Dr.koushik sharma
ACUTE ABDOMEN
 “Acute abdomen” is a term used to encompass a
spectrum of surgical, medical and gynecological
conditions (intra-abdominal process), ranging from
the trivial to the life threatening, which require
hospital admission, investigation and treatment
Generalized AP
 Perforation
 AAA
 Acute pancreatitis
 Bilateral pleurisy
Central AP
 Early appendicitis
 SBO
 Acute gastritis
 Acute pancreatitis
 Ruptured AAA
 Mesenteric thrombosis
Epigastric pain
 DU / GU
 Oesophagitis
 Acute pancreatitis
 AAA
RUQ pain
 Gallbladder disease
 DU
 Acute pancreatitis
 Pneumonia
 Subphrenic abscess
LUQ pain
 GU
 Pneumonia
 Acute pancreatitis
 Spontaneous splenic
rupture
 Acute perinephritis
 Subphrenic abscess
Suprapubic pain
 Acute urinary retention
 UTIs
 Cystitis
 PID
 Ectopic pregnancy
 Diverticulitis
RIF pain
 Acute appendicitis
 Mesenteric adenitis (young)
 Diverticulitis
 PID
 Salpingitis
 Ureteric colic
 Meckel’s diverticulum
 Ectopic pregnancy
 Crohn’s disease
 Biliary colic (low-lying gall
bladder)
Loin pain
 Muscle strain
 UTIs
 Renal stones
 Pyelonephritis
LIF pain
 Diverticulitis
 Constipation
 IBS
 PID
 Rectal Ca
 UC
 Ectopic pregnancy
 The various imaging modalities available for
investigating the acute abdomen include:
 plain films,
 contrast studies
 ultrasound (US)
 computed tomography(CT), and
 magnetic resonance imaging (MRI).
 The choice of the initial modality to be used should
be guided by the disease suspected on clinical
grounds
Plain radiography
 plain radiographs continue to be initial imaging
modality
 In intestinal obstruction and perforation.
 Contrast examinations have a limited role. An
upper GI series with water soluble contrast may
be performed in cases of suspected perforation or
a contrast enema may be required to confirm a
colonic obstruction.
Ultrasound
US is the ideal screening modality for suspected
 hepatobiliary disease
 suspected pelvic pathology
such as ectopic gestation or acute pelvic inflammatory
disease (PID).
 right lower quadrant pain.
 In cases of suspected intestinal obstruction,
to differentiate between
mechanical obstruction and paralytic ileus. US demonstrates
increased peristalsis in cases of mechanical obstruction, whereas
presence of dilated, atonic loops suggest the diagnosis of
paralytic ILEUS.
 US is also helpful in localizing intra-abdominal abscesses,
particularly in the solid viscera.
CT
 MDCT has become the imaging modality of
 choice for evaluation of the acute abdomen. It
provides
 a comprehensive view of all the intra-abdominal solid
 and hollow viscera, as well as the peritoneum,
mesentery,
 lymph nodes and retroperitoneum. Data can be
acquired
 in different phases making MDCT an ideal modality
for
 evaluation of suspected mesenteric ischemia
 or vasculardisorders such as abdominal aortic
aneurysms.
 Low dose unenhanced CT has replaced excretory
MRI
Recent improvements in resolution and
development of faster breath-hold sequences
have drastically increased the utility of MRI in
evaluation of the gut.
However, MRI is still not routinely used for
evaluation of an acute abdomen except in
situations where iodinated contrast cannot be
administered or in pregnant patients.
What to Examine by
Plain X-ray
 Gas pattern
 Extraluminal air
 Soft tissue masses
 Calcifications
 Skeletal pathology
Normal Gas Pattern
 Stomach
 Always
 Small Bowel
 Two or three loops of non-distended bowel
 Normal diameter = 2.5 cm
 Large Bowel
 In rectum or sigmoid – almost always
Gas in stomach
Gas in a few
loops of small
bowel
Gas in
rectum or
sigmoid
Normal Gas Pattern
Normal Fluid Levels
 Stomach
 Always (except supine film)
 Small Bowel
 Two or three levels possible
 Large Bowel
 None normally
Erect Abdomen
Always air/fluid
level in
stomach
A few air/fluid
levels in
small bowel
Large vs. Small Bowel
 Large Bowel
 Peripheral
 Haustral markings don't extend
from wall to wall
 Small Bowel
 Central
 Valvulae extend across lumen
Haustra films Faecal mottling
Complete Abdomen
Obstruction Series
 Supine
 Erect or left decubitus
 Chest - erect or supine
 Prone or lateral rectum
Complete Abdomen
Supine
 Looking for
 Scout film for gas
pattern
 Calcifications
 Soft tissue masses
 Substitute – none
Complete Abdomen
Erect
 Looking for
 Free air
 Air-fluid levels
 Substitute – left lateral
decubitus
Complete Abdomen
Erect Chest
 Looking for
 Free air
 Pneumonia at bases
 Pleural effusions
 Substitute – supine chest
Complete Abdomen
Prone
 Looking for
 Gas in rectum/sigmoid
 Gas in ascending and
descending colon
 Substitute – lateral rectum
Abnormal Gas Patterns
1. Functional Ileus
 Localized (Sentinel Loops)
 Generalized adynamic ileus
2. Mechanical Obstruction
 SBO
 LBO
Sentinel Loops
Supine Prone
Localized Ileus Key Features
 One or two persistently dilated loops of large
or small bowel
 Gas in rectum or sigmoid
Pancreatitis
Ulcer
Diverticulitis
Cholecystitis
Appendicitis
Sentinel Loops
Localized Ileus
Localized Ileus
Pitfalls
 May resemble early
mechanical SBO
 Clinical course
 Get follow-up
Generalized Ileus
Key Features
 Gas in dilated small bowel and large bowel to rectum
 Long air-fluid levels
 post-op patients have generalized ileus
 Other causes:-
 Peritonitis
 Hypokalemia
 Metabolic disorder as hypothyroidism
 Vascular occlusion
Generalized Adynamic Ileus
Supine Erect
The distinction between small &
large-bowel dilatation
Small bowel large bowel
1. vulvulae conniventes present in jejunum absent
2. number of loops many few
3. distribution of loops central peripheral
4. haustra absent present
5. diameter 3-5 cm 5 cm +
6. radius of curvature small large
7. solid feces absent *present
haustra may be completely absent from the descending & sigmoid colon.
Abnormal Gas Patterns
Ileus and Obstruction
 Localized ileus
 Generalized ileus
 Mechanical SBO
 Mechanical LBO
Conditions causing extraluminal
air
 Perforated abdominal viscus
 Abscesses (subphrenic and other)
 Biliary fistula
 Cholangitis
 Pneumatosis coli
 Necrotising enterocolitis
 Portal pyaemia
Extraluminal Air
Free Intraperitoneal Air
Chest X-ray
This is an essential examination in any patient with
acute abdomen because:
1-It is the best radiograph to show the presence of a small
pneumoperitoneum. (even 2ml)
2-A number of chest conditions may present as an acute
abdominal pain : pneumonia (particularly lower lobe), MI,
… .
3- Acute abdominal conditions may be complicated by chest
pathology: pleural effusion frequently complicate acute
pancreatitis.
4-Even when the chest radiograph is normal it
acts as a valuable baseline.
Small
amount
Signs in pneumoperitoneum
42
Erect chest radiograph reveals free gas between the liver and both does of
diaphragm.
43
Left lateral decubitus film showing gas between the liver and abdominal wall.
gns of pneumoperitoneum of supine radiograph
44
 Right upper quadrant gas
Peri hepatic
Sub hepatic
Morrison’s pouch
 Fissure for ligament teres
 Rigler’s (double wall sign)
 Ligament visualization
Falciform
Umbilical inverted ‘V’ sign
 Triangular air
 The cupola sign
 Football or air dome
 Scrotal air in children
Crescent sign
Free Intraperitoneal Air
Gas in subhepatic space
46
Supine abdominal radiograph shows an elliptical collection of air within the
subhepatic space
Falciform ligament sign
Doges cap sign
48
 Doges Cap sign refers to
free air in Morrison's
pouch.
 Morrison's pouch is
normally a potential space
between the right kidney
and the liver
Triangular gas shadow superior to kidney and postero-inferior to 11th rib
49
Rigler’s sign
50
Rigler's sign refers to the appearance of the bowel wall on
plain film when it is outlined by intraluminal and extraluminal
air .The extra luminal air is free peritoneal gas
Falciform ligament visualization
51
Visualization of Falciform ligament by free gas on either side of
the ligament
Football sign
52
 The football sign likens the massively air-filled
peritoneum to an American football
 In the supine position, free air collects anterior
to the abdominal viscera, producing a sharp
interface with the parietal peritoneum and
thereby creating the football outline
53
Double Bubble Sign
54
Two collections of overlapping gas- one of these collections is sub diaphragmatic free
gas and the other is normal gas within the fundus of the stomach
The Cupola Sign
55
An arcuate collection of free intraperitoneal air beneath the central tendon of
diaphragm. The superior border is well defined (arrows) compared with the inferior
extent of the collection.
The Triangle Sign
56
The triangle sign refers to small triangles of free gas that can typically be positioned
between the large bowel and the flank(black arrow)
CONDITIONS SIMULATING PNEUMOPERITONEUM
57
1. Chilaiditi’s syndrome-intestine between liver and
diaphragm
2. Subphrenic abscess
3. Curvilinear supradiaphragmatic pulmonary
collapse
4. Subdiaphragmatic fat
5. Cyst in pneumatosis intestinalis
6. Sub pulmonary pneumothorax
Chilaiditi’s syndrome
Chilaiditi’s syndrome is an
important normal variant on the
erect chest radiograph,
which must be distinguished from
pathological free gas under the
diaphragm. (apparent, as
haustra are seen within the gas
filled structure). This gas is still
contained in the bowel loop.
