1
CBCT IN
IMPLANTOLOGY
Presented By DR K. ABHILASHA
Moderated By DR LALITH V
DEPARTMENT OF PERIODONTICS
MRADC
2
 INTRODUCTION
 PRINCIPLES OF CBCT
 COMPONENTS OF IMAGE
PRODUCTION
 TASK SPECIFIC
APPLICATIONS
 SIGNIFICANCE IN IMPLANT
DENTISTRY
 LITERATURE EVIDENCE
 FUTURE PERSPECTIVES IN
CBCT
 CONCLUSION
 REFERENCES
3
 CBCT was introduced to dentistry by Italian co-inventors Attilio Tacconi and
Piero Mozzo in 1998,
 Since its initial FDA approval in March 8, 2001, cone beam computed tomography
(CBCT) has evolved at an impressive rate in the dental field and has increasingly
been referred to as the ‘standard of care’ for diagnostic maxillofacial imaging.
 Synonyms:- : DVT- Digital Volumetric Tomography
VT- Volumetric Tomography
CBI- Cone Beam Imaging
4
Invented CT Scan in
1972
Nobel Prize, 1979
Sir Godfrey Hounsfield
5
6
First commercially available Maxillofacial CBCT
7
A B
8
X-ray
Source
Image
Detector
Gantry
These images are great, but
what am I looking at, and where
can I get more information on
interpreting the
scan????????????
Hartshorne J. Essential guidelines for using cone beam computed tomography (CBCT) in implant dentistry.
Part 2: Clinical considerations. 9
An important basic requirement of using CBCT imaging as a diagnostic tool is that
practitioners should have appropriate training to develop critical skills for operating
CBCT equipment, managing imaging software and acquiring a high level of
competence and confidence in using and interpreting CBCT images.
Hartshorne J. Essential guidelines for using cone beam computed tomography (CBCT) in implant dentistry.
Part 2: Clinical considerations. 10
PROCES
S
Textbook of Radiology, White and Pharaoh 8th edition 11
X-Ray Generation X-ray Detection
Image
Reconstruction
Image Display
Textbook of Radiology, White and Pharaoh 8th edition
12
Essentials for using CBCT in implant dentistry: technical considerations: Dr Joan Hartshorne
13
1. Patient Stabilization
14
Head restraint mechanism to
minimize movement and limit
motion artifacts during the 3D-
scanning process
2. X-ray Generator
• Can be continuous or pulsed
• Traditionally ALARA ALADA (As Low as Diagnostically
Acceptable)
 indication-oriented and patient-specific
 adjustment can be achieved by appropriate selection of Tube Current
(milliamperes [mA]), Tube Voltage (kilovolt peak [kVp]) and Exposure Time
Jacobs R, Salmon B, Codari M, Hassan B, Bornstein MM. Cone beam computed tomography in implant
dentistry: recommendations for clinical use. BMC Oral Health. 2018 Dec;18(1):1-6.
15
Detector
size and
shape
Beam
projection
geometry
Collimation
of beam
3. Scan Volume Or FOV (field of view)
• Reduces unnecessary
radiation
• Minimizes scatter
radiation
• Produces best quality
image
Textbook of Radiology, White and Pharaoh 8th edition
16
Shape of the detector and beam Axial view of X ray beam
geometry
17
Diagram showing the X ray beam shape and collimator
18
 CBCT units are classified according to the maximum FOV incorporated from the
scan or scans:-
Textbook of Radiology, White and Pharaoh 8th edition
19
4. SCAN FACTORS-
 As the scan progresses, single exposures are made at definite degree intervals,
generating individual 2D images known as basis/raw/frame images
 The complete series of images is known as projection data
 Depends on-
 Detector frame rate
 Trajectory arc
20
21
X-Ray Generation X-ray Detection
Image
Reconstruction
Image Display
Textbook of Radiology, White and Pharaoh 8th edition
22
 CBCT units are categorised into 2 groups based on detector type
1. Image intensifier tube/ charge-coupled
device (IIT/ CCD) combination
2. Flat-panel image detector (high-
resolution, flat-panel detectors consisting
of a large area pixel array of hydrogenated
amorphous silicon thin-film transistors)
23
 Advantages of flat panel:-
 Less bulky and having a smaller footprint,
 Minimal distortion of the image dimensions at the periphery of an image display,
 A higher dose efficiency,
 A wider dynamic range, and
 Can be produced with either a smaller or larger FOV
 Generate better data volume sets.
24
Abramovitch K, Rice DD. Basic principles of cone beam computed tomography. Dental
Clinics. 2014 Jul 1;58(3):463-84. 25
26
27
28
VOXEL SIZE
The spatial resolution—and
therefore detail of a CBCT image—
is determined by the dimensions of
individual voxels.
