CAÙCH ÑOÏC XQUANG SOÏ – XOANG
BAÙC SYÕ BUØI ANH THAÉNG
Muïc tieâu :
+ Naém laïi giaûi phaãu thöôûng vaø giaûi phaãu xquang
+ Chæ ñònh chuïp xquang qui öôùc vaø CT
+ caùc ñoïc moät soá toån thöông cô baûn vaø chaån ñoaùn phaânbieät
A/ GIAÛI PHAÃU:
Caùc xöông ñaàu chia ra laøm 2 phaàn
Soï naõo goàm 8 xöông :Xuông traùn ( Frontal ) – Xöông saøng ( Ethmoide ) ôû döôùi vaø
sau xöông traùn – Xöông böoùm ( Sphenoide ) ôû giöõa neàn soï - Xöông chaåm ( Occipital )
ôû phía sau laø moät phaàn voøm soï – Xöông ñính ( Parietal ) ôû 2 beân ñænh soï sau xöông
traùn tröôùc xöông chaåm – Xöông thaùi döông ( Temporal )
Soï maët goàm 13 xöông : Xöông haøm ( Maxilla ) – Xöông goø maù ( Zygomatic ) –
Xöông muõi – Xöông xoaên ( Concha ) – Xöông laù mía ( Vomer ) – Xöông leä
( lacrymale ) – Xöông laù mía – Xöông haøm döôùi ( Manddibula )
Caùc xöông tieáp vôùi nhau bôûi caùc khôùp baát ñoäng ( Synarthrosis ) tröø khôùp thaùi döông
haøm laø khôùp baùn ñoäng ( Amphiarthrosis ). Khoâng coù khôùp ñoäng ( Diarthrosis ).
Hình aûnh xquang vaø moät soá moác giaûi phaãu :
B/ CHÆ ÑÒNH :
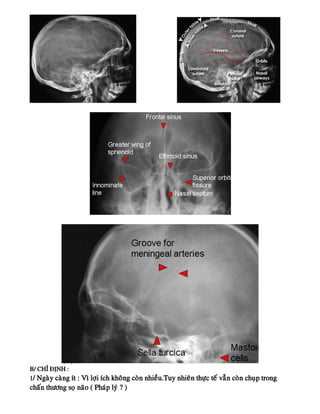
1/ Ngaøy caøng ít : Vì lôïi ích khoâng coøn nhieàu.Tuy nhieân thöïc teá vaãn coøn chuïp trong
chaán thöông soï naõo ( Phaùp lyù ? )
Ñoâi khi coøn chæ ñònh trong chuïp tìm di caên hay beänh lyù ña u tuûy
2/ Chaán thöông soï naõo : Ngaøy nay tai naïn giao thoâng taàn xuaát nhieàu , tuy nhieân gía trò
chaån ñoaùn khoâng cao maëc duø coù caùc ñöôøng nöùt soï , khoâng coù söï töông xöùng giöõa nöùt
soï vaø maùu tuï trong soï. Khi chaán thöông noù chæ coøn coù gía tri vôùi caùc toån thöông vuøng
maët , mieäng , haøm ...
Chuù yù : Khi chuïp phim phaûi ñeå Grid
C/ ÑOÏC PHIM TRONG CHAÁN THÖÔNG :
* Chæ ñònh : Sau khi xaûy ra chaán thöông gaàn ñaây ta thaáy
Maát hay giaûm trí nhôù
Coù caùc trieäu chöùng veà thaàn kinh
Doø ræ dòch naõo tuûy töø muõi hay tai
Caùc ngöôøi nghieän röôïu teù ngaõ
• Phaàn haønh chaùnh : Phaûi quan saùt teân – tuoåi – ngaøy thaùng – giôø chuïp
• Ñoïc phim thì ñoïc theo giôø
Quan saùt voøm soï vaø ñaùy soï
Vôùi voøm soï : Quan saùt caùc ñöôøng nöùt. Coù 3 loaïi ñöông nöùt.
Thöù nhaát laø gaõy ñöôøng ( linear ) loaïi naøy hay gaëp vaø thöôøng khoâng coù bieán chöùng.
