Carbohydrates
Mr:Mahmoud Ibrahim Osman
Introduction
– Carbohydrates (hydrated carbon) are
important organic compounds that include
sugars, starch, cellulose, and polymers that
are mostly linked to protein.
– Carbohydrates are defined chemically as ketone or
aldehyde derivatives of polyhydroxy alcohols, and
they may be classified as monosaccharides
(mono:1 saccharide: sugar unit) oligosaccharides
(oligo: few, eg, 2-10), or polysaccharides (poly:
many).
– Glucose is the only monosaccharide found in
the body in any demonstrable quantity;
however, because glucose is extremely
soluble in aqueous solution and is of small
molecular size, it cannot be demonstrated in
tissue sections.
– For the same reasons, oligosaccharides also
cannot be demonstrated in tissue sections.
Glycogen, a polymer of glucose, is the form in
which carbohydrates are stored in humans, with the
liver and skeletal muscles serving as the primary
storage sites.(Home work: other sited which
glycogen is found)
– Glycogen is relatively insoluble in aqueous
solutions and thus can be demonstrated in
tissue sections. The remainder of the
carbohydrates with which we are concerned
is conjugated to either protein or lipid.
Culling system for polysaccharides
classification
– Culling used a system that placed the naturally
occurring polysaccharides in 4 groups based on
histochemical differences.
– GROUP 1: NEUTRAL POLYSACCHARIDES
(NONIONIC HOMOGLYCANS):
– 1. Glucose-containing: glycogen, starch, cellulose
– 2. N-acetyl-glucosamine-containing: chitin
– This group gives a very positive PAS reaction and a
negative reaction with the other frequently used
carbohydrate stains (alcian blue, colloidal iron,
mucicarmine)
– GROUP II: ACID MUCOPOLYSACCHARIDES
(ANIONIC HETEROGLYCANS):
– 1. Carboxylated (COOH): hyaluronic acid, found in
connective tissues and umbilical cord
– 2. Sulfated(OS03 H) and carboxylated (COOH)
– Chondroitin sulfate A (chondroitin-4-sulfate)
– Chondroitin sulfate C (chondroitin-6-sulfate), found in
cartilage, chondrosarcomas, cornea, and blood vessels
– Chondroitin sulfate B (dermatan sulfate), found
principally in skin, also in connective tissue, aorta, and
lung
– Heparin, found in mast cells and the intima of arteries
– 3. Sulfated only (COOH-free): human aorta and
bovine cornea.
– All polysaccharides in this group are acidic (anionic)
and are thought to be attached to protein, even
though the word protein does not appear in the
name.
– The acid mucopolysaccharides are the so-called
connective tissue mucins and are PAS negative, but
stain with alcian blue, colloidal iron, and
mucicarmine.
– GROUP III: GLYCOPROTEINS (MUCINS, MUCOID,
MUCOPROTEIN, MUCOSUBSTANCES):
– 1. Neutral: mucin in stomach, Paneth cell granules
– 2. Carboxylated (COOH): sialoglycoproteins that contain sialic
acid but no sulfate
– Sialomucins found in submaxillary gland mucin, small
intestine mucins, fetal mucins, the upper part of colonic
crypts, and human sublingual gland
• Serum glycoproteins
• Blood group substances
These are mostly epithelial mucins, but some may
occur in connective tissue. These glycoproteins are
potentially but not necessarily, PAS positive.
– GROUP IV: GLYCOLIPIDS:
– 1. Cerebrosides: fatty residue bound to a carbohydrate
structure .
– 2. Phosphatides: PAS-positive, noncarbohydrate-
containing lipids, including lecithin, cephalin, and
sphingomyelin. This compound is included because of
PAS positivity.
– The term acid mucosubstances's sometimes used
to include both the acid mucopolysaccharide and
the .acidic glycoproteins and although both
groups react similarly with many of the
histochemical techniques (eg, alcian blue), they
may react differently with others (eg, PAS)
Special Staining Techniques
– PAS REACTION (McManus 1948, CARSON 1983]
– Purpose
– Demonstration of polysaccharides( Glycogen)
and neutral mucosubstances.
– Principle:
– The reaction is based on the oxidation of certain
tissue element to aldehyde~ by periodic acid. The
most common reactive group is the l, 2 glycol
group, but other groups are also selectively
oxidized by periodate
– Fixative
– 10% neutral-buffered formalin or Bouin solution. Blood
smear should be fixed in methyl alcohol for 10 to 15
minutes.
– Quality control:
– Kidney is most sensitive control section. If the technique
used to demonstrate glycogen used section of liver.
