1
Contents
2
• Introduction
• Completely edentulous prosthesis design
• Removable implant supported prosthesis
• Fixed restorations in completely or partially edentuous
patients
• Partially edentulous prosthesis design
• Misch’s prosthetic options in implant dentistry
• FP1
• FP2
• FP3
• RP4
• RP5
• Edentulous mandible
• Overdenture options- OD1
• OD2
• OD3
• OD4
• Fixed options-1,2,3,4,5
• Edentulous maxilla
• Overdenture options-
• RP1
• RP2
• Fixed options-1,2,3,4,5
• Conclusion
• References
Most treatment options are derived from the obtained diagnostic
information.
Traditional dentistry provides limited treatment options for the
edentulous patient.
Introduction
3
In contrast, implant dentistry can provide a range of additional
abutment locations, thus allowing for a wide spectrum of
treatment options.
BONE AUGMENTATION
ADDS MORE OPTIONS
• Therefore, after the dental diagnosis of the current
stomatognathic system is complete, the implant treatment plan
of choice is patient and problem based.
• Not all patients should be treated with the same restoration
type or design even when their oral conditions are similar.
Prosthetic options
 In 1989, Misch proposed five prosthetic options
for implant dentistry.
 These options depend on the amount of hard
and soft tissue structures replaced and the
aspects of the prosthesis in the esthetic zone.
 They are used to communicate the appearance
of the final prosthesis to all of the implant team
members, including the laboratory and patient.
4
Fixed Prostheses
The FP-1 prosthesis is most often
desired in the maxillary anterior
region, especially in the esthetic
zone during smiling or speaking
and patients with a high smile
line.
5
FP 1
An FP-1 is a fixed restoration and appears to the patient
to replace only the anatomic crowns of the missing
natural teeth.
There must be minimal loss of hard
and soft tissues to fabricate this
prosthesis type.
6
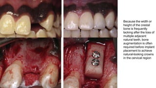
Because the width or
height of the crestal
bone is frequently
lacking after the loss of
multiple adjacent
natural teeth, bone
augmentation is often
required before implant
placement to achieve
natural-looking crowns
in the cervical region
Fixed Prostheses
7
FP 2
• The volume and topography of the available bone is more
apical  1 to 2 mm below the cement-enamel junction
Dictate a more apical implant placement compared with
the FP-1 prosthesis.
• These restorations are similar to teeth exhibiting
periodontal bone loss and gingival recession
FP-2 appears to restore the anatomic crown and
a portion of the root of the natural tooth.
The most esthetic area usually requires
the incisal two-thirds of the two crowns
to be ideal in width, as though the
implant were not present. Only the
cervical region is compromised.
8
A) FP-2 prosthesis resulting from implant placement too far apically. Ideally the implant neck should be 2 to 3 mm below the free gingival
margin of the adjacent teeth. (B) Because the FP-2 prosthesis is hypercontoured, it is often not esthetically pleasant. However, in this
example, because of the bone and tissue loss of the adjacent teeth, the FP-2 prosthesis blends in very well.
9
The esthetic zone of a patient is established during smiling in the maxillary arch and
during speech of sibilant sounds for the mandibular arch.
If the high lip line
during smiling or the
low lip line during
speech do not
display the cervical
regions, the longer
teeth are usually of
no esthetic
consequence,
provided that the
patient has been
informed before
treatment.
Fixed Prostheses
10
FP 3
The FP-3 fixed restoration appears to replace the
natural teeth crowns and has pink-colored
restorative materials to replace a portion of the soft
tissue.
• The original available bone height has decreased by natural
resorption or osteoplasty at the time of implant placement.
• To place the incisal edge of the teeth in proper position for
esthetics, function, lip support, and speech, the excessive
vertical dimension to be restored requires teeth that are
unnatural in length.
Fixed restorations have three categories: FP-1, FP-2, and FP-3. The restoration type is related to the contour of the restoration. (FP-1
is ideal, FP-2 is hypercontoured, and FP-3 replaces the gingiva drape with pink porcelain or acrylic.) The difference between FP-2
and FP-3 most often is related to the high maxillary lip position during smiling or the mandibular lip position during sibilant sounds
of speech. FP-2 and FP-3 restorations often require more implant surface area support by increasing implant number or size.