Loaïi gaõy luùn ( Depress fracture ) loaïi naøy hay coù söï thoâng thöông cuûa chuû moâ naõo vôùi
beân ngoaøi , khi nghi ngôø phaûi laøm Ctscanner vaø phaãu thuaät ngay.
Gaõy hình sao ( Stellate ) deã phaùt hieän.
Chuù yù quan saùt caùc khe vì noù coøn tuøy thuoäc vaøo tuoåi beänh nhaân.Ñoâi khi coù ñöôøng nöùt
truøng vaøo caùc khe naøy. Giaõn caùc khôùp ( Diastasis ) xaûy ra khi coù taêng aùp löïp noäi soï
thöôøng thaáy vaøi ngaøy sau chaán thöông ôû treû em. Ngöôøi lôùn > 24 tuoåi khoâng coù hieän
töôïng naøy.
Vôùi phaàn soï maët : Quan saùt xem coù gaõy caønh haøm treân hay döôùi ?
Quan saùt coù coù beå cung goø maù ?
Quan saùt xem coù vôõ xoang traùn ?
Keát luaän : caàn phaân bieät giöõa ñöôøng gaõy – khe khôùp – maïch maùu
Khe khôùp thì : Hình raêng cöa caøi vaøo nhau – Vò trí giaûi phaãu – Ñoái xöùng 2 beân – Saùng
khoâng roõ.
Ñöôøng gaõy : Thaáu quang – Hình thaúng – Khoâng theo vò trí giaûi phaãu – Coù theå chaïy baét
ngang khe khôùp.
Maïch maùu : Ít thaáu quang – Chaïy töø trung taâm ra ngoaïi bieân.
Neáu coù gaõy + Coù daáu thaàn kinh --> Chuïp CTscanner kieåm tra.
Chæ ñònh chuïp CT laø tranh luaän
Neáu beänh nhaân coù ñieàu kieän taøi chaùnh  Chuïp sau chaán thöông.
Moät soá hình gaõy vuøng haøm maët :
Thang ñieàm Glasgow :
Môû maét : 4 ( töï phaùt ) – 3 ( Theo yeâu caàu ) – 2 ( Kích thích ) – 1 ( Khoâng )
Noùi : 5 ( Noùi toát ) – 4 ( Noùi sai aâm ) – 3 ( Noùi khoâng phuø hôïp ) – ( Noùi voâ nghóa )-
1( Khoâng noùi ñöôïc )
Vaän ñoäng : 6 ( Theo leäch ) -5 ( Kích thích ñau ) - 4 ( Co khi kích thíc ñau ) – 3 ( Goàng
maát voû ) – 2 ( Goàng maát naõo ) – 1 ( Khoâng )
D/ VOÂI HOÙA TRONG SOÏ :
1/ Sinh lyù : Voâi hoùa tuyeán tuøng ( Pineal ) thaáy nhö hình tröùng , gaëp 50% ôû ngöôøi
tröôûng thaønh, taàn xuaát taêng theo tuoåi. Thaáy treân phim nghieäng ñoä 20%.
Vò trí : Khoaûng ñöôøng giöõa treân traùn , hình chöõ C
Voâi hoùa ñaùm roái maïch maïc ( ÔÛ naõo thaát beân , ba hay boán ) Hieän dieän ôû beänh
nhaân soï nghieâng ñoä 50%.Vò trí phía treân tuyeán tuøng.
Ngoaøi ra coøn gaëp voâi hoùa maøng cöùng , caùc nhaân xaùm trung öông ( Basal ganglia ) ,
ñoäng maïch caûnh
2/ Beänh hoïc :
U da thaàn kinh ( Tuberous sclerosis ) : Voâi hoùa ñaäm ñoä xöông nhoû < 15
mm , nhieàu raûi raùc khaép nôi
U maøng naõo ( Meningioma ) : Ñoä 15% phaùt hieän treân phim.
Ngoaøi ra coøn coù caùc beänh khaùc nhö Nhieãm Toxoplasmosis hay Cytomegalovirus.