– Reagents:
– Periodic acid 0.5%
– Schiff reagent
– Mayer's Hematoxylin
– TEST FOR QUALITY OF SCHIFF REAGENT:
– Place 10 ml of formalin in beaker and add few drops
from Schiff reagent If the solution rapidly turns reddish
purple, it is good: If t he reaction is delayed and the
– resultant colors a deep blue-purple the solution is
breaking down
– Result:
– Glycogen_, neutral mucosubstances;, certain
epithelial sulfoimucins and sialomucins, colloid
material of the thyroid: and pars intermedia of
the pituitary
– basement membrane, (PAS positive) bright rose
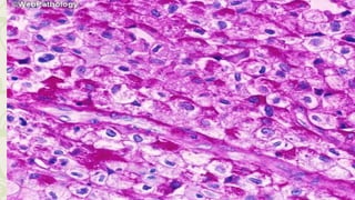
Glycogen stain by PAS
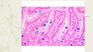
Neutral Mucin stain by PAS
Technical Notes
– Reid and Culling [1980] state that, contrary to the
generally held assumption, Schiff staining after
periodate oxidation does not necessarily indicate the
presence of carbohydrate residues, , and conversely, the
absence of staining does not necessarily mean that
carbohydrate residues are absent.
– They concluded that the intensity of staining in the
routine PAS reaction is the result of a combination of 4
factors.
– a. number of the available 1, 2 glycol groups
– b. reactivity of Schiff reagent with the reaction product
– c. structure of the polymer oxidizes
– d. exact procedural reaction condition!
– For color development, washing in tap water is very
important after the staining by Schiff reagent.
– Glutaraldehyde is not recommended as a fixative if PAS
reaction are to be performed. Glutaraldehyde is a dialdehyde.
– Chromate-containing fixative may over oxidize reactive
groups during fixation, and the resulting reaction with Schiff
reagent maybe weak
– Oxidizing agents other than periodic acid have also
been used before the Schiff reagent (eg, chromic and
potassium permanganate), but these other reagents are
stronger oxidizers than periodic acid and will oxidize
many groups beyond the reactive aldehyde stage.
PAS REACTION WITH DIASTASE
DIGESTION [LUNA 1968]
– Purpose
– Demonstration of glycogen in tissue sections
– • Principle
– This is a very sensitive histochemical method for glycogen.
Diastase and alpha-amylase act on glycogen to depolymerize
it into smaller sugar units (maltose and glucose) that are
washed out of the section.
– The Schiff reaction has been described in the PAS procedure.
– Fixative
– 10% neutral-buffered formalin, formalin alcohol, or
absolute alcohol.
– Quality Control
– 2 control sections of liver containing glycogen must be
used, 1 labeled "with" and the other labeled "without."
Cervix (including both endocervix and ectocervix) is
also an excellent control.
– Reagents:
– Periodic acid 0.5%
– Schiff reagent
– Mayer's Hematoxylin
– Malt Diastase Solution
Technical Notes
– Malt diastase, containing both alpha and Beta amylase, is
commonly used for digestion but tends to loosen the
sections and does not always completely digest the
glycogen. For this reason ,as well as the decreased
digestion time, many histotechnologists prefer to use
human saliva, which contains only alpha-amylase. If
preferred, digest with saliva for 20 minutes at room
temperature.
– Glycogen fixed in picric acid-containing fixatives may
be more resistant to diastase digestion than when
digestion follows other fixatives
BEST CARMINE [SHEEHAN 1980;
LUNA 1992
– Purpose
– Demonstration of glycogen
– Principle
– The Best carmine technique for glycogen is not as
specific as the PAS method with and without diastase
digestion and it does not demonstrate as much glycogen.
The stain binding with glycogen by hydrogen bond.
– Fixative
– Absolute alcohol is preferred; Carnoy and Bouin solution may also
be used.
– Quality Control
– A section of liver should be used.
– Reagents
– Carmine solution
– Differentiating Solution( Ethanol+Methanol+DW)
Technical Notes
– Vacca [1985] states that because the PAS reaction is
more pleasant to handle than the ammoniacal solutions
of the Best carmine method, is more specific, and is
chemically well understood, it is the method of choice
for glycogen.
– Autopsy liver sections are frequently depleted of
glycogen. If possible, use a surgically removed liver for
obtaining control sections.
Hexamine sliver technique
– Give similar result to PAS reaction.
– Principle:
– Following chromic acid oxidation, aldehydes are formed
from glycogen, these will reduce a hexamine silver nitrate
to black compounds.