11
12
There are basically three approaches for an FP-3
prosthesis:
(1) a hybrid restoration of denture teeth and acrylic
and metal substructure
(2) a porcelain-metal restoration, or
(3) a monolithic zirconia prosthesis
An FP-3 prosthesis requires a
minimum of 10 mm  a monolithic zirconia
∼12 mm  porcelain fused to metal prosthesis
>15 mm  hybrid prosthesis.
13
Prosthetic replacement of the soft tissue drape (FP-3 prosthesis) is most often desirable when
multiple adjacent teeth are missing
Removable Prostheses
14
RP 4
RP-4 is an RP that is completely supported by the
implants, teeth, or both with no soft tissue support.
More interocclusal space is
required to allow for
sufficient space for acrylic
and denture teeth.
• Usually five or six implants in the mandible and six to eight
implants in the maxilla are required to fabricate completely
implant-supported RP-4 prostheses in patients with favorable
dental criteria.
Removable restorations have two categories based on implant support. RP-4 prostheses have complete implant
support in
both the anterior and posterior regions. In the mandible, the superstructure bar often is cantilevered from implants
positioned between the foramina. The maxillary RP-4 prosthesis usually has more implants and no cantilever. An RP-5
restoration has primarily anterior implant support and posterior soft tissue support in the maxilla or mandible. Often
fewer
15
Removable Prostheses
16
RP 5
RP-5 is an RP with soft tissue (primary) and implant
(secondary) support.
• The primary advantage of an RP-5 restoration is the reduced cost.
• The prosthesis is similar to traditional overdentures supported by natural teeth.
• The final prosthesis is a full-arch conventional denture that receives the primary support from the soft
tissue and secondarily from the implants.
17
Mandible
Mandibular overdenture
treatment options
18
Mandibular Implant Site Selection
The greatest available height of bone is located in the
anterior mandible, between the mental foramina. This
region also usually presents a favorable bone density for
implant support.
OD-1
19
The implants usually remain independent of each other
and are not connected with a superstructure. The most
common type of attachment used in OD-1 is a Locator or
an O-ring design, because there will be associated
prosthesis movement.
20
Positioning of the implants in the B
and D positions is a much better
prosthetic option in OD-1 than
positioning in the A and E Regions.
Independent implants in the A and E
positions allow a greater amplitude
of rocking of the prosthesis
compared with implants in the B and
D regions
OD-2
21
Three root form implants are placed in the A, C, and
E positions for the second overdenture treatment
option (OD-2).
• The additional implant provides a sixfold reduction in
superstructure flexure and limits the consequences previously
discussed.
• In addition, screw loosening occurs less frequently because
three coping screws retain the superstructure rather than two.
• Implant reaction forces are reduced with a third implant
compared with two implants.
• The greater surface area of implant to bone allows better
distribution of forces.
• Three permucosal sites distribute stresses more efficiently and
minimize crestal bone loss.
22
23
• Ideally, the implants in the A, C, and E positions should not form a straight line. The C implant is
anterior to the more distal A and E implants and directly under the cingulum position of the denture
teeth. The prosthesis benefits from direct occlusal load to the implant support in the anterior arch.
• When more than two implants are in the anterior mandible, a tripod support system may be established.
The greater the A-P spread of the A, C, and E implants, the greater the biomechanical advantage to
reduce stress on the implant and the better the lateral stability of the implant bar and overdenture
system.
A-C-E positions B-C-D positions.
OD-3
These implants usually provide sufficient support to
include a distal cantilever up to 10 mm on each side if
the stress factors are low.
The cantilevered superstructure is a feature of the four
or more implant treatment option for three reasons:
24
In the third mandibular overdenture option (OD-3), four
implants are placed in the A, B, D, and E positions.
increase in implant support compared with
OD-1 to OD-3.
biomechanical position of the implants is
improved in an ovoid or tapering arch form
compared with OD-1 or OD-2.
additional retention provided for the
superstructure bar, which limits the risk for
screw loosening and other related
complications of cantilevered restorations
25
• The overdenture attachments often are placed in the distal cantilevers.
• The prosthesis is still RP-5, but with the least soft tissue support of all RP-5 designs.
• The anterior attachment must allow vertical movement for the distal aspect of the prosthesis to rotate
toward the tissue.
• Clips, which permit rotation, are difficult to use on cantilevered superstructures.
• The clip must be placed perpendicular to the path of rotation to allow movement, not along the
cantilevered bar, where its only function then is retention.
