Balsenes traumas
Marks Ronis
MF IV
Balsenes
trauma
Vaļēja
Slēgta -
iekšēja
Slēgta -
ārēja
2
Cēloņi
Autoavārija Kautiņš
Pašnāvības
mēģinājums
Žņaugšana
Cits 3
Patofizioloģija?
• Mehāniska spēka stiprums nosaka bojājumu.
•NB! Pēc 40 gadiem pārkaļķojas
balsenes skrimšļu skelets – lielāka
iespējamība, ka skelets salūzt
atšķirībā no bērniem.
4
Vaļējas traumas
Grieztas brūces, izšķir:
• brūces, kas atrodas zemāk par mēles kaulu (brūce ir plaši
atvērta, caur to var apskatīt balseni un daļu rīkles, zūd
valoda)
• zemsaišu apvidus bojājums(tiek traumēta koniskā saite,
galvenais simptoms-apgrūtināta elpošana)
5
6
• «Diagnoze grūtības nesagādā», jānosaka brūces precīzs
līmenis.
• Prognoze laba, ja nav bojāti maģistrālie asinsvadi, nav
asfiksijas.
• Ārstēšana: Principā ķirurģiska – aptur asiņošanu,
nodrošina elpošanu (traheostoma), brūces primāra
apdare, pirms aizšūšanas zonde barošanai?, vēlāk masīva
a/b terapija, šoka terapija, sāpju kupēšana. 7
Durtas brūces:
Mazs ārējais izmērs, bet dziļa, šaura eja.
Simptomi: Stenotiska elpošana, bieži bojā lielos a/v, tāpēc
novēro klepu ar asiņainām krēpām attīstās mīksto audu
emfizēma.
Diagnoze: Grūtības nesagādā, prognoze atkarībā no a/v
stāvokļa, balsenes elpošanas funkcijas.
8
• Šautas brūces:
Cauršautas(2 atveres-ieejas, izejas), aklas(zūd lodes
ātrums, iestrēgst) pieskares(neskar balsenes gļotādu)
Simptomātika: Bezsamaņa, šoks, apgrūtināta elpošana,
mīksto audu emfizēma kas liecina par ievainojumu
balsenes dobumā, traucēta rīšana.
9
• Diagnoze pamatojas uz anamnēzes, apskates datiem,
rentgenoloģiskiem izmeklējumiem, laringoskopiju izdara tikai pēc
vairākām dienām, sāpīguma dēļ.
10
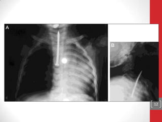
Iekšējas traumas:
• Svešķermeņu iedarbības, ārstniecisku manipulāciju (piem.,
intubācijas) rezultātā.
• Nav bīstami, izņemot balsenes skrimšļu hondroperihondrīta
attīstības iespēju, ilgstošas intubācijas gadījumā var būt
balsenes stenoze.
11
12
Diagnostika: anamnēze, apskate, RTG, prognoze atkarīga no
traumas lokalizācijas, veida (nobrāzums, dūriens, izguējums),
ilguma, klīnikas.
Ārstēšana: jāņem vērā anamnēze, ja ir abscess ārējā balsenes
daļā, tas jāatver, smagos gadījumos jāveic traheostomija, plaša
spektra a/b.
13
• Apdegumi: ķīmiskie(ieelpojot, norijot) un termiskie
Simptomātika: apgrūtināta elpošana, balss pārmaiņas, afonija,
jādomā par difterijas iespējamību.
Diagnoze: anamnēze, bojājumu klīnika, vieglos gadījumos
prognoze laba, smagākos- balsenes stenoze, asfiksija, akūta
nieru insuficience, nāve.
