Bleeding on
probing
Guided by: Dr. Mayank Parmar
Dr. Bansari Shah
Dr.Mayur Parmar
Prepared by: Meera Dobariya
Content
 Introduction
 Gingival bleeding on probing
 Local factor
 Systemic factor
 In diagnosis
 bleeding point index
 Conclusion
Introduction
 The bleeding on probing is a widely used
clinical sign as indicator of the periodontal
condition & disease progression.
Gingival bleeding on probing
 The two earliest signs of gingival inflammation
preceding established gingivitis are
1. Increased gingival crevicular fluid production
rate.
2. Bleeding from gingival sulcus on gentle
probing.
 It has been shown that bleeding on probing
appears earlier than a change in color or
other visual signs of inflammation.
 Gingival bleeding on probing indicates an
inflammatory lesion both in the epithelium &
in the connective tissue.
Local factor associated with BOP
 Contributing factors to plaque retention may lead
to gingivitis & ultimately leads to gingival bleeding
on probing.
 Example: caries,malpositioned teeth, mouth
breathing, partial dentures, lack of attach
gingiva,orthodonic treatment & fixed orthodontic
treatment.
 CHRONIC & RECURRENT BLEEDING:
 Most common cause is inflammation.
 Bleeding is chronic or recurrent & is provoked by
mechanical trauma.
 e.g.: from tooth brushing, toothpicks or food impaction.
 it also occur by biting in to solid food such as apple.
 Histological evaluation revealed that in early stages of
gingivitis, cytokines are responsible for connective tissue
breakdown.
 Matrix metaloproteinases also play a role in tissue
breakdown.
 Histopathologic alteration that result in abnormal gingival
bleeding include dilatation & engorgement of the capillaries &
thinning or ulceration of the sulcular epithelium.
 After the vessels are damaged & ruptured interrelated
mechanism induce hemostasis.
 Vessel wall cntract,blood flow diminishes,blood platelets
adher to the edges of the tissue , & a fibrous cloat is
formed,which contracts & results in approximation of the
edges of the injured area.bleeding recurs when the area Is
irritated.
 In case of moderate or advanced periodontitis the presence
of bleeding on probing is a sign of active tissue destruction.
 Laceration of gingiva by toothbrush bristales
during aggressive toothbrushing or by sharp
pieces of hard food can cause gingival
bleeding even in the absence of gingival
disease.
 Gingival burn from hot foods or chemicals
increases the ease of gingival bleeding,.
 Spontaneous bleeding or bleeding on slight
provocation can occur in ANUG.
Acute necrotizing ulcerative gingivitis
Gingival burns
l SYSTEMIC FACTOR:
• Hemorrhagic disprdets in which abnormal gingival
bleeding is encounterd include:
1. Vitamin C deficiency(scurvy):interdental &
marginal gingiva is bright red with
swollen,smooth,shiny surface.in fully develope scurvy
gingiva becomes boggy,ulcerated & bleeds.
2. Platelet disorders(thrombocytopenic purpura):
abnormalreduction in number of circulating blood
platelets.so patient develops focal hamorrhage into
tissue & organs,including skin & mucous membrane.
3. Vitamin K deficiency:it is involved in prothrombin
synthesis. It also regulates the level of factorVII,IX &
X(proconvertin,Christmas factor & Stuart-Prower
factor, respectively.)So leads to gingival bleeding.
Oral manifestation of scurvy Oral manifestation of purpura
4. Other coagulation defects:
 Hemophilia: characterized by prolonged coagulation time
& hemorrhagic tendencies. Gingival hemorrhage may
massive & prolonged.
 Leukemia: progressive overproduction of white blood
cells which usually appear in circulating blood in an
immature form. Oral manifestations are gingivitis, gingival
hyperplasia, hemorrhage & ulceration of the mucosa.
 Christmas disease: Also known as Hemophilia B,in which
deficient level of coagulant factor IX(Christmas factor).
