 Ostium Secundum (85%)
 Ostium Primum (6%)
 Sinus Venosus (8%)
 Common atrium (1pt)
CLASSIFICATION
 Ostium secundum defects (75%- 85% of
ASDs) -fossa ovalis.
 Ostium primum defects (10 - 15%) -lower
portion of the atrial septum.
 Sinus venosus defects (5 - 10%) -orifice of the
superior vena cava.
 Sinus venosus defects of IVC type (1%).
 Coronary sinus (1%) septal defect (in
coronary sinus and the left atrium allows a left-
to-right shunt to occur through an “unroofed”
coronary sinus).
Ostium secundum defect
 Excessive cell death and resorption of the septum
primum or
 Inadequate development of the septum
secundum.
Ostium primum defect
 Failure of EC to fuse completely
INCOMPLETE FUSION OF ATRIOVENTRICULAR
ENDOCARDIAL CUSHIONS
outside the margins of the fossa ovalis, in relation to the venous connections of
the right atrium.
located posterior and superior to the fossa
defect is rimmed by atrial septal tissue only anteroinferiorly
posterior aspect is the right atrial free wall, and its superior border is often absent
because of an overriding superior vena cava.
Infrequently, the defect may be directly posterior to the fossa ovalis or may be
posteroinferior such that the inferior vena cava may join both atria
CS defect (unroofed CS) results from failure of the wall between the
left atrium and CS to develop.
complete or partial unroofing of the CS -direct communication with the
left atrium.
Almost always this anomaly is associated with left SVC.
Defect is at the site of CS ostium,anterior
and inferior to the fossa ovalis
BASED ON SIZE
 SMALL: > 3mm - < 6 mm
 MODERATE: ≥ 6 - < 12mm
 LARGE: ≥ 12mm
McMohan et al 2002
 SMALL: 4 - 5MM
 MEDIUM: 6 – 8MM
 LARGE: > 8MM
Anita Saxena 2005
 8-10% of congenital heart defects in
children.
 56 per 100,000 live births
 female:male ratio for secundum ASD = 2:1
 For sinus venosus ASD= 1:1
GENETICS
 NKX2-chromosome-5-AD and AV
conduction defect.
GENETICS
 HOLT-ORAM = transcription factor
TBX5, essential in development of both
the heart and upper limbs.
 DOWN syndrome
 Nooonan syndrome
A. SPONTANEOUS CLOSURE
 Spontaneous closure -14–66%
 Predictors of Closure
1. Smaller size
2. Earlier age at diagnosis (< 2yrs)
Cockerham et al 1983
 Underwent cath < 4 yrs of age for a
significant secundum ASD
 Spontaneous closure =22 % of those
who underwent cath in age <1 yr
 2-4 yrs at time of cath =rate of
spontaneous closure decreased to 3%
 wait till 4 years of age for elective
closure.
Radzik et al 1993 (size)
 ASD < 5 mm including PFO = 87 %
SPONATNOUS CLOSURE
 > 8 mm- NO SPONTANEOUS
CLOSURE
HANSLIK et al 2006, AUSTRIA
 children (diagnosis Age: 5M; < 1M – 13.9 Y)
 Spontaneous closure: 34%
 Decrease in size to < 3mm: 28%
 Initial ASD size at diagnosis was the main predictor
SIZE AT
DIAGNOSI
S (mm)
NUMBER CLOSURE REGRESSIO
N
INTERVENT
ION
4 – 5 40% 56% 30% NONE
6 – 7 28%
8 – 10 21%
> 10 11% 0 0 77 %
GROWTH OF ISOLATED OSTIUM
SECUNDUM DEFECTS
McMohan et al.
 104 pts

OVERALL GROUP
 66% had increase in the size of ASD at a rate of
0.8mm/year (0.2 – 6.4mm/year) with 30% having > 50%
increase in ASD size.
