Diagnosis and Management
of Stroke
Dr. Anoop K R
Asst professor
Dept of general medicine
MMCH,Calicut
Objectives
• Review etiology of strokes
• Identify likely location/type of stroke based on
physical examination
• Acute management of ischemic stroke
• Acute management of hemorrhagic stroke
1. WHO - A NEUROLOGICAL DEFICIT OF
• Sudden onset
• With focal rather than global dysfunction
• In which, after adequate investigations, symptoms are presumed to be of
non-traumatic vascular origin
• and last for >24 hours
2. NINDS 2005 - When the blood supply to part of the brain is suddenly
interrupted or when a blood vessel in the brain bursts
3. TIA - neurological deficit of vascular origin lasting from few minutes to hours
and resolves within 24 hours
Definitions
Stroke
Atherosclerotic
(20%)
Cryptogenic
(30%)
Unusual causes
Prothrombotic
Dissections
Arteritis
Migraine
Drug abuse
(5%)
Haemorrhage
Intraparenchymal
Subarachnoid
(15%)
Cardioembolic
(20%)
Penetating artery
Disease
(lacunar)
(25%)
ISCHEMIC 85%
HEMORRHAGIC 15%
How to asses stroke?
NIHSS
• NIHSS (National Institute of Health Stroke Scale)
– Standardized method used by health care professionals to
measure the level of impairment caused by a stroke
– Purpose
• Main use is as a clinical assessment tool to determine
whether the degree of disability is severe enough to warrant
the use of tPA
• Another important use of the NIHSS is in research, where it
allows for the objective comparison of efficacy across
different stroke treatments and rehabilitation interventions
– Scores are totaled to determine level of severity
– Can also serve as a tool to determine if a change in exam has
occurred
Possible Points: Summary
LOC 7
Cranial Nerves (Portions of CN II,III,V,VI,VII) 8
Motor 8x2 = 16
Ataxia 2
Sensory 2
Language 5
Inattention 2
=42
NIHSS and Patient Outcomes
• Total scores range from 0-42 with higher values representing
more severe infarcts
– >25 Very severe neurological impairment
– 15-24 Severe impairment
– 5-14 Moderately severe impairment
– <5 Mild impairment
Adams, HP, et al. (1999). Neurology: 53: 126-131.
• A 2-point (or greater) increase on the NIHSS administered
serially indicates stroke progression. It is advisable to report
this increase.
TIA - ABCD2 Score
Symptom Score
Age > 60 years 1 point
Blood pressure > 140/80 1 point
Clinical (neurological
deficit)
2 points for hemiparesis
1 point for speech problem without
weakness
Duration 2 points for >60 minutes
1 point for 10-60 min
Diabetes 1 point
Maximal score is 7
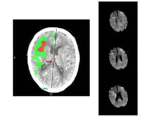
• The Alberta Stroke Programe Early CT Score (ASPECTS) is a 10-point
quantitative topographic CT scan score used in patients with middle
cerebral artery (MCA) stroke.
• Segmental assessment of MCA territory is made and 1 point is
removed from the initial score of 10 if there is evidence of infarction in
that region.
• caudate
• putamen
• internal capsule*
• insular cortex
• M1: "anterior MCA cortex," corresponding to frontal operculum
• M2: "MCA cortex lateral to insular ribbon" corresponding to anterior
temporal lobe
• M3: "posterior MCA cortex" corresponding to posterior temporal lobe
•M4: "anterior MCA territory immediately superior to M1"
•M5: "lateral MCA territory immediately superior to M2"
•M6: "posterior MCA territory immediately superior to M3"
(M1 to M3 are at the level of the basal ganglia and M4 to
M6 are at the level of the ventricles immediately above
the basal ganglia)
An ASPECTS score less than or equal to 7 predicts
worse functional outcome at 3 months as well as
symptomatic haemorrhage.
TIA – Management
People who have had a suspected TIA who are at lower risk of stroke
ABCD2 score of 3 or below: should have
•aspirin (300 mg daily) started immediately
•specialist assessment and investigation as soon as possible, but definitely within
1 week of onset of symptoms
•measures for secondary prevention introduced as soon as the diagnosis is
confirmed, including discussion of individual risk
NB: People who have had a TIA but who present late (more than 1 week
after their last symptom has resolved) should be treated as though they are
at lower risk of stroke.