E/ GIAÛM ÑAÄM ÑOÄ
1/ Sinh lyù :
Caùc hoà maùu ( Venous lakes )
Khuyeát xöông do moå soï naõo cuõ
2/ beänh hoïc :
Ña u tuûy ( Giaûm ñaäm ñoä nhö ñuïc loã )
Di caên xöông
Taêng naêng caän gíap ( Hyperparathyroide ).
Khi coù toån thöông thì ta moâ taû vò trí , kích thöôùc , hình theå, soá löôïng , tính chaát ( baûn
soï naøo ? xöông naøo ? )
Chaån ñoaùn : Tuyø theo laâm saøng vaø trieäu chöùng keøm theo  Laø laønh hay aùc hay chæ laø
sinh lyù bình thöôøng.
XOANG:
Hay chæ ñònh chuïp trong beänh vieän vaø tö theá hay khaûo saùt laø Blondeau vaø Hirtz ñeå
quan saùt xoang haøm – xoang traùn – xoang saøng , ngoaøi ra coøn quang saùt heä xöông lieân
quan.
Gæai phaãu tö theá Blondeau ( Hình )
Giaûi phaãu tö theá Hirtz ( Hình )
Tư thế Schuler :
1/ Bình thöôøng : Xoang traùn Xuaát hieän töø naêm 4 tuoåi , kích thöôùc thay ñoåi theo ngöôøi
vaø khoâng caân xöùng . Ngöng phaùt trieån naâm 16  20 tuoåi.Tuy nhieân coù theå khoâng coù
xoang traùn vôùi tyû leä 5% daân soá , hay ôû treû em bò beänh Down ( roái loaïn nhieãm saéc theå
thöù 23 ) Thì hoaøn toaøn khoâng coù xoang traùn
Xoang haøm thöôøng ñoái xöùng , thaáy ñöïôc treân xquang naêm 15
tuoåi.Tuy nhieân coù theå coù xoang lôùn xoang nhoû ( Chuù yù chuïp sai tö theá )
2/ Ñoïc phim
Trong chaán thöông xem coù beå xoang haøm hay khoâng ? Beå xoang traùn ?
Coù beå cung goø maù hay khoâng ? Gaõy caønh haøm ?
Moät soá beänh lyù hay gaëp cuûa xoang
• Vieâm xoang caáp :Thaáy ñöôïc nieâm maïc xoang daøy
Thaáy dòch :
• Polype:Gaëp ñoä 4 % daân soá vôùi tyû leä nam / nöõ laø 6/4 .
Nguyeân nhaân : Do dò öùng – Nhieãm truøng
Hình aûnh : Hình aûnh môø troøn ñeàu – Ñaäm ñoä moâ meàm
* Cyst :Khoái môø gaëp trong xoang haøm do bieán chöùng cuûa vieâm xoang 100% tröôøng
hôïp ( Haäu quûa cuûa taéc ngheõn caùc oáng daãn cuûa caùc tuyeán nieâm maïc) Coù theå gaëp ngaãu
nhieân ñoä 10% daân soá vôùi hình aûnh khoái caàu troøn giôùi haïn roõ , ñeàu dính vaøo thaønh
xoang , chuû yeáu ôû xoang haøm.Hay goïi laø nang toàn ñoïng ( retention cyst )
• U nhaày xoang haøm ( Mucocele ) : u +xoang bieán daïng + phaûn öùng maøng
xöông ( Chuù yù caùc voû xöông vaãn lieân tuïc )
Vò trí : Xoang traùn 65%  saøng 25% ( ethmoid )  haøm 10% ( maxillary )
 Böôùm thì hieám gaëp
Bieán chöùng : Vôõ vaøo hoá soï tröôùc hay oå maét
• U taân sinh : Carcinoma vaø lymphoma ( Thaáy u vaø huûy xöông )
Hay gaëp squamocell carcinoma 90% ( Haøm ñoä 80% vaø saøng 15% )
• Quan saùt loã thaàn kinh thi : Bình thöôøng 2 loã 3 mm , ta quan saùt xem coù
roäng hay heïp , neáu quùa 4 mm thì coi laø roäng thöôøng do neurinoma.
