys
  • 60.
    www.dentaltutot.in Electron micrograph of7.5-10 nm amyloid fibrils. Congo red staining shows an apple-green birefringence under polarized light, a diagnostic feature of amyloid.
  • 61.
     Based onthe biochemical analysis, its composed of 2 main types of complex proteins.  Fibril proteins: comprise about 95% of amyloid. ◦ AL (amyloid light chain) protein ◦ AA (amyloid associated) protein ◦ Other proteins (Transthyretin (TTR), Aβ2-microglobulin (Aβ2M), β-amyloid protein (Aβ), Immunoglobulin heavy chain amyloid (AH))  Non-fibrillar components: which include P-component predominantly; constitute the remaining 5% of amyloid ◦ Amyloid P (AP)-component ◦ Apolipoprotein-E (apoE) ◦ α-1 anti-chymotrypsin. ◦ Protein X. www.dentaltutot.in
  • 62.
     Result ofimmunologic mechanisms.  Multifactorial and that different mechanisms are involved in different types of amyloid.  Fundamentally a disorder of protein misfolding.  More than 20 (at last count, 23) different proteins can aggregate and form fibrils with the appearance of amyloid  The dye Congo red binds to these fibrils and produces a red-green dichroism (birefringence) ◦ commonly used to identify amyloid desposits in tissues www.dentaltutot.in
  • 63.
  • 64.
     Based oncause ◦ Primary : with unknown cause and the deposition is in the disease itself ◦ Secondary: as a complication of some underlying known disease  Based on extent of amyloid deposition ◦ Systemic (generalised) involving multiple organs ◦ Localised amyloidosis involving one or two organs or sites  Based on histological basis ◦ Pericollagenous: corresponding in distribution to primary amyloidosis ◦ Perireticulin: corresponding in distribution to secondary amyloidosis www.dentaltutot.in
  • 65.
     Based onclinical location, ◦ Pattern I: involving tongue, heart, bowel, skeletal and smooth muscle, skin and nerves), ◦ Pattern II: principally involving liver, spleen, kidney and adrenals ◦ Mixed pattern : involving sites of both pattern I and II  Based on tissues in which amyloid is deposited, ◦ Mesenchymal : organs derived from mesoderm ◦ Parenchymal: organs derived from ectoderm and endoderm  Based on precursor biochemical proteins, into specific type of serum amyloid proteins. www.dentaltutot.in
  • 66.
    www.dentaltutot.in (AL= Amyloid lightchain; AA= Amyloid-associated protein; Aβ2M= Amyloid β2-microglobulin; ATTR= Amyloid transthyretin; APrP=Amyloid of prion proteins, Aβ= β-amyloid protein).
  • 67.
     STAIN ONGROSS ◦ Virchow ◦ frozen/paraffin section ◦ Lugol’s iodine imparts mahogany brown colour to the amyloid ◦ on addition of dilute sulfuric acid turns blue.  H & E ◦ extracellular, homogeneous, structureless ◦ Eosinophilic hyaline material, especially in relation to blood vessels www.dentaltutot.in
  • 68.
     BIOPSY EXAMINATION:commonest and confirmatory method for diagnosis in a suspected case of amyloidosis.  IN VIVO CONGO RED TEST: confirmatory  OTHER TESTS ◦ supportive of amyloid disease ◦ electrophoresis, immunoelectrophoresis of urine and serum, and bone marrow aspiration www.dentaltutot.in
  • 69.
    www.dentaltutot.in AMYLOID DEPOSITION Pressure onadjacent cells Blood vessels Atrophy Narrowing Increased permeability Transudation of protein out of vessels
  • 70.