59
Chilaiditi’s syndrome-
intestine between liver
and diaphragm
CONDITIONS SIMULATING PNEUMOPERITONEUM
60
Right sided subphrenic
abscess
CONDITIONS SIMULATING PNEUMOPERITONEUM
61
Large bulla at the base of the
right lung mimics a large
pneumoperitoneum
Intestinal obstruction:
Intestinal obstruction:
 Gastric dilatation : could be
 Part of paralytic ileus
(functional).
 Mechanical : usually
caused by peptic ulceration
or a carcinoma of the
pyloric antrum , often lead
to massive fluid filled
stomach which occupy
most of the upper
abdomen.
GASTRIC DILATATION
Causes
1. Mechanical gastric outlet
obstruction.
2. Paralytic ileus
3. Gastric volvulus
4. Air swallowing.
64
GASTRIC VOLVULUS
65
o Twisting of the stomach around its longitudinal or
mesenteric axis
o Organoaxial volvulus - Stomach rotates along its
long axis and becomes obstructed, with the
greater curvature being displaced superiorly and
the lesser curvature located more caudally in the
abdomen
67
 Mesenteroaxial volvulus --less common , occurs when the
stomach rotates along its short axis, with resultant
displacement of the antrum above the gastroesophageal
junction
Mechanical SBO
Key Features
 Dilated small bowel
 Little gas in colon, especially
rectum
 Key: disproportionate
dilatation of SB
SBO
Mechanical SBO
Causes
 Adhesions
 Hernia*
 Volvulus
 Gallstone ileus*
 Intussusception
*Cause may be visible on plain film
Mechanical SBO
Pitfalls
 Early SBO may
resemble localized ileus
-get F/O
Differentiating SBO from Paralytic Ileus
SBO Ileus
Etiology
Patient with prior
surgery weeks to years
prior
Recent (hours) post-
operative patient
Pain Colicky Not a prominent feature
Abdominal
distension
Frequently prominent May not be apparent
Bowel sounds Usually increased Usually absent
Small bowel
dilatation
Present Present
Large bowel
dilatation
Absent Present
72
Mechanical LBO
Key Features
 Dilated colon to point of obstruction
 Little or no air in rectum/sigmoid
 Little or no gas in small bowel, if…
 Ileocecal valve remains competent
LBO
LBO
Supine
Prone
Mechanical LBO
Causes
 Tumor
 Volvulus
 Hernia
 Diverticulitis
 Intussusception
Mechanical LBO
Pitfalls
 Incompetent ileocecal valve
 Large bowel decompresses into small bowel
 May look like SBO
 Get BE or follow-up
Carcinoma of Sigmoid – LBO –
Decompressed into SB
ProneSupine
The goals of imaging in a patient with suspected intestinal
obstruction have been defined and are as follows:
1. To confirm that it is a true obstruction and to
differentiate it from an ileus.
2. To determine the level of obstruction.
3. To determine the cause of the obstruction.
4. To look for findings of strangulation.
5. To allow a good management either medically or
surgically by laparoscopy or laparoscopy).
Post-op C-section Adynamic
Ileus
Mesenteric Occlusion
Small bowel obstruction
 Small bowel obstruction (SBO) accounts for approximately
4% of all patients presenting with an acute abdomen.
 The commonest cause is adhesions due to previous
surgery .
 The main value of plain film is in assessing the degree
& severity of the obstruction (not the cause).
 On plain film, changes in small bowel obstruction may
appear after 3-5 hours if there is complete obstruction
and marked after 12 hours.
 Radiologically, complete obstruction of the small
bowel usually causes small bowel dilatation with
accumulation of both gas & fluid and a reduction in
caliber of the large bowel, if dilated gas filled loops of
small bowel will be readily identified on the supine
Small Bowel Obstruction
 The 'Small Bowel Feces Sign' (SBFS) is a very
useful sign as it is seen at the zone of transition
thus facilitating identification of the cause of the
obstruction.
 The SBFS has been defined as gas and
particulate material within a dilated small-bowel
loop that simulates the appearance of feces.
if fluid filled loops
 The dilated small bowel loops
appears as a sausage, oval or
round soft tissue densities that
change in position in different
views, sometime with small
gas bubbles trapped in rows
between the vulvulae
conniventes on horizontal ray
films; this is known as 'string
of beads' sign which is
virtually diagnostic of small
bowel obstruction and does
not occur in normal people.
 Strangulating obstruction is a mechanical
obstruction caused when two limbs of a loop are
incarcerated within a hernia so as to cause
vascular compromise by compression of the
mesenteric vessels.
 Presence of thumb-printing due to submucosal
edema or hemorrhage should suggest ischemia
in the loops. If left untreated, the ischemia may
progress causing breach of the mucosa,
intramural air, air in the mesenteric and portal
veins and frank perforation which are all ominous
signs.
 Intramural air in the form of parallel streaks of gas
along the bowel wall or as rings may also be seen
in infants with necrotizing enterocolitis.
 This appearance should not be confused with the
bubbly appearance of pneumatosis coli which is a
benign condition affecting the colon in adults.
 The causes of intestinal obstruction vary with the age of the
patient.
 In neonates and infants, the usual causes of obstruction
are congenital conditions such as :
1. hypertrophic pyloric stenosis,
2. duodenal stenosis or atresia,
3. ileal atresia etc.
a) In young children,intussusception or Ladd’s bands are
common causes of
b) obstruction.
c) Intussusception may be seen as a mass-like soft tissue
shadow with a crescent of gas surrounding the leading edge.
d) A barium examination will reveal the coil-spring appearance
of the intussuscepiens with the “claw” sign
90
There is a prominent crescent sign in the left upper quadrant with
a subtle target sign in right upper quadrant.
91
Intussusceptions in the left upper
quadrant on this plain film of an
infant with pain vomiting
 In adults, adhesions and hernias account for
more than 80% of small bowel obstructions.
 Other causes include an intraluminal obturation
by neoplasm, gallstone or bezoar or a volvulus
due to twisting of the gut around its mesentery.
Gall stone ileus
 This is a mechanical obstruction
caused by the impaction of one or
more gall stones in the intestine,
usually in the terminal ileum, but
rarely in the duodenum or the
colon.
The commonest radiological signs to
be observed are :
1- A gas shadow within the bile ducts
and/ or the gall bladder.
2- Complete or incomplete intestinal
obstruction.
3- An abnormal location of an already
observed gall stone.
Air in
biliary
tree
Gallstone Gallstone Ileus
Large bowel obstruction
 The commonest cause is carcinoma, of which
about 60% are situated in the sigmoid colon.
The radiological appearance of large bowel
obstruction depends on the state of
competence of the ileocecal valve :
- TYPE 1A:the ileocecal valve is competent
leading to dilated gas filled colon with its
haustral markings and a distended thin-walled
cecum but no distension of small bowel., this
can lead to massively distended cecum, which
is in then at a higher risk of perforation
secondary to ischemia ( transverse
cecal diameter of 9 cm had been suggested
as the critical point above which the danger of
perforation exists).
As this type progresses, small bowel
distention occur (type 1B), with a
radiological appearance identical to that of
paralytic ileus .
In TYPE II obstruction, the ileocecal
valve is incompetent and the cecum and
ascending colon are not distended, but the
back pressure from the colon extends into
the small bowel which may simulate small
bowel obstruction.
Cecal volvulus
(Right colon volvulus)
 This account for less than 2% of
adult intestinal obstruction
( young age group).
 The diagnosis of acute cecal
volvulus is rarely made on
clinical ground alone, and so
radiological diagnosis become
much more important & it is
usually comprises a distended
lower abdominal viscus with
one or two haustral markings,
concomitant small bowel
dilatation & a collapsed left half
of the colon.
 Note: identification of gas filled
appendix confirm the diagnosis.
Sigmoid volvulus
 This is the classic volvulus,
occurring in old, mentally
subnormal patients.
 It is usually chronic with
intermittent acute attacks.
 Radiological signs :
 inverted U shaped
distended loop which is
devoid of haustra
(ahaustral).
 Liver or left flank overlap
signs.
 Apex of the volvulus above
T10.
 Air fluid ratio greater than
2:1.
Sigmoid volvulus
`bird of prey' sign
chronic volvulus.
Contrast failed to progress beyond the
recto-sigmoid junction. At this point, there
is smooth, curved tapering like a bird's
beak ("bird of prey sign")
Intestinal obstruction
 Dilated gas filled bowel loops with air-fluid levels
proximal to the obstruction
 Paralytic ileus-both SB and LB are dilated
 “String of beads” sign-Mechanical obstruction
 Thumb printing due to sub mucosal edema-
Ischemia
 Intramural air-Necrotizing enterocolitis
 “Coffee bean” appearance- Sigmoid volvulus
Toxic Megacolon
 Toxic megacolon is an acute transmural fulminant
colitis which can occur as a complication of any
colitis.
 most commonly seen with ulcerative colitis (1.6-
13% of
cases).
 Plain radiographs show marked colonic
dilatation(> 8 cm) particularly of the transverse
colon as this is the least dependent part of the
large bowel in the supine position.
 The wall has a shaggy appearance with mucosal
islands or pseudopolyps with absence of haustra
due to profound inflammation and ulceration.
 Theremay be air-fluid levels and small bowel
Toxic megacolon
 CT shows the distended colon filled with air, fluid
and blood with a distorted or absent haustral
pattern and irregular, nodular wall. There may be
presence of intra-mural air or blood
Other conditions
 Gangrenous cholecystitis -intraluminal and
intramural air
 Sentinel loop, gasless abdomen and colon cutoff
sign in Pancreatitis
 Extraluminal mottled gas in Abdominal abscess
 Gas in perinephric region – Emphysematous
pyelonephritis
 Ureteric colic – Urolithiasis
USG and CT
 An ileus may not be appreciated on a plain
abdominal film if bowel loops are filled with fluid
only without intraluminal air.