-cont
People who have had a suspected TIA who are at high risk of stroke
TIAs with ABCD2 score ≥ 4 or above should have:
•aspirin (300 mg daily) started immediately
•specialist assessment and investigation within 24 hours of onset of
symptoms
•measures for secondary prevention introduced as soon as the diagnosis is
confirmed, including discussion of individual risk
TIAS with a score of 5 or greater to be admitted for immediate Dx and Tx (within
24 Hrs)
• Most likely related to decreased level of consciousness (LOC),
dysarthria, dysphagia
• GCS < 8 - INTUBATE
• Avoid Hyperventilation or Hypoventilation
• NPO until swallow assessment completed- high aspiration risk
• Begin mobilization as soon as clinically safe
• Keep HOB greater than 30 degrees
Airway Mx
Imaging
CT scan
• Non- contrast CTH remains
the gold standard as it is
superior for showing IVH
and ICH
• CT with contrast may help
identify aneurysms, AVMs,
or tumors but is not
required to determine
whether or not the patient
is a tPa candidate
MRI
• Superior for showing
underlying structural lesions
• Contraindications
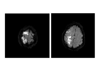
Watershed zones
Acute (4 hours)
Infarction
Subtle blurring of gray-white
junction & sulcal effacement
Subacute (4 days)
Infarction
Obvious dark changes &
“mass effect” (e.g.,
ventricle compression)
RR L L
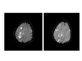
Multimodal Imaging
Multimodal CT
• Typically includes non-
contrast CT, perfusion CT,
and CTA
• Two types of perfusion CT
– Whole brain perfusion CT
– Dynamic perfusion CT
Multimodal MRI
• Standard MRI sequences
(T1 weighted, T2 weighted,
and proton density) are
relatively insensitive to
changes in cerebral
ischemia
• Multimodal adds diffuse-
weighted imaging (DWI)
and PWI (perfusion-
weighted imaging)
Treatment
tPa
Fast Facts
• Tissue plasminogen
activator
• “clot buster”
• IV tpa window 3 hours
• IA tpa window 4.5 hours
• Disability risk ↓ 30% despite
~5% symptomatic ICH risk
Contraindications
• Hemorrhage
• SBP > 185 or DBP > 110
• Recent surgery, trauma or
stroke
• Coagulopathy
• Seizure at onset of symptoms
• NIHSS >21
• Age?
• Glucose < 50
Patients should receive endovascular therapy with
a stent retriever if they meet all the following
criteria (Class I). (New recommendation):
– pre-stroke Modified Rankin Scale score 0 to 1
– acute ischemic stroke receiving IV r-tPA within 4.5
hours of onset according to guidelines from
professional medical societies
– causative occlusion of the ICA or proximal MCA
– age ≥18 years
– NIHSS score of ≥6
– Alberta Stroke Program Early CT score (ASPECTS) ≥6
– treatment can be initiated (groin puncture) within 6
hours of symptom onset
Administration of rTPA
Main eligibility criteria
FOR IV INFUSION
 Treatment given within 3hrs)
 Intracranial bleeding excluded
 Age <80
 Early major infarction excluded (parenchyma hypo-attenuation or brain swelling
>1/3rd
MCA territory)
 NIHSS SCORE <22
 BP < 185/110
 Not on warfarin or heparin, platelets and coagulation normal
 Treatment given by a specially trained physician
 Facilities for close monitoring
Mechanical Thrombolysis
• Often used in adjunct with tPa
• MERCI (Mechanical Embolus Removal in
Cerebral Ischemia) Retrieval System is a
corkscrew-like apparatus designed to remove
clots from vessels
• PENUMBRA system aspirates the clot
Blood Pressure Management
– The goal is to maintain cerebral perfusion!!
– CPP = MAP – ICP (needs to be at least 70)
– Higher BP goals with Ischemic stroke
– Lower BP goals with Hemorrhagic stroke (avoid
hemorrhagic expansion, especially in AVMs and
aneurysms)
BP Relationship
• BP increase is due to
arterial occlusion (i.e., an
effort to perfuse
penumbra)
• Failure to recanalize (w/
or w/o thrombolytic
therapy) results in high
BP and poor neuro
outcomes
• Lowering BP starves
penumbra, worsens
outcomes
Penumbra
Core
Clot in
Artery
Save the Penumbra!!
CEREBRAL
BLOOD
FLOW
(ml/100g/min)
CBF
< 8
CBF
8-18
TIME (hours)
1 2 3
20
15
10
5
PENUMBRA
CORE
Neuronal
dysfunction
Neuronal
death
Normal
function
STROKE SURGERY
HEMORRHAGIC
A. Lobar hemorrhage
STICH Trial - Mendelow AD et al. Lancet 2005
-No difference in outcome in stable patients
-Surgery Outcome better than conservative RX in
progressive Neurological deterioration.
B. Basal ganglia Hemorrhage
Endoscopy Evacuation better than conservative treatment,
Vol.> 50cc, age < 50 years
C. Cerebellar Hemorrhage with obstructive hydrocephalus
Surgical Emergency
UROKINASE OR TPA INSTILATION AND MINIMALLY INVASIVE ASPIRATION
ISCHEMIC
People with middle cerebral artery (MCA) infarction who meet all of the
criteria below should be considered for decompressive hemicraniectomy
(decimal trial).