 ASD size decreased in 15 patients (14%)
 Unchanged in 21 (20%).
 rate of growth was independent of age at diagnosis,
ranging from 0.72 mm/year for the 2–4 year age group
to 1.29 mm/year for the 4–6 year age group, which was
not significant (p = 0.9).
SMALL SIZED ASD
 10% defects closed spontaneously.
 50% defects increased in size.
 20% of =s increased from the small to the
moderate group
 9%= defects increased from the small to the large
group.
MODERATE SIZED ASD
 38%=were moderate sized.
 (7.5=decreased to < 6 mm
 20%=increased to > 12mm
LARGE ASD
 30 defects were large (29%) and on follow up 45 defects qualified as large
(43%).
 All patients with large defects remained in the same group.
 The mean increase in size was 1.44 (1.9) mm/year.
 Mean follow up was 2.9 years (range 0.7–8.1 years).
Nawal Azhari. Cardiol Young 2004; 14: 148–155
 Retrospective analysis of 121 cases isolated
secundum ASDs between 1990 – 2003
 18.2% - 3 to 5 mm,
 22.3% - 5 to 8 mm, and
 59.5% - > 8 mm
 Mean age at diagnosis was 23.0 ± 24.3 M (1 day
to 11 years).
 25.6% had spontaneous closure
ANITA SAXENA Indian Heart J 2005
SMALL 4 -5
MODERATE 6 – 8
LARGE ≥ 8
SPONTANEOUS CLOSURE 26%
DECREASED SIZE 20%
SAME 25%
ENLARGED 29%
SMALL (4-5 mm): Likely to close
LARGE ≥ 8 mm: Likely to remain same or enlarge
Summary
 larger than 8-10 mm - less likely to close
spontaneously
 ASDs diagnosed after the first 4 yrs of life
are less likely to spontaneously close
COMPLICATIONS
 Symptoms of exercise intolerance and
fatigue/CCF
 Atrial arrhythmias
 Pulmonary hypertension
 Systemic embolization
 Reduced life expectancy
Symptoms of exercise
intolerance and fatigue/CCF
 uncommon presentation in childhood
 common in older patients.
 Craig and Selzer
Age % patients with exertional
dyspnea
20-40 yrs 14 %
40-60 yrs 24%
>60 yrs 75%
Atrial arrythmias
 Right atrial dilatation -AF and less commonly Afl,
 exacerbate signs and symptoms of CCF.
 most common presenting symptoms in the 4th to
5th decade of life.
 >50% in patients older than 60 yrs (Berger F et
al)
 Craig and Selzer =80% of ASD patients above
40 yrs age had chronic atrial tachyarrhythmias
JAMES GAULT
 62 pts > 40 years (46.5 years)
CLINICAL FEATURES
 94% were symptomatic at initial presentation
1. Dyspnea – 90%
2. Fatigue – 48%
3. Palpitations – 43%
4. Edema – 28%
5. Angina – 8%
 NYHA II - 45% NYHA III – 43.5%
 82% in NYHA II/III had PAH with > 50% having severe PAH
 Severe PAH with balanced or reversed shunt: 13%
Pulmonary hypertension
 Not common in young age
 14 -18 % between 20-40 yrs age
develop PAH
 Eissenmenger is infrequent
 usually occurs late in life
 BY konstantinides et al- mean age was
56 yrs
PULMONARY HYPERTENSION IN ASD
HEART 1999
Heart 1999;82:30-33Heart 1999;82:30-33Heart 1999;82:30-33
SEVERE PAH IN INFANCY
Sora Goetschmann et al. Am J Cardiol 2008; 102:340 –342
 Retrospective analysis of 355 patients with isolated ASD
undergoing closure through surgery or device over a 10 year
period between 1996 and 2006.
