Image-Based Resuscitation
of the Hypotensive Patient
with Cardiac Ultrasound:
An Evidence-Based Review
J Trauma Acute Care Surg.
2016;80:511-518.
Point-of-care cardiac ultrasound does
not require advanced technology. It can be
performed with a simple 2D ultrasound
machine.
It is performed at the bedside by any
treating clinician, emergency physicians,
residents, paramedics, and even medical
students.
International guidelines that suggest term
Focused Cardiac Ultrasound (FoCUS)
should be a core competency among all
critical care providers.
The diagnostic targets of this simplified
examination are gross cardiac contractility
and anatomy (LV and RV size and function)
as well as volume status and presence of
a pericardial effusion ± tamponade.
Summary of the Terminology Used to Describe
Point-of-Care Cardiac Ultrasound
Undifferentiated hypotensive patient protocol. 2001, Rose
Focused assessment with trans-thoracic echocardiography, 2004, Jensen
Bedside limited echocardiography by the emergency physician. 2004, Pershad
Goal-directed transthoracic echocardiography. 2005, Manasia
Focused echocardiographic evaluation in resuscitation. 2007, Breitkreutz
Goal-oriented hand-held echocardiography. 2007, Vignon
Cardiovascular limited ultrasound examination. 2007, Kimura
Focused critical care ultrasound study. 2007 Beaulieu
Rapid assessment with cardiac echocardiography. 2007, Seppelt
Intensivist bedside ultrasound. 2007, Carr
Bedside echocardiographic assessment in trauma. 2008 Gunst
Focused cardiovascular ultrasound. 2009, Cowie
Focused intensive care echocardiography. 2009, Fletcher
Abdominal and cardiac examination with sonography in shock. 2009, Atkinson
Focused echocardiographic evaluation in life support. 2010, Breitkreutz
Rapid ultrasound in shock. 2010, Perera
Focused rapid echocardiographic examination. 2011, Ferrada
Limited transthoracic echocardiography. 2011, Ferrada
Goal-directed echocardiography. 2012, Schmidt
Technique
M mode: to examine structures that are in motion
such as the cardiac walls or the walls of the vena cava
1. Subcostal long axis (SLAX)
2. Subcostal inferior vena cava (SIVC)
3. Parasternal long axis (PLAX)
4. Parasternal short axis (PSAX)
5. Apical 4 chamber (A4CH)
SLAX and SIVC views
FAST
PLAX and PSAX
left lateral
decubitus position
LV LVOT
RV
RV
LV
A4CH
left lateral decubitus position
supine position
RA
LA
RV LV
Clinical Application
Differentiate between different types of
shock
Determine the need and the quantity of
fluid or resuscitation required in
hypotensive patients
Volume Status
Diagnostic of hypovolemia in hypotensive
patients: empty heart or flat IVC
In hypovolemia, the ventricular walls will
come together or ‘‘kiss,’’ or in cardiologist
lingo, an ejection fraction >70%
Flat IVC: IVC collapses >50% during the
respiratory cycle
The Significance of the IVC
in Volume Status
The overall size of the vessel is not as
important as the variability.
Increasing the intra-thoracic pressure
would result on an increased IVC size but
might not change the variability. A small
IVC on a hypotensive ventilated patient is
diagnostic of hypovolemia, but a full IVC
does not rule out this diagnosis.
1. Subxiphoid; 2. Middle clavicular line; 3. Midaxillary line.
GLOBAL HEART FUNCTION
AND VENTRICULAR SIZE
Visual estimations of cardiac function are
equivalent to more detailed measurements,
decreased LV function can be diagnosed
by novice providers with minimal training.
For the non-cardiologist, one only needs to
be able to detect if there is a decrease in
global cardiac activity.
The American Society of Echocardiography
current recommendation to assess LV
function on the short-axis view at the level
of the mitral valve.
Assessment of global cardiac function:
– the inward motion of the endocardium
– the presence of thickening of the myocardium
– the longitudinal motion of the mitral annulus
– the overall geometry of the ventricle
In hypotensive patients, evaluation of the
function and the size of the RV can be
very useful in diagnosis and treatment for
pulmonary embolism.
RV enlargement in the presence of a
massive pulmonary embolus is predictive
of poor outcome.
Pericardial Effusion
FAST: subcostal view
Cardiac tamponade: right heart compression
Lung and Pleura Ultrasound
in the Deteriorating Patient
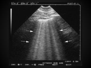
A lines are horizontal, regularly spaced
hyper-echogenic lines representing
reverberations of the pleural line. These
are motionless and are artifacts of
repetition.
B lines are vertical narrow lines arising
from the pleural line to the edge of the
ultrasound screen. ‘‘comet tails ’’
Assessing pulmonary interstitial fluid
allows clinicians to recognize a
cardiogenic cause of respiratory failure.
When evaluating for fluid status,
predominance of B lines should
discourage the clinician for further fluid
resuscitating since it is indicative of
interstitial lung edema.
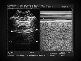
Pneumothorax: absence of ‘‘lung sliding.’’
The lung point: an interface between
normal lung and pneumothorax.
Hemothorax is identified in the lateral
position and sometimes in the FAST.
Q & A

Focused Cardiac Ultrasound

  • 1.
