OTİTİS MEDİA



    Prof. DR. İsmail KÜLAHLI
Erciyes Üniversitesi Tıp Fakültesi
  KBB ve Baş Boyun Cerrahisi
Success in Life Begins With
         Hearing!
Otitis Media

a Orta kulak,
a Mastoid hücreler ve
a Östaki borusu
    • mukozal enfeksiyonunun genel adıdır
AOM / EVRELERİ

Hiperemi
Eksudasyon
Süpürasyon
Koalesan
Komplikasyon
Rezolüsyon safhası
AOM: Tanı

a   Özel bulguları    a   Özel olmayan
a   Kulak ağrısı          bulgular
a   Kulak akıntısı    a   Ateş
a   işitme kaybı      a   irritabilite
a   Dolgunluk hissi   a   letarji
a   Uğultu-çınlama    a   iştahsızlık
a   Vertigo           a   kusma
                      a   İshal
                      a   ÜSYE belirtileri
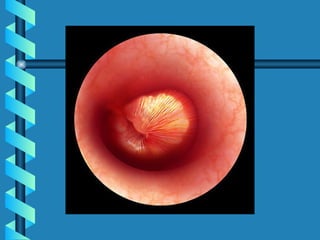
AOM: Otoskopi

a   Kulak zarı
    • kızarık, hiperemik,
    • kabarık, öne bombeleşmiş,
    • toplu iğne başı büyüklüğünde spontan
      perforasyo olabilir,
    • buradan pulse eden pürülan sekresyon
      gelebilir.
Normal tympanic membrane
AOM: Pnömatik otoskopi

a   Kulak zarının
    •   hareketliliği, rengi, şeffaflığı,
    •   damarlanması ve durumu belirlenir
    •   sıvı seviyeleri veya baloncuklar görülebilir
    •   Zarın hareketliliği değerlendirilir
    •   orta kulakta efüzyon varlığı tespit edilir
Valsalva manevrası
OM: Epidemiyoloji

a   AOM bütün dünyada,
    • soğuk algınlığından sonra en sık rastlanan
      çocukluk çağı hastalığıdır
a   Yıl içinde pediatristlere başvuran
    hastaların
    • Üçte birini oluşturur
AOM: Epidemiyoloji

a   AOM her yaştan insanı etkileyebilir
    • Ancak, ağırlıklı olarak bebeklerde ve
      çocuklarda görülür.
    • Yaşamın ilk 6 ayında % 29
    • Sonraki 6 ayda % 42' oranında görülür
a   En yüksek prevalans,
    • ilk 2 yaşında ortaya çıkmakta ve
      sonrasında azalmaktadır.
AOM: Epidemiyoloji

a   Küçük çocuklarda AOM’ nın daha sık görülmesinin en
    önemli nedeni
     • Daha sık geçirilen ÜSYE’ları ve
     • Tuba östakideki gelişimsel farklılıklardır.
AOM: Östaki tüpü

a   Erişkin östaki tüpü
     • 2/3- kartilaj (uzun), 1/3- kemik (kısa)
     • 45 derece açı, isthmus 1-2 mm
     • Nazofarengeal orifis 8-9 mm
a   Çocuk östaki tüpü
     • Kemik kısım (uzun)
     • 10 derece açı, isthmus geniş
     • Nazofarengeal orifis 4-5 mm ( infantlarda)
     • Yoğun goblet hücresi içermektedir
AOM: Östaki tüpü

a   Bu anatomik farklılıklar
     • Çocuklarda östaki tüpü koruma fonksiyonunun
       daha zayıf oluşunu açıklar
a   Yenidoğan ve erişkin arasındaki
     • bu uzunluk, açı ve pozisyon farklılığı
     • 7 yaşına kadar ortadan kalkar
AOM: Risk faktörleri

a   Yaşın küçük olması,
a   Cinsiyetin erkek olması,
a   Kalabalık yerlerde yaşam,
a   Biberonla beslenme,
a   Gündüz bakımı/Kardeşler
a   Emzik kullanma
a   Sigara (aktif ya da pasif),
a   ilk atağın erken yaşta geçirilmesi,
a   Evde viral enfeksiyon varlığı,
AOM: Risk faktörleri

