SIEÂU AÂMSIEÂU AÂM
ÑÖÔØNG TIEÁTÑÖÔØNG TIEÁT
NIEÄUNIEÄUBS. Hoà Hoaøng PhöôngBS. Hoà Hoaøng Phöông
BM. Chaån ñoaùn Hình aûnhBM. Chaån ñoaùn Hình aûnh
DAØN BAØIDAØN BAØI
 1. Phoâi thai hoïc – Giaûi phaãu hoïc1. Phoâi thai hoïc – Giaûi phaãu hoïc
 2. Khaûo saùt sieâu aâm – Hình aûnh bình2. Khaûo saùt sieâu aâm – Hình aûnh bình
thöôøngthöôøng
 3. Dò taät baåm sinh3. Dò taät baåm sinh
 4. Nhieãm truøng ñöôøng tieát nieäu4. Nhieãm truøng ñöôøng tieát nieäu
 5. Soûi ñöôøng tieát nieäu5. Soûi ñöôøng tieát nieäu
 6. U ñöôøng nieäu duïc6. U ñöôøng nieäu duïc
 7. Beänh lyù nang7. Beänh lyù nang
 8. Chaán thöông8. Chaán thöông
 9. Beänh lyù noäi khoa ñöôøng nieäu duïc9. Beänh lyù noäi khoa ñöôøng nieäu duïc
Nhieãm truøng ñöôøng tieátNhieãm truøng ñöôøng tieát
nieäunieäu
 Vieâm thaän – beå thaänVieâm thaän – beå thaän
 Hoaïi töû nhuù thaänHoaïi töû nhuù thaän
 Lao thaänLao thaän
 Caùc nhieãm truøng ít gaëpCaùc nhieãm truøng ít gaëp
 Vieâm baøng quangVieâm baøng quang
Vieâm thaän – beå thaänVieâm thaän – beå thaän
- Vieâm thaän – beå thaän caápVieâm thaän – beå thaän caáp
- AÙp xe thaän vaø quanh thaänAÙp xe thaän vaø quanh thaän
- Thaän öù muûThaän öù muû
- Vieâm thaän – beå thaän khí thuûngVieâm thaän – beå thaän khí thuûng
- Vieâm thaän – beå thaän maïnVieâm thaän – beå thaän maïn
- Vieâm thaän – beå thaän haït vaøngVieâm thaän – beå thaän haït vaøng
Vieâm thaän – beå thaän caápVieâm thaän – beå thaän caáp
- Vieâm caùc oáng trong moâ keõ cuûaVieâm caùc oáng trong moâ keõ cuûa
thaänthaän
- Gaây qua hai ñöôøng:Gaây qua hai ñöôøng:
+ Nhieãm truøng ngöôïc doøng+ Nhieãm truøng ngöôïc doøng (E. Coli)(E. Coli)
85%85%
+ Qua ñöôøng maùu+ Qua ñöôøng maùu (S. aureus)(S. aureus) 15%15%
- Ña soá phuï nöõ 15 – 35 tuoåiÑa soá phuï nöõ 15 – 35 tuoåi
- 2% phuï nöõ mang thai2% phuï nöõ mang thai
Vieâm thaän – beå thaän caápVieâm thaän – beå thaän caáp
- Laâm saøng: soát, ñau hoângLaâm saøng: soát, ñau hoâng
- Xeùt nghieäm: vi truøng trong nöôùc tieåu,Xeùt nghieäm: vi truøng trong nöôùc tieåu,
baïch caàu taêng trong maùu, muû trongbaïch caàu taêng trong maùu, muû trong
nöôùc tieåu…nöôùc tieåu…
- Hình aûnh: loaïi tröø caùc bieán chöùngHình aûnh: loaïi tröø caùc bieán chöùng
coù theå xaûy ra.coù theå xaûy ra.
Vieâm thaän – beå thaän caápVieâm thaän – beå thaän caáp
Sieâu aâm : phaàn lôùn hình aûnh thaänSieâu aâm : phaàn lôùn hình aûnh thaän
vaãn bình thöôøng, neáu coù baátvaãn bình thöôøng, neáu coù baát
thöôøng ghi nhaän:thöôøng ghi nhaän:
Tìm tắc nghẽn +++Tìm tắc nghẽn +++
Vieâm thaän – beå thaänVieâm thaän – beå thaän
caápcaáp
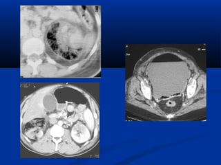
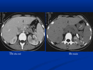
 CT :CT :
 Khảo sát hình thái và chức năngKhảo sát hình thái và chức năng
 KT nhạy nhất để tìm ổ nhiễm trùng : dùngKT nhạy nhất để tìm ổ nhiễm trùng : dùng
dynamic CT, có hình ảnh giữ thuốc cản quang tạidynamic CT, có hình ảnh giữ thuốc cản quang tại
thì muộn.thì muộn.
 Dấu hiệu gián tiếp: đường bờ mờ, dày mạc thận,Dấu hiệu gián tiếp: đường bờ mờ, dày mạc thận,
thâm nhiễm mỡ quanh thận.thâm nhiễm mỡ quanh thận.
Thận đồ
Thì muộn
Thì vỏ - tủy
Thì nhu mô thì muộn
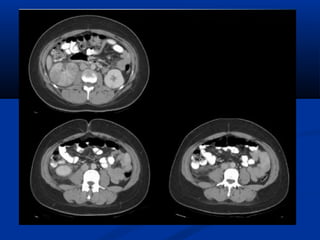
ThThì muộnì muộn
Aùp xe thaän vaø quanhAùp xe thaän vaø quanh
thaänthaän
- Do ñieàu trò vieâm ñaøi thaän khoâng ñuùngDo ñieàu trò vieâm ñaøi thaän khoâng ñuùng
caùch hoaëc khoâng ñuùng möùc, ñöa ñeáncaùch hoaëc khoâng ñuùng möùc, ñöa ñeán
hoaïi töû nhu moâ thaän keøm taïo aùp xe.hoaïi töû nhu moâ thaän keøm taïo aùp xe.
- Yeáu toá nguy cô: tieåu ñöôøng, taéc ñöôøngYeáu toá nguy cô: tieåu ñöôøng, taéc ñöôøng
tieát nieäu, soûi thaän nhieãm truøng, suy giaûmtieát nieäu, soûi thaän nhieãm truøng, suy giaûm
mieãn dòch, suy nhöôïc cô theå…mieãn dòch, suy nhöôïc cô theå…
- Aùp xe quanh thaän do thaän öù muû bò vôõ,Aùp xe quanh thaän do thaän öù muû bò vôõ,
hoaëc do lan tröïc tieáp töø nhieãm truønghoaëc do lan tröïc tieáp töø nhieãm truøng
phuùc maïc hoaëc sau can thieäp phaãu thuaät,phuùc maïc hoaëc sau can thieäp phaãu thuaät,
noäi soi, thuû thuaät qua da…noäi soi, thuû thuaät qua da…
Aùp xe thaän vaø quanhAùp xe thaän vaø quanh
thaänthaän
 Sieâu aâm:Sieâu aâm:
- Khoái phöùc taïp, daïng troøn, thaønh daøy,Khoái phöùc taïp, daïng troøn, thaønh daøy,
thöôøng taêng aâm phía sau.thöôøng taêng aâm phía sau.
- Coù theå thaáy chaát caën laéng chuyeånCoù theå thaáy chaát caën laéng chuyeån
ñoäng beân trongñoäng beân trong
- Ñoâi khi hieän dieän khí beân trong vôùi boùngÑoâi khi hieän dieän khí beân trong vôùi boùng
löng dôlöng dô
- CÑPB: nang thaän nhieãm truøng hoaëc xuaátCÑPB: nang thaän nhieãm truøng hoaëc xuaát
huyeát, nang kyù sinh truøng, nang ña thuøy, uhuyeát, nang kyù sinh truøng, nang ña thuøy, u
taân sinh daïng nang.taân sinh daïng nang.
- Sieâu aâm coù vai troø theo doõi bn ñang ñöôïcSieâu aâm coù vai troø theo doõi bn ñang ñöôïc
Aùp xe thaän vaø quanhAùp xe thaän vaø quanh
thaänthaän
AÙp xe thaän vaø quanhAÙp xe thaän vaø quanh
thaänthaän
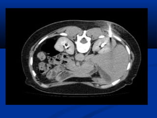
Thaän öù muûThaän öù muû
- Hieän dieän chaát muû beân trong heäHieän dieän chaát muû beân trong heä
thu thaäp bò taéc ngheõnthu thaäp bò taéc ngheõn
- Caàn chaån ñoaùn sôùm vaø trò lieäu kòpCaàn chaån ñoaùn sôùm vaø trò lieäu kòp
thôøi ngaên ngöøa nhieãm truøng huyeátthôøi ngaên ngöøa nhieãm truøng huyeát
vaø soác nhieãm truøngvaø soác nhieãm truøng
- Bn treû nguyeân nhaân thöôøng do taécBn treû nguyeân nhaân thöôøng do taéc
khuùc noái beå thaän – NQ, soûi…khuùc noái beå thaän – NQ, soûi…
- BN giaø thöôøng do taéc NQ coù baûnBN giaø thöôøng do taéc NQ coù baûn
chaát aùc tínhchaát aùc tính
Thaän öù muûThaän öù muû
Sieâu aâm:Sieâu aâm:
- Thaän tröôùng nöôùc,Thaän tröôùng nöôùc,
coù theå keøm NQcoù theå keøm NQ
giaõn nôûgiaõn nôû
- Hieän dieän caënHieän dieän caën
laéng chuyeån dòchlaéng chuyeån dòch
trong heä thu thaäptrong heä thu thaäp
- Coù theå thaáy möùcCoù theå thaáy möùc
dòch – caën laéngdòch – caën laéng
- Coù theå thaáy khíCoù theå thaáy khí
hoaëc coù soûihoaëc coù soûi
Vieâm thaän – beå thaänVieâm thaän – beå thaän
khí thuûngkhí thuûng
- Nhieãm truøng nhu moâ thaän ít gaëpNhieãm truøng nhu moâ thaän ít gaëp
nhöng ñe doaï tính maïng, vôùi ñaëcnhöng ñe doaï tính maïng, vôùi ñaëc
ñieåm taïo khí.ñieåm taïo khí.
