FRACTURES OF ZYGOMA
Dr.Satish Kumar.S
ANATOMY
• Buttress of midfacial skeleton
• Malar eminence, lateral & inferior
portions of orbit
• Strongest attachment with frontal bone
• Muscle attachments – masseter,
Temporalis, zygomaticus M. & m.,
Levator labii superioris
• Zygomaticofacial &
Zygomaticotemporal foramen
Etiology
• RTA 80%
• Assault 20%
• Male:female 4:1
• 2nd – 3rd decade
• Left zygoma fracture MC than right
CLASSIFICATION
• KNIGHT AND NORTH CLASSIFICATION
• Group 1 – No displacement – 6%
• Group 2 – isolated displaced arch fractures – 10%
• Group 3 – Displaced body fractures (unrotated) –
33%
• Group 4 – Medially rotated body fractures – 11%
• Group 5 – Laterally rotated body fractures – 22%
• Group 6 – Additional fractures crossing main
fracture – 18%
Rowe’s and Killey classification (1968)
• Type I: no significant displacement
• Type II : fracture of zygomaticarch
• Type III : rotation arroundhorizontal axis –inward or outward
displacement
• Type IV: rotation around longitudinal axis –medial or lateral
• Type V: displacement of the complex block –medial/inferior/lateral
• Type VI: displacement of orbitoantralpartition
• Type VII: displacement of orbital rim segment
• Type VIII: complex comminuted fracture.
CLINICAL FEATURES – Orbital symptoms
• Periorbital ecchymosis
• Periorbital edema
• Downward slant of palpebral fissure (antimongoloid slant)
• Subconjunctival
ecchymosis
• Diplopia
Facial symptoms
• Asymmetry of the midface
• Depression/flattening of the malar prominence
• Step off or gap deformities of
infraorbital/lateral orbital rim
• Sensory deficit (hypoesthesia, anaesthesia)
in the distribution of the Infra orbital nerve
Oral symptoms
• Ecchymosis of the gingivobuccal maxillary sulcus
• Restriction of mandibular opening or closing
–blockage of coronoid process
•impacted zygomatic arch
•retro displaced zygoma
Nasal symptoms
• Ipsilateral epistaxis
• Ipsilateral hemosinus
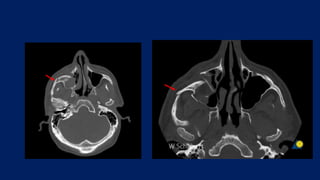
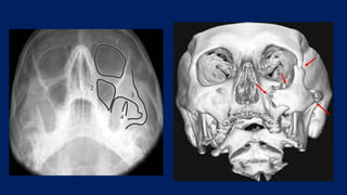
DIAGNOSIS
• History
• Clinical examination
• X-ray
Water’s view - Zygoma buttresses, orbital floor, inf. orbital rim, ZF
suture, ZM buttress
Caldwell view – ZF suture
• CT- Facial bones – gold standard
• 3D CT – normal vs abnormal rim and malar eminence
MANAGEMENT
POINTS TO NOTE
• Presence of fracture
• Displacement
• Degree of comminution
POINTS OF ALIGNMENT
• ZF suture
• Infraorbital rim
• ZM buttress
• Zygomatic arch
• Greater wing of sphenoid
(Lat .wall of orbit)
• Orbital floor
Conservative management
• Non-displaced fractures- 9-50 %
• Minimal degree of displacement
Unlikely to result in -
◦ Cosmetic deformity
◦ Disturbance of vision
◦ Paraesthesia
◦ Mandibular movements impaired
Surgical approaches
Extra-oral approach
–Bicoronal or hemicoronal
–Gillies: Temporal
• Supra orbital approach :
Lateral eyebrow
Upper eyelid
• Infraorbital
Sub tarsal
Sub ciliary/infra ciliary
Transconjunctival
• Percutaneous
Surgical approaches
• Intra-oral approach
Transoral: maxillary vestibular
Endoscopic transantral
Bicoronal or hemicoronal
• Fractures with extreme
posterior displacement of
malar eminence and lateral
displacement of arch
–Entire calvarial vault
–Anterior and lateral skull
base
–Frontal sinus/Ethmoid
–Zygoma
–Zygomatic arch
–Orbit
(lateral/cranial/medial)
–Nasal dorsum
–Temporomandibular
joint (TMJ)
–Condyle and
subcondylar region
Temporal (Gillies) approach
• 2.5 cm superior and anterior to the helix
• within the hairline.
• 2 cm length
• avoid sup. temporal artery.
• Plane - deep to the temporalis fascia
superficial to the temporalis muscle.
• Instrument is advanced until it is medial
to the depressed zygomatic arch.
Gillies approach
Bristow Elevator Rowe elevator
Gillies Lift
Superolateral orbital rim Approaches
Fractures with ZF suture
diastasis
• Lateral eyebrow approach
• Upper eyelid approach
Lateral eyebrow approach
• limited access
• zygomaticofrontal process
• immediate vicinity of suture line
The upper-eyelid or upper blepharoplasty
approach
• Better access to
superolateral orbital rim
Lower eyelid approaches
Fractures with communition of
orbital floor.