• They should be referred within 24 hours of onset of symptoms and
treated within a maximum of 48 hours
• aged 60 years or under
• clinical deficits suggestive of infarction in the territory of the MCA with a
score on the NIHSS of above 15
• decrease in the level of consciousness to give a score of 1 or more on item
1a of the NIHSS
• signs on MRI of an infarct of at least 50% of the MCA territory, with or
without additional infarction in the territory of the anterior or posterior
cerebral artery on the same side, or
• infarct volume greater than 145 cm3 as shown on diffusion-weighted MRI
Supportive Therapy
Glucose Management
– Infarction size and edema increase with acute and chronic
hyperglycemia
– Hyperglycemia is an independent risk factor for hemorrhage
when stroke is treated with t-PA
Antiepileptic Drugs
– Seizures are common after hemorrhagic CVAs
– ICH related seizures are generally non-convulsive and are
associated to with higher NIHSS scores, a midline shift, and tend
to predict poorer outcomes
Hyperthermia
• Treat fevers!
– Evidence shows that fevers > 37.5 C that persists
for > 24 hrs correlates with ventricular extension
and is found in 83% of patients with poor
outcomes
• Every hospital should have a stroke unit
• A stroke should be managed by a multidisciplinary stroke
team
• An efficient referral and rehabilitation system to be
established for the success of a stroke unit
• Stroke units significantly reduce death, dependency,
institutionalization and length of hospital stay.
STROKE UNIT
Thank you for your attention!
Etiology of Ischemic Strokes
LARGE VESSEL THROMBOTIC:
Virchow’s Triad….
• Blood vessel injury
- HTN, Atherosclerosis, Vasculitis
• Stasis/turbulent blood flow
- Atherosclerosis, A. fib., Valve disorders
• Hyper coagulable state
- Increased number of platelets
- Deficiency of anti-coagulation factors
- Presence of pro-coagulation factors
- Cancer
LARGE VESSEL EMBOLIC:
• The Heart
– Valve diseases, A. Fib, Dilated cardiomyopathy, Myxoma
• Arterial Circulation (artery to artery emboli)
– Atherosclerosis of carotid, Arterial dissection, Vasculitis
• The Venous Circulation
– PFO w/R to L shunt, Emboli
Determining the Location
• Large Vessel:
– Look for cortical signs
• Small Vessel:
– No cortical signs on exam
• Posterior Circulation:
– Crossed signs
– Cranial nerve findings
• Watershed:
– Look at watershed and border zone areas
– Hypo-perfusion
Cortical Signs
RIGHT BRAIN: LEFT BRAIN:
- Right gaze preference - Left gaze preference
- Neglect - Aphasia
• If present, think LARGE VESSEL stroke
Large Vessel Stroke Syndromes
• MCA:
– Arm>leg weakness
– LMCA cognitive: Aphasia
– RMCA cognitive: Neglect, topographical difficulty, apraxia,
constructional impairment
• ACA:
– Leg>arm weakness, grasp
– Cognitive: muteness, perseveration, abulia, disinhibition
• PCA:
– Hemianopia
– Cognitive: memory loss/confusion, alexia
• Cerebellum:
– Ipsilateral ataxia
Aphasia
• Broca’s
– Expressive aphasia
– Left posterior inferior
frontal gyrus
• Wernicke’s
– Receptive aphasia
– Posterior part of the superior temporal gyrus
– Located on the dominant side (left) of the brain
Etiology of ICH
• Traumatic
• Spontaneous (non traumatic)
– Hypertensive
– Amyloid angiopathy
– Aneurysmal rupture
– Arteriovenous malformation rupture
– Bleeding into tumor
– Cocaine and amphetamine use
Hypertensive ICH
• Spontaneous rupture of a small artery deep in the brain
• Typical sites
– Basal Ganglia
– Cerebellum
– Pons
• Typical clinical presentation
– Patient typically awake and often stressed, then abrupt
onset of symptoms with acute decompensation
Ganglionic Bleed
• Contralateral hemiparesis
• Hemisensory loss
• Homonymous hemianopia
• Conjugate deviation of eyes toward the side of the bleed or
downward
• AMS (stupor, coma)
Cerebral Hemorrhage
JPG
Cerebellar Hemorrhage
• Vomiting (more common in ICH than SAH or Ischemic CVA)
• Ataxia
• Eye deviation toward the opposite side of the bleed
• Small sluggish pupils
• AMS
Pontine Hemorrhage
• Pin-point but reactive pupils
• Abrupt onset of coma
• Decerebrate posturing or flaccidity
• Ataxic breathing pattern
Subarachnoid Hemorrhage
• “Worst headache of my life”
• AMS
• Photophobia
• Nuchal rigidity
• Seizures
• Nausea and vomiting
Case 1
• 74 year old African American female with sudden
onset of left-sided weakness
• She was at church when she noted left facial droop
• History of HTN and atrial fibrillation
• Meds: Losartan
• BP- 172/89, P– 104, T- 98.0, RR– 22, O2- 94%
• General exam: Unremarkable except irregular rate and rhythm
• NEURO EXAM:
- Speech dysarthric but language intact
- Right gaze preference
- Left facial droop
- Left- sided hemiplegia
- Neglect
Answer
• Right MCA infarct, most likely cardioembolic from atrial fibrillation
• Patient underwent mechanical thrombectomy with intra-arterial
verapamil, clot removal successful
• Excellent recovery – patient was discharged 48 hours later on
Coumadin
• Small vessel disease – since there are no cortical signs on exam
• Risk factors – HTN, DM, tobacco use, sleep apnoea
Case 2
• 85 year old male who woke up with left face, arm, and leg
numbness
• History of HTN, DM, and tobacco use
• Meds: Insulin, aspirin
• BP- 168/96, P– 92
• General exam: Unremarkable, RRR
• NEURO EXAM:
- Decreased sensation on left face, arm, and leg
Case 2
Answer
• Right thalamic lacunar infarct
• Not a candidate for intervention
• Discharged to rehab 72 hours after admission
• location – posterior circulation – due to crossed signs, cranial
nerve findings.