- Öu theá phuï nöõ (2:1) vaø ngöôøi tieåuÖu theá phuï nöõ (2:1) vaø ngöôøi tieåu
ñöôøngñöôøng
- 62 – 70% do62 – 70% do E. ColiE. Coli
- Laâm saøng naëng: soát, ñau vuøngLaâm saøng naëng: soát, ñau vuøng
hoâng, taêng ñöôøng huyeát, nhieãmhoâng, taêng ñöôøng huyeát, nhieãm
toan, maát nöôùc vaø roái loaïn ñieäntoan, maát nöôùc vaø roái loaïn ñieän
giaûi.giaûi.
Vieâm thaän – beå thaänVieâm thaän – beå thaän
khí thuûngkhí thuûng
2 loaïi:2 loaïi:
(1) Phaù huûy nhu moâ thaän keøm hieän dieän khí(1) Phaù huûy nhu moâ thaän keøm hieän dieän khí
daïng veät daøi hay loám ñoám, tuû vong 69%.daïng veät daøi hay loám ñoám, tuû vong 69%.
Ñieàu trò baèng caét boû thaän khaån caápÑieàu trò baèng caét boû thaän khaån caáp
Vieâm thaän – beå thaänVieâm thaän – beå thaän
khí thuûngkhí thuûng
(2) Ñaëc tröng laø tuï(2) Ñaëc tröng laø tuï
dòch taïi hoaëc quanhdòch taïi hoaëc quanh
thaän keøm caùcthaän keøm caùc
boùng khí trong heäboùng khí trong heä
thu thaäp, töû vongthu thaäp, töû vong
18%. Ñieàu trò baèng18%. Ñieàu trò baèng
daãn löu qua da.daãn löu qua da.
Vieâm thaän – beå thaänVieâm thaän – beå thaän
maïnmaïn
- Laø vieâm thaän moâLaø vieâm thaän moâ
keõ keøm vôùi traøokeõ keøm vôùi traøo
ngöôïc baøng quangngöôïc baøng quang
– nieäu quaûn.– nieäu quaûn.
- Thöôøng khôûi phaùtThöôøng khôûi phaùt
töø nhoû, thöôøngtöø nhoû, thöôøng
xaûy ra ôû nöõ, 10 –xaûy ra ôû nöõ, 10 –
30% laø nguyeân30% laø nguyeân
nhaân cuûa suy thaännhaân cuûa suy thaän
maõn.maõn.
- Sieâu aâm: traøo ngöôïc, taïo seïo voûSieâu aâm: traøo ngöôïc, taïo seïo voû
thaän, co keùo nhuù thaän, phì ñaïi buøthaän, co keùo nhuù thaän, phì ñaïi buø
tröø khu truù..tröø khu truù..
Vieâm thaän – beå thaänVieâm thaän – beå thaän
haït vaønghaït vaøng
- Beänh nhieãm truøng sinhBeänh nhieãm truøng sinh
muû maïn tính cuûa thaänmuû maïn tính cuûa thaän
laøm huûy hoaïi chuû moâ,laøm huûy hoaïi chuû moâ,
thay vaøo caùc ñaïi thöïcthay vaøo caùc ñaïi thöïc
baøo chöùa ñaày caùc haïtbaøo chöùa ñaày caùc haït
lipid.lipid.
- Thöôøng ñi keøm soûiThöôøng ñi keøm soûi
thaän vaø beänh thaän taécthaän vaø beänh thaän taéc
ngheõn.ngheõn.
Vieâm thaän – beå thaänVieâm thaän – beå thaän
haït vaønghaït vaøng
- Gaëp ôû phuï nöõ trung nieân, ngöôøiGaëp ôû phuï nöõ trung nieân, ngöôøi
tieåu ñöôøngtieåu ñöôøng
- Laâm saøng khoâng ñaëc hieäu, ñau,Laâm saøng khoâng ñaëc hieäu, ñau,
khoái u, suït caân, nhieãm truøng tieåu…khoái u, suït caân, nhieãm truøng tieåu…
- Thöôøng xaûy ra moät beân, lan toûa,Thöôøng xaûy ra moät beân, lan toûa,
töøng vuøng hoaëc khu truù.töøng vuøng hoaëc khu truù.
Vieâm thaän – beå thaänVieâm thaän – beå thaän
haït vaønghaït vaøng
 Sieâu aâm:Sieâu aâm:
• Theå lan toûa:Theå lan toûa:
• - Thaän phì ñaïi, giöõ nguyeân hình daïng, maát phaân bieät voû- Thaän phì ñaïi, giöõ nguyeân hình daïng, maát phaân bieät voû
– tuûy.– tuûy.
• - Nhieàu vuøng giaûm phaûn aâm töông öùng ñaøi thaän bò- Nhieàu vuøng giaûm phaûn aâm töông öùng ñaøi thaän bò
giaõn nôû hoaëc vuøng nhu moâ bò vieâmgiaõn nôû hoaëc vuøng nhu moâ bò vieâm
• - Ñoä thaáu aâm thay ñoåi theo möùc ñoä hoaù loûng cuûa caùc- Ñoä thaáu aâm thay ñoåi theo möùc ñoä hoaù loûng cuûa caùc
khoái nhu moâ.khoái nhu moâ.
• - Xoang thaän trung taâm coù theå taêng phaûn aâm roõ reät- Xoang thaän trung taâm coù theå taêng phaûn aâm roõ reät
keøm boùng löng töông öùng vôùi soûi san hoâ lôùn.keøm boùng löng töông öùng vôùi soûi san hoâ lôùn.
Hoaïi töû nhuù thaänHoaïi töû nhuù thaän
Caùc nguyeân nhaân gaây thieáu maùu daãn ñeán hoaïiCaùc nguyeân nhaân gaây thieáu maùu daãn ñeán hoaïi
töû nhuù thaän:töû nhuù thaän:
 (1) laïm duïng thuoác giaûm ñau,
 (2) tieåu ñöôøng,
 (3) nhieãm truøng ñöôøng nieäu;
 (4) huyeát khoái tónh maïch thaän;
 (5) haï huyeát aùp keùo daøi;
 (6) taéc ngheõn ñöôøng nieäu;
 (7) maát nöôùc;
 (8) thieáu maùu hoàng caàu lieàm
 (9) beänh öa chaûy maùu.
Hoaïi töû nhuù thaänHoaïi töû nhuù thaän
- Dieãn tieán: nhuù thaän söng leân, thoângDieãn tieán: nhuù thaän söng leân, thoâng
thöông ñaøi thaän, taïo hang vaø nhuù bòthöông ñaøi thaän, taïo hang vaø nhuù bò
huûy.huûy.
- Sieâu aâm:Sieâu aâm:
Hoaïi töû nhuù thaänHoaïi töû nhuù thaän
Lao thaänLao thaän
- DoDo Mycobacterium tuberculosisMycobacterium tuberculosis laây qua ñöôønglaây qua ñöôøng
maùu töø nguoàn ngoaøi thaän, phaàn lôùn töømaùu töø nguoàn ngoaøi thaän, phaàn lôùn töø
phoåi.phoåi.
- Khôûi phaùt 5 – 10 naêm sau lao sô nhieãmKhôûi phaùt 5 – 10 naêm sau lao sô nhieãm
- X quang ngöïc:X quang ngöïc:
+ 35 – 50% bình thöôøng+ 35 – 50% bình thöôøng
+ 10% tieán trieån+ 10% tieán trieån
+ 40 – 50% lao cuõ.+ 40 – 50% lao cuõ.
- Laâm saøng: tieåu nhieàu laàn, tieåu khoù, tieåuLaâm saøng: tieåu nhieàu laàn, tieåu khoù, tieåu
ñeâm, caûm giaéc maéc tieåu thöôøng, tieåuñeâm, caûm giaéc maéc tieåu thöôøng, tieåu
maùu …maùu …
- 10 – 20% bn khoâng coù trieäu chöùng laâm- 10 – 20% bn khoâng coù trieäu chöùng laâm
saøngsaøng
Lao thaänLao thaän
- PTNT: coù muû nhöng caáy khoâng thaáy vi truøng,PTNT: coù muû nhöng caáy khoâng thaáy vi truøng,
tieåu maùu vi theå, pH acid gôïi yù lao nieäu.tieåu maùu vi theå, pH acid gôïi yù lao nieäu.