A. Subciliary
B. Subtarsal: lower or mid
eyelid
C. Infraorbital: inferior orbital
rim
D. Subciliary approach can be
extended laterally to gain
access to the lateral orbital rim
Lower eyelid approaches
Areas accessible
• lower circumference of
the orbital cavity
Areas accessible by extended subciliary approach
• the entire lateral rim
• with heavy traction even
beyond the level of the
zygomaticofrontal suture
• lateral orbital wall back to
the zygomatico-sphenoid
suture
Transconjunctival approach
A. Transconjunctival
(inferior fornix
transconjunctival using a
retroseptal or preseptal route)
B. Transcaruncular (medial
transconjunctival)
C. Transconjunctival with
lateral skin extension (lateral
canthotomy)
• Transconjunctival incision
the floor of the orbit and
infraorbital rim as well as the
upper edge of the anterior
maxilla(A).
• Transcaruncular incision, the
medial wall of the orbit
behind the posterior lacrimal
crest can be exposed (B).
Dingman approach
• Semi closed approach
• Medially displaced arch fractures
• 2 incisions – lateral brow and lower eyelid incision
• ZF and ZM suture lines exposed
• Elevator through upper incision (closed)
• Orbital floor exploration (open)
Percutaneous: Stacey bone hook
Percutaneous: screw and traction method
Percutaneous: Carroll-Girard screw
Transoral(Keen) approach –lateral maxillary
vestibular incision
• direct access to the zygomatic
arch.
• 2 cm long
• Upper gingival buccal-
mucosal incision
• just at the base of the
zygomaticomaxillary buttress
Transoral arch elevation
Endoscopic assisted repair
• Orbital floor defects
• Visualising zygomatic arch reduction
• - Through maxillary sinus
• - Through intraoral buccal sulcus incision
Indirect reduction methods
1.Gillies temporal approach
2.Transoral: Keen’s approach
3.Percutaneus approach
4.Dingman approach
Fixation methods
• K-wire or pin fixation
• Inter fragmentary wiring
• Plate and screw fixation
K-Wire or Pin fixation
• Rapid & inexpensive
• Alignment not as good as open
method
• Fracture reduced by closed
reduction
• Stabilised with K-wire to
contralateral maxilla or zygoma
• 4 weeks
Plate and Screw Fixation
MANSON APPROACH
Isolated Zygomatic arch fracture
• reduced by closed reduction by Gillies or Keen’s approach
• No need for internal fixation
• Temporalis and masseter muscle and fascia with soft tissue splint the
arch sufficiently to stabilize the fragments
Complications
• Acute exacerbation of sinus disease
• Non union/ Malunion
• Diplopia
• Visual loss
• Globe injury
• Enophthalmos
• Persistent infraorbital nerve numbness
• Plate exposure or screw loosening
Zygoma fractures

Zygoma fractures

  • 1.
  • 2.
    ANATOMY • Buttress ofmidfacial skeleton • Malar eminence, lateral & inferior portions of orbit • Strongest attachment with frontal bone • Muscle attachments – masseter, Temporalis, zygomaticus M. & m., Levator labii superioris • Zygomaticofacial & Zygomaticotemporal foramen
  • 3.
    Etiology • RTA 80% •Assault 20% • Male:female 4:1 • 2nd – 3rd decade • Left zygoma fracture MC than right
  • 4.
    CLASSIFICATION • KNIGHT ANDNORTH CLASSIFICATION • Group 1 – No displacement – 6% • Group 2 – isolated displaced arch fractures – 10% • Group 3 – Displaced body fractures (unrotated) – 33% • Group 4 – Medially rotated body fractures – 11% • Group 5 – Laterally rotated body fractures – 22% • Group 6 – Additional fractures crossing main fracture – 18%
  • 5.
    Rowe’s and Killeyclassification (1968) • Type I: no significant displacement • Type II : fracture of zygomaticarch • Type III : rotation arroundhorizontal axis –inward or outward displacement • Type IV: rotation around longitudinal axis –medial or lateral • Type V: displacement of the complex block –medial/inferior/lateral • Type VI: displacement of orbitoantralpartition • Type VII: displacement of orbital rim segment • Type VIII: complex comminuted fracture.
  • 6.
    CLINICAL FEATURES –Orbital symptoms • Periorbital ecchymosis • Periorbital edema • Downward slant of palpebral fissure (antimongoloid slant) • Subconjunctival ecchymosis • Diplopia
  • 7.
    Facial symptoms • Asymmetryof the midface • Depression/flattening of the malar prominence • Step off or gap deformities of infraorbital/lateral orbital rim • Sensory deficit (hypoesthesia, anaesthesia) in the distribution of the Infra orbital nerve
  • 8.
    Oral symptoms • Ecchymosisof the gingivobuccal maxillary sulcus • Restriction of mandibular opening or closing –blockage of coronoid process •impacted zygomatic arch •retro displaced zygoma
  • 9.
    Nasal symptoms • Ipsilateralepistaxis • Ipsilateral hemosinus
  • 10.
