Systemic Sclerosis
Presenter: Dr.Anup Goswami
Moderator: Prof. Th. Bijayanti Devi
Introduction
 Systemic sclerosis (SSc, scleroderma)- autoimmune connective
tissue disease (AI-CTD) of unknown etiology
 Affects the skin, blood vessels and internal organs
 Two major clinical subtypes: limited and diffuse
 Limited SSc is characterized by fibrotic skin changes that are limited to the
fingers, hands and face and includes the CREST syndrome.
 Diffuse SSc, generalized fibrotic skin changes are seen and they usually
start in the fingers and hands but spread to involve the forearms, arms,
trunk, face and lower extremities
History
• The first reported case of SSc (in 1754) was a young Italian woman who
developed progressive induration of her skin
Epidemiology
• The annual incidence & prevalence rates(US)- 20 and 250 cases per million
population, respectively.
• Women- affected three to four times more
• onset - typically between the ages of 30 and 50 years.
• Approximately 1.5% patients have one or more affected first-degree
relatives, representing a 10- to 15-fold higher risk in family
• SSc - significant mortality rate, 10-year survival of less than 70%
Pathogenesis
• Can be discussed under following three headings:
1. Vascular dysregulation
2. Immune dysregulation
3. Fibrosis
Vascular Dysregulation
• Impaired angiogenesis- early event in the pathogenesis of SSc
• Blood vessels effected- smallest capillaries within the proximal nail fold to the
large pulmonary arteries
• Endothelial cell injury occurs early- perivascular leak & edema
• Surrounding smooth muscle cells- affected & have altered production of and
responsiveness to vasoconstrictors (e.g. cold, endothelin) & vasodilators (e.g.
nitric oxide)
• Intimal proliferation luminal occlusion develop hypoxia, release of
profibrotic cytokines, fibroblast activation & collagen production
• Raynaud’s phenomenon & digital ulcers- d/t reversible vasospasm &
irreversible arterial damage with intimal proliferation & luminal obstruction
• Scleroderma renal crisis & pulmonary artery hypertension - manifestations of
large vessel dysregulation
Immune dysregulation
• Autoantibodies -e.g. anticentromere, anti-topoisomerase I [Scl-70]
• Complexes containing topoisomerase I autoantibody, when bound to the
surface of fibroblasts, have been found to stimulate monocyte adhesion and
activation
• Presence of anti-endothelial cell antibodies
• Lymphocytic infiltrates have been observed in both the skin and lungs
• Oligoclonal T-cell expansion- lesional skin, indicating an antigen driven
response & T cells demonstrate a Th2-predominant profile with increased
production of profibrotic cytokines- interleukin (IL)-4 and IL-13
• Th17 cells and IL-17 have been implicated, have the innate immune system
and types I (α,β) and II (γ) interferons
• Expansion of naive B cells & chronic activation, but a decreased number of
memory B cells.
Fibrosis
• Fibrosis represents the final common pathway
• Excessive deposition of collagens, proteoglycans, fibronectin, fibrillins and
adhesion molecules (e.g. β1-integrins), which sequester cytokines and
growth factors
• Transforming growth factor-β (TGF-β) and connective tissue growth factor
(CTGF)
• connective tissue growth factor (CTGF) -responsible for maintenance of
collagen synthesis
• Both the fibroblast and the myofibroblast- ECM changes
• Inherent defect, an autocrine loop, or a hypersensitivity to growth factors in
SSc fibroblasts
• Accumulation of collagen in SSc seems to be primarily the result of
increased synthesis, rather than decreased degradation
Clinical features
Diagnostic criteria & classification:
• Classification scheme of the American College of Rheumatology-
a) One major criterion – symmetric cutaneous sclerosis proximal to th
metacarpophalangeal (MCP) or metatarsophalangeal (MTP) joints
or
b) Two or more minor criteria – i) sclerodactyly , ii) digital pitted scars or
loss of substance from finger pads , iii) bibasilar pulmonary fibrosis –
considered diagnostic of SSc
• Two major clinical subtypes: limited and diffuse
• Diffuse disease: skin disease involves the distal and proximal portions of
the extremities plus the trunk and face
• Limited disease: induration is limited to the distal extremities and face, it is
considered limited disease
• Diffuse SSc - early internal organ involvement (within 5 years of disease
onset) and a worse prognosis
• Limited SSc tend to develop internal involvement later in the disease
course, occasionally after decades
• CREST syndrome describes the clinical features in a subset of patients with
limited SSc: calcinosis, Raynaud’s phenomenon, esophageal involvement,
sclerodactyly and telangiectasia
• systemic sclerosis sine scleroderma: internal organ involvement, Raynaud’s
phenomenon and positive serologies but no cutaneous involvement
Cutaneous features
• Early edematous phase, which often feature
pitting edema of the digits
• Subsequently hardens and develops a taut,
shiny appearance (indurated phase)
• Eventually, there may be gradual thinning of
the skin (late atrophic phase)
• Fingers can develop flexion contractures and
ulcers
• Involvement of the face can lead to a beaked
nose, microstomia and a somewhat youthful
appearance
• The earliest feature is usually, but not invariably,
Raynaud’s phenomenon
• episodic vasospasm of the digital arteries
resulting in white, blue and red discoloration of
the fingers secondary to cold stimuli
• Primary Raynaud’s phenomenon (Raynaud’s
disease): develops in adolescent girls and young
women and is not associated with any
underlying medical problems. Primary
Raynaud’s phenomenon is common and
estimated to affect 3% to 5% of the population
• secondary Raynaud’s phenomenon :
uncommon and is associated with an underlying
medical problem
• Dyspigmentation in areas of sclerosis is
commonly observed. Some patients develop
diffuse hyperpigmentation, with accentuation in
sun-exposed areas and sites of pressure
• “leukoderma of scleroderma” is characterized
by localized areas of depigmentation with sparing
of the perifollicular skin; this helpful diagnostic
finding is sometimes referred to as the “salt and
pepper” sign
• Pigment may also be retained in the skin overlying
superficial veins. This leukoderma favors the
upper trunk and central face and may overlie
uninvolved or sclerotic skin.
