AKCĠĞER ENFEKSĠYONLARI

               DR ÖZLEM CANÖZ
                   PATOLOJĠ AD
   Pulmoner savunma mekanizmaları
       Öksürük refleksinin süpresyonu
       Mukosilier aparatın zedelenmesi
       Alveoler makrofajların görev yapamaması
       Pulmoner konjesyon ve ödem
       Sekresyon birikmesi
Pnömoni sendromları
   Topluluk içinde edinilen akut pnömoni

   Topluluk içinde edinilen atipik pnömoni

   Nozokomiyal pnömoni
   Aspirasyon pnömonisi


   Kronik pnömoni

   Nekrotizan pnömoni ve akciğer apsesi

   İmmün sistemi bozulmuş konakta pnömoni
Pnömoni sendromları
   Toplum içinde edinilen akut pnömoni (S. pnömonia, H.
    influenzea, M. Catarrhalis, S.aureus, L.pneumophila, K.pneumoniae,
    pseodomonas)
   Toplum içinde edinilen atipik pnömoni (M.pneumoniae,
    Chlamidia türleri, Coxiella burnetti, virüsler:RSV, parainfluenza,
    influenza, adenovirüs, SARS)
   Nozokomiyal pnömoni (K.pneumoniae, pseodomonas,
    S.aureus)
   Aspirasyon pnömonisi (Aerobik bakteriler: S. Pnömonia,
    S.aureus, H. influenzea, pseodomonas ile Anaerobik oral flora:
    Bacteroides, prevotella, Fusobacterium, Peptostreptokok)
   Kronik pnömoni (Nocardia, Actinomyces, granülomatöz: tbc, atipik
    mikobakteri, H.capsulatum, C.immitis, B.dermatitis)
   Nekrotizan pnömoni ve akciğer apsesi (anaerobik
    bakteriler, S.aureus, K.pneumonia, S.pyogenes ve tip3 pnömokok)
   İmmün sistemi bozulmuş konakta pnömoni (CMV,
    P.carinii, MAI, invaziv asperjillozis, invaziv kandidiasis)
Toplum içinde edinilen akut pnömoni
   Bakteriyel enfeksiyon çoğunlukla viral üsye sonrası
   S. Pnömonia (pnömokok) en sık etken
   KOAH akut alenlenmesinde en sık H. influenzea,
    ikinci sıklıkta M. Catarrhalis
   S.aureus viral üsye sonrası sekonder pnömonide
    önemli bir etken, iv ilaç kullananlarda yüksek risk
   K.pneumoniae kr alkolikleri etkiler
   Pseudomonas kistik fibrozislilerde
   L.pneumophila, organ transplant alıcıları,
    kardiak, renal, immünolojik, hematolojik hastalığı
    olanlar hassas
Toplum içinde edinilen akut pnömoni
morfoloji
   Bronkopnömoni: yama tarzında konsolidasyon
   Lober pnömoni: bir lobun tamamının tutulumu
       Konjesyon
       Kırmızı hepatizasyon
       Gri hepatizasyon
       Rezolüsyon
   *Klinik açıdan önemli olan etkenin belirlenmesi ve
    hastalığın yayılımının belirlenmesidir
LOBER PNÖMONĠ
BRONKO
PNÖMONĠ
   Pnömoni komplikasyonları:
       Abse
       Ampiyem
       Eksuda organizasyonu
       Bakteremik disseminasyon (endokardit, menenjit, artrit)
Toplum içinde edinilen atipik pnömoni

   ATĠPĠK: Orta derecede balgam, konsolidasyonun FM
    bulgularının yokluğu, Bkde hafif artıĢ, alvoler eksuda
    yok
   M.pneumoniae
   Çocuklar ve genç eriĢkinler
   Kapalı mekanlarda lokal epidemiler
   Patogenez; mo üsy epiteline tutunur, hücre nekrozu
    ve inf yanıt, alveollere uzanırsa interstisyel
    inflamasyon, respiratuvar epitelde hasar ve dökülme
    mukosiliyer aktiviteyi inhibe ederek bakteriyel enf a
    zemin yaratır
Toplum içinde edinilen atipik pnömoni
morfoloji
   Ġnflamasyon alveol duvarlarında, içlerinde eksuda
    yok
   Proteinöz materyal ve hyalin membranlar olabilir