     Different organsshows variation in morphologic pattern, some features are applicable in general to most of the involved organs  Most commonly amyloid deposits appear at the contacts between the vascular spaces and parenchymal cells  Grossly ◦ affected organ is usually enlarged, pale and rubbery ◦ Cut surface shows firm, waxy and translucent parenchyma ◦ positive staining with the iodine test.  Microscopically ◦ the deposits of amyloid are found in the extracellular locations, initially in the walls of small blood vessels producing microscopic changes and effects, ◦ the deposits are in large amounts causing macroscopic changes and effects of pressure atrophy. www.dentaltutot.in
  • 71.
    www.dentaltutot.in The kidney issmall and pale in colour. Sectioned surface shows loss of cortico-medullary distinction (arrow) and pale, waxy translucency.
  • 72.
    www.dentaltutot.in The amyloid depositsare seen mainly in the glomerular capillary tuft. The deposits are also present in peritubular connective tissue producing atrophic tubules and amyloid casts in the tubular lumina, and in the arterial wall producing luminal narrowing.
  • 73.
  • 74.
    www.dentaltutot.in The sectioned surface showspresence of plae waxy translucency in a map-like pattern
  • 75.
    www.dentaltutot.in A, The pinkacellular amyloid material is seen in the red pulp causing atrophy of while pulp. B, Congo red staining shows Congophilia as seen by red-pink colour. C, When viewed under polarising microscopy the corresponding area shows apple-green birefringence.
  • 76.
    www.dentaltutot.in A, The depositionis extensive in the space of Disse causing compression and pressure atrophy of hepatocytes. B, Congo red staining shows congophilia which under polarising microscopy.
  • 77.
     Pigments are colouredsubstances present in most living beings including humans.  There are 2 broad categories of pigments: endogenous and exogenous. www.dentaltutot.in
  • 78.
     Melanin ◦ Generalised hyperpigmentation: Addison’sdisease, Chloasma, chronic arsenical poisoning ◦ Focal hyperpigmentation: Cäfe-au-lait spots, Peutz- Jeghers syndrome, Melanosis coli, Melanotic tumours, Lentigo , Dermatopathic lymphadenitis ◦ Generalised hypopigmentation: Albinism ◦ Localised hypopigmentation: Leucoderma, Vitiligo , Acquired focal hypopigmentation, leprosy,  Melanin-like pigment ◦ Alkaptonuria ◦ Dubin-Johnson syndrome  Haemoprotein-derived pigments ◦ Haemosiderin ◦ Acid haematin (Haemozoin) ◦ Bilirubin ◦ Porphyrins  Lipofuscin (Wear and tear pigment) www.dentaltutot.in
  • 79.
    www.dentaltutot.in Brown atrophy ofthe heart. The lipofuscin pigment granules are seen in the cytoplasm of the myocardial fibres, especially around the nuclei.
  • 80.
    www.dentaltutot.in Compound naevus showingclusters of benign naevus cells in the dermis as well as in lower epidermis. These cells contain coarse, granular, brown-black melanin pigment
  • 81.
     Inhaled pigments ◦Atmospheric pollutants and of smokers ◦ Pneumoconiosis: occupational lung diseases ◦ Anthracosis: deposition of coal  Ingested pigments ◦ Argyria : silver compounds - brownish pigmentation in the skin, bowel, and kidney. ◦ Burtonian Lines: Chronic lead poisoning - blue lines on teeth at the gumline. ◦ Melanosis coli : cathartics (stimulates evacuation of the bowels) ◦ Carotenaemia: yellowish-red colouration of the skin - ingestion of carrots which contain carotene.  Injected pigments (Tattooing): India ink, cinnabar and carbon deposited in dermis www.dentaltutot.in
  • 82.
    www.dentaltutot.in Anthracosis lung: Thereis presence of abundant coarse black carbon pigment in the septal walls and around the bronchiole
  • 83.
  • 84.
     Cell deathis a state of irreversible injury,  It may occur in the living body as a local or focal change: autolysis, necrosis and apoptosis  The changes that follow it: gangrene and pathologic calcification www.dentaltutot.in
  • 85.