 Alternatively if a plain abdominal film does
indicate an ileus then sonography or CT are
usually needed to identify its cause.
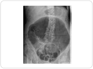
APPENDICITIS
Appendicitis plain radiograph
 Fluid levels localized to the caecum and terminal
ileum, indicating inflammation in the right lower
quadrant
 Localized ileus with gas in the cecum, ascending
colon and terminal ileum
 Increased soft tissue density of the right lower
quadrant
 Blurring of the right flank stripe and presence of a
radiolucent line between the fat of the peritoneum
and tansverus abdominis
 Fecolith in the right iliac fossa
 Gas filled appendix
 Blurring of the psoas shadow on the right side.
Appendicitis usg
 A normal appendix has a maximum diameter of 6
mm, is surrounded by homogeneous non-
inflamed fat, is compressible and often contains
intraluminal gas.
Appendicitis
Appendicitis
General CT findings for acute appendicitis include:
1. Dilated appendix greater than 6 mm or visualization
of an appendicolith with an appendix of any size
2. Peri-appendicial fat stranding
This image of an acute abdomen (arrow)
displays periappendicial stranding and
dilattion of its terminal portion .
For comparison, this image of a normal
appendix can be visualized at the
ileocecal junction. Also notethe fat
ventralcontaining heria
Inflammation- Cholecystitis
Acute cholecystitis is inflammation of the
gallbladder
usually from impaction of a gallstone within the
cystic or common bile duct.
 Plain radiograph:
 Gallstones seen in 20%
 Duodenal ileus
 Il eus of hepatic flexure of colon
 Right hypochondrial mass due to enlarged
gallbladder
 Gas within the biliary system
Ultrasound is the preferred imaging method to
confirm cholecystitis in the appropriate clinical
setting.
sonographic signs include
 calculi (in 95%)
 distension of the gallbladder
 edematous wall,
 mucosal irregularity,
 intramural gas and/or pericholecystic
collection
Doppler: increased mural colour uptake
Acute calculous cholecystitis:
Calculus obstructs the cystic duct
The trapped concentrated bile irritates the gallbladder wall,
causing increased secretion, which in turn leads to
distention and edema of the wall.
Rising intra luminal pressure compresses the vessels,
resulting in thrombosis, ischemia, and subsequent
necrosis and perforation of the wall.
CT findings of cholecystitis include:
 wall thickening,
 pericholecystic stranding,
 GB distension,
 pericholecystic fluid, subserosal edema,
 high attenuation bile and sloughed membranes,
 gas or septations within the gallbladder
Complicated cases may reveal perforation or
hepatic abscess formation.
MRI IS COMPLEMENTORY TO CT
AND USG IN
 Demonstrating impacted calculi in the
gallbladder neckor cystic duct which are
often difficult to detect on US.
 Also, conditions causing acalculous
cholecystitis like adenomyomatosis, gall
bladder polyp, malignant neoplasm or
other cancers can be depicted on mr
Thickening of gallbladder wall
Cholelithiasis.
Complications of acute cholecystitis include:
 empyema,
 gangrenous cholecystitis,
 Gallbladder perforation and
 emphysematous cholecystitis.
 Empyema: occurs when pus fills the
distended and inflamed GB,typically in diabetic
patients.
 On US and CT, pus resembles sludge. Heavily
T2-weighted images are sensitive in
demonstrating purulent bile as a dependent
hypointense layer relative to normal bile.
 Gangrenous cholecystitis : is an
advanced, severe form of acute cholecystitis, seen
more common in elderly men.
 It results from marked distension of the GB with
resultant increase in tension in the wall.
 Associated inflammation leads to ischemic necrosis.
US reveals heterogenous or striated thickening of GB
wall or intraluminal membranes representing
desquamated mucosa.
 US findings typical of uncomplicated acute
cholecystitis may be absent in this subset of patients:
GB wall thickness may be less than 3 mm
 CT features consist of:
 intraluminal membranes, irregular wall,
pericholecystic
 fluid/abscess and lack of mural enhancement.
Gall bladder perforation :
 most often a complication of acute gangrenous
cholecystitis.
 blood supply is poor in the region of fundus, this is the
most common site of perforation.
 Perforation can be classified into 3 types:
A)acute free perforation into peritoneal cavity,
B) subacute perforation with pericholecystic abscess and
C) chronic perforation with a cholecystoenteric fistula.
 Subacute perforations are the most common. Following
perforation,
 US, CT and MR show complex pericholecystic
 fluid collections and the wall of GB can appear focally
 disrupted.
 Emphysematous cholecystitis :
 rare form of acute cholecystitis seen in patients
with diabetes and peripheral atherosclerotic
disease.
 The majority of patients are between 50-70 years.
 US demonstrates intraluminal and intramural gas
as highly echogenic foci.
 CT is the most sensitive and specific imaging
modality to identify gas in the lumen or wall.
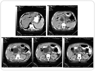
ACUTE PANCREATITIS
 Acute pancreatitis refers to acute inflammation of
the pancreas.
 Causes
 Gallstones (most common)
 Alcohol abuse, usually chronic
 Trauma, more often penetrating
 Drug-induced
 Anatomic abnormality
 ERCP-induced
 Infectious, especially post-viral in children
 Vasculitis
 Idiopathic
ACUTE PANCREATITIS
 Pathological changes are edema,
hemorrhege,lnfarction,fat necrosis followed
by acute suppuration
 Inflammatory processes tend into gastro
colic ligament or paraduodenal areas- follow
route of mesentry or extend out of
peritoneum into perirenal space.
 Lot of radiological signs described, but
many are of little value in diagnosing
individual cases.
Plain film changes-
 Chest x-ray-
o Left sided pleural effusion
o Splinting of left hemidiaphragm
o Basal atelactasis
 Abdominal film-
o Duodenal ileus
o Gasless abdomen
o “colon cut off” sign
o Renal “halo” sign
o Absent left psoas shadow
o Indistinct mottled shadowing
o Sentinel loop
o Intrapancreatic gas-abscess/ enteric fistula
150
The abrupt termination of gas within the proximal colon at the level
of the radiographic splenic flexure, usually with decompression of
the distal colon
A sentinel loop is a focal area of adynamic ileus close to an intra-abdominal
inflammatory process. The sentinel loop sign may aid in localizing the source of
inflammation
 Later stages- pancreatic pseudocyst visible on
plain film as large soft tissue mass
 Pleural effusions, mainly left sided.
A/c pancreatitis
 Early stages-USG is preferred
 USG reveals enlarged hypoechoic pancreas with
peripancreatic fluid,+/- cholelithiasis
 Also in follow up of fluid collection or pseudocyst
formation.
 CECET – modality of choice- for diagnosis,detect
extrapancreatic,intras abdomial pathology
 For staging of severity-CTSI
CT Findings typical of pancreatitis include:
1. An enlarged pancreas with infiltration of the
surrounding fat
2. Peripancreatic fluid collections can often be
seen
3. Pseudocysts, (encapsulated fluid
collections containing pancreatic secretions,
are later complications of pancreatitis)
MRI
 Recent improvements in resolution and faster
breath hold sequences have drastically increased
usage of MRI in abdomen.
 But not routinely used in a/c abdomen except in
situations where contrast cannot be administered
or in pregnant patients
 Most important objective of imaging in a/c
abdomen is
 Identify most common causes
 Choose the modality of imaging appropriately
 Diagnose or exclude common conditions
Notice the peripancreatic stranding (bars) as well
as the fluid thickening of the interfascial space
A common complication
of pancreatitis is the
development of
pancreatic necrosis.
Lack of gland
enhancement following
IV contrast
administration is
diagnostic. When over
half the pancreas
becomes necrosed,
the mortality rate may
reach as high as 30%.
Pancreatic necrosis
Pancreatic pseudocyst
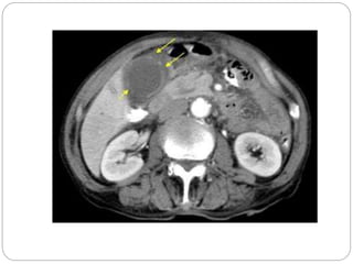
Intra-Abdominal Abscess
 A localized collection of pus can occur anywhere in
the abdomen:
 in the parenchyma of solid organs, in the peritoneal or
extra-peritoneal spaces. Early detection, may be
seen. At times, the abscess may have a solid
appearance.
 Color Doppler demonstrates peripheral
hypervascularity.
 CT will show a low attenuation fluid collection with
mass effect and peripheral rim enhancement with or
without gas bubbles or an air-fluid level.
OTHER CAUSES OF ACUTE
ABDOMEN
Sigmoid diverticulitis
 If the pain is located in the LLQ main concern is
sigmoid diverticulitis.
In diverticulitis sonography and CT show
diverticulosis with segmental colonic wall
thickening and inflammatory changes in the fat
surrounding a diverticulum.
 Complications of diverticulitis such as abscess
formation or perforation, can best be excluded
with CT.
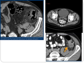
Diverticulitis
A case of diverticulitis showing a thickened sigmoid colon and a diverticulum
Mesenteric lymphadenitis
 A common mimicker of appendicitis.
 It is the second most common cause of right lower
quadrant pain after appendicitis.
 It is defined as a benign self-limiting inflammation of
right-sided mesenteric lymph nodes without an
identifiable underlying inflammatory process,
occurring more often in children than in adults.
 This diagnosis can only be made confidently when a
normal appendix is found, because adenopathy also
frequently occurs with appendicitis.
Epiploic Appendagitis
 Epiploic appendages are small adipose
protrusions from the serosal surface of the colon.
 An epiploic appendage may undergo torsion and
secondary inflammation causing focal abdominal
pain that simulates appendicitis when located in
the right lower quadrant or diverticulitis when
located in the left lower quadrant.
 The characteristic ring-sign corresponds to
inflamed visceral peritoneal lining surrounding an
infarcted fatty epiploic appendage.