Enzyme control
– Use to specified the techniques applied in glycogen
demonstration:
– Alpha amylase: extracted from hog pancreas and Bacillus
subtilis and Aspergillus oryzea.both branched or straight
chain glycogen are digested, these releases glucose and
maltose.
– Beta amylase: obtained from sweet potato digest straight
chain and release maltose alone.
– Diastase: commonly used as it is; easy, stable, cheep,
extracted from malt and contain both alpha and beta
amylase
– Saliva: highly effective.
– Pectinase: effective with abnormal glycogen. Found in
certain glycogenesis, which is not digested easy by
amylase
Medical importance
– Some glycogen storage diseases :
– A-von Gierke disease (deficiency of Glucose-6-
phosphatase)
– B-Pompe disease(deficiency of Acid maltase)
Also demonstration of glycogen can help in
diagnosis of carcinomas of
Bladder,Kidney,Liver,ovary and adenocarcinoma
of Pancrease,Lung,Seminoma Mesothelioma
MAYER MUCICARMINE (MALLORY
1942; PAYNE 1981]
– Purpose
– Staining of "epithelial" mucin in tissue sections .
– Principle
– In the past, this was thought to be primarily an empirical
stain; however, the specificity of the mucicarmine stain
was compared with 8 other techniques for mucin by
– Lauren and Sorvari [1969], and the staining pattern was
comparable to that of alcian blue.
– It stains carboxylated and sulfated mucins, but not
neutral mucins. Aluminum is believed to form a chelation
complex with the carmine; the resulting compound has a
net positive charge and attaches to the acid groups of
mucin.
– Fixative
– 10% neutral-buffered formalin
– Quality Control
– Section of un autolyzed colon, small intestine, or
appendix
– Reagents
– Mucicarmine stock Solution
– Mucicarmine working Solution
– Weigert Iron Hematoxylin
– Metanil Yellow, 0.25% Solution
Technical Notes
– If Gill hematoxylin is used as the nuclear stain, the mucin
may have a bluish cast.
– Mucin is a term used to describe the intracellular
secretions of various cells, and although these secretions
appear to be microscopically similar, they differ slightly
in composition.
– Culling lists the following properties of mucin
– staining with basic dyes
– Metachromatic
– precipitated by acetic acid (except gastric mucin)
– soluble in alkaline solutions
ALCIAN BLUE, pH 2.5
– Purpose
– Demonstration of acid mucopolysaccharides (popular
method for acid mucin why home work)
– Principle
– Alcian blue is a copper phthalocyanin basic dye that is
water soluble and colored blue because of its copper
content. When used in a 3% acetic acid solution (pH 2.5),
– alcian blue stains both sulfated and carboxylated acid
mucopolysaccharides and sulfated and carboxylated
sialomucins (glycoproteins). Alcian blue is believed to
form salt linkages with the acid groups of acid
mucopolysaccharides.
– Fixative
– 10% neutral-buffered formalin or Bouin solution
– Quality Control
– A section of unautolyzed small intestine, appendix, or
colon should be used as a positive control.
– Reagents
– Alcian blue (ph 2.5)
– Nuclear-Fast Red Solution
– Results
– Weakly acidic sulfated mucosubstances Dark blue
– Hyaluronic acid Dark blue
– Sialomucins Dark blue
– Background Pink to red
– Nuclei Red
Technical Notes
– Complete hydration of the sections during the
deparaffinization and hydration steps is very important
for alcian blue staining, because some alcianophilic
structures hydrate slowly; if not completely hydrated, the
result will be weak staining.
– Prolonged staining in the alcian blue solution may cause
nuclear staining
– If the slides are not washed well with water after the
nuclear fast red, clouding will result when the slides are
placed in the alcohols
ALCIAN BLUE, pH 1.0
– Purpose
– Demonstration of sulfated mucosubstances
– Principle
– When used in a O.lN hydrochloric acid solution (pH 1.0),
alcian blue stains only sulfated acid mucopolysaccharides and
sulfated sialomucins (glycoproteins). Acid
mucopolysaccharides and sialo mucins that are carboxylated
only will not be stained
– Quality Control
– A section of unautolyzed small intestine, appendix, or
colon should be used as a positive control
– Reagents
– I% Alcian Blue Solution, pH 1.0
– Fast red neuclar stain
– Results
– Sulfated mucosubstances Pale blue
– Background Pink to red
– Nuclei Red
ALCIAN BLUE WITH
HYALURONIDASE
– Purpose
– Differentiation of epithelial and connective tissue mucin
– Principle
– The alcian blue reaction Staining will disappear or be dramatically
reduced when tissue sections containing hyaluronic acid,
chondroitin sulfate A, or chondroitin sulfate C ("connective tissue"
mucin) are digested with testicular hyaluronidase. Glycoproteins
("epithelial" mucins) will not be affected.
