ARDS İLE KARIŞAN 10
HASTALIK
DR. ZÜHAL GÜLLÜ
• İlk kez 1967’de Ashbaugh’ ın solunum yetmezliği olan 12
hastada tanımladığı Akut Respiratuar Distress
Sendromu (ARDS)’ nun karakteristik özellikleri
 Oksijen tedavisine dirençli hipoksemi
 Yaygın radyografik opasiteler
 Diffuz alveoler hasarın (DAH) histolojik varlığı
• 1994 yılında ise Amerika-Avrupa Uzlaşı Konferansı
(AECC) sonucunda ARDS bugün sıklıkla kullandığımız
tanımına kavuşmuş ve ek olarak Akut Akciğer Hasarı
(ALI) tanımı da literature eklenmiştir.
• 2012 yılında ise ARDS için yeniden bir tanımlama yapılmış (Berlin
tanımlaması); buna göre
• ARDS, maruz kalınan risk faktöründen sonraki 1 hafta içerisinde ortaya
çıkan, yeni veya kötüleşen solunumsal semptomları içerir (akut
kavramı).
• Akciğer grafisinde efüzyon, atalektazi veya nodüllerle açıklanamayan
bilateral opasiteler bulunmalıdır.
• Tam olarak kalp yetmezliği veya volüm yükü ile açıklanamayan
solunum yetmezliği bulunmalıdır (eğer ARDS için risk faktörü yok ise
ekokardiyografi ile hidrostatik ödem dışlanmalıdır).
• Oksijenasyon
Hafif…….200 mmHg<PaO2/FiO2≤300 mmHg, PEEP veya CPAP≥5
cmH2O ise
Orta……..100 mmHg<PaO2/FiO2≤200 mmHg, PEEP≥5 cmH2O ise
Ağır……..PaO2/FiO2≤100 mmHg, PEEP≥5 cmH2O ise
BERLİN TANIMI
• ALI kavramını dışlamış onun yerine hafif
ARDS (mild ARDS) sınıflamasını getirmiş.
• Risk faktörlerinin önemini ortaya koymuş
• Sol atrial basınç ölçümlerini kaldırmış.
• Hidrostatik ödemi dışlamak için EKO
önermiş.
• Akut kavramına açıklık getirmiş
• PEEP ve CPAP değeri tanıma girmiştir.
Date of download: 1/19/2015
Copyright © 2015 American Medical
Association. All rights reserved.
From: Acute Respiratory Distress Syndrome: The Berlin Definition
JAMA. 2012;307(23):2526-2533. doi:10.1001/jama.2012.5669
Ayırıcı tanı
• Konjestif kalp yetmezliği, pulmoner ödem
• İdiopatik pulmoner fibrozis (UIP)
• Kriptojenik organize pnömoni (BOOP)
• Nonspesifik interstisyel pnömoni (NSIP)
• Polianjitisli granulomatozis (wegener’s
granulomatozis)
• Diffüz alveoler hemoraji
• Goodpasture sendromu
• Akut hipersensitivite pnömonisi
• Akut eozinofilik pnömoni
• İlaç akciğeri
Ayırıcı tanıda anahtar noktalar
• Zaman
• Beraberinde olan semptom ve bulgular
• Karakteristik radyografik işaretler
• Bronkoalvoler lavaj bulguları
ARDS
• PULMONER NEDENLER(PRİMER)
• NONPULMONER NEDENLER (SEKONDER)
• Hastaların çoğunda sepsis, septik şok
(özellikle gram negatif bakteriler),
aspirasyon, çoklu travma, pankreatit, akut
kan kaybı, yanık, eroin metadon kokain gibi
ilaç over dozu, DİK ağır viral pnömoniler gibi
bir tablo olaya eşlik etmektedir.
• Semptomlar 7 gün içerisinde gelişir.
• Ciddi enfeksiyon, şiddetli travma veya
aspirasyon öyküsü ile beraber dispne
takipne öksürük vardır.
X- ray bulguları
önemli negatif işaretler
• Kardiyomegali olmaz
• Plevral effüzyon olmaz
• Kerley –b çizgileri olmaz
Kerley çizgileri intersitisyel ödem döneminde görülmeye başlar.