Plain radiograph
 Calcifications in acute
appendagitis
USG
 rounded, noncompressible, hyperechoic mass,
without internal vascularity, and surrounded by a
subtle hypoechoic line 5. They are typically 2-4 cm in
maximal diameter.
Renal Colic
Distal ureteral stone lead ing to right
hyrdronephrosis in above image
Ureteral junctional stone
Renal Colic
Renal stone right sided hydronephrosis
Renal Colic
Urolithiasis
Inflammation- Colitis
Colitis, or inflammation of the colon, is a frequent
cause of abdominal pain.
Specific entities which produce inflammatory
thickening of the colon include:-
Diverticulitis, inflammatory bowel disease,
pseudomembranous colitis, and other bacterial
infections (i.e. typhlitis).
This example of colitis shows thickening of the colon
and pericolonic stranding typical of inflammation.
Thickening of sigmoid colon due to pseudomembranous colitis
MESENTRIC ISCHEMIA
 Acute occlusion of the superior
mesenteric artery (SMA) due to embolus
is the most common cause of
mesenteric ischemia accounting for
nearly 50% of cases due to
 Thrombosis of the SMA or the superior
mesenteric vein (SMV) are responsible
for another 10-20% of cases.
 The manifestation may range from a self-limiting
superficial ischemia involving the watershed zones to
a diffuse ischemic injury to the entire bowel - “shock
bowel”.
 There are three stages of acute mesenteric ischemia:
 In the first stage, there is mucosal involvement
with necrosis, ulcerations and/or hemorrhage. The
injury is superficial and will eventually heal
completely.
 In stage II, there is necrosis of the deep
submucosal and muscular layers which may lead
to the development of fibrotic strictures.
 Stage III ischemia represents transmural bowel
necrosis which requires immediate surgical
intervention. The imaging appearance in a given
 Plain films reveal the characteristic thick-walled
dilated loops with thumb-printing.
 Intramural air or porto-mesenteric air is also
rarely visualized on the plain radiograph.
 MDCT angiography is the modality of choice for
the evaluation of bowel ischemia
 The arterial occlusion/narrowing as well as the
venous occlusion can be readily detected.
Involvement of the vasa recta (Coombs’ sign)
may be seen in small vessel vasculitis
 In addition, involvement of a long segment of
bowel or both small and large bowel with skip
segments are features of small vessel disease.
 The most common finding of mesenteric ischemia
is bowel wall thickening though this feature
strongly depends on the degree of bowel
distension. Mural thickening is commoner with
ischemic colitis and with veno-occlusive disease
but is rare in arterio-occlusive disease where the
involved segment of bowel may show dilated,
fluid-filled loops with paper-thin walls
 The bowel wall may show a striated appearance
due to the presence of sub-mucosal edema or
hemorrhage. In complete arterial occlusion, there
can be absence of the normal enhancement of
the bowel wall. Conversely, in non-occlusive
ischemia there can be abnormal persistent mural
enhancement. The target sign is seen when there
is hyperenhancement of the mucosa and
submucosa due to hyperemia and hyperperfusion
with mural edema
THMB PRINTING IN ISCHEMIC
COLITIS
SMA thrombosis
VASCULAR CAUSES
 Vascular conditions that may present as acute
abdomen include rupture of an aortic aneurysm,
spontaneous aortic occlusion, acute hemorrhage
and hepatic or splenic vascular occlusion
 average age at the time of diagnosis being 65-70
years.
 Most abdominal aortic aneurysms are true
aneurysms and
 occur below the level of renal arteries. An
abdominal aortic aneurysm is defined as an aortic
diameter of 3cm or more42 while a diameter of
5.5 cm or more warrants urgent intervention.
 Multidetector CT is the modality of choice for
evaluation of acute aortic syndrome.
 The most common finding of rupture of aortic
aneurysm is a retroperitoneal hematoma adjacent
to the aneurysm
 . Other CT features may include active
extravasation of contrast, extension of periaortic
blood into perirenal or pararenal spaces or the
psoas muscle or peritoneal cavity
Aneurysms
Signs predictive of impending rupture
are:
 a. Draped aorta
sign – Seen with
contained leak.
The posterior
wall of aorta
cannot be
defined due to
close application
and lateral
‘draping’ of the
aneurysm
around the
adjacent
 b. Increase in aneurysm size – A patient with a
very large aneurysm (> 7cm diameter) who
presents with acute aortic syndrome has a high
likelihood of aneurysm rupture. Also, a rate of
enlargement of >10 mm per year warrants
surgical repair.
 c. Thrombus-to-lumen ratio - This ratio decreases
with increasing aneurysm size. A thick
circumferential thrombus is protective against
rupture.
 d. Focal discontinuity in intimal calcification.
 e. Hyperattenuating crescent sign due to
hemorrhage in either the peripheral thrombus or
aneurysm wall.
 Acute abdominal hemorrhage may result due to
ruptured aneurysm in a case of polyarteritis
nodosa, ruptured tumor (usually renal cell
carcinoma) or in a patient on anticoagulant
therapy.
 Non-contrast CT demonstrates a hyperdense
collection at the site of hemorrhage.
 MDCT angiography can accurately delineate the
site and cause of hemorrhage.
 Rare causes of acute abdomen include:
 hepatic vein thrombosis (acute Budd-Chiari
syndrome) and
 portal vein thrombosis.
 US in the acute phase may show liver enlargement,
partial or complete inability to visualize hepatic veins,
intraluminal hepatic vein echogenicity or thrombosis,
marked narrowing of intrahepatic IVC and ascites.
 Color Doppler: Absence of flow or flow in an
abnormal direction in all or part of the hepatic veins
may be seen.
 CT and MR are complimentary techniques for
definitive diagnosis which provide a more complete
evaluation of the hepatic parenchyma, hepatic veins
and IVC.
Pelvic Disease
Signs of a ruptured ectopic
pregnancy on ultrasound
 an inhomogeneous adnexal mass,
 pelvic fluidor hematoma,
 decidual reaction without intrauterine gestation sac,
in the presence of a positive pregnancy test.
 Visualization of an echogenic adnexal ring separate
from the ovary that has prominent peripheral flow on
color Doppler is highly suggestive of ectopic
gestation.
 Corpus luteum is a useful guide while looking for an
ectopic pregnancy and is usually seen in the
ipsilateral ovary in 70-85% cases. Using transvaginal
ultrasound, the live embryo can be detected in upto
17% of all ectopic pregnancies.
FIBROIDS
 Fibroids may present with acute pain if there is
torsion or degeneration of a submucosal or
subserosal fibroid.
 On imaging, uterine enlargement with a focal
mass or contour deformity are seen.
Degenerated fibroids may have a cystic
appearance.
MRI
 Haemorrhagic fibroid degeneration. This patient, known to have
uterine fibroids, presented to the accident and emergency
department with low-grade pyrexia, tachycardia and acute lower
abdominal pain. a Sagittal T2 image demonstrates a large uterine
fibroid with high signal intensity centrally with a very low signal
intensity rim suggestive of peripheral haemosiderin. b Axial T1 with
fat-saturated image shows high signal intensity within the fibroid
consistent with haemorrhage (black arrow). c Axial T1 with fat
saturation following gadolinium administration demonstrates lack of
enhancement within the fibroid (black arrow), consistent with
infarction. The surrounding myometrium enhances normally (white
OVARIAN TORSION
Ovarian torsion usually occurs in children and is
attributed to excessive mobility of the ovary.
In adults,a cyst or mass, frequently a cystic teratoma, is present
in the ovary undergoing torsion.
Sonographic findings :
1. enlarged ovary with peripherally distributed follicles,
2. an associated cyst or mass
3. diminished or absent central venous flow on Doppler.
CT:
deviation of the uterus to the twisted side,
obliteration of fat planes and an enlarged ovarydisplaced from its
adnexal location is seen.
Contrast enhanced CT may show surrounding enhancing blood
vessels due to congestion.
Hemorrhage into a corpus luteal or
follicular cyst
 manifest with abrupt onset of pelvic pain.
 If the cyst ruptures, associated hemoperitoneum
can be life threatening.
 On imaging, hemorrhagic ovarian cysts can
mimic a variety of solid and mixed solid-
cysticmasses.
 A fluid-fluid level may be present.
 On CT, high attenuation components are usually
seen due to hemorrhage.
 A CT predominantly cystic lesion.
MRI.
On MRI the hemorrhagic content will make endometrioma appear
bright on T1-weighted images.
On T1-fatsat images an endometrioma will remain bright.
This in contrast to teratomas, that are also bright on T1 but dark on
T1-fatsat images.
On T2-weighted images endometriomas typically show 'shading'
Ovarian vein thrombosis
Pregnancy increases the risk for venous
thrombosis
due to stasis, alteration in coagulation factors and
by nearly tripling the diameter of the ovarian
veins.
In 90% of cases, the right ovarian vein is involved
due to dextrotorsion of the uterus.
OVT may be diagnosed by US, CT or MRI,
however, CT is the modality of choice and
demonstrates a low attenuation thrombus in
lumen of ovarian vein
MRI IN ACUTE ABDOMEN
 Although US is the first-line investigation for
suspected appendicitis in a pregnant patient,
 MR imaging is better than CT as the second-line
imaging modality when US results are nondiagnostic
or equivocal.
 Although the safety of MR imaging to the fetus has
not been proved, no proved human teratogenic or
carcinogenic effects of MR imaging have been
described in the literature.
ADNEXAL TORSION
 The suitability of MR imaging is equal to that of
CT in patients in whom an adnexal lesion is
believed to be present.
 according to the ACR criteria; however, in
postmenopausal women with a complex or solid
adnexal mass depicted at US,
 MR imaging is considered superior to CT.
 MR imaging and CT are used mainly when the
presence
of acute torsion with a pelvic mass is suspected
or when the signs and symptoms are suggestive
of a subacute or chronic condition.
