STAINS IN
CYTOLOGY
Presenter : Dr Suma H V
Moderator : Dr Siddegowda M S
Contents
 Introduction , principle, procedure and
application of
-Routine stains
-Special stains
Routine stains in cytology
 May Grunwald- Giemsa stain
 Diff-quik stain
 Papanicoloau stain
 Haematoxylin and Eosin stain
Special stains
 Periodic acid schiff stain
 Mucicarmine stain
 Alcian blue stain
 Oil red O stain
 Congo red stain
 Fuelgen stain
 Ziehl Neelsen stain
May-Grunwald Giemsa stain
 It is a mix of two neutral stains.
-May-Grunwald stain: composed of an
acidic stain (eosin) and a basic
stain(methylene blue).
-Giemsa stain : is composed of acidic stain
(eosin) and basic stain (azure of methylene)
Principle:
Procedure
 Stain the air dried smear with may-grunwald
solution for 5min
 Wash under running water for 1min
 Stain with giemsa solution for 15min
 Wash under running water for 1-2min
 Application :
To study cytoplasmic details in air dried
preparations
Diff-quik stain
 Quick and easy to perform
 Principle :
The azures are basic dyes that bind acid
nuclei and gives blue to purple color. The
acidic dye, eosin binds with alkaline cytoplasm
giving pink to red color.
Procedure
 Air-dry smears
 Fix in methanol for 30sec
 Stain with Diff-Quik solution II for 30sec
 Counterstain with Diff -Quick solution I for
30sec
 Rinse in tap water
 Rapidly dehydrate in absolute alcohol
 Application :
Cytoplasmic detail can be well noted.
Papanicolaou stain
 Multichromatic cytological staining technique.
 Developed by George Papanicolaou.
Principle:
 Hydration, dehydration and clearing
Procedure
 Smears fixed in 95% ethanol for 15min, rinse
 Harris hematoxylin for 1-3min, rinse
 95% ethanol 10 dips
 OG-6 stain for 1.5min
 95% ethanol 10 dips
 Eosin stain for 2.5min
 2 changes of 10dips of 95% ethanol
 100% ethanol for 1 min
 Application :
1. Good nuclear detail
2. Identification of keratin- normal squamous
cell V/S dyplastic/ carcinoma
Haematoxylin and eosin stain
Principle :
Hematoxylin stains the acidic part of the cell,
ie. Nucleus(nuclear stain).Eosin acts as a
acidic stain and binds with basic part of the
cell, ie. Cytoplasm of the cell
Procedure
 Fix the smears in methanol for 10min
 Wash with water
 Immerse in haematoxylin for 5min
 Wash in water
 Immerse the slide in eosin for 30-40sec
 Wash in water
 2 changes of alcohol
Special stains in cytology
1. To demonstrate cellular products
- Periodic Acid Schiff(PAS) stain
eg-Glycogen in mesothelioma
-Mucicarmine stains
eg- mucinous adenocarcinoma
-Oil red O stain
eg- lipid in renal cell carcinoma
2. To demonstrate extracellular substance with
special importance.
Eg- Amyloid by Congo red stain
3. To demonstrate infective organisms.
Eg -Acid-fast bacteria by Ziehl Neelsen
stain.
4. To demonstarte DNA content and ploidy.
Eg- Feulgen stain
PERIODIC ACID SCHIFF’S
STAIN
 McManus, 1946
 Glycogen
 Glycoprotein, sialomucin and neutral mucin
 Deep magenta colour
Principle
 The hydroxyl group attached to carbon atom in
carbohydrate is oxidised to two free aldehyde
groups by periodic acid.
 Aldehyde group reacts with Schiff’s reagent
and produces deep magenta colour.
Procedure
 Alcohol fixed smears are treated with graded
lower concentration of alcohol and kept under
running water.