Kerley A : Hilustan perifere doğru uzanan genellikle 4-6 cm uzunluğunda lineer opasitelerdir. Periferik ve santral lenfatikler arasındaki
anastomozların distansiyonu ie meydana gelir (Uzun beyaz ok). Daha az görülür ve kerley B ve C olmadan görülmez.
Kerley B : Genellikle <1 cm, daha çok AC bazal bölgelerinde (Özellikle costofrenik bölgeler) plevraya dik horizontal opasitelerdir. İnterlobüler
septalardaki ödem nedeniyle görülür. (Kısa beyaz ok)
Kerley C : Kerley B çizgilerinin en face görünümüdür. Retiküler opposite şeklinde görülür. (Kısa siyah ok)
X-ray bulguları
önemli pozitif işaretler
• Yamalı infiltrasyonların periferal dağılımı
• Hava bronkogramı
X ray bulguları
ilk 24 saat
• Semptomların başlamasından sonraki ilk
12 saat içinde Xray bulgusu olmayabilir.
• İlk 12-24 içinde
• Her iki akciğerde yama tarzında
» Sıklıkla periferik lokalizasyonda
• 24-48 saat içinde
• Birleşme her iki akciğerde masif air space
konsalidasyon
» Hava bronkogramları
• CT’de interstisyel veya alveolar bilateral
buzlu cam dansitesinde veya daha dens
opasiteler görülür.
• 65 yaşında AML tanısı ile kemoterapi alan erkek hasta, ani gelişen
hipoksemi ve solunum yetmezliği ile entübe edilmiş. %100 oksijen
desteği ile PO2 54 mmHg . CT bilateral buzlu cam ve alveoler
opasiteler
Bilateral Streptococcus pnömonisine bağlı gelişen şiddetli ARDS
Şiddetli ARDS’de yüksek PEEP nedeniyle oluşan barotravma
• Kardiyak gölge normal
• Bilateral diffuz infiltrasyonlar
• Plevral effüzyon yok
• The role of chest radiographs in thef
ollowupofacuterespiratorydistresssyndrome(ARDS).a)Theserialevaluationofchestradi
ographsinARDSandrightpneumothorax(blackarrow),b)allowstheearlydetectionofaleftp
neumothorax(whitearrow)andtheincreaseoftheknownrightpneumothorax.
• ARDS’de seri akciğer filmlerinin hızlı değişimi
• Acute exudative phase of ARDS. Low-
magnification photomicrograph showing
alveolar inflammatory infiltration and filling
of air sacs with protein-rich fluid
KONJESTİF KALP YETMEZLİĞİ
PULMONER ÖDEM
KONJESTİF KALP YETMEZLİĞİ
• Semptomların zamanla ilişkisi kalp hastalığının
tipine bağlı olarak saatler içinden aylara kadar
değişken olabilir.
• Periferik ödem, dispne, ortopne ve göğüs ağrısı
vardır.
• İnterstisyel ve alvoler opasiteler genellikle
santral ve eşit ama asimetrikde olabilir plevral
effüzyon genellikle sağdadır kardiyomegali ve
vaskuler konjesyon olur.
• BAL’da akut veya kronik hüzresel inflamasyonla
beraber pembe köpüklü sıvı
İdiopatik pulmoner fibrozis
(usual interstisyel pnömonitis)
• Semptomların başlangıç zamanı
değişkendir ancak genellikle birkaç hafta,
ay ve yıllar içinde olabilir.
• Kuru öksürük, velkro raller, egsersizle
artan dispne, ilerleyen dönemlerde
istirahatde de olur.
• CT’de diffüz interstisyel işaretler, traksiyon
bronşektazileri, balpeteği görünümü,
bazallerde belirgin,
On the left a chest film of a patient with UIP due to IPF.
The findings on the chest film comprise volume loss and fibrotic
changes in the basal lung area.
The radiographic appearance of honeycombing comprises reticular
densities caused by the thick walls of the cysts.
Whenever you see a chest film with long standing reticulation with a
lower lobe and peripheral preference also think 'UIP'.
