Capsule
Staining
Bacterial Capsule
‱ Many bacteria, including both gram-positive and gram-negative,
may be surrounded by an outer polysaccharide-containing layer
termed the glycocalyx.
‱
‱ More loosely bound layers that are difficult to see and do not
exclude particles (India ink) are termed slime layers.
When the composition of this layer is
tightly bound and remains attached
to cells, it is referred to as a capsule.
‱ Capsules are usually composed of polysaccharides; however
they may also contain polyalcohols and polyamines.
‱ Capsule of Bacillus anthracis is composed of polymers of
amino acids .
‱ Over 80 different capsular polysaccharides or K antigens have
been described for Escherichia coli
‱ Capsular polysaccharides are highly hydrated molecules
containing over 95% water
Function of bacterial capsule
‱ Capsules are considered protective structures.
Various functions have been attributed to capsules
 Help bacteria resist phagocytosis.
 Protection from desiccation
 Adherence to surfaces contributing to biofilm formation.
 Often play a role in pathogenicity
 Acting as virulence factors to protect cells from phagocytosis
and/or complement-mediated killing.
 They exclude bacterial viruses and most hydrophobic toxic
materials such as detergents.
History
‱ Since the 1900s various methods have been devised to
observe bacterial capsules
‱ One very simple approach is mixing cells in a preparation of
India ink. The large particles of ink will not penetrate the tight
layers of the capsule or stain the bacterium.
‱ The particles of the ink will however provide a negative
background that allows visualization of cells and capsules.
Staining of capsule
‱ Capsules are characterized by poor staining with standard
dyes.
‱ Due to non-ionic property of capsule, its staining is more
difficult than other types of differential staining procedures.
‱ Again the capsular materials are water-soluble and may be
dislodged and removed with vigorous washing.
‱ During capsule staining procedure, smears should not be
heated because the resultant cell shrinkage may create a clear
zone around the organism that is an artefact that can be
mistaken for the capsule.
‱ Capsule staining methods thus depend upon revealing
the presence of the capsule indirectly.
‱ Often capsule staining methods are accomplished using a
combination of the following:
(i) a basic dye that interacts with the negative ions of the
bacterial cell,
(ii) a mordant that causes the precipitation of the capsular
material, e.g., metal ions, alcohol, and acetic acid
(iii) an acidic stain used to color the background.
Methods of capsule staining
‱ Various protocols for revealing capsules
through staining methods
 Anthony’s capsule stain and
 Maneval’s capsule staining method.
 Naegative staining
Negative staining method
Maneval's method,
‱ Cells are mixed on a slide with a drop of the pH indicator, congo red
(pH 3 or below, the color is blue and at pH 5 and above, the color is
red).
‱ Congo red does not penetrate the capsule and provides a colored
background. The sample is e then allowed to air dry.
‱ After air drying the slide is flooded with Maneval's solution (acetic
acid and acid fuchsin). The acetic acid lowers the pH in the sample
and causes the Congo red to change from red to blue.
‱ The acid fuchsin penetrates through the capsule and stains the cell
a bright red. The unstained capsule is clearly seen using the light
microscope as white, in this red, white, and blue preparation.
Anthony’s capsule stain
‱ Crystal violet is used as the primary stain, interacting with the
protein material in the culture broth or added during the staining
‱ Copper sulfate serves as the mordant.
‱ There is no additional negative stain.
‱ At the completion of the stain, the bacterial cells and the
background will be stained by the crystal violet while the unstained
capsule will appear white.
Primary Stain: 1% aqueous solution of Crystal Violet: It is applied to a non–
heat-fixed smear. Both the cell and the capsular material will take on the
dark color.
Decolorizing Agent: 20% Copper Sulfate (20%) is used as a decolorizing agent
rather than water.
‱ Since the capsule is non-ionic, the primary stain adheres to the capsule
but does not bind to it.
‱ The copper sulfate solution wash out the primary stain from the capsular
material without removing the stain bound to the cell wall.