a Ailede AOM öyküsü, (genetik yatkınlık)
a Yetersiz sağlık koşulları, yoksulluk,
a Mevsim (kış, sonbahar),
a Radyoterapi
a Yarık damak/Down sendromu
a Allerji/İmmunite
For Better Health!
AOM: Mikrobiyoloji

a   S. Pneumoniae                          32%
a   H. Influenzae                      22%
a   M. Catarrhalis                     16%
    • A Grubu Strept                   5%
    • Staph Aureus                         2%
    • Kültür (-) / Patojen olmayan 25%
a   Yeni doğan dönemindeki çocuklarda,
    • Gram (-) basiller
        – E. coli, Klebsiella grubu ve
        – P. aeruginosa
AOM: Antimikrobiyal direnç

a   S. pneumoniae
    • 30-40% penisilin dirençli
a   H. influenzae
    • 30-40% β-laktamaz pozitif
a   M. catarrhalis
    • 80-90% β-laktamaz pozitif
a   Farklı coğrafi bölgelere göre direnç
    oranı değişmektedir
AOM: Tedavide başarısızlık

a   Bütün beta-laktam antibiyotikler,
    • Penisilin bağlayıcı proteine bağlanarak
      hücre duvarı sentezini inhibe ederler,
    • Direnç geliştiğinde bu gruptaki tüm
      antibiyotiklere karşı duyarlılık azalır.
Reküren OM: Tanım

a   Reküren OM
    • 6 ay içinde 3 ya da daha fazla
    • 1 yıl içinde 4 ya da daha fazla (son atak son 6 ay
      içinde) AOM atağı geçirir.
a   Yaşamın ilk 3 yılında reküren OM sorunu olan
    çocuklar
    • işitme kaybı,
    • dil gelişiminde ve öğrenmede gecikme bakımından
      yüksek riske sahiptirler
Parasentez
Sekretuar otitis media

a Lokal ve genel enfeksiyon bulgu ve
  belirtileri olmaz
a Sağlam kulak zarı arkasında sıvı
  toplanır
    •   2-3 aydan uzun süre sebat eder
    •   İşitme kaybı dışında belirti vermez
    •   Belirtiler akut değildir
    •   AOM’yi takiben gelişebilir
    •   Seröz OM olarak da isimlendirilir
Kronik Otitis Media (KOM)

KOM sadece süre açısından değil
Patoloji ve klinik seyir açısından da farklıdır
Tedavi edilmemiş AOM aylarca sürebilir ancak sonunda
iyileşir
Oysa kolesteatoma olan bir hastada akıntının ilk
gününden itibaren
Kronik bir hastalık söz konusudur
Kronik Otitis Media

 Kulak zarında perforasyon
 Kemikcik erozyonu
 Kulak akıntısı
 İletim tipi işitme kaybı
 Tinnitus, vertigo, kulak ağrısı
 Granulasyon dokusu ve/veya kolesteatoma olabilir
 Schüller grafisi veya CT’de destrüksiyonu vardır
Kronik Otitis Media
Kolesteatom
Congenital cholesteatoma
RETRACCIÓN TIMPÁNICA.
Kolesteatoma

a   1838'de Johannes Mueller tarafından
    •   Tabakalaşmış yağ tümörü diğer yağ tümörlerinden
    •   Polihedral hücre katmanları arasında serpiştirilmiş
    •   safra yağı (cholesterin) ile ayrılmaktadır diye tanımlanmıştır
A- Konjenital=Primer Kolesteatoma

a   Derlacki ve Clemis tarafından
    •   Kulak zarı perforasyonu ve
    •   Kulak enfeksiyonu hikayesi olmaksızın
    •   Kulakta embriyonik epitelyal doku artıklarının bulunması olarak
        tanımlanmıştır
B- Akkiz= Sekonder Kolesteatoma

a   Birçok patojenik olaylar sebebiyle oluşmaktadır
a   iki grupta toplanmaktadır
    • a- Primer akkiz (attik retraksiyon kolesteatoma)
    • b- Sekonder - akkiz kolesteatoma
a- Sekonder - Akkiz Kolesteatoma

a   Timpanik membrandaki bir perforasyondan
a   Orta kulağa keratinize epitel girmesi sonucu oluşur
a   İmplantasyon Teorisi
     • Cerrahi, Fraktür hattı, Yabancı cisim veya, Travma
       sonucu
     • Orta kulağa veya kulak zarına
     • İyatrojenik olarak cildin implantasyonu ile
       oluşmaktadır
     • Miringotomi esnasında epitelyal migrasyon veya
     • Tüp yerleştirimi esnasında timpanik membran
       flebinin orta kulağa yer değişimi sonucu oluşur
Metaplazi Teorisi