 Telangiectasias: are more common in patients with limited SSc but also occur in
patients with diffuse disease
• most often involve the face, lips and palms
• Telangiectatic macules are matted or squared-off
 Capillary abnormalities in the proximal nail fold are present in more than 90% of
SSc patients and can be useful in supporting the diagnosis .Use of an
ophthalmoscope or dermatoscope may enhance appreciation of the changes. A
distinct pattern of capillary loss (“drop out”) alternating with dilated loops is
characteristic of SSc
• Dystrophic calcinosis cutis most
commonly develops on the extremities,
usually near joints and in distal locations
• skin is often dry due to decreased
sweating, and pruritus can be quite marked
• Fibrotic skin in SSc may show diminished
hair growth, but this is variable;
hypertrichosis can also occur, particularly
during the recovery phase
Cutaneous ulcer
• Cutaneous ulcers are common in
patients with SSc .Whereas ulcers on
the tips of the digits are probably due
to ischemia those on the
interphalangeal joints are more likely
to persist because of continued trauma
• Ulcers can lead to osteomyelitis and
even amputation (autoamputation or
surgical intervention)
• Tight, taught, shiny skin on face-indurationa( inability to pinch skin)/ forehead with
decreased wrinkling/ shininess/ pigmentation
• Inability to retract lower eyelids (ingram sign)
• Difficulty in mouth opening/ purse string appearance
• Rhagades- fissures, cracks & linear scars present on angle of mouth & nasolabial folds
• Tongue protrudind
• Ridging & tightness/ salt & pepper pigmentation of neck- Barnett’s neck sign
• Sausage shaped digits/ flexion deformities of hands/ loss of pulp of finger/ stellate scars
with or without active digital ulcer
• Nailfold changes: periungual telangiectesia, pallor, nail plate changes
• Pterygium inversum unguis, hair loss of skin, loss of appendages
• Any pigmentation of skin
• Tenson friction rub
• Hair: Telogen effluvium
• Peripheral nerves: sensation/ claw hands/ deformity
Systemic sclerosis without skin
involvement
• A. Calcinosis: Calcification in systemic sclerosis occurs most commonly
(25%) in the fingers, especially on the palmar aspects of the terminal
phalanges
• 10 times as common in females as in males
• Calcification also occurs in the soft tissues around the iliac crests, alongside
the spine between the vertebrae, around the knees, on the dorsa of the feet
and around the elbows
• ulceration of superficial nodules occurs, with discharge of chalky material
• Calcification may occur in the internal organs
Bone changes
• phalangeal absorption is associated with
calcinosis
• 70% of patients show absorption, which may be
minimal and only involve one terminal phalanx,
or be gross and involve several phalanges,
including the middle or even proximal phalanges
• erosive arthropathy, with ‘pestle and mortar’
deformity of the distal interphalangeal joints,
resembles that seen in psoriatic arthropathy
• Pain in the temporomandibular area and a
grinding sensation on chewing may be associated
with bone resorption of the angle of the mandible
[4] and zygomatic arches
• increased intraosseous deposition of Ca++ &
osteopoikilosis, a rare condition in which
multiple small islands of dense bone occur at the
epiphyses and metaphyses
• Osteolysis & avascular necrosis
Pulmonary involvement
• diffuse pulmonary fibrosis associated with diffuse disease
or pulmonary hypertension
• Dyspnoea on exertion is usually the first symptom, Cough,
usually without sputum, is also a common
symptom,cyanosis & clubbing
• Recurrent episodes of pneumothorax, pleurisy, pulmonary
effusion and pneumonia
• earliest change consists of diffuse reticular shadowing
extending from the cardiac borders to the peripheral and
basal parts of the lungs, usually in the lower lung fields
• ‘honeycomb lung’
• Pneumothorax & pulmonary calcification
• diffusing capacity (transfer factor); this test is impaired in
75% of patients
• DLco may give an indication of survival; if it is less than
40% there is a 10% 5-year survival, compared with 75% if
it is greater than 40%
• presence of antihistone and antitopoisomerase (Scl-70) are
associated with pulmonary fibrosis
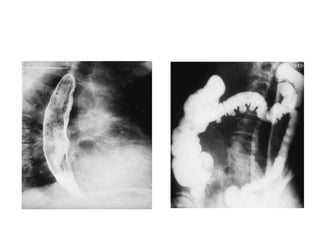
Gastro-intestinal tract involment
1. Macroglosia
2. oesophagus: is involved in approximately 75% of all patients and is the most
frequent part affected
• Dysphagia & esophageal reflux
• typical radiological appearance is that of an atonic dilated oesophagus, which
contains air in the resting state
• Stricture of the lower end of the oesophagus occurs in just over 10% of patients
• Hiatus hernia occurs in approximately 25% of patients
3. stomach: shows dilatation and lack of peristalsis in approximately 6% of cases
• Systemic sclerosis is one cause of gastric antral vascular ectasia—the socalled
‘watermelon stomach’, because of the striped appearance on endoscopy
• GI bleeding
4. duodenum shows changes of dilatation and lack of peristalsis in approximately one-
third of patients
• 2nd & 3rd part
• Duodenal ulceration
5. Intestinal involvement: obstruction, and death may follow from paralytic ileus
• Volvolus, bleeding from telangiectesis, bacterial overgrowth & malabsorption
• Steatorrhoea, malabsorption of glucose, calcium, vitamin B12 and folic acid
• Excessive enteric loss of protein
• Pancreatic function is abnormal in 15% of cases, and death may occur from pancreatic
necrosis
• Pneumatosis cystoides intestinalis may complicate small intestine involvement
• recurrent acute or subacute intestinal obstruction and rupture of cysts can cause
pneumoperitoneum
6. Colon: involved in 43% patients
• constipation or diarrhoea
• most striking radiological change is the presence of wide-mouthed diverticula, best
demonstrated on post-evacuation roentgenograms
• Perforation & peritonotis- may cause death
• Volvulus
• Colonic telangiectesia – anaemia
• Rectal prolapse and faecal incontinence may result
Hepatic involvement
• liver is usually normal in systemic sclerosis, although cirrhosis and portal
hypertension are occasionally found
• Bleeding from oesophageal varices may occur
• 17% of patients with primary biliary cirrhosis
• Ascites
Cardiac involvement
• Resting ECG is abnormal in approximately 50% of cases, and cold-induced changes also
occur
• Abnormalities of rhythm occur and these include paroxysmal atrial tachycardia, atrial
fibrillation and flutter
• Partial or complete heart block is not uncommon
• ECG may show bifid P waves and T-wave changes, indicating atrial or ventricular
myocardial involvement
• Conduction system seems to be relatively spared in systemic sclerosis
• Dyspnoea may be present but pain in the chest is not a prominent feature
• Pericardial involvement occurs and is usually asymptomatic
• Mitral valve prolapse
• Coronary reserve is reduced
• Enlargement of the heart, left-ventricular hypertrophy or a triangular outline are the most
frequent radiological abnormalities
• CT and magnetic resonance imaging (MRI) have demonstrated evidence of cardiac
fibrosis
Renal involvement
• Renal hypertension
• Slight proteinuria is considered to be the most common clinical feature
• Proteinuria occurred in 36%, hypertension in 24%, azotaemia in 19% and malignant
hypertension in 7%
• 40% of patients show disturbances of creatinine clearance
• Nephrotic syndrome is rare
• Approximately 8% of patients with renal involvement develop malignant
hypertension
• Angiotensin-converting enzyme (ACE) have revolutionized this aspect of the
disease
Muscle involvement
• Muscle weakness may occur
• Muscles of the forearms and hands are affected as well as the proximal muscles
• Creatine phosphokinase elevation and excessive creatinuria correlate well with
muscle weakness
• Electromyography is abnormal in 50% of patients early in the disease and in 93% in
late stages and histological changes are present in approximately 40%
• MRI and spectroscopy can be useful non-invasive monitors of disease activity
Joint & Tendon involvement
• Arthritic pain is not uncommon in the early stages of systemic sclerosis
• Radiological changes indistinguishable from rheumatoid arthritis
• Periarticular osteoporosis, joint-space narrowing, erosions, rarely avascular necrosis,
erosions of long bones, bone ankylosis and erosive osteoarthritis
• Leathery, palpable and audible friction rubs occur over the limbs and tendons in
approximately 25%
• Rupture of the extensor tendons of the hand has been reported. The tendon may be
infiltrated with amyloid.
