SƠ LƯỢC SIÊU ÂMSƠ LƯỢC SIÊU ÂM
H TIEÁT NIEÄUỆH TIEÁT NIEÄUỆ
BS. Hoà Hoaøng PhöôngBS. Hoà Hoaøng Phöông
BM. Chaån ñoaùn Hình aûnhBM. Chaån ñoaùn Hình aûnh
THAÄNTHAÄN
Hình ảnh học Y khoaHình ảnh học Y khoa
X quangX quang
Siêu âmSiêu âm
CT – X quang cắt lớp điện toánCT – X quang cắt lớp điện toán
MRI – Cộng hưởng từMRI – Cộng hưởng từ
DSA – Chụp mạch máu số hóa xóa nềnDSA – Chụp mạch máu số hóa xóa nền
Y học hạt nhânY học hạt nhân
DAØN BAØIDAØN BAØI
 1. Phoâi thai hoïc – Giaûi phaãu hoïc1. Phoâi thai hoïc – Giaûi phaãu hoïc
 2. Khaûo saùt sieâu aâm – Hình aûnh bình2. Khaûo saùt sieâu aâm – Hình aûnh bình
thöôøngthöôøng
 3. Dò taät baåm sinh3. Dò taät baåm sinh
 4. Nhieãm truøng ñöôøng tieát nieäu4. Nhieãm truøng ñöôøng tieát nieäu
 5. Soûi ñöôøng tieát nieäu5. Soûi ñöôøng tieát nieäu
 6. U ñöôøng nieäu duïc6. U ñöôøng nieäu duïc
 7. Beänh lyù nang7. Beänh lyù nang
 8. Chaán thöông8. Chaán thöông
 9. Beänh lyù noäi khoa ñöôøng nieäu duïc9. Beänh lyù noäi khoa ñöôøng nieäu duïc
Phoâi thai hoïcPhoâi thai hoïc
- 3 caáu truùc ñaàu tieân : tieàn thaän,3 caáu truùc ñaàu tieân : tieàn thaän,
trung thaän vaø haäu thaän.trung thaän vaø haäu thaän.
- Haäu thaän phaùt trieån töø 2 nguoàn :Haäu thaän phaùt trieån töø 2 nguoàn :
+ maàm nieäu quaûn: nieäu quaûn,+ maàm nieäu quaûn: nieäu quaûn,
beå thaän, caùc ñaøi thaän vaø caùc oángbeå thaän, caùc ñaøi thaän vaø caùc oáng
thu thaäp.thu thaäp.
+ khoái nguyeân baøo haäu thaän.+ khoái nguyeân baøo haäu thaän.
- Thaän khôûi ñaàu naèm ôû vuøng chaäu,- Thaän khôûi ñaàu naèm ôû vuøng chaäu,
di chuyeån daàn leân phaàn cao saudi chuyeån daàn leân phaàn cao sau
Phoâi thai hoïcPhoâi thai hoïc
Phoâi thai hoïcPhoâi thai hoïc
Baøng quang:Baøng quang:
- Vaùch nieäu tröïc traøng dính vaøoVaùch nieäu tröïc traøng dính vaøo
maøng oå nhôùp (tuaàn 7) ngaên chiamaøng oå nhôùp (tuaàn 7) ngaên chia
thaønh 2 phaàn :thaønh 2 phaàn :
+ Xoang nieäu duïc+ Xoang nieäu duïc
+ Tröïc traøng+ Tröïc traøng
- Noái vôùi nieäu nang, sau trôû thaønh sôïi- Noái vôùi nieäu nang, sau trôû thaønh sôïi
xô goïi laø oáng nieäu roán.xô goïi laø oáng nieäu roán.
