BS. Tôn Thất Quang Thắng
Học viên Chuyên khoa cấp 1
Chuyên ngành Hồi sức Cấp cứu 2017-2019
Siêu âm có trọng điểm tại cấp cứu
(Point-Of-Care Ultrasound in ED)
Các khái niệm cơ bản về siêu âmNội dung 1
Siêu âm có trọng điểm tại Cấp cứuNội dung 2
Siêu âm hướng dẫn điều trị tại Cấp cứuNội dung 3
Nội dung trình bày
Nội dung 1
Các khái niệm căn bản về siêu âm
a. Siêu âm là gì ?
Là một phương pháp khảo sát hình ảnh học, không sử dụng các phóng xạ ion hóa
• Nguyên tắc: để một phần của cơ thể tiếp xúc với sóng âm có tần số cao  tạo ra hình ảnh bên
trong cơ thể (những hình ảnh các lát cắt mỏng và phẳng của cơ thể)
• Ưu điểm:
Không xâm lấn
Đánh giá “động” theo thời gian
• Ứng dụng: chẩn đoán và hướng dẫn can thiệp bệnh
 Nguyên tắc siêu âm
- Đầu dò phát sóng siêu âm xuyên các lớp mô  sóng
phản xạ lại đầu dò ở mỗi vị trí trên đường đi của sóng
- Đầu dò nhận lại các sóng phản xạ  qua bộ xử lý 
hiển thị hình ảnh
- Tần số sóng siêu âm liên quan đến độ xuyên thấu và
độ phân giải
Độ xuyên thấu Độ phân giải
Tần số cao Thấp Cao
Tần số thấp Cao Thấp
 chọn tần số phải phù hợp với yêu cầu khảo sát
b. Cấu tạo máy siêu âm
?
Bộ xử lý và
điều khiển
Màn hình
Hệ thống
lưu trữ
Đầu dò
c. Quy ước màn hình ?
 Cần nhớ  Bờ đầu dò tương ứng bên (T) màn hình luôn:
 Hướng về phía đầu của BN khi để dọc đầu dò
 Hướng sang (P) của BN khi để ngang đầu dò
- Phản ánh đặc trưng của cơ quan khi phản xạ lại sóng siêu âm
- Trong siêu âm, thường dùng các thuật ngữ về echo như sau:
• Echo dày (Hyperechoic) = hình ảnh bóng trắng, tạo bóng lưng
• Echo kém (Hypoechoic) = hình ảnh xám > trắng
• Echo trống (Echofree) = hình ảnh bóng đen, không phản hồi
• Có hồi âm (Echogenic) = hình ảnh trắng > xám
- Trên thang độ xám, độ hồi âm các cấu trúc được mô tả:
 Tăng hồi âm: độ xám  so với cấu trúc nền xung quanh hoặc so với tình trạng bình thường
 Giảm hồi âm: độ xám  so với cấu trúc nền xung quanh hoặc so với tình trạng bình thường
 Không có hồi âm: cấu trúc không tạo được sóng phản hồi  độ xám rất thấp, thậm chí là màu đen
d. Mức hồi âm (Echo)
?
Bàng quang-Tủy thận-Vỏ thận-Lách –Tụy TE- Gan- Tụy NL- Xoang
thận- Cơ hoành
Nội dung 2
Siêu âm có trọng điểm tại Cấp cứu
- Năm 1940  ra đời “Siêu âm chẩn đoán” (Diagnostic Ultrasound)
- Từ năm 1990  ra đời thuật ngữ “Siêu âm có trọng điểm” (Point-Of-Care Ultrasound)
- Siêu âm có trọng điểm = thực hành siêu âm tại giường bệnh có tiêu điểm  với mục đích:
• Chẩn đoán bệnh
• Hướng dẫn thủ thuật
• Theo dõi bệnh
• Tầm soát bệnh
a. Siêu âm có trọng điểm tại Cấp cứu
là gì ?
Siêu âm có trọng điểm  đem lại nhiều lợi ích trong lâm sàng:
• Có thể giúp đưa ra chẩn đoán bệnh nhanh
• Giảm mức độ lệ thuộc vào các XN xâm lấn/ các kỹ thuật dùng tia X
• Giúp giảm biến chứng khi làm thủ thuật
 SA có trọng điểm ngày càng được khuyến khích, đặc biệt ở khoa Cấp cứu
gì ?
SA có trọng điểm tại cấp cứu
đã được ứng dụng từ 1980!
Vậy ta siêu âm được các cấu trúc gì tại Cấp cứu?
1 đầu dò
duy nhất?
Đầu dò siêu âm nào phù hợp tại cấp cứu?
Lichtenstein D.A (2012), " General ultrasound in the critically ill book", Springer
b. Siêu âm chẩn đoán có trọng điểm tại
Cấp cứu ?
SA chẩn đoán
tại cấp cứu
BN
có chấn thương
BN
không chấn thương
“FAST/eFAST”
Protocol
Đánh giá BN choáng  “RUSH” Protocol
Siêu âm trên các BN chấn thương nặng tại cấp cứu là 1 chỉ định thường quy vì:
• Nhanh, dễ thực hiện ngay tại giường bệnh, không cần di chuyển BN
• Không xâm lấn
• Có thể lặp lại nhiều lần
• Không sử dụng tia xạ
 Ra đời “FAST” hay “eFAST” Protocol trên các BN bị chấn thương
“FAST”
Protocol ra
đời
“FAST” Protocol
được đưa vào
ATLS
Phát triển
“EFAST” Protocol
197
0
199
0
b.1.1. FAST/eFAST protocol là gì?
b.1.1. FAST/eFAST protocol là gì?
FAST/eFAST trả lời 4 câu hỏi trên BN bị chấn thương:
1. Có dịch màng ngoài tim?
2. Có dịch ổ bụng?
3. Có dịch màng phổi?
4. Có tràn khí màng phổi?
Trả lời trong vòng 3-5
phút ngay tại giường bệnh
!
Tại sao dùng FAST/eFAST protocol trong
tiếp cận BN chấn thương tại cấp cứu?
b.1.1. FAST/eFAST protocol là gì?
Vậy ta thực hiện FAST/ eFAST protocol như thế
nào?
- BN chấn thương nặng  chấn thương ngực ± bụng kín thường bị bỏ sót hoặc phát hiện trễ:
 Chấn thương ngực kín: Tràn máu/khí màng phổi, dập phổi, tràn máu màng tim
 Chấn thương bụng kín: Chấn thương lách > gan > ruột/mạc treo > bàng quang > tụy
- FAST/EFAST protocol  giúp phát hiện dịch tự do trên BN chấn thương  thường tập trung ở:
 Rãnh gan-thận (rãnh Morrison)
 Rãnh lách-thận
 Hạ vị (túi cùng Douglas)
 Đáy phổi 2 bên
- FAST/EFAST protocol  sử dụng chủ yếu đầu dò Convex
b.1.2.Nền tảng của FAST/eFAST protocol
b.1.3.Chỉ định FAST/eFAST protocol
b.1.4.Các mặt cắt của FAST/eFAST protocol
Các mặt cắt cần khảo sát:
a) Dưới mũi kiếm xương ức (Subxiphoid view): dịch màng tim, gan (T)
b) Liên sườn Phải (Right Coronal and Intercostal Oblique view):
rãnh gan-thận, gan (P), thận (P)
c) Liên sườn Trái (Left Coronal and Intercostal Oblique view):
rãnh lách-thận, thận (T)
d) Trên xương mu (Suprapubic view): túi cùng Douglas, bàng quang
e) Đáy phổi 2 bên: tràn dịch MP, dịch trên gan/lách
f) Vùng ngực trước (Anterior Thoracic view): tràn khí MP
 Mặt cắt 1: dưới mỏm mũi kiếm xương ức
Trả lời các câu hỏi:
- Tràn dịch màng ngoài tim?