14
Apdeguma smagums un prognoze
Franka indekss
1% dziļu ķermeņa apdegumu novērtē ar 3 ballēm,
bet 1% virspusēju apdegumu ar 1 balli
< 30 – prognoze labvēlīga
31 – 60 nosacīti labvēlīga
61 – 90 šaubīga
> 91 nelabvēlīga
Elpceļu apdegums + 15% pie apdeguma platības
15
• Ārstēšana: nodrošināt brīvus elpceļus. Pie ķīmiskiem
apdegumiem nav atļauts taisīt endoskopiju pirmas 24h,
jo var perforēt,ārstē ar kortikosteroīdiem, antibakteriālo
terapiju (sekundāra inf.), endoskopiju taisa tikai pēc 10-
14 dienām (meklē komplikācijas –saaugumus, epiglottis
defektus u.c.)
16
Balsenes slēgtas traumas
• Sasitumi, balsenes saspiedumi, balsenes skrimšļu, os
hyoideum lūzumi, balsenes atrāvumi no trahejas.
• Raksturīgi sadzīves un ražošanas traumām.
• Bērnus ir grūtāk traumēt, jo viņiem skrimšļi un saites ir
mobīlāki nekā pieaugušajiem.
• Pēc traumas, kad galva tiek hiperekstenseta, ir bīstami
pacientus elpināt, jo var nejauši atraut traheju no balsenes.
17
Prognoze: nopietna (īpaši, ja ir skrimšļu lūzumi). Asiņošanas dēļ
var attīstīties balsenes stenoze, trahejas un bronhu
tamponāde, kas var novest pie asfiksijas vai mediastinīta (ja
iekļūst infek.).
Ārstēšana: traheostoma, asins atsūkšana no bronhiem,
laringofissura bojātu skrimšļu fragmentu izņemšanai,
hemostāzes likvidācijai. Pretšoka terapija. Barošana caur
zondi.
18
• Stacionē un observē – respiratorais distress? (psiholoģiski)
• Saudzējošs režīms balsenei – nerunāt, nečukstēt
• Mitrināts gaiss
• GK
• a/b perihondrīta un nekrozes novēršanai
19
Avoti
• Basic Otorhinolaryngology R. Probst, G. Grevers, H. Iro 2005.
• Management of acute blunt and penetrating external
laryngeal trauma Steven D. Schaefer MD 2013.
20

Balsenes traumas

  • 1.
  • 2.
  • 3.
  • 4.
    Patofizioloģija? • Mehāniska spēkastiprums nosaka bojājumu. •NB! Pēc 40 gadiem pārkaļķojas balsenes skrimšļu skelets – lielāka iespējamība, ka skelets salūzt atšķirībā no bērniem. 4
  • 5.
    Vaļējas traumas Grieztas brūces,izšķir: • brūces, kas atrodas zemāk par mēles kaulu (brūce ir plaši atvērta, caur to var apskatīt balseni un daļu rīkles, zūd valoda) • zemsaišu apvidus bojājums(tiek traumēta koniskā saite, galvenais simptoms-apgrūtināta elpošana) 5
  • 6.
  • 7.
    • «Diagnoze grūtībasnesagādā», jānosaka brūces precīzs līmenis. • Prognoze laba, ja nav bojāti maģistrālie asinsvadi, nav asfiksijas. • Ārstēšana: Principā ķirurģiska – aptur asiņošanu, nodrošina elpošanu (traheostoma), brūces primāra apdare, pirms aizšūšanas zonde barošanai?, vēlāk masīva a/b terapija, šoka terapija, sāpju kupēšana. 7
  • 8.
    Durtas brūces: Mazs ārējaisizmērs, bet dziļa, šaura eja. Simptomi: Stenotiska elpošana, bieži bojā lielos a/v, tāpēc novēro klepu ar asiņainām krēpām attīstās mīksto audu emfizēma. Diagnoze: Grūtības nesagādā, prognoze atkarībā no a/v stāvokļa, balsenes elpošanas funkcijas. 8
  • 9.
    • Šautas brūces: Cauršautas(2atveres-ieejas, izejas), aklas(zūd lodes ātrums, iestrēgst) pieskares(neskar balsenes gļotādu) Simptomātika: Bezsamaņa, šoks, apgrūtināta elpošana, mīksto audu emfizēma kas liecina par ievainojumu balsenes dobumā, traucēta rīšana. 9
  • 10.