Central nervous system
• 10% cases involved
• Autonomic neuropathy may not be uncommon
• Trigeminal neuropathy presents with numbness and pain in the face [10], and
occurs in 4%
• Carpal tunnel syndrome and meralgia paraesthetica may occur
• Subacute combined degeneration is the result of vitamin B12 deficiency caused by
malabsorption
• Spinal cord compression may occur because of soft-tissue calcification
• EEG- not specific
• Sensory chronaxia is prolonged in both abnormal and normal skin
Eye changes
• Tightness of the lids, diminished tear secretion,
• keratoconjunctivitis sicca and shallow fornices are specific ophthalmic changes
• Sjögren’s syndrome occurs in 15% of cases
• Retinopathy with haemorrhages, exudates and cytoid bodies- with a relatively low
blood pressure, and direct vascular involvement
• Fluorescein angiography shows vascular abnormalities in the choroid in 50% and in
the retina in 10%
• Central retinal vein occlusion has been reported
Dental changes
• Widening of the periodontal membrane because of fibrosis, thickening of the vessel
walls - 30%
• Thickening of the periodontal membrane is not related to the duration of Raynaud’s
phenomenon, calcinosis, involvement of internal organs, antinuclear factor or
prognosis
• Osteolysis of the mandibular angle and coronoid process occurs with equal
frequency- may fracture
• Multiple external and internal root resorptions for which all the teeth were removed
was successfully treated with osseointegrated implants
Histopathology
• Areas of cutaneous induration are
characterized by compact or hyalinized
collagen, excessive deposition of collagen
• Atrophic eccrine and pilosebaceous glands
• Loss of subcutaneous fat, and
• A sparse lymphocytic infiltrate in the
dermis and subcutis
• Adnexal structures, especially eccrine
glands, may be “trapped” by the excessive
deposition of collagen
Differential Diagnosis
Differential Diagnosis-cont.
Laboratory Investigations
• Routine CBC- microangiopathic hemolytic picture with renal crisis
• Urine microscopy & test for proteinuria
• LFT, KFT
• CPK & LDH
• Elevation of gammaglobulin occurs more frequently than elevation of α2-
globulin. Other acute-phase reactants are usually normal, although there are
defects in the acute-phase response to some stimuli
• Cold agglutinins may be found in 25% of cases
• Coombs’ test is usually negative, although Coombs’-positive haemolytic
anaemia and pancytopenia have been reported
• Anticardiolipin antibodies are found in 25% of cases overall, and occur
more frequently in those severely affected
• Cryofibrinogenaemia has been held responsible for ulceration and gangrene
of the fingers in some cases
1. Antinuclear antibodies (ANA): 78% of patients
• Using Hep-2 cells, both speckled and homogeneous types occur & nucleolar
patterns—speckled, homogeneous and clumpy—demonstrated more frequently than
in other diseases
2. Anticentromere antibodies:
- with Raynaud’s phenomenon before the clinical features of systemic sclerosis appear
& in 53% of lSSc
- Indicative of a favourable prognosis
- 6% of patients with SLE (including drug-induced lupus), 6% of patients with mixed
connective tissue disease, 17% of patients with primary biliary cirrhosis and
systemic sclerosis [13], 11% of patients with primary biliary cirrhosis alone and 5%
of patients with morphoea
3. Scl-70 Ab: diffuse ‘frosted glass’ staining of nuclei of Hep-2 cells is caused by Scl-
70 antibody, a precipitating antibody to topoisomerase I- unique to systemic
sclerosis (in patients with dcSSc) & occurs in approximately 20% of patients,
particularly those with lung involvement
4. antibody to centriole , anti-Jo-1 and anti-Ro/SS-A
5. Anti RNA polymerase 1 & 3- in 15-20% patients
6. Anti U1-RNPAb-in MCTD
7. Anti PM-scl Ab- seen in scleroderma myositis overlap syndrome
• ECG: to detect ryhthm & conduction abnormality
• Echocardiography & Right heart catheterization: for pulmonary artery HTN
• Pulmonary function tests: to detect fibrotic changes
• X-rays & CT scan: lung involvement
• Esophageal manometry, Endoscopic examination & Barrium studies: G.I
involvements
• Skin biopsy:
• Nail fold capillaroscopy: architectural disorganization, giant capillaries,
hemorrhages, loss of capillaries, angiogenesis, avascular areas
• Modified Rodnan’s skin scores (mRSS)
Treatment
1. Raynaud’s phenomenon:
• First line therapy: beavioural
-Involves educating patients to keep warm and avoid smoking to minimize the frequency
and severity of attacks
• Second-line therapy : pharmacologic: starting with vasodilators
- Calcium channel blockers- Nifedepine
- Angiotensin II Rs blockers- Losartan
- phosphodiesterase type 5 inhibitors (e.g. sildenafil, tadalafil) that target the nitric oxide-
mediated vasodilation pathway have been employed
• -Oral antiplatelet agents (e.g. low-dose aspirin) and/or pentoxifylline may
theoretically provide additional blood flow to compromised distal sites
Cutaneous ulcers
• Digital ulcers on the fingers are difficult to treat and a source of great morbidity
• Bosentan, an oral endothelin receptor antagonist, has been approved
• Oral iloprost (a prostacyclin analogue)- intravenously, results in a reduction in digital ulcers
and improved healing
• Subcutaneous prostacyclin analogue treprostinil suggest that it may also be effective
• In refractory cases, nerve blocks and sympathectomies may be considered
• Autolytic debridement of ulcers via occlusive dressings is thought to be safer than mechanical
debridement
• Moist hydrocolloid dressings provide a better wound healing environment than dry or wet-to-
dry dressings
• Enzymatic debriding agents (e.g. collagenase) and topically applied growth factors (e.g.