    • Kronik ve rekürren infeksiyonlar sonucunda orta kulağın
    • Desquame epitelinin keratinize squamöz epitele metaplazisi
      söz konusudur
a   Epitelyal İnvazyon Teorisi
    • Zarın dış kısmındaki keratinize squamöz epitel,
    • Zardaki marjinal perforasyondan orta kulağa göç eder
    • DKY epiteli de bu perforasyondan geçerek kolesteatoma neden
      olabilir
    • Normalde göç eden epitelyal hücreler
    • Başka bir epitelyal yüzeyle temas ettiğinde göç durur
    • KOM’da orta kulak mukozası hasarlı olduğu için
        Kontakt inhibisyon mekanizması gerçekleşmez
İnvajinasyon Teorisi

• Doğum sonrasında
• İnfantil steril OM neonatorum veya
• Non bakteriyel OM gelişmekte
• Embriyonik subepitelyal timpanik konnektif doku
  kalınlaşmasına sebep olmaktadır
• Bu attik bloğa ve lokalize negatif basınca sebep
  olmakta
• Pars flaksida da retraksiyon oluşmaktadır
• Oluşan retraksiyon cebi derinleştikçe keratinin
  temizlenmesi zorlaşır, birikir
Kolesteatomanın Klinik Önemi

a   Kolesteatoma yavaş ilerlemesine rağmen hayatı tehdit
    edici potansiyeli olmasından dolayı önemlidir
    •   Kemik destruksiyonu
    •   Kemikçik destruksiyonu
    •   İşitme kaybı
    •   Labirent fistülü
Otojen Komplikasyonlar
a   Orta kulak enfeksiyonunun orta kulak
    mukoperiosteumun dışına yayılması olarak
    tanımlanır.
a   Akut, subakut ve kronik OM’lar sonucu ortaya
    çıkarlar.
     • Ancak büyük çoğunluğu KOM neticesinde oluşur.
a   Akut ve kronik otitlerde antibiyotik kulanılmadan önce
     • intrakranial komplikasyon oranı %2.3 iken,
     • antibiyotiklerin kullanılması ile bu oran %0.15 ‘e
       kadar düşmüştür.
Otojen Komplikasyonlar

a   Komplikasyon gelişimine neden olabilecek 5
    önemli faktör vardır;
     • Mikrobiyolojik faktörler
     • Antimikrobiyal faktörler
     • Hastanın direnci
     • Yayılmaya karşı bariyerler
     • Drenaj ve anatomik yollar
İntratemporal komplikasyonlar
a   Orta kulak
     • Fasial paralizi
     • Kemikçik lezyonları
     • Kulak zarı perforasyonu
a   Mastoid
     • Petrozit
     • Mastoidit
a   İç kulak
     • Labirentit
     • Sensörinöral işitme kaybı
Gradenigo sendromu

a   6. krianial sinir paralizisi ,
a   Hasta kulak tarafında trigeminal nevralji
     • Retroorbital ağrı
a   Kulak akıntısı olarak bilinir.
a   Bazen daha ileri dönemlerde fasiyal paralizi de
    görülebilir.
a   Bu sendrom bugün seyrek görülüyor.
Labirentit

a   Akut toksik labirentitis
a   Akut supuratif labirentitis
a   Kronik labirentitis
a   Labirentin sklerozu
Ekstratemporal komplikasyonlar

a   Postaurikular apse (subperiostal)
a   Bezold apsesi
a   Zigomatik apse
a   Parafaringeal ve retrofaringeal apse
OM left untreated
İntrakraniyal komplikasyonlar

a   Menenjit
a   Ekstradural abse
a   Subdural abse
a   Sigmoid sinüs tromboflebiti
a   Beyin absesi
a   Otitik hidrosefali
Lateral sinüs tromboflebiti

