ОКУ «ПМФК ім.В.О.Жуковського»
АКУШЕРСЬКО – ПЕДІАТРИЧНА
ЦИКЛОВА КОМІСІЯ
Захворювання
органів дихання
(нижніх дихальних
шляхів)
Лекція № 12
Тітова Т.В.
План лекції
• Гострий бронхіт.
• Обструктивний бронхіт
• Пневмонія.
• Бронхіальна астма.
Гострий бронхіт
• запальний процес
слизової оболонки
бронхів за відсутності
ознак ураження
легеневої тканини
Неінфекційні
бронхіти
пов’язані з дією на
слизову оболонку різних
алергенів, токсичних
речовин, фізичних
факторів
Етіологія
Інфекційні бронхіти
віруси, бактерії, атипові
мікроорганізми, гриби,
найпростіші
Бронхіти змішаної
етіології
Інфекційні бронхіти
Вірусні - характерні для
більшості гострих і
рецидивуючих форм
захворювання (65-90%). Спектр
вірусів – більше 180 видів.
Найбільш часто: віруси грипу,
парагрипу, адено-, корона-,
рино -, РСВ, ECHO-, коксакі-
вірус.
Бактеріальні бронхіти
Із грибкових агентів значення мають гриби рода Candida, рідше
Aspergillus.
Класифікація
За характером ураження
• Катаральний
• Фібринозний
• Гнійний
• Геморагічний
• Некротичний
• Гнильний
За локалізацією процесу
• Ендобронхіт – ураження
слизової оболонки бронхів
• Панбронхіт – ураження і
підслизового , і м’язового
шарів бронхів
Класифікація бронхітів у дітей
По етіології:
 Інфекційний:
• вірусний;
• бактеріальний;
• вірусно-бактеріальний;
• грибковий.
 Неінфекційний, обумовлений:
• алергічними факторами;
• хімічними факторами;
• фізичними факторами;
• тютюновим димом та ін.
 Змішаний, внаслідок поєднання
інфекційних та неінфекційних
факторів.
 Від нез’ясованих причин
По патогенезу:
• первинний;
• вторинний.
За перебігом:
• гострий (до 2-3 тиж.);
• затяжний (до 1 міс.);
• рецидивуючий (˃3 р. на
рік):
 фаза загострення;
 фаза ремісії;
• хронічний (˃2 років).
За клінічним варіантом:
• простий;
• обструктивний.
За рівнем враження:
1. трахеїт; 3. бронхіт;
2. трахеобронхіт; 4. бронхіоліт.
Трахеїт (J 04.1)
• запалення слизової оболонки трахеї, частіше прояв
або загострення гострого респіраторного
захворювання вірусної етіології;
• трахеїт супроводжується запальним
процесом в гортані (ларинготрахеїт, J04.2)
або в бронхах (трахеобронхіт, J20).
Гострий (простий) бронхіт
- гостре запалення слизової оболонки бронхів, переважно вірусної
етіології.
Симптоми: - вірусна
інтоксикація;
- кашель, формування
мокроти, поява хрипів,
задишка.
Аускультативно: жорстке
дихання, подовжений видих,
хрипи з обох сторін в різноманітних відділах легень, при кашлі
змінюються.
На рентгені грудної клітини – посилення легеневого малюнка, тінь
кореня легені розширена, нечітка.
ДІАГНОСТИКА БРОНХІТІВ:
 анамнез;
клінічні симптоми бронхіту
• основні, постійні (кашель, формування і
виділення мокроти);
• додаткові, непостійні (хрипи,
обструктивний синдром, задишка).
Клініка Клінічні прояви характеризуються
тріадою симптомів
• кашель,
• виділення харкотиння,
• порушення бронхіальної прохідності,
але без ознак обструкції.
Діагностичні критерії
- Кашель має сухий, нав`язливий характер. На 2-му тижні
стає вологим, продуктивним та поступово зникає.
- При огляді дітей не виявлено ознак дихальної
недостатності та симптомів інтоксикації.
- При пальпації і перкусії зміни в легенях відсутні.
- Аускультативно вислуховується жорстке дихання,
подовжений видох. Хрипи вислуховуються з обох сторін
в різних відділах легень, при кашлі змінюються. На
початку хвороби хрипи сухі, а згодом з`являються
незвучні, вологі дрібно-, середньо-, та великоміхурові
хрипи відповідно діаметра вражених бронхів.
- Зміни гемограми непостійні, можуть проявлятись
прискореною ШОЕ при нормальному чи зниженому
вмісту лейкоцитів.
- На рентгенограмі грудної клітки спостерігається посилення
легеневого малюнку, тінь кореня легень розширена, не
чітка.
Лікування
• Наказ № 18 від
13.01.2005 «Про
затвердження Протоколів
надання медичної допомоги
дітям за спеціальністю
«Дитяча пульмонологія»
• Протокол лікування
гострого бронхіту у дітей
Лікування
• Госпіталізація при підозрі на ускладнення.
• Дієта повноцінна, відповідно до віку дитини, збагачена
вітамінами, висококалорійна.
• Симптоматичне лікування включає:
– Відхаркувальні та муколітичні препарати (проспан, флюдитек,
гербіон, геделікс N-ацетилцистеїн, бромгексин, лазолван, мукалтін,
амброгексал, пертусін, корінь солодки, корінь алтею, лист
подорожніка, калія йодід, та ін.) Препарати застосовуються
ентерально та в інгаляціях.
– Протикашльові препарати призначаються тільки при нав`язливому,
малопродуктивному, сухому кашлі - з метою пригнічення кашлю
(глауцин, лібексін, тусупрекс, бутамірат, бронхолітін ).
– Антигістамінні препарати (кларітін, тайлед, семпрекс) дітям з
алергічними проявами.
– Полівітаміни (ревіт, оліговіт, пікавіт та ін.) призначають в дозах, що
перевищують фізіологічні потреби.
– При гіпертерміі – жарознижуючі (парацетамол, ібуфен).
Етіологічна терапія
• Противірусні препарати ефективні в перші дві-три доби
захворювання. Застосовують: ремантадін, арбидол-ленс,
аміксін, інтерферони
Показаннями до призначення антибіотиків при гострому
бронхіті може бути:
• Діти перших 6-ти місяців життя;
• Важкий перебіг бронхіту (нейротоксикоз та ін.);
• Наявність обтяжливого преморбідного фону (пологова
травма, недоношеність, гіпотрофія та ін.);
• Наявність активних хронічних вогнищ інфекцій (тонзиліт,
отит та ін.);
• Підозра на нашарування бактеріальної інфекції:
– Лихоманка з температурою тіла вище 39 С;
– В`ялість, відмова від їжі;
– Виражені симптоми інтоксикації;
– Наявність задишки;
– Асиметрія хрипів;
Етіотропне лікування
І. Противовірусне лікування
Хіміопрепарати:
• ремантадин;
• альгірем;
• арбідол;
• аміксин;
• рибавірин;
• тамифлю
(озельтамівір);
• афлубін.
Інтерферони:
• інтерферон людський
лейкоцитарний (ИФН-α);
• реаферон (рекомбінантний
α - інтерферон);
• віферон;
• грипферон.
Індуктори інтерферонів:
• циклоферон;
• неовір;
• полудан.
Етіотропне лікування бронхітів
II. Антибактеріальне лікування
Препарати вибору:
• амінопеніциліни з інгібіторами β-
лактамаз (амоксиклав, аугментин);
• цефалоспорини I-II покоління
(цефазолін, цефалексін, цефаклор,
цефуроксим, цефотаксім,
цефтріаксон);
• макролідні антибіотики (азітроміцин,
кларитроміцин) - альтернативні
засоби (тільки при непереносимості
β-лактамних антибіотиків).
Патогенетичне лікування
бронхітів
Принципи лікування:
• пригнічення запалення слизової
оболонки дихальних шляхів
(фенспірид);
• нормалізація функції секреторного
апарату мукоциліарного
транспорту;
• вплив на кашльовий рефлекс;
• відновення бронхіальної
прохідності (усунення обструкції
Обструктивний бронхіт
Діагностичні критерії:
• Подовжений свистячий видох , які чути на відстані .
• При огляді здута грудна клітка (горизонтальне
розміщення ребер), участь в акті дихання допоміжної
мускулатури, втяжіння міжреберних проміжків, але
ознаки дихальної недостатності відсутні.
• Кашель сухий, нападоподібний, довго триває.
Наприкінці першого тижня переходить у вологий.
• Перкуторно визначається коробковий відтінок
легеневого тону.
• Аускультативно вислуховується жорстке дихання,
видих подовжений, багато сухих свистячих хрипів.
Можуть бути середньо- та великопухірцеві малозвучні
хрипи.
• На рентгенограмі грудної клітки спостерігається
розрідження легеневого малюнку в латеральних
відділах легенів та сгущення в медіальних.
Лікування
– Госпіталізація.
– Дієта гіпоалергенна, повноцінна, відповідно до віку дитини.
– Етіологічна терапія.
– Спазмолітики ентерально або парентерально (но-шпа,
папаверин), інгаляційно .
– Бронхолітики: бронхоадреноміметики (алупент, сальбутамол,
фенотерол), теофіліни (еуфілин).
– Муколітики та відхаркувальні препарати (ацетилцистеїн,
лазолван, бромгексин, проспан, трипсін, та ін).
– Вібраційний масаж та постуральний дренаж.
– Фізіотерапевтичні процедури : електрофорез з еуфіліном,
MgSO4
– Фітотерапія із застосуванням гіпоалергенних рослин
(солодка,м`ята, чабрець, багульник).
– На етапах реабілітації лікувальна дихальна гімнастика,
спелеотерапія, загартовування, санаторно-курортне лікування.
– Диспансерний нагляд у алерголога.
Гостра пневмонія
- гостре неспецифічне
запалення легеневої
тканини, в основі якого
лежить інфекційний
токсикоз, дихальна
недостатність, водно-
електролітні та інші
метаболічні порушення
з патологічними
зсувами у всіх органах і
системах дитячого
організму.
Класифікація пневмонії у дітей
Наказ МОЗ України
№ 04.01.12-8-1178 від 14.12.2009
затверджена 12-м з’їздом педіатрів
України 12-14 жовтня 2010 р
Класифікація
• Первинна
• Вторинна
Форми - вогнищева , сегментарна
Локалізація –однобічна, двобічна, сегмент
легені, доля легені
Перебіг - гострий до (6 тижнів),затяжний (від
6 тижнів до 6 місяців),рецидивуючий
Дихальна недостатність – 0, І ст., ІІ ст.,
ІІІ ст.