Giaûi phaãu hoïc - ThaänGiaûi phaãu hoïc - Thaän
 Daïng haït ñaäu ( 10 x 5 x 3 cm)Daïng haït ñaäu ( 10 x 5 x 3 cm)
 Hai maët : tröôùc loài , sau phaúngHai maët : tröôùc loài , sau phaúng
 Hai bôø : ngoaøi loài , trong loõm, coùHai bôø : ngoaøi loài , trong loõm, coù
khuyeátkhuyeát
 Xoang thaän ôû trung taâmXoang thaän ôû trung taâm
 Chieàu daøi P < TChieàu daøi P < T
 P thaáp hôn TP thaáp hôn T
 5 nhaùnh ñoäng maïch phaân thuøy5 nhaùnh ñoäng maïch phaân thuøy
Giaûi phaãu hoïc - ThaänGiaûi phaãu hoïc - Thaän
 Bao xô ñaøn hoàiBao xô ñaøn hoài
 Nhu moâNhu moâ
  Voû thaän : ôû ngoaïi vi, bao quanhVoû thaän : ôû ngoaïi vi, bao quanh
caùc tuûy, taïo thaønh caùc truï Bertincaùc tuûy, taïo thaønh caùc truï Bertin
  Tuûy thaän : ôû trung taâm, taïoTuûy thaän : ôû trung taâm, taïo
thaønh caùc thaùp Malpighithaønh caùc thaùp Malpighi
 Xoang : song song voû bao, chöùa beåXoang : song song voû bao, chöùa beå
thaän, ñoäng maïch, tónh maïch, baïchthaän, ñoäng maïch, tónh maïch, baïch
huyeát, môõ.huyeát, môõ.
Giaûi phaãu hoïc - ThaänGiaûi phaãu hoïc - Thaän
Giaûi phaãu hoïc – NieäuGiaûi phaãu hoïc – Nieäu
quaûnquaûn
- Oáng daãn daøi 25 –Oáng daãn daøi 25 –
35 cm35 cm
- Khaåu kính 2 – 8 mmKhaåu kính 2 – 8 mm
- 3 choã heïp sinh lí3 choã heïp sinh lí
Giaûi phaãu hoïc – BaøngGiaûi phaãu hoïc – Baøng
quangquang
- Tam giaùc baøng quang : 2 loã nieäuTam giaùc baøng quang : 2 loã nieäu
quaûn vaø loã nieäu ñaïo, haèng ñònhquaûn vaø loã nieäu ñaïo, haèng ñònh
veà hình daïng vaø vò trí.veà hình daïng vaø vò trí.
- 5 lôùp:5 lôùp:
+ Thanh maïc+ Thanh maïc
+ cô doïc+ cô doïc
+ cô voøng+ cô voøng
+ cô doïc+ cô doïc
+ nieâm maïc+ nieâm maïc
Giaûi phaãu hoïc – BaøngGiaûi phaãu hoïc – Baøng
quangquang
Sieâu aâmSieâu aâm
Sieâu aâm : Khoang SPMSieâu aâm : Khoang SPM
Khaûo saùt sieâu aâmKhaûo saùt sieâu aâm
Phuï thuoäc:Phuï thuoäc:
- Theå traïng ngöôøi beänhTheå traïng ngöôøi beänh
- Kinh nghieäm ngöôøi laøm sieâu aâmKinh nghieäm ngöôøi laøm sieâu aâm
- Loaïi thieát bòLoaïi thieát bò
Yeâu caàu:Yeâu caàu:
- Nhòn ñoùi ít nhaát 6 giôø ñeå haïn cheáNhòn ñoùi ít nhaát 6 giôø ñeå haïn cheá
hôi ruoäthôi ruoät
- Baøng quang caêng vöøa phaûiBaøng quang caêng vöøa phaûi
SIEÂU AÂM HEÄSIEÂU AÂM HEÄ
NIEÄUNIEÄU
1 . Kyõ thuaät1 . Kyõ thuaät
2 . Keát quaû bình thöôøng : giaûi phaãu,2 . Keát quaû bình thöôøng : giaûi phaãu,
bieán theå bình thöôøngbieán theå bình thöôøng
3 . Beänh lyù : trieäu chöùng3 . Beänh lyù : trieäu chöùng
Kyõ thuaät : caùc maët caétKyõ thuaät : caùc maët caét
Kyõ thuaät : caùc maët caétKyõ thuaät : caùc maët caét
Kyõ thuaät : caùc maët caétKyõ thuaät : caùc maët caét
Hình aûnh bình thöôøngHình aûnh bình thöôøng
Hình aûnh bình thöôøngHình aûnh bình thöôøng
Hình aûnh bình thöôøngHình aûnh bình thöôøng
ÑMC buïngÑMC buïng
TMC döôùiTMC döôùi
ÑMC buïng vaø TMC döôùiÑMC buïng vaø TMC döôùi
Vuøng chaäuVuøng chaäu
Khaûo saùt sieâu aâmKhaûo saùt sieâu aâm
Khaûo saùt sieâu aâmKhaûo saùt sieâu aâm
Khaûo saùt sieâu aâmKhaûo saùt sieâu aâm
kidneykidney
193
193
195
195
197
197
199
199
201