 Periodic acid (1%) for 10min-water wash
 Schiff’s reagent for 30min
 Wash under running tap water -5min
 Counterstain with hematoxylin
 Rinse in graded increasing concentration of
alcohol
Applications of PAS stain
 To demonstrate glycogen, mucin in the cells of
adenocarcinoma, fungal capsule,
mucopolysachharide substance, basement
membrane material.
MUCICARMINE STAIN
 To demonstrate acid mucins
PRINCIPLE
 The active dye molecule in stain is a chelate
complex of aluminium ions and carminic acid
which is positively charged. This positively
charged carmine reacts with the anionic
groups of acid mucins.
Procedure
 Hematoxylin for 5-10min
 Water wash
 Mucicarmine solution for 60min
 Water wash
 Metanil yellow solution for 30sec
 Rinse in water
 Rinse in graded increasing concentration of
alcohol
 Application:
To demonstrate -Acid mucin in the malignant
cells of adenocarcinoma.
-capsule of cryptococcus
Alcian blue
 Basic metachromatic stain
 Stains sulphated and carboxylated acid
mucopolysachharides
 Principle:
Alcian blue is a group of water-soluble
polyvalent basic dye. The blue colour is due to
presence of copper which is positively
charged. This binds with negatively charged
sulfated and carboxylated acid
mucopolysachharides and sialomucin.
Procedure
 Rehydrate of smear by graded decreasing
concentration of alcohol
 Rinse in water
 Keep the smear in alcian blue solution for
30min
 Rinse in water
 Counterstain with hematoxylin for 5min
 95% ethyl alcohol, absolute alcohol
 Application:
To stain acid mucin in adinocarcinoma cells .
Oil red O
 Stains lipid material
 Principle :
It is a liposoluble stain and an azo compound
use to visualize neutral triglycerides and lipids
 Procedure:
-Keep the slide in Oil red-O solution for 20-
30min
-Rinse in running water
-Counterstain with hematoxylin for 30sec
-Rinse in water
-Mount in glycerin
 Application:
To demonstrate lipid, lipoblasts.
Feulgen stain
 Specific for DNA and it demonstrates
deoxyribose
 Principle:
With the help of hydrochloric acid, the purine-
deoxyribose bond is broken exposing the
aldehyde group. This aldehyde group reacts
with Schiff’s reagent.
Procedure
 Rinse in water
 1M HCL(preheated at 600C) for 10min
 Keep in schiff’s reagent for 10min
 Immerse in 0.05M metabisulfite for 2min three
times
 Counterstain by 0.01% fast green
 Deydrate in absolute alcohol
 Application:
Helpful for DNA ploidy examination
Congo Red Stain
 To demonstrate amyloid
 Principle:
Congo red is an acidic diazo dye. The dye
molecules bind to amyloid by hydrogen bond
and have an oriented arrangement on the
amyloid fibrils. This binding of dye-amyloid
complex causes absorption of certain
wavelengths of light and produces greenish
birefringence under polarized light.
Procedure
 Slides are rinsed in water
 Hematoxylin stain for 5min
 Alkaline sodium chloride solution for 20min
 Alkaline congo red for 20min
 Rinse in alcohol
 Dried & mounted
 Application:
Amyloid in various tissue and organs in
amyloidosis and in tumors like medullary
carcinoma of thyroid
Ziehl-Neelsen staining
 Mycobacterial group of organisms are all
stained by Ziehl-Neelsen staining
Principle
 Mycobacterial cell wall contains mycolic acid.
Phenolic acid and high temperatures increase
the porosity of the membrane and helps in the
penetration of the dye. Mycolic acid resists the
removal of the stain by acid and alcohol.
Procedure
 Smears are air dried
 Hot carbol fuchsin for 6min
 2-3dips in acid alcohol for differentiation
 Counterstain with methylene blue for 1min
 Clean with water and dry
References
 Dey P. Diagnostic cytology. New Delhi:
Jaypee;2014.
 Bibbu M, Wilbus D C. Comprehensive
cytopathology. 3rd edition. Saunders. Elsevier.
 Orell S R, Sterrett G F. Fine Needle Aspiration
Cytology. 5th edition.India: Elsevier;2012.