     Defined asa localised area of death of tissue followed by degradation of tissue by hydrolytic enzymes liberated from dead cells.  It is invariably accompanied by inflammatory reaction.  Various agents such as hypoxia, chemical and physical agents, microbial agents, immunological injury, etc  Two essential changes characterise irreversible cell injury in necrosis of all types ◦ Cell digestion by lytic enzymes ◦ Denaturation of proteins www.dentaltutot.in
  • 86.
    Morphologically, there arefive types of necrosis  Cogulative  Liquefaction  Caseous  Fat  Fibrinoid www.dentaltutot.in
  • 87.
     It’s aform of tissue necrosis in which the component cells are dead but the basic tissue architecture is preserved for at least several days.  The affected tissues take on a firm texture  Presumably the injury denatures not only structural proteins but also enzymes and so blocks the proteolysis of the dead cells ◦ as a result, eosinophilic, anucleate cells may persist for days or weeks ◦ Ultimately, the necrotic cells are removed by phagocytosis of the cellular debris. www.dentaltutot.in
  • 88.
     Most commontype of necrosis  Mostly from sudden cessation of blood flow (ischaemia)  Less often from bacterial and chemical agents.  It’s characteristic of infarcts (areas of ischemic necrosis) in all solid organs except the brain.  The organs commonly affected are the heart, kidney, and spleen www.dentaltutot.in Coagulative necrosis of the left ventricular wall
  • 89.
     Gross ◦ fociof coagulative necrosis in the early stage are pale, firm, and slightly swollen. ◦ With progression, they become more yellowish, softer, and shrunken.  Microscopically ◦ the hallmark of coagulative necrosis - the conversion of normal cells into their ‘tombstones’  outlines of the cells are retained so that the cell type but their cytoplasmic and nuclear details are lost. ◦ The necrosed cells are swollen and appear more eosinophilic than the normal, along with nuclear changes described above. ◦ But cell digestion and liquefaction fail to occur ◦ Eventually, the necrosed focus is infiltrated by inflammatory cells ◦ And the dead cells are phagocytosed leaving granular debris and fragments of cells www.dentaltutot.in
  • 90.
    www.dentaltutot.in Infarct Kidney The affectedarea on right shows cells with intensely eosinophilic cytoplasm of tubular cells but the outlines of tubules are still maintained. The nuclei show granular debris. The interface between viable and non-viable area shows nonspecific chronic inflammation and proliferating vessels
  • 91.
     Due toischaemic injury and bacterial or fungal infections  degradation of tissue by the action of powerful hydrolytic enzyme.  The common examples are infarct brain and abscess cavity.  Whatever the pathogenesis, liquefaction completely digests the dead cells, resulting in transformation of the tissue into a liquid viscous mass.  If the process was initiated by acute inflammation, the material is frequently creamy yellow and is called pus www.dentaltutot.in
  • 92.
  • 93.
     Gross ◦ Theaffected area is soft with liquefied centre containing necrotic debris. ◦ Later, a cyst wall is formed.  Microscopically, ◦ the cystic space contains necrotic cell debris and macrophages filled with phagocytosed material. ◦ The cyst wall is formed by proliferating capillaries, inflammatory cells, and gliosis (proliferating glial cells) in the case of brain ◦ proliferating fibroblasts in the case of abscess cavity www.dentaltutot.in
  • 94.
    www.dentaltutot.in Liquefactive necrosis brain Thenecrosed area on right side of the field shows a cystic space containing cell debris, while the surrounding zone shows granulation tissue and gliosis.
  • 95.
     found inthe centre of foci of tuberculous infections.  It combines features of both coagulative and liquefactive necrosis.  term "caseous" (cheese- like) is derived from the friable yellow-white appearance of the area of necrosis www.dentaltutot.in
  • 96.
  • 97.