İdiopathic pulmonary fibrosis
(usual interstitial pneumonitis)
İdiopathic pulmonary fibrosis
(usual interstitial pneumonitis)
İdiopathic pulmonary fibrosis
(usual interstitial pneumonitis)
Kriptojenik organize
pnömoni(BOOP)
• Zaman değişkendir fakat genelliklşe birkaç
ay ile hafta arasında semptomlar başlar.
• Öksürük, ateş, dispne, malasia
• Bilateral sıklıkla periferik, opasiteler, Ct de
diffüz veya yama tarzında buzlu cam
dansiteleri yama tarzında air space
opasiteler ve küçük nodüller bulunur.
• BAL da hücre artışı, lenfosit hakimiyeti,
nötröfil ve eozinofil artışı
NSIP
• Kronik (aylar haftalar)
• Kuru öksürük, dispne, halsizlik, konnektif
doku hastalığı ile birlikte olabilir.
• Yamasal buzlu cam opasiteleri interstisyel
simetrik periferik subplevral
• BAL’da lenfosit hakimiyeti
Polianjitis ile beraber granülamatozis
(Wegener ‘s granülamatozis)
• Değişken zamanlı genellikle hafta ve aylar
• Öksürük, dispne, malasie hemoptizi, sinusit ve
glomerulonefrit bulguları
• BT’de diffüz alveoler ve interstisyel opasiteler, 2-
8 cm çapında multiple noduller, sıklıkla
kavitasyon, air space konsalidasyon, pulmoner
hemoraji varsa diffüz alvoler opasifikasyon
• BAL’ da hastalığın aktivitesine ve tedvaiye göre
değişken nötrofil, eozinofil ve lenfosit hakimiyeti
• Serum artmış IgG /albumin oranı
DİFFÜZ ALVEOLER
HEMORAJİ
• Birkaç hafta ve gün
• Öksürük, hemoptizi, dispne
• Wegener, SLE, Kİ transp, sitotoksik ajan
maruziyeti
• BT’ de diffüz alvoler infiltrasyon, genellikle
bilateral, asimetrik olabilir nodül ve kavitelerle
beraber olabilir
• BAL’ da kanlı lavaj
GOODPASTURE’S
SENDROMU
• Sub akut günler haftalar
• Öksürük, hemoptizi, hipoksemi, ABY bulguları ve
kliniği
• BT’ de bilateral baskın olarak alveoler opasiteler
• BAL’ da kanlı lavaj sıvısı
Goodpasture’s syndrome
Bilateral predominantly opacifications, ground glass on CT
AKUT HİPERSENSİVİTE
PNÖMONİTİSİ
• Antijene maruziyetden sonra birkaç saat içinde
• Öksürük, dispne, halsizlik
• BT’de diffüz interstisyel opasiteler, buzlu cam
• BAL’da lenfosit artışı
Akut eosinofilik pnömoni
• 10 günden az
• Öksürük , dispne, göğüs ağrısı raller ve hipoksemi
• Diffüz interstisyel opasiteler, ileri safhada alveoler
opasitede olur. Plevral effüzyon, buzlu cam
dansitesi
• BAL’da eosinofili
İLAÇ AKCİĞERİ
• Zaman değişkendir, genellikle birkaç ay
• Öksürük, dispne, hipoksemi
• Amiadoron, bleomysin vb
• BT’ de çoğunlukla interstisyel veya
alveoler opasiteler
• BAL değişkendir amiadoron toksisitesinde
alveoler proteinozis olabilir,akut kronink
inflamasyon
amiodorone
amiodore
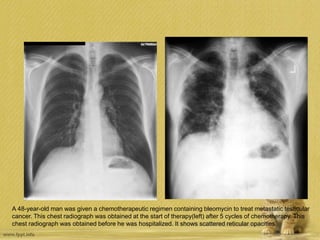
A 48-year-old man was given a chemotherapeutic regimen containing bleomycin to treat metastatic testicular
cancer. This chest radiograph was obtained at the start of therapy(left) after 5 cycles of chemotherapy. This
chest radiograph was obtained before he was hospitalized. It shows scattered reticular opacities.
