By Hesham Dameer
Definition : shedding or exfoliation of deciduous teeth 
is a term given to describe the physiologic process that 
ultimately leads to replacement of the deciduous teeth 
by their corresponding permanent successors . 
Significance : 
1) the small deciduous teeth cannot grow in size to 
accommodate the growing jaw, thus , another 
generation of teeth is needed to fulfill this requisity . 
1) Growth of muscle of mastication from infant to 
adult leading to increase the masticatory force so 
the periodontal ligament of deciduous teeth can not 
withstand the masticatory force . 
.
Pattern of shedding : 
a. Shedding of deciduous anterior teeth : 
the permanent incisors and canines tooth germs 
initially develop in apicolingual position to their 
deciduous predecessors , so, the permanent anterior 
tooth germs move into an incisolabial direction and, in 
latter stages, they are frequently located apical to their 
deciduous predecessors . Thus, the resorptive process is 
initiated on apico-lingual root surface, and then 
proceeds in a transverse plane apically . This secures 
the replacement of the primary teeth by their permanent 
successors in the exact position
b. Shedding of deciduous molars : 
the premolars begin their development lingual to 
their corresponding primary molars . 
In later stage, however , they are frequently found 
between the divergent roots of the primary molars 
.Therefore resorption of the roots of deciduous 
molars first begins on their inner surfaces because 
The early developing bicuspids are found between 
them, then Come to lie apical to deciduous molars . 
At this time , the developing premolars become away 
and pressure is relieved from deciduous root so the 
areas of early resorption are repaired by 
deposition of new-cementum like tissue.
Later when the bicuspids begin to erupt 
resorption of the deciduous molars is again 
initiated and continuous until the roots are 
completely lost and the tooth is shed .
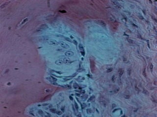
Histology of shedding 
Odontoclast 
exfoliation of the primary teeth takes place by a 
continuous resorption of their roots by cells having 
identical histology to osteoclasts (osteoclasts are 
bone resorbing cells ) . 
Since these cells are concerned in the resorption of 
the dental tissues ,so they are referred to as 
odontoclasts . These cells are capable to resorb all 
dental hard tissues even the enamel . 
Odontoclasts resorb hard tissue by separating 
mineral from the collagen matrix through the action 
of hydrolytic enzymes
Origin of Odontoclast : 
It is presume that, they have the same origin of 
osteoclasts , that is monocytes . An alternative origin 
of odontoclasts is the undifferentiated mesenchymal 
cells . 
Morphology : 
The odontoclasts are easily recognized , with light 
microscope , in clusters rather than singly and appear 
occupying hollowed-out shallow depressions known 
Howship's lacunae . 
By scanning electron microscope: these lacunae seem 
not as small focal bays but rather long shallow troughs 
. This indicates that during the resorptive process , the 
odontoclasts continuously move inside the resorbing 
dentin .
An odontoclast is a large cell that is characterized by 
multiple nuclei and a cytoplasm with a homogeneous, 
"foamy" appearance. This appearance is due to a high 
concentration of vesicles and vacuoles. At a site of 
active dentin resorption, the odontoclast forms a 
specialized cell membrane, the "ruffled border“ ( brush 
border ) , which faces the surface of the dentin tissue. 
The ruffled border facilitates removal of the dentin 
matrix. The ruffled border increases surface area 
interface for dentin resorption. The mineral portion of 
the matrix (called hydroxyapatite) includes calcium and 
phosphate ions. These ions are absorbed into small 
vesicles which move across the cell and eventually are 
released into the extracellular fluid, thus increasing 
levels of the ions in the blood.
By transmission electron microscope : 
 The portion of cell membrane facing the resorbing 
bone is thrown into numerous folds that may invaginate 
the cytoplasm up to 2-3 micrometer deep. The regional 
cytoplasm adjacent to the brush border appear devoid of 
cell organelles but rich in actin and myosin (the 
attachment zone ) which are presumed to provide an 
attaching system for odontoclast to the dentin surface . 