     Grossly ◦ fociof caseous necrosis, ◦ as the name implies, resemble dry cheese and are soft, granular and yellowish. ◦ This appearance is partly attributed to the histotoxic effects of lipopolysaccharides present in the capsule of the tubercle bacilli, Mycobacterium tuberculosis.  Microscopically ◦ the necrosed foci are structureless, eosinophilic, and contain granular debris ◦ The surrounding tissue shows characteristic granulomatous inflammatory reaction  Consisting of epithelioid cells with interspersed giant cells of Langhans’ or foreign body type  And peripheral mantle of lymphocytes. www.dentaltutot.in
  • 98.
    www.dentaltutot.in Caseous necrosis lymphnode There is eosinophilic, amorphous, granular material, while the periphery shows granulomatous inflammation.
  • 99.
     Refers tofocal areas of fat destruction ◦ Acute pancreatic necrosis, ◦ traumatic fat necrosis commonly in breasts  Pancreatic enzymes that have leaked out of acinar cells and ducts ◦ liquefy the membranes of fat cells in the peritoneum. ◦ lipases split the triglyceride esters contained within fat cells to fatty acid. ◦ These combines calcium to produce grossly visible chalky white areas (fat saponification) www.dentaltutot.in
  • 100.
    www.dentaltutot.in Fat necrosis inacute pancreatitis. The areas of white chalky deposits represent foci of fat necrosis with calcium soap formation (saponification) at sites of lipid breakdown in the mesentery.
  • 101.
     Grossly ◦ fatnecrosis appears as yellowish-white and firm deposits. ◦ Formation of calcium soaps imparts the necrosed foci firmer and chalky white appearance.  Microscopically ◦ the necrosed fat cells have cloudy appearance ◦ surrounded by an inflammatory reaction. www.dentaltutot.in Formation of calcium soaps is identified in the tissue sections as amorphous, granular and basophilic material
  • 102.
     Characterised bydeposition of fibrin-like material which has the staining properties of fibrin.  It is encountered in various examples of immunologic tissue injury ◦ immune complex vasculitis, ◦ autoimmune diseases, ◦ Arthus reaction  Arterioles in hypertension, peptic ulcer www.dentaltutot.in
  • 103.
    www.dentaltutot.in Fibrinoid necrosis inan artery in a patient with polyarteritis nodosa. The wall of the artery shows a circumferential bright pink area of necrosis with protein deposition and inflammation (dark nuclei of neutrophils).
  • 104.
     Microscopically ◦ identifiedby brightly eosinophilic, hyaline-like deposition in the vessel wall. ◦ Necrotic focus is surrounded by nuclear debris of neutrophils (leucocytoclasis) ◦ Local haemorrhage may occur due to rupture of the blood vessel. www.dentaltutot.in Fibrinoid necrosis in autoimmune vasculitis. The vessel wall shows brightly pink amorphous material and nuclear fragments of necrosed neutrophils
  • 105.
     A formof necrosis of tissue with superadded putrefaction.  All types of gangrene, necrosis undergoes liquefaction by the action of putrefactive bacteria.  It may be caused either ischemic or inflammatory  Coagulative Necrosis due to ischaemia ◦ gangrene of the bowel, ◦ gangrene of limb  Gangrenous or necrotising inflammation: primarily inflammation provoked by virulent bacteria resulting in massive tissue necrosis. ◦ Gangrenous appendicitis, ◦ Gangrenous stomatitis (noma, cancrum oris) www.dentaltutot.in
  • 106.
     2 mainforms of gangrene  Dry gangrene  Wet Gangrene ◦ Gas gangrene: a kind of wet gangrene www.dentaltutot.in
  • 107.
     begins inthe distal part of a limb due to ischaemia.  The gangrene spreads slowly upwards until it reaches a point where the blood supply is adequate to keep the tissue viable.  A line of separation is formed at this point between the gangrenous part and the viable part. ◦ Toes and feet of an old patient due to arteriosclerosis. ◦ Thromboangiitis obliterans (Buerger’s disease), ◦ Raynaud’s disease, ◦ Trauma ◦ Ergot poisoning www.dentaltutot.in
  • 108.
  • 109.