26
Martínez–Lage-Azorín JF, Segura-Andrés G, Faus-López J, Agustín-Panadero R. Rehabilitation with implant-supported overdentures in total
edentulous patients: A review. Journal of clinical and experimental dentistry. 2013 Dec;5(5):e267.
OD-4
27
28
• The mandibular arch form may be square, tapering, or ovoid.
• Square arch forms limit the A-P spread between implants and may not be able to counter the
effect of a distal cantilever.
• Therefore, rarely are distal cantilevers designed for square arch forms. In a mandibular ovoid to
tapering arch form, the A-P spread between implants in the A, E and D, B positions is greater
and therefore permits a longer distal cantilever.
• This A-P spread is usually 8 to 10 mm in these arch forms and therefore often permits a
cantilever up to 10 mm from the A and E positions.
Implant
Treatment
Options for
Fixed
Restorations
29
Treatment option 1
Treatment option 2
Treatment option 3
Treatment option 4
Treatment option 5
Treatment option 1: The
Branemark option
▪ Among the fixed implant–supported options,
the prosthesis following the Brånemark
protocol has been shown to have excellent
longevity and clinical efficacy.
▪ This classical treatment plan involves four to
six implants between the mental foramina, and
bilateral distal cantilevers replace the
mandibular posterior teeth, usually to the first
molar region.
▪ The mandible does not flex or exhibit
significant torsion between the mental
foramina. Therefore anterior implants may be
splinted together without risk or compromise.
30
31
32
Gandhi N, Gandhi S, Kurian N, Mehdiratta S. Rehabilitation of
maxillofacialtrauma patient with dental implants: A case report.
CHRISMED Journal of Health and Research. 2018 Jan 1;5(1):80.
Treatment option 2: The
Modified Branemark option
▪ A second mandibular fixed treatment plan
involves a modified Brånemark technique.
▪ A slight variation of the Brånemark protocol is
to place additional implants above the mental
foramina because the mandible flexes distal to
the foramen.
33
• The key implant positions in treatment option 2
are the second premolar positions, the canine
positions, and the central incisor or midline
position.
• The two optional implant sites are the first
premolar sites and are more often indicated
when the patient force factors are greater than
usual.
An implant above one or both foramina presents several
advantages:
• the number of implants may be increased to as many
as seven, which increases the implant surface area.
• the A-P spread for implant placement is greatly
increased.
• the length of the cantilever is reduced dramatically
34
A minimum recommended implant height of 8
mm and a greater diameter or an enhanced
surface area design are recommended to
compensate for the reduced implant length.
Treatment option 3: Anterior
Implants and Unilateral
Posterior Implant
▪ The third fixed treatment option is used
when inadequate bone is present over the
foramina and support is required more
posteriorly.
▪ Hence five to seven implants usually are
placed in this treatment option.
35
• The key implant positions  first molar (on one side only), the bilateral first premolar positions, and
the bilateral canine sites.
• The secondary implant positions  second premolar position on the same side as the molar implant
and the central incisor (midline) position.
36
Treatment Option 4: Anterior
Implants and Bilateral
Posterior Implants
▪ Treatment plan options for fixed full-arch
prostheses also may include bilateral
posterior implants as long as they are not
splinted together in one prosthesis.
▪ Several options for fixed restorations are
available when bilateral posterior implants
are included; however, the prosthesis needs
to be in more than one piece.
▪ In treatment option 4, implants are placed in
all three segments of the mandible.
37
38
• Three implants (first premolar, second premolar, and
molar)
• are used most often for the smaller segment to
compensate for force factors and the alignment of the
implants (because they are almost in a straight line).
• At least six implants typically are used in this option, but
seven are more often used, so the smaller segment has
three implants.
Treatment Option 5: All-on-
Four Protocol
▪ This protocol, developed by Malo, uses four
implants in the anterior part of a completely
edentulous jaw to support a provisional, fixed, and
immediately loaded prosthesis.
▪ Most commonly, the two most anterior implants
are placed axially, whereas the two posterior
implants are placed at an angle (i.e., usually at an
approximately 45-degree angle) to increase A-P
spread along with decreasing the cantilever length.
39
The tilted implants offer several advantages:
• longer implants
• reduced or eliminated cantilever length
• avoidance of vital
40
41
Maxilla
Maxillary
overdenture
option
42
1. RP-5 prosthesis: four to six
implants in three to five arch
positions
2. RP-4 prosthesis: six to 10
implants in all five arch positions
• The difference is due primarily to the biomechanical
disadvantages of the maxilla compared with the
mandible.
