Dr Özlem Canöz
   PATOLOJĠ AD
   Her yıl 1,7 milyar birey etkilenir
   Her yıl 8-10 milyon yeni olgu
   Her yıl 1,7 milyon’u ölür
   HIV enfeksiyonundan sonra en yaygın 2.
    enfeksiyöz ölüm nedeni
   HIV      hızlı ilerleyen tbc’ a duyarlılık
   Yoksulluk, kalabalık, kr debilizan hast
   AIDS, DM, Hodgkin lenfoma, Kr ac hastalıkları
    (silikozis), Böbrek yetm, malnütrisyon,
    alkolizm, immün süpresyon
   Enfeksiyon M.
                       tuberculosis ag lerine
                       karĢı geliĢen gecikmiĢ
                       aĢırı duyarlılık
                       reaksiyonuna neden
                       olur




Yalancı+: atipik   Yalancı-: immün süpresyon,
                   Hodgkin, viral enf, ilerlemiĢ aktif
mikobakteri enf    tbc
   M. Tuberculosis ile enfekte olan hücreler
    baĢlıca: MAKROFAJLAR
   Basil makrofajlar içine reseptörler yoluyla
    alınır
   Canlı mo makrofaj içinde fagolizozom
    oluĢumunu inhibe eder
   <3hf-pr tbc: makrofajlarda bakteri
    proliferasyonu, bakteriyemi
   >3hf-pr tbc:
    ◦ Th1 yanıtı makrofaj aktivasyonu ve bakterisid etki
    ◦ Mo ile karĢılaĢmıĢ APH’lerin saldığı IL2 Th1
      uyarımında önemlidir
    ◦ Lenf nodu ve akciğerdeki Th1 hücreleri IFNγ üretir
    ◦ IFN γ enfekte makrofajda fagolizozom ve iNOS
      üretimini uyarır
    ◦ Makrofajların ürettiği TNF granülom ve
      kazeifikasyon nekrozu ile sonuçlanan monosit
      birikimine yol açar
   Özet olarak;
   I-
    ◦ ĠMMÜNĠTEDE MAKROFAJLARI UYARAN TH1 ÖNEMLĠ
◦ II-
◦ BU ĠMMÜN YANIT: AġIRI DUYARLILIK+DOKU YIKIMI
  PAHASINA GERÇEKLEġĠR
◦ III-
◦ REAKTĠVASYON VEYA MO ĠLE YENĠDEN KARġILAġMA
  SAVUNMA MEKANĠZMALARINI YENĠDEN AKTĠFLER:
  DAHA ÇOK NEKROZ
   IV-
   AġIRI DUYARLILIĞIN KAYBI=ORGANĠZMAYA DĠRENCĠN
    ZAYIFLAMASI




          ENFEKSİYON          İMMÜNİTE
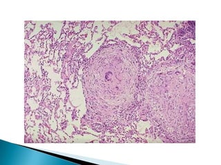
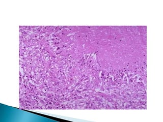
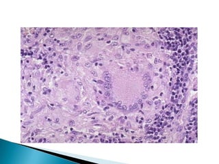
   Kronik inflamatuar hücrelerin sıkı-yuvarlak
    yapı Ģeklindeki birikimi
   Santral kazeifikasyon nekrozu
   Aktif makrofajlar-epiteloid histiositler
   DıĢ tabakada lenfosit, plazma h., fibroblastlar
   Langhans tipi dev hücreleri
   PRĠMER TBC
    ◦ Hemen daima akciğerde baĢlar
    ◦ Üstlob alt kısmı veya alt lob üst kısmında
    ◦ Duyarlılık geliĢtikçe 1-1,5 cm gri-beyaz
      konsolidasyon: GHON ODAĞI
    ◦ Tbc basilleri serbest veya fagositler içinde lenf
      nodlarına drene olur
    ◦ Parankimal lezyon+nodal tutulum: GHON
      KOMPLEKSĠ (2-8 HF)
    ◦ %95 HÜCRE ARACILI ĠMMÜNĠTE ENFEKSĠYONU
      KONTROL ALTINA ALIR: RHANKE KOMPLEKSĠ
    ◦ SONUÇ: TÜBERKÜLĠN TESTĠ+
Primer tbc:
  çocuklarda
  iyi sınırlı
  ghon kompleksi