a   Muayenede pulzasyonlu bol miktarda akıntı saptanır.
     • Mastoid bölge basınca hasastır.
a   Mastoid üzerinde postaurikular bölgede ödem
    mevcutur.
     • Buna Griesinger belirtisi denir.
a   Diğer önemli bir bulguda
     • prosesus mastoideusun önüne,
     • vena jugularis ınternanın başlangıç bölgesine
       yapılan basıncın ağrılı olmasıdır.
Lateral sinüs tromboflebiti

a   Kueckenstend testi
     • LP sırasında her iki vena jugularis internaya
       basınç yapılırsa, BOS basıncı önemli ölçude
       artar.
     • Eğer tek taraflı basınç yapılırsa basınçta artma az
       miktarda olur.
a   Tobey-Eyer testi
     • Sağlam tarafta vena jugularis internaya basmak
       yolu ile BOS basıncında önemli artma
       sağlanırken,
     • hasta tarafta basmakla basınçta değişiklik olmaz.
Otitik Hidrosefali

a   Menenjit ve beyin apsesinin bulunmadığı
     • pürülan kulak hastalığı ile birlikte olan
     • artmış intrakraniyal basınç tablosunun bulunduğu
       bir durumdur.
a   AOM den birkaç hafta, KOM dan yıllar sonra
    başlayan
     • şiddetli bir BOS hipertansiyonundan ibarettir.
a   Lateral sinüs enfeksiyonu ile oluşan süperior sagital
    sinüs trombozisi sebep olarak gösterilmiştir.
a   Sıvının araknoid villusla absorbsiyonu,
     • intrakranial basınç artışı veya menenjite olduğu
Orta kulak

a   Dış kulak yolundan
    gelen sinyalleri,
    kokleaya iletir (TM
    ve osiküler zincir)
a   ‘Ses gücü’ nün
    transformasyonu
a   Akustik transformer
Orta Kulak
a Orta kulaktaki temel transformer mekanizması:
  TM alanı / stapes tabanı alanı
a TM, gücü tüm alanı boyunca toplar ve bu gücü,
  stapes tabanına iletir.
a basınç = güç / alan,

   TM alanı:stapes = 20
  - ideal şartlarda: ses basıncında 20 kat artış =
  26 dB
Orta Kulak
a Diğer transformer
  mekanizma: kaldıraç etkisi
a Osiküllerin rotasyon ekseni
  etrafında, malleus ve
  inkusun uzunluk farkı
a Rotasyon ekseni: anterior
  malleal ligamenti incudal
  ligamente birleştiren hat.
a Malleus / inkus : 1.3

 = 2 dB
Orta Kulak

a   Teorik olarak, orta kulak
    ses basıncı kazançı
    yaklaşık 28 dB (26 dB + 2
    dB)
a   Ancak gerçekte, ölçülen
    kazanç 28 dB’in
    altındadır.
a   1 kHz civarında
    maksimum kazanç
    sağlanır (20 dB).
Yuvarlak Pencere (YP)

a YP, kokleanın oval
  pencereden uzaktaki
  ucunda, perilenfin koklea
  içinde ileri-geri
  hareketine olanak
  sağlayan gevşek bir
  açıklık olarak görev
  yapar.
a YP hareketleri:

 - stapes tabanı
  hareketine cevap olarak
 - pasif nitelikte (OP’de 22
TM perforasyonunun işitme üzerindeki
etkisi

a   TM yüzey alanının azalması ve orta kulağa giren ses
    basıncının TM medial yüzeyine çarpması
a   Yuvarlak pencereye ulaşan ses basıncının artması ve
    sesin, iki pencereye de aynı şiddette ve zamanda
    ulaşması
a Rekürren hastalığı elimine etmek,
a Kuru bir orta kulak ve dky sağlamak,
a İntakt TM oluşturmak,
a İşitmeyi düzeltmek
Timpanoplasti Tipleri
    Zollner ve Wullstein, 5 tip
    timpanoplasti tanımlamıştır:
a   Tip 1: tüm kemikçikler mobil
    – osiküler rekonstr. gereksiz
a   Tip 2: inkus ve stapes intakt
a   Tip 3: stapes suprastrüktürü
    intakt
a   Tip 4: mobil stapes tabanı
a   Tip 5: hSCC fenestrasyonu
    yapılır

otit (fazlası için www.tipfakultesi.org )