 Kocjan G. Fine Needle Aspiration Cytology;
Diagnostic principles and dilemmas. Germany.
Springer; 2006.
THANK YOU

Special stains in cytology

  • 1.
    STAINS IN CYTOLOGY Presenter :Dr Suma H V Moderator : Dr Siddegowda M S
  • 2.
    Contents  Introduction ,principle, procedure and application of -Routine stains -Special stains
  • 3.
    Routine stains incytology  May Grunwald- Giemsa stain  Diff-quik stain  Papanicoloau stain  Haematoxylin and Eosin stain
  • 4.
    Special stains  Periodicacid schiff stain  Mucicarmine stain  Alcian blue stain  Oil red O stain  Congo red stain  Fuelgen stain  Ziehl Neelsen stain
  • 5.
    May-Grunwald Giemsa stain It is a mix of two neutral stains. -May-Grunwald stain: composed of an acidic stain (eosin) and a basic stain(methylene blue). -Giemsa stain : is composed of acidic stain (eosin) and basic stain (azure of methylene) Principle:
  • 6.
    Procedure  Stain theair dried smear with may-grunwald solution for 5min  Wash under running water for 1min  Stain with giemsa solution for 15min  Wash under running water for 1-2min
  • 10.
     Application : Tostudy cytoplasmic details in air dried preparations
  • 11.
    Diff-quik stain  Quickand easy to perform  Principle : The azures are basic dyes that bind acid nuclei and gives blue to purple color. The acidic dye, eosin binds with alkaline cytoplasm giving pink to red color.
  • 12.
    Procedure  Air-dry smears Fix in methanol for 30sec  Stain with Diff-Quik solution II for 30sec  Counterstain with Diff -Quick solution I for 30sec  Rinse in tap water  Rapidly dehydrate in absolute alcohol
  • 15.
     Application : Cytoplasmicdetail can be well noted.
  • 16.
    Papanicolaou stain  Multichromaticcytological staining technique.  Developed by George Papanicolaou. Principle:  Hydration, dehydration and clearing
  • 17.
    Procedure  Smears fixedin 95% ethanol for 15min, rinse  Harris hematoxylin for 1-3min, rinse  95% ethanol 10 dips  OG-6 stain for 1.5min  95% ethanol 10 dips  Eosin stain for 2.5min  2 changes of 10dips of 95% ethanol  100% ethanol for 1 min
  • 19.
     Application : 1.Good nuclear detail 2. Identification of keratin- normal squamous cell V/S dyplastic/ carcinoma
  • 22.
    Haematoxylin and eosinstain Principle : Hematoxylin stains the acidic part of the cell, ie. Nucleus(nuclear stain).Eosin acts as a acidic stain and binds with basic part of the cell, ie. Cytoplasm of the cell
  • 23.
    Procedure  Fix thesmears in methanol for 10min  Wash with water  Immerse in haematoxylin for 5min  Wash in water  Immerse the slide in eosin for 30-40sec  Wash in water  2 changes of alcohol
  • 25.
    Special stains incytology 1. To demonstrate cellular products - Periodic Acid Schiff(PAS) stain eg-Glycogen in mesothelioma -Mucicarmine stains eg- mucinous adenocarcinoma -Oil red O stain eg- lipid in renal cell carcinoma
  • 26.
    2. To demonstrateextracellular substance with special importance. Eg- Amyloid by Congo red stain 3. To demonstrate infective organisms. Eg -Acid-fast bacteria by Ziehl Neelsen stain. 4. To demonstarte DNA content and ploidy. Eg- Feulgen stain
  • 27.
    PERIODIC ACID SCHIFF’S STAIN McManus, 1946  Glycogen  Glycoprotein, sialomucin and neutral mucin  Deep magenta colour
  • 28.
    Principle  The hydroxylgroup attached to carbon atom in carbohydrate is oxidised to two free aldehyde groups by periodic acid.  Aldehyde group reacts with Schiff’s reagent and produces deep magenta colour.