- Có tổn thương gan Trái?
- Đánh giá IVC
 Tràn dịch màng ngoài tim có dấu
đè sụp thất (P)  chèn ép tim cấp
 Tràn máu màng ngoài tim
 Mặt cắt 2: liên sườn Phải
Trả lời các câu hỏi:
- Có dịch rãnh gan-thận (Morrison)?
- Chấn thương gan (P)? Thận (P)?
 Dịch rãnh Morrison
 Dịch rãnh Morrison + Dịch trên gan
Liver rupture
Hemoperitoneum
Hematoma
Liver rupture
Renal hematoma and a small perirenal
hematoma
Renal rupture with large hematoma
 Mặt cắt 3: liên sườn Trái
Trả lời các câu hỏi:
- Có dịch rãnh lách – thận?
- Chấn thương lách? Thận (T)?
 Dịch rãnh lách-thận kèm
dập/nứt lách (mũi tên vàng)
 Dịch tự do cực dưới lách
 Dịch tự do cực trên lách kèm có
máu đông (mũi tên hình thang)
 Mặt cắt 4: trên xương mu
Trả lời các câu hỏi:
- Có dịch túi cùng Douglas?
- Chấn thương bàng quang?
 Dịch sau thành bàng quang
 Dịch trên bàng quang  Dịch bao quanh tử cung kèm
nước tiểu trong lòng bang quang
tạo hình ảnh “TIE FIGHTER”
 Dịch tự do quanh thành
bàng quang với các quai ruột
“lềnh bềnh”
 Dịch túi cùng Douglas,
phía sau tử cung
Bladder
 Dịch túi cùng Douglas
kèm hình ảnh vỡ thành
bàng quang
 Mặt cắt 5: đáy phổi 2 bên
“MI = Mirror Image”
Trả lời các câu hỏi:
- Có dịch màng phổi?
- Có dịch trên gan/lách?
 Dịch màng phổi (hoa thị)
+ Dịch trên gan (hình sao) +
Nhu mô phổi xẹp (tam giác)
 Dịch màng phổi
(mũi tên vàng)
Vertical
Comet-tail
Artifact
 Mặt cắt 6: vùng ngực trước (siêu âm phổi)
Trả lời các câu hỏi:
Có tràn khí màng phổi?
 Dấu phổi trượt: tạo ra do màng phổi thành và
màng phổi tạng trượt lên nhau theo hô hấp 
tạo ảnh giả là những tia sáng trắng tăng âm phát
ra từ đường màng phổi (đuôi sao chổi)  loại trừ
100% không có TKMP tại điểm khảo sát
 Đường A: ảnh giả của đường màng phổi
 là những đường sáng tăng âm nằm
ngang, song song với đường màng phổi
Một số khái niệm cơ bản của siêu
âm phổi
 Dấu bờ biển (Seashore Sign):
- Có ý nghĩa tương tự như dấu phổi trượt nhưng khảo sát ở chế độ M-mode
- Nhận biết:
 Đường màng phổi trên M-mode là 1 đường sáng trắng nằm ngang
 Phía dưới đường màng phổi là những ảnh giả di động trên M-mode
là những chấm nhỏ li ti giống như bãi cát mịn
Một số khái niệm cơ bản của siêu
âm phổi
Tràn khí màng phổi = Đường A (A-line) kèm mất dấu phổi trượt
(lung sliding)
Mất dấu phổi trượt
- Đường màng phổi không di chuyển
- Không thấy hình ảnh “đuôi sao chổi”di
chuyển bên dưới
Dấu hiệu tầng bình lưu
Vì các cấu trúc trên siêu âm lúc này bất
động  trên M-mode cho ra các đường
nằm ngang giống tầng bình lưu/ mã vạch
Siêu âm XQ ngực quy ước
Độ nhạy 87% 46%
Độ đặc hiệu 99% 100%
P<0.001
b.1.5.Ứng dụng FAST/eFAST protocol
FAST/eFAST protocol bị giới hạn hiệu quả trong các trường hợp:
 Bệnh nhân kích động,không hợp tác
 Thành ngực và bụng chuyển động liên tục trong quá trình hồi sức
 Bệnh nhân béo phì
 Có tràn khí dưới da
 Tổn thương xuyên thấu còn dị vật tại khu vực cần khảo sát
 Các tổn thương nằm sau phúc mạc, các chấn thương cơ hoành/ ruột/ tụy
b.1.6.Giới hạn của FAST/eFAST protocol
BN có choáng
(không chấn thương)
Choáng
giảm thể tích
Choáng
phân bố
Choáng tim
Choáng
tắc nghẽn
- Bệnh nhân có choáng là tình huống rất thường gặp tại khoa Cấp cứu
- Là 1 tình trạng nặng  nếu không chẩn đoán và xử trí nhanh  tỷ lệ tử vong cao
- Choáng được chia thành 4 nhóm dựa trên sinh lý bệnh:
b.2.1. RUSH protocol là gì?
Từ năm 2001, đã ra đời các protocol hướng dẫn sử dụng siêu âm trong đánh giá BN bị choáng tại Cấp cứu
2001 2002 2004 2006 2007 2008 2009 2010
UHP
protocol
Trinity
protocol
FATE protocol FLASH
protocol
FEER protocolCAUSE
protocol
RUSH
protocol
ACES
protocol
RUSH
protocol
b.2.1. RUSH protocol là gì?
 Khảo sát:
• Heart (tim): chức năng thất (T), dịch màng
ngoài tim
• Morrison’s Pouch (rãnh Morrison): dịch tự
do
• Aorta (ĐM chủ): bóc tách/vỡ ĐM chủ
 Khảo sát:
• Heart (tim): chức năng thất (T), dịch màng
ngoài tim, hình dạng thất (P)
• Morrison’s Pouch (rãnh Morrison): dịch tự
do
• Aorta (ĐM chủ): bóc tách/vỡ ĐM chủ
• IVC (TM chủ dưới): thay đổi theo nhịp hô
hấp
 Khảo sát: “HI – MAP”
• Heart (tim): chức năng thất (T), dịch màng
ngoài tim, hình dạng thất (P)
• IVC (TM chủ dưới): thay đổi theo nhịp hô
hấp
• Morrison’s Pouch (rãnh Morrison): dịch tự
do
• Aorta (ĐM chủ): bóc tách/vỡ ĐM chủ
• Pneumothorax: tràn khí màng phổi
PUMP
PIPE
TANK
 Khảo sát:
• Pump: chức năng thất T,
hình dạng thất P, dịch
màng ngoài tim
• Tank: IVC, dịch ổ bụng,
dịch màng phổi, tràn khí
màng phổi
• Pipe: bóc tách ĐM chủ,
huyết khối TM sâu
Vậy ta thực hiện RUSH protocol như thế nào?
b.2.2.Các mặt cắt của RUSH protocol
 Bước 1: Khảo sát “PUMP – Máy bơm”
Các mặt cắt cơ bản
a) Cạnh ức trục dọc
b) Cạnh ức trục ngang
c) Dưới mỏm mũi kiếm xương ức trục ngang
d) Bốn buồng từ mỏm
Đánh giá
1. Dịch màng ngoài tim  Chèn ép tim?
2. Chức năng thất Trái (co bóp?)
3. Kích thước thất Phải (so sánh với thất Trái)
– Hình dạng thất Phải
a) Mặt cắt dọc cạnh ức (Parasternal long axis plane)
 Bước 1: Khảo sát “PUMP – Máy bơm”
b) Mặt cắt ngang cạnh ức (Parasternal short axis plane)
 Bước 1: Khảo sát “PUMP – Máy bơm”
Qua van
ĐM chủ
Qua van
ĐM chủ
Qua cơ nhú
c) Mặt cắt ngang dưới mỏm mũi kiếm xương ức (Transverse Supxiphoid view)
 Bước 1: Khảo sát “PUMP – Máy bơm”
d) Mặt cắt bốn buồng từ mỏm tim (Apical 4 chambers view)
 Bước 1: Khảo sát “PUMP – Máy bơm”
Ứng dụng lâm sàng….