    • Diagnoze pamatojasuz anamnēzes, apskates datiem, rentgenoloģiskiem izmeklējumiem, laringoskopiju izdara tikai pēc vairākām dienām, sāpīguma dēļ. 10
  • 11.
    Iekšējas traumas: • Svešķermeņuiedarbības, ārstniecisku manipulāciju (piem., intubācijas) rezultātā. • Nav bīstami, izņemot balsenes skrimšļu hondroperihondrīta attīstības iespēju, ilgstošas intubācijas gadījumā var būt balsenes stenoze. 11
  • 12.
  • 13.
    Diagnostika: anamnēze, apskate,RTG, prognoze atkarīga no traumas lokalizācijas, veida (nobrāzums, dūriens, izguējums), ilguma, klīnikas. Ārstēšana: jāņem vērā anamnēze, ja ir abscess ārējā balsenes daļā, tas jāatver, smagos gadījumos jāveic traheostomija, plaša spektra a/b. 13
  • 14.
    • Apdegumi: ķīmiskie(ieelpojot,norijot) un termiskie Simptomātika: apgrūtināta elpošana, balss pārmaiņas, afonija, jādomā par difterijas iespējamību. Diagnoze: anamnēze, bojājumu klīnika, vieglos gadījumos prognoze laba, smagākos- balsenes stenoze, asfiksija, akūta nieru insuficience, nāve. 14
  • 15.
    Apdeguma smagums unprognoze Franka indekss 1% dziļu ķermeņa apdegumu novērtē ar 3 ballēm, bet 1% virspusēju apdegumu ar 1 balli < 30 – prognoze labvēlīga 31 – 60 nosacīti labvēlīga 61 – 90 šaubīga > 91 nelabvēlīga Elpceļu apdegums + 15% pie apdeguma platības 15
  • 16.
    • Ārstēšana: nodrošinātbrīvus elpceļus. Pie ķīmiskiem apdegumiem nav atļauts taisīt endoskopiju pirmas 24h, jo var perforēt,ārstē ar kortikosteroīdiem, antibakteriālo terapiju (sekundāra inf.), endoskopiju taisa tikai pēc 10- 14 dienām (meklē komplikācijas –saaugumus, epiglottis defektus u.c.) 16
  • 17.
    Balsenes slēgtas traumas •Sasitumi, balsenes saspiedumi, balsenes skrimšļu, os hyoideum lūzumi, balsenes atrāvumi no trahejas. • Raksturīgi sadzīves un ražošanas traumām. • Bērnus ir grūtāk traumēt, jo viņiem skrimšļi un saites ir mobīlāki nekā pieaugušajiem. • Pēc traumas, kad galva tiek hiperekstenseta, ir bīstami pacientus elpināt, jo var nejauši atraut traheju no balsenes. 17
  • 18.
    Prognoze: nopietna (īpaši,ja ir skrimšļu lūzumi). Asiņošanas dēļ var attīstīties balsenes stenoze, trahejas un bronhu tamponāde, kas var novest pie asfiksijas vai mediastinīta (ja iekļūst infek.). Ārstēšana: traheostoma, asins atsūkšana no bronhiem, laringofissura bojātu skrimšļu fragmentu izņemšanai, hemostāzes likvidācijai. Pretšoka terapija. Barošana caur zondi. 18
  • 19.
    • Stacionē unobservē – respiratorais distress? (psiholoģiski) • Saudzējošs režīms balsenei – nerunāt, nečukstēt • Mitrināts gaiss • GK • a/b perihondrīta un nekrozes novēršanai 19
  • 20.
    Avoti • Basic OtorhinolaryngologyR. Probst, G. Grevers, H. Iro 2005. • Management of acute blunt and penetrating external laryngeal trauma Steven D. Schaefer MD 2013. 20