DR MONIKA NEGI
MDS ORAL PATHOLOGY
,MICROBIOLOGY AND
FORENSIC ODONTOLOGY
CONTENTS
 INTRODUCTION
 PRIMARY EPITHELIAL BAND
 DENTAL LAMINA
 DEVELOPMENTAL STAGES
 BUD STAGE
 CAP STAGE
 EARLY BELL STAGE
 ADVANCED BELL STAGE
 VASCULAR & NERVE SUPPLY DURING TOOTH DEVELOPMENT
 TIME LINE OF HUMAN TOOTH DEVELOPMENT
 ROOT FORMATION
 HISTOPHYSIOLOGICAL & CLINICAL CONSIDERATIONS
 MOLECULAR INSIGHTS IN TOOTH MORPHOGENESIS
 REFERENCES
INTRODUCTION
 The stomodeum is lined by stratified
squamous epithelium called the oral
ectoderm
 The oral ectoderm contacts the
endoderm of the foregut to form the
buccopharyngeal membrane
 At about 27th day of gestation, this
membrane ruptures and the
primitive oral cavity establishes a
connection with the foregut.
 Most of the connective tissue cells
underlying the oral ectoderm are of
neural crest or ectomesenchymal in
origin.
PRIMARY EPITHELIAL BAND
 Certain areas of basal
cells of oral ectoderm
proliferate more rapidly
than do the cells of
adjacent areas, leading to
formation of PRIMARY
EPITHELIAL BAND.
AT 6TH WEEK
PRIMARY EPITHELIAL
BAND
ECTOMESENCHYME
PRIMARY
EPITHELIAL
BAND
DENTAL
LAMINA(inne
r lingual
process)
Serves as primordium for the
ectodermal portion of
deciduous teeth.
VESTIBULR
LAMINA(outer
buccal
process)
Labial and buccal to
dental lamina in each
arch, epithelial
thickening develops
later independently.
Also called as
LIP FURROW BAND
AT 7TH WEEK
DENTAL LAMINA
 Serves as primordium for ectodermal portion of
deciduous teeth
 At certain points along dental lamina(10
maxillary & 10 mandibular), the ectodermal cells
multiply more rapidly and form little knobs that
grow into underlying mesenchyme.
 This represents the beginning of enamel organ
of tooth bud of a deciduous tooth.
 As cell proliferation continues, each enamel
organ increases in size.
 Later during the development of the jaws, the
permanent molars arise directly from distal
extension of dental lamina
 Development of 1st permanent molar-
initiated at 4th month in utero
 2nd molar- first year after birth
 3rd molar-4th or 5th years
 Activity of DL- 5 yrs.
 The lingual extension of
free end of dental lamina,
opposite to enamel organ
of each deciduous tooth
from which the
permanent teeth arise is
known as successional
lamina.
 From 5th month in utero
(Perm. CI) to 10th month
of age (2nd PM).
FATE OF DENTAL LAMINA
 5 years
 As the teeth continue to develop, they lose
their connection with dental lamina.
 They later break up by mesenchymal
invasion, which is at first incomplete and
doesn’t perforate the total thickness of
lamina.
 Remnants of dental lamina persist as
epithelial pearls or islands within the jaw as
well as in gingiva, referred to as CELL
RESTS OF SERRES.
.
DEVELOPMENTAL STAGES
.
DEVELOPMENTAL STAGES
 Although the tooth development is a continuous
process, yet it can be divided into three stages
for descriptive purposes:-
1. BUD STAGE
2. CAP STAGE
3. Early BELL STAGE
4. Late/Advance BELL STAGE
(named after the shape of the enamel organ)
BUD STAGE
Bud stage is characterized by rounded, localized
growth of epithelium surrounded by proliferating
mesenchymal cells, which are packed closely beneath
and around the epithelial buds
 The epithelium of the
dental lamina is separated
from underlying
ectomesenchyme by a
basement membrane.
 The enamel organ consists
of peripherally located low
columnar cells and
centrally located polygonal
cells.