– Fixative
– 10% neutral-buffered formalin is preferred
– Reagents
– Hyaluronidase Digestion Solution
– Buffer Solution, pH 6.0
– Alcian Blue Staining Solution
– Nuclear-Fast Red Solution
– Results
– Without digestion , acid mucopolysaccharides and sialomucins
Deep blue
– With digestion mucosubstances containing hyaluronic acid and
chondroitin sulfates A and C: Marked loss of staining
ALCIAN BLUE-PAS
– Purpose
– Differentiation between neutral and acidic mucosubstances; this
procedure is used in many laboratories today for the detection of
intestinal metaplasia.
– Principle
– Acidic mucosubstances are stained with the alcian blue technique
and neutral mucosubstances are stained by the PAS reaction.
– Quality Control
– Use a kidney or a mucin control, depending on the diagnostic tissue
to be stained. A section of cervix containing both endo cervix and
ectocervix also provides a good control.
– Reagents
– Alcian blue ph. 2.5
– Periodic acid
– Schiff reagent
– Results
– Exclusively acid mucosubstances
Blue
– Neutral polysaccharides
Magenta
– Certain substances will be colored by both PAS and alcian
blue Purple
Alcian blue involving critical
electrolyte concentration(CEC)
CEC is point at which the amount of
electrolyte ,such as magnesium chloride, in
alcian blue solution is sufficient to prevent
staining.
Separate different types of acid mucin, each
type has CEC as following:
0.06M magnesium chloride-all acid mucin
stain
0.2-0.3 M --- only sulfate mucin stain blue
0,5-0.6 M ---only strongly sulfated stain blue
0.7-0.8 M ---heparin/heparan stain blue
MULLER-MOWRY COLLOIDAL
IRON
– Purpose
– Demonstration of carboxylated and sulfated mucopolysaccharides
and glycoproteins
– Principle
– Colloidal ferric ions are, at a low pH, absorbed principally by
carboxylated and sulfated mucosubstances
– Reagents
– Ferric Chloride, 29% Solution
– Working Colloidal Iron Solution
– Potassium Ferrocyanide Solution, 2% Solution
– Ferrocyanide-Hydrochloric Acid Solution
– Nuclear-Fast Red Solution
– Results
– Acid mucopolysaccharides and sialomucins Deep blue
– Nuclei Pink-red
– Cytoplasm Pink
Technical Notes
– Strongly acid mucins that do not stain with alcian blue also do not
stain with colloidal iron
– The PAS stain can be used as a counterstain for this procedure also.
PAS-positive material will be magenta, mixtures of neutral and
acidic mucosubstances will be purple, and acidic mucosubstances
will be blue.
– This method usually gives a more intense color than
alcian blue, but colloidal iron is not considered specific
for acid mucopolysaccharides
– This method is excellent for the demonstration of
Cryptococcus neoformans
-.
Some background staining may be seen in some section
because of the presence of connective tissue mucin;
however, if strong background staining noted, the stain
should be repeated
Blocking tech and Enzyme controls
Improved specificity, by enzyme action or by
blocking staining (chemical action )
Blocking
Methylation:
using hydrochloric acid in methyl alcohol for blocking the
staining reaction of carboxylated mucin by
esterification of carboxyl group and sulphate group by
desulphation.
Methylation and Saponification:
After Methylation ,saponification with potassium
hydroxide in ethyl alcohol , will restore the staining of
carboxyl groups but sulphate groups still blocked.
Diagnostic applications:
– 1/ To diagnose poorly differentiated adenocarcinoma.
– 2/ Diagnostic significant in certain situation :
– * Hyaluronic acid –follicular mucinosis/ -myxoid
liposarcoma/-mesothelioma
– Neutral mucin- carcinoma of stomach
Other types of carbohydrates
Chitin:
This is hyaline substance wide distributed in
non human tissue for example exoskeleton of
insects.
In human only seen lining the wall of hydatid cyst
of lung or liver due to infestation of larvae of dog
tapeworm Echinococcus granulosus.
PAS positive Diastase resistance
Starch
Can be found in tissue as contaminant from
surgical gloves powder.
PAS positive with iodine pale blue-Diastase
labile
Cellulose
Seen in undigested food specially in the
section taken from GIT.
PAS positive brown color with iodine
Carbohydrates
Carbohydrates

Carbohydrates

  • 1.