• The crown height space is critical for maxillary
overdentures, and more often a lack of space may
compromise tooth position compared with the
mandibular situation.
• The maxillary anterior crown height space requirement
is greater than the posterior dimension.
Option 1: Removable
Maxillary RP-4 Implant
Overdenture
▪ The first option for a maxillary IOD is an RP-4
prosthesis with six to eight implants, which is
rigid during function.
▪ This option is the preferred IOD design
because it maintains greater bone volume
and provides improved retention and
confidence to the patient compared with a
denture or RP-5 prosthesis.
▪ Because the palate is removed from this
prosthesis (i.e., horseshoe-shaped), soft
tissue support is lost, thereby requiring an
increased number of implants.
43
44
Option 2: Removable
Maxillary RP-5 Implant
Overdenture
A maxillary conventional complete denture usually
has good retention, support, and stability.. The major
advantages of an RP-5 maxillary IOD are the
maintenance of the anterior bone.
45
Fixed Maxillary
Treatment Plans
46
The number and position of implants are related to the
arch form of the final dentition (prosthesis), not the
existing edentulous arch form.
Maxillary Fixed Prosthesis
Treatment Option 1
47
Maxillary Fixed Prosthesis
Treatment Option 2
▪ The three implant positions in the premaxilla will
resist the additional forces created in this arch
form, enhance prosthesis retention, and reduce
the risk for abutment screw loosening.
▪ The seven implants should be splinted together
to function as an arch.
▪ Implants should ideally be at least 3 mm apart
after placement.
48
Maxillary Fixed Prosthesis
Treatment Option 3
▪ The anterior teeth create a significant facial
cantilever from the canine position, and anterior
biting forces often lead to a shear type of force.
49
Maxillary Fixed Treatment
Option 4: All-on-Four
▪ In general the all-on-four technique includes
placing four implants in the maxillary arch,
with two axially placed implants in the
anterior and two posterior implants
positioned angulated at 30 to 45 degrees.
▪ Because of the pneumatization of the
maxillary sinuses and the requirement of
bone grafting in many cases, the all-on-four
technique allows for the avoidance of the
sinus anatomy by tilting the implants, which
ultimately increases the A-P spread.
50
Conclusion
Implant dentistry is unique because an additional
foundation base may be created for a desired
prosthodontic result. Therefore both the psychological and
anatomic needs and desires of the patient should be
evaluated and determined. The prosthesis that satisfies
these goals and eliminates the existing problems may then
be designed. The prosthesis may be fixed or removable for
the completely edentulous patient, whereas fixed
restorations are planned for most partially edentulous
patients.
Therefore patients need to be educated on the advantages
and disadvantages of the various types of prostheses.
51
Reference
s
1. Misch CE. Dental Implant Prosthetics-E-Book. Elsevier Health Sciences; 2004 Sep 20.
2. Misch’s Contemporary implant dentistry; 4th ed-E-Book. Elsevier Health Sciences; 2004
Sep 20.
3. Oda K, Kanazawa M, Takeshita S, Minakuchi S. Influence of implant number on the
movement of mandibular implant overdentures. The Journal of prosthetic dentistry. 2017
Mar 1;117(3):380-5.
4. Yao CJ, Cao C, Bornstein MM, Mattheos N. Patient‐reported outcome measures of
edentulous patients restored with implant‐supported removable and fixed prostheses: A
systematic review. Clinical oral implants research. 2018 Oct;29:241- 54.
5. Guenin C, Martín-Cabezas R. How many implants are necessary to stabilise an implant-
supported maxillary overdenture?. Evidence-Based Dentistry. 2020 Mar;21(1):28-9.
6. Gandhi N, Gandhi S, Kurian N, Mehdiratta S. Rehabilitation of maxillofacialtrauma patient
with dental implants: A case report. CHRISMED Journal of Health and Research. 2018 Jan
1;5(1):80.
7. Oh SH, Kim Y, Park JY, Jung YJ, Kim SK, Park SY. Comparison of fixed implant‐supported
prostheses, removable implant‐supported prostheses, and complete dentures: patient
satisfaction and oral health‐related quality of life.
8. Clinical oral implants research. 2016 Feb;27(2):e31-7.
9. Jemt T, Lekholm U. Implant treatment in edentulous maxillae: a 5-year follow-up report on

prosthetic options in implant

  • 1.