 DENTAL PAPILLA- The area of
ectomesenchymal condensation immediately
subjacent to enamel organ
 DENTAL SAC- The condensed
ectomesenchyme that surrounds the tooth bud
and the dental papilla
 Both the dental papilla and dental sac become
more well defined as the enamel organ grows
into cap and bell shapes
TOOTH GERM
ECTODERMAL
COMPONENT
ENAMEL ORGAN
ECTOMESENCHYMAL
COMPONENTS
DENTAL PAPILLA
DENTAL SAC
(enamel)
(dentin &pulp)
(cementum, PDL
& alveolar bone)
CAP STAGE
 The unequal growth in different parts of the
tooth bud leads to the cap stage.
 At this stage , tooth germ consists of:
Outer Enamel epithelium
Inner enamel epithelium
Stellate Reticulum
Dental papilla
Dental sac
TRANSITORY STRUCTURES
 ENAMEL KNOT (Ahrens knot)- The
cells in the center of the enamel organ
are densely packed and form the enamel
knot.
 ENAMEL CORD- The vertical extension
of the enamel knot towards the
underlying dental papilla is known as
enamel cord.
 The function of the enamel knot and cord
may be to act as a reservoir of dividing
cells for growing enamel organ.
(Disappear before enamel formation begins)
 ENAMEL SEPTUM- When enamel cord
extends to meet the outer enamel epithelium,
it is termed as enamel septum as it divides
the stellate reticulum into two parts.
 ENAMEL NAVEL- A small depression that is
formed at the point of meeting of enamel
septum and outer enamel epithelium is
known as enamel navel as it resembles
umbilicus.
ENAMEL NICHE
The enamel organ may
seem to have a double
attachment of dental
lamina to the overlying
oral epithelium
enclosing
ectomesenchyme called
enamel niche between
them.
BELL STAGE
 As the invagination of epithelium deepens &
its margins continue to grow ,enamel organ
assumes bell shape .
 Early Bell Stage
 Advanced Bell Stage
EARLY BELL STAGE
 Inner enamel epithelium
 Outer enamel epithelium
 Stratum Intermedium
 Stellate reticulum
 Cervical loop or zone of reflexion
 Dental Papilla
 Dental Sac
MORPHOGENESIS OF CROWN
ADVANCED BELL STAGE
 Separation of tooth germ from Dental
Lamina.
 Hard tissue formation
Separation of tooth
germ from Dental
Lamina:
 Dental lamina joining
tooth germ to oral
epithelium breaks into
discrete islands of
epithelial cells, thus
separating developing
tooth germ from oral
epithelium.
 Hard tissue formation
VASCULAR & NERVE SUPPLY DURING TOOTH
DEVELOPMENT
Vascular Supply:
 Clusters of blood vessels in dental follicle and papilla
 Clustering of vessels in papilla coincide with position of root
formation
 Enamel organ is avascular, however vessels seen in close
association in the follicle
Nerve Supply:
 Initially noted in the dental follicle during bud to cap stage
 However after start of dentinogenesis, seen in dental papilla
 Nerve fibers do not enter enamel organ
TIME LINE OF HUMAN TOOTH DEVELOPMENT
Age Developmental
Characteristics
 42 to 48 days Dental lamina formation
 55 to 56 days Bud stage for deciduous teeth
 14 weeks Bell stage for deciduous teeth;
Bud stage for permanent teeth
 18 weeks Dentin & functional
ameloblasts in deciduous teeth
 32 weeks Dentin & functional ameloblasts in
permanent teeth.
ROOT FORMATION
 It begins after enamel & dentin
formation has reached
cemento enamel junction.
 The enamel organ plays
important role by forming
Hertwig’s epithelial root sheath.
 It is formed by proliferation of
cervical loop cells .
 It consists of only inner & outer
enamel epithelium.
 It molds the shape of root &
initiate radicular dentin
formation.
 When dentin is formed ,it
looses its structural integrity
& its close relation with root
surface.
 This loss of structural
integrity is as a result of
invasion of surrounding
connective tissue of dental
sac.
 The epithelium is moved
away from surface of dentin
so that connective tissue
cells come into contact with
outer surface dentin &
differentiate into
cementblasts that deposite a
layer of cementum onto
surface of dentin.