PDGF) have been utilized
• Skin equivalents or grafts can also be used to stimulate the wound bed and decrease wound
pain
Cutaneous Sclerosis
• D-penicillamine in 134 patients with diffuse disease, there was no difference between
the low-dose and the high-dose treatment groups
• Minocycline looked promising in a pilot study, a larger follow-up study failed to show a
benefit
• Methotrexate can be helpful in SSc patients with overlap polymyositis
• Photopheresis has been shown to have a marginal effect on skin scores.
• PUVA and UVA1 may also have a role in SSc therapy
Other cutaneous complications
• Calcinosis cutis: Low-dose warfarin (i.e. a dose that does not alter the prothrombin
time) can decrease the inflammatory reaction associated with calcium deposits
• Calcium channel blockers
• Surgical removal of the calcium deposits may be necessary
• Extracorporeal shock wave lithotripsy
• Telangiectasias can be treated cosmetically with pulsed dye laser therapy
Internal organ involvement-
• The ideal therapy for systemic sclerosis is at present conjectural and there is no universal
agreement over the choice of therapy
• Pai et al.[3] used DP therapy in systemic sclerosis but unfortunately only in too few
number of patients
• Masood et al. have reported the preliminary results of DP therapy in systemic sclerosis
- dose of dexamethasone used was 50 mg in Dextrose 5% intravenously over 3
days/month for 12–18 pulses only. In their study of 10 patients completing therapy, there
was reported to be an improvement in Raynaud’s phenomenon (marked in 6/10,
moderate in 3/10, mild in 1/10)
- Digital ulcers responded markedly in 8/9 patients
- Sclerosis improved markedly in 3/10, moderately in 6/10, and mildly in 1/10 patients
and this was assessed visually, on palpation and on pre- and posttreatment biopsies of
skin
-Improvement in breathlessness and dysphagia
- adverse effects, tubercular cervical lymphadenopathy in one, abnormal weight gain in
one, and acid peptic disease in one patient
• This study was taken further since then with a few modifications:
1. Dose of dexamethasone was increased to 100 mg.
2. Duration of therapy was extended till the time of maximal improvement (i.e., till no
further improvement was seen even after six more pulses).
3. Furst’s organ indices scoring method for pretreatment assessment and for
monitoring the response to treatment was used
DEXAMETHASONE -CYCLOPHOSPHAMIDE PULSE THERAPY IN PROGRESSIVE
SYSTEMIC SCLEROSIS
Vishalakshi Viswanath, Amey D Sonavane, Aditi C Doshi, Mrunal G Parab
• A pilot study was conducted to determine the efficacy of Dexamethasone-
Cyclophosphamide Pulse therapy (DCP) without intermittent cyclophosphamide for a
fixed duration of 12 months
• Fourteen cases (13 females, one male) between 15 to 50 years, with both cutaneous and
respiratory symptoms, fulfilling the ARA scleroderma criteria
• Median duration of disease was two years (range: eight months - six years)
• Each patient received 100 mg dexamethasone in 500 ml, 5% dextrose over three hours for
three consecutive days + 500 mg cyclophosphamide on the first day, once a month for 12
consecutive months
• Improvement in Raynaud’s phenomenon in three cases after the first pulse, six after the
second and the rest after three pulses
• Skin tightening showed improvement in nine cases within five pulses and the rest after
eight pulses
• Dyspnoea improved in eight of 10 cases within three pulses
• Side effects like weight gain (six), backache (two), Cushingoid features (two) and
urinary tract infections
• Sole Dexamethasone pulse therapy (12 – 21 months duration) for PSS has been studied
by Pasricha et al., Gupta and Ahmad et al.mwherein improvement in dyspnoea required
6 - 18 pulses as compared to three pulses in this study
• Shorter duration therapy (six months) used by Sharada et al. induced a definite clinical
improvement, though confined to the skin alone
• Cycliphosphamide only pulse therapy: Airò et al. concluded that intravenous
cyclophosphamide alone given for six months can achieve a significant
improvement in PFTs in Correspondence patients with active alveolitis
• Barbara et al. also recorded lung function improvement in 103 patients with
alveolitis who received daily as well as pulse cyclophosphamide for 12-18
months
• Single pediatric patient studied by Vatwani et al. found eight DCPs without
intermittent cyclophosphamide to be effective
• DCP (without intermittent cyclophosphamide), offers a regimen of fixed and
fewer pulses leading to better patient compliance, decreased side effects and
early reversal of the cutaneous and pulmonary complaints as compared to sole
dexamethasone/cyclophosphamide pulse therapies
• Advances in the treatment of pulmonary artery hypertension:
- endothelin receptor antagonists (bosentan, sitaxsentan, ambrisentan
- phosphodiesterase type 5 inhibitors (sildenafil, tadalafil)
- Prostacyclin analogues (iloprost [inhaled], epoprostenol [intravenous], treprostinil
[subcutaneous]) are approved for pulmonary arterial hypertension
• Immunosuppressive agents: mycophenolate mofetil, azathioprine, chlorambucil, 5-
fluorouracil, cyclosporine
• Autologous hematopoietic stem cell transplantation is currently being studied
• Tyrosine kinase inhibitor imatinib has shown some promise in small studies
Referances
1. Bolognia 3rd ed
2. Rook’s Textbook of Dermatology, 8th ed
3. Sameem, Farah, et al. "Dexamethasone pulse therapy in patients of systemic
sclerosis: Is it a viable proposition? A study from kashmir." Indian journal of
dermatology 55.4 (2010): 355
4. Viswanath, Vishalakshi, et al. "Dexamethasone-cyclophosphamide pulse therapy in
progressive systemic sclerosis." Indian journal of dermatology 55.3 (2010): 304
5. Ahmad, Qazi Masood, et al. "Increased incidence of tuberculosis in patients of
systemic sclerosis on dexamethasone pulse therapy: A short communication from
Kashmir." Indian journal of dermatology 53.1 (2008): 24
Thank you

Systemic sclerosis

  • 1.