Dưới mỏm mũi kiếm
1. Tràn dịch màng ngoài tim – Chèn ép tim cấp
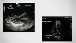
4 buồng từ mỏm
RV
LV
Dọc cạnh ức
2. Đánh giá chức năng thất Trái
Trường hợp không có máy siêu âm tim chuyên biệt  có thể đánh giá bằng “mắt” các
tiêu chí sau của thất Trái:
a) Kích thước: buồng tim (bình thường/giãn), cơ tim (bình thường, dày, mỏng)
b) Hình dạng: hạt đậu, trái chuối
c) Chức năng co bóp: bình thường, tăng, giảm
d) Vận động vùng: bình thường, nghịch thường, giảm động, vô động
3. Kích thước – Hình dạng thất Phải
- Bình thường kích thước: Thất (T)/ Thất (P) = 1/0,6
- Hình dạng thất (P) bình thường là hình
bán nguyệt (Crescentic shape) ở mặt cắt
dọc cạnh ức và hình thang (Triangular
shape) ở mặt cắt 4 buồng từ mỏm
Dọc cạnh ức
4 buồng từ mỏm
 Bước 2: Khảo sát “TANK – Bể chứa”
Các mặt cắt cơ bản
a) Dưới mỏm mũi kiếm xương ức trục dọc
b) Các mặt cắt của eFAST protocol
Đánh giá
1. “Bể chứa” đã đầy?  đánh giá IVC/ đánh giá
có phù phổi cấp?
2. “Bể chứa” có bị thất thoát?  có dịch tự do ổ
bụng/màng phổi?
3. “Bể chứa” có bị cản trở hoạt động?  có tràn
khí màng phổi/tràn dịch màng ngoài tim?
 Bước 2: Khảo sát “TANK – Bể chứa”
a) Mặt cắt dọc dưới mỏm mũi kiếm xương ức (Longitudinal Supxiphoid view)
 Bước 2: Khảo sát “TANK – Bể chứa”
b) Mặt cắt vùng ngực trước – Đường B (B line)
Cắt dọc
Cắt ngang
B-line
- Sóng âm khi gặp dịch trong mô
kẽ/phế nang sẽ bị giữ lại
- Sóng âm di chuyển tới lui và phản
hồi liên tục trong hỗn hợp khí-dịch
 cộng hưởng nhau  tạo B-line
 4 tiêu chuẩn xác nhận B-line:
1. Là đường tăng âm theo chiều dọc
2. Di chuyển đồng bộ với dấu phổi trượt
3. Bắt đầu từ đường màng phổi  gờ màn hình
4. Xóa A-line
Ứng dụng lâm sàng….
- Siêu âm đã được chứng minh có thể đo kích thước tĩnh mạch Chủ dưới (IVC) và thay đổi kích thước IVC
với hô hấp một cách không xâm lấn, mà sự thay đổi kích thước IVC này có tương quan đến áp suất tâm
nhĩ (P) và tình trạng huyết động học
- Cách thực hiện:
• Đo đường kính IVC  2 phương pháp:
1. Đo cách bờ nhĩ (P) # 2-3cm theo mặt cắt dọc trong một chu kỳ hô hấp
2. Đo cách Tĩnh mạch gan # 1-2cm theo mặt cắt dọc trong một chu kỳ hô hấp
• Tính “Caval index” dựa vào giảm tương đối đường kính của IVC từ thì thở ra đến thì hít vào
- Lưu ý rằng, kích thước IVC trên BN thở máy ít đáng tin cậy hơn bởi những khác biệt của áp lực lồng ngực
khi được thông khí áp lực dương so với áp lực âm thông khí bình thường  do đó:
 Bệnh nhân thở tự nhiên (Spontaneously breathing patients): Đường kính IVC và sự
thay đổi đường kính khi hô hấp phản ánh áp suất tâm nhĩ (P)
 Bệnh nhân thở máy (Patients with mechanical ventilation): Thay đổi đường kính của IVC giúp tiên
lượng đáp ứng với việc bù dịch
1. Đánh giá TM chủ dưới (IVC)
Caval Index = IVC collapsibility index =
[Maximum IVC dimension- Minimum IVC dimension] X 100
Maximum IVC dimension
Hepatic
vein
Low Central Venous Pressure
High Central Venous Pressure
Đặc biệt cần phân biệt giữa TM chủ dưới (IVC) và ĐM chủ bụng (Abdominal Aorta) trên siêu âm
1. Đánh giá TM chủ dưới (IVC)
IVC Abdominal aorta
Direction
Goes through
the liver
Goes through
the liver
Relationships with heart Merges with RA
Continues down
the heart
Flow
Continuous, changes
with respiration
Pulsatile
Walls Not visible Hyperechoic
Respiratory variations (+) or (-) No
Collateral vessels
Sub-hepatic veins
merge with the IVC
Not visible from
this approach
- Đường B xuất hiện khi có sự tụ dịch trong mô kẽ -phế nang
(phù phổi cấp, viêm phổi, bệnh phổi mô kẽ, dập phổi,…)
- Tuy nhiên, nếu thấy 1-3 đường B có thể là bình thường vì đường
B có thể có khi ta siêu âm ở vùng sau dưới trên BN nằm lâu
- Đánh giá kích thước, khoảng cách giữa các đường B có thể giúp
theo dõi và tiên lượng bệnh:
 Khoảng cách # 7mm  khả năng là phù mô kẽ
 Khoảng cách # 3mm  khả năng là phù phế nang
 Khoảng cách càng ngắn thì bệnh càng nặng
2. Đường B (B-line)
 Bước 3: Khảo sát “PIPES – Ống dẫn”
Các mặt cắt cơ bản
- Đối với ĐM chủ:
a) Mặt cắt trên ức
b) Mặt cắt cạnh ức
c) Mặt cắt vùng thượng vị
d) Mặt cắt trên rốn
- Đối với TM sâu:
a) Mặt cắt vùng bẹn đùi
b) Mặt cắt vùng khoeo
Đánh giá
1. “Ống dẫn” bị phình vỡ?  Cây ĐM chủ có
phình/bóc tách?
2. “Ống dẫn” bị tắc nghẽn?  Có huyết khối TM
sâu chi dưới?