- CÑXÑ: tröïc khuaån lao trong nöôùc tieåu, 6 – 8 tuaànCÑXÑ: tröïc khuaån lao trong nöôùc tieåu, 6 – 8 tuaàn
môùi coù keát quaû.môùi coù keát quaû.
- Toån thöông thöôøng khu truù ôû thaän:Toån thöông thöôøng khu truù ôû thaän:
+ Nhoû: 5 – 15 mm, taêng phaûn aâm, hoaëc phaûn+ Nhoû: 5 – 15 mm, taêng phaûn aâm, hoaëc phaûn
aâm keùm keøm vieàn taêng phaûn aâm.aâm keùm keøm vieàn taêng phaûn aâm.
+ Lôùn: > 15mm, phaûn aâm hoãn hôïp, ñöôøng bôø+ Lôùn: > 15mm, phaûn aâm hoãn hôïp, ñöôøng bôø
khoâng giôùi haïn roõkhoâng giôùi haïn roõ
- Tieán trieån: haït lao lôùn leân, taïo hang, thoâng thöông- Tieán trieån: haït lao lôùn leân, taïo hang, thoâng thöông
vôùi heä thu thaäp, keøm hoaïi töû nhuù thaän, lan ñeánvôùi heä thu thaäp, keøm hoaïi töû nhuù thaän, lan ñeán
caùc nôi khaùc cuûa ñöôøng tieát nieäu…caùc nôi khaùc cuûa ñöôøng tieát nieäu…
Lao niLao niệuệu
 Phân loại Elke :Phân loại Elke :
 Stade I : lao thận, X quang bình thườngStade I : lao thận, X quang bình thường
 Stade II : lao tạo hang (phá hủy < 1/3 thận)Stade II : lao tạo hang (phá hủy < 1/3 thận)
 Stade III : thận mủ > 1/3 thận (néphrectomie)Stade III : thận mủ > 1/3 thận (néphrectomie)
 UIV : khám nghiệm lựa chọn (vôi hoá, chít hẹp,UIV : khám nghiệm lựa chọn (vôi hoá, chít hẹp,
hình cộng..)hình cộng..)
Lao thaänLao thaän
Sieâu aâm:Sieâu aâm:
• **Thaän vaø nieäu quaûn:Thaän vaø nieäu quaûn:
• - Voâi hoaù trong thaän- Voâi hoaù trong thaän
• - Chít heïp = giaõn heä beå- Chít heïp = giaõn heä beå
ñaøiñaøi
• - Hình aûnh coäng: taïo- Hình aûnh coäng: taïo
hang, xoang tuûy…hang, xoang tuûy…
• - Thaän teo nhoû, voâi- Thaän teo nhoû, voâi
hoaùhoaù
• ** Baøng quang :Baøng quang : daøydaøy
vaùchvaùch
Öu theá UIV trong lao nieäuÖu theá UIV trong lao nieäu
SA giuùp ích höôùng daãnSA giuùp ích höôùng daãn
Rein Mastic
Calcifications surrénaliennes
Images d’addition
Hang lao và chít hẹp
Lao niệu quản
Caùc nhieãm truøng ít gaëpCaùc nhieãm truøng ít gaëp
- Nhieãm naámNhieãm naám
- Nhieãm kyù sinh truøngNhieãm kyù sinh truøng
- AIDSAIDS
Caùc nhieãm truøng ít gaëpCaùc nhieãm truøng ít gaëp
Nhieãm naám:Nhieãm naám:
- Yeáu toá thuaän lôïi: tieåu ñöôøng, ñaët oángYeáu toá thuaän lôïi: tieåu ñöôøng, ñaët oáng
thoâng tieåu, beänh lyù roái loaïn taïo maùu,thoâng tieåu, beänh lyù roái loaïn taïo maùu,
duøng khaùng sinh hay steroid quaù laâu,caáyduøng khaùng sinh hay steroid quaù laâu,caáy
gheùp caùc moâ,laïm duïng thuoác tieâm TM, …gheùp caùc moâ,laïm duïng thuoác tieâm TM, …
- Taùc nhaân : Candida albicansTaùc nhaân : Candida albicans
- Toån thöông: nhieàu aùp xe nhoû trong chuûToån thöông: nhieàu aùp xe nhoû trong chuû
moâ thaän vaø voâi hoùa theo thôøi gian, coùmoâ thaän vaø voâi hoùa theo thôøi gian, coù
theå lan roäng quanh thaän, xaâm nhaäp heätheå lan roäng quanh thaän, xaâm nhaäp heä
thoáng thu thaäp taïo thaønh caùc quaû caàuthoáng thu thaäp taïo thaønh caùc quaû caàu
naám.naám.
Caùc nhieãm truøng ít gaëpCaùc nhieãm truøng ít gaëp
Nhieãm naám:Nhieãm naám:
Sieâu aâm:Sieâu aâm:
- Nhöõng aùp xe nhoû do naám töông töï aùp xeNhöõng aùp xe nhoû do naám töông töï aùp xe
do vi truøng, laø nhuõng khoái giaûm phaûndo vi truøng, laø nhuõng khoái giaûm phaûn
aâm trong chuû moâ.aâm trong chuû moâ.
- Nhöõng quaû caàu naám cho hình aûnh khoáiNhöõng quaû caàu naám cho hình aûnh khoái
moâ meàm taêng aâm, khoâng boùng löng vaømoâ meàm taêng aâm, khoâng boùng löng vaø
naèm beân trong caùc oáng thu thaäp.naèm beân trong caùc oáng thu thaäp.
- CÑPB: cuïc maùu ñoâng, soûi khoâng caûnCÑPB: cuïc maùu ñoâng, soûi khoâng caûn
quang, u teá baøo chuyeån tieáp, bong troùcquang, u teá baøo chuyeån tieáp, bong troùc
nhuù thaän, …nhuù thaän, …
Caùc nhieãm truøng ít gaëpCaùc nhieãm truøng ít gaëp
• ** Nhieãm kyù sinh truøng:Nhieãm kyù sinh truøng:
• - Saùn maùng- Saùn maùng
• - Nang saùn- Nang saùn
• - Giun chæ- Giun chæ
Saùn maùngSaùn maùng
- Taùc nhaân: SchistosomaTaùc nhaân: Schistosoma
haematobiumhaematobium
- Saùn chui qua da vaøo kyù chuû,Saùn chui qua da vaøo kyù chuû,
ñeán gan qua heä cöûa, tröôûngñeán gan qua heä cöûa, tröôûng
thaønh ôû gan, thích chui vaøo ñaùmthaønh ôû gan, thích chui vaøo ñaùm
roái TM quanh baøng quang.roái TM quanh baøng quang.
- - Saùn caùi ñeû tröùng trong caùc- Saùn caùi ñeû tröùng trong caùc
TM nhoû cuûa thaønh baøng quangTM nhoû cuûa thaønh baøng quang
vaø nieäu quaûn, hình thaønh u haïtvaø nieäu quaûn, hình thaønh u haït
vaø vieâm noäi maïc ñoäng maïchvaø vieâm noäi maïc ñoäng maïch
taéc ngheõn.taéc ngheõn.
- CÑ nhôø xeùt nghieäm huyeát thanhCÑ nhôø xeùt nghieäm huyeát thanh
- Laâm saøng: tieåu maùu thöôøngLaâm saøng: tieåu maùu thöôøng
Saùn maùngSaùn maùng
Sieâu aâm:Sieâu aâm:
- Hai thaän coøn bình thöôøng ñeán giai ñoaïn cuoáiHai thaän coøn bình thöôøng ñeán giai ñoaïn cuoái
- Toån thöông giaû u phaùt trieån trong baøng quang vaøToån thöông giaû u phaùt trieån trong baøng quang vaø
nieäu quaûn laøm daøy lôùp bieåu moâ nieäu.nieäu quaûn laøm daøy lôùp bieåu moâ nieäu.
- Theo thôøi gian, caùc giaû u seõ voâi hoùaTheo thôøi gian, caùc giaû u seõ voâi hoùa
- Neáu nhieãm truøng laëp laïi, baøng quang seõ xô hoùaNeáu nhieãm truøng laëp laïi, baøng quang seõ xô hoùa
vaø nhoû daànvaø nhoû daàn
- Deã keøm soûi nieäu quaûn vaø soûi baøng quang.Deã keøm soûi nieäu quaûn vaø soûi baøng quang.
Beänh nang saùnBeänh nang saùn
- 2 type chính:2 type chính:
+ Echinococcus multiloculari+ Echinococcus multiloculari
+ Echinococcus granulosus, thöôøng gaëp hôn+ Echinococcus granulosus, thöôøng gaëp hôn
- Nang saùn thaän : 2 – 5 % nhieãm nang saùnNang saùn thaän : 2 – 5 % nhieãm nang saùn
- Xaûy ra doïc theo NQ hoaëc trong baøng quang.Xaûy ra doïc theo NQ hoaëc trong baøng quang.