  • 2.
    Contents 2 • Introduction • Completelyedentulous prosthesis design • Removable implant supported prosthesis • Fixed restorations in completely or partially edentuous patients • Partially edentulous prosthesis design • Misch’s prosthetic options in implant dentistry • FP1 • FP2 • FP3 • RP4 • RP5 • Edentulous mandible • Overdenture options- OD1 • OD2 • OD3 • OD4 • Fixed options-1,2,3,4,5 • Edentulous maxilla • Overdenture options- • RP1 • RP2 • Fixed options-1,2,3,4,5 • Conclusion • References
  • 3.
    Most treatment optionsare derived from the obtained diagnostic information. Traditional dentistry provides limited treatment options for the edentulous patient. Introduction 3 In contrast, implant dentistry can provide a range of additional abutment locations, thus allowing for a wide spectrum of treatment options. BONE AUGMENTATION ADDS MORE OPTIONS • Therefore, after the dental diagnosis of the current stomatognathic system is complete, the implant treatment plan of choice is patient and problem based. • Not all patients should be treated with the same restoration type or design even when their oral conditions are similar.
  • 4.
    Prosthetic options  In1989, Misch proposed five prosthetic options for implant dentistry.  These options depend on the amount of hard and soft tissue structures replaced and the aspects of the prosthesis in the esthetic zone.  They are used to communicate the appearance of the final prosthesis to all of the implant team members, including the laboratory and patient. 4
  • 5.
    Fixed Prostheses The FP-1prosthesis is most often desired in the maxillary anterior region, especially in the esthetic zone during smiling or speaking and patients with a high smile line. 5 FP 1 An FP-1 is a fixed restoration and appears to the patient to replace only the anatomic crowns of the missing natural teeth. There must be minimal loss of hard and soft tissues to fabricate this prosthesis type.
  • 6.
    6 Because the widthor height of the crestal bone is frequently lacking after the loss of multiple adjacent natural teeth, bone augmentation is often required before implant placement to achieve natural-looking crowns in the cervical region
  • 7.
    Fixed Prostheses 7 FP 2 •The volume and topography of the available bone is more apical  1 to 2 mm below the cement-enamel junction Dictate a more apical implant placement compared with the FP-1 prosthesis. • These restorations are similar to teeth exhibiting periodontal bone loss and gingival recession FP-2 appears to restore the anatomic crown and a portion of the root of the natural tooth. The most esthetic area usually requires the incisal two-thirds of the two crowns to be ideal in width, as though the implant were not present. Only the cervical region is compromised.
  • 8.
    8 A) FP-2 prosthesisresulting from implant placement too far apically. Ideally the implant neck should be 2 to 3 mm below the free gingival margin of the adjacent teeth. (B) Because the FP-2 prosthesis is hypercontoured, it is often not esthetically pleasant. However, in this example, because of the bone and tissue loss of the adjacent teeth, the FP-2 prosthesis blends in very well.
  • 9.
    9 The esthetic zoneof a patient is established during smiling in the maxillary arch and during speech of sibilant sounds for the mandibular arch. If the high lip line during smiling or the low lip line during speech do not display the cervical regions, the longer teeth are usually of no esthetic consequence, provided that the patient has been informed before treatment.
  • 10.
    Fixed Prostheses 10 FP 3 TheFP-3 fixed restoration appears to replace the natural teeth crowns and has pink-colored restorative materials to replace a portion of the soft tissue. • The original available bone height has decreased by natural resorption or osteoplasty at the time of implant placement. • To place the incisal edge of the teeth in proper position for esthetics, function, lip support, and speech, the excessive vertical dimension to be restored requires teeth that are unnatural in length.
  • 11.
    Fixed restorations havethree categories: FP-1, FP-2, and FP-3. The restoration type is related to the contour of the restoration. (FP-1 is ideal, FP-2 is hypercontoured, and FP-3 replaces the gingiva drape with pink porcelain or acrylic.) The difference between FP-2 and FP-3 most often is related to the high maxillary lip position during smiling or the mandibular lip position during sibilant sounds of speech. FP-2 and FP-3 restorations often require more implant surface area support by increasing implant number or size. 11
  • 12.