‱ And now the decolorized capsule absorbs the copper sulfate, acquires its
blue color and will now appear blue in contrast to the deep purple color of
the cell wall.
Requirements:
‱ Cultures: Skimmed milk cultured for 48 hours
‱ Reagents: 1% crystal violet and 20% copper sulfate
(CuSO4.5H2O)
‱ Equipment: Micro-incinerator or Bunsen burner, inoculating
loop or needle, staining tray, bibulous paper, lens paper, glass
slides, and microscope.
Procedure for capsule staining
‱ Take a clean grease free glass slide.
‱ Place several drops of crystal violet
stain on the slide.
‱ Using aseptic technique, add three
loopfuls of a culture to the stain
and prepare a smear
by gently mixing with the
inoculating loop.
‱ With another clean glass slide,
spread the mixture over the entire
surface of the slide to create a very
thin smear.
‱ Let the slide stand for 5 to 7
minutes.
‱ Allow the smears to air-dry. (but do not heat fix)
‱ Wash smears with 20% copper sulfate solution.
‱ Gently blot dry and examine under oil immersion.
‱ Repeat Steps 1–5 for each of the remaining test cultures
‱ Record the observations; Indicate the color of the capsule and
of the cell on each preparation
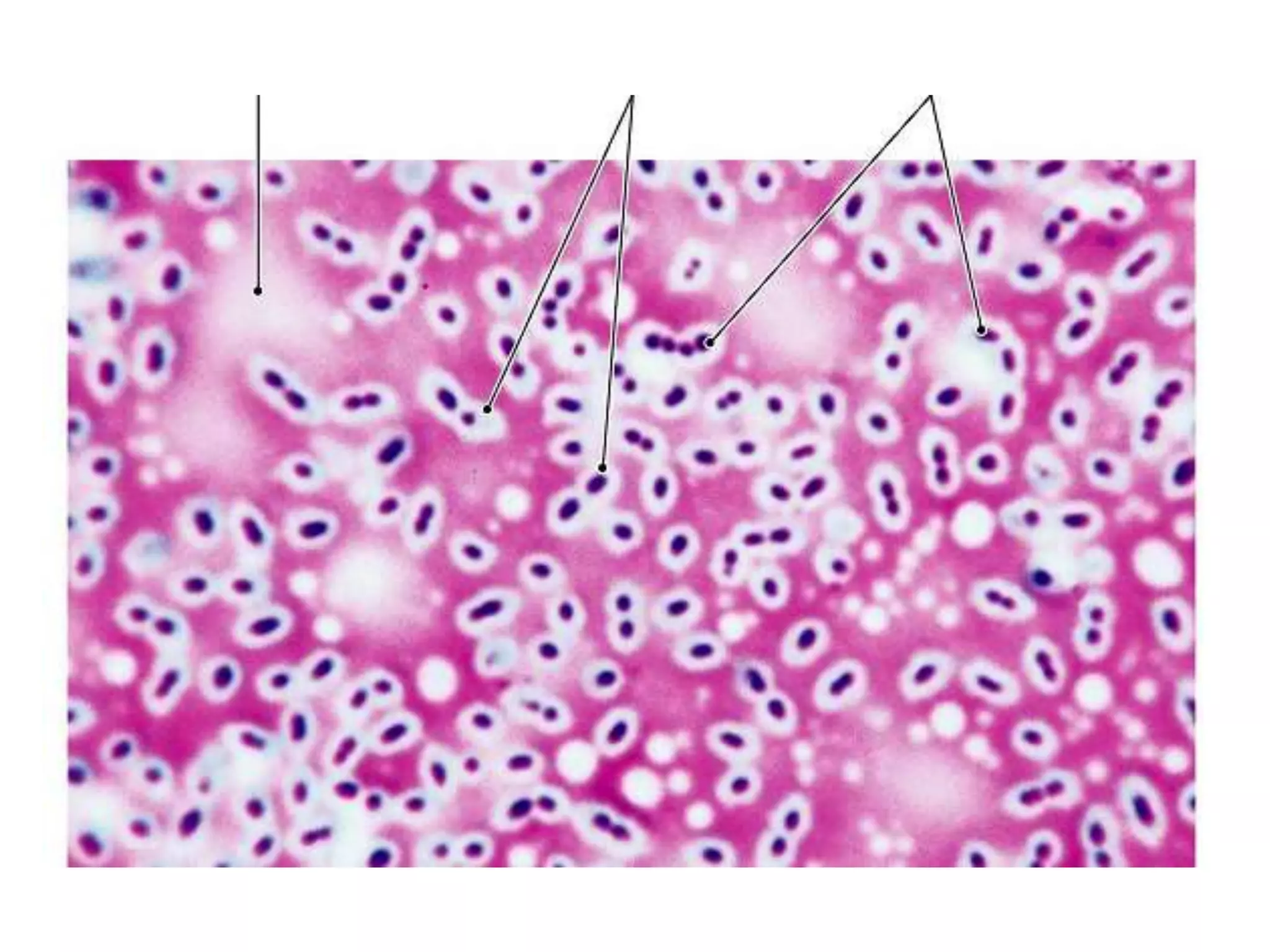
Result interpretation:
‱ The capsule appears as blue colored between
deep purple background and cell wall.
‱ List of some capsulated bacteria:
‱ Gram negative and capsulated: Neisseria meningitides,
Klebsiella pneumoniae, Haemophilus influenza type
B, Pseudomonas aeruginosa, Escherichia coli (few
strains), Yersania pestis,
‱ Gram positive and capsulated: Staphylococcus aureus,
Streptococcus pneumoniae, Streptococcus pyogens, Bacillus
megaterium, Bacillus anthracis,
‱ Capsulated yeast: Cryptococcus neoformans
Capsule staining.pptx
Capsule staining.pptx

Capsule staining.pptx

  • 1.
  • 2.
