Jаffaя яaza Syзd Page 1
Periodontal Flap
A periodontal flap is a section of gingiva and/or mucosa surgically-elevated from
the underlying tissues to provide visibility of and access to the bone and root
surface.
INDICATIONS/OBJECTIVES OF FLAP SURGERY
1. Gain access for root debridement.
2. Reduction or elimination of pocket depth, so that patient can maintain the
root surfaces free of plaque.
3. Reshaping soft and hard tissues to attain a harmonious topography
(physiologic architecture).
4. Regeneration of alveolar bone, periodontal ligament and cementum.
Jаffaя яaza Syзd Page 2
CLASSIFICATION OF PERIODONTAL FLAPS
A. According to flap reflection or tissue content:
a. Full thickness flap
b. Split-thickness flap
B. According to management of papilla:
a. Conventional flap
b. Papilla preservation flap
C. According to flap placement after surgery:
a. Non displaced flap
b. Displaced flap:
• Apical displaced flap
• Coronal displaced flap
• Lateral displaced flap
Jаffaя яaza Syзd Page 3
Basic flap requirements:
• Base of the flap must be wide enough to maintain an adequate
blood supply
• Flap must be big enough to expose any underlying bone
defects
• No important vessels or nerves should be damaged in raising
the flap
• Incisions must allow movement of flap without tension.
Jаffaя яaza Syзd Page 4
Jаffaя яaza Syзd Page 5
Jаffaя яaza Syзd Page 6
Jаffaя яaza Syзd Page 7
Jаffaя яaza Syзd Page 8
Jаffaя яaza Syзd Page 9
Jаffaя яaza Syзd Page 10
INCISIONS
For Conventional Flap
1. Horizontal Incision:
• Internal bevel incision
• Crevicular incision
• Interdental incision
2. Vertical incision
• Oblique releasing incision
For Papilla Preservation Flap
Crevicular incision with no incisions across the interdental
papilla is given.
Jаffaя яaza Syзd Page 11
Jаffaя яaza Syзd Page 12
Jаffaя яaza Syзd Page 13
Jаffaя яaza Syзd Page 14
Jаffaя яaza Syзd Page 15
Jаffaя яaza Syзd Page 16
Jаffaя яaza Syзd Page 17
Modified Widman Flap
Presented in 1974 by Ramfjord and Nissle.
Step 1: It is an initial, internal bevel incision 0.5 to 1 mm
away from the gingival margin, directed to the
alveolar crest. Vertical releasing incisions are not
required (different from Widman flap).
Step 2: Gingiva is reflected with a periosteal elevator
Step 3: A crevicular incision is made.
Step 4: After the flap is reflected, third incision is made in
the interdental spaces with Orban's knife and the
gingival collar is removed.
Step 5: Tissue tags and granulation tissue are removed with
a curette. The root surfaces are examined and scaled.
Step 6: Bone architecture is not corrected, good approximation of flaps
is necessary, hence sometimes flaps may have to be thinned.
Step 7: Interrupted direct sutures are placed.
Jаffaя яaza Syзd Page 18
Jаffaя яaza Syзd Page 19
Jаffaя яaza Syзd Page 20
Jаffaя яaza Syзd
Undisplaced Flap (internal bevel gingivectomyinternal bevel gingivectomy)
Page 21
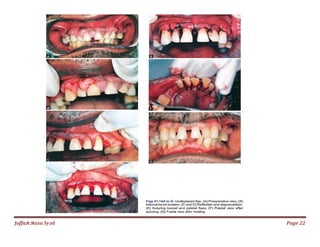
Jаffaя яaza Syзd Page 22
Jаffaя яaza Syзd Page 23
Jаffaя яaza Syзd Page 24
Jаffaя яaza Syзd Page 25
Jаffaя яaza Syзd Page 26
Jаffaя яaza Syзd Page 27
Jаffaя яaza Syзd Page 28
HEALING AFTER FLAP SURGERY
0 to 24 hours  blood clot
1-3 days after flap surgery  epithelial cells migrate over the border of the flap
One week after flap surgery  epithelial attachment to the root has
been established by means of hemidesmosomes
and a basal lamina
 The blood clot is replaced by granulation
tissue derived from gingival connective tissue,
bone marrow and the periodontal ligament
Two weeks after surgery  collagen fibers begin to appear parallel to the
tooth surface. Union of the flap and the tooth
is still weak (due to immature collagen fibers)
but clinically it appears almost normal
One month after surgery  a fully-epithelialized gingival crevice with a
well-defined epithelial attachment is present

035. periodontal flap

  • 1.