    12 There are basicallythree approaches for an FP-3 prosthesis: (1) a hybrid restoration of denture teeth and acrylic and metal substructure (2) a porcelain-metal restoration, or (3) a monolithic zirconia prosthesis An FP-3 prosthesis requires a minimum of 10 mm  a monolithic zirconia ∼12 mm  porcelain fused to metal prosthesis >15 mm  hybrid prosthesis.
  • 13.
    13 Prosthetic replacement ofthe soft tissue drape (FP-3 prosthesis) is most often desirable when multiple adjacent teeth are missing
  • 14.
    Removable Prostheses 14 RP 4 RP-4is an RP that is completely supported by the implants, teeth, or both with no soft tissue support. More interocclusal space is required to allow for sufficient space for acrylic and denture teeth. • Usually five or six implants in the mandible and six to eight implants in the maxilla are required to fabricate completely implant-supported RP-4 prostheses in patients with favorable dental criteria.
  • 15.
    Removable restorations havetwo categories based on implant support. RP-4 prostheses have complete implant support in both the anterior and posterior regions. In the mandible, the superstructure bar often is cantilevered from implants positioned between the foramina. The maxillary RP-4 prosthesis usually has more implants and no cantilever. An RP-5 restoration has primarily anterior implant support and posterior soft tissue support in the maxilla or mandible. Often fewer 15
  • 16.
    Removable Prostheses 16 RP 5 RP-5is an RP with soft tissue (primary) and implant (secondary) support. • The primary advantage of an RP-5 restoration is the reduced cost. • The prosthesis is similar to traditional overdentures supported by natural teeth. • The final prosthesis is a full-arch conventional denture that receives the primary support from the soft tissue and secondarily from the implants.
  • 17.
  • 18.
    Mandibular overdenture treatment options 18 MandibularImplant Site Selection The greatest available height of bone is located in the anterior mandible, between the mental foramina. This region also usually presents a favorable bone density for implant support.
  • 19.
    OD-1 19 The implants usuallyremain independent of each other and are not connected with a superstructure. The most common type of attachment used in OD-1 is a Locator or an O-ring design, because there will be associated prosthesis movement.
  • 20.
    20 Positioning of theimplants in the B and D positions is a much better prosthetic option in OD-1 than positioning in the A and E Regions. Independent implants in the A and E positions allow a greater amplitude of rocking of the prosthesis compared with implants in the B and D regions
  • 21.
    OD-2 21 Three root formimplants are placed in the A, C, and E positions for the second overdenture treatment option (OD-2). • The additional implant provides a sixfold reduction in superstructure flexure and limits the consequences previously discussed. • In addition, screw loosening occurs less frequently because three coping screws retain the superstructure rather than two. • Implant reaction forces are reduced with a third implant compared with two implants. • The greater surface area of implant to bone allows better distribution of forces. • Three permucosal sites distribute stresses more efficiently and minimize crestal bone loss.
  • 22.
  • 23.
    23 • Ideally, theimplants in the A, C, and E positions should not form a straight line. The C implant is anterior to the more distal A and E implants and directly under the cingulum position of the denture teeth. The prosthesis benefits from direct occlusal load to the implant support in the anterior arch. • When more than two implants are in the anterior mandible, a tripod support system may be established. The greater the A-P spread of the A, C, and E implants, the greater the biomechanical advantage to reduce stress on the implant and the better the lateral stability of the implant bar and overdenture system. A-C-E positions B-C-D positions.
  • 24.
    OD-3 These implants usuallyprovide sufficient support to include a distal cantilever up to 10 mm on each side if the stress factors are low. The cantilevered superstructure is a feature of the four or more implant treatment option for three reasons: 24 In the third mandibular overdenture option (OD-3), four implants are placed in the A, B, D, and E positions. increase in implant support compared with OD-1 to OD-3. biomechanical position of the implants is improved in an ovoid or tapering arch form compared with OD-1 or OD-2. additional retention provided for the superstructure bar, which limits the risk for screw loosening and other related complications of cantilevered restorations
  • 25.
    25 • The overdentureattachments often are placed in the distal cantilevers. • The prosthesis is still RP-5, but with the least soft tissue support of all RP-5 designs. • The anterior attachment must allow vertical movement for the distal aspect of the prosthesis to rotate toward the tissue. • Clips, which permit rotation, are difficult to use on cantilevered superstructures. • The clip must be placed perpendicular to the path of rotation to allow movement, not along the cantilevered bar, where its only function then is retention.
  • 26.
