ON CALL
RADIOLOGY
Gareth Lewis • Hiten Patel
Sachin Modi • Shahid Hussain
•	 download the ebook to your computer or access it anywhere with an
internet browser
•	 search the full text and add your own notes and highlights
•	 link through from references to PubMed
ISBN: 978-1-4822-2167-1
9 781482 221671
90000
K22247
MEDICINE
On Call Radiology presents case discussions on the most common and important clinical
emergencies and their corresponding imaging findings encountered on-call. Cases are
divided into thoracic, gastrointestinal and genitourinary, neurological and non-traumatic
spinal, paediatric, trauma, interventional and vascular imaging. Iatrogenic complications are
also discussed.
Each case is presented as a realistic clinical scenario and includes a clinical history
and request for imaging. Multi-modality imaging examples and a case discussion on the
diagnosis and basic management, with emphasis on important radiological findings, are
also presented.
This book combines a case-based discussion format with practical advice on imaging
decision making in the acute setting. It also offers guidance on radiology report writing and
techniques, with a focus on relevant positive and negative findings to pass on to referring
clinicians. On Call Radiology offers invaluable knowledge and practical tips for any
on-call radiologist.
ON CALL
RADIOLOGY
K22247_Cover.indd All Pages 5/21/15 1:52 PM
K22247_C001.indd 24 16/05/15 3:06 AM
ON CALL
RADIOLOGY
K22247_C001.indd 24 16/05/15 3:06 AM
ON CALL
RADIOLOGY
Gareth Lewis, MBChB, FRCR, Radiology Registrar, University Hospitals
Birmingham NHS Foundation Trust, Birmingham, UK
Hiten Patel, MBChB, FRCR Radiology Registrar, University Hospitals
Coventry and Warwickshire NHS Trust, Coventry, UK
Sachin Modi, BSc(Hons), MBBS, FRCR, Radiology Registrar, University
Hospitals Birmingham NHS Foundation Trust, Birmingham, UK
Shahid Hussain, MA, MB, BChir, MRCP, FRCR, Consultant Cardiothoracic
Radiologist, Heart of England NHS Foundation Trust, Birmingham, UK
ON CALL
RADIOLOGY
Gareth Lewis, MBChB, FRCR, Radiology Registrar, University Hospitals
Birmingham NHS Foundation Trust, Birmingham, UK
Hiten Patel, MBChB, FRCR Radiology Registrar, University Hospitals
Coventry and Warwickshire NHS Trust, Coventry, UK
Sachin Modi, BSc(Hons), MBBS, FRCR, Radiology Registrar, University
Hospitals Birmingham NHS Foundation Trust, Birmingham, UK
Shahid Hussain, MA, MB, BChir, MRCP, FRCR, Consultant Cardiothoracic
Radiologist, Heart of England NHS Foundation Trust, Birmingham, UK
K22247_FM.indd 1 16/05/15 3:05 AM
CRC Press
Taylor & Francis Group
6000 Broken Sound Parkway NW, Suite 300
Boca Raton, FL 33487-2742
© 2016 by Taylor & Francis Group, LLC
CRC Press is an imprint of Taylor & Francis Group, an Informa business
No claim to original U.S. Government works
Version Date: 20150514
International Standard Book Number-13: 978-1-4822-2168-8 (eBook - PDF)
This book contains information obtained from authentic and highly regarded sources. While all reasonable efforts have
been made to publish reliable data and information, neither the author[s] nor the publisher can accept any legal respon-
sibility or liability for any errors or omissions that may be made. The publishers wish to make clear that any views or
opinions expressed in this book by individual editors, authors or contributors are personal to them and do not neces-
sarily reflect the views/opinions of the publishers. The information or guidance contained in this book is intended for
use by medical, scientific or health-care professionals and is provided strictly as a supplement to the medical or other
professional’s own judgement, their knowledge of the patient’s medical history, relevant manufacturer’s instructions and
the appropriate best practice guidelines. Because of the rapid advances in medical science, any information or advice on
dosages, procedures or diagnoses should be independently verified. The reader is strongly urged to consult the relevant
national drug formulary and the drug companies’ and device or material manufacturers’ printed instructions, and their
websites, before administering or utilizing any of the drugs, devices or materials mentioned in this book. This book
does not indicate whether a particular treatment is appropriate or suitable for a particular individual. Ultimately it is
the sole responsibility of the medical professional to make his or her own professional judgements, so as to advise and
treat patients appropriately. The authors and publishers have also attempted to trace the copyright holders of all mate-
rial reproduced in this publication and apologize to copyright holders if permission to publish in this form has not been
obtained. If any copyright material has not been acknowledged please write and let us know so we may rectify in any
future reprint.
Except as permitted under U.S. Copyright Law, no part of this book may be reprinted, reproduced, transmitted, or uti-
lized in any form by any electronic, mechanical, or other means, now known or hereafter invented, including photocopy-
ing, microfilming, and recording, or in any information storage or retrieval system, without written permission from the
publishers.
For permission to photocopy or use material electronically from this work, please access www.copyright.com (http://
www.copyright.com/) or contact the Copyright Clearance Center, Inc. (CCC), 222 Rosewood Drive, Danvers, MA 01923,
978-750-8400. CCC is a not-for-profit organization that provides licenses and registration for a variety of users. For
organizations that have been granted a photocopy license by the CCC, a separate system of payment has been arranged.
Trademark Notice: Product or corporate names may be trademarks or registered trademarks, and are used only for
identification and explanation without intent to infringe.
Visit the Taylor & Francis Web site at
http://www.taylorandfrancis.com
and the CRC Press Web site at
http://www.crcpress.com
iii
Prefacexiv
Acknowledgementsxv
Abbreviationsxvi
INTRODUCTION
ADVERSE REACTIONS TO CONTRAST MEDIA 1
Systemic reactions1
Renal impairment1
Anaphylactic reaction2
Contrast extravasation2
References and further reading2
CHAPTER 1: THORACIC IMAGING 3
ACUTE AORTIC SYNDROME 3
Radiological investigations3
Radiological findings4
Computed tomography4
Key points6
Report checklist7
Reference7
THORACIC AORTIC INJURY 7
Radiological investigations7
Radiological findings8
Computed tomography8
Plain films8
Key points9
Report checklist9
References9
PULMONARY EMBOLISM 10
Radiological investigations11
Radiological findings13
Computed tomography pulmonary angiogram13
CONTENTS
K22247_FM.indd 3 16/05/15 3:05 AM
Contentsiv
Key points16
Report checklist16
References16
ACUTE PULMONARY OEDEMA 17
Radiological investigations17
Radiological findings17
Computed tomography and plain films17
Key points18
Report checklist19
Reference19
SUPERIOR VENA CAVA OBSTRUCTION 20
Radiological investigations20
Radiological findings20
Computed tomography20
Key points22
Report checklist22
References22
CHAPTER 2: GASTROINTESTINAL AND GENITOURINARY IMAGING 25
ABDOMINAL AORTIC ANEURYSM RUPTURE 25
Radiological investigations25
Radiological findings25
Computed tomography 25
Key points28
Report checklist28
References28
ACUTE GASTROINTESTINAL BLEEDING 29
Radiological investigations29
Radiological findings29
Computed tomography29
Key points32
Report checklist32
References32
BOWEL PERFORATION 32
Radiological investigations32
Radiological findings33
Plain films33
Computed tomography34
Gastroduodenal perforation34
Small bowel perforation34
Large bowel perforation34
Key points35
Report checklist35
K22247_FM.indd 4 16/05/15 3:05 AM
Contents v
BOWEL ISCHAEMIA AND ENTEROCOLITIS 36
Radiological investigations36
Radiological findings37
Computed tomography37
Plain films40
Key points41
Report checklist41
Reference41
LARGE BOWEL OBSTRUCTION 41
Radiological investigations42
Radiological findings42
Plain films42
Computed tomography43
Key points45
Report checklist45
References45
GALLSTONE ILEUS 46
Radiological investigations46
Radiological findings46
Plain films 46
Computed tomography47
Key points48
Report checklist48
References48
SMALL BOWEL OBSTRUCTION 49
Radiological investigations49
Radiological findings49
Plain films49
Computed tomography50
Adhesions51
Hernias51
Crohn’s disease51
Neoplasia51
Radiation enteritis52
Gallstone ileus52
Key points52
Report checklist52
References52
GASTRIC VOLVULUS 52
Radiological investigations52
K22247_FM.indd 5 16/05/15 3:05 AM
Contentsvi
Radiological findings54
Computed tomography54
Plain films56
Key points56
Report checklist56
References56
OESOPHAGEAL PERFORATION 57
Radiological investigations57
Radiological findings 58
Computed tomography 58
Fluoroscopy58
Plain films 59
Key points 59
Report checklist 59
Reference59
ACUTE APPENDICITIS 60
Radiological investigations 60
Radiological findings 60
Computed tomography 60
Ultrasound62
Key points 62
Report checklist 62
References62
ACUTE PANCREATITIS 64
Radiological investigations 64
Radiological findings 65
Computed tomography 65
Key points 67
Report checklist 67
References67
ACUTE DIVERTICULITIS 68
Radiological investigations 68
Radiological findings 68
Computed tomography 68
Key points 70
Report checklist 70
References70
ACUTE CHOLECYSTITIS 71
Radiological investigations 71
Radiological findings 71
Ultrasound71
Computed tomography 72
K22247_FM.indd 6 16/05/15 3:05 AM
Contents vii
Key points 73
Report checklist 73
Reference73
EMPHYSEMATOUS PYELONEPHRITIS 74
Radiological investigations 74
Radiological findings 74
Computed tomography 74
Ultrasound76
Abdominal plain film imaging 76
Key points 76
Report checklist 77
References77
HYDRONEPHROSIS78
Radiological investigations 78
Radiological findings 78
Ultrasound78
Computed tomography 79
Key points 80
Report checklist 80
RENAL TRANSPLANT DYSFUNCTION 80
Radiological investigations 81
Radiological findings 81
Ultrasound81
Computed tomography 83
Key points 84
Report checklist 84
Reference84
LIVER TRANSPLANT DYSFUNCTION 85
Radiological investigations 85
Radiological findings 85
Ultrasound85
Computed tomography 87
Key points 87
Report checklist 87
References87
TUBO-OVARIAN ABSCESS 88
Radiological investigations 88
Radiological findings 88
Ultrasound88
Computed tomography 88
K22247_FM.indd 7 16/05/15 3:05 AM
Contentsviii
Key points 90
Report checklist 90
Reference90
OVARIAN TORSION 90
Radiological investigations 91
Radiological findings 91
Ultrasound91
Computed tomography 91
Key points 92
Report checklist 92
References92
TESTICULAR TORSION 93
Radiological investigations 93
Radiological findings 93
Ultrasound93
Key point 95
Report checklist 95
Reference95
CHAPTER 3: NEUROLOGY AND NON-TRAUMATIC SPINAL IMAGING 97
STROKE97
Radiological investigations 97
Radiological findings 98
Computed tomography 98
Magnetic resonance imaging 100
Key points 102
Report checklist 102
References102
CAROTID ARTERY DISSECTION 102
Radiological investigations 102
Radiological findings 103
Computed tomography 103
Magnetic resonance imaging 104
Key points 104
Report checklist 104
Reference104
SUBARACHNOID HAEMORRHAGE 105
Radiological investigations 105
Radiological findings 106
Computed tomography 106
Key points 110
Report checklist 110
K22247_FM.indd 8 16/05/15 3:05 AM
Contents ix
SUBDURAL HAEMATOMA 110
Radiological investigations 110
Radiological findings 111
Computed tomography 111
Key points 112
Report checklist 112
EXTRADURAL HAEMATOMA 113
Radiological investigations 113
Radiological findings 114
Computed tomography 114
Key points 114
Report checklist 114
CEREBRAL VENOUS SINUS THROMBOSIS 115
Radiological investigations 115
Radiological findings 115
Computed tomography 116
Magnetic resonance imaging 118
Key points 118
Report checklist 118
Reference118
HYDROCEPHALUS120
Radiological investigations 120
Radiological findings 120
Computed tomography 120
Plain films 122
Key points 123
Report checklist 123
Reference123
VENTRICULOPERITONEAL SHUNT MALFUNCTION 123
Radiological investigations 124
Radiological findings 124
Plain films 124
Computed tomography 125
Key points 126
Report checklist 126
INTRACRANIAL ABSCESS AND SUBDURAL EMPYEMA 126
Radiological investigations 127
Radiological findings 127
Computed tomography 127
Magnetic resonance imaging 129
Key points 130
Report checklist 130
K22247_FM.indd 9 16/05/15 3:05 AM
Contentsx
HERPES SIMPLEX ENCEPHALITIS 131
Radiological investigations 132
Radiological findings 132
Magnetic resonance imaging 132
Computed tomography 132
Key points 133
Report checklist 133
Reference133
SPINAL CORD COMPRESSION AND CAUDA EQUINE SYNDROME 134
Radiological investigations 134
Radiological findings 134
Magnetic resonance imaging 134
Key points 136
Report checklist 136
SPONDYLODISCITIS137
Radiological investigations 137
Radiological findings 138
Magnetic resonance imaging 138
Plain films 139
Key points 140
Report checklist 140
References140
CHAPTER 4: PAEDIATRIC IMAGING 141
INTUSSUSCEPTION141
Radiological investigations 141
Radiological findings 141
Ultrasound141
Fluoroscopic air enema 142
Plain films 143
Computed tomography 143
Key points 143
Report checklist 143
Reference143
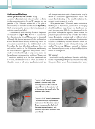
BOWEL MALROTATION 143
Radiological investigations 143
Radiological findings 144
Upper gastrointestinal contrast study 144
Ultrasound144
Computed tomography 145
Plain films 145
K22247_FM.indd 10 16/05/15 3:05 AM
Contents xi
Key points 145
Report checklist 145
MECONIUM ILEUS 145
Radiological investigations 145
Radiological findings 146
Lower gastrointestinal contrast study 146
Plain films 146
Key points 147
Report checklist 147
DUODENAL ATRESIA 147
Radiological investigations 147
Radiological findings 148
Plain films 148
Upper gastrointestinal contrast study 149
Key points 149
Report checklist 149
HYPERTROPHIC PYLORIC STENOSIS 149
Radiological investigations 149
Radiological findings 150
Ultrasound150
Key points 151
Report checklist 151
ORBITAL AND PERIORBITAL CELLULITIS 151
Radiological investigations 151
Radiological findings 152
Computed tomography 152
Key points 153
Report checklist 153
ACUTE OTITIS MEDIA 154
Radiological investigations 154
Radiological findings 154
Computed tomography 154
Key points 155
Report checklist 155
Reference155
PARAPHARYNGEAL AND RETROPHARYNGEAL ABSCESS 156
Radiological investigations 156
Radiological findings 157
Computed tomography 157
Key points 159
Report checklist 159
Reference159
K22247_FM.indd 11 16/05/15 3:05 AM
Contentsxii
CHAPTER 5: TRAUMA IMAGING 161
INTRODUCTION TO IMAGING IN MAJOR TRAUMA 161
Penetrating injury 163
Active haemorrhage 163
Blunt injury 166
Key points 166
Reference166
MAJOR TRAUMA: THORAX 167
Radiological investigations 167
Radiological findings 168
Mediastinal injury 168
Cardiac injury 168
Pneumothorax169
Haemothorax170
Rib fracture and flail chest 171
Lung contusion and lung laceration 172
Diaphragmatic injury 172
Key points 172
Report checklist 172
References172
MAJOR TRAUMA: ABDOMEN AND PELVIS 173
Radiological investigations 173
Radiological findings 174
Solid organ injury 176
Mesenteric and bowel injury 178
Pelvic injury 180
Bladder and urethral injury 180
Key points 182
Report checklist 182
References182
MAJOR TRAUMA: SPINE 182
Radiological investigations 183
Radiological findings 184
Plain films 184
Computed tomography 184
Magnetic resonance imaging 185
Examples of spinal fractures 185
Jefferson fracture 185
Odontoid peg fractures 186
Flexion teardrop fracture 186
K22247_FM.indd 12 16/05/15 3:05 AM
Contents xiii
Facet joint dislocation 187
Burst fracture 188
Key points 189
Report checklist 189
Reference189
CHAPTER 6: INTERVENTIONAL AND VASCULAR IMAGING
AND IATROGENIC COMPLICATIONS 191
ACUTE ARTERIAL ISCHAEMIA 191
Radiological investigations 191
Radiological findings 192
Computed tomography 192
Key points 193
Report checklist 193
IATROGENIC COMPLICATIONS 193
NASOGASTRIC TUBE MISPLACEMENT 193
Radiological investigations 194
Radiological findings 194
Plain films 194
Key points 194
ENDOTRACHEAL TUBE MISPLACEMENT 195
Radiological investigations 195
Radiological findings 196
Plain films 196
Key points 196
ENDOVASCULAR STENT ENDOLEAK 197
Radiological investigations 197
Radiological findings 197
Computed tomography 197
Key points 198
Reference198
COMPLICATIONS OF COMMON FEMORAL ARTERY PUNCTURE 199
Radiological investigations 199
Radiological findings 200
Ultrasound200
Computed tomography 200
Key points 201
Appendix 1: NICE head injury guidelines 203
Appendix 2: Standards of practice and guidance for trauma radiology in severely injured patients 205
Appendix 3: Trauma computed tomography primary assessment 213
Index215
K22247_FM.indd 13 16/05/15 3:05 AM
xiv
Clinical radiology is at the centre of modern medicine
and a high-quality service has repeatedly been shown
to significantly improve patient outcomes. Over the
last 10 years there has been a significant increase in
demand for radiology services, resulting in a 26.5%
increase in radiology examinations in England, from
just over 30 million in 2004/5 to almost 39 million
in 2010/11. Since 2004/5 the number of computed
tomographic (CT) examinations has increased by
86% (Department of Health, 2011). On-call work,
unsurprisingly, has followed this same trend with an
increase in both the number and the complexity of
scans now being performed out of hours as emergency
imaging. Understandably, starting on calls in radiology
can be a very daunting prospect. It marks a turning
point from having very few responsibilities within a
department to being integral to the work of both the
Radiology Department and to the Hospital as a whole.
On-call work presents a myriad of complex issues
including: identifying pathology that may never have
been seen before; coordinating scans and deciding scan
protocols; and communicating with clinicians at all
levels of seniority. Perhaps most importantly, on-call
work carries a significant amount of responsibility since
frequently, a decision on whether a patient needs to
go to theatre or whether he/she requires immediate
intervention will be dependent upon the findings of the
radiology examination.
PREFACE
The purpose of this book is to try to assist junior
radiology trainees who are starting their on calls.
We have presented here the commonest cases that
trainees are likely to encounter in an on-call situation.
An almost limitless number of cases could have been
included, since virtually anything can present in an
on-call situation. We have, however, tried to present
some of the most common cases as well as a host of tips
on how to approach emergency imaging situations.
Multiple images, as well as tips about reporting, have
been included with each case. The majority of on-call
work is CT work, and for this reason we have included
CT scan protocols where appropriate. Although
Radiology Departments have standard protocols for
imaging of non-emergency work, the out of hours types
of pathology sometimes require fine tuning of these
protocols to ensure that appropriate sequences have
been obtained.
We hope that this text will assist junior radiology
trainees in gaining some confidence as they start their
on calls and will help assuage some of their fears.
Gareth Lewis
Hiten Patel
Sachin Modi
Shahid Hussain
K22247_FM.indd 14 16/05/15 3:05 AM
xvACKNOWLEDGEMENTS
The authors acknowledge the following colleagues who kindly contributed images for use in this book:
Dr Ben Miller, Dr John Henderson, Dr Sarah Cooper, Dr Michelle Christie-Large, Dr Helen Williams,
Dr Adam Oates, Dr Martin Duddy, Dr Peter Riley, Dr Peter Guest and Dr Osama Abulaban. Special thanks
to Eloise Lewis, who provided the medical illustrations.
Gareth Lewis: To my wife Eli, thanks for all your help and support.
Hiten Patel: Special thanks to my parents for their continued support.
Sachin Modi: For my Mum, Dad and my wife Kaveeta.
Shahid Hussain: To my family and friends.
K22247_FM.indd 15 16/05/15 3:05 AM
xvi
HSV	 herpes simplex virus
Hu	 Hounsfield unit
IMA	 inferior mesenteric artery
IR	 interventional radiologist
ISS	 Injury Severity Score
IV	 intravenous/intravenously
IVC	 inferior vena cava
JVP	 jugular venous pressure
LBO	 large bowel obstruction
LP	 lumbar puncture
LV	 left ventricle
MIP	 maximum intensity projection
MRA	 magnetic resonance angiography
MRI	 magnetic resonance imaging
MTC	 major trauma centre
NG	 nasogastric (tube)
NICE	 National Institute for Health and Clinical
	Excellence
NPSA	 National Patient Safety Agency
PA	 posterior-anterior
PACS	 picture archiving and communication 		
	system
PCWP	 pulmonary capillary wedge pressure
PI	 pyloric index
RI	 Resistive Index
SAH	 subarachnoid haemorrhage
SBO	 small bowel obstruction
ABBREVIATIONS
AAA	 abdominal aortic aneurysm
AOM	 acute otitis media
AP	 anterior-posterior
ARDS	 acute respiratory distress syndrome
AXR	 abdominal radiograph
BTS	 British Thoracic Society
CAD	 carotid artery dissection
CFA	 common femoral artery
CIN	 contrast-induced nephropathy
CMD	 corticomedullary differentiation
CNS	 central nervous system
CSF	 cerebrospinal fluid
CT	 computed tomography
CTA	computed tomography angiography/
angiogram
CTPA	computed tomography pulmonary
angiography/angiogram
CTSI	 computed tomography Severity Index
CXR	 chest radiograph
DJ	 duodenojejunal (junction)
EDH	 extradural haematoma
ET	 endotracheal (tube)
EVAR	 endovascular aneurysm repair
EVD	 external ventricular drain
GCS	 Glasgow Coma Score
GFR	 glomerular filtration rate
GI	 gastrointestinal
HIV	 human immunodeficiency virus
HPS	 hypertrophic pyloric stenosis
K22247_FM.indd 16 16/05/15 3:05 AM
Abbreviations xvii
SDH	 subdural haematoma
SMA	 superior mesenteric artery
SMV	 superior mesenteric vein
SVC	 superior vena cava
SVS	 slit ventricle syndrome
TCC	 transitional cell carcinoma
TIA	 transient ischaemic attack
TIPS	 transjugular intrahepatic portosystemic 		
	shunt
VP	 ventriculoperitoneal (shunt)
K22247_FM.indd 17 16/05/15 3:05 AM
K22247_FM.indd 18 16/05/15 3:05 AM
1
that radiographers and radiologists involved in the
administration of IV contrast have up to date life
support training; however, this should not deter them
from involving the on-call medical emergency team in
appropriate situations.
Systemic reactions
The commonest side-effects of acute contrast reactions
include nausea, vomiting and urticaria. Following
injection of contrast media, patients may also develop
a warm flushing sensation. These are usually self-
limiting and generally do not pose any danger for the
patient, although it is worthwhile documenting such
reactions in the medical records for future reference.
In some patients, symptomatic relief may be achieved
through the use of antihistamines.
Renal impairment
Contrast-induced nephropathy (CIN) is a deterioration
in renal function following the administration of
contrastmedia(AmericanCollegeofRadiology,2013).
Patients at increased risk of developing CIN include
thosewithpre-existingrenaldysfunction,dehydration,
nephrotoxic medication and multiple doses of contrast
media in a short space of time. In order to reduce the
incidence of complications, patients at risk of CIN
should be discussed with the referring team. This
may include pre-hydration or the decision not to use
contrast. A guide level of an estimated glomerular
filtration rate (GFR) below 60 ml/min has been used
to suggest renal impairment; however, local guidelines
should be used. Certainly the risks versus the benefits
of giving contrast should always be considered.
Following imaging, patients at risk of developing CIN
should have regular observation of renal function
for at least 72 hours to ensure no acute deterioration
in function.
ADVERSE REACTIONS TO
CONTRAST MEDIA
While reactions to IV contrast can be delayed, it is
the immediate, acute reaction that is more relevant to
the on-call radiologist. Reactions to contrast media
vary depending on the type of agent used, with higher
incidences of reactions occurring in ionic as opposed
to non-ionic agents. Although the use of IV contrast
media has become routine, it is always important to
remember that severe reactions, while rare, can occur
(1 in 170,000 people have a fatal reaction, Vamasivayam
et al., 2006). The use of IV contrast is often extremely
beneficial, if not necessary, in the interpretation of
computed tomography (CT) imaging; however, its use
should always be balanced with the potential risks of
contrast reaction.
Essential information that should be sought from
the patient before contrast administration includes
history of:
•	 Previous contrast reaction.
•	 Asthma.
•	 Renal impairment.
•	 Diabetes mellitus.
•	 Metformin therapy.
Clinical features of a contrast medium reaction are
varied, ranging from vomiting and mild urticaria to
acute anaphylaxis and cardiopulmonary collapse.
There are numerous risk factors that may predispose
an individual to contrast reactions, such as previous
reactions to contrast media, pre-existing renal failure,
nephrotoxic medication and advancing age amongst
others (Maddox, 2002). In such instances, radiologists,
in conjunction with the referring team, should
follow the departmental guidelines when making the
decision to use an IV contrast medium. It is important
INTRODUCTION
K22247_Introduction.indd 1 16/05/15 3:15 AM
Introduction2
Patients with progressively worsening symptoms,
reduced tissue perfusion, signs of skin ulceration/
blistering or altered sensation should be reviewed by
the local surgical/plastics team.
References and further reading
American College of Radiology (2013) ACR Manual
on Contrast Media. Version 9. ACR Committee on
Drugs and Contrast Media, pp. 33–41.
Department of Health (2011) Imaging and Diagnostics.
http://webarchive.nationalarchives.gov.uk/
20130107105354/http://www.dh.gov.uk/en/
Publicationsandstatistics/Statistics/Performance
dataandstatistics/HospitalActivityStatistics/
DH_077487.
Maddox TG (2002) Adverse reactions to contrast
material: recognition, prevention and treatment.
Am Fam Physician 66: 1229–1234.
Resuscitation Council (UK) (2010) Advanced life
support algorithm. In: Adult Advanced Life Support.
www.resus.org.uk/pages/alsalgo.pdf. Accessed on
23rd May 2014.
Royal College of Radiologists (2010) Standards for
Intravascular Contrast Agent Administration to
Adult Patients, Second Edition. Royal College of
Radiologists, London.
Vamasivayam S, Kalra MK, Torres WE et al. (2006)
Adverse reactions to intravenous iodinated
contrast media: a primer for radiologists. Emerg
Radiol 12: 210–215.
Anaphylactic reaction
An anaphylatic reaction is the most serious and life-
threatening side-effect of contrast administration
and requires immediate recognition and treatment.
Symptoms include bronchospasm and hypotension,
whichmayleadtocardiopulmonaryarrest.Management
of anaphylaxis should follow the advanced life support
algorithm and involve the medical emergency team
when appropriate (Resuscitaion Council, 2010).
If the anaphylactic reaction is mild (e.g. scattered,
protracted urticaria), an antihistamine orally,
intramuscularly or IV should be considered. Mild
bronchospasm can be treated with oxygen by mask
(6–10 litres/min)andabeta-2agonistinhaler(2–3 puffs).
If moderate (e.g. profound urticaria, laryngeal oedema
orbronchospasmnotresponsivetoinhalers),adrenaline
1:1000 (0.1–0.3 ml intramuscularly) may be required.
If severe, the resuscitation team should be called while
all the above measures are undertaken.
Contrast extravasation
Extravasation of contrast medium can occur with
both hand and pump injections and usually occurs
into the subcutaneous tissues. Patients may be
asymptomatic or develop erythema, swelling and
pain at the site of extravasation. Most cases are self-
limiting and do not require further intervention;
however, compartment syndrome or skin necrosis
may occur on rare occasions. Elevation of the limb
and the use of ice packs may help to ease symptoms.
K22247_Introduction.indd 2 16/05/15 3:15 AM
3
Chapter 1
THORACIC IMAGING
ACUTE AORTIC SYNDROME
Acute aortic syndrome encompasses three closely
related pathologies: aortic dissection, intramural
haematoma and penetrating atherosclerotic ulcer. The
wall of the aorta consists of three layers: the innermost
intima, the middle media and the outermost adventitia.
Dissections can be caused both by an intimal tear
leading to propagation of blood within the media or by
primary intramural haematoma with resultant intimal
perforation (Macura et al., 2003). As this progresses,
an intimal flap is lifted away from the media, resulting
in two channels within the aortic lumen, referred to as
the true and false lumens. Propagation of the flap and
false lumen thrombosis can ultimately result in end-
organ ischaemia. Intramural haematoma is thought
to be the result of spontaneous bleeding of the vasa
vasorum into the media. A penetrating atherosclerotic
ulcer is defined as ulceration within atherosclerosis
that herniates into the media. This can also result in
intramural haematoma. Penetrating aortic ulcers and
intramural haematoma can both progress to aortic
dissection (Macura et al., 2003).
Spontaneous aortic dissection is usually seen in the
middle aged to elderly population, with spontaneous
cases commonly associated with hypertension and
atherosclerosis. Secondary causes include trauma
(usually preceded by intramural haematoma) and
collagen vascular diseases such as Marfan and
Ehlers–Danlos syndromes; these conditions should
be considered in younger patients presenting with
dissection.
Typical symptoms and signs of aortic dissection
include upper limb blood pressure asymmetry and
‘tearing’ chest pain that radiates through to the back,
although an absence of these findings does not exclude
MODALITY PROTOCOL
CT Unenhanced. No oral contrast. Scan from
just above aortic arch to diaphragm level.
Aortic angiogram: 100 ml IV contrast via
18G cannula, 4 ml/sec. Bolus track centred
on the descending thoracic aorta. Scan from
just above aortic arch to femoral head level.
Table 1.1 Acute aortic syndrome.
Imaging protocol.
the diagnosis. The mortality rate depends on both
the underlying pathology and the extent of aortic
involvement. However, the potential complications
are severe; as such, the on-call radiologist should have a
high index of suspicion for this pathology.
Radiological investigations
CT angiography (CTA), with corresponding
unenhanced imaging to identify intramural
haematoma, has a high sensitivity and specificity for
acute aortic syndrome and is the modality of choice.
The scanning area should extend from just above the
aortic arch to the femoral heads to prevent missing the
true extent of a dissection. Chest plain film imaging
may show signs such as an abnormal aortic contour or
widened mediastinum; however, plain film imaging is
neither sensitive nor specific for aortic dissection. (See
Table 1.1.)
K22247_C001.indd 3 16/05/15 3:06 AM
Chapter 14
Radiological findings
Computed tomography
The unenhanced phase should be scrutinised for
intramural haematoma, which appears as crescenteric
high attenuation material within the aortic wall. This
is best appreciated on a narrow image window setting
(Figure 1.1a) and can be difficult to appreciate on the
enhanced phase (Figure 1.1b). On contrast enhanced
CT aortography, intramural haematoma presents as a
low attenuation crescent or circumferential opacity (in
relation to the IV contrast) and can be confused with
non-calcified atherosclerotic disease.
When interpreting contrast enhanced CT
aortography,itisvitalthattheaortaisscrutinisedinaxial,
sagittalandcoronalplaneswithappropriatewindowing
(width 400, level 100), which aids visualisation of
the dissection flap (Figure 1.2a). This appears as a
serpiginous, linear filling defect extending across the
lumenoftheopacifiedaorta,dividingtheaortaintotwo
channels, the true and false lumen. Inspecting the aorta
onsofttissuewindowsettingsalonecanresultinafalse-
negativeresult,sincethedissectionflapcanbeobscured
by adjacent high attenuation IV contrast (Figure 1.2b).
Delineation of the true and false lumens can be helpful
as a guide to potential surgical or interventional
management. The true lumen is defined as the lumen
that is supplied by the aortic root. Generally, the
true lumen is smaller, demonstrates denser contrast
opacificationandissurroundedbyintimalcalcification,
whereas the false lumen is larger, less dense and in time
can become thrombosed. Distinguishing a thrombosed
falselumen(whichcanbeseeninaorticdissection)from
atherosclerotic intraluminal thrombus can be difficult;
the former may displace intimal calcifications away
from the aortic wall, a useful distinguishing feature.
The most cranial and caudal aspect of a dissection
flap/intramural haematoma should be identified;
this may involve re-scanning the patient if the extent
of dissection is not fully imaged initially. The major
branches of the aorta arch should be scrutinised;
propagationintotheaorticarchcanresultinthrombosis
and cerebral ischaemia (Figure 1.3). Involvement of
the aortic root may threaten the coronary arteries
and can rupture into the pericardium, resulting in
haemopericardium and cardiac tamponade; the former
is suggested by intermediate to high density (25 Hu)
fluid in the pericardial space (Figure 1.4). Cardiac
tamponade can occur with even a small volume of fluid
and is more dependent on the rate of accumulation.
Secondary signs (e.g. flattening/bowing of the LV
septum,refluxofcontrastintotheIVC/azygousveinand
distension of the SVC/IVC) can be unreliable. Clinical
review looking for a raised JVP and pulsus paradoxus
and further investigation with echocardiography is
Figures 1.1a, b  Axial images: unenhanced and IV contrast enhanced scans of the aortic arch in the arterial
phase. The unenhanced image demonstrates a hyperdense crescenteric rim outlining the aortic arch, representing
intramural haematoma (arrow). On the contrast enhanced image, this is difficult to appreciate.
(a) (b)
K22247_C001.indd 4 16/05/15 3:06 AM
5Thoracic imaging
Figure 1.3  Coronal image: IV contrast enhanced
CT scan of the thorax in the arterial phase. A dissection
flap can be seen extending from the aortic root and
involving the brachiocephalic trunk, which may
compromise distal blood flow into the right common
carotid artery and right subclavian artery.
Figure 1.4  Axial image: IV contrast enhanced CT scan
of the thorax in the arterial phase. A dissection flap is
shown within the aortic root. In addition, hyperdense
material is seen in the pericardium consistent with
haemopericardium (arrow). This may occur in coronary
artery rupture as a result of dissection.
Figures 1.2a, b  Axial images: IV contrast enhanced CT scans of the thorax in the arterial phase. There is a
serpiginous, linear structure within the aortic arch containing flecks of calcification consistent with an aortic
dissection flap (arrow). Figure 1.2b demonstrates the importance of appropriate window width and level, as the
dissection flap is barely visible without image manipulation.
(a) (b)
K22247_C001.indd 5 16/05/15 3:06 AM
Chapter 16
required. Cardiac motion artefact, which commonly
occurs in the region of the aortic root, can be
misinterpreted as a dissection flap. Familiarity with this
artefact can prevent a false-positive result (Figure 1.5).
The dissection can also extend caudally into the
descending thoracic and abdominal aorta; the coeliac
axis, SMA and IMA should be closely inspected for
involvement. Furthermore, it is useful to identify which
of the main abdominal aortic branch vessels arise from
thefalselumen,astheseareatriskofischaemia.Coeliac
axisinvolvementcanresultin liver or splenic ischaemia,
whichtypicallypresentsasreducedenhancement.SMA
or IMA involvement can result in bowel ischaemia (see
Chapter 2:Gastrointestinalandgenitourinaryimaging,
Bowel ischaemia and enterocolitis).
Both intramural haematoma and aortic dissection
should be classified according to the Stanford or
DeBakey model; this has important prognostic and
management implications (Table 1.2).
LOCATION MANAGEMENT
Stanford A Involving thoracic aorta
proximal to origin of
left subclavian artery.
Surgical.
Stanford B Involving the aorta
distal to the left
subclavian artery.
Conservative.
DeBakey I Involving ascending
aorta, aortic arch and
descending aorta.
Surgical.
DeBakey II Involving ascending
aorta.
Surgical.
DeBakey III Involving descending
aorta only.
Conservative.
Table 1.2  Stanford and DeBakey systems.
Figure 1.5  Axial image: IV contrast enhanced CT scan
of the thorax in the arterial phase. Normal appearance
of the heart. An apparent, linear defect structure can be
seen in the ascending aorta. This is a normal appearance
in non-ECG-gated studies resulting from cardiac
motion during the scan.
A penetrating atherosclerotic ulcer is usually
associated with marked atherosclerotic disease and
appears as a focal bulging or out-pouching of the aortic
wall, usually separating atherosclerotic calcification
(Figure 1.6). Although sometimes subtle, this is an
important finding and can ultimately progress to
intramural haematoma, aneurysm and aortic rupture.
Comparison with previous imaging is useful to help
identify this important pathology.
Key points
•	 Acute aortic syndrome is a spectrum of
abnormality comprising aortic ulceration,
intramural haematoma and dissection.
•	 Contrast enhanced CT is the imaging
modality of choice to characterise aortic
dissection. Unenhanced CT imaging should be
performed to aid identification of intramural
haematoma.
K22247_C001.indd 6 16/05/15 3:06 AM
7Thoracic imaging
•	 Careful windowing is required to identify
dissection flaps. Intramural haematoma appears as
crescenteric high attenuation material within the
aortic wall on the unenhanced phase.
Report checklist
•	 Presence or absence of intramural haematoma.
•	 Cranial and caudal extent of the dissection flap.
•	 Patency of great vessels/coeliac axis/SMA/IMA/
renal arteries.
•	 Presence of pericardial blood and any signs of
cardiac tamponade.
•	 Classification.
Reference
Macura JK, Corl FM, Fishman EK et al. (2003)
Pathogenesis in acute aortic syndromes: aortic
dissection, intramural hematoma, and penetrating
atherosclerotic aortic ulcer. Am J Roentgenol
181:309–316.
Figure 1.6  Axial image: IV contrast enhanced
CT scan of the thorax in the arterial phase. A small
outpouching of contrast can be seen through a defect
in the distal aspect of the aortic arch, representing an
atherosclerotic ulcer (arrow).
THORACIC AORTIC INJURY
Aorticinjuryisamajorconcerninthesettingofprimarily
blunt,butalsopenetrating,thoracictrauma.Traumatic
injury of the thoracic aorta is a spectrum of injury,
including aortic intramural haematoma and dissection,
laceration, pseudoaneurysm (in which a rupture is
containedbyperiaorticsofttissues)andcompleteaortic
transection and rupture (see Acute aortic syndrome
for discussion on aortic intramural haematoma and
dissection). Injury occurs most commonly at regions
of aortic tethering, such as the aortic isthmus. Classic
symptoms and signs include chest pain, dyspnoea
and upper limb hypertension with associated lower
limb hypotension. Ultimately, aortic transection and
rupture result in profound haemodynamic instability.
Mortality rates are high, estimated at 80–90% in
untreated aortic injury (Parmley et al., 1958). As such,
the on-call radiologist should have a high index of
suspicion for aortic injury in this scenario. Accurate and
swift diagnosis is vital, facilitating urgent surgical or
interventional repair.
Radiological investigations
CT is the most sensitive and specific modality for
aortic trauma. Both enhanced and unenhanced phases
should be performed, the latter aiding in identification
of intramural haematoma, although often the precise
protocol is determined by departmental polytrauma
guidelines. Depending on the clinical presentation
of the patient, chest plain film imaging can be used as
an initial screening test, although this modality is not
reliable enough to exclude more subtle injury and can
appear normal in up to 7% of significant aortic injuries
(Fabian et al., 1997). (See Table 1.3.)
MODALITY PROTOCOL
CT Unenhanced. Scan from aortic arch to
diaphragm level.
Aortic angiogram: 100 ml IV contrast via
18G cannula, 4 ml/sec. Bolus track centred
on the aortic arch. Scan from aortic arch to
diaphragm level.
Table 1.3 Thoracic aortic injury.
Imaging protocol.
K22247_C001.indd 7 16/05/15 3:06 AM
Chapter 18
as haematoma. Any loss of definition of the aortic wall
should also be treated with suspicion, as should focal
periaortic fat stranding. Focal filling defects within the
aortic lumen can indicate intraluminal clot and occult
injury, although comparison with previous imaging is
helpful to assess for pre-existing atheroma (Figure 1.9).
Aortic dissection and intramural haematoma can also
be seen in traumatic aortic injury (see Acute aortic
syndrome for these findings). Any suspicion of aortic
injury should be urgently communicated to the
referring team.
Plain films
While chest plain film imaging cannot exclude aortic
injury, it can yield helpful signs. Mediastinal widening
of 8cm canbeanindicator of mediastinal haematoma.
It should be noted that the sensitivity and specificity
of mediastinal widening for aortic injury varies from
53–100% and 1–60%, respectively (Groskin, 1992).
The most common cause of mediastinal haematoma
in trauma is the tearing of small mediastinal veins, as
opposed to aortic injury. Other signs of aortic injury
include an indistinct aortic contour, left apical pleural
cap, tracheal deviation and depression of the left main
bronchus.
Radiological findings
Computed tomography
As with all polytrauma cases, a ‘primary survey’ of
CT imaging should be performed in an attempt to
identify immediately life-threatening aortic injury.
The thoracic aorta should be scrutinised using
multiplanar reformatting and appropriate window
settings (window 400, level 100). Focal aortic
contour deformities (including focal aneurysms)
and mural discontinuity are direct signs of aortic
injury (Figures 1.7a, b). Familiarity with the normal
appearance of the aortic isthmus is essential, since this
canbemistakenforaorticinjury.Activeextravasationof
IVcontrast,commonlyintothemediastinumorpleural
spaces, is indicative of active bleeding.
There are more subtle signs of aortic injury. The
presence of mediastinal haematoma should always
make the on-call radiologist suspicious, although
other causes include venous injury (including the
azygous vein) and vertebral body fractures. Mediastinal
haematoma presents on CT as increased attenuation
material within the mediastinum (30 Hu). Periaortic
haematoma is extremely worrisome for an occult
aortic injury (Figures 1.8a, b). Both residual thymic
tissue and pericardial recesses can be misinterpreted
Figures 1.7a, b  Axial and coronal images: IV contrast enhanced CT scans of the thorax in the arterial phase. Both
cases demonstrate contour abnormality of the thoracic aorta, in keeping with aortic injury (arrows).
(a) (b)
K22247_C001.indd 8 16/05/15 3:06 AM
9Thoracic imaging
References
Fabian TC, Richardson JD, Croce MA et al. (1997)
Prospective study of blunt aortic injury: multicenter
trial of the American Association for the Surgery of
Trauma. J Trauma Acute Care Surg 42:374–380;
discussion 380–383.
Groskin SA (1992) Selected topics in chest trauma.
Radiology 183:605–617.
Parmley LF, Mattingly TW, Manion WC et al. (1958)
Nonpenetrating traumatic injury of the aorta.
Circulation 17:1086–1101.
Figure 1.9  Axial image: IV contrast enhanced CT scan
of the thorax in the arterial phase. There is a filling
defect within the aortic lumen, in keeping with a clot
(arrow). Periaortic haematoma is also present.
Figures 1.8a, 8b  Axial images: IV contrast enhanced CT scans of the thorax in the arterial phase. There is
increased density material in the para-aortic regions consistent with haematoma (arrows). This can be seen tracking
inferiorly in the posterior mediastinum along the descending thoracic aorta. An aortic dissection flap can be seen
within the aortic lumen (1.8a).
Key points
•	 Aortic injury is a life-threatening complication of
both blunt and penetrating trauma.
•	 CT is the modality of choice to investigate aortic
injury but radiological signs may also be seen on
plain film radiographs.
Report checklist
•	 Document the relevant negatives of thoracic
aortic injury, including aortic contour abnormality,
mediastinal haematoma and active extravasation.
•	 Recommend urgent surgical and interventional
radiology opinion.
(a) (b)
K22247_C001.indd 9 16/05/15 3:06 AM
Chapter 110
PULMONARY EMBOLISM
Pulmonaryembolismisamedicalemergency,although
clinical presentation varies according to the degree of
arterial occlusion. Pulmonary emboli most commonly
arise from the deep venous system of the lower
extremities, but emboli can also occur from the upper
limbs, right-sided cardiac chambers and jugular venous
system. There are many risk factors for pulmonary
embolism,namelythosethatproduceahypercoagulable
state (Table 1.4). Occlusion of the pulmonary arteries
causes both respiratory and cardiovascular effects.
Respiratory effects include increased alveolar dead
space, hypoxaemia, hyperventilation and pulmonary
infarction. Cardiovascular effects include an increase
in pulmonary vascular resistance, which also results
in an increase in right ventricular afterload and right
ventricular failure (compounded by reflex pulmonary
arterial constriction). Symptoms and signs include
chest pain, dyspnoea, haemoptysis and collapse. Chest
pain is typically pleuritic in nature, although this classic
type of pain is only usually present in small peripheral
emboli that cause pleural inflammation and irritation.
Hypoxaemia is frequently, but not universally, present
on arterial blood gas analysis. Large emboli causing
proximal occlusion of the pulmonary arterial system
can result in profound haemodynamic instability,
leadingtocardiacarrest.Becauseofthisvariableclinical
presentation, it can be useful to clinically separate cases
into suspected massive and non-massive pulmonary
embolism, which in turn dictates further investigation
and urgency of diagnosis.
It is important to appreciate that radiology only
plays one part in the investigation pathway of suspected
non-massive pulmonary embolism, which also includes
clinical pre-test probability scoring and laboratory
D-dimer analysis. The National Institute for Health
and Clinical Excellence (NICE) in the UK has
published revised guidelines for the investigation and
managementofpulmonaryembolismbasedona2-level
WellsScoreratherthana3-levelWellsScore(Table1.5;
Figure 1.10, NICE, 2012). D-dimer analysis should be
performed only on patients with a low or intermediate
pre-test probability of pulmonary embolism; a normal
D-dimertestinthisscenariohasalmosta100%negative
predictive value and excludes the diagnosis. A positive
MAJOR RISK FACTORS (RELATIVE RISK 5–20)
Surgery (where appropriate
prophylaxis is used, relative
risk is much lower)
Major abdominal/pelvic
surgery.
Hip/knee replacement.
Postoperative intensive care.
Obstetrics Late pregnancy.
Caesarean section.
Puerperium.
Lower limb problems Fracture.
Varicose veins.
Malignancy Abdominal/pelvic.
Advanced/metastatic.
Reduced mobility Hospitalisation.
Institutional care.
Miscellaneous Previous proven venous
thromboembolus.
MINOR RISK FACTORS (RELATIVE RISK 2–4)
Cardiovascular Congenital heart disease.
Congestive cardiac failure.
Hypertension.
Superficial venous
thrombosis.
Indwelling central vein
catheter.
Oestrogens Oral contraceptive.
Hormone replacement
therapy.
Miscellaneous Chronic obstructive
pulmonary disease.
Neurological disability.
Occult malignancy.
Thrombotic disorders.
Long-distance sedentary
travel.
Obesity.
Other (inflammatory
bowel disease, nephrotic
syndrome, chronic dialysis,
myeloproliferative disorders,
paroxysmal nocturnal
haemoglobinuria, Behçet’s
disease).
Table 1.4 Risk factors for venous
thromboembolism (Campbell
et al., 2003).
K22247_C001.indd 10 16/05/15 3:06 AM
11Thoracic imaging
performed within 24 hours (Campbell et al., 2003).
CTPA is now considered the initial imaging modality
of choice in suspected cases of non-massive pulmonary
embolism. The advantages of CTPA include its
relativelyhighsensitivityandspecificity,availabilityout
of hours and ability to identify alternative intrathoracic
pathologies. A negative CTPA study of diagnostic
quality effectively excludes the diagnosis of pulmonary
embolism. Limitations of CT include indeterminate
results owing to suboptimal contrast opacification
within the pulmonary arterial system, and a breathing
artefact, which can both limit interpretation of the
more distal arterial system. Isotope lung scanning
can be used as an alternative or adjunct to CT in the
absence of a co-existing structural lung abnormality,
although this modality is not readily available out of
hours in most centres. While a low probability result
from an isotope scan effectively excludes the diagnosis,
ahighprobabilitystudycanstillyieldasignificantfalse-
positive rate.
Both CTPA and echocardiography are considered
diagnostic for suspected cases of massive pulmonary
embolism. The exact modality often depends on local
protocol; however, it must be emphasised that imaging
CLINICAL FEATURES POINTS
Clinical signs and symptoms of DVT (minimum of leg swelling and pain with palpation of the deep veins) 3
An alternative diagnosis is less likely than PE 3
Heart rate 100 beats per minute 1.5
Immobilisation for more than 3 days or surgery in the previous 4 weeks 1.5
Previous DVT/PE 1.5
Haemoptysis 1
Malignancy (on treatment, treated in the last 6 months, or palliative) 1
Clinical probability simplified score
PE likely More than 4 points
PE unlikely 4 points or less
Adapted from Wells PS, Anderson DR, Rodger M et al. (2000) Derivation of a simple clinical model to categorize patients probability of
pulmonary embolism: increasing the model’s utility with the SimpliRED D-dimer. Thromb Haemost 83:416–420, with permission.
DVT = deep pain thrombosis; PE = pulmonary embolism.
Table 1.5  Two-level Wells score.
result necessitates further radiological investigation to
exclude pulmonary embolism; however, false-positive
results can be seen secondary to infection, malignancy,
pregnancy and recent surgery. D-dimer analysis should
generally not be performed in patients with a high
pre-test probability, since a false-negative result can
occur in over 15% of cases (Stein PD et al., 2007). In
stable patients with suspected non-massive pulmonary
embolism, treatment in the form of anticoagulation
can be started prophylactically prior to radiological
confirmation or exclusion. The investigation pathway
is different for suspected cases of massive pulmonary
embolism, since urgent diagnosis is vital in order to
facilitate urgent thrombolytic therapy.
Radiological investigations
Due to the often non-specific presentation of
pulmonary embolism, all stable patients with suspected
pulmonary embolism should have chest plain film
imaging prior to further imaging. While this modality
cannot confirm the diagnosis, it may diagnose
alternativepathologiesthatcanaccountforthepatient’s
symptoms. British Thoracic Society (BTS) guidelines
recommend that diagnostic imaging should ideally be
K22247_C001.indd 11 16/05/15 3:06 AM
Chapter 112
Figure 1.10  Suggested algorithm for the diagnosis of acute pulmonary embolism (PE).
Patient with signs or symptoms of PE
Other causes excluded by assessment of general medical history, physical examination and chest X-ray
PE suspected
Two-level PE Wells score
PE likely (4 points)
Is CTPA* suitable** and available immediately?
Yes No
Offer CTPA
(or V/Q
SPECT or
planar
scan)
Immediate interim parenteral
anticoagulant therapy
CTPA (or V/Q SPECT or
planar scan)
PE unlikely ( 4 points)
D-dimer test
Was the D-dimer test positive?
Is CTPA* suitable** and available immediately?
Immediate interim
parenteral anticoagulant
therapy
Offer CTPA
(or V/Q
SPECT or
planar
scan) CTPA (or V/Q SPECT or
planar scan)
Was the CTPA (or V/Q SPECT or
planar scan) positive?
Advise the patient it is not likely that he/
she has PE. Discuss the signs and symptoms
of PE, and when and where to seek further
medical help. Take into consideration
alternative diagnoses.
Advise the patient
it is not likely that
he/she has PE.
Discuss the signs
and symptoms of
PE, and when and
where to seek further
medical help. Take
into consideration
alternative
diagnoses.
Consider a
proximal leg
vein ultrasound
scan.
Is deep vein thrombosis suspected?
Was the CTPA (or V/Q SPECT or planar scan) positive?
Yes
Yes
No
No
Diagnose PE and treat
Yes
No
Yes No
Yes No
*Computed tomography pulmonary angiogram
**For patients who have an allergy to contrast media, or who have renal impairment, or whose risk from irradiation is
high, assess the suitability of V/Q SPECT† or, if not available, V/Q planar scan, as an alternative to CTPA.
†Ventilation/perfusion single photon emission computed tomography
K22247_C001.indd 12 16/05/15 3:06 AM
≤
13Thoracic imaging
should never delay urgent thrombolysis if massive
pulmonary embolism is suspected clinically. (See
Table 1.6.)
Radiological findings
Computed tomography pulmonary angiogram
Interpretation of CTPA studies should begin with
an assessment of the quality of the study, namely the
degree of pulmonary artery contrast opacification
and any potential breathing artefact. An average
attenuation of at least 250 Hu is required in the main
pulmonary trunk to accurately diagnose more distal
emboli. Opacification depends on the size and site of
IV access, rate of injection and exact scan protocol;
inspiration just prior to scanning can cause poorly
MODALITY PROTOCOL
CT Pulmonary angiogram: 100 ml IV contrast
via 18G cannula, 4 ml/sec. Bolus track
centred on main pulmonary artery. Scan
from thoracic inlet to diaphragm level.
Table 1.6 Pulmonary embolus.
Imaging protocol.
opacified blood to be introduced into the pulmonary
arterial system, resulting in the mixing and dilution of
contrast. The precise sensitivity of CTPA studies varies
according to both the quality of contrast opacification
and the degree of artefact (e.g. breathing). It may be the
case that contrast opacification centrally is adequate;
however, emboli more distal in the pulmonary arterial
system cannot be excluded. It is good practice to
quantify to what arterial level emboli can be excluded:
lobar, segmental or subsegmental.
Thepulmonaryarterialsystemshouldbescrutinised
systematically using multiplanar reformatting. A
rounded intraluminal filling defect within a pulmonary
artery, which may also cause slight vessel expansion, is
consistentwithanacuteembolus(Figure 1.11).Itcanbe
difficult to appreciate emboli if the pulmonary arteries
are inspected on standard soft tissue window settings,
since they can be obscured by the dense IV contrast.
Inspection on a relatively wide window setting (width
700, level 100) can alleviate this. A gradual decrease
in opacification of the distal segmental and sub-
segmental pulmonary arteries on a suboptimal study
should not be confused with multiple emboli. Poorly
opacified pulmonary veins can also be misinterpreted
as emboli within the arterial system. Findings seen
in association with pulmonary embolism include
Figure 1.11  Axial image: IV contrast enhanced
CT pulmonary angiogram. A filling defect is outlined by
intravenous contrast in the right main pulmonary artery
consistent with acute embolus (arrow).
K22247_C001.indd 13 16/05/15 3:06 AM
Chapter 114
narrowing due to recanalisation (Figures 1.14). A focal
linear intraluminal filling defect within a pulmonary
artery is suggestive of an arterial web, which can be seen
as a result of chronic emboli. Secondary pulmonary
artery hypertension can result from multiple chronic
emboli. The main sign of pulmonary hypertension
on CT is enlargement of the main pulmonary artery
(greater than 34 mm or larger than the corresponding
ascendingaorta;Figure 1.15).Mosaicattenuationofthe
lung parenchyma can also be seen in cases of chronic
pulmonary emboli, although this appearance has a wide
differential diagnosis (Figure 1.16).
pleural effusions, atelectasis and pulmonary infarcts.
The latter present as peripheral wedge-shaped areas of
consolidation,which inthesubacutephasemaycavitate
(Figures 1.12a–c, 1.13).
Chronic pulmonary embolism can provide a
diagnosticchallengefortheradiologist,althoughseveral
findings can be observed that imply this diagnosis.
Calcification of a filling defect suggests chronicity.
Otherradiologicalsignsincludefillingdefectsthatcause
narrowing (as opposed to expansion), eccentric filling
defects that form an obtuse (as opposed to acute) angle
with the pulmonary artery wall and an abrupt artery
Figures 1.12a–c  Axial images: IV contrast enhanced
CT scans of the thorax in the arterial phase. Peripheral,
wedge-shaped area of consolidation shown. Over time,
the area of consolidation develops an irregular, thick
rind with areas of cavitation centrally due to infarction.
Note the associated pulmonary arterial filling defects in
1.12b and 1.12c consistent with pulmonary emboli.
(a) (b)(b)
(c)
K22247_C001.indd 14 16/05/15 3:06 AM
15Thoracic imaging
Figure 1.13  PA chest radiograph. Area of peripheral
consolidation at the left mid zone representing an area
of peripheral lung infarction.
Figure 1.14  Axial image: IV contrast enhanced
CT scan of the pulmonary trunk in the arterial phase.
There are features of chronic pulmonary emboli with
recannalised embolic material seen along the walls of the
right main pulmonary artery (arrow).
Figure 1.15  Axial image: IV contrast enhanced
CT pulmonary angiogram. The diameter of the main
pulmonary trunk is greater than the diameter of the
ascending aorta at that same level, suggesting pulmonary
hypertension. The cause is chronic pulmonary emboli
completely occluding the right main pulmonary artery.
Figure 1.16  Axial image: IV contrast enhanced
CT scan of the thorax in the arterial phase. Mosaic
attenuation of the right upper lobe is shown as a result
of abnormal pulmonary perfusion in chronic embolic
disease.
K22247_C001.indd 15 16/05/15 3:06 AM
Chapter 116
CT studies can also yield information regarding
the severity of cardiovascular compromise secondary
to pulmonary emboli. Right ventricular dysfunction
and adverse outcome is indicated by a short-axis right
ventricle:left ventricle ratio of greater than 1.5 or
convex bowing of the interventricular septum towards
the left (Figure 1.17). This is an important finding and
if present may necessitate thrombolysis, although this
ultimately depends on the clinical condition of the
patient.
Whenever the scan is negative it is important to look
foranothercauseforchestpainorshortnessofbreathto
explainthepatient’ssymptoms.Theaortaandtheheart
should be assessed for aortic pathology or myocardial
infarction. A septal infarct on a CTPA scan is shown
(Figure 1.18).
Key points
•	 Radiology is only a part of the investigation
pathway for pulmonary embolism, which includes
pre-test probability scoring and D-dimer analysis
where appropriate.
•	 CTPA is the out of hours imaging modality of
choice in the investigation of pulmonary emboli.
•	 A Hu of greater than 250 in the main pulmonary
artery is required for an optimal study.
Figure 1.17  Axial image: IV contrast enhanced
CT scan of the thorax in the arterial phase. The right
ventricle:left ventricle ratio is increased with bowing of
the interventricular septum to the left.
Figure 1.18  Axial image: IV contrast enhanced
CT scan of the thorax in the arterial phase. There is
focal hypoenhancement in the LV septum suggestive of
an acute septal infarct (arrow).
•	 Pulmonary emboli appear as intraluminal filling
defects on CTPA.
•	 The severity of cardiovascular compromise
secondary to a large pulmonary embolus is best
assessed by the short-axis right ventricle:left
ventricle ratio.
Report checklist
•	 The presence or absence of any evidence of right
heart strain.
References
Campbell IA, Fennerty A, Miller AC (2003) British
Thoracic Society guidelines for the management
of suspected acute pulmonary embolism. Thorax
58:47–484.
National Institute of Health and Care Excellence
(NICE) Clinical Guideline 144 (2012) Venous
thromboembolic diseases: the management of
venous thromboembolic diseases and the role of
thrombophilia testing.
Stein P, Woodard P, Weg J et al. (2007) Diagnostic
pathways in acute pulmonary embolism:
recommendations of the PIOPED II Investigators.
Radiology 242:15–21.
K22247_C001.indd 16 16/05/15 3:06 AM
17Thoracic imaging
auscultation. Co-existing signs, such as peripheral
pitting oedema and elevated JVP, imply congestive
cardiac failure.
Radiological investigations
Plain films are the first-line modality in the
investigation of pulmonary oedema; additional cross-
sectional imaging is not required to make the diagnosis.
However, because of the non-specific symptoms and
signs of pulmonary oedema, it can often be seen on CT
imaging performed for other indications, and therefore
the common CT findings are discussed subsequently.
Further investigation of the underlying aetiology often
involves cardiology input.
Radiological findings
Computed tomography and plain films
An understanding of the anatomy of the lung is
necessary to appreciate the spectrum of abnormality
seen in pulmonary oedema on both plain films and
CT. The secondary pulmonary lobule is the most
basic unit of pulmonary structure and is bordered
by a surrounding septum of connective tissue. It
is comprised of multiple acini (responsible for gas
exchange) with a central terminal bronchiole and
centrilobular artery. The peripheral septum contains
both the pulmonary veins and lymphatics, although
there is another central lymphatic network that courses
centrallythroughthesecondarypulmonarylobulewith
the bronchovascular bundle. Excess fluid can fill both
thealveolarairspaces(resultingingroundglassopacity,
whichcanprogresstoconsolidation)andthepulmonary
ACUTE PULMONARY OEDEMA
Pulmonary oedema is a medical emergency and can be
defined as an excess of fluid in the extravascular spaces
of the lung, occurring when there is imbalance of fluid
deposition and absorption. This complex balance is
affected by the hydrostatic and oncotic pressures of
the intravascular and extravascular compartments and
capillary membrane permeability (Gluecker et al.,
1999). Thus, any increases in capillary hydrostatic
pressure or membrane permeability can result in
pulmonary oedema.
The many causes of pulmonary oedema can
be broadly divided into cardiac and non-cardiac
(Table 1.7).Commoncausesincludepulmonaryvenous
hypertension secondary to left ventricular failure and
fluid overload. Damage to the capillary bed may also
result in pulmonary oedema. When associated with
respiratory failure and reduced lung compliance, this
is termed acute respiratory distress syndrome (ARDS)
(Table 1.8) and is characterised by a normal pulmonary
capillary wedge pressure (PCWP).
Symptoms and signs of pulmonary oedema include
rapid onset dyspnoea, hypoxia and crepitations on lung
CARDIOGENIC NON-CARDIOGENIC
Left heart failure.
Mitral valve disease.
Fluid overload.
Post-obstructive pulmonary oedema.
Pulmonary veno-occlusive disease.
Near drowning pulmonary oedema/
asphyxiation pulmonary oedema.
ARDS–pulmonary oedema with
diffuse alveolar damage.
Heroin-induced pulmonary oedema.
Transfusion-related acute lung injury.
High-altitude pulmonary oedema.
Neurogenic pulmonary oedema.
Pulmonary oedema following lung
transplantation.
Re-expansion pulmonary oedema.
Post lung volume reduction
pulmonary oedema.
Pulmonary oedema due to air
embolism.
Table 1.7  Causes of pulmonary oedema.
•	 Septicaemia.
•	 Shock.
•	 Burns.
•	 Acute pancreatitis.
•	 Disseminated intravascular coagulation.
•	 Drugs.
•	 Inhalation of noxious fumes.
•	 Aspiration of fluid.
•	 Fat embolism.
•	 Amniotic fluid embolism.
Table 1.8  Causes of ARDS.
K22247_C001.indd 17 16/05/15 3:06 AM
Chapter 118
interlobular septal thickening and visualisation of the
secondary pulmonary lobule (Figures 1.20a, b). This,
in combination with ground glass opacity, may form a
‘crazy paving’ appearance. This has a wide differential
diagnosis, which includes:
•	 Alveolar proteinosis.
•	 Oedema (heart failure/ARDS).
•	 Pulmonary haemorrhage.
•	 Infection (e.g. mycoplasma, Legionella,
Pneumocystis carinii/jiroveci pneumonia).
•	 Organising pneumonia.
•	 Acute interstitial pneumonitis/non-specific
interstitial pneumonitis.
As PCWP continues to increase, alveolar oedema will
occur, appearing as multifocal areas of ground glass and
airspace opacity in perihilar and dependent regions of
the lungs (Figure 1.21).
Distinguishing the underlying cause of pulmonary
oedema is helpful clinically, although often difficult.
Upper lobe blood diversion and Kerley lines are
most suggestive of pulmonary venous hypertension
secondary to cardiac failure. Associated findings such
as cardiomegaly and bilateral pleural effusions are also
suggestive of underlying left ventricular failure. In the
absence of cardiomegaly, other causes of pulmonary
oedema should be considered, such as fluid overload
or ARDS, although it should be noted that acute
myocardial infarction can cause pulmonary oedema
with a normal heart size in the absence of pre-existing
left ventricular failure. It is always useful to look at the
myocardial enhancement and attenuation of the left
ventricle on CT. This should be uniform; however,
in myocardial infarction the myocardium may
demonstrate decreased attenuation. This represents
decreased enhancement in acute infarction and fatty
deposition in chronic infarction (Figure 1.22).
Key points
•	 Pulmonary oedema is a medical emergency and
can cause rapid-onset respiratory failure.
•	 The commonest cause of pulmonary oedema is
pulmonary venous hypertension secondary to left
ventricular failure, although other causes include
fluid overload and ARDS. In the absence of
associated cardiomegaly, non-cardiogenic causes
should be considered.
interstitium (resulting in smooth interlobular septal
thickening).
Interpretation of chest plain films should begin
with an assessment of the quality and radiographic
technique. Anterior-posterior studies can overestimate
the size of the cardiac silhouette due to X-ray beam
divergence. Supine images, as opposed to erect images,
cancauseredistributionofbloodtotheupperzonesand
widening of the vascular pedicle, important signs of left
ventricularfailureandpulmonaryvenoushypertension,
respectively. Poorly inspired images (6 anterior ribs)
can cause crowding of the pulmonary vasculature
and apparent lung congestion. Therefore, a PA chest
radiograph is the best for identifying the appropriate
features.
The spectrum of findings seen on both plain films
and CT in pulmonary venous hypertension can be
correlated with a progressive increase in PCWP. A
mild increase in PCWP results in upper lobe blood
diversion. As PCWP increases, additional findings
such as peribronchial cuffing, loss of vascular definition
and Kerley lines can be seen, all of which indicate
excess fluid in the interstitium (Gluecker et al., 1999)
(Figure 1.19). On CT, the normal interstitium should
be imperceptible. Excess fluid can result in smooth
Figure 1.19  AP portable chest radiograph. Fluid
can be seen in the horizontal fissure, as well as within
the interstitium along the periphery of the thorax.
There is also loss of vascular definition due to venous
hypertension.
K22247_C001.indd 18 16/05/15 3:06 AM
19Thoracic imaging
Report checklist
•	 Presence or absence of associated cardiomegaly.
Reference
GlueckerT,CapassoP,SchnyderPet al.(1999)Clinical
and radiologic features of pulmonary oedema.
Radiographics 19:1507–1531.
•	 Plain films are the first-line modality to investigate
pulmonary oedema. CT is NOT indicated in the
investigation of pulmonary oedema, although this
is frequently seen in acute CT chest examinations.
•	 Loss of vascular definition and Kerley lines imply
interstitial oedema. Alveolar oedema appears as
multifocal airspace opacities in the perihilar and
dependent regions of the lungs.
Figures 1.20a, b  Axial images: IV contrast enhanced CT scans of the thorax. There is a combination of
interlobular septal thickening and patchy ground glass opacity, resulting in a crazy paving appearance.
Figure 1.21  AP chest radiograph. There are bilateral,
perihilar airspace opacities consistent with alveolar
oedema. The costophrenic angles are not visible due to
bilateral pleural effusions.
Figure 1.22  Axial image: IV contrast enhanced
CT scan of the thorax in the arterial phase. There is
subendocardial fat deposition at the LV apex in keeping
with previous myocardial infarction.
(a) (b)
K22247_C001.indd 19 16/05/15 3:06 AM
Chapter 120
familiarity with the wide variation of appearances of the
‘normal’ SVC is important. Any large extrinsic mass
significantly compressing the SVC is easily evident on
CT (Figures 1.23a–c). Difficulty comes in identifying
intrinsic SVC thrombus or tumour infiltration, since
flow in the SVC can often be turbulent. This is made
even more challenging by the dilution of IV contrast
material in the SVC by unenhanced blood from the
IVC, which can simulate intraluminal thrombus.
Thrombus should be suspected in the presence of a
focal filling defect in the SVC lumen, which may also
cause expansion of the lumen with localised stranding
of the adjacent fat. Thrombus may extend into the
brachiocephalic and subclavian veins, which should
also be inspected. Regardless of the cause, the length
and severity of obstruction should be considered; total
occlusion of the SVC lumen may require more urgent
treatmentthanpartialocclusion.Completeobstruction
of the SVC results in a significant hold up of contrast in
the venous system proximal to the level of obstruction.
Knowledge of the potential collateral pathways in
SVC obstruction is necessary in order to assess the
severity and duration of the obstruction. The main
collateral systems include the azygous-hemiazygous
(most important), internal mammary, long thoracic
and vertebral venous pathways (Sheth et al., 2009). In
normalconditions,antegradebloodflowshouldbeseen
SUPERIOR VENA CAVA OBSTRUCTION
Superiorvenacava(SVC)syndromereferstoaspectrum
of clinical findings that occur secondary to obstruction
of the SVC. The most common causes of SVC
obstructionarepulmonaryandmediastinalmalignancy.
Other causes include thrombosis of the SVC secondary
to central line placement, benign mediastinal tumours,
vascular aneurysms, mediastinal fibrosis and radiation
fibrosis. Symptoms and signs include neck and upper
limb swelling, distended superficial veins in the SVC
territory,dyspnoeaandheadache(secondarytocerebral
oedema from impaired venous drainage). The severity
of symptoms has been shown to depend on the level of
obstruction (above or below the azygous arch) and the
presence of a collateral network (Plekker et al., 2008).
Althoughtheseverityofthepresentationoftendepends
on the duration of obstruction, urgent diagnosis is
necessary to facilitate treatment such as radiotherapy
and interventional stenting.
Radiological investigations
Contrast enhanced CT allows visualisation of the SVC,
venous collateralisation and the potential cause of the
obstruction,andisconsideredthemodalityofchoicefor
initial assessment. Catheter venography is reserved for
therapeutic stent placement in confirmed cases. While
chest plain films have value in identifying potential
mediastinal and lung masses that may be a cause of
SVC obstruction, this modality cannot confirm venous
obstruction. Ultrasound with Doppler analysis of the
upper limb, subclavian brachiocephalic and internal
jugular veins can also be helpful. Dampening of the
normalvenouswaveformandlossofnormalrespiratory
variationareindirectsignsofSVCobstruction.Because
ofthelimitedacousticwindow,theSVCitselfcannotbe
imaged in its entirety with ultrasound. (See Table 1.9.)
Radiological findings
Computed tomography
Analysis of CT imaging should begin with the SVC
itself. The cross-sectional morphology of the SVC
varies according to circulating volume; as such,
MODALITY PROTOCOL
CT Post IV contrast: 100 ml IV contrast via
18G cannula, 3 ml/sec. Scan at 30 seconds
after initiation of injection. Scan from lung
apices to diaphragm level.
Table 1.9 Superior vena cava obstruction.
Imaging protocol.
K22247_C001.indd 20 16/05/15 3:06 AM
21Thoracic imaging
in the azygous and hemiazygous veins, which provide
an accessory pathway of blood to the SVC and right
atrium. Collateral flow in the azygous system should be
suspected with abnormal venous distension, although
this can also be seen with other conditions (Table 1.10).
Venouscollateralvesselsappearasenlargedserpiginous
vessels containing dense IV contrast; these can be
seen in the chest wall, mediastinum, intercostal and
•	 Congestive heart failure.
•	 SVC obstruction.
•	 Azygous continuation of the IVC.
•	 Portal hypertension.
•	 Constrictive pericarditis.
Table 1.10  Causes of azygous distension.
Figures 1.23a–c  Axial and
coronal images: IV contrast
enhanced CT scans of the thorax
in the arterial phase. There is a
spiculated mediastinally invasive
lung tumour, which is compressing
the SVC to a narrow slit.
(a) (b)
(c)
K22247_C001.indd 21 16/05/15 3:06 AM
Chapter 122
Report checklist
•	 Document the degree of SVC obstruction.
•	 Consider the underlying cause, such as an
obstructing mass or intraluminal thrombus.
•	 Document the degree of collateralisation.
References
Gosselin M, Rubin G (1997) Altered intravascular
contrast material flow dynamics: clues for
refining thoracic CT diagnosis. Am J Roentgenol
169:1597–1603.
Plekker D, Ellis T, Irusen EM et al. (2008) Clinical
and radiological grading of superior vena cava
obstruction. Respiration 76:69–75.
Sheth S, Ebert M, Fishman E (2009) Superior vena
cava obstruction evaluation with MDCT. Am J
Roentgenol 194:336–346.
paravertebral regions (Figure 1.24). Obstruction of the
SVC above the level of the azygous arch results in flow
through chest wall collaterals into the azygous venous
system. Obstruction distal to the level of the azygous
arch results in retrograde flow in the azygous vein,
presentingasdensecontrastmaterialwithintheazygous
venous system on CT, which is normally unenhanced
in physiological antegrade flow (Gosselin et al., 1997)
(Figures 1.25a, b). The presence of collateral vessels
implies a significant long-standing venous obstruction.
Key points
•	 SVC obstruction is a medical emergency. The
most common causes include malignancy and
iatrogenic related thrombosis.
•	 Although catheter venography is more sensitive
in subtle cases, CT is non-invasive and provides
useful information of both the degree of
obstruction and the underlying cause.
Figure 1.24  Axial image: IV contrast enhanced
CT scan of the thorax in the arterial phase. There are
multiple, serpiginous enhancing vessels adjacent to the
diaphragm consistent with venous collaterals, some
of which drain into the IVC (arrow). Incidental note is
made of a chronic left-sided pleural effusion.
K22247_C001.indd 22 16/05/15 3:06 AM
23Thoracic imaging
Figures 1.25a, b  Axial images: IV contrast enhanced CT scans of the thorax in the arterial phase. Both cases
demonstrate reflux of IV contrast from the SVC into the azygous vein. A hypoattenuating mass can be seen in the
anterior mediastinum causing obstruction of the SVC proximally (1.25a).
(a) (b)
K22247_C001.indd 23 16/05/15 3:06 AM
K22247_C001.indd 24 16/05/15 3:06 AM
25
Chapter 2
GASTROINTESTINAL AND
GENITOURINARY IMAGING
ABDOMINAL AORTIC
­ANEURYSM  RUPTURE
Abdominal aortic aneurysms (AAAs) are a vascular
surgical emergency. A true aneurysm is defined as
focal dilatation of the artery (an increase of at least
50% of the normal vessel diameter) that involves
the intima, media and adventitia. In comparison, a
pseudoaneurysm is a focal collection of blood that
connects with the vessel lumen, but is bound only by
adventitia or local soft tissues. AAA rupture occurs
more commonly with advancing age, and is estimated
to occur in 2–4% of the population over 50 years of
age (Bengtsson et al., 1992).
The most common cause of AAA rupture is
degeneration of the vessel wall, traditionally attributed
to atherosclerosis, although inflammatory, mycotic
and traumatic pseudoaneurysms can also occur.
Aneurysms are also associated with connective tissue
disease, particularly in younger patients. The classic
sign of a pulsatile abdominal mass may not always
be present. Symptoms and signs may be more non-
specific, including abdominal pain, collapse and
haemodynamic instability. In practice, the on-call
radiologist should have a high index of suspicion for
this condition in any elderly patient presenting with
abdominal pain. The mortality rate is high; at least
65% of patients with aortic aneurysm rupture and
die before reaching hospital. Urgent diagnosis is
vital in order to facilitate life saving open surgical or
endovascular aneurysm repair.
Radiological investigations
Ultrasound and CT can both accurately assess the
size of the abdominal aorta. Ultrasound has a well-
established role in the long-term follow up of known
cases of AAA; however, it also has a role in the acute
MODALITY PROTOCOL
CT Aortic angiogram: 100 ml IV via
18G ­cannula, 4 ml/sec. Bolus track centred
on ­mid-abdominal aorta. No oral contrast.
Scan from just above diaphragm to femoral
head level.
Table 2.1 Abdominal aortic aneurysm ­rupture.
Imaging protocol.
setting. Ultrasound can be performed initially in
suitable patients who are stable and who do not have
a known history of aortic aneurysm; a normal calibre
aorta is unlikely to rupture spontaneously. The
gross signs of aortic rupture, such as retroperitoneal
haematoma, would be expected to be present,
although the more subtle signs of impending rupture
are difficult to assess with ultrasound.
CT is the imaging modality of choice in assessing
potential aortic aneurysm rupture and should be
performed in unstable patients with a strong clinical
suspicion without delay. CT not only has a high
sensitivity and specificity for AAA rupture, but it
is also useful in identifying alternative abdominal
pathologies to account for the presentation. Both
unenhanced and arterial phases should be obtained.
(See Table 2.1.)
Radiological findings
Computed tomography
In cases where AAA rupture is strongly suspected
clinically, it can be helpful to review the initial images
locally when the patient is still in the radiology
department. This allows prompt communication of
a rupture to the referring team. Comparison with
previous imaging is extremely helpful in cases of
known AAA.
K22247_C002.indd 25 16/05/15 3:07 AM
Chapter 226
Degenerative aneurysms are usually fusiform in
shape. Small, focal dissections within degenerative
AAAs are not uncommon (Figure 2.2). A saccular
aneurysm or lobulated contour should prompt a
suspicion of infection (mycotic aneurysm). Additional
findings suggestive of infection include significant
periaortic inflammation, local fluid collections,
vertebral body destruction and fistulation with adjacent
structures (Figure 2.3).
The presence of retroperitoneal or periaortic
haematoma is indicative of aneurysmal rupture and
shouldbeurgentlycommunicatedtothereferringteam
(Figure 2.4). It is sometimes possible to identify the
exactsiteofrupture;thisappearsasafocaldiscontinuity
in the aortic wall. Active contrast extravasation can
also sometimes be identified in the presence of IV
contrast.
An AAA is confirmed when the maximum diameter
of the abdominal aorta exceeds 3 cm (Figure 2.1).
The size, morphology and location of the aneurysm is
best characterised on the arterial phase. Aneurysms can
be infrarenal (originating below the level of the renal
arteries) or suprarenal/renal; the location determines
potential treatment. In infrarenal cases, the distance
between the renal arteries and the most cranial aspect
of the aneurysm should be measured; this information
can dictate if a case is suitable for endovascular repair.
For aortic ruptures where the aneurysm involves the
renal arteries, endovascular repair is less suitable than
an open approach, since an adequate ‘landing zone’
is required for stent placement. Further relevant
contraindications of an endovascular approach include
angulated, tortuous or narrowed (8 mm) iliac arteries
or tapering of the aneurysmal neck.
Figure 2.1  Axial image: IV contrast enhanced CT scan
of the abdomen in the arterial phase. The ­abdominal
aorta is aneurysmal, with contrast seen within the lumen
of the vessel. Hypodense thrombus can also be seen
along the left aortic wall, in addition to a thin rim of
calcification around the vessel.
Figure 2.2  Axial image: IV contrast enhanced CT scan
of the abdomen in the arterial phase. The ­abdominal
aorta is aneurysmal, and a linear ­dissection flap can be
seen traversing the lumen.