- Động mạch chủ gồm đoạn ngực và đoạn bụng chậu
- Khảo sát ĐM chủ đoạn ngực là 1 kỹ năng khó  hiện tại ở cấp cứu
tập trung khảo sát ĐM chủ đoạn bụng-chậu  sử dụng các mặt cắt
trục dọc/ngang di chuyển từ vùng thượng vị  vùng chậu
a) Khảo sát Động mạch chủ đoạn bụng-chậu
- Khoảng 90% phình ĐM chủ bụng nằm ở đoạn dưới
chỗ chia ĐM thận (khoảng 75% vỡ sau phúc mạc)
- Gọi là phình khi:
 Đường kính ĐM chủ bụng > 3cm
 Đường kính ĐM chậu chung > 1,5cm
 Nếu huyết động BN không ổn định kèm SA nghĩ
có phình ĐM chủ thì nên nghĩ đến nứt vỡ ĐM chủ
Phân biệt hình ảnh ĐM chủ và TM chủ dưới trên siêu âm (không Doppler)?
a) Khảo sát Động mạch chủ
ĐM chủ TM chủ
Thành mạch Dày, bắt echo sang hơn Mỏng, bắt echo ít hơn
Đập theo nhịp mạch? (+) (-)
Đè ép được? (-) (+)
Thay đổi theo hô hấp (-) (+)
Trên mặt cắt ngang Dạng tròn đều Hình bầu dục
a) Khảo sát Động mạch chủ
a) Khảo sát Động mạch chủ
b) Khảo sát Huyết khối TM sâu chi dưới
- Huyết khối TM sâu thường chủ yếu ở chi dưới > chi trên
- Huyết khối TM sâu liên quan đến bệnh lý Thuyên tắc phổi  dễ bỏ sót
- Khám lâm sàng có độ chính xác kém trong chẩn đoán huyết khối TM sâu
- Có nhiều phương pháp để chẩn đoán  siêu âm là phương pháp dễ áp dụng tại cấp cứu
 Cơ sở chẩn đoán: không thể đè xẹp TM bằng đầu dò là bằng chứng gián tiếp là có huyết khối
b) Khảo sát Huyết khối TM sâu chi dưới
- Tại khoa CC, chủ yếu khảo
sát đoạn TM sâu từ vùng
bẹn đến hố khoeo vì dễ
thực hiện và luyện tập
- Việc khảo sát toàn bộ hệ
TM sâu chi dưới rất khó (đặc
biệt là TM bắp chân), tốn
thời gian, khó huấn luyện
b) Khảo sát Huyết khối TM sâu chi dưới
b.1. Thực hiện tại nếp bẹn
CFA = Common Femoral Artery
CFV = Common Femoral Vein
GSV = Greater Saphenous Vein
Ta có thể để BN ở tư thế nằm đầu cao 450 để TM giãn hơn  dễ khảo sát
b) Khảo sát Huyết khối TM sâu chi dưới
b.2. Di chuyển từ nếp bẹn đến hố khoeo
- Ta di chuyển đầu dò ra xa đến chỗ chia đôi
thành TM đùi nông và TM đùi sâu
- Lưu ý: nên đè ép ở vị trí cách chỗ chia # 5cm
SFA = Superficial Femoral Artery
DFA = Deep Femoral Vein
SFV = Superficial Femoral Vein
b) Khảo sát Huyết khối TM sâu chi dưới
b.3. Thực hiện tại hố khoeo
Tư thế BN: gối gập nhẹ, hông hơi xoay ra ngoài
Ứng dụng lâm sàng….
a) Khảo sát Động mạch chủ
Khảo sát đường kính ĐM
chủ phải đúng kỹ thuật!
Some abdominal aortic aneurysms may contain
thrombi. Careful attention must be made to
include the thombus (blue arrow) in the
diameter measurement. The yellow arrow
indicates the correct diameter measurement. The
orange arrow does not include the thrombus and
hence is an incorrect measurement
a) Khảo sát Động mạch chủ
Phình động mạch chủ
a) Khảo sát Động mạch chủ
Intimal flap
2 cavities
Bóc tách động mạch chủ
1. Lòng giả
2. Mảng nội mô đập
3. Có dòng máu xoáy trong lòng ĐM còn
lại do bị hẹp (SA Doppler)
b) Khảo sát Huyết khối TM sâu chi dưới
b.2.3.Ứng dụng của RUSH protocol
- Cần có nền tảng cơ bản vững về siêu âm, đặc biệt là siêu âm tim và mạch máu
- Nếu không có máy siêu âm tim chuyên biệt, 1 số đánh giá về chức năng co bóp của tim phụ thuộc vào
kinh nghiệm “quan sát” bằng mắt của người siêu âm  cần phải được luyện tập thường xuyên
b.2.3.Khó khăn của RUSH protocol
Nội dung 3
Siêu âm hướng dẫn điều trị tại Cấp cứu
a. Siêu âm hướng dẫn điều trị tại cấp
cứu?
- Ngoài chức năng giúp ích trong việc chẩn đoán xác định bệnh nhanh tại cấp cứu, siêu âm còn giúp cho
người bác sĩ điều trị thực hiện:
• Các thủ thuật điều trị : chọc tháo dịch (màng tim/màng phổi/ổ bụng), hướng dẫn đặt CVC, đặt
NKQ, sinh thiết mô,….….
• Đánh giá và theo dõi điều trị: đánh giá đáp ứng bù dịch (Fluid responsiveness)
 giảm tai biến, rút ngắn thời gian làm thủ thuật
- Hiện tại, tại khoa Cấp cứu, siêu âm được áp dụng nhiều trong các thủ thuật chọc dò dịch tự do và đánh
giá đáp ứng bù dịch
b. Siêu âm hướng dẫn chọc tháo dịch
màng phổi
Siêu âm giúp cho ta:
 Đánh giá lượng dịch màng phổi  vị trí chọc tháo thuận lợi
 Xác định khoảng cách kim chọc tháo
c. Siêu âm hướng dẫn chọc tháo dịch
màng tim
Siêu âm giúp cho ta:
 Xác định vị trí chọc dò thuận lợi nhất, gần nhất có thể, lấy được lượng dịch nhiều nhất có thể
 Tránh làm tổn thương các cơ quan xung quanh
 Có thể ước đoán lượng dịch màng ngoài tim dựa vào:
• Khoảng cách giữa 2 lá của khoang màng tim (độ dày lớp dịch)
• Kiểu lan tỏa của dịch màng tim
Độ dày của lớp dịch Kiểu lan tỏa Lượng dịch ước lượng
≤ 1cm Chủ yếu ở phía sau < 100mL
≤ 1cm
Bọc quanh tim hoặc chỉ có 1 ít
xung quanh mạch máu lớn
100 – 500mL
> 1cm (ở mọi vị trí)
Lan tỏa quanh tim và lan tới
xung quanh mạch máu lớn
> 500mL
d. Siêu âm hướng dẫn chọc tháo dịch ổ
bụng
Siêu âm giúp cho ta:
 Xác định vị trí chọc dò thuận lợi nhất, gần nhất có thể, lấy được lượng dịch nhiều nhất có thể
 Chú ý tránh các vị trí mạch máu
e. Siêu âm đánh giá đáp ứng của bù dịch
- Để đánh giá đáp ứng bù dịch trên lâm sàng tại cấp cứu, phương pháp đánh giá IVC trên siêu âm là 1
phương thức đơn giản, nhanh, có thể lặp lại và có giá trị
- Tuy nhiên, cần nhớ, việc chỉ sử dụng trị số IVC đơn lẻ không đánh giá đúng và đầy đủ đáp ứng bù dịch
của bệnh nhân
Schefold JC, Storm C, Bercker S, Pschowski R, Oppert M, Krüger A, Hasper D. J
Emerg Med. 2010 Jun;8(5):632-7. Inferior vena cava diameter correlates with
invasive hemodynamic measures in mechanically ventilated intensive care unit
patients with sepsis.
Kết luận
- Siêu âm là 1 công cụ rất hữu ích trong việc chẩn đoán và điều trị các bệnh nhân tại
cấp cứu, đặt biệt là các trường hợp bệnh nặng/nguy kịch
- Dù có các protocol hướng dẫn nhưng siêu âm vẫn chịu ảnh hưởng của người thực
hiện cần thực hành thường xuyên
“ Siêu âm không bao giờ nói dối. Chỉ
có chúng ta mới tự dối mình khi
chúng ta diễn ta sai lầm tiếng nói của
siêu âm hoặc khi ta đòi hỏi những gì
ngoài khả năng của siêu âm –
Atonine Béclère”
Xin chân thành
cám ơn

Sieu am tai cap cuu

  • 1.