The principal determinants of
nominal voxel size in a CBCT image
are the matrix and pixel size of the
detector.
29
 GRAY SCALE
 The ability of CBCT imaging to display differences in photon attenuation is related to the ability
of the detector to reveal subtle contrast differences.
 This parameter is called the bit depth of the system
 determines the number of shades of gray available to display the attenuation.
 All currently available CBCT units use detectors capable of recording grayscale differences of
12 bits or greater.
30
X-Ray Generation X-ray Detection
Image
Reconstruction
Image Display
Textbook of Radiology, White and Pharaoh 8th edition
31
 Consists of two stages
 1. Acquisition stage
 2. Reconstruction stage
32
Textbook of Radiology, White and Pharaoh 8th edition
33
X-Ray Generation X-ray Detection
Image
Reconstruction
Image Display
Textbook of Radiology, White and Pharaoh 8th edition
34
Multiplanar reformation (MPR)
 It means 2D presentation of 3D data in multiple projection planes.
 Spatial relationships between 3 simultaneous displayed planes are shown by
projecting one plane onto the corresponding orthogonal planes as line/slices.
 Due to the large number of individual slices in any MPR image and the difficulty
in relating structures, a number of visualisation methods have been developed
Textbook of Radiology, White and Pharaoh 8th edition
35
Textbook of Radiology, White and Pharaoh 8th edition
36
 VOXEL VISION METHODS
1. Ray sum or ray casting
 Any multiplanar image can be ‘thickened’ by increasing the number of adjacent
voxels to obtain an image similar to the routine radiograph.
 Advantage: Has better clarity than conventional radiographs.
 Disadvantage: anatomic noise is present.
Textbook of Radiology, White and Pharaoh 8th edition
37
Textbook of Radiology, White and Pharaoh 8th edition
38
 VOXEL VISION METHODS
2. 3D volume rendering
i. Indirect volume rendering (IVR)
 It uses density of the grayscale level of voxels(segmentation) and delivers a volumetric
surface along with depth.
ii. Direct volume rendering (DVR)
 The volume or section of image data can be visualised with different modes of display,
including MIP, MinIP, SSR and VR
Textbook of Radiology, White and Pharaoh 8th edition
39
MIP (Maximum Intensity Projection)
 Most common direct volume rendering technology.
 Voxel intensities below the arbitrary threshold are discarded. Hence, only the
highest voxel values are sampled.
 All information is rendered at the same level of intensity hence anatomic noise is
reduced.
Textbook of Radiology, White and Pharaoh 8th edition
40
MinP(Minimum Intensity Projection)
 Lowest voxel value is sampled and the presentation stresses on low density
structures such as nerve canals.
SSR(Shaded Surface Rendering)
 Valuable for high-contrast imaging such as bone
 Generates a 3D model which can be rotated to observe at any angle.
Textbook of Radiology, White and Pharaoh 8th edition
41
42
43
SUMMARY
44
Advantages Comments
Dose reduction 98% reduction as compared to medical CT
Rapid scan time Acquires all images in a single rotation with scan time
of 10-17 seconds
Reduced artifact Secondary reconstructions are tailored to view specific
voxel values
Interactive display is made
available
Reconstruction allows the clinician to view the model
in different planes
45
Advantages Comments
X ray beam limitation Collimation of the beam is done to irradiate only
the specific area, thus minimising radiation dose
Image accuracy Each voxel resolution represents a specific degree
of X ray absorption and the size of the voxels
regulates the resolution
Superior and simple alternative to
complex interpretative procedures
The 3D reconstruction allows direct visualisation
of foreign bodies, unerupted teeth or root
recognition
46
 The equipment is fairly expensive
 Higher radiation dose compared to conventional radiographs
 Relative sophistication of the equipment requires skilled and experienced
personnel to operate it
 Prolonged time required for image manipulation and interpretation and
occurrence of artifacts can corrupt the image quality.
47
48
 Proper dental implant placement relies on adequate pretreatment visualization of
the proposed bone recipient site, evaluation of bone density, and assessment of
restorative goals.
 The advent of digital 3-dimensional (3D) imaging in conjunction with cone beam
computed tomography (CBCT) allows for a maximum amount of information
available to the clinician and laboratory while minimizing the amount of radiation
exposure.
49
50
51
Application of CBCT in implantology can be considered as coinciding with the
following stages:-
 Pre-surgical phase
 Surgical phase
 Post-surgical phase
52
 To decide the precise healing scope of a prosthetic implant therapy to re-establish
chewing function, it’s imperative to assess Bone availability and the existing
anatomical landmarks. This is easier when using 3D diagnostics than using
illustration with traditional images
53
Scherer MD. Presurgical implant-site assessment and restoratively driven digital planning. Dental
Clinics. 2014 Jul 1;58(3):561-95.