K22247_C002.indd 26 16/05/15 3:07 AM
Gastrointestinal and genitourinary imaging 27
Figure 2.3  Coronal image: IV contrast enhanced
CT scan of the abdomen in the arterial phase. A saccular
aneurysm is seen arising from the abdominal aorta,
which is fistulating with the left common iliac vein.
Figure 2.4  Axial image: IV contrast enhanced CT scan
of the abdomen in the arterial phase. There is large
volume retroperitoneal haematoma, which can be seen
outlining the right Gerota’s fascia, extending into the
paracolic spaces.
Figure 2.5  Axial image: IV contrast enhanced CT
scan of the abdomen in the arterial phase. The aorta
is aneurysmal and contains thrombus. Ill-defined,
­­crescenteric high attenuation material can be seen
within the ­thrombus consistent with contained contrast
extravasation/­fissuring into the thrombus (arrow).
There is a spectrum of more subtle CT findings
that are important to appreciate. Contained rupture
should be suspected if the posterior wall of the aorta
is ill-defined or cannot be clearly delineated from
the vertebral bodies, termed the ‘draped aorta’ sign
(Halliday et al., 1996). High attenuation material
in a crescenteric distribution within thrombus in
the aneurysm sac, best appreciated on wide window
settings, can represent infiltration of blood into the
thrombus wall and is suggestive of impending rupture
(Gonsalves, 1999) (Figure 2.5). Further signs that can
indicate impending rupture include aneurysms larger
than 7 cm with increasing abdominal pain, a rapid
increase in the size of an AAA (10 mm per year) and
fissuring of thrombus or mural calcification (Rakita
et al., 2007).
An additional complication of AAA is aortoenteric
fistulation, in which a communication is formed
between the aorta and bowel, usually in the region
of the second or third part of the duodenum. This is
suggested by gas within the aortic lumen, although
K22247_C002.indd 27 16/05/15 3:07 AM
Chapter 228
this can also be seen with mycotic aneurysms. Active
extravasation of aortic contrast into the bowel, or a
history of melaena, can be useful distinguishing factors
(Figures 2.6a, b).
Key points
•	 CT is the optimum imaging modality in the
assessment of potential AAA rupture.
•	 An aneurysm is confirmed when the maximum
diameter of the aorta exceeds 3 cm. Rupture is
confirmed in the presence of retroperitoneal or
periaortic haematoma.
•	 More subtle signs of impending aneurysm rupture
include increasing pain, an increase in size greater
than 10 mm per year and crescenteric high
attenuation within aortic thrombus.
Report checklist
•	 Presence or absence of haemorrhage and active
contrast extravasation.
•	 Presence or absence of dissection flap.
Figures 2.6a, b  Axial images: IV contrast enhanced CT scans of the abdomen in the arterial phase. Ill-defined
contrast can be seen extending from the aorta into a loop of bowel anteriorly, consistent with an aortoenteric fistula
(arrow). The aorta is seen to be aneurysmal more cranially.
(a) ( b)
•	 Anatomical location of the aortic aneurysm:
infrarenal or juxtarenal.
•	 Renal vessel involvement or renal hypoperfusion.
•	 Signs of significant intravascular volume depletion
e.g. IVC flattening.
•	 Patency of coeliac axis/SMA/IMA/renal arteries.
References
Bengtsson H, Bergqvist D, Sternby NH (1992)
Increasing prevalence of abdominal aortic
aneurysms: a necropsy study. Eur J Surg 158:19–23.
Gonsalves CF (1999) The hyperattenuating crescent
sign. Radiology 211:37–38.
Halliday KE, Al-Kutoubi A (1996) Draped aorta: CT
sign of contained leak of aortic aneurysms. Radiology
199:41–43.
Rakita D, Newatia A, Hines J et al. (2007) Spectrum
of CT findings in rupture and impending rupture
of abdominal aortic aneurysms. Radiographics
27:497–507.
K22247_C002.indd 28 16/05/15 3:07 AM
Gastrointestinal and genitourinary imaging 29
is more helpful in cases of occult or intermittent GI
bleeding). CTA is increasingly being used as the first-
line imaging modality of choice and is a useful adjunct
in cases where endoscopy has failed to identify a source
of bleeding. The sensitivity of CT decreases if bleeding
is intermittent and timing the scan with the clinical
signs of active bleeding is essential. Utilising triple-
phase CTA (unenhanced, arterial and delayed phases)
increases sensitivity and specificity when compared
with using a single phase only. Oral contrast may mask
the potential site of bleeding and should therefore be
omitted. It is also important to consider whether the
patient has had any recent oral contrast examinations,
since this can also lead to a false-positive result. Barium
enemas are of particular importance, since the oral
contrast can remain in diverticulae for months or even
years.Catheterangiographyisinvasiveandisnowadays
lesssensitivethanCTA;assuchitisgenerallyperformed
once CTA has identified a bleeding point, with an aim
to embolisation and treatment. (See Table 2.3.)
Radiological findings
Computed tomography
The GI tract should be scrutinised systematically, with
careful attention being paid to the locations that are
common sources of bleeding (stomach, duodenum
and colon). The focus of acute GI bleeding is located
by identifying high attenuation material (90 Hu)
within the bowel lumen on the arterial phased scan,
which represents active extravasation of IV contrast.
ACUTE GASTROINTESTINAL BLEEDING
Acute gastrointestinal (GI) bleeding is a medical and
surgical emergency, with an associated mortality of
up to 40% (Walsh et al., 1993). GI bleeding has many
causes (Table 2.2) and can be divided into upper and
lower tract bleeding, according to its location in
relation to the ligament of Treitz. Upper tract bleeding
is more common than lower tract bleeding, comprising
approximately 75% of cases (Ernst et al., 1999).
Symptoms such as haematemesis and melaena usually
indicateanuppertractsource,whereasfreshperrectum
bleeding usually signifies bleeding from the lower GI
tract. Profound bleeding can result in haemodynamic
instability and therefore urgent localisation of the
source is vital. Endoscopy has traditionally been
considered the first-line investigation for suspected GI
bleeding, especially in cases of suspected upper tract
bleeding. Limitations of endoscopy include an inability
to visualise the upper tract distal to the fourth part of
theduodenumanddifficultyinvisualisingbleedingfoci
because of profound intraluminal haemorrhage. With
the increasing sensitivity of CT and ease of access,
radiological investigations are increasingly being
considered as the first-line investigation.
Radiological investigations
Radiological investigations that play a part in the
management of GI bleeding include CTA, catheter
angiography and radionucleotide imaging (the latter
UPPER LOWER
Mallory–Weiss tear Angiodysplasia
Oesophageal varices Diverticulitis
Gastric/duodenal ulcer Colitis
Gastritis Malignancy
Malignancy
Table 2.2  Causes of gastrointestinal bleeding.
MODALITY PROTOCOL
CT Unenhanced. No oral contrast. Scan from
above diaphragm to femoral head level.
Aortic angiogram: 100 ml IV contrast via
18G cannula, 4 ml/sec. Bolus track centred on
mid-abdominal aorta. No oral contrast. Scan
from above diaphragm to femoral head level.
Delayed phase. IV contrast as above, scan at
120 seconds after start of contrast injection.
No oral contrast. Scan from above diaphragm
to femoral head level.
Table 2.3 Acute gastrointestinal bleeding.
Imaging protocol.
K22247_C002.indd 29 16/05/15 3:07 AM
Chapter 230
This is usually more apparent and accumulates on
the delayed phase (Figures 2.7, 2.8). It is vital to
scrutinise the unenhanced phase to assess for pre-
existing foci of high attenuation within the bowel
lumen that may lead to false positives; these can
include ingested tablets, foreign bodies and suture
material. Previous imaging should also be reviewed in
this regard. Cone beam artefact is another common
false positive, occurring at interfaces between fluid and
air within the bowel.
Bleeding in the distal oesophagus may be secondary
to oesophageal varices, a complication of portal
hypertension. These may be visualised as dilated,
•	 Splenomegaly.
•	 Ascites.
•	 Varices: splenic/oesophageal.
•	 Underlying cause (i.e. liver cirrhosis with atrophy and
nodular/irregular contour).
•	 Contrast enhancement of para-umbilical vein.
Table 2.4 Computed tomographic signs of
portal hypertension.
Figure 2.7  Axial image: contrast enhanced CT scan of
the abdomen in the arterial phase. Hyperdense material
can be seen in a dependent position within the lumen of
the ascending colon (arrow), consistent with an acute,
arterial haemorrhage.
Figure 2.8  Axial image: contrast enhanced CT scan of
the abdomen in the delayed phase. On delayed imaging,
further contrast has accumulated within the lumen
of the ascending colon as a result of continued, active
haemorrhage at this site.
serpiginous enhancing vessels in the region of the distal
oesophagus. Findings suggestive of liver cirrhosis
and portal hypertension, such as an irregular liver
outline and splenic enlargement, should prompt
the search for oesophageal varices (Table 2.4;
Figures 2.9, 2.10).
IfGIbleedingisidentified,itisimportantto consider
anunderlyingcause.Muralthickeningcanbemalignant,
inflammatory, ischaemic or infective in nature, all of
whichcanbecomplicatedbybleeding.Itisalsoimportant
to appreciate that GI bleeding is often intermittent and
it is not uncommon for CTA to be normal, even in
haemodynamically compromised patients.
K22247_C002.indd 30 16/05/15 3:07 AM
Gastrointestinal and genitourinary imaging 31
Figure 2.9a, b  Axial and coronal images: unenhanced
CT scans of the abdomen. A transjugular intrahepatic
portosystemic shunt (arrow) and coiled oesophageal
varices are shown.
Figures 2.10a–c  Axial images: unenhanced, ­arterial
and delayed phase CT scans of the abdomen. This
sequence of images demonstrates a contrast blush
on the arterial phase within the stomach (arrow). No
­corresponding density is seen on the unenhanced scan.
Findings are in keeping with acute gastric bleeding.
The spleen is enlarged, ­suggestive of underlying portal
hypertension.
(a)
( b)
(c)
( b)(a)
K22247_C002.indd 31 16/05/15 3:07 AM
Chapter 232
BOWEL PERFORATION
GI perforation is an emergency condition requiring
urgent surgical intervention. Clinical diagnosis of the
site of bowel perforation is difficult as the symptoms
may be non-specific. Diagnosis depends mostly on
imaging investigations, and a correct diagnosis of the
presence of, site and cause is crucial for appropriate
management and for planning surgery.
Breach of the GI tract wall can be due to peptic
ulcer disease, inflammatory disease, blunt or
penetrating trauma, iatrogenic factors, a foreign body
or a neoplasm. Clinical presentation is usually that of
abdominal pain and nausea and vomiting, with signs of
peritonitis including rebound tenderness and guarding
on palpation. Patients can be extremely unwell with
signs and symptoms of shock. Inflammatory markers
(C-reactive protein) and raised white cells may be
present on laboratory blood analysis.
Radiological investigations
The first-line imaging investigations for suspected
bowel perforation are plain films, including an erect
CXR and a plain abdominal film, but these are only
sensitive in 50–70% of cases. Contrast studies are
no longer indicated in the acute setting. As well as
having a suboptimal sensitivity, plain films will not
demonstrate the site of perforation, which is useful
to know prior to surgery. CT is the imaging modality
of choice, as it provides the most information
for planning surgery, with a sensitivity of 86% in
identifying the site of perforation. The goal of imaging
is to identify extraluminal leakage and the subsequent
inflammatory reaction around the perforation site.
(See Table 2.5.)
Key points
•	 CTA and catheter angiography are useful in
conjunction with oesophagogastroduodenoscopy
and colonoscopy in the investigation of acute GI
bleeding, although the sensitivity is reduced when
bleeding is intermittent.
•	 Triple-phase CTA increases the sensitivity
of detection of acute bleeding and should be
performed without oral contrast.
•	 Active bleeding appears as a high attenuation focus
within the bowel lumen on the arterial phase,
which becomes more pronounced on the portal
venous phase. Scrutiny of the unenhanced images
reduces false positives.
Report checklist
•	 Identify the bleeding vessel where possible, and
the large artery of which it is a branch.
•	 Consider underlying causes.
•	 Look for signs of significant intravascular volume
loss (e.g. flattening of the IVC).
•	 Emphasise that bleeding can be intermittent and
therefore a ‘normal’ scan does not exclude GI
bleeding.
•	 Recommend urgent interventional radiology
referral.
References
Ernst AA, Haynes ML, Nick TG et al. (1999)
Usefulness of the blood urea nitrogen/creatinine
ratio in gastrointestinal bleeding. Am J Emerg
Med 17:70–72.
Walsh RM, Anain P, Geisinger M et al. (1993) Role
of angiography and embolization of massive
gastroduodenal haemorrhage. J Gastrointest
Surg 3:61–65.
MODALITY PROTOCOL
Plain film imaging AP supine abdominal radiograph to include the liver. A left lateral decubitus film can be performed with
the patient lying on their left and the right side up.
Erect chest radiograph to include the diaphragms. Patient should be upright for at least 10 minutes
prior to image acquisition.
CT Post IV contrast, portal venous phase: 100 ml IV contrast, 4 ml/sec via 18G cannula. Scan at 70 ­seconds.
Scan from above diaphragm to femoral head level.
Table 2.5 Bowel perforation. Imaging protocol.
K22247_C002.indd 32 16/05/15 3:07 AM
Gastrointestinal and genitourinary imaging 33
Radiological findings
Plain films
The presence of free air under the diaphragm
on an erect chest plain film is diagnostic of free
intraperitoneal air (Figure 2.11). As little as 1 ml of air
can be identified under the diaphragm. Care should be
taken not to confuse the stomach bubble under the left
hemidiaphragm with free air.
Aplainabdominalfilmcanrevealabowelperforation,
with the presence of Rigler’s sign (gas outlining both
sides of the bowel wall) (Figure 2.12). Other abdominal
plain film signs of free air include football sign (oval-
shaped peritoneal gas), which is more common in
children (Figure 2.13), increased lucency over the right
upper quadrant (gas accumulating anterior to the liver)
or the triangle sign (gas accumulating between three
loops of bowel). Free gas can also be seen outlining
ligaments in the abdomen, such as the falciform
ligament (Figure 2.14). A left lateral decubitus film can
also be used in the detection of small amounts of free
air that may be interposed between the free edge of the
liver and the lateral wall of the peritoneal cavity.
Figure 2.11  AP semi-erect chest radiograph. Large
volumes of gas can be seen underneath the diaphragm
consistent with pneumoperitoneum.
Figure 2.13  AP supine abdominal radiograph.
A large, rounded lucency is seen projected in the
­mid-­abdomen representing free intra-abdominal gas in a
­non-dependent location. The falciform ligament is also
seen outlined clearly by free gas (arrow).
Figure 2.12  AP supine abdominal radiograph. Gas
can be seen within the peritoneum on both sides of the
bowel wall (Riggler’s sign), highlighting multiple loops
of dilated small bowel.
K22247_C002.indd 33 16/05/15 3:07 AM
Chapter 234
Computed tomography
The first aim of the radiologist when interpreting an
abdominal CT should be to identify the extraluminal
air. Free air can be seen as small locules around the liver
edge or within the peritoneum or as large collections of
air that are difficult to identify as separate from bowel.
Often, using a wide window (such as lung window
settings) can help identify free air and distinguish
between intra- and extraluminal gas.
The next consideration is the location and
distribution of air. The peritoneal cavity is divided
into supra- and inframesocolic compartments by the
transverse colon, and this distinction can be useful
in radiological differentiation of upper and lower GI
perforations. Subsequently, upper GI tract perforation
(stomach or duodenal bulb) results in supramesocolic
compartment gas and distal small and large bowel
perforation in the inframesocolic compartments.
Sections of the GI tract, such as stomach, first part of
duodenum (5 cm), jejunum, ileum, caecum, appendix,
transversecolon,sigmoidcolonandupperthirdrectum,
are found within the peritoneal cavity; perforation of
these sections results in intraperitoneal free air. The
second and third parts of the duodenum, ascending
and descending colon and middle third of rectum are
retroperitoneal and fixed; they may therefore present
with gas within the retroperitoneal compartment.
Gastroduodenal perforation
Peptic ulcer disease is a major cause of gastroduodenal
perforation, followed by necrotic or ulcerated
malignancies and iatrogenic and traumatic causes.
Gastroduodenal perforation secondary to peptic ulcers
is usually found in the gastric antrum and duodenal
bulb. The descending and horizontal segments of the
duodenum are common sites of perforation caused by
blunt trauma because of their fixed attachment and/or
compression against the vertebral column.
Perforation sites can be demonstrated by the
CT findings of ulceration or focal defect in the
gastroduodenal wall (Figure 2.14), free air bubbles in
contact with the stomach or duodenum, abrupt wall
thickening associated with adjacent inflammatory
fat stranding and localised free fluid between the
duodenum and the pancreatic head.
Figure 2.14  Axial image: IV contrast enhanced
CT scan of the abdomen in the portal venous phase.
Free intra-abdominal gas is seen anteriorly. A large
defect is seen along the anterior wall of the stomach
as a result of peptic ulcer disease, causing perforation
(arrow).
Small bowel perforation
Small bowel perforation is rare; small amounts of free
air along the anterior peritoneal surfaces of the liver
and mid-abdomen and among the peritoneal folds
are usually indicative. Non-specific CT findings,
such as mural thickening and abnormal enhancement
of the small bowel, mesenteric fluid and mesenteric
stranding, should be considered suspicious in patients
with suspected small bowel perforation.
Large bowel perforation
Perforation sites in colonic loops can frequently be
correlated with their causes. Malignant neoplasm,
diverticulitis (Figure 2.15), blunt trauma and ischaemia
are common causes of perforation on the left-sided
colon. Inflammatory bowel disease and penetrating
trauma tend to be seen in the right-sided colon. The
caecum is especially prone to perforate in patients with
mechanical colonic obstruction.
K22247_C002.indd 34 16/05/15 3:07 AM
Gastrointestinal and genitourinary imaging 35
oesophageal/trachealbronchialinjury,intra-abdominal
drainsandhysteroscopycanexplainfreeintraperitoneal
or retroperitoneal air in the absence of a GI tract
perforation. The amount of air in the postoperative
period is variable, but should be less than 10 ml in the
majority of cases and negligible after day 10. Large
volumes of free air in the postoperative period should
be considered suspicious for anastomotic leaks.
When detected, bowel perforation on any imaging
modality should be immediately communicated to the
surgical team for consideration of surgery, and a record
of this should be made at the end of the report.
Key points
•	 Plain films (erect CXR and AXR) are useful for
suspected bowel perforation and they can detect
free intra-abdominal air.
•	 The main aim of CT imaging is to identify free air
and associated inflammatory stranding in order to
locate the site of perforation. The distribution of
air can help to achieve this.
•	 Be aware that free air within the peritoneal
cavity may be from sources other than bowel
(e.g. iatrogenic). A review of the clinical history is
imperative.
•	 Bowel perforation is an urgent finding that may
necessitate surgical intervention. Findings should
be communicated promptly and directly to the
clinical team.
Report checklist
•	 In the presence of free gas, identify the potential
perforated site.
•	 Presence or absence of underlying causes such
as diverticulitis, bowel malignancy and bowel
ischaemia.
When perforation occurs owing to diverticulitis or
colorectal malignancy without bowel obstruction, the
quantityoffreeairisusuallysmallandloculesofairtend
to be concentrated in close proximity to the involved
colonic loops. The presence of free air, phlegmon
and/or an abscess, an extraluminal collection and the
underlying colonic abnormality (neoplasm) should be
carefully evaluated on CT scans.
A review of the clinical history is important when
reviewing CT for suspected bowel perforation.
A history of recent surgery (laparoscopic or open),
Figure 2.15  Axial image: IV contrast enhanced
CT scan of the pelvis in the portal venous phase.
Locules of extraluminal gas are seen adjacent to the
sigmoid colon at the site of diverticular perforation, in
addition to a contained abscess at this site.
K22247_C002.indd 35 16/05/15 3:07 AM
Chapter 236
Inflammatory bowel disease is subdivided into
Crohn’s disease, ulcerative colitis and indeterminate
inflammatory colitis (which demonstrates features of
both Crohn’s disease and ulcerative colitis). Crohn’s
disease and ulcerative colitis classically differ in the
distribution and extent of inflammation. Ulcerative
colitis causes inflammation limited to the mucosa,
initially involves the rectum and can extend proximally
to involve the entire colon. Inflammation is continuous
and small bowel involvement is not typical, although
involvement of the ileum can be seen with associated
backwash ileitis. In contradistinction, Crohn’s disease
causes transmural inflammation, can involve any
aspect of the GI tract and commonly demonstrates
skip lesions. Whilst a more common cause of colitis
in younger demographics than ischaemic colitis,
inflammatory bowel disease has a bimodal distribution
ofonsetand,assuch,increasingageshouldnotdissuade
from the diagnosis.
Infectivecolitiscanarisesecondarytomanydifferent
causative organisms and can occur in any demographic.
Of particular importance in the hospital environment
is pseudomembranous colitis, which is caused by an
overgrowth of Clostridium difficile, which usually
develops secondary to antibiotic administration.
Neutropaenic colitis (typhilitis) can be
another iatrogenic form of colitis, occurring in
immunosuppressed patients, commonly secondary to
chemotherapy.
Radiological investigations
CT is the imaging modality of choice in the
investigation of bowel ischaemia, although there are
conflicting reports of its sensitivity and specificity.
The addition of an arterial phase to the standard portal
venous phase of the abdomen and pelvis has been
shown to increase specificity. Oral contrast should
not be administered since it can make appreciation of
bowel wall enhancement more difficult. It is important
to note that a ‘normal’ CT study cannot definitively
exclude bowel ischaemia, and it can often be difficult to
reliably differentiate bowel ischaemia from other forms
of colitis.
Abdominal plain film imaging is often performed
initially and can be helpful; however, this has a
low sensitivity and specificity, cannot differentiate
between the causes of colitis and rarely negates the
BOWEL ISCHAEMIA AND
ENTEROCOLITIS
Acute, occlusive bowel ischaemia carries a high
morbidity and mortality rate and is a surgical
emergency. This condition must be separated from
chronic, non-occlusive ischaemia, which carries a
much lower mortality rate and occurs secondary to
incomplete vessel occlusion. Ischaemia can be both
arterial and venous in nature. Arterial causes include
atherosclerosis, emboli, vasculitis and low-flow states
(i.e. the causes of hypotension). Typically, the location
of arterial ischaemia is dictated by the vascular anatomy
of the bowel. The SMA supplies the small bowel, the
ascending colon and the proximal transverse colon.
The IMA supplies the distal transverse colon, the
descendingcolonandthesigmoidandproximalrectum
(splenic flexure to rectum). The splenic flexure and
rectosigmoid junction are termed ‘watershed areas’ and
are particularly susceptible to ischaemia caused by low-
flow states.
Bowel ischaemia typically affects the middle aged to
elderlypopulationbecauseofincreasingatherosclerotic
burden.Acutebowelischaemiaclassicallypresentswith
abdominal pain that is disproportionate to the clinical
findings, although this is not a reliable enough sign to
differentiateitfromotherintra-abdominalpathologies.
Lactate elevation is a sensitive but non-specific marker
for ongoing acute bowel ischaemia and can also be
helpful.Ahistoryofabdominalangina,atrialfibrillation
and atherosclerotic disease should always prompt
suspicionofacutebowelischaemiaandurgentdiagnosis
is vital to facilitate surgical resection/revascularisation.
Depending on the degree of clinical suspicion, patients
may proceed to diagnostic laparotomy without
radiological input, although increasingly imaging is
being utilised prior to definitive treatment.
The diagnosis of acute bowel ischaemia is a
challenging one for the on-call radiologist. There is a
significant overlap in the findings seen in both acute
bowel ischaemia and other inflammatory and infective
aetiologies of enterocolitis. While urgent imaging is
oftennotrequiredintheemergencysettingtodiagnose
inflammatory and infective causes (the diagnosis of
these is made with endoscopy and microbiological
analysis, respectively), they are discussed subsequently
due to the imaging overlap.
K22247_C002.indd 36 16/05/15 3:07 AM
Gastrointestinal and genitourinary imaging 37
need for further imaging. Chest plain films can also
be performed in order to identify free gas, evidence of
associated perforation. (See Table 2.6.)
Radiological findings
Computed tomography
Bowel wall abnormality is the hallmark of enterocolitis
on CT. The most specific sign of bowel ischaemia is
MODALITY PROTOCOL
CT Aortic angiogram: 100 ml IV contrast via 18G
cannula, 4 ml/sec. Bolus track centred on mid
abdominal aorta. No oral contrast. Scan from
just above diaphragm to femoral head level.
Portal venous phase: IV contrast as above, scan
at 70 seconds. No oral contrast. Scan from just
above diaphragm to femoral head level.
Table 2.6 Bowel ischaemia and enterocolitis.
Imaging protocol.
Figure 2.16  Axial image: IV contrast enhanced CT
scan of the abdomen and pelvis in the portal venous
phase. ­Non-enhancing loops of bowel are seen in the
pelvis adjacent to loops of normally enhancing bowel,
­representing loops of ischaemic bowel.
absent or diminished bowel wall enhancement on
arterialandportalvenousphasedimaging(Figure 2.16).
Although this is not seen in other causes of colitis, it
is not always present in cases of ischaemia. Bowel wall
hyperenhancement can also be seen (in hyperacute
iscahemia), although it is non-specific and can be seen
in any cause of enterocolitis (Sung et al., 2000). Normal
bowel wall should be 3–6 mm in thickness. Bowel wall
thickeningandthinningcanoccur,althoughtheformer
is non-specific and can also be seen in both ischaemic
and non-ischaemic causes (Figure 2.17). It should
be noted that bowel wall thickening can also occur
secondary to primary bowel malignancy, although this
istypicallylessdiffuseandinvolvesonlyashortsegment
ofbowel.Whenassessingforbowelwallthickening,the
degree of luminal distension must always be taken into
account. Bowel collapse can often be misinterpreted as
wall thickening and is a common false positive.
The superior and inferior mesenteric arteries and
correspondingveinsshouldbeinspectedonthearterial
and portal venous phase in order to identify filling
Figure 2.17  Axial image: IV contrast enhanced
CT scan of the abdomen in the portal venous phase.
There is subtle bowel wall thickening in the transverse
colon (arrow).
K22247_C002.indd 37 16/05/15 3:07 AM
Chapter 238
venous engorgement (Figure 2.23), mesenteric fat
stranding, bowel dilatation and ascites, can also be
seen, regardless of the cause of the colitis.
There is significant overlap between the imaging
findings seen in ischaemia and other causes of colitis,
althoughtherecanbesomediscriminatingfactors. The
distribution of bowel affected is one of the most useful
factors to distinguish between different causes. If bowel
wall abnormality corresponds to a segmental arterial
territory (most commonly the descending colon), then
ischaemia must always be considered. Conversely,
bowel abnormality involving multiple arterial
territories is more likely to be due to an inflammatory
or infective cause. Involvement of the terminal ileum
is highly typical of Crohn’s disease, although this can
also be seen in infective causes. Bowel involvement in
ulcerative colitis typically starts at the rectum, extends
proximally and spares the small bowel (allowing for
defects, which may represent thrombus (Figures 2.18,
2.19). Multiplanar reformatting on wider window
settings and maximum intensity projections (MIPs)
can be helpful in this regard. In the context of embolic
disease, splenic or hepatic infarcts may also be seen,
typically appearing as a peripheral, wedge-shaped
focus of low attenuation (Figure 2.20). Utilisation of
lung and bone window settings (window 600, level
1,600 and window 300, level 2,000, respectively) can
aid in the identification of pneumatosis and portal
venous gas, both more specific signs of ischaemia
when seen in the presence of bowel wall abnormality
(Figures 2.21, 2.22). It should be noted that portal
venous gas and pneumobilia both present as linear, low
attenuation branching structures within the liver. Gas
within the portal venous system often extends to the
liver periphery, whereas gas within the biliary system
does not. Additional findings, such as mesenteric
Figure 2.18  Axial image: IV contrast enhanced
CT scan of the abdomen in the portal venous phase.
There is a filling defect identified within the SMA
(arrow), with colitic changes affecting the caecum.
Figure 2.19  Axial image: IV contrast enhanced CT
scan of the abdomen in the portal venous phase. There
is a large filling defect within the aorta ­extending into
the SMA (arrow). Free gas is seen anterior to the liver.
Ischaemic, perforated small bowel is seen more caudally
on the scan.
K22247_C002.indd 38 16/05/15 3:07 AM
Gastrointestinal and genitourinary imaging 39
Figure 2.20  Axial image: IV contrast enhanced
CT scan of the abdomen in the portal venous phase.
There is a wedge-shaped low attenuation within the
spleen in keeping with an infarct.
Figure 2.21  Axial image: IV contrast enhanced
CT scan of the abdomen in the portal venous phase.
­Multiple locules of gas can be seen within the wall of the
bowel, secondary to bowel ischaemia.
Figure 2.22  Axial images: IV contrast enhanced
CT scan of the abdomen in the portal venous phase.
Large volumes of portal venous gas are seen within the
liver extending to the periphery.
Figure 2.23  Axial image: IV contrast enhanced
CT scan of the abdomen in the portal venous phase.
The mesenteric vessels are engorged and the mesenteric
fat has a hazy appearance.
K22247_C002.indd 39 16/05/15 3:07 AM
Chapter 240
backwash ileitis). Infective enterocolitis can affect any
part of the bowel (Table 2.7). Pseudomembranous
colitis commonly affects the descending and transverse
colon and typically causes much more pronounced wall
thickening (10–15 mm) than other causes (Figure 2.24).
Neutropaenic enterocolitis typically involves the
terminal ileum, caecum and ascending colon, although
ahistoryofchemotherapyandneutropaeniaisthemost
helpful tool to make this diagnosis.
Utilisation of lung and bone window settings is also
useful to identify free intra-abdominal gas, suggestive
of associated bowel perforation. Toxic megacolon
is a complication of most colitides and is a risk factor
for imminent perforation. This is diagnosed when
there is colonic dilatation (transverse colon 6 cm)
in the presence of associated colonic inflammation.
Any suspicion of toxic megacolon should be urgently
discussed with the referring team.
Plain films
The hallmark of enterocolitis on plain radiographs is
bowel wall thickening, although again this is a difficult
diagnosis to make due to variable bowel collapse
(Figure 2.25). A ‘thumbprinting’ pattern can be
observed in the colon, representing thickened haustral
folds, although this has a wide differential.
CAUSATIVE ORGANISM DISTRIBUTION
Clostridium difficile
(pseudomembranous colitis)
Descending and transverse
colon.
Salmonella spp. Colonic inflammation only.
Campylobacter spp. Typically in distal colon.
Yersinia spp. Typically terminal ileum and
caecum.
Mycobacterium spp. Typically terminal ileum and
caecum.
Entamoeba histolytica Diffuse colonic involvement,
typically ascending colon.
Shigella spp. Typically rectosigmoid colon.
Table 2.7 Typical distribution of infective
colitides.
Figure 2.24  Axial image: IV contrast enhanced CT
scan of the abdomen in the portal venous phase.
There is marked bowel wall thickening ­involving
the ­descending colon (arrow), typically seen in
­pseudomembranous colitis.
Figure 2.25  Supine abdominal radiograph. There is
thickening of the bowel wall involving the descending
colon (arrow), consistent with colitis. No intraperitoneal
free gas is seen.
K22247_C002.indd 40 16/05/15 3:07 AM
Gastrointestinal and genitourinary imaging 41
LARGE BOWEL OBSTRUCTION
Large bowel obstruction (LBO) is a common surgical
emergency that can occur as a result of many varying
pathologies.
One of the commonest causes of LBO in western
countries is malignancy, usually as a result of primary
large bowel carcinoma (Khurana et al., 2002). Invasive
malignancies may infiltrate the mucosa, eventually
occluding the lumen and resulting in obstruction.
Chronic diverticulitis and radiotherapy to the pelvis
may lead to fibrosis and stricturing of the bowel.
Large bowel volvulus is another common cause of
obstruction; this occurs when there is twisting of the
mesentery resulting in a closed loop obstruction. This
leads to bowel obstruction; however, the closed loop of
bowel is also at risk of ischaemia.
Causes of LBO include:
•	 Colonic malignancy.
•	 Inflammatory strictures: Crohn’s, ischaemia,
diverticulitis.
•	 Volvulus.
•	 Infective processes: TB, amoebiasis.
•	 Extrinsic lesions: abscess, bladder/prostate/uterine
tumour, endometriosis.
Clinically, patients may present with abdominal pain,
distension and vomiting. They may also report an
inability to pass stool or flatus. If complicated by
perforation, patients may demonstrate peritonism and
haemodynamic instability (see Bowel perforation).
Urgent imaging is often necessary to help plan
surgery.ThemanagementofLBOvariesdependingon
the underlying aetiology. Most cases typically require
surgical resection for relief of symptoms, although
lesions that cannot be completely resected may instead
undergo bowel defunctioning and creation of a stoma.
In palliative cases, colonic stents may be inserted in
Key points
•	 Enterocolitis may be ischaemic, inflammatory or
infective in nature.
•	 Acute bowel ischaemia is a surgical emergency
and has a high mortality rate. Prompt diagnosis
is essential in order to facilitate urgent surgical
treatment.
•	 CT is the modality of choice to investigate cases
of bowel ischaemia; however, imaging should not
delay emergency laparotomy in strongly suspected
cases.
•	 There is significant overlap in the radiological
findings of enterocolitis; however, absent
or diminished bowel wall enhancement
corresponding to an arterial territory is highly
suggestive of ischaemia.
Report checklist
•	 Presence or absence of free gas, indicative of
perforation.
•	 Presence or absence of gas within the bowel wall
or the portal venous system.
•	 Presence or absence of filling defects in the
coeliac axis/SMA/IMA/SMV or any of their
branches.
•	 Consider embolic disease in cases of visceral
infarcts. The presence or absence of potential
embolic sources (e.g. thrombus in the left atrial
appendage/left ventricular aneurysm/infarct/aortic
dissection/aortic aneurysm).
•	 Consider a differential diagnosis of additional
causes of enterocolitis.
Reference
Sung ER, Hyun KH, Soo-Hyun L et al. (2000)
CT and MR imaging findings of bowel ischemia
from various primary causes. RadioGraphics
20:29–42.
K22247_C002.indd 41 16/05/15 3:07 AM
Chapter 242
Radiological findings
Plain films
On an abdominal plain film, the diagnosis of LBO is
made by identifying dilated large bowel loops. In a
normal patient, the caecum should not measure more
than 8–9 cm and the remainder of the large bowel
should not measure more than 5 cm, therefore a
bowel diameter greater than these values may suggest
underlying LBO (Figure 2.26). The distribution of
bowel dilatation is key; in LBO, large bowel collapse
distal to the point of obstruction would be expected.
Dilated loops of small bowel may also be present,
indicating ileocaecal valve incompetence. In cases
where a nasogastric (NG) tube has been placed, the tip
should be located under the left hemidiaphragm.
order to relieve symptoms. Sigmoid volvulus is initially
managed conservatively with a rectal flatus tube
insertion, but persisting volvuli may require surgical
decompression.
Radiological investigations
An abdominal and erect chest plain film is indicated
in patients who present with signs of LBO. An
abdominal plain film may confirm the presence of
obstruction; however, the underlying cause is unlikely
to be apparent. Definitive diagnosis is routinely made
with contrast enhanced CT imaging. It is not usually
necessary to administer oral contrast, as the level of
obstruction is usually identifiable as an abrupt calibre
change or mass. Furthermore, patients who are acutely
obstructed are unlikely to be able to ingest the volume
of oral contrast required to adequately opacify the
bowel. It is important to note that large bowel volvulae
normally have a typical appearance on plain films and,
as a result, CT imaging is not routinely required to
make this diagnosis.
The use of water soluble single contrast enema has
largely been replaced with CT, though some centres
may still practise this. Contrast administered rectally
flows proximally through the large bowel and does not
pass beyond the point of obstruction. If the procedure
is performed, water soluble contrast should be used due
to the risk of bowel perforation and hence leakage into
the peritoneum. (See Table 2.8.)
MODALITY PROTOCOL
CT IV contrast, portal venous phase: 100 ml
IV contrast, 4 ml/sec via 18G cannula. Scan
at 70 seconds. Scan from just above the
­diaphragm to just below the pubic symphysis.
Plain film
imaging
Erect CXR to include the diaphragm.
­Abdominal plain film imaging to include the
liver to the pubic symphysis.
Table 2.8 Large bowel obstruction. Imaging
protocol.
Figure 2.26  AP radiograph of the abdomen. Dilated
loops of large bowel are seen in the right abdomen,
­indicated by the lack of valvulae conniventes. The
­ileocaecal valve is patent, resulting in reflux of gas into
small bowel loops seen centrally and in the left abdomen.
K22247_C002.indd 42 16/05/15 3:07 AM
Gastrointestinal and genitourinary imaging 43
LBO secondary to malignancy or stricture
formation may have similar radiological findings;
however, volvulae tend to have a slightly different
appearance, which can often allow them to be
diagnosed on plain film images. Sigmoid volvulus is
the commonest type of volvulus, and occurs when the
colon twists about its mesentery. It tends to occur in
slightly older patients compared with those who have
a caecal volvulus. The classic findings include the
presence of a ‘coffee bean’ appearance to the dilated
loop, an inverted ‘U’ shape and the loop extending into
the upper abdomen from the pelvis (Figure 2.27). The
sigmoid colon is also usually ahaustral in comparison
with caecal volvulus, which normally retains its normal
haustral pattern. The other main feature of caecal
volvulus is extension of the dilated loop of bowel from
the right lower quadrant to the left upper quadrant.
The differences between sigmoid and caecal volvulae
are summarised in Table 2.9.
SIGMOID CAECAL
Typical
plain film
findings
Coffee bean sign.
Large bowel dilatation
proximally.
Ahaustral closed loop.
Inferior convergence in
the LIF.
Left flank overlap sign.
Dilated caecum may be
seen in the mid abdo-
men or LUQ.
Haustrations usually
present.
Associated small
bowel dilatation.
LIF = left iliac fossa; LUQ = left upper quadrant.
Table 2.9  Sigmoid vs. caecal volvulus.
Computed tomography
IV contrast enhanced CT is used not only to diagnose
the presence of LBO, but also the underlying cause,
allowing evaluation of luminal and extraluminal bowel
structures. Initial review of the CT should begin by
confirming the presence of LBO, indicated by large
bowel dilatation proximal to an abrupt transition
point. The same numerical values should be used as
for plain film imaging (see above). Dilated large bowel
loops should be traced distally in order to identify a
mechanical cause of the obstruction. This can usually
be seen as a transition in the calibre of the bowel from
dilated to normal, or often collapsed beyond the point
of obstruction. A quick review on lung window settings
(width 1,500, level 500) is helpful to reveal any evidence
of free intra-abdominal gas, suggestive of bowel
perforation. If this is seen, the surgical team should
be informed as a matter of urgency as the patient may
require emergency surgery.
Figure 2.27  AP radiograph of the abdomen. There are
dilated loops of large bowel, which arise from the pelvis
with an inverted ‘U’ appearance suggestive of sigmoid
volvulus.
K22247_C002.indd 43 16/05/15 3:07 AM
Chapter 244
Large bowel volvulus has a distinctive appearance
on CT imaging. Proximal loops of dilated large bowel
are visible, as seen with other causes of obstruction;
however, the transition point is seen as a tapering of the
bowel lumen to a point of completely collapsed bowel.
It is vitally important to scrutinise the extraluminal
appearance in these cases. The underlying cause of
volvulus (both caecal and sigmoid) is a twisting of the
mesentery. On CT, this can be seen as a ‘swirling’ of
vessels that appear to rotate about the axis of torsion
(Figure 2.30) at the site of the involved loop of bowel.
The axis of twisting may not be easily seen on axial
imaging, and coronal and sagittal reformats should
therefore be used to confirm the diagnosis.
Incaseswherethereislargeboweldilatationwithout
a mechanical cause of obstruction, colonic pseudo-
obstruction may be present. Pseudo-obstruction
is diagnosed when there are symptoms of bowel
obstruction and there is large bowel dilatation on
imaging, but no identifiable mechanical obstruction.
Often there is a gradual tapering of the bowel rather
than an immediate point of transition. Alternatively,
In cases of malignant obstruction, a soft tissue mass
can often be seen occluding the lumen (Figure 2.28).
Subtle tumours can be easy to miss, manifesting as
concentric or eccentric mural thickening. Advanced
tumours may also demonstrate extension through
the serosa, adjacent lymphadenopathy or distant
metastases (usually to the liver, appearing as ill-defined
flow attenuation lesions). Obstruction secondary to
stricture formation may be seen as a narrowed segment
of bowel at the point of calibre transition (Figure 2.29).
This can be a difficult diagnosis to make on a single
study since physiologically collapsed bowel can have a
similar appearance; correlation with previous imaging
is useful in this regard. In general, malignancies tend to
be shorter segment areas of mural thickening, whereas
strictures tend to be longer segments of collapsed
bowel; however, it can often be difficult to exclude the
presence of a small malignant obstructing lesion within
a stricture (particularly in the absence of adequate
bowel preparation). Colonoscopy is therefore often
needed and should be recommended in order to assess
the abnormal segments of bowel in further detail.
Figure 2.28  Axial image: IV contrast enhanced CT
scan of the abdomen and pelvis in the portal venous
phase. A solid mass lesion is seen within the mid-­
sigmoid colon (arrow), occluding the lumen and
­resulting in upstream dilatation of the bowel.
Figure 2.29  Axial image: IV contrast enhanced CT
scan of the abdomen in the portal venous phase. There
is a long stricture of the mid-sigmoid colon with a
­massively dilated loop of proximal sigmoid colon shown.
A single diverticulum is shown in this image. The
­stricture was due to chronic diverticulitis.
K22247_C002.indd 44 16/05/15 3:07 AM
Gastrointestinal and genitourinary imaging 45
Report checklist
•	 Degree and level of bowel obstruction.
•	 Presence or absence of complications such as
perforation or bowel ischaemia.
•	 Consider underlying causes such as malignancy or
post-inflammatory strictures.
•	 Document the degree of local or distant disease
in cases of malignancy; this determines whether
the patient has palliative as opposed to curative
surgical treatment.
References
Choi JS, Lim JS, Kim H et al. (2008) Colonic
pseudoobstruction: CT findings. Am J Roentgenol
190:1521–1526.
KhuranaB,LedbetterS,McTavishJ et al.(2002)Bowel
obstruction revealed by multidetector CT. Am J
Roentgenol 178:1139–1144.
multiple segments of colonic dilatation and collapse
are seen, the distribution of which is not suggestive
of mechanical obstruction. Patients with pseudo-
obstruction tend to suffer with constipation, with a
suggested underlying cause thought to be related to the
intrinsic nerve supply of the bowel (Choi et al., 2008).
Key points
•	 Large bowel obstruction is a surgical emergency
which, if left untreated, may result in bowel
perforation or ischaemia.
•	 CT imaging can confirm the diagnosis and
identify the underlying cause, although the
presence of LBO may be confirmed on plain film
images.
•	 LBO is suggested on CT imaging by
large bowel dilatation (caecum 8–9 cm,
remainder of large bowel 5 cm) proximal to
a focal transition point, usually with large bowel
collapse distally.
Figure 2.30  Coronal image: IV contrast enhanced CT scan of the abdomen and pelvis in the portal venous phase.
A loop of sigmoid colon can be seen in the midline, which comes to an abrupt stop (arrow). The adjacent vessels
demonstrate a swirling appearance, ­suggestive of twisting of the mesentery.
K22247_C002.indd 45 16/05/15 3:07 AM
Chapter 246
GALLSTONE ILEUS
Gallstone ileus is an uncommon cause of mechanical
small bowel obstruction (SBO). It is a complication of
chroniccholecystitisandoccurswhenagallstonepasses
through a cholecystenteric fistula located between the
gallbladder and the duodenum. The gallstone impacts
within the small bowel, resulting in SBO.
Overall, gallstone ileus is an uncommon cause
of SBO (4%), but in the elderly population it is
more common, accounting for up to 25% of non-
strangulated bowel obstructions and resulting in
significant morbidity in this group (Lassandro et al.,
2005).
Pathologically, gallstone ileus results from repeated
boutsofcholecystitisresultinginadhesionsbetweenthe
gallbladder and the small bowel (usually duodenum),
eventually leading to fistula formation and passage of
gallstones into the lumen of the bowel.
Patients usually present with a long history of
recurrent right upper quadrant pain, in keeping with
chronic cholecystitis. The acute presentation of
gallstone ileus is that of a small bowel obstruction, with
colicky abdominal pain and abdominal distension.
Radiological investigations
A plain abdominal radiograph is useful as a first-line
investigationinpatientswithsuspectedSBO.Suspicion
of gallstone ileus on plain film imaging necessitates
CT imaging of the abdomen, which has a sensitivity,
specificity and accuracy of diagnosing gallstone ileus
of 93%, 100% and 99%, respectively (Yu et al., 2005).
Ultrasound is useful in assessment of patients with
right upper quadrant pain to identify the presence of
gallstones or cholecystitis. (See Table 2.10.)
Radiological findings
Plain films
The classic findings on an abdominal radiograph are of
SBO (dilated loops of small bowel 2.5 cm), gas within
the biliary tree (linear branching lucencies projected
over the right upper quadrant) and a gallstone (usually
in the right iliac fossa) (Figure 2.31). This is known as
Rigler’s triad.
MODALITY PROTOCOL
CT IV contrast, portal venous phase:
100 ml IV contrast, 4 ml/sec via 18G
cannula. Scan at 70 seconds. Scan
from just above the diaphragm to just
below the pubic symphysis.
Plain film imaging Abdominal plain film imaging
to ­include the liver to the pubic
­symphysis.
Ultrasound 1–5MHz curvilinear probe.
Table 2.10  Galltone ileus. Imaging protocol.
Figure 2.31  AP abdominal radiograph. Multiple loops
of dilated small bowel can be seen, consistent with
SBO. Linear, branching lucencies can be seen at the
right upper quadrant consistent with biliary gas (arrow).
The ­findings are consistent with gallstone ileus. No
­radiopaque ­gallstone can be seen on the radiograph.
K22247_C002.indd 46 16/05/15 3:07 AM
Gastrointestinal and genitourinary imaging 47
Computed tomography
Appearances on CT are similar to those seen on plain
film images. SBO is present with dilated fluid-filled
small bowel loops measuring 3.5 cm. As with any
case of obstruction, the entire length of bowel must
be traced. A transition point (abrupt calibre change
between dilated and non-dilated bowel) may be
identified and is the likely site of the impacted gallstone
(Figure 2.32). Care should be taken, as not all gallstones
are calcified (12%) and they may be of similar density
to the bowel contents (Lassandro et al., 2005). Multiple
stones may also be present.
Pneumobilia on CT is identified as branching air-
filled structures in the liver (Figure 2.33). These can
be differentiated from similar appearances of portal
venous gas, as air in the biliary tree does not extend
to the periphery of the liver, unlike portal venous gas.
Causes of pneumobilia are listed in Table 2.11.
Figure 2.33  Axial image: IV contrast enhanced CT
scan of the abdomen in the portal venous phase. Gas
is seen within the biliary tree (arrow). There is a small
volume of fluid around the liver.
•	 Recent endoscopic retrograde cholangiopancreatography
or percutaneous transhepatic cholangiography.
•	 Gallstone ileus.
•	 Biliary enteric anastomosis (e.g. Whipple’s).
•	 Peptic ulcer disease.
•	 Traumatic.
•	 Emphysematous cholecystitis.
•	 Incompetent sphincter of Oddi (sphicterotomy, chronic
pancreatitis and passage of stone).
•	 Congenital.
Table 2.11  Causes of ­pneumobilia.
Figure 2.32  Axial image: IV contrast enhanced CT
scan of the abdomen and pelvis in the portal venous
phase. A rounded, hyperdense gallstone is seen within
the lumen of a small bowel loop in the right iliac fossa.
Loops of fluid-filled, dilated small bowel can also
be seen.
K22247_C002.indd 47 16/05/15 3:07 AM
Chapter 248
•	 A fistulous tract may be seen between the
gallbladder and the duodenum and this may be
associated with surrounding inflammation and
locules of free gas.
•	 It is important to distinguish between portal
venous gas and biliary air, which appear similar on
CT, the latter not extending to the periphery of
the liver.
Report checklist
•	 Degree of bowel obstruction/dilatation associated
with gallstone ileus.
•	 Presence or absence of associated collections in
the gallbladder bed.
•	 Presence or absence of overt free
intraperitoneal gas.
References
Lassandro F, Romano S, Ragozzino A et al. (2005)
Role of helical CT in diagnosis of gallstone ileus and
relatedconditions. Am J Roentgenol 185:1159–1165.
Yu CY, Lin CC, Shyu RY et al. (2005) Value of CT in
the diagnosis and management of gallstone ileus.
World J Gastroenterol 11:2142–2147.
Inflammatory changes may be seen around the
gallbladder and second part of the duodenum, with
thickening of the gallbladder wall, pericholecystic fluid
and surrounding inflammatory fat stranding. There
mayalsobeloculesoffreegasandevidenceofthefistula
between the gallbladder and duodenum. Occasionally,
the inflamed gallbladder can adhere to ascending
colon and the gallstone can pass into the large bowel.
This may then lead to passage of the stone or it can
become obstructed, depending on the size of the stone
(Figures 2.34, 2.35).
If gallstone ileus is present, the surgical team
should be informed; treatment options are usually
surgically based, although some patients are managed
conservatively.
Key points
•	 An AXR showing Rigler’s triad is diagnostic for
gallstone ileus.
•	 CT features are similar to those seen on plain
film images. The entire bowel should be carefully
inspected to identify the transition point or
gallstone(s).
Figure 2.34  Axial image: unenhanced CT scan of the
abdomen. There is thickening of the gallbladder wall,
consistent with acute cholecystitis.
Figure 2.35  Axial image: unenhanced CT scan of the
abdomen. There is an impacted gallstone in the sigmoid
colon.
K22247_C002.indd 48 16/05/15 3:07 AM
Gastrointestinal and genitourinary imaging 49
Radiological investigations
An abdominal and erect CXR is indicated in patients
who present with signs of SBO. An abdominal plain
film may confirm the presence of obstruction and/
or free intraperitoneal gas. Contrast enhanced CT is
significantlymoreeffectiveintheevaluationofSBOand
is considered the most accurate modality for diagnosis.
(See Table 2.12.) Oral contrast may not be tolerated by
the patient and is not needed to identify SBO.
Radiological findings
Plain films
Abdominal plain film imaging can be used to diagnose
the presence of SBO. The key finding is that of bowel
dilatation (3 cm), often containing air fluid levels
(Figure 2.36). Small bowel can be differentiated from
SMALL BOWEL OBSTRUCTION
SBO is a common clinical problem, which occurs as a
result of mechanical or functional delay in the transit
of small bowel contents. It is a frequent reason for
hospitalisation and represents approximately 20% of
all surgical admissions (Foster et al., 2006).
SBO is caused by a number of pathological entities.
By far the most common is adhesions (60%), followed
by hernias. Other rarer causes include gallstone
ileus and intussusception, which are discussed above
(see Gallstone ileus) and in Chapter 4 (Paediatrics,
Intussusception). The commonest cause of functional
SBO is in the postoperative period, termed pseudo-
obstruction or paralytic ileus.
Causes of SBO include:
•	 Adhesions.
•	 Hernia.
•	 Gallstone ileus.
•	 Crohn’s disease.
•	 Small bowel or caecal malignancy.
•	 Intussusception.
•	 Malrotation and volvulus.
Clinical symptoms commonly associated with
SBO include abdominal pain, nausea, vomiting,
fever, tachycardia and constipation or diarrhoea.
Changes in the character of the pain associated with
peritonism or haemodynamic instability may indicate
the development of more serious complications (e.g.
perforated, strangulated or ischaemic bowel).
Imaging may be required at an early stage to confirm
the diagnosis, ascertain the cause and plan for surgery,
especially if there are suspected complications. Some
patients can be managed conservatively, especially in
cases of paralytic ileus. In cases where there is SBO
but no clear cause or transition point is identified, the
causeislikelytobepseudo-obstruction,especiallyifthe
patient is postoperative. Management of this entity is
usually conservative.
Complications of SBO should be assessed for and
communicated to the referring clinician, as these
necessitate urgent surgical management. The main
complications are perforation (see Bowel perforation)
and bowel ischaemia (see Bowel ischaemia and
enterocolitis).
Figure 2.36  AP abdominal radiograph. Multiple loops
of dilated small bowel are seen in the central and left
abdomen consistent with SBO. The hernia orifices have
not been included on this image. There is no evidence of
gallstones or biliary gas.
MODALITY PROTOCOL
CT IV contrast, portal venous phase: 100 ml IV
contrast, 4 ml/sec via 18G cannula. Scan
at 70 seconds. Scan from just above the
­diaphragm to just below the pubic symphysis.
Plain film
imaging
Erect CXR to include the diaphragm.
­Abdominal plain film imaging to include the
liver to the pubic symphysis.
Table 2.12 Small bowel obstruction. Imaging
protocol.
K22247_C002.indd 49 16/05/15 3:07 AM
Chapter 250
loops (diameter 3 cm from outer wall to outer wall)
(Figure 2.37). Only a portion of the small bowel may be
dilated,withcollapsedboweloftenseendistaltothesite
of obstruction.
In cases of proximal SBO, the stomach may also be
distended. If this is the case, a recommendation can be
made for the placement of an NG tube, which serves
to decompress the stomach and provide symptomatic
relief.
The next aim should be to trace the entire length of
small bowel toidentifythecauseof theobstruction; this
can often be very tricky, especially if there are multiple
collapsed loops in the pelvis. The use of multiplanar
reformats in this situation can be of use. A transition
point is determined by identifying a calibre change
between the dilated proximal and the collapsed distal
small bowel loops (Figure 2.38).
largebowelonplainfilmstudiesbecauseofthepresence
of valvulae conniventes and its central location.
Signs of perforation of the bowel can be assessed
for by looking for free air, either under the diaphragm
on an erect CXR or within the abdomen. The various
signs of perforation were discussed in detail earlier (see
Bowel perforation).
Other areas to assess on a plain film are the hernial
orifices. The presence of bowel loops below the
inguinalligamentonaplainfilmisalwaysabnormaland
indicates a hernia. If this is associated with features of
SBO,thenthemostlikelycauseisastrangulatedhernia.
The presence of pneumobilia, SBO and a calcified
intraluminal lesion is likely to indicate gallstone ileus as
a cause (see Gallstone ileus).
Computed tomography
CT criteria for SBO are the same as for plain film
imaging, with the presence of dilated small bowel
Figure 2.37  Axial image: IV contrast enhanced
CT scan of the pelvis in the portal venous phase. There
are multiple loops of dilated, fluid-filled small bowel
­consistent with SBO. No cause of obstruction is visible
on the selected image.
Figure 2.38  Axial image: IV contrast enhanced
CT scan of the abdomen and pelvis in the portal venous
phase. There are multiple loops of dilated, fluid-filled
small bowel ­consistent with SBO. A clear transition
point is seen between the dilated proximal and collapsed
distal bowel loops (arrow). The cause in this case was a
small bowel volvulus.
K22247_C002.indd 50 16/05/15 3:07 AM
Gastrointestinal and genitourinary imaging 51
Crohn’s disease
SBO can result from Crohn’s disease. This is
characterised by bowel wall thickening/oedema and
surrounding inflammatory fat stranding. Additionally,
it can be a manifestation of chronic disease, which
usually results in stricturing of affected segments.
Lastly, it may be related to adhesions, incisional
hernias or postoperative strictures in patients who have
undergone previous abdominal surgery.
Neoplasia
Primary neoplastic causes of SBO are rare. When small
boweladenocarcinomamanifestsasSBO,itisusuallyat
an advanced state and shows pronounced, asymmetric
and irregular mural thickening at the transition
point. Small bowel involvement by metastatic cancer
is more common in the form of peritoneal/serosal
deposits. Intraluminal lesions such as neoplasms or
polyps can also form lead points for intussuscepting
segments of bowel (see Chapter 4: Paediatric imaging,
Intussusception). Colonic malignancies can result
in small bowel dilatation if there is an incompetent
ileocaecal valve.
Adhesions
Adhesions are the commonest cause of SBO in western
populations, with most cases occurring as a result of
previous abdominal surgery. The diagnosis of SBO
due to adhesions is usually one of exclusion, as adhesive
bands are not seen on conventional CT. An abrupt
change in the calibre of the bowel is seen without any
associated mass lesion, significant inflammation or
bowel wall thickening at the transition point. There
may often be angulation of the affected loops of bowel
at the site of obstruction.
Hernias
Hernias are considered the second commonest cause of
SBO, responsible for 10% of cases (Silva et al., 2009).
Hernias are classified according to the anatomical
location of the orifice through which the bowel
protrudes (Figure 2.39). Distinction should be made
regarding the hernia location, sac size and contents
and whether there are any complications. Features
such as poor enhancement and bowel wall thickening
can be suggestive of strangulation or ischaemia
(Figure 2.40).
Figure 2.39  Coronal image: IV contrast enhanced
CT scan of the abdomen and pelvis in the portal venous
phase. An obstructed right inguinal femoral hernia can
be seen causing SBO (arrow).
Figure 2.40  Axial image: IV contrast enhanced
CT scan of the pelvis in the portal venous phase.
There is a loop of incarcerated small bowel within
a right inguinal hernia (arrow). The bowel wall is
poorly enhancing and there is adjacent fat stranding
and free fluid.
K22247_C002.indd 51 16/05/15 3:07 AM
Chapter 252
GASTRIC VOLVULUS
Gastric volvulus is defined as an abnormal rotation of
the stomach along its mesentery, which can result in a
closed loop obstruction. Cases can be divided broadly
intothreetypes:organoaxial,mesenteroaxialandmixed.
Organoaxial is more common, comprising over two
thirds of cases (Peterson et al., 2009), and occurs when
thestomachrotatesalongitslongaxis(Figures2.41a, b).
The greater curvature is displaced superiorly while
the lesser curvature moves caudally. This subtype of
volvulaecanbeassociatedwithtraumaticdiaphragmatic
and para-oesophageal hernia. Mesenteroaxial is less
common and occurs when the stomach rotates around
its short axis, resulting in displacement of the gastric
antrumtoalevelabovethegastro-oesophagealjunction
(Figures 2.42a, b). All subtypes can be asymptomatic
and chronic, or present acutely with symptoms of
pain and obstruction. Symptoms and signs of acutely
symptomatic cases are described by Borchardt’s triad:
epigastric pain, intractable retching and inability to
pass an NG tube. The greatest concern in cases of acute
obstruction is strangulation of the twisted segment,
which should be especially suspected in the presence of
an elevated serum lactate level. Urgent diagnosis is vital
in order to facilitate potential surgical intervention. It is
importanttonotethatchroniccasesareoftendiagnosed
incidentally on CT and fluoroscopy studies performed
for other indications, and the diagnosis must always be
correlated with patient symptoms.
Radiological investigations
Abdominal plain film imaging can be helpful in
the initial assessment of gastric volvulus in order to
assess for more distal bowel obstruction. Erect chest
plain film imaging also has a role in identifying sub-
diaphragmaticfreegas,indicativeofperforation(which
canbothcomplicategastricvolvulusandalsobeanother
cause of abdominal pain). Fluoroscopy can accurately
demonstrate the morphology of the stomach, but this
modality may not be available out of hours and is not
always suitable in unstable patients. Fluoroscopy also
requiresoralcontrastadministration,whichmaynotbe
toleratedincasesoftotalobstruction.CTcanaccurately
demonstrate the morphology of the stomach and has
Radiation enteritis
Radiation enteritis causes obstruction in the late phase
1 year after radiation therapy, usually to the pelvis.
Radiation enteritis causes SBO primarily by producing
smooth strictures of the bowel, as well as adhesive and
fibrotic changes in the mesentery. There may also be
abnormal enhancement of the thickened bowel wall
caught in the field of the radiation therapy, in addition
to bowel wall thickening.
Gallstone ileus
See Gallstone ileus.
Key points
•	 Abdominal plain film imaging is very useful in
detecting the presence of SBO; however, CT
is required to ascertain the cause and look for
complications.
•	 The criterion for SBO is bowel dilated to 3 cm.
The entire small bowel should be traced in order
to identify a transition point, which is a clear
calibre change from dilated to non-dilated bowel.
•	 In cases where a transition point is identified, but
no other significant findings are present, the cause
is likely to be adhesional, especially if there is
supporting clinical history of previous surgery.
•	 Complications of SBO must be communicated
to the referring clinician urgently as this impacts
patient management.
Report checklist
•	 Degree of small bowel dilatation.
•	 Presence or absence of a focal transition point.
•	 Presence or absence of underlying causes, such as
hernias or malignancy.
•	 Presence or absence of complications, such as
evidence of perforation or bowel ischaemia.
References
Foster NM, McGory ML, Zingmond DS et al. (2006)
Small bowel obstruction: a population-based
appraisal. J Am Coll Surg 203:170–176.
Silva CA, Pimenta M, Guimaraes LS (2009) Small
bowel obstruction: what to look for? Radiographics
29:423–439.
K22247_C002.indd 52 16/05/15 3:07 AM
Gastrointestinal and genitourinary imaging 53
Figures 2.41a, b  The axis of gastric rotation in organoaxial volvulus.
(a) ( b)
Figures 2.42a, b  The axis of gastric rotation in mesenteroaxial volvulus.
(a) ( b)
K22247_C002.indd 53 16/05/15 3:07 AM
Chapter 254
Radiological findings
Computed tomography
Gastric volvulus should be suspected on CT with an
abnormal orientation of the stomach. The greater
curvature should always lie inferior to the lesser
curvature and the gastro-oesophageal junction should
be positioned to the left and more cranial than the
gastroduodenal junction. Multiplanar reformats
should be utilised in order to more easily appreciate
the anatomical orientation of the stomach, particularly
the coronal view, which mirrors the standard supine
view obtained by fluoroscopy and plain film imaging.
An organoaxial orientation of the stomach is diagnosed
when the greater curvature is positioned more cranially
than the lesser curvature, while a mesenteroaxial
orientation occurs when the antrum is more cranial
than the gastro-oesophageal junction (Figure 2.43).
Mixed subtype gastric volvulae are diagnosed when
the stomach orientation fulfils the criteria for both
the organoaxial and mesenteroaxial orientation. The
stomach may lie in an intrathoracic position when
associated with a hiatus hernia (Figure 2.44). Note:
Both subtypes can be chronic and asymptomatic; in
incidental cases the term ‘orientation’ should be used as
opposed to ‘volvulus’ to highlight this point.
Obstruction is indicated by significant dilatation
of the closed gastric loop, proximal dilatation of the
several advantages over fluoroscopy: identification of
complicating factors such as perforation and gastric
ischaemia, associated conditions such as diaphragmatic
hernia and alternative causes of abdominal pain. CT
can be performed with or without water soluble oral
contrast. Oral contrast administration can aid the
assessmentofthedegreeofobstruction;however,itcan
limit interpretation of gastric wall enhancement and
may not be tolerated by the patient. (See Table 2.13.)
MODALITY PROTOCOL
CT Portal venous phase: 100 ml IV contrast via
18G cannula, 4 ml/sec. Scan at 70 seconds
after initiation of injection. Oral contrast:
50 ml water soluble oral contrast diluted
in 500 ml water. Administer just prior to
­scanning. Scan from mid thorax to femoral
head level.
Fluoroscopy Water soluble contrast (iodine concentration
300 mg/l) administered orally. Barium can
cause mediastinitis and in general should not
be used (although advocates argue barium
increases the sensitivity of detecting small
leaks when water soluble contrast has failed
to do so).
Table 2.13  Gastric volvulus. Imaging protocol.
Figure 2.43  Coronal image: IV contrast enhanced
CT scan of the thorax and abdomen in the arterial
phase. The stomach has an ‘upside down’ configuration
­consistent with an organoaxial gastric volvulus.
Figure 2.44  Axial image: IV contrast enhanced
CT scan of the thorax in the arterial phase. The ­majority
of the stomach lies within the thorax due to a large
hiatus hernia.
K22247_C002.indd 54 16/05/15 3:07 AM
Gastrointestinal and genitourinary imaging 55
oesophagus and distal bowel collapse (Figures 2.45,
2.46). In studies where oral contrast is administered,
complete hold of contrast signifies complete
obstruction, although it should be emphasised that
some contrast passage can still occur in cases of severe
obstruction. Gastric wall thickening, pneumatosis
(gas within the gastric wall, best appreciated on lung
window settings) and poor gastric enhancement should
all raise the suspicion of gastric ischaemia, an important
complication that should be urgently communicated
to the referring team. Free gas is indicative of
perforation and can be seen in both the peritoneum and
mediastinum, depending on the site of the perforated
portion of the stomach.
Figure 2.45  Oblique coronal image: IV contrast
enhanced CT scan of the abdomen and pelvis in the
portal venous phase. The stomach is significantly dilated
and demonstrates an abnormal configuration, suggestive
of obstruction secondary to gastric volvulus.
Figure 2.46  Axial image: IV contrast enhanced
CT scan of the thorax in the arterial phase. The
­proximal stomach is dilated and fluid filled as a result of
­obstruction. The distal stomach beyond the obstruction
is collapsed.
K22247_C002.indd 55 16/05/15 3:07 AM
Chapter 256
single air fluid level, whereas mesenteroaxial volvulae
demonstrate two discrete fluid levels.
Key points
•	 Gastric volvulus can be a long-standing and
asymptomatic finding or present with symptoms
of acute obstruction.
•	 Volvulae can be organoaxial (rotation around
the gastric long axis, greater curvature displaced
cranial to the lesser curvature), mesenteroaxial
(rotation around the gastric short axis, gastro-
oesophageal junction displaced cranial to the
antrum) or mixed.
•	 CT accurately demonstrates the morphology and
orientation of the stomach, as well as complicating
factors such as perforation and ischaemia.
Report checklist
•	 Characterise the type of gastric volvulus.
•	 Degree of associated obstruction.
•	 Presence or absence of complications, such as
gastric ischaemia and aspiration pneumonia.
•	 Emphasise that some gastric volvulae may be
long-standing; clinical correlation is required in
these instances.
References
Feldman M, Friedman LS, Brandt LJ (2010) Sleisenger
and Fordtran’s Gastrointestinal and Liver Disease:
Pathophysiology/Diagnosis/Management, 9th edn.
Saunders/Elsevier, St. Louis.
Peterson C, Anderson J, Hara A et al. (2009)
Volvulus of the gastrointestinal tract: appearances
at multimodality imaging. Radiographics
29:1281–1293.
Plain films
Plain films may demonstrate a grossly distended gas-
filledviscusintheupperabdomenandapaucityofbowel
gas distally. In cases associated with diaphragmatic
hernia, the stomach may be seen in an intrathoracic
position (Figure 2.47). Typically, organoaxial volvulae
present as a horizontally orientated stomach with a
Figure 2.47  PA chest radiograph. There is a large
hiatus hernia with the stomach extending into the
thoracic cavity. A large gas fluid level is seen within the
stomach representing fluid within the volvulus contained
in a hiatus hernia.
K22247_C002.indd 56 16/05/15 3:07 AM
Gastrointestinal and genitourinary imaging 57
for patients who are unable to swallow oral contrast
media. Some studies have estimated that fluoroscopy
can be associated with a significant 10–20% false-
negative rate (Tonolini  Bianco, 2013), although this
depends on fluoroscopic technique and the experience
of the interpreter. CT imaging with oral contrast is
increasingly being utilised as the initial modality of
choice in suspected cases of oesophageal rupture. CT is
often more appropriate in unstable patients because of
its speed and the ease with which it can be performed.
It gives accurate anatomical information regarding
the structures adjacent to the oesophagus and can,
in addition, assess for other underlying pathologies.
CT can also be performed without oral contrast, unlike
fluoroscopy, although sensitivity will be decreased.
(See Table 2.14.)
OESOPHAGEAL PERFORATION
Oesophageal perforation is most commonly iatrogenic
in nature and can be seen secondary to endoscopy,
oesophageal dilation, myotomy and stent placement,
foreign body extraction, gastric fundoplication and
anteriorcervicaldiscectomy.Perforationcanalsooccur
secondary to tumours and severe ulceration resulting
from gastro-oesophageal reflux disease. Spontaneous
oesophageal rupture, termed Boerhaave syndrome,
is usually associated with vomiting. It is believed that
incomplete cricopharyngeal muscle relaxation during
vomiting results in a sudden increase in oesophageal
intraluminal pressure, which can result in perforation.
This should be distinguished from a Mallory–Weiss
tear, which is also associated with protracted vomiting
but is not transmural and therefore does not result in
oesophageal perforation. The most common site of
spontaneous perforation is the thoracic oesophagus,
particularlythedistalleftposteriorwall.Symptomsand
signs include sudden onset chest pain, haematemesis
and fever. Blood tests may show raised inflammatory
markers or, alternatively, may be normal. Oesophageal
perforationhasahighmortalityrateandearlydiagnosis
and surgical intervention is vital.
Radiological investigations
Chest plain film imaging is a useful initial tool in the
assessmentofsuspectedoesophagealrupturetoexclude
alternative pathologies, although it is rarely diagnostic
of oesophageal rupture. Definitive diagnosis often
requires either a contrast swallow fluoroscopic study
or CT imaging. While fluoroscopy has traditionally
been thought of as the modality of choice to investigate
oesophageal perforation, it has inherent limitations.
Fluoroscopy is not always suitable in acutely unwell
patients, is time-consuming to perform and may not be
available out of hours. Fluoroscopy is also not suitable
MODALITY PROTOCOL
CT Post IV contrast, portal venous phase: 100 ml
IV contrast via 18G cannula, 4 ml/sec. Scan
at 30 seconds after initiation of injection.
Oral contrast: 50 ml water soluble oral
­contrast diluted in 500 ml water. Administer
just prior to scanning. Scan from level of
thoracic inlet to below diaphragm.
Fluoroscopy Water soluble contrast swallow: water
soluble oral contrast (iodine concentration
300mg/l) administered orally.
Barium can cause mediastinitis and in
­general should not be used (although
advocates argue barium increases sensitivity
of detecting small leaks when water-soluble
contrast has failed to do so).
Table 2.14 Oesophageal perforation.
­Imaging  protocol.
K22247_C002.indd 57 16/05/15 3:07 AM
Chapter 258
Radiological findings
Computed tomography
The presence of extraluminal oral contrast in the
posterior mediastinum (which can also track into the
left-sided pleural cavity) is indicative of oesophageal
perforation (Figures 2.48, 2.49). An additional helpful
signispneumomediastinum;utilisationoflungwindow
settings aids visualisation of this (Figure 2.50). It should
be noted that this is a non-specific sign and if seen
in isolation, additional causes should be considered
(Table 2.15). Concentric or eccentric oesophageal
muralthickeningcanalsobeseenincasesofoesophageal
perforation, although it is also non-specific and can be
seen with oesophagitis or malignancy; the presence of
associated para-oesophageal lymphadenopathy is more
suggestive of the latter. Para-oesophageal enhancing
fluid collections may also be seen. Note: Small
oesophageal leaks may be missed on CT, especially in
the absence of oral contrast; this should be emphasised
in the report.
Fluoroscopy
Contrast swallow fluoroscopy should be performed
with the patient in a semi-supine (20°) position, right
Figure 2.48  Axial image: oral and IV contrast
enhanced CT scan of the thorax in the arterial phase.
Oral contrast is seen collecting in the right pleural space
with locules of gas. Left pleural effusion is also noted.
Figure 2.49  Axial image: oral contrast CT scan of
the thorax. Contrast can be seen within the stomach.
Contrast has collected around the oesophagus within
the posterior mediastinum (arrow). A left-sided pleural
effusion is also present, containing locules of gas.
Figure 2.50  Axial image: IV contrast enhanced
CT scan of the thorax in the arterial phase. Viewed on
lung window settings, gas can be seen surrounding the
­superior mediastinal structures.
andleftanterioroblique,rightandleftlateralandprone
positions, although this depends on patient tolerance.
Ideally, the patient should swallow the oral contrast
mediumfromacupondemand.Bolusesoforalcontrast
K22247_C002.indd 58 16/05/15 3:07 AM
Gastrointestinal and genitourinary imaging 59
•	 Blunt chest trauma.
•	 Secondary to chest, neck or retroperitoneal surgery.
•	 Oesophageal perforation.
•	 Tracheobronchial perforation.
•	 Vigorous exercise.
•	 Asthma.
•	 Barotrauma.
•	 Subcutaneous emphysema, pulmonary interstitial
emphysema.
•	 Stab wound.
•	 Infection.
•	 Idiopathic.
Table 2.15  Causes of pneumostinum.
Figure 2.51  PA chest radiograph. Streaky linear
­lucencies are seen within the superior mediastinum
and outlining the left heart border. Subcutaneous
­emphysema is also seen in the supraclavicular fossa
bilaterally.
Reference
Tonolini M, Bianco R (2013) Spontaneous esophageal
perforation (Boerhaave syndrome): diagnosis
with CT-esophagography. J Emerg Trauma Shock
6:58–60.
should be followed down the entire oesophagus.
Rupture is confirmed in the presence of extravasation
of oral contrast or an irregular collection of contrast
external to the oesophageal lumen. Additional findings
include oesophageal wall irregularity and distortion,
which may suggest para-oesophageal collections.
Adequate oesophageal luminal distension is vital
to identify oesophageal perforation; this requires a
good oral contrast load. The study should always be
terminated if oral contrast material is aspirated.
Plain films
Chest plain film findings are all non-specific but can
suggest the diagnosis of oesophageal perforation.
The most common sign of oesophageal perforation
seen on chest plain film imaging is a left-sided pleural
effusion and atelectasis/consolidation, reflecting
the fact that the most common site of oesophageal
perforation is the distal left-sided posterior wall.
Pneumomediastinum should always raise suspicion of
oesophageal perforation, especially in the presence of
associated symptoms. Pneumomediastinum has many
appearances on chest plain film imaging, although
all rely on the presence of abnormal gas outlining
the normal mediastinal structures (Figure 2.51).
Note: Pneumomediastinum on plain film imaging
has a low sensitivity and specificity for oesophageal
rupture and can be seen in many other conditions
(Table 2.15).
Key points
•	 Oesophageal perforation has a high mortality rate
and urgent diagnosis is essential.
•	 Imaging modalities include CT with water soluble
oral contrast and fluoroscopy. Small leaks can be
missed on both modalities if the oral contrast load
is inadequate.
Report checklist
•	 Presence or absence of extra-oesophageal
oral contrast.
•	 Attempt to localise any potential oesophageal
breach.
•	 Document any associated complications
(e.g. mediastinal collections and mediastinitis).
K22247_C002.indd 59 16/05/15 3:07 AM
Chapter 260
and non-compression) is most diagnostic in the
hands of experienced sonographers and radiologists.
In the on-call setting, the use of ultrasound and
experience in scanning for appendicitis may be limited.
(See Table 2.16.)
Radiological findings
Computed tomography
The appendix should be identified – the use of
multiplanar reformatting is sometimes necessary
to achieve this. The normal appendix appears as
a tubular or ring-like pericaecal structure that
is either totally collapsed or partially filled with
fluid, contrast material or air. It has a thickness less
than 3 mm. Acute appendicitis causes thickening
of the appendix with a two-wall diameter greater than
6–7 mm. Periappendicular inflammatory stranding
and free fluid may also be seen (Figure 2.52), as
may a calcified appendicolith (seen in 30% of cases,
Figure 2.53). Other conditions, such as active Crohn’s
disease in the terminal ileum, can cause a similar
appearance of a thickened tubular structure in the
right iliac fossa. It is important to differentiate the
two structures anatomically, since the management
of the two conditions differs. Caecal thickening
and inflammatory changes may be present, and if
oral contrast has been given, it may give rise to an
‘arrowhead’ appearance, as contrast funnels at the
caecal apex to the point of the obstructed appendicular
orifice.
Perforated appendicitis is usually accompanied
by pericaecal abscess formation, which presents as an
enhancing fluid collection (Figure 2.54). These may
ACUTE APPENDICITIS
Acute appendicitis is the most common cause of
acute abdominal pain and is a surgical emergency.
Appendicitis occurs in all age groups; it is rare in infants
but becomes increasingly common in childhood,
reaching peak incidence in the late teenage years
and early twenties. Abdominal pain is the primary
symptom of appendicitis and is initially located in the
lower epigastrium or periumbilical area. The pain
subsequently localises to the right lower quadrant,
where it becomes progressively more severe. Anorexia
nervosa nearly always accompanies appendicitis.
Nausea, vomiting and low-grade fever are common
symptoms. Less commonly, diarrhoea or constipation
may be seen. The physical examination findings in
acute appendicitis are localised abdominal tenderness,
rigidity, muscle guarding, pain on percussion
and rebound tenderness. Pain in the right lower
quadrant with palpation of the left lower quadrant
(Rovsing sign) is helpful in supporting a clinical
diagnosis. High C-reactive protein (0.8 mg/dl) with
leucocytosis and neutrophilia is the most significant
laboratory finding.
The diagnosis of acute appendicitis is primarily a
clinical one; however, many conditions have similar
clinical presentations to appendicitis and a definitive
diagnosis may be difficult to make. In these cases of
clinical uncertainty, the on-call radiologist may be
required to aid the diagnosis.
Radiological investigations
Both CT and ultrasound can be useful in the diagnosis
of acute appendicitis and its complications. Radiology,
primarily CT, can reduce the number of misdiagnoses
and negative laparotomies, with high positive and
negative predictive values of between 95 and 98%
and 95 and 100%, respectively (Curtin et al., 1995). In
addition,itcanbeofuseinthedetectionofappendicular
abscesses, postoperative complications and other
conditionsmimickingappendicitis.Ultrasoundalsohas
a diagnostic role in patients where CT is less favourable
(e.g. children, young women and pregnant women).
The reported positive and negative predictive values
are 91 to 94% and 89 to 97%, respectively (Curtin
et al., 1995). The use of ultrasound (compression
MODALITY PROTOCOL
CT Post IV contrast, portal venous phase: 100 ml
IV contrast, 4 ml/sec via 18G cannula. Scan at
70 seconds. Scan from above diaphragm to
femoral head level.
Ultrasound 6–9MHz linear probe.
Table 2.16 Acute appendicitis. Imaging
­protocol.