    Jаffaя яaza SyзdPage 1 Periodontal Flap A periodontal flap is a section of gingiva and/or mucosa surgically-elevated from the underlying tissues to provide visibility of and access to the bone and root surface. INDICATIONS/OBJECTIVES OF FLAP SURGERY 1. Gain access for root debridement. 2. Reduction or elimination of pocket depth, so that patient can maintain the root surfaces free of plaque. 3. Reshaping soft and hard tissues to attain a harmonious topography (physiologic architecture). 4. Regeneration of alveolar bone, periodontal ligament and cementum.
  • 2.
    Jаffaя яaza SyзdPage 2 CLASSIFICATION OF PERIODONTAL FLAPS A. According to flap reflection or tissue content: a. Full thickness flap b. Split-thickness flap B. According to management of papilla: a. Conventional flap b. Papilla preservation flap C. According to flap placement after surgery: a. Non displaced flap b. Displaced flap: • Apical displaced flap • Coronal displaced flap • Lateral displaced flap
  • 3.
    Jаffaя яaza SyзdPage 3 Basic flap requirements: • Base of the flap must be wide enough to maintain an adequate blood supply • Flap must be big enough to expose any underlying bone defects • No important vessels or nerves should be damaged in raising the flap • Incisions must allow movement of flap without tension.
  • 4.
  • 5.
  • 6.
  • 7.
  • 8.
  • 9.
  • 10.
    Jаffaя яaza SyзdPage 10 INCISIONS For Conventional Flap 1. Horizontal Incision: • Internal bevel incision • Crevicular incision • Interdental incision 2. Vertical incision • Oblique releasing incision For Papilla Preservation Flap Crevicular incision with no incisions across the interdental papilla is given.
  • 11.
  • 12.
  • 13.
  • 14.
  • 15.
  • 16.
  • 17.
    Jаffaя яaza SyзdPage 17 Modified Widman Flap Presented in 1974 by Ramfjord and Nissle. Step 1: It is an initial, internal bevel incision 0.5 to 1 mm away from the gingival margin, directed to the alveolar crest. Vertical releasing incisions are not required (different from Widman flap). Step 2: Gingiva is reflected with a periosteal elevator Step 3: A crevicular incision is made. Step 4: After the flap is reflected, third incision is made in the interdental spaces with Orban's knife and the gingival collar is removed. Step 5: Tissue tags and granulation tissue are removed with a curette. The root surfaces are examined and scaled. Step 6: Bone architecture is not corrected, good approximation of flaps is necessary, hence sometimes flaps may have to be thinned. Step 7: Interrupted direct sutures are placed.
  • 18.
  • 19.
  • 20.
  • 21.
    Jаffaя яaza Syзd UndisplacedFlap (internal bevel gingivectomyinternal bevel gingivectomy) Page 21
  • 22.
  • 23.
  • 24.
  • 25.
  • 26.
  • 27.
  • 28.
    Jаffaя яaza SyзdPage 28 HEALING AFTER FLAP SURGERY 0 to 24 hours  blood clot 1-3 days after flap surgery  epithelial cells migrate over the border of the flap One week after flap surgery  epithelial attachment to the root has been established by means of hemidesmosomes and a basal lamina  The blood clot is replaced by granulation tissue derived from gingival connective tissue, bone marrow and the periodontal ligament Two weeks after surgery  collagen fibers begin to appear parallel to the tooth surface. Union of the flap and the tooth is still weak (due to immature collagen fibers) but clinically it appears almost normal One month after surgery  a fully-epithelialized gingival crevice with a well-defined epithelial attachment is present