54
Scherer MD. Presurgical implant-site assessment and restoratively driven digital planning. Dental
Clinics. 2014 Jul 1;58(3):561-95.
55
Scherer MD. Presurgical implant-site assessment and restoratively driven digital planning. Dental Clinics. 2014
Jul 1;58(3):561-95.
56
Carranza’s clinical Perioontology, 13th edition ;pg 747; fig 75.9 57
58
Carranza’s clinical Perioontology, 13th edition
 According to Tolstunov, a Diplomate of the American Board of Oral
Implantology/Implant Dentistry, the alveolar jaw can be divided into four regions or
“functional implant zones” with each region possessing "unique characteristics.
59
60
ZONE 1
ZONE 3
 Also known as the “traumatic zone”
 1. BONE
 Part of the anterior maxilla is a protruding alveolar
process with thin labial and thick palatal cortical plates
covering and protecting upper front teeth.
 Evaluate the deficiency
61
 Also known as the “traumatic zone”
 2. NASOPALATINE / INCISIVE CANAL
 Importance- carries nasopalatine nerve and vessels
 Normal anatomy
 Variations- a) Angulation b) Number
 Complication- if an implant contacts neural tissue in this canal, it could lead
to failure of osseointegration or sensory dysfunction.
62
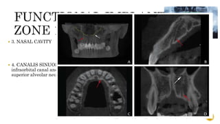
 3. NASAL CAVITY
 4. CANALIS SINUOSUS - is a bone canal in the maxilla that branches from the
infraorbital canal and ends laterally to the anterior nasal spine and contains the anterior
superior alveolar neurovascular bundles
63
 Also known as SINUS ZONE
 1. MAXILLARY SINUS
 CBCT imaging is indicated to evaluate:
a. bone height between the floor of the maxillary sinus and alveolar bone
b. When tooth is lost or extracted  pneumatization of Sinus into the area initially
occupied by the tooth  vertical augmentation via a sinus lift procedure
c. presence of sinus septa which could complicate the sinus lift procedure if
encountered intraoperatively
64
65
66
Maxillary sinus septa
67
Pneumatization of Maxillary sinus
 Also known as SINUS ZONE
2. POSTERIOR SUPERIOR ALVEOLAR ARTERY- main blood supply to posterior
maxilla
68
69
 Posterior superior alveolar canal in the right and left posterior maxilla in the lateral walls
of maxillary sinuses parallel to the floor. (orange)
 Nasopalatine canal in the anterior region towards the palatal aspect of 11, 21 region.
(green)
 Also known as INTERFORAMINAL ZONE
 1. MENTAL FORAMEN
 Importance- mental nerve and vessels
 Variations- accessory mental foramen
 Once a zone of safety is detected through CBCT,
implants can be placed anterior to, posterior to,
or above the mental foramen.
 Complications- the risk of haemorrhage, postoperative pain and paralysis in
implant surgeries.
70
 2. SUB-LINGUAL FORAMEN AND CANAL
 Importance- sublingual artery
 Variations-
 Complications-
71
 3. SUB-LINGUAL UNDERCUTS
 If the angulation of alveolar ridge is not properly evaluated preoperatively 
perforation of lingual cortex  severe bleeding with the formation of expanding
sublingual hematomas
 Hemorrhage from a branch of the sublingual artery (a branch of the lingual
artery), the submental artery (from the facial artery), or the mylohyoid artery
(from the inferior alveolar artery, a branch of the maxillary artery) or their
anastomoses can in some cases cause a life-threatening airway compromise
72
73
 Also knows as ISCHEMIC ZONE.
 MANDIBULAR CANAL
 Importance- carries inferior alveolar neurovascular bundle
 Variations-
74
75
76
TRIFID MANDIBULAR CANAL
77
COMPLICATIONS- Any damage to this nerve can result in persistent dysesthesia as it supplies the
sensory innervation of the lower lip
 The most frequently reported indication for the use of CBCT in implant planning
area are to measure the alveolar ridge and map the bone morphology of possible
implant sites for osseointegration of the implant.
78
 Bone compactness is a significant factor for implant placement to expect the ability to stabilize the
implant when minimal bone height is otherwise available.
 Precise estimation of the alveolar bone height and width are mandatory:
 1. For selecting the suitable implant size
 2. Establish the degree of angulation of the edentulous alveolar ridge.
79
BONE HEIGHT- Measured from the crest of the alveolar ridge to the
opposing border of the bone or an anatomical structure.
 According to the bone height, implant length is determined
BONE WIDTH- It is the bucco-lingual width of the alveolar bone.