K22247_C002.indd 60 16/05/15 3:07 AM
Gastrointestinal and genitourinary imaging 61
Figure 2.52  Coronal image: oral and IV contrast
enhanced CT scan of the abdomen and pelvis in the
portal venous phase. A thick-walled appendix can be
seen in the right iliac fossa (arrow). There is adjacent
inflammatory fat stranding.
Figure 2.53  Axial image: oral and IV contrast
enhanced CT scan of the abdomen and pelvis in the
portal venous phase. A thick-walled appendix can be
seen in the right iliac fossa containing a round calcified
appendicolith (arrow).
Figure 2.54  Axial image: oral and IV contrast enhanced
CT scan of the abdomen and pelvis in the portal venous
phase. A relatively well-defined mass is seen in the
right iliac fossa just anterior to the right psoas muscle
(arrow). An abscess has formed around the appendix,
with inflammatory changes visible around the mass.
K22247_C002.indd 61 16/05/15 3:07 AM
Chapter 262
may also be increased echogenicity of the mesenteric
fat that surrounds the appendix. Adjacent hypoechoic
free fluid may also be seen, in addition to focal abscess
formation.
Key points
•	 Appendicitis is primarily a clinical diagnosis.
Radiology should only be used in situations where
the clinical diagnosis is uncertain.
•	 Ultrasound can be used in cases where CT is less
favourable (i.e. children and pregnant women), but
it is is user dependent.
•	 Key CT features include a thickened appendix
(6 mm), surrounding inflammatory mesenteric
changes and the presence of an appendicolith.
Report checklist
•	 Document the diameter of the appendix and the
degree of appendicular thickening.
•	 Presence or absence of complications, such as
appendicular abscesses and perforation.
References
Brown M (2008) Imaging acute appendicitis. Semin
Ultrasound CT 29:293–307.
Curtin K, Fitzgerald S, Nemcek A et al. (1995) CT
diagnosis of acute appendicitis: imaging findings.
Am J Roentgenol 164:905–909.
involve adjacent structures (Figures 2.55a–c). Free
intraperitoneal gas is suggestive of appendicular
perforation without abscess formation, and is best
appreciated on lung or bone window settings.
As with any cause of intra-abdominal inflammation,
acute appendicitis can cause localised small bowel
ileus, suggested by small bowel dilatation without
an associated transition point. Sagittal and coronal
reformats can help to identify the appendix when it
is difficult to find. They can also be used to identify
where abscesses are tracking, and the nature of their
relationship to the appendix.
Ultrasound
Appendicitis is diagnosed on ultrasound when the total
appendix diameter is greater than 6 mm or individual
wall thickness is greater than 3 mm (Brown, 2008).
The diagnosis is also suggested by a ­non-compressible
appendix during scanning (Figures 2.56a, b). A
technique of graded compression should be adopted.
This requires the operator to gradually increase
pressure on the patient during the scan over the site
of tenderness, in order to displace loops of bowel and
demonstrate the appendix. In normal patients, it can be
difficult to visualise the appendix.
An appendicolith appears as a focal hypoechoic
structure within the tubular appendix, which usually
demonstrates posterior acoustic shadowing. These are
often present in patients with acute appendicitis. There
K22247_C002.indd 62 16/05/15 3:07 AM
Gastrointestinal and genitourinary imaging 63
Figures 2.55a–c  Axial, coronal and sagittal images:
IV contrast enhanced CT scans of the abdomen and
pelvis in the portal venous phase. These demonstrate
a thickened, inflamed appendix with a right iliopsoas
abscess.
(a) ( b)
(c)
Figures 2.56a, b  Transverse and longitudinal ultrasonograms of the appendix. The appendix has a diameter of
8 mm and is non compressible consistent with acute appendicitis. No appendicolith or surrounding fluid collections
are seen. The mesenteric fat surrounding the appendix is echogenic, which is a non-specific feature often seen in
acute appendicitis.
(a) ( b)
K22247_C002.indd 63 16/05/15 3:07 AM
Chapter 264
ACUTE PANCREATITIS
Acute pancreatitis is an acute inflammatory process
of the pancreas, which may also involve adjacent or
remote tissues and organs. The incidence rate ranges
from 150 to 420 per 1 million (Johnson et al., 2005).
The commonest causes of acute pancreatitis are
cholelithiasis and elevated alcohol consumption; the
latter, if sustained, can also cause chronic pancreatitis.
Acute pancreatitis can also be iatrogenic, secondary
to endoscopic retrograde cholangiopancreatography.
Additional, rarer causes include abdominal
surgery, trauma, congenital pancreatic divisum,
hyperlipidaemia, hypercalcaemia and infection.
Symptoms and signs of acute pancreatitis include
abdominal pain, nausea and vomiting and pyrexia. If
severe, a profound systemic inflammatory response
can lead to haemodynamic instability and, ultimately,
multiorgan failure. The diagnosis is often suggested
by a significant elevation in serum pancreatic enzyme
levels (e.g. amylase and lipase), although a low level
elevation of amylase is non-specific and can also be seen
in other causes of an acute abdomen. Many clinical
scoring systems, such as the Glasgow (Table 2.17)
and APACHE II (Acute Physiology and Chronic
Health Evaluation) Scores are used to provide an
objective assessment of the severity of pancreatitis.
Complications of acute pancreatitis include pancreatic
pseudocysts,focalabscessformationandperipancreatic
fluid collections, pancreatic necrosis, haemorrhage,
MODALITY PROTOCOL
CT Arterial phase: 100 ml IV contrast via 18G
cannula, 4 ml/sec. Bolus track centred on
mid-abdominal aorta. No oral contrast.
­Image the pancreas only.
Portal venous phase: IV contrast as
above, scan at 70 seconds after contrast
­administration. Scan from just above
­diaphragm to femoral head level.
Table 2.18 Acute pancreatitis. Imaging
­protocol.
arterial pseudoaneurysm formation and venous
thrombosis (e.g. the portal and splenic veins).
The severity of acute pancreatitis is highly variable;
it can range from mild and self-limiting to fulminant.
If severe, the mortality rate is estimated to be as high
as 50%. Note: The diagnosis of acute pancreatitis is a
clinicalone,usuallymadeonthebasisofelevatedserum
pancreatic enzyme levels and an appropriate clinical
history. Radiological investigations are not required
to establish the diagnosis; however, they do play a role
in identifying the complications that can arise in more
severe cases.
Radiological investigations
CT is the imaging modality of choice for identifying
the complications that can arise secondary to
severe cases of acute pancreatitis. It is quick, readily
available and also aids in identifying alternative intra-
abdominal pathologies. An arterial phase, in addition
to the portal venous phase, aids in the identification
of vascular complications; however, it is usually only
used when there is concern about necrotic pancreatitis
and therefore an arterial phase may not routinely
be required. Ultrasound can be used to identify the
underlying cause (e.g. gallstones); however, it is less
sensitive than CT at identifying pancreatic necrosis.
Ultrasound can also be technically challenging in
acutely unwell patients; difficulties include a limited
acoustic window, which can result in suboptimal views
of the pancreas. (See Table 2.18.)
PaO2 8 kPa 1
Age 55 years old 1
Neutrophilia: WCC 15 × 109/l 1
Calcium 2 mmol/l 1
Renal function: urea 16 mmol/l 1
Enzymes: LDH 600 U/l; AST 200 U/lL 1
Albumin 32 g/l (serum) 1
Sugar: blood glucose 10 mmol/l 1
Table 2.17 Glasgow Score: a score of 3 or more
indicates ­severe pancreatitis.
K22247_C002.indd 64 16/05/15 3:07 AM
Gastrointestinal and genitourinary imaging 65
radiologically from a primary pancreatic malignancy
and can prove a diagnostic challenge; clinical history
can be useful in these situations. The pancreas should
enhance uniformly on the arterial and portal venous
phases. Loss of pancreatic enhancement, as evidenced
by decreased parenchymal attenuation (which can be
uniform or focal), is suggestive of pancreatic necrosis
and indicates severe pancreatitis (Figure 2.58).
Locules of gas within the non-enhancing pancreatic
parenchyma are highly suggestive of infective necrosis,
again indicating severe pancreatitis. The severity of
acute pancreatitis can be graded on CT imaging using
Figure 2.58  Axial image: IV contrast enhanced
CT scan of the abdomen in the portal venous
phase. The pancreas is ill defined with surrounding
­inflammatory changes consistent with acute ­pancreatitis.
In addition, there are focal areas of non-enhancing
tissue within the body of the pancreas, consistent with
pancreatic necrosis.
Figure 2.57  Axial image: IV contrast enhanced
CT scan of the abdomen in the portal venous phase.
The pancreatic tail is ill-defined and oedematous with
surrounding inflammatory changes consistent with
focal ­pancreatitis. A filling defect can be seen within
the portal vein near the pancreatic head, representing
non-occlusive ­thrombosis (arrow).
Radiological findings
Computed tomography
In mild cases of acute pancreatitis, the pancreas can
appear normal on CT imaging. Findings can include
an enlarged oedematous pancreas with associated
peripancreaticinflammatoryfatstranding(Figure 2.57).
Localised free fluid is common and may extend along
the mesentery, mesocolon and hepatoduodenal
ligament and into peritoneal spaces. Acute pancreatitis
can be diffuse or focal, the latter affecting a single
part of the gland such as the head or tail. Cases of
focal acute pancreatitis can be difficult to differentiate
K22247_C002.indd 65 16/05/15 3:07 AM
Chapter 266
collection with a uniformly thick wall (Figure 2.59),
the degree of enhancement of which can vary.
All peripancreatic collections can be complicated by
infection. The presence of locules of gas within any
collection should raise the suspicion of infection;
however, CT imaging cannot readily differentiate
infected from non-infected collections and ultimately
aspiration and microbiological analysis may be
required. Peripancreatic collections can be drained
percutaneously by ultrasound or CT; discussion with
an interventional radiologist is advised in these cases.
The portal, splenic and superior mesenteric
veins should be inspected for thrombosis, appearing
as focal filling defects within the veins on portal
venous phased imaging (see Figure 2.57). Arterial
pseudoaneurysms can also occur, most commonly
involvingthesplenicartery.Pseudoaneurysmsmanifest
theCTSeverityIndex(CTSI)constructedbyBalthazar
et al., 1990 (Table 2.19).
Peripancreatic fluid collections can consist of
exudative fluid, necrotic tissue or haemorrhage,
all of which can be complicated by infection. The
appearance of enhancing fluid collections on
CT imaging can vary, ranging from uniform low
attenuation collections to heterogeneous mixed
density collections. It is important to differentiate
these acute collections from pancreatic pseudocysts.
The latter are common sequelae of acute pancreatitis
and represent organisation of leaked pancreatic fluid.
Pancreatic pseudocysts develop at least 4 weeks after
the onset of acute pancreatic inflammation and the
term ‘pseudocyst’ should be avoided in the early
period. Pancreatic pseudocysts generally appear
as a uniform low attenuation peripancreatic fluid
GRADING OF PANCREATITIS
Normal pancreas 0
Enlargement of pancreas 1
Inflammatory changes in pancreas and
peripancreatic fat
2
Ill-defined single fluid collection 4
Two or more poorly defined fluid collections 5
DEGREE OF PANCREATIC NECROSIS
None 0
Less than or equal to 30% 2
Between 30% and 50% 4
Greater than 50% 6
OVERALL SCORE AND SEVERITY OF ACUTE
PANCREATITIS
0–3 points Mild
4–6 points Moderate
7–10 points Severe
Table 2.19 Acute pancreatitis. CT Severity
Index.
Figure 2.59  Axial image: IV contrast enhanced CT
scan of the abdomen in the portal venous phase. There
is a round, thick-walled pseudocyst that lies between the
pancreatic neck and the stomach.
K22247_C002.indd 66 16/05/15 3:07 AM
Gastrointestinal and genitourinary imaging 67
Key points
•	 Imaging is not required to establish the diagnosis
of acute pancreatitis, but it does play a role in
identifying the complications that can arise. In
these cases, CT is the imaging modality of choice.
•	 CT findings of acute pancreatitis include
pancreatic swelling and oedema, peripancreatic
inflammatory fat stranding and fluid.
•	 Acute pancreatitis can be complicated by
pancreatic necrosis, focal abscess formation
and peripancreatic fluid collections, arterial
pseudoaneurysms, active bleeding and venous
thrombosis.
Report checklist
•	 Presence or absence of complications of
pancreatitis, including necrosis, abscess formation,
portal vein/splenic vein/superior mesenteric vein
thrombosis, pseudocyst and abscess formation,
pseudoaneurysm formation and bleeding, colitis,
pneumonia and pleural effusions.
•	 Consider the causes of pancreatitis, for example
the presence or absence of gallstones.
•	 Presence or absence of biliary dilatation or
obstruction.
References
Balthazar EJ, Robinson DL, Megibow AJ et al. (1990)
Acute pancreatitis: value of CT in establishing
prognosis. Radiology 174:331–336.
Johnson CD, Charnley R, Rowlands B et al. (2005) UK
guidelines for the management of acute pancreatitis.
Gut 54:1–9.
as well-defined rounded high attenuation foci on the
arterial phase, which demonstrates the same degree
of attenuation as the remainder of the arterial system.
Pseudoaneurysms may or may not be traced to a parent
vessel. Pseudoaneurysms can be complicated by acute
bleeding, which may also appear as a hyperattenuating
contrast blush on arterial phased imaging. On a
single arterial phase, active bleeding can be difficult
to distinguish from pseudoaneurysms; however, the
latter wash out on delayed imaging, thus allowing
differentiation.
The gallbladder should be inspected for gallstones,
thepresenceofwhichmayindicatethelikelyunderlying
cause. Gallstones have a highly variable appearance
on CT imaging; they can be purely calcified or
demonstratelaminatedcalcification.Alternatively,they
can be soft tissue density or even isoattenuating to the
adjacent bile; the latter may be missed on CT imaging.
The biliary system should be inspected for dilatation,
which may indicate an impacted gallstone distally. The
common bile duct should measure less than 6 mm in
people less than 60 years of age, with an additional 1
mm permitted for every extra decade over 60 years. In
the presence of biliary dilatation, the common bile duct
should be traced distally in order to attempt to identify
an impacted stone or obstructing soft tissue mass; these
can be challenging to differentiate on CT.
It is important to distinguish acute from chronic
pancreatitis, the latter commonly occurring secondary
to chronic alcohol excess. Chronic pancreatitis
manifests on CT as atrophy of the pancreas, with
scattered foci of pancreatic calcification and irregular
pancreatic duct dilatation.
K22247_C002.indd 67 16/05/15 3:07 AM
Chapter 268
ACUTE DIVERTICULITIS
Diverticulae are mucosal herniations through the
muscularis layer of the bowel wall. They can occur
anywhere in the bowel but are most common in
the colon due to raised intraluminal pressures. The
incidence of colonic diverticulitis is high in the general
population; however, diverticulitis most commonly
occurs in the elderly (Baker et al., 2008). Clinical
symptoms and signs are varied but typically include
pain mainly localising to the left lower quadrant, low-
grade fever and constipation/diarrhoea. Leucocytosis
and a raised C-reactive protein may also be present.
Complications of acute diverticulitis include
perforation, collection/abscess, fistula formation and
post-inflammatory strictures, which can cause bowel
obstruction. Fistula formation, involving either the
bladder or vagina, can result in pneumaturia or foul
smelling vaginal discharge, respectively. Although
symptoms and signs can vary, perforated diverticulitis
is a surgical emergency and often requires urgent
laparotomy.Whilethediagnosiscanbemadeclinically,
imaging is increasingly being utilised to guide potential
surgicalmanagementandshouldbeperformedwithout
delay if there is clinical suspicion of perforation.
Radiological investigations
IV contrast enhanced CT is the imaging modality
of choice and can diagnose both diverticulitis and its
important complications. Positive oral contrast can be
administeredasperlocalprotocol;however,thisshould
not delay imaging if the patient is acutely unwell.
Abdominal plain film imaging has a role in assessing
for other causes of abdominal pain, such as bowel
obstruction, although it cannot definitively diagnose
diverticulitis. Free gas may be seen on both abdominal
and chest plain film imaging and is consistent with
perforation. (See Table 2.20.)
Radiological findings
Computed tomography
Diverticulae appear as multiple small sacular out-
pouchings arising from the bowel wall. They are
more common on the mesenteric side of the colon,
where nutrient arteries enter. Acute diverticulitis is
suggested by a segment of colonic wall thickening
(3 mm) and pericolonic fat stranding (Figure 2.60).
MODALITY PROTOCOL
CT Post IV contrast, portal venous phase: 100 ml
IV contrast, 4 ml/sec via 18G cannula. Scan at
70 seconds. Scan from above diaphragm to
femoral head level.
Table 2.20 Acute diverticulitis. Imaging
protocol.
Figure 2.60  Axial image: IV contrast enhanced
CT scan of the abdomen and pelvis in the portal venous
phase. The sigmoid colon is abnormally thickened in
the ­presence of multiple diverticula. The surrounding
­mesentery is hazy due to local inflammation.
This is usually seen in conjunction with multiple
diverticulae, although these can sometimes be difficult
to appreciate. Associated free fluid can be seen, as
with any inflammatory intra-abdominal pathology.
Multiplanar reformatting, particularly the coronal
view, may be helpful to show mild pericolonic fat
stranding associated with horizontally oriented
segments of colon. Note: Short segments of colonic
wall thickening (5 cm) can also be seen in cases of
primary colorectal malignancy and it can sometimes
be difficult to differentiate radiologically between the
twoentities.Localisedlymphadenopathycanbeseenin
both. Other findings of disseminated malignancy, such
as metastatic disease, may help reveal the underlying
cause of bowel wall thickening; however, in equivocal
cases the possibility of malignancy should be raised.
K22247_C002.indd 68 16/05/15 3:07 AM
Gastrointestinal and genitourinary imaging 69
Figure 2.61  Sagittal image:
IV contrast enhanced CT scan
of the abdomen and pelvis in
the portal venous phase. The
image ­demonstrates locules
of free gas within the bowel
­mesentery ­secondary to ­perforated
­diverticulitis.
Figure 2.62  Axial image: oral and IV contrast
enhanced CT scan of the pelvis in the portal venous
phase. A focal abscess can be seen in the mid pelvis as a
result of ­localised diverticular perforation. Surrounding
inflammatory changes can be seen as a hazy appearance
within the adjacent mesentery.
Figure 2.63  Axial image: IV contrast enhanced
CT scan of the pelvis in the portal venous phase.
The image demonstrates diverticulitis with an
­interloop abscess (arrow).
Indeterminate cases may ultimately require further
evaluation with endoscopy.
An important complication of diverticulitis is
perforation, confirmed on CT by the presence of free
gas (Figure 2.61). This is better appreciated on both
lung and bone window settings. Other complications
include abscess formation, presenting as a pericolonic
fluid-containing focus with or without air and an
enhancing wall (Figure 2.62). Interloop abscesses
may also occur (Figure 2.63). The size of the abscess
is important since this can guide potential treatment.
For accessible abscesses, percutaneous radiologically-
guideddrainagecanbesuggested.Fistulationcanoccur
(suggesting a subacute to chronic course), commonly
between the bladder and cervix, and should be
suspected in the absence of a clear fat plain between the
twostructures.Gaswithinthevaginalvaultandbladder
(without prior instrumentation) should also raise the
suspicion of fistulation. A thin track of oral contrast
can occasionally be seen between the two fistulating
K22247_C002.indd 69 16/05/15 3:07 AM
Chapter 270
•	 The main findings of diverticulitis include the
presence of diverticulae, bowel wall thickening
and pericolonic fat stranding.
•	 Short segment bowel wall thickening can also be
seen in primary colorectal malignancy and should
always be considered as an alternative diagnosis.
Report checklist
•	 Presence or absence of complications (e.g. abscess
formation, perforation, fistulation and post-
inflammatory strictures).
•	 Consider the differential diagnosis of underlying
colonic malignancy.
•	 Emphasise that in indeterminate cases, direct
visualisation via colonoscopy is advised at a
clinically appropriate time
References
Baker M (2008) Imaging and interventional techniques
in acute left-sided diverticulitis. J Gastrointest Surg
12:1314–1317.
DeStigter K, Keating D (2009) Imaging update:
acute colonic diverticulitis. Clin Colon Rectal Surg
22:147–155.
structures, confirming the diagnosis (Figure 2.64).
Diverticulitis can also be complicated by hepatic
abscess formation, appearing as a ring enhancing
hypoattenuating focus within the liver (DeStigter 
Keating, 2009).
There is a classification that is intermittently used
for staging diverticulitis according to its severity: The
Hinchey Classification of Diverticulitis (Table 2.21).
This classification is useful in guiding management
since localised disease (i.e. stages 1 and 2) is managed
conservatively with IV fluid rehydration, IV antibiotics
and, if the abscess collections are large, with image-
guided percutaneous drainage. Surgical management is
recommended for stages 3 and 4, and for patients that
do not improve under medical management or have
fistula formation. It is also recommended where there
is uncertainty as to whether there may be underlying
malignancy.
Key points
•	 CT is the imaging modality of choice to assess
for the presence of, severity and complications of
acute diverticulitis.
Figure 2.64  Sagittal image: IV and oral contrast
enhanced CT scan of the pelvis in the portal venous
phase. The image demonstrates the presence of oral
contrast in the vaginal vault (arrow). The adjacent loops
of sigmoid colon are thickened secondary to acute
­diverticulitis, which has resulted in a colovaginal fistula.
Stage 1a Phlegmon.
Stage 1b Diverticulitis with pericolic or mesenteric abscess.
Stage 2 Diverticulitis with walled off pelvic abscess.
Stage 3 Diverticulitis with generalised purulent peritonitis
Stage 4 Diverticulitis with generalised faecal peritonitis.
Table 2.21 The Hinchey Classification of
­Diverticulitis.
K22247_C002.indd 70 16/05/15 3:07 AM
Gastrointestinal and genitourinary imaging 71
cases may warrant urgent surgical intervention. For
repeated episodes secondary to gallstones, elective
cholecystectomy is often recommended.
Emphysematous cholecystitis must be distinguished
from simple acute cholecystitis secondary to gallstones.
Emphysematous cholecystitis occurs secondary to
gas producing organisms such as Clostridium spp.
and Escherichia coli and can be rapidly fatal. Urgent
diagnosis is vital to facilitate early surgical intervention.
Radiological investigations
Ultrasound is the imaging modality of choice when
acutecholecystitisisclinicallysuspected.Thesensitivity
of ultrasound ranges from 80% to 100% and specificity
ranges from 60% to 100% (Smith et al., 2009). CT
can also be used to diagnose cholecystitis and may be
a more appropriate first-line investigation in suspected
cases of complicated acute cholecystitis; however, CT
is less sensitive than ultrasound for subtle gallbladder
wall changes. Plain film imaging can yield signs such
as radiopaque gallstones or pneumobilia, but it is not
diagnostic. (See Table 2.22.)
Radiological findings
Ultrasound
Findings on ultrasound include gallbladder wall
thickening (3 mm), pericholecystic hypoechoic fluid
andthepresenceofapositivesonographicMurphysign
(Figure 2.65).Gallbladderwallthickeninginisolationis
ACUTE CHOLECYSTITIS
Acute cholecystitis is the most common acute
inflammatory condition of the gallbladder. The vast
majority of cases occur secondary to gallstones, usually
due to gallstone impaction in the gallbladder neck or
cystic duct. A smaller proportion of cases are due to
inflammation in the absence of gallstones and these are
termed acalculous cholecystitis.
Cholecystitis due to gallstones classically occurs
in middle-aged women, with obesity being a well-
recognised predisposing factor. Acute cholecystitis
secondary to gallstones should be differentiated from
acalculous cholecystitis, the latter occurring more
commonly in critically unwell and paediatric patients
without underlying gallstone disease. Symptoms and
signs, regardless of the underlying cause, can include
right upper quadrant abdominal pain and tenderness,
fever and nausea and vomiting. The patient may have
a positive Murphy sign, defined as pain on inspiration
while palpating the right upper quadrant. Elevated
inflammatory markers are a common, but non-specific,
associated finding.
Complications of acute cholecystitis include
abscess formation, pericholecystic fluid collections,
gallbladder perforation and enteric fistulation. It is
important to identify these complications, since they
carryasignificantlyincreasedmortalityrate.Treatment
of non-complicated cases is often conservative via
appropriate antibiotic therapy; however, complicated
MODALITY PROTOCOL
Ultrasound 1–5MHz curvilinear probe.
CT Post IV contrast, portal venous phase: 100
ml IV contrast, 4 ml/sec via 18G cannula.
Scan at 70 seconds. Scan from just above
diaphragm to femoral head level.
Table 2.22 Acute cholecystitis. Imaging
protocol.
Figure 2.65  Transverse ultrasonogram of the
­gallbladder. The gallbladder is thick walled with
­surrounding pericholecystic fluid in keeping with acute
cholecystitis.
K22247_C002.indd 71 16/05/15 3:07 AM
Chapter 272
Computed tomography
CT features include gallbladder wall thickening
(3–5 mm), mural or mucosal hyperenhancement,
pericholecystic fluid and adjacent soft tissue
inflammatory stranding (Figure 2.66). Gallstones
on CT, if visualised, may appear as hyperattenuating
(calcified) or hypoattenuating (cholesterol containing)
filling defects within the gallbladder lumen. Liver
parenchyma adjacent to the gallbladder fossa may also
hyperenhance because of reactive hyperaemia.
CT is particularly useful in detecting the
complications of acute cholecystitis. Specific findings
that suggest emphysematous cholecystitis include
foci of gas within the gallbladder wall or lumen
(Figure 2.67), which can be quickly identified on lung
window settings. Features of gallbladder perforation
include a focal discontinuity in the gallbladder wall
and pericholecystic fluid collections, although the
latter can also be seen without gallbladder perforation
(Figure 2.68). Other complications include abscess
formationaroundthegallbladder.Thismayextendinto
the liver, resulting in a liver abscess that may require
percutaneous drainage (Figure 2.69).
a non-specific finding (Table 2.23) and must always be
interpreted with additional sonographic findings and
an appropriate clinical history. Gallbladder collapse
is a common finding in the post-prandial state. Care
must be taken since this can give a false impression of
wall thickening. Less specific imaging findings of acute
cholecystitis include abnormally increased gallbladder
distension and echogenic bile (sludge) within the
gallbladder. The presence of sludge, in addition to
gallbladder wall thickening in the absence of gallstones,
is suggestive of acalculous cholecystitis. Gallstones may
or may not be visualised within the gallbladder neck or
cystic duct, and they typically appear as echogenic foci
with posterior acoustic shadowing. Note: Gallstones
are a common incidental finding in asymptomatic
patients and their presence does not imply acute
cholecystitis.
Emphysematous cholecystitis is characterised by
gas within the gallbladder wall or lumen, appearing
as increased echogenic foci with low-level posterior
acoustic shadowing and reverberation artefact.
Gallbladder perforation can be challenging to
diagnoseonultrasound;however,itshouldbesuspected
in the presence of pericholecystic fluid collections or a
focal discontinuity in the gallbladder wall.
•	 Cholecystitis.
•	 Hepatitis.
•	 Cirrhosis.
•	 Congestive heart failure.
•	 Hypoalbuminaemia.
•	 Renal failure.
•	 Sepsis.
Table 2.23 Causes of gallbladder wall
thickening.
Figure 2.66  Axial image: IV contrast enhanced
CT scan of the abdomen in the portal venous phase.
The gallbladder wall is thickened and there is
­adjacent inflammatory fat stranding and free fluid.
The ­appearance is consistent with acute cholecystitis.
K22247_C002.indd 72 16/05/15 3:07 AM
Gastrointestinal and genitourinary imaging 73
Key points
•	 Ultrasound is the initial imaging modality of
choice in the diagnosis of acute cholecystitis.
•	 CT is useful for identifying the complications
of acute cholecystitis such as emphysematous
cholecystitis and gallbladder perforation.
•	 The hallmark of acute cholecystitis is
gallbladder wall thickening, although in isolation
this is a ­non-specific finding.
Figure 2.67  Axial image: IV contrast enhanced
CT scan of the abdomen in the portal venous phase.
The gallbladder contains air, as does the gallbladder
wall, in keeping with emphysematous cholecystitis
Figure 2.68  Axial image: IV contrast enhanced
CT scan of the abdomen in the portal venous phase.
The gallbladder wall is thickened with large volumes of
pericholecystic fluid consistent with acute cholecystitis.
A defect is seen in the anterior gallbladder wall (arrow),
consistent with a gallbladder perforation.
Figure 2.69  Axial image: IV contrast enhanced
CT scan of the abdomen in the portal venous phase.
The medial wall of the gallbladder is indistinct due
to local perforation. Low attenuation material is seen
within the right lobe of liver, which communicates with
the gallbladder. This appearance is therefore consistent
with gallbladder perforation leading to liver abscess
formation.
Report checklist
•	 Presence or absence of gallstones.
•	 Presence or absence of intrahepatic or extrahepatic
biliary dilatation, which may imply an impacted
gallstone more distally within the biliary system.
Reference
Smith EA, Dillman JR, Elsayes KM et al. (2009)
Cross-sectional imaging of acute and chronic
gallbladder inflammatory disease. Am J Roentgenol
192:188–196.
K22247_C002.indd 73 16/05/15 3:07 AM
Chapter 274
imaged with CT to fully characterise the severity. (See
Table 2.24.)
Radiological findings
Comuted tomography
CT readily identifies gas both within the renal
parenchyma and the collecting system. Gas can appear
macroscopically similar to fat on CT; direct evaluation
of Hounsfield units (gas = approximately 1,000;
fat = 50 to –160) and evaluation with lung window
settings helps to differentiate the two. Streaky or
mottled gas in the interstitium of renal parenchyma,
radiating from medulla to cortex, is highly suggestive
of emphysematous pyelonephritis (Figures 2.70a, b).
Gas can also be seen in the perinephric soft tissues
and retroperitoneum; the latter signifies a breach of
Gerota’s fascia (Figure 2.71). Focal rim enhancement
within the affected renal parenchyma can indicate
focal abscess formation. Further non-specific signs
can also be seen, such as enhancing perinephric fluid
collections, unilateral renal enlargement and decreased
parenchymal enhancement (the latter should always
prompt scrutiny of the corresponding renal artery and
vein to assess for thrombus). Hydronephrosis can be
seeninassociationwithemphysematouspyelonephritis
and should prompt the search for an obstruction in the
ureter.
Gas that is limited to the collecting system is
suggestive of emphysematous pyelitis (Figure 2.72),
although this can also be seen in ureteric fistulation
with bowel (secondary to inflammatory bowel disease
or malignancy) or pre-existing ileal conduit formation.
The ureters should be traced distally to ensure that this
is not the case.
EMPHYSEMATOUS PYELONEPHRITIS
Emphysematous pyelonephritis is a severe, life-
threatening infection of the renal parenchyma by gas
forming organisms. Approximately 70% of cases are
secondary to Escherichia coli, although other causative
organisms such as Klesbiella pneumonia and Proteus
mirabilis arealsoseen.Thereisastrongassociationwith
diabetes mellitus, which is seen in up to 90% of cases
(Joseph et al., 1996). Symptoms and signs include flank
pain and fever with a rapid progression to sepsis and
profound haemodynamic instability. Palpable crepitus
over the affected flank is more specific, although the
sensitivity of this sign is low. The mortality rate can be
as high as 50% and urgent diagnosis is vital (Grayson et
al., 2002). The on-call radiologist should have a high
index of suspicion for this condition in any diabetic
patient with sepsis of unknown origin. Treatment
can be conservative in mild cases, involving prompt
antibiotic therapy, fluid resuscitation and drainage of
complicating collections. In severe cases that fail to
respond to conservative management, nephrectomy
may be required. It is important to differentiate true
emphysematous pyelonephritis from emphysematous
pyelitis, in which gas is limited to the renal collecting
system. The latter is also associated with diabetes
mellitus infection, but carries a much better prognosis;
as such, these cases are often managed conservatively.
Radiological investigations
CT is the initial imaging modality of choice in cases
where emphysematous pyelonephritis is strongly
suspected. CT is both sensitive and specific and in
addition can identify alternative causes of abdominal
pain. Although abdominal plain films are usually one
of the first radiological investigations performed in any
patient presenting with abdominal pain, the sensitivity
of this modality for the changes of emphysematous
pyelonephritis is low. Renal ultrasound can be an
appropriate initial investigation to perform in patients
presentingwithflankpaininordertolookforalternative
pathologies; however, it is user dependent, technically
challenging in larger patients and not as sensitive as
CT for emphysematous pyelonephritis. Ultrasound
can also underestimate the extent of renal parenchymal
involvement, therefore suspected cases should also be
MODALITY PROTOCOL
CT Post IV contrast, portal venous phase: 100 ml
IV contrast, 4 ml/sec via 18G cannula. Scan at
70 seconds after initiation of injection. Scan
from just above diaphragm to femoral head
level.
Table 2.24 Emphysematous pyelonephritis.
Imaging protocol.
K22247_C002.indd 74 16/05/15 3:07 AM
Gastrointestinal and genitourinary imaging 75
Figures 2.70a, b  Axial and coronal images: IV contrast enhanced CT scans of the abdomen in the portal venous
phase. Gas is seen within the left renal parenchyma and there is heterogeneous parenchymal enhancement.
Figure 2.71  Axial image: IV contrast enhanced
CT scan of the abdomen in the portal venous phase.
­Abnormal left renal parenchymal gas and enhancement
is once again shown. There is further retroperitoneal
free gas and fluid.
Figure 2.72  Axial image: unenhanced CT scan of the
abdomen. Locules of gas are seen within the left renal
collecting system and upper ureter.
(a) (b)
K22247_C002.indd 75 16/05/15 3:07 AM
Chapter 276
should be actively excluded. In the presence of diffuse
retroperitoneal gas, the kidney can be difficult to
visualise (Figures 2.74a. b).
Abdominal plain film imaging
Abdominalplainfilmscandemonstrateabnormallucent
gas collections. The diagnosis is suggested by mottled
lucencies overlying the renal outlines, which may
also correspond to the outline of the renal pyramids.
Curvilinear lucencies may indicate subcapsular or
perinephric gas. Retroperitoneal gas is indicated by
increased definition of the psoas shadows, representing
a gas–muscle interface. Note: Retroperitoneal gas is
not specific for emphysematous pyelonephritis and can
also be seen in perforation of retroperitoneal bowel
(duodenum, ascending colon, descending colon and
rectum).
Key points
•	 Emphysematous pyelonephritis is a life-
threatening infection of the kidney and should be
suspected in any diabetic patient presenting with
flank pain or sepsis of unknown origin.
•	 CT is the most sensitive and specific radiological
investigation. Emphysematous pyelonephritis
is confirmed when gas is identified in the renal
parenchyma, whereas in emphysematous pyelitis,
the gas is limited to the collecting system only.
Various systems have been proposed to stage
the spectrum of findings seen in emphysematous
pyelonephritis and pyelitis; these have prognostic
importance (Tables 2.25 and 2.26: Huang  Tseng,
2000; Wan et al., 1996).
Emphysematous cystitis is a rare separate entity
where a gas forming infection occurs in the bladder
wall. It may be caused by bacterial or fungal infections
with E. coli being the most common causative agent
(Figure 2.73)
Ultrasound
Gas within the renal parenchyma has the appearance
of high-amplitude echogenic foci, commonly with
associated reverberation artefact and comet tail ‘dirty’
shadowing. Calculi can also give a similar appearance,
although they characteristically produce more uniform
posterior acoustic shadowing. Hydronephrosis
Class 1 Gas limited to collecting system.
Class 2 Gas limited to renal parenchyma (without
­extrarenal extension).
Class 3a Extension of gas or abscess to perinephric space.
Class 3b Extension of gas or abscess to pararenal space.
Class 4 Bilateral emphysematous pyelonephritis or solitary
kidney with emphysematous pyelonephritis.
Table 2.25 Emphysematous pyelonephritis.
Huang–Tseng CT classification
system.
Type 1 Renal parenchymal destruction with streaky or
mottled appearance of gas.
Intra- or extrarenal fluid collections are
­characteristically absent.
Type 2 Renal or extrarenal collections associated
with bubbly or loculated gas, or gas within the
­collecting system or ureter.
Table 2.26 Emphysematous pyelonephritis.
Wan et al. classification system.
Figure 2.73  Axial image: IV contrast enhanced CT
scan of the abdomen and pelvis in the portal venous
phase. There are multiple locules of gas within the
bladder wall, consistent with ­emphysematous cystitis.
K22247_C002.indd 76 16/05/15 3:07 AM
Gastrointestinal and genitourinary imaging 77
Huang JJ, Tseng CC (2000) Emphysematous
pyelonephritis: clinicoradiological classification,
management, prognosis, and pathogenesis. Arch
Intern Med 160:797–805.
Joseph RC, Amendola MA, Artze ME et al. (1996)
Genitourinary tract gas: imaging evaluation.
Radiographics 16:295–308.
Wan YL, Lee TY, Bullard MJ et al. (1996) Acute gas-
producing bacterial renal infection: correlation
between imaging findings and clinical outcome.
Radiology 198:433–438.
Report checklist
•	 Distinguish between emphysematous pyelitis and
emphysematous pyelonephritis.
•	 Presence or absence of adverse prognostic
features, such as breach of Gerotas fascia and
pararenal collections.
•	 Emphasise urgent surgical review.
References
Grayson DE, Abbott RM, Levy AD et al. (2002)
Emphysematous infections of the abdomen and
pelvis: a pictoral review. Radiographics 22:543–561.
Figure 2.74a, b  Ultrasonograms of the kidney. Cortical echogenicity is seen in the interpolar region of the kidney,
representing parenchymal gas, resulting in an irregular acoustic shadow, which obscures the normal renal contour.
(a) (b)
K22247_C002.indd 77 16/05/15 3:07 AM
Chapter 278
Radiological investigations
The first-line investigation for suspected
hydronephrosis is ultrasound. Once the presence of
hydronephrosishasbeenconfirmed,CTisthemodality
of choice for establishing the cause. (See Table 2.27.)
Radiological findings
Ultrasound
Ultrasound of both flanks should be performed
to identify both kidneys. Size, corticomedullary
differentiation (CMD) and cortical thickness of the
kidneys should be assessed. The pelvicalyceal system
should be examined in transverse and longitudinal
planes; a dilated system indicates hydronephrosis
(Figure 2.75). Quantification of hydronephrosis is
subjective,butsomecategorisationintomild,moderate
or severe should be made. Cortical thickness can be
an indicator of the chronicity of renal disease. In the
context of hydronephrosis, a thinned renal cortex
suggests that the hydronephrosis is long-standing (in
the absence of pre-existing renal disease). Parapelvic
cysts should not be confused for hydronephrosis.
The proximal ureter should be assessed for
hydroureter. The bladder should ideally be full and
examinedforthepresenceoftransitionalcellcarcinoma
(TCC) as a cause for obstruction. The distal ureters can
also be assessed here. Bladder outflow obstruction can
often cause prominence of the pelvicalyceal system
bilaterally. This can be assessed by asking patients
to empty their bladder and rescanning both kidneys to
assess for any changes in the degree of dilatation.
HYDRONEPHROSIS
Hydronephrosis is defined as dilatation of the
drainage system of the kidney (calices, infundibula
and renal pelvis). The term ureterohydronephrosis, or
hydroureter, is used when the dilatation also involves
the ureters. Hydronephrosis can be acute or chronic,
unilateral or bilateral, physiological or pathological.
Hydronephrosis can be due to obstructive or non-
obstructive causes. Obstructive uropathy refers to the
functional or anatomical obstruction of urinary flow at
any level of the urinary tract. Obstructive nephropathy
is present when the obstruction causes functional or
anatomical renal damage, usually manifesting as a
decrease in GFR.
Hydronephrosis in young adults is most commonly
due to renal tract calculi, while in older adults, prostatic
hypertrophy/carcinoma, gynaecological malignancies,
retroperitoneal or pelvic neoplasms and calculi are the
main causes.
Clinical features may include back/flank pain,
haematuria, retention, fever and deranged renal
biochemistry(creatinineandGFRspecifically).Incases
of acute hydronephrosis, correction of the obstruction
usually returns the renal function to normal levels.
Complications or non-treatment can lead to infection
orpyonephrosis,chronicobstructionor,lesscommonly,
perforation of the urinary tract leading to peritoneal
urine leak (urinoma).
MODALITY PROTOCOL
Ultrasound Curvilinear probe 1–5MHz.
CT Non-contrast, nephrographic phase and
delayed phase CT post IV contrast: initial
scan unenhanced. 100 ml IV contrast via
18G cannula, 4 ml/sec. Scan at 120 seconds
(nephrographic phase) and 12 minutes
(delayed phase). Scan from above
diaphragm to femoral head level.
Table 2.27  Hydronephrosis. Imaging protocol.
Figure 2.75  Ultrasonogram of the right kidney in
the longitudinal plane. The renal pelvis and intrarenal
calyces are dilated and contain anechoic fluid.
K22247_C002.indd 78 16/05/15 3:07 AM
Gastrointestinal and genitourinary imaging 79
This easily identifies calcified renal tract calculi and
hydronephrosis (Figure 2.77). It is sometimes difficult
to differentiate between phleboliths and distal ureteric
calculi in the pelvis; the use of multiplanar reformatting
in sagittal and coronal planes can help. Thickening or
mesentericfatstrandingaroundtheureterscanindicate
recent passage of stones.
Contrast enhanced CT can be performed in the
portal venous phase. This can be useful for assessing for
pelvic/retroperitoneal/gynaecological malignancies,
inflammatory aortic aneurysms, and retroperitoneal
fibrosis (Figure 2.78) as well as large bladder tumours
as a cause for hydronephrosis. Retroperitoneal fibrosis
Ultrasound should be the only modality used for
suspected hydronephrosis in pregnancy, which can
be physiological if present. CT should otherwise be
performed if acute hydronephrosis is detected on
ultrasound.
Computed tomography
Hydronephrosis is readily visible on unenhanced and
contrast enhanced CT, shown as a dilated pelvicalyceal
system (Figure 2.76). In younger patients presenting
with pain/haematuria and hydronephrosis, the most
likely cause is calculi. In these cases, a plain low-
dose kidney–ureter–bladder CT can be performed.
Figure 2.77  Axial image: CT scan of the abdomen
without IV contrast. A rounded, hyperdense calculus is
seen occluding the lumen of the right ureter.
Figure 2.76  Axial image: CT scan of the abdomen
without IV contrast. The right pelvicalyceal system
is dilated compared with the left side. Right renal
­parenchymal volume is preserved. There are mild right
perinephric inflammatory changes.
Figure 2.78  Coronal image: IV contrast enhanced
CT scan of the abdomen in the portal venous phase.
Bilateral ureteric stents are noted. Both ureters are
thickened with abnormal soft tissue seen at the left
renal hlium, suggestive of retroperitoneal fibrosis.
­Subcapsular haematoma is noted adjacent to the left
kidney.
K22247_C002.indd 79 16/05/15 3:07 AM
Chapter 280
RENAL TRANSPLANT DYSFUNCTION
Renal transplantation is an increasingly important
surgical treatment for end stage chronic kidney
disease, negating the need for lifelong dialysis and its
complications. A basic understanding of the common
surgical techniques and resulting anatomy is essential
to allow accurate interpretation of renal transplant
pathology. The transplanted kidney is usually situated
in the extraperitoneal space in the right iliac fossa.
The exact type of arterial anastomosis depends on the
nature of the transplanted kidney. Kidneys from living
donors are normally grafted via either an end-to-end
anastomosis of the donor renal artery and the recipient
internaliliacarteryoranend-to-sideanastomosisofthe
donor renal artery to the recipient external iliac artery.
Cadaverickidneysaretypicallyharvestedwithasegment
of aorta, which is attached to the external iliac artery
via an end-to-side anastomosis. The venous anatomy
is more consistent; the donor renal vein is attached via
an end-to-side anastomosis with the external iliac vein.
The donor ureter is usually implanted directly into the
dome of the bladder.
It is important that any potential complications of
renaltransplantationareidentifiedasquicklyaspossible
intheearlypostoperativeperiod,sincetheycanresultin
loss of the graft. Potential complications include renal
artery/vein thrombosis, renal artery stenosis, acute
tubular necrosis, infection, perigraft fluid collections,
hydronephrosis and rejection (hyperacute, acute and
chronic).
Renal transplant dysfunction should be suspected in
the presence of deranged renal function or absence of
normalising renal function in the early postoperative
period. Other more non-specific symptoms and signs,
such as pain, pyrexia, hypertension and anuria, can also
be seen. Acute vascular complications, such as renal
artery and vein thrombosis, are less commonly seen
outside of the perioperative period. While there are
some non-specific imaging findings of graft rejection,
ultimate diagnosis requires renal biopsy.
and inflammatory abdominal aneurysms cause medial
deviation of the ureters.
Delayed phase contrast enhanced CT imaging
opacifies the pelvicalyceal system, ureters and
bladder. This technique is useful in detecting ureteric
strictures or carcinomas, bladder carcinoma (TCC)
and non-calcified calculi. This protocol can be used
to differentiate between parapelvic cysts and true
hydronephrosis.
Discussion with interventional radiology regarding
placement of a nephrostomy in an recommended
hydronephrotic kidney should be recommended at the
end of the report.
Key points
•	 First-line investigation should always be
ultrasound, on which a dilated pelvicalyceal system
is diagnostic. Cortical thickness is important in
deciding whether the obstruction is chronic or
acute.
•	 CT is very useful in identifying the cause for the
hydronephrosis. Protocols should be tailored to
the age of the patient and clinical suspicion.
Report checklist
•	 Characterise the degree of hydronephrosis as mild,
moderate or severe.
•	 Identify the level of obstruction and presence or
absence of an impacted ureteric calculus. A focal
ureteric calibre change can suggest a pathology
even if an abnormality cannot be seen.
•	 Presence or absence of signs of an infected
system – this warrants emergency intervention
with a nephrostomy.
•	 In cases of hydronephrosis emphasise the need for
an urgent urological review.
K22247_C002.indd 80 16/05/15 3:07 AM
Gastrointestinal and genitourinary imaging 81
The overall length of the renal graft should be
documented during any ultrasound scan. Graft
enlargement may indicate acute infection or rejection
and renal vein thrombosis, whereas graft atrophy may
be seen in chronic rejection. CMD in a transplanted
kidney is often not as pronounced as in a normal
kidney; however, it should still be present. The
cortical echogenicity should be similar to that of the
liver. Loss of CMD, prominence of the medullary
pyramids and cortical thinning are all non-specific
signs of graft dysfunction. Focal areas of increased/
decreased echogenicity may indicate focal oedema or
infarction.
The Doppler flow of the graft should be assessed
globally. Doppler flow should be uniform throughout
the graft (Figure 2.79); a focal area of decreased flow
is suspicious for an infarct. The main, upper, mid and
lower pole interlobar renal arteries and veins should
be assessed with Doppler ultrasound. Absent flow in
any of these may indicate arterial/venous thrombosis,
an important early post-surgical complication, which
should be urgently communicated to the referring
team. Waveforms from these vessels should be sampled
and analysed. Familiarity with the ‘normal’ arterial
Radiological investigations
Ultrasound is the initial imaging modality of choice,
allowing assessment of the renal graft, surrounding
soft tissues and Doppler assessment of the major renal
vessels.CTcanbeusedtotroubleshootscenarioswhere
ultrasound is indeterminate (i.e. where the main renal
artery/vein cannot be identified), although IV contrast
should be used with caution in patients with impaired
renal function. Both an arterial and a portal venous
phase are required for full assessment of vascular and
parenchymal complications. Radionucleotide imaging
also plays an important role and can help differentiate
between different pathologies where ultrasound
findings are non-specific. (See Table 2.28.)
Radiological findings
Ultrasound
As with any postoperative imaging, it is important
to obtain a precise description of the operation and
expected anatomy before undertaking ultrasound
assessment of a renal graft. Before starting the scan, be
sure to identify the transplant site, usually in the right
iliac fossa, and remove any potential wound dressing
that can cause an artefact.
MODALITY PROTOCOL
Ultrasound Curvilinear, 4 MHz probe. Doppler and wave-
form sampling of renal vessels.
CT Aortic angiogram: 100 ml IV contrast via 18G
cannula, 4 ml/sec. Bolus track centred on
mid-abdominal aorta. Scan from just above
diaphragm to femoral head level.
Portal venous phase: IV contrast as above,
scan at 70 seconds. No oral contrast. Scan
from just above diaphragm to femoral head
level.
Table 2.28 Renal transplant dysfunction.
Imaging protocol.
Figure 2.79  Longitudinal image: colour Doppler
ultrasonogram of the transplant kidney. Colour flow is
seen at the renal hilum, which extends through the renal
sinus and into the medulla uniformly.
K22247_C002.indd 81 16/05/15 3:07 AM
Chapter 282
collecting system can remain mildly dilated post renal
transplantation,thereforeitisessentialtocomparewith
previousimagingforevidenceofprogressivedilatation.
Echogenic material within the collecting system can
indicate pyelonephrosis.
waveform is essential (Figures 2.80, 2.83) – this should
demonstrate a rapid systolic upstroke and positive
diastolicflow.A‘parvustardus’waveform(a broadening
of the waveform, with an increase in the acceleration
time of the systolic upstroke) is commonly seen in renal
artery stenosis (Figures 2.81, 2.84). Elevation of flow
in the main renal artery (200cm/sec) may also be seen
in this condition. Reversal of arterial flow in diastole
is often an indicator of renal vein thrombosis or acute
tubular necrosis, both common early postoperative
complications (Figure 2.82). The Resistive Index (RI;
Figure 2.85) should be calculated for the main and
interlobar renal arteries and should be less than 0.8;
any elevation of the RI is again an indication of graft
dysfunction (Brown et al., 2000). Pseudoaneurysms can
complicate renal biopsy, appearing as focal hypoechoic
lesions, distinguished from cysts by a turbulent internal
flowonDoppleranalysis.Ultimately,ifthereisdoubtas
to whether any vascular abnormality is due to technical
factors, further assessment with CT is advisable.
Ureteric obstruction and hydronephrosis can be
caused by postoperative ureteric fibrosis, usually at
the site of ureteric and bladder anastomosis, although
other causes include infection or compressing fluid
collections. Note: Because of denervation, the
Figure 2.80  Diagram of a normal renal artery
waveform.
Figure 2.82  Diagram of abnormal renal artery
­waveform demonstrating reversed diastolic flow.
Figure 2.81  Diagram of abnormal ‘parvus-tardus’ renal
artery waveform.
K22247_C002.indd 82 16/05/15 3:07 AM
Gastrointestinal and genitourinary imaging 83
Figure 2.83  Pulsed wave Doppler ultrasonogram of
the renal artery. The normal waveform demonstrates
a rapid systolic upstroke of short duration, followed by
decreased flow. Continuous diastolic flow should always
be observed.
Figure 2.84  Pulsed wave Doppler ultrasonogram of
the renal artery. There is reduced amplitude of the
­waveform with prolonged systolic upstoke, which is
­typically described as a ‘parvus-tardus’ waveform.
Perinephric fluid collections are commonly
seen in the early postoperative period and include
haematomas, lymphoceles and urinomas. The size
of any fluid collection should be documented, along
with any evidence of mass effect or adjacent structure
compression. The presence of heterogeneously
echogenic material suggests haematoma, a small
amount of which is not uncommon in the early
postoperative period. Both urinomas and lymphoceles
appear as well-defined hypoechoic fluid collections
and are indistinguishable on ultrasound imaging;
however, urinomas are often associated with pain and
are usually seen earlier in the postoperative period than
lymphoceles, which are typically seen later (5–6 weeks).
Ultimate diagnosis often requires percutaneous
aspiration or drainage.
Computed tomography
The principles of CT interpretation mirror that of
ultrasound. The renal graft, commonly identified
in the right iliac fossa, should demonstrate uniform
enhancement on the portal venous phase (Figure 2.86).
Figure 2.85  The Resistive Index.
RI =
Peak systolic flow − Peak diastolic flow
Peak systolic flow
Figure 2.86  Axial image: IV contrast enhanced CT
scan of the pelvis in the portal venous phase. The renal
transplant located in the right iliac fossa demonstrates
uniform parenchymal and vascular enhancement. A left
iliac fossa colostomy is also present.
K22247_C002.indd 83 16/05/15 3:07 AM
Chapter 284
Key points
•	 Complications of renal transplantation include
infection, renal artery/vein thrombosis,
perinephric fluid collections, acute tubular
necrosis, renal artery stenosis, hydronephrosis and
rejection (hyperacute, acute and chronic).
•	 Ultrasound imaging allows accurate assessment
of the renal parenchyma, collecting system, major
vessels and surrounding structures. Failure to
identify the renal artery on Doppler ultrasound is
a surgical emergency. Further assessment with CT
can be helpful in these situations.
•	 Elevation of the RI (0.8) is suggestive of graft
dysfunction.
Report checklist
•	 Document the RI and acceleration times of the
major renal vessels and flow in the renal vein.
•	 Presence or absence of hydronephrosis.
•	 Presence or absence of complications, such as
renal infarcts and perinephric collections.
Reference
Brown E, Chen M, Wolfman N et al. (2000)
Complications of renal transplantation: evaluation
with US and radionuclide imaging. RadioGraphics
20:607–622.
Infarcts appear as focal wedge-shaped areas of
hypoattenuation. The renal artery should be traced
from its site of anastomosis to the renal hilum on the
arterial phase. Failure to identify the renal artery, or
a filling defect within, is suggestive of thrombosis.
Any focal narrowing of the renal artery should raise
suspicion of stenosis, although this may require
catheter angiography to diagnose definitively. The
renal vein should also be inspected for filling defects,
which may represent thrombosis. The ureter should be
followed through to its anastomosis with the bladder;
this can be difficult in the absence of any ureteric
dilatation. The collecting system should be inspected
for hydronephrosis and hyperattenuating material
within; the latter can represent clot or infection.
The precise appearance of perinephric haematoma
depends on the age of blood products within, although
it generally appears heterogeneous with areas of
increased attenuation. Although a small amount
of perinephric haematoma is common in the early
postoperativeperiod,thepresenceofthisshouldalways
prompt the search for active bleeding, appearing as a
hyperattenuating contrast blush on the arterial phase.
As with ultrasound, it is difficult to distinguish between
urinomas, lymphoceles and infected fluid collections,
whichcanallappearaslow-density(20Hu)enhancing
fluid collections (Figure 2.87).
Figure 2.87  Axial image: IV contrast enhanced CT
scan of the pelvis in the portal venous phase. There is
a uniform low attenuation fluid collection adjacent to
the renal transplant in the right iliac fossa. Subsequent
percutaneous aspiration confirmed a urinoma. A stent is
seen within the renal pelvis.
K22247_C002.indd 84 16/05/15 3:07 AM
Gastrointestinal and genitourinary imaging 85
and inferior margins of the IVC are usually end-to-end
anastomoses (Crossin et al., 2003).
Radiological investigations
Ultrasound is the initial modality of choice. Patients
in the immediate postoperative period may be unwell
and immobile and in such cases a portable scan may
be necessary. Colour Doppler imaging is essential in
the assessment of liver transplants and allows dynamic
evaluationofflowthroughthehepaticvasculature,with
individual assessment of the hepatic artery, IVC and
portal vein required for a complete assessment.
Further evaluation may be performed with contrast
enhanced CT in situations where ultrasound has
yielded an indeterminate result. Dual phase imaging
(arterial and portal venous phase) is often performed
through the upper abdomen in order to fully evaluate
thevascularsupplytotheliverinadditiontothehepatic
parenchyma. (See Table 2.29.)
Radiological findings
Ultrasound
The parenchymal echogenicity of the hepatic graft
should be scrutinised on grey scale imaging. Diffuse
abnormalities have a wide differential, which include
rejection and ischaemia. The appearances can be
LIVER TRANSPLANT DYSFUNCTION
Liver transplantation has long been an accepted
treatment for end-stage liver failure, with innovative
techniques such as living donor and split liver
transplantation now commonplace. A wide variety
of complications can occur after transplantation,
some more common in the early postoperative
period. Symptoms and signs vary according to the
precise pathology; however, one of the most common
presentations is delayed or deteriorating liver function.
Assessment of a transplanted liver can often be
a difficult task, especially in the emergency setting.
Urgentdiagnosis,particularlyofvascularcomplications
in the early postoperative period, is vital since some
complications can result in loss of the graft. There
are numerous non-vascular complications, including
biliary stenosis, biliary leakage and acute and chronic
graft rejection. The urgency of diagnosis should be
dictated by the urgency of management, and as such
not all complications require out of hours imaging.
Athoroughunderstandingofthesurgicalanatomyis
crucial in order to aid image interpretation and identify
abnormalities. Variations in vascular supply and local
preferences for particular surgical techniques should
be taken into consideration, as they may determine the
type of surgery performed. There are also anatomical
differences between adult and paediatric liver
transplants (e.g. split versus whole liver transplant),
which are important when identifying structures on
imaging. It is therefore advisable to become familiar
with the surgical history of individual patients prior to
imaging, to better interpret the anatomical findings.
In general, the donor common bile duct is
anastomosed to the recipient common hepatic duct.
However, if this is not possible, the common bile
duct may be anastomosed directly into a loop of
jejunum (Bhargava et al., 2011). Donor transplants will
routinelyundergocholecystectomy.Therecanbesome
variability in the type of hepatic artery anastomosis,
but it is usually formed by the union of the donor
coeliac axis and the recipient hepatic artery. The site
of anastomosis is important to identify in order to
accurately perform and interpret Doppler studies. The
portal vein anastomosis is an end-to-end anastomosis
provided the vessels are patent. Finally, the superior
MODALITY PROTOCOL
Ultrasound Low frequency curvilinear probe (e.g.
1–5MHz) for assessment of the liver vascula-
ture, subphrenic space and upper abdomen.
A high frequency linear probe (e.g. 6–9MHz)
may be useful for higher resolution parenchy-
mal images.
CT Arterial phase: 100 ml IV contrast via 18G
cannula, 4 ml/sec. Bolus track centred on mid-
abdominal aorta. No oral contrast. Diaphragm
to iliac crests. Helical acquisition, 1 mm slice
thickness. Scan on inspiration.
Portal venous phase: IV contrast as above,
scan at 70 seconds post contrast. No oral
contrast. Diaphragm to pubic symphysis.
Helical acquisition, 1 mm slice thickness. Scan
on inspiration.
Table 2.29 Liver trasplant assessment. Imaging
protocol.
K22247_C002.indd 85 16/05/15 3:07 AM
Chapter 286
narrowing. Similarly, an increase in the peak systolic
velocity may also be observed. Severely stenotic arteries
mayeventuallythromboseandshownoflow.Pulse-wave
Doppler classically shows a ‘parvus-tardus’ waveform in
stenosed vessels (i.e. increased peak systolic acceleration
time [0.08 sec] with a slow deceleration) (Figure 2.89).
The RI is a measure of the resistance to blood flow
and can also be a useful tool in the assessment of the
post-transplantliver(see Figure 2.85,p.83).NormalRI
values range between 0.5 and 0.8. In the postoperative
period, RI values may be elevated for several days, but
they should generally reduce to normal limits. Elevated
RI values may be a sign of organ rejection or venous
outflow obstruction.
Portal vein abnormalities are relatively rare. The
commonest complications include portal vein stenosis
and thrombosis. The normal portal vein is anechoic
with thin, regular walls and uniform calibre. Acute
thrombus within the portal vein may present as
echogenic material within the lumen of the vessel with
reduced or no flow on colour Doppler.
Complications involving the IVC are uncommon
but include thrombosis and IVC stenosis at the
anastomotic site. Clinical features are those of Budd–
Chiarisyndromeandincludehepatomegaly,ascitesand
pleural effusions, which may be seen on ultrasound.
Biliary complications are relatively common
following transplant and include leaks and stricture
non-specific, but may be seen as a heterogeneous
echotexture. In cases of rejection, there are often no
correlatingfeatureswithDopplerstudies.Liverinfarcts
occurmostcommonlyintheearlypostoperativeperiod,
and present as focal, wedge-shaped areas of decreased
echogenicity. Abnormal Doppler waveforms may be
recorded in cases of infarction.
Hepatic artery complications account for the largest
proportion of vascular complications, which include
thrombosis and stenosis. Hepatic artery thrombosis is
a surgical emergency due to the high risk of ischaemia
and infarction to the transplant. In addition to this,
the bile ducts receive their blood supply solely from
the hepatic artery, and so thrombosis of the vessel may
lead to biliary duct ischaemia and stricture formation.
An appreciation of the normal hepatic artery flow and
waveform is useful in order to identify abnormalities.
The normal hepatic artery demonstrates a pulsatile
waveformwitharapidsystolicupstrokeandcontinuous
diastolic blood flow (Figure 2.88).
Absent flow within the hepatic artery with colour
and pulse-wave Doppler imaging allows for correct
diagnosisofhepaticarterythrombosisinthemajorityof
cases. Assessment should be made of the extrahepatic,
intrahepatic and right and left branches of the artery.
Hepatic artery stenosis tends to occur at the site of
the anastomosis. Colour flow may demonstrate post-
stenotic turbulent flow depending on the degree of
Figure 2.88  Doppler ultrasonogram of the hepatic
artery. The waveform demonstrates a sharp systolic
upstroke and short deceleration time with ­continuous
diastolic flow. Measurements have been made
­documenting the peak systolic and end diastolic values
with the calculated Resistive Index of 0.63.
Figure 2.89  Doppler ultrasonogram of a stenotic
hepatic artery. The deceleration time of the waveform is
prolonged resulting in a ‘parvus-tardus’ waveform.
K22247_C002.indd 86 16/05/15 3:07 AM
Gastrointestinal and genitourinary imaging 87
Report checklist
•	 Presence and quality of colour and Doppler flow
within the hepatic artery, portal vein, hepatic veins
and IVC.
•	 Comment on the parenchyma and the presence
of any focal abnormalities that may represent liver
infarcts in the acutely unwell patient.
•	 Signs of portal hypertension.
References
Bhargava P, Vaidya S, Dick AA et al. (2011) Imaging
of orthotopic liver transplantation: review. Am
J Roentgenol 196:WS15–25.
Caiado A, Blasbalg R, Marcelino A et al. (2007)
Complications of liver transplantation:
multimodality imaging approach. Radiographics
27:1401–1417.
Crossin JD, Muradali D, Wilson SR (2003) US of liver
transplants: normal and abnormal. Radiographics
23:1093–1114.
formation. Bile leaks may be seen in the immediate
postoperative period, and may be seen as anechoic
fluid collections lying in close proximity to the liver.
Stricturesmayformattheanastomoticsiteorasaresult
ofhepaticarterydysfunction.Ingeneral,however,these
do not tend to occur in the immediate postoperative
setting. On ultrasound, strictures may be seen as a
narrowing of the luminal diameter of the common bile
duct at the anastomotic site. Significant strictures may
result in biliary obstruction and intrahepatic biliary
duct dilatation.
Computed tomography
MultidetectorCTimagingprovidesdetailedresolution
of the hepatic vascular anatomy. Arterial phase imaging
allows for detailed assessment of the hepatic artery,
whileportalphaseimagingprovidesoptimalassessment
of the portal vein, hepatic veins and IVC. Each phase
allows for assessment of the vascular patency and
calibre of the appropriate structures, as well as allowing
for appraisal of the integrity of the anastomoses. The
main limitation of CT is the inability to assess flow
patterns within vessels, and it should therefore be used
as an adjunct to ultrasound.
Imaging of the hepatic vasculature follows the same
principles regardless of the vessel being assessed on
contrast enhanced CT. Opacification of the vessel
lumen, anatomical course and anastomotic site should
all be assessed for each vessel individually (Figure 2.90).
The liver parenchyma is best assessed on portal
phase images. Liver infarctions are seen as wedge-
shaped areas of low attenuation/non-enhancing tissue.
Perihepatic complications such as haematoma or
biloma can be easily seen as hypodense fluid collections
adjacent to the liver (Caiado et al., 2007).
Key points
•	 Assessment of the transplanted liver should
be performed with reference to the surgical
procedure and correlated appropriately.
•	 Ultrasound with use of colour and pulse-wave
Doppler is vital to assess the hepatic vascular
supply and drainage.
•	 CT may help to clarify anatomical details, but
should be used in addition to ultrasound to assess
flow dynamics.
Figure 2.90  Axial image: IV contrast enhanced CT
scan of the abdomen in the portal venous phase. The
hepatic artery is thready and poorly opacified at the
porta hepatis due to thrombosis. A wedge-shaped area of
non-enhancing liver is shown on the right, ­representing
infracted parenchyma as a result of the thrombosed
hepatic artery (arrow).
K22247_C002.indd 87 16/05/15 3:07 AM
Chapter 288
reporting such studies; it is therefore not discussed in
detail. (See Table 2.30.)
Radiological findings
Ultrasound
The normal pelvis does not contain fluid-filled
structures, although small traces of physiological fluid
may be present in the pouch of Douglas. Typically,
patients with tubo-ovarian abscess develop adnexal
abscesses, which may be seen as complex, multilocular
cystic masses. These often extend behind the uterus
and into the pouch of Douglas. The cystic components
within the masses may be simple or they may have
complex features with thick irregular walls/septations
with debris within them. Free fluid may also be seen
within the pelvis.
In cases of pyosalpinx, adhesions may form within
the fallopian tubes, causing blockages. This allows pus
to collect within the tube and may appear as a tubular,
cystic structure within the adnexa.
Computed tomography
The findings on CT correspond to the appearance
demonstrated on ultrasound; however, the overall
extent of the disease may be better delineated on cross-
sectional imaging. Tubo-ovarian abscesses are shown
as thick-walled cystic masses on contrast enhanced
CT with internal septations (Wilbur et al., 1992,
Figures 2.91–2.94). Other less specific features of tubo-
ovarianabscess includeinflammationandthickeningof
the uterosacral ligaments and rectosigmoid colon when
there is posterior extension of the inflammatory mass.
Para-aortic lymphadenopathy may also be present.
TUBO-OVARIAN ABSCESS
Pelvic inflammatory disease is a broad term used to
describe infection of the female genital tract. Tubo-
ovarian abscess is a well-recognised complication of
pelvic inflammatory disease, and occurs as a result of
ascending vaginal infection, which may spread to the
endometrium, fallopian tubes or ovaries and is then
complicated by abscess formation. If left untreated, it
has the potential to cause severe sepsis.
Patients may present with fever, pelvic pain and
vaginal discharge, although these features are non-
specific.Typically,patientsareyoungfemaleswhomay
ormaynothaveahistoryofpelvicinflammatorydisease.
Patientspresentingacutelymayhaveawidedifferential
diagnosis, which includes appendicitis, diverticulitis or
endometriosis. As a result, it is an important condition
to be aware of when scanning an acutely unwell female,
as it may masquerade as other entities.
Radiological investigations
Given the often non-specific nature of the clinical
presentation, tubo-ovarian abscess may not necessarily
be diagnosed easily. However, imaging can be very
useful in aiding diagnosis in conjunction with clinical
and biochemical findings.
Ultrasound is the imaging modality of choice in
patients with suspected tubo-ovarian abscess, as it
allows a thorough assessment of the adnexa while
avoiding ionising radiation. Unfortunately, if the
diagnosis is not considered, patients may proceed
initially to CT; although this often confirms the
diagnosis, the added radiation dose makes this less
favourable. Transabdominal scanning of the pelvis is
usually adequate to assess the pelvic structures, with the
patient scanned with a full urinary bladder. However, if
the adnexa are not clearly imaged, a transvaginal scan
may be warranted if the experience of the operator
allows this.
CT is often performed to identify the cause of pelvic
pain of uncertain origin. MRI is a preferred option to
CT, as this can clearly delineate the adnexal structures
without the use of ionising radiation. This is not
routinely available out of hours, nor is the expertise in
MODALITY PROTOCOL
Ultrasound 1–5MHz curvilinear probe to perform a
transabdominal scan.
CT Post IV contrast, portal venous phase: 100 ml
IV contrast, 4 ml/sec via 18G cannula. Scan
at 70 seconds. Scan from above diaphragm
to femoral head level.
Table 2.30 Tubo-ovarian abscess. Imaging
protocol.
K22247_C002.indd 88 16/05/15 3:07 AM
Gastrointestinal and genitourinary imaging 89
Figure 2.91  Axial image: IV contrast enhanced CT
scan of the pelvis in the portal venous phase. There are
enhancing, tubular structures within both adnexa, which
contain low density material consistent with bilateral
pyosalpinx (arrow). There is stranding of the adjacent fat
due to local inflammation.
Figure 2.92  Axial image: IV contrast enhanced CT
scan of the pelvis in the portal venous phase. There is
a significant amount of stranding of the fat around the
uterus due to local inflammation.
Figure 2.93  Coronal image: IV contrast enhanced CT
scan of the pelvis in the portal venous phase. There are
enhancing, tubular structures within both adnexa, which
contain low density material consistent with bilateral
pyosalpinx. There is stranding of the adjacent fat due to
local inflammation.
Figure 2.94  Sagittal image: IV contrast enhanced CT
scan of the pelvis in the portal venous phase. There is
a rounded structure seen posterior to the mid uterus
in keeping with pyosalpinx, with a second collection
seen more superiorly, which would be consistent with a
­tubo-ovarian abscess (arrow).
K22247_C002.indd 89 16/05/15 3:07 AM
Chapter 290
OVARIAN TORSION
Gynaecological causes of pelvic and abdominal pain
are common in women across a range of ages. The
most critical of these is acute ovarian torsion. Although
a relatively rare condition, misdiagnosis can have
significant implications for the patient, resulting in
ovarian necrosis and peritonitis. Similar to testicular
torsion, ovarian torsion occurs when the vascular
pedicle supplying the ovary twists about the broad
ligament. This initially results in venous outflow
obstruction causing marked congestion, eventually
leading to arterial compromise and infarction of the
affected ovary. Suggested predisposing factors include
large ovarian cysts and cystic neoplasms (Chang et al.,
2008).Previousepisodesofpelvicinflammatorydisease
and endometriosis may reduce the likelihood of torsion
owing to the increased incidence of adhesions, which
act to immobilise the ovary.
Acute iliac fossa and pelvic pain is a common clinical
presentation in women and can prove difficult to
manage. The various pathologies that may mimic the
presenting symptoms can be difficult to distinguish
and include appendicitis, diverticulitis and renal colic
(Duigenan et al., 2012). The role of imaging is often to
helpdifferentiatebetweentheseentities,inconjunction
with clinical and biochemical findings.
Key points
•	 Tubo-ovarian abscess can be a difficult diagnosis
to make given the non-specific symptoms that may
be present and the myriad of other mimicking
pathologies.
•	 Diagnosis can be made effectively on ultrasound
but may be encountered on CT when imaging the
acutely unwell patient.
Report checklist
•	 Document whether the abnormality is unilateral
or bilateral.
•	 Presence or absence of a drainable collection.
•	 Consider the differential diagnosis of
gynaecological malignancy.
Reference
Wilbur AC, Aizenstein RI, Napp TE (1992) CT
findings in tuboovarian abscess. Am J Roentgenol
158:575–579.
K22247_C002.indd 90 16/05/15 3:07 AM
Gastrointestinal and genitourinary imaging 91
Radiological investigations
The often non-specific presentation of ovarian torsion
can make diagnosis difficult, and as a result the most
appropriate form of imaging may not always be clear.
However, in cases where ovarian torsion is suspected,
ultrasound is the initial imaging modality of choice.
A transabdominal scan should be adequate to establish
the diagnosis with a well distended urinary bladder,
but in more difficult cases a transvaginal scan may be
necessary. CT imaging may be performed, although
the findings are more non-specific and it is not
recommended in the first instance. (See Table 2.31.)
Radiological findings
Ultrasound
The principal sonographic finding of ovarian torsion
is unilateral enlargement of the affected ovary
(4 cm), which occurs due to venous congestion
(Figure 2.95). Affected ovaries may also demonstrate
abnormal echogenicity within the parenchyma. It is
therefore important to assess the contralateral ovary
for comparison of ovarian size and volume as well as
for abnormal unilateral parenchymal changes. The
ovaries should be closely scrutinised for an underlying
mass lesion, as these are often present and predispose
to torsion. Another feature that should be assessed is
the distribution of follicles within the ovary. In normal
patients, follicles of varying sizes can be seen randomly
distributedthroughouttheovaries.However,incasesof
torsion, the follicles tend to be peripherally distributed.
Free fluid within the pelvis may be seen, which is a non-
specific sign.
Colour Doppler is an important tool for assessing
blood flow within the ovary. Completely absent
arterial flow within the ovary is the classic feature
that may be observed. However, more subtle findings
such as reversed or absent diastolic flow may be
MODALITY PROTOCOL
Ultrasound Low frequency curvilinear probe
(e.g. 1–5 MHz). Images should be acquired
of both adnexa to demonstrate the size and
vascularity of both ovaries.
Table 2.31  Ovarian torsion. Imaging protocol.
Figure 2.95  Ultrasonogram of the left ovary in the
longitudinal plane. The ovary is enlarged with increased
heterogeneous echogenicity.
seen. The presence of arterial flow does not exclude
torsion, as sporadic flow may be seen in an intermittent
torsion.
Computed tomography
CT of the pelvis may be performed for the assessment
of abdominal pain. The principal finding, as seen on
ultrasound, is a unilateral enlarged heterogeneous
K22247_C002.indd 91 16/05/15 3:07 AM
Chapter 292
ovary, which may be abnormally positioned in the
midline(Figures2.96,2.97).Inflammatoryfatstranding
maybeseenintheadjacenttissuesofthepelvisaswellas
small volumes of free fluid. Contrast enhanced CT may
reveal abnormal ovarian enhancement and engorged
vessels on the affected side.
Key points
•	 Ovarian torsion is a relatively rare, but clinically
significant condition that requires urgent surgical
intervention.
•	 The condition may present with non-specific
signs and symptoms, which may make diagnosis
difficult.
Figure 2.96  Axial image: IV contrast enhanced
CT scan of the pelvis in the portal venous phase.
A ­heterogeneous fat-containing adnexal mass is
shown in the midline, representing a torted dermoid
cyst (arrow).
Figure 2.97  Axial image: IV contrast enhanced CT
scan of the pelvis in the portal phase. There is a large,
non-enhancing left adnexal mass with adjacent fluid
and inflammatory changes within the adjacent tissues
consistent with a left ovarian torsion.
Report checklist
•	 Presence or absence of colour Doppler flow
within the ovary.
•	 Presence or absence of an adnexal mass as a
predisposing factor.
•	 Consider differential diagnoses such as ovarian
malignancy.
References
Chang HC, Bhatt S, Dogra VS (2008) Pearls and
pitfalls in diagnosis of ovarian torsion. Radiographics
28:1355–1368.
Duigenan S, Oliva E, Lee SI (2012) Ovarian torsion:
diagnostic features on CT and MRI with pathologic
correlation. Am J Roentgenol 198:W122–W131.
K22247_C002.indd 92 16/05/15 3:07 AM
Gastrointestinal and genitourinary imaging 93
Radiological findings
Ultrasound
Within the first 6 hours, the affected testicle may
be slightly enlarged, with normal or decreased
echogenicity (Figures 2.98, 2.99). With increasing
TESTICULAR TORSION
Testicular torsion is a urological emergency occurring
most frequently in adolescent boys and with an
incidence of 1 in 160 (Chen  John, 2006). Torsion
occurs when an abnormally mobile testis twists on the
spermatic cord, obstructing its blood supply. Typical
symptoms and signs include acute onset of severe
testicular pain, nausea and vomiting, and a high riding/
transverse lying testicle. The ischaemia can lead to
testicular necrosis if not corrected within 5–6 hours
of the onset of pain. Torsion can be intermittent and
can undergo spontaneous de-torsion. There are many
other conditions mimicking testicular torsion, such as
epididymitis and torsion of the testes appendage, which
can make clinical diagnosis difficult.
Prompt diagnosis and early treatment is essential as
time is critical for testicular salvage. If clinical suspicion
is high, imaging is not indicated and the patient should
betakentotheatreforanexploration.Forindeterminate
cases, imaging may be requested, more often than not
to investigate or exclude alternative pathologies. It is
important to emphasise that imaging cannot exclude
testicular torsion, since the torsion may be intermittent
in nature. The patient should always undergo surgical
exploration if clinical suspicion is high.
Radiological investigations
Imaging of the testes is by ultrasound. Sonographic
signs may be very subtle in the early period. Always
commence with examination of the clinically normal
testes. The settings for colour Doppler should be
adjusted such that background noise is just visible. (See
Table 2.32.)
MODALITY PROTOCOL
Ultrasound 6–9 MHz linear probe.
Table 2.32 Testicular torsion. Imaging
protocol.
Figure 2.98  Ultrasonogram of both testes in the
­transverse plane. The right testicle is enlarged
compared with the left, with a heterogeneous, coarsened
­echotexture.
Figure 2.99  Ultrasonogram of both testes in the
transverse plane. There is a central area of abnormally
low echogenicity within the left testicle, with a rim of
apparently normal testicular tissue.
K22247_C002.indd 93 16/05/15 3:07 AM
Chapter 294
time from symptom onset, the affected testicle shows
decreased echogenicity and appears heterogeneous
compared with the other side, which is a sign of poor
viability. A transverse view showing both testicles is
useful for comparison.
Figures 2.101a, b  Ultrasonograms of the left testicle in the transverse and longitudinal planes. There is an
­abnormal area of central low echogenicity within the testicle. On colour Doppler imaging, peripheral flow can be
seen within the epididymis and surrounding structures, but is absent within the testicle itself.
Figures 2.100a, b  Ultrasonogram of the left testicle in the transverse plane. The testicle demonstrates abnormal,
coarsened heterogeneous echotexture. There is absent flow within the testicle on colour Doppler imaging.
Whenbloodflowisabsentintheaffectedtesticle,the
diagnosisoftesticulartorsionisclear(Figures 2.100a, b,
2.101a, b). Occasionally, decreased blood flow seen in
early torsion can be erroneously diagnosed as normal.
Comparison with the contralateral side is therefore
crucial.
(a) (b)
(a) (b)
K22247_C002.indd 94 16/05/15 3:07 AM
Gastrointestinal and genitourinary imaging 95
Other features of torsion may include enlargement
of the epididymal head due to involvement of the
differential artery and a reactive hydrocele.