 The remainder of the odontoclasts is heavily laden 
with mitochondria and vesicles especially concentrated 
beside the ruffled border . Also the cytoplasm contains a 
large number of nuclei, well developed , tightly packed 
Golgi saccules while several small vesicles (presumed 
to be primary lysosomes) are located peripheral to these 
saccules .
Distribution : the odontoblasts occupy variable positions 
and this depends on the different pattern of resorption 
occurring in the different teeth . They are located on 
the root surface , to resorb both cementum and dentin 
in relation to the site of pressure exerted by the 
erupting permanent successor . The odontoclasts have 
occasionally found in the root canals or pulp chamber 
lying against the predentin surface . 
The pattern of resorption of single rooted teeth 
ultimately leads to shedding of the primary teeth before 
their roots are completely resorbed and the erupting 
permanent tooth compresses on the outer root surface 
therefore, the odontoclasts are not found in the pulp 
chamber but on the root surface . However, in 
multirooted teeth, odontoclasts are seen in the pulp 
chamber .
Odontoclast
Histological features of teeth undergoing 
shedding: 
Root surfaces exhibit resorption lacunae and 
odontoclast cells are often associated with these 
concavities. It is significant that periodontal fibroblasts 
in the area show signs of impaired function. The fact 
that programmed cell death is seen during shedding 
that occurs at specific ages is consistent with the 
concept that shedding is a genetically determined 
process. 
It should be emphasized that the pulp tissue in teeth 
undergoing shedding appears histologically normal 
except that neural elements seem to be missing. Thus 
the pulp does not contribute to the process of 
shedding and plays a passive role in this process.
Mechanism of action during resorption of 
mineralized tissues: 
odontoclasts act by isolating an area of hard tissue 
(bone, cementum, dentin or even enamel) using clear 
cytoplasmic areas (no organelles) and through plasma 
membrane associated enzymes that act as proton 
pumps, the isolated area's pH is lowered making it 
acidic. This acidity breaks down the hydroxyapatite 
crystals of the inorganic content and also denature the 
collagenous organic matrix. Essentially denaturing 
makes the tightly assembled collagen fibrils looser. The 
proteolytic enzymes both secreted and within 
lysosomes in the odontoclasts cells are then able to 
break down this collagenous organic matrix.
The histochemical study have evidenced that the 
odontoclasts characteristically contain a high level 
of acid phosphatase activity . 
Mechanism of shedding : 
I) Initiation of shedding 
Two factors are presumed to initiate shedding of 
the primary teeth : 
a. pressure factor which leads into the 
differentiation of the odontoclasts 
* pressure of the erupting permanent tooth . 
* augmentation of the masticatory forces 
b. genetic factor is probably responsible for the 
initiation of root resorption and an ultimate 
shedding of primary teeth .
II) Process of shedding : 
The scanning and transmission electronmicrographs 
demonstrate the presence of mineral crystallites in the 
depth of the brush border enfolding .This denotes that, 
during resorption, the minerals of the dental hard 
tissues are primarily removed . 
It is presumed that the intracellular vesicles are thought 
to be primary lysosomes, which discharge their content 
extracellularly among the brush border, thus creating an 
acidic medium . Such medium causes minerals 
dissolution. However the removal of the dissolved 
minerals could be mechanically facilitated by the 
folding of the brush border . 
The disintegration of the organic matrix occurs by 
secretion of the proteolytic enzymes by odontoclast
into smaller molecular components and then degraded 
intracellularly by the vesicle containing-acid 
phosphatase enzyme found beside the brush border .
Tissue and cellular changes: 
Shedding is an intermittent process with periods of 
resorption involving alveolar bone, cementum and root 
dentin resorption by clast cells, osteoclasts and 
odontoclasts, respectively and recovery periods when 
osteoblasts and cementoblasts replace part of the 
resorbed tissues. Eventually more resorption takes place 
and when the tooth loses its supporting periodontal 
tissues, it is shed. During this process the primary teeth 
become loose during the periods of resorption and 
tighten during the brief periods of apposition.
Intermittent resorption 
During root resorption, 
periods of resorption 
are alternated by 
periods of cementum 
repair. 