    Image-Based Resuscitation of theHypotensive Patient with Cardiac Ultrasound: An Evidence-Based Review J Trauma Acute Care Surg. 2016;80:511-518.
  • 2.
    Point-of-care cardiac ultrasounddoes not require advanced technology. It can be performed with a simple 2D ultrasound machine. It is performed at the bedside by any treating clinician, emergency physicians, residents, paramedics, and even medical students. International guidelines that suggest term Focused Cardiac Ultrasound (FoCUS) should be a core competency among all critical care providers.
  • 3.
    The diagnostic targetsof this simplified examination are gross cardiac contractility and anatomy (LV and RV size and function) as well as volume status and presence of a pericardial effusion ± tamponade.
  • 4.
    Summary of theTerminology Used to Describe Point-of-Care Cardiac Ultrasound Undifferentiated hypotensive patient protocol. 2001, Rose Focused assessment with trans-thoracic echocardiography, 2004, Jensen Bedside limited echocardiography by the emergency physician. 2004, Pershad Goal-directed transthoracic echocardiography. 2005, Manasia Focused echocardiographic evaluation in resuscitation. 2007, Breitkreutz Goal-oriented hand-held echocardiography. 2007, Vignon Cardiovascular limited ultrasound examination. 2007, Kimura Focused critical care ultrasound study. 2007 Beaulieu Rapid assessment with cardiac echocardiography. 2007, Seppelt Intensivist bedside ultrasound. 2007, Carr Bedside echocardiographic assessment in trauma. 2008 Gunst Focused cardiovascular ultrasound. 2009, Cowie Focused intensive care echocardiography. 2009, Fletcher Abdominal and cardiac examination with sonography in shock. 2009, Atkinson Focused echocardiographic evaluation in life support. 2010, Breitkreutz Rapid ultrasound in shock. 2010, Perera Focused rapid echocardiographic examination. 2011, Ferrada Limited transthoracic echocardiography. 2011, Ferrada Goal-directed echocardiography. 2012, Schmidt
  • 5.
    Technique M mode: toexamine structures that are in motion such as the cardiac walls or the walls of the vena cava 1. Subcostal long axis (SLAX) 2. Subcostal inferior vena cava (SIVC) 3. Parasternal long axis (PLAX) 4. Parasternal short axis (PSAX) 5. Apical 4 chamber (A4CH)
  • 6.
    SLAX and SIVCviews FAST
  • 7.
    PLAX and PSAX leftlateral decubitus position LV LVOT RV RV LV
  • 8.
    A4CH left lateral decubitusposition supine position RA LA RV LV
  • 9.
    Clinical Application Differentiate betweendifferent types of shock Determine the need and the quantity of fluid or resuscitation required in hypotensive patients
  • 10.
    Volume Status Diagnostic ofhypovolemia in hypotensive patients: empty heart or flat IVC In hypovolemia, the ventricular walls will come together or ‘‘kiss,’’ or in cardiologist lingo, an ejection fraction >70% Flat IVC: IVC collapses >50% during the respiratory cycle
  • 11.
    The Significance ofthe IVC in Volume Status The overall size of the vessel is not as important as the variability. Increasing the intra-thoracic pressure would result on an increased IVC size but might not change the variability. A small IVC on a hypotensive ventilated patient is diagnostic of hypovolemia, but a full IVC does not rule out this diagnosis.
  • 12.
    1. Subxiphoid; 2.Middle clavicular line; 3. Midaxillary line.
  • 16.
    GLOBAL HEART FUNCTION ANDVENTRICULAR SIZE Visual estimations of cardiac function are equivalent to more detailed measurements, decreased LV function can be diagnosed by novice providers with minimal training. For the non-cardiologist, one only needs to be able to detect if there is a decrease in global cardiac activity.
  • 17.
    The American Societyof Echocardiography current recommendation to assess LV function on the short-axis view at the level of the mitral valve. Assessment of global cardiac function: – the inward motion of the endocardium – the presence of thickening of the myocardium – the longitudinal motion of the mitral annulus – the overall geometry of the ventricle
  • 18.
    In hypotensive patients,evaluation of the function and the size of the RV can be very useful in diagnosis and treatment for pulmonary embolism. RV enlargement in the presence of a massive pulmonary embolus is predictive of poor outcome.
  • 21.
    Pericardial Effusion FAST: subcostalview Cardiac tamponade: right heart compression
  • 23.
    Lung and PleuraUltrasound in the Deteriorating Patient A lines are horizontal, regularly spaced hyper-echogenic lines representing reverberations of the pleural line. These are motionless and are artifacts of repetition. B lines are vertical narrow lines arising from the pleural line to the edge of the ultrasound screen. ‘‘comet tails ’’
  • 26.
    Assessing pulmonary interstitialfluid allows clinicians to recognize a cardiogenic cause of respiratory failure. When evaluating for fluid status, predominance of B lines should discourage the clinician for further fluid resuscitating since it is indicative of interstitial lung edema.
  • 28.
    Pneumothorax: absence of‘‘lung sliding.’’ The lung point: an interface between normal lung and pneumothorax. Hemothorax is identified in the lateral position and sometimes in the FAST.
  • 32.