Testicular appendage torsion appears as a lesion of
low echogenicity with a central low echogenic area
adjacent to the epididymis. Epididymitis appears as
a swollen, heterogeneous epididymis with scrotal
thickening, hydrocele and increased vascularity of the
epididymis on colour Doppler.
As already highlighted, a normal study cannot
exclude the diagnosis; this should be emphasised to the
referring team.
Key point
•	 Testicular torsion is primarily a clinical diagnosis.
Ultrasound should only be used in situations
where the clinical diagnosis is uncertain.
Report checklist
•	 Presence of asymmetry in the testicular
appearances, commenting on Doppler flow,
echogenicity and size.
•	 Emphasise that even in the case of a ‘normal’
ultrasound, testicular torsion cannot be excluded.
Reference
ChenP,JohnS(2006)Ultrasoundoftheacutescrotum.
Appl Radiol 35:8–17.
K22247_C002.indd 95 16/05/15 3:07 AM
K22247_C002.indd 96 16/05/15 3:07 AM
97
Chapter 3
NEUROLOGY AND NON-TRAUMATIC
SPINAL IMAGING
STROKE
Stroke can be defined as a rapid onset ischaemic or
haemorrhagic insult to the brain, which can result in
permanent loss of brain parenchyma and permanent
neurological deficit. The commonest clinical sign
of stroke is a focal neurological deficit. While other
signs such as headache, reduced Glasgow Coma Score
(GCS) and vomiting are more typical of haemorrhagic
stroke,clinicalsymptomsandsignscannotdifferentiate
between either aetiology. The diagnosis of transient
ischaemic attack (TIA) is a retrospective one, defined
as a reversible neurological deficit that resolves within
24 hours.
Ischaemia is the commonest cause of stroke, seen
in up to 80% of cases (Srinivasan et al., 2006). Most
ischaemiceventsaresecondarytoatheroscleroticplaque
ruptureresultinginin-situthrombosis,andassuchthey
are heavily associated with atherosclerotic risk factors.
Although rarer, cardiac emboli (or systemic emboli via
a cardiac septal defect) are nonetheless potential causes,
and should be considered in the absence of appropriate
risk factors and in younger patients.
Stroke due to haemorrhage should not be confused
with haemorrhagic transformation of an ischaemic
event, which can occur in up to 40% of cases (Shiber
et al., 2010). Primary intracerebral haemorrhage is a
result of chronic vessel damage due to hypertension.
Secondary causes of haemorrhage include trauma,
vasculitis and an underlying lesion such as a Circle of
Willis aneurysm, an arteriovenous malformation or a
parenchymal mass lesion.
An understanding of the pathophysiology of
ischaemic stoke is necessary to appreciate the
corresponding imaging findings. Cell hypoxia
causes an ‘ischaemic cascade’, initially resulting in
cytotoxic oedema. Vasogenic oedema occurs within
4–6 hours. Due to collateralisation, the result is a core
of necrosis surrounded by cells that are potentially
viable if perfusion is restored; the latter region is
referred to as the penumbra. As infarction matures,
cell death results in encephalomalacia with secondary
volume loss.
Urgent imaging is vital to identify ischaemic cases,
sincethesemaybeamenabletoconventionalantiplatelet
therapy and thrombolysis if the symptomatic period is
less than 3 hours. More novel treatments also include
thrombectomy,althoughthisiscurrentlyonlyavailable
in specialist centres.
Radiological investigations
Unenhanced CT imaging and MRI are the main
imaging modalities used in acute stroke management.
CT imaging is readily available and is considered
the initial modality of choice. Whilst CT imaging
is effective at identifying haemorrhage, it is not
uncommon for CT to fail to identify the subtle
signs of acute infarction and it is vital to appreciate
that ischaemic stroke cannot be excluded on CT in
the early symptomatic period. Depending of the
centre, contrast enhanced CTA can also be used to
identify an acute thrombus that may be amenable
to thrombectomy. MRI with diffusion weighted
sequences is more sensitive than CT at identifying
ischaemic stroke in the hyperacute to acute period and
can be used in cases of a normal CT study, although
this should not delay potential thrombolytic therapy.
BothCTimagingandMRIarediscussedsubsequently,
K22247_C003.indd 97 16/05/15 3:08 AM
Chapter 398
although their exact use depends upon local protocol
and availability. (See Table 3.1.)
Radiological findings
Computed tomography
Unenhanced CT imaging is primarily used to exclude
intracranial haemorrhage, which contraindicates
potential therapies for ischaemic stroke. The
attenuation of blood products varies according to age.
Acutehaemorrhageappearsashighattenuationmaterial
within the brain parenchyma. Typical ‘hypertensive
haemorrhage’ often has a predisposition for the basal
ganglia region, brainstem and cerebellum (Figure 3.1).
Ifhaemorrhageisidentifiedinalesstypicallocation,itis
always important to consider alternative causes such as
underlying mass lesions, arteriovenous malformations
or venous sinus thrombosis (Figures 3.2, 3.3). In this
scenario, contrast enhanced CT imaging should
be obtained to further characterise any possible
underlying cause. The size of any haemorrhagic focus
should be documented, as well as any evidence of mass
effect; the latter is indicated on CT by surrounding low
attenuation representing vasogenic oedema, midline
shift and descent of the cerebellar tonsils below the
level of the foramen magnum (Figure 3.4).
Subtle CT signs of an acute ischaemic stroke include
focal hyperdensity in a cerebral artery representing
acute thrombus (hyperdense cerebral artery sign,
Figure 3.5) and subtle loss of grey–white matter
differentiation, which represents early cytotoxic
oedema (insular ribbon sign, Figure 3.6). Careful image
windowing (width 8 Hu, centre 32 Hu) has been shown
to increase detection of the latter subtle sign.
MODALITY PROTOCOL
CT Unenhanced. Scan from skull base level
to vertex.
MRI Sagittal T1 weighted, axial T2 and proton
­density weighted, axial gradient echo and
diffusion weighted imaging and coronal
FLAIR sequences of the brain.
Table 3.1  Stroke. Imaging protocol.
Figure 3.2  Axial image: unenhanced CT scan of the
brain. There is a small focal haemorrhage in the right
frontal lobe with mild adjacent vasogenic oedema. This
is in an unusual position for a ‘hypertensive bleed’.
Figure 3.1  Axial image: unenhanced CT scan of the
brain. Ill-defined hyperdense material centred on the
right frontal deep white matter, consistent with an acute
hypertensive haemorrhage.
K22247_C003.indd 98 16/05/15 3:08 AM
Neurology and non-traumatic spinal imaging 99
Figure 3.4  Axial image: unenhanced CT scan of the
brain. There is a focal area of low attenuation centred
on the right basal ganglia. This causes effacement of
the right lateral ventricle and midline shift to the left.
Dependent intraventricular haemorrhage is also noted.
Figure 3.5  Axial image: unenhanced CT scan of the
brain. There is a large area of low attenuation involving
the right parieto-occipital lobes with loss of grey-white
matter differentiation consistent with acute stroke.
The right middle cerebral artery is hyperdense due to
thrombus (arrow).
Figure 3.3  Axial image: IV contrast enhanced CT scan
of the brain. After IV contrast administration, a small
abnormal vessel is seen underlying the haemorrhage, in
keeping with a vascular malformation (arrow). This is
the same patient as in Figure 3.2.
Figure 3.6  Axial image: unenhanced CT scan of the
brain. There is subtle loss of the grey-white matter
­differentiation of the right-sided insular ribbon (arrow),
consistent with acute right middle cerebral artery
infarction.
K22247_C003.indd 99 16/05/15 3:08 AM
Chapter 3100
vessel ischaemia (Figure 3.9). However, this should
not be confused with acute transependymal oedema,
which produces a similar appearance. Lacunar infarcts
present as small focal areas of low attenuation and
are another common finding in chronic small vessel
ischaemia.
Magnetic resonance imaging
The principles of MRI interpretation mirror those
of CT. The signal characteristics of haemorrhage
on MRI characteristically alter with age (Table 3.2).
Blood products characteristically cause a pronounced
susceptibility artefact on gradient echo sequences,
which can increase sensitivity. Hyperacute to acute
infarction is best identified on diffusion weighted
sequences as increased signal on diffusion imaging
with corresponding decreased signal on ADC
mapping (Figures 3.10a, b); however, typical imaging
characteristics of infarcts vary with time on these
As an ischaemic stroke evolves, there is an increase
in the degree of cytotoxic and vasogenic oedema, which
has a typical CT appearance of wedge-shaped low
attenuation that extends to involve the cerebral cortex
(Figure 3.7). It can be useful to classify the infarction in
relation to its arterial territory. If the oedema does not
correspond to a particular arterial territory, alternative
causes should be considered (e.g. an underlying mass
lesion). Haemorrhagic transformation of a formerly
ischaemic stroke can also occur, which typically has the
appearance of petechial haemorrhage on a background
of cytotoxic oedema corresponding to a typical arterial
territory.
ChronicinfarctscanbeidentifiedbytheirtypicalCT
appearance; wedge-shaped regions of cerebrospinal
fluid(CSF)density(encephalomalacia),withsecondary
signs of parenchymal volume loss such as ex-vacuo
ventricular dilatation (Figure 3.8). Periventricular
low attenuation often represents coexisting small
Figure 3.7  Axial image: unenhanced CT scan of the
brain. Wedge-shaped area of low attenuation in the right
middle cerebral artery territory, which extends to the
cortex, consistent with acute infarction.
Figure 3.8  Axial image: unenhanced CT scan of
the brain. Large area of low attenuation in the right
occipital lobe. This is of similar density to CSF, with
evidence of right cerebal volume loss and expansion of
the extra-axial CSF spaces.
K22247_C003.indd 100 16/05/15 3:08 AM
Neurology and non-traumatic spinal imaging 101
Figures 3.10a, b  Axial images: diffusion and ADC map of the brain. (3.10a) High signal is seen in the left frontal
lobe on diffusion images. (3.10b) The corresponding area on the ADC map is low signal, signifying restricted
­diffusion as seen in acute stroke.
Figure 3.9  Axial image: unenhanced CT scan of the
brain. Low attenuation periventricular changes around
the frontal horns are consistent with small vessel
disease.
Table 3.2 Signal characteristics of
haemorrhage on MRI.
EVOLUTION MRI SIGNAL
­CHARACTERISTICS
BIOCHEMISTRY
Hours T1 isointensity
T2 isointensity
Intracellular
­oxyhaemaglobin
Hours–2 days T1 isointensity
T2 hypointensity
Intracellular
­deoxyhaemaglobin
2–7 days T1 hyperintensity
T2 hypointensity
Intracellular
­methaemaglobin
1–4 weeks T1 hyperintensity
T2 hyperintensity
Extracellular
­methaemaglobin
4 weeks Peripheral T1
­hypointensity
Central T2
­hyperintensity with a
hypointense rim
Extracellular
­haemosiderin
(a) (b)
K22247_C003.indd 101 16/05/15 3:08 AM
Chapter 3102
CAROTID ARTERY DISSECTION
Carotid artery dissection (CAD) is estimated to be an
underlying cause in up to 25% of strokes in young and
middle-aged patients and should always be considered
in young patients presenting with acute onset
neurological signs (Rodallec et al., 2008). Dissection
can be both spontaneous and traumatic in aetiology,
with traumatic cases associated with high-impact blunt
head and neck trauma. Spontaneous dissections are
reported following trivial activities such as coughing,
sneezing and normal physiological neck movements.
Where this is the case, underlying arteriopathies such
as connective tissue disorders should be suspected,
including fibromuscular dysplasia, Ehlers–Danlos
syndrome, Marfan syndrome and polycystic kidney
disease.
Knowledge of the pathophysiology of dissection is
necessary to understand the relevant imaging findings.
Dissections can be caused by both an intimal tear
leading to propagation of blood within the media, or by
primary intramural haematoma with resultant intimal
perforation. In classic dissections, an intimal flap is
liftedawayfromthemedia;thisresultsinthecreationof
two channels within the aortic lumen (referred to as the
true and false lumens). The severity of symptoms and
signs depends on the degree of vascular compromise,
but can include headache, neck pain, ipsilateral
Horner’s syndrome, pulsatile tinnitus, amaurosis fugax
and focal neurology. Although there is currently a
limited evidence base regarding appropriate treatment,
this may involve anticoagulation and therefore urgent
diagnosis is vital.
Radiological investigations
Both CTA and magnetic resonance angiography
(MRA) are sensitive and specific for CAD. The carotid
artery should be imaged from the aortic arch to the
Circle of Willis; both modalities can also be extended
to image the brain to assess for the associated signs of
stroke. MRI can be more sensitive than CT for carotid
artery intramural haematoma (although this depends
sequences. Care must be taken not to incorrectly
diagnose T2 ‘shine through’ phenomenon as restricted
diffusion, the former appearing as increased signal on
diffusion weighted sequences without corresponding
decreased signal on ADC mapping. Vasogenic and
cytotoxic oedema present as increased signal intensity
on T2 weighted and FLAIR sequences. A chronic
infarct appears as CSF density (increased signal on T2
weighted sequences, decreased signal on T1 weighted
sequences and FLAIR suppression) with secondary
signs of volume loss.
Key points
•	 Acute stroke can be both ischaemic and
haemorrhagic in nature.
•	 CT is the initial imaging modality of choice and
should be performed immediately to exclude a
haemorrhagic cause, although it can fail to identify
hyperacute to acute infarction.
•	 Important early CT signs of stroke include subtle
loss of the grey–white matter differentiation,
hyperdense cerebral artery sign and insular ribbon
sign. Careful CT windowing (width 8 Hu, centre
32 Hu) has been shown to increase the sensitivity
for subtle loss of grey–white matter differentiation.
•	 MRI with diffusion weighted sequences is more
sensitive than CT at identifying infarction in the
hyperacute to acute period.
Report checklist
•	 Presence or absence of haemorrhage.
•	 Presence or absence of thrombus in the cerebral
artery which, depending on the institution, may be
amenable to immediate thrombectomy.
References
Shiber JR, Fontane E, Adewale A 2010 Stroke registry:
hemorrhagic vs ischemic strokes. Am J Emerg Med
28:331–333.
Srinivasan A, Goyal M, Azri F et al. (2006) State-of-
the-art imaging of acute stroke. RadioGraphics
26:S75–S95.
K22247_C003.indd 102 16/05/15 3:08 AM
Neurology and non-traumatic spinal imaging 103
haematoma include eccentric/concentric mural
thickening causing narrowing of the lumen and an
increase in the external calibre of the vessel (Rodallec
et al., 2008). As cases progress, complete occlusion of
the lumen can occur.
on the age of blood products) and the intracranial
hyperacute signs of stroke. MRI is, however, more
time-consuming and may not be available out of hours.
CTA is quick, can be incorporated into polytrauma CT
protocols in the context of a traumatic aetiology and
in most centres is considered the initial modality of
choice. The addition of unenhanced imaging increases
the CT sensitivity for intramural haematoma. Catheter
angiography has traditionally been used in the initial
assessment for CAD, but this is invasive, carries a
small risk of complications and should be reserved for
indeterminate CT and MRI cases where there is still a
strong clinical suspicion of dissection. (See Table 3.3.)
Radiological findings
Computed tomography
Unenhancedimagingshouldfirstbescrutinisedforacute
intramural haematoma, which appears as eccentric/
concentric high attenuation within the carotid artery
wall; this may only be appreciated as wall thickening in
the presence of IV contrast (Figure 3.11). This should
not be confused with atheroma, which is generally low
to intermediate attenuation on unenhanced imaging,
often demonstrating calcification. The most common
site of CAD is just cranial to the carotid bifurcation.
Artefact from dental amalgam and beam hardening
artefact at the skull base can both create the impression
of high attenuation in the region of the carotid arteries,
which can be misinterpreted as intramural haematoma.
The brain parenchyma should be inspected for the
early subtle signs of stroke.
A classic dissection flap presents on CTA as a linear
low attenuation filling defect coursing across the
opacified carotid artery lumen, although this can be
difficult to appreciate because of the small calibre of
the vessel. The carotid arteries should be scrutinised
in axial, coronal and sagittal planes using multiplanar
reformatting and wide window settings. Additional
findings suggestive of dissection and intramural
MODALITY PROTOCOL
CT Unenhanced phase. Scan from aortic arch to
Circle of Willis.
Carotid angiogram: 100 ml IV contrast via
18G cannula, 4 ml/sec. Bolus track centred
on aortic arch. Scan from aortic arch to
Circle of Willis.
Table 3.3 Carotid artery dissection. Imaging
protocol.
Figure 3.11  Axial image: IV contrast enhanced
CT scan of the upper thorax in the arterial phase.
There is thickening of the right common carotid antery,
secondary to intramural haematoma (arrow).
K22247_C003.indd 103 16/05/15 3:08 AM
Chapter 3104
Magnetic resonance imaging
Intramural haematoma may be appreciated on axial T1
fat saturated sequences, characteristically appearing as
crescenterichighsignalsurroundingacentralflowvoid,
which corresponds to the carotid artery (Figure 3.12).
The age of the haematoma is important; in the first
few days, the haematoma consists predominantly of
deoxyhaemaglobin and may be isointense (Rodallec
et al.,2008).Intramuralhaematomausuallycausesfocal
dilation of the vessel with corresponding narrowing/
signal loss in the lumen, which is best appreciated on
MRA imaging (Figure 3.13). On time of flight MRA
sequences,intramuralhaematomacanmanifestasarim
aroundthecarotidartery,whichdisplayssignalintensity
between that of the arterial flow and periarterial tissues.
As with CT imaging, the brain parenchyma should
be scrutinised on MRI, particularly using diffusion
weighted sequences, looking for the signs of stroke.
Key points
•	 CAD can be spontaneous or traumatic in nature.
Spontaneous cases are commonly associated with
connective tissue disorders.
•	 The commonest symptoms are headache and neck
pain. CAD should always be suspected in younger
patients presenting with acute-onset neurological
signs.
•	 Both CT and MRI are sensitive and specific and
play a role in investigating CAD, although CT is
quicker and more readily available out of hours at
most centres.
•	 Eccentric/concentric high attenuation and high
signal is suggestive of intramural haematoma
on unenhanced CT imaging and axial T1 fat
saturated MRI sequences, respectively. Signs of
dissection on CTA and MRA include a dissection
flap and focal luminal narrowing.
Report checklist
•	 In cases positive for intramural haematoma or
dissection, document whether flow is seen in the
carotid artery distal to the abnormality.
•	 Recommend further imaging of the brain to look
for ischaemia if not already performed.
Reference
Rodallec MH, Marteau V, Gerber S et al. (2008)
Craniocervical arterial dissection: spectrum
of imaging findings and differential diagnosis.
Radiographics 28:1711–1728.
Figure 3.12  Axial image: T1 fat saturated weighted
MR image of the neck. A rim of crescenteric high signal
is seen along the anteromedial wall of the left internal
carotid artery, representing intramural haematoma
(arrow).
Figure 3.13  Axial image: MRA sequence of the neck.
There is absent flow within the left internal carotid
artery due to dissection. Normal flow patterns can be
seen in the left external carotid, right internal/external
carotid and vertebral arteries.
K22247_C003.indd 104 16/05/15 3:08 AM
Neurology and non-traumatic spinal imaging 105
symptoms, and a LP should always be performed
in ‘normal’ CT studies to prevent a false-negative
result. CT is the imaging modality of choice in the
initial assessment of acute symptoms, with a reported
sensitivityof95%at12hours,althoughthisfallsto75%
at 72 hours. If the duration of symptoms is longer than
this, it may be more appropriate to progress directly to
LP as CT can yield a false-negative result. For more
subacute presentations, MRI should be considered
since it is more sensitive than CT. Both CTA and MRA
canalsobeutilised(usuallyintheabsenceofatraumatic
history) to determine the cause of SAH; however,
SUBARACHNOID HAEMORRHAGE
Subarachnoid haemorrhage (SAH) is defined as blood
within the space between the pial and arachnoid
membranes and is a neurosurgical emergency. There
are many causes of SAH (Table 3.4); common causes
include trauma or the spontaneous rupture of ‘Berry’
aneurysms of the Circle of Willis. Complications after
initial subarachnoid bleeding include intracerebral
haemorrhage, hydrocephalus, cerebral oedema
and raised intracranial pressure, vasospasm and
re-bleeding. Classic symptoms and signs include an
occipital ‘thunderclap’ headache and meningism,
although focal neurological signs and reduced GCS
can also be seen. Commonly used clinical grading tools
include the Hunt and Hess and the World Federation
of Neurosurgical Societies scales (Tables 3.5 and 3.6).
Urgent diagnosis is vital to facilitate neurosurgical or
interventional radiological treatment such as coiling
or embolisation; however, the mortality rate in the first
month after bleeding is still estimated to be as high
as 40%. It is important to appreciate that radiology is
only part of the diagnostic pathway, which also involves
CSF analysis for xanthochromia obtained from lumbar
puncture (LP).
Radiological investigations
The decision to image with CT or MRI depends on the
symptomatic duration, since this affects the sensitivity
of both modalities. It should be emphasised that CT
cannot exclude SAH, regardless of the duration of
•	 Trauma.
•	 Ruptured Berry aneurysm.
•	 Non-aneurysmal (perimesencaphalic) haemorrhage.
•	 Arteriovenous malformation.
•	 Dural arteriovenous fistula.
•	 Spinal arteriovenous malformation.
•	 Venous infarction.
•	 Intradural arterial dissection.
•	 Cocaine use.
Table 3.4 Causes of subarachnoid
­haemorrhage.
Grade 1 GCS 15.
Grade 2 GCS 13–14 without deficit.
Grade 3 GCS 13–14 with focal neurological deficit.
Grade 4 GCS 7–12.
Grade 5 GCS 7.
GCS = Glasgow Coma Scale
Table 3.6 The World Federation of
­Neurosurgical Societies scale for
grading subarachnoid haemorrhage.
Grade 1 Asymptomatic or minimal headache and slight
neck stiffness. 70% survival.
Grade 2 Moderate to severe headache; neck stiffness;
no neurological deficit except cranial nerve palsy.
60% survival.
Grade 3 Drowsy; minimal neurological deficit. 50% survival.
Grade 4 Stuporous; moderate to severe hemiparesis;
possibly early decerebrate rigidity and vegetative
disturbances. 20% survival.
Grade 5 Deep coma; decerebrate rigidity; moribund.
10% survival.
Table 3.5 The Hunt and Hess scale.
K22247_C003.indd 105 16/05/15 3:08 AM
Chapter 3106
Radiological findings
Computed tomography
SAH is confirmed on unenhanced CT imaging by
identifying high attenuation blood products in the
subarachnoid spaces (Figures 3.14a, b), accentuated
by using blood window settings (width 175, level 50).
Common areas to miss subtle haematoma include the
pre-pontine cistern, sylvian fissures, sulcal spaces near
thevertexanddependentpartsoftheventricularsystem
(Figures 3.15a–c). The severity of SAH can be graded
with the Fischer scale (Table 3.8). In any CT scan that
does not identify SAH, it is important to emphasise in
the report that a ‘normal’ scan does not exclude SAH,
and further assessment with LP should be considered.
catheter angiography remains the gold standard in
this regard. Catheter angiography has the advantages
(compared with CT and MRI) of increased spatial
resolution and temporal information regarding vessel
flow. (See Table 3.7.)
Figures 3.14a, b  Axial images: unenhanced CT scans of the brain. Hyperdense material is seen within the
­suprasellar, pre-pontine and interpedicular cisterns consistent with acute SAH.
MODALITY PROTOCOL
CT Unenhanced. Scan from level of foramen
magnum to vertex.
Intracranial angiogram: 100 ml IV contrast
via 18G cannula, 4 ml/sec. Bolus track
­centred on aortic arch. Scan from level of
aortic arch to vertex.
Table 3.7 Subarachnoid haemorrhage.
­Imaging  protocol.
(a) (b)
K22247_C003.indd 106 16/05/15 3:08 AM
Neurology and non-traumatic spinal imaging 107
Figures 3.15a–c  Axial images: unenhanced CT scans
of the brain. Serpiginous hyperdense ­haemorrhage
can be seen within the sulcal spaces towards the
vertex (3.15a) and in the sylvian fissures (3.15b, c).
­Intraventricular haemorrhage is also shown in a
­dependent position in the occipital horns (3.15c).
(a) (b)
(c)
It is important to inspect for the complications
of SAH. SAH can lead to diffuse intracerebral
oedema, which results in raised intracranial pressure.
This presents as generalised sulcal and basal
cistern effacement and reduced grey–white matter
differentiation. If severe, this can lead to tonsillar
descent, indicated by reduced CSF space at the
foramen magnum. Complicating ischaemia, which can
be venous in nature, appears as wedge-shaped areas of
low attenuation involving the cortex. Hydrocephalus
can also occur, which if gross is readily apparent;
however, more subtle signs include mild temporal horn
prominence and third ventricle convexity.
All patients without a history of trauma should
have further assessment with CT intracranial
angiogrography to assess for underlying causes such as
intracranialaneurysmsorarteriovenousmalformations.
Familiarity with the normal Circle of Willis anatomy
Group 1 No blood detected.
Group 2 Diffuse thin (1 mm) SAH with no clots.
Group 3 Localised clots and /or layers of blood 1 mm in
thickness.
Group 4 Intracerebral or intraventricular blood (+/− SAH).
Table 3.8 The Fischer scale.
K22247_C003.indd 107 16/05/15 3:08 AM
Chapter 3108
is essential (Figure 3.16). The Circle of Willis should
be systematically scrutinised with appropriate
image window settings, multiplanar reformats
and maximum intensity projection (MIP), looking
for any focal vascular dilatation that is consistent
with aneurysm (Figures 3.17a, b, 3.18a, b).
Arteriovenous malformations usually manifest as a
focal cluster of dilated, serpiginous enhancing vessels
(Figures 3.19a, b).
Figure 3.17a, b  Axial images: IV contrast enhanced
CT angiogram scans of the brain. There are round,
well-defined aneurysms arising from the left middle
cerebral artery bifurcation (3.17a) and the distal
right middle cerebral artery towards the right sylvian
fissure (3.17b, arrow).
(a)
(b)
Figure 3.16  The normal Circle of Willis anatomy
and common aneurysm locations. 1 = anterior
communicating artery; 2 = anterior cerebral artery;
3 = middle cerebral artery; 4 = internal carotid artery;
5 = posterior communicating artery; 6 = posterior
cerebral artery; 7 = superior cerebellar artery;
8 = anterior inferior cerebellar artery; 9 = basilar
artery; 10 = vertebral artery; 11 = anterior spinal artery;
• = Common aneurysm locations.
1
2
3
4
5
6
7
89
10
11
K22247_C003.indd 108 16/05/15 3:08 AM
Neurology and non-traumatic spinal imaging 109
Figures 3.18a, b  3-D reconstructed MIP images showing a right internal carotid artery aneurysm (arrow).
Figures 3.19a, b  Axial T2 weighted MR image (3.19a) and MRA MIP image (3.19b) showing a right occipital
arteriovenous malformation. On the axial T2 image this is shown as multiple, serpiginous flow voids in the right
occipital lobe.
(a)
(a) (b)(b)
(b)(b)
s
A R
I
L P
Post/Rt
Sup/Ant
Ant/Lft
Inf/Post
K22247_C003.indd 109 16/05/15 3:08 AM
Chapter 3110
SUBDURAL HAEMATOMA
Subdural haematoma (SDH) is defined as an
accumulation of blood between the dura and the
arachnoid mater. Bleeding is venous in nature, due
to the tearing of bridging cortical veins as they cross
the subdural space to drain into the adjacent dural
sinus. SDH can occur in any demographic following
significant trauma; however, it is more commonly seen
in the elderly, the anticoagulated and patients with
chronic alcohol dependence after a more innocuous
injury. In the paediatric demographic with suspicious
history, SDH should prompt the possibility of non-
accidentalinjury.Symptomsandsignsvarysignificantly,
but include headache, confusion, focal neurological
deficit and depressed GCS. Like symptom severity,
the mortality rate varies according to the severity of
haematomaanddegreeofmasseffect.Urgentdiagnosis
is important since significant SDHs may require
neurosurgical drainage, although smaller haematomas
may be treated conservatively. As a result, the on-call
radiologistshouldhaveahighindexofsuspicionforthis
condition, especially in at-risk demographics following
head injury (see Appendix 1).
Radiological investigations
CT is the imaging modality of choice in the acute
setting because of its high sensitivity and specificity.
(See Table 3.9.)
Key points
•	 SAH is a neurosurgical emergency.
•	 Radiology plays a part in the diagnostic pathway,
which also includes LP. CT imaging cannot
exclude SAH, and the sensitivity drops as the time
from symptom onset increases.
•	 Careful image windowing is essential to identify
subtle haemorrhage. Review areas should include
the pre-pontine cistern cistern, sylvian fissures,
sulcal spaces near the vertex and dependent parts
of the ventricular system.
•	 Common complications include secondary
venous ischaemia, cerebral oedema and
hydrocephalus.
•	 All patients with a non-traumatic history of
SAH should have further assessment with
CT intracranial angiography to assess for an
underlying cause.
Report checklist
•	 The degree of mass effect (i.e. midline shift/
cerebellar tonsillar descent).
•	 Presence or absence of hydrocephalus.
•	 In cases of non-traumatic SAH, consider an
underlying aneurysm – advise for the patient to be
recalled for CTA if not already performed.
•	 Emphasise that even in cases of a ‘normal’
CT scan, SAH cannot be excluded and a LP
should be performed.
MODALITY PROTOCOL
CT Unenhanced. Scan from level of foramen
magnum to vertex.
Table 3.9 Subdural haematoma. Imaging
protocol.
K22247_C003.indd 110 16/05/15 3:08 AM
Neurology and non-traumatic spinal imaging 111
Radiological findings
Computed tomography
Subdural collections appear on CT as crescenteric
extra-axial collections adjacent to the surface of
the brain. The attenuation of the collection varies
with the age of the blood products within. Acute
haematomas present as high attenuation in relation
to brain parenchyma (Figure 3.20). The sensitivity
for identifying subtle SDH can be increased by
using blood window settings (width 175, level 50).
In comparison, chronic haematomas demonstrate
decreased attenuation in relation to brain parenchyma
and may contain calcification, another useful clue
to assess age (Figures 3.21a, b). Acute on chronic
haematomas display mixed attenuation and can often
demonstrate dependent layering of acute blood
products within, referred to as a haematocrit level. Figure 3.20  Axial image: unenhanced CT scan of the
brain. There is a crescenteric rim of hyperdense material
overlying the left cerebral hemisphere consistent with
acute SDH. This causes effacement of the left cerebral
hemisphere with midline shift to the right. Further areas
of parenchymal haemorrhage can also be seen in the
frontal lobes.
Figures 3.21a, b  Axial images: unenhanced CT scans of the brain. Hypodense crescenteric collections are seen
overlying the right cerebral hemispheres representing chronic subdural collections. There is mass effect with
effacement of the underlying cerebral sulci, but no midline shift.
(a) (b)
K22247_C003.indd 111 16/05/15 3:08 AM
Chapter 3112
Subtle subdural bleeds can often be missed, especially
those that track along the falx cerebri and tentorium
cerebelli (Figures 3.22a, b). The use of multiplanar
reformats, especially coronal images, is useful in this
regard.
The extent and size of the SDH should be assessed.
This can be described in terms of the maximum depth
andtheextentofcerebralconvexitythatthehaematoma
abuts. Of more importance, although related, is the
degree of mass effect, which is indicated by local sulcal,
ventricular and basal cistern effacement, midline shift,
and tonsillar descent (Figure 3.23). MRI can sometimes
be useful to age the bleeds or to differentiate chronic
bleeds from cerebral atrophy resulting in a large CSF
space (Figure 3.24).
The main differential diagnoses include extradural
haematoma (EDH) and subdural hygroma. SDHs
are crescenteric in morphology and can cross sutures;
conversely, extradural haematomas are lenticular
and are bound by sutures (however they can cross
the midline and venous sinus reflections). Extradural
haematomas are also more commonly associated
with skull vault fractures, although this finding does
not preclude a subdural collection. Differentiation
between chronic SDH and subdural hygroma can be
Figures 3.22a, b  (3.22a) Axial image: unenhanced CT scan of the brain. Hyperdense material is seen tracking
along the falx, which should normally be pencil thin, as a result of an acute parafalcine SDH. (3.22b) Coronal image:
unenhanced CT scan of the brain. There is an SDH overlying the right cerebral hemisphere. In addition, there is a
more subtle parafalcine SDH.
(a) (b)
difficult. Subdural hygroma presents as a CSF density
subdural collection through which vessels may be seen
traversing; however, it does not extend into the sulcal
spaces.
Key points
•	 SDH can occur following head trauma and can
occur in the elderly following more minor injury.
In paediatric patients, always consider non-
accidental injury.
•	 CT is the imaging modality of choice. SDHs
demonstrate a crescenteric morphology and can
cross suture lines.
•	 Visualisation of subtle SDHs can be aided by
utilising blood window settings (width 175,
level 50) and multiplanar reformats.
Report checklist
•	 Comment on the age of the haematoma; acute,
acute on chronic, or chronic.
•	 The degree of mass effect (i.e. midline shift/
cerebellar tonsillar descent).
•	 Presence or absence of a skull fracture.
•	 Recommend urgent neurosurgical opinion.
K22247_C003.indd 112 16/05/15 3:08 AM
Neurology and non-traumatic spinal imaging 113
EXTRADURAL HAEMATOMA
EDH is a collection of blood within the extradural
space (i.e. the potential space between the inner table
of the skull vault and the dura mater). It typically
occurs following traumatic head injuries and is often
associated with an underlying skull fracture. EDH is
usually caused by arterial bleeds (typically branches of
the meningeal arteries), in contrast to SDH, which is
usuallytheresultofavenousbleed.Assuch,itcanresult
in a rapid accumulation of blood within a relatively
shortspaceoftime.Clinically,patientstypicallypresent
with a history of significant head trauma, followed by a
lucentinterval.Followingthis,patientsmaydeteriorate
rapidly due to the expanding size of the haematoma.
The condition can be life threatening and may require
urgent neurosurgical decompression, therefore urgent
diagnosis is vital.
Radiological investigations
Unenhanced axial CT imaging through the brain is the
modality of choice. Bony algorithm reconstructions of
images may be useful to identify underlying fractures.
Small, peripheral haematomas may be subtle and
difficult to identify, so image interpretation on blood
window settings (window 150, level 75) is also advised.
(See Table 3.10.)
Figure 3.23  Axial image: unenhanced CT scans of the
brain. Crescenteric collection overlying the left cerebral
hemisphere is mixed density with both high and low
attenuation material, consistent with an acute on chronic
SDH. There is effacement of the underlying sulci with
midline shift to the right.
Figure 3.24  Coronal image: FLAIR MRI sequence
showing hyperintense bilateral subdural collections
overlying the cerebral hemispheres (arrows). Note the
prominent low signal CSF spaces, suppressed on this
FLAIR sequence.
MODALITY PROTOCOL
CT Unenhanced. Scan from level of foramen
magnum to vertex.
Table 3.10 Extradural haematoma. Imaging
protocol.
K22247_C003.indd 113 16/05/15 3:08 AM
Chapter 3114
Radiological findings
Computed tomography
Imaging with CT is often all that is required to confirm
the diagnosis. Acute EDH is hyperdense on non-
enhanced CT. It is an extra-axial collection and so
appears at the periphery of the brain (Figure 3.25a).
Typically, an EDH conforms to a lenticular or lens
type shape, with a convexity that indents into the
brain. EDHs are bound by the dural attachments and
therefore cannot extend beyond cranial sutures. This
distinguishing feature can help to differentiate between
subdural and extradural collections. EDHs may also
show a swirling appearance within the collection; this
has been suggested as indicating active bleeding and
therefore continued expansion. As with a SDH, it is
useful to measure the maximum depth of the EDH
and assess the degree of mass effect and midline shift
(Figure 3.25b). Whenever an extra-axial collection
with a morphology suggestive of an EDH is identified,
the skull vault should be scrutinised on bone window
settings to identify associated skull vault fractures
(Figure 3.26).
Findings should always be urgently communicated
to the neurosurgical team to avoid a delay in potential
surgical management.
Key points
•	 EDH is a neurosurgical emergency and urgent
imaging is vital.
•	 The typical appearance is that of a lenticular,
hyperdense extra-axial collection.
•	 Findings should be communicated urgently to the
neurosurgical team for consideration of evacuation
of the haematoma.
Report checklist
•	 The degree of mass effect (e.g. midline shift/
cerebellar tonsillar descent associated with
any EDH).
•	 Presence or absence of a skull fracture.
•	 Recommend urgent neurosurgical opinion.
Figure 3.25a  Axial image: unenhanced CT scan of the
brain. A hyperdense, lenticular extra-axial collection is
seen overlying the left frontal lobe, consistent with an
acute extradural haematoma.
Figure 3.25b  Axial image: unenhanced CT scan of the
brain. The extradural haematoma seen in Figure 3.25a
is indenting the underlying parenchyma, causing sulcal
effacement and mild midline shift to the right of up
to 4 mm.
(b)(a)
K22247_C003.indd 114 16/05/15 3:08 AM
Neurology and non-traumatic spinal imaging 115
often less appropriate in the out of hours setting. While
far less sensitive, venous sinus thrombosis can also be
identified on unenhanced CT, therefore systematic
scrutiny of the venous sinus system should be a review
area on any CT head study. (See Table 3.11.)
Radiological findings
The principles of interpreting venogram imaging are
the same regardless of the modality used, although
therearecommonpitfallsspecifictobothCTandMRI,
which are discussed subsequently. Knowledge of the
CEREBRAL VENOUS SINUS THROMBOSIS
Although rare, cerebral venous sinus thrombosis is a
potentially life-threatening neurological emergency.
While up to 25% of cases are idiopathic (Stam, 2003),
any cause of a pro-thrombotic state can predispose
a patient to venous sinus thrombosis. Such causes
include malignancy, sepsis, dehydration, pregnancy,
oral contraceptive pill use and clotting abnormalities.
Localised infection, such as sinusitis, is also a common
potential cause. Symptoms and signs depend on
the site and extent of the thrombosis and include
headache, seizures, focal neurology and reduced GCS.
Complications of venous sinus thrombosis include
venous haemorrhage and infarction. Prompt diagnosis
is essential to facilitate urgent treatment with IV
heparin.
Radiological investigations
Contrast enhanced CT venography is the modality of
choice in the acute setting. MRI is also utilised in the
investigation of venous sinus thrombosis; however, it is
Figure 3.26  Axial image: unenhanced CT scan of the
brain. Comminuted linear fractures can be seen through
the greater wing of the left sphenoid bone, extending
into the left sphenoid sinus, which is opacified with
haemorrhage.
MODALITY PROTOCOL
CT Intracranial venogram: 100 ml IV contrast via
18G cannula, 2 ml/sec. Scan at 45 seconds
after initiation of injection. Scan from skull
base to vertex level.
Table 3.11 Cerebral venous sinus thrombosis.
Imaging protocol.
K22247_C003.indd 115 16/05/15 3:08 AM
Chapter 3116
is arachnoid granulations, which are physiological
structures that protrude into the normal dural sinus
lumen. These are characteristically found laterally in
the transverse sinus and in the superior sagittal sinus
andappearasrounded,verywell-definedfillingdefects.
If there is diagnostic uncertainty on contrast enhanced
modalities, correlation with unenhanced imaging
can be helpful, since arachnoid granulations often
display a similar attenuation to CSF. Acute to subacute
venous sinus thrombosis should be suspected on an
unenhanced study where there is high attenuation
corresponding to a segment of the venous sinus system
(Figures 3.28, 3.29a). Common false positives on
unenhanced CT include transverse sinus physiological
normal anatomy of the venous sinus system is essential,
and both the superficial veins and deep sinus system
should be scrutinised in their entirety. The appearance
of thrombus varies with age, although for the purposes
of this chapter acute and subacute thrombosis are
considered.
Computed tomography
Venous sinus thrombosis presents on contrast
enhanced CT as a filling defect within the venous sinus
(Figures 3.27a–c). The venous sinus system should be
scrutinised in axial, sagittal and coronal planes with
widewindowsettingstoavoidmissingsubtlethrombus.
A common false positive on contrast enhanced CT
(a) (b)
(c)
Figures 3.27a–c  Axial and sagittal images: IV contrast
enhanced CT scans of the brain in the venous phase.
Filling defects are seen within the sagittal sinus,
consistent with venous sinus thrombosis (arrow).
K22247_C003.indd 116 16/05/15 3:08 AM
Neurology and non-traumatic spinal imaging 117
dominanceanddehydration,althoughthelatterusually
causesglobalvenoussinushyperattenuationasopposed
to a focal abnormality.
The potential complications of venous sinus
thrombosis must be considered. Parenchymal oedema
can occur secondary to venous sinus thrombosis and
presents as focal low attenuation, generally within
the white matter. It should be noted that this is often
reversible and may not necessarily progress to venous
infarction. Indirect signs include atypical haemorrhage
and oedema that does not correspond to an arterial
territory.Bilateralthalamicoedemaishighlysuggestive
of thrombosis of the deep venous system (internal
cerebral veins, vein of Galen and straight sinus); if
this is seen on unenhanced imaging, further contrast
enhanced imaging should be performed to assess for
venous sinus thrombosis (Figure 3.29b). Secondary
haemorrhage can also be seen, which differs in its
morphologyfromatypical‘hypertensive’ haemorrhage.
Figure 3.28  Axial image: unenhanced CT scan of the
brain. The anterior portion of the superior sagittal sinus
is hyperdense (arrow) compared with the corresponding
posterior segment, which is suspicious of a venous sinus
thrombus in the anterior portion.
Figure 3.29a  Axial image: unenhanced CT scan of the
brain. High attenuation thrombus is seen within the
internal cerebral veins (arrow).
Figure 3.29b  Axial image: unenhanced CT scan of
the brain. In addition to the thrombosis of the internal
cerebral veins seen in Figure 3.29a, there is low
attenuation change affecting both thalami, consistent
with infarction.
(a) (b)
K22247_C003.indd 117 16/05/15 3:08 AM
Chapter 3118
(Table 3.12). When seen in association with venous
sinus thrombosis, increased parenchymal signal on
T2 weighted and FLAIR sequences is suggestive of
associated oedema. Corresponding restricted diffusion
on diffusion weighted sequences is indicative of
complicating infarction (Figures 3.31–3.33a, b).
Key points
•	 CT venography is the imaging modality of choice
for diagnosing venous sinus thrombosis in the out
of hours setting.
•	 The hallmark of venous sinus thrombosis on
contrast enhanced CT is a filling defect in the
venous sinus system.
Report checklist
•	 Document the venous sinuses involved.
•	 Presence or absence of any complications of
venous sinus thrombosis (e.g. oedema, infarction
or haemorrhage).
Reference
Stam J (2003) Cerebral venous and sinus thrombosis:
incidence and causes in ischemic stroke. Adv Neurol
92:225–232.
Typical characteristics include irregular, flame-
shaped haemorrhage involving both the cortex and
subcortical regions. The identification of this type of
‘atypical’ haemorrhage on a unenhanced study should
always prompt suspicion of venous sinus thrombosis.
A common cause of venous sinus thrombosis is
sinusitis. The paranasal air spaces and mastoid air cells
should be well aerated – any opacification of these
spaces is suggestive of sinusitis.
Magnetic resonance imaging
As with CT, venous sinus thrombosis is suggested on
contrast enhanced and time of flight MRI sequences as
a filling defect within the venous sinus (Figure 3.30).
Interpretation of time of flight MRI can be
more challenging than contrast enhanced imaging.
A common false positive is flow gap phenomenon,
which occurs when the plane of acquisition is not
perpendicular to the sinus (for example axial image
acquisition of the superior sagittal sinus). Knowledge
ofthislimitation,alongwithcorrelationwithadditional
sequences, can help prevent this pitfall. The venous
sinus system should also be scrutinised on T1 and
T2 weighted sequences, although the precise signal
characteristic of the thrombus is dictated by its age
Figure 3.30  3-D reconstruction of a MR venogram
sequence. No flow is seen within the straight sinus
owing to occlusion as a result of venous sinus
thrombosis.
AGE OF THROMBUS T1 SIGNAL T2 SIGNAL
Acute (0–5 days) Isointense Hypointense
Subacute (6–15 days) Hyperintense Hyperintense
Chronic (15 days) Isointense Isointense/hypointense
Table 3.12 MRI signal characteristics of an
ageing thrombus.
K22247_C003.indd 118 16/05/15 3:08 AM
Neurology and non-traumatic spinal imaging 119
Figure 3.33a, b  These axial true diffusion and ADC map images show high signal within the affected areas and this
would therefore be in keeping with a subacute infarct within these regions.
Figure 3.31  Axial T2 weighted MR image showing
high signal within both thalamic nuclei as well as within
the heads of both caudate lobes and the right basal
ganglia.
Figure 3.32  Axial FLAIR MR image demonstrating
high signal within both thalamic nuclei as well as within
the heads of both caudate lobes and the right basal
ganglia.
(a) (b)
K22247_C003.indd 119 16/05/15 3:08 AM
Chapter 3120
Radiological investigations
CT is the imaging modality of choice to diagnose
hydrocephalus in the acute setting. This allows
accurate assessment of the parenchyma as well as the
ventricular system. If an underlying mass lesion is seen
on unenhanced imaging, post-contrast images may be
acquired to help characterise this further. In patients
presenting with a suspicion of hydrocephalus who have
aVPshuntinsitu,shuntfractureshouldfirstbeexcluded
via a plain film series. Ultimately, however, exclusion of
hydrocephalus requires evaluation with CT.
Intheon-callsetting,furtherimagingisnotroutinely
required to establish the diagnosis. If no underlying
cause is seen on CT, patients may require an MRI brain
study to evaluate CSF and aqueductal flow. Similarly,
hydrocephalus in neonates may be assessed with
cranial ultrasound in order to avoid ionising radiation;
however, this is not a standard sonographic skill and
would not routinely be performed out of hours other
than in dedicated paediatric neurosurgical centres.
(See Table 3.13.)
Radiological findings
Computed tomography
An unenhanced CT scan of the brain is the imaging
modality of choice to identify the presence of
HYDROCEPHALUS
Hydrocephalus is a commonly encountered, treatable
neurosurgical emergency. It occurs when there is
excessive CSF within the cerebral ventricles, which
results in dilatation of the ventricular system causing
increased intracranial pressure. Patients who present
acutely may have varied clinical symptoms ranging
from headache, nausea and vomiting to reduced
consciousness. Ultimately, increased intraventricular
pressure may result in brain damage and death if left
untreated. Urgent imaging is indicated and facilitates
neurosurgicaltreatment,usuallyviaexternalventricular
drain (EVD) placement.
The underlying aetiology of hydrocephalus can
be broadly split into two groups: communicating and
non-communicating. Communicating hydrocephalus
refers to abnormalities relating to extraventricular CSF
production and absorption, often at the level of the
arachnoidgranulations.Commoncausesofobstruction
at this level include meningitis, SAH and venous sinus
thrombosis. Non-communicating hydrocephalus
tends to occur as a result of obstruction at the level
of the ventricles, which may be due to tumour or
intraventricularhaemorrhage,inadditiontocongenital
abnormalities such as aqueductal stenosis at the level
of the fourth ventricle. Another, less common cause
of hydrocephalus are CSF producing tumours such as
choroid plexus papillomas.
Patients that have undergone treatment
for hydrocephalus in the past may have a
ventriculoperitoneal (VP) shunt in situ. This is an
internal drain in which the cranial tip lies within
the ventricular system. The line is then positioned
subcutaneously through the neck, along the chest wall
andintotheabdomen.Thecaudallinetiplieswithinthe
peritoneum where the CSF drains and is subsequently
reabsorbed. Occasionally, these shunts may fracture
and their ability to function may be compromised (see
Ventricularperitoneal shunt complications).
MODALITY PROTOCOL
CT Unenhanced. Scan from level of foramen
magnum to vertex.
Post contrast images in patients with
suspected or confirmed mass lesion; 50 ml
IV contrast via hand injection, scanned
­approximately 2–3 minutes post injection.
Table 3.13  Hydrocephalus. Imaging protocol.
K22247_C003.indd 120 16/05/15 3:08 AM
Neurology and non-traumatic spinal imaging 121
ventricular system should prompt the suspicion
of communicating hydrocephalus. In contrast,
non-communicating hydrocephalus can manifest
as dilatationofaproximalpartoftheventricularsystem.
Forexample,dilatationofthelateralandthirdventricles
inisolationinfersobstructionatthelevelofthecerebral
aqueduct, commonly seen in aqueduct stenosis. Space-
occupying lesions can cause pressure and obstruction
of the ventricular system. These are best visualised with
IV contrast, which should be administered if there is a
suspicion of an underlying mass lesion.
hydrocephalus. The earliest radiological sign of
hydrocephalus is dilatation of the temporal horns of the
lateralventricles.Innormalindividuals,theseshouldbe
slit-like or conform to a ‘tear drop’ shape (Figure 3.34).
However, in patients with hydrocephalus the horns
dilate and may become enlarged with added convexity
(Figure 3.35).Ifthehydrocephaluscontinues,dilatation
oftheremainderoftheventriclesensues,withincreased
ventricular size demonstrated on CT imaging.
It is important to consider which parts of the
ventricular system are dilated. Dilation of the entire
Figure 3.34  Axial image: unenhanced contrast
CT scan of the brain. Normal appearances of the
temporal horns of the lateral ventricles with a slit-like
morphology.
Figure 3.35  Axial image: unenhanced CT scan
of the brain. The temporal horns are dilated with
loss of the normal tear drop morphology indicating
hydrocephalus.
K22247_C003.indd 121 16/05/15 3:08 AM
Chapter 3122
Asaresultoftheincreasingventricularvolume,there
may be considerable mass effect on the brain tissues,
whichmaybeseenaseffacedsulciandobliteratedextra-
axial CSF spaces (Figure 3.36). The pressure within
the ventricles may also damage the ependymal lining
of the ventricles. If this occurs, the pressure within the
ventriclesmayforceCSFintotheperiventricular tissues.
Thisisknownastransependymaloedema(Figure 3.37).
This can have a similar appearance to small vessel
ischaemia; however, associated ventricular dilatation is
the key to distinguishing the two entities.
Parenchymal atrophy is a normal consequence of
ageing; compensatory ventricular dilatation often
occurs as a result of this. It is therefore important to
take the degree of cerebral atrophy into account when
assessing the calibre of the ventricular system. In young
patients with completely preserved parenchyma,
any dilatation of the temporal horns should rouse
suspicion, but in elderly patients with large amounts
of parenchymal atrophy, the ‘normal’ appearance may
be prominence of the ventricles. Therefore, the most
useful way to assess for any acute changes is to compare
with any previous imaging.
As with VP shunts, the tips of EVDs should traverse
the ventricular system. EVDs may be misplaced at
the time of insertion or subsequently; this results
in ineffective drainage of the ventricular system. It
is useful to document the position of the VP shunt,
since any movement in the position of the tip can be
relevant in the future. It is not uncommon to identify
mild parenchymal haemorrhage around the tract of the
EVD in the acute period, although this should not be
excessive.
Plain films
VP shunts are used to treat hydrocephalus, and are
particularly common in children. The lines used
are radiopaque and their position and integrity can
therefore be assessed fairly well on plain film imaging.
The cranial portion of a VP shunt is usually attached
to an extracranial port, which lies within the scalp
tissues. At the attachment distal to this port, there is
Figure 3.37  Axial image: unenhanced CT scan
of the brain. The lateral ventricles are dilated, and
periventricular low attenuation changes can be
seen representing transependymal oedema in acute
hydrocephalus.
Figure 3.36  Axial image: unenhanced CT scan of the
brain. There is effacement of the normal sulcal pattern
and extra-axial CSF spaces due to raised intracranial
pressure.
K22247_C003.indd 122 16/05/15 3:08 AM
Neurology and non-traumatic spinal imaging 123
VENTRICULOPERITONEAL SHUNT
­MALFUNCTIONS
VPshuntingisacommontreatmentforhydrocephalus,
particularly in children. CSF is drained via a
subcutaneous drain and absorbed by the peritoneum,
thus relieving excess intraventricular pressure. Shunt
obstruction is a common complication and can result
in progressive hydrocephalus, which is a neurosurgical
emergency. Symptoms and signs of shunt failure
include headache, nausea and vomiting, reduced GCS
and prolonged refill of the shunt reservoir. In the
paediatric population, clinical signs can also include
increasing head circumference and fontanelle bulging.
Additional complications of shunt insertion, such as
infection, CSF pseudocysts and slit ventricle syndrome
(SVS), can also be encountered.
often a short segment of radiolucency representing
the shunt valve, which is normal, but this should not
be longer than a few centimetres (Figure 3.38, Goeser
et al., 1998). This may be difficult to appreciate and
comparison with previous images is therefore crucial to
identify subtle abnormalities.
The distal portion of the line should be traced on
the chest and abdominal plain films to ensure a correct
tip position within the abdomen. Lines should also be
scrutinisedforevidenceoffracture;normallinesshould
be continuous with no breaks evident below the head.
Skull plain films are not indicated for the assessment
of hydrocephalus, other than to assess for VP shunt
abnormalities.
Key points
•	 Unenhanced CT imaging is the modality of
choice in the acute investigation of hydrocephalus.
•	 The earliest sign of hydrocephalus is dilatation of
the temporal horns of the lateral ventricles.
•	 A shunt series should be performed in addition to
CT imaging in patients with VP shunts presenting
with signs of hydrocephalus.
Report checklist
•	 Document the type of hydrocephalus
(communicating or non-communicating) and the
level of obstruction.
•	 Consider underlying causes of non-
communicating hydrocephalus (e.g. an
obstructing mass).
•	 Consider causes of communicating hydrocephalus
(e.g. meningitis or SAH).
•	 Recommend urgent neurosurgical opinion.
Reference
Goeser CD, McLeary MS, Young LW (1998)
Diagnostic imaging of ventriculoperitoneal shunt
malfunctions and complications. Radiographics
18:635–651v.
Figure 3.38  Lateral skull radiograph. The radiopaque
shunt can be seen with a short radiolucent gap
within the extracranial soft tissues, which is a normal
appearance for a VP shunt (arrow).
K22247_C003.indd 123 16/05/15 3:08 AM
Chapter 3124
Radiological investigations
Assessment of shunt malfunction should begin with a
plain film series of the subcutaneous shunt tubing to
assess for mechanical breakage of the tubing. If there
is clinical suspicion of shunt malfunction, further
assessment with CT imaging should be performed
without delay. Post IV contrast CT head imaging
should be obtained if there is a clinical concern of shunt
infection. (See Table 3.14.)
Radiological findings
Plain films
Plain films should be assessed to identify discontinuity
in the shunt tubing. Breakage commonly occurs at
sites of increased mobility, such as the neck, although
it can occur in any location (Figure 3.39). There is
commonly a radiolucent portion of the shunt tubing
just external to the entry point into the skull (Figure
3.40). This can be incorrectly interpreted as a fracture
in the shunt tubing, a common pitfall. The distal end
of the shunt should be coiled in the peritoneal cavity,
projected over the middle to lower abdomen (Figure
3.41). Shunt migration can also occur, resulting in an
abnormal course of the shunt tubing. Note: Plain film
imaging alone cannot exclude internal blockage of the
shunt tubing and hydrocephalus, and therefore CT
imaging is required.
MODALITY PROTOCOL
Plain film
series
Lateral and AP skull. PA chest radiograph.
AP abdominal radiograph. The neck should be
imaged in either the chest or skull radiographs.
CT Unenhanced. Scan from level of foramen
magnum to vertex.
Table 3.14 Ventriculoperitoneal shunt
malfunctions. Imaging protocol.
Figure 3.39  AP chest and upper abdomen radiograph.
The shunt can be seen descending from the neck
projected through the thorax, where a clear break can be
seen just lateral to the left heart, with separation of the
proximal and distal fragments.
Figure 3.40  Lateral skull radiograph. The normal
lucency can be seen representing the valve of the
shunt. However, inferior to this, there is a break in
the continuity of the shunt consistent with shunt
fracture.
K22247_C003.indd 124 16/05/15 3:08 AM
Neurology and non-traumatic spinal imaging 125
Computed tomography
When interpreting CT imaging for shunt
complications, it is important to compare with previous
CT studies. CT imaging allows assessment of the shunt
position–thetubeshouldideallytraversetheventricular
system (Figure 3.42). Migration of the proximal shunt
tip when compared with previous imaging can occur.
With careful image windowing, the proximal aspect of
the extracranial component of the shunt tubing can be
inspected for discontinuity.
The hallmark of VP shunt obstruction
on CT is progressive ventricular dilatation
(Figure 3.43). The ventricles may remain dilated
despite effective shunting, again highlighting
the importance of comparison with previous CT
head imaging. Ancillary signs of hydrocephalus
include basal cistern effacement, peripheral sulcal
effacement and transependymal oedema; the latter
appears as periventricular low attenuation change.
Figure 3.41  AP abdominal radiograph. The shunt can
be seen projected over the right abdomen, eventually
coiling within the mid abdomen. Shunt continuity is
maintained with no evidence of shunt fracture.
Figure 3.42  Axial image: unenhanced CT scan of the
brain. The shunt can be seen entering the right parietal
lobe into the right lateral ventricle, with the tip lying in
the midline in the third ventricle near the foramen of
Munro.
Figure 3.43  Axial image: unenhanced CT scan of
the brain. There is dilatation of the lateral ventricles
consistent with hydrocephalus. There are periventricular
low attenuation changes representing transependymal
oedema.
K22247_C003.indd 125 16/05/15 3:08 AM
Chapter 3126
INTRACRANIAL ABSCESS AND
SUBDURAL EMPYEMA
The term ‘intracranial abscess’ may refer to both
cerebral abscess and subdural empyema. Cerebral
abscess results from a focal infection of the brain
parenchyma. Four stages are recognised in the
progressive evolution of this entity: early cerebritis, late
cerebritis, evolving abscess and established abscess.
Subdural empyema refers to a focal infection located
within the dura and arachnoid mater. Both cerebral
abscessandsubduralempyemasharesimilaraetiologies
and can complicate each other. Causes include direct
spread from adjacent structures (such as sinusitis,
mastoiditis and dental infection), haematogenous
spread, complications of neurosurgery and meningitis,
although haematogenous spread is less commonly seen
in subdural empyema as opposed to cerebral abscess.
Symptomsandsignsmostcommonlyincludeheadache,
fever, focal neurology and seizures, with the nature of
focal neurological signs depending on lesion location
and degree of mass effect. An associated elevation
of inflammatory markers can inform the diagnosis;
however,itsabsenceshouldnotdissuadefromthis.Risk
factors for haematological spread include IV drug use,
bacterial endocarditis, systemic sepsis, chronic lung
infection and bronchiectasis, and left to right shunts.
Early diagnosis via imaging is vital; this has helped to
decrease the once high mortality rate, although this
is still estimated at approximately 5–15%. In cases of
established abscess or empyema, treatment involves
surgical excision and drainage in addition to antibiotic
therapy.
Always consider whether or not the patient is
or could be immunocompromised. Aspergillosis
can present as an invasive paranasal sinusitis with
extension into the orbit and brain. It can also present
as an intracerebral abscess or infarct. Candidiasis
can present as microabscesses. Toxoplasmosis can
present with multiple intracerebral abscesses, which
are more commonly seen in the basal ganglia, thalami
and corticomedullary junction. Tuberculosis can
have a variable presentation with leptomeningeal
enhancement, cerebritis and abscesses.
In cases of chronic hydrocephalus, periventricular
fibrosis can occur, which reduces the plasticity of the
ventricles. It should therefore be noted that increased
intraventricularpressuremayoccurevenintheabsence
of an increase in intraventricular size. SVS is a rare
but important complication of VP shunting. Patients
present with clinical symptoms of hydrocephalus, but
conversely have slit-like, disproportionately collapsed
ventricles in relation to the degree of sulcal/basilar
cistern effacement on cross-sectional imaging. This is
a difficult diagnosis to make in the absence of previous
imaging.
In cases where there is clinical suspicion of
infection, post IV contrast CT imaging should be
performed. Ependymal or sulcal enhancement can
be seen in meningitis, which can occur secondary to
shunt infection. The local soft tissues adjacent to the
extracranial shunt tubing should also be scrutinised for
enhancing fluid collections.
Key points
•	 VP shunting is a common treatment for
hydrocephalus. Complications include
shunt failure (obstruction and breakage) and
infection, which can result in progressive
hydrocephalus.
•	 Shunt plain film and CT head imaging should
be performed without delay if there is clinical
suspicion of shunt failure.
•	 Shunt obstruction can be inferred from the
presence of increasing ventricular size or
transependymal oedema.
Report checklist
•	 Presence or absence of any shunt discontinuity on
the plain film series.
•	 Precise location of the tip of the VP shunt and
whether it traverses the ventricular system.
•	 Presence or absence of hydrocephalus and
transependymal oedema.
•	 Recommend urgent neurosurgical opinion in cases
of progressive hydrocephalus.
K22247_C003.indd 126 16/05/15 3:08 AM
Neurology and non-traumatic spinal imaging 127
Lymphoma in immunocompetent patients
usually presents as solid mass lesions with uniform
enhancement. In the immunocompromised patient,
however, lymphoma can be characterised by ring
enhancing lesions.
Radiological investigations
MRIwithIVcontrastanddiffusionweightedsequences
is the most sensitive imaging modality in the diagnosis
of cerebral abscess and subdural empyema. However,
MRI is not always available out of hours and may not
be suitable in acutely unstable patients owing to its
long acquisition time. CT is often performed prior to
MRI and can be useful to exclude alternative causes
of focal neurology, such as stroke or intracranial
haemorrhage. Whilst contrast enhanced CT imaging
can identify the characteristic ring enhancement
that is typical of an established cerebral abscess, its
major limitation lies in the low specificity of this sign,
which can also be seen in both primary and secondary
intra-axial malignant lesions. In this scenario,
correlation with clinical history is helpful, although
ultimately confirmation often requires MRI. Both
unenhanced and IV contrast enhanced CT can yield a
false-negative result in cases of cerebritis. Unenhanced
CT imaging can readily identify subdural collections,
but it cannot confirm infection; the addition of IV
contrast increases sensitivity. (See Table 3.15.)
Radiological findings
Computed tomography
On the unenhanced phase, a cerebral abscess typically
has the appearance of a cystic focus of low attenuation
(the precise Hu of which varies according to the
purulence of the abscess) with an isoattenuating or
hyperattenuating rim. There is typically thin rim
enhancement after administration of IV contrast, in
contradistinction to the thick, irregular enhancement
seen in malignant lesions, although this is variable
(Figure 3.44). Note: It may be difficult on CT to
MODALITY PROTOCOL
CT Unenhanced. Scan from level of foramen
magnum to vertex.
Post IV contrast: 100 ml IV contrast via 18G
cannula, 4 ml/sec. Scan at 40 seconds after
start of injection. Scan from level of foramen
magnum to vertex.
MRI Sagittal T1 weighted, axial PD, T2 and
­diffusion weighted, coronal FLAIR and pre-
and post-IV contrast T1 weighted sequences.
Table 3.15 Intracranial abscess and subdural
empyema. Imaging protocol.
Figure 3.44  Axial image: IV contrast enhanced CT
scan of the brain. A thick-walled lesion is seen in the
right parietal lobe, which demonstrates peripheral wall
enhancement, more so anteriorly than posteriorly.
Centrally the lesion is low attenuation with no
enhancement, representing a necrotic centre. Low
attenuation changes are seen surrounding the lesion,
representing vasogenic oedema.
K22247_C003.indd 127 16/05/15 3:08 AM
Chapter 3128
Subdural empyemas appear similar to SDHs in
their shape and their relationship to sutures and dural
reflections. They demonstrate a crescenteric shape (in
contradistinction to extradural collections, which are
convex)andcanalsobeseentrackingalongthetentorium
and falx. Loculation of any subdural collection should
always prompt the suspicion of infection. Subdural
empyemas are usually hypoattenuating and similar
in density to chronic SDHs; however, they generally
display dural enhancement on the contrast enhanced
phase (Figure 3.46). As with any subdural collection,
the depth and degree of associated mass effect are
useful findings and often dictate the urgency of surgical
intervention.
distinguish between an abscess and a malignant lesion.
Perilesional low attenuation change often represents
associated vasogenic oedema, which is also seen in
association with malignant lesions. The degree of mass
effect is important, indicated by sulcal or ventricular
effacement and midline shift. Cerebritis may appear as
anill-definedfocusoflowattenuationandcanbedifficult
to differentiate from areas of ischaemia. The enhanced
phase may show absent or patchy enhancement as
opposed to the typical rim enhancement of cerebral
abscess. Subependymal enhancement can indicate
associated ventriculitis, although this can also be seen
with malignant infiltration (Figure 3.45).
Figure 3.45  Axial image: IV contrast enhanced CT
scan of the brain. There is subependymal enhancement
(arrow), secondary to ventriculitis and meningitis.
Figure 3.46  Axial image: IV contrast enhanced CT
scan of the brain. A subdural collection is demonstrated
overlying the right frontal lobe and tracking along the
anterior falx with peripherally enhancing meninges,
consistent with an empyema (arrow). A further subdural
empyema is seen posteriorly tracking along the
tentorium cerebelli.
K22247_C003.indd 128 16/05/15 3:08 AM
Neurology and non-traumatic spinal imaging 129
Magnetic resonance imaging
The principles of MRI interpretation mirror that of
CT. Cerebral abscesses usually demonstrate central
hyperintensity on T2 weighted and FLAIR sequences
(typically less intense than CSF signal – Figure 3.47).
This corresponds to central hypointensity on T1
weighted sequences (typically of higher signal than
CSF). A thin, regular hypointense to isointense
capsule can usually be seen on T2 weighted sequences,
with corresponding enhancement on post-contrast
T1 weighted sequences (Figure 3.48). Perilesional
increased signal on T2 weighted and FLAIR sequences
usually signifies vasogenic oedema, although this can
sometimes represent tumour infiltration if secondary
to malignant lesions. Cerebritis may appear as a non-
specific focus of increased signal on T2 weighted and
FLAIR sequences. Subdural empyemas generally show
similar signal characteristics to the central component
of a cerebral abscess and, as with CT, may show
associated dural enhancement on post-contrast T1
weighted sequences.
Diffusion weighted sequences allow differentiation
of infective and malignant aetiologies; the latter
typically does not demonstrate restricted diffusion,
Figure 3.47  Axial image: T2 weighted MR image of
the brain. The abscess centred on the right thalamus
demonstrates intermediate to high signal centrally with
a low signal capsule. Surrounding high signal changes
around the lesion represent vasogenic oedema.
Figure 3.48  Axial image: T1 weighted MR image of
the brain post contrast. There is enhancement of the
peripheral capsule surrounding the abscess. The central
contents of the lesion do not enhance.
K22247_C003.indd 129 16/05/15 3:08 AM
Chapter 3130
malignancy. Parenchymal abscess can be
differentiated due to the associated presence of
restricted diffusion on MRI.
•	 Intracranial empyema appears as a crescenteric
subdural collection. Associated dural
enhancement and restricted diffusion is
characteristic.
Report checklist
•	 Document the degree of surrounding oedema and
mass effect/midline shift.
•	 Consider other differential diagnoses for multiple
ring enhancing lesions including metastases,
demyelination, multicentric glioma, lymphoma,
embolic infarcts.
•	 Consider whether the patient could be
immunocompromised.
although there are exceptions to this rule. Restricted
diffusion is confirmed by an increased signal on the
diffusion weighted sequence and corresponding
decreased signal on ADC mapping (Figures 3.49a, b).
Key points
•	 Intracranial infection in the form of parenchymal
abscess or subdural empyema is a neurosurgical
emergency.
•	 MRI with IV contrast and diffusion weighted
sequences is the most sensitive and specific
modality, although may not be readily available.
Pre- and post-contrast enhanced CT is a useful
alternative out of hours.
•	 Parenchymal abscess presents as a ring enhancing
lesion on both modalities; however, similar
appearances can be seen with intracranial
Figure 3.49a, b  Axial images: diffusion imaging (3.49a) and ADC map (3.49b) of the brain. The contents of the
abscess are high signal on diffusion imaging and low signal on the ADC map (i.e. the abscess restricts diffusion).
Note how the capsule of the abscess does not restrict diffusion.
(a) (b)
K22247_C003.indd 130 16/05/15 3:08 AM
Neurology and non-traumatic spinal imaging 131
quickly treatment is initiated. Although the ultimate
diagnosis is made from polymerase chain reaction
analysis of CSF obtained from LP, typical imaging
findings can suggest the diagnosis. Treatment with IV
antiviral agents can be started prophylactically prior to
diagnosis, therefore imaging does not necessarily have
to be performed out of hours. HSV encephalitis should
be distinguished from HSV meningitis; the latter
is usually caused by HSV-2 infection and generally
follows a benign cause.
Aswithcerebralabscesses,itisimportanttoconsider
whether the patient is immunocompromised. Human
immunodeficiency virus (HIV) can itself directly
involve the CNS. It causes a subacute encephalitis
characterised by diffuse bilateral signal change in the
white matter/basal ganglia in the absence of mass
effect/contrast enhancement. HIV also produces a
vasculitis, which can coexist with the infection, causing
multiple small infarcts. Cerebral atrophy is common.
Progressive multifocal leucoencephalopathy is caused
by papovavirus (JC virus) in patients with HIV. It is
characterised by extensive asymmetrical involvement
of the cerebral white matter with sparing of the
cerebral cortex. There is usually little in the way of
mass effect or contrast enhancement (Figures 3.50a, b).
HERPES SIMPLEX ENCEPHALITIS
Herpes simplex encephalitis is an acute or subacute
infectionofthebrainparenchymabytheherpessimplex
virus (HSV). There are two main subtypes of infection,
which differ in their demographics, causative organism
and pathophysiology. Adult infection (the focus of this
chapter) is caused by HSV-1 in 90% of cases (Bulakbasi
Kocaoglu,2008).Itresultsinamore focalencephalitis
in the frontal or temporal lobes and is considered
secondary to reactivation of the dormant virus.
Neonatal cases are usually caused by HSV-2, which
producesamoregeneralisedencephalitisandisacquired
by the neonate via maternal transmission at delivery
(Bulakbasi  Kocaoglu, 2008). Limbic encephalitis, a
paraneoplastic phenomenon that occurs secondary to
manynon-centralnervoussystem(CNS)malignancies,
can produce similar neurological findings.
Symptomsandsignsofadultviralencephalitisinclude
headache, fever, seizures, focal neurological deficits
and alteredordecreasedlevelofconsciousness.Because
of the non-specific nature of these symptoms and signs,
cases cannot reliably be differentiated clinically from
other intracranial pathologies. The mortality rate is
high, although the exact prognosis depends on how
(a) (b)
Figure 3.50a, b  Axial T2 and FLAIR MR images from a patient with progressive multifocal leucoencephalopathy.
These demonstrate asymmetrical but diffuse white matter signal change with sparing of the cerebral cortex and no
mass effect.
K22247_C003.indd 131 16/05/15 3:08 AM
Chapter 3132
signal on T2 and FLAIR sequences and corresponding
decreased signal on T1 weighted sequences.
Abnormality can be unilateral or bilateral. In cases
causing unilateral abnormality of the insular cortex,
the differential of a middle cerebral artery territory
infarct should be considered. This usually involves the
basal ganglia structures, which are characteristically
spared in HSV encephalitis, although in practice
differentiation between the two entities can be difficult.
These characteristic findings are normally seen in
immunocompetent patients. In immunocompromised
patients, a more diffuse pattern of involvement is
seen. Similar imaging findings can also be seen in
limbic encephalitis. Restricted diffusion may precede
T2 and FLAIR abnormalities. Viral encephalitis can
be complicated by haemorrhagic transformation,
which typically demonstrates increased signal on
T1 sequences in the subacute phase. Gyriform (or,
less commonly, localised leptomeningeal or ring)
enhancement on post-contrast T1 weighted sequences
in affected areas can also be seen subacutely; however,
its absence should not dissuade from the diagnosis.
Generalised leptomeningeal and subependymal
enhancement can be seen in cases of meningitis, which
can present with similar symptoms, although it should
be noted that imaging does not routinely form part of
the investigation pathway for meningitis.
Computed tomography
The temporal and inferior aspect of the frontal lobes
should be scrutinised for low attenuation abnormality,
suggestive of oedema (Figures 3.51a, b). It should be
noted that assessment of these areas, particularly the
temporal lobes, is hampered on CT by beam hardening
artefact. This typically causes streaky low attenuation,
which can be mistakenly interpreted as oedema.
Familiarity with the ‘normal’ spectrum of appearances
of these regions on CT is vital to avoid false positives.
Haemorrhage in involved areas is readily identified
on CT. As with MRI, gyriform enhancement can be
seen on post-contrast images and suggests subacute
infection. Note: CT cannot exclude viral encephalitis;
this should be emphasised in the report.
Cerebral atrophy is not a feature. Cytomegalovirus
infection is usually only seen in immunocompromised
patients and presents with patchy periventricular signal
change.
Radiological investigations
MRIisthemostsensitiveandspecificimagingmodality
forthechangesofherpessimplexencephalitis,although
this modality can be normal early on in the course of
infection; as such, a normal scan should not exclude the
diagnosis. Utilisation of diffusion weighted sequences
increases sensitivity. The main limitation with MRI
lies in its limited out of hours availability. CT is less
sensitive than MRI. CT imaging is often normal; as
withMRI,anormalstudycannotexcludethediagnosis.
However, CT is often performed prior to MRI because
of the non-specific presentation of HSV encephalitis
and is still useful in excluding alternative pathologies,
such as stroke. The exact order of imaging depends on
the clinical index of suspicion and local availability of
MRI. (See Table 3.16.)
Radiological findings
Magnetic resonance imaging
HSVencephalitistypicallycausesoedemainthemedial
aspect of the temporal lobes, inferolateral frontal lobes
and insular cortex. Oedema presents as increased
MODALITY PROTOCOL
MRI Axial T1 and T2 weighted, sagittal T1 weighted,
coronal FLAIR, diffusion weighted and pre-/
post-contrast T1 weighted sequences.
CT Unenhanced. Scan from skull base to vertex.
Post IV contrast: 100 ml IV contrast via 18G
cannula, 4 ml/sec. Scan at 40 seconds after
start of injection. Scan from skull base to
vertex.
Table 3.16 Herpes simplex encephalitis.
Imaging protocol.
K22247_C003.indd 132 16/05/15 3:08 AM
Neurology and non-traumatic spinal imaging 133
•	 MRI is more sensitive than CT; however, neither
can exclude the diagnosis. Typical findings include
oedema in the temporal and inferior frontal lobes.
Haemorrhagic transformation and subacute
gyriform enhancement can be seen.
Report checklist
•	 Consider differential diagnoses (e.g. infarct).
•	 Consider whether the patient may be
immunocompromised.
•	 Presence or absence of signs of raised intracranial
pressure (e.g. cerebellar tonsillar descent and basal
cistern/sulcal effacement).
Reference
Bulakbasi N, Kocaoglu M (2008) Central nervous
system infections of herpes virus family.
Neuroimaging Clin North Am 18:53–84.
Cerebral oedema can also be seen in the presence
of underlying parenchymal lesions, such as cerebral
abscess and malignancy. These underlying diagnoses
should always be considered whenever oedema is
identified on CT. Distinguishing features include
the acute history and typical fever of encephalitis
and the more convincing ring enhancement seen in
parenchymal mass lesions.
Key points
•	 HSV encephalitis should be suspected in patients
presenting with fever, headache, seizures,
focal neurological deficits and altered level of
consciousness.
•	 Diagnosis is made with polymerase chain reaction
analysis of CSF obtained via LP. Antiviral agent
treatment can be started prophylactically prior to
imaging.
(a) (b)
Figure 3.51a, b  Axial images: unenhanced CT scans of the brain. Low attenuation changes can be seen in the left
temporal lobe consistent with oedema. The sulci in the affected region are effaced compared with the unaffected
right side.
K22247_C003.indd 133 16/05/15 3:08 AM
Chapter 3134
level of abnormality within the spine. Cauda equina
syndrome is a clinical triad of symptoms occurring
secondary to compression of the cauda equina nerve
roots within the spinal canal. This clinical syndrome
is comprised of lower limb motor dysfunction, saddle/
perineal anaesthesia and urinary or bowel dysfunction.
Patients may also have reduced anal tone on rectal
examination.
Radiological investigations
MRI is the imaging modality of choice for suspected
cases of cord or cauda equina nerve root compression.
MRI provides accurate assessment of the neurological
structures,spinalanatomy,bonemarrow,intervertebral
discs and soft tissues. Note: Not all centres offer an
MRI service out of hours, therefore some patients may
require transfer to other centres. (See Table 3.17.)
Radiological findings
Magnetic resonance imaging
In normal patients, the spinal cord runs through
the spinal canal and is surrounded by CSF. The cord
terminatesattheconusmedullaris,abovetheL1/2level
in adults. Beyond the conus, cauda equina nerve roots
descend through the spinal canal, exiting through the
intervertebral foramina.
SPINAL CORD COMPRESSION AND
CAUDA EQUINA SYNDROME
Spinal cord compression and cauda equina syndrome
are acute neurological emergencies that require urgent
diagnosis and treatment. They occur as a result of
compression of either the spinal cord or cauda equina
nerve roots; this causes an acute neurological deficit
which, if left untreated, may be irreversible. Prompt
diagnosis requires imaging and is necessary to facilitate
urgent intervention.
Commoncausesofspinalcordorcaudaequinanerve
root compression include malignancy, intervertebral
disc prolapse and trauma. Malignant cord compression
most commonly occurs as a result of metastatic
infiltration of the vertebral body bone marrow, with
resulting expansion and encroachment of the spinal
canal. Less commonly, it can be the result of metastatic
disease to the spinal cord or meninges. Depending on
the severity of symptoms, malignant cord compression
may be treated with urgent radiotherapy.
Disc dehydration is a normal part of ageing;
however, it can be complicated by herniation of disc
contents into the spinal canal. This can compress the
spinal cord and cauda equina nerve roots, resulting in
neurologicalcompromise.Thismostcommonlyoccurs
in the lumbar spine.
In the context of trauma, spinal cord or cauda equina
nerverootcompression may be due to a combinationof
spinal malalignment, fracture with bony retropulsion
or compressing haematoma. In contradistinction to
malignantcordcompression,compressionsecondaryto
disc prolapse or traumatic injury is usually more acute,
and treatment involves urgent surgical decompression.