5.The effect of hormonal replacement therapy, oral
contraceptives, pregnancy & the menstrual cycle
are also reported to affect the gingival bleeding.
6.Diabetes: marked inflammation affects both epithelium &
C.T., which leads to destruction of reticulin fibers.
7.Medication: Anticonvulsant, antihypertensive &
immunosuppressant are known to cause gingival
enlargement.
Drug induced gingival enlargement
Gingival inflammation in pregnancy
Hemophilia Leukemia
In diagnosis
 The insertion of probe to the bottom of the
pocket elicits bleeding if the gingiva is
inflamed & the pocket epithelium is atrophic
or ulcerated.
 To test for bleeding, the probe is carefully
introduced to the bottom of the pocket &
gently moved laterally along the pocket wall.
 Sometimes bleeding appears immediately
after removal of the probe; other times it
may be delayed for a few seconds.
 Therefore rechecking for bleeding 30 to 60
seconds after probing.
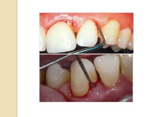
Bleeding point index
 It is used for evaluation of gingival inflammation.
 For record the index retract the cheek & place the
periodontal probe 1mm into the sulcus or pocket at the
distal aspect of the most posterior tooth in the quadrant on
the buccal surface.
 Carry the probe lightly across the length of the sulcus to the
mesial interproximal area on the facial aspect.
 Wait for the 30 sec. & record the presence of bleeding on
the distal, facial & mesial surface.
 Repeat the same for palatal/lingual surface.
 Percentage of the number of bleeding surfaces is calculated
by dividing the number of the surfaces that bled by the total
no. of tooth surface(4 per tooth) & by multiplying by 100.
 Goal of 10% or fewer bleeding points is good, but 0 is ideal.
conclusion
 Bleeding on probing is indicates the
progression of attachment loss.
 If periodontal treatment is successful,
bleeding on probing will cease.
BLEEDING ON PROBING - PERIODONTICS

BLEEDING ON PROBING - PERIODONTICS

  • 1.
    Bleeding on probing Guided by:Dr. Mayank Parmar Dr. Bansari Shah Dr.Mayur Parmar Prepared by: Meera Dobariya
  • 2.
    Content  Introduction  Gingivalbleeding on probing  Local factor  Systemic factor  In diagnosis  bleeding point index  Conclusion
  • 3.
    Introduction  The bleedingon probing is a widely used clinical sign as indicator of the periodontal condition & disease progression.
  • 5.
    Gingival bleeding onprobing  The two earliest signs of gingival inflammation preceding established gingivitis are 1. Increased gingival crevicular fluid production rate. 2. Bleeding from gingival sulcus on gentle probing.  It has been shown that bleeding on probing appears earlier than a change in color or other visual signs of inflammation.  Gingival bleeding on probing indicates an inflammatory lesion both in the epithelium & in the connective tissue.
  • 7.
    Local factor associatedwith BOP  Contributing factors to plaque retention may lead to gingivitis & ultimately leads to gingival bleeding on probing.  Example: caries,malpositioned teeth, mouth breathing, partial dentures, lack of attach gingiva,orthodonic treatment & fixed orthodontic treatment.  CHRONIC & RECURRENT BLEEDING:  Most common cause is inflammation.  Bleeding is chronic or recurrent & is provoked by mechanical trauma.  e.g.: from tooth brushing, toothpicks or food impaction.  it also occur by biting in to solid food such as apple.
  • 8.
     Histological evaluationrevealed that in early stages of gingivitis, cytokines are responsible for connective tissue breakdown.  Matrix metaloproteinases also play a role in tissue breakdown.  Histopathologic alteration that result in abnormal gingival bleeding include dilatation & engorgement of the capillaries & thinning or ulceration of the sulcular epithelium.  After the vessels are damaged & ruptured interrelated mechanism induce hemostasis.  Vessel wall cntract,blood flow diminishes,blood platelets adher to the edges of the tissue , & a fibrous cloat is formed,which contracts & results in approximation of the edges of the injured area.bleeding recurs when the area Is irritated.  In case of moderate or advanced periodontitis the presence of bleeding on probing is a sign of active tissue destruction.