The MR imaging features of ovarian torsion:
 which have been well described, include ovarian
enlargement with stromal edema.
 The common CT and MR imaging features of
adnexal torsion include thickening of the twisted
fallopian tube, smooth thickening of the wall of
the cystic ovarian mass, ascites, and uterine deviation
to the side of torsion
PID
Acute abdomen

Acute abdomen

  • 1.
  • 2.
     “Acute abdomen”is a term used to encompass a spectrum of surgical, medical and gynecological conditions (intra-abdominal process), ranging from the trivial to the life threatening, which require hospital admission, investigation and treatment
  • 4.
    Generalized AP  Perforation AAA  Acute pancreatitis  Bilateral pleurisy
  • 5.
    Central AP  Earlyappendicitis  SBO  Acute gastritis  Acute pancreatitis  Ruptured AAA  Mesenteric thrombosis
  • 6.
    Epigastric pain  DU/ GU  Oesophagitis  Acute pancreatitis  AAA
  • 7.
    RUQ pain  Gallbladderdisease  DU  Acute pancreatitis  Pneumonia  Subphrenic abscess
  • 8.
    LUQ pain  GU Pneumonia  Acute pancreatitis  Spontaneous splenic rupture  Acute perinephritis  Subphrenic abscess
  • 9.
    Suprapubic pain  Acuteurinary retention  UTIs  Cystitis  PID  Ectopic pregnancy  Diverticulitis
  • 10.
    RIF pain  Acuteappendicitis  Mesenteric adenitis (young)  Diverticulitis  PID  Salpingitis  Ureteric colic  Meckel’s diverticulum  Ectopic pregnancy  Crohn’s disease  Biliary colic (low-lying gall bladder)
  • 11.
    Loin pain  Musclestrain  UTIs  Renal stones  Pyelonephritis
  • 12.
    LIF pain  Diverticulitis Constipation  IBS  PID  Rectal Ca  UC  Ectopic pregnancy
  • 13.
     The variousimaging modalities available for investigating the acute abdomen include:  plain films,  contrast studies  ultrasound (US)  computed tomography(CT), and  magnetic resonance imaging (MRI).  The choice of the initial modality to be used should be guided by the disease suspected on clinical grounds
  • 14.
    Plain radiography  plainradiographs continue to be initial imaging modality  In intestinal obstruction and perforation.  Contrast examinations have a limited role. An upper GI series with water soluble contrast may be performed in cases of suspected perforation or a contrast enema may be required to confirm a colonic obstruction.
  • 15.
    Ultrasound US is theideal screening modality for suspected  hepatobiliary disease  suspected pelvic pathology such as ectopic gestation or acute pelvic inflammatory disease (PID).  right lower quadrant pain.  In cases of suspected intestinal obstruction, to differentiate between mechanical obstruction and paralytic ileus. US demonstrates increased peristalsis in cases of mechanical obstruction, whereas presence of dilated, atonic loops suggest the diagnosis of paralytic ILEUS.  US is also helpful in localizing intra-abdominal abscesses, particularly in the solid viscera.
  • 16.
    CT  MDCT hasbecome the imaging modality of  choice for evaluation of the acute abdomen. It provides  a comprehensive view of all the intra-abdominal solid  and hollow viscera, as well as the peritoneum, mesentery,  lymph nodes and retroperitoneum. Data can be acquired  in different phases making MDCT an ideal modality for  evaluation of suspected mesenteric ischemia  or vasculardisorders such as abdominal aortic aneurysms.  Low dose unenhanced CT has replaced excretory
  • 17.
    MRI Recent improvements inresolution and development of faster breath-hold sequences have drastically increased the utility of MRI in evaluation of the gut. However, MRI is still not routinely used for evaluation of an acute abdomen except in situations where iodinated contrast cannot be administered or in pregnant patients.
  • 18.
    What to Examineby Plain X-ray  Gas pattern  Extraluminal air  Soft tissue masses  Calcifications  Skeletal pathology
  • 19.
    Normal Gas Pattern Stomach  Always  Small Bowel  Two or three loops of non-distended bowel  Normal diameter = 2.5 cm  Large Bowel  In rectum or sigmoid – almost always
  • 20.
    Gas in stomach Gasin a few loops of small bowel Gas in rectum or sigmoid Normal Gas Pattern
  • 21.
    Normal Fluid Levels Stomach  Always (except supine film)  Small Bowel  Two or three levels possible  Large Bowel  None normally
  • 22.
    Erect Abdomen Always air/fluid levelin stomach A few air/fluid levels in small bowel
  • 23.
    Large vs. SmallBowel  Large Bowel  Peripheral  Haustral markings don't extend from wall to wall  Small Bowel  Central  Valvulae extend across lumen
  • 24.
  • 25.
    Complete Abdomen Obstruction Series Supine  Erect or left decubitus  Chest - erect or supine  Prone or lateral rectum
  • 26.
    Complete Abdomen Supine  Lookingfor  Scout film for gas pattern  Calcifications  Soft tissue masses  Substitute – none
  • 27.
    Complete Abdomen Erect  Lookingfor  Free air  Air-fluid levels  Substitute – left lateral decubitus
  • 28.
    Complete Abdomen Erect Chest Looking for  Free air  Pneumonia at bases  Pleural effusions  Substitute – supine chest
  • 29.
    Complete Abdomen Prone  Lookingfor  Gas in rectum/sigmoid  Gas in ascending and descending colon  Substitute – lateral rectum
  • 30.
    Abnormal Gas Patterns 1.Functional Ileus  Localized (Sentinel Loops)  Generalized adynamic ileus 2. Mechanical Obstruction  SBO  LBO
  • 31.
    Sentinel Loops Supine Prone LocalizedIleus Key Features  One or two persistently dilated loops of large or small bowel  Gas in rectum or sigmoid
  • 32.
  • 33.
    Localized Ileus Pitfalls  Mayresemble early mechanical SBO  Clinical course  Get follow-up
  • 34.
    Generalized Ileus Key Features Gas in dilated small bowel and large bowel to rectum  Long air-fluid levels  post-op patients have generalized ileus  Other causes:-  Peritonitis  Hypokalemia  Metabolic disorder as hypothyroidism  Vascular occlusion
  • 35.
  • 36.
    The distinction betweensmall & large-bowel dilatation Small bowel large bowel 1. vulvulae conniventes present in jejunum absent 2. number of loops many few 3. distribution of loops central peripheral 4. haustra absent present 5. diameter 3-5 cm 5 cm + 6. radius of curvature small large 7. solid feces absent *present haustra may be completely absent from the descending & sigmoid colon.
  • 37.
    Abnormal Gas Patterns Ileusand Obstruction  Localized ileus  Generalized ileus  Mechanical SBO  Mechanical LBO
  • 38.
    Conditions causing extraluminal air Perforated abdominal viscus  Abscesses (subphrenic and other)  Biliary fistula  Cholangitis  Pneumatosis coli  Necrotising enterocolitis  Portal pyaemia
  • 39.
  • 40.
    Chest X-ray This isan essential examination in any patient with acute abdomen because: 1-It is the best radiograph to show the presence of a small pneumoperitoneum. (even 2ml) 2-A number of chest conditions may present as an acute abdominal pain : pneumonia (particularly lower lobe), MI, … . 3- Acute abdominal conditions may be complicated by chest pathology: pleural effusion frequently complicate acute pancreatitis. 4-Even when the chest radiograph is normal it acts as a valuable baseline.
  • 41.
  • 42.
    Signs in pneumoperitoneum 42 Erectchest radiograph reveals free gas between the liver and both does of diaphragm.
  • 43.
    43 Left lateral decubitusfilm showing gas between the liver and abdominal wall.
  • 44.
    gns of pneumoperitoneumof supine radiograph 44  Right upper quadrant gas Peri hepatic Sub hepatic Morrison’s pouch  Fissure for ligament teres  Rigler’s (double wall sign)  Ligament visualization Falciform Umbilical inverted ‘V’ sign  Triangular air  The cupola sign  Football or air dome  Scrotal air in children
  • 45.
  • 46.
    Gas in subhepaticspace 46 Supine abdominal radiograph shows an elliptical collection of air within the subhepatic space
  • 47.
  • 48.
    Doges cap sign 48 Doges Cap sign refers to free air in Morrison's pouch.  Morrison's pouch is normally a potential space between the right kidney and the liver
  • 49.
    Triangular gas shadowsuperior to kidney and postero-inferior to 11th rib 49
  • 50.
    Rigler’s sign 50 Rigler's signrefers to the appearance of the bowel wall on plain film when it is outlined by intraluminal and extraluminal air .The extra luminal air is free peritoneal gas
  • 51.
    Falciform ligament visualization 51 Visualizationof Falciform ligament by free gas on either side of the ligament
  • 52.
    Football sign 52  Thefootball sign likens the massively air-filled peritoneum to an American football  In the supine position, free air collects anterior to the abdominal viscera, producing a sharp interface with the parietal peritoneum and thereby creating the football outline
  • 53.
  • 54.
    Double Bubble Sign 54 Twocollections of overlapping gas- one of these collections is sub diaphragmatic free gas and the other is normal gas within the fundus of the stomach
  • 55.
    The Cupola Sign 55 Anarcuate collection of free intraperitoneal air beneath the central tendon of diaphragm. The superior border is well defined (arrows) compared with the inferior extent of the collection.
  • 56.
    The Triangle Sign 56 Thetriangle sign refers to small triangles of free gas that can typically be positioned between the large bowel and the flank(black arrow)
  • 57.
    CONDITIONS SIMULATING PNEUMOPERITONEUM 57 1.Chilaiditi’s syndrome-intestine between liver and diaphragm 2. Subphrenic abscess 3. Curvilinear supradiaphragmatic pulmonary collapse 4. Subdiaphragmatic fat 5. Cyst in pneumatosis intestinalis 6. Sub pulmonary pneumothorax
  • 58.