Compressionmayalsooccurasacomplicationofspinal
surgery; such complications include epidural abscess
and haematoma.
Typically, patients with spinal cord compression
present with a loss of motor function below the level
of compression and a distinct sensory, dermatomal
deficit, which clinically can be used to anticipate the
MODALITY PROTOCOL
MRI Sagittal T1, sagittal T2 and axial T2 weighted
sequences. In patients with suspected meta-
static disease and postoperative patients,
additional sagittal STIR and post IV contrast
axial and sagittal T1 images should also be
acquired.
Table 3.17 Spinal cord compression and
cauda equina syndrome. Imaging
protocol.
K22247_C003.indd 134 16/05/15 3:08 AM
Neurology and non-traumatic spinal imaging 135
within the spinal canal (Figure 3.53). It is important to
distinguish this from unilateral compression of a nerve
root, either in the lateral recess or the intervertebral
foramina.Thelatterisacommonresultofdegenerative
disc disease and typically presents with radicular
symptoms.
An underlying disc prolapse causing cord or cauda
equina nerve root compression is readily evident
on MRI. Normal intervertebral discs demonstrate
increased signal centrally on T2 weighted sequences;
Regardless of the cause of the cord compression,
imaging findings include loss of the normal CSF space
around the cord and compression, usually indicated
by a contour abnormality of the cord. In acute cases,
compression of the cord may lead to oedema within
the spinal cord; this appears as increased signal within
the cord on T2 weighted sequences (Figure 3.52).
In cases of cauda equina nerve root compression, there
is obliteration of the CSF space, which may result in
significant crowding or displacement of the nerve roots
Figure 3.52  Sagittal image: T2 weighted MR image
of the cervical spine. There is a fracture/dislocation at
C5/6 resulting in cord compression at this level. No
CSF can be seen surrounding the cord at the level of
the compression. A focus of high signal change can be
seen within the spinal cord at this level, representing a
traumatic cord contusion.
Figure 3.53  Axial image: T2 weighted MR image of
the lumbar spine. There is a central disc protrusion,
which indents into the spinal canal, resulting in cauda
equina nerve root compression.
K22247_C003.indd 135 16/05/15 3:08 AM
Chapter 3136
In patients who have undergone recent spinal
surgery, post IV contrast T1 imaging is useful in
identifying enhancing collections within the spinal
canal that may be causing cord compression.
Key points
•	 Spinal cord compression and cauda equina
syndrome are neurological emergencies
requiring prompt diagnosis and neurosurgical
intervention.
•	 Potential causes include malignancy, intervertebral
disc disease, trauma and epidural abscess/
haematoma.
Report checklist
•	 Document the degree of cord compression.
•	 Presence or absence of myelopathy.
•	 Consider the underlying cause; for example,
disseminated malignancy or degenerative disc
disease.
•	 In cases of cord compression, recommend urgent
neurosurgical opinion.
however, this signal decreases with advancing
dehydration and degeneration (Figures 3.54a, b).
Malignant cord compression may be caused by a soft
tissue or expansile mass arising from the vertebral
body, causing anterior compression of the spinal cord
or cauda equina nerve roots. In adults, the vertebral
bodies typically demonstrate increased signal (relative
to the intervertebral discs) on T1 weighted sequences,
representing normal fatty marrow. Malignant
infiltration typically appears as decreased signal on
T1 and T2 weighted sequences (Figure 3.55). In
cases of metastatic disease, multiple lesions may be
seen throughout the spine. Diffuse metastatic spinal
infiltration may be difficult to appreciate on first
inspection; however, it should be suspected if the
vertebral bodies demonstrate diffusely decreased signal
on T1 weighted sequences. Subtle lesions that may be
difficult to appreciate on T1 images may be seen more
easily on fat suppressed/STIR sequences.
Epidural haematomas can occur as a complication
of spinal surgery or secondary to trauma. They
demonstrate a variable signal according to their age;
however, if acute, they typically appear as a lenticular-
shaped collection of increased signal on T1 weighted
sequences.
Figure 3.54a, b  Sagittal and axial images: T2 weighted MR images of the thoracic spine. A large central posterior
disc prolapse is shown, which is obliterating the spinal canal. Cord signal abnormality is also seen.
(a) (b)
K22247_C003.indd 136 16/05/15 3:08 AM
Neurology and non-traumatic spinal imaging 137
adults usually originates from the endplates directly.
Risk factors include immunodeficiency, diabetes
mellitus, remote infection and IV drug use. The
commonest causative organism is Staphylococcus aureus;
others include Streptococcus viridans (particularly in
immunocompromised patients) and Mycobacterium
tuberculosis, although the latter characteristically
spares the vertebral disc. Symptoms include back pain
and pyrexia and the on-call radiologist should always
consider the potential of discitis in a patient with
pyrexia of unknown origin. Swift diagnosis is vital to
ensure appropriate antibiotic and immobilisation
therapy, which can prevent the long-term neurological
morbidity of this condition. Imaging may not
necessarily have to be conducted out of hours unless
there are symptoms or signs of cord compromise, since
this may necessitate urgent surgical intervention.
Radiological investigations
Plain film imaging of the spine is useful as a first-
line assessment for discitis; however, it is relatively
insensitive in the initial phases and as such cannot
exclude the diagnosis. Plain film imaging can, however,
be helpful in excluding alternative pathologies that
may cause back pain; for example, osteoporotic wedge
fractures. MRI with IV contrast is sensitive and specific
and is the modality of choice, although both CT
imaging and nuclear imaging can be helpful in cases
where MRI is contraindicated. Even in the presence of
characteristic plain film findings, further imaging with
MRI is usually necessary in order to assess the extent
of bony involvement and the degree of neurological
compromise. (See Table 3.18.)SPONDYLODISCITIS
Spondylodiscitis, or infection of the vertebral
discs and adjacent bodies, can result in aggressive
vertebral destruction and neurological compromise.
Spondylodiscitis has a bimodal distribution, occurring
both in the paediatric and middle-aged/elderly
populations, although the pathophysiology is different
in the two groups. In children, infection usually begins
in the disc itself (due to its good vascular supply),
spreading to the adjacent endplates. Infection in
Figure 3.55  Sagittal image: T1 weighted MR image of
the lumbar spine. There are multiple low attenuation
lesions within the lumbar spine consistent with multiple
metastases. Compression fractures are also noted.
MODALITY PROTOCOL
MRI Sagittal and axial T1 and T2 weighted, sagit-
tal STIR and pre/post IV contrast T1 weighted
sequences of the whole spine.
Table 3.18  Spondylodiscitis. Imaging protocol.
K22247_C003.indd 137 16/05/15 3:08 AM
Chapter 3138
the extent of adjacent vertebral body involvement
increases; this is best appreciated as marrow oedema on
STIRsequences.Inadvanceddisease,bonydestruction
can occur. While tuberculosis discitis can appear
identical to discitis secondary to another organism, it
usually spares the disc space until late in the disease.
Other findings characteristic of tuberculosis include
skip lesions and marked kyphosis secondary to bone
destruction (gibbus deformity).
Radiological findings
Magnetic resonance imaging
DiscitisisdiagnosedonMRIbyidentifyingcharacteristic
inflammation and oedema of the disc and adjacent
vertebral body endplates. This is best appreciated on
sagittal T2 and STIR sequences as increased signal
within affected discs and endplates, which corresponds
to decreased signal on T1 sequences (Figures 3.56a. b).
Knowledge of the characteristic degenerative changes
that can affect the vertebral body endplates is necessary
since these can be falsely interpreted as infection
(Table 3.19). In contradistinction to infective endplate
changes, degenerative endplate changes are not
associated with increased signal within the disc on T2
weighted or STIR sequences. As infection progresses
the disc space is typically lost. (Note: This is also seen
in degeneration; however, this does not demonstrate
increased T2 signal within the disc.) As the endplate
cortices become eroded, the characteristic low signal
of the cortex is lost. Disc enhancement can also be
seen on post-contrast sequences (best appreciated on
sagittal views), although the absence of enhancement
does not exclude the diagnosis. As infection progresses,
(a) (b)
Figures 3.56a, b  Sagittal images: T2 weighted and STIR MR images of the lumbar spine. There is high signal
within the L2/3 intervertebral disc shown on both sequences. In addition, abnormal marrow signal can be seen
extending into the L2 and L3 vertebral bodies on the STIR sequence (3.56b).
MODIC
TYPE
T1 SIGNAL T2 SIGNAL PATHOPHYSIOLOGY
I Decreased Increased Bone marrow oedema.
II Increased Increased Normal haemopoetic
marrow conversion into
fatty marrow.
III Decreased Decreased Sclerosis.
Table 3.19 Modic degenerative endplate
changes.
K22247_C003.indd 138 16/05/15 3:08 AM
Neurology and non-traumatic spinal imaging 139
and can also involve the paravertebral and psoas major
muscles. Paraspinal collections have similar signal
characteristics as epidural abscesses (Figure 3.57).
Plain films
Typical plain film findings of discitis include loss of
disc space initially, progressing to irregular, ill-defined
endplate erosions and eventually bony destruction
(Figure 3.58; Jallo  Keenan, 2011; Varma et al.,
2001). In cases of extensive bony involvement, it can be
difficulttodistinguishdiscitisfromotherprocessesthat
cause aggressive bony destruction, such as malignancy.
Discitis can be complicated by paravertebral
collections and epidural abscess formation; the latter
typically appears as a focus of increased signal on T2
weighted and STIR sequences in the epidural space,
demonstrating ring enhancement on post-contrast
sequences. As with any spinal pathology, it is important
to assess whether any abscess compresses the spinal
cord or nerve roots (see Spinal cord compression and
cauda equina syndrome). Acute cord compression
requires urgent neurosurgical decompression and
should be promptly communicated to the referring
team. Collections typically spread both superiorly and
inferiorly under the anterior longitudinal ligament
Figure 3.57  Axial image: T2 weighted MR image of
the thoracic spine. There is a paravertebral collection
(see arrow) as a result of discitis.
Figure 3.58  AP lumbar spine radiograph. The L2/3
endplates are eroded and ill defined, with loss of disc
and vertebral body height at these levels.
K22247_C003.indd 139 16/05/15 3:09 AM
Chapter 3140
and nerve roots can occur and should be
communicated urgently to the referring team.
Report checklist
•	 Presence or absence of complications, such as
epidural abscess or paravertebral collection.
•	 Document whether there is any evidence of spinal
cord or cauda equina nerve root compression.
•	 In cases of neurological compromise, recommend
urgent neurosurgical opinion.
References
Jallo GI, Keenan MA (2011) Diskitis. Medline Feb.
VarmaR,LanderP,AssafA(2001)Imagingofpyogenic
infectious spondylodiskitis. Radiologic Clin North
Am 39:203–213.
In cases of discitis with an associated paravertebral
abscess, widening or convexity of the normal paraspinal
lines can be seen on AP views of the thoracic spine
(Figure 3.59). Any suspicion of discitis on plain film
imaging should prompt further assessment with MRI.
Key points
•	 Spondylodiscitis should always be suspected in
cases of pyrexia of unknown origin.
•	 MRI with IV contrast is sensitive and specific
for the changes of discitis and is considered the
modality of choice. Typical findings include disc
and endplate oedema and enhancement.
•	 Complications of spondylodiscitis include bony
destruction, epidural abscess and paravertebral
collections. Compression of the spinal cord
Figure 3.59  AP chest radiograph. A retrocardiac
paraspinal bulge is seen, which represents a paraspinal
collection (arrow).
K22247_C003.indd 140 16/05/15 3:09 AM
141
Chapter 4
PAEDIATRIC IMAGING
INTUSSUSCEPTION
Intussusception is defined as forward peristalsis of
proximal bowel into the lumen of the more distal
bowel. The proximal part of the bowel is termed the
intussusceptum and the distal bowel is termed the
intussuscipiens. The condition is most common in
children under 3 years and is usually idiopathic in
this age group. In children older than 3 years, there is
often a lead point for the cause of the intussusception
(e.g. Meckel’s diverticulum). Intussusception can also
be seen as a rare cause of bowel obstruction in adults.
Clinical features include abdominal pain, bloody
diarrhoea and a palpable mass. A small number of
cases will reduce spontaneously, but the majority
require intervention in order to resolve completely.
The condition is considered an emergency due to the
high risk of bowel ischaemia and bowel perforation,
and therefore requires prompt diagnosis to prevent
complications.
Radiological investigations
The diagnosis of intussusception utilises several
imaging modalities; however, it differs slightly for
paediatric and adult cases. A plain AXR is inevitably
performed, followed by ultrasound +/− fluoroscopic air
enema (in paediatric cases). An ultrasound scan should
be performed in an attempt to localise and identify
the intussusception. An air enema using fluoroscopy
is both diagnostic and therapeutic. This requires
insufflation of the bowel with air via a rectal catheter
with a good seal, up to a pressure of 120 mmHg.
Contrast enhanced CT is reserved for the investigation
of intussusceptions in adults; this modality should not
form the routine investigatory pathway in paediatric
cases. (See Table 4.1.)
Radiological findings
Ultrasound
The entire abdomen and pelvis should be scrutinised
systematically. Classically, intussusceptions appears
as a solid mass with alternating rings of hyper- and
hypoechogenicity. The appearance represents
alternating layers of hypoechoic bowel wall and
hyperechoic mesenteric fat that have telescoped into
one another, with a typical ‘target sign’ (Figure 4.1).
MODALITY PROTOCOL
Ultrasound 6–9 MHz linear probe should be used to
examine the entire abdomen.
Fluoroscopic
air enema
Air insufflation of the large bowel to a
maximum pressure of 120 mmHg via a rectal
catheter.
Table 4.1  Intussusception. Imaging protocol.
Figure 4.1  Ultrasonogram of the bowel in the
transverse plane. Typical ‘target’ sign appearance with
alternating hyper- and hypoechoic rings representing the
hypoechoic bowel wall and the hyperechoic mesenteric
fat telescoping into the intussuscipiens (arrow).
K22247_C004.indd 141 16/05/15 3:10 AM
Chapter 4142
The ultrasound appearance has also been likened
to a ‘pseudokidney’, with the combination of
hypoechogenic bowel wall and hyperechogenic
mesenteric fat (Figure 4.2). In patients where no
evidence of intussusception is seen, other pathology
that may mimic the presenting features should be
considered (e.g. appendicitis).
Fluoroscopic air enema
The aim of an air enema is to identify the site of the
abnormality and to force the intussusceptum into its
normal position. This appears as a round, intraluminal
massthatmovesretrogradewithincreasingairpressure.
Successful reduction is demonstrated by reflux of gas
into the small bowel and the resolution of the soft
tissue mass (Figures 4.3a, b). Insufflation air pressures
of up to 120 mmHg should be used up to a maximum
of three attempts. If repeated insufflation of the bowel
with air is unsuccessful, surgical intervention should
be considered. Success rates of over 80% have been
suggested following air reduction. However, 5–10%
of intussusceptions may reoccur, usually within the
first 72 hours, therefore close attention to worsening
Figure 4.2  Ultrasonogram of the bowel in the
longitudinal plane. ‘Pseudokidney’ appearance is shown
as the hypoechoic bowel wall with central echogenicity
due to the mesenteric fat herniating into the distal
bowel lumen.
Figures 4.3a, b  AP images of the abdomen
during fluoroscopic air enema reduction. (4.3a) The
intussusceptum can be seen at the hepatic flexure
outlined by gas instilled within the colon (arrow). (4.3b)
The intussusception is no longer visible within the
colon, with reflux of gas into the small bowl indicating
reduction of the intussusception.
abdominal symptoms should be made (Donnelly
et al., 2005). Contraindications to air enema reduction
include bowel perforation, haemodynamic instability
or signs of peritonism/bowel ischaemia.
(a)
(b)
K22247_C004.indd 142 16/05/15 3:10 AM
Paediatric imaging 143
BOWEL MALROTATION
Bowel malrotation is considered a surgical emergency
owing to the high risk of bowel ischaemia. The vast
majority of patients present in the first few months
of life (many in the first week of life); however, the
condition may be first diagnosed in older children
and even in adults, often with a history of chronic
symptomatology. Presenting features include bilious
vomiting, abdominal distension, weight loss and
irritability.
Innormalindividuals,duringdevelopment,thesmall
bowel rotates about the mesentery in an anticlockwise
direction of 270 degrees. The duodenojejunal (DJ)
junction is positioned in the left upper quadrant and
the caecum in the right lower quadrant, with a long
mesenteric base, which secures the bowel leaving it
unlikely to twist. Malrotation is an embryological
abnormality whereby the rotation and position of the
bowel is altered and results in an abnormal mesenteric
attachment, which is often short with an increased
likelihood of midgut volvulus. As a result of this
developmentalabnormality,thenormalpositionsofthe
DJ junction and caecum are altered and it is this feature
that is utilised in diagnostic imaging.
Radiological investigations
An upper GI contrast study should be performed to
assess the position of the DJ flexure. A dense contrast
medium should be used (e.g. barium) with the patient
positioned in both supine and lateral positions. A small
bowelfollowthrough/contrastenemacanbeperformed
to demonstrate the position of the caecum in equivocal
cases. (See Table 4.2.)
Plain films
An AXR is rarely normal. Classically, there is a paucity
ofgasintherightlowerquadrantwithnon-visualisation
of the caecum. A meniscus of soft tissue outlined
by gas within the colon may also be demonstrated.
Depending on the site of the intussusception, small
bowel obstruction may be apparent. A normal variant
of the position of the sigmoid colon in the right lower
quadrant, and the associated presence of gas in this
position, may provide false reassurance for those
presenting with ileocolic intussusceptions, a potential
pitfall.
Computed tomography
CT is not advised in patients presenting acutely;
however, an intussusception may be seen incidentally
in patients presenting with non-specific symptoms,
particularly adult patients. The appearances on CT are
similar to those seen on ultrasound, with telescoping of
bowel with alternating layers of bowel and mesenteric
fat. The bowel must be assessed in detail, in particular
looking for an underlying lesion that may be acting as a
lead point. Bowel obstruction may also be seen.
Key points
•	 Intussusception is a life-threatening condition due
to the risk of bowel ischaemia and perforation, and
so prompt diagnosis is necessary.
•	 Multiple forms of imaging are usually used to
confirm the presence of intussusception, with
an air enema reserved for both diagnosis and
treatment.
•	 If an air enema fails to reduce an intussusception
after three attempts, the patient should be
considered for surgical treatment.
Report checklist
•	 Recommend urgent air enema reduction in cases
of intussusception – the patient will often require
prior fluid resuscitation and stabilisation.
Reference
Donnelly LF, Jones BV, O’Hara SM et al. (2005) (eds)
Diagnostic Imaging: Pediatrics, 1st edn. Friesens,
Altona, pp. 74–77.
MODALITY PROTOCOL
­Fluoroscopic
upper
­gastrointestinal
contrast study
Standard formulation barium (e.g. Baritop)
should be instilled into the stomach either
orally or via a nasogastric tube. Contrast
should be followed and observed to pass
into the duodenum and to the DJ flexure,
and the position should be documented.
Table 4.2  Bowel malrotation. Imaging
­protocol.
K22247_C004.indd 143 16/05/15 3:10 AM
Chapter 4144
Radiological findings
Upper gastrointestinal contrast study
An upper GI contrast study is the procedure of choice
to diagnose malrotation. On an AP view, the normal
position of the DJ flexure is to the left of the spine at
the same level or above the duodenal bulb (Figure 4.4).
Both criteria must be met in order for a diagnosis of
malrotation to be excluded.
An abnormally positioned DJ flexure is diagnostic
of malrotation (Figure 4.5). As well as an abnormal
bowel position, the SMA/SMV axis may be abnormal,
although this feature is not specific for malrotation.
Gross abnormalities are easy to identify where the
duodenum does not cross the midline at all and is
located on the right side of the abdomen. However,
subtle abnormalities in the DJ junction position may
be more difficult to appreciate. In equivocal cases, a
small bowel follow through or large bowel enema can
be performed to document the position of the caecum.
This should normally be in the right lower quadrant;
however, in malrotation it is often positioned in
the right upper or left upper quadrants. A mid-gut
Figure 4.4  AP image from an
upper GI contrast study. The
normal position of the duodenal-
jejunal flexure is shown to the left
of the spine at the same level of the
duodenal bulb (arrow).
Figure 4.5  AP image from an upper
GI contrast study in a patient with
malrotation. The duodenal-jejunal
flexure is positioned to the left of
the spine (arrow); however, it is
below the level of the duodenal bulb
(arrowhead).
volvulus present at the time of examination may be
shown by a ‘corkscrew’ appearance of the bowel – this
occurs due to twisting of the small bowel about the
mesentery and mesenteric vessels.
IfthepositionoftheDJflexureisnotdocumentedon
the first pass of the contrast, opacification of overlying
distal bowel loops may obscure the duodenum and
make interpretation difficult, which can result in the
procedure having to be repeated. In such cases, the
patient may have to wait several hours for the contrast
to pass through the proximal small bowel loops before
a repeat examination can be performed. Administering
too much contrast may also have a similar effect, and
timing is therefore crucial when performing such
studies. The normal DJ flexure is mobile in children,
and the normal position may be displaced by adjacent
masses or feeding tubes.
Ultrasound
Ultrasound is usually performed for other pathology
such as suspected hypertrophic pyloric stenosis (HPS).
However, if this is not demonstrated, other upper
K22247_C004.indd 144 16/05/15 3:10 AM
Paediatric imaging 145
MECONIUM ILEUS
Meconiumileusisoneofthecommonestcausesofdistal
bowel obstruction in the neonate. In normal neonates,
meconium is passed within the first 48 hours of birth
and when this does not occur, meconium ileus is often
suspected clinically. Other signs and symptoms include
abdominal distension and bilious vomiting. Meconium
ileus occurs because of abnormally thick meconium,
which lodges itself in the distal ileum and cannot pass
into the large bowel, resulting in bowel obstruction. It
is a common presenting feature in cystic fibrosis and,
as such, all patients who present with meconium ileus
should be considered to have cystic fibrosis unless
proven otherwise. In a high proportion of cases the
condition may be complicated by bowel perforation
or volvulus; these usually require surgical intervention
to remove the meconium. In uncomplicated patients,
water soluble contrast enemas are performed for
diagnosis and treatment. The other conditions to
consider for causes of distal bowel obstruction include
Hirschsprung’s disease and small bowel atresia.
Radiological investigations
In all patients, a water soluble contrast enema is the
procedure of choice for diagnosis. A reasonably high
osmolar agent should be used to encourage fluid to
move into the bowel lumen and allow easier passage of
the meconium. A catheter should be inserted rectally,
but inflation of the balloon is not recommended
because of the increased risk of perforation in these
patients. (See Table 4.3.)
abdominalpathologyshouldbesoughtandmalrotation
may be the cause. Ultrasound findings are not specific
for malrotation, and may represent normal variation
without underlying abnormality. Features include
a reversed SMA/SMV relationship (i.e. the SMV is
to the left of the SMA rather than to the right) or a
swirledappearanceofthemesentery/mesentericvessels
indicating a volvulus.
Computed tomography
Findings are similar to ultrasound, with a reversed
SMA/SMV relationship. Mid-gut volvulus may be
demonstrated by a swirled appearance of the mesentery
and mesenteric vessels. Evidence of bowel ischaemia
secondary to volvulus may be seen in advanced cases,
features of which include pneumatosis coli, abnormal
bowel enhancement following IV contrast and free
intraperitoneal gas due to bowel perforation.
Plain films
A distended, gas-filled stomach and proximal
duodenum may be demonstrated by a paucity of gas
distally. Patients with volvulus and bowel ischaemia
are very unwell, and signs on plain film include free
intraperitoneal gas, pneumatosis coli and portal venous
gas within the liver. It is important to emphasise,
however, that abdominal plain films can be normal and
do not exclude the diagnosis.
Key points
•	 Malrotation is a surgical emergency and a delay in
diagnosis can have life-threatening consequences
for the patient.
•	 An abnormally positioned DJ flexure on an upper
GI contrast study is diagnostic for malrotation.
•	 Adjuncts to upper GI contrast studies include
small bowel follow through or contrast enemas,
with less emphasis on the use of ultrasound
and CT.
Report checklist
•	 Document the position of the DJ flexure.
•	 Presence or absence of signs of bowel ischaemia or
perforation.
MODALITY PROTOCOL
Fluoroscopic lower
­gastrointestinal
­water soluble
­contrast study
A catheter should be inserted rectally.
A high osmolar water soluble contrast
agent (e.g. Omnipaque 300) is then
instilled via the catheter to opacify
the large bowel and distal ileum.
Table 4.3  Meconium ileus. Imaging protocol.
K22247_C004.indd 145 16/05/15 3:10 AM
Chapter 4146
The study can simultaneously be used to exclude
othercausesofdistalbowelobstruction.Hirschsprung’s
disease occurs when a segment of aganglionic bowel
results in bowel obstruction. On a contrast enema, this
is shownas acalibrechangebetweentheganglionicand
aganglionic segments. In small bowel atresia, contrast
may reflux into the small bowel but may not progress
beyond a certain level due to incomplete formation of
the bowel.
Plain films
A plain abdominal film is usually performed by the
admitting team; this may show dilated loops of bowel
indicating a distal bowel obstruction (Figure 4.7).
Typically, there is a ‘bubbly’ appearance to the bowel
in the affected loops (usually the right lower quadrant),
which represents a mixture of gas and inspissated
meconium. Complicated cases involving perforation
Radiological findings
Lower gastrointestinal contrast study
Water soluble contrast is required to reflux into the
distal ileum in order to demonstrate the meconium,
which will be shown as filling defects within the lumen
of the bowel (Figure 4.6). These are typically multiple
and often resemble pellets. Care should be taken not to
introduce too much gas into the bowel, as gas bubbles
may also have a similar appearance. Other findings
include the presence of microcolon, which is thought
to occur as a result of non-use of the large bowel.
In patients where contrast cannot be seen to enter
the distal ileum or where meconium does not pass
despite multiple enemas, surgical intervention is
recommended. In the absence of any abnormality on
water soluble contrast enema, other causes of bilious
vomiting should be considered, such as small bowel
malrotation.
Figure 4.6  AP image from a single contrast
water soluble enema. The colon is small in calibre
(microcolon) as a result of non-use. Multiple filling
defects can be seen in the left colon, hepatic flexure,
right colon and distal ileum as a result of inspissated
meconium within the bowel (arrows).
Figure 4.7  AP abdominal radiograph. There are
multiple dilated loops of bowel consistent with a distal
bowel obstruction. There is no free intraperitoneal
free gas or peritoneal calcifications to suggest bowel
perforation or meconium peritonitis.
K22247_C004.indd 146 16/05/15 3:10 AM
Paediatric imaging 147
DUODENAL ATRESIA
Abnormalities of the duodenum are among the
commonestcausesforproximalsmallbowelobstruction
in neonates. There is a spectrum of abnormalities
ranging from complete duodenal atresia to duodenal
stenosis/webs, as well as extraduodenal abnormalities
resulting in obstructions such as haematoma, annular
pancreas and SMA syndrome. Each of these has its own
underlyingpathologyandsotheinvestigationsrequired
to make each diagnosis can vary. Mid-gut volvulus
is an important cause for duodenal obstruction (see
Bowel malrotation). Duodenal atresia is an important
diagnosis that should not be missed, as it requires
curative surgical repair.
The exact cause of duodenal atresia is not fully
understood, but it is thought to be due to a failure of
canalisation of the duodenal lumen in utero. It is on a
spectrum of conditions ranging from complete atresia
with a blind ending lumen to duodenal stenosis with
a patent lumen resulting in partial obstruction. The
clinical presentation varies depending on the degree
of atresia/stenosis, but typical features include feeding
intolerance, vomiting and dehydration. The vomiting
tends to be bilious, as most atresias are distal to the
ampulla of Vater; however, non-bilious vomiting may
occur in patients with a proximal atresia. Duodenal
atresiaisknowntobeassociatedwithDown’ssyndrome
and some VACTERL anomalies.
Radiological investigations
A plain AXR can usually diagnose duodenal atresia. For
duodenal webs/stenosis, an upper GI contrast study
using barium is usually performed to demonstrate
passage of contrast through the abnormal segment
of bowel into the normal distal loops. This can be
may demonstrate free intraperitoneal gas or curvi-
linear peritoneal calcifications as a result of meconium
peritonitis. Soft tissue masses may also form following
perforation,whichmaybeduetopseudocystformation;
ifthisissuspected,furtherevaluationcanbeundertaken
with ultrasound.
Key points
•	 Meconium ileus is a common cause of bowel
obstruction in the neonate; its presence usually
indicates an underlying diagnosis of cystic fibrosis.
•	 A water soluble contrast enema should be
performed in all patients, taking care not to
inflate a balloon tipped catheter due to the risk or
perforation.
•	 Typical findings on water soluble contrast enema
include microcolon and meconium filling defects
in the distal ileum.
•	 Surgical intervention is indicated in cases of
complicated meconium ileus or when meconium
cannot be demonstrated on a water soluble
contrast enema.
Report checklist
•	 Presence or absence of any abnormal filling
defects within the terminal ileum and large bowel.
•	 Document relevant negatives to exclude the
presence of Hirschsprung’s disease and small
bowel atresia.
K22247_C004.indd 147 16/05/15 3:10 AM
Chapter 4148
segment (Figure 4.8). Because of the complete
obstruction, there is also an absence of bowel gas in the
distal bowel loops. These two features are diagnostic
of duodenal atresia and no further imaging is necessary
to confirm the diagnosis. If the plain abdominal film
demonstrates only minimal distension of the stomach
and duodenum in addition to distal bowel gas, this
appearance may be due to duodenal stenosis/web or
small bowel malrotation. In these cases, an upper GI
contrast study is indicated.
easily performed either by instilling barium into the
stomach via an NG tube or administering it orally.
(See Table 4.4.)
Radiological findings
Plain films
A plain abdominal film is often all that is required to
make the diagnosis of duodenal atresia. The typical
finding of a ‘double bubble’ represents the gas-filled
stomach and duodenal bulb proximal to the obstructed
Figure 4.8  AP radiograph of the abdomen. There is
marked gaseous distension of the stomach and proximal
duodenum producing a characteristic ‘double bubble’
sign. No gas is seen distally within the bowel.
MODALITY PROTOCOL
Abdominal plain
film imaging
AP supine abdominal radiograph to include
the diaphragms and iliac crests.
­Fluoroscopic
upper
­gastrointestinal
contrast study
Standard formulation barium (e.g. Baritop)
should be instilled into the stomach either
orally or via a nasogastric tube. Contrast
should be followed and observed to pass
into the duodenum and proximal small
bowel.
Table 4.4  Duodenal atresia. Imaging protocol.
K22247_C004.indd 148 16/05/15 3:10 AM
Paediatric imaging 149
Upper gastrointestinal contrast study
If distal bowel gas is seen on the plain film, a contrast
study is indicated. In patients with partial duodenal
obstruction (e.g. duodenal stenosis or web), contrast
outlines a narrowed duodenal lumen in the affected
segment, but eventually passes beyond this point into
thedistalbowelloops.Bowelmalrotation/volvulusmay
also produce symptoms of duodenal obstruction.
Key points
•	 Duodenal atresia is an important and common
cause of duodenal obstruction and requires
corrective surgery.
•	 The condition can be confidently diagnosed on
plain film if the relevant radiological features are
observed (i.e. ‘double bubble’ appearance and an
absence of distal bowel gas).
•	 In cases of partial duodenal obstruction an upper
GI contrast study is indicated.
Report checklist
•	 Presence or absence of signs of perforation.
•	 Recommend a water soluble upper GI contrast
study if bowel gas is seen distally to look for
incomplete obstruction/other causes.
MODALITY PROTOCOL
Ultrasound Medium to high frequency linear probe (e.g.
6–9 MHz). Images should be acquired in both
the long and short axis of the pylorus.
Table 4.5  Hypertrophic pyloric stenosis.
­Imaging protocol.
HYPERTROPHIC PYLORIC STENOSIS
Hypertrophic pyloric stenosis (HPS) is a relatively
common condition of uncertain aetiology resulting
in gastric outlet obstruction. The condition is
characterised by hypertrophy of the circular muscle of
the pylorus, and predominantly affects children up to
12 weeks of age. It typically presents with projectile,
non-bilious vomiting after feeds and secondary
hypochloraemic alkalosis. It has a tendency to affect
the first-born males within families. Clinically, patients
haveapalpableolive-sizedmasswithintheepigastrium,
which represents the hypertrophied pylorus. Although
the condition may not warrant immediate imaging out
of hours, patients with long-standing symptoms may
present with considerable weight loss and, as such, a
prompt diagnosis is important in order to consider the
most appropriate management. Immediate treatment
is often aimed at optimising rehydration and correction
of electrolyte imbalances prior to definitive surgical
treatment.
Radiological investigations
Ultrasound is the modality of choice to assess the
pylorus, with the stomach empty initially. If the
stomach is not distended, giving small amounts of
fluid to distend the stomach may allow observation
of peristaltic waves in the supine or right anterior
oblique positions. The pylorus is typically located
in the right upper quadrant or epigastrium, but the
position is variable depending on the degree of gastric
distension. Barium studies may also be of some use in
demonstratinganarrowedpyloricchannel,buttheyare
not routinely performed. (See Table 4.5.)
K22247_C004.indd 149 16/05/15 3:10 AM
Chapter 4150
Radiological findings
Ultrasound
Patients should be scanned supine and should initially
have an empty stomach to avoid overdistension and
displacement of the pylorus, which makes imaging
more difficult. Small amounts of fluid can be given
to allow dynamic scanning of the pylorus to assess
gastric emptying and peristalsis. HPS is diagnosed
on ultrasound by measuring the length of the pyloric
channel, the pyloric diameter and the pyloric wall
Figure 4.9  Ultrasonogram of the
pylorus in the transverse plane.
The thickened pyloric wall is shown
as the hypoechoic circular outer
wall (arrow), while the mucosal
lining is seen as the hyperechoic
central structure containing
gas casting a posterior shadow.
The diameter of the pyloric canal
is greater than 8 mm.
Figure 4.10  Ultrasonogram of
the pylorus in the longitudinal
plane. The pyloric wall thickness is
greater than 4 mm and the pyloric
canal length is greater than 12 mm,
signifying hypertrophic pyloric
stenosis.
thickness (Figures 4.9, 4.10; Table 4.6). In borderline
patients (e.g. pyloric thickness 3 mm, channel length
11 mm), the pyloric index (PI) may be a useful tool:
PI =
T × L × (D − T) × π
Patient’s weight (kg)
T = pyloric wall thickness (cm); L = pyloric channel
length (cm); D = pyloric wall diameter (cm); π = 3.14.
K22247_C004.indd 150 16/05/15 3:10 AM
Paediatric imaging 151
ORBITAL AND PERIORBITAL CELLULITIS
Orbital and periorbital cellulitis require prompt and
accurate diagnosis and treatment. Differentiating
between these two conditions is vital, as they often
require different management strategies.
The distinction between orbital and periorbital
cellulitis relates to the anatomical compartments of
the orbit. The orbital septum is a thin layer of fibrous
tissue that acts as the anterior boundary of the orbit.
Infections that lie anterior to this are considered to
be periorbital (or pre-septal), while infections deep to
this layer are labelled as orbital (or post-septal). It is
also useful to make the distinction as to whether the
abnormality is intraconal (i.e. within the boundaries of
the ocular muscles) or extraconal, since this can narrow
down the potential differential diagnosis.
Clinically, patients may present with proptosis
and ophthalmoplegia in addition to localised or
systemic signs of infection. Periorbital infections are
usually managed more conservatively with antibiotics,
whereas orbital infections may require more intensive
treatment or intervention in order to prevent
complications such as venous thrombosis or abscess
formation.Inextremecircumstances,lossofvisionmay
result if left untreated.
Note: Not all patients who present with signs of
periorbital infection require imaging. Assessment by
an ophthalmologist can help determine whether the
patient’s symptoms and clinical condition merit further
investigation.
Radiological investigations
CT is the imaging modality of choice, as it provides
excellent soft tissue and bony resolution to assess
for signs of osteomyelitis and subperiosteal abscess
formation. Orbital infections may commonly occur
as a result of sinus disease, so it is prudent to image
both the orbits and sinuses to try and identify a
source of infection. Multiplanar reformats are vital in
order to aid identification of subperiosteal infection.
(See Table 4.7.)
This calculation is based on the parameters listed
and can be particularly useful in premature babies. The
PI should be less than 0.46; a value greater than this
implies underlying pyloric stenosis.
Additional features that would suggest underlying
HPS include hyperperistalsis of the stomach and
reduced or absent gastric emptying on dynamic
scanning. Pylorospasm can be incorrectly diagnosed as
HPS. In both conditions the pyloric mucosa is often
hypertrophied. However, in pylorospasm, the muscle
thicknessisusuallynormalandabnormalmeasurements
are transient, therefore repeat ultrasound can help to
exclude HPS.
If no abnormality is seen on initial scanning, other
causes of vomiting should be considered (e.g. bowel
malrotation with evidence of reversed SMA/SMV axis
or duodenal atresia).
Key points
•	 HPS is a relatively common condition which,
depending on the clinical condition of the patient,
may not necessarily require out of hours imaging.
•	 The imaging modality of choice is ultrasound
to assess the pyloric wall thickness and pyloric
channel length.
•	 The PI is a useful tool in equivocal cases or in
premature babies.
•	 If no abnormality is demonstrated on ultrasound,
consider other causes of vomiting such as bowel
malrotation or duodenal atresia/stenosis.
Report checklist
•	 Document the length of the pyloric channel, the
pyloric diameter and the pyloric wall thickness.
•	 Document the PI in equivocal cases.
•	 Consider additional causes if the above
measurements are normal.
NORMAL PYLORIC STENOSIS
Pyloric wall thickness 2 mm 4 mm
Pyloric diameter 6 mm 8 mm
Pyloric channel length 10 mm 12 mm
Table 4.6  Typical ultrasound measurements
in hypertrophic pyloric stenosis
(­accepted values vary between
centres).
K22247_C004.indd 151 16/05/15 3:10 AM
Chapter 4152
Radiological findings
Computed tomography
The findings of periorbital cellulitis on CT imaging
includeperiorbitalsofttissueswellingandinflammatory
fat stranding, which are both limited to the pre-
septal soft tissues (Figure 4.11). Orbital cellulitis may
demonstrate similar findings to periorbital cellulitis,
but with post-septal involvement. Post-septal
involvement may be indicated by an intraconal or
MODALITY PROTOCOL
CT Helical acquisition from the supraorbital ridge
to the base of the maxillary sinuses. 0.625–
1.25 mm slick thickness with sagittal, coronal
and bony algorithm reformatted images. Post
contrast images (e.g. 50 ml Omnipaque 300)
should also be acquired at 90–120 seconds.
Table 4.7  Orbital and periorbital cellulitis.
Imaging protocol.
Figure 4.11  Axial image: unenhanced CT scan of the
orbits. There is a pre-septal fluid collection involving
the right eye with marked inflammatory changes in the
surrounding tissues, but not extending into the orbit.
Locules of gas can be seen adjacent to the lateral orbital
wall as a result of gas forming infection (arrow).
extraconal soft tissue mass (which may or may not
demonstratepost-IVcontrastenhancement),stranding
of the intraconal fat and thickening of the intraorbital
musculature (Figures 4.12a, b). The intraorbital
structures and intraconal fat are best visualised on
appropriate image window settings (width 400, level
40). Post-contrast images should be reviewed in order
to identify any enhancing subperiosteal collections
that may require surgical drainage (Figures 4.13a, b).
Figures 4.12a, b  Coronal images: IV contrast
enhanced CT scans of the orbits in the delayed phase.
A right subperiosteal collection is seen overlying
the right zygoma, with extension into the lateral
orbit abutting the lateral rectus muscle. Ill-defined
inflammatory changes can be seen in the intraconal
fat (arrow).
(a)
( b)
K22247_C004.indd 152 16/05/15 3:10 AM
Paediatric imaging 153
The orbit should be inspected in all three planes using
multiplanar reformats; subperiosteal collections are
often best visualised in the coronal plane.
Review of images on bone window settings (width
3,000, level 650) is paramount, as sinus disease can
be a common underlying cause. Sinusitis manifests as
opacification of the paranasal air spaces with mucosal
thickening. There may be associated bony destruction
causing a communication between the sinus and
the orbit.
Key points
•	 It is important to distinguish simple periorbital
cellulitis from orbital cellulitis, as true orbital
involvement may necessitate surgical intervention.
•	 CT scans should be reviewed in axial, coronal and
sagittal planes to scrutinise for any post-septal
involvement.
•	 Review of images on bone window settings is vital
to look for signs of underlying sinus disease.
Report checklist
•	 Presence or absence of intraorbital involvement or
subperiosteal abscess.
•	 In cases of subperiosteal abscess, assess the degree
of proptosis.
•	 Consider an underlying cause, such as sinus
disease. Inspect for bony destruction.
•	 In cases of orbital involvement, recommend
urgent ophthalmology review.
Figures 4.13a, b  Axial and coronal images: IV contrast
enhanced CT scans of the orbits in the delayed phase.
There is an enhancing subperiosteal collection within
the right orbit, causing significant proptosis (arrow).
Note the associated sinus disease in the right maxillary
antrum and ethmoid air cells (arrowhead).
(b)
(a)
K22247_C004.indd 153 16/05/15 3:10 AM
Chapter 4154
In patients where there is suspicion of intracranial
abnormality, post-contrast imaging of the brain is
indicated to look for signs of abscess or venous sinus
thrombosis. (See Table 4.8.)
Radiological findings
Computed tomography
In normal individuals, the middle ear cleft should
be aerated with no fluid visible around the ossicles
(Figure 4.14). In cases of AOM, fluid may accumulate
within the middle ear and mastoid air cells. This is
shownasfluiddensitymaterialsurroundingtheossicles
(Figure 4.15). This appearance may be seen in patients
with uncomplicated AOM with no further radiological
abnormalities.
In cases where there is involvement of the mastoid
air cells, these are opacified rather than being air
filled. In new born patients, the mastoid air cells are
not pneumatised; this process usually occurs over the
first 1–2 years of life. Therefore, in these patients it is
important to look for asymmetry in the appearance of
the mastoids, which might indicate signs of unilateral
infection. Coalescent mastoiditis may be seen as
destruction of the bony septations within the mastoid
resulting in coalescence of the air cells into large fluid-
filled pockets. In chronic cases, the bone may also
become sclerotic. Inflammatory changes may be seen
in the soft tissues overlying the mastoid. In complicated
cases, there may be extension of the infection resulting
in subperiosteal abscess (Figure 4.16). This can be
ACUTE OTITIS MEDIA
Middle ear infection is a common condition, often
encountered in the paediatric population. Most
children have at least one episode of acute otitis media
(AOM), usually before the age of 12 months (Lissauer
et al., 2012). Patients typically present with otalgia
and fever, and clinical examination of the tympanic
membrane is sufficient to make the diagnosis. In the
majority of cases, this is a self-limiting condition that
can be managed conservatively with pain relief and
antibiotics when symptoms persist. In chronic cases,
AOM can lead to fluid accumulation within the middle
ear (glue ear). This may lead to hearing loss and speech
and language developmental delay.
In the acute setting, the major complications of
AOM include meningitis or mastoiditis, which may
lead to epidural abscess and venous sinus thrombosis.
These entities can result in significant morbidity
and mortality if not diagnosed and treated. Epidural
abscess and venous sinus thrombosis are discussed
separately elsewhere (see Chapter 3: Neurology and
non-traumatic spinal imaging, Intracranial abscess
and subdural empyema and Cerebral venous sinus
thrombosis). Meningitis is a neurological emergency
requiring rapid diagnosis and treatment. In general,
diagnosis is made on history and clinical examination in
conjunction with CSF cultures. There is an occasional
role for imaging in cases where there is a suspicion of
intracranial abscess. Mastoiditis occurs when infection
in the middle ear spreads into the adjacent mastoid
air cells. This often presents as erythema, swelling
and pain over the mastoid/post-auricular region. In
cases of complicated AOM, involvement of the ENT/
neurosurgical teams is advised.
Radiological investigations
Uncomplicated AOM does not require imaging;
however, patients suspected of developing intracranial
complications associated with AOM do warrant
imaging for further assessment in order to characterise
the extent of disease. CT is the imaging modality
of choice as it allows clear delineation of the bony
architecture of the middle ear and skull to help
identify areas of disease. A limited unenhanced CT
of the temporal bones should be performed initially.
MODALITY PROTOCOL
CT Unenhanced. Scan from level of orbital floor to
foramen magnum. Thin slice (e.g. 0.625 mm)
high-resolution bony algorithm reconstructions
required in the axial and coronal planes.
Post IV contrast: 2 ml/kg via 20G cannula,
3 ml/sec. Scan at 120 seconds after start of
injection. Scan from level of foramen magnum
to vertex.
Table 4.8  Acute otitis media. Imaging
­protocol.
K22247_C004.indd 154 16/05/15 3:10 AM
Paediatric imaging 155
Figure 4.16  Axial image: post IV contrast CT scan of
the brain. There is a thick-walled, enhancing collection
overlying the right temporal bone consistent with an
abscess as a result of underlying mastoiditis.
Figure 4.15  Axial image: unenhanced CT scan of the
brain. The right middle ear cleft and mastoid air cells
are opacified with fluid due to infection. There is also
coalescence of the right mastoid air cells (arrow).
Figure 4.14  Axial image: unenhanced CT scan of the
brain. The middle ear clefts and mastoid air cells are
pneumatised with no fluid opacification evident.
seen as a thick-walled, enhancing collection adjacent
to the mastoid, and is important to identify as surgical
drainage may be required.
Key points
•	 AOM is a common childhood infection that can
usually be managed conservatively for the majority
of patients.
•	 Patients whose symptoms persist despite treatment
or who develop signs of complications may require
cross-sectional imaging.
Report checklist
•	 Evidence or otherwise of bony erosion.
•	 Presence or absence of mastoid air cell
opacification and coalescence.
•	 Presence or absence of intracerebral infection/
abscess and venous sinus thrombosis.
Reference
Lissauer T, Clayden G (2012) Illustrated Textbook of
Paediatrics,4thedn.MosbyElsevier,London,p. 278.
K22247_C004.indd 155 16/05/15 3:10 AM
Chapter 4156
Radiological investigations
In the emergency setting, IV contrast enhanced CT is
the imaging modality of choice. CT readily delineates
the deep neck anatomy, allowing identification of
potential abscesses and their relation to adjacent
structures. CT can also differentiate focal abscesses
from cellulitis and lymphadenopathy, which are
potential differential diagnoses. CT also plays a role
in identifying the cause of a potential abscess, such as
tonsillitis or dental infections. Note, however, that CT
has a not insignificant false-negative and false-positive
rate and therefore, even in cases of a normal CT,
surgical exploration may be required if there is a strong
clinical suspicion (Craig  Schunk, 2003). Note also
thatemergencyimagingshouldnotbedelayeduntilthe
patient develops more significant signs such as airway
compromise, as by this time it may be too late.
Traditionally, lateral cervical X-rays have been
utilised in the investigation of retropharyngeal abscess.
These may show soft tissue swelling posterior to the
pharynx (i.e. widening of the pre-vertebral soft tissues).
This is non-specific and can also be seen in discitis,
paravertebral collections and trauma. A normal X-ray
does not exclude the diagnosis and, even if abnormal,
further imaging with CT is often indicated to delineate
the precise anatomy. (See Table 4.9.)
PARAPHARYNGEAL AND
RETROPHARYNGEAL ABSCESS
Focal infections of the deep neck are a medical and
surgical emergency, requiring prompt diagnosis and
treatment. Parapharyngeal and retropharyngeal
abscesses usually arise secondary to oropharyngeal
or dental infections such as acute tonsillitis (or post
tonsillectomy), dental infection, petrositis and
Bezold’s abscess. Whilst both parapharyngeal and
retropharyngeal abscesses can occur at any age, they
are more common in the paediatric population (Craig
 Schunk, 2003).
The presentation of parapharyngeal and
retropharyngeal abscesses varies significantly.
Initially, symptoms and signs can mimic an upper
respiratory tract infection (which may precede a focal
abscess); they include sore throat, fever and cervical
lymphadenopathy. In younger children, symptoms and
signs may be more non-specific, such as irritability and
poorfeeding.Inflammatorymarkersareoftenelevated,
but may also be normal. A key indicator is a rapid
progression of symptoms and signs suggesting upper
airway obstruction, including dysphagia, neck stiffness,
stridor, dyspnoea and drooling.
If untreated, parapharyngeal and retropharyngeal
abscesses can be rapidly fatal. Complications
include laryngeal oedema, which can lead to airway
obstruction, mediastinitis, jugular venous thrombosis
and osteomyelitis. Urgent imaging is often necessary
to delineate the location of the abscess and additional
complications. Small abscesses are sometimes treated
with IV antibiotics in isolation; however, surgical
drainage may often be required in addition to this.
MODALITY PROTOCOL
CT 100 ml IV contrast via 18G cannula, 2 ml/
sec. Scan at 50 seconds after initiation of
injection. Scan from thoracic inlet to skull
base level.
Table 4.9  Parapharyngeal and retropharyngeal
abscess. Imaging protocol.
K22247_C004.indd 156 16/05/15 3:10 AM
Paediatric imaging 157
location, since it connects the deep cervical spaces to
the mediastinum. The prevertebral space is located
posterior to the danger space and anterior to the longus
colli muscles.
An abscess typically appears as a focal area of
fluid attenuation (0–20 Hu) with associated uniform
rim enhancement post IV contrast. It is important
to localise any potential abscess to its anatomical
compartment. Abscesses in the retropharyngeal space
usually displace the triangular parapharyngeal fat
anterolaterallyandthepharynxanteriorly.Inaddition,
retropharyngeal abscesses displace the longus
colli muscles posteriorly (in contradistinction to
pathology in the perivertebral space, which displaces
these muscles anteriorly). In normal individuals, the
‘danger’ space cannot be reliably distinguished from
the retropharyngeal space. Conversely, an abscess
in the parapharyngeal space usually displaces the
Radiological findings
Computed tomography
Knowledge of the normal anatomy of the neck is vital
when interpreting CT imaging. The neck can be
broadlydividedintosevendeepspaces:parapharyngeal,
pharyngeal mucosal, retropharyngeal, parotid, carotid,
masticator and perivertebral (Table 4.10). The
parapharyngeal space is a pyramidal fatty-filled space
withitsbaseattheskullbaseandapexatthehyoidbone.
On cross-sectional imaging, it has a triangular shape.
The retropharyngeal space is a potentially mostly fatty-
filled space in the midline of the neck. It extends from
the skull base to approximately the level of tracheal
bifurcation, posterior to the pharynx and oesophagus.
On cross-sectional imaging, it demonstrates a broadly
rectangular shape. It is separated from the more
posteriorly situated ‘virtual’ danger space by the alar
fascia. The danger space is an important anatomical
NECK SPACE BOUNDARIES RELATIONS CONTENTS
Parapharyngeal Superior: skull base.
Inferior: hyoid bone.
Medial: middle layer of deep ­cervical
facia.
Lateral: fascia associated with
the deep lobe of parotid gland.
Anterior: fascia covering the medial
pterygoid.
Posterior aspect: pre-vertical fascia.
Anterior: medial pterygoid.
Posterior: pre-vertebral space.
Lateral: masticator space.
Medial: pharyngeal mucosal
space.
Fat; trigeminal nerve; internal
maxillary artery; ascending
­pharyngeal artery; pterygoid
venous plexus.
Retropharyngeal Superior: clivus.
Inferior: point of alar and middle layer
of deep cervical fascia fusion (usually
T4 level).
Lateral: deep layer of deep cervical
fascia.
Anterior: middle layer of deep cervical
fascia.
Posterior: alar fascia.
Anterior: pharyngeal mucosal
space.
Posterior: danger space.
Posterolateral: carotid space.
Anterolateral: parapharyngeal
space.
Fat; lateral and medial
­retropharyngeal lymph nodes.
Table 4.10  Anatomy of the parapharyngeal and retropharyngeal spaces.
K22247_C004.indd 157 16/05/15 3:10 AM
Chapter 4158
significantly compress the pharynx, leading to
respiratory compromise. It is important to appreciate
that infection may spread to different compartments
within the neck (Figures 4.17a–d).
carotid space and sheath laterally. Abscesses may
cause significant compression and displacement
of adjacent structures; this should be commented
upon. For example, a retropharyngeal abscess may
Figure 4.17a–d  Axial images: IV contrast enhanced CT scans of the neck in the arterial phase. Multiple images
demonstrating ring enhancing collections/abscesses in the parapharyngeal region in the neck (arrows). Note the
varying degrees of airway compromise secondary to mass effect.
(a) (b)
(c) (d)
K22247_C004.indd 158 16/05/15 3:10 AM
Paediatric imaging 159
demonstrate linear enhancing densities within. If
imaged, the mandible may demonstrate periodontal
lucenciesorbonedestruction,suggestiveofperiodontal
abscess formation.
Key points
•	 Parapharyngeal or retropharyngeal abscesses are
common in the paediatric population, usually
occurring secondary to oral pharyngeal or
periodontal infection.
•	 In the emergency setting, CT is the imaging
modality of choice.
•	 Knowledge of the deep neck anatomy is vital in
aiding interpretation of CT imaging.
Report checklist
•	 Anatomical location and size of any abscess.
•	 Document the relationship with adjacent
structures.
•	 Degree of mass effect and airway compromise.
Reference
Craig FW, Schunk JE (2003) Retropharyngeal abscess
in children: clinical presentation, utility of imaging,
andcurrentmanagement.Pediatrics111:1394–1398.
Distinguishing tumours from abscesses in the
deep compartments of the neck can be difficult.
Higher attenuation and more solid components
of the abnormality are more suggestive of tumour;
however, tumours may become significantly necrotic
with a more cystic appearance, mimicking abscesses.
While pharyngeal tumours may also invade the
parapharyngeal or retropharyngeal spaces, they are
expected to centre on the pharyngeal mucosal space
(as opposed to the parapharyngeal or retropharyngeal
spaces). Parapharyngeal or retropharyngeal cellulitis
typically appears as low attenuation soft tissue swelling;
however, it lacks the focal cystic collection and rim
enhancement of an abscess.
In the presence of infection within the neck, the
jugular veins should be scrutinised for filling defects,
which suggest thrombosis. Cervical lymphadenopathy
is often seen secondary to abscesses. In the case of a
retropharyngeal abscess involving the danger space,
mediastinitiscanalsooccur,manifestingasfatstranding
or focal collections within the mediastinum; this carries
a significant mortality.
The cause of any potential abscess should be
considered. Tonsillitis may appear as unilateral or
bilateral enlargement of the tonsils, which can also
K22247_C004.indd 159 16/05/15 3:10 AM
K22247_C004.indd 160 16/05/15 3:10 AM
161
Chapter 5
TRAUMA IMAGING
INTRODUCTION TO IMAGING IN
MAJOR TRAUMA
Imaging of severely injured patients within the
context of major trauma can present many challenges.
The spectrum of injury may be incredibly varied,
involving multiple body systems and sometimes with
limited clinical information. Injuries may result from
innumerable circumstances ranging from gunshot
wounds and work place injuries, to blunt injuries
from road traffic collisions and falls from height. As
a result, the imaging findings may be complex and
a clear understanding of the mechanism of injury
can be invaluable in predicting patterns of injury and
identifying which areas to scrutinise in detail.
In the UK, major trauma patients are cared for
in dedicated major trauma centres (MTCs). These
are designated hospitals that are equipped with the
relevant clinical expertise and resources to deal with
these often complex patients. The initial imaging of
trauma patients usually occurs within these specialised
centres; however, a small number may present to other
hospitals; it is vital that in these cases patients are
managed quickly and safely.
Several different trauma scoring systems are
available, but the most frequently used is the Injury
Severity Score (ISS) (Baker et al., 1974). This scores
injuries from 1 to 75, the latter being the most serious.
Patients who have an ISS 15 are defined as having
suffered from a major trauma. Patients with an ISS of
9–15 are defined as having suffered a moderately severe
trauma. Patients with an ISS 15 should be managed
in an MTC. However, it is not possible to determine
the ISS at the time of injury because this requires a
full diagnostic assessment. For this reason, patients
with potential major trauma injuries (decision made
by mechanism of injury and at-site assessment) will be
taken directly to an MTC if travel time allows or else
to the nearest trauma unit for stabilisation and then
subsequent transfer to an MTC. Incorrectly triaged or
self-presentingpatientsmaypresenttoanytraumaunit.
MTCs have all the services required to receive and
manage seriously injured patients. Elements of the
requirement of an MTC include:
•	 Emergency care:
•	 Consultant on site to lead the trauma team
24 hours a day.
•	 Appropriately trained trauma team.
•	 Ability to perform a resuscitative thoracotomy
in the emergency department.
•	 Massive haemorrhage protocol in place for
patients with acute blood loss.
•	 Immediate availability of fully staffed operating
theatre 24 hours a day.
•	 All emergency operative procedures should
have evidence of consultant involvement.
•	 Consultants in all emergency specialities (e.g.
surgery, interventional radiology, anaesthesia)
should be available on site within 30 minutes.
•	 Radiology:
•	 Immediate access to CT (within 60 minutes)
with reporting within 60 minutes of
performing the scan.
•	 Availability of interventional radiologist within
60 minutes of referral.
•	 Ongoing care:
•	 Immediate access to critical care or high-
dependency unit.
The decision to perform imaging should be made in
conjunction with the lead trauma physician. Local
protocols are usually in place to help determine which
K22247_C005.indd 161 16/05/15 3:11 AM
Chapter 5162
method of imaging. In paediatric patients, there is a
greater need to consider the effect of ionising radiation
and its long-term effects. In these patients, a bedside
ultrasoundmaybehelpfulasaninitialtriagetoolbefore
proceeding to CT. The Royal College of Radiologists
in the UK has published guidelines advocating the use
of CT rather than ultrasound in major trauma patients
(Royal College of Radiologists, 2014).
Many major trauma patients are unable to provide
an accurate medical history and a clinical decision
may need to be made in the best interest of the patient
given the potential for significant internal injury.
Departmental guidelines should be consulted where
appropriate. Where there is a significant mechanism
of injury, IV contrast is used to accurately assess the
solid organ parenchyma and vasculature and to identify
sources of active haemorrhage. A compromise may be
made by administering contrast agents with a lower
incidence of contrast-induced nephropathy. The
exact CT protocol often depends on local guidelines;
however, most centres advocate both an arterial and
portal venous phase. The arterial phase facilitates
identification of active arterial haemorrhage, which
may require immediate surgical treatment. The portal
venousphaseisessentialtoallowaccurateassessmentof
thesolidabdominalorgans.Acquisitionoftheseimages
may be either as separate phases or as a combined
dual phase single acquisition, depending on local
departmental guidelines.
Patient positioning on the CT table should be
optimised to produce diagnostic quality images.
Monitoring leads should be moved to the periphery
where possible. Scanning the head and neck with
the arms down helps to acquire images with reduced
artefact. Similarly, scanning the body with the arms
up reduces beam hardening artefacts through the
abdomen and pelvis that may mimic injuries.
In all types of injury, the CT scout images should
be reviewed routinely. These often image areas outside
of the imaged region of the main CT scan, and can
provide valuable information regarding peripheral
injuries such as long bone fractures, which may not
otherwisebeincludedontheCT.Itmayalsoallowearly
identification of pathology, which can be relayed to the
referring team (e.g. presence of haemo/pneumothorax,
free intra-abdominal gas).
patients warrant imaging; these protocols should
be used as guidelines, with each case assessed on an
individual basis. The clinical history/mechanism of
injury and clinical findings on the primary survey
of the patient should be considered. In severely
haemodynamically unstable patients, it may be
appropriate to proceed to surgery without imaging.
Imaging should be performed in a timely fashion
to provide an accurate assessment of the patient,
facilitating the most appropriate management. In
general, the primary aim of imaging is to evaluate
known injuries that are apparent clinically, as well as
identify those injuries that are not apparent on clinical
examination and which may have a bearing on the
clinical course of the patient.
The Royal College of Radiologists in the UK
provides several standards for Trauma Radiology in
Severely Injured Patients (see Appendix 2).
A whole body polytrauma CT is indicated when:
•	 There is haemodynamic instability.
•	 FAST (if used) has demonstrated intra-abdominal
fluid.
•	 If plain films suggest significant injury, such as
pneumothorax/pelvic injuries.
•	 Obvious severe injury on clinical assessment.
•	 The mechanism of injury or presentation suggests
that there may be occult severe injuries that
cannot be excluded by clinical assessment or plain
films. For example:
•	 Ejection from vehicle.
•	 Entrapment in vehicle for 30 minutes.
•	 Fatality at scene.
•	 Injury to more than one body region.
•	 Fall from 10 feet (3 metres).
•	 Gunshot wound.
•	 High speed rollover.
•	 Pedestrian versus car travelling at 30 mph.
•	 Fall downstairs (5 steps) and age 65 years.
Once the decision has been made to perform imaging,
the correct modality must then be selected. In adult
patients with a high suspicion of injury, CT is the initial
imaging modality of choice. Other modalities such as
ultrasound, MRI and plain film imaging may be used
as an adjunct; however, the ease of access and relatively
short scan times for CT make it a practical first-line
K22247_C005.indd 162 16/05/15 3:11 AM
Trauma imaging 163
Active haemorrhage
Administering IV contrast and timing the scans
appropriately can help identify sources of active
haemorrhage, which may require urgent intervention.
Active bleeding often manifests as a ‘contrast blush’
on the arterial phase. Demonstrating contrast
extravasation during the arterial phase of imaging
suggests active, arterial haemorrhage. Imaging the
same region during the delayed phase can be useful,
as it can also demonstrate pooling of contrast within
the affected region, which may provide a subjective
measure of the rate of blood loss (Figures 5.1a, b).
It is very important with penetrating injuries
to know:
•	 What is the instrument of injury – knife/bullet/
other?
•	 How many penetrating injuries have occurred?
One should always be able to identify the entry wound
and it is necessary to have an understanding of the
trajectory of the wound and how deep the injury is
likely to extend. This is particularly important since
It is useful to do an initial immediate assessment of
the images as the scan is being performed. This allows
for a ‘primary assessment’ to identify any immediate
life-threateningconditions(e.g.tensionpneumothorax,
incorrectly sited ET tube, active haemorrhage/splenic
rupture). Most departments will have a proforma for
a rapid initial radiological assessment. An example is
included in Appendix 3.
Penetrating injury
Penetrating injuries include stabbings and gunshot
wounds, but they may also be sustained in conjunction
with blunt injuries depending on the mechanism of
injury. In general, penetrating injuries tend to be more
localised with regards to the body parts involved;
however, depending on the instrument, severe internal
injuries can be sustained. It is normally prudent to
imagesegmentsofthebodyaboveandbelowtheregion
where the penetration occurred, since the internal
tract of the injury may be difficult to predict from the
external injury (e.g. imaging a stab injury to the thorax
may include the neck and abdomen).
Figures 5.1a, b  Axial images: IV contrast enhanced CT scans of the pelvis in the arterial and delayed phases.
There is active arterial contrast extravasation into subcutaneous haematoma overlying the right anterior pelvis (5.1a,
arrow). On the delayed image (5.1b), the extravasated contrast has dispersed into the haematoma (arrow).
(a) (b)
K22247_C005.indd 163 16/05/15 3:11 AM
Chapter 5164
patients may be unconscious and therefore unable to
give the information themselves. This information
therefore should be made available by the emergency
clinician who has completed a thorough primary and
secondarysurvey.Astabbingcaseisshown(Figures 5.2,
5.3a, b). This patient was stabbed with a kitchen knife
a single time. The posterior chest wound can be seen
on the left, but as well as this there is a high attenuation
right-sided pleural effusion (Figure 5.2). On close
examination there are tiny avulsed fragments of bone
from the lateral aspect of the right vertebral body
and rib head at this level, and on the arterial phase
scans (Figures 5.3a, b) there is visible active contrast
extravasation from an intercostal artery, which explains
the right haemothorax. The trajectory of the knife
can therefore be identified and it would suggest that
the knife would have had to traverse the spinal canal.
Figure 5.2  Axial image: unenhanced CT chest scan.
There is a large laceration to the left posterior chest
wall (arrow) with bilateral pleural effusions.
Figures 5.3a, b  Axial images: IV contrast enhanced CT chest scans in the arterial phase. This is on soft tissue
windows. Two tiny fragments of bone are seen at the level of the right rib head. There is high attenuation material
layered in the right pleural effusion consistent with active contrast extravasation (arrows). When re-windowed (5.3b)
it is possible to see the extravasation of contrast from a right intercostal vessel. The trajectory of the knife can be
calculated from the injuries – the path crosses through the spinal canal.
(a) (b)
K22247_C005.indd 164 16/05/15 3:11 AM
Trauma imaging 165
trajectoryofthewound.Aleftrectussheathhaematoma
from a stab wound is shown (Figures 5.5a, b). The
direction of the stab wound is easily visible on the
sagittal reformat.
The patient was unconscious and unable to give any
clinical information. On MRI, the appearance of the
thoracic spine with focal high signal within the cord is
consistent with a cord injury (Figures 5.4a, b).
Sagittal and coronal reformat assessment is essential
in cases of penetrating trauma to correctly identify the
Figure 5.4a, b  Sagittal and axial T2 weighted MR images of the thoracic spine. There is high signal seen within
the centre of the thoracic spinal cord consistent with cord transection (5.4a, arrow).
(a) (b)
Figure 5.5a, b  Axial and sagittal images: unenhanced CT scans of the abdomen and pelvis. There is a left rectus
sheath haematoma with the trajectory of the knife easily identifiable on the reformatted image.
(a) (b)
K22247_C005.indd 165 16/05/15 3:11 AM
Chapter 5166
Blunt injury
Blunt injury may occur through a variety of situations,
which include, but are not limited to:
•	 Road traffic collisions – pedestrians and drivers,
restrained and unrestrained.
•	 Fall from height/stairs.
•	 Blast injuries.
In general, these types of injuries have the potential to
involve multiple body regions; as such, there should
be a low threshold to image several regions to identify
occult injuries.
Sagittal and coronal reformat assessment is also
essentialinallcasesofblunttraumainordertocorrectly
identify bony injuries. Fractures are much easier to see
on sagittal and coronal reformatted images than on
the axial images, particularly in the spine. A depressed
skull fracture at the skull vault, which could be missed
without reformats, is shown (Figures 5.6, 5.7). 3-D
reformats can be useful here (Figures 5.8a, b).
Individual protocols and techniques are discussed
in the following sections. However, it is important
to reiterate that each case should be protocolled and
Figure 5.6  Axial image: unenhanced CT brain scan on
bone windows. There is a depressed left parietal vault
fracture.
Figure 5.7  Coronal image: unenhanced CT brain scan
on bone windows. There is a depressed left parietal vault
fracture, which is more clearly visible than in Figure 5.6.
scanned individually and adjusted to the needs of the
patient and the suspected injuries sustained. Referral
to departmental guidelines, when available, should be
the first form of reference for the on-call radiologist.
In general, it is advised that paediatric traumas should
be discussed with the consultant radiologist on call for
advice regarding scan protocols.
Key points
•	 All trauma scans need to be assessed with sagittal
and coronal reformatted images.
•	 Knowledge about the mechanism of injury as well
as the site and number of penetrating injuries is
required.
Reference
Baker SP, O’Neill B, Haddon W Jr et al. (1974) The
Injury Severity Score: a method for describing
patients with multiple injuries and evaluating
emergency care. J Trauma 14:187–196.
RoyalCollegeofRadiologists(2014)Paediatric Trauma
Protocols. Royal College of Radiologists, London.
K22247_C005.indd 166 16/05/15 3:11 AM
Trauma imaging 167
MAJOR TRAUMA: THORAX
Thoracic trauma can result in severe, life-threatening
injuries that need rapid diagnosis and treatment.
The myriad of pathology can be variable, resulting
in problems with both respiratory and cardiovascular
function and leading to a rapid deterioration in the
patient’s condition. Mortality rates have been reported
in the region of 10–15% as a result of thoracic trauma,
which is second only to head injuries in the context of
major trauma patients (Shorr et al., 1987; Kaewlai et al.,
2008). The mechanism of injury, clinical parameters
and examination findings all provide important
information to the radiologist and can often be used to
predictpatternsofinjuryandtheunderlyingpathology.
Radiological investigations
In most dedicated trauma centres, patients with
significant chest trauma should ideally be assessed with
contrast enhanced CT. Not only does this allow a rapid
diagnosis of any acute pathology that may be present,
it also assists in ascertaining the adequacy of placement
of support lines and tubes. Contrast enhanced CT
gives an accurate depiction of the aorta to assess for
any acute aortic injury, which may potentially be life
MODALITY PROTOCOL
CT Arterial phase: 100 ml IV contrast via 18G
cannula, 4 ml/sec. Bolus track centred on the
aortic arch. Scan from the thoracic inlet to
the inferior border of liver. Slice thickness of
0.625–1.25 mm to allow accurate multiplanar
reformats of the images.
Table 5.1  Major trauma: thorax. Imaging
­protocol.
Figures 5.8a, b  Reformatted 3-D
images of the vault fracture (arrows)
shown in Figures 5.6 and 5.7.
(a) (b)
threatening. It can also highlight any acute arterial
haemorrhage, which may necessitate urgent surgical
or interventional input.
Chest plain film imaging may be performed in
some centres where CT is not readily available or
prior to transferring a patient to a dedicated trauma
unit. Although gross pathology may be seen on chest
plain film imaging, significant pathologies may be
missed. Images are inevitably acquired in an AP supine
position, which may obscure important pathologies
such as pneumothorax and haemothorax in addition to
great vessel injuries. (See Table 5.1.)
K22247_C005.indd 167 16/05/15 3:11 AM
Chapter 5168
Haematoma within the mediastinum is most often
the result of venous bleeding; however, when present
thisshouldalwayspromptthesuspicionofaorticinjury.
Decelerationinjuriescanalsoresultinbluntinjuryofthe
mediastinumagainsttheposteriorsternum,resultingin
stranding or haziness of the mediastinal fat (Figure 5.9)
or focal haematoma. On CT, mediastinal haematoma
appears as dense soft tissue material. Knowledge of
the normal morphology of the thymus gland, which
is present in children (and some young adults), is vital
since this can be falsely interpreted as haematoma.
Pneumomediastinum is not uncommon and is best
appreciated on lung window settings. Causes include
alveolar rupture, extension from pneumothoraces
or surgical emphysema, tracheobronchial injury and
penetrating trauma. Oesophageal rupture is another
important cause, and can be the result of penetrating
trauma.
Cardiac injury
Cardiac injuries can be fatal and should be identified
and acted upon as a matter of urgency. CT may
demonstrate haemopericardium, although this can also
be seen in cases of dissection and myocardial infarction
(Figure 5.10). As with a pleural effusion, increased
Radiological findings
Specific pathologies are discussed separately. In
general, as with any polytrauma imaging, an initial
survey of CT imaging should be performed in order
to quickly identify life-threatening injuries. In the
thorax, this includes traumatic aortic injury, tension
pneumothoraces and haemopericardium with cardiac
tamponade. Once these injuries have been excluded,
a more detailed imaging survey can be carried out. In
all cases, chest CT imaging should always be inspected
on lung window (width 1,600, level 550), soft tissue/
mediastinal window (width 450, level 70) and bone
window (width 2,000, level 250) settings in order to
appreciate the full spectrum of injury.
Mediastinal injury
Injurytothemediastinalcontentscanhavecatastrophic
consequences, particularly when the aorta and great
vessels are involved. It is advisable to assess for major
mediastinal vascular injury initially, since injuries to
the thoracic aorta can be immediately life threatening.
The spectrum of traumatic aortic injury also includes
aortic dissection, which should be inspected for (see
Chapter 1: Acute aortic syndrome and Thoracic
aortic injury).
Figure 5.9  Axial image: IV contrast enhanced CT
scan of the thorax in the arterial phase. Ill-defined, hazy
linear densities can be seen in the medastinal fat anterior
to the aortic arch as a result of mediastinal contusional
injury (arrow). No active haemorrhage is seen.
Figure 5.10  Axial image: IV contrast enhanced CT
scan of the thorax in the arterial phase. There is large
volume, homogenous fluid within the pericardium
surrounding the heart, which in the context of trauma is
likely to represent haemopericardium.
K22247_C005.indd 168 16/05/15 3:11 AM
Trauma imaging 169
during respiration. In a pneumothorax, gas within the
pleural space causes the lung to separate from the chest
wall and collapse. This in itself may reduce respiratory
capacity and compromise function. Gas may collect
within the pleural space by several means. The most
common cause is air leakage from traumatic alveolar
rupture. Other causes include blunt and penetrating
chest wall injury.
On CT, a pneumothorax is seen as a collection of
gas surrounding the lung within the pleural space
(Figure 5.11). Other features include an absence of
vascular lung markings that reach the chest wall and
a well-defined lung edge seen within the thorax away
from the chest wall. Findings on chest plain film
imaging are similar, with a lung edge visible and an
absence of vascular markings at the lung periphery in
an erect/semi-erect patient (Figure 5.12). In supine
patients, however, findings may be more subtle. In this
density of pericardial fluid suggests haemorrhage,
and the Hu of any pericardial fluid should always be
sampled.Thenormalpericardiumshouldbepencilthin
and not contain any significant volume of fluid, with a
normal fat plane seen between the cardiac chambers
and the pericardium. Simple pericardial effusions are
not uncommon, and can be seen in pre-existing heart
disease. Large pericardial effusions can result in cardiac
tamponade, whereby the excess fluid around the heart
impairs cardiac function, resulting in impaired venous
return to the heart.
Pneumothorax
A pneumothorax is the result of gas collecting within
the pleural space. In normal individuals, the pleural
space is a potential space between the visceral and
parietal pleura. It normally contains a small volume
of fluid to lubricate the pleura and allow movement
Figure 5.11  Axial image: IV contrast enhanced CT
scan of the thorax in the arterial phase. Viewed on
lung window settings, gas is illustrated as areas of low
attenuation. There are bilateral pneumothoraces. In
addition, there is marked pneumomediastinum and
surgical emphysema, which can be seen tracking within
and around the muscles of the chest wall.
Figure 5.12  AP portable chest radiograph. A large
right pneumothorax is demonstrated, with no vascular
markings visible. The collapsed right lung is seen as a
soft tissue mass adjacent to the right heart. There is no
mediastinal shift to suggest tension.
K22247_C005.indd 169 16/05/15 3:11 AM
Chapter 5170
defect in the pleura (e.g. broken rib) and through the
fascial planes into the subcutaneous tissues. It may also
occurasaresultofdirectpenetratinginjurytothechest,
resultinginatractbetweenthesubcutaneoustissuesand
the outside. On imaging, this is seen as gas overlying
the chest within the subcutaneous tissues. This is often
a fairly self-limiting condition with treatment aimed
at the underlying pneumothorax. However, it may
occasionally progress and become extensive resulting
in airway compromise.
Haemothorax
Haemothorax is defined as the presence of blood
within the pleural space. The underlying cause may
be any cause of haemorrhage within the thorax, such
as pleural injury, rib fracture or lung injury. On CT
imaging, haemothoraces appear as fluid within the
pleural spaces, which is usually denser than simple
pleural effusions (Figure 5.14). It should be noted
position, gas collects in the most dependent position
(anteroinferiorly against the diaphragm), appearing as
a deep sulcus sign (Figure 5.13).
The main complication of a pneumothorax is the
development of a tension pneumothorax. This occurs
when gas is able to collect within the pleural space but
is not able to escape. This results in a large volume of
gas within the pleural space, which exerts considerable
masseffect,resulting in shifting of mediastinalcontents
to the contralateral side. The mass effect of this raises
the pressure within the thorax and compromises
venous return to the heart, leading to cardiac failure.
A tension pneumothorax ideally should not be seen on
imaging as it is a clinical diagnosis requiring immediate
intervention.However,ifitisseenonimaging,itshould
be immediately decompressed.
Pneumothoraces in the context of chest trauma may
also result in subcutaneous emphysema. This occurs
when gas within the pleural space tracks through a
Figure 5.14  Axial image: IV contrast enhanced CT
scan of the thorax in the arterial phase. Dependent
fluid can be seen in the right pleural space. A right
pneumothorax is also seen, and this is therefore a
pneumohaemothorax.
Figure 5.13  AP chest radiograph. There is a left
pneumothorax. In the supine position, gas within the
pleural space collects within the most superior part of
the thorax, which is the costophrenic recess antero-
inferiorly (arrow).
K22247_C005.indd 170 16/05/15 3:11 AM
Trauma imaging 171
painful for the patient, and so can result in splinted
breathing and inadequate ventilation, which can lead to
atelectasis and infection. They are therefore important
to identify in order to prevent complications.
A flail segment is defined as two or more contiguous
ribs that are fractured in at least two places. The result
is a separated segment of the chest wall, which moves
independently and paradoxically to the rest of the
thoraciccage(Figures5.15,5.16)duringinspirationand
expiration. Flail segments may be difficult to manage
due to inadequate respiration and pain, and patients
may require sedation. Furthermore, patients with
flail chest may often have underlying lung contusions,
which can further impair respiratory function.
that a small amount of blood within simple pleural
fluid can be difficult to appreciate visually, and the Hu
of pleural fluid should be sampled in the context of
trauma (a value 40 Hu is suggestive of haemorrhage).
The chest wall and mediastinum should be scrutinised
for causes of haemorrhage and for any signs of active
contrast extravasation.
Rib fracture and flail chest
Rib fractures are very common in patients with chest
trauma. Isolated, non-displaced fractures may result
in a small amount of local lung contusion or small
haemothoraces, but otherwise they do not cause a large
amount of direct damage. However, they can be very
Figure 5.15  Coronal image: IV contrast enhanced CT
scan of the thorax and abdomen in the arterial phase.
Viewed on bone window settings, a left-sided flail
segment is seen with multiple posterior rib fractures
(arrow). Right lung contusions are also shown.
Figure 5.16  3-D rendered image of the left
posterolateral thoracic cage. There are multiple
fractures visible along contiguous ribs consistent with a
flail segment.