    Systemic Sclerosis Presenter: Dr.AnupGoswami Moderator: Prof. Th. Bijayanti Devi
  • 2.
    Introduction  Systemic sclerosis(SSc, scleroderma)- autoimmune connective tissue disease (AI-CTD) of unknown etiology  Affects the skin, blood vessels and internal organs  Two major clinical subtypes: limited and diffuse  Limited SSc is characterized by fibrotic skin changes that are limited to the fingers, hands and face and includes the CREST syndrome.  Diffuse SSc, generalized fibrotic skin changes are seen and they usually start in the fingers and hands but spread to involve the forearms, arms, trunk, face and lower extremities
  • 3.
    History • The firstreported case of SSc (in 1754) was a young Italian woman who developed progressive induration of her skin
  • 4.
    Epidemiology • The annualincidence & prevalence rates(US)- 20 and 250 cases per million population, respectively. • Women- affected three to four times more • onset - typically between the ages of 30 and 50 years. • Approximately 1.5% patients have one or more affected first-degree relatives, representing a 10- to 15-fold higher risk in family • SSc - significant mortality rate, 10-year survival of less than 70%
  • 5.
    Pathogenesis • Can bediscussed under following three headings: 1. Vascular dysregulation 2. Immune dysregulation 3. Fibrosis
  • 6.
    Vascular Dysregulation • Impairedangiogenesis- early event in the pathogenesis of SSc • Blood vessels effected- smallest capillaries within the proximal nail fold to the large pulmonary arteries • Endothelial cell injury occurs early- perivascular leak & edema • Surrounding smooth muscle cells- affected & have altered production of and responsiveness to vasoconstrictors (e.g. cold, endothelin) & vasodilators (e.g. nitric oxide) • Intimal proliferation luminal occlusion develop hypoxia, release of profibrotic cytokines, fibroblast activation & collagen production • Raynaud’s phenomenon & digital ulcers- d/t reversible vasospasm & irreversible arterial damage with intimal proliferation & luminal obstruction • Scleroderma renal crisis & pulmonary artery hypertension - manifestations of large vessel dysregulation
  • 7.
    Immune dysregulation • Autoantibodies-e.g. anticentromere, anti-topoisomerase I [Scl-70] • Complexes containing topoisomerase I autoantibody, when bound to the surface of fibroblasts, have been found to stimulate monocyte adhesion and activation • Presence of anti-endothelial cell antibodies • Lymphocytic infiltrates have been observed in both the skin and lungs • Oligoclonal T-cell expansion- lesional skin, indicating an antigen driven response & T cells demonstrate a Th2-predominant profile with increased production of profibrotic cytokines- interleukin (IL)-4 and IL-13 • Th17 cells and IL-17 have been implicated, have the innate immune system and types I (α,β) and II (γ) interferons • Expansion of naive B cells & chronic activation, but a decreased number of memory B cells.
  • 8.
    Fibrosis • Fibrosis representsthe final common pathway • Excessive deposition of collagens, proteoglycans, fibronectin, fibrillins and adhesion molecules (e.g. β1-integrins), which sequester cytokines and growth factors • Transforming growth factor-β (TGF-β) and connective tissue growth factor (CTGF) • connective tissue growth factor (CTGF) -responsible for maintenance of collagen synthesis • Both the fibroblast and the myofibroblast- ECM changes • Inherent defect, an autocrine loop, or a hypersensitivity to growth factors in SSc fibroblasts • Accumulation of collagen in SSc seems to be primarily the result of increased synthesis, rather than decreased degradation
  • 11.
    Clinical features Diagnostic criteria& classification: • Classification scheme of the American College of Rheumatology- a) One major criterion – symmetric cutaneous sclerosis proximal to th metacarpophalangeal (MCP) or metatarsophalangeal (MTP) joints or b) Two or more minor criteria – i) sclerodactyly , ii) digital pitted scars or loss of substance from finger pads , iii) bibasilar pulmonary fibrosis – considered diagnostic of SSc
  • 12.
    • Two majorclinical subtypes: limited and diffuse • Diffuse disease: skin disease involves the distal and proximal portions of the extremities plus the trunk and face • Limited disease: induration is limited to the distal extremities and face, it is considered limited disease • Diffuse SSc - early internal organ involvement (within 5 years of disease onset) and a worse prognosis • Limited SSc tend to develop internal involvement later in the disease course, occasionally after decades • CREST syndrome describes the clinical features in a subset of patients with limited SSc: calcinosis, Raynaud’s phenomenon, esophageal involvement, sclerodactyly and telangiectasia • systemic sclerosis sine scleroderma: internal organ involvement, Raynaud’s phenomenon and positive serologies but no cutaneous involvement
  • 13.
    Cutaneous features • Earlyedematous phase, which often feature pitting edema of the digits • Subsequently hardens and develops a taut, shiny appearance (indurated phase) • Eventually, there may be gradual thinning of the skin (late atrophic phase) • Fingers can develop flexion contractures and ulcers • Involvement of the face can lead to a beaked nose, microstomia and a somewhat youthful appearance
  • 15.
    • The earliestfeature is usually, but not invariably, Raynaud’s phenomenon • episodic vasospasm of the digital arteries resulting in white, blue and red discoloration of the fingers secondary to cold stimuli • Primary Raynaud’s phenomenon (Raynaud’s disease): develops in adolescent girls and young women and is not associated with any underlying medical problems. Primary Raynaud’s phenomenon is common and estimated to affect 3% to 5% of the population • secondary Raynaud’s phenomenon : uncommon and is associated with an underlying medical problem
  • 16.
    • Dyspigmentation inareas of sclerosis is commonly observed. Some patients develop diffuse hyperpigmentation, with accentuation in sun-exposed areas and sites of pressure • “leukoderma of scleroderma” is characterized by localized areas of depigmentation with sparing of the perifollicular skin; this helpful diagnostic finding is sometimes referred to as the “salt and pepper” sign • Pigment may also be retained in the skin overlying superficial veins. This leukoderma favors the upper trunk and central face and may overlie uninvolved or sclerotic skin.
  • 17.