- Beänh thöôøng khoâng trieäu chöùng ñeán khiBeänh thöôøng khoâng trieäu chöùng ñeán khi
lôùn quaù möùc, hoaëc vôõ, hoaëc taïo aùp löïclôùn quaù möùc, hoaëc vôõ, hoaëc taïo aùp löïc
leân caùc caáu truùc laân caän…leân caùc caáu truùc laân caän…
- Caáu taïo nang saùn: nang voøng quanh – nangCaáu taïo nang saùn: nang voøng quanh – nang
ngoaøi vaø nang trong.ngoaøi vaø nang trong.
Beänh nang saùnBeänh nang saùn
Sieâu aâm:Sieâu aâm:
- Giai ñoaïn sôùm: nang phaûn aâm troáng coùGiai ñoaïn sôùm: nang phaûn aâm troáng coù
vaùch nhaän ra ñöôïc, haït ôû vaùch gôïi yùvaùch nhaän ra ñöôïc, haït ôû vaùch gôïi yù
ñaàu saùnñaàu saùn
- Khi coù nang con, hieän dieän thaønh khoáiKhi coù nang con, hieän dieän thaønh khoái
daïng nang ña thuøydaïng nang ña thuøy
- Voâi hoaù ña daïng töø daïng voû tröùng ñeánVoâi hoaù ña daïng töø daïng voû tröùng ñeán
daïng maïng löôùi daøy ñaëcdaïng maïng löôùi daøy ñaëc
- Caùc maøng bong töø nang trong, keát tuï laïiCaùc maøng bong töø nang trong, keát tuï laïi
ôû vuøng ñaùy cuûa dòch nang saùn trôûôû vuøng ñaùy cuûa dòch nang saùn trôû
thaønh « caùt nang saùn »thaønh « caùt nang saùn »
Giun chæGiun chæ
- 10 – 12 tuoåi10 – 12 tuoåi
- Giun chæ truyeàn sang ngöôøi do muoãi ñoát,Giun chæ truyeàn sang ngöôøi do muoãi ñoát,
sau ñoù chui vaøo heä baïch huyeátsau ñoù chui vaøo heä baïch huyeát
- Caùc phaûn öùng vieâm taïo haït xaûy ra,Caùc phaûn öùng vieâm taïo haït xaûy ra,
ngheõn maïch baïch huyeát, daõn nôû, taêngngheõn maïch baïch huyeát, daõn nôû, taêng
sinh, coù theå vôõ vaøo heä beå ñaøi.sinh, coù theå vôõ vaøo heä beå ñaøi.
- Laâm saøng: phuø chaân voi, tieåu döôõngLaâm saøng: phuø chaân voi, tieåu döôõng
traáp, baùng buïng döôõng traáp… ít gaëptraáp, baùng buïng döôõng traáp… ít gaëp
- CÑXÑ nhôø chuïp quang maïch baïch huyeátCÑXÑ nhôø chuïp quang maïch baïch huyeát
- Sieâu aâm: khoâng giuùp ích gì.Sieâu aâm: khoâng giuùp ích gì.
AIDSAIDS
- Toån thöông : hoaïi töû oáng thaän caáp, nhieãm calciToån thöông : hoaïi töû oáng thaän caáp, nhieãm calci
thaän, vieâm thaän moâ keõ.thaän, vieâm thaän moâ keõ.
- Beänh hoïc: xô cöùng tieåu caàu thaän khu truù vaøBeänh hoïc: xô cöùng tieåu caàu thaän khu truù vaø
baát thöôøng oáng thaänbaát thöôøng oáng thaän
- Sieâu aâm: taêng phaûn aâm chuû moâ thaän, nhieàuSieâu aâm: taêng phaûn aâm chuû moâ thaän, nhieàu
oå sinh aâm raûi raùc beân trong chuû moâoå sinh aâm raûi raùc beân trong chuû moâ
- Xuaát ñoä nhieãm truøng cô hoäi vaø u taêng caoXuaát ñoä nhieãm truøng cô hoäi vaø u taêng cao
- Vieâm thaän beå thaän, aùp xe thaän vaø vieâm baøngVieâm thaän beå thaän, aùp xe thaän vaø vieâm baøng
quang coù theå xaûy raquang coù theå xaûy ra
- Coù theå gaëp voâi hoaù lan toûa ôû caùc taïng keå caûCoù theå gaëp voâi hoaù lan toûa ôû caùc taïng keå caû
thaän keøm theo nhieãm truøng lan roäng dothaän keøm theo nhieãm truøng lan roäng do
Pneumocystis carinii, Cytomegalovirus, …Pneumocystis carinii, Cytomegalovirus, …
AIDSAIDS
Vieâm baøng quangVieâm baøng quang
• *Vieâm baøng quang do*Vieâm baøng quang do
nhieãm truøng:nhieãm truøng:
- Gaëp nhieàu ôû phuï nöõGaëp nhieàu ôû phuï nöõ
- Taùc nhaân :Taùc nhaân : E. ColiE. Coli
- Phuø nieâm maïc, giaûmPhuø nieâm maïc, giaûm
dung tích baøng quangdung tích baøng quang
- Laâm saøng: kích thíchLaâm saøng: kích thích
baøng quang, tieåu maùubaøng quang, tieåu maùu
- SA: daøy lan toûa thaønh baøng quang,SA: daøy lan toûa thaønh baøng quang,
neáu vieâm khu truù, hình thaønh giaûneáu vieâm khu truù, hình thaønh giaû
polype, khoâng theå phaân bieät vôùi upolype, khoâng theå phaân bieät vôùi u
baøng quang.baøng quang.
Vieâm baøng quangVieâm baøng quang
• *Vieâm baøng quang maûng traéng:*Vieâm baøng quang maûng traéng:
- Tình traïng nhieãm truøng taïo haïtTình traïng nhieãm truøng taïo haït
hieám gaëphieám gaëp
- Nöõ nhieàu hôn (4:1), thaäp nieân 60Nöõ nhieàu hôn (4:1), thaäp nieân 60
- Beänh sinh chöa roûBeänh sinh chöa roû
- Taêng ôû bn tieåu ñöôøng, beänh ganTaêng ôû bn tieåu ñöôøng, beänh gan
do röôïu, nhieãm Mycobacterium, beänhdo röôïu, nhieãm Mycobacterium, beänh
sarcoit, sau gheùp roái loaïn ñaùp öùngsarcoit, sau gheùp roái loaïn ñaùp öùng
mieãn dòchmieãn dòch
- Laâm saøng: tieåu maùu, baøng quangLaâm saøng: tieåu maùu, baøng quang
kích thíchkích thích
- SA: 1 hoaëc nhieàu khoái 0,5 – 3 cm ôûSA: 1 hoaëc nhieàu khoái 0,5 – 3 cm ôû
nieâm maïc, phaàn lôùn taäp trung ôûnieâm maïc, phaàn lôùn taäp trung ôû
ñaùy, coù theå xaâm laán taïi choã.ñaùy, coù theå xaâm laán taïi choã.
Vieâm baøng quangVieâm baøng quang
*Vieâm baøng quang khí thuûng:*Vieâm baøng quang khí thuûng:
- Thöôøng gaëp ôû bn tieåu ñöôøngThöôøng gaëp ôû bn tieåu ñöôøng
- Laâm saøng: vieâm baøng quang, ñoâiLaâm saøng: vieâm baøng quang, ñoâi
khi tieåu ra boït khí.khi tieåu ra boït khí.
- Nguyeân nhaân : E. ColiNguyeân nhaân : E. Coli
- Hieän dieän khí trong thaønh vaø caûHieän dieän khí trong thaønh vaø caû
trong loøng baøng quang,tröôøng hôïptrong loøng baøng quang,tröôøng hôïp
naëng : nieâm maïc bò loeùt, hoaïi töû,naëng : nieâm maïc bò loeùt, hoaïi töû,
coù theå bong ra hoaøn toaøn.coù theå bong ra hoaøn toaøn.
*Vieâm baøng quang khí*Vieâm baøng quang khí
thuûng:thuûng:
-SA: ñoám hoài aâm vôùi boùng löng dôSA: ñoám hoài aâm vôùi boùng löng dô
trong thaønh baøng quangtrong thaønh baøng quang
Vieâm baøng quangVieâm baøng quang
• *Vieâm baøng quang maïn tính:*Vieâm baøng quang maïn tính:
- Thay ñoåi moâ hoïc: oå Brunn laø nhöõng oåThay ñoåi moâ hoïc: oå Brunn laø nhöõng oå
ñaëc trong lôùp nieâm maïc, khi thoaùi hoùañaëc trong lôùp nieâm maïc, khi thoaùi hoùa
seõ hình thaønh nang, neáu bò kích thích laâuseõ hình thaønh nang, neáu bò kích thích laâu
daøi bieán thaønh caáu truùc daïng tuyeán, vaødaøi bieán thaønh caáu truùc daïng tuyeán, vaø
coù theå laø tieàn thaân cuûa adenocarcinoma.coù theå laø tieàn thaân cuûa adenocarcinoma.
- SA coù theå thaáy caùc thay ñoåi treân,SA coù theå thaáy caùc thay ñoåi treân,
nang vaø caùc khoái nhuù ñaëc, khoângnang vaø caùc khoái nhuù ñaëc, khoâng
phaân bieät ñöôïc vôùi u aùc tính.phaân bieät ñöôïc vôùi u aùc tính.