• Daøy veïo vaùch ngaên muõi :
• U xöông laønh tính : Hay thaáy ôû xoang traùn chuû yeáu osteoma
• Trauma:
Thực hành :
Skull  and sinus
Skull  and sinus
Skull  and sinus

Skull and sinus

  • 1.
    CAÙCH ÑOÏC XQUANGSOÏ – XOANG BAÙC SYÕ BUØI ANH THAÉNG Muïc tieâu : + Naém laïi giaûi phaãu thöôûng vaø giaûi phaãu xquang + Chæ ñònh chuïp xquang qui öôùc vaø CT + caùc ñoïc moät soá toån thöông cô baûn vaø chaån ñoaùn phaânbieät A/ GIAÛI PHAÃU: Caùc xöông ñaàu chia ra laøm 2 phaàn Soï naõo goàm 8 xöông :Xuông traùn ( Frontal ) – Xöông saøng ( Ethmoide ) ôû döôùi vaø sau xöông traùn – Xöông böoùm ( Sphenoide ) ôû giöõa neàn soï - Xöông chaåm ( Occipital ) ôû phía sau laø moät phaàn voøm soï – Xöông ñính ( Parietal ) ôû 2 beân ñænh soï sau xöông traùn tröôùc xöông chaåm – Xöông thaùi döông ( Temporal ) Soï maët goàm 13 xöông : Xöông haøm ( Maxilla ) – Xöông goø maù ( Zygomatic ) – Xöông muõi – Xöông xoaên ( Concha ) – Xöông laù mía ( Vomer ) – Xöông leä ( lacrymale ) – Xöông laù mía – Xöông haøm döôùi ( Manddibula ) Caùc xöông tieáp vôùi nhau bôûi caùc khôùp baát ñoäng ( Synarthrosis ) tröø khôùp thaùi döông haøm laø khôùp baùn ñoäng ( Amphiarthrosis ). Khoâng coù khôùp ñoäng ( Diarthrosis ). Hình aûnh xquang vaø moät soá moác giaûi phaãu :
  • 2.
    B/ CHÆ ÑÒNH: 1/ Ngaøy caøng ít : Vì lôïi ích khoâng coøn nhieàu.Tuy nhieân thöïc teá vaãn coøn chuïp trong chaán thöông soï naõo ( Phaùp lyù ? )
  • 3.
    Ñoâi khi coønchæ ñònh trong chuïp tìm di caên hay beänh lyù ña u tuûy 2/ Chaán thöông soï naõo : Ngaøy nay tai naïn giao thoâng taàn xuaát nhieàu , tuy nhieân gía trò chaån ñoaùn khoâng cao maëc duø coù caùc ñöôøng nöùt soï , khoâng coù söï töông xöùng giöõa nöùt soï vaø maùu tuï trong soï. Khi chaán thöông noù chæ coøn coù gía tri vôùi caùc toån thöông vuøng maët , mieäng , haøm ... Chuù yù : Khi chuïp phim phaûi ñeå Grid C/ ÑOÏC PHIM TRONG CHAÁN THÖÔNG : * Chæ ñònh : Sau khi xaûy ra chaán thöông gaàn ñaây ta thaáy Maát hay giaûm trí nhôù Coù caùc trieäu chöùng veà thaàn kinh Doø ræ dòch naõo tuûy töø muõi hay tai Caùc ngöôøi nghieän röôïu teù ngaõ • Phaàn haønh chaùnh : Phaûi quan saùt teân – tuoåi – ngaøy thaùng – giôø chuïp • Ñoïc phim thì ñoïc theo giôø Quan saùt voøm soï vaø ñaùy soï Vôùi voøm soï : Quan saùt caùc ñöôøng nöùt. Coù 3 loaïi ñöông nöùt. Thöù nhaát laø gaõy ñöôøng ( linear ) loaïi naøy hay gaëp vaø thöôøng khoâng coù bieán chöùng. Loaïi gaõy luùn ( Depress fracture ) loaïi naøy hay coù söï thoâng thöông cuûa chuû moâ naõo vôùi beân ngoaøi , khi nghi ngôø phaûi laøm Ctscanner vaø phaãu thuaät ngay.