Неускладнена
Ускладнена - загальними порушеннями ,
легенево - гнійним процесом, запаленням
різних органів
• Неонатальні
вроджена
аспіраційна
• Постнатальна
• Вентиляційна
• При
імунодефіциті
Класифікація пневмоній
За походженням
Позаліканяна
(негоспітальна
амбулаторна)
Нозокоміа
льна
(госпіталь
на)
Вентиляці
йна
(Рання
Пізня)
Аспіра
ційна
Внутрі
шньоут
робна
Пов’язана
із наданням
медичної
допомоги
За клініко-рентгенологічною формою
Вогнищева
Сегментна
Часткова
Інтерстиціальна
За локалізацією
Однобічна (ліво- чи правобічна;
вказати сегмент і/або частку)
Двобічна (вказати сегмент
і/або частку)
Класифікація пневмоній
За ступенем тяжкості
І ІІ ІІІ ІV V
За ступенем дихальної недостатності
І
ІІ
ІІІ
За перебігом
Гострий (до 6 тижнів)
Затяжний (6 тижнів – 8 міс.)
Класифікація пневмоній
ЗАГАЛЬНИМИ ПОРУШЕННЯМИ
Токсико-септичний стан
ІТШ
Кардіоваскулярний синдром
ДВС-синдром
Зміни з боку ЦНС
ЛЕГЕНЕВИМ
ПРОЦЕСОМ
Деструкція
Абсцес
Плеврит
Пневмоторакс
ЗАПАЛЕННЯ
РІЗНИХ ОРГАНІВ
Синусит
Отит
Пієлонефрит
Менінгіт
Остеомієліт
Наказ МОЗ України від 04.01.12-8-1178 від 14.12.2009
За наявністю ускладнень
Неускладнена
Ускладнена
Патогенез
• Розвиток вогнища запального набряку
• Посилення розмноження в ньому м/о
• Поширення інфікованої набрякової рідини через
найближчі альвеоли
• Обструкція бронхіол і утворення ателектазів
• Виключення з газообміну сегментів
• Респіраторна гіпоксемія
• Тахіпное, тахікардія, ціаноз
Клініка
• задишка без ознак
бронхообструкції,
• дистантні періоральні хрипи при
наявності синдрому
бронхообструкції,
• блідість шкіри з періоральним
цианозом, який підсилюється при
збудженні або при годуванні
4/18/2023
Sample Footer Text 33
Загальні симптоми
• кашель вологий або сухий малопродуктивний, часто
до появи кашлю у акті дихання беруть участь
допоміжні м‘язи – роздування крилець носа,
інспіраторне втягування ямки над грудиною.
• нежить,
• кволість, відсутність апетиту, анорексія, відсутня
динаміка ваги,
• порушення терморегуляції,
• прояви різних ступенів токсикозу.
Дольова
пневмонія,
плеврит
4/18/2023
Sample Footer Text 35
Клініко-діагностичні критерії пневмонії у
дітей (прийняті ВООЗ)
• Температура тіла вище 38,5 град. упродовж 3-х і
більше днів
• Задишка за відсутності симптомів бронхіальної
обструкції
Число дихальних рухів › 60 у дітей до 2-х міс;
› 50 – у дітей 2-12 міс;
› 40 – у дітей 1-5 років
• Локальні фізикальні симптоми пневмонії
• Асиметрія вологих хрипів
• Токсикоз
Специфічність і чутливість названих показників – 95%
Об’єктивне обстеження
• при перкусії грудної клітини скорочення
перкуторного звуку над проекцією інфільтрації
легеневої тканини
• при аускультації легень бронхіальне, послаблене
(над вогнищем інфільтрації) або жорстке дихання,
на 3-й-5-й день захворювання при розсмоктуванні
вогнищ запалення з‘являються локалізовані
дрібнопухирцеві та крепітуючі вологі хрипи.
Клініка
Сегментарна
пневмонія
4/18/2023
Sample Footer Text 40
Рентгенографія легень
• рентгенологічна картина залежить від фази розвитку
запального процесу. В період вираженої клінічної
картини виявляють вогнищеві тіні різних розмірів ,
частіше розміщених локалізовано.
• При сегментарних пневмоніях – гомогенна тінь з чіткими
контурами в межах сегменту
Клініка
Полісегментарна
двобічна пневмонія
4/18/2023
Sample Footer Text 43
Лабораторні
• Загальний аналіз крові.
• Загальний аналіз сечі.
• Мікробіологічне дослідження харкотиння (з глибоких
відділів бронхіального дерева у дітей старшого віку),
плеврального ексудату, промивних вод бронхів на
флору і чутливість до АБ
• Біохімічне дослідження крові на активність запального
процесу (С-реакт. білок, серомукоїд і ін.), печінкові
проби, сечовина, креатинін, електроліти,
коагулограма, протеїнограма
Ці дослідження проводяться при важкому перебігу
пневмонії за показами
• Серологічні дослідження при атипових пневмоніях.
• Імунологічне дослідження: визначення специфічних Ig,
ПЛР-діагностика
Лікування
• Наказ № 18 від 13.01.2005
«Про затвердження
Протоколів надання медичної
допомоги дітям за
спеціальністю «Дитяча
пульмонологія»
• ГОСПІТАЛІЗАЦІЯ
• АНТИБАКТЕРІАЛЬНА ТЕРАПІЯ
• Відхаркувальні засоби
• Жарознижуючі засоби
• Фізіотерапевтичне лікування
• Лікувальна фізкультура
• Загальнозміцнююча терапія
• Імунотерапія, серцево-судинні
препарати, гепатопротектори,
інфузійна терапія, діуретики
призначаються за клінічними
показаннями.
Антибіотикотерапія
• При тяжкому перебігу гострої пневмонії терапія
повинна починатися з парентерального введення
антибіотика, при поліпшенні клінічного стану пацієнта
слід перейти в можливо коротші строки на
пероральний шлях прийому цього ж препарату
(ступенева терапія).
• Основні групи антибіотиків, які можуть бути
використані ( у ранжированній послідовності):
• напівсинтетичні пеніциліни,
• напівсинтетичні пеніциліни з клавулановою кислотою,
• цефалоспорини,
• макроліди,
• аміноглікозиди I-III поколінь
Групи антибіотиків, які використовуються
у лікуванні пневмонії у дітей
Бета - лактамні антибіотики
I – пеніциліни
ІІ -цефалоспорини
IIІ – карбапенеми
IV– монобактами
1 група
• Сучасні напівсинтетичні амінопеніциліни –
амоксил, амоксицилін, флемоксин, оспамокс - 30-
60мг/кг м.т./добу, 2-3 р., усередину
Антисиньогнійні:
-карбоксіпеніциліни – карбеніцилін, тікарцилін -
100мг/кг м.т./добу, в/в, в/м, 4 рази
-уреїдопеніциліни – азлоцилін, піперацилін,
мезлоцилін - 150-300мг/кг м.т./добу, в/в, в/м, 3 р.
Інгібіторозахищені пеніциліни:
амоксицилін з клавулановою кислотою -
амоксициліну/клавуланат (амоксіклав,
флемоклав солютаб, аугментин) - 40-60 мг/кг/
добу всередину; 30мг/кг/добу в/в, 2 р. ампіцилін
з сульбактамом – уназин - 100-150 мг/кг/добу
в/в, в/м, 2-3р
тікарцилін з клавулановою кислотою -
тіментин - 200-300 мг/кг/добу в/в, 2р.
піперацилін з тазобактамом – тазоцин -
150-200 мг/кг/добу в/в, 2 р.
ІІ група: цефалоспорини
І покоління
Цефазолін, цефалексин - не застосовують
ІІ покоління
парентеральні – цефуроксим, цефамандол -
50-100мг/кг/добу, в/в, в/м 2-3 р.
ентеральні - цефуроксиму аксетил
(Цефутіл), цефаклор - 20-40 мг/кг/добу, 2 р.
ІІІ покоління
 парентеральні – цефотаксим,
цефтріаксон, цефтазидим (Зацеф),
цефоперазон - 100мг/кг/добу, в/в, в/м, 2-3 р.
ентеральні –цефподоксиму проксетил (
Цефодокс) - 10 мг/кг/добу, цефіксим (Цефікс)
- 8мг/кг/добу, 2р.
ІY покоління
парентеральні – цефепім (Максипім),
цефпіром (Цефром) - 50-100мг/кг /добу, в/в,
в/м, 2р.
Інгібіторозахищений цефалоспорин 3
покоління – цефтріаксон+сульбактам –
Сульбактомакс - 50-100мг/кг/добу, в/в, в/м, 1-
ІІІ група: Карбапенеми
 Іміпенем (Тієнам) – 60-100 мг/кг/добу,
в/в крап., 3 рази
 Меропенем (Меронем) – 10-12
мг/кг/добу, в/в крап, 3 рази
IY група: Монобактами
 Азтреонам (Азактам) - 50-100
мг/кг/добу, в/в, 3-4 рази
Аміноглікозиди
2 покоління: бруламіцин, сизоміцин - 6-8
мг/кг/добу, в/в,в/м, 2-3 р.
3 покоління: амікацин, нетілміцин - 10-15
мг/кг/добу, в/в, в/м, 2-3 р.
Макроліди
Природні: спіраміцин (роваміцин), мідекаміцин
(макропен) – 50 мг/кг/добу, всередину, 2 р.
Напівсинтетичні: роксітроміцин (рулід),
кларитроміцин (клацид), азітроміцин (сумамед) –
10мг/кг/ в першу добу, 5мг/кг - в подальші дні, 1
раз, всередину.
Фторхінолони
2 покоління: ципрофлоксацин (Ципринол) –20-
30 мг/кг/добу, парент.,2 рази
3 покоління: пенетрекс – 10 мг/кг/добу, парент.,
2 рази
4 покоління: гатифлоксацин ( Тебріс, Гатімак) -
10 мг/кг/добу, парент, ентер, 1-2 рази
Глікопептиди: ванкоміцин – 40 мг/кг/добу, в/в
крап. 2 рази, таргоцид - 1день 10мг/кг, з 2 дня
– 6 мг/кг/добу, в/в, 2 рази
Група оксазалідонів: лінезолід - 10мг/кг/добу,
парент., 2-3 рази
Кетоліди – нова група. На ринку України
відсутні.
Муколітики
Етапний підхід в антибіотикотерапії
пневмоній!!!
Препарати вибору:
• Пеніциліни та напівсинтетичні пеніциліни
• Цефалоспорини І та ІІ покоління
• Макроліди
• Лінкозаміни
Препарати резерву:
• Антистафілококові та антисинегнійні пеніциліни
• Парентеральні ЦФ І та ІІ покоління
• Аминоглікозиди І та ІІ покоління
• Рифампіцин
• Фторхінолони
Препарати глибокого резерву:
• Карбапенеми
• Монобактами
• Ванкоміцин
Препарати при кашлі
I. Препарати, що стимулюють відкашлювання
(секретомоторні):
• рефлекторної дії: рослинні (коріння алтея, трава і
паростки багульника, кореневище і коріння див’ясила,
листя мати-й-мачухи, багато інших), напівсинтетичні і
синтетичні засоби та ліки на основі лікарських рослин;
• препарати резорбтивної дії (калія йодид, натрію
гідрокарбонат, ефірні масла тощо);
II. Препарати, що розріджують бронхіальний секрет
(бронхосекретолітичні, муколітичні):
• протеолітичні ферменти – трипсин, хімотрипсин;
• синтетичні муколітики – амброксола гідрохлорид,
ацетилцистеїн, карбоцистеїн.