 Implant diameter is selected based on this parameter.
80
After adequate height is available, the next most
significant criterion affecting long-term survival of
implants is the width of the available bone.
81
 With the help of DICOM data the computer-generated surgical guides can be fabricated from the
CBCT data to eliminate the work and possible inaccuracy of taking impressions and making
traditional guide stents.
 The surgeon can place implants in their optimal and exact positions more accurately, predictably,
and safely as planned in virtual software using technology and minimally invasive surgery is
performed without raising a flap, thereby minimizing surgery time, postoperative pain and
swelling, and recovery time.
 The dental laboratory uses the information stored in the surgical template to fabricate
presurgically a master cast and provisional restoration that can be placed immediately after
surgery (Teeth-in-an-Hour).
82
83
 Postsurgical complications (e.g. neurovascular trauma)
 Healing follow-up of complex surgical procedures and crestal bone changes
 Maxillofacial trauma with suspected complications at the implant level
 Retrieval of osseo-integrated implants (infectious or mechanical failure etiology)
84
85
86
87
Use of Cone Beam Computed Tomography in Implant Dentistry: The International Congress
of Oral Implantologists Consensus Report, NOV 2012
ICOI Recommendations: All CBCT examinations, as all other radiographic
examinations, must be justified on an individualized needs basis.
The benefits to the patient for each CBCT scan must outweigh the
potential
risks.
American Academy of Periodontology Best Evidence Consensus Statement on Selected
Oral Applications for Cone-Beam Computed Tomography, OCT 2017
 Limited evidence to support the daily use for diagnostic purpose.
 For each specific question addressed, there is a critical mass of evidence, but
insufficient evidence to support broad conclusions or definitive clinical
practice guidelines
1. Prices Will Decrease While Breadth of Features Increase
2. Sensor Technology Will Keep Improving
A. Thin-film transistor (TFT) and
B. complementary metal-oxide semiconductors (CMOS)
3. Applications Will Become More Creative
a. computer-aided design/computer-aided manufacturing (CAD/CAM) technology and 3D
implant planning.
b. virtual treatments, simulations and new possibilities for guided surgery, than are available
now.
4. Optical scanners with CBCT
88
89
 According to the American Dental Association, “clinicians should perform
radiographic imaging, such as CBCT, only after professional justification that
the potential clinical benefits will outweigh the risks associated with exposure
to ionizing radiation.
 All radiographic examinations should be indicated clinically and justified
appropriately.”
90
 Clinical periodontology, caranza 13th edition
 Clinical periodontology and implant dentistry, Lindhe 6th edition
 Cbct technology: what will the future bring? By Jordan reiss, Dentaltown archives
March 2015
 Hartshorne J. Essential guidelines for using cone beam computed tomography
(CBCT) in implant dentistry. Part 2: Clinical considerations.
 Jain S, Choudhary K, Nagi R, Shukla S, Kaur N, Grover D. New evolution of cone-
beam computed tomography in dentistry: Combining digital technologies. Imaging
science in dentistry. 2019 Sep;49(3):179.
 Jacobs R, Salmon B, Codari M, Hassan B, Bornstein MM. Cone beam computed
tomography in implant dentistry: recommendations for clinical use. BMC Oral
Health. 2018 Dec;18(1):1-6. asthan)
91
 Vyas T. APPLICATIONS OF CBCT IN SPECIAL REFRENCE TO DENTISTRY.
Journal of Advanced Medical and Dental Sciences Research. 2017 Apr 1;5(4):67.
 Jacobs R, Quirynen M. Dental cone beam computed tomography: justification for use
in planning oral implant placement. Periodontology 2000. 2014 Oct;66(1):203-13.
 Du Toit J, Gluckman H, Gamil R, Renton T. Implant injury case series and review of
the literature part 1: inferior alveolar nerve injury. Journal of Oral Implantology.
2015 Aug;41(4):e144-51.
 Tolstunov L. Implant zones of the jaws: implant location and related success rate.
Journal of Oral Implantology. 2007 Aug 1;33(4):211-20.
 Shan T, Qu Y, Huang X, Gu L. Cone beam computed tomography analysis of accessory
canals of the canalis sinuosus: A prevalent but often overlooked anatomical variation
in the anterior maxilla. The Journal of Prosthetic Dentistry. 2020 Sep 29.
92
93

CBCT IN IMPLANTOLOGY.pptx

  • 1.
  • 2.
    CBCT IN IMPLANTOLOGY Presented ByDR K. ABHILASHA Moderated By DR LALITH V DEPARTMENT OF PERIODONTICS MRADC 2
  • 3.