   H.simples, adeno ve varisellada bronĢial ve alveoler
    epitel nekrozu olabilir
   Plevra düzgün
Akciğer Absesi
   Akciğer dokusunun nekrozu ile karakterize, ac içinde
    lokal süpüratif bir süreç
   GeliĢiminde orofaringeal cerrahi giriĢimler,
    sinobronĢial infeksiyonlar, dental sepsis, bronĢiektazi
    önemli rol oynar
   Mekanizmaları:
       Enfekte materyalin aspirasyonu (sağda daha sık)
       Önceden bulunan primer bakteriyel enfeksiyon (multiple,
        bazal)
       Septik emboli (düzensi, rastgele)
       Neoplaziler
       Travma, komĢu organ enf. vs
Kronik pnömoni
   Büyük sıklıkla immün yetmezliği olan hastalarda
    bölgesel lenf nodu tutulumu ile birlikte görülen
    lokalize lezyon
   Bakteri veya funguslara bağlı oluĢan granülomatöz
    enfeksiyon
   Histoplazmozis, Blastomikozis ve Koksidiomikozis
       Ac’in tbc’a benzer granülomatöz enf
       Termal olarak dimorfik funguslar
       Coğrafi dağılım
İmmün sistemi bozulmuş konakta
pulmoner infiltrasyon
   Diffüz infiltrat         Fokal infiltrat
   Yaygın                   Yaygın
       CMV                      Gram- çomaklar
       P.carinii                S.aureus
       Ġlaç reaksiyonu          Aspergillus
   Nadir                        Kandida
       Bakteriler               Malignite
       Aspergillus          Nadir
       Kriptokok                Kriptokok
       Malignite                Mucor
                                 P.carinii
                                 Lejyonella
Akciğer kanamaları
   AKCĠĞERDE KANAMA BAZI ĠNTERSTĠSYEL AC
    HASTALIKLARININ DRAMATĠK BĠR
    KOMPLĠKASYONUDUR
   PULMONER HEMORAJĠ SENDROMLARI
       GOOD-PASTURE SENDROMU
       ĠDĠOPATĠK PULMONER HEMOSĠDEROZĠS
       VASKÜLĠT ĠLĠġKLĠ
GOOD-PASTURE SENDOMU
   Kollajen tip IV’ün α3 zincirinin kollajenize olmayan
    kısmına karĢı geliĢtirilmiĢ dolaĢan antikorlar
   Börek glomerülleri ve ac bazal membranlarda
    inflamatuar yıkım
   Hızlı ilerleyen GN ve nekrotizan hemorajik
    interstisyel pnömoni
   1-2. dekadda
patogenez
   Bmda antikor aracılı zedelenme
   HLA-DRB1*1501 ve*1502
   Tetikleyen neden ?
       Viral enf
       Hidrokarbon solventleri ile temas
       Sigara
morfoloji
   Ac ağırlaĢır
   Kırmızı-kahverengi konsolidasyon
   Histolojik olarak
       Ġntraalveoler kanama
       Fokla alveolar duvar nekrozu
       Alveollerde hemosiderin yüklü makrofajlar
       Ġleri dönemlerde septumlarda fibröz kalınlaĢma, tip II
        pnömosit hipertrofisi
       Alveoler boĢluklardaki kanın organizasyonu
       Ġmmünfloresanda septal duvarların bazal membranları
        boyunca lineer Ig birikimi
ĠDĠOPATĠK PULMONER HEMOSĠDEROZĠS
   Aralıklı, diffüz alveoler hemoraji,ani baĢlayan
    produktiif öksürük, hemoptizi, anemi
   Goodpasture sendromuna benzeyen diffüz pulmoner
    infiltrasyon
   Kilo kaybı
   Çoğu olgu çocuklarda
morfoloji
   Ac lerin ağırlığı orta derecede artmıĢ
   Kırmızı-kahverengi konsolidasyon
   Alveoler boĢluklara kanama
   Septumlarda ve alveollerde hemosiderin yüklü
    makrofajlar
   Tip II pnömosit hiperplazisi
   DeğiĢen derecelerde interstisyel fibrozis,vaskülit,
    kapillerit veya inflamasyon yoktur
   Nedeni bilinmemektedir