     Grossly ◦ theaffected part is dry, shrunken and dark black, resembling the foot of a mummy. ◦ It is black due to liberation of haemoglobin from haemolysed red blood cells which is acted upon by hydrogen disulfide (H2S) produced by bacteria resulting in formation of black iron sulfide. ◦ The line of separation usually brings about complete separation with eventual falling off of the gangrenous tissue if it is not removed surgically  Histologically ◦ Necrosis with smudging of the tissue. ◦ The line of separation consists of inflammatory granulation tissue www.dentaltutot.in
  • 110.
     Naturally moisttissues and organs such as the mouth, bowel, lung, cervix, vulva.  develops rapidly due to blockage of venous, and less commonly, arterial blood flow from thrombosis or embolism.  The affected part is stuffed with blood which favours the rapid growth of putrefactive bacteria.  The toxic products formed by bacteria are absorbed causing profound systemic manifestations of septicaemia, and finally death. www.dentaltutot.in
  • 111.
     Diabetic foot ◦high sugar content in the necrosed tissue which favours growth of bacteria.  Bed sores ◦ bed-ridden patient due to pressure on sites like the sacrum, buttocks and heels www.dentaltutot.in
  • 112.
  • 113.
     Grossly, ◦ theaffected part is soft, swollen, putrid, rotten and dark. ◦ The classic example is gangrene of bowel, commonly due to strangulated hernia, volvulus or intussusception. ◦ The part is stained dark due to the same mechanism as in dry gangrene  Histologically, ◦ coagulative necrosis with stuffing of affected part with blood. ◦ There is ulceration of the mucosa and intense inflammatory infiltration. ◦ Lumen of the bowel contains mucus and blood. ◦ The line of demarcation between gangrenous segment and viable bowel is generally not clear-cut www.dentaltutot.in
  • 114.
    www.dentaltutot.in Coagulative necrosis ofthe affected bowel wall and thrombosed vessels while the junction with normal intestine is indistinct and shows an inflammatory infiltrate
  • 115.
  • 116.
     Special formof wet gangrene caused by gas-forming clostridia (gram-positive anaerobic bacteria).  gain entry into the tissues through open contaminated wounds,  especially in the muscles, or as a complication of operation on colon which normally contains clostridia.  It produce various toxins which produce necrosis and oedema locally  Also absorbed producing profound systemic manifestations. www.dentaltutot.in
  • 117.
  • 118.
     Grossly ◦ theaffected area is swollen, oedematous, painful and crepitant due to accumulation of gas bubbles within the tissues. ◦ Subsequently, the affected tissue becomes dark black and foul smelling.  Microscopically ◦ the muscle fibres undergo coagulative necrosis with liquefaction ◦ Large number of gram-positive bacilli can be identified. ◦ At the periphery, a zone of leucocytic infiltration, oedema and congestion are found. ◦ Capillary and venous thrombi are common. www.dentaltutot.in
  • 119.
  • 120.
    Definition: Abnormal depositsof calcium salts occur in any tissues except bones and teeth.  Two distinct types of pathologic calcification: ◦ Dystrophic calcification: characterised by deposition of calcium salts in dead or degenerated tissues with normal calcium metabolism and normal serum calcium levels. ◦ Metastatic calcification: apparently normal tissues and is associated with deranged calcium metabolism and hypercalcaemia. www.dentaltutot.in
  • 121.
     Etiology andpathogenesis of the two are different.  But morphologically the deposits in both resemble normal minerals of the bone.  H and E stained sections, ◦ Calcium salts appear as deeply basophilic, irregular and granular clumps. ◦ The deposits may be intracellular, extracellular, or at both locations. ◦ Occasionally, heterotopic bone formation (ossification) may occur. ◦ Calcium deposits can be confirmed by special stains  Silver impregnation method of von-Kossa producing black colour,  Alizarin red S that produces red staining. ◦ Pathologic calcification is often accompanied by diffuse orwww.dentaltutot.in
  • 122.