 Remnants of
Hertwig’s epithelial
root sheath are
found in
periodontal
ligament & are
called rests of
Malassez .
 Prior to the beginning of root formation ,epithelial root
sheath forms epithelial diaphragm by bending at future
cemento enamel junction into horizontal plane
,narrowing the wide cervical opening of tooth.
 Proliferation of cells of epithelial diaphragm is
accompanied by ectomesenchymal cell proliferation,
adjacent to diaphragm.
HISTOPHYSIOLOGICAL & CLINICAL
CONSIDERATIONS
1. Initiation
2. Proliferation
3. Histodifferentiation
4. Morphodifferentiation
5. Apposition
MOLECULAR INSIGHTS IN TOOTH
MORPHOGENESIS
 The study of tooth development used
manipulation of tooth germ explants from
wild type and mutant mice.
 Studies on mammalian development are
carried out with mice due to its suitability for
both genetic and embryological
manipulations.
TOOTH INITIATION POTENTIAL
 Experiments conducted combining first arch
epithelium with neural crest in anterior chamber
of eye resulted in formation of tooth, while
epithelium from other sites like that of limb or
second arch doesn’t produce same results.
 When dental epithelial organ is combined with
skin, the tooth organ loses its dental
characteristics and takes up the features of
epidermis.
ESTABLISHMENT OF ORAL-ABORAL AXIS
 LIM-homeobox(Lhx) genes are the earliest
mesenchymal markers for tooth formation.
 The expression of Fgf-8 establishes the
anteroposterior axis of the first branchial arch
and was shown restricted to the first arch.
 Fgf-8 has been attributed to be regulating the
expression of Lhx-6 & Lhx-7 genes.
 Expression of Goosecoid in aboral
mesenchyme
CONTROL OF TOOTH GERM POSITION
 The Pax-9 gene is one of the earliest
mesenchymal genes that define the localization
of the tooth germs.
 Pax-9 gene expression co-localizes with exact
sites where tooth germs appear.
 Pax-9 gene is induced by Fgf-8 and is
repressed by bone morphogenetic
proteins(BMP-2 and BMP-4).
 Activin-βA also has role in control of tooth germ
position but it is not regulated by Fgf-8 & BMP-4
interactions.
FUNCTIONAL REDUNDANCY & THEIR
COMPLEXITIES
 Dlx genes
 Shh
 Lef-1
PATTERNING OF DENTITION
 The determination of specific tooth types at
their correct positions in the jaws is referred
to as patterning of the dentition.
 Two models have been proposed:-
1. Field model
2. Clone model
FIELD MODEL
CLONE MODEL
REGULATION OF ECTODERMAL BOUNDARIES
 Interactions between Wnt and Shh maintain
boundaries between oral and dental ectoderm
 Shh specifies the sites where tooth buds will form in
future
 Expression sites of Wnt-7b reciprocal to that of Shh
 Wnt-7b is expressed throughout oral ectoderm except
for presumptive dental ectoderm where Shh is
expressed
 Misexpression of Wnt-7b in presumptive dental
ectoderm results in loss of Shh expression and failure
of tooth bud formation.
STOMODEAL THICKENING STAGE-
DENTAL LAMINA STAGE
BUD STAGE
ENAMEL KNOT- SIGNALING CENTER FOR TOOTH
MORPHOGENESIS
 Enamel knot cells express several signaling
molecules like sonic hedgehog, bone
morphogenetic proteins Bmp-2, Bmp-4,
Bmp-7, Wnt signaling molecules as well as
Fgf-4.
 As the same signaling molecules are
expressed by well studied vertebrate
signaling centres such as notochord, it was
put forward that the enamel knot represents
a signaling center for tooth morphogenesis.
REFERENCES
 ORBANS Oral Histology and embryology, 13th
edition
 TENCATES Oral Histology Development, Structure
and Function. Antonio Nanci. Seventh edition
 Oral Cells and Tissues. Philias R.Garant
 Oral Development nd Histology..Avery. Third edition
 The Genetic Control Of Early Tooth Development. R
Mass and M Bei. Critical Reviews In Oral Biology
And Medicine 1997 8:4
Tooth Development & Molecular aspect

Tooth Development & Molecular aspect

  • 1.