201
203
203
205
205
207
207
209
209
211
211
bladderbladder
256
256
258
258
• Thang xám siêu âmThang xám siêu âm
 Mô : xámMô : xám
 Dịch : đen , tăng âm phiá sauDịch : đen , tăng âm phiá sau
 Mỡ : trắngMỡ : trắng
 Xương, khí: trắng, có bóng lưngXương, khí: trắng, có bóng lưng
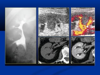
Bieán theå bình thöôøngBieán theå bình thöôøng
Phì ñaïi truï BertinPhì ñaïi truï Bertin
Bieán theå bình thöôøngBieán theå bình thöôøng
Phì ñaïi truï BertinPhì ñaïi truï Bertin
Phì ñaïi truï BertinPhì ñaïi truï Bertin
Truï BertinTruï Bertin
Truï BertinTruï Bertin
Bieán theå bình thöôøngBieán theå bình thöôøng
Khieám khuyeát noái lieàn chuû moâKhieám khuyeát noái lieàn chuû moâ
Khieám khuyeát noái lieàn chuû moâKhieám khuyeát noái lieàn chuû moâ
DAØN BAØIDAØN BAØI
 1. Phoâi thai hoïc – Giaûi phaãu hoïc1. Phoâi thai hoïc – Giaûi phaãu hoïc
 2. Khaûo saùt sieâu aâm – Hình aûnh bình2. Khaûo saùt sieâu aâm – Hình aûnh bình
thöôøngthöôøng
 3. Dò taät baåm sinh3. Dò taät baåm sinh
 4. Nhieãm truøng ñöôøng tieát nieäu4. Nhieãm truøng ñöôøng tieát nieäu
 5. Soûi ñöôøng tieát nieäu5. Soûi ñöôøng tieát nieäu
 6. U ñöôøng nieäu duïc6. U ñöôøng nieäu duïc
 7. Beänh lyù nang7. Beänh lyù nang
 8. Chaán thöông8. Chaán thöông
 9. Beänh lyù noäi khoa ñöôøng nieäu duïc9. Beänh lyù noäi khoa ñöôøng nieäu duïc

Sieuam he nieu 2017

  • 3.
    SƠ LƯỢC SIÊUÂMSƠ LƯỢC SIÊU ÂM H TIEÁT NIEÄUỆH TIEÁT NIEÄUỆ BS. Hoà Hoaøng PhöôngBS. Hoà Hoaøng Phöông BM. Chaån ñoaùn Hình aûnhBM. Chaån ñoaùn Hình aûnh
  • 4.
  • 6.
    Hình ảnh họcY khoaHình ảnh học Y khoa X quangX quang Siêu âmSiêu âm CT – X quang cắt lớp điện toánCT – X quang cắt lớp điện toán MRI – Cộng hưởng từMRI – Cộng hưởng từ DSA – Chụp mạch máu số hóa xóa nềnDSA – Chụp mạch máu số hóa xóa nền Y học hạt nhânY học hạt nhân
  • 7.
    DAØN BAØIDAØN BAØI 1. Phoâi thai hoïc – Giaûi phaãu hoïc1. Phoâi thai hoïc – Giaûi phaãu hoïc  2. Khaûo saùt sieâu aâm – Hình aûnh bình2. Khaûo saùt sieâu aâm – Hình aûnh bình thöôøngthöôøng  3. Dò taät baåm sinh3. Dò taät baåm sinh  4. Nhieãm truøng ñöôøng tieát nieäu4. Nhieãm truøng ñöôøng tieát nieäu  5. Soûi ñöôøng tieát nieäu5. Soûi ñöôøng tieát nieäu  6. U ñöôøng nieäu duïc6. U ñöôøng nieäu duïc  7. Beänh lyù nang7. Beänh lyù nang  8. Chaán thöông8. Chaán thöông  9. Beänh lyù noäi khoa ñöôøng nieäu duïc9. Beänh lyù noäi khoa ñöôøng nieäu duïc
  • 8.
    Phoâi thai hoïcPhoâithai hoïc - 3 caáu truùc ñaàu tieân : tieàn thaän,3 caáu truùc ñaàu tieân : tieàn thaän, trung thaän vaø haäu thaän.trung thaän vaø haäu thaän. - Haäu thaän phaùt trieån töø 2 nguoàn :Haäu thaän phaùt trieån töø 2 nguoàn : + maàm nieäu quaûn: nieäu quaûn,+ maàm nieäu quaûn: nieäu quaûn, beå thaän, caùc ñaøi thaän vaø caùc oángbeå thaän, caùc ñaøi thaän vaø caùc oáng thu thaäp.thu thaäp. + khoái nguyeân baøo haäu thaän.+ khoái nguyeân baøo haäu thaän. - Thaän khôûi ñaàu naèm ôû vuøng chaäu,- Thaän khôûi ñaàu naèm ôû vuøng chaäu, di chuyeån daàn leân phaàn cao saudi chuyeån daàn leân phaàn cao sau
  • 9.
