E4B1 SOLUNUM SİSTEMİ PATOLOJİSİ PRATİĞİ Prof. Dr. Ali VERAL Doç. Dr. Deniz NART
LARİNGEAL NODÜL Vokal kord üzerinde parlak, düzgün yüzeyli nodül
LARİNGEAL NODÜL Vokal kord üzerinde parlak, düzgün yüzeyli nodül
LARİNGEAL NODÜL Üzeri normal çok katlı yassı epitelle örtülü, subepitelyal bölgede hyalinizasyon gösteren nodül
LARİNKS KANSERİ Sağ sinüs piriformisi destrükte eden kitle
LARİNKS KANSERİ Supraglottik yerleşimli tümör
LARİNKS KANSERİ (Skuamöz Hücreli Karsinom) Atipik Skuamöz Hücre kümeleri
BRONKOPNÖMONİ Akciğerde bronkosentrik, yama şeklinde konsolidasyon alanları
BRONKOPNÖMONİ Akciğerde bronkosentrik, yama şeklinde konsolidasyon alanları
BRONKOPNÖMONİ Bronşiol lümenini dolduran, çevre parankime taşmış PNL infiltrasyonu
BRONKOPNÖMONİ Alveol lümenini dolduran PNL ve makrofaj infiltrasyonu
LOBER PNÖMONİ Alt lobun tümünde konsolidasyon
LOBER PNÖMONİ Alt lobun tümünde konsolidasyon
LOBER PNÖMONİ Alveolleri tıka basa dolduran PNL infiltrasyonu
LOBER PNÖMONİ Alveolleri tıka basa dolduran PNL infiltrasyonu
AKCİĞER ABSESİ Parankimde çok sayıda kaviter abse oluşumları
AKCİĞER ABSESİ Parankimde geniş doku defekti oluşturan abse
AKCİĞER ABSESİ Alveoler parankimde çevreden keskin sınırla ayrılmış PNL ve hücre debrileri içeren kavitasyon
TÜBERKÜLOZ Primer Kompleks  (Ghon Kompleksi)
TÜBERKÜLOZ Primer Kompleks  (Ghon Kompleksi)
TÜBERKÜLOZ Ortada kazeifikasyon nekrozu, çevresinde epiteloid histiositler ve Langhans tipi dev hücrelerden oluşan  GRANÜLOM
TÜBERKÜLOZ Kazeifikasyon nekrozu Epiteloid histiositler * * * * * * Langhans tipi dev hücre
TÜBERKÜLOZ Kaviter Tüberküloz
TÜBERKÜLOZ Kaviter + Milier Tüberküloz
TÜBERKÜLOZ Milier Tüberküloz (Parankimde çok sayıda, küçük, darı tanesi şeklinde infiltrasyon)
TÜBERKÜLOZ Milier Tüberküloz (Parankimde çok sayıda birbiriyle birleşen granülom yapıları)
AMFİZEM Alveoler parankimde yıkıma bağlı genişleme
AMFİZEM Alveoler parankimde yıkıma bağlı genişleme
SENTRLOBÜLER AMFİZEM Lobüllerin merkezinde alveoler parankimde yıkıma bağlı genişleme
PANASİNER AMFİZEM Asinusun tümünün yıkımına bağlı,  lobüllerde yaygın genişleme
AMFİZEM İnteralveoler septumlardaki yıkıma bağlı geniş hava boşlukları oluşumu
KRONİK BRONŞİT Bronş lümeninde yoğun mukus, subepitelyal follikül oluşturan lenfosit infiltrasyonu
KRONİK BRONŞİT Bronş duvarında subepitelyal follikül oluşturan lenfosit infiltrasyonu, müköz glandlarda hiperplazi
BRONŞEKTAZİ Bronşlarda belirgin genişleme ve çevresinde fibrozis
BRONŞEKTAZİ Genişlemiş bronşlar plevranın hemen altına kadar izleniyor
ASBESTOZİS Alveoler parankimi büyük oranda ortadan kaldıran interstisyel fibrozis.  Asbest cisimciği (küçük resim)
SARKOİDOZ Akciğer parankiminde peribronşioler yerleşimli nonnekrotik granülom
AMPİYEM Akciğeri çepeçevre saran pürülan eksuda
ŞİLOTORAKS Plevral boşlukta sütsü sıvı birikimi