    DR MONIKA NEGI MDSORAL PATHOLOGY ,MICROBIOLOGY AND FORENSIC ODONTOLOGY
  • 2.
    CONTENTS  INTRODUCTION  PRIMARYEPITHELIAL BAND  DENTAL LAMINA  DEVELOPMENTAL STAGES  BUD STAGE  CAP STAGE  EARLY BELL STAGE  ADVANCED BELL STAGE  VASCULAR & NERVE SUPPLY DURING TOOTH DEVELOPMENT  TIME LINE OF HUMAN TOOTH DEVELOPMENT  ROOT FORMATION  HISTOPHYSIOLOGICAL & CLINICAL CONSIDERATIONS  MOLECULAR INSIGHTS IN TOOTH MORPHOGENESIS  REFERENCES
  • 3.
    INTRODUCTION  The stomodeumis lined by stratified squamous epithelium called the oral ectoderm  The oral ectoderm contacts the endoderm of the foregut to form the buccopharyngeal membrane  At about 27th day of gestation, this membrane ruptures and the primitive oral cavity establishes a connection with the foregut.  Most of the connective tissue cells underlying the oral ectoderm are of neural crest or ectomesenchymal in origin.
  • 4.
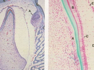
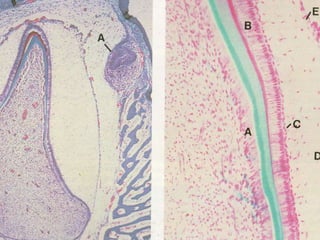
    PRIMARY EPITHELIAL BAND Certain areas of basal cells of oral ectoderm proliferate more rapidly than do the cells of adjacent areas, leading to formation of PRIMARY EPITHELIAL BAND. AT 6TH WEEK
  • 5.
  • 7.
    PRIMARY EPITHELIAL BAND DENTAL LAMINA(inne r lingual process) Serves asprimordium for the ectodermal portion of deciduous teeth. VESTIBULR LAMINA(outer buccal process) Labial and buccal to dental lamina in each arch, epithelial thickening develops later independently. Also called as LIP FURROW BAND AT 7TH WEEK
  • 9.
    DENTAL LAMINA  Servesas primordium for ectodermal portion of deciduous teeth  At certain points along dental lamina(10 maxillary & 10 mandibular), the ectodermal cells multiply more rapidly and form little knobs that grow into underlying mesenchyme.  This represents the beginning of enamel organ of tooth bud of a deciduous tooth.  As cell proliferation continues, each enamel organ increases in size.
  • 10.
     Later duringthe development of the jaws, the permanent molars arise directly from distal extension of dental lamina  Development of 1st permanent molar- initiated at 4th month in utero  2nd molar- first year after birth  3rd molar-4th or 5th years  Activity of DL- 5 yrs.
  • 11.
     The lingualextension of free end of dental lamina, opposite to enamel organ of each deciduous tooth from which the permanent teeth arise is known as successional lamina.  From 5th month in utero (Perm. CI) to 10th month of age (2nd PM).
  • 13.
    FATE OF DENTALLAMINA  5 years  As the teeth continue to develop, they lose their connection with dental lamina.  They later break up by mesenchymal invasion, which is at first incomplete and doesn’t perforate the total thickness of lamina.  Remnants of dental lamina persist as epithelial pearls or islands within the jaw as well as in gingiva, referred to as CELL RESTS OF SERRES.
  • 14.
  • 15.
  • 16.
  • 17.
    DEVELOPMENTAL STAGES  Althoughthe tooth development is a continuous process, yet it can be divided into three stages for descriptive purposes:- 1. BUD STAGE 2. CAP STAGE 3. Early BELL STAGE 4. Late/Advance BELL STAGE (named after the shape of the enamel organ)
  • 19.
    BUD STAGE Bud stageis characterized by rounded, localized growth of epithelium surrounded by proliferating mesenchymal cells, which are packed closely beneath and around the epithelial buds
  • 20.
     The epitheliumof the dental lamina is separated from underlying ectomesenchyme by a basement membrane.  The enamel organ consists of peripherally located low columnar cells and centrally located polygonal cells.