     Telangiectasias: aremore common in patients with limited SSc but also occur in patients with diffuse disease • most often involve the face, lips and palms • Telangiectatic macules are matted or squared-off  Capillary abnormalities in the proximal nail fold are present in more than 90% of SSc patients and can be useful in supporting the diagnosis .Use of an ophthalmoscope or dermatoscope may enhance appreciation of the changes. A distinct pattern of capillary loss (“drop out”) alternating with dilated loops is characteristic of SSc
  • 19.
    • Dystrophic calcinosiscutis most commonly develops on the extremities, usually near joints and in distal locations • skin is often dry due to decreased sweating, and pruritus can be quite marked • Fibrotic skin in SSc may show diminished hair growth, but this is variable; hypertrichosis can also occur, particularly during the recovery phase
  • 20.
    Cutaneous ulcer • Cutaneousulcers are common in patients with SSc .Whereas ulcers on the tips of the digits are probably due to ischemia those on the interphalangeal joints are more likely to persist because of continued trauma • Ulcers can lead to osteomyelitis and even amputation (autoamputation or surgical intervention)
  • 21.
    • Tight, taught,shiny skin on face-indurationa( inability to pinch skin)/ forehead with decreased wrinkling/ shininess/ pigmentation • Inability to retract lower eyelids (ingram sign) • Difficulty in mouth opening/ purse string appearance • Rhagades- fissures, cracks & linear scars present on angle of mouth & nasolabial folds • Tongue protrudind • Ridging & tightness/ salt & pepper pigmentation of neck- Barnett’s neck sign • Sausage shaped digits/ flexion deformities of hands/ loss of pulp of finger/ stellate scars with or without active digital ulcer • Nailfold changes: periungual telangiectesia, pallor, nail plate changes • Pterygium inversum unguis, hair loss of skin, loss of appendages • Any pigmentation of skin • Tenson friction rub • Hair: Telogen effluvium • Peripheral nerves: sensation/ claw hands/ deformity
  • 22.
    Systemic sclerosis withoutskin involvement • A. Calcinosis: Calcification in systemic sclerosis occurs most commonly (25%) in the fingers, especially on the palmar aspects of the terminal phalanges • 10 times as common in females as in males • Calcification also occurs in the soft tissues around the iliac crests, alongside the spine between the vertebrae, around the knees, on the dorsa of the feet and around the elbows • ulceration of superficial nodules occurs, with discharge of chalky material • Calcification may occur in the internal organs
  • 23.
    Bone changes • phalangealabsorption is associated with calcinosis • 70% of patients show absorption, which may be minimal and only involve one terminal phalanx, or be gross and involve several phalanges, including the middle or even proximal phalanges • erosive arthropathy, with ‘pestle and mortar’ deformity of the distal interphalangeal joints, resembles that seen in psoriatic arthropathy • Pain in the temporomandibular area and a grinding sensation on chewing may be associated with bone resorption of the angle of the mandible [4] and zygomatic arches • increased intraosseous deposition of Ca++ & osteopoikilosis, a rare condition in which multiple small islands of dense bone occur at the epiphyses and metaphyses • Osteolysis & avascular necrosis
  • 24.
    Pulmonary involvement • diffusepulmonary fibrosis associated with diffuse disease or pulmonary hypertension • Dyspnoea on exertion is usually the first symptom, Cough, usually without sputum, is also a common symptom,cyanosis & clubbing • Recurrent episodes of pneumothorax, pleurisy, pulmonary effusion and pneumonia • earliest change consists of diffuse reticular shadowing extending from the cardiac borders to the peripheral and basal parts of the lungs, usually in the lower lung fields • ‘honeycomb lung’ • Pneumothorax & pulmonary calcification • diffusing capacity (transfer factor); this test is impaired in 75% of patients • DLco may give an indication of survival; if it is less than 40% there is a 10% 5-year survival, compared with 75% if it is greater than 40% • presence of antihistone and antitopoisomerase (Scl-70) are associated with pulmonary fibrosis
  • 25.
    Gastro-intestinal tract involment 1.Macroglosia 2. oesophagus: is involved in approximately 75% of all patients and is the most frequent part affected • Dysphagia & esophageal reflux • typical radiological appearance is that of an atonic dilated oesophagus, which contains air in the resting state • Stricture of the lower end of the oesophagus occurs in just over 10% of patients • Hiatus hernia occurs in approximately 25% of patients 3. stomach: shows dilatation and lack of peristalsis in approximately 6% of cases • Systemic sclerosis is one cause of gastric antral vascular ectasia—the socalled ‘watermelon stomach’, because of the striped appearance on endoscopy • GI bleeding 4. duodenum shows changes of dilatation and lack of peristalsis in approximately one- third of patients • 2nd & 3rd part • Duodenal ulceration 5. Intestinal involvement: obstruction, and death may follow from paralytic ileus • Volvolus, bleeding from telangiectesis, bacterial overgrowth & malabsorption
  • 26.
    • Steatorrhoea, malabsorptionof glucose, calcium, vitamin B12 and folic acid • Excessive enteric loss of protein • Pancreatic function is abnormal in 15% of cases, and death may occur from pancreatic necrosis • Pneumatosis cystoides intestinalis may complicate small intestine involvement • recurrent acute or subacute intestinal obstruction and rupture of cysts can cause pneumoperitoneum 6. Colon: involved in 43% patients • constipation or diarrhoea • most striking radiological change is the presence of wide-mouthed diverticula, best demonstrated on post-evacuation roentgenograms • Perforation & peritonotis- may cause death • Volvulus • Colonic telangiectesia – anaemia • Rectal prolapse and faecal incontinence may result
  • 28.
    Hepatic involvement • liveris usually normal in systemic sclerosis, although cirrhosis and portal hypertension are occasionally found • Bleeding from oesophageal varices may occur • 17% of patients with primary biliary cirrhosis • Ascites
  • 29.
    Cardiac involvement • RestingECG is abnormal in approximately 50% of cases, and cold-induced changes also occur • Abnormalities of rhythm occur and these include paroxysmal atrial tachycardia, atrial fibrillation and flutter • Partial or complete heart block is not uncommon • ECG may show bifid P waves and T-wave changes, indicating atrial or ventricular myocardial involvement • Conduction system seems to be relatively spared in systemic sclerosis • Dyspnoea may be present but pain in the chest is not a prominent feature • Pericardial involvement occurs and is usually asymptomatic • Mitral valve prolapse • Coronary reserve is reduced • Enlargement of the heart, left-ventricular hypertrophy or a triangular outline are the most frequent radiological abnormalities • CT and magnetic resonance imaging (MRI) have demonstrated evidence of cardiac fibrosis
  • 30.