 2.2% of the total study population had severe PAH (> 50 % of
systemic pressure)
MORTALITY
 pulmonary artery thrombosis
 congestive heart failure
 paradoxical embolism
 recurrent respiratory tract infections
Campbell et al 1970
Analysis by Maurice Campbell,
1970 british heart journal
ACC AHA CLASS 1
 1. right atrial and RV enlargement with
or without symptoms. (: B)
 2. A sinus venosus, coronary sinus, or
primum ASD =surgically (Level of
Evidence: B)
Class 2A recommendations
 Surgical closure of secundum ASD is
reasonable when concomitant surgical
repair/replacement of a tricuspid valve is
considered or when the anatomy of the
defect precludes the use of a percutaneous
device. (Level of Evidence: C)
 2. reasonable
 a. Paradoxical embolism. (Level of Evidence: C)
 b. Documented orthodeoxia-platypnea. (Level of
Evidence: B)
Class 2B
 net left-to-right shunting, Qp/Qs>1.5
 pulmonary artery pressure less than two
thirds systemic levels,
 PVR less than two thirds systemic
vascular resistance,
 or when responsive to either pulmonary
vasodilator therapy or test occlusion of
the defect. (Level of Evidence: C)
Class 3 recommendation
 severe irreversible PAH and no
evidence of a left-to-right shunt
 (Level of Evidence: B)
IDEAL AGE FOR
CLOSURE
 In asymptomatic child: 2-4 years (Class I).
 For sinus venosus defect surgery may be delayed
to 4-5 years (Class IIa).
 Symptomatic ASD in infancy (congestive heart
failure, severe pulmonary artery hypertension):
seen in about 8%-10% of cases. Rule out
associated lesions (e.g., total anomalous
pulmonary venous drainage, left ventricular inflow
obstruction, aorto-pulmonary window). Early
closure is recommended (Class I).
 If presenting beyond ideal age: Elective closure
irrespective of age as long as there is right heart
volume overload and pulmonary vascular
resistance is in operable range (Class I).
What to do for small defects???
 Closure of small defects without any right sided
cardiac enlargement is controversial.
 While these patients may remain asymptomatic well
into their fourth and fifth decades of life, there is
concern about increase of the left to right shunt at
an older age due to reduced LV compliance as a
result of CAD, systemic HTN, or valvular heart
disease.
 Routine follow up of these patients during adulthood
is recommended.
 And should include assessment for atrial
arrhythmias, paradoxical embolic events and an
echocardiogram every 2-3 yearly.
Murphy et al NEJM 1990
 123 pts who underwent surgical closure of ASD
at MAYO clinic between 1956 – 1960.
 F/U: 27 – 32Y
 Operative mortality: 3.3%
 Survival
5y: 97% 10y: 90%
15y: 88% 20y: 83%
25y:81% 30y: 74%
MARTIN G. ST. JOHN SUTTON, Circulation 64, No. 2, 1981.
 Between 1955 and 1977, 66 patients aged > 60
years.
 Operative mortality: 6%
 Forty-seven patients were followed up for 2-20
years (mean 6.6 years), and of these, 41 (87%)
improved by at least one functional class.
 Symptomatic benefit occurred in all groups,
regardless of preoperative PAP, pulmonary
vascular resistance or functional class.
Michael Humenberger, EHJ 2010
 To assess the impact of age on benefit of
closure of ASD
STAVROS KONSTANTINIDES, NEJM 1995
 Retrospective analysis of surgical vs medical
therapy in 179 patients > 40 years of age
with ASD
 F/U: 8.9 ± 5.2 years (range, 1 to 26)
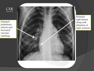
CXR
Enlarged
pulmonary
arteries and
increased
vascular
markings
Enlarged
right atrium
along with
dilatation of
right ventricle
ECG
Enlarged ‘p’
wave
indicating
Right atrial
hypertrophy
rSR’ seen and tall R wave
Indicating RBBB and RVH
Also note that the aVF is
predominantly upwards
as compared to Lead I
indicating Right Axis
Deviation
LAD with rSR’ in V1 is suggestive of
Ostium primum defect
CROCHETAGE SIGN
Atrial septal defects
Atrial septal defects
Atrial septal defects
Atrial septal defects
Atrial septal defects
Atrial septal defects

Atrial septal defects

  • 9.