  • 4.
    Gaõy hình sao( Stellate ) deã phaùt hieän. Chuù yù quan saùt caùc khe vì noù coøn tuøy thuoäc vaøo tuoåi beänh nhaân.Ñoâi khi coù ñöôøng nöùt truøng vaøo caùc khe naøy. Giaõn caùc khôùp ( Diastasis ) xaûy ra khi coù taêng aùp löïp noäi soï thöôøng thaáy vaøi ngaøy sau chaán thöông ôû treû em. Ngöôøi lôùn > 24 tuoåi khoâng coù hieän töôïng naøy. Vôùi phaàn soï maët : Quan saùt xem coù gaõy caønh haøm treân hay döôùi ? Quan saùt coù coù beå cung goø maù ? Quan saùt xem coù vôõ xoang traùn ? Keát luaän : caàn phaân bieät giöõa ñöôøng gaõy – khe khôùp – maïch maùu Khe khôùp thì : Hình raêng cöa caøi vaøo nhau – Vò trí giaûi phaãu – Ñoái xöùng 2 beân – Saùng khoâng roõ. Ñöôøng gaõy : Thaáu quang – Hình thaúng – Khoâng theo vò trí giaûi phaãu – Coù theå chaïy baét ngang khe khôùp. Maïch maùu : Ít thaáu quang – Chaïy töø trung taâm ra ngoaïi bieân. Neáu coù gaõy + Coù daáu thaàn kinh --> Chuïp CTscanner kieåm tra. Chæ ñònh chuïp CT laø tranh luaän Neáu beänh nhaân coù ñieàu kieän taøi chaùnh  Chuïp sau chaán thöông. Moät soá hình gaõy vuøng haøm maët : Thang ñieàm Glasgow : Môû maét : 4 ( töï phaùt ) – 3 ( Theo yeâu caàu ) – 2 ( Kích thích ) – 1 ( Khoâng ) Noùi : 5 ( Noùi toát ) – 4 ( Noùi sai aâm ) – 3 ( Noùi khoâng phuø hôïp ) – ( Noùi voâ nghóa )- 1( Khoâng noùi ñöôïc )
  • 5.
    Vaän ñoäng :6 ( Theo leäch ) -5 ( Kích thích ñau ) - 4 ( Co khi kích thíc ñau ) – 3 ( Goàng maát voû ) – 2 ( Goàng maát naõo ) – 1 ( Khoâng ) D/ VOÂI HOÙA TRONG SOÏ : 1/ Sinh lyù : Voâi hoùa tuyeán tuøng ( Pineal ) thaáy nhö hình tröùng , gaëp 50% ôû ngöôøi tröôûng thaønh, taàn xuaát taêng theo tuoåi. Thaáy treân phim nghieäng ñoä 20%. Vò trí : Khoaûng ñöôøng giöõa treân traùn , hình chöõ C Voâi hoùa ñaùm roái maïch maïc ( ÔÛ naõo thaát beân , ba hay boán ) Hieän dieän ôû beänh nhaân soï nghieâng ñoä 50%.Vò trí phía treân tuyeán tuøng. Ngoaøi ra coøn gaëp voâi hoùa maøng cöùng , caùc nhaân xaùm trung öông ( Basal ganglia ) , ñoäng maïch caûnh 2/ Beänh hoïc : U da thaàn kinh ( Tuberous sclerosis ) : Voâi hoùa ñaäm ñoä xöông nhoû < 15 mm , nhieàu raûi raùc khaép nôi U maøng naõo ( Meningioma ) : Ñoä 15% phaùt hieän treân phim. Ngoaøi ra coøn coù caùc beänh khaùc nhö Nhieãm Toxoplasmosis hay Cytomegalovirus. E/ GIAÛM ÑAÄM ÑOÄ 1/ Sinh lyù : Caùc hoà maùu ( Venous lakes ) Khuyeát xöông do moå soï naõo cuõ 2/ beänh hoïc : Ña u tuûy ( Giaûm ñaäm ñoä nhö ñuïc loã ) Di caên xöông Taêng naêng caän gíap ( Hyperparathyroide ). Khi coù toån thöông thì ta moâ taû vò trí , kích thöôùc , hình theå, soá löôïng , tính chaát ( baûn soï naøo ? xöông naøo ? ) Chaån ñoaùn : Tuyø theo laâm saøng vaø trieäu chöùng keøm theo  Laø laønh hay aùc hay chæ laø sinh lyù bình thöôøng. XOANG: Hay chæ ñònh chuïp trong beänh vieän vaø tö theá hay khaûo saùt laø Blondeau vaø Hirtz ñeå quan saùt xoang haøm – xoang traùn – xoang saøng , ngoaøi ra coøn quang saùt heä xöông lieân quan. Gæai phaãu tö theá Blondeau ( Hình )
  • 6.