  • 9.
     Laceration ofgingiva by toothbrush bristales during aggressive toothbrushing or by sharp pieces of hard food can cause gingival bleeding even in the absence of gingival disease.  Gingival burn from hot foods or chemicals increases the ease of gingival bleeding,.  Spontaneous bleeding or bleeding on slight provocation can occur in ANUG.
  • 10.
    Acute necrotizing ulcerativegingivitis Gingival burns
  • 11.
    l SYSTEMIC FACTOR: •Hemorrhagic disprdets in which abnormal gingival bleeding is encounterd include: 1. Vitamin C deficiency(scurvy):interdental & marginal gingiva is bright red with swollen,smooth,shiny surface.in fully develope scurvy gingiva becomes boggy,ulcerated & bleeds. 2. Platelet disorders(thrombocytopenic purpura): abnormalreduction in number of circulating blood platelets.so patient develops focal hamorrhage into tissue & organs,including skin & mucous membrane. 3. Vitamin K deficiency:it is involved in prothrombin synthesis. It also regulates the level of factorVII,IX & X(proconvertin,Christmas factor & Stuart-Prower factor, respectively.)So leads to gingival bleeding.
  • 12.
    Oral manifestation ofscurvy Oral manifestation of purpura
  • 13.
    4. Other coagulationdefects:  Hemophilia: characterized by prolonged coagulation time & hemorrhagic tendencies. Gingival hemorrhage may massive & prolonged.  Leukemia: progressive overproduction of white blood cells which usually appear in circulating blood in an immature form. Oral manifestations are gingivitis, gingival hyperplasia, hemorrhage & ulceration of the mucosa.  Christmas disease: Also known as Hemophilia B,in which deficient level of coagulant factor IX(Christmas factor). 5.The effect of hormonal replacement therapy, oral contraceptives, pregnancy & the menstrual cycle are also reported to affect the gingival bleeding. 6.Diabetes: marked inflammation affects both epithelium & C.T., which leads to destruction of reticulin fibers. 7.Medication: Anticonvulsant, antihypertensive & immunosuppressant are known to cause gingival enlargement.
  • 14.
    Drug induced gingivalenlargement Gingival inflammation in pregnancy Hemophilia Leukemia
  • 15.
    In diagnosis  Theinsertion of probe to the bottom of the pocket elicits bleeding if the gingiva is inflamed & the pocket epithelium is atrophic or ulcerated.  To test for bleeding, the probe is carefully introduced to the bottom of the pocket & gently moved laterally along the pocket wall.  Sometimes bleeding appears immediately after removal of the probe; other times it may be delayed for a few seconds.  Therefore rechecking for bleeding 30 to 60 seconds after probing.
  • 17.
    Bleeding point index It is used for evaluation of gingival inflammation.  For record the index retract the cheek & place the periodontal probe 1mm into the sulcus or pocket at the distal aspect of the most posterior tooth in the quadrant on the buccal surface.  Carry the probe lightly across the length of the sulcus to the mesial interproximal area on the facial aspect.  Wait for the 30 sec. & record the presence of bleeding on the distal, facial & mesial surface.  Repeat the same for palatal/lingual surface.  Percentage of the number of bleeding surfaces is calculated by dividing the number of the surfaces that bled by the total no. of tooth surface(4 per tooth) & by multiplying by 100.  Goal of 10% or fewer bleeding points is good, but 0 is ideal.
  • 18.
    conclusion  Bleeding onprobing is indicates the progression of attachment loss.  If periodontal treatment is successful, bleeding on probing will cease.