A case of PUOByProf.S.Tito’sUnit
Jayaarthi 26 yr female, married,admitted with c/o fever – 5months,intermittent,low grade with chills and rigors	H/o loss of wt& appettite	H/o Cough with expectoration – 3months,mucoid,non foul smelling, mild to moderate amount not ass with haemoptysis	H/o Breathlessness ,grade-2,no diurnal variation 	H/o leucorrhea on and off NoH/o headache,vomiting,abdominal pain ,loose stools, burning micturition ,jaundiceNoH/o any bleeding tendencies, rec throat infections, NoH/o jt pain, rec oral ulcers, skin rashes, loss of hair
Past History:No H/o DM,HT,cardiac illness,H/o Pul TB diagnosed and treated with ATT –Cat-I, and declared curedObstetric History:No H/o recurrent abortionH/o full-term normal delivery 6 months beforeFamily History:No H/o DM, HT, TB, Connective tissue disorder & malignancy Menstrual History:Scanty ,irregular
On examination : pt consc,oriented,febrile,pallor,emaciated	              No cyanosis ,no clubbing, no lymphadenopathy,not icteric	              no oral ulcers,no pedal edema, no skin rashes, no external markers of TB  Respiratory examination:	Trachea shifted to rtside,apical impulse normal in position ,	movements of chest wall diminished more in the rt side. B/l coarse creptsCVS:	S1S2 normaly heard ,No murmurAbdomen:	soft, No organomegalyCNS:	No neurological deficit, no meningeal signs
Investigations
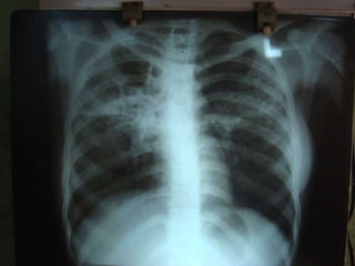
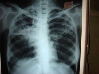
CT Chest: Rt Upper lobe bullous lesion ,Rt middle and lower lobe consolidation with ectatic changes lt upper lobe and lower lobe ECHO: Normal study ,No vegetationsBlood Culture(thrice): Negative for organisms IgM for brucellosis: NegativeTreatment Given: Inj.Cefotaxime,chloroquine,Doxy,Metranidazole,Nebulization, cat-II ATT started
cxr
TRC Opinion(30/9/08): 	          Sputum AFB repeat neg; Sputum C/s for TB taken. Even though pt is sputum AFB negative with symptoms of  TB with  increasing infiltrates in CXR advice to con ATT-CatII Even after all these treatment measures pt continued with fever but breathlessness,Cough and expectoration subsided.pt advised to continue cat-II ATT until c&sreport arrives.
DIAGNOSIS INH – resistant pulmonary tuberculosis Pt referred to Tambaram Sanatorium for further management
On further follow-upTreatment given		inj.SM 0.75g 3/wkCap.Rifampicin 450mg OD dailyT.Ethambutol 800mgOD  dailyT.Ciprofloxacin 500mg BD daily 		PAS 10g OD dailyFever subsided, anorexia improved, wt gained
Sputum smear done  at the end of 3 and 4th month turned out be POSITIVESputum c&s for ATT at the end of 3rd report awaited.
FINAL DIAGNOSISSUSPECTED  MDR-TB
T
 NTF Presentations for RNTCP Sensitization First edition 10th Nov 06Problem of TB in IndiaEstimated incidence-75 new smear positive PTB cases/1lakh population per year Estimated prevalence of TB dise1.7 million new smear positive cases in 2000Estimated mortalityOver 1000 deaths a day2 deaths every 3 minutesGopi P et al (TRC), IJMR, Sep 2005
Prevalence of TB infection
40% (~400m) infected with M. tuberculosis (with a 10% lifetime risk of TB disease in the absence of HIV)
Estimated Multi-drug resistant TB
12% in re-treatment cases
TB-HIV
10-15% annual risk (60% lifetime risk) of developing active TB disease in PLWHA
Estimated 5% of TB patients are HIV infectedDEFINITIONS OF DRUG RESISTANCEDR-TB  is confirmed  through  laboratory  tests  that show  that  the  infecting isolates of Mycobacterium tuberculosis grow in vitro in the presence of one or more antituberculosis drugs. Four different categories of drug resistance have been established:•  Mono-resistance: resistance to one antituberculosis drug. •  Poly-resistance: resistance to more than one antituberculosis drug, other than both isoniazid and rifampicin. •  Multidrug-resistance: resistance to at least isoniazid and rifampicin. •  Extensive drug-resistance: resistance to any fluoroquinolone, and at least one  of  three  injectable  second-line  drugs  (capreomycin,  kanamycin  and amikacin), in addition to multidrug-resistance.