     INTRODUCTION  PRINCIPLESOF CBCT  COMPONENTS OF IMAGE PRODUCTION  TASK SPECIFIC APPLICATIONS  SIGNIFICANCE IN IMPLANT DENTISTRY  LITERATURE EVIDENCE  FUTURE PERSPECTIVES IN CBCT  CONCLUSION  REFERENCES 3
  • 4.
     CBCT wasintroduced to dentistry by Italian co-inventors Attilio Tacconi and Piero Mozzo in 1998,  Since its initial FDA approval in March 8, 2001, cone beam computed tomography (CBCT) has evolved at an impressive rate in the dental field and has increasingly been referred to as the ‘standard of care’ for diagnostic maxillofacial imaging.  Synonyms:- : DVT- Digital Volumetric Tomography VT- Volumetric Tomography CBI- Cone Beam Imaging 4
  • 5.
    Invented CT Scanin 1972 Nobel Prize, 1979 Sir Godfrey Hounsfield 5
  • 6.
  • 7.
    First commercially availableMaxillofacial CBCT 7
  • 8.
  • 9.
    These images aregreat, but what am I looking at, and where can I get more information on interpreting the scan???????????? Hartshorne J. Essential guidelines for using cone beam computed tomography (CBCT) in implant dentistry. Part 2: Clinical considerations. 9
  • 10.
    An important basicrequirement of using CBCT imaging as a diagnostic tool is that practitioners should have appropriate training to develop critical skills for operating CBCT equipment, managing imaging software and acquiring a high level of competence and confidence in using and interpreting CBCT images. Hartshorne J. Essential guidelines for using cone beam computed tomography (CBCT) in implant dentistry. Part 2: Clinical considerations. 10
  • 11.
    PROCES S Textbook of Radiology,White and Pharaoh 8th edition 11
  • 12.
    X-Ray Generation X-rayDetection Image Reconstruction Image Display Textbook of Radiology, White and Pharaoh 8th edition 12
  • 13.
    Essentials for usingCBCT in implant dentistry: technical considerations: Dr Joan Hartshorne 13
  • 14.
    1. Patient Stabilization 14 Headrestraint mechanism to minimize movement and limit motion artifacts during the 3D- scanning process
  • 15.
    2. X-ray Generator •Can be continuous or pulsed • Traditionally ALARA ALADA (As Low as Diagnostically Acceptable)  indication-oriented and patient-specific  adjustment can be achieved by appropriate selection of Tube Current (milliamperes [mA]), Tube Voltage (kilovolt peak [kVp]) and Exposure Time Jacobs R, Salmon B, Codari M, Hassan B, Bornstein MM. Cone beam computed tomography in implant dentistry: recommendations for clinical use. BMC Oral Health. 2018 Dec;18(1):1-6. 15
  • 16.
    Detector size and shape Beam projection geometry Collimation of beam 3.Scan Volume Or FOV (field of view) • Reduces unnecessary radiation • Minimizes scatter radiation • Produces best quality image Textbook of Radiology, White and Pharaoh 8th edition 16
  • 17.
    Shape of thedetector and beam Axial view of X ray beam geometry 17
  • 18.
    Diagram showing theX ray beam shape and collimator 18
  • 19.
     CBCT unitsare classified according to the maximum FOV incorporated from the scan or scans:- Textbook of Radiology, White and Pharaoh 8th edition 19
  • 20.
    4. SCAN FACTORS- As the scan progresses, single exposures are made at definite degree intervals, generating individual 2D images known as basis/raw/frame images  The complete series of images is known as projection data  Depends on-  Detector frame rate  Trajectory arc 20
  • 21.
  • 22.
    X-Ray Generation X-rayDetection Image Reconstruction Image Display Textbook of Radiology, White and Pharaoh 8th edition 22
  • 23.
     CBCT unitsare categorised into 2 groups based on detector type 1. Image intensifier tube/ charge-coupled device (IIT/ CCD) combination 2. Flat-panel image detector (high- resolution, flat-panel detectors consisting of a large area pixel array of hydrogenated amorphous silicon thin-film transistors) 23
  • 24.
     Advantages offlat panel:-  Less bulky and having a smaller footprint,  Minimal distortion of the image dimensions at the periphery of an image display,  A higher dose efficiency,  A wider dynamic range, and  Can be produced with either a smaller or larger FOV  Generate better data volume sets. 24
  • 25.
    Abramovitch K, RiceDD. Basic principles of cone beam computed tomography. Dental Clinics. 2014 Jul 1;58(3):463-84. 25
  • 26.
  • 27.
  • 28.
  • 29.
    VOXEL SIZE The spatialresolution—and therefore detail of a CBCT image— is determined by the dimensions of individual voxels. The principal determinants of nominal voxel size in a CBCT image are the matrix and pixel size of the detector. 29
  • 30.