  • 29.
    Procedure  Alcohol fixedsmears are treated with graded lower concentration of alcohol and kept under running water.  Periodic acid (1%) for 10min-water wash  Schiff’s reagent for 30min  Wash under running tap water -5min  Counterstain with hematoxylin  Rinse in graded increasing concentration of alcohol
  • 33.
    Applications of PASstain  To demonstrate glycogen, mucin in the cells of adenocarcinoma, fungal capsule, mucopolysachharide substance, basement membrane material.
  • 34.
    MUCICARMINE STAIN  Todemonstrate acid mucins
  • 35.
    PRINCIPLE  The activedye molecule in stain is a chelate complex of aluminium ions and carminic acid which is positively charged. This positively charged carmine reacts with the anionic groups of acid mucins.
  • 36.
    Procedure  Hematoxylin for5-10min  Water wash  Mucicarmine solution for 60min  Water wash  Metanil yellow solution for 30sec  Rinse in water  Rinse in graded increasing concentration of alcohol
  • 38.
     Application: To demonstrate-Acid mucin in the malignant cells of adenocarcinoma. -capsule of cryptococcus
  • 39.
    Alcian blue  Basicmetachromatic stain  Stains sulphated and carboxylated acid mucopolysachharides
  • 40.
     Principle: Alcian blueis a group of water-soluble polyvalent basic dye. The blue colour is due to presence of copper which is positively charged. This binds with negatively charged sulfated and carboxylated acid mucopolysachharides and sialomucin.
  • 41.
    Procedure  Rehydrate ofsmear by graded decreasing concentration of alcohol  Rinse in water  Keep the smear in alcian blue solution for 30min  Rinse in water  Counterstain with hematoxylin for 5min  95% ethyl alcohol, absolute alcohol
  • 43.
     Application: To stainacid mucin in adinocarcinoma cells .
  • 44.
    Oil red O Stains lipid material  Principle : It is a liposoluble stain and an azo compound use to visualize neutral triglycerides and lipids
  • 45.
     Procedure: -Keep theslide in Oil red-O solution for 20- 30min -Rinse in running water -Counterstain with hematoxylin for 30sec -Rinse in water -Mount in glycerin
  • 46.
  • 49.
    Feulgen stain  Specificfor DNA and it demonstrates deoxyribose
  • 50.
     Principle: With thehelp of hydrochloric acid, the purine- deoxyribose bond is broken exposing the aldehyde group. This aldehyde group reacts with Schiff’s reagent.
  • 51.
    Procedure  Rinse inwater  1M HCL(preheated at 600C) for 10min  Keep in schiff’s reagent for 10min  Immerse in 0.05M metabisulfite for 2min three times  Counterstain by 0.01% fast green  Deydrate in absolute alcohol
  • 52.
     Application: Helpful forDNA ploidy examination
  • 55.
    Congo Red Stain To demonstrate amyloid
  • 56.
     Principle: Congo redis an acidic diazo dye. The dye molecules bind to amyloid by hydrogen bond and have an oriented arrangement on the amyloid fibrils. This binding of dye-amyloid complex causes absorption of certain wavelengths of light and produces greenish birefringence under polarized light.
  • 57.
    Procedure  Slides arerinsed in water  Hematoxylin stain for 5min  Alkaline sodium chloride solution for 20min  Alkaline congo red for 20min  Rinse in alcohol  Dried & mounted
  • 58.
     Application: Amyloid invarious tissue and organs in amyloidosis and in tumors like medullary carcinoma of thyroid
  • 61.
    Ziehl-Neelsen staining  Mycobacterialgroup of organisms are all stained by Ziehl-Neelsen staining
  • 62.
    Principle  Mycobacterial cellwall contains mycolic acid. Phenolic acid and high temperatures increase the porosity of the membrane and helps in the penetration of the dye. Mycolic acid resists the removal of the stain by acid and alcohol.
  • 63.