    26 Martínez–Lage-Azorín JF, Segura-AndrésG, Faus-López J, Agustín-Panadero R. Rehabilitation with implant-supported overdentures in total edentulous patients: A review. Journal of clinical and experimental dentistry. 2013 Dec;5(5):e267.
  • 27.
  • 28.
    28 • The mandibulararch form may be square, tapering, or ovoid. • Square arch forms limit the A-P spread between implants and may not be able to counter the effect of a distal cantilever. • Therefore, rarely are distal cantilevers designed for square arch forms. In a mandibular ovoid to tapering arch form, the A-P spread between implants in the A, E and D, B positions is greater and therefore permits a longer distal cantilever. • This A-P spread is usually 8 to 10 mm in these arch forms and therefore often permits a cantilever up to 10 mm from the A and E positions.
  • 29.
    Implant Treatment Options for Fixed Restorations 29 Treatment option1 Treatment option 2 Treatment option 3 Treatment option 4 Treatment option 5
  • 30.
    Treatment option 1:The Branemark option ▪ Among the fixed implant–supported options, the prosthesis following the Brånemark protocol has been shown to have excellent longevity and clinical efficacy. ▪ This classical treatment plan involves four to six implants between the mental foramina, and bilateral distal cantilevers replace the mandibular posterior teeth, usually to the first molar region. ▪ The mandible does not flex or exhibit significant torsion between the mental foramina. Therefore anterior implants may be splinted together without risk or compromise. 30
  • 31.
  • 32.
    32 Gandhi N, GandhiS, Kurian N, Mehdiratta S. Rehabilitation of maxillofacialtrauma patient with dental implants: A case report. CHRISMED Journal of Health and Research. 2018 Jan 1;5(1):80.
  • 33.
    Treatment option 2:The Modified Branemark option ▪ A second mandibular fixed treatment plan involves a modified Brånemark technique. ▪ A slight variation of the Brånemark protocol is to place additional implants above the mental foramina because the mandible flexes distal to the foramen. 33 • The key implant positions in treatment option 2 are the second premolar positions, the canine positions, and the central incisor or midline position. • The two optional implant sites are the first premolar sites and are more often indicated when the patient force factors are greater than usual.
  • 34.
    An implant aboveone or both foramina presents several advantages: • the number of implants may be increased to as many as seven, which increases the implant surface area. • the A-P spread for implant placement is greatly increased. • the length of the cantilever is reduced dramatically 34 A minimum recommended implant height of 8 mm and a greater diameter or an enhanced surface area design are recommended to compensate for the reduced implant length.
  • 35.
    Treatment option 3:Anterior Implants and Unilateral Posterior Implant ▪ The third fixed treatment option is used when inadequate bone is present over the foramina and support is required more posteriorly. ▪ Hence five to seven implants usually are placed in this treatment option. 35 • The key implant positions  first molar (on one side only), the bilateral first premolar positions, and the bilateral canine sites. • The secondary implant positions  second premolar position on the same side as the molar implant and the central incisor (midline) position.
  • 36.
  • 37.
    Treatment Option 4:Anterior Implants and Bilateral Posterior Implants ▪ Treatment plan options for fixed full-arch prostheses also may include bilateral posterior implants as long as they are not splinted together in one prosthesis. ▪ Several options for fixed restorations are available when bilateral posterior implants are included; however, the prosthesis needs to be in more than one piece. ▪ In treatment option 4, implants are placed in all three segments of the mandible. 37
  • 38.
    38 • Three implants(first premolar, second premolar, and molar) • are used most often for the smaller segment to compensate for force factors and the alignment of the implants (because they are almost in a straight line). • At least six implants typically are used in this option, but seven are more often used, so the smaller segment has three implants.
  • 39.
    Treatment Option 5:All-on- Four Protocol ▪ This protocol, developed by Malo, uses four implants in the anterior part of a completely edentulous jaw to support a provisional, fixed, and immediately loaded prosthesis. ▪ Most commonly, the two most anterior implants are placed axially, whereas the two posterior implants are placed at an angle (i.e., usually at an approximately 45-degree angle) to increase A-P spread along with decreasing the cantilever length. 39 The tilted implants offer several advantages: • longer implants • reduced or eliminated cantilever length • avoidance of vital
  • 40.
  • 41.
  • 42.