  • 22.
     DENTAL PAPILLA-The area of ectomesenchymal condensation immediately subjacent to enamel organ  DENTAL SAC- The condensed ectomesenchyme that surrounds the tooth bud and the dental papilla  Both the dental papilla and dental sac become more well defined as the enamel organ grows into cap and bell shapes
  • 23.
    TOOTH GERM ECTODERMAL COMPONENT ENAMEL ORGAN ECTOMESENCHYMAL COMPONENTS DENTALPAPILLA DENTAL SAC (enamel) (dentin &pulp) (cementum, PDL & alveolar bone)
  • 24.
    CAP STAGE  Theunequal growth in different parts of the tooth bud leads to the cap stage.  At this stage , tooth germ consists of: Outer Enamel epithelium Inner enamel epithelium Stellate Reticulum Dental papilla Dental sac
  • 27.
    TRANSITORY STRUCTURES  ENAMELKNOT (Ahrens knot)- The cells in the center of the enamel organ are densely packed and form the enamel knot.  ENAMEL CORD- The vertical extension of the enamel knot towards the underlying dental papilla is known as enamel cord.  The function of the enamel knot and cord may be to act as a reservoir of dividing cells for growing enamel organ. (Disappear before enamel formation begins)
  • 30.
     ENAMEL SEPTUM-When enamel cord extends to meet the outer enamel epithelium, it is termed as enamel septum as it divides the stellate reticulum into two parts.  ENAMEL NAVEL- A small depression that is formed at the point of meeting of enamel septum and outer enamel epithelium is known as enamel navel as it resembles umbilicus.
  • 31.
    ENAMEL NICHE The enamelorgan may seem to have a double attachment of dental lamina to the overlying oral epithelium enclosing ectomesenchyme called enamel niche between them.
  • 33.
    BELL STAGE  Asthe invagination of epithelium deepens & its margins continue to grow ,enamel organ assumes bell shape .  Early Bell Stage  Advanced Bell Stage
  • 34.
    EARLY BELL STAGE Inner enamel epithelium  Outer enamel epithelium  Stratum Intermedium  Stellate reticulum  Cervical loop or zone of reflexion  Dental Papilla  Dental Sac
  • 36.
  • 37.
    ADVANCED BELL STAGE Separation of tooth germ from Dental Lamina.  Hard tissue formation
  • 38.
    Separation of tooth germfrom Dental Lamina:  Dental lamina joining tooth germ to oral epithelium breaks into discrete islands of epithelial cells, thus separating developing tooth germ from oral epithelium.
  • 41.
     Hard tissueformation
  • 42.
    VASCULAR & NERVESUPPLY DURING TOOTH DEVELOPMENT Vascular Supply:  Clusters of blood vessels in dental follicle and papilla  Clustering of vessels in papilla coincide with position of root formation  Enamel organ is avascular, however vessels seen in close association in the follicle Nerve Supply:  Initially noted in the dental follicle during bud to cap stage  However after start of dentinogenesis, seen in dental papilla  Nerve fibers do not enter enamel organ
  • 43.
    TIME LINE OFHUMAN TOOTH DEVELOPMENT Age Developmental Characteristics  42 to 48 days Dental lamina formation  55 to 56 days Bud stage for deciduous teeth  14 weeks Bell stage for deciduous teeth; Bud stage for permanent teeth  18 weeks Dentin & functional ameloblasts in deciduous teeth  32 weeks Dentin & functional ameloblasts in permanent teeth.
  • 44.
    ROOT FORMATION  Itbegins after enamel & dentin formation has reached cemento enamel junction.  The enamel organ plays important role by forming Hertwig’s epithelial root sheath.  It is formed by proliferation of cervical loop cells .  It consists of only inner & outer enamel epithelium.  It molds the shape of root & initiate radicular dentin formation.
  • 45.
     When dentinis formed ,it looses its structural integrity & its close relation with root surface.  This loss of structural integrity is as a result of invasion of surrounding connective tissue of dental sac.  The epithelium is moved away from surface of dentin so that connective tissue cells come into contact with outer surface dentin & differentiate into cementblasts that deposite a layer of cementum onto surface of dentin.