    Chilaiditi’s syndrome Chilaiditi’s syndromeis an important normal variant on the erect chest radiograph, which must be distinguished from pathological free gas under the diaphragm. (apparent, as haustra are seen within the gas filled structure). This gas is still contained in the bowel loop.
  • 59.
  • 60.
  • 61.
    CONDITIONS SIMULATING PNEUMOPERITONEUM 61 Largebulla at the base of the right lung mimics a large pneumoperitoneum
  • 62.
  • 63.
    Intestinal obstruction:  Gastricdilatation : could be  Part of paralytic ileus (functional).  Mechanical : usually caused by peptic ulceration or a carcinoma of the pyloric antrum , often lead to massive fluid filled stomach which occupy most of the upper abdomen.
  • 64.
    GASTRIC DILATATION Causes 1. Mechanicalgastric outlet obstruction. 2. Paralytic ileus 3. Gastric volvulus 4. Air swallowing. 64
  • 65.
    GASTRIC VOLVULUS 65 o Twistingof the stomach around its longitudinal or mesenteric axis o Organoaxial volvulus - Stomach rotates along its long axis and becomes obstructed, with the greater curvature being displaced superiorly and the lesser curvature located more caudally in the abdomen
  • 67.
    67  Mesenteroaxial volvulus--less common , occurs when the stomach rotates along its short axis, with resultant displacement of the antrum above the gastroesophageal junction
  • 69.
    Mechanical SBO Key Features Dilated small bowel  Little gas in colon, especially rectum  Key: disproportionate dilatation of SB SBO
  • 70.
    Mechanical SBO Causes  Adhesions Hernia*  Volvulus  Gallstone ileus*  Intussusception *Cause may be visible on plain film
  • 71.
    Mechanical SBO Pitfalls  EarlySBO may resemble localized ileus -get F/O
  • 72.
    Differentiating SBO fromParalytic Ileus SBO Ileus Etiology Patient with prior surgery weeks to years prior Recent (hours) post- operative patient Pain Colicky Not a prominent feature Abdominal distension Frequently prominent May not be apparent Bowel sounds Usually increased Usually absent Small bowel dilatation Present Present Large bowel dilatation Absent Present 72
  • 73.
    Mechanical LBO Key Features Dilated colon to point of obstruction  Little or no air in rectum/sigmoid  Little or no gas in small bowel, if…  Ileocecal valve remains competent
  • 74.
  • 75.
  • 76.
    Mechanical LBO Causes  Tumor Volvulus  Hernia  Diverticulitis  Intussusception
  • 78.
    Mechanical LBO Pitfalls  Incompetentileocecal valve  Large bowel decompresses into small bowel  May look like SBO  Get BE or follow-up
  • 79.
    Carcinoma of Sigmoid– LBO – Decompressed into SB ProneSupine
  • 81.
    The goals ofimaging in a patient with suspected intestinal obstruction have been defined and are as follows: 1. To confirm that it is a true obstruction and to differentiate it from an ileus. 2. To determine the level of obstruction. 3. To determine the cause of the obstruction. 4. To look for findings of strangulation. 5. To allow a good management either medically or surgically by laparoscopy or laparoscopy).
  • 82.
  • 83.
  • 84.
    Small bowel obstruction Small bowel obstruction (SBO) accounts for approximately 4% of all patients presenting with an acute abdomen.  The commonest cause is adhesions due to previous surgery .  The main value of plain film is in assessing the degree & severity of the obstruction (not the cause).  On plain film, changes in small bowel obstruction may appear after 3-5 hours if there is complete obstruction and marked after 12 hours.  Radiologically, complete obstruction of the small bowel usually causes small bowel dilatation with accumulation of both gas & fluid and a reduction in caliber of the large bowel, if dilated gas filled loops of small bowel will be readily identified on the supine
  • 85.
    Small Bowel Obstruction The 'Small Bowel Feces Sign' (SBFS) is a very useful sign as it is seen at the zone of transition thus facilitating identification of the cause of the obstruction.  The SBFS has been defined as gas and particulate material within a dilated small-bowel loop that simulates the appearance of feces.
  • 86.
    if fluid filledloops  The dilated small bowel loops appears as a sausage, oval or round soft tissue densities that change in position in different views, sometime with small gas bubbles trapped in rows between the vulvulae conniventes on horizontal ray films; this is known as 'string of beads' sign which is virtually diagnostic of small bowel obstruction and does not occur in normal people.
  • 87.
     Strangulating obstructionis a mechanical obstruction caused when two limbs of a loop are incarcerated within a hernia so as to cause vascular compromise by compression of the mesenteric vessels.  Presence of thumb-printing due to submucosal edema or hemorrhage should suggest ischemia in the loops. If left untreated, the ischemia may progress causing breach of the mucosa, intramural air, air in the mesenteric and portal veins and frank perforation which are all ominous signs.
  • 88.
     Intramural airin the form of parallel streaks of gas along the bowel wall or as rings may also be seen in infants with necrotizing enterocolitis.  This appearance should not be confused with the bubbly appearance of pneumatosis coli which is a benign condition affecting the colon in adults.
  • 89.
     The causesof intestinal obstruction vary with the age of the patient.  In neonates and infants, the usual causes of obstruction are congenital conditions such as : 1. hypertrophic pyloric stenosis, 2. duodenal stenosis or atresia, 3. ileal atresia etc. a) In young children,intussusception or Ladd’s bands are common causes of b) obstruction. c) Intussusception may be seen as a mass-like soft tissue shadow with a crescent of gas surrounding the leading edge. d) A barium examination will reveal the coil-spring appearance of the intussuscepiens with the “claw” sign
  • 90.
    90 There is aprominent crescent sign in the left upper quadrant with a subtle target sign in right upper quadrant.
  • 91.
    91 Intussusceptions in theleft upper quadrant on this plain film of an infant with pain vomiting
  • 95.
     In adults,adhesions and hernias account for more than 80% of small bowel obstructions.  Other causes include an intraluminal obturation by neoplasm, gallstone or bezoar or a volvulus due to twisting of the gut around its mesentery.
  • 96.
    Gall stone ileus This is a mechanical obstruction caused by the impaction of one or more gall stones in the intestine, usually in the terminal ileum, but rarely in the duodenum or the colon. The commonest radiological signs to be observed are : 1- A gas shadow within the bile ducts and/ or the gall bladder. 2- Complete or incomplete intestinal obstruction. 3- An abnormal location of an already observed gall stone.
  • 98.
  • 99.
    Large bowel obstruction The commonest cause is carcinoma, of which about 60% are situated in the sigmoid colon. The radiological appearance of large bowel obstruction depends on the state of competence of the ileocecal valve : - TYPE 1A:the ileocecal valve is competent leading to dilated gas filled colon with its haustral markings and a distended thin-walled cecum but no distension of small bowel., this can lead to massively distended cecum, which is in then at a higher risk of perforation secondary to ischemia ( transverse cecal diameter of 9 cm had been suggested as the critical point above which the danger of perforation exists).
  • 100.
    As this typeprogresses, small bowel distention occur (type 1B), with a radiological appearance identical to that of paralytic ileus . In TYPE II obstruction, the ileocecal valve is incompetent and the cecum and ascending colon are not distended, but the back pressure from the colon extends into the small bowel which may simulate small bowel obstruction.
  • 101.
    Cecal volvulus (Right colonvolvulus)  This account for less than 2% of adult intestinal obstruction ( young age group).  The diagnosis of acute cecal volvulus is rarely made on clinical ground alone, and so radiological diagnosis become much more important & it is usually comprises a distended lower abdominal viscus with one or two haustral markings, concomitant small bowel dilatation & a collapsed left half of the colon.  Note: identification of gas filled appendix confirm the diagnosis.
  • 103.
    Sigmoid volvulus  Thisis the classic volvulus, occurring in old, mentally subnormal patients.  It is usually chronic with intermittent acute attacks.  Radiological signs :  inverted U shaped distended loop which is devoid of haustra (ahaustral).  Liver or left flank overlap signs.  Apex of the volvulus above T10.  Air fluid ratio greater than 2:1.
  • 104.
    Sigmoid volvulus `bird ofprey' sign chronic volvulus.
  • 105.
    Contrast failed toprogress beyond the recto-sigmoid junction. At this point, there is smooth, curved tapering like a bird's beak ("bird of prey sign")
  • 106.
    Intestinal obstruction  Dilatedgas filled bowel loops with air-fluid levels proximal to the obstruction  Paralytic ileus-both SB and LB are dilated  “String of beads” sign-Mechanical obstruction  Thumb printing due to sub mucosal edema- Ischemia  Intramural air-Necrotizing enterocolitis  “Coffee bean” appearance- Sigmoid volvulus
  • 107.
    Toxic Megacolon  Toxicmegacolon is an acute transmural fulminant colitis which can occur as a complication of any colitis.  most commonly seen with ulcerative colitis (1.6- 13% of cases).  Plain radiographs show marked colonic dilatation(> 8 cm) particularly of the transverse colon as this is the least dependent part of the large bowel in the supine position.  The wall has a shaggy appearance with mucosal islands or pseudopolyps with absence of haustra due to profound inflammation and ulceration.  Theremay be air-fluid levels and small bowel
  • 108.
  • 109.
     CT showsthe distended colon filled with air, fluid and blood with a distorted or absent haustral pattern and irregular, nodular wall. There may be presence of intra-mural air or blood
  • 111.
    Other conditions  Gangrenouscholecystitis -intraluminal and intramural air  Sentinel loop, gasless abdomen and colon cutoff sign in Pancreatitis  Extraluminal mottled gas in Abdominal abscess  Gas in perinephric region – Emphysematous pyelonephritis  Ureteric colic – Urolithiasis
  • 115.