   Ġmmünsüpresif tedaviye iyi yanıt immünolojik bir
    mekanizmaya iĢaret eder
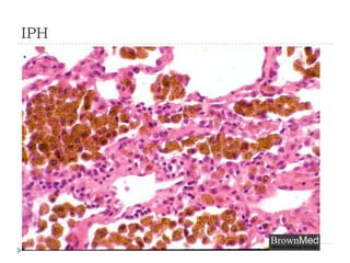
IPH
Prusya mavisi
AKCĠĞERĠN DAMARSAL KÖKENLĠ
              HASTALIKLARI
PULMONER EMBOLĠZM, HEMORAJĠ VE
ĠNFARKT
   Büyük pulmoner arterleri tıkayan kan pıhtıları hemen
    daima embolik orjinli
   %95’i derin bacak venlerindeki trombüslerden
   Pulmoner emboli her yıl ABD’de 50.000 den fazla
    ölüme neden olur
   Bir komplikasyondur (kardiak has, kanser, hareket
    sınırlaması, primer veya sekonder hiperkoagulabilite)
morfoloji
   Büyük emboliler ana pulmoner arter veya dallarına
    yerleĢebilir, bu durumda ani ölüm geliĢebilir, akut sağ
    kalp yetmezliği (akut cor pulmonare) de ölüm
    nedenidi
   Küçük dallardaki emboli infarktüs ile sonuçlanır
   Embolusların %10’unda infark oluĢur
   Çoğunlukla alt loblar, yarıdan fazla vakada multiple
   Boyutları değiĢken
   Apeksi akciğer hilusunu gösteren tabanı ac
    periferine yerleĢen kama Ģeklinde
morfoloji
   Erken dönemde hemorajik, kabarık kırmızı-mavi bir
    alan
   48 saat sonra soluklaĢır, hemosiderinin oluĢması ile
    kırmızı- kahverengi
   Zamanla fbröz doku periferden itibaren geliĢerek
    skarla iyileĢir
   Histolojik olarak akut pulmoner infarkt:
       Kanama alanı
       Alveol duvarları, bronĢiolleri ve damarları da içeren
        iskemik nekroz
       Ġnfark enfekte bir embolus ile oluĢmuĢsa: septik infarkt
   Pulmoner embolinin tıkanma oluĢturmayan, seyrek
    ama potansiyel olarak öldürücü formları:
       HAVA
       KEMĠK ĠLĠĞĠ
       YAĞ
       AMNĠOTĠK SIVI
       YABANCI CĠSĠMLER
PULMONER HĠPERTANSĠYON
   Pulmoner dolaĢım normalde düĢük basınçlı (1/8)
   Nadiren primer (idiopatik)
       %6 o.dominant ailevi (BMPR2 sinyal yolağında
        mutasyonlar)
   Pulmoner ht; pulmoner kan akımı veya basıncını,
    pulmoner vasküler direnci veya kan akımına karĢı
    sol kalp direncini artıran yapısal kardiopulmoner
    durumlara sekonderdir
       Kr obstrüktif veya interstisyel ac hastalıkları
       Konj veya edinsel kalp hastalığı
       Tekrarlayan tromboemboli
       Otoimmün hastalıklar
morfoloji
   DeğiĢik vasküler lezyonlar
   Çok sayıda organize veya rekanalize trombüs:
    tekrarlayan tromboembli
   Diffüz pulmoner fibrozis, amfizem, kr bronĢit: hipoksi
   En ağır olgularda pulmoner arter ve ana dallarında
    sistemik ateroskleroza benzeyen ateromatöz
    birikimler
   Arterioller ve küçük arterler en sık etkilenir
   Medial hipertrofi, intimal fibrozis (en çok primer
    formda)
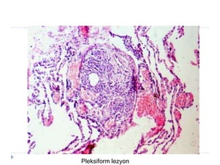
   Pleksojenik pulmoner arteriopati: kapiller bir yumak
   Ac biyopsisi derecelendirme için bazan uygulanır
Pleksiform lezyon
AKUT AKCĠĞER ZEDELENMESĠ
   Hassasiyette kalıtımsal faktörler etkili
   Mediatörler (TNF, IL1, IL6, IL10, OKSĠDANLAR,
    TGFβ)
   KONJESYON, ÖDEM, SURFAKTAN BOZUKLUĞU,
    ATELEKTAZĠ ġEKLĠNDE KENDĠNĠ GÖSTEREBĠLĠR
   BUNLAR AKUT SOLUNUM SIKINTISI SENDROMU
    (ARDS) VEYA AKUT ĠNTERSTĠSYEL PNÖMONĠYE
    ĠLERLEYEBĠLĠR
AKUT RESPĠRATUVAR DĠSTRES
SENDROMU (ARDS) (diffüz alveoler hasar)
   ġok akciğeri, akut ac zedelenmesi
   Hızlı baĢlangıç, hayatı tehdit eden solunum