    BS. Tôn ThấtQuang Thắng Học viên Chuyên khoa cấp 1 Chuyên ngành Hồi sức Cấp cứu 2017-2019 Siêu âm có trọng điểm tại cấp cứu (Point-Of-Care Ultrasound in ED)
  • 2.
    Các khái niệmcơ bản về siêu âmNội dung 1 Siêu âm có trọng điểm tại Cấp cứuNội dung 2 Siêu âm hướng dẫn điều trị tại Cấp cứuNội dung 3 Nội dung trình bày
  • 3.
    Nội dung 1 Cáckhái niệm căn bản về siêu âm
  • 4.
    a. Siêu âmlà gì ? Là một phương pháp khảo sát hình ảnh học, không sử dụng các phóng xạ ion hóa • Nguyên tắc: để một phần của cơ thể tiếp xúc với sóng âm có tần số cao  tạo ra hình ảnh bên trong cơ thể (những hình ảnh các lát cắt mỏng và phẳng của cơ thể) • Ưu điểm: Không xâm lấn Đánh giá “động” theo thời gian • Ứng dụng: chẩn đoán và hướng dẫn can thiệp bệnh
  • 5.
     Nguyên tắcsiêu âm - Đầu dò phát sóng siêu âm xuyên các lớp mô  sóng phản xạ lại đầu dò ở mỗi vị trí trên đường đi của sóng - Đầu dò nhận lại các sóng phản xạ  qua bộ xử lý  hiển thị hình ảnh - Tần số sóng siêu âm liên quan đến độ xuyên thấu và độ phân giải Độ xuyên thấu Độ phân giải Tần số cao Thấp Cao Tần số thấp Cao Thấp  chọn tần số phải phù hợp với yêu cầu khảo sát
  • 7.
    b. Cấu tạomáy siêu âm ? Bộ xử lý và điều khiển Màn hình Hệ thống lưu trữ Đầu dò
  • 9.
    c. Quy ướcmàn hình ?  Cần nhớ  Bờ đầu dò tương ứng bên (T) màn hình luôn:  Hướng về phía đầu của BN khi để dọc đầu dò  Hướng sang (P) của BN khi để ngang đầu dò
  • 10.
    - Phản ánhđặc trưng của cơ quan khi phản xạ lại sóng siêu âm - Trong siêu âm, thường dùng các thuật ngữ về echo như sau: • Echo dày (Hyperechoic) = hình ảnh bóng trắng, tạo bóng lưng • Echo kém (Hypoechoic) = hình ảnh xám > trắng • Echo trống (Echofree) = hình ảnh bóng đen, không phản hồi • Có hồi âm (Echogenic) = hình ảnh trắng > xám - Trên thang độ xám, độ hồi âm các cấu trúc được mô tả:  Tăng hồi âm: độ xám  so với cấu trúc nền xung quanh hoặc so với tình trạng bình thường  Giảm hồi âm: độ xám  so với cấu trúc nền xung quanh hoặc so với tình trạng bình thường  Không có hồi âm: cấu trúc không tạo được sóng phản hồi  độ xám rất thấp, thậm chí là màu đen d. Mức hồi âm (Echo) ? Bàng quang-Tủy thận-Vỏ thận-Lách –Tụy TE- Gan- Tụy NL- Xoang thận- Cơ hoành
  • 12.
    Nội dung 2 Siêuâm có trọng điểm tại Cấp cứu
  • 13.
    - Năm 1940 ra đời “Siêu âm chẩn đoán” (Diagnostic Ultrasound) - Từ năm 1990  ra đời thuật ngữ “Siêu âm có trọng điểm” (Point-Of-Care Ultrasound) - Siêu âm có trọng điểm = thực hành siêu âm tại giường bệnh có tiêu điểm  với mục đích: • Chẩn đoán bệnh • Hướng dẫn thủ thuật • Theo dõi bệnh • Tầm soát bệnh a. Siêu âm có trọng điểm tại Cấp cứu là gì ?
  • 14.
    Siêu âm cótrọng điểm  đem lại nhiều lợi ích trong lâm sàng: • Có thể giúp đưa ra chẩn đoán bệnh nhanh • Giảm mức độ lệ thuộc vào các XN xâm lấn/ các kỹ thuật dùng tia X • Giúp giảm biến chứng khi làm thủ thuật  SA có trọng điểm ngày càng được khuyến khích, đặc biệt ở khoa Cấp cứu gì ? SA có trọng điểm tại cấp cứu đã được ứng dụng từ 1980!
  • 16.
    Vậy ta siêuâm được các cấu trúc gì tại Cấp cứu? 1 đầu dò duy nhất?
  • 17.
    Đầu dò siêuâm nào phù hợp tại cấp cứu? Lichtenstein D.A (2012), " General ultrasound in the critically ill book", Springer
  • 18.
    b. Siêu âmchẩn đoán có trọng điểm tại Cấp cứu ? SA chẩn đoán tại cấp cứu BN có chấn thương BN không chấn thương “FAST/eFAST” Protocol Đánh giá BN choáng  “RUSH” Protocol
  • 20.
    Siêu âm trêncác BN chấn thương nặng tại cấp cứu là 1 chỉ định thường quy vì: • Nhanh, dễ thực hiện ngay tại giường bệnh, không cần di chuyển BN • Không xâm lấn • Có thể lặp lại nhiều lần • Không sử dụng tia xạ  Ra đời “FAST” hay “eFAST” Protocol trên các BN bị chấn thương “FAST” Protocol ra đời “FAST” Protocol được đưa vào ATLS Phát triển “EFAST” Protocol 197 0 199 0 b.1.1. FAST/eFAST protocol là gì?
  • 21.
    b.1.1. FAST/eFAST protocollà gì? FAST/eFAST trả lời 4 câu hỏi trên BN bị chấn thương: 1. Có dịch màng ngoài tim? 2. Có dịch ổ bụng? 3. Có dịch màng phổi? 4. Có tràn khí màng phổi? Trả lời trong vòng 3-5 phút ngay tại giường bệnh !
  • 22.
    Tại sao dùngFAST/eFAST protocol trong tiếp cận BN chấn thương tại cấp cứu? b.1.1. FAST/eFAST protocol là gì?
  • 25.
    Vậy ta thựchiện FAST/ eFAST protocol như thế nào?
  • 26.
    - BN chấnthương nặng  chấn thương ngực ± bụng kín thường bị bỏ sót hoặc phát hiện trễ:  Chấn thương ngực kín: Tràn máu/khí màng phổi, dập phổi, tràn máu màng tim  Chấn thương bụng kín: Chấn thương lách > gan > ruột/mạc treo > bàng quang > tụy - FAST/EFAST protocol  giúp phát hiện dịch tự do trên BN chấn thương  thường tập trung ở:  Rãnh gan-thận (rãnh Morrison)  Rãnh lách-thận  Hạ vị (túi cùng Douglas)  Đáy phổi 2 bên - FAST/EFAST protocol  sử dụng chủ yếu đầu dò Convex b.1.2.Nền tảng của FAST/eFAST protocol
  • 28.
  • 29.
    b.1.4.Các mặt cắtcủa FAST/eFAST protocol Các mặt cắt cần khảo sát: a) Dưới mũi kiếm xương ức (Subxiphoid view): dịch màng tim, gan (T) b) Liên sườn Phải (Right Coronal and Intercostal Oblique view): rãnh gan-thận, gan (P), thận (P) c) Liên sườn Trái (Left Coronal and Intercostal Oblique view): rãnh lách-thận, thận (T) d) Trên xương mu (Suprapubic view): túi cùng Douglas, bàng quang e) Đáy phổi 2 bên: tràn dịch MP, dịch trên gan/lách f) Vùng ngực trước (Anterior Thoracic view): tràn khí MP
  • 30.