Resistance incidenceINH resistance  18%RIFAMPICIN resistance  2%Failure rate even after complete trt under cat1 &cat2 tretment are 2% and 6% respectively.New cases 1-3%Previously treated cases 12-17%
WHEN TO SUSPECT MDR-TB1.cat1/cat3 treatment failure2.Even after 4 months of cat2 treatment sputum smear is positive3.Source of contact is MDR-TBExclusion:   1.<15 years of age2.Having had >1month treatment with any secondline drug
Common treatment strategies for DR-TBRepresentative DRS data in well-defined patient populations are used to design the regimen. All patients in a patient group or category receive the same regimen.Standardized  treatment Initially, all patients in a certain group receive the same regimen based on DST survey data from representative populations. The regimen is adjusted when DST results become available (often DST is only done to a limited number of drugs).Standardized  treatment followed by individualized treatmentEach regimen is individually designed on the basis of patient history and then adjusted when DST results become available (often the DST is done of both first- and second-line drugs)Empirical treatment followed by individualized treatment
HOW TO BUILD A TREATMENT REGIMEN FOR MDR-TB
Guidelines for the programmatic management of drug-resistant tuberculosisEmergency update 2008 WHO– page60
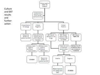
CATEGORY IV Regimen •  Confirmed MDR-TB.•  Suspected MDR-TB –pt may be started on Category IV treatment before MDR-TB is confirmed only if representative DST surveys or other epidemiologic data indicate a very high probability of MDR-TB•  Poly-resistant TB. Some cases of poly-resistant TB will require Category IV treatments. These patients require prolonged treatment (18 months or more) with first-line drugs combined with two or more second-line drugs . Category –II Failure CasesCulture and DST results and further action
RNTCP Grouping  Drugs Group 1: First-line oral anti-TB agents  Isoniazid (H); Rifampicin (R); Ethambutol (E); Pyrazinamide (Z)Group 2: Injectable anti-TB agents  Streptomycin (S); Kanamycin (Km); Amikacin (Am); Capreomycin (Cm); Viomycin (Vm).   Group 3: Fluoroquinolones  Ciprofloxacin (Cfx); Ofloxacin (Ofx); Levofloxacin (Lvx); Moxifloxacin (Mfx); Gatifloxacin (Gfx) Group 4: Oral second-line anti-TB agents  Ethionamide (Eto); Prothionamide (Pto); Cycloserine (Cs);  Terizadone (Trd); paraaminosalycilic acid (PAS); Thiacetazone (T)
RNTCP CATEGORY IV REGIMEN(DOTS+ strategy) 6 (9) Km OfxEto Cs Z E / 18 OfxEto Cs E
Follow upSputum smear to be done monthly during IP and every three months during CPSputum culture to be done at the end of the months 3, 6,12, 18 and 24. If any of the cultures in the last three quarters becomes positive monthly culture to be done.
conversionPatients will be considered culture converted after having two consecutive negative cultures taken at least one month apart. Similarly patients will be considered  smear converted after having two consecutive negative smears taken at  least one month apart.
MDR-TB requiring surgery  Absence of clinical or bacteriological response to chemotherapy despite six to nine months of treatment with effective antituberculosis drugs;  High risk of failure or relapse due to high degree of resistance or extensive parenchymal involvement;  Morbid complications of parenchymal disease e.g. haemoptysis, bronchiectasis, bronchopleural fistula, or empyema;  Recurrence of positive culture status during course of treatment;  Relapse after completion of anti-tuberculosis treatment. If surgical option is under consideration at least six to nine months of chemotherapy is recommended prior to surgery

A case of MDR-TB

  • 1.