    Maxillary overdenture option 42 1. RP-5 prosthesis:four to six implants in three to five arch positions 2. RP-4 prosthesis: six to 10 implants in all five arch positions • The difference is due primarily to the biomechanical disadvantages of the maxilla compared with the mandible. • The crown height space is critical for maxillary overdentures, and more often a lack of space may compromise tooth position compared with the mandibular situation. • The maxillary anterior crown height space requirement is greater than the posterior dimension.
  • 43.
    Option 1: Removable MaxillaryRP-4 Implant Overdenture ▪ The first option for a maxillary IOD is an RP-4 prosthesis with six to eight implants, which is rigid during function. ▪ This option is the preferred IOD design because it maintains greater bone volume and provides improved retention and confidence to the patient compared with a denture or RP-5 prosthesis. ▪ Because the palate is removed from this prosthesis (i.e., horseshoe-shaped), soft tissue support is lost, thereby requiring an increased number of implants. 43
  • 44.
  • 45.
    Option 2: Removable MaxillaryRP-5 Implant Overdenture A maxillary conventional complete denture usually has good retention, support, and stability.. The major advantages of an RP-5 maxillary IOD are the maintenance of the anterior bone. 45
  • 46.
    Fixed Maxillary Treatment Plans 46 Thenumber and position of implants are related to the arch form of the final dentition (prosthesis), not the existing edentulous arch form.
  • 47.
  • 48.
    Maxillary Fixed Prosthesis TreatmentOption 2 ▪ The three implant positions in the premaxilla will resist the additional forces created in this arch form, enhance prosthesis retention, and reduce the risk for abutment screw loosening. ▪ The seven implants should be splinted together to function as an arch. ▪ Implants should ideally be at least 3 mm apart after placement. 48
  • 49.
    Maxillary Fixed Prosthesis TreatmentOption 3 ▪ The anterior teeth create a significant facial cantilever from the canine position, and anterior biting forces often lead to a shear type of force. 49
  • 50.
    Maxillary Fixed Treatment Option4: All-on-Four ▪ In general the all-on-four technique includes placing four implants in the maxillary arch, with two axially placed implants in the anterior and two posterior implants positioned angulated at 30 to 45 degrees. ▪ Because of the pneumatization of the maxillary sinuses and the requirement of bone grafting in many cases, the all-on-four technique allows for the avoidance of the sinus anatomy by tilting the implants, which ultimately increases the A-P spread. 50
  • 51.
    Conclusion Implant dentistry isunique because an additional foundation base may be created for a desired prosthodontic result. Therefore both the psychological and anatomic needs and desires of the patient should be evaluated and determined. The prosthesis that satisfies these goals and eliminates the existing problems may then be designed. The prosthesis may be fixed or removable for the completely edentulous patient, whereas fixed restorations are planned for most partially edentulous patients. Therefore patients need to be educated on the advantages and disadvantages of the various types of prostheses. 51
  • 52.
    Reference s 1. Misch CE.Dental Implant Prosthetics-E-Book. Elsevier Health Sciences; 2004 Sep 20. 2. Misch’s Contemporary implant dentistry; 4th ed-E-Book. Elsevier Health Sciences; 2004 Sep 20. 3. Oda K, Kanazawa M, Takeshita S, Minakuchi S. Influence of implant number on the movement of mandibular implant overdentures. The Journal of prosthetic dentistry. 2017 Mar 1;117(3):380-5. 4. Yao CJ, Cao C, Bornstein MM, Mattheos N. Patient‐reported outcome measures of edentulous patients restored with implant‐supported removable and fixed prostheses: A systematic review. Clinical oral implants research. 2018 Oct;29:241- 54. 5. Guenin C, Martín-Cabezas R. How many implants are necessary to stabilise an implant- supported maxillary overdenture?. Evidence-Based Dentistry. 2020 Mar;21(1):28-9. 6. Gandhi N, Gandhi S, Kurian N, Mehdiratta S. Rehabilitation of maxillofacialtrauma patient with dental implants: A case report. CHRISMED Journal of Health and Research. 2018 Jan 1;5(1):80. 7. Oh SH, Kim Y, Park JY, Jung YJ, Kim SK, Park SY. Comparison of fixed implant‐supported prostheses, removable implant‐supported prostheses, and complete dentures: patient satisfaction and oral health‐related quality of life. 8. Clinical oral implants research. 2016 Feb;27(2):e31-7. 9. Jemt T, Lekholm U. Implant treatment in edentulous maxillae: a 5-year follow-up report on