  • 1.
    OTİTİS MEDİA Prof. DR. İsmail KÜLAHLI Erciyes Üniversitesi Tıp Fakültesi KBB ve Baş Boyun Cerrahisi
  • 2.
    Success in LifeBegins With Hearing!
  • 3.
    Otitis Media a Ortakulak, a Mastoid hücreler ve a Östaki borusu • mukozal enfeksiyonunun genel adıdır
  • 6.
  • 7.
    AOM: Tanı a Özel bulguları a Özel olmayan a Kulak ağrısı bulgular a Kulak akıntısı a Ateş a işitme kaybı a irritabilite a Dolgunluk hissi a letarji a Uğultu-çınlama a iştahsızlık a Vertigo a kusma a İshal a ÜSYE belirtileri
  • 8.
    AOM: Otoskopi a Kulak zarı • kızarık, hiperemik, • kabarık, öne bombeleşmiş, • toplu iğne başı büyüklüğünde spontan perforasyo olabilir, • buradan pulse eden pürülan sekresyon gelebilir.
  • 10.
  • 14.
    AOM: Pnömatik otoskopi a Kulak zarının • hareketliliği, rengi, şeffaflığı, • damarlanması ve durumu belirlenir • sıvı seviyeleri veya baloncuklar görülebilir • Zarın hareketliliği değerlendirilir • orta kulakta efüzyon varlığı tespit edilir
  • 15.
  • 29.
    OM: Epidemiyoloji a AOM bütün dünyada, • soğuk algınlığından sonra en sık rastlanan çocukluk çağı hastalığıdır a Yıl içinde pediatristlere başvuran hastaların • Üçte birini oluşturur
  • 30.
    AOM: Epidemiyoloji a AOM her yaştan insanı etkileyebilir • Ancak, ağırlıklı olarak bebeklerde ve çocuklarda görülür. • Yaşamın ilk 6 ayında % 29 • Sonraki 6 ayda % 42' oranında görülür a En yüksek prevalans, • ilk 2 yaşında ortaya çıkmakta ve sonrasında azalmaktadır.
  • 31.
    AOM: Epidemiyoloji a Küçük çocuklarda AOM’ nın daha sık görülmesinin en önemli nedeni • Daha sık geçirilen ÜSYE’ları ve • Tuba östakideki gelişimsel farklılıklardır.
  • 32.
    AOM: Östaki tüpü a Erişkin östaki tüpü • 2/3- kartilaj (uzun), 1/3- kemik (kısa) • 45 derece açı, isthmus 1-2 mm • Nazofarengeal orifis 8-9 mm a Çocuk östaki tüpü • Kemik kısım (uzun) • 10 derece açı, isthmus geniş • Nazofarengeal orifis 4-5 mm ( infantlarda) • Yoğun goblet hücresi içermektedir
  • 33.
    AOM: Östaki tüpü a Bu anatomik farklılıklar • Çocuklarda östaki tüpü koruma fonksiyonunun daha zayıf oluşunu açıklar a Yenidoğan ve erişkin arasındaki • bu uzunluk, açı ve pozisyon farklılığı • 7 yaşına kadar ortadan kalkar
  • 35.
    AOM: Risk faktörleri a Yaşın küçük olması, a Cinsiyetin erkek olması, a Kalabalık yerlerde yaşam, a Biberonla beslenme, a Gündüz bakımı/Kardeşler a Emzik kullanma a Sigara (aktif ya da pasif), a ilk atağın erken yaşta geçirilmesi, a Evde viral enfeksiyon varlığı,
  • 36.
    AOM: Risk faktörleri aAilede AOM öyküsü, (genetik yatkınlık) a Yetersiz sağlık koşulları, yoksulluk, a Mevsim (kış, sonbahar), a Radyoterapi a Yarık damak/Down sendromu a Allerji/İmmunite
  • 38.
  • 40.
    AOM: Mikrobiyoloji a S. Pneumoniae 32% a H. Influenzae 22% a M. Catarrhalis 16% • A Grubu Strept 5% • Staph Aureus 2% • Kültür (-) / Patojen olmayan 25% a Yeni doğan dönemindeki çocuklarda, • Gram (-) basiller – E. coli, Klebsiella grubu ve – P. aeruginosa
  • 42.
    AOM: Antimikrobiyal direnç a S. pneumoniae • 30-40% penisilin dirençli a H. influenzae • 30-40% β-laktamaz pozitif a M. catarrhalis • 80-90% β-laktamaz pozitif a Farklı coğrafi bölgelere göre direnç oranı değişmektedir
  • 43.
    AOM: Tedavide başarısızlık a Bütün beta-laktam antibiyotikler, • Penisilin bağlayıcı proteine bağlanarak hücre duvarı sentezini inhibe ederler, • Direnç geliştiğinde bu gruptaki tüm antibiyotiklere karşı duyarlılık azalır.
  • 44.
    Reküren OM: Tanım a Reküren OM • 6 ay içinde 3 ya da daha fazla • 1 yıl içinde 4 ya da daha fazla (son atak son 6 ay içinde) AOM atağı geçirir. a Yaşamın ilk 3 yılında reküren OM sorunu olan çocuklar • işitme kaybı, • dil gelişiminde ve öğrenmede gecikme bakımından yüksek riske sahiptirler
  • 45.
  • 46.