    Procedure  Smears areair dried  Hot carbol fuchsin for 6min  2-3dips in acid alcohol for differentiation  Counterstain with methylene blue for 1min  Clean with water and dry
  • 65.
    References  Dey P.Diagnostic cytology. New Delhi: Jaypee;2014.  Bibbu M, Wilbus D C. Comprehensive cytopathology. 3rd edition. Saunders. Elsevier.  Orell S R, Sterrett G F. Fine Needle Aspiration Cytology. 5th edition.India: Elsevier;2012.  Kocjan G. Fine Needle Aspiration Cytology; Diagnostic principles and dilemmas. Germany. Springer; 2006.
  • 66.

Editor's Notes

  • #6 Romanowsky stain. CYTOPLASMIC STAIN This stain is performed on air dried smears May-grunwals stain : 5g of may-grunwald is mixed in 100ml of methanol Giemsa stain: 0.75g giemsa powder, 65ml methanol , 65ml glycerin The first stain induces an orthochromatic staining on cell components. The colour of the stain doesn’t change on binding to target( pink/orange for acidophilic ccomponents n blue/purple for basophilic components The 2nd induce a metachromtic staining(red dye for azurophilic components). The colour of the dye changes on binding to target
  • #7 Dry Mounting is not necessary May-grunwals stain : 5g of may-grunwald is mixed in 100ml of methanol Giemsa stain: 0.75g giemsa powder, 65ml methanol , 65ml glycerin mix all in gredients in a bottle containing glass beads, shake, mix 3times a day for 4consecutive days, filter
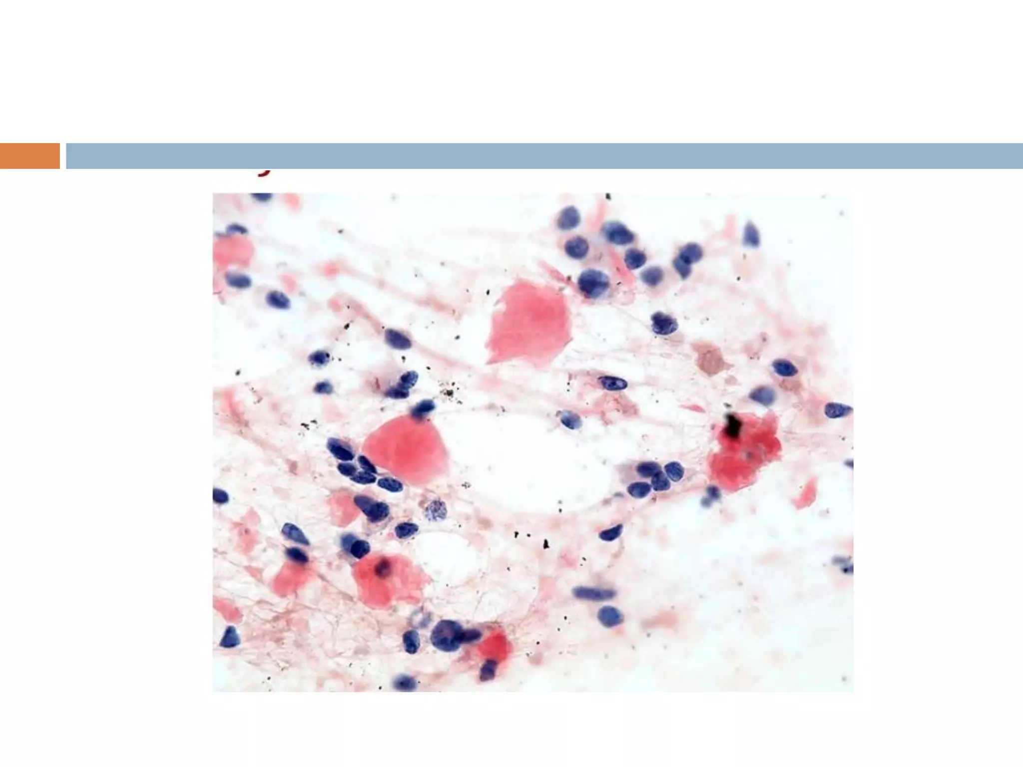
  • #8 Smears from a case of subacute thyroiditis Multinucleated giant cell with large no. of nuclei Several multinucleate foreign body giant cell with cellular and inflammatory debris
  • #9 Multinucleate giant cell and epitheloid cell grouped in granuloma like arrangement
  • #10 Neoplastic cells in pleural fluid showing anisocytosis, cytoplasmic vacuolations
  • #12 Modification of (romanawsky)wright giemsa stain Clear and mount Composition: methanol, solution I: eosinophilic , orange- xanthene dye,buffered solution of eosin solution II : basophilic blue-thiazine dye phosphate buffer which contains methylene blue and azure A
  • #13 Composition: methanol, solution I: buffered solution of eosin solution II :buffered solution of thiazine dye, methylene blue and azure A
  • #14 Solitary thyroid nodule- clusters and overlapping of nuclei wid nuclear enlargement
