Cerebellopontine
Angle Anatomy
Outline
• Anatomy of the CP angle
• Imaging Characteristics
• Differential Diagnosis
• Pathology of the CP Angle
• Surgical Approaches
Anatomy
Ventral bs
picture
Anatomy
White arrow: 6th CN
C: cochlea
V: Vestibule
Black arrows:
cochlear and inferior
vestibular nerves
P: inferior cerebellar
peduncle
Anatomy: CP angle
3 Neurovascular Complexes
1. Upper Complex: SCA
2. Middle Complex: AICA
3. Lower Complex: PICA
Anatomy: CP angle
Anatomy: CP angle
AICA Segments
▪ Green: Anterior Pontine
▪ Contacts rootlets of CN
6
▪ Orange: Lateral
pontomedullary
▪ Blue: Flocculonodular
▪ Red: Cortical
Anatomy: CP angle
AICA Segments
▪ Green: Anterior Pontine
▪ Contacts rootlets of CN
6
Anatomy: CP angle
AICA Segments
▪ Orange: Lateral
pontomedullary
▪ Related to:
▪ Internal auditory
meatus
▪ CN 7, 8
▪ Choroid plexus
protruding from
foramen of Luska
Anatomy: CP angle
AICA Segments
▪ Orange: Lateral
pontomedullary
▪ This segment is divided
into 3 parts:
▪ Premeatal
▪ Meatal
▪ Postmeatal
Anatomy: CP angle
AICA Segments
▪ Orange: Lateral
pontomedullary
▪ Nerve Related Branches:
▪ Labyrinth artery CN
7, 8 and the
vestibulococclear
labyrinth
▪ Enters the IAC
▪ Recurrent Perforating
artery brainstem
▪ Subarcuate artery
petrous bone in the
region of the
semicircular canals.
Anatomy: CP angle
AICA Segments
▪ Blue: Flocculonodular
▪ May pass rostral or
caudal to flocculus
▪ Often hidden by
flocculus or lips of the
cerebellopontinue
fissure
▪ Red: Cortical
▪ Predominantly supplies
the petrosal surface
CP Angle: Neural Relationships
Anatomy: Internal Auditory
Meatus
Rhoton 543
Anatomy: Internal Auditory
Meatus
Rhoton
542I
Anatomy: Internal Auditory
Meatus
CP Angle Pathology
• Presentation
• Differential Diagnosis
• Vestibular schwannoma
• Meningiomas
• Epidermoids
Presentation
• Sensorineural hearing loss
• Tinnitus
• Vestibular disturbances
• Headache
• Facial numbness
• Facial weakness
• Nausea/vomiting
• Diplopia
• Lower CN palsies (9, 10, 12): hoarseness, dysphagia
• Facial spasm
Differential Diagnosis
▪ Followed by (most common least
common):
• Vestibular schwannoma (most common 80%)
• Meningiomas
• Epidermoids
• Schwannomas of other nerves
• Glomus jugulare tumors
• Glial tumors
• Metastatic lesions
Vestibular Schwannoma
• Vestibular schwannoma is the most accurate
term.
• Neuroma is a misnomer, the cellular makeup is
more consistent with a schwannoma
• Most lesions arise from the vestibular portion of
the 8th cranial nerve.
• Other synonyms
• Acoustic neuroma
• Acoustic schwannoma
• Neurinoma
• Neurilemmoma
Vestibular Schwannoma
• 6-8% of all intracranial tumors
• Most common neoplasm of the CP angle
• WHO grade I lesion
• The superior vestibular nerve is the most common site of origin
(70%).
Vestibular Schwannoma
SPORADIC
• Unilateral
• VS constitute 95% of all
schwannomas.
• Present during the 4th
and 5th decades of life.
• Displaces CN 8
NF-2
• Bilateral
(pathognomonic)
• Chromosome 22
• Often present at a
younger age.
• SCREENING: any patient
<40yo with unilateral VS
should be evaluated for
NF2.
Vestibular Schwannoma:
Imaging Characteristics
• Avidly enhancing mass
in the IAC-CPA
• Centered on the porus
accousticus
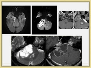
Vestibular Schwannoma:
Imaging Characteristics
Vestibular Schwannoma:
Pathology
• VS arise in the region of
the Obersteiner-Redlich
zone.