    Sekretuar otitis media aLokal ve genel enfeksiyon bulgu ve belirtileri olmaz a Sağlam kulak zarı arkasında sıvı toplanır • 2-3 aydan uzun süre sebat eder • İşitme kaybı dışında belirti vermez • Belirtiler akut değildir • AOM’yi takiben gelişebilir • Seröz OM olarak da isimlendirilir
  • 52.
    Kronik Otitis Media(KOM) KOM sadece süre açısından değil Patoloji ve klinik seyir açısından da farklıdır Tedavi edilmemiş AOM aylarca sürebilir ancak sonunda iyileşir Oysa kolesteatoma olan bir hastada akıntının ilk gününden itibaren Kronik bir hastalık söz konusudur
  • 53.
    Kronik Otitis Media Kulak zarında perforasyon Kemikcik erozyonu Kulak akıntısı İletim tipi işitme kaybı Tinnitus, vertigo, kulak ağrısı Granulasyon dokusu ve/veya kolesteatoma olabilir Schüller grafisi veya CT’de destrüksiyonu vardır
  • 54.
  • 55.
  • 58.
  • 59.
  • 69.
    Kolesteatoma a 1838'de Johannes Mueller tarafından • Tabakalaşmış yağ tümörü diğer yağ tümörlerinden • Polihedral hücre katmanları arasında serpiştirilmiş • safra yağı (cholesterin) ile ayrılmaktadır diye tanımlanmıştır
  • 70.
    A- Konjenital=Primer Kolesteatoma a Derlacki ve Clemis tarafından • Kulak zarı perforasyonu ve • Kulak enfeksiyonu hikayesi olmaksızın • Kulakta embriyonik epitelyal doku artıklarının bulunması olarak tanımlanmıştır
  • 71.
    B- Akkiz= SekonderKolesteatoma a Birçok patojenik olaylar sebebiyle oluşmaktadır a iki grupta toplanmaktadır • a- Primer akkiz (attik retraksiyon kolesteatoma) • b- Sekonder - akkiz kolesteatoma
  • 72.
    a- Sekonder -Akkiz Kolesteatoma a Timpanik membrandaki bir perforasyondan a Orta kulağa keratinize epitel girmesi sonucu oluşur a İmplantasyon Teorisi • Cerrahi, Fraktür hattı, Yabancı cisim veya, Travma sonucu • Orta kulağa veya kulak zarına • İyatrojenik olarak cildin implantasyonu ile oluşmaktadır • Miringotomi esnasında epitelyal migrasyon veya • Tüp yerleştirimi esnasında timpanik membran flebinin orta kulağa yer değişimi sonucu oluşur
  • 73.
    Metaplazi Teorisi • Kronik ve rekürren infeksiyonlar sonucunda orta kulağın • Desquame epitelinin keratinize squamöz epitele metaplazisi söz konusudur a Epitelyal İnvazyon Teorisi • Zarın dış kısmındaki keratinize squamöz epitel, • Zardaki marjinal perforasyondan orta kulağa göç eder • DKY epiteli de bu perforasyondan geçerek kolesteatoma neden olabilir • Normalde göç eden epitelyal hücreler • Başka bir epitelyal yüzeyle temas ettiğinde göç durur • KOM’da orta kulak mukozası hasarlı olduğu için Kontakt inhibisyon mekanizması gerçekleşmez
  • 74.
    İnvajinasyon Teorisi • Doğumsonrasında • İnfantil steril OM neonatorum veya • Non bakteriyel OM gelişmekte • Embriyonik subepitelyal timpanik konnektif doku kalınlaşmasına sebep olmaktadır • Bu attik bloğa ve lokalize negatif basınca sebep olmakta • Pars flaksida da retraksiyon oluşmaktadır • Oluşan retraksiyon cebi derinleştikçe keratinin temizlenmesi zorlaşır, birikir
  • 75.
    Kolesteatomanın Klinik Önemi a Kolesteatoma yavaş ilerlemesine rağmen hayatı tehdit edici potansiyeli olmasından dolayı önemlidir • Kemik destruksiyonu • Kemikçik destruksiyonu • İşitme kaybı • Labirent fistülü
  • 76.
    Otojen Komplikasyonlar a Orta kulak enfeksiyonunun orta kulak mukoperiosteumun dışına yayılması olarak tanımlanır. a Akut, subakut ve kronik OM’lar sonucu ortaya çıkarlar. • Ancak büyük çoğunluğu KOM neticesinde oluşur. a Akut ve kronik otitlerde antibiyotik kulanılmadan önce • intrakranial komplikasyon oranı %2.3 iken, • antibiyotiklerin kullanılması ile bu oran %0.15 ‘e kadar düşmüştür.
  • 77.
    Otojen Komplikasyonlar a Komplikasyon gelişimine neden olabilecek 5 önemli faktör vardır; • Mikrobiyolojik faktörler • Antimikrobiyal faktörler • Hastanın direnci • Yayılmaya karşı bariyerler • Drenaj ve anatomik yollar
  • 78.
    İntratemporal komplikasyonlar a Orta kulak • Fasial paralizi • Kemikçik lezyonları • Kulak zarı perforasyonu a Mastoid • Petrozit • Mastoidit a İç kulak • Labirentit • Sensörinöral işitme kaybı