Nt he nieu mp
Nt he nieu mp

Nt he nieu mp

  • 1.
    SIEÂU AÂMSIEÂU AÂM ÑÖÔØNGTIEÁTÑÖÔØNG TIEÁT NIEÄUNIEÄUBS. Hoà Hoaøng PhöôngBS. Hoà Hoaøng Phöông BM. Chaån ñoaùn Hình aûnhBM. Chaån ñoaùn Hình aûnh
  • 2.
    DAØN BAØIDAØN BAØI 1. Phoâi thai hoïc – Giaûi phaãu hoïc1. Phoâi thai hoïc – Giaûi phaãu hoïc  2. Khaûo saùt sieâu aâm – Hình aûnh bình2. Khaûo saùt sieâu aâm – Hình aûnh bình thöôøngthöôøng  3. Dò taät baåm sinh3. Dò taät baåm sinh  4. Nhieãm truøng ñöôøng tieát nieäu4. Nhieãm truøng ñöôøng tieát nieäu  5. Soûi ñöôøng tieát nieäu5. Soûi ñöôøng tieát nieäu  6. U ñöôøng nieäu duïc6. U ñöôøng nieäu duïc  7. Beänh lyù nang7. Beänh lyù nang  8. Chaán thöông8. Chaán thöông  9. Beänh lyù noäi khoa ñöôøng nieäu duïc9. Beänh lyù noäi khoa ñöôøng nieäu duïc
  • 3.
    Nhieãm truøng ñöôøngtieátNhieãm truøng ñöôøng tieát nieäunieäu  Vieâm thaän – beå thaänVieâm thaän – beå thaän  Hoaïi töû nhuù thaänHoaïi töû nhuù thaän  Lao thaänLao thaän  Caùc nhieãm truøng ít gaëpCaùc nhieãm truøng ít gaëp  Vieâm baøng quangVieâm baøng quang
  • 4.
    Vieâm thaän –beå thaänVieâm thaän – beå thaän - Vieâm thaän – beå thaän caápVieâm thaän – beå thaän caáp - AÙp xe thaän vaø quanh thaänAÙp xe thaän vaø quanh thaän - Thaän öù muûThaän öù muû - Vieâm thaän – beå thaän khí thuûngVieâm thaän – beå thaän khí thuûng - Vieâm thaän – beå thaän maïnVieâm thaän – beå thaän maïn - Vieâm thaän – beå thaän haït vaøngVieâm thaän – beå thaän haït vaøng
  • 6.
    Vieâm thaän –beå thaän caápVieâm thaän – beå thaän caáp - Vieâm caùc oáng trong moâ keõ cuûaVieâm caùc oáng trong moâ keõ cuûa thaänthaän - Gaây qua hai ñöôøng:Gaây qua hai ñöôøng: + Nhieãm truøng ngöôïc doøng+ Nhieãm truøng ngöôïc doøng (E. Coli)(E. Coli) 85%85% + Qua ñöôøng maùu+ Qua ñöôøng maùu (S. aureus)(S. aureus) 15%15% - Ña soá phuï nöõ 15 – 35 tuoåiÑa soá phuï nöõ 15 – 35 tuoåi - 2% phuï nöõ mang thai2% phuï nöõ mang thai
  • 8.
    Vieâm thaän –beå thaän caápVieâm thaän – beå thaän caáp - Laâm saøng: soát, ñau hoângLaâm saøng: soát, ñau hoâng - Xeùt nghieäm: vi truøng trong nöôùc tieåu,Xeùt nghieäm: vi truøng trong nöôùc tieåu, baïch caàu taêng trong maùu, muû trongbaïch caàu taêng trong maùu, muû trong nöôùc tieåu…nöôùc tieåu… - Hình aûnh: loaïi tröø caùc bieán chöùngHình aûnh: loaïi tröø caùc bieán chöùng coù theå xaûy ra.coù theå xaûy ra.
  • 9.
    Vieâm thaän –beå thaän caápVieâm thaän – beå thaän caáp Sieâu aâm : phaàn lôùn hình aûnh thaänSieâu aâm : phaàn lôùn hình aûnh thaän vaãn bình thöôøng, neáu coù baátvaãn bình thöôøng, neáu coù baát thöôøng ghi nhaän:thöôøng ghi nhaän: Tìm tắc nghẽn +++Tìm tắc nghẽn +++
  • 10.
    Vieâm thaän –beå thaänVieâm thaän – beå thaän caápcaáp
  • 11.
     CT :CT:  Khảo sát hình thái và chức năngKhảo sát hình thái và chức năng  KT nhạy nhất để tìm ổ nhiễm trùng : dùngKT nhạy nhất để tìm ổ nhiễm trùng : dùng dynamic CT, có hình ảnh giữ thuốc cản quang tạidynamic CT, có hình ảnh giữ thuốc cản quang tại thì muộn.thì muộn.  Dấu hiệu gián tiếp: đường bờ mờ, dày mạc thận,Dấu hiệu gián tiếp: đường bờ mờ, dày mạc thận, thâm nhiễm mỡ quanh thận.thâm nhiễm mỡ quanh thận.
  • 12.
  • 13.
    Thì nhu môthì muộn
  • 14.
  • 19.
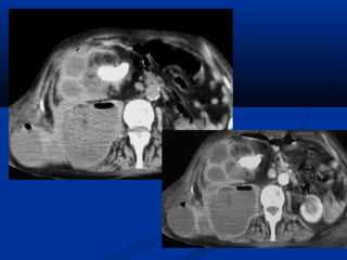
    Aùp xe thaänvaø quanhAùp xe thaän vaø quanh thaänthaän - Do ñieàu trò vieâm ñaøi thaän khoâng ñuùngDo ñieàu trò vieâm ñaøi thaän khoâng ñuùng caùch hoaëc khoâng ñuùng möùc, ñöa ñeáncaùch hoaëc khoâng ñuùng möùc, ñöa ñeán hoaïi töû nhu moâ thaän keøm taïo aùp xe.hoaïi töû nhu moâ thaän keøm taïo aùp xe. - Yeáu toá nguy cô: tieåu ñöôøng, taéc ñöôøngYeáu toá nguy cô: tieåu ñöôøng, taéc ñöôøng tieát nieäu, soûi thaän nhieãm truøng, suy giaûmtieát nieäu, soûi thaän nhieãm truøng, suy giaûm mieãn dòch, suy nhöôïc cô theå…mieãn dòch, suy nhöôïc cô theå… - Aùp xe quanh thaän do thaän öù muû bò vôõ,Aùp xe quanh thaän do thaän öù muû bò vôõ, hoaëc do lan tröïc tieáp töø nhieãm truønghoaëc do lan tröïc tieáp töø nhieãm truøng phuùc maïc hoaëc sau can thieäp phaãu thuaät,phuùc maïc hoaëc sau can thieäp phaãu thuaät, noäi soi, thuû thuaät qua da…noäi soi, thuû thuaät qua da…
  • 20.
    Aùp xe thaänvaø quanhAùp xe thaän vaø quanh thaänthaän  Sieâu aâm:Sieâu aâm: - Khoái phöùc taïp, daïng troøn, thaønh daøy,Khoái phöùc taïp, daïng troøn, thaønh daøy, thöôøng taêng aâm phía sau.thöôøng taêng aâm phía sau. - Coù theå thaáy chaát caën laéng chuyeånCoù theå thaáy chaát caën laéng chuyeån ñoäng beân trongñoäng beân trong - Ñoâi khi hieän dieän khí beân trong vôùi boùngÑoâi khi hieän dieän khí beân trong vôùi boùng löng dôlöng dô - CÑPB: nang thaän nhieãm truøng hoaëc xuaátCÑPB: nang thaän nhieãm truøng hoaëc xuaát huyeát, nang kyù sinh truøng, nang ña thuøy, uhuyeát, nang kyù sinh truøng, nang ña thuøy, u taân sinh daïng nang.taân sinh daïng nang. - Sieâu aâm coù vai troø theo doõi bn ñang ñöôïcSieâu aâm coù vai troø theo doõi bn ñang ñöôïc
  • 21.
    Aùp xe thaänvaø quanhAùp xe thaän vaø quanh thaänthaän
  • 23.
    AÙp xe thaänvaø quanhAÙp xe thaän vaø quanh thaänthaän
  • 25.
    Thaän öù muûThaänöù muû - Hieän dieän chaát muû beân trong heäHieän dieän chaát muû beân trong heä thu thaäp bò taéc ngheõnthu thaäp bò taéc ngheõn - Caàn chaån ñoaùn sôùm vaø trò lieäu kòpCaàn chaån ñoaùn sôùm vaø trò lieäu kòp thôøi ngaên ngöøa nhieãm truøng huyeátthôøi ngaên ngöøa nhieãm truøng huyeát vaø soác nhieãm truøngvaø soác nhieãm truøng - Bn treû nguyeân nhaân thöôøng do taécBn treû nguyeân nhaân thöôøng do taéc khuùc noái beå thaän – NQ, soûi…khuùc noái beå thaän – NQ, soûi… - BN giaø thöôøng do taéc NQ coù baûnBN giaø thöôøng do taéc NQ coù baûn chaát aùc tínhchaát aùc tính
  • 26.