• Approximately 8-12mm
from the pons
• Abrupt transition where
oligodendrocyte myelin
meets Schwann cell
myelin.
• Oligodendrocytes stain
lighter than Schwann
cells
Vestibular Schwannoma:
Pathology
Antoni A: compact
regions
Antoni B: loose regions
“Schools of fish” swimming in
different directions.
Epidermoid
• Account for 1% of intracranial tumors and
about 7% of CPA tumors.
• Peak age of occurrence is 40 yrs.
• Synonyms
• Cholesteatoma
• Pearly tumor
• Ectodermal inclusion cyst
Epidermoid
• Usually arise from ectoderm trapped within or
displaced into the CNS
• Epithelial cell rests are carried into the CPA with the
developing otic vesicle.
• May produce aseptic meningits caused by rupture
of the cyst contents.
• May lead to hydrocephalus
• Mollaret’s meningitis: (rare variant) which includes
large cells in the CSF that resemble endothelial cells
(possible macrophages).
Epidermoid
• Imaging
• XR
• Scalloped margins
• MRI
• T1-hypointense
• T2-hyperintense
• Some tumors show rim enhancement
• Restricted diffusion on DWI as a result of restriction of
water movement
• CT
• Bone erosion is seen in 30%
Epidermoid: Pathology
• Lined by stratified squamous epithelium and
contain keratin (from desquamated
epithelium), cellular debris, and cholesterol.
• Grows at a linear rate (similar to skin)
• Cyst contents may be liquid or may have a flaky
consistency.
Epidermoid
• Treatment
• Surgical goal is to remove as much tumor as
possible, but often have to leave capsule adherent
to critical structures.
• Perioperative steroids and copious irrigation may
reduce the risk of post-op hydrocephalus and
aseptic meningitis.
Meningioma
Surgical Considerations
• Audiology
• Facial Nerve Function
• Neuromonitoring
Audiology
• Audiometric and Audiologic Studies
• Gardener and Robertson modified hearing
classification
Class Description Pure tone
audiogram
(dB)
Speech
discrimination
I good-excellent 0-30 70-100%
II serviceable 31-50 50-59%
III nonserviceable 51-90 5-49%
IV poor 91-max 1-4%
V none Not testable 0
Surgical Considerations:
House and Brackmann Grading Scale
Surgical Considerations:
Neuromonitoring
Brainstem function Somatosensory evoked potential (SEP)
Contralateral brainstem auditory evoked
potentials (BAERs)
Facial nerve function Facial electromyography in frontalis, orbicularis
oculi, and mentalis muscles
Intraoperative stimulation of CN 7
Cochlear nerve function Ipsilateral BAERs
Direct electronic monitoring of cochlear nerve
Brainstem Auditory Evoked
Responses (BAERs)
I. Cochlear nerve
II. Cochlear nuclei (pons)
III. Superior olivary complex
IV. Lateral lemniscus
V. Inferior colliculus
(midbrain)
VI. Medial geniculate body
VII. Auditory radiations
Brainstem Auditory Evoked
Responses (BAERS)
Surgical Approaches
• Posterior to the sigmoid sinus
• Retrosigmoid
• Transpetrosal
• Multiple variations
• Pre-sigmoid: petrosectomy
• Retrolabyrinthine approach
• Translabyrinthine approach
• Transcochlear approach
Surgical Approaches:
Retrosigmoid
• Most common approach.
• Tumors <2.5 cm to avoid
too much cerebellar
retraction.
• Right sigmoid sinus is
usually dominant
compared to the left.
Surgical Approaches:
Retrosigmoid
• C-shaped skin incision, 4
cm posterior to the
posterior edge of the
mastoid process.
• 2 burr holes with one at
the junction of the
transverse/sigmoid sinus.
Surgical Approaches:
Retrosigmoid
• May need to drill away
some of the mastoid to
expose the sigmoid sinus.
• May need to expose the
foramen magnum for
access to the cisterna
magna
• Initial dural opening at
the anterior-inferior
aspect.
Surgical Approaches:
Retrosigmoid
• Petrosal vein can usually
be saved in small to
medium sized tumors.
• Subarcuate artery must
be sacrificed.
• Stimulate tumor capsule
at this point to look for
the facial nerve.