    yetmezliği, siyanoz, O2 tedavisine dirençli arteriyel
    hipoksemi
   Ac dıĢı multisistem organ yetmezliğine ilerleyebilir
   Göğüs filminde diffüz alveoler infiltrasyon
   Histolojik olarak diffüz alveoler hasar
ARDS gelişimi ile ilgili durumlar
   ENFEKSİYON                              KİMYASAL
       Sepsis*                                     Eroin, metadon doz aĢımı
       Pulmoner enf,*                              ASA
       Viral mikoplazmave pnömosistis              Barbitürat doz aĢımı
        pnömonisi, milier tbc                       Paraquat
       Gastrik aspirasyon*                 HEMATOLOJİK
   FİZİKSEL                                    Çok sayıda transfüzyon
       Mekanik travmalar*                      DIK
       Pulmoner kontüzyon                  PANKREATİT
       Boğulma                             ÜREMİ
       Kırıklar                            Kardiopulmoner bypas
       Yanıklar                            Aşırı duyarlılık reaks.
       radyasyon
   İRRİTANMADDELER
       Oksiyen
       Gazlar
       Duman
morfoloji
   Akut evrede akciğer ağır, sert, kırmızı ve çamurumsu
   Konjesyon, interstisyel ve intraalveoler ödem,
    inflamasyon fibrin birikimi
   Hyalin membranlar
   Organizasyon evresinde tipII hücrelerde
    proliferasyon
   Rezolüsyon nadir
   Ġntraalveoler fibrozis ile sonuçlanan fibrin
    organizasyonu sık
   Ölümcül olgulara bronkopnömoni süperimpoze
BĠLGĠYĠ DOĞRU YERDE VE
ZAMANDA
KULLANABĠLMENĠZ
DĠLEĞĠYLE
AKUT ĠNTERSTĠSYEL PNÖMONĠ
   Hızlı ilerleyen klinik seyir
   Etyoloji bilinmez
   50 yaĢ
   <3 hf solunum yolu enf andıran tablonun ardından
    solunum yetmezliği
   Radyolojik ve patolojik bulguları ARDS iel aynı
   Ölüm oranı %50

akciger enfeksiyonları (fazlası için www.tipfakultesi.org )

  • 1.
    AKCĠĞER ENFEKSĠYONLARI DR ÖZLEM CANÖZ PATOLOJĠ AD
  • 2.
    Pulmoner savunma mekanizmaları  Öksürük refleksinin süpresyonu  Mukosilier aparatın zedelenmesi  Alveoler makrofajların görev yapamaması  Pulmoner konjesyon ve ödem  Sekresyon birikmesi
  • 3.
    Pnömoni sendromları  Topluluk içinde edinilen akut pnömoni  Topluluk içinde edinilen atipik pnömoni  Nozokomiyal pnömoni  Aspirasyon pnömonisi  Kronik pnömoni  Nekrotizan pnömoni ve akciğer apsesi  İmmün sistemi bozulmuş konakta pnömoni
  • 4.
    Pnömoni sendromları  Toplum içinde edinilen akut pnömoni (S. pnömonia, H. influenzea, M. Catarrhalis, S.aureus, L.pneumophila, K.pneumoniae, pseodomonas)  Toplum içinde edinilen atipik pnömoni (M.pneumoniae, Chlamidia türleri, Coxiella burnetti, virüsler:RSV, parainfluenza, influenza, adenovirüs, SARS)  Nozokomiyal pnömoni (K.pneumoniae, pseodomonas, S.aureus)  Aspirasyon pnömonisi (Aerobik bakteriler: S. Pnömonia, S.aureus, H. influenzea, pseodomonas ile Anaerobik oral flora: Bacteroides, prevotella, Fusobacterium, Peptostreptokok)  Kronik pnömoni (Nocardia, Actinomyces, granülomatöz: tbc, atipik mikobakteri, H.capsulatum, C.immitis, B.dermatitis)  Nekrotizan pnömoni ve akciğer apsesi (anaerobik bakteriler, S.aureus, K.pneumonia, S.pyogenes ve tip3 pnömokok)  İmmün sistemi bozulmuş konakta pnömoni (CMV, P.carinii, MAI, invaziv asperjillozis, invaziv kandidiasis)
  • 5.