  • 2.
    Introduction – Carbohydrates (hydratedcarbon) are important organic compounds that include sugars, starch, cellulose, and polymers that are mostly linked to protein.
  • 3.
    – Carbohydrates aredefined chemically as ketone or aldehyde derivatives of polyhydroxy alcohols, and they may be classified as monosaccharides (mono:1 saccharide: sugar unit) oligosaccharides (oligo: few, eg, 2-10), or polysaccharides (poly: many).
  • 4.
    – Glucose isthe only monosaccharide found in the body in any demonstrable quantity; however, because glucose is extremely soluble in aqueous solution and is of small molecular size, it cannot be demonstrated in tissue sections.
  • 5.
    – For thesame reasons, oligosaccharides also cannot be demonstrated in tissue sections. Glycogen, a polymer of glucose, is the form in which carbohydrates are stored in humans, with the liver and skeletal muscles serving as the primary storage sites.(Home work: other sited which glycogen is found)
  • 6.
    – Glycogen isrelatively insoluble in aqueous solutions and thus can be demonstrated in tissue sections. The remainder of the carbohydrates with which we are concerned is conjugated to either protein or lipid.
  • 7.
    Culling system forpolysaccharides classification – Culling used a system that placed the naturally occurring polysaccharides in 4 groups based on histochemical differences. – GROUP 1: NEUTRAL POLYSACCHARIDES (NONIONIC HOMOGLYCANS): – 1. Glucose-containing: glycogen, starch, cellulose
  • 8.
    – 2. N-acetyl-glucosamine-containing:chitin – This group gives a very positive PAS reaction and a negative reaction with the other frequently used carbohydrate stains (alcian blue, colloidal iron, mucicarmine)
  • 9.
    – GROUP II:ACID MUCOPOLYSACCHARIDES (ANIONIC HETEROGLYCANS): – 1. Carboxylated (COOH): hyaluronic acid, found in connective tissues and umbilical cord – 2. Sulfated(OS03 H) and carboxylated (COOH) – Chondroitin sulfate A (chondroitin-4-sulfate)
  • 10.
    – Chondroitin sulfateC (chondroitin-6-sulfate), found in cartilage, chondrosarcomas, cornea, and blood vessels – Chondroitin sulfate B (dermatan sulfate), found principally in skin, also in connective tissue, aorta, and lung – Heparin, found in mast cells and the intima of arteries
  • 11.
    – 3. Sulfatedonly (COOH-free): human aorta and bovine cornea. – All polysaccharides in this group are acidic (anionic) and are thought to be attached to protein, even though the word protein does not appear in the name.
  • 12.
    – The acidmucopolysaccharides are the so-called connective tissue mucins and are PAS negative, but stain with alcian blue, colloidal iron, and mucicarmine.
  • 13.
    – GROUP III:GLYCOPROTEINS (MUCINS, MUCOID, MUCOPROTEIN, MUCOSUBSTANCES): – 1. Neutral: mucin in stomach, Paneth cell granules – 2. Carboxylated (COOH): sialoglycoproteins that contain sialic acid but no sulfate – Sialomucins found in submaxillary gland mucin, small intestine mucins, fetal mucins, the upper part of colonic crypts, and human sublingual gland
  • 14.
    • Serum glycoproteins •Blood group substances These are mostly epithelial mucins, but some may occur in connective tissue. These glycoproteins are potentially but not necessarily, PAS positive.
  • 15.
    – GROUP IV:GLYCOLIPIDS: – 1. Cerebrosides: fatty residue bound to a carbohydrate structure . – 2. Phosphatides: PAS-positive, noncarbohydrate- containing lipids, including lecithin, cephalin, and sphingomyelin. This compound is included because of PAS positivity.
  • 16.
    – The termacid mucosubstances's sometimes used to include both the acid mucopolysaccharide and the .acidic glycoproteins and although both groups react similarly with many of the histochemical techniques (eg, alcian blue), they may react differently with others (eg, PAS)
  • 17.
    Special Staining Techniques –PAS REACTION (McManus 1948, CARSON 1983] – Purpose – Demonstration of polysaccharides( Glycogen) and neutral mucosubstances.
  • 18.
    – Principle: – Thereaction is based on the oxidation of certain tissue element to aldehyde~ by periodic acid. The most common reactive group is the l, 2 glycol group, but other groups are also selectively oxidized by periodate
  • 19.
    – Fixative – 10%neutral-buffered formalin or Bouin solution. Blood smear should be fixed in methyl alcohol for 10 to 15 minutes. – Quality control: – Kidney is most sensitive control section. If the technique used to demonstrate glycogen used section of liver.