ІІІ. Протикашльові препарати- пакселадин, глаувент,
тусин, кодтерпин
Ускладнення
Дихальна недостатність
• 1-й ступінь – задишка, тахікардія при фізичному
навантаженні( для немовлят фізичне навантаження -
грудне вигодовування, крик, хвилювання)
• 2-й ступінь - задишка, тахікардія в спокої, значно її
підсилення при фізичному навантаженні. Незначний
ціаноз губ, акроцианоз. Роздування крил носа,
втягування міжреберних проміжків при диханні.
Дитина млява дратівлива.
• 3-й ступінь - задишка до 80-100 дихань в хвилину в
спокої. Загальний цианоз шкіри, слизових. В акті
дихання беруть участь допоміжні м’язи. Може
розвинутися гіпоксична енцефалопатія ( порушення
свідомості, судоми).
За дітьми, які перенесли пневмонію, необхідно
організовувати диспансерний нагляд протягом 8
місяців – 1 року
Характеристика ДН при
пневмонії
Ступінь
ДН
Клінічна характеристика Показники газового
складу крові
І Задишка при фізичному
навантаженні. Періоральний ціаноз,
що посилюється при неспокої.
П/Д=2,5:1, тахікардія, АТ у нормі
Газовий склад змінений
мало (знижене
насичення крові кисню
до 90%)
ІІ Задишка у стані спокою, постійна.
Ціаноз періоральний , обличчя і
рук-постійний. АТ підвищений,
тахікардія. П/Д=2-1,5:1
Насичення крові
киснем складає 70-
85%. Дихальний або
метаболічний ацидоз
ІІІ Задишка значна (частота дихання
більше за 150 % від норми). Ціаноз
генералізований. АТ знижений. П/Д
варіює
Насичення крові
киснем менше 70 %.
Декомпенсований
змішаний ацидоз.
Ознаки дихальної
недостатності у
грудних дітей
- Піна у куточках роту;
- Дихання “загнаного звіра”;
- Тремтіння крил носа;
4/18/2023
Sample Footer Text 62
Ціаноз
Бронхіальна астма
• хронічне рецидивне
обструктивне
захворювання легенів, яке
характеризується
підвищеною чутливістю
бронхів до різноманітних
подразників, запаленням
слизової оболонки
дихальних шляхів, що
призводить до нападів
ядухи й задишки, які
повторюються
Генетична детермінованість – атопія
Атопічний марш
Харчова
алергія
Атопічний
дерматит
Алергічний
риніт
Бронхіальна
астма
Етіологія і патогенез
бронхіальної астми
І. Генетична схильність – спадковий
імунодефіцит: дефект -адренергічних рецепторів
 підвищена чутливість слизової бронхів до БАР 
до бронхіальної гіперреактивності;
ІІ. Сенсибілізація організму
екзогенними (неінфекційні – інфекційні) і
ендогенними алергенами;
ІІІ. Алергічні реакції – три послідовні фази:
імунологічна, патохімічна, патофізіологічна;
Патогенез бронхіальної астми
І. Спадкові чинники
ІІ. Сенсибілізація організму: алергени
ІІІ. Алергічні реакції
дефект адренергічних РЦ
підвищена чутливість слизової доБАР
порушення імунологічної реактивності
антиген + антитіло
виділення БАР
дія на клітини-мішені
Спазм мускулатури гіперсекреція
обструкція бронхів
бронхоспазм
проникливість
мембран
набряк слизов
експіраторна задишка
порушення
вентиляції ацидоз  гіпоксія
порушення
мікроциркуляції
+ агрегація trom
застій в малому колі
порушення
перфузії
Критерії тяжкості БА
Інтермітуюча
БА
Легка
персистуюча
Середньої
тяжкості
Тяжка
персистуюча
Рідше 1разу
в міс
1 раз /тиждень > 1 р/ тижд,
щодня,
Постійні денні
симптоми
Легкі, швидко
минають
Легкі, швидко
минають
Середн тяжк. з
поруш ф-ції
зовніш. дих.
Важкі, астматичні
стани
Нічні – рідше
2р/міс
Частiше 2 раз
/мiс.
Частiше 1 раз на
тиждень
Щоночі
Ремісія:с-ми
відсутні
С-ми відсутні
ФЗД – в N
Неповна
ремісія
ДН різного ступеня
Ремісія: тривала 3 міс і більше Менше 3 міс 1-2 місяці
Етіологія
Причинні фактори (алергени)
Алерген %
Домашній пил 75-80
Кліщ Dermofagoides
pteronissimus
50
Пилок рослин 35
Харчові продукти 25-30
Перхоть і шерсть тварин 20
Лікарські
засоби
2-12
Інфекційні алергени (бактерії,
гриби, віруси)
10-25
Можливі алергени
Етіологія
Патогенез
І фаза – імунологічна
Антиген – антитіло (аутоантиген – аутоантитіло)
ІІ фаза – патохімічна
Виділення біологічно активних речовин
ІІІ фаза – патофізіологічна
Спазм гладкої мускулатури , підвищена
проникність судин, набряк слизових оболонок,
гіперсекреція густого слизу
Бронхоспазм,
набряк слизової оболонки
Астма: патологічні зміни
ДИСФУНКЦІЯ
ГЛАДКОЇ МУСКУЛАТУРИ
ЗАПАЛЕННЯ
Bousquet J et al.,
Am J Resp Crit Care Med 161: 1720-45;2000
Бронхіальна астма – двохкомпонентне
захворювання
Патогенез
Класифікація БА
І. Клініко-патогенетичні варіанти:
- атопічна форма –
дошкільний, молодший шкільний вік; атопічний
діатез (в анамнезі);
(-) фізичних та функціон. змін в ремісії;
високий рівень Ig E;
висока ефективність бронхоспазмолітиків;
- інфекційно-залежна форма – зв’язок з
інфекційними захворюваннями;
Класифікація БА
ІІ. Тяжкість перебігу:
інтермітуючий (епізодичний)
- (І ступінь),
персистуючий (постійний):
- легкий перебіг (ІІ ступінь)
- середній перебіг (ІІІ ступінь)
- тяжкий перебіг (ІV ступінь)
ІІІ. Період захворювання: загострення;
ремісія;
Клінічна класифікація
• НАКАЗ N 437 ВІД
31.08.2004.
• Про затвердження
клінічних Протоколів
надання медичної
допомоги при
невідкладних станах
у дітей на
шпитальному і до
шпитальному етапах
• Бронхіальна астма
• Оцінюють частоту, вираженість та
тривалість приступів експіраторної
задишки, стан хворого в період між
приступами, вираженість, варіабельність
та зворотність функціональних порушень
бронхіальної прохідності, відповідь на
лікування.
Критерії тяжкості БА у дітей
Інтермітую
ча БА
Легка
персистуюча
Середньої
тяжкості
Тяжка
персистуюча
Рідше 1разу
в міс
1 раз
/тиждень
> 1 р/ тижд,
щодня,
Постійні денні
симптоми
Легкі,
швидко
минають
Легкі,
швидко
минають
Середн тяжк.
з поруш ф-ції
зовніш. дих.
Важкі,
астматичні
стани
Нічні –
рідше 2р/міс
Частiше 2 раз
/мiс.
Частiше 1 раз
на тиждень
Щоночі
Ремісія:сим
-ми відсутні
С-ми відсутні Неповна
ремісія
ДН різного
ступеня
Ремісія:
тривала
3 міс і більше Менше 3 міс 1-2 місяці
Бронхіальна астма -
•це хронічне запальне
захворювання, яке
•необхідно лікувати постійно
протизапальними
препаратами,
а не тільки симптоматично за
Нормальна
бронхіальна
трубка
Бронхіальна
трубка при
бронхіальній
астмі
Спазм
Набряк
Гіперсекр
еція
Бронхообстр
укція
Клінічні
еквіваленти
типового
нападу ядухи
• епізоди утрудненого свистячого
дихання з подовженим видихом
(wheezing);
• нападоподібний переважно
нічний, сухий кашель, як
основний симптом, який
призводить до гострого здуття
легень без вираженої задишки
(кашльовий варіант БА).
4/18/2023
Sample Footer Text 89
Клініка
Період передвісників:
триває декілька годин - днів
збудження, порушення сну або
пригнічення, сонливість, алергічний
риніт, свербіж шкіри, носа (алергічний
салют), приступоподібний,
малопродуктивний кашель;
вегетативні розлади: блідість, пітливість,
розширення зіниць, тахикардія, головні
болі;
Клініка
Приступний період:
задишка експіраторна, приступ ядухи,
подовжений гучний видих, >>ЧД,
грудна клітка здута,
втягнення міжреберних проміжків,
випинання над- і підключичних ямок,
положення ортопноє (фіксація плеч. поясу),
перкуторно- коробковий звук,
аускультативно- подовжений видих, маса
розсіяних сухих хрипів на видосі,
різнокаліберні вологі на вдосі (ранній вік);
Зміна ЧСС, пульсу, А/Т, болі в животі, блювання;
Приступ ядухи
Клініка
Післяприступний період:
зменшується ЧД,
посилюються катаральні явища,
збільшується різноманіття фізікальної
картини (к-сть вологих хрипів), які швидко
зникають, покращується загальний стан;
Міжприступний період:
відсутні клінічні прояви захворювання;
Астматичний статус
зумовлений глибокою блокадою
β-адренергічних рецепторів:
• частим використанням
симпатоміметиків;
• інфекційним процесом;
• недостатністю ГКС в лікуванні;
Астматичний статус
- Затяжний приступ, який не купується
впродовж 6 год. і більше;
- Резистентність до симпатоміметиків;
- Порушення дренажної функції бронхів;
- Розвиток гіпоксемії - РаО2  60 мм рт.ст.,
гіперкапнії - РаСО2  60 мм рт.ст.