    Toplum içinde edinilenakut pnömoni  Bakteriyel enfeksiyon çoğunlukla viral üsye sonrası  S. Pnömonia (pnömokok) en sık etken  KOAH akut alenlenmesinde en sık H. influenzea, ikinci sıklıkta M. Catarrhalis  S.aureus viral üsye sonrası sekonder pnömonide önemli bir etken, iv ilaç kullananlarda yüksek risk  K.pneumoniae kr alkolikleri etkiler  Pseudomonas kistik fibrozislilerde  L.pneumophila, organ transplant alıcıları, kardiak, renal, immünolojik, hematolojik hastalığı olanlar hassas
  • 6.
    Toplum içinde edinilenakut pnömoni morfoloji  Bronkopnömoni: yama tarzında konsolidasyon  Lober pnömoni: bir lobun tamamının tutulumu  Konjesyon  Kırmızı hepatizasyon  Gri hepatizasyon  Rezolüsyon  *Klinik açıdan önemli olan etkenin belirlenmesi ve hastalığın yayılımının belirlenmesidir
  • 7.
  • 8.
  • 13.
    Pnömoni komplikasyonları:  Abse  Ampiyem  Eksuda organizasyonu  Bakteremik disseminasyon (endokardit, menenjit, artrit)
  • 14.
    Toplum içinde edinilenatipik pnömoni  ATĠPĠK: Orta derecede balgam, konsolidasyonun FM bulgularının yokluğu, Bkde hafif artıĢ, alvoler eksuda yok  M.pneumoniae  Çocuklar ve genç eriĢkinler  Kapalı mekanlarda lokal epidemiler  Patogenez; mo üsy epiteline tutunur, hücre nekrozu ve inf yanıt, alveollere uzanırsa interstisyel inflamasyon, respiratuvar epitelde hasar ve dökülme mukosiliyer aktiviteyi inhibe ederek bakteriyel enf a zemin yaratır
  • 15.
    Toplum içinde edinilenatipik pnömoni morfoloji  Ġnflamasyon alveol duvarlarında, içlerinde eksuda yok  Proteinöz materyal ve hyalin membranlar olabilir  H.simples, adeno ve varisellada bronĢial ve alveoler epitel nekrozu olabilir  Plevra düzgün
  • 17.
    Akciğer Absesi  Akciğer dokusunun nekrozu ile karakterize, ac içinde lokal süpüratif bir süreç  GeliĢiminde orofaringeal cerrahi giriĢimler, sinobronĢial infeksiyonlar, dental sepsis, bronĢiektazi önemli rol oynar  Mekanizmaları:  Enfekte materyalin aspirasyonu (sağda daha sık)  Önceden bulunan primer bakteriyel enfeksiyon (multiple, bazal)  Septik emboli (düzensi, rastgele)  Neoplaziler  Travma, komĢu organ enf. vs
  • 19.
    Kronik pnömoni  Büyük sıklıkla immün yetmezliği olan hastalarda bölgesel lenf nodu tutulumu ile birlikte görülen lokalize lezyon  Bakteri veya funguslara bağlı oluĢan granülomatöz enfeksiyon  Histoplazmozis, Blastomikozis ve Koksidiomikozis  Ac’in tbc’a benzer granülomatöz enf  Termal olarak dimorfik funguslar  Coğrafi dağılım
  • 23.
    İmmün sistemi bozulmuşkonakta pulmoner infiltrasyon  Diffüz infiltrat  Fokal infiltrat  Yaygın  Yaygın  CMV  Gram- çomaklar  P.carinii  S.aureus  Ġlaç reaksiyonu  Aspergillus  Nadir  Kandida  Bakteriler  Malignite  Aspergillus  Nadir  Kriptokok  Kriptokok  Malignite  Mucor  P.carinii  Lejyonella
  • 24.
  • 25.