     GRAY SCALE The ability of CBCT imaging to display differences in photon attenuation is related to the ability of the detector to reveal subtle contrast differences.  This parameter is called the bit depth of the system  determines the number of shades of gray available to display the attenuation.  All currently available CBCT units use detectors capable of recording grayscale differences of 12 bits or greater. 30
  • 31.
    X-Ray Generation X-rayDetection Image Reconstruction Image Display Textbook of Radiology, White and Pharaoh 8th edition 31
  • 32.
     Consists oftwo stages  1. Acquisition stage  2. Reconstruction stage 32
  • 33.
    Textbook of Radiology,White and Pharaoh 8th edition 33
  • 34.
    X-Ray Generation X-rayDetection Image Reconstruction Image Display Textbook of Radiology, White and Pharaoh 8th edition 34
  • 35.
    Multiplanar reformation (MPR) It means 2D presentation of 3D data in multiple projection planes.  Spatial relationships between 3 simultaneous displayed planes are shown by projecting one plane onto the corresponding orthogonal planes as line/slices.  Due to the large number of individual slices in any MPR image and the difficulty in relating structures, a number of visualisation methods have been developed Textbook of Radiology, White and Pharaoh 8th edition 35
  • 36.
    Textbook of Radiology,White and Pharaoh 8th edition 36
  • 37.
     VOXEL VISIONMETHODS 1. Ray sum or ray casting  Any multiplanar image can be ‘thickened’ by increasing the number of adjacent voxels to obtain an image similar to the routine radiograph.  Advantage: Has better clarity than conventional radiographs.  Disadvantage: anatomic noise is present. Textbook of Radiology, White and Pharaoh 8th edition 37
  • 38.
    Textbook of Radiology,White and Pharaoh 8th edition 38
  • 39.
     VOXEL VISIONMETHODS 2. 3D volume rendering i. Indirect volume rendering (IVR)  It uses density of the grayscale level of voxels(segmentation) and delivers a volumetric surface along with depth. ii. Direct volume rendering (DVR)  The volume or section of image data can be visualised with different modes of display, including MIP, MinIP, SSR and VR Textbook of Radiology, White and Pharaoh 8th edition 39
  • 40.
    MIP (Maximum IntensityProjection)  Most common direct volume rendering technology.  Voxel intensities below the arbitrary threshold are discarded. Hence, only the highest voxel values are sampled.  All information is rendered at the same level of intensity hence anatomic noise is reduced. Textbook of Radiology, White and Pharaoh 8th edition 40
  • 41.
    MinP(Minimum Intensity Projection) Lowest voxel value is sampled and the presentation stresses on low density structures such as nerve canals. SSR(Shaded Surface Rendering)  Valuable for high-contrast imaging such as bone  Generates a 3D model which can be rotated to observe at any angle. Textbook of Radiology, White and Pharaoh 8th edition 41
  • 42.
  • 43.
  • 44.
  • 45.
    Advantages Comments Dose reduction98% reduction as compared to medical CT Rapid scan time Acquires all images in a single rotation with scan time of 10-17 seconds Reduced artifact Secondary reconstructions are tailored to view specific voxel values Interactive display is made available Reconstruction allows the clinician to view the model in different planes 45
  • 46.
    Advantages Comments X raybeam limitation Collimation of the beam is done to irradiate only the specific area, thus minimising radiation dose Image accuracy Each voxel resolution represents a specific degree of X ray absorption and the size of the voxels regulates the resolution Superior and simple alternative to complex interpretative procedures The 3D reconstruction allows direct visualisation of foreign bodies, unerupted teeth or root recognition 46
  • 47.
     The equipmentis fairly expensive  Higher radiation dose compared to conventional radiographs  Relative sophistication of the equipment requires skilled and experienced personnel to operate it  Prolonged time required for image manipulation and interpretation and occurrence of artifacts can corrupt the image quality. 47
  • 48.
  • 49.
     Proper dentalimplant placement relies on adequate pretreatment visualization of the proposed bone recipient site, evaluation of bone density, and assessment of restorative goals.  The advent of digital 3-dimensional (3D) imaging in conjunction with cone beam computed tomography (CBCT) allows for a maximum amount of information available to the clinician and laboratory while minimizing the amount of radiation exposure. 49
  • 50.
  • 51.
  • 52.
    Application of CBCTin implantology can be considered as coinciding with the following stages:-  Pre-surgical phase  Surgical phase  Post-surgical phase 52
  • 53.
     To decidethe precise healing scope of a prosthetic implant therapy to re-establish chewing function, it’s imperative to assess Bone availability and the existing anatomical landmarks. This is easier when using 3D diagnostics than using illustration with traditional images 53
  • 54.