K22247_C005.indd 171 16/05/15 3:11 AM
Chapter 5172
tearing. The left dome is more commonly injured than
the right side. Defects within the diaphragm may result
in herniation of abdominal contents into the thorax,
with the potential for strangulation (Figure 5.18). On
imaging, diaphragmatic defects can be subtle. Images
should be reviewed in the sagittal and coronal planes,
and the diaphragmatic contour should be traced
carefully, paying particular attention to any defects.
Other subtle signs include the presence of free fluid
on either side of the diaphragm, which should raise
suspicions. Diaphragmatic hernias are usually fairly
obvious to see on CT; however, patients may not
develop these until a long time after the initial injury.
Key points
•	 Trauma to the thorax can result in a wide
range of pathologies, many of which can be life
threatening.
•	 Compromise of the airway, respiratory or
cardiovascular functions are all potential problems
with thoracic injuries, and require prompt
diagnosis and treatment.
Report checklist
•	 Think ABCDE when considering chest trauma.
•	 A = airway. Is the endotracheal (ET) tube in the
right place? Is there a foreign body obstructing
the airway (e.g. blood)? Is there trauma to the
trachea?
•	 B = breathing. Is there a tension
pneumothorax?
•	 C = circulation. Is there an aortic injury? Is
there cardiac tamponade or haemopericardium?
Is there a large haemothorax?
•	 D = diaphragm. Is there diaphragmatic injury?
•	 And once all of these are excluded, then one
can look at E = everything else.
References
KaewlaiR,AveryL,AsraniA et al.(2008)Multidetector
CTofbluntthoracictrauma.Radiographics28:1555–
1570.
Shorr RM, Crittenden M, Indeck M et al. (1987) Blunt
thoracic trauma: analysis of 515 patients. Ann Surg
206:200–205.
Lung contusion and lung laceration
Lung contusions represent small areas of haemorrhage
within the alveoli. They may occur as a result of direct,
blunt or penetrating injury, but are also often seen in
deceleration type injuries (Figure 5.17). On CT, they
are usually only visible on lung window levels and
have a non-specific appearance of patchy, ill-defined
areas of ground glass or air space opacities in a non-
segmental distribution. Lung lacerations represent
shearing injuries of the lung parenchyma. These have
a very characteristic appearance and manifest on CT
imaging as linear opacities extending through the
lung parenchyma. As these evolve, cavities form, often
containing gas-fluid levels within. Lacerations usually
heal without complication but may take many weeks to
months to fully resolve.
Diaphragmatic injury
Injuriestothediaphragmcanbedifficulttoidentifyand
ifleftuntreated,mayresultinsignificantcomplications.
Injurymayoccurfromeitherbluntorpenetratinginjury
to the abdomen. In blunt injuries, a sudden increase
in intra-abdominal pressure results in the diaphragm
Figure 5.17  Axial image: contrast enhanced CT scan
of the thorax in the arterial phase. Ill-defined, ground
glass changes in the left lung anteriorly represent lung
contusions. In addition, a rounded lesion is seen within
the left lung, which contains a gas-fluid level consistent
with a pulmonary laceration.
K22247_C005.indd 172 16/05/15 3:11 AM
Trauma imaging 173
MAJOR TRAUMA: ABDOMEN
AND PELVIS
As with major thoracic trauma, significant intra-
abdominal injury can carry a high morbidity and
mortality rate. Because of the number of organ systems
in the abdomen and pelvis, injuries may be varied and
complex; the input of multiple clinical specialties may
therefore be required. As with all trauma cases, the
mechanism of injury is key and can help the on-call
radiologist anticipate potential patterns of injury.
Figure 5.18  Sagittal image: contrast enhanced CT scan
of the thorax, abdomen and pelvis in the arterial phase.
The left hemidiaphragm is discontinuous and contains
a large defect through which the stomach has herniated
into the thorax (arrow).
Radiological investigations
Inhaemodynamicallystablepatients,CTistheimaging
modality of choice. It can be undertaken relatively
quickly and provides definitive imaging of the solid
organs and bowel, enabling identification of apparent
and occult injuries. In unstable patients, CT may not
be appropriate given the time taken to transfer and
scan the patient. Under these circumstances, it may
be more prudent to proceed directly to exploratory
laparotomy; this should be discussed with the referring
trauma team. Ultrasound can also play a role in trauma
K22247_C005.indd 173 16/05/15 3:11 AM
Chapter 5174
imagingoftheabdomenandpelvis,andhasbeenshown
to be a useful tool in identifying free fluid in unstable
patients (Smith  Wood, 2013; Figure 5.19). It can be
performed at the patient’s bedside, which may be more
appropriate for critically unstable patients who cannot
be transferred safely to the CT scanner. Ultrasound
may also be more suitable for paediatric patients with
a low clinical suspicion of significant injury. While a
useful adjunct, it should be emphasised that ultrasound
is not as sensitive or specific as CT for traumatic intra-
abdominal and pelvic injury.
Full assessment with CT imaging should include
both an arterial and portal phase of the abdomen
and pelvis. The arterial phase is useful for all trauma
patients, as it helps to identify active, arterial contrast
extravasation (i.e. active bleeding), which may require
immediate intervention. The portal venous phase
allows accurate assessment of the abdominal viscera.
On an arterial phase, some of the viscera (in particular
the spleen) typically demonstrate heterogeneous
enhancement. It can therefore be difficult to fully
exclude underlying visceral injuries, such as contusions
or lacerations, when assessing the arterial phase in
isolation. Split bolus techniques, in which a combined
arterial and portal venous phase is obtained on a single
Figure 5.19  Ultrasonogram of the liver and right
kidney in the longitudinal plane. Anechoic free fluid
is seen in the right hepatorenal space. In the context
of abdominal trauma, this most likely represents
haemoperitoneum.
acquisition of the abdomen and pelvis, may be used to
reduce the radiation dose to the patient.
Bladder injuries may occur when adjacent pelvic
injuries are present. Imaging of bladder ruptures can
be performed as either direct or indirect cystography.
A direct cystogram is obtained by instilling contrast
media into the urinary bladder via a urethral catheter
and then imaging the patient. This method allows
a larger volume of contrast to be instilled under
greater pressure, allowing smaller defects to become
apparent.Anindirectcystogramisobtainedbycarrying
out delayed imaging of the patient following the
administration of IV contrast, which is subsequently
excreted into the renal collecting systems and bladder.
The volume of contrast within the bladder is often
less than that seen in direct cystography and is under
less pressure. As a result, smaller injuries may be
overlooked. In practice, a repeat CT scan at a delayed
intervalisofteneasiertoperformacutely.Alternatively,
fluoroscopic assessment via a cystogram study may be
performed. (See Table 5.2.)
Radiological findings
Aswithalltraumaimaging,itcanbeusefultoperforman
initial surveyof CT imagingof theabdomenandpelvis,
with an aim of identifying serious life-threatening
injuries, which may require urgent intervention and
immediate communication to the referring team. Such
injuries include traumatic aortic rupture and active
arterial contrast extravasation leading to significant
haemorrhage. The attenuation of any intra-abdominal
pelvic free fluid should be precisely measured, as
intermediate or high-density fluid is suggestive of
haemoperitoneum. This can be a useful localising sign
on an initial survey; for example, haemoperitoneum
localised around the spleen is suggestive of a splenic
injury. Once significant life-threatening injury has
been excluded, a systematic approach to inspection
of the remaining structures should take place. It is
also useful to look initially for signs that the patient
is compromised/in distress. A significantly flattened
IVC (Figure 5.20) would suggest a significant loss of
intravascular volume. Hyperattenuatting adrenal
glands (Figure 5.21) suggest that they are overactive,
which is a significant stress response. These features
can reflect the severity of the injuries.
K22247_C005.indd 174 16/05/15 3:11 AM
Trauma imaging 175
Figure 5.20  Axial image: IV contrast enhanced CT
scan of the abdomen in the portal venous phase. There
is marked flattening of the IVC, suggesting a significant
reduction in the intravascular volume. Intra-abdominal
free fluid can be seen around the liver and loops of
bowel.
Figure 5.21  Axial image: IV contrast enhanced
CT scan of the abdomen in the portal venous phase.
Hyperattanuating adrenals suggest a significant stress
response.
MODALITY PROTOCOL
CT Arterial and portal phase acquisition: 100 ml IV contrast via 18G cannula, 4 ml/sec. Scan at 25–30 seconds
(arterial phase) and 65 seconds (portal phase) after initiation of injection. Image acquisition from just above
the diaphragm to just below the pubic symphysis, to include the femoral necks. Helical acquisition, slice
thickness of 0.625–1.25 mm to allow accurate multiplanar reformats of images. Bony algorithm reformatted
images should also be produced through the imaged region.
Ultrasound 1–5 MHz curvilinear probe on general abdominal settings should be used to assess the abdomen and pelvis.
CT/fluoroscopy Indirect cystography: delayed imaging of the pelvis when assessing for the presence of bladder wall
­rupture. ­Indirect imaging should be performed between 15 and 30 minutes following the IV contrast
­injection.
Direct cystography: the urinary bladder should be distended with water soluble contrast via a urethral
­catheter until the patient feels full. Suggested concentration: 50 ml water soluble contrast in 1,000 ml of
water, although this depends on the concentration of contrast. The catheter should be clamped in order
to prevent bladder emptying, and the patient’s pelvis should be imaged.
Table 5.2  Major trauma: abdomen and pelvis. Imaging protocol.
K22247_C005.indd 175 16/05/15 3:11 AM
Chapter 5176
GRADE TYPE OF INJURY DESCRIPTION OF INJURY
I Haematoma Subcapsular 10% surface area.
Laceration Capsular tear 1 cm depth.
II Haematoma Subcapsular 10–50% surface area.
Laceration Capsular tear 1–3 cm depth, 10 cm length.
III Haematoma Subcapsular 50% surface area or intraparenchymal haematoma 10 cm.
Laceration 3 cm parenchymal depth.
IV Laceration Parenchymal disruption involving 25–75% of hepatic lobe or 1–3 Couinaud’s segments.
V Laceration Parenchymal disruption involving 75% of hepatic lobe or 3 Couinaud’s segments
Vascular Juxtahepatic venous injuries (i.e. retrohepatic vena cava/central major hepatic veins).
VI Vascular Hepatic avulsion.
Table 5.3  Liver injury scale (1994 revision).
GRADE TYPE OF INJURY DESCRIPTION OF INJURY
I Haematoma Subcapsular 10% surface area.
Laceration Capsular tear 1 cm parenchymal depth.
II Haematoma Subcapsular 10–50% surface area or intraparenchymal 5 cm depth.
Laceration Capsular tear 1–3 cm parenchymal depth that does not involve a trabecular vessel.
III Haematoma Subcapsular 50% surface area or expanding, ruptured subcapsular or parenchymal haematoma,
intraparenchymal haematoma 5 cm or expanding.
Laceration 3 cm parenchymal depth or involving trabecular vessels.
IV Laceration Laceration involving segmental or hilar vessels producing major devascularisation (25% of
spleen).
V Laceration Completely shattered spleen.
Vascular Hilar vascular injury with devascularised spleen.
Table 5.4  Spleen injury scale (1994 revision).
which outlines individual scales to categorise injuries
sustained in trauma (Tables 5.3, 5.4 and 5.5).
Solid organ injuries, which include the liver, spleen,
pancreas,kidneysandadrenalglands,canallbeassessed
usingcontrastenhancedCT.Thekidneysandpancreas
demonstrate adequate enhancement during the arterial
phase, but the remainder show uniform parenchymal
enhancement during the portal venous phase.
In general, three main visceral injuries are likely
to occur as a result of significant trauma: laceration,
contusion/haematoma or vascular insult. Parenchymal
Solid organ injury
Injuriestothesolidabdominalorgansarecommonplace
in both blunt and penetrating injuries. The liver is the
most frequently injured organ in blunt injury (Yoon
et al., 2005), followed by the spleen. Many solid organ
injuriesmaybemanagedconservatively;however,active
haemorrhage may require interventional radiological
input and it is therefore important to appreciate the
spectrum of injury.
A grading system has been developed by the
American Association for the Surgery of Trauma,
K22247_C005.indd 176 16/05/15 3:11 AM
Trauma imaging 177
lacerations typically appear as irregular, linear low
attenuation lesions coursing through the viscera and
represent a shearing type injury (Figure 5.22). It is
important to appreciate the relationship of lacerations
with underlying major vessels, since these are at risk of
injury. Lacerations can also occur in the kidney; if these
extend to also involve the medulla and renal hilum,
injury to the renal pelvis can occur. This should be
suspected in the presence of low attenuation free fluid
around the renal pelvis and kidney. If an underlying
injury to the renal collecting system is suspected,
delayed imaging can be performed. In this scenario,
excretedcontrastthatliesoutsideoftherenalpelvisand
ureter is indicative of an underlying collecting system/
ureteric injury.
Parenchymal contusions are often more rounded,
ill-defined low attenuation lesions within the visceral
parenchyma. These typically occur after blunt injury
but may also be seen following penetrating injuries.
GRADE TYPE OF INJURY DESCRIPTION OF INJURY
I Contusion Microscopic or gross haematuria, urological studies normal.
Haematoma Subcapsular, non-expanding without parenchymal laceration.
II Haematoma Non-expanding perirenal haematoma confirmed to renal retroperitoneum.
Laceration 1.0 cm parenchymal depth of renal cortex without urinary extravasation.
III Laceration 1.0 cm parenchymal depth of renal cortex without collecting system rupture or urinary extrava-
sation.
IV Laceration Parenchymal laceration extending through renal cortex, medulla and collecting system.
Vascular Main renal artery or vein injury with contained haemorrhage.
V Laceration Completely shattered kidney.
Vascular Avulsion of renal hilum, which devascularises the kidney.
Table 5.5  Kidney injury scale.
Figure 5.22  Axial image: IV contrast enhanced CT
scan of the abdomen in the portal venous phase. The
body of the pancreas has an ill-defined, fragmented
contour and demonstrates abnormal enhancement due
to a laceration (arrow). Free fluid is noted within the
abdomen.
K22247_C005.indd 177 16/05/15 3:11 AM
Chapter 5178
Both laceration and contusions can be complicated by
activebleeding,appearingasahighattenuationcontrast
blush(presentonbothanarterialphaseandadualphase,
split bolus study) (Figures 5.23, 5.24a–c). Subcapsular
Figure 5.23  Axial image: IV contrast enhanced
CT scan of the abdomen in the portal venous phase.
Contrast blush can be seen in the spleen, indicating
active contrast extravasation (arrow).
Figures 5.24a–c  Axial images: unenhanced (5.24a) and IV contrast enhanced CT scans of the abdomen in the
arterial (5.24b) and portal venous (5.24c) phases. On the non-contrast image it is possible to appreciate the slightly
hyperdense rim of material related to the spleen consistent with a subcapsular haematoma. On the arterial phase
images it is possible to make out a splenic artery traumatic pseudoaneurysm (5.24b, arrow), which shows further
contrast filling in the portal venous phase (5.24c, arrowhead). Pseudoaneurysms and active extravasations should be
immediately referred to the interventional radiologist on call for embolisation/coiling of the bleeding vessel.
haematomas can also be seen around the liver and
spleen, appearing as a hypoattenuating crescenteric or
lenticularrimincomparisonwiththeenhancingvisceral
parenchyma(Figures5.25–5.27).Incontradistinctionto
free intra-abdominal fluid or haematoma, subcapsular
haematoma typically causes contour abnormality of the
visceral parenchyma. Major vascular injury, including
transection, dissection and avulsions, can result in end
organ ischaemia and infarction (Figure 5.28). Low
attenuation defects in a wedge shape or corresponding
to a vascular territory should raise suspicion of vascular
injury. Pseudoaneurysms can also occur following
traumatic injury. These appear as rounded, well-
defined hyperattenuating lesions (corresponding to the
density of contrast in the arterial vessels), apparent on
both an arterial and dual phase study. These typically
demonstrate washout of enhancement on the portal
venous phase.
Mesenteric and bowel injury
Injuriestothemesenteryandbowelcanbeverydifficult
to identify on CT imaging and the on-call radiologist
must be vigilant when evaluating imaging in trauma
patients. The consequences of missed injuries include
bowel ischaemia and intra-abdominal sepsis, which
may be life threatening.
(a) (b) (c)
K22247_C005.indd 178 16/05/15 3:11 AM
Trauma imaging 179
Figure 5.25  Axial image: IV contrast enhanced CT
scan of the abdomen in the arterial phase. There is
ill-defined low attenuation in the right posterior liver
consistent with a liver laceration (arrow). Active contrast
extravasation is seen as high attenuation material within
the abnormal region. Subcapsular haematoma is also
noted.
Figure 5.26  Coronal image:
IV contrast enhanced CT scan of
the abdomen in the portal venous
phase. The spleen is lacerated
and demonstrates abnormal
parenchymal enhancement (arrow).
Contained subcapsular splenic
haematoma is also seen.
Figure 5.27  Axial image: IV contrast enhanced CT
scan of the abdomen in the portal venous phase. The
right adrenal gland is thickened and does not enhance
normally when compared with the left adrenal gland.
The appearance is consistent with a right adrenal gland
contusion (arrow).
Figure 5.28  Axial image: IV contrast enhanced CT
scan of the abdomen in the arterial phase. The left renal
artery has been avulsed from its pedicle at the aorta and
can be seen as an irregular contrast blush at its origin
(arrow). There is end organ ischaemia, seen as a non-
enhancing left kidney (arrowhead).
K22247_C005.indd 179 16/05/15 3:11 AM
Chapter 5180
Pelvic injury
Pelvic fractures may occur as a result of blunt traumatic
injuries and, depending on the mechanism of injury,
certain patterns of injury may occur, producing
characteristic fracture patterns. These particular
fractures may result in significant vascular and nerve
damage to local structures and have the potential to
cause significant morbidity. In the presence of pelvic
fractures, it is important to identify and follow the
major pelvic vessels, as these are at risk of injury.
Bladder and urethral injury
Bladder injuries can be broadly divided into two
categories: intraperitoneal or extraperitoneal rupture.
Both types of bladder injury may be seen as a defect
within the bladder wall, in addition to an unusual
or irregular contour of the bladder (Figures 5.30,
5.31a, b). Typically, the bladder may be pear shaped
as a result of external compression of the bladder from
pelvic haematoma. Extraperitoneal bladder rupture
is far more common, and usually occurs as a result of
local bony pelvic injury or direct penetrating injury.
The normal mesentery should be of fatty tissue
density and contain regular, linear vessels that course
through the abdomen towards the bowel. Specific
signs of mesenteric injury include active contrast
extravasation from mesenteric vessels, mesenteric
vascular beading and termination of mesenteric vessels
(Brofman et al., 2006). Less specific signs include
mesenteric infiltration (seen as areas of haziness and
stranding of mesenteric tissue) or focal mesenteric
haematomas. Secondary signs of mesenteric injury
include evidence of bowel ischaemia, such as bowel
wall thickening, abnormal bowel wall enhancement or
pneumatosis.
Direct bowel injuries may be difficult to identify on
CT. Bowel rupture may result in pneumoperitoneum;
as such, all abdominal images should be reviewed on
lung window settings (width 1,600, level 550) in order
to identify locules of free intra-abdominal gas. Other
specific signs of bowel injury include discontinuity of
bowelloopsandextraluminaloralcontrast(Figure 5.29).
These signs are not commonly seen, particularly the
latter, as the requirement to administer oral contrast
prior to CT scanning can cause unacceptable delays in
imaging and therefore diagnosis.
Figure 5.30  Coronal image: IV contrast enhanced
CT scan of the pelvis in the portal venous phase. The
urinary bladder is thickened with an irregular contour
due to blunt abdominal injury. A defect in the wall of the
bladder can be seen at its superior border (arrow). Pelvic
fractures can also be appreciated.
Figure 5.29  Axial image: IV contrast enhanced CT
scan of the abdomen in the portal venous phase. There
are multiple loops of thickened, hyperenhancing bowel
as a result of mesenteric injury, producing a shocked
bowel appearance.
K22247_C005.indd 180 16/05/15 3:11 AM
Trauma imaging 181
Figures 5.31a, b  Axial and coronal images: IV contrast
enhanced CT scans of the abdomen in the portal venous
phase. Intraperitoneal bladder rupture as shown by a
left lateral bladder wall defect with fluid density material
leaking into the abdomen (arrows).
Figure 5.32  Sagittal image: direct CT cystography scan
following intravesical contrast injection. The superior
bladder wall has an abnormal contour with evidence
of contrast leakage seen within the posterior abdomen
(arrow).
Imaging demonstrates contrast extravasation outside
of the peritoneum, usually around the bladder base
and pelvic floor, and remains confined to the pelvis.
Intraperitonealbladderruptureislesscommon,usually
occurring as a result of blunt abdominal injury to a
distendedbladder.Imagingdemonstratesextravasation
of contrast into the peritoneum (Figure 5.32).
Urethral injuries typically occur in straddle injuries
or as a result of pelvic fractures. Clinically, patients
who have blood at the urethral meatus or perineal
bruising may have an underlying urethral injury.
In these cases, retrograde urethrography is advocated
prior to catheterisation (Ramchandani  Buckler,
2009). Urethral injury is seen as irregular contrast
extravasation and pooling outside of the normal
contour of the urethra.
(a)
(b)
K22247_C005.indd 181 16/05/15 3:11 AM
Chapter 5182
MAJOR TRAUMA: SPINE
Injuries to the spine may result in significant
morbidity and mortality and therefore require
careful interpretation when assessing. Unstable
fractures resulting in severe neurological emergencies
require rapid diagnosis and discussion with spinal
surgeons in order to establish the most appropriate
management plan.
Fractures of the spine are relatively commonplace
in the context of trauma. It is important to be able to
describe whether injuries are radiologically stable or
unstable,asthishasimmediateconsequencesforpatient
and staff alike. A practical way of determining the
stability of a fracture is to assess injuries with the three
column approach (Denis, 1983). This method divides
the vertebral body into three columns: anterior, middle
and posterior (Figure 5.33). The anterior column
Key points
•	 Abdominal and pelvic trauma findings can be
complex, but a systematic approach to each area
can help to identify injuries.
•	 Utilise both arterial and portal phase images in
order to assess the vascular tree and solid organs,
respectively.
•	 Consider performing cystography in patients with
suspected bladder injury.
Report checklist
•	 Signs that the patient is in distress.
•	 Presence or absence of active bleeding/contrast
extravasation.
•	 Document the attenuation of any free fluid
– increased density fluid may represent
haemorrhage.
•	 Comment on each organ to assess for injury.
References
Brofman N, Atri M, Epid D et al. (2006) Evaluation
of bowel and mesenteric blunt trauma with multi-
detector CT. Radiographics 26:1119–1131.
Moore EE, Cogbill TH, Malangoni M et al. Scaling
system for organ specific injuries. American
Association for the Surgery of Trauma. www.aast.
org/Library/TraumaTools/InjuryScoringScales.
aspx Accessed on 22nd February 2014.
Ramchandani P, Buckler PM (2009) Imaging of
genitourinary trauma. Am J Roentgenol 192:1514–
1523.
Smith ZA, Wood D (2014) Emergency focused
assessment with sonography in trauma (FAST) and
haemodynamic stability. Emerg Med J 31:273–277.
Online First 10.1136/emermed-2012-202268.
Yoon W, Jeong YY, Kim JK et al. (2005) CT in blunt
trauma. Radiographics 25:87–104.
Figure 5.33  Axial image: unenhanced CT scan of the
cervical spine. Each vertebra can be divided into three
columns. The anterior column encompasses the anterior
two-thirds of the vertebral body including the anterior
longitudinal ligament. The middle column encompasses
the posterior one-third of the vertebral body including
the posterior longitudinal ligament. The posterior
column encompasses the remaining structures including
the pedicles, lamina and spinous processes.
K22247_C005.indd 182 16/05/15 3:11 AM
Trauma imaging 183
evidence of bony injury on CT imaging may still have
significant ligamentous injury, and in these cases MRI
may be indicated.
The majority of the vertebrae within the spine have
a similar anatomical configuration, with the vertebral
body connected to the spinous processes via the lamina.
The exceptions to this are C1 and C2, which are
discussed later.
Radiological investigations
The choice of imaging modality varies across centres,
depending on local specialties and access to imaging.
In general, patients may have plain film imaging as a
first line of investigation, but those who have sustained
significant trauma or who cannot be accurately
assessed clinically may proceed immediately to CT.
This is the modality of choice to assess the bony detail
of the spine; however, soft tissue and ligamentous
structures are poorly assessed. MRI is usually reserved
for patients who may have a suspicion of ligamentous
or spinal cord injuries. (See Table 5.6.)
MODALITY PROTOCOL
CT Helical acquisition with images acquired at
least one vertebral level above and below the
area of interest. Images should be acquired
as thin slices (i.e. 0.625–1.25 mm) with bony
algorithm reconstructions. Images should
be reformatted to include the sagittal and
coronal planes.
MRI Sagittal T1 weighted, T2 weighted, STIR and
axial T2 weighted images through the region
of interest.
Table 5.6  Major trauma: spine. Imaging
­protocol.
Figure 5.34  Axial image: unenhanced CT scan of the
abdomen. There is a minimally displaced fracture of
the right transverse process of the L1 vertebra (arrow).
No other fractures are seen, therefore this is a single
column injury.
comprises the anterior two-thirds of the vertebral body
(to include the anterior longitudinal ligament), the
middlecolumncomprisestheposteriorone-thirdofthe
vertebral body (to include to the posterior longitudinal
ligament) and the posterior column comprises the
posterior elements (pedicles, lamina, spinous process,
ligamentum flavum and interspinous ligaments). With
this approach, injury to a single column is deemed to
be stable (Figure 5.34), while injuries to two or more
columns should be considered as unstable.
Evaluation of the soft tissues is paramount when
assessingthespineforbonyinjury.Significantsofttissue
injury, including damage to the major ligamentous
complexes,canbepresentintheabsenceofbonyinjury.
CTimagingisbothsensitiveandspecificforacutebony
injuriesinvolvingthespine;however,softtissueinjuries
may not be seen. The limits of CT imaging should
thereforebeappreciatedbyboththeradiologistandthe
referring clinician to ensure that radiological findings,
or the lack there of, are interpreted in conjunction with
the clinical examination findings. Patients with no
K22247_C005.indd 183 16/05/15 3:11 AM
Chapter 5184
Radiological findings
Plain films
For patients who have sustained minor trauma, or in
those centres without readily available access to CT
imaging, plain film imaging may be performed as the
initial investigation. Plain film images of any part of the
spine should be acquired in at least two perpendicular
planes. In the cervical spine, a standard trauma series
comprises a lateral view, an AP view and an open
mouth peg view. The thoracic and lumbar spine are
conventionally imaged in the lateral and AP positions.
A systematic approach to assessing the cervical
spine plain film series is paramount to ensure that
subtle pathologies are not missed. The adequacy of the
image should always be assessed initially, as this may
limit the amount of information that can confidently
be given to clinicians. Lateral cervical spine plain film
images should include the C7/T1 vertebral junction.
A swimmer’s view can aid visualisation of the cervical
spine more distally. An open-mouth peg view of the
C1/C2 vertebrae should not have overlying artefact
obscuringtheimage,asthismayresultinapoor-quality,
non-diagnostic study.
Oncetheimagehasbeendeemedadequate,itshould
be scrutinised for signs of injury. Every cortex of each
vertebra should be traced to look for signs of fracture.
Following this, the lateral view should be evaluated
for signs of subluxation or dislocation. An assessment
should also be made of the pre-vertebral soft tissues,
which lie anterior to the vertebra. These should have
a thickness of no more than 5 mm above C4 and
20 mm below C4. The contour of the soft tissues is also
important and should be smooth. Localised bulging of
the soft tissues may suggest underlying pathology.
Thevertebralbodyheightshouldbeassessedonboth
the lateral and AP view. Loss of vertebral body height
may be due to fracture. The spinous processes should
bealignedandcentrallypositionedontheAPview.The
absence of, or an unusually positioned, spinous process
should raise suspicion of a subluxation or dislocation.
The peg view is usually straightforward to review,
providing there is no artefact. The lateral masses
of C1 should be aligned within the C2 facets with
no overhanging; loss of alignment may indicate a
fracture of C1.
A similar approach to the thoracic and lumbar spines
may be adopted. Careful evaluation of the vertebral
body height and cortices can help to identify fractures,
in addition to changes in alignment and displacement
of bony structures.
In elderly patients, pre-existing degenerative
changes can make it impossible to confidently exclude
an underlying fracture. In these situations, it is always
advisable to assess further with CT imaging.
Computed tomography
In major trauma patients, CT is often the first-line
imagingmodalityofchoiceforthespine.Thesensitivity
of identifying bony injury is far greater than with plain
film imaging. However, the large number of images
can make it easy to miss pathology. The cervical spine
should be visualised in axial, sagittal and coronal planes;
fracturesinasingleplanemaybeeasytooverlook.Many
picture archiving and communication systems (PACSs)
allow the on-call radiologist to perform multiplanar
reformats of images at the reporting workstation.
The same principles apply to the evaluation of
CT imaging as are used in the assessment of plain
film imaging. They should be carefully examined
for evidence of cortical disruption, loss of height and
alignment in order to identify underlying injury. It
is important to clearly state whether injuries appear
stableorunstabledependingonthenumberofcolumns
involvedintheinjury.Inadditiontothis,anysignificant
misalignment or retropulsion of bony fragments
into the spinal canal should be communicated to the
referring team, as this may require urgent surgical
intervention.
While most fractures are readily identifiable
on CT imaging, there is a spectrum of more
subtle abnormalities that can indicate a significant
underlying injury. Such findings include widening
of a single disc space, widening of facet joints and
widening of a single interspinous distance. These
findings may indicate underlying ligamentous or soft
tissue injury.
An apparently normal CT study does not exclude
underlying ligamentous injury; this should always be
emphasised to the referring team. The radiological
findings should always be correlated with the clinical
K22247_C005.indd 184 16/05/15 3:11 AM
Trauma imaging 185
STIR imaging. It is therefore important to scrutinise
T1 images for any evidence of traumatic haematoma
both within and outside the spine, as this may result in
spinal cord compression.
Examples of spinal fractures
Jefferson fracture
This describes an unstable burst fracture of the C1
vertebra. It occurs as a result of a significant axial load
type injury (e.g. diving injury). Radiologically, the
fracture can be seen on an open-mouth peg view as
lateral displacement of the lateral masses away from the
odontoid peg. On CT imaging, the fracture appears as
a disrupted ring in comparison with the normally intact
vertebra (Figure 5.35). This is considered an unstable
injury.
examination findings; if there is a discrepancy between
the two, an MRI scan should be considered to assess for
an underlying soft tissue injury. Radiological clearance
ofthespinemaybereassuringtoclinicians,butitshould
not replace the clinical examination findings. As with
plain film imaging, significant degenerative changes
may make it difficult to fully exclude underlying bony
injury, even on CT imaging. Depending on the index
of suspicion of injury, in these cases further assessment
with MRI may by prudent.
Magnetic resonance imaging
Definitive assessment of the spinal cord and
ligamentousstructuresisperformedwithMRI.Patients
with suspected spinal injuries with neurological deficits
benefit from early scanning and spinal surgical input,
which can prevent lasting damage. In all patients, an
assessment of the spinal cord and canal should be made
to identify any evidence of spinal cord compression
(see Chapter 3: Neurology and non-traumatic spinal
imaging, Spinal cord compression and cauda equina
syndrome). This is best performed on T2 weighted
axial and sagittal imaging.
In trauma patients, it is prudent to perform STIR
imaging to assess for bone marrow and soft tissue
oedema. In the context of trauma, underlying bone
marrow oedema is suggestive of fracture, although the
precise morphology of the fracture is better assessed
with CT imaging. The presence of oedema within the
ligaments is important in assessing the stability of an
injury. Typically, injury to the interspinous ligaments
is inferred by the presence of oedema within these
tissues on STIR imaging. Assessment of the anterior
andposteriorlongitudinalligamentsisbestappreciated
on T2 and STIR imaging; ligaments should appear as
a continuous low signal structure. Any focal defect or
signal change in the ligament is suggestive of injury.
T1 weighted images also have a role in assessing
injured patients. Acute haematoma appear as high
signal on T1 images and do not suppress signal on
Figure 5.35  Axial image: unenhanced CT scan of the
cervical spine. There is a comminuted, burst fracture
of the C1 vertebra, with fractures seen through the
anterior arch and left posterior arch.
K22247_C005.indd 185 16/05/15 3:11 AM
Chapter 5186
Odontoid peg fractures
Peg fractures can be classified depending on the site
of fracture (Figure 5.36). Fractures are usually visible
on lateral cervical spine plain film images as a lucent
lineextendingthroughtheodontoidprocess.Similarly,
Figure 5.37  Sagittal image: unenhanced CT scan
of the cervical spine. There is a type 1 odontoid peg
fracture with minimal displacement of the fracture
fragment. There is no retropulsion into the spinal canal.
Figure 5.36  The differing well-recognised
configurations of odontoid peg fractures. Type 1
fractures involve the tip of the odontoid process only.
Type 2 fractures involve the base of the odontoid
process but do not extend into the vertebral body. Type
3 fractures involve the base of the odontoid process and
extend into the vertebral body.
on CT imaging fractures are seen as cortical breaks
through the peg resulting in separation from the
vertebral body (Figure 5.37).
Flexion teardrop fracture
This is a severe, unstable injury that can result in
significant morbidity. The injury occurs as a result of
a flexion and compression injury, causing shearing of
the anteroinferior corner of the vertebral body. The
injury also results in subluxation of the facet joints and
displacement of the vertebral body with three column
ligamentous disruption. This may result in spinal cord
compression. The injury should not be confused with
an extension teardrop fracture, which can be seen as an
avulsion injury from the anterioinferior corner of the
vertebral body; however, no other features of vertebral
fracture or compression are present.
Type 1
Type 2
Type 3
K22247_C005.indd 186 16/05/15 3:11 AM
Trauma imaging 187
(Figure 5.38a) and CT imaging (Figure 5.38b) typically
shows anterolisthesis at the level of dislocation on the
lateral view, less than 25% of the width of the vertebral
body. In bilateral facet dislocations, the affected level
is shown as ‘perched’ facets, with anterolisthesis of
25% at the affected level. Bilateral injuries may result
Facet joint dislocation
Rotational flexion injuries of the cervical spine may
result in unilateral or bilateral facet joint subluxation
or dislocation. Unilateral injuries are stable but
bilateral injuries should be treated as unstable. In
unilateral facet dislocation, cervical spine plain film
Figures 5.38a, b  Lateral cervical spine radiograph (5.38a) and parasagittal CT image (5.38b) of the cervical spine.
The lateral cervical spine radiograph demonstrates an abnormal step between C5 and C6 along the anterior margin
of the vertebral bodies. The CT scan of the same patient demonstrates a C5/6 facet joint dislocation with loss of the
normal articulation and a typical ‘perched’ facet appearance (arrow).
(a)
(b)
K22247_C005.indd 187 16/05/15 3:11 AM
Chapter 5188
in ligamentous injury affecting all three columns
(Figure 5.39).
Burst fracture
Burst fractures typically occur in the thoracolumbar
spine as a result of significant axial loading type
Figure 5.40  Lateral lumbar spine radiograph. The
L2 vertebral body is abnormal, with loss of height
and irregular margins as a result of a burst fracture.
Sclerotic areas within the vertebral body are due to
areas of impaction. There is mild retropulsion of the
fragments into the spinal canal. A further fracture can
be seen involving the anterosuperior corner of the
L5 vertebral body.
Figure 5.39  Sagittal image: STIR sequence MR image
of the cervical spine. The normal low signal anterior
longitudinal ligament is not visible anterior to the
C5/C6 intervertebral disc. The posterior longitudinal
ligament is also disrupted and can be seen as an
irregular structure within the spinal canal (arrow). High
signal changes can be seen in the C5/C6 interspinous
ligaments posteriorly, also consistent with ligamentous
disruption (arrowhead). The appearance therefore
suggests three-column ligamentous disruption.
injuries. These are unstable, three column injuries. On
plain film imaging, the injuries are seen as irregular,
comminuted fractures involving the vertebral body
(Figure5.40).Typically,thereisretropulsionoffracture
fragments into the spinal canal, which may cause cord
compression (Figure 5.41).
K22247_C005.indd 188 16/05/15 3:11 AM
Trauma imaging 189
Report checklist
•	 Document the number of columns involved and
therefore the radiological stability of injuries.
•	 Presence or absence of any evidence of spinal cord
compromise (e.g. bony retropulsion, epidural
haematoma, cord injury).
Reference
Denis F (1983) The three column spine and
its significance in the classification of acute
thoracolumbar spinal injuries. Spine 8:817–831.
Key points
•	 Assessment of spinal injuries may involve plain
film, CT and MRI.
•	 Apparently normal plain film or CT imaging does
not exclude spinal injuries and clinical examination
findings play a crucial role in identifying soft
tissue injuries. In cases of suspected soft tissue or
ligamentous injury, further assessment with MRI
is indicated.
Figure 5.41  Sagittal image: unenhanced CT scan
of the lumbar spine. Multiple fractures can be seen
involving the L1–L3 vertebrae. The L1 vertebra has
multiple fractures involving the anterior and middle
columns, with retropulsion of fragments into the
spinal canal. Further fractures can be seen involving
the anterosuperior corners of the L2 and L3 vertebral
bodies.
K22247_C005.indd 189 16/05/15 3:11 AM
K22247_C005.indd 190 16/05/15 3:11 AM
191
Chapter 6
INTERVENTIONAL AND ­VASCULAR
IMAGING AND IATROGENIC
­COMPLICATIONS
ACUTE ARTERIAL ISCHAEMIA
Acute arterial occlusion in an extremity must be treated
as a medical/surgical emergency as there is not only
danger to the limb, but also to the life of the patient.
Generally this condition occurs in elderly patients with
multiple comorbidities.
Acute arterial occlusion can be the result of a
proximal embolus lodging in a more distal vessel,
acute thrombosis of a previously patent artery, acute
thrombosis of a stent or graft, dissection of an artery or
direct trauma to an artery.
The most common source of embolism is the heart;
for example, from thrombus within an LV aneurysm
(Figure 6.1) or secondary to arrhythmias. Arterio-
arterial emboli can arise from aneurysms or from
non-occlusive, ulcerated atheromatous plaques. Acute
in-situ thrombosis occurs mostly at sites of stenotic
arteriosclerotic lesions. Other causes of arterial
thrombosis include ­pro-thrombotic states such as
recent trauma/surgery, pregnancy, cancer, reversal of
anticoagulation,nephroticsyndromeandinflammatory
bowel disease.
Presentation with acute arterial ischaemia is most
commonly seen in the lower limbs and characterised
by ‘the 6 P’s: pain, pallor, pulselessness, paraesthesia,
paralysisandpoikilothermia(i.e.coldness).Paraesthesia
and paralysis imply irreversible ischaemia, and muscle
rigidity is a sign of a non-salvageable limb.
With acute occlusion of central blood vessels such
as the aorta, iliac or femoral arteries, there is complete
ischaemia with onset of rhabdomyolysis after four to
six hours; this can lead to severe local and generalised
symptoms because of the dangerous metabolites
released.
Radiological investigations
Ultrasoundcanbeusedfortheassessmentofperipheral
arterial flow, especially in the arms and legs. Doppler
or duplex scanning can assess arterial flow patterns to
assess for thrombosis. In the acute setting, however,
the availability of expertise in duplex scanning is
relatively rare.
Figure 6.1  Axial image: IV contrast enhanced CT scan
of the chest in the arterial phase. The non-enhancing
filling defect (arrow) in the left ventricle is ­consistent
with LV thrombus. There is thinning of the LV
­myocardium at the apex due to a previous infarct.
K22247_C006.indd 191 16/05/15 3:12 AM
Chapter 6192
Figure 6.2  Axial image: IV contrast enhanced CT scan
of the lower limbs in the arterial phase. The lumen of
the right superficial femoral artery does not opacify
with contrast, while the corresponding artery on the
left does. No collateral vessels are seen around the right
superficial femoral artery, suggesting acute arterial
thrombosis.
Figure 6.3  Axial image: IV contrast enhanced CT scan
of the pelvis in the arterial phase. An intraluminal filling
defect can be seen in the right common iliac artery
(arrow). A small amount of peripheral enhancement is
seen around the periphery of the occluded vessel.
MODALITY PROTOCOL
CT Angiogram: 100 ml IV contrast via 18G
cannula, 4 ml/sec. Bolus track centred on
the descending thoracic aorta (if assessing
lower limbs)/centre on ascending aorta (for
upper limbs). Scan from just above aortic
arch to ankles for lower limbs or C2 to hands
depending on side.
Table 6.1 Acute arterial ischaemia.
­Imaging  protocol.
CTA is the imaging modality of choice in the acute
setting to assess the vasculature for acute arterial
thrombosis or embolus. The protocol varies depending
on whether the lower or upper limbs are affected.
(See Table 6.1.)
Radiological findings
Computed tomography
A good CTA enables the radiologist to fully assess the
arterial tree; however, windowing may be useful to
reduce the glare from the bright contrast within the
vessel and therefore allow more accurate assessment.
The blood vessels must be carefully scrutinised from a
proximal to distal direction.
It is important to first assess the heart for valve
abnormalities, such as vegetation or thrombus within
any of the cardiac chambers. The whole aorta should
then be assessed for the presence of any aneurysms.
If an aneurysm is present, comment should be made as
to the amount of intramural thrombus and also as to
whether there is any leak.
All the major vessels should be assessed carefully
in a systematic fashion, one side at a time. Features
suggestive of acute arterial occlusion are an abrupt
cut-off of the arterial opacification, with a lack of
surrounding collaterals (Figure 6.2). In the acute
thrombosis, the presence of clot leads to a smooth but
abrupt cut-off. The affected arteries may be expanded
with clot and may show subtle peripheral enhancement
(Figure 6.3).
K22247_C006.indd 192 16/05/15 3:12 AM
Interventional and ­vascular imaging and iatrogenic ­complications 193
IATROGENIC COMPLICATIONS
Iatrogenic complications of medical interventions are
relatively commonplace and occur across many facets
of medical practice. These may be related to routine
procedures that may have minimal clinical significance
to the patient (e.g. bruising following venepuncture),
but can also have significant and potentially life-
threatening consequences for patients. Some of these
are particularly pertinent to radiologists either because
of the frequency of errors that may be avoided by
thorough radiological interpretation or because they
may be may be related to common interventional
radiologyprocedures.Thefollowingsectionhighlights
some of the commonest complications that may be
encountered.
NASOGASTRIC TUBE MISPLACEMENT
ReducingtheharmcausedbymisplacedNG tubeswasa
Patient Safety Alert published by The National Patient
SafetyAgency(NPSA)in2005.InthereporttheNPSA
provided guidance for checking and confirming that an
NG tube had been inserted into the correct place (i.e.
the stomach). After placement, an NG tube is aspirated
and the aspirate tested on litmus paper to confirm that
it is acidic (i.e. gastric aspirate).
Inpatientswhoaresedated,haveapoorcoughreflex,
are intubated or agitated there is increased risk of tube
misplacement. This can lead to severe complications
such as pneumonia, pneumothorax, empyema and
pulmonary haemorrhage.
It is useful to assess the vessels using multiplanar
reformats. The length, extent and number of vessels
involved should be reported. Distal filling and
quality of blood vessels beyond the occlusion should
be commented on as these have implications for
management. Treatment is either by vascular surgery
or interventional radiology.
It is often difficult to distinguish between acute
and chronic occlusions; however, the clinical history
should be noted, as this is a key factor in deciding
between the two. The presence of collateral vessels can
imply chronicity.
Arterial thrombus may be present in central vessels
in patients with pro-thrombotic states. Careful
assessment of the aorta and its branches is important
as well as assessment of visceral enhancement of bowel,
kidneys, etc.
Key points
•	 Where patients present with the 6 P’s, there is
limited time to salvage the leg. There should be
no delays in organising a CTA for these patients in
order to assess the arterial tree.
•	 A systematic approach is always best when
assessing vasculature; this can be proximal to distal
and one side then the other. Coronal reformats
can be very useful.
•	 Acute thrombus results in a smooth, abrupt
cut-off of the arterial opacification with a
lack of collaterals. The affected vessel may
be expanded and show some peripheral
enhancement.
Report checklist
•	 The quality of vessels proximal and distal to
any occlusion; whether they are patent and/or
how good they are. This has implications for
management options such as bypass/thrombolysis.
•	 Degree of collateralisation.
•	 Recommend urgent vascular surgical opinion.
K22247_C006.indd 193 16/05/15 3:12 AM
Chapter 6194
Figure 6.5  PA chest radiograph. A nasogastric tube
is seen passing into the right lower lobe bronchus and
coiled in the right lower zone. An endotrached tube is
also sited.
Figure 6.4  PA chest radiograph. A nasogastric tube is
seen passing centrally and coursing to the left under the
left hemidiaphragm. A tunnelled left-sided central line is
also noted.
Radiological investigations
Plainfilmimagingofthechestisusuallyadequatewhere
aspiration is not possible or there is concern regarding
the position of the NG tube tip. (See Table 6.2.)
Radiological findings
Plain films
NG tubes vary in type and opacity. Some tubes are
opaque throughout their length, whereas some only
havearadiopaquetip.AnormalNGtubeshouldcourse
centrally through the thorax and lie with the tip below
the left hemidiaphragm (Figure 6.4). NG tubes that
do not follow this path may be within a bronchus or
coiled in the oesophagus (Figures 6.5–6.7). Particular
attention should be paid to whether the path of the
NG tube projects over the right or left main bronchi.
Suspicion of an NG tube within the lungs should be
urgently discussed with the referring team. If the NG
tube is projected in the midline below the carina but
not in the stomach (i.e. distal oesophagus), it can be
suggested that the tube is advanced a further 5–10 cm
prior to use.
If the NG tube tip cannot be seen clearly, a small
volume of water soluble contrast (e.g. Gastromiro) can
be injected through the tube and then re-imaged to
confirm the tip position.
Key points
•	 NG tubes should normally descend centrally
though the thorax, with the tip seen below the left
hemidiaphragm.
•	 Misplaced NG tubes should be communicated
to the clinical team in order to prevent
inappropriate use.
Table 6.2 Nasogastric tube misplacement.
­Imaging protocol.
MODALITY PROTOCOL
Plain film
imaging
PA CXR to include the diaphragm. Water
­soluble contrast may be injected through
the nasogastric tube if the line tip is not
radiopaque.
K22247_C006.indd 194 16/05/15 3:12 AM
Interventional and ­vascular imaging and iatrogenic ­complications 195
Figure 6.6  PA chest radiograph. A nasogastric tube is
seen passing into the left lower lobe bronchus. There is
evidence of a left lower lobe pneumonia.
Figure 6.7  Axial image: IV contrast enhanced CT
scan of the thorax, which shows a significant left
lower lobe pneumonia with a left lower lobe abscess,
­secondary to feeding via an incorrectly sited nasogastric
tube (removed prior to imaging).
ENDOTRACHEAL TUBE MISPLACEMENT
A misplaced ET tube is a relatively common
complication that is detected on post-intubation
radiographs. If undetected, it can lead to respiratory
complications and unnecessary morbidity and
mortality. If the ET tube is too high, it can rub against
the vocal cords and cause damage; if too low, it can
selectively intubate the right or left bronchus, causing
collapse of the contralateral lung.
Table 6.3 Endotracheal tube misplacement.
Imaging protocol.
MODALITY PROTOCOL
Plain film imaging PA chest X-ray to include the
diaphragm.
Radiological investigations
Plain film imaging of the chest should be performed in
all patients who have undergone ET tube placement.
(See Table 6.3.)
K22247_C006.indd 195 16/05/15 3:12 AM
Chapter 6196
This is seen as dense opacification of the collapsed lung
with volume loss, and mediastinal shift towards the
collapsed lung.
If the oesophagus has been intubated in error,
gaseous distension of the stomach will be noted, with
reduced lung volumes.
Key points
•	 A normal ET tube tip should lie 3–5 cm above the
carina.
•	 Intubation of a main bronchus can cause
significant morbidity and the clinical team should
be informed as a matter of urgency.
Radiological findings
Plain films
A correctly placed ET tube tube should be seen in the
midlinewiththetiplying3–5cmabovethecarina.Even
when the carina is not visible, it can be assumed that
a tip position overlying T3/T4 is safe. There can be
considerable movement of the ET tube tip depending
on the position of the neck, so accurate positioning can
be difficult to determine.
MisplacementoftheETtube,eithertooloworhigh,
should be communicated immediately to the clinical
team. If too low, there may be selective intubation of
the right or left main bronchus, with corresponding
collapse of the contralateral lung (Figures 6.8, 6.9).
Figure 6.9  PA chest radiograph. The endotracheal tube
in the same patient as in Figure 6.8 has been ­withdrawn
to lie within the trachea and the left lung can be seen to
have ­re-expanded.
Figure 6.8  PA chest radiograph. An endotracheal tube
is seen in the right main bronchus with almost complete
collapse of the left lung.
K22247_C006.indd 196 16/05/15 3:12 AM
Interventional and ­vascular imaging and iatrogenic ­complications 197
ENDOVASCULAR STENT ENDOLEAK
An endoleak is characterised by persistent blood
flow within an aneurysm sac following endovascular
aneurysm repair (EVAR). Normally, the aortic stent-
graft used for EVAR excludes the aneurysm from
the circulation by providing a conduit for blood to
bypass the sac. Endoleaks are a common complication
of EVAR and are found in 30–40% of patients
intraoperatively (seen on the on-table angiogram after
stent deployment) and in 20–40% during follow-up
CTA imaging (Stavropoulos  Charagundla, 2007).
Endoleaks are often asymptomatic; however, they
are significant as flow within the aneurysm sac is at
high pressure and if untreated, the aneurysm sac
may expand, leading to eventual rupture. As such,
aneurysm expansion following EVAR always warrants
investigation for endoleak. The causes of endoleak can
be classified into five types (Table 6.4).
Type I: Leak at graft attachment site:
•	 Ia: proximal.
•	 Ib: distal.
Type II: Aneurysm sac filling via branch vessel:
•	 IIa: single vessel.
•	 IIb: two vessels or more.
Type III: Leak through defect in graft:
•	 IIIa: junctional separation of the modular components.
•	 IIIb: fractures or holes involving the endograft.
Type IV: Leak through graft fabric as a result of graft porosity.
Type V: Continued expansion of aneurysm sac without
­demonstrable leak on imaging (endotension).
Table 6.4  Classification of endoleaks.
Table 6.5 Endovascular stent endoleak.
­Imaging protocol.
MODALITY PROTOCOL
CT Unenhanced. No oral contrast. Scan from
just above diaphragm to the femoral heads.
If a thoracic aortic endovascular stent
­endoleak is suspected, coverage of the
thorax may suffice.
Aortic angiogram: 100 ml IV contrast
via 18G cannula, 4 ml/sec. Bolus track
­centred on mid-abdominal aorta. Scan from
just above ­diaphragm to femoral heads.
If a ­thoracic aortic endovascular stent
­endoleak is ­suspected, coverage of the
thorax may suffice.
Radiological investigations
Ultrasound is usually used as a follow-up imaging
modality to assess sac size and to check for the presence
of an endoleak. It can also be used in the acute setting,
but views may be limited as the quality of the images is
user dependent.
In the acute setting, the most accurate modality is
CT.Thisenablestheradiologisttoaccuratelyassessthe
sac size, confirm and characterise the endoleak as well
as check for a leaking aneurysm. (See Table 6.5.)
Radiological findings
Computed tomography
Baseline non-contrast CT imaging of the aorta is
necessary to establish a baseline density within the
aneurysm sac. Sometimes, the presence of calcification
can mimic contrast and therefore alter the image
interpretation.
K22247_C006.indd 197 16/05/15 3:12 AM
Chapter 6198
Key points
•	 Unenhanced CT is very important in order to
compare areas of high attenuation within the
aneurysm sac on follow-up contrast enhanced
imaging.
•	 Type 2 endoleaks can usually be traced back to
a collateral vessel, usually a branch of a lumbar
artery or inferior mesenteric branch.
Reference
Stavropoulos SW, Charagundla SR (2007) Imaging
techniques for detection and management of endoleaks
after endovascular aortic aneurysm repair. Radiology
243:641–55.
CTA in an endoleak classically demonstrates high
attenuation (representing leaking contrast) external to
the stent in the aneurysm sac, which is not present
in the unenhanced phase. This may be seen adjacent
to the proximal end of the graft (Type 1) (Figure 6.10)
or at the junctional zones of the graft (Type 3) (Figures
6.11, 6.12).
The most common type of endoleak (Type 2) is
seen as focal areas of high density within the aneurysm
sac (Figure 6.13). Often the origin can be traced to a
vessel entering the sac. The vessels are usually lumbar
or inferior mesenteric collaterals in the case of EVAR.
On detecting an endoleak, findings should be
communicated to the vascular surgical team. A variety
of treatment options are available depending on the
type and size of the endoleak.
Figure 6.11  Axial image: IV contrast enhanced CT
scan of the thorax in the arterial phase. Contrast is seen
in the aneurysm sac at the mid aspect of the covered
stent (arrow). This was not present on the plain scan and
the features are in keeping with a Type 3 endoleak.
Figure 6.10  Axial image: IV contrast enhanced CT
scan of the abdomen in the arterial phase. Contrast is
seen in the aneurysm sac at the proximal aspect of the
graft (arrow). This was not present on the plain scan and
the features are in keeping with a Type 1 endoleak.
K22247_C006.indd 198 16/05/15 3:12 AM
Interventional and ­vascular imaging and iatrogenic ­complications 199
COMPLICATIONS OF COMMON
FEMORAL ARTERY PUNCTURE
Common femoral artery (CFA) puncture is frequently
performed by interventional radiologists (IRs),
cardiologists and neurointerventional radiologists.
Arterial puncture site complications include
haematoma, dissection, thrombosis, arteriovenous
fistula and pseudoaneurysm. Although rare, puncture
site injuries may cause serious sequelae and can lead to
death.
The most common complication following CFA
puncture is haematoma. This is usually caused by a
puncture that is too high (above the inguinal ligament)
or too low (below the femoral head). Haematomas
may also result from a failure of adequate compression
after sheath removal or failure of endovascular closure
devices.Haematomascanbeofvaryingsizes;punctures
above the inguinal ligament are difficult to compress
after removal of sheaths and often lead to large
retroperitoneal haematomas. These can continue to
bleed and patients often present with flank or lower
abdominal swelling/bruising as well as signs and
symptoms of shock. Punctures that are too low can lead
to haematomas extending into the thigh.
The second most common complication
of CFA puncture is pseudoaneurysm formation.
A pseudoaneurysm is defined as an arterial
wall disruption in which an extravascular cavity
communicates with the vessel lumen but is contained
by surrounding haematoma or adjacent tissues. CFA
pseudoaneurysms are more common in punctures
that are below the femoral head. Patients often
present days after CFA puncture with a large or
expanding pulsatile groin swelling. They may also
present with signs and symptoms of shock as well as
a reduced haemoglobin level.
Radiological investigations
Ultrasound and Doppler ultrasound of the groin is a
very useful first-line imaging method to assess for CFA
puncture complications. The groin and femoral vessels
are usually very easy to see on ultrasound. If ultrasound
fails to detect any abnormality and there is ongoing
Figure 6.12  Axial image: IV contrast enhanced CT
scan of the abdomen in the arterial phase. Contrast is
seen in the aneurysm sac at the mid aspect of the graft
(arrow). This is in keeping with a Type 3 endoleak.
Figure 6.13  Axial image: IV contrast enhanced CT
scan of the abdomen in the arterial phase. Contrast
is seen in the aneurysm sac at the periphery on the
right. A vessel can be seen superiorly adjacent to the
sac, which is a branch of the inferior mesenteric artery.
The ­features are in keeping with a Type 2 endoleak.
K22247_C006.indd 199 16/05/15 3:12 AM
Chapter 6200
Table 6.6 Complications of common femoral
artery puncture. Imaging protocol.
MODALITY PROTOCOL
CT Unenhanced. No oral contrast. Scan from just
above the diaphragm to below the femoral
heads.
Aortic angiogram: 100 ml IV contrast via 18G
cannula, 4 ml/sec. Bolus track centred on
mid-abdominal aorta. No oral contrast. Scan
from the diaphragm to below the femoral
heads.
Delayed phase: IV contrast as above, scan at
120 seconds after start of contrast injection.
Scan from the diaphragm to the femoral
heads.
Ultrasound High frequency linear probe (e.g. 6–9 MHz)
with use of colour Doppler imaging.
clinical concern, further evaluation with CTA may be
helpful. This can help to delineate vascular anatomy
as well as identify focal areas of active haemorrhage.
(See Table 6.6.)
Radiological findings
Ultrasound
Ultrasound of the affected groin should be performed
with a linear transducer. First, the CFA should be
identified and assessed for patency. Colour Doppler
flow and signal should be assessed for normal arterial
waveforms. The same should then be carried out
for the superficial femoral artery, profunda femoris
artery and the visible external iliac vessel. The arteries
should be assessed in longitudinal and transverse
planes. Any focal outpouchings containing flow and/
or discontinuity of the vessel wall must be considered
a pseudoaneurysm. The size of the pseudoaneurysm
must be measured as well as the neck of the aneurysm,
Figure 6.14  Ultrasonogram showing a mixed
­echogenicity mass in the upper thigh consistent with an
evolving haematoma.
as both these factors play a role in deciding treatment
options.
Following this, the soft tissues surrounding the
blood vessels should be assessed for haematoma. The
ultrasound features for haematoma are non-specific,
and usually appear as hypo- or mixed echoic areas,
which have variable definition (Figure 6.14). These
should be assessed for colour Doppler flow, to look for
active bleeding.
Computed tomography
CT assessment for CFA puncture complications is
reserved for cases where patients are unstable and/or
ultrasound fails to provide a diagnosis. Unenhanced
CT should be performed in the first instance. This
not only provides a baseline image for comparison,
but it can detect haematomas in the soft tissues and
retroperitoneum. Retroperitoneal haematomas on CT
appear either as linear streaky opacities in the fat or
K22247_C006.indd 200 16/05/15 3:12 AM
Interventional and ­vascular imaging and iatrogenic ­complications 201
Figure 6.15  Axial image: IV contrast enhanced CT
scan of the pelvis in the arterial phase. Contrast is seen
in the right common femoral artery with a thin track of
contrast extending superiorly into a focal collection of
contrast. This area was not present on plain imaging and
showed wash out on subsequent delayed imaging. The
features are in keeping with a right common femoral
artery pseudoaneurysm.
as well-defined high attenuating soft tissue masses or
collections.
It is important to perform an arterial phase study if
the plain scan confirms a retroperitoneal haematoma.
This allows for assessment of active arterial bleeding,
which is seen as an ill-defined high attenuation blush
of contrast adjacent to the blood vessel or within the
collections. Delayed phase imaging often shows an
increase in the high attenuation area, in keeping with
haemorrhage. If active bleeding is detected, urgent
discussion with the clinical team is necessary.
Pseudoaneurysms can also be seen on CT, although
most can be detected on ultrasound. Pseudoaneurysms
are seen as a focal contrast-filled outpouching of the
artery in the arterial phase. In the portal venous phase,
these outpouchings show a washout of contrast, which
is diagnostic of pseudoaneurysms. There is often
surrounding haematoma and or/inflammatory change
(Figure 6.15).
Key points
•	 A combination of ultrasound and CT imaging
should be utilised to identify common
complications of CFA puncture.
•	 In unstable patients, triple-phase CT is a useful
method to characterise the puncture site.
K22247_C006.indd 201 16/05/15 3:12 AM
K22247_C006.indd 202 16/05/15 3:12 AM
203
Appendix 1
CRITERIA FOR PERFORMING A CT
HEAD SCAN
[1] For adults who have sustained a head injury and have any of the following risk factors, perform a
CT head scan within 1 hour of the risk factor being identified:
•	 GCS less than 13 on initial assessment in the emergency department.
•	 GCS less than 15 at 2 hours after the injury on assessment in the emergency department.
•	 Suspected open or depressed skull fracture.
•	 Any sign of basal skull fracture (haemotympanum, ‘panda’ eyes, cerebrospinal fluid leakage from the
ear or nose, Battle’s sign).
•	 Post-traumatic seizure.
•	 Focal neurological deficit.
•	 More than 1 episode of vomiting.
•	 A provisional written radiology report should be made available within 1 hour of the scan being
performed.
[2] For children who have sustained a head injury and have any of the following risk factors, perform
a CT head scan within 1 hour of the risk factor being identified:
•	 Suspicion of non-accidental injury.
•	 Post-traumatic seizure but no history of epilepsy.
•	 On initial emergency department assessment, GCS less than 14, or for children under 1 year GCS
(paediatric) less than 15.
•	 At 2 hours after the injury, GCS less than 15.
•	 Suspected open or depressed skull fracture or tense fontanelle.
•	 Any sign of basal skull fracture (haemotympanum, ‘panda’ eyes, cerebrospinal fluid leakage from
the ear or nose, Battle’s sign).
•	 Focal neurological deficit.
•	 For children under 1 year, presence of bruise, swelling or laceration of more than 5 cm on the head.
•	 A provisional written radiology report should be made available within 1 hour of the scan being
performed.
[3] For children who have sustained a head injury and have more than one of the following risk factors
(and none of those listed under [2] above), perform a CT head scan within 1 hour of the risk factors
being identified:
•	 Loss of consciousness lasting more than 5 minutes (witnessed).
•	 Abnormal drowsiness.
•	 Three or more discrete episodes of vomiting.
•	 Dangerous mechanism of injury (high-speed road traffic accident either as pedestrian, cyclist or vehicle
occupant, fall from a height of greater than 3 metres, high-speed injury from a projectile or other
object).
K22247_Appendix I.indd 203 16/05/15 3:15 AM
Appendix 1204
•	 Amnesia (antegrade or retrograde) lasting more than 5 minutes.
•	 A provisional written radiology report should be made available within 1 hour of the scan being
performed.
[4] Children who have sustained a head injury and have only 1 of the risk factors listed under [3]
above (and none of those listed under [2] above) should be observed for a minimum of 4 hours after
the head injury. If during observation any of the risk factors below are identified, perform a CT head
scan within 1 hour:
•	 GCS less than 15.
•	 Further vomiting.
•	 A further episode of abnormal drowsiness.
•	 A provisional written radiology report should be made available within 1 hour of the scan being
performed. If none of these risk factors occur during observation, use clinical judgement to determine
whether a longer period of observation is needed.
GCS = Glasgow Coma Score
From National Institute for Health and Care Excellence (2014) CG 176 Head injury. Triage, assessment,
investigation and early management of head injury in children, young people and adults. Manchester: NICE.
Available from www.nice.org.uk/CG176. With permission.
K22247_Appendix I.indd 204 16/05/15 3:15 AM
205
Appendix 2
STANDARDS OF PRACTICE AND
GUIDANCE FOR TRAUMA RADIOLOGY
IN SEVERELY INJURED PATIENTS
Standardsofpracticeandguidancefortraumaradiology
in severely injured patients. (Taken from The Royal
College of Radiologists (2011) Standards of Practice
and Guidance for Trauma Radiology in Severely Injured
Patients. Royal College of Radiologists, London, with
permission.)
INTRODUCTION
This standards of practice guideline is intended to
complement the recently published NHS report,
Regional Networks for Major Trauma,2 to which
Fellows of The Royal College of Radiologists (RCR)
contributed through the NHS Clinical Advisory
Group’s(CAG)ReportonRegionalTraumaNetworks.
These standards of practice are written with the
support of the National Clinical Director for Trauma
Care under whose leadership the NHS CAG report
was developed. These standards and guidelines should
be read in conjunction with the NHS CAG publication
which states the definitions and principles on which
these are based.
Although the report is to be actioned by the NHS
in England, a similar standard of care is appropriate
in managing severely injured patients in other parts of
the UK.
The purpose of this publication is, therefore, to
set standards related to diagnostic and interventional
radiology for use by major trauma centres (MTCs) and
trauma units (TUs) relating to:
•	 How diagnostic imaging and interventional
radiology services should be provided and used in
the management of the severely injured patient
•	 When diagnostic imaging and interventional
radiology are appropriate and when they are
contraindicated
•	 What quality indicators can be used in the
provision of diagnostic imaging and interventional
radiology for trauma
•	 The provision of protocols for imaging and
reporting that can be adapted according to
loco-regional service requirements and equipment.
The standards reflect consensus opinion based on
available evidence and best existing practice. As stated,
they are intended for local and regional consideration
for adoption and adaptation according to current and
future resources.
They are based on the principle that the care
provided to the trauma patient in the first few hours
can be absolutely critical in terms of predicting
longer-term recovery and that good trauma care
involves getting the patient to the right place at the
right time for the right treatment. The standards
also recognise that in the overall management
of the severely injured patient, from roadside to
rehabilitation, diagnostic and therapeutic radiology
plays a pivotal role but is but a small part of the whole
management process.
The standards will deal largely but not exclusively
with the severely injured patient (SIP) following
major trauma. NHS Choices defines major trauma as
‘multiple, serious injuries that could result in death or
serious disability’.3 These might include serious head
injuries, severe gunshot wounds, falls, crush injuries
or road traffic accidents. Major trauma is defined in
the scientific literature using the Injury Severity Score
(ISS).4 The ISS is an anatomical scoring system derived
from imaging and clinical examination which assigns
a value to injuries in different parts of the body using
the Abbreviated Injury Scale (AIS).5 The highest
scores from three different body regions are used to
K22247_Appendix II.indd 205 16/05/15 3:16 AM
Appendix 2206
calculate a figure representing the severity of injury.
An ISS greater than 15 is defined as major trauma.
This would include serious injuries such as bleeding in
the brain or a fracture of the pelvis and cases of multiple
injuries, especially where the risk of haemodynamic
instability is a consideration.
The acute trauma setting is not the place for
disagreements about the patient pathway. Immediate
management decisions must be made by the designated
trauma team leader.
Standard 1. The trauma team leader is in
overall charge in acute care.
Imaging and intervention
Radiologists
Just as the trauma team leader must be an experienced
consultant, there must also be consultant-delivered
input for imaging and intervention.
Standard 2. Protocol-driven imaging
and intervention must be available and
delivered by experienced staff. Acute care
for SIPs must be consultant delivered.
Location and facilities
The location of imaging facilities, their design and
the equipment they contain should be based on the
following principles.
•	 Speed is of the essence – time is tissue, time is
organs, time is life; delay is deterioration, disability
and death.
•	 Moving a severely injured patient introduces
delays and can exacerbate blood loss. The less the
patient is moved and the shorter the distance, the
greater will be the chance of survival.
Quality indicator
MTCs and TUs will have multidisciplinary
debriefings about SIPs on a regular basis to assess
the process and adjust pathways if necessary.
A radiologist involved in trauma management
shouldattendsuchmeetings.Inaddition,individual
cases should be considered in the radiology
department on a regular basis.
•	 Imaging in SIPs more accurately delineates the
extent of injury than clinical examination.
•	 The imaging technique of choice is the one
which is definitive in the trauma setting. In SIPs
this will most often be head-to-thigh contrast-
enhanced multidetector computed tomography
(MDCT).
•	 Definitive imaging should not be delayed by other,
less accurate, investigations.
•	 The imaging environment requires all the life
support facilities available in the emergency room.
This will include monitoring and gases. The
room design should allow visual and technical
monitoring of the patient by anaesthetic staff.
Standard 3. MDCT should be adjacent to,
or in, the emergency room. Where this is
not the case:
•	 Transfers must be rehearsed and performed
according to protocol
•	 Radiology departments in MTCs and TUs should
plan to make this available in the near future.
Digital radiography
Digital radiography (DR) must be present in the
emergencyroom.AchestX-ray(CXR)mightprecedea
MDCT scan if there is doubt about the side or presence
of a pneumothorax in a patient with respiratory
compromise. Once the decision is taken to request
an emergency MDCT, plain films of the abdomen
or pelvis are usually irrelevant and extremity imaging
should be delayed until life-threatening injuries have
been diagnosed and treated. The British Orthopaedic
Association and British Society of Spine Surgeons do
not recommend plain films of the C-spine in a SIP
and their standard of practice for C-spine clearance
is CT.6
Cervical spinal injury precautions and pelvic binders
should remain in place until the MDCT has been fully
assessed.
Where severe injury is to the spine only, MDCT or
MRI scan might be required but a plain film series of
the cervical spine might also be indicated.
K22247_Appendix II.indd 206 16/05/15 3:16 AM
STANDARDS OF PRACTICE AND GUIDANCE FOR TRAUMA RADIOLOGY 207
Standard 4. Digital radiography must be
available in the emergency room.
FAST
Focusedabdominalsonographyintrauma(FAST)does
not offer any additional information to that obtained
with a CT scan and should not be performed if it would
delay transfer to CT. FAST is a poor discriminator of
therequirementorotherwiseforlaparotomyintrauma.
Studies have shown negative predictive values of only
50–63% for FAST in unstable patients.7,8 FAST does
have value in the diagnosis of pericardial effusion and in
experienced hands might detect free intra-abdominal
fluid in an otherwise non-compromised patient. It has
an important role in triage when managing multiple
SIPs simultaneously or in a major incident scenario.
As with all imaging, a report on a FAST scan should
be documented and the designation of the operator
recorded.
Standard 5. If there is an early decision
to request MDCT, FAST and DR should not
cause any delay.
Magnetic resonance imaging (MRI)
MRI is not indicated in the setting of acute trauma
care. However, in the MTC, it must be available
24 hours a day, seven days a week. It should be in the
same building as the emergency department or, if it
is in a different building, protocols should be in place
for the transfer of critically injured patients if further
management is dependent on MRI in the first 12 hours.
InaTUwithoutaccessto24-hourMRI,formalwritten
protocols should be in place for the transfer of patients
to a facility that has 24-hour MRI.
Quality indicator
WhereFASTorplainfilmshavebeenusedinaSIP,
their use and value in that case should be evaluated
in a multidisciplinary debriefing.
Quality indicator
An annual audit of justification in trauma imaging
should be carried out by the radiology department.
Standard 6. MRI must be available with
safe access for the SIP.
Indications for imaging in the SIP
As stated above, there may be indications for plain DR
but these should never delay an MDCT if a decision
has been taken early that this is the imaging modality of
choice. There may be circumstances where imaging is
inappropriate;forexample,whereaSIPisadmittedwith
profound shock, is not responding to intravenous fluids
and the site of bleeding is clear from the mechanism
of injury and rapid assessment. Such patients may be
best taken straight to theatre. The more accessible the
MDCTscanneristotheemergencyroomandthemore
efficient CT transfer organisation is, the less frequently
this should happen.
A polytrauma protocol MDCT is indicated when:
•	 There is haemodynamic instability.
•	 The mechanism of injury or presentation suggests
that there may be occult severe injuries that
cannot be excluded by clinical examination or
plain films.
•	 FAST (if used) has demonstrated intra-abdominal
fluid.
•	 If plain films suggest significant injury, such as
pneumothorax, pelvic fractures.
•	 Obvious severe injury on clinical assessment.
Standard 7. A CT request in the trauma
setting should comply with the Ionising
Radiation (Medical Exposure) Regulations
20009 (IR(ME)R) justification regulations
like any other request for imaging
involving ionising radiation.
Quality indicator
Availability of clear protocols for the transfer of
SIPs to MRI facilities within 12 hours.
K22247_Appendix II.indd 207 16/05/15 3:16 AM
Appendix 2208
Appendix 1 demonstrates a sample request card which
trusts can modify according to local needs.
NOTE: SomeMTCsinotherEuropeanandNorth
American countries have adopted a ‘CT first’ protocol.
The UK awaits the results of the Randomized study of
Early Assessment by CT scanning in Trauma patients
(REACT)trialcurrentlyrecruitingpatientstoaCT-first
or resuscitation-first protocol in the Netherlands. The
result of that study might supersede the indications
above and major trauma itself may justify immediate
MDCT 10 delaying only in the resuscitation area for
time-critical interventions such as securing an airway
or profound hypotension.
Preparation and transfer to MDCT
There should be agreed local protocols with clear
attribution of responsibility for every stage.
Request for MDCT
Clear protocols must exist for notifying the CT
department of the need for urgent imaging and how
the department will respond to ensure that the scanner
is clear to receive the incoming injured patient. It must
be clear who is responsible for this at both ends. There
should be a detailed polytrauma request form (see
Appendix 1).
Transfer route to CT
This must be established in advance. Transfer staff
should be notified well in advance.
IV access
Right antecubital access is preferred for contrast
administration (left-sided injections compromise
interpretation of mediastinal vasculature). However, if
arm vein access is not possible and a central line is in
situ, it should be of a type that can accept 4 ml contrast/
second via a power injector. This might require local
negotiation with emergency department doctors
beforehand.
Pelvic fracture
If a pelvic fracture is suspected, a temporary pelvic
stabilisation (wrap, binder and so on) should be applied
before MDCT.
Limb fractures
Rapid immobilisation such as air splints. Only
immediately limb conserving manipulations/splinting
should be performed prior to CT.
Urinary catheter
All significantly injured patients without obvious
contraindications should be catheterised unless this
would delay transfer to CT. The catheter should be
clamped prior to MDCT.
Pregnancy
There must be awareness of pregnancy status in
female SIPs of childbearing age. The health of the
mother takes precedence over the health of the fetus
and, if appropriate, modification of pathways should
be decided by the trauma team leader and consultant
radiologist.
Standard 8. There should be clear written
protocols for MDCT preparation and
transfer to the scan room.
MDCT imaging protocols
Whole-body MDCT has been shown to be a predictor
of survival in SIPs when compared to no CT or
targeted CT.11
Clearly there are many abnormalities that might
be detected on whole-body MDCT in the SIP and
protocolsshouldbedesignedtoimagetheseasclearlyas
possible. Protocols should be the same across networks
so that repeat scanning is not required where transfer
is necessary.
Where active contrast extravasation is seen,
the on-call interventional radiologist should be
informed immediately along with the trauma team
leader. Where findings are equivocal, the on-call
consultant radiologist shouldbeaskedforanimmediate
opinion.
Quality indicator
Such protocols should be written and available
and the process should be a statutory evaluation at
debriefing.
K22247_Appendix II.indd 208 16/05/15 3:16 AM
STANDARDS OF PRACTICE AND GUIDANCE FOR TRAUMA RADIOLOGY 209
Examples of polytrauma CT protocols are listed
in Appendix 2. An MDCT protocol should be agreed
across a trauma network to ensure consistency and
obviate the need for repeat scanning if transfer is
necessary.
The NHS CAG document2 refers to the patient
who is ‘stable enough to undergo MDCT’. The phrase
used reflects the difficulty in being too prescriptive
in giving guidance about the stability of a SIP and
fitness for investigation. It can be argued that the
greater the haemodynamic instability, the greater the
requirement for accurate diagnosis to allow targeted
surgery/intervention. In the perfect emergency
room environment where all imaging is immediately
co-located, there should only be a very small minority
of patients who are too unstable for MDCT. Such
patients would probably require open procedures in
the emergency room environment. However, local
circumstanceswillvaryandundoubtedlysuchdecisions
have to be made at the time by the trauma team leader
after consultation.
Protocols for unstable patient transfer should take
accountofunitgeographyandberehearsedtomaximise
the proportion of patients who can access CT.
Standard 9. Whole-body contrast-
enhanced MDCT is the default imaging
procedure of choice in the SIP. Imaging
protocols should be clearly defined
and uniform across a regional trauma
network.
Standard 10. Future planning and design
of emergency rooms should concentrate
on increasing the number of SIPs stable
enough for MDCT and intervention.
Reporting
The initial MDCT should be attended by an
appropriately trained on-call radiologist. Trainees
Quality indicator
Imaging and reporting protocols should be agreed
across referral regions and written protocols must
be available.
should involve on-call consultant radiologists as soon
as possible.
Reporting follows the Advanced Trauma Life
Support (ATLS)12 system in that there should be an
initial primary survey followed by a secondary survey.
Initial primary survey review
The aim of this is to give an immediate indication
of the major life-threatening injuries while active
management continues. The initial images should be
reviewedlookingforthoracicinjuriesthatmightimpair
breathing, vascular injuries that might cause bleeding
and neurological injuries that might cause disability if
not treatedrapidly. AsuggestedCT primarysurveypro
forma is provided in Appendix 3. Such a form should
be filled in at the time, signed and dated. A copy should
be handed to the trauma team leader and a duplicate
scanned into the radiology information system (RIS).
Theclinicalteamshouldfillintheircontactdetailsso
thatwhenthefulltraumaproformareportiscompleted,
all the necessary points of contact are available.
Standard 11. The primary survey report
should be issued immediately to the
trauma team leader. It should be signed
and designated and a copy should be
retained in the CT department (or RIS).
Secondary/definitive survey
Once the initial scan results and pro forma have been
communicated to the trauma team, the scan should be
carefully reviewed against a written set of criteria and
the secondary trauma report completed (Appendix 4).
Thisshouldbeperformedbyaconsultantradiologistor
in consultation with a consultant radiologist who may
provide this report via a teleradiology link of suitable
quality.13
NOTE: Radiologists working remotely for
teleradiology companies have imaging equipment
that allows diagnostic reports in real time and the UK
military have reporting facilities in the UK that allows
accurate reporting of trauma scans from field hospitals
anywhere in the world, although they do deploy
radiologists on site to cope with rapid fluctuations in
patient care.
All the areas listed in Appendix 4 should be reported
on. This report should be completed within one hour
to ensure there is no unnecessary delay to clinical
K22247_Appendix II.indd 209 16/05/15 3:16 AM
Appendix 2210
management. Any significant findings, particularly
where there is a variance to the initial primary survey
report, should be telephoned through to relevant
clinicians. Again, the list of contact details will be
invaluable where there is a change in findings.14
Standard 12. On-call consultant
radiologists should provide the final
report on the SIP within one hour of MDCT
image acquisition.
Standard 13. On-call consultant
radiologists must have teleradiology
facilities at home that allow accurate
reports to be issued within one hour of
MDCT image acquisition.
Interventional radiology (IR)
The role of IR in the SIP is to stop haemorrhage as
quickly as possible with minimal interference to the
patient’s already damaged physiology. It is as much
a form of damage control as pressing on a bleeding
artery or surgical packing. Information supplied by
MDCT is key to informing the decision-making
process and guiding a catheter to the haemorrhage
site. It is likely that there will never be Level 1 evidence
for endovascular techniques in trauma but, with this
caveat, there are no significant contraindications to
the use of IR to arrest haemorrhage in major trauma.