Brainstem Stroke Syndromes
• Rarely presents with an isolated symptom
• Usually a combination of cranial nerve abnormalities, and crossed motor/sensory
findings such as:
– Double vision
– Facial numbness and/or weakness
– Slurred speech
– Difficulty swallowing
– Ataxia
– Vertigo
– Nausea and vomiting
– Hoarseness
Case 3
• 55 year old male with acute onset of right sided numbness
and tingling, left sided face pain and numbness, gait
imbalance, nausea/vomiting, vertigo, swallowing difficulties,
and hoarse speech
• History of CAD s/p CABG, DM2, HTN, HLD, OSA
• Meds: Aspirin, plavix, insulin, lipitor, metoprolol, lisinopril
• NEURO EXAM: BP- 194/102, P– 105
• General exam: Unremarkable, RRR
• NEURO EXAM:
- Decreased sensation on left face
- Decreased sensation on right body
- Left ataxia on FNF, and unsteady gait
- Voice hoarse
- Nystagmus
Answer
• Brainstem Stroke
• Received IV tPa
• Post-tPa symptoms greatly improved
regained sensation, ataxia resolved
• Discharged home with out patient PT/OT
• Location – watershed pattern
Case 4
• 56 year old female who upon waking post-op after elective
surgery was found to have L sided weakness and neglect
• History of HTN
• Meds - Lisinopril
• BP- 132/74, P– 84
• General exam: Unremarkable, RRR
• NEURO EXAM:
- Left face, arm, and leg weakness
- Neglect
- DTR’s brisk on the left, toe up on left
• Right hemisphere watershed infarct secondary to
hypoperfusion in the setting of Right ICA stenosis
• On review of anesthesia records, blood pressure dropped to
82/54 during the procedure
• Patient was discharged to in-patient rehab
Answer

stroke management

  • 1.
    Diagnosis and Management ofStroke Dr. Anoop K R Asst professor Dept of general medicine MMCH,Calicut
  • 2.
    Objectives • Review etiologyof strokes • Identify likely location/type of stroke based on physical examination • Acute management of ischemic stroke • Acute management of hemorrhagic stroke
  • 3.
    1. WHO -A NEUROLOGICAL DEFICIT OF • Sudden onset • With focal rather than global dysfunction • In which, after adequate investigations, symptoms are presumed to be of non-traumatic vascular origin • and last for >24 hours 2. NINDS 2005 - When the blood supply to part of the brain is suddenly interrupted or when a blood vessel in the brain bursts 3. TIA - neurological deficit of vascular origin lasting from few minutes to hours and resolves within 24 hours Definitions
  • 4.
  • 5.
    How to assesstroke?
  • 7.
    NIHSS • NIHSS (NationalInstitute of Health Stroke Scale) – Standardized method used by health care professionals to measure the level of impairment caused by a stroke – Purpose • Main use is as a clinical assessment tool to determine whether the degree of disability is severe enough to warrant the use of tPA • Another important use of the NIHSS is in research, where it allows for the objective comparison of efficacy across different stroke treatments and rehabilitation interventions – Scores are totaled to determine level of severity – Can also serve as a tool to determine if a change in exam has occurred
  • 8.
    Possible Points: Summary LOC7 Cranial Nerves (Portions of CN II,III,V,VI,VII) 8 Motor 8x2 = 16 Ataxia 2 Sensory 2 Language 5 Inattention 2 =42
  • 9.
    NIHSS and PatientOutcomes • Total scores range from 0-42 with higher values representing more severe infarcts – >25 Very severe neurological impairment – 15-24 Severe impairment – 5-14 Moderately severe impairment – <5 Mild impairment Adams, HP, et al. (1999). Neurology: 53: 126-131. • A 2-point (or greater) increase on the NIHSS administered serially indicates stroke progression. It is advisable to report this increase.
  • 10.