Cementoblasts 
deposit cementum in 
areas of resorption 
forming a reversal 
line. Some 
cementoblasts 
become embedded in 
the cementum and 
are then called 
Cementocytes. 
A, Reversal line; B, Cementoblasts; C, 
Cementocyte.
Dr.Hesham Dameer

Shedding of deciduous teeth

  • 1.
  • 2.
    Definition : sheddingor exfoliation of deciduous teeth is a term given to describe the physiologic process that ultimately leads to replacement of the deciduous teeth by their corresponding permanent successors . Significance : 1) the small deciduous teeth cannot grow in size to accommodate the growing jaw, thus , another generation of teeth is needed to fulfill this requisity . 1) Growth of muscle of mastication from infant to adult leading to increase the masticatory force so the periodontal ligament of deciduous teeth can not withstand the masticatory force . .
  • 3.
    Pattern of shedding: a. Shedding of deciduous anterior teeth : the permanent incisors and canines tooth germs initially develop in apicolingual position to their deciduous predecessors , so, the permanent anterior tooth germs move into an incisolabial direction and, in latter stages, they are frequently located apical to their deciduous predecessors . Thus, the resorptive process is initiated on apico-lingual root surface, and then proceeds in a transverse plane apically . This secures the replacement of the primary teeth by their permanent successors in the exact position
  • 5.
    b. Shedding ofdeciduous molars : the premolars begin their development lingual to their corresponding primary molars . In later stage, however , they are frequently found between the divergent roots of the primary molars .Therefore resorption of the roots of deciduous molars first begins on their inner surfaces because The early developing bicuspids are found between them, then Come to lie apical to deciduous molars . At this time , the developing premolars become away and pressure is relieved from deciduous root so the areas of early resorption are repaired by deposition of new-cementum like tissue.
  • 6.
    Later when thebicuspids begin to erupt resorption of the deciduous molars is again initiated and continuous until the roots are completely lost and the tooth is shed .
  • 7.
    Histology of shedding Odontoclast exfoliation of the primary teeth takes place by a continuous resorption of their roots by cells having identical histology to osteoclasts (osteoclasts are bone resorbing cells ) . Since these cells are concerned in the resorption of the dental tissues ,so they are referred to as odontoclasts . These cells are capable to resorb all dental hard tissues even the enamel . Odontoclasts resorb hard tissue by separating mineral from the collagen matrix through the action of hydrolytic enzymes
  • 8.
    Origin of Odontoclast: It is presume that, they have the same origin of osteoclasts , that is monocytes . An alternative origin of odontoclasts is the undifferentiated mesenchymal cells . Morphology : The odontoclasts are easily recognized , with light microscope , in clusters rather than singly and appear occupying hollowed-out shallow depressions known Howship's lacunae . By scanning electron microscope: these lacunae seem not as small focal bays but rather long shallow troughs . This indicates that during the resorptive process , the odontoclasts continuously move inside the resorbing dentin .
  • 9.
    An odontoclast isa large cell that is characterized by multiple nuclei and a cytoplasm with a homogeneous, "foamy" appearance. This appearance is due to a high concentration of vesicles and vacuoles. At a site of active dentin resorption, the odontoclast forms a specialized cell membrane, the "ruffled border“ ( brush border ) , which faces the surface of the dentin tissue. The ruffled border facilitates removal of the dentin matrix. The ruffled border increases surface area interface for dentin resorption. The mineral portion of the matrix (called hydroxyapatite) includes calcium and phosphate ions. These ions are absorbed into small vesicles which move across the cell and eventually are released into the extracellular fluid, thus increasing levels of the ions in the blood.
  • 10.
    By transmission electronmicroscope :  The portion of cell membrane facing the resorbing bone is thrown into numerous folds that may invaginate the cytoplasm up to 2-3 micrometer deep. The regional cytoplasm adjacent to the brush border appear devoid of cell organelles but rich in actin and myosin (the attachment zone ) which are presumed to provide an attaching system for odontoclast to the dentin surface .  The remainder of the odontoclasts is heavily laden with mitochondria and vesicles especially concentrated beside the ruffled border . Also the cytoplasm contains a large number of nuclei, well developed , tightly packed Golgi saccules while several small vesicles (presumed to be primary lysosomes) are located peripheral to these saccules .