• Typicalcomputedtomographyfeaturesofacu
terespiratorydistresssyndromeshowing:no
n-homogeneousdistribution,aventro-
dorsalgradientofdensity,moredenseconsoli
dationinthedependentregions,widespreadg
round-
glassopacitiesassociatedwiththickeningofin
terlobularsepta(crazypaving),andpleuraleff
usion.
ARDS
ARDS

ARDS

  • 1.
    ARDS İLE KARIŞAN10 HASTALIK DR. ZÜHAL GÜLLÜ
  • 2.
    • İlk kez1967’de Ashbaugh’ ın solunum yetmezliği olan 12 hastada tanımladığı Akut Respiratuar Distress Sendromu (ARDS)’ nun karakteristik özellikleri  Oksijen tedavisine dirençli hipoksemi  Yaygın radyografik opasiteler  Diffuz alveoler hasarın (DAH) histolojik varlığı • 1994 yılında ise Amerika-Avrupa Uzlaşı Konferansı (AECC) sonucunda ARDS bugün sıklıkla kullandığımız tanımına kavuşmuş ve ek olarak Akut Akciğer Hasarı (ALI) tanımı da literature eklenmiştir.
  • 3.
    • 2012 yılındaise ARDS için yeniden bir tanımlama yapılmış (Berlin tanımlaması); buna göre • ARDS, maruz kalınan risk faktöründen sonraki 1 hafta içerisinde ortaya çıkan, yeni veya kötüleşen solunumsal semptomları içerir (akut kavramı). • Akciğer grafisinde efüzyon, atalektazi veya nodüllerle açıklanamayan bilateral opasiteler bulunmalıdır. • Tam olarak kalp yetmezliği veya volüm yükü ile açıklanamayan solunum yetmezliği bulunmalıdır (eğer ARDS için risk faktörü yok ise ekokardiyografi ile hidrostatik ödem dışlanmalıdır). • Oksijenasyon Hafif…….200 mmHg<PaO2/FiO2≤300 mmHg, PEEP veya CPAP≥5 cmH2O ise Orta……..100 mmHg<PaO2/FiO2≤200 mmHg, PEEP≥5 cmH2O ise Ağır……..PaO2/FiO2≤100 mmHg, PEEP≥5 cmH2O ise
  • 4.
    BERLİN TANIMI • ALIkavramını dışlamış onun yerine hafif ARDS (mild ARDS) sınıflamasını getirmiş. • Risk faktörlerinin önemini ortaya koymuş • Sol atrial basınç ölçümlerini kaldırmış. • Hidrostatik ödemi dışlamak için EKO önermiş. • Akut kavramına açıklık getirmiş • PEEP ve CPAP değeri tanıma girmiştir.
  • 5.
    Date of download:1/19/2015 Copyright © 2015 American Medical Association. All rights reserved. From: Acute Respiratory Distress Syndrome: The Berlin Definition JAMA. 2012;307(23):2526-2533. doi:10.1001/jama.2012.5669
  • 6.
    Ayırıcı tanı • Konjestifkalp yetmezliği, pulmoner ödem • İdiopatik pulmoner fibrozis (UIP) • Kriptojenik organize pnömoni (BOOP) • Nonspesifik interstisyel pnömoni (NSIP) • Polianjitisli granulomatozis (wegener’s granulomatozis) • Diffüz alveoler hemoraji • Goodpasture sendromu • Akut hipersensitivite pnömonisi • Akut eozinofilik pnömoni • İlaç akciğeri
  • 7.
    Ayırıcı tanıda anahtarnoktalar • Zaman • Beraberinde olan semptom ve bulgular • Karakteristik radyografik işaretler • Bronkoalvoler lavaj bulguları
  • 8.
    ARDS • PULMONER NEDENLER(PRİMER) •NONPULMONER NEDENLER (SEKONDER)
  • 9.
    • Hastaların çoğundasepsis, septik şok (özellikle gram negatif bakteriler), aspirasyon, çoklu travma, pankreatit, akut kan kaybı, yanık, eroin metadon kokain gibi ilaç over dozu, DİK ağır viral pnömoniler gibi bir tablo olaya eşlik etmektedir. • Semptomlar 7 gün içerisinde gelişir. • Ciddi enfeksiyon, şiddetli travma veya aspirasyon öyküsü ile beraber dispne takipne öksürük vardır.