    A case ofPUOByProf.S.Tito’sUnit
  • 2.
    Jayaarthi 26 yrfemale, married,admitted with c/o fever – 5months,intermittent,low grade with chills and rigors H/o loss of wt& appettite H/o Cough with expectoration – 3months,mucoid,non foul smelling, mild to moderate amount not ass with haemoptysis H/o Breathlessness ,grade-2,no diurnal variation H/o leucorrhea on and off NoH/o headache,vomiting,abdominal pain ,loose stools, burning micturition ,jaundiceNoH/o any bleeding tendencies, rec throat infections, NoH/o jt pain, rec oral ulcers, skin rashes, loss of hair
  • 3.
    Past History:No H/oDM,HT,cardiac illness,H/o Pul TB diagnosed and treated with ATT –Cat-I, and declared curedObstetric History:No H/o recurrent abortionH/o full-term normal delivery 6 months beforeFamily History:No H/o DM, HT, TB, Connective tissue disorder & malignancy Menstrual History:Scanty ,irregular
  • 4.
    On examination :pt consc,oriented,febrile,pallor,emaciated No cyanosis ,no clubbing, no lymphadenopathy,not icteric no oral ulcers,no pedal edema, no skin rashes, no external markers of TB Respiratory examination: Trachea shifted to rtside,apical impulse normal in position , movements of chest wall diminished more in the rt side. B/l coarse creptsCVS: S1S2 normaly heard ,No murmurAbdomen: soft, No organomegalyCNS: No neurological deficit, no meningeal signs
  • 5.
  • 10.
    CT Chest: RtUpper lobe bullous lesion ,Rt middle and lower lobe consolidation with ectatic changes lt upper lobe and lower lobe ECHO: Normal study ,No vegetationsBlood Culture(thrice): Negative for organisms IgM for brucellosis: NegativeTreatment Given: Inj.Cefotaxime,chloroquine,Doxy,Metranidazole,Nebulization, cat-II ATT started
  • 11.
  • 12.
    TRC Opinion(30/9/08): Sputum AFB repeat neg; Sputum C/s for TB taken. Even though pt is sputum AFB negative with symptoms of TB with increasing infiltrates in CXR advice to con ATT-CatII Even after all these treatment measures pt continued with fever but breathlessness,Cough and expectoration subsided.pt advised to continue cat-II ATT until c&sreport arrives.
  • 15.
    DIAGNOSIS INH –resistant pulmonary tuberculosis Pt referred to Tambaram Sanatorium for further management
  • 16.
    On further follow-upTreatmentgiven inj.SM 0.75g 3/wkCap.Rifampicin 450mg OD dailyT.Ethambutol 800mgOD dailyT.Ciprofloxacin 500mg BD daily PAS 10g OD dailyFever subsided, anorexia improved, wt gained
  • 17.
    Sputum smear done at the end of 3 and 4th month turned out be POSITIVESputum c&s for ATT at the end of 3rd report awaited.
  • 18.
  • 19.
  • 20.
    NTF Presentationsfor RNTCP Sensitization First edition 10th Nov 06Problem of TB in IndiaEstimated incidence-75 new smear positive PTB cases/1lakh population per year Estimated prevalence of TB dise1.7 million new smear positive cases in 2000Estimated mortalityOver 1000 deaths a day2 deaths every 3 minutesGopi P et al (TRC), IJMR, Sep 2005
  • 21.
  • 22.
    40% (~400m) infectedwith M. tuberculosis (with a 10% lifetime risk of TB disease in the absence of HIV)
  • 23.
  • 25.
  • 26.
  • 27.
    10-15% annual risk(60% lifetime risk) of developing active TB disease in PLWHA
  • 28.