    AKCĠĞERDE KANAMA BAZI ĠNTERSTĠSYEL AC HASTALIKLARININ DRAMATĠK BĠR KOMPLĠKASYONUDUR  PULMONER HEMORAJĠ SENDROMLARI  GOOD-PASTURE SENDROMU  ĠDĠOPATĠK PULMONER HEMOSĠDEROZĠS  VASKÜLĠT ĠLĠġKLĠ
  • 26.
    GOOD-PASTURE SENDOMU  Kollajen tip IV’ün α3 zincirinin kollajenize olmayan kısmına karĢı geliĢtirilmiĢ dolaĢan antikorlar  Börek glomerülleri ve ac bazal membranlarda inflamatuar yıkım  Hızlı ilerleyen GN ve nekrotizan hemorajik interstisyel pnömoni  1-2. dekadda
  • 27.
    patogenez  Bmda antikor aracılı zedelenme  HLA-DRB1*1501 ve*1502  Tetikleyen neden ?  Viral enf  Hidrokarbon solventleri ile temas  Sigara
  • 28.
    morfoloji  Ac ağırlaĢır  Kırmızı-kahverengi konsolidasyon  Histolojik olarak  Ġntraalveoler kanama  Fokla alveolar duvar nekrozu  Alveollerde hemosiderin yüklü makrofajlar  Ġleri dönemlerde septumlarda fibröz kalınlaĢma, tip II pnömosit hipertrofisi  Alveoler boĢluklardaki kanın organizasyonu  Ġmmünfloresanda septal duvarların bazal membranları boyunca lineer Ig birikimi
  • 31.
    ĠDĠOPATĠK PULMONER HEMOSĠDEROZĠS  Aralıklı, diffüz alveoler hemoraji,ani baĢlayan produktiif öksürük, hemoptizi, anemi  Goodpasture sendromuna benzeyen diffüz pulmoner infiltrasyon  Kilo kaybı  Çoğu olgu çocuklarda
  • 32.
    morfoloji  Ac lerin ağırlığı orta derecede artmıĢ  Kırmızı-kahverengi konsolidasyon  Alveoler boĢluklara kanama  Septumlarda ve alveollerde hemosiderin yüklü makrofajlar  Tip II pnömosit hiperplazisi  DeğiĢen derecelerde interstisyel fibrozis,vaskülit, kapillerit veya inflamasyon yoktur
  • 33.
    Nedeni bilinmemektedir  Ġmmünsüpresif tedaviye iyi yanıt immünolojik bir mekanizmaya iĢaret eder
  • 34.
  • 35.
  • 36.
  • 37.
    PULMONER EMBOLĠZM, HEMORAJĠVE ĠNFARKT  Büyük pulmoner arterleri tıkayan kan pıhtıları hemen daima embolik orjinli  %95’i derin bacak venlerindeki trombüslerden  Pulmoner emboli her yıl ABD’de 50.000 den fazla ölüme neden olur  Bir komplikasyondur (kardiak has, kanser, hareket sınırlaması, primer veya sekonder hiperkoagulabilite)
  • 38.
    morfoloji  Büyük emboliler ana pulmoner arter veya dallarına yerleĢebilir, bu durumda ani ölüm geliĢebilir, akut sağ kalp yetmezliği (akut cor pulmonare) de ölüm nedenidi  Küçük dallardaki emboli infarktüs ile sonuçlanır  Embolusların %10’unda infark oluĢur  Çoğunlukla alt loblar, yarıdan fazla vakada multiple  Boyutları değiĢken  Apeksi akciğer hilusunu gösteren tabanı ac periferine yerleĢen kama Ģeklinde
  • 39.
    morfoloji  Erken dönemde hemorajik, kabarık kırmızı-mavi bir alan  48 saat sonra soluklaĢır, hemosiderinin oluĢması ile kırmızı- kahverengi  Zamanla fbröz doku periferden itibaren geliĢerek skarla iyileĢir  Histolojik olarak akut pulmoner infarkt:  Kanama alanı  Alveol duvarları, bronĢiolleri ve damarları da içeren iskemik nekroz  Ġnfark enfekte bir embolus ile oluĢmuĢsa: septik infarkt
  • 40.
    Pulmoner embolinin tıkanma oluĢturmayan, seyrek ama potansiyel olarak öldürücü formları:  HAVA  KEMĠK ĠLĠĞĠ  YAĞ  AMNĠOTĠK SIVI  YABANCI CĠSĠMLER
  • 42.