  • 10.
    X- ray bulguları önemlinegatif işaretler • Kardiyomegali olmaz • Plevral effüzyon olmaz • Kerley –b çizgileri olmaz
  • 11.
    Kerley çizgileri intersitisyelödem döneminde görülmeye başlar. Kerley A : Hilustan perifere doğru uzanan genellikle 4-6 cm uzunluğunda lineer opasitelerdir. Periferik ve santral lenfatikler arasındaki anastomozların distansiyonu ie meydana gelir (Uzun beyaz ok). Daha az görülür ve kerley B ve C olmadan görülmez. Kerley B : Genellikle <1 cm, daha çok AC bazal bölgelerinde (Özellikle costofrenik bölgeler) plevraya dik horizontal opasitelerdir. İnterlobüler septalardaki ödem nedeniyle görülür. (Kısa beyaz ok) Kerley C : Kerley B çizgilerinin en face görünümüdür. Retiküler opposite şeklinde görülür. (Kısa siyah ok)
  • 12.
    X-ray bulguları önemli pozitifişaretler • Yamalı infiltrasyonların periferal dağılımı • Hava bronkogramı
  • 13.
    X ray bulguları ilk24 saat • Semptomların başlamasından sonraki ilk 12 saat içinde Xray bulgusu olmayabilir. • İlk 12-24 içinde • Her iki akciğerde yama tarzında » Sıklıkla periferik lokalizasyonda • 24-48 saat içinde • Birleşme her iki akciğerde masif air space konsalidasyon » Hava bronkogramları
  • 15.
    • CT’de interstisyelveya alveolar bilateral buzlu cam dansitesinde veya daha dens opasiteler görülür.
  • 16.
    • 65 yaşındaAML tanısı ile kemoterapi alan erkek hasta, ani gelişen hipoksemi ve solunum yetmezliği ile entübe edilmiş. %100 oksijen desteği ile PO2 54 mmHg . CT bilateral buzlu cam ve alveoler opasiteler
  • 17.
    Bilateral Streptococcus pnömonisinebağlı gelişen şiddetli ARDS
  • 18.
    Şiddetli ARDS’de yüksekPEEP nedeniyle oluşan barotravma
  • 19.
    • Kardiyak gölgenormal • Bilateral diffuz infiltrasyonlar • Plevral effüzyon yok
  • 21.
    • The roleof chest radiographs in thef ollowupofacuterespiratorydistresssyndrome(ARDS).a)Theserialevaluationofchestradi ographsinARDSandrightpneumothorax(blackarrow),b)allowstheearlydetectionofaleftp neumothorax(whitearrow)andtheincreaseoftheknownrightpneumothorax.
  • 22.
    • ARDS’de seriakciğer filmlerinin hızlı değişimi
  • 23.
    • Acute exudativephase of ARDS. Low- magnification photomicrograph showing alveolar inflammatory infiltration and filling of air sacs with protein-rich fluid
  • 25.
  • 26.
    KONJESTİF KALP YETMEZLİĞİ •Semptomların zamanla ilişkisi kalp hastalığının tipine bağlı olarak saatler içinden aylara kadar değişken olabilir. • Periferik ödem, dispne, ortopne ve göğüs ağrısı vardır. • İnterstisyel ve alvoler opasiteler genellikle santral ve eşit ama asimetrikde olabilir plevral effüzyon genellikle sağdadır kardiyomegali ve vaskuler konjesyon olur. • BAL’da akut veya kronik hüzresel inflamasyonla beraber pembe köpüklü sıvı
  • 30.
    İdiopatik pulmoner fibrozis (usualinterstisyel pnömonitis) • Semptomların başlangıç zamanı değişkendir ancak genellikle birkaç hafta, ay ve yıllar içinde olabilir. • Kuru öksürük, velkro raller, egsersizle artan dispne, ilerleyen dönemlerde istirahatde de olur. • CT’de diffüz interstisyel işaretler, traksiyon bronşektazileri, balpeteği görünümü, bazallerde belirgin,
  • 32.