    Thaän öù muûThaänöù muû Sieâu aâm:Sieâu aâm: - Thaän tröôùng nöôùc,Thaän tröôùng nöôùc, coù theå keøm NQcoù theå keøm NQ giaõn nôûgiaõn nôû - Hieän dieän caënHieän dieän caën laéng chuyeån dòchlaéng chuyeån dòch trong heä thu thaäptrong heä thu thaäp - Coù theå thaáy möùcCoù theå thaáy möùc dòch – caën laéngdòch – caën laéng - Coù theå thaáy khíCoù theå thaáy khí hoaëc coù soûihoaëc coù soûi
  • 27.
    Vieâm thaän –beå thaänVieâm thaän – beå thaän khí thuûngkhí thuûng - Nhieãm truøng nhu moâ thaän ít gaëpNhieãm truøng nhu moâ thaän ít gaëp nhöng ñe doaï tính maïng, vôùi ñaëcnhöng ñe doaï tính maïng, vôùi ñaëc ñieåm taïo khí.ñieåm taïo khí. - Öu theá phuï nöõ (2:1) vaø ngöôøi tieåuÖu theá phuï nöõ (2:1) vaø ngöôøi tieåu ñöôøngñöôøng - 62 – 70% do62 – 70% do E. ColiE. Coli - Laâm saøng naëng: soát, ñau vuøngLaâm saøng naëng: soát, ñau vuøng hoâng, taêng ñöôøng huyeát, nhieãmhoâng, taêng ñöôøng huyeát, nhieãm toan, maát nöôùc vaø roái loaïn ñieäntoan, maát nöôùc vaø roái loaïn ñieän giaûi.giaûi.
  • 28.
    Vieâm thaän –beå thaänVieâm thaän – beå thaän khí thuûngkhí thuûng 2 loaïi:2 loaïi: (1) Phaù huûy nhu moâ thaän keøm hieän dieän khí(1) Phaù huûy nhu moâ thaän keøm hieän dieän khí daïng veät daøi hay loám ñoám, tuû vong 69%.daïng veät daøi hay loám ñoám, tuû vong 69%. Ñieàu trò baèng caét boû thaän khaån caápÑieàu trò baèng caét boû thaän khaån caáp
  • 29.
    Vieâm thaän –beå thaänVieâm thaän – beå thaän khí thuûngkhí thuûng (2) Ñaëc tröng laø tuï(2) Ñaëc tröng laø tuï dòch taïi hoaëc quanhdòch taïi hoaëc quanh thaän keøm caùcthaän keøm caùc boùng khí trong heäboùng khí trong heä thu thaäp, töû vongthu thaäp, töû vong 18%. Ñieàu trò baèng18%. Ñieàu trò baèng daãn löu qua da.daãn löu qua da.
  • 35.
    Vieâm thaän –beå thaänVieâm thaän – beå thaän maïnmaïn - Laø vieâm thaän moâLaø vieâm thaän moâ keõ keøm vôùi traøokeõ keøm vôùi traøo ngöôïc baøng quangngöôïc baøng quang – nieäu quaûn.– nieäu quaûn. - Thöôøng khôûi phaùtThöôøng khôûi phaùt töø nhoû, thöôøngtöø nhoû, thöôøng xaûy ra ôû nöõ, 10 –xaûy ra ôû nöõ, 10 – 30% laø nguyeân30% laø nguyeân nhaân cuûa suy thaännhaân cuûa suy thaän maõn.maõn.
  • 36.
    - Sieâu aâm:traøo ngöôïc, taïo seïo voûSieâu aâm: traøo ngöôïc, taïo seïo voû thaän, co keùo nhuù thaän, phì ñaïi buøthaän, co keùo nhuù thaän, phì ñaïi buø tröø khu truù..tröø khu truù..
  • 37.
    Vieâm thaän –beå thaänVieâm thaän – beå thaän haït vaønghaït vaøng - Beänh nhieãm truøng sinhBeänh nhieãm truøng sinh muû maïn tính cuûa thaänmuû maïn tính cuûa thaän laøm huûy hoaïi chuû moâ,laøm huûy hoaïi chuû moâ, thay vaøo caùc ñaïi thöïcthay vaøo caùc ñaïi thöïc baøo chöùa ñaày caùc haïtbaøo chöùa ñaày caùc haït lipid.lipid. - Thöôøng ñi keøm soûiThöôøng ñi keøm soûi thaän vaø beänh thaän taécthaän vaø beänh thaän taéc ngheõn.ngheõn.
  • 38.
    Vieâm thaän –beå thaänVieâm thaän – beå thaän haït vaønghaït vaøng - Gaëp ôû phuï nöõ trung nieân, ngöôøiGaëp ôû phuï nöõ trung nieân, ngöôøi tieåu ñöôøngtieåu ñöôøng - Laâm saøng khoâng ñaëc hieäu, ñau,Laâm saøng khoâng ñaëc hieäu, ñau, khoái u, suït caân, nhieãm truøng tieåu…khoái u, suït caân, nhieãm truøng tieåu… - Thöôøng xaûy ra moät beân, lan toûa,Thöôøng xaûy ra moät beân, lan toûa, töøng vuøng hoaëc khu truù.töøng vuøng hoaëc khu truù.
  • 39.
    Vieâm thaän –beå thaänVieâm thaän – beå thaän haït vaønghaït vaøng  Sieâu aâm:Sieâu aâm: • Theå lan toûa:Theå lan toûa: • - Thaän phì ñaïi, giöõ nguyeân hình daïng, maát phaân bieät voû- Thaän phì ñaïi, giöõ nguyeân hình daïng, maát phaân bieät voû – tuûy.– tuûy. • - Nhieàu vuøng giaûm phaûn aâm töông öùng ñaøi thaän bò- Nhieàu vuøng giaûm phaûn aâm töông öùng ñaøi thaän bò giaõn nôû hoaëc vuøng nhu moâ bò vieâmgiaõn nôû hoaëc vuøng nhu moâ bò vieâm • - Ñoä thaáu aâm thay ñoåi theo möùc ñoä hoaù loûng cuûa caùc- Ñoä thaáu aâm thay ñoåi theo möùc ñoä hoaù loûng cuûa caùc khoái nhu moâ.khoái nhu moâ. • - Xoang thaän trung taâm coù theå taêng phaûn aâm roõ reät- Xoang thaän trung taâm coù theå taêng phaûn aâm roõ reät keøm boùng löng töông öùng vôùi soûi san hoâ lôùn.keøm boùng löng töông öùng vôùi soûi san hoâ lôùn.
  • 44.
    Hoaïi töû nhuùthaänHoaïi töû nhuù thaän Caùc nguyeân nhaân gaây thieáu maùu daãn ñeán hoaïiCaùc nguyeân nhaân gaây thieáu maùu daãn ñeán hoaïi töû nhuù thaän:töû nhuù thaän:  (1) laïm duïng thuoác giaûm ñau,  (2) tieåu ñöôøng,  (3) nhieãm truøng ñöôøng nieäu;  (4) huyeát khoái tónh maïch thaän;  (5) haï huyeát aùp keùo daøi;  (6) taéc ngheõn ñöôøng nieäu;  (7) maát nöôùc;  (8) thieáu maùu hoàng caàu lieàm  (9) beänh öa chaûy maùu.
  • 45.
    Hoaïi töû nhuùthaänHoaïi töû nhuù thaän - Dieãn tieán: nhuù thaän söng leân, thoângDieãn tieán: nhuù thaän söng leân, thoâng thöông ñaøi thaän, taïo hang vaø nhuù bòthöông ñaøi thaän, taïo hang vaø nhuù bò huûy.huûy. - Sieâu aâm:Sieâu aâm:
  • 46.
    Hoaïi töû nhuùthaänHoaïi töû nhuù thaän
  • 47.
    Lao thaänLao thaän -DoDo Mycobacterium tuberculosisMycobacterium tuberculosis laây qua ñöôønglaây qua ñöôøng maùu töø nguoàn ngoaøi thaän, phaàn lôùn töømaùu töø nguoàn ngoaøi thaän, phaàn lôùn töø phoåi.phoåi. - Khôûi phaùt 5 – 10 naêm sau lao sô nhieãmKhôûi phaùt 5 – 10 naêm sau lao sô nhieãm - X quang ngöïc:X quang ngöïc: + 35 – 50% bình thöôøng+ 35 – 50% bình thöôøng + 10% tieán trieån+ 10% tieán trieån + 40 – 50% lao cuõ.+ 40 – 50% lao cuõ. - Laâm saøng: tieåu nhieàu laàn, tieåu khoù, tieåuLaâm saøng: tieåu nhieàu laàn, tieåu khoù, tieåu ñeâm, caûm giaéc maéc tieåu thöôøng, tieåuñeâm, caûm giaéc maéc tieåu thöôøng, tieåu maùu …maùu … - 10 – 20% bn khoâng coù trieäu chöùng laâm- 10 – 20% bn khoâng coù trieäu chöùng laâm saøngsaøng
  • 48.