Астматичний статус
І стадія
компенсації
ІІ стадія
декомпенсації
ІІІ стадія
гіпоксична кома
Утруднене дихання
Експірат. задишка
Стійкий кашель
Коробковий звук
Ослаблене дихання
Сухі свистячі хрипи
Тахикардія,  АТ,
Глухість серц. тонів
Торпідність до
симпатоміметиків
Дифузний ціаноз
“Німа” легеня в
нижніх відділах
Гіпоксична
енцефалопатія
Тахикардія, АТ,
набряки, зб. печінки
Ацидоз
Дифузний ціаноз
“Німа” легеня
Артеріальна гіпотонія
Втрата свідомості
Судоми
Клінічні прояви
Клінічні прояви
Клінічні прояви
Ключові моменти лікування БА
1. Лікування з врахуванням ступеня тяжкості;
2. Терапія залежить від періоду захворювання
(загострення, ремісії);
3. При загостренні – ефективні інгаляційні
β2-агоністи короткої дії;
4. Препаратами контролю БА (профілактики) –
інгаляційні ГКС (ІГКС);
5. Тривала терапія ІГКС – не впливає на ріст,
розвиток дитини, не призводить до
остеопорозу, патологічних переломів;
Засоби швидкої дії:
1. β2-агоністи короткої дії (симпатоміметики):
сальбутамол, фенотерол (беротек):
• “золотий” стандарт – інгаляц сальбутамол
• шляхи введення- інгаляц, per os, в/в;
• дозування: per os 0,15 мг/кг/д – 0,5 мг/кг/добу;
2. Антихолінергічні препарати (холінолітики):
іпратропіум бромід, окситропіум бромід, атровент:
• шлях введення – інгаляційний;
• бронходілятаційний ефект нижчий інгаляц β2-
агоністів – обмежене застосування
Засоби швидкої дії:
3. Комбіновані препарати – інгаляційні β2-
агоністи короткої дії + холінолітики
• іпратропіум бромід + фенотерол (беридуал) –
дітям >> 3 років
• іпратропіум бромід + сальбутамол (комбівент) -
дітям >> 12 років
4. Метилксантини: амінофілін, теофілін:
• шлях введення – per os, в/м, в/в;
• бронхолітичний ефект пізніше інгаляц β2-агоністів,
але покращує функцію дихальної мускулатури,
подовжує і стабілізує ефект β2-агоністів
Затримуючі камери
Препарати для лікування
астми
• Препарати для надання
екстренної допомоги
 2-агоністи короткої дії –
(Сальбутамол, фенотерол)
•Препарати для базисної терапії
Інгаляційні кортикостероїди –
(Бекотид, Будесонид,
Флутикозон, Мометазон)
 Бронходилятатори тривалої
дії – (Формотерол,
Сальметерол )
 Комбіновані препарати –
(Серетид, Сімбікорт, Серофло,
Форакорт)
Засоби інгаляційної техніки:
1. Небулайзер – для дітей будь-якого віку
2. ДАІ – дозований аерозольний інгалятор;
3. Затримуючі камери – спейсер, синхронер,
бебіхалер, волюматик-спейсер
4. ДПІ – дозовані порошкоподібні
інгалятори – спінхалер, ротахалер,
турбохалер, дискхалер, дискус
Базисна терапія лікування БА
• Проводиться щоденно, тривалим курсом,
етапно, залежно від ступеня тяжкості БА;
• Ступінчатий підхід – “step up”, “step
down”
• “step up” – залежно від ступеня тяжкості
обсяг лікування посилюється;
• “step down” – після досягнення ефекту
обсяг лікування зменшується;
Лікування
• При легкому ступені - відволікаючі процедури (розстебнути одяг,
доступ свіжого повітря), інгаляція 100% кисню, амброксол (лазолван)
2.5-5.0 мл усередину, інгаляція селективних бета-2-агоністів короткої
дії (сальбутамол, вентолін) через мілкодисперсний інгалятор 2.5-5.0
мг, при недостатньому ефекті – беродуал або комбівент у дозі 0,5 мл
(10 кап.) дітям до 6 років, 1 мл (20 кап.) – дітям старше 6 років.
• При приступі середньої тяжкості - інгаляція 100% кисню, амброксол
(лазолван) 2.5-5.0 мл усередину, інгаляція мілкодисперсних
аерозолей бета-2-агоністов через інгалятор (або спейсер), при
відсутності ефекту - беродуал або комбівент у дозі 0,5 мл (10 кап.)
дітям до 6 років, 1 мл (20 кап.) – дітям старше 6 років або 2,4%
еуфілліна 1-3 мг/кг внутрівенно, преднізолон 1-3 мг/кг внутрівенно.
• При важкому приступі - інгаляція 100% кисню, інгаляція комбінованих
холінолітіков, при відсутності ефекту - інгаляційні
глікокортікостероїди. Лазолван 0.5-2.0 мл внутрім’язово або
внутрівенно повільно, внутрівенно 0.9% розчин натрію хлориду 5-10
мл/кг/година.
• Госпіталізація в пульмонологічне відділення, при важкому перебігу -
до ВIТ.
Засоби інгаляційної техніки:
Небулайзер
Медична допомога
• Напівсидяче положення.
• Зволожений 100% кисень, при III стадії - після
попередньої премедiкації 0,1% атропіну сульфату 0,1
мл/рік внутрівенно - iнтубацiя трахеї, переведення на
ШВЛ.
• Інгаляція сальбутамола (вентолiна) , при недостатньому
ефекті – беродуал або комбiвент , при недостатній
ефективності – преднізолон 2-3 мг/кг внутрівенно.
• При некупованому статусі або ДН III-IV ст. - після
попередньої премедiкації 0.1% атропіну сульфату 0.1
мл/рік внутрівенно, кетамiн у дозі 5 мг/кг внутрівенно,
при збереженому спонтанному подиху - 2-3 мг/кг
внутрівенно, iнтубацiя трахеї і переведення на ШВЛ.
• Нормалізація реології крові: iнфузiя сольових розчинів
10 мл/кг/година або iзотонiчного розчину натрію хлориду
10 мл/кг/година, лазолван 0.5-2.0 мл внутрівенно
повільно.
• Госпіталізація до ВIТ.
Діагностичні тести
Діагноз астмы може бути
підтверждений, використовуючи
ПікФлуометр.
Діагностика
• Пікфлоуметр - прибор, який
визначає максимальну
швидкість проходження повітря
по бронхам на видохі - пікову
швидкість видоху . Чим вужче
просвіт бронхів, тим менше
швидкість проходження повітря
по ним. Таким чином, при
загостренні астми, коли
просвіт бронхів зменшується,
швидкість проходження повітря
знижується, що і покаже шкала
прибору.
Пикфлоуметр
( ПСВ - пиковая скорость
выдоха), л/мин
Небулайзери
Спейсер
Сухопорошко-
вий
інгалятор
Дозований
інгалятор
Засоби для інгаляційної терапії
Дозований інгалятор
Засоби інгаляційної техніки:
Спейсер з маскою на обличчя
Лікування
Ступеневий підхід до тривалого (базисного) лікування бронхіальної астми у
дітей
Варіант
терапії
Інтермітуюча
астма І cтуп.
Персистуюча астма
ІІ ступінь
(легка)
ІІІ ступінь
(серед.важка)
IV ступінь
(важка)
Протизапа
льна
терапія
Інгаляційні b2-
агоністи
швидкої дії у
разі необхідн.
Інгаляційні
глюкокортико
стероїди у
низьких дозах
Інгаляційні
глюкокортико
стероїди у
середн. дозах
Інгаляційні
глюкокортико
стероїди у
високих дозах
Бронходилат
аційна
терапія
- Не показана b2-агоніст
тривалої дії
або теофілін
сповіль. вив.
Додати
пероральний
глюкокортик.
Бронхо-
дилятаційна
терапія для
швидкого
купування
За наявності
симптомів
Епізодично
інгаляційні
b2-агоністи
швидкої дії
Інгаляційні b2-агоністи
швидкої дії не частіше 4 разів
на добу і/або іпратропіума
бромід або теофілін короткої
дії в дозі 5 мг/кг
Ступінчатий підхід до базисної терапії БА
у дітей
І ступінь
Легкий перебіг
ІІ ступінь
Середн тяжкості
ІІІ ступінь
Тяжкий перебіг
ПРОТИЗАПАЛЬНА ТЕРАПІЯ –
інгаляційні нестероїдні протизапальні препарати
Кромоглікат
натрію (кромолін,
інтал, ломудал)
4 рази/добу,
недокроміл натрію
Кромоглікат
натрію 4 рази /добу,
недокроміл
натрію – щоденно,
+ ІГКС (інгаляц.)
ІГКС + ГКС per os
Ступінчатий підхід до базисної терапії БА
у дітей
І ступінь
Легкий перебіг
ІІ ступінь
Середн. тяжкості
ІІІ ступінь
Тяжкий перебіг
БРОНХОЛІТИЧНА ТЕРАПІЯ
2- агоністи
короткої дії:
не більше 3
разів на
тиждень
2- агоністи
короткої дії:
інгаляції, per os
+ пролонговані,
холінолітики,
теофілін
Оральні 2-
агоністи +
пролонговані,
холінолітики,
теофілін -
пролонгованим
курсом
Препарати контролю БА –
профілактики, превентивної дії,
підтримуюча терапія:
1. Інгаляційні ГКС (ІГКС): флутиказон пропіонат
(фліксотид), беклометазон (бекотид), будесонід:
• для лікування персистуючої БА;
• ліпофільність → “мікродепо” → пролонгована дія;
• низька системна біодоступність;
• 2. Інгаляційні β2-агоністи тривалої дії:
сальметерол (серевент), формотерол:
• інгаляційний; в комбінації з ІГКС;
• висока ліпофільність, спорідненість до РЦ слизової
→ тривалу бронходілятацію;
• протизапальний, антиоксидантний ефект;
Препарати контролю БА –
профілактики, превентивної дії,
підтримуюча терапія:
3. Комбіновані препарати - інгаляційні β2-
агоністи тривалої дії (сальметерол - серевент)
+ ІГКС (фліксотид): серетид
• потужна протизапальна,
• тривала бронходілятація;
4. Кромони – кромоглікат натрію, кромолін,
інтал, ломудал, недокроміл:
• шлях введення – інгаляційний;
• для лікування легкої та середньої тяжкості
Препарати контролю БА – профілактики,
превентивної дії, підтримуюча терапія:
5. Системні ГКС – преднізолон, метілпреднізолон:
• шлях введення – per os, парентеральний;
• для купування приступів середніх та тяжких;
6. Метилксантини – амінофілін, теофілін - теопек,
теоклір, вентакс (сповільненої дії, препарат резерву):
• шлях введення – пероральний;
• для лікування тяжкої БА, середньої тяжкості;
• попередження нічних приступів;
Препарати контролю БА
профілактики, превентивної дії,
підтримуюча терапія:
7. Пероральні β2-агоністи тривалої дії:
сальметерол (серевент), тербуталін;
8. Антилейкотрієнові препарати - монтелукаст,
зафірлукаст:
• per os;
• 4 мг – 10 мг на добу залежно від віку;
Препарати контролю БА –
профілактики, превентивної дії,
підтримуюча терапія:
3. Комбіновані препарати - інгаляційні β2-
агоністи тривалої дії (сальметерол - серевент)
+ ІГКС (фліксотид): серетид
• потужна протизапальна,
• тривала бронходілатація;
4. Кромони – кромоглікат натрію, кромолін,
інтал, ломудал, недокроміл:
• шлях введення – інгаляційний;
• для лікування легкої та середньої тяжкості
Препарати контролю БА –
профілактики, превентивної дії,
підтримуюча терапія:
5. Системні ГКС – преднізолон, метілпреднізолон:
• шлях введення – per os, парентеральний;
• для купування приступів середніх та тяжких;
6. Метилксантини – амінофілін, теофілін - теопек,
теоклір, вентакс (сповільненої дії, препарат резерву):
• шлях введення – пероральний;
• для лікування тяжкої БА, середньої тяжкості;
• попередження нічних приступів;
Препарати контролю БА –
профілактики, превентивної дії,
підтримуюча терапія:
7. Пероральні β2-агоністи тривалої дії:
сальметерол (серевент), тербуталін;
8. Антилейкотрієнові препарати -
монтелукаст, зафірлукаст:
• per os;
• 4 мг – 10 мг на добу залежно від віку;
Засоби інгаляційної техніки:
1. Небулайзер – для дітей будь-якого віку
2. ДАІ – дозований аерозольний інгалятор;
3. Затримуючі камери – спейсер, синхронер,
бебіхалер, волюматик-спейсер
4. ДПІ – дозовані порошкоподібні
інгалятори – спінхалер, ротахалер,
турбохалер, дискхалер, дискус
Лікування
Засоби інгаляційної техніки:
Небулайзер
Средства ингаляционной
техники:
Небулайзер с мундштуком
Небулайзер с маской
Лікування
Небулайзер ефективно розпиляє більшість лікарських препаратів, що
застосовуються для лікування
Лікування
Лікування
Засоби інгаляційної техніки:
Дискус, ДАІ
Дітям до 3 міс –не застосовують,
старше 3 міс - тільки в тяжких випадках
Дякую за увагу !