Primer progresif tbc
  %10 adult, immün
  süpresyonlu
  milier tbc ve tbc
  menenjit
  malnutre çocuklarda sık
   Ġmmünüze kiĢilerde primer sonrasında
   Kaviter granülomatöz cevap
   Reaktivasyon ve reenfeksiyon
   Apikal loblar veya alt lob üst segment– O2
   Pulmoner veya ekstrapulmoner
   Lokal veya sistemik yayılım/Milier
    ◦ Ven – sol ventrikül yoluyla tüm vücuda
    ◦ Artery – ac içinde milier yayılım
   Reaktivasyon %10-15
   En sık 30-50 y ve E
   YavaĢ geliĢim
   Öksürük, balgam, subfebril ateĢ, gece
    terlemesi, kilo kaybı, halsizlik
   Hemoptizi veya plöretik ağrı Ģiddetli
    hastalıkta
   SEKONDER TBC
    ◦ Apikal plevraya 1-2 cm mesafede yerleĢmiĢ <2cm
      konsolidasyon: BAġLANGIÇ LEZYONU
    ◦ DeğiĢen oranlarda santral kazeifikasyon, periferik
      fibrozis
    ◦ Ġyi seyirli vakalarda fibrokalsifik skar, Aktif lezyonda
      santrali kazeifiye birleĢen tuberküller
   Progresif pulmoner tbc
    ◦ YaĢlı, immün süpresif
    ◦ Kazeifikasyon alanlarının geniĢlemesi ile büyük
      apikal lezyon
    ◦ Kan damarı erezyonu: HEMOPTĠZĠ
    ◦ Tedavi yetersiz veya konak savunması bozulmuĢsa
      hava yolları, lenfatik sistem veya damar yoluyla
      yayılır
    ◦ Lokalize veya sistemik olabilir
   Milier Pulmoner tbc
    ◦ Mo lenfatiklere geçerek sağ kalp venöz dönüĢ
      yoluna-pulmoner arterlere boĢalan lenfatik
      duktuslara
    ◦ Mikroskobik veya 2mm dağınık konsolidasyonlar
    ◦ Plevral kavite mutlaka tutulur
      PLEVRAL EFÜZYON
      TBC AMPĠYEM
      OBLĠTERATĠF FĠBRÖZ PLÖRĠT
Milier tbc
   Sistemik milier tbc
    ◦ Kc, ki, dalak, adrenal, meninks, böbrek, fallop
      tüpleri, epididim
   Ġzole organ tbc
    ◦ Renal tbc, tbc menenjit, Addison hast, osteomyleit,
      Pott hastalığı
   Lenfadenit
Tbc menenjiti
Tbc (fazlası için www.tipfakultesi.org )

Tbc (fazlası için www.tipfakultesi.org )

