Embed presentation
Downloaded 64 times










































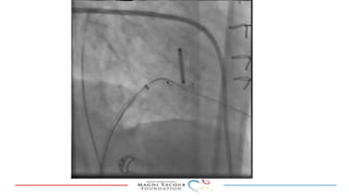
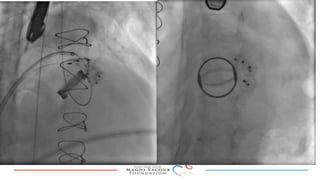
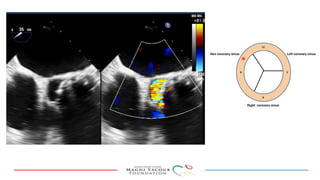
This document provides an overview of percutaneous prosthetic valve leakage (PVL) closure, including indications, approaches, techniques, and closure devices. It discusses that over 210,000 prosthetic valve surgeries are performed each year, with PVL occurring in some cases. While surgical closure has a high mortality rate, percutaneous closure has a procedural success rate of 86% and less complications. Indications for closure include symptomatic heart failure, hemolysis, rocking prosthesis, or leaks over 30% of the sewing ring. Techniques discussed include retrograde and transapical approaches using devices like the Amplatzer and Occlutech plugs. A team approach and techniques like sequential deployment are emphasized for









