    Estimated 5% ofTB patients are HIV infectedDEFINITIONS OF DRUG RESISTANCEDR-TB is confirmed through laboratory tests that show that the infecting isolates of Mycobacterium tuberculosis grow in vitro in the presence of one or more antituberculosis drugs. Four different categories of drug resistance have been established:• Mono-resistance: resistance to one antituberculosis drug. • Poly-resistance: resistance to more than one antituberculosis drug, other than both isoniazid and rifampicin. • Multidrug-resistance: resistance to at least isoniazid and rifampicin. • Extensive drug-resistance: resistance to any fluoroquinolone, and at least one of three injectable second-line drugs (capreomycin, kanamycin and amikacin), in addition to multidrug-resistance.
  • 29.
    Resistance incidenceINH resistance 18%RIFAMPICIN resistance 2%Failure rate even after complete trt under cat1 &cat2 tretment are 2% and 6% respectively.New cases 1-3%Previously treated cases 12-17%
  • 30.
    WHEN TO SUSPECTMDR-TB1.cat1/cat3 treatment failure2.Even after 4 months of cat2 treatment sputum smear is positive3.Source of contact is MDR-TBExclusion: 1.<15 years of age2.Having had >1month treatment with any secondline drug
  • 31.
    Common treatment strategiesfor DR-TBRepresentative DRS data in well-defined patient populations are used to design the regimen. All patients in a patient group or category receive the same regimen.Standardized treatment Initially, all patients in a certain group receive the same regimen based on DST survey data from representative populations. The regimen is adjusted when DST results become available (often DST is only done to a limited number of drugs).Standardized treatment followed by individualized treatmentEach regimen is individually designed on the basis of patient history and then adjusted when DST results become available (often the DST is done of both first- and second-line drugs)Empirical treatment followed by individualized treatment
  • 32.
    HOW TO BUILDA TREATMENT REGIMEN FOR MDR-TB
  • 33.
    Guidelines for theprogrammatic management of drug-resistant tuberculosisEmergency update 2008 WHO– page60
  • 34.
    CATEGORY IV Regimen• Confirmed MDR-TB.• Suspected MDR-TB –pt may be started on Category IV treatment before MDR-TB is confirmed only if representative DST surveys or other epidemiologic data indicate a very high probability of MDR-TB• Poly-resistant TB. Some cases of poly-resistant TB will require Category IV treatments. These patients require prolonged treatment (18 months or more) with first-line drugs combined with two or more second-line drugs . Category –II Failure CasesCulture and DST results and further action
  • 35.
    RNTCP Grouping Drugs Group 1: First-line oral anti-TB agents Isoniazid (H); Rifampicin (R); Ethambutol (E); Pyrazinamide (Z)Group 2: Injectable anti-TB agents Streptomycin (S); Kanamycin (Km); Amikacin (Am); Capreomycin (Cm); Viomycin (Vm). Group 3: Fluoroquinolones Ciprofloxacin (Cfx); Ofloxacin (Ofx); Levofloxacin (Lvx); Moxifloxacin (Mfx); Gatifloxacin (Gfx) Group 4: Oral second-line anti-TB agents Ethionamide (Eto); Prothionamide (Pto); Cycloserine (Cs); Terizadone (Trd); paraaminosalycilic acid (PAS); Thiacetazone (T)
  • 36.
    RNTCP CATEGORY IVREGIMEN(DOTS+ strategy) 6 (9) Km OfxEto Cs Z E / 18 OfxEto Cs E
  • 37.
    Follow upSputum smearto be done monthly during IP and every three months during CPSputum culture to be done at the end of the months 3, 6,12, 18 and 24. If any of the cultures in the last three quarters becomes positive monthly culture to be done.
  • 38.
    conversionPatients will beconsidered culture converted after having two consecutive negative cultures taken at least one month apart. Similarly patients will be considered smear converted after having two consecutive negative smears taken at least one month apart.
  • 39.
    MDR-TB requiring surgery Absence of clinical or bacteriological response to chemotherapy despite six to nine months of treatment with effective antituberculosis drugs; High risk of failure or relapse due to high degree of resistance or extensive parenchymal involvement; Morbid complications of parenchymal disease e.g. haemoptysis, bronchiectasis, bronchopleural fistula, or empyema; Recurrence of positive culture status during course of treatment; Relapse after completion of anti-tuberculosis treatment. If surgical option is under consideration at least six to nine months of chemotherapy is recommended prior to surgery