  • 11.
    Distribution : theodontoblasts occupy variable positions and this depends on the different pattern of resorption occurring in the different teeth . They are located on the root surface , to resorb both cementum and dentin in relation to the site of pressure exerted by the erupting permanent successor . The odontoclasts have occasionally found in the root canals or pulp chamber lying against the predentin surface . The pattern of resorption of single rooted teeth ultimately leads to shedding of the primary teeth before their roots are completely resorbed and the erupting permanent tooth compresses on the outer root surface therefore, the odontoclasts are not found in the pulp chamber but on the root surface . However, in multirooted teeth, odontoclasts are seen in the pulp chamber .
  • 12.
  • 15.
    Histological features ofteeth undergoing shedding: Root surfaces exhibit resorption lacunae and odontoclast cells are often associated with these concavities. It is significant that periodontal fibroblasts in the area show signs of impaired function. The fact that programmed cell death is seen during shedding that occurs at specific ages is consistent with the concept that shedding is a genetically determined process. It should be emphasized that the pulp tissue in teeth undergoing shedding appears histologically normal except that neural elements seem to be missing. Thus the pulp does not contribute to the process of shedding and plays a passive role in this process.
  • 20.
    Mechanism of actionduring resorption of mineralized tissues: odontoclasts act by isolating an area of hard tissue (bone, cementum, dentin or even enamel) using clear cytoplasmic areas (no organelles) and through plasma membrane associated enzymes that act as proton pumps, the isolated area's pH is lowered making it acidic. This acidity breaks down the hydroxyapatite crystals of the inorganic content and also denature the collagenous organic matrix. Essentially denaturing makes the tightly assembled collagen fibrils looser. The proteolytic enzymes both secreted and within lysosomes in the odontoclasts cells are then able to break down this collagenous organic matrix.
  • 23.
    The histochemical studyhave evidenced that the odontoclasts characteristically contain a high level of acid phosphatase activity . Mechanism of shedding : I) Initiation of shedding Two factors are presumed to initiate shedding of the primary teeth : a. pressure factor which leads into the differentiation of the odontoclasts * pressure of the erupting permanent tooth . * augmentation of the masticatory forces b. genetic factor is probably responsible for the initiation of root resorption and an ultimate shedding of primary teeth .
  • 24.
    II) Process ofshedding : The scanning and transmission electronmicrographs demonstrate the presence of mineral crystallites in the depth of the brush border enfolding .This denotes that, during resorption, the minerals of the dental hard tissues are primarily removed . It is presumed that the intracellular vesicles are thought to be primary lysosomes, which discharge their content extracellularly among the brush border, thus creating an acidic medium . Such medium causes minerals dissolution. However the removal of the dissolved minerals could be mechanically facilitated by the folding of the brush border . The disintegration of the organic matrix occurs by secretion of the proteolytic enzymes by odontoclast
  • 25.
    into smaller molecularcomponents and then degraded intracellularly by the vesicle containing-acid phosphatase enzyme found beside the brush border .
  • 26.
    Tissue and cellularchanges: Shedding is an intermittent process with periods of resorption involving alveolar bone, cementum and root dentin resorption by clast cells, osteoclasts and odontoclasts, respectively and recovery periods when osteoblasts and cementoblasts replace part of the resorbed tissues. Eventually more resorption takes place and when the tooth loses its supporting periodontal tissues, it is shed. During this process the primary teeth become loose during the periods of resorption and tighten during the brief periods of apposition.
  • 27.
    Intermittent resorption Duringroot resorption, periods of resorption are alternated by periods of cementum repair. Cementoblasts deposit cementum in areas of resorption forming a reversal line. Some cementoblasts become embedded in the cementum and are then called Cementocytes. A, Reversal line; B, Cementoblasts; C, Cementocyte.
  • 28.