    TIA - ABCD2Score Symptom Score Age > 60 years 1 point Blood pressure > 140/80 1 point Clinical (neurological deficit) 2 points for hemiparesis 1 point for speech problem without weakness Duration 2 points for >60 minutes 1 point for 10-60 min Diabetes 1 point Maximal score is 7
  • 11.
    • The AlbertaStroke Programe Early CT Score (ASPECTS) is a 10-point quantitative topographic CT scan score used in patients with middle cerebral artery (MCA) stroke. • Segmental assessment of MCA territory is made and 1 point is removed from the initial score of 10 if there is evidence of infarction in that region. • caudate • putamen • internal capsule* • insular cortex • M1: "anterior MCA cortex," corresponding to frontal operculum • M2: "MCA cortex lateral to insular ribbon" corresponding to anterior temporal lobe • M3: "posterior MCA cortex" corresponding to posterior temporal lobe
  • 12.
    •M4: "anterior MCAterritory immediately superior to M1" •M5: "lateral MCA territory immediately superior to M2" •M6: "posterior MCA territory immediately superior to M3" (M1 to M3 are at the level of the basal ganglia and M4 to M6 are at the level of the ventricles immediately above the basal ganglia) An ASPECTS score less than or equal to 7 predicts worse functional outcome at 3 months as well as symptomatic haemorrhage.
  • 13.
    TIA – Management Peoplewho have had a suspected TIA who are at lower risk of stroke ABCD2 score of 3 or below: should have •aspirin (300 mg daily) started immediately •specialist assessment and investigation as soon as possible, but definitely within 1 week of onset of symptoms •measures for secondary prevention introduced as soon as the diagnosis is confirmed, including discussion of individual risk NB: People who have had a TIA but who present late (more than 1 week after their last symptom has resolved) should be treated as though they are at lower risk of stroke.
  • 14.
    -cont People who havehad a suspected TIA who are at high risk of stroke TIAs with ABCD2 score ≥ 4 or above should have: •aspirin (300 mg daily) started immediately •specialist assessment and investigation within 24 hours of onset of symptoms •measures for secondary prevention introduced as soon as the diagnosis is confirmed, including discussion of individual risk TIAS with a score of 5 or greater to be admitted for immediate Dx and Tx (within 24 Hrs)
  • 15.
    • Most likelyrelated to decreased level of consciousness (LOC), dysarthria, dysphagia • GCS < 8 - INTUBATE • Avoid Hyperventilation or Hypoventilation • NPO until swallow assessment completed- high aspiration risk • Begin mobilization as soon as clinically safe • Keep HOB greater than 30 degrees Airway Mx
  • 16.
    Imaging CT scan • Non-contrast CTH remains the gold standard as it is superior for showing IVH and ICH • CT with contrast may help identify aneurysms, AVMs, or tumors but is not required to determine whether or not the patient is a tPa candidate MRI • Superior for showing underlying structural lesions • Contraindications
  • 19.
  • 21.
    Acute (4 hours) Infarction Subtleblurring of gray-white junction & sulcal effacement Subacute (4 days) Infarction Obvious dark changes & “mass effect” (e.g., ventricle compression) RR L L
  • 22.
    Multimodal Imaging Multimodal CT •Typically includes non- contrast CT, perfusion CT, and CTA • Two types of perfusion CT – Whole brain perfusion CT – Dynamic perfusion CT Multimodal MRI • Standard MRI sequences (T1 weighted, T2 weighted, and proton density) are relatively insensitive to changes in cerebral ischemia • Multimodal adds diffuse- weighted imaging (DWI) and PWI (perfusion- weighted imaging)
  • 23.
  • 25.
    tPa Fast Facts • Tissueplasminogen activator • “clot buster” • IV tpa window 3 hours • IA tpa window 4.5 hours • Disability risk ↓ 30% despite ~5% symptomatic ICH risk Contraindications • Hemorrhage • SBP > 185 or DBP > 110 • Recent surgery, trauma or stroke • Coagulopathy • Seizure at onset of symptoms • NIHSS >21 • Age? • Glucose < 50
  • 26.
    Patients should receiveendovascular therapy with a stent retriever if they meet all the following criteria (Class I). (New recommendation): – pre-stroke Modified Rankin Scale score 0 to 1 – acute ischemic stroke receiving IV r-tPA within 4.5 hours of onset according to guidelines from professional medical societies – causative occlusion of the ICA or proximal MCA – age ≥18 years – NIHSS score of ≥6 – Alberta Stroke Program Early CT score (ASPECTS) ≥6 – treatment can be initiated (groin puncture) within 6 hours of symptom onset
  • 27.
    Administration of rTPA Maineligibility criteria FOR IV INFUSION  Treatment given within 3hrs)  Intracranial bleeding excluded  Age <80  Early major infarction excluded (parenchyma hypo-attenuation or brain swelling >1/3rd MCA territory)  NIHSS SCORE <22  BP < 185/110  Not on warfarin or heparin, platelets and coagulation normal  Treatment given by a specially trained physician  Facilities for close monitoring
  • 28.