  • 20.
    – Reagents: – Periodicacid 0.5% – Schiff reagent – Mayer's Hematoxylin
  • 21.
    – TEST FORQUALITY OF SCHIFF REAGENT: – Place 10 ml of formalin in beaker and add few drops from Schiff reagent If the solution rapidly turns reddish purple, it is good: If t he reaction is delayed and the – resultant colors a deep blue-purple the solution is breaking down
  • 22.
    – Result: – Glycogen_,neutral mucosubstances;, certain epithelial sulfoimucins and sialomucins, colloid material of the thyroid: and pars intermedia of the pituitary – basement membrane, (PAS positive) bright rose
  • 23.
  • 24.
  • 25.
    Technical Notes – Reidand Culling [1980] state that, contrary to the generally held assumption, Schiff staining after periodate oxidation does not necessarily indicate the presence of carbohydrate residues, , and conversely, the absence of staining does not necessarily mean that carbohydrate residues are absent.
  • 26.
    – They concludedthat the intensity of staining in the routine PAS reaction is the result of a combination of 4 factors. – a. number of the available 1, 2 glycol groups – b. reactivity of Schiff reagent with the reaction product – c. structure of the polymer oxidizes – d. exact procedural reaction condition!
  • 27.
    – For colordevelopment, washing in tap water is very important after the staining by Schiff reagent. – Glutaraldehyde is not recommended as a fixative if PAS reaction are to be performed. Glutaraldehyde is a dialdehyde. – Chromate-containing fixative may over oxidize reactive groups during fixation, and the resulting reaction with Schiff reagent maybe weak
  • 28.
    – Oxidizing agentsother than periodic acid have also been used before the Schiff reagent (eg, chromic and potassium permanganate), but these other reagents are stronger oxidizers than periodic acid and will oxidize many groups beyond the reactive aldehyde stage.
  • 29.
    PAS REACTION WITHDIASTASE DIGESTION [LUNA 1968] – Purpose – Demonstration of glycogen in tissue sections – • Principle – This is a very sensitive histochemical method for glycogen. Diastase and alpha-amylase act on glycogen to depolymerize it into smaller sugar units (maltose and glucose) that are washed out of the section. – The Schiff reaction has been described in the PAS procedure.
  • 30.
    – Fixative – 10%neutral-buffered formalin, formalin alcohol, or absolute alcohol. – Quality Control – 2 control sections of liver containing glycogen must be used, 1 labeled "with" and the other labeled "without." Cervix (including both endocervix and ectocervix) is also an excellent control.
  • 31.
    – Reagents: – Periodicacid 0.5% – Schiff reagent – Mayer's Hematoxylin – Malt Diastase Solution
  • 33.
    Technical Notes – Maltdiastase, containing both alpha and Beta amylase, is commonly used for digestion but tends to loosen the sections and does not always completely digest the glycogen. For this reason ,as well as the decreased digestion time, many histotechnologists prefer to use human saliva, which contains only alpha-amylase. If preferred, digest with saliva for 20 minutes at room temperature.
  • 34.
    – Glycogen fixedin picric acid-containing fixatives may be more resistant to diastase digestion than when digestion follows other fixatives
  • 35.
    BEST CARMINE [SHEEHAN1980; LUNA 1992 – Purpose – Demonstration of glycogen – Principle – The Best carmine technique for glycogen is not as specific as the PAS method with and without diastase digestion and it does not demonstrate as much glycogen. The stain binding with glycogen by hydrogen bond.
  • 36.
    – Fixative – Absolutealcohol is preferred; Carnoy and Bouin solution may also be used. – Quality Control – A section of liver should be used. – Reagents – Carmine solution – Differentiating Solution( Ethanol+Methanol+DW)
  • 38.
    Technical Notes – Vacca[1985] states that because the PAS reaction is more pleasant to handle than the ammoniacal solutions of the Best carmine method, is more specific, and is chemically well understood, it is the method of choice for glycogen. – Autopsy liver sections are frequently depleted of glycogen. If possible, use a surgically removed liver for obtaining control sections.
  • 39.
    Hexamine sliver technique –Give similar result to PAS reaction. – Principle: – Following chromic acid oxidation, aldehydes are formed from glycogen, these will reduce a hexamine silver nitrate to black compounds.
  • 40.
    Enzyme control – Useto specified the techniques applied in glycogen demonstration: – Alpha amylase: extracted from hog pancreas and Bacillus subtilis and Aspergillus oryzea.both branched or straight chain glycogen are digested, these releases glucose and maltose.