    Renal involvement • Renalhypertension • Slight proteinuria is considered to be the most common clinical feature • Proteinuria occurred in 36%, hypertension in 24%, azotaemia in 19% and malignant hypertension in 7% • 40% of patients show disturbances of creatinine clearance • Nephrotic syndrome is rare • Approximately 8% of patients with renal involvement develop malignant hypertension • Angiotensin-converting enzyme (ACE) have revolutionized this aspect of the disease
  • 31.
    Muscle involvement • Muscleweakness may occur • Muscles of the forearms and hands are affected as well as the proximal muscles • Creatine phosphokinase elevation and excessive creatinuria correlate well with muscle weakness • Electromyography is abnormal in 50% of patients early in the disease and in 93% in late stages and histological changes are present in approximately 40% • MRI and spectroscopy can be useful non-invasive monitors of disease activity
  • 32.
    Joint & Tendoninvolvement • Arthritic pain is not uncommon in the early stages of systemic sclerosis • Radiological changes indistinguishable from rheumatoid arthritis • Periarticular osteoporosis, joint-space narrowing, erosions, rarely avascular necrosis, erosions of long bones, bone ankylosis and erosive osteoarthritis • Leathery, palpable and audible friction rubs occur over the limbs and tendons in approximately 25% • Rupture of the extensor tendons of the hand has been reported. The tendon may be infiltrated with amyloid.
  • 33.
    Central nervous system •10% cases involved • Autonomic neuropathy may not be uncommon • Trigeminal neuropathy presents with numbness and pain in the face [10], and occurs in 4% • Carpal tunnel syndrome and meralgia paraesthetica may occur • Subacute combined degeneration is the result of vitamin B12 deficiency caused by malabsorption • Spinal cord compression may occur because of soft-tissue calcification • EEG- not specific • Sensory chronaxia is prolonged in both abnormal and normal skin
  • 34.
    Eye changes • Tightnessof the lids, diminished tear secretion, • keratoconjunctivitis sicca and shallow fornices are specific ophthalmic changes • Sjögren’s syndrome occurs in 15% of cases • Retinopathy with haemorrhages, exudates and cytoid bodies- with a relatively low blood pressure, and direct vascular involvement • Fluorescein angiography shows vascular abnormalities in the choroid in 50% and in the retina in 10% • Central retinal vein occlusion has been reported
  • 35.
    Dental changes • Wideningof the periodontal membrane because of fibrosis, thickening of the vessel walls - 30% • Thickening of the periodontal membrane is not related to the duration of Raynaud’s phenomenon, calcinosis, involvement of internal organs, antinuclear factor or prognosis • Osteolysis of the mandibular angle and coronoid process occurs with equal frequency- may fracture • Multiple external and internal root resorptions for which all the teeth were removed was successfully treated with osseointegrated implants
  • 36.
    Histopathology • Areas ofcutaneous induration are characterized by compact or hyalinized collagen, excessive deposition of collagen • Atrophic eccrine and pilosebaceous glands • Loss of subcutaneous fat, and • A sparse lymphocytic infiltrate in the dermis and subcutis • Adnexal structures, especially eccrine glands, may be “trapped” by the excessive deposition of collagen
  • 37.
  • 38.
  • 39.
    Laboratory Investigations • RoutineCBC- microangiopathic hemolytic picture with renal crisis • Urine microscopy & test for proteinuria • LFT, KFT • CPK & LDH • Elevation of gammaglobulin occurs more frequently than elevation of α2- globulin. Other acute-phase reactants are usually normal, although there are defects in the acute-phase response to some stimuli • Cold agglutinins may be found in 25% of cases • Coombs’ test is usually negative, although Coombs’-positive haemolytic anaemia and pancytopenia have been reported • Anticardiolipin antibodies are found in 25% of cases overall, and occur more frequently in those severely affected • Cryofibrinogenaemia has been held responsible for ulceration and gangrene of the fingers in some cases
  • 40.
    1. Antinuclear antibodies(ANA): 78% of patients • Using Hep-2 cells, both speckled and homogeneous types occur & nucleolar patterns—speckled, homogeneous and clumpy—demonstrated more frequently than in other diseases 2. Anticentromere antibodies: - with Raynaud’s phenomenon before the clinical features of systemic sclerosis appear & in 53% of lSSc - Indicative of a favourable prognosis - 6% of patients with SLE (including drug-induced lupus), 6% of patients with mixed connective tissue disease, 17% of patients with primary biliary cirrhosis and systemic sclerosis [13], 11% of patients with primary biliary cirrhosis alone and 5% of patients with morphoea 3. Scl-70 Ab: diffuse ‘frosted glass’ staining of nuclei of Hep-2 cells is caused by Scl- 70 antibody, a precipitating antibody to topoisomerase I- unique to systemic sclerosis (in patients with dcSSc) & occurs in approximately 20% of patients, particularly those with lung involvement 4. antibody to centriole , anti-Jo-1 and anti-Ro/SS-A 5. Anti RNA polymerase 1 & 3- in 15-20% patients 6. Anti U1-RNPAb-in MCTD 7. Anti PM-scl Ab- seen in scleroderma myositis overlap syndrome
  • 42.
    • ECG: todetect ryhthm & conduction abnormality • Echocardiography & Right heart catheterization: for pulmonary artery HTN • Pulmonary function tests: to detect fibrotic changes • X-rays & CT scan: lung involvement • Esophageal manometry, Endoscopic examination & Barrium studies: G.I involvements • Skin biopsy: • Nail fold capillaroscopy: architectural disorganization, giant capillaries, hemorrhages, loss of capillaries, angiogenesis, avascular areas • Modified Rodnan’s skin scores (mRSS)
  • 43.
    Treatment 1. Raynaud’s phenomenon: •First line therapy: beavioural -Involves educating patients to keep warm and avoid smoking to minimize the frequency and severity of attacks • Second-line therapy : pharmacologic: starting with vasodilators - Calcium channel blockers- Nifedepine - Angiotensin II Rs blockers- Losartan - phosphodiesterase type 5 inhibitors (e.g. sildenafil, tadalafil) that target the nitric oxide- mediated vasodilation pathway have been employed • -Oral antiplatelet agents (e.g. low-dose aspirin) and/or pentoxifylline may theoretically provide additional blood flow to compromised distal sites
  • 44.