  • 79.
    Gradenigo sendromu a 6. krianial sinir paralizisi , a Hasta kulak tarafında trigeminal nevralji • Retroorbital ağrı a Kulak akıntısı olarak bilinir. a Bazen daha ileri dönemlerde fasiyal paralizi de görülebilir. a Bu sendrom bugün seyrek görülüyor.
  • 80.
    Labirentit a Akut toksik labirentitis a Akut supuratif labirentitis a Kronik labirentitis a Labirentin sklerozu
  • 81.
    Ekstratemporal komplikasyonlar a Postaurikular apse (subperiostal) a Bezold apsesi a Zigomatik apse a Parafaringeal ve retrofaringeal apse
  • 83.
  • 84.
    İntrakraniyal komplikasyonlar a Menenjit a Ekstradural abse a Subdural abse a Sigmoid sinüs tromboflebiti a Beyin absesi a Otitik hidrosefali
  • 85.
    Lateral sinüs tromboflebiti a Muayenede pulzasyonlu bol miktarda akıntı saptanır. • Mastoid bölge basınca hasastır. a Mastoid üzerinde postaurikular bölgede ödem mevcutur. • Buna Griesinger belirtisi denir. a Diğer önemli bir bulguda • prosesus mastoideusun önüne, • vena jugularis ınternanın başlangıç bölgesine yapılan basıncın ağrılı olmasıdır.
  • 86.
    Lateral sinüs tromboflebiti a Kueckenstend testi • LP sırasında her iki vena jugularis internaya basınç yapılırsa, BOS basıncı önemli ölçude artar. • Eğer tek taraflı basınç yapılırsa basınçta artma az miktarda olur. a Tobey-Eyer testi • Sağlam tarafta vena jugularis internaya basmak yolu ile BOS basıncında önemli artma sağlanırken, • hasta tarafta basmakla basınçta değişiklik olmaz.
  • 87.
    Otitik Hidrosefali a Menenjit ve beyin apsesinin bulunmadığı • pürülan kulak hastalığı ile birlikte olan • artmış intrakraniyal basınç tablosunun bulunduğu bir durumdur. a AOM den birkaç hafta, KOM dan yıllar sonra başlayan • şiddetli bir BOS hipertansiyonundan ibarettir. a Lateral sinüs enfeksiyonu ile oluşan süperior sagital sinüs trombozisi sebep olarak gösterilmiştir. a Sıvının araknoid villusla absorbsiyonu, • intrakranial basınç artışı veya menenjite olduğu
  • 89.
    Orta kulak a Dış kulak yolundan gelen sinyalleri, kokleaya iletir (TM ve osiküler zincir) a ‘Ses gücü’ nün transformasyonu a Akustik transformer
  • 90.
    Orta Kulak a Ortakulaktaki temel transformer mekanizması: TM alanı / stapes tabanı alanı a TM, gücü tüm alanı boyunca toplar ve bu gücü, stapes tabanına iletir. a basınç = güç / alan, TM alanı:stapes = 20 - ideal şartlarda: ses basıncında 20 kat artış = 26 dB
  • 91.
    Orta Kulak a Diğertransformer mekanizma: kaldıraç etkisi a Osiküllerin rotasyon ekseni etrafında, malleus ve inkusun uzunluk farkı a Rotasyon ekseni: anterior malleal ligamenti incudal ligamente birleştiren hat. a Malleus / inkus : 1.3 = 2 dB
  • 92.
    Orta Kulak a Teorik olarak, orta kulak ses basıncı kazançı yaklaşık 28 dB (26 dB + 2 dB) a Ancak gerçekte, ölçülen kazanç 28 dB’in altındadır. a 1 kHz civarında maksimum kazanç sağlanır (20 dB).
  • 93.
    Yuvarlak Pencere (YP) aYP, kokleanın oval pencereden uzaktaki ucunda, perilenfin koklea içinde ileri-geri hareketine olanak sağlayan gevşek bir açıklık olarak görev yapar. a YP hareketleri: - stapes tabanı hareketine cevap olarak - pasif nitelikte (OP’de 22
  • 94.
    TM perforasyonunun işitmeüzerindeki etkisi a TM yüzey alanının azalması ve orta kulağa giren ses basıncının TM medial yüzeyine çarpması a Yuvarlak pencereye ulaşan ses basıncının artması ve sesin, iki pencereye de aynı şiddette ve zamanda ulaşması
  • 95.
    a Rekürren hastalığıelimine etmek, a Kuru bir orta kulak ve dky sağlamak, a İntakt TM oluşturmak, a İşitmeyi düzeltmek
  • 96.
    Timpanoplasti Tipleri Zollner ve Wullstein, 5 tip timpanoplasti tanımlamıştır: a Tip 1: tüm kemikçikler mobil – osiküler rekonstr. gereksiz a Tip 2: inkus ve stapes intakt a Tip 3: stapes suprastrüktürü intakt a Tip 4: mobil stapes tabanı a Tip 5: hSCC fenestrasyonu yapılır