    Bacterial Capsule ‱ Manybacteria, including both gram-positive and gram-negative, may be surrounded by an outer polysaccharide-containing layer termed the glycocalyx. ‱ ‱ More loosely bound layers that are difficult to see and do not exclude particles (India ink) are termed slime layers. When the composition of this layer is tightly bound and remains attached to cells, it is referred to as a capsule.
  • 3.
    ‱ Capsules areusually composed of polysaccharides; however they may also contain polyalcohols and polyamines. ‱ Capsule of Bacillus anthracis is composed of polymers of amino acids . ‱ Over 80 different capsular polysaccharides or K antigens have been described for Escherichia coli ‱ Capsular polysaccharides are highly hydrated molecules containing over 95% water
  • 4.
    Function of bacterialcapsule ‱ Capsules are considered protective structures. Various functions have been attributed to capsules  Help bacteria resist phagocytosis.  Protection from desiccation  Adherence to surfaces contributing to biofilm formation.  Often play a role in pathogenicity  Acting as virulence factors to protect cells from phagocytosis and/or complement-mediated killing.  They exclude bacterial viruses and most hydrophobic toxic materials such as detergents.
  • 5.
    History ‱ Since the1900s various methods have been devised to observe bacterial capsules ‱ One very simple approach is mixing cells in a preparation of India ink. The large particles of ink will not penetrate the tight layers of the capsule or stain the bacterium. ‱ The particles of the ink will however provide a negative background that allows visualization of cells and capsules.
  • 6.
    Staining of capsule ‱Capsules are characterized by poor staining with standard dyes. ‱ Due to non-ionic property of capsule, its staining is more difficult than other types of differential staining procedures. ‱ Again the capsular materials are water-soluble and may be dislodged and removed with vigorous washing. ‱ During capsule staining procedure, smears should not be heated because the resultant cell shrinkage may create a clear zone around the organism that is an artefact that can be mistaken for the capsule.
  • 7.