    USG and CT An ileus may not be appreciated on a plain abdominal film if bowel loops are filled with fluid only without intraluminal air.  Alternatively if a plain abdominal film does indicate an ileus then sonography or CT are usually needed to identify its cause.
  • 116.
  • 117.
    Appendicitis plain radiograph Fluid levels localized to the caecum and terminal ileum, indicating inflammation in the right lower quadrant  Localized ileus with gas in the cecum, ascending colon and terminal ileum  Increased soft tissue density of the right lower quadrant  Blurring of the right flank stripe and presence of a radiolucent line between the fat of the peritoneum and tansverus abdominis  Fecolith in the right iliac fossa  Gas filled appendix  Blurring of the psoas shadow on the right side.
  • 120.
    Appendicitis usg  Anormal appendix has a maximum diameter of 6 mm, is surrounded by homogeneous non- inflamed fat, is compressible and often contains intraluminal gas.
  • 122.
  • 124.
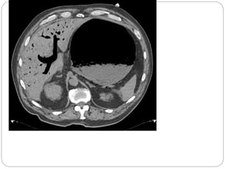
    Appendicitis General CT findingsfor acute appendicitis include: 1. Dilated appendix greater than 6 mm or visualization of an appendicolith with an appendix of any size 2. Peri-appendicial fat stranding
  • 127.
    This image ofan acute abdomen (arrow) displays periappendicial stranding and dilattion of its terminal portion . For comparison, this image of a normal appendix can be visualized at the ileocecal junction. Also notethe fat ventralcontaining heria
  • 128.
    Inflammation- Cholecystitis Acute cholecystitisis inflammation of the gallbladder usually from impaction of a gallstone within the cystic or common bile duct.  Plain radiograph:  Gallstones seen in 20%  Duodenal ileus  Il eus of hepatic flexure of colon  Right hypochondrial mass due to enlarged gallbladder  Gas within the biliary system
  • 129.
    Ultrasound is thepreferred imaging method to confirm cholecystitis in the appropriate clinical setting. sonographic signs include  calculi (in 95%)  distension of the gallbladder  edematous wall,  mucosal irregularity,  intramural gas and/or pericholecystic collection Doppler: increased mural colour uptake
  • 130.
    Acute calculous cholecystitis: Calculusobstructs the cystic duct The trapped concentrated bile irritates the gallbladder wall, causing increased secretion, which in turn leads to distention and edema of the wall. Rising intra luminal pressure compresses the vessels, resulting in thrombosis, ischemia, and subsequent necrosis and perforation of the wall.
  • 131.
    CT findings ofcholecystitis include:  wall thickening,  pericholecystic stranding,  GB distension,  pericholecystic fluid, subserosal edema,  high attenuation bile and sloughed membranes,  gas or septations within the gallbladder Complicated cases may reveal perforation or hepatic abscess formation.
  • 134.
    MRI IS COMPLEMENTORYTO CT AND USG IN  Demonstrating impacted calculi in the gallbladder neckor cystic duct which are often difficult to detect on US.  Also, conditions causing acalculous cholecystitis like adenomyomatosis, gall bladder polyp, malignant neoplasm or other cancers can be depicted on mr
  • 135.
    Thickening of gallbladderwall Cholelithiasis.
  • 138.
    Complications of acutecholecystitis include:  empyema,  gangrenous cholecystitis,  Gallbladder perforation and  emphysematous cholecystitis.
  • 139.
     Empyema: occurswhen pus fills the distended and inflamed GB,typically in diabetic patients.  On US and CT, pus resembles sludge. Heavily T2-weighted images are sensitive in demonstrating purulent bile as a dependent hypointense layer relative to normal bile.
  • 142.
     Gangrenous cholecystitis: is an advanced, severe form of acute cholecystitis, seen more common in elderly men.  It results from marked distension of the GB with resultant increase in tension in the wall.  Associated inflammation leads to ischemic necrosis. US reveals heterogenous or striated thickening of GB wall or intraluminal membranes representing desquamated mucosa.  US findings typical of uncomplicated acute cholecystitis may be absent in this subset of patients: GB wall thickness may be less than 3 mm  CT features consist of:  intraluminal membranes, irregular wall, pericholecystic  fluid/abscess and lack of mural enhancement.
  • 143.
    Gall bladder perforation:  most often a complication of acute gangrenous cholecystitis.  blood supply is poor in the region of fundus, this is the most common site of perforation.  Perforation can be classified into 3 types: A)acute free perforation into peritoneal cavity, B) subacute perforation with pericholecystic abscess and C) chronic perforation with a cholecystoenteric fistula.  Subacute perforations are the most common. Following perforation,  US, CT and MR show complex pericholecystic  fluid collections and the wall of GB can appear focally  disrupted.
  • 145.
     Emphysematous cholecystitis:  rare form of acute cholecystitis seen in patients with diabetes and peripheral atherosclerotic disease.  The majority of patients are between 50-70 years.  US demonstrates intraluminal and intramural gas as highly echogenic foci.  CT is the most sensitive and specific imaging modality to identify gas in the lumen or wall.
  • 148.
    ACUTE PANCREATITIS  Acutepancreatitis refers to acute inflammation of the pancreas.  Causes  Gallstones (most common)  Alcohol abuse, usually chronic  Trauma, more often penetrating  Drug-induced  Anatomic abnormality  ERCP-induced  Infectious, especially post-viral in children  Vasculitis  Idiopathic
  • 149.
    ACUTE PANCREATITIS  Pathologicalchanges are edema, hemorrhege,lnfarction,fat necrosis followed by acute suppuration  Inflammatory processes tend into gastro colic ligament or paraduodenal areas- follow route of mesentry or extend out of peritoneum into perirenal space.  Lot of radiological signs described, but many are of little value in diagnosing individual cases.
  • 150.
    Plain film changes- Chest x-ray- o Left sided pleural effusion o Splinting of left hemidiaphragm o Basal atelactasis  Abdominal film- o Duodenal ileus o Gasless abdomen o “colon cut off” sign o Renal “halo” sign o Absent left psoas shadow o Indistinct mottled shadowing o Sentinel loop o Intrapancreatic gas-abscess/ enteric fistula 150
  • 151.
    The abrupt terminationof gas within the proximal colon at the level of the radiographic splenic flexure, usually with decompression of the distal colon
  • 152.
    A sentinel loopis a focal area of adynamic ileus close to an intra-abdominal inflammatory process. The sentinel loop sign may aid in localizing the source of inflammation
  • 153.
     Later stages-pancreatic pseudocyst visible on plain film as large soft tissue mass  Pleural effusions, mainly left sided.
  • 154.
    A/c pancreatitis  Earlystages-USG is preferred  USG reveals enlarged hypoechoic pancreas with peripancreatic fluid,+/- cholelithiasis  Also in follow up of fluid collection or pseudocyst formation.  CECET – modality of choice- for diagnosis,detect extrapancreatic,intras abdomial pathology  For staging of severity-CTSI
  • 155.
    CT Findings typicalof pancreatitis include: 1. An enlarged pancreas with infiltration of the surrounding fat 2. Peripancreatic fluid collections can often be seen 3. Pseudocysts, (encapsulated fluid collections containing pancreatic secretions, are later complications of pancreatitis)
  • 158.
    MRI  Recent improvementsin resolution and faster breath hold sequences have drastically increased usage of MRI in abdomen.  But not routinely used in a/c abdomen except in situations where contrast cannot be administered or in pregnant patients
  • 159.
     Most importantobjective of imaging in a/c abdomen is  Identify most common causes  Choose the modality of imaging appropriately  Diagnose or exclude common conditions
  • 160.
    Notice the peripancreaticstranding (bars) as well as the fluid thickening of the interfascial space
  • 161.
    A common complication ofpancreatitis is the development of pancreatic necrosis. Lack of gland enhancement following IV contrast administration is diagnostic. When over half the pancreas becomes necrosed, the mortality rate may reach as high as 30%.
  • 163.
  • 164.
  • 166.
    Intra-Abdominal Abscess  Alocalized collection of pus can occur anywhere in the abdomen:  in the parenchyma of solid organs, in the peritoneal or extra-peritoneal spaces. Early detection, may be seen. At times, the abscess may have a solid appearance.  Color Doppler demonstrates peripheral hypervascularity.  CT will show a low attenuation fluid collection with mass effect and peripheral rim enhancement with or without gas bubbles or an air-fluid level.
  • 168.
    OTHER CAUSES OFACUTE ABDOMEN
  • 169.
    Sigmoid diverticulitis  Ifthe pain is located in the LLQ main concern is sigmoid diverticulitis. In diverticulitis sonography and CT show diverticulosis with segmental colonic wall thickening and inflammatory changes in the fat surrounding a diverticulum.  Complications of diverticulitis such as abscess formation or perforation, can best be excluded with CT.
  • 171.
  • 172.
    A case ofdiverticulitis showing a thickened sigmoid colon and a diverticulum
  • 174.
    Mesenteric lymphadenitis  Acommon mimicker of appendicitis.  It is the second most common cause of right lower quadrant pain after appendicitis.  It is defined as a benign self-limiting inflammation of right-sided mesenteric lymph nodes without an identifiable underlying inflammatory process, occurring more often in children than in adults.  This diagnosis can only be made confidently when a normal appendix is found, because adenopathy also frequently occurs with appendicitis.
  • 176.
    Epiploic Appendagitis  Epiploicappendages are small adipose protrusions from the serosal surface of the colon.  An epiploic appendage may undergo torsion and secondary inflammation causing focal abdominal pain that simulates appendicitis when located in the right lower quadrant or diverticulitis when located in the left lower quadrant.  The characteristic ring-sign corresponds to inflamed visceral peritoneal lining surrounding an infarcted fatty epiploic appendage.
  • 177.
  • 178.
    USG  rounded, noncompressible,hyperechoic mass, without internal vascularity, and surrounded by a subtle hypoechoic line 5. They are typically 2-4 cm in maximal diameter.
  • 180.