Editor's Notes

  • #3 Click on arrows ONLY as they appear with the mouse.
  • #93 Cummings> frequency dependent pressure gain 250-500 Hz> 20dB 1 kHz> 25 dB >1 kHz> decrease of 6 dB per octave
  • #96 108-112 The reasons for tympanoplasty are to eliminate recurrent disease, provide a dry ear canal and middle ear space with an intact tympanic membrane, and improve hearing. This includes perforation or hearing loss due to trauma, infection, or prior surgery that persists for more than three months. Inability to safely bathe or participate in water activities because of perforation of the tympanic membrane, with or without hearing loss is also an indication.
  • #97 Zollner and Wullstein provided a classification of tympanoplasty that focused on the type of ossicular chain reconstruction (OCR) needed. The five types of tympanoplasty they described refer to the most lateral intact structure on which the conductive mechanism will be constructed. Type I tympanoplasty indicates all three ossicles to be present and mobile. Thus, OCR is not needed. Type II grafts the tympanic membrane to an intact incus and stapes. A type III exists when an intact mobile stapes superstructure is present and the tympanic membrane or graft remains directly on the stapes superstructure. Type IV describes an absent or eroded superstrucure with the graft or tympanic membrane overlying a mobile stapes footplate. Type V tympanoplasty refers to a fenestration created in the horizontal semicircular canal.