There is a growing body of Level 2/3 evidence for its
safety, efficacy, speed and cost-effectiveness.
The decision on whether a patient with traumatic
haemorrhage undergoes endovascular treatment, open
surgery, a combination of the two or non-operative
management (NOM) is typically a decision made by
both the trauma team leader and the interventional
radiologist after consultation with other consultants
involved (Appendix 5). Decisions must be made
quickly and should be driven by agreed algorithms.
Establishing routes of communication between the
services is paramount.
Quality indicator
All imaging should be discussed at debriefing
meetings and errors of protocol or fact discussed at
discrepancy meetings.15
A checklist of quality indicators for IR is provided in
Appendix 6.
Endovascular theatres
When IR is indicated in SIP management, rapid access
to endovascular intervention is essential. Therefore,
angiography facilities should be located as close as
possible to the emergency department and should
certainly be in the same building and on the same floor.
In future, angiography suites should be co-located
within an acute theatre complex/emergency room that
provides surgical and anaesthetic support to acutely
ill patients. Such facilities are not yet available in
the UK.
Standard 14. IR facilities should be
co-located to the emergency department.
Facilities
Angiography suites must have modern (installed within
the last ten years) fixed C-arm imaging equipment.
Roomsneedtobelargeenoughtohandlethenumerous
individuals who accompany the very unstable trauma
patient.
They should have the same facilities as an operating
theatre and ideally should have positive pressure air
change.
Portable C-arm equipment should only be used in
the context of immediate stabilisation by occlusion
balloon inflation. Portable units do not offer the same
imaging quality as fixed units and there is evidence
of patient harm occurring with the use of such units,
principally due to poor image quality.16
In addition, portable units can only operate for a
limited time before overheating.
Standard 15. Angiographic facilities and
endovascular theatres in MTCs should be
safe environments for SIPs and should be
of theatre standard.
Protocols
Local services should take particular care to develop
transfer protocols for both internal and external
anaesthetic supported transfer. A frequent source
of delay in many centres is the internal transfer of
haemodynamically compromised patients for CT
imaging or embolisation. Agreed pathways and
improvements to local environment should be
K22247_Appendix II.indd 210 16/05/15 3:16 AM
STANDARDS OF PRACTICE AND GUIDANCE FOR TRAUMA RADIOLOGY 211
prioritised to minimise delay while maintaining patient
safety.
Standard 16. Agreed written transfer
protocols between the emergency
department and imaging/interventional
facilities internally or externally must be
available.
Workforce
Adequate staffing levels (radiologist, radiographer and
nursing staff) must be available. Much trauma occurs
outside normal working hours and the best clinical
outcomes are achieved by rapid access to a consultant-
led and delivered IR service.
If resident on-call IR staff are not considered
necessary, early warning systems for on-call IR teams
should be in place. The priority must be at all times to
develop systems that reduce the key clinical criterion of
the total time to arrest haemorrhage.
Standard 17. IR trauma teams should
be in place within 60 minutes of the
patient’s admission or 30 minutes of
referral.
Consumable equipment
There should be a full range of occlusion balloons,
catheters, embolic materials and stent grafts available
and there should be a robust system in place for
replacement of used items. The use of embolisation
packs are particularly recommended, especially on
rare occasions when procedures are being undertaken
outside the routine angiographic environment.
Standard 18. Any deficiency in consumable
equipment should be reported at the
debriefing and be the subject of an
incident report.
Audit and morbidity and mortality meetings
Multidisciplinary team audit including all involved
specialties is essential to improve and maintain
high-quality clinical services. Radiologists should
ensure they participate in ongoing audit of trauma
services and contribute to local and national audit
mechanisms.
Approved by the Board of the Faculty of Clinical
Radiology: 25 February 2011.
References
1.  Department of Health. The Operating Framework
fortheNHSinEngland2011/12.http://www.dh.gov.
uk/en/Publicationsandstatistics/Publications/
PublicationsPolicyAndGuidance/DH_122738
(last accessed 26/4/11)
2.  NHS Clinical Advisory Group. Regional Networks
for Major Trauma. http://www.excellence.
eastmidlands.nhs.uk/welcome/improving-care/
emergency-urgent-care/major-trauma/nhs-
clinical-advisory-group/ (last accessed 26/4/11)
3.  NHS Choices. http://www.nhs.uk/
N H S E n g l a n d / A b o u t N H S s e r v i c e s /
Emergencyandurgentcareservices/Pages/
Majortraumaservices.aspx (last accessed 26/4/11)
4.  Baker SP, O’Neill B, Haddon W Jr, Long WB.
The injury severity score: a method for describing
patients with multiple injuries and evaluating
emergency care. J Trauma 1974; 14: 187–196.
5.  Copes WS, Sacco WJ, Champion HR, Bain LW.
Progress in Characterising Anatomic Injury. In:
Proceedings of the 33rd Annual Meeting of the
Association for the Advancement of Automotive
Medicine, Baltimore, MA, USA: 205–218.
6.  British Orthopaedic Association and British
Association of Spinal Surgeons. Standards for
Trauma (BOAST). Spinal clearance in the trauma
patient. London: BOA, 2008.
7.  Friese RS, Malekzadeh S, Shafi S, Gentilello LM,
Starr A. Abdominal ultrasound is an unreliable
modality for the detection of hemoperitoneum in
patients with pelvic fracture. J Trauma 2007; 63:
97–102.
8.  Tayal VS, Nielsen A, Jones AE, Thomason
MH, Kellam J, Norton HJ. Accuracy of trauma
ultrasound in major pelvic injury. J Trauma-Injury
Infection  Critical Care 2006; 61: 1453–1457.
9.  Department of Health. The Ionising Radiation
(Medical Exposure) Regulations 2000 (together
with notes on good practice) http://www.dh.gov.
uk/en/Publicationsandstatistics/Publications/
PublicationsPolicyAndGuidance/DH_4007957
(last accessed 19/5/11)
10.  Saltzherr TP, Fung Kon Jin PH, Bakker FC
et al. An evaluation of a Shockroom located CT
scanner: a randomized study of early assessment by
K22247_Appendix II.indd 211 16/05/15 3:16 AM
Appendix 2212
SITE NOM IR DCS
Thoracic
aorta
No role except in small
partial thickness tears.
Stent graft for suitable lesions. Ascending aortic injury or arch injury involv-
ing great vessels.
Abdominal
aorta
No role. Occlusion balloon, stent graft for suitable
lesions.
Injury requiring visceral revascularisation or
untreatable by EVAR.
Peripheral or
branch artery
No role. Occlusion balloon, stent graft or
embolisation.
Any lesion which cannot rapidly be controlled
or which will require other revascularisation.
Kidney Subcapsular or retroperito-
neal haematoma without
active arterial bleeding.
Active arterial bleeding, embolisation or
stent graft.
Renal injury in association with multiple
other bleeding sites or other injuries requir-
ing urgent surgical repair.
Spleen Lacerations, haematoma
without active bleeding or
evidence of false aneurysm.
Active arterial bleeding or false aneurysm.
Focal embolisation for focal lesion
Proximal embolisation for diffuse injury.
Packing or splenectomy for active bleeding
in association with multiple other bleeding
sites.
Liver Subcapsular or intraperito-
neal haematoma or lacera-
tions without active arterial
bleeding.
Active arterial bleeding.
Focal embolisation if possible.
Non-selective embolisation if multiple
bleeding sites as long as portal vein is
patent.
Packing if emergency laparotomy needed
with subsequent repeat CT and embolisation
if required.
Pelvis Minor injury with no active
bleeding.
Focal embolisation for arterial injury
(bleeding, false aneurysm or cut-off).
External compression and subsequent fixa-
tion if bleeding from veins or bones.
Intestine Focal contusion with no
evidence of ischaemia, per-
foration or haemorrhage.
Focal bleeding with no evidence of
ischaemia or perforation. Or, to stabilise
patient, allowing interval laparotomy
pending treatment of other injuries.
Ischaemia or perforation requiring lapa-
rotomy +/- bowel resection.
CT scanning in trauma patients in the bi-located
trauma center North-West Netherlands (REACT
trial). BMC Emerg Med 2008; 8: 10.
11.  Huber-Wagner S, Lefering R, Qvick LM
et al. Effect of whole-body CT during trauma
resuscitation on survival: a retrospective,
multicentre study. Lancet 2009; 373: 1455–1461.
12.  http://www.facs.org/trauma/atls/about.html (last
accessed 26/4/11)
13.  TheRoyalCollegeofRadiologists.Standardsforthe
provision of teleradiology within the United Kingdom.
London: The Royal College of Radiologists, 2010.
14.  The Royal College of Radiologists. Standards for
the communication of critical, urgent and unexpected
significant radiological findings. London: The Royal
College of Radiologists, 2008.
15.  The Royal College of Radiologists. Standards for
Radiology Discrepancy Meetings. London: The Royal
College of Radiologists, 2007.
16.  MHRA. Joint Working Group to produce guidance
on delivering an Endovascular Aneurysm Repair
(EVAR) Service. London: MHRA, 2010. http://
www.mhra.gov.uk/Publications/Safetyguidance/
Otherdevicesafetyguidance/CON105763 (last
accessed 26/4/11)
GUIDANCE ON THE ­INDICATIONS FOR NON-­OPERATIVE ­MANAGEMENT (NOM),
­INTERVENTIONAL RADIOLOGY (IR) AND DAMAGE CONTROL SURGERY (DCS)
IN THE SIP
Decisions regarding IR or DCS will be modified according to the facilities and staff available and the
patient’s stability at presentation. (After Dr D Kessel)
K22247_Appendix II.indd 212 16/05/15 3:16 AM
213
Appendix 3
TRAUMA COMPUTED TOMOGRAPHY
PRIMARY ASSESSMENT
CT HEAD:Vault #/base of skull #/orbital#/facial bones#
Subdural bleed/extradural bleed
Other:
Patient name
Hospital ID
Date
Reporting radiologist
CT CHEST: Pneumothorax/haemothorax/pneumomediastinum/thoracic aorta injury
Rib #...........................................................................Thoracic spine #..................................................................................
Other:
Lines Present Satisfactory position
ETT
Central line
Chest drain
NG tube
CT C-SPINE: Odontoid peg#/C1#
Other:
CT ABDOMEN: Free fluid/pneumoperitoneum/liver laceration/splenic laceration/abdominal aorta injury
Lumbar spine #.......................................................................................................................................................................
Other:
CT PELVIS – Free fluid/bladder injury
Pelvic #...................................................................................................................................................................................
Other:
Adapted from a preliminary report byThe Heart of England NHS FoundationTrust Radiology Department,June 2014,with
permission.A full report will be available on CRIS® (Computerised Radiology Information System).
K22247_Appendix III.indd 213 16/05/15 3:17 AM
Using the VitalSource®
ebook
Access to the VitalBookTM
ebook accompanying this book is
via VitalSource®
Bookshelf – an ebook reader which allows
you to make and share notes and highlights on your ebooks
and search across all of the ebooks that you hold on your
VitalSource Bookshelf. You can access the ebook online or
offline on your smartphone, tablet or PC/Mac and your notes
and highlights will automatically stay in sync no matter where
you make them.
1.	 Create a VitalSource Bookshelf account at
https://online.vitalsource.com/user/new or log into
your existing account if you already have one.
2.	 Redeem the code provided in the panel below
to get online access to the ebook. Log in to
Bookshelf and click the Account menu at the top right
of the screen. Select Redeem and enter the redemption
code shown on the scratch-off panel below in the Code
To Redeem box. Press Redeem. Once the code has
been redeemed your ebook will download and appear in
your library.
DOWNLOAD AND READ OFFLINE
To use your ebook offline, download BookShelf to your PC,
Mac, iOS device, Android device or Kindle Fire, and log in to
your Bookshelf account to access your ebook:
On your PC/Mac
Go to http://bookshelf.vitalsource.com/ and follow the
instructions to download the free VitalSource Bookshelf
app to your PC or Mac and log into your Bookshelf account.
On your iPhone/iPod Touch/iPad
Download the free VitalSource Bookshelf App available
via the iTunes App Store and log into your Bookshelf
account. You can find more information at https://support.
vitalsource.com/hc/en-us/categories/200134217-
Bookshelf-for-iOS
On your Android™ smartphone or tablet
Download the free VitalSource Bookshelf App available
via Google Play and log into your Bookshelf account. You can
find more information at https://support.vitalsource.com/
hc/en-us/categories/200139976-Bookshelf-for-Android-
and-Kindle-Fire
On your Kindle Fire
Download the free VitalSource Bookshelf App available
from Amazon and log into your Bookshelf account. You can
find more information at https://support.vitalsource.com/
hc/en-us/categories/200139976-Bookshelf-for-Android-
and-Kindle-Fire
N.B. The code in the scratch-off panel can only be used once.
When you have created a Bookshelf account and redeemed
the code you will be able to access the ebook online or offline
on your smartphone, tablet or PC/Mac.
SUPPORT
If you have any questions about downloading Bookshelf,
creating your account, or accessing and using your ebook
edition, please visit http://support.vitalsource.com/
Accessing the E-book edition of
ON CALL RADIOLOGY
ON CALL
RADIOLOGY
Gareth Lewis • Hiten Patel
Sachin Modi • Shahid Hussain
•	 download the ebook to your computer or access it anywhere with an
internet browser
•	 search the full text and add your own notes and highlights
•	 link through from references to PubMed
ISBN: 978-1-4822-2167-1
9 781482 221671
90000
K22247
MEDICINE
On Call Radiology presents case discussions on the most common and important clinical
emergencies and their corresponding imaging findings encountered on-call. Cases are
divided into thoracic, gastrointestinal and genitourinary, neurological and non-traumatic
spinal, paediatric, trauma, interventional and vascular imaging. Iatrogenic complications are
also discussed.
Each case is presented as a realistic clinical scenario and includes a clinical history
and request for imaging. Multi-modality imaging examples and a case discussion on the
diagnosis and basic management, with emphasis on important radiological findings, are
also presented.
This book combines a case-based discussion format with practical advice on imaging
decision making in the acute setting. It also offers guidance on radiology report writing and
techniques, with a focus on relevant positive and negative findings to pass on to referring
clinicians. On Call Radiology offers invaluable knowledge and practical tips for any
on-call radiologist.
ON CALL
RADIOLOGY
K22247_Cover.indd All Pages 5/21/15 1:52 PM

On call radiology

  • 1.
    ON CALL RADIOLOGY Gareth Lewis• Hiten Patel Sachin Modi • Shahid Hussain • download the ebook to your computer or access it anywhere with an internet browser • search the full text and add your own notes and highlights • link through from references to PubMed ISBN: 978-1-4822-2167-1 9 781482 221671 90000 K22247 MEDICINE On Call Radiology presents case discussions on the most common and important clinical emergencies and their corresponding imaging findings encountered on-call. Cases are divided into thoracic, gastrointestinal and genitourinary, neurological and non-traumatic spinal, paediatric, trauma, interventional and vascular imaging. Iatrogenic complications are also discussed. Each case is presented as a realistic clinical scenario and includes a clinical history and request for imaging. Multi-modality imaging examples and a case discussion on the diagnosis and basic management, with emphasis on important radiological findings, are also presented. This book combines a case-based discussion format with practical advice on imaging decision making in the acute setting. It also offers guidance on radiology report writing and techniques, with a focus on relevant positive and negative findings to pass on to referring clinicians. On Call Radiology offers invaluable knowledge and practical tips for any on-call radiologist. ON CALL RADIOLOGY K22247_Cover.indd All Pages 5/21/15 1:52 PM
  • 2.
  • 3.
  • 4.
  • 5.
    ON CALL RADIOLOGY Gareth Lewis,MBChB, FRCR, Radiology Registrar, University Hospitals Birmingham NHS Foundation Trust, Birmingham, UK Hiten Patel, MBChB, FRCR Radiology Registrar, University Hospitals Coventry and Warwickshire NHS Trust, Coventry, UK Sachin Modi, BSc(Hons), MBBS, FRCR, Radiology Registrar, University Hospitals Birmingham NHS Foundation Trust, Birmingham, UK Shahid Hussain, MA, MB, BChir, MRCP, FRCR, Consultant Cardiothoracic Radiologist, Heart of England NHS Foundation Trust, Birmingham, UK ON CALL RADIOLOGY Gareth Lewis, MBChB, FRCR, Radiology Registrar, University Hospitals Birmingham NHS Foundation Trust, Birmingham, UK Hiten Patel, MBChB, FRCR Radiology Registrar, University Hospitals Coventry and Warwickshire NHS Trust, Coventry, UK Sachin Modi, BSc(Hons), MBBS, FRCR, Radiology Registrar, University Hospitals Birmingham NHS Foundation Trust, Birmingham, UK Shahid Hussain, MA, MB, BChir, MRCP, FRCR, Consultant Cardiothoracic Radiologist, Heart of England NHS Foundation Trust, Birmingham, UK K22247_FM.indd 1 16/05/15 3:05 AM
  • 6.
    CRC Press Taylor &Francis Group 6000 Broken Sound Parkway NW, Suite 300 Boca Raton, FL 33487-2742 © 2016 by Taylor & Francis Group, LLC CRC Press is an imprint of Taylor & Francis Group, an Informa business No claim to original U.S. Government works Version Date: 20150514 International Standard Book Number-13: 978-1-4822-2168-8 (eBook - PDF) This book contains information obtained from authentic and highly regarded sources. While all reasonable efforts have been made to publish reliable data and information, neither the author[s] nor the publisher can accept any legal respon- sibility or liability for any errors or omissions that may be made. The publishers wish to make clear that any views or opinions expressed in this book by individual editors, authors or contributors are personal to them and do not neces- sarily reflect the views/opinions of the publishers. The information or guidance contained in this book is intended for use by medical, scientific or health-care professionals and is provided strictly as a supplement to the medical or other professional’s own judgement, their knowledge of the patient’s medical history, relevant manufacturer’s instructions and the appropriate best practice guidelines. Because of the rapid advances in medical science, any information or advice on dosages, procedures or diagnoses should be independently verified. The reader is strongly urged to consult the relevant national drug formulary and the drug companies’ and device or material manufacturers’ printed instructions, and their websites, before administering or utilizing any of the drugs, devices or materials mentioned in this book. This book does not indicate whether a particular treatment is appropriate or suitable for a particular individual. Ultimately it is the sole responsibility of the medical professional to make his or her own professional judgements, so as to advise and treat patients appropriately. The authors and publishers have also attempted to trace the copyright holders of all mate- rial reproduced in this publication and apologize to copyright holders if permission to publish in this form has not been obtained. If any copyright material has not been acknowledged please write and let us know so we may rectify in any future reprint. Except as permitted under U.S. Copyright Law, no part of this book may be reprinted, reproduced, transmitted, or uti- lized in any form by any electronic, mechanical, or other means, now known or hereafter invented, including photocopy- ing, microfilming, and recording, or in any information storage or retrieval system, without written permission from the publishers. For permission to photocopy or use material electronically from this work, please access www.copyright.com (http:// www.copyright.com/) or contact the Copyright Clearance Center, Inc. (CCC), 222 Rosewood Drive, Danvers, MA 01923, 978-750-8400. CCC is a not-for-profit organization that provides licenses and registration for a variety of users. For organizations that have been granted a photocopy license by the CCC, a separate system of payment has been arranged. Trademark Notice: Product or corporate names may be trademarks or registered trademarks, and are used only for identification and explanation without intent to infringe. Visit the Taylor & Francis Web site at http://www.taylorandfrancis.com and the CRC Press Web site at http://www.crcpress.com
  • 7.
    iii Prefacexiv Acknowledgementsxv Abbreviationsxvi INTRODUCTION ADVERSE REACTIONS TOCONTRAST MEDIA 1 Systemic reactions1 Renal impairment1 Anaphylactic reaction2 Contrast extravasation2 References and further reading2 CHAPTER 1: THORACIC IMAGING 3 ACUTE AORTIC SYNDROME 3 Radiological investigations3 Radiological findings4 Computed tomography4 Key points6 Report checklist7 Reference7 THORACIC AORTIC INJURY 7 Radiological investigations7 Radiological findings8 Computed tomography8 Plain films8 Key points9 Report checklist9 References9 PULMONARY EMBOLISM 10 Radiological investigations11 Radiological findings13 Computed tomography pulmonary angiogram13 CONTENTS K22247_FM.indd 3 16/05/15 3:05 AM
  • 8.
    Contentsiv Key points16 Report checklist16 References16 ACUTEPULMONARY OEDEMA 17 Radiological investigations17 Radiological findings17 Computed tomography and plain films17 Key points18 Report checklist19 Reference19 SUPERIOR VENA CAVA OBSTRUCTION 20 Radiological investigations20 Radiological findings20 Computed tomography20 Key points22 Report checklist22 References22 CHAPTER 2: GASTROINTESTINAL AND GENITOURINARY IMAGING 25 ABDOMINAL AORTIC ANEURYSM RUPTURE 25 Radiological investigations25 Radiological findings25 Computed tomography 25 Key points28 Report checklist28 References28 ACUTE GASTROINTESTINAL BLEEDING 29 Radiological investigations29 Radiological findings29 Computed tomography29 Key points32 Report checklist32 References32 BOWEL PERFORATION 32 Radiological investigations32 Radiological findings33 Plain films33 Computed tomography34 Gastroduodenal perforation34 Small bowel perforation34 Large bowel perforation34 Key points35 Report checklist35 K22247_FM.indd 4 16/05/15 3:05 AM
  • 9.
    Contents v BOWEL ISCHAEMIAAND ENTEROCOLITIS 36 Radiological investigations36 Radiological findings37 Computed tomography37 Plain films40 Key points41 Report checklist41 Reference41 LARGE BOWEL OBSTRUCTION 41 Radiological investigations42 Radiological findings42 Plain films42 Computed tomography43 Key points45 Report checklist45 References45 GALLSTONE ILEUS 46 Radiological investigations46 Radiological findings46 Plain films 46 Computed tomography47 Key points48 Report checklist48 References48 SMALL BOWEL OBSTRUCTION 49 Radiological investigations49 Radiological findings49 Plain films49 Computed tomography50 Adhesions51 Hernias51 Crohn’s disease51 Neoplasia51 Radiation enteritis52 Gallstone ileus52 Key points52 Report checklist52 References52 GASTRIC VOLVULUS 52 Radiological investigations52 K22247_FM.indd 5 16/05/15 3:05 AM
  • 10.
    Contentsvi Radiological findings54 Computed tomography54 Plainfilms56 Key points56 Report checklist56 References56 OESOPHAGEAL PERFORATION 57 Radiological investigations57 Radiological findings 58 Computed tomography 58 Fluoroscopy58 Plain films 59 Key points 59 Report checklist 59 Reference59 ACUTE APPENDICITIS 60 Radiological investigations 60 Radiological findings 60 Computed tomography 60 Ultrasound62 Key points 62 Report checklist 62 References62 ACUTE PANCREATITIS 64 Radiological investigations 64 Radiological findings 65 Computed tomography 65 Key points 67 Report checklist 67 References67 ACUTE DIVERTICULITIS 68 Radiological investigations 68 Radiological findings 68 Computed tomography 68 Key points 70 Report checklist 70 References70 ACUTE CHOLECYSTITIS 71 Radiological investigations 71 Radiological findings 71 Ultrasound71 Computed tomography 72 K22247_FM.indd 6 16/05/15 3:05 AM
  • 11.
    Contents vii Key points73 Report checklist 73 Reference73 EMPHYSEMATOUS PYELONEPHRITIS 74 Radiological investigations 74 Radiological findings 74 Computed tomography 74 Ultrasound76 Abdominal plain film imaging 76 Key points 76 Report checklist 77 References77 HYDRONEPHROSIS78 Radiological investigations 78 Radiological findings 78 Ultrasound78 Computed tomography 79 Key points 80 Report checklist 80 RENAL TRANSPLANT DYSFUNCTION 80 Radiological investigations 81 Radiological findings 81 Ultrasound81 Computed tomography 83 Key points 84 Report checklist 84 Reference84 LIVER TRANSPLANT DYSFUNCTION 85 Radiological investigations 85 Radiological findings 85 Ultrasound85 Computed tomography 87 Key points 87 Report checklist 87 References87 TUBO-OVARIAN ABSCESS 88 Radiological investigations 88 Radiological findings 88 Ultrasound88 Computed tomography 88 K22247_FM.indd 7 16/05/15 3:05 AM
  • 12.
    Contentsviii Key points 90 Reportchecklist 90 Reference90 OVARIAN TORSION 90 Radiological investigations 91 Radiological findings 91 Ultrasound91 Computed tomography 91 Key points 92 Report checklist 92 References92 TESTICULAR TORSION 93 Radiological investigations 93 Radiological findings 93 Ultrasound93 Key point 95 Report checklist 95 Reference95 CHAPTER 3: NEUROLOGY AND NON-TRAUMATIC SPINAL IMAGING 97 STROKE97 Radiological investigations 97 Radiological findings 98 Computed tomography 98 Magnetic resonance imaging 100 Key points 102 Report checklist 102 References102 CAROTID ARTERY DISSECTION 102 Radiological investigations 102 Radiological findings 103 Computed tomography 103 Magnetic resonance imaging 104 Key points 104 Report checklist 104 Reference104 SUBARACHNOID HAEMORRHAGE 105 Radiological investigations 105 Radiological findings 106 Computed tomography 106 Key points 110 Report checklist 110 K22247_FM.indd 8 16/05/15 3:05 AM
  • 13.
    Contents ix SUBDURAL HAEMATOMA110 Radiological investigations 110 Radiological findings 111 Computed tomography 111 Key points 112 Report checklist 112 EXTRADURAL HAEMATOMA 113 Radiological investigations 113 Radiological findings 114 Computed tomography 114 Key points 114 Report checklist 114 CEREBRAL VENOUS SINUS THROMBOSIS 115 Radiological investigations 115 Radiological findings 115 Computed tomography 116 Magnetic resonance imaging 118 Key points 118 Report checklist 118 Reference118 HYDROCEPHALUS120 Radiological investigations 120 Radiological findings 120 Computed tomography 120 Plain films 122 Key points 123 Report checklist 123 Reference123 VENTRICULOPERITONEAL SHUNT MALFUNCTION 123 Radiological investigations 124 Radiological findings 124 Plain films 124 Computed tomography 125 Key points 126 Report checklist 126 INTRACRANIAL ABSCESS AND SUBDURAL EMPYEMA 126 Radiological investigations 127 Radiological findings 127 Computed tomography 127 Magnetic resonance imaging 129 Key points 130 Report checklist 130 K22247_FM.indd 9 16/05/15 3:05 AM
  • 14.
    Contentsx HERPES SIMPLEX ENCEPHALITIS131 Radiological investigations 132 Radiological findings 132 Magnetic resonance imaging 132 Computed tomography 132 Key points 133 Report checklist 133 Reference133 SPINAL CORD COMPRESSION AND CAUDA EQUINE SYNDROME 134 Radiological investigations 134 Radiological findings 134 Magnetic resonance imaging 134 Key points 136 Report checklist 136 SPONDYLODISCITIS137 Radiological investigations 137 Radiological findings 138 Magnetic resonance imaging 138 Plain films 139 Key points 140 Report checklist 140 References140 CHAPTER 4: PAEDIATRIC IMAGING 141 INTUSSUSCEPTION141 Radiological investigations 141 Radiological findings 141 Ultrasound141 Fluoroscopic air enema 142 Plain films 143 Computed tomography 143 Key points 143 Report checklist 143 Reference143 BOWEL MALROTATION 143 Radiological investigations 143 Radiological findings 144 Upper gastrointestinal contrast study 144 Ultrasound144 Computed tomography 145 Plain films 145 K22247_FM.indd 10 16/05/15 3:05 AM
  • 15.
    Contents xi Key points145 Report checklist 145 MECONIUM ILEUS 145 Radiological investigations 145 Radiological findings 146 Lower gastrointestinal contrast study 146 Plain films 146 Key points 147 Report checklist 147 DUODENAL ATRESIA 147 Radiological investigations 147 Radiological findings 148 Plain films 148 Upper gastrointestinal contrast study 149 Key points 149 Report checklist 149 HYPERTROPHIC PYLORIC STENOSIS 149 Radiological investigations 149 Radiological findings 150 Ultrasound150 Key points 151 Report checklist 151 ORBITAL AND PERIORBITAL CELLULITIS 151 Radiological investigations 151 Radiological findings 152 Computed tomography 152 Key points 153 Report checklist 153 ACUTE OTITIS MEDIA 154 Radiological investigations 154 Radiological findings 154 Computed tomography 154 Key points 155 Report checklist 155 Reference155 PARAPHARYNGEAL AND RETROPHARYNGEAL ABSCESS 156 Radiological investigations 156 Radiological findings 157 Computed tomography 157 Key points 159 Report checklist 159 Reference159 K22247_FM.indd 11 16/05/15 3:05 AM
  • 16.
    Contentsxii CHAPTER 5: TRAUMAIMAGING 161 INTRODUCTION TO IMAGING IN MAJOR TRAUMA 161 Penetrating injury 163 Active haemorrhage 163 Blunt injury 166 Key points 166 Reference166 MAJOR TRAUMA: THORAX 167 Radiological investigations 167 Radiological findings 168 Mediastinal injury 168 Cardiac injury 168 Pneumothorax169 Haemothorax170 Rib fracture and flail chest 171 Lung contusion and lung laceration 172 Diaphragmatic injury 172 Key points 172 Report checklist 172 References172 MAJOR TRAUMA: ABDOMEN AND PELVIS 173 Radiological investigations 173 Radiological findings 174 Solid organ injury 176 Mesenteric and bowel injury 178 Pelvic injury 180 Bladder and urethral injury 180 Key points 182 Report checklist 182 References182 MAJOR TRAUMA: SPINE 182 Radiological investigations 183 Radiological findings 184 Plain films 184 Computed tomography 184 Magnetic resonance imaging 185 Examples of spinal fractures 185 Jefferson fracture 185 Odontoid peg fractures 186 Flexion teardrop fracture 186 K22247_FM.indd 12 16/05/15 3:05 AM
  • 17.
    Contents xiii Facet jointdislocation 187 Burst fracture 188 Key points 189 Report checklist 189 Reference189 CHAPTER 6: INTERVENTIONAL AND VASCULAR IMAGING AND IATROGENIC COMPLICATIONS 191 ACUTE ARTERIAL ISCHAEMIA 191 Radiological investigations 191 Radiological findings 192 Computed tomography 192 Key points 193 Report checklist 193 IATROGENIC COMPLICATIONS 193 NASOGASTRIC TUBE MISPLACEMENT 193 Radiological investigations 194 Radiological findings 194 Plain films 194 Key points 194 ENDOTRACHEAL TUBE MISPLACEMENT 195 Radiological investigations 195 Radiological findings 196 Plain films 196 Key points 196 ENDOVASCULAR STENT ENDOLEAK 197 Radiological investigations 197 Radiological findings 197 Computed tomography 197 Key points 198 Reference198 COMPLICATIONS OF COMMON FEMORAL ARTERY PUNCTURE 199 Radiological investigations 199 Radiological findings 200 Ultrasound200 Computed tomography 200 Key points 201 Appendix 1: NICE head injury guidelines 203 Appendix 2: Standards of practice and guidance for trauma radiology in severely injured patients 205 Appendix 3: Trauma computed tomography primary assessment 213 Index215 K22247_FM.indd 13 16/05/15 3:05 AM
  • 18.
    xiv Clinical radiology isat the centre of modern medicine and a high-quality service has repeatedly been shown to significantly improve patient outcomes. Over the last 10 years there has been a significant increase in demand for radiology services, resulting in a 26.5% increase in radiology examinations in England, from just over 30 million in 2004/5 to almost 39 million in 2010/11. Since 2004/5 the number of computed tomographic (CT) examinations has increased by 86% (Department of Health, 2011). On-call work, unsurprisingly, has followed this same trend with an increase in both the number and the complexity of scans now being performed out of hours as emergency imaging. Understandably, starting on calls in radiology can be a very daunting prospect. It marks a turning point from having very few responsibilities within a department to being integral to the work of both the Radiology Department and to the Hospital as a whole. On-call work presents a myriad of complex issues including: identifying pathology that may never have been seen before; coordinating scans and deciding scan protocols; and communicating with clinicians at all levels of seniority. Perhaps most importantly, on-call work carries a significant amount of responsibility since frequently, a decision on whether a patient needs to go to theatre or whether he/she requires immediate intervention will be dependent upon the findings of the radiology examination. PREFACE The purpose of this book is to try to assist junior radiology trainees who are starting their on calls. We have presented here the commonest cases that trainees are likely to encounter in an on-call situation. An almost limitless number of cases could have been included, since virtually anything can present in an on-call situation. We have, however, tried to present some of the most common cases as well as a host of tips on how to approach emergency imaging situations. Multiple images, as well as tips about reporting, have been included with each case. The majority of on-call work is CT work, and for this reason we have included CT scan protocols where appropriate. Although Radiology Departments have standard protocols for imaging of non-emergency work, the out of hours types of pathology sometimes require fine tuning of these protocols to ensure that appropriate sequences have been obtained. We hope that this text will assist junior radiology trainees in gaining some confidence as they start their on calls and will help assuage some of their fears. Gareth Lewis Hiten Patel Sachin Modi Shahid Hussain K22247_FM.indd 14 16/05/15 3:05 AM
  • 19.
    xvACKNOWLEDGEMENTS The authors acknowledgethe following colleagues who kindly contributed images for use in this book: Dr Ben Miller, Dr John Henderson, Dr Sarah Cooper, Dr Michelle Christie-Large, Dr Helen Williams, Dr Adam Oates, Dr Martin Duddy, Dr Peter Riley, Dr Peter Guest and Dr Osama Abulaban. Special thanks to Eloise Lewis, who provided the medical illustrations. Gareth Lewis: To my wife Eli, thanks for all your help and support. Hiten Patel: Special thanks to my parents for their continued support. Sachin Modi: For my Mum, Dad and my wife Kaveeta. Shahid Hussain: To my family and friends. K22247_FM.indd 15 16/05/15 3:05 AM
  • 20.
    xvi HSV herpes simplexvirus Hu Hounsfield unit IMA inferior mesenteric artery IR interventional radiologist ISS Injury Severity Score IV intravenous/intravenously IVC inferior vena cava JVP jugular venous pressure LBO large bowel obstruction LP lumbar puncture LV left ventricle MIP maximum intensity projection MRA magnetic resonance angiography MRI magnetic resonance imaging MTC major trauma centre NG nasogastric (tube) NICE National Institute for Health and Clinical Excellence NPSA National Patient Safety Agency PA posterior-anterior PACS picture archiving and communication system PCWP pulmonary capillary wedge pressure PI pyloric index RI Resistive Index SAH subarachnoid haemorrhage SBO small bowel obstruction ABBREVIATIONS AAA abdominal aortic aneurysm AOM acute otitis media AP anterior-posterior ARDS acute respiratory distress syndrome AXR abdominal radiograph BTS British Thoracic Society CAD carotid artery dissection CFA common femoral artery CIN contrast-induced nephropathy CMD corticomedullary differentiation CNS central nervous system CSF cerebrospinal fluid CT computed tomography CTA computed tomography angiography/ angiogram CTPA computed tomography pulmonary angiography/angiogram CTSI computed tomography Severity Index CXR chest radiograph DJ duodenojejunal (junction) EDH extradural haematoma ET endotracheal (tube) EVAR endovascular aneurysm repair EVD external ventricular drain GCS Glasgow Coma Score GFR glomerular filtration rate GI gastrointestinal HIV human immunodeficiency virus HPS hypertrophic pyloric stenosis K22247_FM.indd 16 16/05/15 3:05 AM
  • 21.
    Abbreviations xvii SDH subduralhaematoma SMA superior mesenteric artery SMV superior mesenteric vein SVC superior vena cava SVS slit ventricle syndrome TCC transitional cell carcinoma TIA transient ischaemic attack TIPS transjugular intrahepatic portosystemic shunt VP ventriculoperitoneal (shunt) K22247_FM.indd 17 16/05/15 3:05 AM
  • 22.
  • 23.
    1 that radiographers andradiologists involved in the administration of IV contrast have up to date life support training; however, this should not deter them from involving the on-call medical emergency team in appropriate situations. Systemic reactions The commonest side-effects of acute contrast reactions include nausea, vomiting and urticaria. Following injection of contrast media, patients may also develop a warm flushing sensation. These are usually self- limiting and generally do not pose any danger for the patient, although it is worthwhile documenting such reactions in the medical records for future reference. In some patients, symptomatic relief may be achieved through the use of antihistamines. Renal impairment Contrast-induced nephropathy (CIN) is a deterioration in renal function following the administration of contrastmedia(AmericanCollegeofRadiology,2013). Patients at increased risk of developing CIN include thosewithpre-existingrenaldysfunction,dehydration, nephrotoxic medication and multiple doses of contrast media in a short space of time. In order to reduce the incidence of complications, patients at risk of CIN should be discussed with the referring team. This may include pre-hydration or the decision not to use contrast. A guide level of an estimated glomerular filtration rate (GFR) below 60 ml/min has been used to suggest renal impairment; however, local guidelines should be used. Certainly the risks versus the benefits of giving contrast should always be considered. Following imaging, patients at risk of developing CIN should have regular observation of renal function for at least 72 hours to ensure no acute deterioration in function. ADVERSE REACTIONS TO CONTRAST MEDIA While reactions to IV contrast can be delayed, it is the immediate, acute reaction that is more relevant to the on-call radiologist. Reactions to contrast media vary depending on the type of agent used, with higher incidences of reactions occurring in ionic as opposed to non-ionic agents. Although the use of IV contrast media has become routine, it is always important to remember that severe reactions, while rare, can occur (1 in 170,000 people have a fatal reaction, Vamasivayam et al., 2006). The use of IV contrast is often extremely beneficial, if not necessary, in the interpretation of computed tomography (CT) imaging; however, its use should always be balanced with the potential risks of contrast reaction. Essential information that should be sought from the patient before contrast administration includes history of: • Previous contrast reaction. • Asthma. • Renal impairment. • Diabetes mellitus. • Metformin therapy. Clinical features of a contrast medium reaction are varied, ranging from vomiting and mild urticaria to acute anaphylaxis and cardiopulmonary collapse. There are numerous risk factors that may predispose an individual to contrast reactions, such as previous reactions to contrast media, pre-existing renal failure, nephrotoxic medication and advancing age amongst others (Maddox, 2002). In such instances, radiologists, in conjunction with the referring team, should follow the departmental guidelines when making the decision to use an IV contrast medium. It is important INTRODUCTION K22247_Introduction.indd 1 16/05/15 3:15 AM
  • 24.
    Introduction2 Patients with progressivelyworsening symptoms, reduced tissue perfusion, signs of skin ulceration/ blistering or altered sensation should be reviewed by the local surgical/plastics team. References and further reading American College of Radiology (2013) ACR Manual on Contrast Media. Version 9. ACR Committee on Drugs and Contrast Media, pp. 33–41. Department of Health (2011) Imaging and Diagnostics. http://webarchive.nationalarchives.gov.uk/ 20130107105354/http://www.dh.gov.uk/en/ Publicationsandstatistics/Statistics/Performance dataandstatistics/HospitalActivityStatistics/ DH_077487. Maddox TG (2002) Adverse reactions to contrast material: recognition, prevention and treatment. Am Fam Physician 66: 1229–1234. Resuscitation Council (UK) (2010) Advanced life support algorithm. In: Adult Advanced Life Support. www.resus.org.uk/pages/alsalgo.pdf. Accessed on 23rd May 2014. Royal College of Radiologists (2010) Standards for Intravascular Contrast Agent Administration to Adult Patients, Second Edition. Royal College of Radiologists, London. Vamasivayam S, Kalra MK, Torres WE et al. (2006) Adverse reactions to intravenous iodinated contrast media: a primer for radiologists. Emerg Radiol 12: 210–215. Anaphylactic reaction An anaphylatic reaction is the most serious and life- threatening side-effect of contrast administration and requires immediate recognition and treatment. Symptoms include bronchospasm and hypotension, whichmayleadtocardiopulmonaryarrest.Management of anaphylaxis should follow the advanced life support algorithm and involve the medical emergency team when appropriate (Resuscitaion Council, 2010). If the anaphylactic reaction is mild (e.g. scattered, protracted urticaria), an antihistamine orally, intramuscularly or IV should be considered. Mild bronchospasm can be treated with oxygen by mask (6–10 litres/min)andabeta-2agonistinhaler(2–3 puffs). If moderate (e.g. profound urticaria, laryngeal oedema orbronchospasmnotresponsivetoinhalers),adrenaline 1:1000 (0.1–0.3 ml intramuscularly) may be required. If severe, the resuscitation team should be called while all the above measures are undertaken. Contrast extravasation Extravasation of contrast medium can occur with both hand and pump injections and usually occurs into the subcutaneous tissues. Patients may be asymptomatic or develop erythema, swelling and pain at the site of extravasation. Most cases are self- limiting and do not require further intervention; however, compartment syndrome or skin necrosis may occur on rare occasions. Elevation of the limb and the use of ice packs may help to ease symptoms. K22247_Introduction.indd 2 16/05/15 3:15 AM
  • 25.
    3 Chapter 1 THORACIC IMAGING ACUTEAORTIC SYNDROME Acute aortic syndrome encompasses three closely related pathologies: aortic dissection, intramural haematoma and penetrating atherosclerotic ulcer. The wall of the aorta consists of three layers: the innermost intima, the middle media and the outermost adventitia. Dissections can be caused both by an intimal tear leading to propagation of blood within the media or by primary intramural haematoma with resultant intimal perforation (Macura et al., 2003). As this progresses, an intimal flap is lifted away from the media, resulting in two channels within the aortic lumen, referred to as the true and false lumens. Propagation of the flap and false lumen thrombosis can ultimately result in end- organ ischaemia. Intramural haematoma is thought to be the result of spontaneous bleeding of the vasa vasorum into the media. A penetrating atherosclerotic ulcer is defined as ulceration within atherosclerosis that herniates into the media. This can also result in intramural haematoma. Penetrating aortic ulcers and intramural haematoma can both progress to aortic dissection (Macura et al., 2003). Spontaneous aortic dissection is usually seen in the middle aged to elderly population, with spontaneous cases commonly associated with hypertension and atherosclerosis. Secondary causes include trauma (usually preceded by intramural haematoma) and collagen vascular diseases such as Marfan and Ehlers–Danlos syndromes; these conditions should be considered in younger patients presenting with dissection. Typical symptoms and signs of aortic dissection include upper limb blood pressure asymmetry and ‘tearing’ chest pain that radiates through to the back, although an absence of these findings does not exclude MODALITY PROTOCOL CT Unenhanced. No oral contrast. Scan from just above aortic arch to diaphragm level. Aortic angiogram: 100 ml IV contrast via 18G cannula, 4 ml/sec. Bolus track centred on the descending thoracic aorta. Scan from just above aortic arch to femoral head level. Table 1.1 Acute aortic syndrome. Imaging protocol. the diagnosis. The mortality rate depends on both the underlying pathology and the extent of aortic involvement. However, the potential complications are severe; as such, the on-call radiologist should have a high index of suspicion for this pathology. Radiological investigations CT angiography (CTA), with corresponding unenhanced imaging to identify intramural haematoma, has a high sensitivity and specificity for acute aortic syndrome and is the modality of choice. The scanning area should extend from just above the aortic arch to the femoral heads to prevent missing the true extent of a dissection. Chest plain film imaging may show signs such as an abnormal aortic contour or widened mediastinum; however, plain film imaging is neither sensitive nor specific for aortic dissection. (See Table 1.1.) K22247_C001.indd 3 16/05/15 3:06 AM
  • 26.
    Chapter 14 Radiological findings Computedtomography The unenhanced phase should be scrutinised for intramural haematoma, which appears as crescenteric high attenuation material within the aortic wall. This is best appreciated on a narrow image window setting (Figure 1.1a) and can be difficult to appreciate on the enhanced phase (Figure 1.1b). On contrast enhanced CT aortography, intramural haematoma presents as a low attenuation crescent or circumferential opacity (in relation to the IV contrast) and can be confused with non-calcified atherosclerotic disease. When interpreting contrast enhanced CT aortography,itisvitalthattheaortaisscrutinisedinaxial, sagittalandcoronalplaneswithappropriatewindowing (width 400, level 100), which aids visualisation of the dissection flap (Figure 1.2a). This appears as a serpiginous, linear filling defect extending across the lumenoftheopacifiedaorta,dividingtheaortaintotwo channels, the true and false lumen. Inspecting the aorta onsofttissuewindowsettingsalonecanresultinafalse- negativeresult,sincethedissectionflapcanbeobscured by adjacent high attenuation IV contrast (Figure 1.2b). Delineation of the true and false lumens can be helpful as a guide to potential surgical or interventional management. The true lumen is defined as the lumen that is supplied by the aortic root. Generally, the true lumen is smaller, demonstrates denser contrast opacificationandissurroundedbyintimalcalcification, whereas the false lumen is larger, less dense and in time can become thrombosed. Distinguishing a thrombosed falselumen(whichcanbeseeninaorticdissection)from atherosclerotic intraluminal thrombus can be difficult; the former may displace intimal calcifications away from the aortic wall, a useful distinguishing feature. The most cranial and caudal aspect of a dissection flap/intramural haematoma should be identified; this may involve re-scanning the patient if the extent of dissection is not fully imaged initially. The major branches of the aorta arch should be scrutinised; propagationintotheaorticarchcanresultinthrombosis and cerebral ischaemia (Figure 1.3). Involvement of the aortic root may threaten the coronary arteries and can rupture into the pericardium, resulting in haemopericardium and cardiac tamponade; the former is suggested by intermediate to high density (25 Hu) fluid in the pericardial space (Figure 1.4). Cardiac tamponade can occur with even a small volume of fluid and is more dependent on the rate of accumulation. Secondary signs (e.g. flattening/bowing of the LV septum,refluxofcontrastintotheIVC/azygousveinand distension of the SVC/IVC) can be unreliable. Clinical review looking for a raised JVP and pulsus paradoxus and further investigation with echocardiography is Figures 1.1a, b  Axial images: unenhanced and IV contrast enhanced scans of the aortic arch in the arterial phase. The unenhanced image demonstrates a hyperdense crescenteric rim outlining the aortic arch, representing intramural haematoma (arrow). On the contrast enhanced image, this is difficult to appreciate. (a) (b) K22247_C001.indd 4 16/05/15 3:06 AM
  • 27.
    5Thoracic imaging Figure 1.3 Coronal image: IV contrast enhanced CT scan of the thorax in the arterial phase. A dissection flap can be seen extending from the aortic root and involving the brachiocephalic trunk, which may compromise distal blood flow into the right common carotid artery and right subclavian artery. Figure 1.4  Axial image: IV contrast enhanced CT scan of the thorax in the arterial phase. A dissection flap is shown within the aortic root. In addition, hyperdense material is seen in the pericardium consistent with haemopericardium (arrow). This may occur in coronary artery rupture as a result of dissection. Figures 1.2a, b  Axial images: IV contrast enhanced CT scans of the thorax in the arterial phase. There is a serpiginous, linear structure within the aortic arch containing flecks of calcification consistent with an aortic dissection flap (arrow). Figure 1.2b demonstrates the importance of appropriate window width and level, as the dissection flap is barely visible without image manipulation. (a) (b) K22247_C001.indd 5 16/05/15 3:06 AM
  • 28.
    Chapter 16 required. Cardiacmotion artefact, which commonly occurs in the region of the aortic root, can be misinterpreted as a dissection flap. Familiarity with this artefact can prevent a false-positive result (Figure 1.5). The dissection can also extend caudally into the descending thoracic and abdominal aorta; the coeliac axis, SMA and IMA should be closely inspected for involvement. Furthermore, it is useful to identify which of the main abdominal aortic branch vessels arise from thefalselumen,astheseareatriskofischaemia.Coeliac axisinvolvementcanresultin liver or splenic ischaemia, whichtypicallypresentsasreducedenhancement.SMA or IMA involvement can result in bowel ischaemia (see Chapter 2:Gastrointestinalandgenitourinaryimaging, Bowel ischaemia and enterocolitis). Both intramural haematoma and aortic dissection should be classified according to the Stanford or DeBakey model; this has important prognostic and management implications (Table 1.2). LOCATION MANAGEMENT Stanford A Involving thoracic aorta proximal to origin of left subclavian artery. Surgical. Stanford B Involving the aorta distal to the left subclavian artery. Conservative. DeBakey I Involving ascending aorta, aortic arch and descending aorta. Surgical. DeBakey II Involving ascending aorta. Surgical. DeBakey III Involving descending aorta only. Conservative. Table 1.2  Stanford and DeBakey systems. Figure 1.5  Axial image: IV contrast enhanced CT scan of the thorax in the arterial phase. Normal appearance of the heart. An apparent, linear defect structure can be seen in the ascending aorta. This is a normal appearance in non-ECG-gated studies resulting from cardiac motion during the scan. A penetrating atherosclerotic ulcer is usually associated with marked atherosclerotic disease and appears as a focal bulging or out-pouching of the aortic wall, usually separating atherosclerotic calcification (Figure 1.6). Although sometimes subtle, this is an important finding and can ultimately progress to intramural haematoma, aneurysm and aortic rupture. Comparison with previous imaging is useful to help identify this important pathology. Key points • Acute aortic syndrome is a spectrum of abnormality comprising aortic ulceration, intramural haematoma and dissection. • Contrast enhanced CT is the imaging modality of choice to characterise aortic dissection. Unenhanced CT imaging should be performed to aid identification of intramural haematoma. K22247_C001.indd 6 16/05/15 3:06 AM
  • 29.
    7Thoracic imaging • Carefulwindowing is required to identify dissection flaps. Intramural haematoma appears as crescenteric high attenuation material within the aortic wall on the unenhanced phase. Report checklist • Presence or absence of intramural haematoma. • Cranial and caudal extent of the dissection flap. • Patency of great vessels/coeliac axis/SMA/IMA/ renal arteries. • Presence of pericardial blood and any signs of cardiac tamponade. • Classification. Reference Macura JK, Corl FM, Fishman EK et al. (2003) Pathogenesis in acute aortic syndromes: aortic dissection, intramural hematoma, and penetrating atherosclerotic aortic ulcer. Am J Roentgenol 181:309–316. Figure 1.6  Axial image: IV contrast enhanced CT scan of the thorax in the arterial phase. A small outpouching of contrast can be seen through a defect in the distal aspect of the aortic arch, representing an atherosclerotic ulcer (arrow). THORACIC AORTIC INJURY Aorticinjuryisamajorconcerninthesettingofprimarily blunt,butalsopenetrating,thoracictrauma.Traumatic injury of the thoracic aorta is a spectrum of injury, including aortic intramural haematoma and dissection, laceration, pseudoaneurysm (in which a rupture is containedbyperiaorticsofttissues)andcompleteaortic transection and rupture (see Acute aortic syndrome for discussion on aortic intramural haematoma and dissection). Injury occurs most commonly at regions of aortic tethering, such as the aortic isthmus. Classic symptoms and signs include chest pain, dyspnoea and upper limb hypertension with associated lower limb hypotension. Ultimately, aortic transection and rupture result in profound haemodynamic instability. Mortality rates are high, estimated at 80–90% in untreated aortic injury (Parmley et al., 1958). As such, the on-call radiologist should have a high index of suspicion for aortic injury in this scenario. Accurate and swift diagnosis is vital, facilitating urgent surgical or interventional repair. Radiological investigations CT is the most sensitive and specific modality for aortic trauma. Both enhanced and unenhanced phases should be performed, the latter aiding in identification of intramural haematoma, although often the precise protocol is determined by departmental polytrauma guidelines. Depending on the clinical presentation of the patient, chest plain film imaging can be used as an initial screening test, although this modality is not reliable enough to exclude more subtle injury and can appear normal in up to 7% of significant aortic injuries (Fabian et al., 1997). (See Table 1.3.) MODALITY PROTOCOL CT Unenhanced. Scan from aortic arch to diaphragm level. Aortic angiogram: 100 ml IV contrast via 18G cannula, 4 ml/sec. Bolus track centred on the aortic arch. Scan from aortic arch to diaphragm level. Table 1.3 Thoracic aortic injury. Imaging protocol. K22247_C001.indd 7 16/05/15 3:06 AM
  • 30.
    Chapter 18 as haematoma.Any loss of definition of the aortic wall should also be treated with suspicion, as should focal periaortic fat stranding. Focal filling defects within the aortic lumen can indicate intraluminal clot and occult injury, although comparison with previous imaging is helpful to assess for pre-existing atheroma (Figure 1.9). Aortic dissection and intramural haematoma can also be seen in traumatic aortic injury (see Acute aortic syndrome for these findings). Any suspicion of aortic injury should be urgently communicated to the referring team. Plain films While chest plain film imaging cannot exclude aortic injury, it can yield helpful signs. Mediastinal widening of 8cm canbeanindicator of mediastinal haematoma. It should be noted that the sensitivity and specificity of mediastinal widening for aortic injury varies from 53–100% and 1–60%, respectively (Groskin, 1992). The most common cause of mediastinal haematoma in trauma is the tearing of small mediastinal veins, as opposed to aortic injury. Other signs of aortic injury include an indistinct aortic contour, left apical pleural cap, tracheal deviation and depression of the left main bronchus. Radiological findings Computed tomography As with all polytrauma cases, a ‘primary survey’ of CT imaging should be performed in an attempt to identify immediately life-threatening aortic injury. The thoracic aorta should be scrutinised using multiplanar reformatting and appropriate window settings (window 400, level 100). Focal aortic contour deformities (including focal aneurysms) and mural discontinuity are direct signs of aortic injury (Figures 1.7a, b). Familiarity with the normal appearance of the aortic isthmus is essential, since this canbemistakenforaorticinjury.Activeextravasationof IVcontrast,commonlyintothemediastinumorpleural spaces, is indicative of active bleeding. There are more subtle signs of aortic injury. The presence of mediastinal haematoma should always make the on-call radiologist suspicious, although other causes include venous injury (including the azygous vein) and vertebral body fractures. Mediastinal haematoma presents on CT as increased attenuation material within the mediastinum (30 Hu). Periaortic haematoma is extremely worrisome for an occult aortic injury (Figures 1.8a, b). Both residual thymic tissue and pericardial recesses can be misinterpreted Figures 1.7a, b  Axial and coronal images: IV contrast enhanced CT scans of the thorax in the arterial phase. Both cases demonstrate contour abnormality of the thoracic aorta, in keeping with aortic injury (arrows). (a) (b) K22247_C001.indd 8 16/05/15 3:06 AM
  • 31.
    9Thoracic imaging References Fabian TC,Richardson JD, Croce MA et al. (1997) Prospective study of blunt aortic injury: multicenter trial of the American Association for the Surgery of Trauma. J Trauma Acute Care Surg 42:374–380; discussion 380–383. Groskin SA (1992) Selected topics in chest trauma. Radiology 183:605–617. Parmley LF, Mattingly TW, Manion WC et al. (1958) Nonpenetrating traumatic injury of the aorta. Circulation 17:1086–1101. Figure 1.9  Axial image: IV contrast enhanced CT scan of the thorax in the arterial phase. There is a filling defect within the aortic lumen, in keeping with a clot (arrow). Periaortic haematoma is also present. Figures 1.8a, 8b  Axial images: IV contrast enhanced CT scans of the thorax in the arterial phase. There is increased density material in the para-aortic regions consistent with haematoma (arrows). This can be seen tracking inferiorly in the posterior mediastinum along the descending thoracic aorta. An aortic dissection flap can be seen within the aortic lumen (1.8a). Key points • Aortic injury is a life-threatening complication of both blunt and penetrating trauma. • CT is the modality of choice to investigate aortic injury but radiological signs may also be seen on plain film radiographs. Report checklist • Document the relevant negatives of thoracic aortic injury, including aortic contour abnormality, mediastinal haematoma and active extravasation. • Recommend urgent surgical and interventional radiology opinion. (a) (b) K22247_C001.indd 9 16/05/15 3:06 AM
  • 32.
    Chapter 110 PULMONARY EMBOLISM Pulmonaryembolismisamedicalemergency,although clinicalpresentation varies according to the degree of arterial occlusion. Pulmonary emboli most commonly arise from the deep venous system of the lower extremities, but emboli can also occur from the upper limbs, right-sided cardiac chambers and jugular venous system. There are many risk factors for pulmonary embolism,namelythosethatproduceahypercoagulable state (Table 1.4). Occlusion of the pulmonary arteries causes both respiratory and cardiovascular effects. Respiratory effects include increased alveolar dead space, hypoxaemia, hyperventilation and pulmonary infarction. Cardiovascular effects include an increase in pulmonary vascular resistance, which also results in an increase in right ventricular afterload and right ventricular failure (compounded by reflex pulmonary arterial constriction). Symptoms and signs include chest pain, dyspnoea, haemoptysis and collapse. Chest pain is typically pleuritic in nature, although this classic type of pain is only usually present in small peripheral emboli that cause pleural inflammation and irritation. Hypoxaemia is frequently, but not universally, present on arterial blood gas analysis. Large emboli causing proximal occlusion of the pulmonary arterial system can result in profound haemodynamic instability, leadingtocardiacarrest.Becauseofthisvariableclinical presentation, it can be useful to clinically separate cases into suspected massive and non-massive pulmonary embolism, which in turn dictates further investigation and urgency of diagnosis. It is important to appreciate that radiology only plays one part in the investigation pathway of suspected non-massive pulmonary embolism, which also includes clinical pre-test probability scoring and laboratory D-dimer analysis. The National Institute for Health and Clinical Excellence (NICE) in the UK has published revised guidelines for the investigation and managementofpulmonaryembolismbasedona2-level WellsScoreratherthana3-levelWellsScore(Table1.5; Figure 1.10, NICE, 2012). D-dimer analysis should be performed only on patients with a low or intermediate pre-test probability of pulmonary embolism; a normal D-dimertestinthisscenariohasalmosta100%negative predictive value and excludes the diagnosis. A positive MAJOR RISK FACTORS (RELATIVE RISK 5–20) Surgery (where appropriate prophylaxis is used, relative risk is much lower) Major abdominal/pelvic surgery. Hip/knee replacement. Postoperative intensive care. Obstetrics Late pregnancy. Caesarean section. Puerperium. Lower limb problems Fracture. Varicose veins. Malignancy Abdominal/pelvic. Advanced/metastatic. Reduced mobility Hospitalisation. Institutional care. Miscellaneous Previous proven venous thromboembolus. MINOR RISK FACTORS (RELATIVE RISK 2–4) Cardiovascular Congenital heart disease. Congestive cardiac failure. Hypertension. Superficial venous thrombosis. Indwelling central vein catheter. Oestrogens Oral contraceptive. Hormone replacement therapy. Miscellaneous Chronic obstructive pulmonary disease. Neurological disability. Occult malignancy. Thrombotic disorders. Long-distance sedentary travel. Obesity. Other (inflammatory bowel disease, nephrotic syndrome, chronic dialysis, myeloproliferative disorders, paroxysmal nocturnal haemoglobinuria, Behçet’s disease). Table 1.4 Risk factors for venous thromboembolism (Campbell et al., 2003). K22247_C001.indd 10 16/05/15 3:06 AM
  • 33.
    11Thoracic imaging performed within24 hours (Campbell et al., 2003). CTPA is now considered the initial imaging modality of choice in suspected cases of non-massive pulmonary embolism. The advantages of CTPA include its relativelyhighsensitivityandspecificity,availabilityout of hours and ability to identify alternative intrathoracic pathologies. A negative CTPA study of diagnostic quality effectively excludes the diagnosis of pulmonary embolism. Limitations of CT include indeterminate results owing to suboptimal contrast opacification within the pulmonary arterial system, and a breathing artefact, which can both limit interpretation of the more distal arterial system. Isotope lung scanning can be used as an alternative or adjunct to CT in the absence of a co-existing structural lung abnormality, although this modality is not readily available out of hours in most centres. While a low probability result from an isotope scan effectively excludes the diagnosis, ahighprobabilitystudycanstillyieldasignificantfalse- positive rate. Both CTPA and echocardiography are considered diagnostic for suspected cases of massive pulmonary embolism. The exact modality often depends on local protocol; however, it must be emphasised that imaging CLINICAL FEATURES POINTS Clinical signs and symptoms of DVT (minimum of leg swelling and pain with palpation of the deep veins) 3 An alternative diagnosis is less likely than PE 3 Heart rate 100 beats per minute 1.5 Immobilisation for more than 3 days or surgery in the previous 4 weeks 1.5 Previous DVT/PE 1.5 Haemoptysis 1 Malignancy (on treatment, treated in the last 6 months, or palliative) 1 Clinical probability simplified score PE likely More than 4 points PE unlikely 4 points or less Adapted from Wells PS, Anderson DR, Rodger M et al. (2000) Derivation of a simple clinical model to categorize patients probability of pulmonary embolism: increasing the model’s utility with the SimpliRED D-dimer. Thromb Haemost 83:416–420, with permission. DVT = deep pain thrombosis; PE = pulmonary embolism. Table 1.5  Two-level Wells score. result necessitates further radiological investigation to exclude pulmonary embolism; however, false-positive results can be seen secondary to infection, malignancy, pregnancy and recent surgery. D-dimer analysis should generally not be performed in patients with a high pre-test probability, since a false-negative result can occur in over 15% of cases (Stein PD et al., 2007). In stable patients with suspected non-massive pulmonary embolism, treatment in the form of anticoagulation can be started prophylactically prior to radiological confirmation or exclusion. The investigation pathway is different for suspected cases of massive pulmonary embolism, since urgent diagnosis is vital in order to facilitate urgent thrombolytic therapy. Radiological investigations Due to the often non-specific presentation of pulmonary embolism, all stable patients with suspected pulmonary embolism should have chest plain film imaging prior to further imaging. While this modality cannot confirm the diagnosis, it may diagnose alternativepathologiesthatcanaccountforthepatient’s symptoms. British Thoracic Society (BTS) guidelines recommend that diagnostic imaging should ideally be K22247_C001.indd 11 16/05/15 3:06 AM
  • 34.
    Chapter 112 Figure 1.10 Suggested algorithm for the diagnosis of acute pulmonary embolism (PE). Patient with signs or symptoms of PE Other causes excluded by assessment of general medical history, physical examination and chest X-ray PE suspected Two-level PE Wells score PE likely (4 points) Is CTPA* suitable** and available immediately? Yes No Offer CTPA (or V/Q SPECT or planar scan) Immediate interim parenteral anticoagulant therapy CTPA (or V/Q SPECT or planar scan) PE unlikely ( 4 points) D-dimer test Was the D-dimer test positive? Is CTPA* suitable** and available immediately? Immediate interim parenteral anticoagulant therapy Offer CTPA (or V/Q SPECT or planar scan) CTPA (or V/Q SPECT or planar scan) Was the CTPA (or V/Q SPECT or planar scan) positive? Advise the patient it is not likely that he/ she has PE. Discuss the signs and symptoms of PE, and when and where to seek further medical help. Take into consideration alternative diagnoses. Advise the patient it is not likely that he/she has PE. Discuss the signs and symptoms of PE, and when and where to seek further medical help. Take into consideration alternative diagnoses. Consider a proximal leg vein ultrasound scan. Is deep vein thrombosis suspected? Was the CTPA (or V/Q SPECT or planar scan) positive? Yes Yes No No Diagnose PE and treat Yes No Yes No Yes No *Computed tomography pulmonary angiogram **For patients who have an allergy to contrast media, or who have renal impairment, or whose risk from irradiation is high, assess the suitability of V/Q SPECT† or, if not available, V/Q planar scan, as an alternative to CTPA. †Ventilation/perfusion single photon emission computed tomography K22247_C001.indd 12 16/05/15 3:06 AM ≤
  • 35.
    13Thoracic imaging should neverdelay urgent thrombolysis if massive pulmonary embolism is suspected clinically. (See Table 1.6.) Radiological findings Computed tomography pulmonary angiogram Interpretation of CTPA studies should begin with an assessment of the quality of the study, namely the degree of pulmonary artery contrast opacification and any potential breathing artefact. An average attenuation of at least 250 Hu is required in the main pulmonary trunk to accurately diagnose more distal emboli. Opacification depends on the size and site of IV access, rate of injection and exact scan protocol; inspiration just prior to scanning can cause poorly MODALITY PROTOCOL CT Pulmonary angiogram: 100 ml IV contrast via 18G cannula, 4 ml/sec. Bolus track centred on main pulmonary artery. Scan from thoracic inlet to diaphragm level. Table 1.6 Pulmonary embolus. Imaging protocol. opacified blood to be introduced into the pulmonary arterial system, resulting in the mixing and dilution of contrast. The precise sensitivity of CTPA studies varies according to both the quality of contrast opacification and the degree of artefact (e.g. breathing). It may be the case that contrast opacification centrally is adequate; however, emboli more distal in the pulmonary arterial system cannot be excluded. It is good practice to quantify to what arterial level emboli can be excluded: lobar, segmental or subsegmental. Thepulmonaryarterialsystemshouldbescrutinised systematically using multiplanar reformatting. A rounded intraluminal filling defect within a pulmonary artery, which may also cause slight vessel expansion, is consistentwithanacuteembolus(Figure 1.11).Itcanbe difficult to appreciate emboli if the pulmonary arteries are inspected on standard soft tissue window settings, since they can be obscured by the dense IV contrast. Inspection on a relatively wide window setting (width 700, level 100) can alleviate this. A gradual decrease in opacification of the distal segmental and sub- segmental pulmonary arteries on a suboptimal study should not be confused with multiple emboli. Poorly opacified pulmonary veins can also be misinterpreted as emboli within the arterial system. Findings seen in association with pulmonary embolism include Figure 1.11  Axial image: IV contrast enhanced CT pulmonary angiogram. A filling defect is outlined by intravenous contrast in the right main pulmonary artery consistent with acute embolus (arrow). K22247_C001.indd 13 16/05/15 3:06 AM
  • 36.
    Chapter 114 narrowing dueto recanalisation (Figures 1.14). A focal linear intraluminal filling defect within a pulmonary artery is suggestive of an arterial web, which can be seen as a result of chronic emboli. Secondary pulmonary artery hypertension can result from multiple chronic emboli. The main sign of pulmonary hypertension on CT is enlargement of the main pulmonary artery (greater than 34 mm or larger than the corresponding ascendingaorta;Figure 1.15).Mosaicattenuationofthe lung parenchyma can also be seen in cases of chronic pulmonary emboli, although this appearance has a wide differential diagnosis (Figure 1.16). pleural effusions, atelectasis and pulmonary infarcts. The latter present as peripheral wedge-shaped areas of consolidation,which inthesubacutephasemaycavitate (Figures 1.12a–c, 1.13). Chronic pulmonary embolism can provide a diagnosticchallengefortheradiologist,althoughseveral findings can be observed that imply this diagnosis. Calcification of a filling defect suggests chronicity. Otherradiologicalsignsincludefillingdefectsthatcause narrowing (as opposed to expansion), eccentric filling defects that form an obtuse (as opposed to acute) angle with the pulmonary artery wall and an abrupt artery Figures 1.12a–c  Axial images: IV contrast enhanced CT scans of the thorax in the arterial phase. Peripheral, wedge-shaped area of consolidation shown. Over time, the area of consolidation develops an irregular, thick rind with areas of cavitation centrally due to infarction. Note the associated pulmonary arterial filling defects in 1.12b and 1.12c consistent with pulmonary emboli. (a) (b)(b) (c) K22247_C001.indd 14 16/05/15 3:06 AM
  • 37.
    15Thoracic imaging Figure 1.13 PA chest radiograph. Area of peripheral consolidation at the left mid zone representing an area of peripheral lung infarction. Figure 1.14  Axial image: IV contrast enhanced CT scan of the pulmonary trunk in the arterial phase. There are features of chronic pulmonary emboli with recannalised embolic material seen along the walls of the right main pulmonary artery (arrow). Figure 1.15  Axial image: IV contrast enhanced CT pulmonary angiogram. The diameter of the main pulmonary trunk is greater than the diameter of the ascending aorta at that same level, suggesting pulmonary hypertension. The cause is chronic pulmonary emboli completely occluding the right main pulmonary artery. Figure 1.16  Axial image: IV contrast enhanced CT scan of the thorax in the arterial phase. Mosaic attenuation of the right upper lobe is shown as a result of abnormal pulmonary perfusion in chronic embolic disease. K22247_C001.indd 15 16/05/15 3:06 AM
  • 38.
    Chapter 116 CT studiescan also yield information regarding the severity of cardiovascular compromise secondary to pulmonary emboli. Right ventricular dysfunction and adverse outcome is indicated by a short-axis right ventricle:left ventricle ratio of greater than 1.5 or convex bowing of the interventricular septum towards the left (Figure 1.17). This is an important finding and if present may necessitate thrombolysis, although this ultimately depends on the clinical condition of the patient. Whenever the scan is negative it is important to look foranothercauseforchestpainorshortnessofbreathto explainthepatient’ssymptoms.Theaortaandtheheart should be assessed for aortic pathology or myocardial infarction. A septal infarct on a CTPA scan is shown (Figure 1.18). Key points • Radiology is only a part of the investigation pathway for pulmonary embolism, which includes pre-test probability scoring and D-dimer analysis where appropriate. • CTPA is the out of hours imaging modality of choice in the investigation of pulmonary emboli. • A Hu of greater than 250 in the main pulmonary artery is required for an optimal study. Figure 1.17  Axial image: IV contrast enhanced CT scan of the thorax in the arterial phase. The right ventricle:left ventricle ratio is increased with bowing of the interventricular septum to the left. Figure 1.18  Axial image: IV contrast enhanced CT scan of the thorax in the arterial phase. There is focal hypoenhancement in the LV septum suggestive of an acute septal infarct (arrow). • Pulmonary emboli appear as intraluminal filling defects on CTPA. • The severity of cardiovascular compromise secondary to a large pulmonary embolus is best assessed by the short-axis right ventricle:left ventricle ratio. Report checklist • The presence or absence of any evidence of right heart strain. References Campbell IA, Fennerty A, Miller AC (2003) British Thoracic Society guidelines for the management of suspected acute pulmonary embolism. Thorax 58:47–484. National Institute of Health and Care Excellence (NICE) Clinical Guideline 144 (2012) Venous thromboembolic diseases: the management of venous thromboembolic diseases and the role of thrombophilia testing. Stein P, Woodard P, Weg J et al. (2007) Diagnostic pathways in acute pulmonary embolism: recommendations of the PIOPED II Investigators. Radiology 242:15–21. K22247_C001.indd 16 16/05/15 3:06 AM
  • 39.
    17Thoracic imaging auscultation. Co-existingsigns, such as peripheral pitting oedema and elevated JVP, imply congestive cardiac failure. Radiological investigations Plain films are the first-line modality in the investigation of pulmonary oedema; additional cross- sectional imaging is not required to make the diagnosis. However, because of the non-specific symptoms and signs of pulmonary oedema, it can often be seen on CT imaging performed for other indications, and therefore the common CT findings are discussed subsequently. Further investigation of the underlying aetiology often involves cardiology input. Radiological findings Computed tomography and plain films An understanding of the anatomy of the lung is necessary to appreciate the spectrum of abnormality seen in pulmonary oedema on both plain films and CT. The secondary pulmonary lobule is the most basic unit of pulmonary structure and is bordered by a surrounding septum of connective tissue. It is comprised of multiple acini (responsible for gas exchange) with a central terminal bronchiole and centrilobular artery. The peripheral septum contains both the pulmonary veins and lymphatics, although there is another central lymphatic network that courses centrallythroughthesecondarypulmonarylobulewith the bronchovascular bundle. Excess fluid can fill both thealveolarairspaces(resultingingroundglassopacity, whichcanprogresstoconsolidation)andthepulmonary ACUTE PULMONARY OEDEMA Pulmonary oedema is a medical emergency and can be defined as an excess of fluid in the extravascular spaces of the lung, occurring when there is imbalance of fluid deposition and absorption. This complex balance is affected by the hydrostatic and oncotic pressures of the intravascular and extravascular compartments and capillary membrane permeability (Gluecker et al., 1999). Thus, any increases in capillary hydrostatic pressure or membrane permeability can result in pulmonary oedema. The many causes of pulmonary oedema can be broadly divided into cardiac and non-cardiac (Table 1.7).Commoncausesincludepulmonaryvenous hypertension secondary to left ventricular failure and fluid overload. Damage to the capillary bed may also result in pulmonary oedema. When associated with respiratory failure and reduced lung compliance, this is termed acute respiratory distress syndrome (ARDS) (Table 1.8) and is characterised by a normal pulmonary capillary wedge pressure (PCWP). Symptoms and signs of pulmonary oedema include rapid onset dyspnoea, hypoxia and crepitations on lung CARDIOGENIC NON-CARDIOGENIC Left heart failure. Mitral valve disease. Fluid overload. Post-obstructive pulmonary oedema. Pulmonary veno-occlusive disease. Near drowning pulmonary oedema/ asphyxiation pulmonary oedema. ARDS–pulmonary oedema with diffuse alveolar damage. Heroin-induced pulmonary oedema. Transfusion-related acute lung injury. High-altitude pulmonary oedema. Neurogenic pulmonary oedema. Pulmonary oedema following lung transplantation. Re-expansion pulmonary oedema. Post lung volume reduction pulmonary oedema. Pulmonary oedema due to air embolism. Table 1.7  Causes of pulmonary oedema. • Septicaemia. • Shock. • Burns. • Acute pancreatitis. • Disseminated intravascular coagulation. • Drugs. • Inhalation of noxious fumes. • Aspiration of fluid. • Fat embolism. • Amniotic fluid embolism. Table 1.8  Causes of ARDS. K22247_C001.indd 17 16/05/15 3:06 AM
  • 40.
    Chapter 118 interlobular septalthickening and visualisation of the secondary pulmonary lobule (Figures 1.20a, b). This, in combination with ground glass opacity, may form a ‘crazy paving’ appearance. This has a wide differential diagnosis, which includes: • Alveolar proteinosis. • Oedema (heart failure/ARDS). • Pulmonary haemorrhage. • Infection (e.g. mycoplasma, Legionella, Pneumocystis carinii/jiroveci pneumonia). • Organising pneumonia. • Acute interstitial pneumonitis/non-specific interstitial pneumonitis. As PCWP continues to increase, alveolar oedema will occur, appearing as multifocal areas of ground glass and airspace opacity in perihilar and dependent regions of the lungs (Figure 1.21). Distinguishing the underlying cause of pulmonary oedema is helpful clinically, although often difficult. Upper lobe blood diversion and Kerley lines are most suggestive of pulmonary venous hypertension secondary to cardiac failure. Associated findings such as cardiomegaly and bilateral pleural effusions are also suggestive of underlying left ventricular failure. In the absence of cardiomegaly, other causes of pulmonary oedema should be considered, such as fluid overload or ARDS, although it should be noted that acute myocardial infarction can cause pulmonary oedema with a normal heart size in the absence of pre-existing left ventricular failure. It is always useful to look at the myocardial enhancement and attenuation of the left ventricle on CT. This should be uniform; however, in myocardial infarction the myocardium may demonstrate decreased attenuation. This represents decreased enhancement in acute infarction and fatty deposition in chronic infarction (Figure 1.22). Key points • Pulmonary oedema is a medical emergency and can cause rapid-onset respiratory failure. • The commonest cause of pulmonary oedema is pulmonary venous hypertension secondary to left ventricular failure, although other causes include fluid overload and ARDS. In the absence of associated cardiomegaly, non-cardiogenic causes should be considered. interstitium (resulting in smooth interlobular septal thickening). Interpretation of chest plain films should begin with an assessment of the quality and radiographic technique. Anterior-posterior studies can overestimate the size of the cardiac silhouette due to X-ray beam divergence. Supine images, as opposed to erect images, cancauseredistributionofbloodtotheupperzonesand widening of the vascular pedicle, important signs of left ventricularfailureandpulmonaryvenoushypertension, respectively. Poorly inspired images (6 anterior ribs) can cause crowding of the pulmonary vasculature and apparent lung congestion. Therefore, a PA chest radiograph is the best for identifying the appropriate features. The spectrum of findings seen on both plain films and CT in pulmonary venous hypertension can be correlated with a progressive increase in PCWP. A mild increase in PCWP results in upper lobe blood diversion. As PCWP increases, additional findings such as peribronchial cuffing, loss of vascular definition and Kerley lines can be seen, all of which indicate excess fluid in the interstitium (Gluecker et al., 1999) (Figure 1.19). On CT, the normal interstitium should be imperceptible. Excess fluid can result in smooth Figure 1.19  AP portable chest radiograph. Fluid can be seen in the horizontal fissure, as well as within the interstitium along the periphery of the thorax. There is also loss of vascular definition due to venous hypertension. K22247_C001.indd 18 16/05/15 3:06 AM
  • 41.
    19Thoracic imaging Report checklist • Presence or absence of associated cardiomegaly. Reference GlueckerT,CapassoP,SchnyderPet al.(1999)Clinical and radiologic features of pulmonary oedema. Radiographics 19:1507–1531. • Plain films are the first-line modality to investigate pulmonary oedema. CT is NOT indicated in the investigation of pulmonary oedema, although this is frequently seen in acute CT chest examinations. • Loss of vascular definition and Kerley lines imply interstitial oedema. Alveolar oedema appears as multifocal airspace opacities in the perihilar and dependent regions of the lungs. Figures 1.20a, b  Axial images: IV contrast enhanced CT scans of the thorax. There is a combination of interlobular septal thickening and patchy ground glass opacity, resulting in a crazy paving appearance. Figure 1.21  AP chest radiograph. There are bilateral, perihilar airspace opacities consistent with alveolar oedema. The costophrenic angles are not visible due to bilateral pleural effusions. Figure 1.22  Axial image: IV contrast enhanced CT scan of the thorax in the arterial phase. There is subendocardial fat deposition at the LV apex in keeping with previous myocardial infarction. (a) (b) K22247_C001.indd 19 16/05/15 3:06 AM
  • 42.