  • 41.
    – Beta amylase:obtained from sweet potato digest straight chain and release maltose alone. – Diastase: commonly used as it is; easy, stable, cheep, extracted from malt and contain both alpha and beta amylase
  • 42.
    – Saliva: highlyeffective. – Pectinase: effective with abnormal glycogen. Found in certain glycogenesis, which is not digested easy by amylase
  • 43.
    Medical importance – Someglycogen storage diseases : – A-von Gierke disease (deficiency of Glucose-6- phosphatase) – B-Pompe disease(deficiency of Acid maltase)
  • 44.
    Also demonstration ofglycogen can help in diagnosis of carcinomas of Bladder,Kidney,Liver,ovary and adenocarcinoma of Pancrease,Lung,Seminoma Mesothelioma
  • 45.
    MAYER MUCICARMINE (MALLORY 1942;PAYNE 1981] – Purpose – Staining of "epithelial" mucin in tissue sections . – Principle – In the past, this was thought to be primarily an empirical stain; however, the specificity of the mucicarmine stain was compared with 8 other techniques for mucin by – Lauren and Sorvari [1969], and the staining pattern was comparable to that of alcian blue.
  • 46.
    – It stainscarboxylated and sulfated mucins, but not neutral mucins. Aluminum is believed to form a chelation complex with the carmine; the resulting compound has a net positive charge and attaches to the acid groups of mucin. – Fixative – 10% neutral-buffered formalin
  • 47.
    – Quality Control –Section of un autolyzed colon, small intestine, or appendix – Reagents – Mucicarmine stock Solution – Mucicarmine working Solution – Weigert Iron Hematoxylin – Metanil Yellow, 0.25% Solution
  • 49.
    Technical Notes – IfGill hematoxylin is used as the nuclear stain, the mucin may have a bluish cast. – Mucin is a term used to describe the intracellular secretions of various cells, and although these secretions appear to be microscopically similar, they differ slightly in composition. – Culling lists the following properties of mucin
  • 50.
    – staining withbasic dyes – Metachromatic – precipitated by acetic acid (except gastric mucin) – soluble in alkaline solutions
  • 51.
    ALCIAN BLUE, pH2.5 – Purpose – Demonstration of acid mucopolysaccharides (popular method for acid mucin why home work) – Principle – Alcian blue is a copper phthalocyanin basic dye that is water soluble and colored blue because of its copper content. When used in a 3% acetic acid solution (pH 2.5),
  • 52.
    – alcian bluestains both sulfated and carboxylated acid mucopolysaccharides and sulfated and carboxylated sialomucins (glycoproteins). Alcian blue is believed to form salt linkages with the acid groups of acid mucopolysaccharides. – Fixative – 10% neutral-buffered formalin or Bouin solution
  • 53.
    – Quality Control –A section of unautolyzed small intestine, appendix, or colon should be used as a positive control. – Reagents – Alcian blue (ph 2.5) – Nuclear-Fast Red Solution
  • 54.
    – Results – Weaklyacidic sulfated mucosubstances Dark blue – Hyaluronic acid Dark blue – Sialomucins Dark blue – Background Pink to red – Nuclei Red
  • 56.
    Technical Notes – Completehydration of the sections during the deparaffinization and hydration steps is very important for alcian blue staining, because some alcianophilic structures hydrate slowly; if not completely hydrated, the result will be weak staining. – Prolonged staining in the alcian blue solution may cause nuclear staining
  • 57.
    – If theslides are not washed well with water after the nuclear fast red, clouding will result when the slides are placed in the alcohols
  • 58.
    ALCIAN BLUE, pH1.0 – Purpose – Demonstration of sulfated mucosubstances – Principle – When used in a O.lN hydrochloric acid solution (pH 1.0), alcian blue stains only sulfated acid mucopolysaccharides and sulfated sialomucins (glycoproteins). Acid mucopolysaccharides and sialo mucins that are carboxylated only will not be stained
  • 59.
    – Quality Control –A section of unautolyzed small intestine, appendix, or colon should be used as a positive control – Reagents – I% Alcian Blue Solution, pH 1.0 – Fast red neuclar stain
  • 60.
    – Results – Sulfatedmucosubstances Pale blue – Background Pink to red – Nuclei Red
  • 62.
    ALCIAN BLUE WITH HYALURONIDASE –Purpose – Differentiation of epithelial and connective tissue mucin – Principle – The alcian blue reaction Staining will disappear or be dramatically reduced when tissue sections containing hyaluronic acid, chondroitin sulfate A, or chondroitin sulfate C ("connective tissue" mucin) are digested with testicular hyaluronidase. Glycoproteins ("epithelial" mucins) will not be affected.