  • 181.
    Distal ureteral stonelead ing to right hyrdronephrosis in above image Ureteral junctional stone Renal Colic
  • 182.
    Renal stone rightsided hydronephrosis Renal Colic
  • 184.
  • 185.
    Inflammation- Colitis Colitis, orinflammation of the colon, is a frequent cause of abdominal pain. Specific entities which produce inflammatory thickening of the colon include:- Diverticulitis, inflammatory bowel disease, pseudomembranous colitis, and other bacterial infections (i.e. typhlitis).
  • 187.
    This example ofcolitis shows thickening of the colon and pericolonic stranding typical of inflammation.
  • 188.
    Thickening of sigmoidcolon due to pseudomembranous colitis
  • 189.
    MESENTRIC ISCHEMIA  Acuteocclusion of the superior mesenteric artery (SMA) due to embolus is the most common cause of mesenteric ischemia accounting for nearly 50% of cases due to  Thrombosis of the SMA or the superior mesenteric vein (SMV) are responsible for another 10-20% of cases.
  • 193.
     The manifestationmay range from a self-limiting superficial ischemia involving the watershed zones to a diffuse ischemic injury to the entire bowel - “shock bowel”.  There are three stages of acute mesenteric ischemia:  In the first stage, there is mucosal involvement with necrosis, ulcerations and/or hemorrhage. The injury is superficial and will eventually heal completely.  In stage II, there is necrosis of the deep submucosal and muscular layers which may lead to the development of fibrotic strictures.  Stage III ischemia represents transmural bowel necrosis which requires immediate surgical intervention. The imaging appearance in a given
  • 194.
     Plain filmsreveal the characteristic thick-walled dilated loops with thumb-printing.  Intramural air or porto-mesenteric air is also rarely visualized on the plain radiograph.  MDCT angiography is the modality of choice for the evaluation of bowel ischemia  The arterial occlusion/narrowing as well as the venous occlusion can be readily detected. Involvement of the vasa recta (Coombs’ sign) may be seen in small vessel vasculitis
  • 196.
     In addition,involvement of a long segment of bowel or both small and large bowel with skip segments are features of small vessel disease.  The most common finding of mesenteric ischemia is bowel wall thickening though this feature strongly depends on the degree of bowel distension. Mural thickening is commoner with ischemic colitis and with veno-occlusive disease but is rare in arterio-occlusive disease where the involved segment of bowel may show dilated, fluid-filled loops with paper-thin walls
  • 197.
     The bowelwall may show a striated appearance due to the presence of sub-mucosal edema or hemorrhage. In complete arterial occlusion, there can be absence of the normal enhancement of the bowel wall. Conversely, in non-occlusive ischemia there can be abnormal persistent mural enhancement. The target sign is seen when there is hyperenhancement of the mucosa and submucosa due to hyperemia and hyperperfusion with mural edema
  • 198.
    THMB PRINTING INISCHEMIC COLITIS
  • 199.
  • 200.
    VASCULAR CAUSES  Vascularconditions that may present as acute abdomen include rupture of an aortic aneurysm, spontaneous aortic occlusion, acute hemorrhage and hepatic or splenic vascular occlusion  average age at the time of diagnosis being 65-70 years.  Most abdominal aortic aneurysms are true aneurysms and  occur below the level of renal arteries. An abdominal aortic aneurysm is defined as an aortic diameter of 3cm or more42 while a diameter of 5.5 cm or more warrants urgent intervention.
  • 201.
     Multidetector CTis the modality of choice for evaluation of acute aortic syndrome.  The most common finding of rupture of aortic aneurysm is a retroperitoneal hematoma adjacent to the aneurysm  . Other CT features may include active extravasation of contrast, extension of periaortic blood into perirenal or pararenal spaces or the psoas muscle or peritoneal cavity
  • 202.
  • 204.
    Signs predictive ofimpending rupture are:  a. Draped aorta sign – Seen with contained leak. The posterior wall of aorta cannot be defined due to close application and lateral ‘draping’ of the aneurysm around the adjacent
  • 206.
     b. Increasein aneurysm size – A patient with a very large aneurysm (> 7cm diameter) who presents with acute aortic syndrome has a high likelihood of aneurysm rupture. Also, a rate of enlargement of >10 mm per year warrants surgical repair.  c. Thrombus-to-lumen ratio - This ratio decreases with increasing aneurysm size. A thick circumferential thrombus is protective against rupture.  d. Focal discontinuity in intimal calcification.
  • 207.
     e. Hyperattenuatingcrescent sign due to hemorrhage in either the peripheral thrombus or aneurysm wall.
  • 208.
     Acute abdominalhemorrhage may result due to ruptured aneurysm in a case of polyarteritis nodosa, ruptured tumor (usually renal cell carcinoma) or in a patient on anticoagulant therapy.  Non-contrast CT demonstrates a hyperdense collection at the site of hemorrhage.  MDCT angiography can accurately delineate the site and cause of hemorrhage.
  • 209.
     Rare causesof acute abdomen include:  hepatic vein thrombosis (acute Budd-Chiari syndrome) and  portal vein thrombosis.  US in the acute phase may show liver enlargement, partial or complete inability to visualize hepatic veins, intraluminal hepatic vein echogenicity or thrombosis, marked narrowing of intrahepatic IVC and ascites.  Color Doppler: Absence of flow or flow in an abnormal direction in all or part of the hepatic veins may be seen.  CT and MR are complimentary techniques for definitive diagnosis which provide a more complete evaluation of the hepatic parenchyma, hepatic veins and IVC.
  • 210.
  • 211.
    Signs of aruptured ectopic pregnancy on ultrasound  an inhomogeneous adnexal mass,  pelvic fluidor hematoma,  decidual reaction without intrauterine gestation sac, in the presence of a positive pregnancy test.  Visualization of an echogenic adnexal ring separate from the ovary that has prominent peripheral flow on color Doppler is highly suggestive of ectopic gestation.  Corpus luteum is a useful guide while looking for an ectopic pregnancy and is usually seen in the ipsilateral ovary in 70-85% cases. Using transvaginal ultrasound, the live embryo can be detected in upto 17% of all ectopic pregnancies.
  • 215.
    FIBROIDS  Fibroids maypresent with acute pain if there is torsion or degeneration of a submucosal or subserosal fibroid.  On imaging, uterine enlargement with a focal mass or contour deformity are seen. Degenerated fibroids may have a cystic appearance.
  • 217.
    MRI  Haemorrhagic fibroiddegeneration. This patient, known to have uterine fibroids, presented to the accident and emergency department with low-grade pyrexia, tachycardia and acute lower abdominal pain. a Sagittal T2 image demonstrates a large uterine fibroid with high signal intensity centrally with a very low signal intensity rim suggestive of peripheral haemosiderin. b Axial T1 with fat-saturated image shows high signal intensity within the fibroid consistent with haemorrhage (black arrow). c Axial T1 with fat saturation following gadolinium administration demonstrates lack of enhancement within the fibroid (black arrow), consistent with infarction. The surrounding myometrium enhances normally (white
  • 218.
    OVARIAN TORSION Ovarian torsionusually occurs in children and is attributed to excessive mobility of the ovary. In adults,a cyst or mass, frequently a cystic teratoma, is present in the ovary undergoing torsion. Sonographic findings : 1. enlarged ovary with peripherally distributed follicles, 2. an associated cyst or mass 3. diminished or absent central venous flow on Doppler. CT: deviation of the uterus to the twisted side, obliteration of fat planes and an enlarged ovarydisplaced from its adnexal location is seen. Contrast enhanced CT may show surrounding enhancing blood vessels due to congestion.
  • 221.
    Hemorrhage into acorpus luteal or follicular cyst  manifest with abrupt onset of pelvic pain.  If the cyst ruptures, associated hemoperitoneum can be life threatening.  On imaging, hemorrhagic ovarian cysts can mimic a variety of solid and mixed solid- cysticmasses.  A fluid-fluid level may be present.  On CT, high attenuation components are usually seen due to hemorrhage.
  • 223.
     A CTpredominantly cystic lesion. MRI. On MRI the hemorrhagic content will make endometrioma appear bright on T1-weighted images. On T1-fatsat images an endometrioma will remain bright. This in contrast to teratomas, that are also bright on T1 but dark on T1-fatsat images. On T2-weighted images endometriomas typically show 'shading'
  • 224.
    Ovarian vein thrombosis Pregnancyincreases the risk for venous thrombosis due to stasis, alteration in coagulation factors and by nearly tripling the diameter of the ovarian veins. In 90% of cases, the right ovarian vein is involved due to dextrotorsion of the uterus. OVT may be diagnosed by US, CT or MRI, however, CT is the modality of choice and demonstrates a low attenuation thrombus in lumen of ovarian vein
  • 227.
    MRI IN ACUTEABDOMEN
  • 228.
     Although USis the first-line investigation for suspected appendicitis in a pregnant patient,  MR imaging is better than CT as the second-line imaging modality when US results are nondiagnostic or equivocal.  Although the safety of MR imaging to the fetus has not been proved, no proved human teratogenic or carcinogenic effects of MR imaging have been described in the literature.
  • 232.
    ADNEXAL TORSION  Thesuitability of MR imaging is equal to that of CT in patients in whom an adnexal lesion is believed to be present.  according to the ACR criteria; however, in postmenopausal women with a complex or solid adnexal mass depicted at US,  MR imaging is considered superior to CT.  MR imaging and CT are used mainly when the presence of acute torsion with a pelvic mass is suspected or when the signs and symptoms are suggestive of a subacute or chronic condition.
  • 233.
    The MR imagingfeatures of ovarian torsion:  which have been well described, include ovarian enlargement with stromal edema.  The common CT and MR imaging features of adnexal torsion include thickening of the twisted fallopian tube, smooth thickening of the wall of the cystic ovarian mass, ascites, and uterine deviation to the side of torsion
  • 235.