Surgical Approaches:
Retrosigmoid
Surgical Approaches:
Retrosigmoid
• Multiple cochlear nerve
filaments penetrate the
small openings of the
lamina cribrosa
• These can be easily torn.
• Direct traction and
strokes of dissection
from medial lateral
Surgical Approaches:
Transpetrosal
• Can be used for large tumors (>4cm), particularly those that
extend up through the tentorial notch
• Includes some degree of a posterior petrosectomy
• Retrolabyrinthine approach
• Translabyrinthine approach
• Transcochlear approach
• Most of the operation is performed through the pre-sigmoid
and subtemporal space, although can also be combined with a
retrosigmoid approach especially for lesions with inferior
extension.
• Boundaries
• Superior: CN 4
• Inferior: Jugular bulb
• Posterior: Sigmoid sinus
• Anterior: Bony labyrinth
Surgical Approaches
Coding
Skull Base Codes
• Retrolabyrinthine
approach
• Translabyrinthine
approach
• Transcochlear
approach
Craniotomy Codes
• Retrosigmoid
Various petrosectomy options employed during a
transpetrosal approach.
Surgical
Approaches:Transpetrosal
Retrolabyrinthine
• Retrolabyrinthine Petrosectomy
• The integrity of the labyrinth is maintained to
preserve hearing.
• Posterior and superior semicircular canals are
skeletonized.
• Provides good access to CP angle and lower clivus
Surgical
Approaches:Transpetrosal
Retrolabyrinthine
Trautman’s
Triangle
Surgical Approaches:
Transpetrosal
Translabyrinthine
• Typically not utilized in patients with “50/50”
hearing or better.
• Indicated for tumors >2.5 cm in size regardless of
hearing status.
• Exposure includes the lateral aspect of the pons,
ventral aspect of the lateral cerebellar hemisphere
and cranial nerves 5, 6, 7, 8.
• The root entry zone of the lower cranial nerves can also
be seen to a variable degree depending on the anatomy
and location of the jugular bulb.
Surgical Approaches:
Transpetrosal
Translabrinthine
• Translabyrinthine Petrosectomy
• Sacrifices hearing
• Semicircular canals are skeletonized and drilled
away.
• Drilling continues forward so that the IAC is
skeletonized.
• Bone overlying the labyrinth and mastoid
segments of the facial nerve is also thinned.
Surgical Approaches:
Transpetrosal
Translabyrinthine
ADVANTAGES
• Early identification of the
facial nerve theoretically
resulting in a higher
preservation rate.
• Less risk to the cerebellum
and lower CNs.
• Patients don’t get as “ill”
from blood in the cisterna
magna (essentially an
extracranial approach).
• Shorter reach for the
surgeon.
DISADVANTAGES
• Sacrifices hearing
• Limited access to lower
portion of the CP angle.
Surgical Approaches:
Transpetrosal
Translabyrinthine
• C-shaped incision 4 cm
posterior to the
postauricular sulcus
allowing the pinna to be
retracted anteriorly.
• Mastoidectomy is
performed with high
speed drill and the
sigmoid sinus is
skeletonized.
Surgical Approaches:
Transpetrosal
Translabyrinthine
• Labyrinthectomy
• Opening of the lateral,
superior and posterior
semicircular canals
Surgical Approaches:
Transpetrosal
Translabyrinthine
• Skeletonizing the IAC (up
to 270° around the canal)
Surgical Approaches:
Transpetrosal
Translabyrinthine
• Opening of the dura and
removal of the tumor
The spine of Henle approximates the deep site of the lateral semicircular
canal.
Surgical Approaches:
Transpetrosal
Transcochlear
• Transcochlear Petrosectomy
• Provides the maximum area of exposure by completely
removing the petrous bone.
• Sacrifices hearing and facial nerve.
• EAC is transected and oversewn.
• Semicircular canals are drilled away and the posterior IAC is
skeletonized.
• Facial nerve canal is completely skeletonized and opened to
allow removal of the facial nerve.
• The GSPN is then divided to permit posterior transposition of
the facial nerve.
• This allows the complete removal of the IAC and cochlear
apparatus.
• Drilling is continued until the ICA is skeletonized up to the
siphon
CP angle.pptx
CP angle.pptx
CP angle.pptx

CP angle.pptx