     Encountered inareas of necrosis of any type  Although dystrophic calcification may be an incidental finding indicating insignificant past cell injury, it may also be a cause of organ dysfunction  May occur due to 2 types of causes: ◦ Dead tissue ◦ Degenerated tissue. www.dentaltutot.in Calcification of the aortic valve
  • 123.
     Caseous necrosisin tuberculosis is the most common site  Liquefaction necrosis in chronic abscesses may get calcified.  Fat necrosis following acute pancreatitis or traumatic fat necrosis in the breast results in deposition of calcium soaps.  Gamna-Gandy bodies in chronic venous congestion (CVC) of the spleen is characterised by calcific deposits admixed with haemosiderin on fibrous tissue.  Infarcts may sometimes undergo dystrophic calcification.  Thrombi, especially in the veins, may produce phleboliths.  Haematomas in the vicinity of bones may undergo dystrophic calcification.  Dead parasites like in hydatid cyst, Schistosoma eggs, and cysticercosis.  Calcification in breast cancer detected by mammography.  Congenital toxoplasmosis involving the central nervous system visualised by calcification in the infant brain. www.dentaltutot.in
  • 124.
     Dense oldscars may undergo hyaline degeneration and subsequent calcification.  Atheromas in the aorta and coronaries frequently undergo calcification.  Mönckeberg’s sclerosis shows calcification in the tunica media of muscular arteries in elderly people  Stroma of tumours such as uterine fibroids, breast cancer, thyroid adenoma, goitre etc show calcification.  Psammoma bodies or calcospherites: characteristic spherules of calcification such as in meningioma, papillary serous cystadenocarcinoma of the ovary and papillary carcinoma of the thyroid.  Cysts which have been present for a long time e.g. epidermal and pilar cysts.  Calcinosis cutis is a condition of unknown cause in which there are irregular nodular deposits of calcium salts in the skin and subcutaneous tissue. www.dentaltutot.in
  • 125.
  • 126.
    www.dentaltutot.in Mitral Stenosis: Gross natural coloropened valve with commissure fusion dystrophic calcification
  • 127.
    www.dentaltutot.in Degenerated tunica mediaof muscular artery of uterine myometrium in Mönckeberg’s arteriosclerosis Caseous necrosis in tuberculous lymph node. In H & E, the deposits are basophilic granular while the periphery shows healed granulomas.
  • 128.
     Denatured proteinsin necrotic or degenerated tissue bind phosphate ions, which react with calcium ions to form precipitates of calcium phosphate.  It involves 2 steps  Initiation (or nucleation) ◦ phase in which precipitates of calcium phosphate begin to accumulate intracellularly in the mitochondria, ◦ or extracellularly in membrane-bound vesicles: matrix vesicles  Propagation ◦ phase in which minerals deposited in the initiation phase are propagated to form mineral crystals www.dentaltutot.in
  • 129.
     Calcification innormal tissue whenever there is hypercalcemia.  These may be due to ◦ Excessive mobilisation of calcium from the bone ◦ Excessive absorption of calcium from the gut www.dentaltutot.in
  • 130.
     Hyperparathyroidism ◦ Primary: parathyroid adenoma, ◦ Secondary: parathyroid hyperplasia, chronic renal failure  Bony destructive lesions ◦ Multiple myeloma ◦ Metastatic carcinoma ◦ leukemia  Prolonged immobilisation ◦ Disuse atrophy of the bones and hypercalcaemia. www.dentaltutot.in
  • 131.
     Hypervitaminosis D Milk-alkali syndrome ◦ Excessive oral intake of calcium in the form of milk ◦ And administration of calcium carbonate in the treatment of peptic ulcer.  Hypercalcaemia of infancy  Sarcoidosis: macrophages activate a vitamin D precursor www.dentaltutot.in
  • 132.
     May occurin any normal tissue of the body but affects the following organs more commonly:  Kidneys, especially at the basement membrane of tubular epithelium and in the tubular lumina causing nephrocalcinosis  Lungs, especially in the alveolar walls.  Stomach, on the acid-secreting fundal glands.  Blood vessels, especially on the internal elastic lamina.  Cornea: another site affected by metastatic calcification.  Synovium of the joint causing pain and dysfunction. www.dentaltutot.in Tubular basement membrane in nephrocalcinosis due to hypercalcaemia
  • 133.