    Scherer MD. Presurgicalimplant-site assessment and restoratively driven digital planning. Dental Clinics. 2014 Jul 1;58(3):561-95. 54
  • 55.
    Scherer MD. Presurgicalimplant-site assessment and restoratively driven digital planning. Dental Clinics. 2014 Jul 1;58(3):561-95. 55
  • 56.
    Scherer MD. Presurgicalimplant-site assessment and restoratively driven digital planning. Dental Clinics. 2014 Jul 1;58(3):561-95. 56
  • 57.
    Carranza’s clinical Perioontology,13th edition ;pg 747; fig 75.9 57
  • 58.
  • 59.
     According toTolstunov, a Diplomate of the American Board of Oral Implantology/Implant Dentistry, the alveolar jaw can be divided into four regions or “functional implant zones” with each region possessing "unique characteristics. 59
  • 60.
  • 61.
     Also knownas the “traumatic zone”  1. BONE  Part of the anterior maxilla is a protruding alveolar process with thin labial and thick palatal cortical plates covering and protecting upper front teeth.  Evaluate the deficiency 61
  • 62.
     Also knownas the “traumatic zone”  2. NASOPALATINE / INCISIVE CANAL  Importance- carries nasopalatine nerve and vessels  Normal anatomy  Variations- a) Angulation b) Number  Complication- if an implant contacts neural tissue in this canal, it could lead to failure of osseointegration or sensory dysfunction. 62
  • 63.
     3. NASALCAVITY  4. CANALIS SINUOSUS - is a bone canal in the maxilla that branches from the infraorbital canal and ends laterally to the anterior nasal spine and contains the anterior superior alveolar neurovascular bundles 63
  • 64.
     Also knownas SINUS ZONE  1. MAXILLARY SINUS  CBCT imaging is indicated to evaluate: a. bone height between the floor of the maxillary sinus and alveolar bone b. When tooth is lost or extracted  pneumatization of Sinus into the area initially occupied by the tooth  vertical augmentation via a sinus lift procedure c. presence of sinus septa which could complicate the sinus lift procedure if encountered intraoperatively 64
  • 65.
  • 66.
  • 67.
  • 68.
     Also knownas SINUS ZONE 2. POSTERIOR SUPERIOR ALVEOLAR ARTERY- main blood supply to posterior maxilla 68
  • 69.
    69  Posterior superioralveolar canal in the right and left posterior maxilla in the lateral walls of maxillary sinuses parallel to the floor. (orange)  Nasopalatine canal in the anterior region towards the palatal aspect of 11, 21 region. (green)
  • 70.
     Also knownas INTERFORAMINAL ZONE  1. MENTAL FORAMEN  Importance- mental nerve and vessels  Variations- accessory mental foramen  Once a zone of safety is detected through CBCT, implants can be placed anterior to, posterior to, or above the mental foramen.  Complications- the risk of haemorrhage, postoperative pain and paralysis in implant surgeries. 70
  • 71.
     2. SUB-LINGUALFORAMEN AND CANAL  Importance- sublingual artery  Variations-  Complications- 71
  • 72.
     3. SUB-LINGUALUNDERCUTS  If the angulation of alveolar ridge is not properly evaluated preoperatively  perforation of lingual cortex  severe bleeding with the formation of expanding sublingual hematomas  Hemorrhage from a branch of the sublingual artery (a branch of the lingual artery), the submental artery (from the facial artery), or the mylohyoid artery (from the inferior alveolar artery, a branch of the maxillary artery) or their anastomoses can in some cases cause a life-threatening airway compromise 72
  • 73.
  • 74.
     Also knowsas ISCHEMIC ZONE.  MANDIBULAR CANAL  Importance- carries inferior alveolar neurovascular bundle  Variations- 74
  • 75.
  • 76.
  • 77.
    77 COMPLICATIONS- Any damageto this nerve can result in persistent dysesthesia as it supplies the sensory innervation of the lower lip
  • 78.
     The mostfrequently reported indication for the use of CBCT in implant planning area are to measure the alveolar ridge and map the bone morphology of possible implant sites for osseointegration of the implant. 78
  • 79.
     Bone compactnessis a significant factor for implant placement to expect the ability to stabilize the implant when minimal bone height is otherwise available.  Precise estimation of the alveolar bone height and width are mandatory:  1. For selecting the suitable implant size  2. Establish the degree of angulation of the edentulous alveolar ridge. 79
  • 80.
    BONE HEIGHT- Measuredfrom the crest of the alveolar ridge to the opposing border of the bone or an anatomical structure.  According to the bone height, implant length is determined BONE WIDTH- It is the bucco-lingual width of the alveolar bone.  Implant diameter is selected based on this parameter. 80
  • 81.