    On the lefta chest film of a patient with UIP due to IPF. The findings on the chest film comprise volume loss and fibrotic changes in the basal lung area. The radiographic appearance of honeycombing comprises reticular densities caused by the thick walls of the cysts. Whenever you see a chest film with long standing reticulation with a lower lobe and peripheral preference also think 'UIP'.
  • 33.
    İdiopathic pulmonary fibrosis (usualinterstitial pneumonitis)
  • 34.
    İdiopathic pulmonary fibrosis (usualinterstitial pneumonitis)
  • 35.
    İdiopathic pulmonary fibrosis (usualinterstitial pneumonitis)
  • 36.
    Kriptojenik organize pnömoni(BOOP) • Zamandeğişkendir fakat genelliklşe birkaç ay ile hafta arasında semptomlar başlar. • Öksürük, ateş, dispne, malasia • Bilateral sıklıkla periferik, opasiteler, Ct de diffüz veya yama tarzında buzlu cam dansiteleri yama tarzında air space opasiteler ve küçük nodüller bulunur. • BAL da hücre artışı, lenfosit hakimiyeti, nötröfil ve eozinofil artışı
  • 37.
    NSIP • Kronik (aylarhaftalar) • Kuru öksürük, dispne, halsizlik, konnektif doku hastalığı ile birlikte olabilir. • Yamasal buzlu cam opasiteleri interstisyel simetrik periferik subplevral • BAL’da lenfosit hakimiyeti
  • 38.
    Polianjitis ile berabergranülamatozis (Wegener ‘s granülamatozis) • Değişken zamanlı genellikle hafta ve aylar • Öksürük, dispne, malasie hemoptizi, sinusit ve glomerulonefrit bulguları • BT’de diffüz alveoler ve interstisyel opasiteler, 2- 8 cm çapında multiple noduller, sıklıkla kavitasyon, air space konsalidasyon, pulmoner hemoraji varsa diffüz alvoler opasifikasyon • BAL’ da hastalığın aktivitesine ve tedvaiye göre değişken nötrofil, eozinofil ve lenfosit hakimiyeti • Serum artmış IgG /albumin oranı
  • 39.
    DİFFÜZ ALVEOLER HEMORAJİ • Birkaçhafta ve gün • Öksürük, hemoptizi, dispne • Wegener, SLE, Kİ transp, sitotoksik ajan maruziyeti • BT’ de diffüz alvoler infiltrasyon, genellikle bilateral, asimetrik olabilir nodül ve kavitelerle beraber olabilir • BAL’ da kanlı lavaj
  • 40.
    GOODPASTURE’S SENDROMU • Sub akutgünler haftalar • Öksürük, hemoptizi, hipoksemi, ABY bulguları ve kliniği • BT’ de bilateral baskın olarak alveoler opasiteler • BAL’ da kanlı lavaj sıvısı
  • 41.
    Goodpasture’s syndrome Bilateral predominantlyopacifications, ground glass on CT
  • 42.
    AKUT HİPERSENSİVİTE PNÖMONİTİSİ • Antijenemaruziyetden sonra birkaç saat içinde • Öksürük, dispne, halsizlik • BT’de diffüz interstisyel opasiteler, buzlu cam • BAL’da lenfosit artışı
  • 45.
    Akut eosinofilik pnömoni •10 günden az • Öksürük , dispne, göğüs ağrısı raller ve hipoksemi • Diffüz interstisyel opasiteler, ileri safhada alveoler opasitede olur. Plevral effüzyon, buzlu cam dansitesi • BAL’da eosinofili
  • 48.
    İLAÇ AKCİĞERİ • Zamandeğişkendir, genellikle birkaç ay • Öksürük, dispne, hipoksemi • Amiadoron, bleomysin vb • BT’ de çoğunlukla interstisyel veya alveoler opasiteler • BAL değişkendir amiadoron toksisitesinde alveoler proteinozis olabilir,akut kronink inflamasyon
  • 49.
  • 50.
  • 51.
    A 48-year-old manwas given a chemotherapeutic regimen containing bleomycin to treat metastatic testicular cancer. This chest radiograph was obtained at the start of therapy(left) after 5 cycles of chemotherapy. This chest radiograph was obtained before he was hospitalized. It shows scattered reticular opacities.
  • 52.