     Ostium Secundum(85%)  Ostium Primum (6%)  Sinus Venosus (8%)  Common atrium (1pt)
  • 10.
    CLASSIFICATION  Ostium secundumdefects (75%- 85% of ASDs) -fossa ovalis.  Ostium primum defects (10 - 15%) -lower portion of the atrial septum.  Sinus venosus defects (5 - 10%) -orifice of the superior vena cava.  Sinus venosus defects of IVC type (1%).  Coronary sinus (1%) septal defect (in coronary sinus and the left atrium allows a left- to-right shunt to occur through an “unroofed” coronary sinus).
  • 12.
    Ostium secundum defect Excessive cell death and resorption of the septum primum or  Inadequate development of the septum secundum. Ostium primum defect  Failure of EC to fuse completely
  • 15.
    INCOMPLETE FUSION OFATRIOVENTRICULAR ENDOCARDIAL CUSHIONS
  • 16.
    outside the marginsof the fossa ovalis, in relation to the venous connections of the right atrium. located posterior and superior to the fossa defect is rimmed by atrial septal tissue only anteroinferiorly posterior aspect is the right atrial free wall, and its superior border is often absent because of an overriding superior vena cava. Infrequently, the defect may be directly posterior to the fossa ovalis or may be posteroinferior such that the inferior vena cava may join both atria
  • 17.
    CS defect (unroofedCS) results from failure of the wall between the left atrium and CS to develop. complete or partial unroofing of the CS -direct communication with the left atrium. Almost always this anomaly is associated with left SVC. Defect is at the site of CS ostium,anterior and inferior to the fossa ovalis
  • 18.
    BASED ON SIZE SMALL: > 3mm - < 6 mm  MODERATE: ≥ 6 - < 12mm  LARGE: ≥ 12mm McMohan et al 2002  SMALL: 4 - 5MM  MEDIUM: 6 – 8MM  LARGE: > 8MM Anita Saxena 2005
  • 20.
     8-10% ofcongenital heart defects in children.  56 per 100,000 live births  female:male ratio for secundum ASD = 2:1  For sinus venosus ASD= 1:1
  • 21.
  • 22.
    GENETICS  HOLT-ORAM =transcription factor TBX5, essential in development of both the heart and upper limbs.  DOWN syndrome  Nooonan syndrome
  • 24.
    A. SPONTANEOUS CLOSURE Spontaneous closure -14–66%  Predictors of Closure 1. Smaller size 2. Earlier age at diagnosis (< 2yrs)
  • 25.
    Cockerham et al1983  Underwent cath < 4 yrs of age for a significant secundum ASD  Spontaneous closure =22 % of those who underwent cath in age <1 yr  2-4 yrs at time of cath =rate of spontaneous closure decreased to 3%  wait till 4 years of age for elective closure.
  • 26.
    Radzik et al1993 (size)  ASD < 5 mm including PFO = 87 % SPONATNOUS CLOSURE  > 8 mm- NO SPONTANEOUS CLOSURE
  • 27.
    HANSLIK et al2006, AUSTRIA  children (diagnosis Age: 5M; < 1M – 13.9 Y)  Spontaneous closure: 34%  Decrease in size to < 3mm: 28%  Initial ASD size at diagnosis was the main predictor SIZE AT DIAGNOSI S (mm) NUMBER CLOSURE REGRESSIO N INTERVENT ION 4 – 5 40% 56% 30% NONE 6 – 7 28% 8 – 10 21% > 10 11% 0 0 77 %
  • 29.
    GROWTH OF ISOLATEDOSTIUM SECUNDUM DEFECTS McMohan et al.  104 pts 
  • 30.