    After adequate heightis available, the next most significant criterion affecting long-term survival of implants is the width of the available bone. 81
  • 82.
     With thehelp of DICOM data the computer-generated surgical guides can be fabricated from the CBCT data to eliminate the work and possible inaccuracy of taking impressions and making traditional guide stents.  The surgeon can place implants in their optimal and exact positions more accurately, predictably, and safely as planned in virtual software using technology and minimally invasive surgery is performed without raising a flap, thereby minimizing surgery time, postoperative pain and swelling, and recovery time.  The dental laboratory uses the information stored in the surgical template to fabricate presurgically a master cast and provisional restoration that can be placed immediately after surgery (Teeth-in-an-Hour). 82
  • 83.
  • 84.
     Postsurgical complications(e.g. neurovascular trauma)  Healing follow-up of complex surgical procedures and crestal bone changes  Maxillofacial trauma with suspected complications at the implant level  Retrieval of osseo-integrated implants (infectious or mechanical failure etiology) 84
  • 85.
  • 86.
  • 87.
    87 Use of ConeBeam Computed Tomography in Implant Dentistry: The International Congress of Oral Implantologists Consensus Report, NOV 2012 ICOI Recommendations: All CBCT examinations, as all other radiographic examinations, must be justified on an individualized needs basis. The benefits to the patient for each CBCT scan must outweigh the potential risks. American Academy of Periodontology Best Evidence Consensus Statement on Selected Oral Applications for Cone-Beam Computed Tomography, OCT 2017  Limited evidence to support the daily use for diagnostic purpose.  For each specific question addressed, there is a critical mass of evidence, but insufficient evidence to support broad conclusions or definitive clinical practice guidelines
  • 88.
    1. Prices WillDecrease While Breadth of Features Increase 2. Sensor Technology Will Keep Improving A. Thin-film transistor (TFT) and B. complementary metal-oxide semiconductors (CMOS) 3. Applications Will Become More Creative a. computer-aided design/computer-aided manufacturing (CAD/CAM) technology and 3D implant planning. b. virtual treatments, simulations and new possibilities for guided surgery, than are available now. 4. Optical scanners with CBCT 88
  • 89.
  • 90.
     According tothe American Dental Association, “clinicians should perform radiographic imaging, such as CBCT, only after professional justification that the potential clinical benefits will outweigh the risks associated with exposure to ionizing radiation.  All radiographic examinations should be indicated clinically and justified appropriately.” 90
  • 91.
     Clinical periodontology,caranza 13th edition  Clinical periodontology and implant dentistry, Lindhe 6th edition  Cbct technology: what will the future bring? By Jordan reiss, Dentaltown archives March 2015  Hartshorne J. Essential guidelines for using cone beam computed tomography (CBCT) in implant dentistry. Part 2: Clinical considerations.  Jain S, Choudhary K, Nagi R, Shukla S, Kaur N, Grover D. New evolution of cone- beam computed tomography in dentistry: Combining digital technologies. Imaging science in dentistry. 2019 Sep;49(3):179.  Jacobs R, Salmon B, Codari M, Hassan B, Bornstein MM. Cone beam computed tomography in implant dentistry: recommendations for clinical use. BMC Oral Health. 2018 Dec;18(1):1-6. asthan) 91
  • 92.
     Vyas T.APPLICATIONS OF CBCT IN SPECIAL REFRENCE TO DENTISTRY. Journal of Advanced Medical and Dental Sciences Research. 2017 Apr 1;5(4):67.  Jacobs R, Quirynen M. Dental cone beam computed tomography: justification for use in planning oral implant placement. Periodontology 2000. 2014 Oct;66(1):203-13.  Du Toit J, Gluckman H, Gamil R, Renton T. Implant injury case series and review of the literature part 1: inferior alveolar nerve injury. Journal of Oral Implantology. 2015 Aug;41(4):e144-51.  Tolstunov L. Implant zones of the jaws: implant location and related success rate. Journal of Oral Implantology. 2007 Aug 1;33(4):211-20.  Shan T, Qu Y, Huang X, Gu L. Cone beam computed tomography analysis of accessory canals of the canalis sinuosus: A prevalent but often overlooked anatomical variation in the anterior maxilla. The Journal of Prosthetic Dentistry. 2020 Sep 29. 92
  • 93.

Editor's Notes

  • #16 In a single rotation, the detector can generate between 150 to 600 high-resolution 2D basis images
  • #17 The size of the scanned object volume is called the field of view,
  • #31 A 12-bit detector provides 212 or 4096 shades to display contrast. A 16-bit detector provides 216 or 65,536 shades of gray.