  • 46.
     Remnants of Hertwig’sepithelial root sheath are found in periodontal ligament & are called rests of Malassez .
  • 47.
     Prior tothe beginning of root formation ,epithelial root sheath forms epithelial diaphragm by bending at future cemento enamel junction into horizontal plane ,narrowing the wide cervical opening of tooth.  Proliferation of cells of epithelial diaphragm is accompanied by ectomesenchymal cell proliferation, adjacent to diaphragm.
  • 51.
    HISTOPHYSIOLOGICAL & CLINICAL CONSIDERATIONS 1.Initiation 2. Proliferation 3. Histodifferentiation 4. Morphodifferentiation 5. Apposition
  • 52.
    MOLECULAR INSIGHTS INTOOTH MORPHOGENESIS  The study of tooth development used manipulation of tooth germ explants from wild type and mutant mice.  Studies on mammalian development are carried out with mice due to its suitability for both genetic and embryological manipulations.
  • 53.
    TOOTH INITIATION POTENTIAL Experiments conducted combining first arch epithelium with neural crest in anterior chamber of eye resulted in formation of tooth, while epithelium from other sites like that of limb or second arch doesn’t produce same results.  When dental epithelial organ is combined with skin, the tooth organ loses its dental characteristics and takes up the features of epidermis.
  • 56.
    ESTABLISHMENT OF ORAL-ABORALAXIS  LIM-homeobox(Lhx) genes are the earliest mesenchymal markers for tooth formation.  The expression of Fgf-8 establishes the anteroposterior axis of the first branchial arch and was shown restricted to the first arch.  Fgf-8 has been attributed to be regulating the expression of Lhx-6 & Lhx-7 genes.  Expression of Goosecoid in aboral mesenchyme
  • 57.
    CONTROL OF TOOTHGERM POSITION  The Pax-9 gene is one of the earliest mesenchymal genes that define the localization of the tooth germs.  Pax-9 gene expression co-localizes with exact sites where tooth germs appear.  Pax-9 gene is induced by Fgf-8 and is repressed by bone morphogenetic proteins(BMP-2 and BMP-4).  Activin-βA also has role in control of tooth germ position but it is not regulated by Fgf-8 & BMP-4 interactions.
  • 58.
    FUNCTIONAL REDUNDANCY &THEIR COMPLEXITIES  Dlx genes  Shh  Lef-1
  • 59.
    PATTERNING OF DENTITION The determination of specific tooth types at their correct positions in the jaws is referred to as patterning of the dentition.  Two models have been proposed:- 1. Field model 2. Clone model
  • 60.
  • 61.
  • 62.
    REGULATION OF ECTODERMALBOUNDARIES  Interactions between Wnt and Shh maintain boundaries between oral and dental ectoderm  Shh specifies the sites where tooth buds will form in future  Expression sites of Wnt-7b reciprocal to that of Shh  Wnt-7b is expressed throughout oral ectoderm except for presumptive dental ectoderm where Shh is expressed  Misexpression of Wnt-7b in presumptive dental ectoderm results in loss of Shh expression and failure of tooth bud formation.
  • 63.
    STOMODEAL THICKENING STAGE- DENTALLAMINA STAGE BUD STAGE
  • 64.
    ENAMEL KNOT- SIGNALINGCENTER FOR TOOTH MORPHOGENESIS  Enamel knot cells express several signaling molecules like sonic hedgehog, bone morphogenetic proteins Bmp-2, Bmp-4, Bmp-7, Wnt signaling molecules as well as Fgf-4.  As the same signaling molecules are expressed by well studied vertebrate signaling centres such as notochord, it was put forward that the enamel knot represents a signaling center for tooth morphogenesis.
  • 65.
    REFERENCES  ORBANS OralHistology and embryology, 13th edition  TENCATES Oral Histology Development, Structure and Function. Antonio Nanci. Seventh edition  Oral Cells and Tissues. Philias R.Garant  Oral Development nd Histology..Avery. Third edition  The Genetic Control Of Early Tooth Development. R Mass and M Bei. Critical Reviews In Oral Biology And Medicine 1997 8:4