    DIAGNOSIS • History • Clinicalexamination • X-ray Water’s view - Zygoma buttresses, orbital floor, inf. orbital rim, ZF suture, ZM buttress Caldwell view – ZF suture • CT- Facial bones – gold standard • 3D CT – normal vs abnormal rim and malar eminence
  • 13.
    MANAGEMENT POINTS TO NOTE •Presence of fracture • Displacement • Degree of comminution POINTS OF ALIGNMENT • ZF suture • Infraorbital rim • ZM buttress • Zygomatic arch • Greater wing of sphenoid (Lat .wall of orbit) • Orbital floor
  • 14.
    Conservative management • Non-displacedfractures- 9-50 % • Minimal degree of displacement Unlikely to result in - ◦ Cosmetic deformity ◦ Disturbance of vision ◦ Paraesthesia ◦ Mandibular movements impaired
  • 15.
    Surgical approaches Extra-oral approach –Bicoronalor hemicoronal –Gillies: Temporal • Supra orbital approach : Lateral eyebrow Upper eyelid • Infraorbital Sub tarsal Sub ciliary/infra ciliary Transconjunctival • Percutaneous
  • 16.
    Surgical approaches • Intra-oralapproach Transoral: maxillary vestibular Endoscopic transantral
  • 17.
    Bicoronal or hemicoronal •Fractures with extreme posterior displacement of malar eminence and lateral displacement of arch
  • 18.
    –Entire calvarial vault –Anteriorand lateral skull base –Frontal sinus/Ethmoid –Zygoma –Zygomatic arch –Orbit (lateral/cranial/medial) –Nasal dorsum –Temporomandibular joint (TMJ) –Condyle and subcondylar region
  • 19.
    Temporal (Gillies) approach •2.5 cm superior and anterior to the helix • within the hairline. • 2 cm length • avoid sup. temporal artery. • Plane - deep to the temporalis fascia superficial to the temporalis muscle. • Instrument is advanced until it is medial to the depressed zygomatic arch.
  • 20.
  • 21.
  • 22.
  • 23.
    Superolateral orbital rimApproaches Fractures with ZF suture diastasis • Lateral eyebrow approach • Upper eyelid approach
  • 24.
    Lateral eyebrow approach •limited access • zygomaticofrontal process • immediate vicinity of suture line
  • 25.
    The upper-eyelid orupper blepharoplasty approach • Better access to superolateral orbital rim
  • 26.
    Lower eyelid approaches Fractureswith communition of orbital floor. A. Subciliary B. Subtarsal: lower or mid eyelid C. Infraorbital: inferior orbital rim D. Subciliary approach can be extended laterally to gain access to the lateral orbital rim
  • 27.
  • 28.
    Areas accessible • lowercircumference of the orbital cavity
  • 29.
    Areas accessible byextended subciliary approach • the entire lateral rim • with heavy traction even beyond the level of the zygomaticofrontal suture • lateral orbital wall back to the zygomatico-sphenoid suture
  • 30.
    Transconjunctival approach A. Transconjunctival (inferiorfornix transconjunctival using a retroseptal or preseptal route) B. Transcaruncular (medial transconjunctival) C. Transconjunctival with lateral skin extension (lateral canthotomy)
  • 31.
    • Transconjunctival incision thefloor of the orbit and infraorbital rim as well as the upper edge of the anterior maxilla(A). • Transcaruncular incision, the medial wall of the orbit behind the posterior lacrimal crest can be exposed (B).
  • 32.
    Dingman approach • Semiclosed approach • Medially displaced arch fractures • 2 incisions – lateral brow and lower eyelid incision • ZF and ZM suture lines exposed • Elevator through upper incision (closed) • Orbital floor exploration (open)
  • 33.
  • 34.
    Percutaneous: screw andtraction method
  • 35.
  • 36.
    Transoral(Keen) approach –lateralmaxillary vestibular incision • direct access to the zygomatic arch. • 2 cm long • Upper gingival buccal- mucosal incision • just at the base of the zygomaticomaxillary buttress
  • 37.
  • 38.
    Endoscopic assisted repair •Orbital floor defects • Visualising zygomatic arch reduction • - Through maxillary sinus • - Through intraoral buccal sulcus incision
  • 39.
    Indirect reduction methods 1.Gilliestemporal approach 2.Transoral: Keen’s approach 3.Percutaneus approach 4.Dingman approach
  • 40.
    Fixation methods • K-wireor pin fixation • Inter fragmentary wiring • Plate and screw fixation
  • 41.
    K-Wire or Pinfixation • Rapid & inexpensive • Alignment not as good as open method • Fracture reduced by closed reduction • Stabilised with K-wire to contralateral maxilla or zygoma • 4 weeks
  • 42.
  • 43.
  • 44.
    Isolated Zygomatic archfracture • reduced by closed reduction by Gillies or Keen’s approach • No need for internal fixation • Temporalis and masseter muscle and fascia with soft tissue splint the arch sufficiently to stabilize the fragments
  • 45.
    Complications • Acute exacerbationof sinus disease • Non union/ Malunion • Diplopia • Visual loss • Globe injury • Enophthalmos • Persistent infraorbital nerve numbness • Plate exposure or screw loosening