    Mechanical Thrombolysis • Oftenused in adjunct with tPa • MERCI (Mechanical Embolus Removal in Cerebral Ischemia) Retrieval System is a corkscrew-like apparatus designed to remove clots from vessels • PENUMBRA system aspirates the clot
  • 29.
    Blood Pressure Management –The goal is to maintain cerebral perfusion!! – CPP = MAP – ICP (needs to be at least 70) – Higher BP goals with Ischemic stroke – Lower BP goals with Hemorrhagic stroke (avoid hemorrhagic expansion, especially in AVMs and aneurysms)
  • 30.
    BP Relationship • BPincrease is due to arterial occlusion (i.e., an effort to perfuse penumbra) • Failure to recanalize (w/ or w/o thrombolytic therapy) results in high BP and poor neuro outcomes • Lowering BP starves penumbra, worsens outcomes Penumbra Core Clot in Artery
  • 31.
    Save the Penumbra!! CEREBRAL BLOOD FLOW (ml/100g/min) CBF <8 CBF 8-18 TIME (hours) 1 2 3 20 15 10 5 PENUMBRA CORE Neuronal dysfunction Neuronal death Normal function
  • 32.
    STROKE SURGERY HEMORRHAGIC A. Lobarhemorrhage STICH Trial - Mendelow AD et al. Lancet 2005 -No difference in outcome in stable patients -Surgery Outcome better than conservative RX in progressive Neurological deterioration. B. Basal ganglia Hemorrhage Endoscopy Evacuation better than conservative treatment, Vol.> 50cc, age < 50 years C. Cerebellar Hemorrhage with obstructive hydrocephalus Surgical Emergency
  • 33.
    UROKINASE OR TPAINSTILATION AND MINIMALLY INVASIVE ASPIRATION
  • 34.
    ISCHEMIC People with middlecerebral artery (MCA) infarction who meet all of the criteria below should be considered for decompressive hemicraniectomy (decimal trial). • They should be referred within 24 hours of onset of symptoms and treated within a maximum of 48 hours • aged 60 years or under • clinical deficits suggestive of infarction in the territory of the MCA with a score on the NIHSS of above 15 • decrease in the level of consciousness to give a score of 1 or more on item 1a of the NIHSS • signs on MRI of an infarct of at least 50% of the MCA territory, with or without additional infarction in the territory of the anterior or posterior cerebral artery on the same side, or • infarct volume greater than 145 cm3 as shown on diffusion-weighted MRI
  • 35.
    Supportive Therapy Glucose Management –Infarction size and edema increase with acute and chronic hyperglycemia – Hyperglycemia is an independent risk factor for hemorrhage when stroke is treated with t-PA Antiepileptic Drugs – Seizures are common after hemorrhagic CVAs – ICH related seizures are generally non-convulsive and are associated to with higher NIHSS scores, a midline shift, and tend to predict poorer outcomes
  • 36.
    Hyperthermia • Treat fevers! –Evidence shows that fevers > 37.5 C that persists for > 24 hrs correlates with ventricular extension and is found in 83% of patients with poor outcomes
  • 37.
    • Every hospitalshould have a stroke unit • A stroke should be managed by a multidisciplinary stroke team • An efficient referral and rehabilitation system to be established for the success of a stroke unit • Stroke units significantly reduce death, dependency, institutionalization and length of hospital stay. STROKE UNIT
  • 38.
    Thank you foryour attention!
  • 39.
    Etiology of IschemicStrokes LARGE VESSEL THROMBOTIC: Virchow’s Triad…. • Blood vessel injury - HTN, Atherosclerosis, Vasculitis • Stasis/turbulent blood flow - Atherosclerosis, A. fib., Valve disorders • Hyper coagulable state - Increased number of platelets - Deficiency of anti-coagulation factors - Presence of pro-coagulation factors - Cancer
  • 40.
    LARGE VESSEL EMBOLIC: •The Heart – Valve diseases, A. Fib, Dilated cardiomyopathy, Myxoma • Arterial Circulation (artery to artery emboli) – Atherosclerosis of carotid, Arterial dissection, Vasculitis • The Venous Circulation – PFO w/R to L shunt, Emboli
  • 41.
    Determining the Location •Large Vessel: – Look for cortical signs • Small Vessel: – No cortical signs on exam • Posterior Circulation: – Crossed signs – Cranial nerve findings • Watershed: – Look at watershed and border zone areas – Hypo-perfusion
  • 42.
    Cortical Signs RIGHT BRAIN:LEFT BRAIN: - Right gaze preference - Left gaze preference - Neglect - Aphasia • If present, think LARGE VESSEL stroke
  • 43.
    Large Vessel StrokeSyndromes • MCA: – Arm>leg weakness – LMCA cognitive: Aphasia – RMCA cognitive: Neglect, topographical difficulty, apraxia, constructional impairment • ACA: – Leg>arm weakness, grasp – Cognitive: muteness, perseveration, abulia, disinhibition • PCA: – Hemianopia – Cognitive: memory loss/confusion, alexia • Cerebellum: – Ipsilateral ataxia
  • 44.