    Giaûi phaãu tötheá Hirtz ( Hình ) Tư thế Schuler :
  • 7.
    1/ Bình thöôøng: Xoang traùn Xuaát hieän töø naêm 4 tuoåi , kích thöôùc thay ñoåi theo ngöôøi vaø khoâng caân xöùng . Ngöng phaùt trieån naâm 16  20 tuoåi.Tuy nhieân coù theå khoâng coù xoang traùn vôùi tyû leä 5% daân soá , hay ôû treû em bò beänh Down ( roái loaïn nhieãm saéc theå thöù 23 ) Thì hoaøn toaøn khoâng coù xoang traùn Xoang haøm thöôøng ñoái xöùng , thaáy ñöïôc treân xquang naêm 15 tuoåi.Tuy nhieân coù theå coù xoang lôùn xoang nhoû ( Chuù yù chuïp sai tö theá ) 2/ Ñoïc phim Trong chaán thöông xem coù beå xoang haøm hay khoâng ? Beå xoang traùn ? Coù beå cung goø maù hay khoâng ? Gaõy caønh haøm ? Moät soá beänh lyù hay gaëp cuûa xoang • Vieâm xoang caáp :Thaáy ñöôïc nieâm maïc xoang daøy
  • 8.
    Thaáy dòch : •Polype:Gaëp ñoä 4 % daân soá vôùi tyû leä nam / nöõ laø 6/4 . Nguyeân nhaân : Do dò öùng – Nhieãm truøng Hình aûnh : Hình aûnh môø troøn ñeàu – Ñaäm ñoä moâ meàm * Cyst :Khoái môø gaëp trong xoang haøm do bieán chöùng cuûa vieâm xoang 100% tröôøng hôïp ( Haäu quûa cuûa taéc ngheõn caùc oáng daãn cuûa caùc tuyeán nieâm maïc) Coù theå gaëp ngaãu nhieân ñoä 10% daân soá vôùi hình aûnh khoái caàu troøn giôùi haïn roõ , ñeàu dính vaøo thaønh xoang , chuû yeáu ôû xoang haøm.Hay goïi laø nang toàn ñoïng ( retention cyst )
  • 9.
    • U nhaàyxoang haøm ( Mucocele ) : u +xoang bieán daïng + phaûn öùng maøng xöông ( Chuù yù caùc voû xöông vaãn lieân tuïc ) Vò trí : Xoang traùn 65%  saøng 25% ( ethmoid )  haøm 10% ( maxillary )  Böôùm thì hieám gaëp Bieán chöùng : Vôõ vaøo hoá soï tröôùc hay oå maét • U taân sinh : Carcinoma vaø lymphoma ( Thaáy u vaø huûy xöông ) Hay gaëp squamocell carcinoma 90% ( Haøm ñoä 80% vaø saøng 15% ) • Quan saùt loã thaàn kinh thi : Bình thöôøng 2 loã 3 mm , ta quan saùt xem coù roäng hay heïp , neáu quùa 4 mm thì coi laø roäng thöôøng do neurinoma. • Daøy veïo vaùch ngaên muõi : • U xöông laønh tính : Hay thaáy ôû xoang traùn chuû yeáu osteoma
  • 10.