    PULMONER HĠPERTANSĠYON  Pulmoner dolaĢım normalde düĢük basınçlı (1/8)  Nadiren primer (idiopatik)  %6 o.dominant ailevi (BMPR2 sinyal yolağında mutasyonlar)  Pulmoner ht; pulmoner kan akımı veya basıncını, pulmoner vasküler direnci veya kan akımına karĢı sol kalp direncini artıran yapısal kardiopulmoner durumlara sekonderdir  Kr obstrüktif veya interstisyel ac hastalıkları  Konj veya edinsel kalp hastalığı  Tekrarlayan tromboemboli  Otoimmün hastalıklar
  • 43.
    morfoloji  DeğiĢik vasküler lezyonlar  Çok sayıda organize veya rekanalize trombüs: tekrarlayan tromboembli  Diffüz pulmoner fibrozis, amfizem, kr bronĢit: hipoksi  En ağır olgularda pulmoner arter ve ana dallarında sistemik ateroskleroza benzeyen ateromatöz birikimler  Arterioller ve küçük arterler en sık etkilenir  Medial hipertrofi, intimal fibrozis (en çok primer formda)  Pleksojenik pulmoner arteriopati: kapiller bir yumak  Ac biyopsisi derecelendirme için bazan uygulanır
  • 45.
  • 46.
    AKUT AKCĠĞER ZEDELENMESĠ  Hassasiyette kalıtımsal faktörler etkili  Mediatörler (TNF, IL1, IL6, IL10, OKSĠDANLAR, TGFβ)  KONJESYON, ÖDEM, SURFAKTAN BOZUKLUĞU, ATELEKTAZĠ ġEKLĠNDE KENDĠNĠ GÖSTEREBĠLĠR  BUNLAR AKUT SOLUNUM SIKINTISI SENDROMU (ARDS) VEYA AKUT ĠNTERSTĠSYEL PNÖMONĠYE ĠLERLEYEBĠLĠR
  • 47.
    AKUT RESPĠRATUVAR DĠSTRES SENDROMU(ARDS) (diffüz alveoler hasar)  ġok akciğeri, akut ac zedelenmesi  Hızlı baĢlangıç, hayatı tehdit eden solunum yetmezliği, siyanoz, O2 tedavisine dirençli arteriyel hipoksemi  Ac dıĢı multisistem organ yetmezliğine ilerleyebilir  Göğüs filminde diffüz alveoler infiltrasyon  Histolojik olarak diffüz alveoler hasar
  • 48.
    ARDS gelişimi ileilgili durumlar  ENFEKSİYON  KİMYASAL  Sepsis*  Eroin, metadon doz aĢımı  Pulmoner enf,*  ASA  Viral mikoplazmave pnömosistis  Barbitürat doz aĢımı pnömonisi, milier tbc  Paraquat  Gastrik aspirasyon*  HEMATOLOJİK  FİZİKSEL  Çok sayıda transfüzyon  Mekanik travmalar*  DIK  Pulmoner kontüzyon  PANKREATİT  Boğulma  ÜREMİ  Kırıklar  Kardiopulmoner bypas  Yanıklar  Aşırı duyarlılık reaks.  radyasyon  İRRİTANMADDELER  Oksiyen  Gazlar  Duman
  • 49.
    morfoloji  Akut evrede akciğer ağır, sert, kırmızı ve çamurumsu  Konjesyon, interstisyel ve intraalveoler ödem, inflamasyon fibrin birikimi  Hyalin membranlar  Organizasyon evresinde tipII hücrelerde proliferasyon  Rezolüsyon nadir  Ġntraalveoler fibrozis ile sonuçlanan fibrin organizasyonu sık  Ölümcül olgulara bronkopnömoni süperimpoze
  • 53.
    BĠLGĠYĠ DOĞRU YERDEVE ZAMANDA KULLANABĠLMENĠZ DĠLEĞĠYLE
  • 55.
    AKUT ĠNTERSTĠSYEL PNÖMONĠ  Hızlı ilerleyen klinik seyir  Etyoloji bilinmez  50 yaĢ  <3 hf solunum yolu enf andıran tablonun ardından solunum yetmezliği  Radyolojik ve patolojik bulguları ARDS iel aynı  Ölüm oranı %50