    Aphasia • Broca’s – Expressiveaphasia – Left posterior inferior frontal gyrus • Wernicke’s – Receptive aphasia – Posterior part of the superior temporal gyrus – Located on the dominant side (left) of the brain
  • 45.
    Etiology of ICH •Traumatic • Spontaneous (non traumatic) – Hypertensive – Amyloid angiopathy – Aneurysmal rupture – Arteriovenous malformation rupture – Bleeding into tumor – Cocaine and amphetamine use
  • 47.
    Hypertensive ICH • Spontaneousrupture of a small artery deep in the brain • Typical sites – Basal Ganglia – Cerebellum – Pons • Typical clinical presentation – Patient typically awake and often stressed, then abrupt onset of symptoms with acute decompensation
  • 48.
    Ganglionic Bleed • Contralateralhemiparesis • Hemisensory loss • Homonymous hemianopia • Conjugate deviation of eyes toward the side of the bleed or downward • AMS (stupor, coma)
  • 49.
  • 50.
    Cerebellar Hemorrhage • Vomiting(more common in ICH than SAH or Ischemic CVA) • Ataxia • Eye deviation toward the opposite side of the bleed • Small sluggish pupils • AMS
  • 51.
    Pontine Hemorrhage • Pin-pointbut reactive pupils • Abrupt onset of coma • Decerebrate posturing or flaccidity • Ataxic breathing pattern
  • 52.
    Subarachnoid Hemorrhage • “Worstheadache of my life” • AMS • Photophobia • Nuchal rigidity • Seizures • Nausea and vomiting
  • 53.
    Case 1 • 74year old African American female with sudden onset of left-sided weakness • She was at church when she noted left facial droop • History of HTN and atrial fibrillation • Meds: Losartan
  • 54.
    • BP- 172/89,P– 104, T- 98.0, RR– 22, O2- 94% • General exam: Unremarkable except irregular rate and rhythm • NEURO EXAM: - Speech dysarthric but language intact - Right gaze preference - Left facial droop - Left- sided hemiplegia - Neglect
  • 56.
    Answer • Right MCAinfarct, most likely cardioembolic from atrial fibrillation • Patient underwent mechanical thrombectomy with intra-arterial verapamil, clot removal successful • Excellent recovery – patient was discharged 48 hours later on Coumadin • Small vessel disease – since there are no cortical signs on exam • Risk factors – HTN, DM, tobacco use, sleep apnoea
  • 57.
    Case 2 • 85year old male who woke up with left face, arm, and leg numbness • History of HTN, DM, and tobacco use • Meds: Insulin, aspirin
  • 58.
    • BP- 168/96,P– 92 • General exam: Unremarkable, RRR • NEURO EXAM: - Decreased sensation on left face, arm, and leg
  • 59.
  • 60.
    Answer • Right thalamiclacunar infarct • Not a candidate for intervention • Discharged to rehab 72 hours after admission • location – posterior circulation – due to crossed signs, cranial nerve findings.
  • 61.
    Brainstem Stroke Syndromes •Rarely presents with an isolated symptom • Usually a combination of cranial nerve abnormalities, and crossed motor/sensory findings such as: – Double vision – Facial numbness and/or weakness – Slurred speech – Difficulty swallowing – Ataxia – Vertigo – Nausea and vomiting – Hoarseness
  • 62.
    Case 3 • 55year old male with acute onset of right sided numbness and tingling, left sided face pain and numbness, gait imbalance, nausea/vomiting, vertigo, swallowing difficulties, and hoarse speech • History of CAD s/p CABG, DM2, HTN, HLD, OSA • Meds: Aspirin, plavix, insulin, lipitor, metoprolol, lisinopril
  • 63.
    • NEURO EXAM:BP- 194/102, P– 105 • General exam: Unremarkable, RRR • NEURO EXAM: - Decreased sensation on left face - Decreased sensation on right body - Left ataxia on FNF, and unsteady gait - Voice hoarse - Nystagmus
  • 65.
    Answer • Brainstem Stroke •Received IV tPa • Post-tPa symptoms greatly improved regained sensation, ataxia resolved • Discharged home with out patient PT/OT • Location – watershed pattern
  • 66.
    Case 4 • 56year old female who upon waking post-op after elective surgery was found to have L sided weakness and neglect • History of HTN • Meds - Lisinopril
  • 67.
    • BP- 132/74,P– 84 • General exam: Unremarkable, RRR • NEURO EXAM: - Left face, arm, and leg weakness - Neglect - DTR’s brisk on the left, toe up on left
  • 71.