     Mặt cắt1: dưới mỏm mũi kiếm xương ức Trả lời các câu hỏi: - Tràn dịch màng ngoài tim? - Có tổn thương gan Trái? - Đánh giá IVC
  • 31.
     Tràn dịchmàng ngoài tim có dấu đè sụp thất (P)  chèn ép tim cấp  Tràn máu màng ngoài tim
  • 32.
     Mặt cắt2: liên sườn Phải Trả lời các câu hỏi: - Có dịch rãnh gan-thận (Morrison)? - Chấn thương gan (P)? Thận (P)?
  • 33.
     Dịch rãnhMorrison  Dịch rãnh Morrison + Dịch trên gan
  • 34.
    Liver rupture Hemoperitoneum Hematoma Liver rupture Renalhematoma and a small perirenal hematoma Renal rupture with large hematoma
  • 35.
     Mặt cắt3: liên sườn Trái Trả lời các câu hỏi: - Có dịch rãnh lách – thận? - Chấn thương lách? Thận (T)?
  • 36.
     Dịch rãnhlách-thận kèm dập/nứt lách (mũi tên vàng)  Dịch tự do cực dưới lách  Dịch tự do cực trên lách kèm có máu đông (mũi tên hình thang)
  • 37.
     Mặt cắt4: trên xương mu Trả lời các câu hỏi: - Có dịch túi cùng Douglas? - Chấn thương bàng quang?
  • 38.
     Dịch sauthành bàng quang  Dịch trên bàng quang  Dịch bao quanh tử cung kèm nước tiểu trong lòng bang quang tạo hình ảnh “TIE FIGHTER”
  • 39.
     Dịch tựdo quanh thành bàng quang với các quai ruột “lềnh bềnh”  Dịch túi cùng Douglas, phía sau tử cung Bladder  Dịch túi cùng Douglas kèm hình ảnh vỡ thành bàng quang
  • 40.
     Mặt cắt5: đáy phổi 2 bên “MI = Mirror Image” Trả lời các câu hỏi: - Có dịch màng phổi? - Có dịch trên gan/lách?
  • 41.
     Dịch màngphổi (hoa thị) + Dịch trên gan (hình sao) + Nhu mô phổi xẹp (tam giác)  Dịch màng phổi (mũi tên vàng) Vertical Comet-tail Artifact
  • 42.
     Mặt cắt6: vùng ngực trước (siêu âm phổi) Trả lời các câu hỏi: Có tràn khí màng phổi?
  • 43.
     Dấu phổitrượt: tạo ra do màng phổi thành và màng phổi tạng trượt lên nhau theo hô hấp  tạo ảnh giả là những tia sáng trắng tăng âm phát ra từ đường màng phổi (đuôi sao chổi)  loại trừ 100% không có TKMP tại điểm khảo sát  Đường A: ảnh giả của đường màng phổi  là những đường sáng tăng âm nằm ngang, song song với đường màng phổi Một số khái niệm cơ bản của siêu âm phổi
  • 44.
     Dấu bờbiển (Seashore Sign): - Có ý nghĩa tương tự như dấu phổi trượt nhưng khảo sát ở chế độ M-mode - Nhận biết:  Đường màng phổi trên M-mode là 1 đường sáng trắng nằm ngang  Phía dưới đường màng phổi là những ảnh giả di động trên M-mode là những chấm nhỏ li ti giống như bãi cát mịn Một số khái niệm cơ bản của siêu âm phổi
  • 45.
    Tràn khí màngphổi = Đường A (A-line) kèm mất dấu phổi trượt (lung sliding) Mất dấu phổi trượt - Đường màng phổi không di chuyển - Không thấy hình ảnh “đuôi sao chổi”di chuyển bên dưới Dấu hiệu tầng bình lưu Vì các cấu trúc trên siêu âm lúc này bất động  trên M-mode cho ra các đường nằm ngang giống tầng bình lưu/ mã vạch
  • 46.
    Siêu âm XQngực quy ước Độ nhạy 87% 46% Độ đặc hiệu 99% 100% P<0.001
  • 47.
  • 49.
    FAST/eFAST protocol bịgiới hạn hiệu quả trong các trường hợp:  Bệnh nhân kích động,không hợp tác  Thành ngực và bụng chuyển động liên tục trong quá trình hồi sức  Bệnh nhân béo phì  Có tràn khí dưới da  Tổn thương xuyên thấu còn dị vật tại khu vực cần khảo sát  Các tổn thương nằm sau phúc mạc, các chấn thương cơ hoành/ ruột/ tụy b.1.6.Giới hạn của FAST/eFAST protocol
  • 52.
    BN có choáng (khôngchấn thương) Choáng giảm thể tích Choáng phân bố Choáng tim Choáng tắc nghẽn - Bệnh nhân có choáng là tình huống rất thường gặp tại khoa Cấp cứu - Là 1 tình trạng nặng  nếu không chẩn đoán và xử trí nhanh  tỷ lệ tử vong cao - Choáng được chia thành 4 nhóm dựa trên sinh lý bệnh: b.2.1. RUSH protocol là gì?
  • 53.
    Từ năm 2001,đã ra đời các protocol hướng dẫn sử dụng siêu âm trong đánh giá BN bị choáng tại Cấp cứu 2001 2002 2004 2006 2007 2008 2009 2010 UHP protocol Trinity protocol FATE protocol FLASH protocol FEER protocolCAUSE protocol RUSH protocol ACES protocol RUSH protocol b.2.1. RUSH protocol là gì?
  • 54.
     Khảo sát: •Heart (tim): chức năng thất (T), dịch màng ngoài tim • Morrison’s Pouch (rãnh Morrison): dịch tự do • Aorta (ĐM chủ): bóc tách/vỡ ĐM chủ
  • 55.
     Khảo sát: •Heart (tim): chức năng thất (T), dịch màng ngoài tim, hình dạng thất (P) • Morrison’s Pouch (rãnh Morrison): dịch tự do • Aorta (ĐM chủ): bóc tách/vỡ ĐM chủ • IVC (TM chủ dưới): thay đổi theo nhịp hô hấp
  • 56.
     Khảo sát:“HI – MAP” • Heart (tim): chức năng thất (T), dịch màng ngoài tim, hình dạng thất (P) • IVC (TM chủ dưới): thay đổi theo nhịp hô hấp • Morrison’s Pouch (rãnh Morrison): dịch tự do • Aorta (ĐM chủ): bóc tách/vỡ ĐM chủ • Pneumothorax: tràn khí màng phổi
  • 57.
    PUMP PIPE TANK  Khảo sát: •Pump: chức năng thất T, hình dạng thất P, dịch màng ngoài tim • Tank: IVC, dịch ổ bụng, dịch màng phổi, tràn khí màng phổi • Pipe: bóc tách ĐM chủ, huyết khối TM sâu
  • 59.
    Vậy ta thựchiện RUSH protocol như thế nào?
  • 60.
    b.2.2.Các mặt cắtcủa RUSH protocol
  • 61.
     Bước 1:Khảo sát “PUMP – Máy bơm” Các mặt cắt cơ bản a) Cạnh ức trục dọc b) Cạnh ức trục ngang c) Dưới mỏm mũi kiếm xương ức trục ngang d) Bốn buồng từ mỏm Đánh giá 1. Dịch màng ngoài tim  Chèn ép tim? 2. Chức năng thất Trái (co bóp?) 3. Kích thước thất Phải (so sánh với thất Trái) – Hình dạng thất Phải
  • 62.
    a) Mặt cắtdọc cạnh ức (Parasternal long axis plane)  Bước 1: Khảo sát “PUMP – Máy bơm”
  • 63.
    b) Mặt cắtngang cạnh ức (Parasternal short axis plane)  Bước 1: Khảo sát “PUMP – Máy bơm” Qua van ĐM chủ Qua van ĐM chủ Qua cơ nhú
  • 64.
    c) Mặt cắtngang dưới mỏm mũi kiếm xương ức (Transverse Supxiphoid view)  Bước 1: Khảo sát “PUMP – Máy bơm”
  • 65.
    d) Mặt cắtbốn buồng từ mỏm tim (Apical 4 chambers view)  Bước 1: Khảo sát “PUMP – Máy bơm”
  • 66.