Лекція №12.pptx

  • 1.
    ОКУ «ПМФК ім.В.О.Жуковського» АКУШЕРСЬКО– ПЕДІАТРИЧНА ЦИКЛОВА КОМІСІЯ
  • 2.
  • 3.
    План лекції • Гострийбронхіт. • Обструктивний бронхіт • Пневмонія. • Бронхіальна астма.
  • 4.
    Гострий бронхіт • запальнийпроцес слизової оболонки бронхів за відсутності ознак ураження легеневої тканини
  • 5.
    Неінфекційні бронхіти пов’язані з дієюна слизову оболонку різних алергенів, токсичних речовин, фізичних факторів Етіологія Інфекційні бронхіти віруси, бактерії, атипові мікроорганізми, гриби, найпростіші Бронхіти змішаної етіології
  • 6.
    Інфекційні бронхіти Вірусні -характерні для більшості гострих і рецидивуючих форм захворювання (65-90%). Спектр вірусів – більше 180 видів. Найбільш часто: віруси грипу, парагрипу, адено-, корона-, рино -, РСВ, ECHO-, коксакі- вірус.
  • 7.
    Бактеріальні бронхіти Із грибковихагентів значення мають гриби рода Candida, рідше Aspergillus.
  • 8.
    Класифікація За характером ураження •Катаральний • Фібринозний • Гнійний • Геморагічний • Некротичний • Гнильний За локалізацією процесу • Ендобронхіт – ураження слизової оболонки бронхів • Панбронхіт – ураження і підслизового , і м’язового шарів бронхів
  • 9.
    Класифікація бронхітів удітей По етіології:  Інфекційний: • вірусний; • бактеріальний; • вірусно-бактеріальний; • грибковий.  Неінфекційний, обумовлений: • алергічними факторами; • хімічними факторами; • фізичними факторами; • тютюновим димом та ін.  Змішаний, внаслідок поєднання інфекційних та неінфекційних факторів.  Від нез’ясованих причин По патогенезу: • первинний; • вторинний. За перебігом: • гострий (до 2-3 тиж.); • затяжний (до 1 міс.); • рецидивуючий (˃3 р. на рік):  фаза загострення;  фаза ремісії; • хронічний (˃2 років). За клінічним варіантом: • простий; • обструктивний. За рівнем враження: 1. трахеїт; 3. бронхіт; 2. трахеобронхіт; 4. бронхіоліт.
  • 10.
    Трахеїт (J 04.1) •запалення слизової оболонки трахеї, частіше прояв або загострення гострого респіраторного захворювання вірусної етіології; • трахеїт супроводжується запальним процесом в гортані (ларинготрахеїт, J04.2) або в бронхах (трахеобронхіт, J20).
  • 11.
    Гострий (простий) бронхіт -гостре запалення слизової оболонки бронхів, переважно вірусної етіології. Симптоми: - вірусна інтоксикація; - кашель, формування мокроти, поява хрипів, задишка. Аускультативно: жорстке дихання, подовжений видих, хрипи з обох сторін в різноманітних відділах легень, при кашлі змінюються. На рентгені грудної клітини – посилення легеневого малюнка, тінь кореня легені розширена, нечітка.
  • 12.
    ДІАГНОСТИКА БРОНХІТІВ:  анамнез; клінічнісимптоми бронхіту • основні, постійні (кашель, формування і виділення мокроти); • додаткові, непостійні (хрипи, обструктивний синдром, задишка).
  • 13.
    Клініка Клінічні проявихарактеризуються тріадою симптомів • кашель, • виділення харкотиння, • порушення бронхіальної прохідності, але без ознак обструкції.
  • 14.
    Діагностичні критерії - Кашельмає сухий, нав`язливий характер. На 2-му тижні стає вологим, продуктивним та поступово зникає. - При огляді дітей не виявлено ознак дихальної недостатності та симптомів інтоксикації. - При пальпації і перкусії зміни в легенях відсутні. - Аускультативно вислуховується жорстке дихання, подовжений видох. Хрипи вислуховуються з обох сторін в різних відділах легень, при кашлі змінюються. На початку хвороби хрипи сухі, а згодом з`являються незвучні, вологі дрібно-, середньо-, та великоміхурові хрипи відповідно діаметра вражених бронхів. - Зміни гемограми непостійні, можуть проявлятись прискореною ШОЕ при нормальному чи зниженому вмісту лейкоцитів. - На рентгенограмі грудної клітки спостерігається посилення легеневого малюнку, тінь кореня легень розширена, не чітка.
  • 15.
    Лікування • Наказ №18 від 13.01.2005 «Про затвердження Протоколів надання медичної допомоги дітям за спеціальністю «Дитяча пульмонологія» • Протокол лікування гострого бронхіту у дітей
  • 16.
    Лікування • Госпіталізація припідозрі на ускладнення. • Дієта повноцінна, відповідно до віку дитини, збагачена вітамінами, висококалорійна. • Симптоматичне лікування включає: – Відхаркувальні та муколітичні препарати (проспан, флюдитек, гербіон, геделікс N-ацетилцистеїн, бромгексин, лазолван, мукалтін, амброгексал, пертусін, корінь солодки, корінь алтею, лист подорожніка, калія йодід, та ін.) Препарати застосовуються ентерально та в інгаляціях. – Протикашльові препарати призначаються тільки при нав`язливому, малопродуктивному, сухому кашлі - з метою пригнічення кашлю (глауцин, лібексін, тусупрекс, бутамірат, бронхолітін ). – Антигістамінні препарати (кларітін, тайлед, семпрекс) дітям з алергічними проявами. – Полівітаміни (ревіт, оліговіт, пікавіт та ін.) призначають в дозах, що перевищують фізіологічні потреби. – При гіпертерміі – жарознижуючі (парацетамол, ібуфен).
  • 17.
    Етіологічна терапія • Противірусніпрепарати ефективні в перші дві-три доби захворювання. Застосовують: ремантадін, арбидол-ленс, аміксін, інтерферони Показаннями до призначення антибіотиків при гострому бронхіті може бути: • Діти перших 6-ти місяців життя; • Важкий перебіг бронхіту (нейротоксикоз та ін.); • Наявність обтяжливого преморбідного фону (пологова травма, недоношеність, гіпотрофія та ін.); • Наявність активних хронічних вогнищ інфекцій (тонзиліт, отит та ін.); • Підозра на нашарування бактеріальної інфекції: – Лихоманка з температурою тіла вище 39 С; – В`ялість, відмова від їжі; – Виражені симптоми інтоксикації; – Наявність задишки; – Асиметрія хрипів;
  • 18.
    Етіотропне лікування І. Противовіруснелікування Хіміопрепарати: • ремантадин; • альгірем; • арбідол; • аміксин; • рибавірин; • тамифлю (озельтамівір); • афлубін. Інтерферони: • інтерферон людський лейкоцитарний (ИФН-α); • реаферон (рекомбінантний α - інтерферон); • віферон; • грипферон. Індуктори інтерферонів: • циклоферон; • неовір; • полудан.
  • 19.
    Етіотропне лікування бронхітів II.Антибактеріальне лікування Препарати вибору: • амінопеніциліни з інгібіторами β- лактамаз (амоксиклав, аугментин); • цефалоспорини I-II покоління (цефазолін, цефалексін, цефаклор, цефуроксим, цефотаксім, цефтріаксон); • макролідні антибіотики (азітроміцин, кларитроміцин) - альтернативні засоби (тільки при непереносимості β-лактамних антибіотиків).
  • 20.
    Патогенетичне лікування бронхітів Принципи лікування: •пригнічення запалення слизової оболонки дихальних шляхів (фенспірид); • нормалізація функції секреторного апарату мукоциліарного транспорту; • вплив на кашльовий рефлекс; • відновення бронхіальної прохідності (усунення обструкції
  • 23.
    Обструктивний бронхіт Діагностичні критерії: •Подовжений свистячий видох , які чути на відстані . • При огляді здута грудна клітка (горизонтальне розміщення ребер), участь в акті дихання допоміжної мускулатури, втяжіння міжреберних проміжків, але ознаки дихальної недостатності відсутні. • Кашель сухий, нападоподібний, довго триває. Наприкінці першого тижня переходить у вологий. • Перкуторно визначається коробковий відтінок легеневого тону. • Аускультативно вислуховується жорстке дихання, видих подовжений, багато сухих свистячих хрипів. Можуть бути середньо- та великопухірцеві малозвучні хрипи. • На рентгенограмі грудної клітки спостерігається розрідження легеневого малюнку в латеральних відділах легенів та сгущення в медіальних.
  • 24.
    Лікування – Госпіталізація. – Дієтагіпоалергенна, повноцінна, відповідно до віку дитини. – Етіологічна терапія. – Спазмолітики ентерально або парентерально (но-шпа, папаверин), інгаляційно . – Бронхолітики: бронхоадреноміметики (алупент, сальбутамол, фенотерол), теофіліни (еуфілин). – Муколітики та відхаркувальні препарати (ацетилцистеїн, лазолван, бромгексин, проспан, трипсін, та ін). – Вібраційний масаж та постуральний дренаж. – Фізіотерапевтичні процедури : електрофорез з еуфіліном, MgSO4 – Фітотерапія із застосуванням гіпоалергенних рослин (солодка,м`ята, чабрець, багульник). – На етапах реабілітації лікувальна дихальна гімнастика, спелеотерапія, загартовування, санаторно-курортне лікування. – Диспансерний нагляд у алерголога.
  • 25.
    Гостра пневмонія - гостренеспецифічне запалення легеневої тканини, в основі якого лежить інфекційний токсикоз, дихальна недостатність, водно- електролітні та інші метаболічні порушення з патологічними зсувами у всіх органах і системах дитячого організму.
  • 26.
    Класифікація пневмонії удітей Наказ МОЗ України № 04.01.12-8-1178 від 14.12.2009 затверджена 12-м з’їздом педіатрів України 12-14 жовтня 2010 р
  • 27.
    Класифікація • Первинна • Вторинна Форми- вогнищева , сегментарна Локалізація –однобічна, двобічна, сегмент легені, доля легені Перебіг - гострий до (6 тижнів),затяжний (від 6 тижнів до 6 місяців),рецидивуючий Дихальна недостатність – 0, І ст., ІІ ст., ІІІ ст. Неускладнена Ускладнена - загальними порушеннями , легенево - гнійним процесом, запаленням різних органів • Неонатальні вроджена аспіраційна • Постнатальна • Вентиляційна • При імунодефіциті
  • 28.