    • Right hemispherewatershed infarct secondary to hypoperfusion in the setting of Right ICA stenosis • On review of anesthesia records, blood pressure dropped to 82/54 during the procedure • Patient was discharged to in-patient rehab Answer

Editor's Notes

  • #8 The National Institute of Health Stroke Scale is the industry standard It is also a research tool that allows us to quantify our clinical exam
  • #9 The majority of points come from the top 4 items listed here. Not surprisingly, many incidences of neurological decline are first recognized by decreases in LOC, motor strength, or Cranial Nerve palsies. Examiners need to keep in mind the area of neurological involvement based on the affected cerebral vessel or lesion.
  • #10 While a 2 point or greater increase on the NIHSS administered serially was used to indicate stroke progression in this study, smaller changes can be equally significant. Some of the literature suggests a 2 point increase and also a 3 point increase as a measure to indicate stroke progression. It will be important for organizations to clearly establish a guideline related to the amount of point increase for clinicians to follow. A change of 1 point in Motor Arm or Leg assessment can be very concerning. A change in score of 1 where the patient previously scored 0 may indicate a new deficit. Likewise, subtle changes in LOC may lead you to discover other changes. Always use your own judgment.
  • #16 Maintaining adequate tissue oxygenation is imperative in the setting of both types of strokes, with your overall goal being to prevent hypoxia and potential worsening of the cerebral injury. Obviously, patients with decreased mental status and brain stem dysfunction have the greatest risk of airway compromise. Patients who require intubation have poorer prognosis, as approximately 50% of them will be dead within 30 days after their stroke.
  • #17 Interestingly, although the head CT is considered the standard for patients with suspected strokes, it is used to not to confirm an acute ischemic stroke but instead rule out other causes of the patient’s condition. CTs are actually relatively insensitive for in detecting acute and small corical infarctions especially in the posterior fossa region. However, if there is evidence of early edema or mass effect noted on the intial head ct, the patients risk of hemorrhagic conversion increases by approximately 8 fold.
  • #23 Both types of perfusion CT are highly sensitive and specific for detecting cerebral ischemia. There have also been studies that performed that suggest that CT perfusions may be able to differentiate between reversible and irreversible ischemia or in other words, successfully identify the pneumbra. By adding DWI to the standard MRI sequence, clinicians are able to visualize ischemic regions of the brain within minutes of symptom onset. It actually has a high sensitivity of approximately 88-100 % and high specificity of 95-100% for detecting ischemic lesions.
  • #29 MERCI Symptomatic ICH occurred in 9.8% of patients overall, and a favorable outcome, (a modified Rankin score of 2 or less), was seen in 36% of patients at 90 days. PENUMBRA- recanalization rate for patients treated with the Penumbra system, measured for the target vessel, was 81.6%. Symptomatic intracranial hemorrhages occurred in 11.2% of patients. A modified Rankin score of 2 or less at 90 days was seen in 25% of patients.
  • #30 For the most part, ICH stroke guidelines recommend using IV medications to lower SBP &amp;lt; 160 while still maintaining adequate MAP and CPP Ischemic strokes are a bit trickier to manage. One must keep in mind that the patient’s blood pressure will lower on its own by approximately 25 – 30 % within the first 24 hours. Furthermore aggressive treatment of hypertension in ischemic strokes has been shown to worsen neurological function by reducing perfusion pressure Castillo and collegues performed a study in 2004 that showed that a drop in either SBP or DBP &amp;gt; 20 points were associated with higher rates of mortality and larger volumes of infarctions. They also noted that early administration of antihypertensinve medications to patients with SBP &amp;gt; 180 was associated with an increased risk of death. **** CHHIPS trial *** According to the guidelines, sbp should be reduced by 15 – 25% within the first day as excessively high blood pressures are associated with an increased risk of hemorrhagic conversion.
  • #31 In AIS, high BP is a response, not a cause—don’t lower it!
  • #36 Elevated glucose levels at the time of admission predicts an increased 28 day mortality rate in both diabetic and non-diabetic patients. Study done by Vespa and collegues done in 2003 showed that 18 / 63 patients ( 28% ) of patients in a neuro ICU seized on EEG within 72 hours of admission ICH stroke guidelines recommend IV medications to quickly stop seizures. Benzos tend to be first line choice, followed by IV phenytoin or fos-phenytoin, Brief period of prophylactic AED therapy has been shown to redice the risk of early seizures esp in patient with lobar hemorrhage.
  • #37 Fevers tend to be more common in basal ganglia and lobar ICHs and patients with IVH. Scwartz and collegues published a study in 200 that stated patients who survived the first 72 hours after hospital admission, the duration of fever is realted to outcome and is a an independent prognostic factor in stroke patients. However, although there have been several studies done, to date there is no recommended drug or dose of medication that is recommended in the treatment of fevers in stroke patients. Guidelines currently recommend that clinicians seek out a souce (don’t just assume that the fever is neurogenic in nature) and treat accordingly.
  • #43 Cortical Signs
  • #44 Abulia - Loss or impairment of the ability to make decisions or act independently Anosonosia - complete unawareness or denial of a neurologic deficit.