  • 67.
    Dưới mỏm mũikiếm 1. Tràn dịch màng ngoài tim – Chèn ép tim cấp 4 buồng từ mỏm RV LV Dọc cạnh ức
  • 68.
    2. Đánh giáchức năng thất Trái Trường hợp không có máy siêu âm tim chuyên biệt  có thể đánh giá bằng “mắt” các tiêu chí sau của thất Trái: a) Kích thước: buồng tim (bình thường/giãn), cơ tim (bình thường, dày, mỏng) b) Hình dạng: hạt đậu, trái chuối c) Chức năng co bóp: bình thường, tăng, giảm d) Vận động vùng: bình thường, nghịch thường, giảm động, vô động
  • 72.
    3. Kích thước– Hình dạng thất Phải - Bình thường kích thước: Thất (T)/ Thất (P) = 1/0,6 - Hình dạng thất (P) bình thường là hình bán nguyệt (Crescentic shape) ở mặt cắt dọc cạnh ức và hình thang (Triangular shape) ở mặt cắt 4 buồng từ mỏm
  • 73.
    Dọc cạnh ức 4buồng từ mỏm
  • 74.
     Bước 2:Khảo sát “TANK – Bể chứa” Các mặt cắt cơ bản a) Dưới mỏm mũi kiếm xương ức trục dọc b) Các mặt cắt của eFAST protocol Đánh giá 1. “Bể chứa” đã đầy?  đánh giá IVC/ đánh giá có phù phổi cấp? 2. “Bể chứa” có bị thất thoát?  có dịch tự do ổ bụng/màng phổi? 3. “Bể chứa” có bị cản trở hoạt động?  có tràn khí màng phổi/tràn dịch màng ngoài tim?
  • 75.
     Bước 2:Khảo sát “TANK – Bể chứa” a) Mặt cắt dọc dưới mỏm mũi kiếm xương ức (Longitudinal Supxiphoid view)
  • 76.
     Bước 2:Khảo sát “TANK – Bể chứa” b) Mặt cắt vùng ngực trước – Đường B (B line) Cắt dọc Cắt ngang B-line - Sóng âm khi gặp dịch trong mô kẽ/phế nang sẽ bị giữ lại - Sóng âm di chuyển tới lui và phản hồi liên tục trong hỗn hợp khí-dịch  cộng hưởng nhau  tạo B-line  4 tiêu chuẩn xác nhận B-line: 1. Là đường tăng âm theo chiều dọc 2. Di chuyển đồng bộ với dấu phổi trượt 3. Bắt đầu từ đường màng phổi  gờ màn hình 4. Xóa A-line
  • 77.
  • 78.
    - Siêu âmđã được chứng minh có thể đo kích thước tĩnh mạch Chủ dưới (IVC) và thay đổi kích thước IVC với hô hấp một cách không xâm lấn, mà sự thay đổi kích thước IVC này có tương quan đến áp suất tâm nhĩ (P) và tình trạng huyết động học - Cách thực hiện: • Đo đường kính IVC  2 phương pháp: 1. Đo cách bờ nhĩ (P) # 2-3cm theo mặt cắt dọc trong một chu kỳ hô hấp 2. Đo cách Tĩnh mạch gan # 1-2cm theo mặt cắt dọc trong một chu kỳ hô hấp • Tính “Caval index” dựa vào giảm tương đối đường kính của IVC từ thì thở ra đến thì hít vào - Lưu ý rằng, kích thước IVC trên BN thở máy ít đáng tin cậy hơn bởi những khác biệt của áp lực lồng ngực khi được thông khí áp lực dương so với áp lực âm thông khí bình thường  do đó:  Bệnh nhân thở tự nhiên (Spontaneously breathing patients): Đường kính IVC và sự thay đổi đường kính khi hô hấp phản ánh áp suất tâm nhĩ (P)  Bệnh nhân thở máy (Patients with mechanical ventilation): Thay đổi đường kính của IVC giúp tiên lượng đáp ứng với việc bù dịch 1. Đánh giá TM chủ dưới (IVC)
  • 79.
    Caval Index =IVC collapsibility index = [Maximum IVC dimension- Minimum IVC dimension] X 100 Maximum IVC dimension Hepatic vein
  • 80.
    Low Central VenousPressure High Central Venous Pressure
  • 81.
    Đặc biệt cầnphân biệt giữa TM chủ dưới (IVC) và ĐM chủ bụng (Abdominal Aorta) trên siêu âm 1. Đánh giá TM chủ dưới (IVC) IVC Abdominal aorta Direction Goes through the liver Goes through the liver Relationships with heart Merges with RA Continues down the heart Flow Continuous, changes with respiration Pulsatile Walls Not visible Hyperechoic Respiratory variations (+) or (-) No Collateral vessels Sub-hepatic veins merge with the IVC Not visible from this approach
  • 82.
    - Đường Bxuất hiện khi có sự tụ dịch trong mô kẽ -phế nang (phù phổi cấp, viêm phổi, bệnh phổi mô kẽ, dập phổi,…) - Tuy nhiên, nếu thấy 1-3 đường B có thể là bình thường vì đường B có thể có khi ta siêu âm ở vùng sau dưới trên BN nằm lâu - Đánh giá kích thước, khoảng cách giữa các đường B có thể giúp theo dõi và tiên lượng bệnh:  Khoảng cách # 7mm  khả năng là phù mô kẽ  Khoảng cách # 3mm  khả năng là phù phế nang  Khoảng cách càng ngắn thì bệnh càng nặng 2. Đường B (B-line)
  • 83.
     Bước 3:Khảo sát “PIPES – Ống dẫn” Các mặt cắt cơ bản - Đối với ĐM chủ: a) Mặt cắt trên ức b) Mặt cắt cạnh ức c) Mặt cắt vùng thượng vị d) Mặt cắt trên rốn - Đối với TM sâu: a) Mặt cắt vùng bẹn đùi b) Mặt cắt vùng khoeo Đánh giá 1. “Ống dẫn” bị phình vỡ?  Cây ĐM chủ có phình/bóc tách? 2. “Ống dẫn” bị tắc nghẽn?  Có huyết khối TM sâu chi dưới?
  • 84.
    - Động mạchchủ gồm đoạn ngực và đoạn bụng chậu - Khảo sát ĐM chủ đoạn ngực là 1 kỹ năng khó  hiện tại ở cấp cứu tập trung khảo sát ĐM chủ đoạn bụng-chậu  sử dụng các mặt cắt trục dọc/ngang di chuyển từ vùng thượng vị  vùng chậu a) Khảo sát Động mạch chủ đoạn bụng-chậu - Khoảng 90% phình ĐM chủ bụng nằm ở đoạn dưới chỗ chia ĐM thận (khoảng 75% vỡ sau phúc mạc) - Gọi là phình khi:  Đường kính ĐM chủ bụng > 3cm  Đường kính ĐM chậu chung > 1,5cm  Nếu huyết động BN không ổn định kèm SA nghĩ có phình ĐM chủ thì nên nghĩ đến nứt vỡ ĐM chủ
  • 85.