    Lao thaänLao thaän -PTNT: coù muû nhöng caáy khoâng thaáy vi truøng,PTNT: coù muû nhöng caáy khoâng thaáy vi truøng, tieåu maùu vi theå, pH acid gôïi yù lao nieäu.tieåu maùu vi theå, pH acid gôïi yù lao nieäu. - CÑXÑ: tröïc khuaån lao trong nöôùc tieåu, 6 – 8 tuaànCÑXÑ: tröïc khuaån lao trong nöôùc tieåu, 6 – 8 tuaàn môùi coù keát quaû.môùi coù keát quaû. - Toån thöông thöôøng khu truù ôû thaän:Toån thöông thöôøng khu truù ôû thaän: + Nhoû: 5 – 15 mm, taêng phaûn aâm, hoaëc phaûn+ Nhoû: 5 – 15 mm, taêng phaûn aâm, hoaëc phaûn aâm keùm keøm vieàn taêng phaûn aâm.aâm keùm keøm vieàn taêng phaûn aâm. + Lôùn: > 15mm, phaûn aâm hoãn hôïp, ñöôøng bôø+ Lôùn: > 15mm, phaûn aâm hoãn hôïp, ñöôøng bôø khoâng giôùi haïn roõkhoâng giôùi haïn roõ - Tieán trieån: haït lao lôùn leân, taïo hang, thoâng thöông- Tieán trieån: haït lao lôùn leân, taïo hang, thoâng thöông vôùi heä thu thaäp, keøm hoaïi töû nhuù thaän, lan ñeánvôùi heä thu thaäp, keøm hoaïi töû nhuù thaän, lan ñeán caùc nôi khaùc cuûa ñöôøng tieát nieäu…caùc nôi khaùc cuûa ñöôøng tieát nieäu…
  • 49.
    Lao niLao niệuệu Phân loại Elke :Phân loại Elke :  Stade I : lao thận, X quang bình thườngStade I : lao thận, X quang bình thường  Stade II : lao tạo hang (phá hủy < 1/3 thận)Stade II : lao tạo hang (phá hủy < 1/3 thận)  Stade III : thận mủ > 1/3 thận (néphrectomie)Stade III : thận mủ > 1/3 thận (néphrectomie)  UIV : khám nghiệm lựa chọn (vôi hoá, chít hẹp,UIV : khám nghiệm lựa chọn (vôi hoá, chít hẹp, hình cộng..)hình cộng..)
  • 50.
    Lao thaänLao thaän Sieâuaâm:Sieâu aâm: • **Thaän vaø nieäu quaûn:Thaän vaø nieäu quaûn: • - Voâi hoaù trong thaän- Voâi hoaù trong thaän • - Chít heïp = giaõn heä beå- Chít heïp = giaõn heä beå ñaøiñaøi • - Hình aûnh coäng: taïo- Hình aûnh coäng: taïo hang, xoang tuûy…hang, xoang tuûy… • - Thaän teo nhoû, voâi- Thaän teo nhoû, voâi hoaùhoaù • ** Baøng quang :Baøng quang : daøydaøy vaùchvaùch Öu theá UIV trong lao nieäuÖu theá UIV trong lao nieäu SA giuùp ích höôùng daãnSA giuùp ích höôùng daãn
  • 51.
  • 52.
  • 53.
    Hang lao vàchít hẹp
  • 54.
  • 56.
    Caùc nhieãm truøngít gaëpCaùc nhieãm truøng ít gaëp - Nhieãm naámNhieãm naám - Nhieãm kyù sinh truøngNhieãm kyù sinh truøng - AIDSAIDS
  • 57.
    Caùc nhieãm truøngít gaëpCaùc nhieãm truøng ít gaëp Nhieãm naám:Nhieãm naám: - Yeáu toá thuaän lôïi: tieåu ñöôøng, ñaët oángYeáu toá thuaän lôïi: tieåu ñöôøng, ñaët oáng thoâng tieåu, beänh lyù roái loaïn taïo maùu,thoâng tieåu, beänh lyù roái loaïn taïo maùu, duøng khaùng sinh hay steroid quaù laâu,caáyduøng khaùng sinh hay steroid quaù laâu,caáy gheùp caùc moâ,laïm duïng thuoác tieâm TM, …gheùp caùc moâ,laïm duïng thuoác tieâm TM, … - Taùc nhaân : Candida albicansTaùc nhaân : Candida albicans - Toån thöông: nhieàu aùp xe nhoû trong chuûToån thöông: nhieàu aùp xe nhoû trong chuû moâ thaän vaø voâi hoùa theo thôøi gian, coùmoâ thaän vaø voâi hoùa theo thôøi gian, coù theå lan roäng quanh thaän, xaâm nhaäp heätheå lan roäng quanh thaän, xaâm nhaäp heä thoáng thu thaäp taïo thaønh caùc quaû caàuthoáng thu thaäp taïo thaønh caùc quaû caàu naám.naám.
  • 58.
    Caùc nhieãm truøngít gaëpCaùc nhieãm truøng ít gaëp Nhieãm naám:Nhieãm naám: Sieâu aâm:Sieâu aâm: - Nhöõng aùp xe nhoû do naám töông töï aùp xeNhöõng aùp xe nhoû do naám töông töï aùp xe do vi truøng, laø nhuõng khoái giaûm phaûndo vi truøng, laø nhuõng khoái giaûm phaûn aâm trong chuû moâ.aâm trong chuû moâ. - Nhöõng quaû caàu naám cho hình aûnh khoáiNhöõng quaû caàu naám cho hình aûnh khoái moâ meàm taêng aâm, khoâng boùng löng vaømoâ meàm taêng aâm, khoâng boùng löng vaø naèm beân trong caùc oáng thu thaäp.naèm beân trong caùc oáng thu thaäp. - CÑPB: cuïc maùu ñoâng, soûi khoâng caûnCÑPB: cuïc maùu ñoâng, soûi khoâng caûn quang, u teá baøo chuyeån tieáp, bong troùcquang, u teá baøo chuyeån tieáp, bong troùc nhuù thaän, …nhuù thaän, …
  • 59.
    Caùc nhieãm truøngít gaëpCaùc nhieãm truøng ít gaëp • ** Nhieãm kyù sinh truøng:Nhieãm kyù sinh truøng: • - Saùn maùng- Saùn maùng • - Nang saùn- Nang saùn • - Giun chæ- Giun chæ
  • 60.
    Saùn maùngSaùn maùng -Taùc nhaân: SchistosomaTaùc nhaân: Schistosoma haematobiumhaematobium - Saùn chui qua da vaøo kyù chuû,Saùn chui qua da vaøo kyù chuû, ñeán gan qua heä cöûa, tröôûngñeán gan qua heä cöûa, tröôûng thaønh ôû gan, thích chui vaøo ñaùmthaønh ôû gan, thích chui vaøo ñaùm roái TM quanh baøng quang.roái TM quanh baøng quang. - - Saùn caùi ñeû tröùng trong caùc- Saùn caùi ñeû tröùng trong caùc TM nhoû cuûa thaønh baøng quangTM nhoû cuûa thaønh baøng quang vaø nieäu quaûn, hình thaønh u haïtvaø nieäu quaûn, hình thaønh u haït vaø vieâm noäi maïc ñoäng maïchvaø vieâm noäi maïc ñoäng maïch taéc ngheõn.taéc ngheõn. - CÑ nhôø xeùt nghieäm huyeát thanhCÑ nhôø xeùt nghieäm huyeát thanh - Laâm saøng: tieåu maùu thöôøngLaâm saøng: tieåu maùu thöôøng
  • 61.
    Saùn maùngSaùn maùng Sieâuaâm:Sieâu aâm: - Hai thaän coøn bình thöôøng ñeán giai ñoaïn cuoáiHai thaän coøn bình thöôøng ñeán giai ñoaïn cuoái - Toån thöông giaû u phaùt trieån trong baøng quang vaøToån thöông giaû u phaùt trieån trong baøng quang vaø nieäu quaûn laøm daøy lôùp bieåu moâ nieäu.nieäu quaûn laøm daøy lôùp bieåu moâ nieäu. - Theo thôøi gian, caùc giaû u seõ voâi hoùaTheo thôøi gian, caùc giaû u seõ voâi hoùa - Neáu nhieãm truøng laëp laïi, baøng quang seõ xô hoùaNeáu nhieãm truøng laëp laïi, baøng quang seõ xô hoùa vaø nhoû daànvaø nhoû daàn - Deã keøm soûi nieäu quaûn vaø soûi baøng quang.Deã keøm soûi nieäu quaûn vaø soûi baøng quang.
  • 62.
    Beänh nang saùnBeänhnang saùn - 2 type chính:2 type chính: + Echinococcus multiloculari+ Echinococcus multiloculari + Echinococcus granulosus, thöôøng gaëp hôn+ Echinococcus granulosus, thöôøng gaëp hôn - Nang saùn thaän : 2 – 5 % nhieãm nang saùnNang saùn thaän : 2 – 5 % nhieãm nang saùn - Xaûy ra doïc theo NQ hoaëc trong baøng quang.Xaûy ra doïc theo NQ hoaëc trong baøng quang. - Beänh thöôøng khoâng trieäu chöùng ñeán khiBeänh thöôøng khoâng trieäu chöùng ñeán khi lôùn quaù möùc, hoaëc vôõ, hoaëc taïo aùp löïclôùn quaù möùc, hoaëc vôõ, hoaëc taïo aùp löïc leân caùc caáu truùc laân caän…leân caùc caáu truùc laân caän… - Caáu taïo nang saùn: nang voøng quanh – nangCaáu taïo nang saùn: nang voøng quanh – nang ngoaøi vaø nang trong.ngoaøi vaø nang trong.