    OVERALL GROUP  66%had increase in the size of ASD at a rate of 0.8mm/year (0.2 – 6.4mm/year) with 30% having > 50% increase in ASD size.  ASD size decreased in 15 patients (14%)  Unchanged in 21 (20%).  rate of growth was independent of age at diagnosis, ranging from 0.72 mm/year for the 2–4 year age group to 1.29 mm/year for the 4–6 year age group, which was not significant (p = 0.9).
  • 31.
    SMALL SIZED ASD 10% defects closed spontaneously.  50% defects increased in size.  20% of =s increased from the small to the moderate group  9%= defects increased from the small to the large group.
  • 32.
    MODERATE SIZED ASD 38%=were moderate sized.  (7.5=decreased to < 6 mm  20%=increased to > 12mm
  • 33.
    LARGE ASD  30defects were large (29%) and on follow up 45 defects qualified as large (43%).  All patients with large defects remained in the same group.  The mean increase in size was 1.44 (1.9) mm/year.  Mean follow up was 2.9 years (range 0.7–8.1 years).
  • 35.
    Nawal Azhari. CardiolYoung 2004; 14: 148–155  Retrospective analysis of 121 cases isolated secundum ASDs between 1990 – 2003  18.2% - 3 to 5 mm,  22.3% - 5 to 8 mm, and  59.5% - > 8 mm  Mean age at diagnosis was 23.0 ± 24.3 M (1 day to 11 years).  25.6% had spontaneous closure
  • 37.
    ANITA SAXENA IndianHeart J 2005 SMALL 4 -5 MODERATE 6 – 8 LARGE ≥ 8 SPONTANEOUS CLOSURE 26% DECREASED SIZE 20% SAME 25% ENLARGED 29% SMALL (4-5 mm): Likely to close LARGE ≥ 8 mm: Likely to remain same or enlarge
  • 38.
    Summary  larger than8-10 mm - less likely to close spontaneously  ASDs diagnosed after the first 4 yrs of life are less likely to spontaneously close
  • 40.
    COMPLICATIONS  Symptoms ofexercise intolerance and fatigue/CCF  Atrial arrhythmias  Pulmonary hypertension  Systemic embolization  Reduced life expectancy
  • 41.
    Symptoms of exercise intoleranceand fatigue/CCF  uncommon presentation in childhood  common in older patients.  Craig and Selzer Age % patients with exertional dyspnea 20-40 yrs 14 % 40-60 yrs 24% >60 yrs 75%
  • 42.
    Atrial arrythmias  Rightatrial dilatation -AF and less commonly Afl,  exacerbate signs and symptoms of CCF.  most common presenting symptoms in the 4th to 5th decade of life.  >50% in patients older than 60 yrs (Berger F et al)  Craig and Selzer =80% of ASD patients above 40 yrs age had chronic atrial tachyarrhythmias
  • 43.
    JAMES GAULT  62pts > 40 years (46.5 years) CLINICAL FEATURES  94% were symptomatic at initial presentation 1. Dyspnea – 90% 2. Fatigue – 48% 3. Palpitations – 43% 4. Edema – 28% 5. Angina – 8%  NYHA II - 45% NYHA III – 43.5%  82% in NYHA II/III had PAH with > 50% having severe PAH  Severe PAH with balanced or reversed shunt: 13%
  • 44.
    Pulmonary hypertension  Notcommon in young age  14 -18 % between 20-40 yrs age develop PAH  Eissenmenger is infrequent  usually occurs late in life  BY konstantinides et al- mean age was 56 yrs
  • 45.
  • 47.
    HEART 1999 Heart 1999;82:30-33Heart1999;82:30-33Heart 1999;82:30-33
  • 49.
    SEVERE PAH ININFANCY Sora Goetschmann et al. Am J Cardiol 2008; 102:340 –342  Retrospective analysis of 355 patients with isolated ASD undergoing closure through surgery or device over a 10 year period between 1996 and 2006.  2.2% of the total study population had severe PAH (> 50 % of systemic pressure)
  • 51.