  • 134.
  • 135.
  • 136.
     a formof ‘coordinated and internally programmed cell death’  pathway of cell death that is induced by a tightly regulated suicide program in which cells destined to die activate enzymes capable of degrading the cells' own nuclear DNA and nuclear and cytoplasmic proteins  Apoptosis is responsible for mediating cell death in a wide variety of physiologic and pathologic processes www.dentaltutot.in
  • 137.
  • 138.
     The plasmamembrane of the apoptotic cell remains intact, but the membrane is altered in such a way that the cell and its fragments become avid targets for phagocytes.  The dead cell is rapidly cleared before its contents have leaked out, and therefore cell death by this pathway does not elicit an inflammatory reaction in the host  Thus, apoptosis differs from necrosis  However, apoptosis and necrosis sometimes coexist, and apoptosis induced by some pathologic stimuli may progress to necrosis www.dentaltutot.in
  • 139.
  • 140.
     Organised celldestruction in sculpting of tissues during development of embryo.  Physiologic involution of cells in hormone- dependent tissues ◦ Endometrial shedding during mensuration ◦ Regression of lactating breast after withdrawal of breast-feeding.  Normal cell destruction followed by replacement proliferation such as in intestinal epithelium.  Involution of the thymus in early age. www.dentaltutot.in
  • 141.
     Cell deathin tumours exposed to chemotherapeutic agents.  Cell death by cytotoxic T cells in immune mechanisms such as in graft-versus-host disease and rejection reactions.  Progressive depletion of CD4+T cells in the pathogenesis of AIDS.  Cell death in viral infections e.g. viral hepatitis.  Pathologic atrophy of organs and tissues on withdrawal of stimuli e.g. prostatic atrophy after orchiectomy, atrophy of kidney or salivary gland on obstruction of ureter or ducts, respectively.  Cell death in response to injurious agents involved in causation of necrosis e.g. radiation, hypoxia and mild thermal injury.  In degenerative diseases of CNS e.g. in Alzheimer’s disease, Parkinson’s disease, and chronic infective dementias www.dentaltutot.in
  • 142.
    A,Apoptosis in theskin in an immune-mediated reaction B,High power of apoptotic cell in live in immune-mediated hepatic cell injury. www.dentaltutot.in
  • 143.
    Ultrastructural changes  Marginationor progressive loss of nuclear chromatin  Focal rupture of the nuclear membrane  Breakdown of the plasmalemma.  Development of flocculent densities in mitochondria. Changes in the nucleus  Pyknosis: condensation of chromatin of chromatin and shrinkage of the nucleus.  Karyorrhexis: fragmentation of the nucleus.  Karyolysis: dissolution of the nucleus. www.dentaltutot.inNormal Pyknosis Karyorrhexis
  • 144.
    Changes in cytoplasmstaining • Positive staining with vital dyes such as Trepan blue which reflects abnormal membrane permeability. • Opacification: denaturation of proteins lead to aggregation with resultant opacification of the cytoplasm. • Eosinophilia: exposure of basic amino groups results in increased affinity for acidic dyes such as eosin. Biochemical changes  Release of K+ by dead cells.  Release of enzymes into the blood. e. g. increased plasma levels of creatine kinases, lactic dehydrogenase and aspartate aminotransferase.  Release of protein or protein breakdown products into the blood. www.dentaltutot.in
  • 145.
    Postmortem change  Tissuesin dead body can be distinguished from necrosis by being diffuse and not associated with inflammatory response. Autolysis  Digestion of cell by enzymes released from lysosome; occurs after cell dies. www.dentaltutot.in
  • 146.
     Robbinson's basicpathology 8 ed  Harsh Mohan - Textbook of Pathology 6th Ed.  Color atlas of pathology www.dentaltutot.in