  • 63.
    Beänh nang saùnBeänhnang saùn Sieâu aâm:Sieâu aâm: - Giai ñoaïn sôùm: nang phaûn aâm troáng coùGiai ñoaïn sôùm: nang phaûn aâm troáng coù vaùch nhaän ra ñöôïc, haït ôû vaùch gôïi yùvaùch nhaän ra ñöôïc, haït ôû vaùch gôïi yù ñaàu saùnñaàu saùn - Khi coù nang con, hieän dieän thaønh khoáiKhi coù nang con, hieän dieän thaønh khoái daïng nang ña thuøydaïng nang ña thuøy - Voâi hoaù ña daïng töø daïng voû tröùng ñeánVoâi hoaù ña daïng töø daïng voû tröùng ñeán daïng maïng löôùi daøy ñaëcdaïng maïng löôùi daøy ñaëc - Caùc maøng bong töø nang trong, keát tuï laïiCaùc maøng bong töø nang trong, keát tuï laïi ôû vuøng ñaùy cuûa dòch nang saùn trôûôû vuøng ñaùy cuûa dòch nang saùn trôû thaønh « caùt nang saùn »thaønh « caùt nang saùn »
  • 64.
    Giun chæGiun chæ -10 – 12 tuoåi10 – 12 tuoåi - Giun chæ truyeàn sang ngöôøi do muoãi ñoát,Giun chæ truyeàn sang ngöôøi do muoãi ñoát, sau ñoù chui vaøo heä baïch huyeátsau ñoù chui vaøo heä baïch huyeát - Caùc phaûn öùng vieâm taïo haït xaûy ra,Caùc phaûn öùng vieâm taïo haït xaûy ra, ngheõn maïch baïch huyeát, daõn nôû, taêngngheõn maïch baïch huyeát, daõn nôû, taêng sinh, coù theå vôõ vaøo heä beå ñaøi.sinh, coù theå vôõ vaøo heä beå ñaøi. - Laâm saøng: phuø chaân voi, tieåu döôõngLaâm saøng: phuø chaân voi, tieåu döôõng traáp, baùng buïng döôõng traáp… ít gaëptraáp, baùng buïng döôõng traáp… ít gaëp - CÑXÑ nhôø chuïp quang maïch baïch huyeátCÑXÑ nhôø chuïp quang maïch baïch huyeát - Sieâu aâm: khoâng giuùp ích gì.Sieâu aâm: khoâng giuùp ích gì.
  • 65.
    AIDSAIDS - Toån thöông: hoaïi töû oáng thaän caáp, nhieãm calciToån thöông : hoaïi töû oáng thaän caáp, nhieãm calci thaän, vieâm thaän moâ keõ.thaän, vieâm thaän moâ keõ. - Beänh hoïc: xô cöùng tieåu caàu thaän khu truù vaøBeänh hoïc: xô cöùng tieåu caàu thaän khu truù vaø baát thöôøng oáng thaänbaát thöôøng oáng thaän - Sieâu aâm: taêng phaûn aâm chuû moâ thaän, nhieàuSieâu aâm: taêng phaûn aâm chuû moâ thaän, nhieàu oå sinh aâm raûi raùc beân trong chuû moâoå sinh aâm raûi raùc beân trong chuû moâ - Xuaát ñoä nhieãm truøng cô hoäi vaø u taêng caoXuaát ñoä nhieãm truøng cô hoäi vaø u taêng cao - Vieâm thaän beå thaän, aùp xe thaän vaø vieâm baøngVieâm thaän beå thaän, aùp xe thaän vaø vieâm baøng quang coù theå xaûy raquang coù theå xaûy ra - Coù theå gaëp voâi hoaù lan toûa ôû caùc taïng keå caûCoù theå gaëp voâi hoaù lan toûa ôû caùc taïng keå caû thaän keøm theo nhieãm truøng lan roäng dothaän keøm theo nhieãm truøng lan roäng do Pneumocystis carinii, Cytomegalovirus, …Pneumocystis carinii, Cytomegalovirus, …
  • 66.
  • 68.
    Vieâm baøng quangVieâmbaøng quang • *Vieâm baøng quang do*Vieâm baøng quang do nhieãm truøng:nhieãm truøng: - Gaëp nhieàu ôû phuï nöõGaëp nhieàu ôû phuï nöõ - Taùc nhaân :Taùc nhaân : E. ColiE. Coli - Phuø nieâm maïc, giaûmPhuø nieâm maïc, giaûm dung tích baøng quangdung tích baøng quang - Laâm saøng: kích thíchLaâm saøng: kích thích baøng quang, tieåu maùubaøng quang, tieåu maùu
  • 69.
    - SA: daøylan toûa thaønh baøng quang,SA: daøy lan toûa thaønh baøng quang, neáu vieâm khu truù, hình thaønh giaûneáu vieâm khu truù, hình thaønh giaû polype, khoâng theå phaân bieät vôùi upolype, khoâng theå phaân bieät vôùi u baøng quang.baøng quang.
  • 70.
    Vieâm baøng quangVieâmbaøng quang • *Vieâm baøng quang maûng traéng:*Vieâm baøng quang maûng traéng: - Tình traïng nhieãm truøng taïo haïtTình traïng nhieãm truøng taïo haït hieám gaëphieám gaëp - Nöõ nhieàu hôn (4:1), thaäp nieân 60Nöõ nhieàu hôn (4:1), thaäp nieân 60 - Beänh sinh chöa roûBeänh sinh chöa roû - Taêng ôû bn tieåu ñöôøng, beänh ganTaêng ôû bn tieåu ñöôøng, beänh gan do röôïu, nhieãm Mycobacterium, beänhdo röôïu, nhieãm Mycobacterium, beänh sarcoit, sau gheùp roái loaïn ñaùp öùngsarcoit, sau gheùp roái loaïn ñaùp öùng mieãn dòchmieãn dòch
  • 71.
    - Laâm saøng:tieåu maùu, baøng quangLaâm saøng: tieåu maùu, baøng quang kích thíchkích thích - SA: 1 hoaëc nhieàu khoái 0,5 – 3 cm ôûSA: 1 hoaëc nhieàu khoái 0,5 – 3 cm ôû nieâm maïc, phaàn lôùn taäp trung ôûnieâm maïc, phaàn lôùn taäp trung ôû ñaùy, coù theå xaâm laán taïi choã.ñaùy, coù theå xaâm laán taïi choã.
  • 72.
    Vieâm baøng quangVieâmbaøng quang *Vieâm baøng quang khí thuûng:*Vieâm baøng quang khí thuûng: - Thöôøng gaëp ôû bn tieåu ñöôøngThöôøng gaëp ôû bn tieåu ñöôøng - Laâm saøng: vieâm baøng quang, ñoâiLaâm saøng: vieâm baøng quang, ñoâi khi tieåu ra boït khí.khi tieåu ra boït khí. - Nguyeân nhaân : E. ColiNguyeân nhaân : E. Coli - Hieän dieän khí trong thaønh vaø caûHieän dieän khí trong thaønh vaø caû trong loøng baøng quang,tröôøng hôïptrong loøng baøng quang,tröôøng hôïp naëng : nieâm maïc bò loeùt, hoaïi töû,naëng : nieâm maïc bò loeùt, hoaïi töû, coù theå bong ra hoaøn toaøn.coù theå bong ra hoaøn toaøn.
  • 73.
    *Vieâm baøng quangkhí*Vieâm baøng quang khí thuûng:thuûng: -SA: ñoám hoài aâm vôùi boùng löng dôSA: ñoám hoài aâm vôùi boùng löng dô trong thaønh baøng quangtrong thaønh baøng quang
  • 74.
    Vieâm baøng quangVieâmbaøng quang • *Vieâm baøng quang maïn tính:*Vieâm baøng quang maïn tính: - Thay ñoåi moâ hoïc: oå Brunn laø nhöõng oåThay ñoåi moâ hoïc: oå Brunn laø nhöõng oå ñaëc trong lôùp nieâm maïc, khi thoaùi hoùañaëc trong lôùp nieâm maïc, khi thoaùi hoùa seõ hình thaønh nang, neáu bò kích thích laâuseõ hình thaønh nang, neáu bò kích thích laâu daøi bieán thaønh caáu truùc daïng tuyeán, vaødaøi bieán thaønh caáu truùc daïng tuyeán, vaø coù theå laø tieàn thaân cuûa adenocarcinoma.coù theå laø tieàn thaân cuûa adenocarcinoma.
  • 75.
    - SA coùtheå thaáy caùc thay ñoåi treân,SA coù theå thaáy caùc thay ñoåi treân, nang vaø caùc khoái nhuù ñaëc, khoângnang vaø caùc khoái nhuù ñaëc, khoâng phaân bieät ñöôïc vôùi u aùc tính.phaân bieät ñöôïc vôùi u aùc tính.

Editor's Notes

  • #50 Stade I : Traitement médicale Stade II : TTT med plus ou moins néphrectomie partielle