  • 12.
    Phoâi thai hoïcPhoâithai hoïc Baøng quang:Baøng quang: - Vaùch nieäu tröïc traøng dính vaøoVaùch nieäu tröïc traøng dính vaøo maøng oå nhôùp (tuaàn 7) ngaên chiamaøng oå nhôùp (tuaàn 7) ngaên chia thaønh 2 phaàn :thaønh 2 phaàn : + Xoang nieäu duïc+ Xoang nieäu duïc + Tröïc traøng+ Tröïc traøng - Noái vôùi nieäu nang, sau trôû thaønh sôïi- Noái vôùi nieäu nang, sau trôû thaønh sôïi xô goïi laø oáng nieäu roán.xô goïi laø oáng nieäu roán.
  • 15.
    Giaûi phaãu hoïc- ThaänGiaûi phaãu hoïc - Thaän  Daïng haït ñaäu ( 10 x 5 x 3 cm)Daïng haït ñaäu ( 10 x 5 x 3 cm)  Hai maët : tröôùc loài , sau phaúngHai maët : tröôùc loài , sau phaúng  Hai bôø : ngoaøi loài , trong loõm, coùHai bôø : ngoaøi loài , trong loõm, coù khuyeátkhuyeát  Xoang thaän ôû trung taâmXoang thaän ôû trung taâm  Chieàu daøi P < TChieàu daøi P < T  P thaáp hôn TP thaáp hôn T  5 nhaùnh ñoäng maïch phaân thuøy5 nhaùnh ñoäng maïch phaân thuøy
  • 16.
    Giaûi phaãu hoïc- ThaänGiaûi phaãu hoïc - Thaän  Bao xô ñaøn hoàiBao xô ñaøn hoài  Nhu moâNhu moâ   Voû thaän : ôû ngoaïi vi, bao quanhVoû thaän : ôû ngoaïi vi, bao quanh caùc tuûy, taïo thaønh caùc truï Bertincaùc tuûy, taïo thaønh caùc truï Bertin   Tuûy thaän : ôû trung taâm, taïoTuûy thaän : ôû trung taâm, taïo thaønh caùc thaùp Malpighithaønh caùc thaùp Malpighi  Xoang : song song voû bao, chöùa beåXoang : song song voû bao, chöùa beå thaän, ñoäng maïch, tónh maïch, baïchthaän, ñoäng maïch, tónh maïch, baïch huyeát, môõ.huyeát, môõ.
  • 17.
    Giaûi phaãu hoïc- ThaänGiaûi phaãu hoïc - Thaän
  • 28.
    Giaûi phaãu hoïc– NieäuGiaûi phaãu hoïc – Nieäu quaûnquaûn - Oáng daãn daøi 25 –Oáng daãn daøi 25 – 35 cm35 cm - Khaåu kính 2 – 8 mmKhaåu kính 2 – 8 mm - 3 choã heïp sinh lí3 choã heïp sinh lí
  • 30.
    Giaûi phaãu hoïc– BaøngGiaûi phaãu hoïc – Baøng quangquang - Tam giaùc baøng quang : 2 loã nieäuTam giaùc baøng quang : 2 loã nieäu quaûn vaø loã nieäu ñaïo, haèng ñònhquaûn vaø loã nieäu ñaïo, haèng ñònh veà hình daïng vaø vò trí.veà hình daïng vaø vò trí. - 5 lôùp:5 lôùp: + Thanh maïc+ Thanh maïc + cô doïc+ cô doïc + cô voøng+ cô voøng + cô doïc+ cô doïc + nieâm maïc+ nieâm maïc
  • 31.
    Giaûi phaãu hoïc– BaøngGiaûi phaãu hoïc – Baøng quangquang
  • 33.
  • 34.
    Sieâu aâm :Khoang SPMSieâu aâm : Khoang SPM
  • 36.