  • 63.
    – Fixative – 10%neutral-buffered formalin is preferred – Reagents – Hyaluronidase Digestion Solution – Buffer Solution, pH 6.0 – Alcian Blue Staining Solution – Nuclear-Fast Red Solution
  • 64.
    – Results – Withoutdigestion , acid mucopolysaccharides and sialomucins Deep blue – With digestion mucosubstances containing hyaluronic acid and chondroitin sulfates A and C: Marked loss of staining
  • 65.
    ALCIAN BLUE-PAS – Purpose –Differentiation between neutral and acidic mucosubstances; this procedure is used in many laboratories today for the detection of intestinal metaplasia. – Principle – Acidic mucosubstances are stained with the alcian blue technique and neutral mucosubstances are stained by the PAS reaction.
  • 66.
    – Quality Control –Use a kidney or a mucin control, depending on the diagnostic tissue to be stained. A section of cervix containing both endo cervix and ectocervix also provides a good control. – Reagents – Alcian blue ph. 2.5 – Periodic acid – Schiff reagent
  • 67.
    – Results – Exclusivelyacid mucosubstances Blue – Neutral polysaccharides Magenta – Certain substances will be colored by both PAS and alcian blue Purple
  • 69.
    Alcian blue involvingcritical electrolyte concentration(CEC) CEC is point at which the amount of electrolyte ,such as magnesium chloride, in alcian blue solution is sufficient to prevent staining.
  • 70.
    Separate different typesof acid mucin, each type has CEC as following: 0.06M magnesium chloride-all acid mucin stain 0.2-0.3 M --- only sulfate mucin stain blue
  • 71.
    0,5-0.6 M ---onlystrongly sulfated stain blue 0.7-0.8 M ---heparin/heparan stain blue
  • 72.
    MULLER-MOWRY COLLOIDAL IRON – Purpose –Demonstration of carboxylated and sulfated mucopolysaccharides and glycoproteins – Principle – Colloidal ferric ions are, at a low pH, absorbed principally by carboxylated and sulfated mucosubstances – Reagents – Ferric Chloride, 29% Solution
  • 73.
    – Working ColloidalIron Solution – Potassium Ferrocyanide Solution, 2% Solution – Ferrocyanide-Hydrochloric Acid Solution – Nuclear-Fast Red Solution
  • 74.
    – Results – Acidmucopolysaccharides and sialomucins Deep blue – Nuclei Pink-red – Cytoplasm Pink
  • 76.
    Technical Notes – Stronglyacid mucins that do not stain with alcian blue also do not stain with colloidal iron – The PAS stain can be used as a counterstain for this procedure also. PAS-positive material will be magenta, mixtures of neutral and acidic mucosubstances will be purple, and acidic mucosubstances will be blue.
  • 77.
    – This methodusually gives a more intense color than alcian blue, but colloidal iron is not considered specific for acid mucopolysaccharides – This method is excellent for the demonstration of Cryptococcus neoformans -.
  • 78.
    Some background stainingmay be seen in some section because of the presence of connective tissue mucin; however, if strong background staining noted, the stain should be repeated
  • 79.
    Blocking tech andEnzyme controls Improved specificity, by enzyme action or by blocking staining (chemical action )
  • 80.
    Blocking Methylation: using hydrochloric acidin methyl alcohol for blocking the staining reaction of carboxylated mucin by esterification of carboxyl group and sulphate group by desulphation.
  • 81.
    Methylation and Saponification: AfterMethylation ,saponification with potassium hydroxide in ethyl alcohol , will restore the staining of carboxyl groups but sulphate groups still blocked.
  • 82.
    Diagnostic applications: – 1/To diagnose poorly differentiated adenocarcinoma. – 2/ Diagnostic significant in certain situation : – * Hyaluronic acid –follicular mucinosis/ -myxoid liposarcoma/-mesothelioma – Neutral mucin- carcinoma of stomach
  • 83.
    Other types ofcarbohydrates Chitin: This is hyaline substance wide distributed in non human tissue for example exoskeleton of insects.
  • 84.
    In human onlyseen lining the wall of hydatid cyst of lung or liver due to infestation of larvae of dog tapeworm Echinococcus granulosus. PAS positive Diastase resistance
  • 85.
    Starch Can be foundin tissue as contaminant from surgical gloves powder. PAS positive with iodine pale blue-Diastase labile
  • 86.
    Cellulose Seen in undigestedfood specially in the section taken from GIT. PAS positive brown color with iodine