    MORTALITY  pulmonary arterythrombosis  congestive heart failure  paradoxical embolism  recurrent respiratory tract infections
  • 52.
  • 53.
    Analysis by MauriceCampbell, 1970 british heart journal
  • 55.
    ACC AHA CLASS1  1. right atrial and RV enlargement with or without symptoms. (: B)  2. A sinus venosus, coronary sinus, or primum ASD =surgically (Level of Evidence: B)
  • 56.
    Class 2A recommendations Surgical closure of secundum ASD is reasonable when concomitant surgical repair/replacement of a tricuspid valve is considered or when the anatomy of the defect precludes the use of a percutaneous device. (Level of Evidence: C)  2. reasonable  a. Paradoxical embolism. (Level of Evidence: C)  b. Documented orthodeoxia-platypnea. (Level of Evidence: B)
  • 57.
    Class 2B  netleft-to-right shunting, Qp/Qs>1.5  pulmonary artery pressure less than two thirds systemic levels,  PVR less than two thirds systemic vascular resistance,  or when responsive to either pulmonary vasodilator therapy or test occlusion of the defect. (Level of Evidence: C)
  • 58.
    Class 3 recommendation severe irreversible PAH and no evidence of a left-to-right shunt  (Level of Evidence: B)
  • 59.
    IDEAL AGE FOR CLOSURE In asymptomatic child: 2-4 years (Class I).  For sinus venosus defect surgery may be delayed to 4-5 years (Class IIa).  Symptomatic ASD in infancy (congestive heart failure, severe pulmonary artery hypertension): seen in about 8%-10% of cases. Rule out associated lesions (e.g., total anomalous pulmonary venous drainage, left ventricular inflow obstruction, aorto-pulmonary window). Early closure is recommended (Class I).  If presenting beyond ideal age: Elective closure irrespective of age as long as there is right heart volume overload and pulmonary vascular resistance is in operable range (Class I).
  • 60.
    What to dofor small defects???  Closure of small defects without any right sided cardiac enlargement is controversial.  While these patients may remain asymptomatic well into their fourth and fifth decades of life, there is concern about increase of the left to right shunt at an older age due to reduced LV compliance as a result of CAD, systemic HTN, or valvular heart disease.  Routine follow up of these patients during adulthood is recommended.  And should include assessment for atrial arrhythmias, paradoxical embolic events and an echocardiogram every 2-3 yearly.
  • 62.
    Murphy et alNEJM 1990  123 pts who underwent surgical closure of ASD at MAYO clinic between 1956 – 1960.  F/U: 27 – 32Y  Operative mortality: 3.3%  Survival 5y: 97% 10y: 90% 15y: 88% 20y: 83% 25y:81% 30y: 74%
  • 67.
    MARTIN G. ST.JOHN SUTTON, Circulation 64, No. 2, 1981.  Between 1955 and 1977, 66 patients aged > 60 years.  Operative mortality: 6%  Forty-seven patients were followed up for 2-20 years (mean 6.6 years), and of these, 41 (87%) improved by at least one functional class.  Symptomatic benefit occurred in all groups, regardless of preoperative PAP, pulmonary vascular resistance or functional class.
  • 68.
    Michael Humenberger, EHJ2010  To assess the impact of age on benefit of closure of ASD
  • 73.
    STAVROS KONSTANTINIDES, NEJM1995  Retrospective analysis of surgical vs medical therapy in 179 patients > 40 years of age with ASD  F/U: 8.9 ± 5.2 years (range, 1 to 26)
  • 80.
  • 81.
    ECG Enlarged ‘p’ wave indicating Right atrial hypertrophy rSR’seen and tall R wave Indicating RBBB and RVH Also note that the aVF is predominantly upwards as compared to Lead I indicating Right Axis Deviation LAD with rSR’ in V1 is suggestive of Ostium primum defect
  • 82.