    Класифікація пневмоній За походженням Позаліканяна (негоспітальна амбулаторна) Нозокоміа льна (госпіталь на) Вентиляці йна (Рання Пізня) Аспіра ційна Внутрі шньоут робна Пов’язана ізнаданням медичної допомоги За клініко-рентгенологічною формою Вогнищева Сегментна Часткова Інтерстиціальна За локалізацією Однобічна (ліво- чи правобічна; вказати сегмент і/або частку) Двобічна (вказати сегмент і/або частку)
  • 29.
    Класифікація пневмоній За ступенемтяжкості І ІІ ІІІ ІV V За ступенем дихальної недостатності І ІІ ІІІ За перебігом Гострий (до 6 тижнів) Затяжний (6 тижнів – 8 міс.)
  • 30.
    Класифікація пневмоній ЗАГАЛЬНИМИ ПОРУШЕННЯМИ Токсико-септичнийстан ІТШ Кардіоваскулярний синдром ДВС-синдром Зміни з боку ЦНС ЛЕГЕНЕВИМ ПРОЦЕСОМ Деструкція Абсцес Плеврит Пневмоторакс ЗАПАЛЕННЯ РІЗНИХ ОРГАНІВ Синусит Отит Пієлонефрит Менінгіт Остеомієліт Наказ МОЗ України від 04.01.12-8-1178 від 14.12.2009 За наявністю ускладнень Неускладнена Ускладнена
  • 31.
    Патогенез • Розвиток вогнищазапального набряку • Посилення розмноження в ньому м/о • Поширення інфікованої набрякової рідини через найближчі альвеоли • Обструкція бронхіол і утворення ателектазів • Виключення з газообміну сегментів • Респіраторна гіпоксемія • Тахіпное, тахікардія, ціаноз
  • 33.
    Клініка • задишка безознак бронхообструкції, • дистантні періоральні хрипи при наявності синдрому бронхообструкції, • блідість шкіри з періоральним цианозом, який підсилюється при збудженні або при годуванні 4/18/2023 Sample Footer Text 33
  • 34.
    Загальні симптоми • кашельвологий або сухий малопродуктивний, часто до появи кашлю у акті дихання беруть участь допоміжні м‘язи – роздування крилець носа, інспіраторне втягування ямки над грудиною. • нежить, • кволість, відсутність апетиту, анорексія, відсутня динаміка ваги, • порушення терморегуляції, • прояви різних ступенів токсикозу.
  • 35.
  • 36.
    Клініко-діагностичні критерії пневмоніїу дітей (прийняті ВООЗ) • Температура тіла вище 38,5 град. упродовж 3-х і більше днів • Задишка за відсутності симптомів бронхіальної обструкції Число дихальних рухів › 60 у дітей до 2-х міс; › 50 – у дітей 2-12 міс; › 40 – у дітей 1-5 років • Локальні фізикальні симптоми пневмонії • Асиметрія вологих хрипів • Токсикоз Специфічність і чутливість названих показників – 95%
  • 38.
    Об’єктивне обстеження • приперкусії грудної клітини скорочення перкуторного звуку над проекцією інфільтрації легеневої тканини • при аускультації легень бронхіальне, послаблене (над вогнищем інфільтрації) або жорстке дихання, на 3-й-5-й день захворювання при розсмоктуванні вогнищ запалення з‘являються локалізовані дрібнопухирцеві та крепітуючі вологі хрипи.
  • 39.
  • 40.
  • 41.
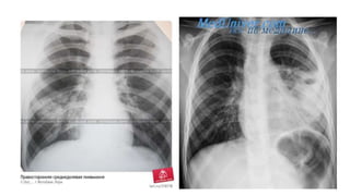
    Рентгенографія легень • рентгенологічнакартина залежить від фази розвитку запального процесу. В період вираженої клінічної картини виявляють вогнищеві тіні різних розмірів , частіше розміщених локалізовано. • При сегментарних пневмоніях – гомогенна тінь з чіткими контурами в межах сегменту
  • 42.
  • 43.
  • 45.
    Лабораторні • Загальний аналізкрові. • Загальний аналіз сечі. • Мікробіологічне дослідження харкотиння (з глибоких відділів бронхіального дерева у дітей старшого віку), плеврального ексудату, промивних вод бронхів на флору і чутливість до АБ • Біохімічне дослідження крові на активність запального процесу (С-реакт. білок, серомукоїд і ін.), печінкові проби, сечовина, креатинін, електроліти, коагулограма, протеїнограма Ці дослідження проводяться при важкому перебігу пневмонії за показами • Серологічні дослідження при атипових пневмоніях. • Імунологічне дослідження: визначення специфічних Ig, ПЛР-діагностика
  • 46.
    Лікування • Наказ №18 від 13.01.2005 «Про затвердження Протоколів надання медичної допомоги дітям за спеціальністю «Дитяча пульмонологія» • ГОСПІТАЛІЗАЦІЯ • АНТИБАКТЕРІАЛЬНА ТЕРАПІЯ • Відхаркувальні засоби • Жарознижуючі засоби • Фізіотерапевтичне лікування • Лікувальна фізкультура • Загальнозміцнююча терапія • Імунотерапія, серцево-судинні препарати, гепатопротектори, інфузійна терапія, діуретики призначаються за клінічними показаннями.
  • 47.
    Антибіотикотерапія • При тяжкомуперебігу гострої пневмонії терапія повинна починатися з парентерального введення антибіотика, при поліпшенні клінічного стану пацієнта слід перейти в можливо коротші строки на пероральний шлях прийому цього ж препарату (ступенева терапія). • Основні групи антибіотиків, які можуть бути використані ( у ранжированній послідовності): • напівсинтетичні пеніциліни, • напівсинтетичні пеніциліни з клавулановою кислотою, • цефалоспорини, • макроліди, • аміноглікозиди I-III поколінь
  • 49.
    Групи антибіотиків, яківикористовуються у лікуванні пневмонії у дітей Бета - лактамні антибіотики I – пеніциліни ІІ -цефалоспорини IIІ – карбапенеми IV– монобактами
  • 50.
    1 група • Сучаснінапівсинтетичні амінопеніциліни – амоксил, амоксицилін, флемоксин, оспамокс - 30- 60мг/кг м.т./добу, 2-3 р., усередину Антисиньогнійні: -карбоксіпеніциліни – карбеніцилін, тікарцилін - 100мг/кг м.т./добу, в/в, в/м, 4 рази -уреїдопеніциліни – азлоцилін, піперацилін, мезлоцилін - 150-300мг/кг м.т./добу, в/в, в/м, 3 р.
  • 51.
    Інгібіторозахищені пеніциліни: амоксицилін зклавулановою кислотою - амоксициліну/клавуланат (амоксіклав, флемоклав солютаб, аугментин) - 40-60 мг/кг/ добу всередину; 30мг/кг/добу в/в, 2 р. ампіцилін з сульбактамом – уназин - 100-150 мг/кг/добу в/в, в/м, 2-3р тікарцилін з клавулановою кислотою - тіментин - 200-300 мг/кг/добу в/в, 2р. піперацилін з тазобактамом – тазоцин - 150-200 мг/кг/добу в/в, 2 р.
  • 52.
    ІІ група: цефалоспорини Іпокоління Цефазолін, цефалексин - не застосовують ІІ покоління парентеральні – цефуроксим, цефамандол - 50-100мг/кг/добу, в/в, в/м 2-3 р. ентеральні - цефуроксиму аксетил (Цефутіл), цефаклор - 20-40 мг/кг/добу, 2 р.
  • 53.
    ІІІ покоління  парентеральні– цефотаксим, цефтріаксон, цефтазидим (Зацеф), цефоперазон - 100мг/кг/добу, в/в, в/м, 2-3 р. ентеральні –цефподоксиму проксетил ( Цефодокс) - 10 мг/кг/добу, цефіксим (Цефікс) - 8мг/кг/добу, 2р. ІY покоління парентеральні – цефепім (Максипім), цефпіром (Цефром) - 50-100мг/кг /добу, в/в, в/м, 2р. Інгібіторозахищений цефалоспорин 3 покоління – цефтріаксон+сульбактам – Сульбактомакс - 50-100мг/кг/добу, в/в, в/м, 1-
  • 54.
    ІІІ група: Карбапенеми Іміпенем (Тієнам) – 60-100 мг/кг/добу, в/в крап., 3 рази  Меропенем (Меронем) – 10-12 мг/кг/добу, в/в крап, 3 рази IY група: Монобактами  Азтреонам (Азактам) - 50-100 мг/кг/добу, в/в, 3-4 рази
  • 55.
    Аміноглікозиди 2 покоління: бруламіцин,сизоміцин - 6-8 мг/кг/добу, в/в,в/м, 2-3 р. 3 покоління: амікацин, нетілміцин - 10-15 мг/кг/добу, в/в, в/м, 2-3 р. Макроліди Природні: спіраміцин (роваміцин), мідекаміцин (макропен) – 50 мг/кг/добу, всередину, 2 р. Напівсинтетичні: роксітроміцин (рулід), кларитроміцин (клацид), азітроміцин (сумамед) – 10мг/кг/ в першу добу, 5мг/кг - в подальші дні, 1 раз, всередину.
  • 56.
    Фторхінолони 2 покоління: ципрофлоксацин(Ципринол) –20- 30 мг/кг/добу, парент.,2 рази 3 покоління: пенетрекс – 10 мг/кг/добу, парент., 2 рази 4 покоління: гатифлоксацин ( Тебріс, Гатімак) - 10 мг/кг/добу, парент, ентер, 1-2 рази Глікопептиди: ванкоміцин – 40 мг/кг/добу, в/в крап. 2 рази, таргоцид - 1день 10мг/кг, з 2 дня – 6 мг/кг/добу, в/в, 2 рази Група оксазалідонів: лінезолід - 10мг/кг/добу, парент., 2-3 рази Кетоліди – нова група. На ринку України відсутні.
  • 57.
  • 58.
    Етапний підхід вантибіотикотерапії пневмоній!!! Препарати вибору: • Пеніциліни та напівсинтетичні пеніциліни • Цефалоспорини І та ІІ покоління • Макроліди • Лінкозаміни Препарати резерву: • Антистафілококові та антисинегнійні пеніциліни • Парентеральні ЦФ І та ІІ покоління • Аминоглікозиди І та ІІ покоління • Рифампіцин • Фторхінолони Препарати глибокого резерву: • Карбапенеми • Монобактами • Ванкоміцин
  • 59.
    Препарати при кашлі I.Препарати, що стимулюють відкашлювання (секретомоторні): • рефлекторної дії: рослинні (коріння алтея, трава і паростки багульника, кореневище і коріння див’ясила, листя мати-й-мачухи, багато інших), напівсинтетичні і синтетичні засоби та ліки на основі лікарських рослин; • препарати резорбтивної дії (калія йодид, натрію гідрокарбонат, ефірні масла тощо); II. Препарати, що розріджують бронхіальний секрет (бронхосекретолітичні, муколітичні): • протеолітичні ферменти – трипсин, хімотрипсин; • синтетичні муколітики – амброксола гідрохлорид, ацетилцистеїн, карбоцистеїн. ІІІ. Протикашльові препарати- пакселадин, глаувент, тусин, кодтерпин
  • 60.