  • #17 Uses a standard nuclear stain hematoxylin, 2 counterstains stains- OG-6 and EA -Hydration prepares the cell sample for uptake of nuclear dye, dehydration prepares the cell sample for uptake of counterstains -dehydration and clearing solution results in cellular transparency and prepare the cell sample for final steps Involves 3 solutions Hematoxylin-nuclei OG (orange G) Eosin Azure
  • #18 Harris hematoxylin-regressive staining method EA-50, or modified EA-50, or EA-65 stain Clear in 2 changes of xylene, 2min each Kept in graded increasing concentration of alcohol
  • #19 PAP stained cervical smear showing blue stained nucleus red stained acidophilic cells blue green stained basophilic cells orange red erythrocytes, keratin pink superficial cells blue green intermediate and parabasal cells orange red eosinophils Red candida grey green trichomonas
  • #20 Good nuclear detail-nucleoli, inclusions, chromatin
  • #21 Kerarin detail
  • #23 Different types of hematoxylin- harris H, meyer’s H, weigert’s H, gill’s H, cole’s H
  • #24 Clean and mount
  • #25 Thyroid follicular cells
  • #28 USED TO DEMONSTRATE
  • #29 PAS positive seen in glycogen, monosachharide, polysachharide, glycoproteins, mucoproteins, phosphorylated sugars, inositol derivates and cerebrosides
  • #30 Clear in xylene and mount DPX- distyrene, plasticizer, xylene
  • #32 PAS stain of bronchoalveolar lavage cells—alveolar macrophages
  • #33 PAS staining-Cells of adenocarcinoma showing neutral mucin in cytoplasm
  • #35 Particularly acid mucin
  • #36 Dark red colour
  • #37 Smears are washed with water Xylene, mount Metanil yellow- dye of azo class
  • #38 Positive- dark red colour 1) Dark staining capsule of cryptococcus
  • #42 Xylene, mount
  • #43 Adenocarcinoma cells– it highlights mucin, cartilage
  • #46 Oil red o solution: oil red O - 1.2gm 50ml of 70% alcohol 50ml acetone
  • #48 Deep red colour Macrophages with red staining cytoplasmic vacuoles filled with lipid in bronchoalveolar lavage
  • #49 Sputum cytology shows extracellular oil droplets from a case of EXOGENOUS LIPOID PNEUMONIA i.e. liquid paraffin, kerosene, petroleum jelly, oil based nasal drops
  • #51 Deep red
  • #52 Xylen, mount
  • #54 Normal squamous cells The intensity of pink colour depends on DNA content
  • #55 Oral brush biopsy specimen showing malignant squamous cells
  • #56 Other stains for amyloid- THIOFLAVIN T STAIN, SIRIUS RED- shows apple green birefrengence
  • #57 consisting of two molecules of naphthenic acid attached to one molecule of benzedrine.
  • #60 stromal red to pink amyloid deposits in medullary thyroid carcinoma Under polarizing microscope- red green birefrengence