    Khaûo saùt sieâuaâmKhaûo saùt sieâu aâm Phuï thuoäc:Phuï thuoäc: - Theå traïng ngöôøi beänhTheå traïng ngöôøi beänh - Kinh nghieäm ngöôøi laøm sieâu aâmKinh nghieäm ngöôøi laøm sieâu aâm - Loaïi thieát bòLoaïi thieát bò Yeâu caàu:Yeâu caàu: - Nhòn ñoùi ít nhaát 6 giôø ñeå haïn cheáNhòn ñoùi ít nhaát 6 giôø ñeå haïn cheá hôi ruoäthôi ruoät - Baøng quang caêng vöøa phaûiBaøng quang caêng vöøa phaûi
  • 40.
    SIEÂU AÂM HEÄSIEÂUAÂM HEÄ NIEÄUNIEÄU 1 . Kyõ thuaät1 . Kyõ thuaät 2 . Keát quaû bình thöôøng : giaûi phaãu,2 . Keát quaû bình thöôøng : giaûi phaãu, bieán theå bình thöôøngbieán theå bình thöôøng 3 . Beänh lyù : trieäu chöùng3 . Beänh lyù : trieäu chöùng
  • 41.
    Kyõ thuaät :caùc maët caétKyõ thuaät : caùc maët caét
  • 42.
    Kyõ thuaät :caùc maët caétKyõ thuaät : caùc maët caét
  • 43.
    Kyõ thuaät :caùc maët caétKyõ thuaät : caùc maët caét
  • 44.
    Hình aûnh bìnhthöôøngHình aûnh bình thöôøng
  • 45.
    Hình aûnh bìnhthöôøngHình aûnh bình thöôøng
  • 46.
    Hình aûnh bìnhthöôøngHình aûnh bình thöôøng
  • 47.
  • 48.
  • 49.
    ÑMC buïng vaøTMC döôùiÑMC buïng vaø TMC döôùi
  • 50.
  • 51.
    Khaûo saùt sieâuaâmKhaûo saùt sieâu aâm
  • 54.
    Khaûo saùt sieâuaâmKhaûo saùt sieâu aâm
  • 58.
    Khaûo saùt sieâuaâmKhaûo saùt sieâu aâm
  • 61.
  • 62.
  • 63.
  • 64.
  • 65.
  • 66.
  • 67.
  • 68.
  • 69.
  • 70.
  • 71.
  • 72.
  • 73.
  • 74.
  • 75.
  • 76.
  • 77.
  • 78.
  • 79.
  • 80.
  • 81.
  • 82.
  • 83.
  • 84.
  • 85.
  • 86.
  • 90.
    • Thang xámsiêu âmThang xám siêu âm  Mô : xámMô : xám  Dịch : đen , tăng âm phiá sauDịch : đen , tăng âm phiá sau  Mỡ : trắngMỡ : trắng  Xương, khí: trắng, có bóng lưngXương, khí: trắng, có bóng lưng
  • 91.
    Bieán theå bìnhthöôøngBieán theå bình thöôøng Phì ñaïi truï BertinPhì ñaïi truï Bertin
  • 92.
    Bieán theå bìnhthöôøngBieán theå bình thöôøng Phì ñaïi truï BertinPhì ñaïi truï Bertin
  • 93.
    Phì ñaïi truïBertinPhì ñaïi truï Bertin
  • 94.
  • 95.
  • 98.
    Bieán theå bìnhthöôøngBieán theå bình thöôøng Khieám khuyeát noái lieàn chuû moâKhieám khuyeát noái lieàn chuû moâ
  • 99.
    Khieám khuyeát noáilieàn chuû moâKhieám khuyeát noái lieàn chuû moâ
  • 100.
    DAØN BAØIDAØN BAØI 1. Phoâi thai hoïc – Giaûi phaãu hoïc1. Phoâi thai hoïc – Giaûi phaãu hoïc  2. Khaûo saùt sieâu aâm – Hình aûnh bình2. Khaûo saùt sieâu aâm – Hình aûnh bình thöôøngthöôøng  3. Dò taät baåm sinh3. Dò taät baåm sinh  4. Nhieãm truøng ñöôøng tieát nieäu4. Nhieãm truøng ñöôøng tieát nieäu  5. Soûi ñöôøng tieát nieäu5. Soûi ñöôøng tieát nieäu  6. U ñöôøng nieäu duïc6. U ñöôøng nieäu duïc  7. Beänh lyù nang7. Beänh lyù nang  8. Chaán thöông8. Chaán thöông  9. Beänh lyù noäi khoa ñöôøng nieäu duïc9. Beänh lyù noäi khoa ñöôøng nieäu duïc

Editor's Notes

  • #91 Impédance = pour un milieu donnée