    Ускладнення Дихальна недостатність • 1-йступінь – задишка, тахікардія при фізичному навантаженні( для немовлят фізичне навантаження - грудне вигодовування, крик, хвилювання) • 2-й ступінь - задишка, тахікардія в спокої, значно її підсилення при фізичному навантаженні. Незначний ціаноз губ, акроцианоз. Роздування крил носа, втягування міжреберних проміжків при диханні. Дитина млява дратівлива. • 3-й ступінь - задишка до 80-100 дихань в хвилину в спокої. Загальний цианоз шкіри, слизових. В акті дихання беруть участь допоміжні м’язи. Може розвинутися гіпоксична енцефалопатія ( порушення свідомості, судоми). За дітьми, які перенесли пневмонію, необхідно організовувати диспансерний нагляд протягом 8 місяців – 1 року
  • 61.
    Характеристика ДН при пневмонії Ступінь ДН Клінічнахарактеристика Показники газового складу крові І Задишка при фізичному навантаженні. Періоральний ціаноз, що посилюється при неспокої. П/Д=2,5:1, тахікардія, АТ у нормі Газовий склад змінений мало (знижене насичення крові кисню до 90%) ІІ Задишка у стані спокою, постійна. Ціаноз періоральний , обличчя і рук-постійний. АТ підвищений, тахікардія. П/Д=2-1,5:1 Насичення крові киснем складає 70- 85%. Дихальний або метаболічний ацидоз ІІІ Задишка значна (частота дихання більше за 150 % від норми). Ціаноз генералізований. АТ знижений. П/Д варіює Насичення крові киснем менше 70 %. Декомпенсований змішаний ацидоз.
  • 62.
    Ознаки дихальної недостатності у груднихдітей - Піна у куточках роту; - Дихання “загнаного звіра”; - Тремтіння крил носа; 4/18/2023 Sample Footer Text 62
  • 63.
  • 65.
    Бронхіальна астма • хронічнерецидивне обструктивне захворювання легенів, яке характеризується підвищеною чутливістю бронхів до різноманітних подразників, запаленням слизової оболонки дихальних шляхів, що призводить до нападів ядухи й задишки, які повторюються
  • 66.
    Генетична детермінованість –атопія Атопічний марш Харчова алергія Атопічний дерматит Алергічний риніт Бронхіальна астма
  • 68.
    Етіологія і патогенез бронхіальноїастми І. Генетична схильність – спадковий імунодефіцит: дефект -адренергічних рецепторів  підвищена чутливість слизової бронхів до БАР  до бронхіальної гіперреактивності; ІІ. Сенсибілізація організму екзогенними (неінфекційні – інфекційні) і ендогенними алергенами; ІІІ. Алергічні реакції – три послідовні фази: імунологічна, патохімічна, патофізіологічна;
  • 69.
    Патогенез бронхіальної астми І.Спадкові чинники ІІ. Сенсибілізація організму: алергени ІІІ. Алергічні реакції дефект адренергічних РЦ підвищена чутливість слизової доБАР порушення імунологічної реактивності антиген + антитіло виділення БАР дія на клітини-мішені Спазм мускулатури гіперсекреція обструкція бронхів бронхоспазм проникливість мембран набряк слизов експіраторна задишка порушення вентиляції ацидоз  гіпоксія порушення мікроциркуляції + агрегація trom застій в малому колі порушення перфузії
  • 70.
    Критерії тяжкості БА Інтермітуюча БА Легка персистуюча Середньої тяжкості Тяжка персистуюча Рідше1разу в міс 1 раз /тиждень > 1 р/ тижд, щодня, Постійні денні симптоми Легкі, швидко минають Легкі, швидко минають Середн тяжк. з поруш ф-ції зовніш. дих. Важкі, астматичні стани Нічні – рідше 2р/міс Частiше 2 раз /мiс. Частiше 1 раз на тиждень Щоночі Ремісія:с-ми відсутні С-ми відсутні ФЗД – в N Неповна ремісія ДН різного ступеня Ремісія: тривала 3 міс і більше Менше 3 міс 1-2 місяці
  • 71.
  • 72.
    Причинні фактори (алергени) Алерген% Домашній пил 75-80 Кліщ Dermofagoides pteronissimus 50 Пилок рослин 35 Харчові продукти 25-30 Перхоть і шерсть тварин 20 Лікарські засоби 2-12 Інфекційні алергени (бактерії, гриби, віруси) 10-25
  • 73.
  • 74.
  • 76.
    Патогенез І фаза –імунологічна Антиген – антитіло (аутоантиген – аутоантитіло) ІІ фаза – патохімічна Виділення біологічно активних речовин ІІІ фаза – патофізіологічна Спазм гладкої мускулатури , підвищена проникність судин, набряк слизових оболонок, гіперсекреція густого слизу
  • 77.
  • 78.
  • 79.
    ДИСФУНКЦІЯ ГЛАДКОЇ МУСКУЛАТУРИ ЗАПАЛЕННЯ Bousquet Jet al., Am J Resp Crit Care Med 161: 1720-45;2000 Бронхіальна астма – двохкомпонентне захворювання
  • 80.
  • 81.
    Класифікація БА І. Клініко-патогенетичніваріанти: - атопічна форма – дошкільний, молодший шкільний вік; атопічний діатез (в анамнезі); (-) фізичних та функціон. змін в ремісії; високий рівень Ig E; висока ефективність бронхоспазмолітиків; - інфекційно-залежна форма – зв’язок з інфекційними захворюваннями;
  • 82.
    Класифікація БА ІІ. Тяжкістьперебігу: інтермітуючий (епізодичний) - (І ступінь), персистуючий (постійний): - легкий перебіг (ІІ ступінь) - середній перебіг (ІІІ ступінь) - тяжкий перебіг (ІV ступінь) ІІІ. Період захворювання: загострення; ремісія;
  • 83.
    Клінічна класифікація • НАКАЗN 437 ВІД 31.08.2004. • Про затвердження клінічних Протоколів надання медичної допомоги при невідкладних станах у дітей на шпитальному і до шпитальному етапах • Бронхіальна астма • Оцінюють частоту, вираженість та тривалість приступів експіраторної задишки, стан хворого в період між приступами, вираженість, варіабельність та зворотність функціональних порушень бронхіальної прохідності, відповідь на лікування.
  • 85.
    Критерії тяжкості БАу дітей Інтермітую ча БА Легка персистуюча Середньої тяжкості Тяжка персистуюча Рідше 1разу в міс 1 раз /тиждень > 1 р/ тижд, щодня, Постійні денні симптоми Легкі, швидко минають Легкі, швидко минають Середн тяжк. з поруш ф-ції зовніш. дих. Важкі, астматичні стани Нічні – рідше 2р/міс Частiше 2 раз /мiс. Частiше 1 раз на тиждень Щоночі Ремісія:сим -ми відсутні С-ми відсутні Неповна ремісія ДН різного ступеня Ремісія: тривала 3 міс і більше Менше 3 міс 1-2 місяці
  • 86.
    Бронхіальна астма - •цехронічне запальне захворювання, яке •необхідно лікувати постійно протизапальними препаратами, а не тільки симптоматично за
  • 88.
  • 89.
    Клінічні еквіваленти типового нападу ядухи • епізодиутрудненого свистячого дихання з подовженим видихом (wheezing); • нападоподібний переважно нічний, сухий кашель, як основний симптом, який призводить до гострого здуття легень без вираженої задишки (кашльовий варіант БА). 4/18/2023 Sample Footer Text 89
  • 91.
    Клініка Період передвісників: триває декількагодин - днів збудження, порушення сну або пригнічення, сонливість, алергічний риніт, свербіж шкіри, носа (алергічний салют), приступоподібний, малопродуктивний кашель; вегетативні розлади: блідість, пітливість, розширення зіниць, тахикардія, головні болі;
  • 92.
    Клініка Приступний період: задишка експіраторна,приступ ядухи, подовжений гучний видих, >>ЧД, грудна клітка здута, втягнення міжреберних проміжків, випинання над- і підключичних ямок, положення ортопноє (фіксація плеч. поясу), перкуторно- коробковий звук, аускультативно- подовжений видих, маса розсіяних сухих хрипів на видосі, різнокаліберні вологі на вдосі (ранній вік); Зміна ЧСС, пульсу, А/Т, болі в животі, блювання;
  • 94.
  • 95.
    Клініка Післяприступний період: зменшується ЧД, посилюютьсякатаральні явища, збільшується різноманіття фізікальної картини (к-сть вологих хрипів), які швидко зникають, покращується загальний стан; Міжприступний період: відсутні клінічні прояви захворювання;
  • 98.
    Астматичний статус зумовлений глибокоюблокадою β-адренергічних рецепторів: • частим використанням симпатоміметиків; • інфекційним процесом; • недостатністю ГКС в лікуванні;
  • 99.
    Астматичний статус - Затяжнийприступ, який не купується впродовж 6 год. і більше; - Резистентність до симпатоміметиків; - Порушення дренажної функції бронхів; - Розвиток гіпоксемії - РаО2  60 мм рт.ст., гіперкапнії - РаСО2  60 мм рт.ст.
  • 100.
    Астматичний статус І стадія компенсації ІІстадія декомпенсації ІІІ стадія гіпоксична кома Утруднене дихання Експірат. задишка Стійкий кашель Коробковий звук Ослаблене дихання Сухі свистячі хрипи Тахикардія,  АТ, Глухість серц. тонів Торпідність до симпатоміметиків Дифузний ціаноз “Німа” легеня в нижніх відділах Гіпоксична енцефалопатія Тахикардія, АТ, набряки, зб. печінки Ацидоз Дифузний ціаноз “Німа” легеня Артеріальна гіпотонія Втрата свідомості Судоми
  • 101.
  • 103.
  • 104.
  • 105.
    Ключові моменти лікуванняБА 1. Лікування з врахуванням ступеня тяжкості; 2. Терапія залежить від періоду захворювання (загострення, ремісії); 3. При загостренні – ефективні інгаляційні β2-агоністи короткої дії; 4. Препаратами контролю БА (профілактики) – інгаляційні ГКС (ІГКС); 5. Тривала терапія ІГКС – не впливає на ріст, розвиток дитини, не призводить до остеопорозу, патологічних переломів;
  • 106.
    Засоби швидкої дії: 1.β2-агоністи короткої дії (симпатоміметики): сальбутамол, фенотерол (беротек): • “золотий” стандарт – інгаляц сальбутамол • шляхи введення- інгаляц, per os, в/в; • дозування: per os 0,15 мг/кг/д – 0,5 мг/кг/добу; 2. Антихолінергічні препарати (холінолітики): іпратропіум бромід, окситропіум бромід, атровент: • шлях введення – інгаляційний; • бронходілятаційний ефект нижчий інгаляц β2- агоністів – обмежене застосування
  • 108.