    Phân biệt hìnhảnh ĐM chủ và TM chủ dưới trên siêu âm (không Doppler)? a) Khảo sát Động mạch chủ ĐM chủ TM chủ Thành mạch Dày, bắt echo sang hơn Mỏng, bắt echo ít hơn Đập theo nhịp mạch? (+) (-) Đè ép được? (-) (+) Thay đổi theo hô hấp (-) (+) Trên mặt cắt ngang Dạng tròn đều Hình bầu dục
  • 86.
    a) Khảo sátĐộng mạch chủ
  • 87.
    a) Khảo sátĐộng mạch chủ
  • 89.
    b) Khảo sátHuyết khối TM sâu chi dưới - Huyết khối TM sâu thường chủ yếu ở chi dưới > chi trên - Huyết khối TM sâu liên quan đến bệnh lý Thuyên tắc phổi  dễ bỏ sót - Khám lâm sàng có độ chính xác kém trong chẩn đoán huyết khối TM sâu - Có nhiều phương pháp để chẩn đoán  siêu âm là phương pháp dễ áp dụng tại cấp cứu  Cơ sở chẩn đoán: không thể đè xẹp TM bằng đầu dò là bằng chứng gián tiếp là có huyết khối
  • 90.
    b) Khảo sátHuyết khối TM sâu chi dưới - Tại khoa CC, chủ yếu khảo sát đoạn TM sâu từ vùng bẹn đến hố khoeo vì dễ thực hiện và luyện tập - Việc khảo sát toàn bộ hệ TM sâu chi dưới rất khó (đặc biệt là TM bắp chân), tốn thời gian, khó huấn luyện
  • 91.
    b) Khảo sátHuyết khối TM sâu chi dưới b.1. Thực hiện tại nếp bẹn CFA = Common Femoral Artery CFV = Common Femoral Vein GSV = Greater Saphenous Vein Ta có thể để BN ở tư thế nằm đầu cao 450 để TM giãn hơn  dễ khảo sát
  • 92.
    b) Khảo sátHuyết khối TM sâu chi dưới b.2. Di chuyển từ nếp bẹn đến hố khoeo - Ta di chuyển đầu dò ra xa đến chỗ chia đôi thành TM đùi nông và TM đùi sâu - Lưu ý: nên đè ép ở vị trí cách chỗ chia # 5cm SFA = Superficial Femoral Artery DFA = Deep Femoral Vein SFV = Superficial Femoral Vein
  • 93.
    b) Khảo sátHuyết khối TM sâu chi dưới b.3. Thực hiện tại hố khoeo Tư thế BN: gối gập nhẹ, hông hơi xoay ra ngoài
  • 94.
  • 95.
    a) Khảo sátĐộng mạch chủ Khảo sát đường kính ĐM chủ phải đúng kỹ thuật! Some abdominal aortic aneurysms may contain thrombi. Careful attention must be made to include the thombus (blue arrow) in the diameter measurement. The yellow arrow indicates the correct diameter measurement. The orange arrow does not include the thrombus and hence is an incorrect measurement
  • 96.
    a) Khảo sátĐộng mạch chủ Phình động mạch chủ
  • 97.
    a) Khảo sátĐộng mạch chủ Intimal flap 2 cavities Bóc tách động mạch chủ 1. Lòng giả 2. Mảng nội mô đập 3. Có dòng máu xoáy trong lòng ĐM còn lại do bị hẹp (SA Doppler)
  • 98.
    b) Khảo sátHuyết khối TM sâu chi dưới
  • 99.
  • 101.
    - Cần cónền tảng cơ bản vững về siêu âm, đặc biệt là siêu âm tim và mạch máu - Nếu không có máy siêu âm tim chuyên biệt, 1 số đánh giá về chức năng co bóp của tim phụ thuộc vào kinh nghiệm “quan sát” bằng mắt của người siêu âm  cần phải được luyện tập thường xuyên b.2.3.Khó khăn của RUSH protocol
  • 103.
    Nội dung 3 Siêuâm hướng dẫn điều trị tại Cấp cứu
  • 104.
    a. Siêu âmhướng dẫn điều trị tại cấp cứu? - Ngoài chức năng giúp ích trong việc chẩn đoán xác định bệnh nhanh tại cấp cứu, siêu âm còn giúp cho người bác sĩ điều trị thực hiện: • Các thủ thuật điều trị : chọc tháo dịch (màng tim/màng phổi/ổ bụng), hướng dẫn đặt CVC, đặt NKQ, sinh thiết mô,….…. • Đánh giá và theo dõi điều trị: đánh giá đáp ứng bù dịch (Fluid responsiveness)  giảm tai biến, rút ngắn thời gian làm thủ thuật - Hiện tại, tại khoa Cấp cứu, siêu âm được áp dụng nhiều trong các thủ thuật chọc dò dịch tự do và đánh giá đáp ứng bù dịch
  • 105.
    b. Siêu âmhướng dẫn chọc tháo dịch màng phổi Siêu âm giúp cho ta:  Đánh giá lượng dịch màng phổi  vị trí chọc tháo thuận lợi  Xác định khoảng cách kim chọc tháo
  • 107.
    c. Siêu âmhướng dẫn chọc tháo dịch màng tim Siêu âm giúp cho ta:  Xác định vị trí chọc dò thuận lợi nhất, gần nhất có thể, lấy được lượng dịch nhiều nhất có thể  Tránh làm tổn thương các cơ quan xung quanh  Có thể ước đoán lượng dịch màng ngoài tim dựa vào: • Khoảng cách giữa 2 lá của khoang màng tim (độ dày lớp dịch) • Kiểu lan tỏa của dịch màng tim Độ dày của lớp dịch Kiểu lan tỏa Lượng dịch ước lượng ≤ 1cm Chủ yếu ở phía sau < 100mL ≤ 1cm Bọc quanh tim hoặc chỉ có 1 ít xung quanh mạch máu lớn 100 – 500mL > 1cm (ở mọi vị trí) Lan tỏa quanh tim và lan tới xung quanh mạch máu lớn > 500mL
  • 110.
    d. Siêu âmhướng dẫn chọc tháo dịch ổ bụng Siêu âm giúp cho ta:  Xác định vị trí chọc dò thuận lợi nhất, gần nhất có thể, lấy được lượng dịch nhiều nhất có thể  Chú ý tránh các vị trí mạch máu
  • 111.
    e. Siêu âmđánh giá đáp ứng của bù dịch - Để đánh giá đáp ứng bù dịch trên lâm sàng tại cấp cứu, phương pháp đánh giá IVC trên siêu âm là 1 phương thức đơn giản, nhanh, có thể lặp lại và có giá trị - Tuy nhiên, cần nhớ, việc chỉ sử dụng trị số IVC đơn lẻ không đánh giá đúng và đầy đủ đáp ứng bù dịch của bệnh nhân
  • 113.
    Schefold JC, StormC, Bercker S, Pschowski R, Oppert M, Krüger A, Hasper D. J Emerg Med. 2010 Jun;8(5):632-7. Inferior vena cava diameter correlates with invasive hemodynamic measures in mechanically ventilated intensive care unit patients with sepsis.
  • 116.
    Kết luận - Siêuâm là 1 công cụ rất hữu ích trong việc chẩn đoán và điều trị các bệnh nhân tại cấp cứu, đặt biệt là các trường hợp bệnh nặng/nguy kịch - Dù có các protocol hướng dẫn nhưng siêu âm vẫn chịu ảnh hưởng của người thực hiện cần thực hành thường xuyên “ Siêu âm không bao giờ nói dối. Chỉ có chúng ta mới tự dối mình khi chúng ta diễn ta sai lầm tiếng nói của siêu âm hoặc khi ta đòi hỏi những gì ngoài khả năng của siêu âm – Atonine Béclère”
  • 117.

Editor's Notes