  • 1.
    Dr Özlem Canöz PATOLOJĠ AD
  • 2.
    Her yıl 1,7 milyar birey etkilenir  Her yıl 8-10 milyon yeni olgu  Her yıl 1,7 milyon’u ölür  HIV enfeksiyonundan sonra en yaygın 2. enfeksiyöz ölüm nedeni  HIV hızlı ilerleyen tbc’ a duyarlılık
  • 3.
    Yoksulluk, kalabalık, kr debilizan hast  AIDS, DM, Hodgkin lenfoma, Kr ac hastalıkları (silikozis), Böbrek yetm, malnütrisyon, alkolizm, immün süpresyon
  • 4.
    Enfeksiyon M. tuberculosis ag lerine karĢı geliĢen gecikmiĢ aĢırı duyarlılık reaksiyonuna neden olur Yalancı+: atipik Yalancı-: immün süpresyon, Hodgkin, viral enf, ilerlemiĢ aktif mikobakteri enf tbc
  • 7.
    M. Tuberculosis ile enfekte olan hücreler baĢlıca: MAKROFAJLAR  Basil makrofajlar içine reseptörler yoluyla alınır  Canlı mo makrofaj içinde fagolizozom oluĢumunu inhibe eder  <3hf-pr tbc: makrofajlarda bakteri proliferasyonu, bakteriyemi
  • 8.
    >3hf-pr tbc: ◦ Th1 yanıtı makrofaj aktivasyonu ve bakterisid etki ◦ Mo ile karĢılaĢmıĢ APH’lerin saldığı IL2 Th1 uyarımında önemlidir ◦ Lenf nodu ve akciğerdeki Th1 hücreleri IFNγ üretir ◦ IFN γ enfekte makrofajda fagolizozom ve iNOS üretimini uyarır ◦ Makrofajların ürettiği TNF granülom ve kazeifikasyon nekrozu ile sonuçlanan monosit birikimine yol açar
  • 11.
    Özet olarak;  I- ◦ ĠMMÜNĠTEDE MAKROFAJLARI UYARAN TH1 ÖNEMLĠ
  • 12.
    ◦ II- ◦ BUĠMMÜN YANIT: AġIRI DUYARLILIK+DOKU YIKIMI PAHASINA GERÇEKLEġĠR
  • 13.
    ◦ III- ◦ REAKTĠVASYONVEYA MO ĠLE YENĠDEN KARġILAġMA SAVUNMA MEKANĠZMALARINI YENĠDEN AKTĠFLER: DAHA ÇOK NEKROZ
  • 14.
    IV-  AġIRI DUYARLILIĞIN KAYBI=ORGANĠZMAYA DĠRENCĠN ZAYIFLAMASI ENFEKSİYON İMMÜNİTE
  • 16.
    Kronik inflamatuar hücrelerin sıkı-yuvarlak yapı Ģeklindeki birikimi  Santral kazeifikasyon nekrozu  Aktif makrofajlar-epiteloid histiositler  DıĢ tabakada lenfosit, plazma h., fibroblastlar  Langhans tipi dev hücreleri
  • 20.
    PRĠMER TBC ◦ Hemen daima akciğerde baĢlar ◦ Üstlob alt kısmı veya alt lob üst kısmında ◦ Duyarlılık geliĢtikçe 1-1,5 cm gri-beyaz konsolidasyon: GHON ODAĞI ◦ Tbc basilleri serbest veya fagositler içinde lenf nodlarına drene olur ◦ Parankimal lezyon+nodal tutulum: GHON KOMPLEKSĠ (2-8 HF) ◦ %95 HÜCRE ARACILI ĠMMÜNĠTE ENFEKSĠYONU KONTROL ALTINA ALIR: RHANKE KOMPLEKSĠ ◦ SONUÇ: TÜBERKÜLĠN TESTĠ+
  • 21.
    Primer tbc: çocuklarda iyi sınırlı ghon kompleksi Primer progresif tbc %10 adult, immün süpresyonlu milier tbc ve tbc menenjit malnutre çocuklarda sık
  • 22.
    Ġmmünüze kiĢilerde primer sonrasında  Kaviter granülomatöz cevap  Reaktivasyon ve reenfeksiyon  Apikal loblar veya alt lob üst segment– O2  Pulmoner veya ekstrapulmoner  Lokal veya sistemik yayılım/Milier ◦ Ven – sol ventrikül yoluyla tüm vücuda ◦ Artery – ac içinde milier yayılım
  • 23.
    Reaktivasyon %10-15  En sık 30-50 y ve E  YavaĢ geliĢim  Öksürük, balgam, subfebril ateĢ, gece terlemesi, kilo kaybı, halsizlik  Hemoptizi veya plöretik ağrı Ģiddetli hastalıkta
  • 24.
    SEKONDER TBC ◦ Apikal plevraya 1-2 cm mesafede yerleĢmiĢ <2cm konsolidasyon: BAġLANGIÇ LEZYONU ◦ DeğiĢen oranlarda santral kazeifikasyon, periferik fibrozis ◦ Ġyi seyirli vakalarda fibrokalsifik skar, Aktif lezyonda santrali kazeifiye birleĢen tuberküller
  • 27.
    Progresif pulmoner tbc ◦ YaĢlı, immün süpresif ◦ Kazeifikasyon alanlarının geniĢlemesi ile büyük apikal lezyon ◦ Kan damarı erezyonu: HEMOPTĠZĠ ◦ Tedavi yetersiz veya konak savunması bozulmuĢsa hava yolları, lenfatik sistem veya damar yoluyla yayılır ◦ Lokalize veya sistemik olabilir
  • 28.
    Milier Pulmoner tbc ◦ Mo lenfatiklere geçerek sağ kalp venöz dönüĢ yoluna-pulmoner arterlere boĢalan lenfatik duktuslara ◦ Mikroskobik veya 2mm dağınık konsolidasyonlar ◦ Plevral kavite mutlaka tutulur  PLEVRAL EFÜZYON  TBC AMPĠYEM  OBLĠTERATĠF FĠBRÖZ PLÖRĠT
  • 29.
  • 30.
    Sistemik milier tbc ◦ Kc, ki, dalak, adrenal, meninks, böbrek, fallop tüpleri, epididim  Ġzole organ tbc ◦ Renal tbc, tbc menenjit, Addison hast, osteomyleit, Pott hastalığı  Lenfadenit
  • 39.