    Засоби швидкої дії: 3.Комбіновані препарати – інгаляційні β2- агоністи короткої дії + холінолітики • іпратропіум бромід + фенотерол (беридуал) – дітям >> 3 років • іпратропіум бромід + сальбутамол (комбівент) - дітям >> 12 років 4. Метилксантини: амінофілін, теофілін: • шлях введення – per os, в/м, в/в; • бронхолітичний ефект пізніше інгаляц β2-агоністів, але покращує функцію дихальної мускулатури, подовжує і стабілізує ефект β2-агоністів
  • 109.
  • 110.
    Препарати для лікування астми •Препарати для надання екстренної допомоги  2-агоністи короткої дії – (Сальбутамол, фенотерол) •Препарати для базисної терапії Інгаляційні кортикостероїди – (Бекотид, Будесонид, Флутикозон, Мометазон)  Бронходилятатори тривалої дії – (Формотерол, Сальметерол )  Комбіновані препарати – (Серетид, Сімбікорт, Серофло, Форакорт)
  • 111.
    Засоби інгаляційної техніки: 1.Небулайзер – для дітей будь-якого віку 2. ДАІ – дозований аерозольний інгалятор; 3. Затримуючі камери – спейсер, синхронер, бебіхалер, волюматик-спейсер 4. ДПІ – дозовані порошкоподібні інгалятори – спінхалер, ротахалер, турбохалер, дискхалер, дискус
  • 112.
    Базисна терапія лікуванняБА • Проводиться щоденно, тривалим курсом, етапно, залежно від ступеня тяжкості БА; • Ступінчатий підхід – “step up”, “step down” • “step up” – залежно від ступеня тяжкості обсяг лікування посилюється; • “step down” – після досягнення ефекту обсяг лікування зменшується;
  • 113.
    Лікування • При легкомуступені - відволікаючі процедури (розстебнути одяг, доступ свіжого повітря), інгаляція 100% кисню, амброксол (лазолван) 2.5-5.0 мл усередину, інгаляція селективних бета-2-агоністів короткої дії (сальбутамол, вентолін) через мілкодисперсний інгалятор 2.5-5.0 мг, при недостатньому ефекті – беродуал або комбівент у дозі 0,5 мл (10 кап.) дітям до 6 років, 1 мл (20 кап.) – дітям старше 6 років. • При приступі середньої тяжкості - інгаляція 100% кисню, амброксол (лазолван) 2.5-5.0 мл усередину, інгаляція мілкодисперсних аерозолей бета-2-агоністов через інгалятор (або спейсер), при відсутності ефекту - беродуал або комбівент у дозі 0,5 мл (10 кап.) дітям до 6 років, 1 мл (20 кап.) – дітям старше 6 років або 2,4% еуфілліна 1-3 мг/кг внутрівенно, преднізолон 1-3 мг/кг внутрівенно. • При важкому приступі - інгаляція 100% кисню, інгаляція комбінованих холінолітіков, при відсутності ефекту - інгаляційні глікокортікостероїди. Лазолван 0.5-2.0 мл внутрім’язово або внутрівенно повільно, внутрівенно 0.9% розчин натрію хлориду 5-10 мл/кг/година. • Госпіталізація в пульмонологічне відділення, при важкому перебігу - до ВIТ.
  • 114.
  • 115.
    Медична допомога • Напівсидячеположення. • Зволожений 100% кисень, при III стадії - після попередньої премедiкації 0,1% атропіну сульфату 0,1 мл/рік внутрівенно - iнтубацiя трахеї, переведення на ШВЛ. • Інгаляція сальбутамола (вентолiна) , при недостатньому ефекті – беродуал або комбiвент , при недостатній ефективності – преднізолон 2-3 мг/кг внутрівенно. • При некупованому статусі або ДН III-IV ст. - після попередньої премедiкації 0.1% атропіну сульфату 0.1 мл/рік внутрівенно, кетамiн у дозі 5 мг/кг внутрівенно, при збереженому спонтанному подиху - 2-3 мг/кг внутрівенно, iнтубацiя трахеї і переведення на ШВЛ. • Нормалізація реології крові: iнфузiя сольових розчинів 10 мл/кг/година або iзотонiчного розчину натрію хлориду 10 мл/кг/година, лазолван 0.5-2.0 мл внутрівенно повільно. • Госпіталізація до ВIТ.
  • 117.
    Діагностичні тести Діагноз астмыможе бути підтверждений, використовуючи ПікФлуометр.
  • 118.
    Діагностика • Пікфлоуметр -прибор, який визначає максимальну швидкість проходження повітря по бронхам на видохі - пікову швидкість видоху . Чим вужче просвіт бронхів, тим менше швидкість проходження повітря по ним. Таким чином, при загостренні астми, коли просвіт бронхів зменшується, швидкість проходження повітря знижується, що і покаже шкала прибору.
  • 119.
    Пикфлоуметр ( ПСВ -пиковая скорость выдоха), л/мин
  • 120.
  • 122.
  • 123.
  • 124.
  • 125.
  • 126.
    Ступеневий підхід дотривалого (базисного) лікування бронхіальної астми у дітей Варіант терапії Інтермітуюча астма І cтуп. Персистуюча астма ІІ ступінь (легка) ІІІ ступінь (серед.важка) IV ступінь (важка) Протизапа льна терапія Інгаляційні b2- агоністи швидкої дії у разі необхідн. Інгаляційні глюкокортико стероїди у низьких дозах Інгаляційні глюкокортико стероїди у середн. дозах Інгаляційні глюкокортико стероїди у високих дозах Бронходилат аційна терапія - Не показана b2-агоніст тривалої дії або теофілін сповіль. вив. Додати пероральний глюкокортик. Бронхо- дилятаційна терапія для швидкого купування За наявності симптомів Епізодично інгаляційні b2-агоністи швидкої дії Інгаляційні b2-агоністи швидкої дії не частіше 4 разів на добу і/або іпратропіума бромід або теофілін короткої дії в дозі 5 мг/кг
  • 127.
    Ступінчатий підхід добазисної терапії БА у дітей І ступінь Легкий перебіг ІІ ступінь Середн тяжкості ІІІ ступінь Тяжкий перебіг ПРОТИЗАПАЛЬНА ТЕРАПІЯ – інгаляційні нестероїдні протизапальні препарати Кромоглікат натрію (кромолін, інтал, ломудал) 4 рази/добу, недокроміл натрію Кромоглікат натрію 4 рази /добу, недокроміл натрію – щоденно, + ІГКС (інгаляц.) ІГКС + ГКС per os
  • 128.
    Ступінчатий підхід добазисної терапії БА у дітей І ступінь Легкий перебіг ІІ ступінь Середн. тяжкості ІІІ ступінь Тяжкий перебіг БРОНХОЛІТИЧНА ТЕРАПІЯ 2- агоністи короткої дії: не більше 3 разів на тиждень 2- агоністи короткої дії: інгаляції, per os + пролонговані, холінолітики, теофілін Оральні 2- агоністи + пролонговані, холінолітики, теофілін - пролонгованим курсом
  • 129.
    Препарати контролю БА– профілактики, превентивної дії, підтримуюча терапія: 1. Інгаляційні ГКС (ІГКС): флутиказон пропіонат (фліксотид), беклометазон (бекотид), будесонід: • для лікування персистуючої БА; • ліпофільність → “мікродепо” → пролонгована дія; • низька системна біодоступність; • 2. Інгаляційні β2-агоністи тривалої дії: сальметерол (серевент), формотерол: • інгаляційний; в комбінації з ІГКС; • висока ліпофільність, спорідненість до РЦ слизової → тривалу бронходілятацію; • протизапальний, антиоксидантний ефект;
  • 130.
    Препарати контролю БА– профілактики, превентивної дії, підтримуюча терапія: 3. Комбіновані препарати - інгаляційні β2- агоністи тривалої дії (сальметерол - серевент) + ІГКС (фліксотид): серетид • потужна протизапальна, • тривала бронходілятація; 4. Кромони – кромоглікат натрію, кромолін, інтал, ломудал, недокроміл: • шлях введення – інгаляційний; • для лікування легкої та середньої тяжкості
  • 131.
    Препарати контролю БА– профілактики, превентивної дії, підтримуюча терапія: 5. Системні ГКС – преднізолон, метілпреднізолон: • шлях введення – per os, парентеральний; • для купування приступів середніх та тяжких; 6. Метилксантини – амінофілін, теофілін - теопек, теоклір, вентакс (сповільненої дії, препарат резерву): • шлях введення – пероральний; • для лікування тяжкої БА, середньої тяжкості; • попередження нічних приступів;
  • 132.
    Препарати контролю БА профілактики,превентивної дії, підтримуюча терапія: 7. Пероральні β2-агоністи тривалої дії: сальметерол (серевент), тербуталін; 8. Антилейкотрієнові препарати - монтелукаст, зафірлукаст: • per os; • 4 мг – 10 мг на добу залежно від віку;
  • 133.
    Препарати контролю БА– профілактики, превентивної дії, підтримуюча терапія: 3. Комбіновані препарати - інгаляційні β2- агоністи тривалої дії (сальметерол - серевент) + ІГКС (фліксотид): серетид • потужна протизапальна, • тривала бронходілатація; 4. Кромони – кромоглікат натрію, кромолін, інтал, ломудал, недокроміл: • шлях введення – інгаляційний; • для лікування легкої та середньої тяжкості
  • 134.
    Препарати контролю БА– профілактики, превентивної дії, підтримуюча терапія: 5. Системні ГКС – преднізолон, метілпреднізолон: • шлях введення – per os, парентеральний; • для купування приступів середніх та тяжких; 6. Метилксантини – амінофілін, теофілін - теопек, теоклір, вентакс (сповільненої дії, препарат резерву): • шлях введення – пероральний; • для лікування тяжкої БА, середньої тяжкості; • попередження нічних приступів;
  • 135.
    Препарати контролю БА– профілактики, превентивної дії, підтримуюча терапія: 7. Пероральні β2-агоністи тривалої дії: сальметерол (серевент), тербуталін; 8. Антилейкотрієнові препарати - монтелукаст, зафірлукаст: • per os; • 4 мг – 10 мг на добу залежно від віку;
  • 136.
    Засоби інгаляційної техніки: 1.Небулайзер – для дітей будь-якого віку 2. ДАІ – дозований аерозольний інгалятор; 3. Затримуючі камери – спейсер, синхронер, бебіхалер, волюматик-спейсер 4. ДПІ – дозовані порошкоподібні інгалятори – спінхалер, ротахалер, турбохалер, дискхалер, дискус
  • 137.
  • 138.
  • 139.
    Средства ингаляционной техники: Небулайзер смундштуком Небулайзер с маской
  • 140.
  • 141.
    Небулайзер ефективно розпиляєбільшість лікарських препаратів, що застосовуються для лікування
  • 142.
  • 143.
  • 144.
  • 145.
    Дітям до 3міс –не застосовують, старше 3 міс - тільки в тяжких випадках
  • 161.