    ‱ Capsule stainingmethods thus depend upon revealing the presence of the capsule indirectly. ‱ Often capsule staining methods are accomplished using a combination of the following: (i) a basic dye that interacts with the negative ions of the bacterial cell, (ii) a mordant that causes the precipitation of the capsular material, e.g., metal ions, alcohol, and acetic acid (iii) an acidic stain used to color the background.
  • 8.
    Methods of capsulestaining ‱ Various protocols for revealing capsules through staining methods  Anthony’s capsule stain and  Maneval’s capsule staining method.  Naegative staining
  • 9.
  • 10.
    Maneval's method, ‱ Cellsare mixed on a slide with a drop of the pH indicator, congo red (pH 3 or below, the color is blue and at pH 5 and above, the color is red). ‱ Congo red does not penetrate the capsule and provides a colored background. The sample is e then allowed to air dry. ‱ After air drying the slide is flooded with Maneval's solution (acetic acid and acid fuchsin). The acetic acid lowers the pH in the sample and causes the Congo red to change from red to blue. ‱ The acid fuchsin penetrates through the capsule and stains the cell a bright red. The unstained capsule is clearly seen using the light microscope as white, in this red, white, and blue preparation.
  • 11.
    Anthony’s capsule stain ‱Crystal violet is used as the primary stain, interacting with the protein material in the culture broth or added during the staining ‱ Copper sulfate serves as the mordant. ‱ There is no additional negative stain. ‱ At the completion of the stain, the bacterial cells and the background will be stained by the crystal violet while the unstained capsule will appear white.
  • 12.
    Primary Stain: 1%aqueous solution of Crystal Violet: It is applied to a non– heat-fixed smear. Both the cell and the capsular material will take on the dark color. Decolorizing Agent: 20% Copper Sulfate (20%) is used as a decolorizing agent rather than water. ‱ Since the capsule is non-ionic, the primary stain adheres to the capsule but does not bind to it. ‱ The copper sulfate solution wash out the primary stain from the capsular material without removing the stain bound to the cell wall. ‱ And now the decolorized capsule absorbs the copper sulfate, acquires its blue color and will now appear blue in contrast to the deep purple color of the cell wall.
  • 13.
    Requirements: ‱ Cultures: Skimmedmilk cultured for 48 hours ‱ Reagents: 1% crystal violet and 20% copper sulfate (CuSO4.5H2O) ‱ Equipment: Micro-incinerator or Bunsen burner, inoculating loop or needle, staining tray, bibulous paper, lens paper, glass slides, and microscope.
  • 14.
    Procedure for capsulestaining ‱ Take a clean grease free glass slide. ‱ Place several drops of crystal violet stain on the slide. ‱ Using aseptic technique, add three loopfuls of a culture to the stain and prepare a smear by gently mixing with the inoculating loop. ‱ With another clean glass slide, spread the mixture over the entire surface of the slide to create a very thin smear. ‱ Let the slide stand for 5 to 7 minutes.
  • 15.
    ‱ Allow thesmears to air-dry. (but do not heat fix) ‱ Wash smears with 20% copper sulfate solution. ‱ Gently blot dry and examine under oil immersion. ‱ Repeat Steps 1–5 for each of the remaining test cultures ‱ Record the observations; Indicate the color of the capsule and of the cell on each preparation
  • 16.
    Result interpretation: ‱ Thecapsule appears as blue colored between deep purple background and cell wall.
  • 17.
    ‱ List ofsome capsulated bacteria: ‱ Gram negative and capsulated: Neisseria meningitides, Klebsiella pneumoniae, Haemophilus influenza type B, Pseudomonas aeruginosa, Escherichia coli (few strains), Yersania pestis, ‱ Gram positive and capsulated: Staphylococcus aureus, Streptococcus pneumoniae, Streptococcus pyogens, Bacillus megaterium, Bacillus anthracis, ‱ Capsulated yeast: Cryptococcus neoformans