Hybrid approach for type A
     aortic dissection
     Gian Luca Martinelli MD
             CV Surgery Dept.
     S Anna Hospital – Catanzaro - Italy
Possible scenarios
•   Complete resection of dissected aorta
•   Total thrombosis in the false lumen
•   Partial thrombosis in the false lumen
•   Perfused false lumen

       Shrinkage of the false lumen
Our goal: remodeling the aorta
• Extensive repair of the aorta should prevent
  chronic progressive enlargement of the false lumen
  and further aortic complications.

• Hybrid approach:
  extend the treatment without increasing mortality
  rate.
Two surgical options
• Multibranched Frozen Elephant Trunk :
  Ascending-arch repair with multibranched grafting
  + descending aortic stenting
• Two-step approach:
① Ascending-arch repair with multibranched grafting
② Carotid-subclavian bypass + TEVAR
         with ideal landing zone
The choice depends on clinical presentation,
  site of the intimal tear and patient age
Multibranched Frozen Elephant Trunk
            Clinical Case 1
59 yo man
Acute aortic Type A dissection: arch entering tear
Not complicated (Penn Class Aa)
Surgical treatment:


      Multibranched – FET with Captivia-
           Medtronic-VAMC 32-32-150
Preoperative MSCT scan
Guide wire in the true lumen
S. ANNA HOSPITAL – Photografic archive
FINAL RESULT
Two-step approach
                Clinical Case 2

• 57 yo man;
• Pain, syncope and 3 h transient drowsiness (no
  neurological damages);
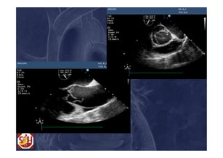
• TTE: severe IA, without pericardial effusion;
• CT scan: full rupture (tear) in sino-tubular
  junction and absence of malperfusion.
Preoperative MSCT scan
Case 2: surgical strategy

Bentall operation;
Aortic arch replacement in Z1;
Proximal reimplantation of cerebral vessels;
Creation of an optimal landing zone for TEVAR C-Tag
  Gore 34-34-200
SECOND STEP




Ideal landing in zone 0
FINAL RESULT
CONCLUSIONS

    Decision making key points:
Clinical presentation
Site of intimal tear
Age
        Two surgical options:
FET or Hybrid two step approach
Thank you
Tips and Tricks
• Use of branched graft
• Anterograde deployement wire guided
• Very “proximal” distal anastomosis (Z 0-1) in
  shorter circulatory arrest time, mild
  hypothermia, anterograde selective cerebral
  perfusion
Repair of acute type A aortic
 dissection prevents further
         procedures?

Most patients after surgery for AAD
remain at risk for dissection-related
       aortic complications

Hybrid approach for type a aortic dissection

  • 1.
    Hybrid approach fortype A aortic dissection Gian Luca Martinelli MD CV Surgery Dept. S Anna Hospital – Catanzaro - Italy
  • 2.
    Possible scenarios • Complete resection of dissected aorta • Total thrombosis in the false lumen • Partial thrombosis in the false lumen • Perfused false lumen Shrinkage of the false lumen
  • 3.
    Our goal: remodelingthe aorta • Extensive repair of the aorta should prevent chronic progressive enlargement of the false lumen and further aortic complications. • Hybrid approach: extend the treatment without increasing mortality rate.
  • 4.
    Two surgical options •Multibranched Frozen Elephant Trunk : Ascending-arch repair with multibranched grafting + descending aortic stenting • Two-step approach: ① Ascending-arch repair with multibranched grafting ② Carotid-subclavian bypass + TEVAR with ideal landing zone The choice depends on clinical presentation, site of the intimal tear and patient age
  • 5.
    Multibranched Frozen ElephantTrunk Clinical Case 1 59 yo man Acute aortic Type A dissection: arch entering tear Not complicated (Penn Class Aa) Surgical treatment: Multibranched – FET with Captivia- Medtronic-VAMC 32-32-150
  • 6.
  • 7.
    Guide wire inthe true lumen
  • 8.
    S. ANNA HOSPITAL– Photografic archive
  • 9.
  • 10.
    Two-step approach Clinical Case 2 • 57 yo man; • Pain, syncope and 3 h transient drowsiness (no neurological damages); • TTE: severe IA, without pericardial effusion; • CT scan: full rupture (tear) in sino-tubular junction and absence of malperfusion.
  • 11.
  • 13.
    Case 2: surgicalstrategy Bentall operation; Aortic arch replacement in Z1; Proximal reimplantation of cerebral vessels; Creation of an optimal landing zone for TEVAR C-Tag Gore 34-34-200
  • 14.
  • 15.
  • 16.
    CONCLUSIONS Decision making key points: Clinical presentation Site of intimal tear Age Two surgical options: FET or Hybrid two step approach
  • 17.
  • 18.
    Tips and Tricks •Use of branched graft • Anterograde deployement wire guided • Very “proximal” distal anastomosis (Z 0-1) in shorter circulatory arrest time, mild hypothermia, anterograde selective cerebral perfusion
  • 19.
    Repair of acutetype A aortic dissection prevents further procedures? Most patients after surgery for AAD remain at risk for dissection-related aortic complications