    Cutaneous ulcers • Digitalulcers on the fingers are difficult to treat and a source of great morbidity • Bosentan, an oral endothelin receptor antagonist, has been approved • Oral iloprost (a prostacyclin analogue)- intravenously, results in a reduction in digital ulcers and improved healing • Subcutaneous prostacyclin analogue treprostinil suggest that it may also be effective • In refractory cases, nerve blocks and sympathectomies may be considered • Autolytic debridement of ulcers via occlusive dressings is thought to be safer than mechanical debridement • Moist hydrocolloid dressings provide a better wound healing environment than dry or wet-to- dry dressings • Enzymatic debriding agents (e.g. collagenase) and topically applied growth factors (e.g. PDGF) have been utilized • Skin equivalents or grafts can also be used to stimulate the wound bed and decrease wound pain
  • 45.
    Cutaneous Sclerosis • D-penicillaminein 134 patients with diffuse disease, there was no difference between the low-dose and the high-dose treatment groups • Minocycline looked promising in a pilot study, a larger follow-up study failed to show a benefit • Methotrexate can be helpful in SSc patients with overlap polymyositis • Photopheresis has been shown to have a marginal effect on skin scores. • PUVA and UVA1 may also have a role in SSc therapy
  • 46.
    Other cutaneous complications •Calcinosis cutis: Low-dose warfarin (i.e. a dose that does not alter the prothrombin time) can decrease the inflammatory reaction associated with calcium deposits • Calcium channel blockers • Surgical removal of the calcium deposits may be necessary • Extracorporeal shock wave lithotripsy • Telangiectasias can be treated cosmetically with pulsed dye laser therapy
  • 47.
    Internal organ involvement- •The ideal therapy for systemic sclerosis is at present conjectural and there is no universal agreement over the choice of therapy • Pai et al.[3] used DP therapy in systemic sclerosis but unfortunately only in too few number of patients • Masood et al. have reported the preliminary results of DP therapy in systemic sclerosis - dose of dexamethasone used was 50 mg in Dextrose 5% intravenously over 3 days/month for 12–18 pulses only. In their study of 10 patients completing therapy, there was reported to be an improvement in Raynaud’s phenomenon (marked in 6/10, moderate in 3/10, mild in 1/10) - Digital ulcers responded markedly in 8/9 patients - Sclerosis improved markedly in 3/10, moderately in 6/10, and mildly in 1/10 patients and this was assessed visually, on palpation and on pre- and posttreatment biopsies of skin -Improvement in breathlessness and dysphagia - adverse effects, tubercular cervical lymphadenopathy in one, abnormal weight gain in one, and acid peptic disease in one patient
  • 48.
    • This studywas taken further since then with a few modifications: 1. Dose of dexamethasone was increased to 100 mg. 2. Duration of therapy was extended till the time of maximal improvement (i.e., till no further improvement was seen even after six more pulses). 3. Furst’s organ indices scoring method for pretreatment assessment and for monitoring the response to treatment was used
  • 49.
    DEXAMETHASONE -CYCLOPHOSPHAMIDE PULSETHERAPY IN PROGRESSIVE SYSTEMIC SCLEROSIS Vishalakshi Viswanath, Amey D Sonavane, Aditi C Doshi, Mrunal G Parab • A pilot study was conducted to determine the efficacy of Dexamethasone- Cyclophosphamide Pulse therapy (DCP) without intermittent cyclophosphamide for a fixed duration of 12 months • Fourteen cases (13 females, one male) between 15 to 50 years, with both cutaneous and respiratory symptoms, fulfilling the ARA scleroderma criteria • Median duration of disease was two years (range: eight months - six years) • Each patient received 100 mg dexamethasone in 500 ml, 5% dextrose over three hours for three consecutive days + 500 mg cyclophosphamide on the first day, once a month for 12 consecutive months • Improvement in Raynaud’s phenomenon in three cases after the first pulse, six after the second and the rest after three pulses • Skin tightening showed improvement in nine cases within five pulses and the rest after eight pulses • Dyspnoea improved in eight of 10 cases within three pulses
  • 50.
    • Side effectslike weight gain (six), backache (two), Cushingoid features (two) and urinary tract infections • Sole Dexamethasone pulse therapy (12 – 21 months duration) for PSS has been studied by Pasricha et al., Gupta and Ahmad et al.mwherein improvement in dyspnoea required 6 - 18 pulses as compared to three pulses in this study • Shorter duration therapy (six months) used by Sharada et al. induced a definite clinical improvement, though confined to the skin alone • Cycliphosphamide only pulse therapy: Airò et al. concluded that intravenous cyclophosphamide alone given for six months can achieve a significant improvement in PFTs in Correspondence patients with active alveolitis • Barbara et al. also recorded lung function improvement in 103 patients with alveolitis who received daily as well as pulse cyclophosphamide for 12-18 months • Single pediatric patient studied by Vatwani et al. found eight DCPs without intermittent cyclophosphamide to be effective • DCP (without intermittent cyclophosphamide), offers a regimen of fixed and fewer pulses leading to better patient compliance, decreased side effects and early reversal of the cutaneous and pulmonary complaints as compared to sole dexamethasone/cyclophosphamide pulse therapies
  • 51.
    • Advances inthe treatment of pulmonary artery hypertension: - endothelin receptor antagonists (bosentan, sitaxsentan, ambrisentan - phosphodiesterase type 5 inhibitors (sildenafil, tadalafil) - Prostacyclin analogues (iloprost [inhaled], epoprostenol [intravenous], treprostinil [subcutaneous]) are approved for pulmonary arterial hypertension • Immunosuppressive agents: mycophenolate mofetil, azathioprine, chlorambucil, 5- fluorouracil, cyclosporine • Autologous hematopoietic stem cell transplantation is currently being studied • Tyrosine kinase inhibitor imatinib has shown some promise in small studies
  • 52.
    Referances 1. Bolognia 3rded 2. Rook’s Textbook of Dermatology, 8th ed 3. Sameem, Farah, et al. "Dexamethasone pulse therapy in patients of systemic sclerosis: Is it a viable proposition? A study from kashmir." Indian journal of dermatology 55.4 (2010): 355 4. Viswanath, Vishalakshi, et al. "Dexamethasone-cyclophosphamide pulse therapy in progressive systemic sclerosis." Indian journal of dermatology 55.3 (2010): 304 5. Ahmad, Qazi Masood, et al. "Increased incidence of tuberculosis in patients of systemic sclerosis on dexamethasone pulse therapy: A short communication from Kashmir." Indian journal of dermatology 53.1 (2008): 24
  • 53.