MEZOTELYOMA Akciğeri çepeçevre zırh şeklinde saran, interlober fissürlere de giren tümöral kitle
MEZOTELYOMA (Epitelyal) Düzensiz tübüler ve papiller yapılar oluşturan atipik epitelyal mezotel hücreleri
MEZOTELYOMA (Sarkomatoid) Düzensiz yığınlar ve demetler oluşturan iğsi karakterde atipik hücre topluluğu
PULMONER HİPOPLAZİ Her iki akciğer de beklenenden çok küçük boyutta
BRONKOJENİK KİST Akciğer ile ilişkili düzgün yüzeyli kistik yapı
PULMONER SEKESTRASYON Akciğer ile bağlantısı bulunmayan izole akciğer dokusu
KİSTİK ADENOMATOİD MALFORMASYON Akciğerde çok sayıda küçük kistik yapı, kistler arasındaki parankim normal
KİSTİK ADENOMATOİD MALFORMASYON Akciğerde normal parankime komşu, respiratuar epitel ile döşeli kistik yapılar
HYALEN MEMBRAN HASTALIĞI (Neonatal Atelektazi) Alveoller kapalı, açık olan hava yollarında hyalen membranlar
HYALEN MEMBRAN HASTALIĞI (Neonatal Atelektazi) Alveoller kapalı, açık olan hava yollarında hyalen membranlar
SKUAMÖZ HÜCRELİ KARSİNOM
SKUAMÖZ HÜCRELİ KARSİNOM
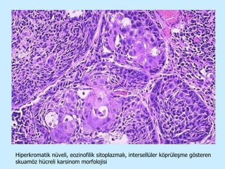
Hiperkromatik nüveli, eozinofilik sitoplazmalı, intersellüler köprüleşme gösteren skuamöz hücreli karsinom morfolojisi
* İntersellüler köprüler, iğsi ve hiperkromatik nüveler. *atipik mitoz
İyi diferansiye skuamöz hücreli karsinomda keratinizasyon
ADENOKARSİNOM-MAKROSKOPİ
Adenokarsinomda asiner patern
Asiner patern oluşturmuş, veziküle nüveli, nükleol belirginliği olan, eozinofilik, yer yer berrak sitoplazmalı adenokarsinom hücreleri
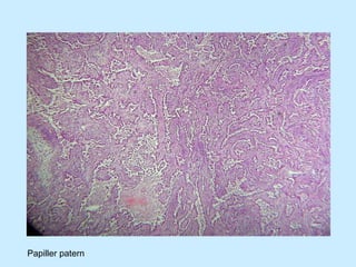
Papiller patern
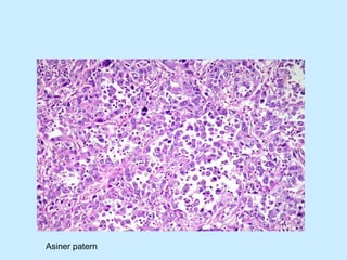
Asiner patern
BRONKOALVEOLER KARSİNOM-MAKROSKOPİ Kitle formasyonu olmaksızın pnömoni benzeri bir infiltrasyon
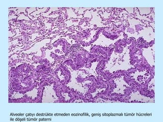
Alveoler çatıyı destrükte etmeden eozinofilik, geniş sitoplazmalı tümör hücreleri ile döşeli tümör paterni
Nontümöral alveoler parankim ile bronkoalveoler karsinom geçişi
KÜÇÜK HÜCRELİ KARSİNOM- MAKROSKOPİ
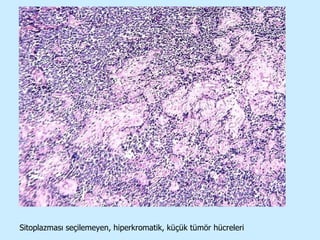
Sitoplazması seçilemeyen, hiperkromatik nüveli, yer yer ezilme artefaktı gösteren* küçük hücreli karsinom hücreleri *
Sitoplazması seçilemeyen, hiperkromatik, küçük tümör hücreleri
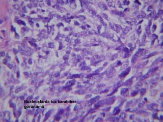
Nukleuslarda tuz karabiber görünümü
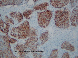
İHK olarak sinaptofizin pozitifliği
BÜYÜK HÜCRELİ KARSİNOM Pleomorfik* tümör hücreleri içeren, solid bir patern gösteren büyük hücreli karsinom
Hemen hemen tümü pleomorfik tümör hücrelerinden oluşmakta (pleomorfik karsinom)
KARSİNOİD TÜMÖR
Üniform, monoton yuvarlak tümör hücreleri ince fibröz septalarla birbirinden ayrılmış, trabeküler patern (Karsinoid tümör)
Karsinoid tümöre daha büyük büyültme ile bakıldığında oklarla görülen palizatlaşma (rozet formasyonu)

E4 b1 pratik[1]