    Chapter 120 familiarity withthe wide variation of appearances of the ‘normal’ SVC is important. Any large extrinsic mass significantly compressing the SVC is easily evident on CT (Figures 1.23a–c). Difficulty comes in identifying intrinsic SVC thrombus or tumour infiltration, since flow in the SVC can often be turbulent. This is made even more challenging by the dilution of IV contrast material in the SVC by unenhanced blood from the IVC, which can simulate intraluminal thrombus. Thrombus should be suspected in the presence of a focal filling defect in the SVC lumen, which may also cause expansion of the lumen with localised stranding of the adjacent fat. Thrombus may extend into the brachiocephalic and subclavian veins, which should also be inspected. Regardless of the cause, the length and severity of obstruction should be considered; total occlusion of the SVC lumen may require more urgent treatmentthanpartialocclusion.Completeobstruction of the SVC results in a significant hold up of contrast in the venous system proximal to the level of obstruction. Knowledge of the potential collateral pathways in SVC obstruction is necessary in order to assess the severity and duration of the obstruction. The main collateral systems include the azygous-hemiazygous (most important), internal mammary, long thoracic and vertebral venous pathways (Sheth et al., 2009). In normalconditions,antegradebloodflowshouldbeseen SUPERIOR VENA CAVA OBSTRUCTION Superiorvenacava(SVC)syndromereferstoaspectrum of clinical findings that occur secondary to obstruction of the SVC. The most common causes of SVC obstructionarepulmonaryandmediastinalmalignancy. Other causes include thrombosis of the SVC secondary to central line placement, benign mediastinal tumours, vascular aneurysms, mediastinal fibrosis and radiation fibrosis. Symptoms and signs include neck and upper limb swelling, distended superficial veins in the SVC territory,dyspnoeaandheadache(secondarytocerebral oedema from impaired venous drainage). The severity of symptoms has been shown to depend on the level of obstruction (above or below the azygous arch) and the presence of a collateral network (Plekker et al., 2008). Althoughtheseverityofthepresentationoftendepends on the duration of obstruction, urgent diagnosis is necessary to facilitate treatment such as radiotherapy and interventional stenting. Radiological investigations Contrast enhanced CT allows visualisation of the SVC, venous collateralisation and the potential cause of the obstruction,andisconsideredthemodalityofchoicefor initial assessment. Catheter venography is reserved for therapeutic stent placement in confirmed cases. While chest plain films have value in identifying potential mediastinal and lung masses that may be a cause of SVC obstruction, this modality cannot confirm venous obstruction. Ultrasound with Doppler analysis of the upper limb, subclavian brachiocephalic and internal jugular veins can also be helpful. Dampening of the normalvenouswaveformandlossofnormalrespiratory variationareindirectsignsofSVCobstruction.Because ofthelimitedacousticwindow,theSVCitselfcannotbe imaged in its entirety with ultrasound. (See Table 1.9.) Radiological findings Computed tomography Analysis of CT imaging should begin with the SVC itself. The cross-sectional morphology of the SVC varies according to circulating volume; as such, MODALITY PROTOCOL CT Post IV contrast: 100 ml IV contrast via 18G cannula, 3 ml/sec. Scan at 30 seconds after initiation of injection. Scan from lung apices to diaphragm level. Table 1.9 Superior vena cava obstruction. Imaging protocol. K22247_C001.indd 20 16/05/15 3:06 AM
  • 43.
    21Thoracic imaging in theazygous and hemiazygous veins, which provide an accessory pathway of blood to the SVC and right atrium. Collateral flow in the azygous system should be suspected with abnormal venous distension, although this can also be seen with other conditions (Table 1.10). Venouscollateralvesselsappearasenlargedserpiginous vessels containing dense IV contrast; these can be seen in the chest wall, mediastinum, intercostal and • Congestive heart failure. • SVC obstruction. • Azygous continuation of the IVC. • Portal hypertension. • Constrictive pericarditis. Table 1.10  Causes of azygous distension. Figures 1.23a–c  Axial and coronal images: IV contrast enhanced CT scans of the thorax in the arterial phase. There is a spiculated mediastinally invasive lung tumour, which is compressing the SVC to a narrow slit. (a) (b) (c) K22247_C001.indd 21 16/05/15 3:06 AM
  • 44.
    Chapter 122 Report checklist • Document the degree of SVC obstruction. • Consider the underlying cause, such as an obstructing mass or intraluminal thrombus. • Document the degree of collateralisation. References Gosselin M, Rubin G (1997) Altered intravascular contrast material flow dynamics: clues for refining thoracic CT diagnosis. Am J Roentgenol 169:1597–1603. Plekker D, Ellis T, Irusen EM et al. (2008) Clinical and radiological grading of superior vena cava obstruction. Respiration 76:69–75. Sheth S, Ebert M, Fishman E (2009) Superior vena cava obstruction evaluation with MDCT. Am J Roentgenol 194:336–346. paravertebral regions (Figure 1.24). Obstruction of the SVC above the level of the azygous arch results in flow through chest wall collaterals into the azygous venous system. Obstruction distal to the level of the azygous arch results in retrograde flow in the azygous vein, presentingasdensecontrastmaterialwithintheazygous venous system on CT, which is normally unenhanced in physiological antegrade flow (Gosselin et al., 1997) (Figures 1.25a, b). The presence of collateral vessels implies a significant long-standing venous obstruction. Key points • SVC obstruction is a medical emergency. The most common causes include malignancy and iatrogenic related thrombosis. • Although catheter venography is more sensitive in subtle cases, CT is non-invasive and provides useful information of both the degree of obstruction and the underlying cause. Figure 1.24  Axial image: IV contrast enhanced CT scan of the thorax in the arterial phase. There are multiple, serpiginous enhancing vessels adjacent to the diaphragm consistent with venous collaterals, some of which drain into the IVC (arrow). Incidental note is made of a chronic left-sided pleural effusion. K22247_C001.indd 22 16/05/15 3:06 AM
  • 45.
    23Thoracic imaging Figures 1.25a,b  Axial images: IV contrast enhanced CT scans of the thorax in the arterial phase. Both cases demonstrate reflux of IV contrast from the SVC into the azygous vein. A hypoattenuating mass can be seen in the anterior mediastinum causing obstruction of the SVC proximally (1.25a). (a) (b) K22247_C001.indd 23 16/05/15 3:06 AM
  • 46.
  • 47.
    25 Chapter 2 GASTROINTESTINAL AND GENITOURINARYIMAGING ABDOMINAL AORTIC ­ANEURYSM  RUPTURE Abdominal aortic aneurysms (AAAs) are a vascular surgical emergency. A true aneurysm is defined as focal dilatation of the artery (an increase of at least 50% of the normal vessel diameter) that involves the intima, media and adventitia. In comparison, a pseudoaneurysm is a focal collection of blood that connects with the vessel lumen, but is bound only by adventitia or local soft tissues. AAA rupture occurs more commonly with advancing age, and is estimated to occur in 2–4% of the population over 50 years of age (Bengtsson et al., 1992). The most common cause of AAA rupture is degeneration of the vessel wall, traditionally attributed to atherosclerosis, although inflammatory, mycotic and traumatic pseudoaneurysms can also occur. Aneurysms are also associated with connective tissue disease, particularly in younger patients. The classic sign of a pulsatile abdominal mass may not always be present. Symptoms and signs may be more non- specific, including abdominal pain, collapse and haemodynamic instability. In practice, the on-call radiologist should have a high index of suspicion for this condition in any elderly patient presenting with abdominal pain. The mortality rate is high; at least 65% of patients with aortic aneurysm rupture and die before reaching hospital. Urgent diagnosis is vital in order to facilitate life saving open surgical or endovascular aneurysm repair. Radiological investigations Ultrasound and CT can both accurately assess the size of the abdominal aorta. Ultrasound has a well- established role in the long-term follow up of known cases of AAA; however, it also has a role in the acute MODALITY PROTOCOL CT Aortic angiogram: 100 ml IV via 18G ­cannula, 4 ml/sec. Bolus track centred on ­mid-abdominal aorta. No oral contrast. Scan from just above diaphragm to femoral head level. Table 2.1 Abdominal aortic aneurysm ­rupture. Imaging protocol. setting. Ultrasound can be performed initially in suitable patients who are stable and who do not have a known history of aortic aneurysm; a normal calibre aorta is unlikely to rupture spontaneously. The gross signs of aortic rupture, such as retroperitoneal haematoma, would be expected to be present, although the more subtle signs of impending rupture are difficult to assess with ultrasound. CT is the imaging modality of choice in assessing potential aortic aneurysm rupture and should be performed in unstable patients with a strong clinical suspicion without delay. CT not only has a high sensitivity and specificity for AAA rupture, but it is also useful in identifying alternative abdominal pathologies to account for the presentation. Both unenhanced and arterial phases should be obtained. (See Table 2.1.) Radiological findings Computed tomography In cases where AAA rupture is strongly suspected clinically, it can be helpful to review the initial images locally when the patient is still in the radiology department. This allows prompt communication of a rupture to the referring team. Comparison with previous imaging is extremely helpful in cases of known AAA. K22247_C002.indd 25 16/05/15 3:07 AM
  • 48.
    Chapter 226 Degenerative aneurysmsare usually fusiform in shape. Small, focal dissections within degenerative AAAs are not uncommon (Figure 2.2). A saccular aneurysm or lobulated contour should prompt a suspicion of infection (mycotic aneurysm). Additional findings suggestive of infection include significant periaortic inflammation, local fluid collections, vertebral body destruction and fistulation with adjacent structures (Figure 2.3). The presence of retroperitoneal or periaortic haematoma is indicative of aneurysmal rupture and shouldbeurgentlycommunicatedtothereferringteam (Figure 2.4). It is sometimes possible to identify the exactsiteofrupture;thisappearsasafocaldiscontinuity in the aortic wall. Active contrast extravasation can also sometimes be identified in the presence of IV contrast. An AAA is confirmed when the maximum diameter of the abdominal aorta exceeds 3 cm (Figure 2.1). The size, morphology and location of the aneurysm is best characterised on the arterial phase. Aneurysms can be infrarenal (originating below the level of the renal arteries) or suprarenal/renal; the location determines potential treatment. In infrarenal cases, the distance between the renal arteries and the most cranial aspect of the aneurysm should be measured; this information can dictate if a case is suitable for endovascular repair. For aortic ruptures where the aneurysm involves the renal arteries, endovascular repair is less suitable than an open approach, since an adequate ‘landing zone’ is required for stent placement. Further relevant contraindications of an endovascular approach include angulated, tortuous or narrowed (8 mm) iliac arteries or tapering of the aneurysmal neck. Figure 2.1  Axial image: IV contrast enhanced CT scan of the abdomen in the arterial phase. The ­abdominal aorta is aneurysmal, with contrast seen within the lumen of the vessel. Hypodense thrombus can also be seen along the left aortic wall, in addition to a thin rim of calcification around the vessel. Figure 2.2  Axial image: IV contrast enhanced CT scan of the abdomen in the arterial phase. The ­abdominal aorta is aneurysmal, and a linear ­dissection flap can be seen traversing the lumen. K22247_C002.indd 26 16/05/15 3:07 AM
  • 49.
    Gastrointestinal and genitourinaryimaging 27 Figure 2.3  Coronal image: IV contrast enhanced CT scan of the abdomen in the arterial phase. A saccular aneurysm is seen arising from the abdominal aorta, which is fistulating with the left common iliac vein. Figure 2.4  Axial image: IV contrast enhanced CT scan of the abdomen in the arterial phase. There is large volume retroperitoneal haematoma, which can be seen outlining the right Gerota’s fascia, extending into the paracolic spaces. Figure 2.5  Axial image: IV contrast enhanced CT scan of the abdomen in the arterial phase. The aorta is aneurysmal and contains thrombus. Ill-defined, ­­crescenteric high attenuation material can be seen within the ­thrombus consistent with contained contrast extravasation/­fissuring into the thrombus (arrow). There is a spectrum of more subtle CT findings that are important to appreciate. Contained rupture should be suspected if the posterior wall of the aorta is ill-defined or cannot be clearly delineated from the vertebral bodies, termed the ‘draped aorta’ sign (Halliday et al., 1996). High attenuation material in a crescenteric distribution within thrombus in the aneurysm sac, best appreciated on wide window settings, can represent infiltration of blood into the thrombus wall and is suggestive of impending rupture (Gonsalves, 1999) (Figure 2.5). Further signs that can indicate impending rupture include aneurysms larger than 7 cm with increasing abdominal pain, a rapid increase in the size of an AAA (10 mm per year) and fissuring of thrombus or mural calcification (Rakita et al., 2007). An additional complication of AAA is aortoenteric fistulation, in which a communication is formed between the aorta and bowel, usually in the region of the second or third part of the duodenum. This is suggested by gas within the aortic lumen, although K22247_C002.indd 27 16/05/15 3:07 AM
  • 50.
    Chapter 228 this canalso be seen with mycotic aneurysms. Active extravasation of aortic contrast into the bowel, or a history of melaena, can be useful distinguishing factors (Figures 2.6a, b). Key points • CT is the optimum imaging modality in the assessment of potential AAA rupture. • An aneurysm is confirmed when the maximum diameter of the aorta exceeds 3 cm. Rupture is confirmed in the presence of retroperitoneal or periaortic haematoma. • More subtle signs of impending aneurysm rupture include increasing pain, an increase in size greater than 10 mm per year and crescenteric high attenuation within aortic thrombus. Report checklist • Presence or absence of haemorrhage and active contrast extravasation. • Presence or absence of dissection flap. Figures 2.6a, b  Axial images: IV contrast enhanced CT scans of the abdomen in the arterial phase. Ill-defined contrast can be seen extending from the aorta into a loop of bowel anteriorly, consistent with an aortoenteric fistula (arrow). The aorta is seen to be aneurysmal more cranially. (a) ( b) • Anatomical location of the aortic aneurysm: infrarenal or juxtarenal. • Renal vessel involvement or renal hypoperfusion. • Signs of significant intravascular volume depletion e.g. IVC flattening. • Patency of coeliac axis/SMA/IMA/renal arteries. References Bengtsson H, Bergqvist D, Sternby NH (1992) Increasing prevalence of abdominal aortic aneurysms: a necropsy study. Eur J Surg 158:19–23. Gonsalves CF (1999) The hyperattenuating crescent sign. Radiology 211:37–38. Halliday KE, Al-Kutoubi A (1996) Draped aorta: CT sign of contained leak of aortic aneurysms. Radiology 199:41–43. Rakita D, Newatia A, Hines J et al. (2007) Spectrum of CT findings in rupture and impending rupture of abdominal aortic aneurysms. Radiographics 27:497–507. K22247_C002.indd 28 16/05/15 3:07 AM
  • 51.
    Gastrointestinal and genitourinaryimaging 29 is more helpful in cases of occult or intermittent GI bleeding). CTA is increasingly being used as the first- line imaging modality of choice and is a useful adjunct in cases where endoscopy has failed to identify a source of bleeding. The sensitivity of CT decreases if bleeding is intermittent and timing the scan with the clinical signs of active bleeding is essential. Utilising triple- phase CTA (unenhanced, arterial and delayed phases) increases sensitivity and specificity when compared with using a single phase only. Oral contrast may mask the potential site of bleeding and should therefore be omitted. It is also important to consider whether the patient has had any recent oral contrast examinations, since this can also lead to a false-positive result. Barium enemas are of particular importance, since the oral contrast can remain in diverticulae for months or even years.Catheterangiographyisinvasiveandisnowadays lesssensitivethanCTA;assuchitisgenerallyperformed once CTA has identified a bleeding point, with an aim to embolisation and treatment. (See Table 2.3.) Radiological findings Computed tomography The GI tract should be scrutinised systematically, with careful attention being paid to the locations that are common sources of bleeding (stomach, duodenum and colon). The focus of acute GI bleeding is located by identifying high attenuation material (90 Hu) within the bowel lumen on the arterial phased scan, which represents active extravasation of IV contrast. ACUTE GASTROINTESTINAL BLEEDING Acute gastrointestinal (GI) bleeding is a medical and surgical emergency, with an associated mortality of up to 40% (Walsh et al., 1993). GI bleeding has many causes (Table 2.2) and can be divided into upper and lower tract bleeding, according to its location in relation to the ligament of Treitz. Upper tract bleeding is more common than lower tract bleeding, comprising approximately 75% of cases (Ernst et al., 1999). Symptoms such as haematemesis and melaena usually indicateanuppertractsource,whereasfreshperrectum bleeding usually signifies bleeding from the lower GI tract. Profound bleeding can result in haemodynamic instability and therefore urgent localisation of the source is vital. Endoscopy has traditionally been considered the first-line investigation for suspected GI bleeding, especially in cases of suspected upper tract bleeding. Limitations of endoscopy include an inability to visualise the upper tract distal to the fourth part of theduodenumanddifficultyinvisualisingbleedingfoci because of profound intraluminal haemorrhage. With the increasing sensitivity of CT and ease of access, radiological investigations are increasingly being considered as the first-line investigation. Radiological investigations Radiological investigations that play a part in the management of GI bleeding include CTA, catheter angiography and radionucleotide imaging (the latter UPPER LOWER Mallory–Weiss tear Angiodysplasia Oesophageal varices Diverticulitis Gastric/duodenal ulcer Colitis Gastritis Malignancy Malignancy Table 2.2  Causes of gastrointestinal bleeding. MODALITY PROTOCOL CT Unenhanced. No oral contrast. Scan from above diaphragm to femoral head level. Aortic angiogram: 100 ml IV contrast via 18G cannula, 4 ml/sec. Bolus track centred on mid-abdominal aorta. No oral contrast. Scan from above diaphragm to femoral head level. Delayed phase. IV contrast as above, scan at 120 seconds after start of contrast injection. No oral contrast. Scan from above diaphragm to femoral head level. Table 2.3 Acute gastrointestinal bleeding. Imaging protocol. K22247_C002.indd 29 16/05/15 3:07 AM
  • 52.
    Chapter 230 This isusually more apparent and accumulates on the delayed phase (Figures 2.7, 2.8). It is vital to scrutinise the unenhanced phase to assess for pre- existing foci of high attenuation within the bowel lumen that may lead to false positives; these can include ingested tablets, foreign bodies and suture material. Previous imaging should also be reviewed in this regard. Cone beam artefact is another common false positive, occurring at interfaces between fluid and air within the bowel. Bleeding in the distal oesophagus may be secondary to oesophageal varices, a complication of portal hypertension. These may be visualised as dilated, • Splenomegaly. • Ascites. • Varices: splenic/oesophageal. • Underlying cause (i.e. liver cirrhosis with atrophy and nodular/irregular contour). • Contrast enhancement of para-umbilical vein. Table 2.4 Computed tomographic signs of portal hypertension. Figure 2.7  Axial image: contrast enhanced CT scan of the abdomen in the arterial phase. Hyperdense material can be seen in a dependent position within the lumen of the ascending colon (arrow), consistent with an acute, arterial haemorrhage. Figure 2.8  Axial image: contrast enhanced CT scan of the abdomen in the delayed phase. On delayed imaging, further contrast has accumulated within the lumen of the ascending colon as a result of continued, active haemorrhage at this site. serpiginous enhancing vessels in the region of the distal oesophagus. Findings suggestive of liver cirrhosis and portal hypertension, such as an irregular liver outline and splenic enlargement, should prompt the search for oesophageal varices (Table 2.4; Figures 2.9, 2.10). IfGIbleedingisidentified,itisimportantto consider anunderlyingcause.Muralthickeningcanbemalignant, inflammatory, ischaemic or infective in nature, all of whichcanbecomplicatedbybleeding.Itisalsoimportant to appreciate that GI bleeding is often intermittent and it is not uncommon for CTA to be normal, even in haemodynamically compromised patients. K22247_C002.indd 30 16/05/15 3:07 AM
  • 53.
    Gastrointestinal and genitourinaryimaging 31 Figure 2.9a, b  Axial and coronal images: unenhanced CT scans of the abdomen. A transjugular intrahepatic portosystemic shunt (arrow) and coiled oesophageal varices are shown. Figures 2.10a–c  Axial images: unenhanced, ­arterial and delayed phase CT scans of the abdomen. This sequence of images demonstrates a contrast blush on the arterial phase within the stomach (arrow). No ­corresponding density is seen on the unenhanced scan. Findings are in keeping with acute gastric bleeding. The spleen is enlarged, ­suggestive of underlying portal hypertension. (a) ( b) (c) ( b)(a) K22247_C002.indd 31 16/05/15 3:07 AM
  • 54.
    Chapter 232 BOWEL PERFORATION GIperforation is an emergency condition requiring urgent surgical intervention. Clinical diagnosis of the site of bowel perforation is difficult as the symptoms may be non-specific. Diagnosis depends mostly on imaging investigations, and a correct diagnosis of the presence of, site and cause is crucial for appropriate management and for planning surgery. Breach of the GI tract wall can be due to peptic ulcer disease, inflammatory disease, blunt or penetrating trauma, iatrogenic factors, a foreign body or a neoplasm. Clinical presentation is usually that of abdominal pain and nausea and vomiting, with signs of peritonitis including rebound tenderness and guarding on palpation. Patients can be extremely unwell with signs and symptoms of shock. Inflammatory markers (C-reactive protein) and raised white cells may be present on laboratory blood analysis. Radiological investigations The first-line imaging investigations for suspected bowel perforation are plain films, including an erect CXR and a plain abdominal film, but these are only sensitive in 50–70% of cases. Contrast studies are no longer indicated in the acute setting. As well as having a suboptimal sensitivity, plain films will not demonstrate the site of perforation, which is useful to know prior to surgery. CT is the imaging modality of choice, as it provides the most information for planning surgery, with a sensitivity of 86% in identifying the site of perforation. The goal of imaging is to identify extraluminal leakage and the subsequent inflammatory reaction around the perforation site. (See Table 2.5.) Key points • CTA and catheter angiography are useful in conjunction with oesophagogastroduodenoscopy and colonoscopy in the investigation of acute GI bleeding, although the sensitivity is reduced when bleeding is intermittent. • Triple-phase CTA increases the sensitivity of detection of acute bleeding and should be performed without oral contrast. • Active bleeding appears as a high attenuation focus within the bowel lumen on the arterial phase, which becomes more pronounced on the portal venous phase. Scrutiny of the unenhanced images reduces false positives. Report checklist • Identify the bleeding vessel where possible, and the large artery of which it is a branch. • Consider underlying causes. • Look for signs of significant intravascular volume loss (e.g. flattening of the IVC). • Emphasise that bleeding can be intermittent and therefore a ‘normal’ scan does not exclude GI bleeding. • Recommend urgent interventional radiology referral. References Ernst AA, Haynes ML, Nick TG et al. (1999) Usefulness of the blood urea nitrogen/creatinine ratio in gastrointestinal bleeding. Am J Emerg Med 17:70–72. Walsh RM, Anain P, Geisinger M et al. (1993) Role of angiography and embolization of massive gastroduodenal haemorrhage. J Gastrointest Surg 3:61–65. MODALITY PROTOCOL Plain film imaging AP supine abdominal radiograph to include the liver. A left lateral decubitus film can be performed with the patient lying on their left and the right side up. Erect chest radiograph to include the diaphragms. Patient should be upright for at least 10 minutes prior to image acquisition. CT Post IV contrast, portal venous phase: 100 ml IV contrast, 4 ml/sec via 18G cannula. Scan at 70 ­seconds. Scan from above diaphragm to femoral head level. Table 2.5 Bowel perforation. Imaging protocol. K22247_C002.indd 32 16/05/15 3:07 AM
  • 55.
    Gastrointestinal and genitourinaryimaging 33 Radiological findings Plain films The presence of free air under the diaphragm on an erect chest plain film is diagnostic of free intraperitoneal air (Figure 2.11). As little as 1 ml of air can be identified under the diaphragm. Care should be taken not to confuse the stomach bubble under the left hemidiaphragm with free air. Aplainabdominalfilmcanrevealabowelperforation, with the presence of Rigler’s sign (gas outlining both sides of the bowel wall) (Figure 2.12). Other abdominal plain film signs of free air include football sign (oval- shaped peritoneal gas), which is more common in children (Figure 2.13), increased lucency over the right upper quadrant (gas accumulating anterior to the liver) or the triangle sign (gas accumulating between three loops of bowel). Free gas can also be seen outlining ligaments in the abdomen, such as the falciform ligament (Figure 2.14). A left lateral decubitus film can also be used in the detection of small amounts of free air that may be interposed between the free edge of the liver and the lateral wall of the peritoneal cavity. Figure 2.11  AP semi-erect chest radiograph. Large volumes of gas can be seen underneath the diaphragm consistent with pneumoperitoneum. Figure 2.13  AP supine abdominal radiograph. A large, rounded lucency is seen projected in the ­mid-­abdomen representing free intra-abdominal gas in a ­non-dependent location. The falciform ligament is also seen outlined clearly by free gas (arrow). Figure 2.12  AP supine abdominal radiograph. Gas can be seen within the peritoneum on both sides of the bowel wall (Riggler’s sign), highlighting multiple loops of dilated small bowel. K22247_C002.indd 33 16/05/15 3:07 AM
  • 56.
    Chapter 234 Computed tomography Thefirst aim of the radiologist when interpreting an abdominal CT should be to identify the extraluminal air. Free air can be seen as small locules around the liver edge or within the peritoneum or as large collections of air that are difficult to identify as separate from bowel. Often, using a wide window (such as lung window settings) can help identify free air and distinguish between intra- and extraluminal gas. The next consideration is the location and distribution of air. The peritoneal cavity is divided into supra- and inframesocolic compartments by the transverse colon, and this distinction can be useful in radiological differentiation of upper and lower GI perforations. Subsequently, upper GI tract perforation (stomach or duodenal bulb) results in supramesocolic compartment gas and distal small and large bowel perforation in the inframesocolic compartments. Sections of the GI tract, such as stomach, first part of duodenum (5 cm), jejunum, ileum, caecum, appendix, transversecolon,sigmoidcolonandupperthirdrectum, are found within the peritoneal cavity; perforation of these sections results in intraperitoneal free air. The second and third parts of the duodenum, ascending and descending colon and middle third of rectum are retroperitoneal and fixed; they may therefore present with gas within the retroperitoneal compartment. Gastroduodenal perforation Peptic ulcer disease is a major cause of gastroduodenal perforation, followed by necrotic or ulcerated malignancies and iatrogenic and traumatic causes. Gastroduodenal perforation secondary to peptic ulcers is usually found in the gastric antrum and duodenal bulb. The descending and horizontal segments of the duodenum are common sites of perforation caused by blunt trauma because of their fixed attachment and/or compression against the vertebral column. Perforation sites can be demonstrated by the CT findings of ulceration or focal defect in the gastroduodenal wall (Figure 2.14), free air bubbles in contact with the stomach or duodenum, abrupt wall thickening associated with adjacent inflammatory fat stranding and localised free fluid between the duodenum and the pancreatic head. Figure 2.14  Axial image: IV contrast enhanced CT scan of the abdomen in the portal venous phase. Free intra-abdominal gas is seen anteriorly. A large defect is seen along the anterior wall of the stomach as a result of peptic ulcer disease, causing perforation (arrow). Small bowel perforation Small bowel perforation is rare; small amounts of free air along the anterior peritoneal surfaces of the liver and mid-abdomen and among the peritoneal folds are usually indicative. Non-specific CT findings, such as mural thickening and abnormal enhancement of the small bowel, mesenteric fluid and mesenteric stranding, should be considered suspicious in patients with suspected small bowel perforation. Large bowel perforation Perforation sites in colonic loops can frequently be correlated with their causes. Malignant neoplasm, diverticulitis (Figure 2.15), blunt trauma and ischaemia are common causes of perforation on the left-sided colon. Inflammatory bowel disease and penetrating trauma tend to be seen in the right-sided colon. The caecum is especially prone to perforate in patients with mechanical colonic obstruction. K22247_C002.indd 34 16/05/15 3:07 AM
  • 57.
    Gastrointestinal and genitourinaryimaging 35 oesophageal/trachealbronchialinjury,intra-abdominal drainsandhysteroscopycanexplainfreeintraperitoneal or retroperitoneal air in the absence of a GI tract perforation. The amount of air in the postoperative period is variable, but should be less than 10 ml in the majority of cases and negligible after day 10. Large volumes of free air in the postoperative period should be considered suspicious for anastomotic leaks. When detected, bowel perforation on any imaging modality should be immediately communicated to the surgical team for consideration of surgery, and a record of this should be made at the end of the report. Key points • Plain films (erect CXR and AXR) are useful for suspected bowel perforation and they can detect free intra-abdominal air. • The main aim of CT imaging is to identify free air and associated inflammatory stranding in order to locate the site of perforation. The distribution of air can help to achieve this. • Be aware that free air within the peritoneal cavity may be from sources other than bowel (e.g. iatrogenic). A review of the clinical history is imperative. • Bowel perforation is an urgent finding that may necessitate surgical intervention. Findings should be communicated promptly and directly to the clinical team. Report checklist • In the presence of free gas, identify the potential perforated site. • Presence or absence of underlying causes such as diverticulitis, bowel malignancy and bowel ischaemia. When perforation occurs owing to diverticulitis or colorectal malignancy without bowel obstruction, the quantityoffreeairisusuallysmallandloculesofairtend to be concentrated in close proximity to the involved colonic loops. The presence of free air, phlegmon and/or an abscess, an extraluminal collection and the underlying colonic abnormality (neoplasm) should be carefully evaluated on CT scans. A review of the clinical history is important when reviewing CT for suspected bowel perforation. A history of recent surgery (laparoscopic or open), Figure 2.15  Axial image: IV contrast enhanced CT scan of the pelvis in the portal venous phase. Locules of extraluminal gas are seen adjacent to the sigmoid colon at the site of diverticular perforation, in addition to a contained abscess at this site. K22247_C002.indd 35 16/05/15 3:07 AM
  • 58.
    Chapter 236 Inflammatory boweldisease is subdivided into Crohn’s disease, ulcerative colitis and indeterminate inflammatory colitis (which demonstrates features of both Crohn’s disease and ulcerative colitis). Crohn’s disease and ulcerative colitis classically differ in the distribution and extent of inflammation. Ulcerative colitis causes inflammation limited to the mucosa, initially involves the rectum and can extend proximally to involve the entire colon. Inflammation is continuous and small bowel involvement is not typical, although involvement of the ileum can be seen with associated backwash ileitis. In contradistinction, Crohn’s disease causes transmural inflammation, can involve any aspect of the GI tract and commonly demonstrates skip lesions. Whilst a more common cause of colitis in younger demographics than ischaemic colitis, inflammatory bowel disease has a bimodal distribution ofonsetand,assuch,increasingageshouldnotdissuade from the diagnosis. Infectivecolitiscanarisesecondarytomanydifferent causative organisms and can occur in any demographic. Of particular importance in the hospital environment is pseudomembranous colitis, which is caused by an overgrowth of Clostridium difficile, which usually develops secondary to antibiotic administration. Neutropaenic colitis (typhilitis) can be another iatrogenic form of colitis, occurring in immunosuppressed patients, commonly secondary to chemotherapy. Radiological investigations CT is the imaging modality of choice in the investigation of bowel ischaemia, although there are conflicting reports of its sensitivity and specificity. The addition of an arterial phase to the standard portal venous phase of the abdomen and pelvis has been shown to increase specificity. Oral contrast should not be administered since it can make appreciation of bowel wall enhancement more difficult. It is important to note that a ‘normal’ CT study cannot definitively exclude bowel ischaemia, and it can often be difficult to reliably differentiate bowel ischaemia from other forms of colitis. Abdominal plain film imaging is often performed initially and can be helpful; however, this has a low sensitivity and specificity, cannot differentiate between the causes of colitis and rarely negates the BOWEL ISCHAEMIA AND ENTEROCOLITIS Acute, occlusive bowel ischaemia carries a high morbidity and mortality rate and is a surgical emergency. This condition must be separated from chronic, non-occlusive ischaemia, which carries a much lower mortality rate and occurs secondary to incomplete vessel occlusion. Ischaemia can be both arterial and venous in nature. Arterial causes include atherosclerosis, emboli, vasculitis and low-flow states (i.e. the causes of hypotension). Typically, the location of arterial ischaemia is dictated by the vascular anatomy of the bowel. The SMA supplies the small bowel, the ascending colon and the proximal transverse colon. The IMA supplies the distal transverse colon, the descendingcolonandthesigmoidandproximalrectum (splenic flexure to rectum). The splenic flexure and rectosigmoid junction are termed ‘watershed areas’ and are particularly susceptible to ischaemia caused by low- flow states. Bowel ischaemia typically affects the middle aged to elderlypopulationbecauseofincreasingatherosclerotic burden.Acutebowelischaemiaclassicallypresentswith abdominal pain that is disproportionate to the clinical findings, although this is not a reliable enough sign to differentiateitfromotherintra-abdominalpathologies. Lactate elevation is a sensitive but non-specific marker for ongoing acute bowel ischaemia and can also be helpful.Ahistoryofabdominalangina,atrialfibrillation and atherosclerotic disease should always prompt suspicionofacutebowelischaemiaandurgentdiagnosis is vital to facilitate surgical resection/revascularisation. Depending on the degree of clinical suspicion, patients may proceed to diagnostic laparotomy without radiological input, although increasingly imaging is being utilised prior to definitive treatment. The diagnosis of acute bowel ischaemia is a challenging one for the on-call radiologist. There is a significant overlap in the findings seen in both acute bowel ischaemia and other inflammatory and infective aetiologies of enterocolitis. While urgent imaging is oftennotrequiredintheemergencysettingtodiagnose inflammatory and infective causes (the diagnosis of these is made with endoscopy and microbiological analysis, respectively), they are discussed subsequently due to the imaging overlap. K22247_C002.indd 36 16/05/15 3:07 AM
  • 59.
    Gastrointestinal and genitourinaryimaging 37 need for further imaging. Chest plain films can also be performed in order to identify free gas, evidence of associated perforation. (See Table 2.6.) Radiological findings Computed tomography Bowel wall abnormality is the hallmark of enterocolitis on CT. The most specific sign of bowel ischaemia is MODALITY PROTOCOL CT Aortic angiogram: 100 ml IV contrast via 18G cannula, 4 ml/sec. Bolus track centred on mid abdominal aorta. No oral contrast. Scan from just above diaphragm to femoral head level. Portal venous phase: IV contrast as above, scan at 70 seconds. No oral contrast. Scan from just above diaphragm to femoral head level. Table 2.6 Bowel ischaemia and enterocolitis. Imaging protocol. Figure 2.16  Axial image: IV contrast enhanced CT scan of the abdomen and pelvis in the portal venous phase. ­Non-enhancing loops of bowel are seen in the pelvis adjacent to loops of normally enhancing bowel, ­representing loops of ischaemic bowel. absent or diminished bowel wall enhancement on arterialandportalvenousphasedimaging(Figure 2.16). Although this is not seen in other causes of colitis, it is not always present in cases of ischaemia. Bowel wall hyperenhancement can also be seen (in hyperacute iscahemia), although it is non-specific and can be seen in any cause of enterocolitis (Sung et al., 2000). Normal bowel wall should be 3–6 mm in thickness. Bowel wall thickeningandthinningcanoccur,althoughtheformer is non-specific and can also be seen in both ischaemic and non-ischaemic causes (Figure 2.17). It should be noted that bowel wall thickening can also occur secondary to primary bowel malignancy, although this istypicallylessdiffuseandinvolvesonlyashortsegment ofbowel.Whenassessingforbowelwallthickening,the degree of luminal distension must always be taken into account. Bowel collapse can often be misinterpreted as wall thickening and is a common false positive. The superior and inferior mesenteric arteries and correspondingveinsshouldbeinspectedonthearterial and portal venous phase in order to identify filling Figure 2.17  Axial image: IV contrast enhanced CT scan of the abdomen in the portal venous phase. There is subtle bowel wall thickening in the transverse colon (arrow). K22247_C002.indd 37 16/05/15 3:07 AM
  • 60.
    Chapter 238 venous engorgement(Figure 2.23), mesenteric fat stranding, bowel dilatation and ascites, can also be seen, regardless of the cause of the colitis. There is significant overlap between the imaging findings seen in ischaemia and other causes of colitis, althoughtherecanbesomediscriminatingfactors. The distribution of bowel affected is one of the most useful factors to distinguish between different causes. If bowel wall abnormality corresponds to a segmental arterial territory (most commonly the descending colon), then ischaemia must always be considered. Conversely, bowel abnormality involving multiple arterial territories is more likely to be due to an inflammatory or infective cause. Involvement of the terminal ileum is highly typical of Crohn’s disease, although this can also be seen in infective causes. Bowel involvement in ulcerative colitis typically starts at the rectum, extends proximally and spares the small bowel (allowing for defects, which may represent thrombus (Figures 2.18, 2.19). Multiplanar reformatting on wider window settings and maximum intensity projections (MIPs) can be helpful in this regard. In the context of embolic disease, splenic or hepatic infarcts may also be seen, typically appearing as a peripheral, wedge-shaped focus of low attenuation (Figure 2.20). Utilisation of lung and bone window settings (window 600, level 1,600 and window 300, level 2,000, respectively) can aid in the identification of pneumatosis and portal venous gas, both more specific signs of ischaemia when seen in the presence of bowel wall abnormality (Figures 2.21, 2.22). It should be noted that portal venous gas and pneumobilia both present as linear, low attenuation branching structures within the liver. Gas within the portal venous system often extends to the liver periphery, whereas gas within the biliary system does not. Additional findings, such as mesenteric Figure 2.18  Axial image: IV contrast enhanced CT scan of the abdomen in the portal venous phase. There is a filling defect identified within the SMA (arrow), with colitic changes affecting the caecum. Figure 2.19  Axial image: IV contrast enhanced CT scan of the abdomen in the portal venous phase. There is a large filling defect within the aorta ­extending into the SMA (arrow). Free gas is seen anterior to the liver. Ischaemic, perforated small bowel is seen more caudally on the scan. K22247_C002.indd 38 16/05/15 3:07 AM
  • 61.
    Gastrointestinal and genitourinaryimaging 39 Figure 2.20  Axial image: IV contrast enhanced CT scan of the abdomen in the portal venous phase. There is a wedge-shaped low attenuation within the spleen in keeping with an infarct. Figure 2.21  Axial image: IV contrast enhanced CT scan of the abdomen in the portal venous phase. ­Multiple locules of gas can be seen within the wall of the bowel, secondary to bowel ischaemia. Figure 2.22  Axial images: IV contrast enhanced CT scan of the abdomen in the portal venous phase. Large volumes of portal venous gas are seen within the liver extending to the periphery. Figure 2.23  Axial image: IV contrast enhanced CT scan of the abdomen in the portal venous phase. The mesenteric vessels are engorged and the mesenteric fat has a hazy appearance. K22247_C002.indd 39 16/05/15 3:07 AM
  • 62.
    Chapter 240 backwash ileitis).Infective enterocolitis can affect any part of the bowel (Table 2.7). Pseudomembranous colitis commonly affects the descending and transverse colon and typically causes much more pronounced wall thickening (10–15 mm) than other causes (Figure 2.24). Neutropaenic enterocolitis typically involves the terminal ileum, caecum and ascending colon, although ahistoryofchemotherapyandneutropaeniaisthemost helpful tool to make this diagnosis. Utilisation of lung and bone window settings is also useful to identify free intra-abdominal gas, suggestive of associated bowel perforation. Toxic megacolon is a complication of most colitides and is a risk factor for imminent perforation. This is diagnosed when there is colonic dilatation (transverse colon 6 cm) in the presence of associated colonic inflammation. Any suspicion of toxic megacolon should be urgently discussed with the referring team. Plain films The hallmark of enterocolitis on plain radiographs is bowel wall thickening, although again this is a difficult diagnosis to make due to variable bowel collapse (Figure 2.25). A ‘thumbprinting’ pattern can be observed in the colon, representing thickened haustral folds, although this has a wide differential. CAUSATIVE ORGANISM DISTRIBUTION Clostridium difficile (pseudomembranous colitis) Descending and transverse colon. Salmonella spp. Colonic inflammation only. Campylobacter spp. Typically in distal colon. Yersinia spp. Typically terminal ileum and caecum. Mycobacterium spp. Typically terminal ileum and caecum. Entamoeba histolytica Diffuse colonic involvement, typically ascending colon. Shigella spp. Typically rectosigmoid colon. Table 2.7 Typical distribution of infective colitides. Figure 2.24  Axial image: IV contrast enhanced CT scan of the abdomen in the portal venous phase. There is marked bowel wall thickening ­involving the ­descending colon (arrow), typically seen in ­pseudomembranous colitis. Figure 2.25  Supine abdominal radiograph. There is thickening of the bowel wall involving the descending colon (arrow), consistent with colitis. No intraperitoneal free gas is seen. K22247_C002.indd 40 16/05/15 3:07 AM
  • 63.
    Gastrointestinal and genitourinaryimaging 41 LARGE BOWEL OBSTRUCTION Large bowel obstruction (LBO) is a common surgical emergency that can occur as a result of many varying pathologies. One of the commonest causes of LBO in western countries is malignancy, usually as a result of primary large bowel carcinoma (Khurana et al., 2002). Invasive malignancies may infiltrate the mucosa, eventually occluding the lumen and resulting in obstruction. Chronic diverticulitis and radiotherapy to the pelvis may lead to fibrosis and stricturing of the bowel. Large bowel volvulus is another common cause of obstruction; this occurs when there is twisting of the mesentery resulting in a closed loop obstruction. This leads to bowel obstruction; however, the closed loop of bowel is also at risk of ischaemia. Causes of LBO include: • Colonic malignancy. • Inflammatory strictures: Crohn’s, ischaemia, diverticulitis. • Volvulus. • Infective processes: TB, amoebiasis. • Extrinsic lesions: abscess, bladder/prostate/uterine tumour, endometriosis. Clinically, patients may present with abdominal pain, distension and vomiting. They may also report an inability to pass stool or flatus. If complicated by perforation, patients may demonstrate peritonism and haemodynamic instability (see Bowel perforation). Urgent imaging is often necessary to help plan surgery.ThemanagementofLBOvariesdependingon the underlying aetiology. Most cases typically require surgical resection for relief of symptoms, although lesions that cannot be completely resected may instead undergo bowel defunctioning and creation of a stoma. In palliative cases, colonic stents may be inserted in Key points • Enterocolitis may be ischaemic, inflammatory or infective in nature. • Acute bowel ischaemia is a surgical emergency and has a high mortality rate. Prompt diagnosis is essential in order to facilitate urgent surgical treatment. • CT is the modality of choice to investigate cases of bowel ischaemia; however, imaging should not delay emergency laparotomy in strongly suspected cases. • There is significant overlap in the radiological findings of enterocolitis; however, absent or diminished bowel wall enhancement corresponding to an arterial territory is highly suggestive of ischaemia. Report checklist • Presence or absence of free gas, indicative of perforation. • Presence or absence of gas within the bowel wall or the portal venous system. • Presence or absence of filling defects in the coeliac axis/SMA/IMA/SMV or any of their branches. • Consider embolic disease in cases of visceral infarcts. The presence or absence of potential embolic sources (e.g. thrombus in the left atrial appendage/left ventricular aneurysm/infarct/aortic dissection/aortic aneurysm). • Consider a differential diagnosis of additional causes of enterocolitis. Reference Sung ER, Hyun KH, Soo-Hyun L et al. (2000) CT and MR imaging findings of bowel ischemia from various primary causes. RadioGraphics 20:29–42. K22247_C002.indd 41 16/05/15 3:07 AM
  • 64.
    Chapter 242 Radiological findings Plainfilms On an abdominal plain film, the diagnosis of LBO is made by identifying dilated large bowel loops. In a normal patient, the caecum should not measure more than 8–9 cm and the remainder of the large bowel should not measure more than 5 cm, therefore a bowel diameter greater than these values may suggest underlying LBO (Figure 2.26). The distribution of bowel dilatation is key; in LBO, large bowel collapse distal to the point of obstruction would be expected. Dilated loops of small bowel may also be present, indicating ileocaecal valve incompetence. In cases where a nasogastric (NG) tube has been placed, the tip should be located under the left hemidiaphragm. order to relieve symptoms. Sigmoid volvulus is initially managed conservatively with a rectal flatus tube insertion, but persisting volvuli may require surgical decompression. Radiological investigations An abdominal and erect chest plain film is indicated in patients who present with signs of LBO. An abdominal plain film may confirm the presence of obstruction; however, the underlying cause is unlikely to be apparent. Definitive diagnosis is routinely made with contrast enhanced CT imaging. It is not usually necessary to administer oral contrast, as the level of obstruction is usually identifiable as an abrupt calibre change or mass. Furthermore, patients who are acutely obstructed are unlikely to be able to ingest the volume of oral contrast required to adequately opacify the bowel. It is important to note that large bowel volvulae normally have a typical appearance on plain films and, as a result, CT imaging is not routinely required to make this diagnosis. The use of water soluble single contrast enema has largely been replaced with CT, though some centres may still practise this. Contrast administered rectally flows proximally through the large bowel and does not pass beyond the point of obstruction. If the procedure is performed, water soluble contrast should be used due to the risk of bowel perforation and hence leakage into the peritoneum. (See Table 2.8.) MODALITY PROTOCOL CT IV contrast, portal venous phase: 100 ml IV contrast, 4 ml/sec via 18G cannula. Scan at 70 seconds. Scan from just above the ­diaphragm to just below the pubic symphysis. Plain film imaging Erect CXR to include the diaphragm. ­Abdominal plain film imaging to include the liver to the pubic symphysis. Table 2.8 Large bowel obstruction. Imaging protocol. Figure 2.26  AP radiograph of the abdomen. Dilated loops of large bowel are seen in the right abdomen, ­indicated by the lack of valvulae conniventes. The ­ileocaecal valve is patent, resulting in reflux of gas into small bowel loops seen centrally and in the left abdomen. K22247_C002.indd 42 16/05/15 3:07 AM
  • 65.
    Gastrointestinal and genitourinaryimaging 43 LBO secondary to malignancy or stricture formation may have similar radiological findings; however, volvulae tend to have a slightly different appearance, which can often allow them to be diagnosed on plain film images. Sigmoid volvulus is the commonest type of volvulus, and occurs when the colon twists about its mesentery. It tends to occur in slightly older patients compared with those who have a caecal volvulus. The classic findings include the presence of a ‘coffee bean’ appearance to the dilated loop, an inverted ‘U’ shape and the loop extending into the upper abdomen from the pelvis (Figure 2.27). The sigmoid colon is also usually ahaustral in comparison with caecal volvulus, which normally retains its normal haustral pattern. The other main feature of caecal volvulus is extension of the dilated loop of bowel from the right lower quadrant to the left upper quadrant. The differences between sigmoid and caecal volvulae are summarised in Table 2.9. SIGMOID CAECAL Typical plain film findings Coffee bean sign. Large bowel dilatation proximally. Ahaustral closed loop. Inferior convergence in the LIF. Left flank overlap sign. Dilated caecum may be seen in the mid abdo- men or LUQ. Haustrations usually present. Associated small bowel dilatation. LIF = left iliac fossa; LUQ = left upper quadrant. Table 2.9  Sigmoid vs. caecal volvulus. Computed tomography IV contrast enhanced CT is used not only to diagnose the presence of LBO, but also the underlying cause, allowing evaluation of luminal and extraluminal bowel structures. Initial review of the CT should begin by confirming the presence of LBO, indicated by large bowel dilatation proximal to an abrupt transition point. The same numerical values should be used as for plain film imaging (see above). Dilated large bowel loops should be traced distally in order to identify a mechanical cause of the obstruction. This can usually be seen as a transition in the calibre of the bowel from dilated to normal, or often collapsed beyond the point of obstruction. A quick review on lung window settings (width 1,500, level 500) is helpful to reveal any evidence of free intra-abdominal gas, suggestive of bowel perforation. If this is seen, the surgical team should be informed as a matter of urgency as the patient may require emergency surgery. Figure 2.27  AP radiograph of the abdomen. There are dilated loops of large bowel, which arise from the pelvis with an inverted ‘U’ appearance suggestive of sigmoid volvulus. K22247_C002.indd 43 16/05/15 3:07 AM
  • 66.
    Chapter 244 Large bowelvolvulus has a distinctive appearance on CT imaging. Proximal loops of dilated large bowel are visible, as seen with other causes of obstruction; however, the transition point is seen as a tapering of the bowel lumen to a point of completely collapsed bowel. It is vitally important to scrutinise the extraluminal appearance in these cases. The underlying cause of volvulus (both caecal and sigmoid) is a twisting of the mesentery. On CT, this can be seen as a ‘swirling’ of vessels that appear to rotate about the axis of torsion (Figure 2.30) at the site of the involved loop of bowel. The axis of twisting may not be easily seen on axial imaging, and coronal and sagittal reformats should therefore be used to confirm the diagnosis. Incaseswherethereislargeboweldilatationwithout a mechanical cause of obstruction, colonic pseudo- obstruction may be present. Pseudo-obstruction is diagnosed when there are symptoms of bowel obstruction and there is large bowel dilatation on imaging, but no identifiable mechanical obstruction. Often there is a gradual tapering of the bowel rather than an immediate point of transition. Alternatively, In cases of malignant obstruction, a soft tissue mass can often be seen occluding the lumen (Figure 2.28). Subtle tumours can be easy to miss, manifesting as concentric or eccentric mural thickening. Advanced tumours may also demonstrate extension through the serosa, adjacent lymphadenopathy or distant metastases (usually to the liver, appearing as ill-defined flow attenuation lesions). Obstruction secondary to stricture formation may be seen as a narrowed segment of bowel at the point of calibre transition (Figure 2.29). This can be a difficult diagnosis to make on a single study since physiologically collapsed bowel can have a similar appearance; correlation with previous imaging is useful in this regard. In general, malignancies tend to be shorter segment areas of mural thickening, whereas strictures tend to be longer segments of collapsed bowel; however, it can often be difficult to exclude the presence of a small malignant obstructing lesion within a stricture (particularly in the absence of adequate bowel preparation). Colonoscopy is therefore often needed and should be recommended in order to assess the abnormal segments of bowel in further detail. Figure 2.28  Axial image: IV contrast enhanced CT scan of the abdomen and pelvis in the portal venous phase. A solid mass lesion is seen within the mid-­ sigmoid colon (arrow), occluding the lumen and ­resulting in upstream dilatation of the bowel. Figure 2.29  Axial image: IV contrast enhanced CT scan of the abdomen in the portal venous phase. There is a long stricture of the mid-sigmoid colon with a ­massively dilated loop of proximal sigmoid colon shown. A single diverticulum is shown in this image. The ­stricture was due to chronic diverticulitis. K22247_C002.indd 44 16/05/15 3:07 AM
  • 67.
    Gastrointestinal and genitourinaryimaging 45 Report checklist • Degree and level of bowel obstruction. • Presence or absence of complications such as perforation or bowel ischaemia. • Consider underlying causes such as malignancy or post-inflammatory strictures. • Document the degree of local or distant disease in cases of malignancy; this determines whether the patient has palliative as opposed to curative surgical treatment. References Choi JS, Lim JS, Kim H et al. (2008) Colonic pseudoobstruction: CT findings. Am J Roentgenol 190:1521–1526. KhuranaB,LedbetterS,McTavishJ et al.(2002)Bowel obstruction revealed by multidetector CT. Am J Roentgenol 178:1139–1144. multiple segments of colonic dilatation and collapse are seen, the distribution of which is not suggestive of mechanical obstruction. Patients with pseudo- obstruction tend to suffer with constipation, with a suggested underlying cause thought to be related to the intrinsic nerve supply of the bowel (Choi et al., 2008). Key points • Large bowel obstruction is a surgical emergency which, if left untreated, may result in bowel perforation or ischaemia. • CT imaging can confirm the diagnosis and identify the underlying cause, although the presence of LBO may be confirmed on plain film images. • LBO is suggested on CT imaging by large bowel dilatation (caecum 8–9 cm, remainder of large bowel 5 cm) proximal to a focal transition point, usually with large bowel collapse distally. Figure 2.30  Coronal image: IV contrast enhanced CT scan of the abdomen and pelvis in the portal venous phase. A loop of sigmoid colon can be seen in the midline, which comes to an abrupt stop (arrow). The adjacent vessels demonstrate a swirling appearance, ­suggestive of twisting of the mesentery. K22247_C002.indd 45 16/05/15 3:07 AM
  • 68.
    Chapter 246 GALLSTONE ILEUS Gallstoneileus is an uncommon cause of mechanical small bowel obstruction (SBO). It is a complication of chroniccholecystitisandoccurswhenagallstonepasses through a cholecystenteric fistula located between the gallbladder and the duodenum. The gallstone impacts within the small bowel, resulting in SBO. Overall, gallstone ileus is an uncommon cause of SBO (4%), but in the elderly population it is more common, accounting for up to 25% of non- strangulated bowel obstructions and resulting in significant morbidity in this group (Lassandro et al., 2005). Pathologically, gallstone ileus results from repeated boutsofcholecystitisresultinginadhesionsbetweenthe gallbladder and the small bowel (usually duodenum), eventually leading to fistula formation and passage of gallstones into the lumen of the bowel. Patients usually present with a long history of recurrent right upper quadrant pain, in keeping with chronic cholecystitis. The acute presentation of gallstone ileus is that of a small bowel obstruction, with colicky abdominal pain and abdominal distension. Radiological investigations A plain abdominal radiograph is useful as a first-line investigationinpatientswithsuspectedSBO.Suspicion of gallstone ileus on plain film imaging necessitates CT imaging of the abdomen, which has a sensitivity, specificity and accuracy of diagnosing gallstone ileus of 93%, 100% and 99%, respectively (Yu et al., 2005). Ultrasound is useful in assessment of patients with right upper quadrant pain to identify the presence of gallstones or cholecystitis. (See Table 2.10.) Radiological findings Plain films The classic findings on an abdominal radiograph are of SBO (dilated loops of small bowel 2.5 cm), gas within the biliary tree (linear branching lucencies projected over the right upper quadrant) and a gallstone (usually in the right iliac fossa) (Figure 2.31). This is known as Rigler’s triad. MODALITY PROTOCOL CT IV contrast, portal venous phase: 100 ml IV contrast, 4 ml/sec via 18G cannula. Scan at 70 seconds. Scan from just above the diaphragm to just below the pubic symphysis. Plain film imaging Abdominal plain film imaging to ­include the liver to the pubic ­symphysis. Ultrasound 1–5MHz curvilinear probe. Table 2.10  Galltone ileus. Imaging protocol. Figure 2.31  AP abdominal radiograph. Multiple loops of dilated small bowel can be seen, consistent with SBO. Linear, branching lucencies can be seen at the right upper quadrant consistent with biliary gas (arrow). The ­findings are consistent with gallstone ileus. No ­radiopaque ­gallstone can be seen on the radiograph. K22247_C002.indd 46 16/05/15 3:07 AM
  • 69.
    Gastrointestinal and genitourinaryimaging 47 Computed tomography Appearances on CT are similar to those seen on plain film images. SBO is present with dilated fluid-filled small bowel loops measuring 3.5 cm. As with any case of obstruction, the entire length of bowel must be traced. A transition point (abrupt calibre change between dilated and non-dilated bowel) may be identified and is the likely site of the impacted gallstone (Figure 2.32). Care should be taken, as not all gallstones are calcified (12%) and they may be of similar density to the bowel contents (Lassandro et al., 2005). Multiple stones may also be present. Pneumobilia on CT is identified as branching air- filled structures in the liver (Figure 2.33). These can be differentiated from similar appearances of portal venous gas, as air in the biliary tree does not extend to the periphery of the liver, unlike portal venous gas. Causes of pneumobilia are listed in Table 2.11. Figure 2.33  Axial image: IV contrast enhanced CT scan of the abdomen in the portal venous phase. Gas is seen within the biliary tree (arrow). There is a small volume of fluid around the liver. • Recent endoscopic retrograde cholangiopancreatography or percutaneous transhepatic cholangiography. • Gallstone ileus. • Biliary enteric anastomosis (e.g. Whipple’s). • Peptic ulcer disease. • Traumatic. • Emphysematous cholecystitis. • Incompetent sphincter of Oddi (sphicterotomy, chronic pancreatitis and passage of stone). • Congenital. Table 2.11  Causes of ­pneumobilia. Figure 2.32  Axial image: IV contrast enhanced CT scan of the abdomen and pelvis in the portal venous phase. A rounded, hyperdense gallstone is seen within the lumen of a small bowel loop in the right iliac fossa. Loops of fluid-filled, dilated small bowel can also be seen. K22247_C002.indd 47 16/05/15 3:07 AM
  • 70.
    Chapter 248 • Afistulous tract may be seen between the gallbladder and the duodenum and this may be associated with surrounding inflammation and locules of free gas. • It is important to distinguish between portal venous gas and biliary air, which appear similar on CT, the latter not extending to the periphery of the liver. Report checklist • Degree of bowel obstruction/dilatation associated with gallstone ileus. • Presence or absence of associated collections in the gallbladder bed. • Presence or absence of overt free intraperitoneal gas. References Lassandro F, Romano S, Ragozzino A et al. (2005) Role of helical CT in diagnosis of gallstone ileus and relatedconditions. Am J Roentgenol 185:1159–1165. Yu CY, Lin CC, Shyu RY et al. (2005) Value of CT in the diagnosis and management of gallstone ileus. World J Gastroenterol 11:2142–2147. Inflammatory changes may be seen around the gallbladder and second part of the duodenum, with thickening of the gallbladder wall, pericholecystic fluid and surrounding inflammatory fat stranding. There mayalsobeloculesoffreegasandevidenceofthefistula between the gallbladder and duodenum. Occasionally, the inflamed gallbladder can adhere to ascending colon and the gallstone can pass into the large bowel. This may then lead to passage of the stone or it can become obstructed, depending on the size of the stone (Figures 2.34, 2.35). If gallstone ileus is present, the surgical team should be informed; treatment options are usually surgically based, although some patients are managed conservatively. Key points • An AXR showing Rigler’s triad is diagnostic for gallstone ileus. • CT features are similar to those seen on plain film images. The entire bowel should be carefully inspected to identify the transition point or gallstone(s). Figure 2.34  Axial image: unenhanced CT scan of the abdomen. There is thickening of the gallbladder wall, consistent with acute cholecystitis. Figure 2.35  Axial image: unenhanced CT scan of the abdomen. There is an impacted gallstone in the sigmoid colon. K22247_C002.indd 48 16/05/15 3:07 AM
  • 71.
    Gastrointestinal and genitourinaryimaging 49 Radiological investigations An abdominal and erect CXR is indicated in patients who present with signs of SBO. An abdominal plain film may confirm the presence of obstruction and/ or free intraperitoneal gas. Contrast enhanced CT is significantlymoreeffectiveintheevaluationofSBOand is considered the most accurate modality for diagnosis. (See Table 2.12.) Oral contrast may not be tolerated by the patient and is not needed to identify SBO. Radiological findings Plain films Abdominal plain film imaging can be used to diagnose the presence of SBO. The key finding is that of bowel dilatation (3 cm), often containing air fluid levels (Figure 2.36). Small bowel can be differentiated from SMALL BOWEL OBSTRUCTION SBO is a common clinical problem, which occurs as a result of mechanical or functional delay in the transit of small bowel contents. It is a frequent reason for hospitalisation and represents approximately 20% of all surgical admissions (Foster et al., 2006). SBO is caused by a number of pathological entities. By far the most common is adhesions (60%), followed by hernias. Other rarer causes include gallstone ileus and intussusception, which are discussed above (see Gallstone ileus) and in Chapter 4 (Paediatrics, Intussusception). The commonest cause of functional SBO is in the postoperative period, termed pseudo- obstruction or paralytic ileus. Causes of SBO include: • Adhesions. • Hernia. • Gallstone ileus. • Crohn’s disease. • Small bowel or caecal malignancy. • Intussusception. • Malrotation and volvulus. Clinical symptoms commonly associated with SBO include abdominal pain, nausea, vomiting, fever, tachycardia and constipation or diarrhoea. Changes in the character of the pain associated with peritonism or haemodynamic instability may indicate the development of more serious complications (e.g. perforated, strangulated or ischaemic bowel). Imaging may be required at an early stage to confirm the diagnosis, ascertain the cause and plan for surgery, especially if there are suspected complications. Some patients can be managed conservatively, especially in cases of paralytic ileus. In cases where there is SBO but no clear cause or transition point is identified, the causeislikelytobepseudo-obstruction,especiallyifthe patient is postoperative. Management of this entity is usually conservative. Complications of SBO should be assessed for and communicated to the referring clinician, as these necessitate urgent surgical management. The main complications are perforation (see Bowel perforation) and bowel ischaemia (see Bowel ischaemia and enterocolitis). Figure 2.36  AP abdominal radiograph. Multiple loops of dilated small bowel are seen in the central and left abdomen consistent with SBO. The hernia orifices have not been included on this image. There is no evidence of gallstones or biliary gas. MODALITY PROTOCOL CT IV contrast, portal venous phase: 100 ml IV contrast, 4 ml/sec via 18G cannula. Scan at 70 seconds. Scan from just above the ­diaphragm to just below the pubic symphysis. Plain film imaging Erect CXR to include the diaphragm. ­Abdominal plain film imaging to include the liver to the pubic symphysis. Table 2.12 Small bowel obstruction. Imaging protocol. K22247_C002.indd 49 16/05/15 3:07 AM
  • 72.
    Chapter 250 loops (diameter3 cm from outer wall to outer wall) (Figure 2.37). Only a portion of the small bowel may be dilated,withcollapsedboweloftenseendistaltothesite of obstruction. In cases of proximal SBO, the stomach may also be distended. If this is the case, a recommendation can be made for the placement of an NG tube, which serves to decompress the stomach and provide symptomatic relief. The next aim should be to trace the entire length of small bowel toidentifythecauseof theobstruction; this can often be very tricky, especially if there are multiple collapsed loops in the pelvis. The use of multiplanar reformats in this situation can be of use. A transition point is determined by identifying a calibre change between the dilated proximal and the collapsed distal small bowel loops (Figure 2.38). largebowelonplainfilmstudiesbecauseofthepresence of valvulae conniventes and its central location. Signs of perforation of the bowel can be assessed for by looking for free air, either under the diaphragm on an erect CXR or within the abdomen. The various signs of perforation were discussed in detail earlier (see Bowel perforation). Other areas to assess on a plain film are the hernial orifices. The presence of bowel loops below the inguinalligamentonaplainfilmisalwaysabnormaland indicates a hernia. If this is associated with features of SBO,thenthemostlikelycauseisastrangulatedhernia. The presence of pneumobilia, SBO and a calcified intraluminal lesion is likely to indicate gallstone ileus as a cause (see Gallstone ileus). Computed tomography CT criteria for SBO are the same as for plain film imaging, with the presence of dilated small bowel Figure 2.37  Axial image: IV contrast enhanced CT scan of the pelvis in the portal venous phase. There are multiple loops of dilated, fluid-filled small bowel ­consistent with SBO. No cause of obstruction is visible on the selected image. Figure 2.38  Axial image: IV contrast enhanced CT scan of the abdomen and pelvis in the portal venous phase. There are multiple loops of dilated, fluid-filled small bowel ­consistent with SBO. A clear transition point is seen between the dilated proximal and collapsed distal bowel loops (arrow). The cause in this case was a small bowel volvulus. K22247_C002.indd 50 16/05/15 3:07 AM
  • 73.
    Gastrointestinal and genitourinaryimaging 51 Crohn’s disease SBO can result from Crohn’s disease. This is characterised by bowel wall thickening/oedema and surrounding inflammatory fat stranding. Additionally, it can be a manifestation of chronic disease, which usually results in stricturing of affected segments. Lastly, it may be related to adhesions, incisional hernias or postoperative strictures in patients who have undergone previous abdominal surgery. Neoplasia Primary neoplastic causes of SBO are rare. When small boweladenocarcinomamanifestsasSBO,itisusuallyat an advanced state and shows pronounced, asymmetric and irregular mural thickening at the transition point. Small bowel involvement by metastatic cancer is more common in the form of peritoneal/serosal deposits. Intraluminal lesions such as neoplasms or polyps can also form lead points for intussuscepting segments of bowel (see Chapter 4: Paediatric imaging, Intussusception). Colonic malignancies can result in small bowel dilatation if there is an incompetent ileocaecal valve. Adhesions Adhesions are the commonest cause of SBO in western populations, with most cases occurring as a result of previous abdominal surgery. The diagnosis of SBO due to adhesions is usually one of exclusion, as adhesive bands are not seen on conventional CT. An abrupt change in the calibre of the bowel is seen without any associated mass lesion, significant inflammation or bowel wall thickening at the transition point. There may often be angulation of the affected loops of bowel at the site of obstruction. Hernias Hernias are considered the second commonest cause of SBO, responsible for 10% of cases (Silva et al., 2009). Hernias are classified according to the anatomical location of the orifice through which the bowel protrudes (Figure 2.39). Distinction should be made regarding the hernia location, sac size and contents and whether there are any complications. Features such as poor enhancement and bowel wall thickening can be suggestive of strangulation or ischaemia (Figure 2.40). Figure 2.39  Coronal image: IV contrast enhanced CT scan of the abdomen and pelvis in the portal venous phase. An obstructed right inguinal femoral hernia can be seen causing SBO (arrow). Figure 2.40  Axial image: IV contrast enhanced CT scan of the pelvis in the portal venous phase. There is a loop of incarcerated small bowel within a right inguinal hernia (arrow). The bowel wall is poorly enhancing and there is adjacent fat stranding and free fluid. K22247_C002.indd 51 16/05/15 3:07 AM
  • 74.
    Chapter 252 GASTRIC VOLVULUS Gastricvolvulus is defined as an abnormal rotation of the stomach along its mesentery, which can result in a closed loop obstruction. Cases can be divided broadly intothreetypes:organoaxial,mesenteroaxialandmixed. Organoaxial is more common, comprising over two thirds of cases (Peterson et al., 2009), and occurs when thestomachrotatesalongitslongaxis(Figures2.41a, b). The greater curvature is displaced superiorly while the lesser curvature moves caudally. This subtype of volvulaecanbeassociatedwithtraumaticdiaphragmatic and para-oesophageal hernia. Mesenteroaxial is less common and occurs when the stomach rotates around its short axis, resulting in displacement of the gastric antrumtoalevelabovethegastro-oesophagealjunction (Figures 2.42a, b). All subtypes can be asymptomatic and chronic, or present acutely with symptoms of pain and obstruction. Symptoms and signs of acutely symptomatic cases are described by Borchardt’s triad: epigastric pain, intractable retching and inability to pass an NG tube. The greatest concern in cases of acute obstruction is strangulation of the twisted segment, which should be especially suspected in the presence of an elevated serum lactate level. Urgent diagnosis is vital in order to facilitate potential surgical intervention. It is importanttonotethatchroniccasesareoftendiagnosed incidentally on CT and fluoroscopy studies performed for other indications, and the diagnosis must always be correlated with patient symptoms. Radiological investigations Abdominal plain film imaging can be helpful in the initial assessment of gastric volvulus in order to assess for more distal bowel obstruction. Erect chest plain film imaging also has a role in identifying sub- diaphragmaticfreegas,indicativeofperforation(which canbothcomplicategastricvolvulusandalsobeanother cause of abdominal pain). Fluoroscopy can accurately demonstrate the morphology of the stomach, but this modality may not be available out of hours and is not always suitable in unstable patients. Fluoroscopy also requiresoralcontrastadministration,whichmaynotbe toleratedincasesoftotalobstruction.CTcanaccurately demonstrate the morphology of the stomach and has Radiation enteritis Radiation enteritis causes obstruction in the late phase 1 year after radiation therapy, usually to the pelvis. Radiation enteritis causes SBO primarily by producing smooth strictures of the bowel, as well as adhesive and fibrotic changes in the mesentery. There may also be abnormal enhancement of the thickened bowel wall caught in the field of the radiation therapy, in addition to bowel wall thickening. Gallstone ileus See Gallstone ileus. Key points • Abdominal plain film imaging is very useful in detecting the presence of SBO; however, CT is required to ascertain the cause and look for complications. • The criterion for SBO is bowel dilated to 3 cm. The entire small bowel should be traced in order to identify a transition point, which is a clear calibre change from dilated to non-dilated bowel. • In cases where a transition point is identified, but no other significant findings are present, the cause is likely to be adhesional, especially if there is supporting clinical history of previous surgery. • Complications of SBO must be communicated to the referring clinician urgently as this impacts patient management. Report checklist • Degree of small bowel dilatation. • Presence or absence of a focal transition point. • Presence or absence of underlying causes, such as hernias or malignancy. • Presence or absence of complications, such as evidence of perforation or bowel ischaemia. References Foster NM, McGory ML, Zingmond DS et al. (2006) Small bowel obstruction: a population-based appraisal. J Am Coll Surg 203:170–176. Silva CA, Pimenta M, Guimaraes LS (2009) Small bowel obstruction: what to look for? Radiographics 29:423–439. K22247_C002.indd 52 16/05/15 3:07 AM
  • 75.
    Gastrointestinal and genitourinaryimaging 53 Figures 2.41a, b  The axis of gastric rotation in organoaxial volvulus. (a) ( b) Figures 2.42a, b  The axis of gastric rotation in mesenteroaxial volvulus. (a) ( b) K22247_C002.indd 53 16/05/15 3:07 AM
  • 76.
    Chapter 254 Radiological findings Computedtomography Gastric volvulus should be suspected on CT with an abnormal orientation of the stomach. The greater curvature should always lie inferior to the lesser curvature and the gastro-oesophageal junction should be positioned to the left and more cranial than the gastroduodenal junction. Multiplanar reformats should be utilised in order to more easily appreciate the anatomical orientation of the stomach, particularly the coronal view, which mirrors the standard supine view obtained by fluoroscopy and plain film imaging. An organoaxial orientation of the stomach is diagnosed when the greater curvature is positioned more cranially than the lesser curvature, while a mesenteroaxial orientation occurs when the antrum is more cranial than the gastro-oesophageal junction (Figure 2.43). Mixed subtype gastric volvulae are diagnosed when the stomach orientation fulfils the criteria for both the organoaxial and mesenteroaxial orientation. The stomach may lie in an intrathoracic position when associated with a hiatus hernia (Figure 2.44). Note: Both subtypes can be chronic and asymptomatic; in incidental cases the term ‘orientation’ should be used as opposed to ‘volvulus’ to highlight this point. Obstruction is indicated by significant dilatation of the closed gastric loop, proximal dilatation of the several advantages over fluoroscopy: identification of complicating factors such as perforation and gastric ischaemia, associated conditions such as diaphragmatic hernia and alternative causes of abdominal pain. CT can be performed with or without water soluble oral contrast. Oral contrast administration can aid the assessmentofthedegreeofobstruction;however,itcan limit interpretation of gastric wall enhancement and may not be tolerated by the patient. (See Table 2.13.) MODALITY PROTOCOL CT Portal venous phase: 100 ml IV contrast via 18G cannula, 4 ml/sec. Scan at 70 seconds after initiation of injection. Oral contrast: 50 ml water soluble oral contrast diluted in 500 ml water. Administer just prior to ­scanning. Scan from mid thorax to femoral head level. Fluoroscopy Water soluble contrast (iodine concentration 300 mg/l) administered orally. Barium can cause mediastinitis and in general should not be used (although advocates argue barium increases the sensitivity of detecting small leaks when water soluble contrast has failed to do so). Table 2.13  Gastric volvulus. Imaging protocol. Figure 2.43  Coronal image: IV contrast enhanced CT scan of the thorax and abdomen in the arterial phase. The stomach has an ‘upside down’ configuration ­consistent with an organoaxial gastric volvulus. Figure 2.44  Axial image: IV contrast enhanced CT scan of the thorax in the arterial phase. The ­majority of the stomach lies within the thorax due to a large hiatus hernia. K22247_C002.indd 54 16/05/15 3:07 AM
  • 77.
    Gastrointestinal and genitourinaryimaging 55 oesophagus and distal bowel collapse (Figures 2.45, 2.46). In studies where oral contrast is administered, complete hold of contrast signifies complete obstruction, although it should be emphasised that some contrast passage can still occur in cases of severe obstruction. Gastric wall thickening, pneumatosis (gas within the gastric wall, best appreciated on lung window settings) and poor gastric enhancement should all raise the suspicion of gastric ischaemia, an important complication that should be urgently communicated to the referring team. Free gas is indicative of perforation and can be seen in both the peritoneum and mediastinum, depending on the site of the perforated portion of the stomach. Figure 2.45  Oblique coronal image: IV contrast enhanced CT scan of the abdomen and pelvis in the portal venous phase. The stomach is significantly dilated and demonstrates an abnormal configuration, suggestive of obstruction secondary to gastric volvulus. Figure 2.46  Axial image: IV contrast enhanced CT scan of the thorax in the arterial phase. The ­proximal stomach is dilated and fluid filled as a result of ­obstruction. The distal stomach beyond the obstruction is collapsed. K22247_C002.indd 55 16/05/15 3:07 AM
  • 78.
    Chapter 256 single airfluid level, whereas mesenteroaxial volvulae demonstrate two discrete fluid levels. Key points • Gastric volvulus can be a long-standing and asymptomatic finding or present with symptoms of acute obstruction. • Volvulae can be organoaxial (rotation around the gastric long axis, greater curvature displaced cranial to the lesser curvature), mesenteroaxial (rotation around the gastric short axis, gastro- oesophageal junction displaced cranial to the antrum) or mixed. • CT accurately demonstrates the morphology and orientation of the stomach, as well as complicating factors such as perforation and ischaemia. Report checklist • Characterise the type of gastric volvulus. • Degree of associated obstruction. • Presence or absence of complications, such as gastric ischaemia and aspiration pneumonia. • Emphasise that some gastric volvulae may be long-standing; clinical correlation is required in these instances. References Feldman M, Friedman LS, Brandt LJ (2010) Sleisenger and Fordtran’s Gastrointestinal and Liver Disease: Pathophysiology/Diagnosis/Management, 9th edn. Saunders/Elsevier, St. Louis. Peterson C, Anderson J, Hara A et al. (2009) Volvulus of the gastrointestinal tract: appearances at multimodality imaging. Radiographics 29:1281–1293. Plain films Plain films may demonstrate a grossly distended gas- filledviscusintheupperabdomenandapaucityofbowel gas distally. In cases associated with diaphragmatic hernia, the stomach may be seen in an intrathoracic position (Figure 2.47). Typically, organoaxial volvulae present as a horizontally orientated stomach with a Figure 2.47  PA chest radiograph. There is a large hiatus hernia with the stomach extending into the thoracic cavity. A large gas fluid level is seen within the stomach representing fluid within the volvulus contained in a hiatus hernia. K22247_C002.indd 56 16/05/15 3:07 AM
  • 79.
    Gastrointestinal and genitourinaryimaging 57 for patients who are unable to swallow oral contrast media. Some studies have estimated that fluoroscopy can be associated with a significant 10–20% false- negative rate (Tonolini Bianco, 2013), although this depends on fluoroscopic technique and the experience of the interpreter. CT imaging with oral contrast is increasingly being utilised as the initial modality of choice in suspected cases of oesophageal rupture. CT is often more appropriate in unstable patients because of its speed and the ease with which it can be performed. It gives accurate anatomical information regarding the structures adjacent to the oesophagus and can, in addition, assess for other underlying pathologies. CT can also be performed without oral contrast, unlike fluoroscopy, although sensitivity will be decreased. (See Table 2.14.) OESOPHAGEAL PERFORATION Oesophageal perforation is most commonly iatrogenic in nature and can be seen secondary to endoscopy, oesophageal dilation, myotomy and stent placement, foreign body extraction, gastric fundoplication and anteriorcervicaldiscectomy.Perforationcanalsooccur secondary to tumours and severe ulceration resulting from gastro-oesophageal reflux disease. Spontaneous oesophageal rupture, termed Boerhaave syndrome, is usually associated with vomiting. It is believed that incomplete cricopharyngeal muscle relaxation during vomiting results in a sudden increase in oesophageal intraluminal pressure, which can result in perforation. This should be distinguished from a Mallory–Weiss tear, which is also associated with protracted vomiting but is not transmural and therefore does not result in oesophageal perforation. The most common site of spontaneous perforation is the thoracic oesophagus, particularlythedistalleftposteriorwall.Symptomsand signs include sudden onset chest pain, haematemesis and fever. Blood tests may show raised inflammatory markers or, alternatively, may be normal. Oesophageal perforationhasahighmortalityrateandearlydiagnosis and surgical intervention is vital. Radiological investigations Chest plain film imaging is a useful initial tool in the assessmentofsuspectedoesophagealrupturetoexclude alternative pathologies, although it is rarely diagnostic of oesophageal rupture. Definitive diagnosis often requires either a contrast swallow fluoroscopic study or CT imaging. While fluoroscopy has traditionally been thought of as the modality of choice to investigate oesophageal perforation, it has inherent limitations. Fluoroscopy is not always suitable in acutely unwell patients, is time-consuming to perform and may not be available out of hours. Fluoroscopy is also not suitable MODALITY PROTOCOL CT Post IV contrast, portal venous phase: 100 ml IV contrast via 18G cannula, 4 ml/sec. Scan at 30 seconds after initiation of injection. Oral contrast: 50 ml water soluble oral ­contrast diluted in 500 ml water. Administer just prior to scanning. Scan from level of thoracic inlet to below diaphragm. Fluoroscopy Water soluble contrast swallow: water soluble oral contrast (iodine concentration 300mg/l) administered orally. Barium can cause mediastinitis and in ­general should not be used (although advocates argue barium increases sensitivity of detecting small leaks when water-soluble contrast has failed to do so). Table 2.14 Oesophageal perforation. ­Imaging  protocol. K22247_C002.indd 57 16/05/15 3:07 AM
  • 80.
    Chapter 258 Radiological findings Computedtomography The presence of extraluminal oral contrast in the posterior mediastinum (which can also track into the left-sided pleural cavity) is indicative of oesophageal perforation (Figures 2.48, 2.49). An additional helpful signispneumomediastinum;utilisationoflungwindow settings aids visualisation of this (Figure 2.50). It should be noted that this is a non-specific sign and if seen in isolation, additional causes should be considered (Table 2.15). Concentric or eccentric oesophageal muralthickeningcanalsobeseenincasesofoesophageal perforation, although it is also non-specific and can be seen with oesophagitis or malignancy; the presence of associated para-oesophageal lymphadenopathy is more suggestive of the latter. Para-oesophageal enhancing fluid collections may also be seen. Note: Small oesophageal leaks may be missed on CT, especially in the absence of oral contrast; this should be emphasised in the report. Fluoroscopy Contrast swallow fluoroscopy should be performed with the patient in a semi-supine (20°) position, right Figure 2.48  Axial image: oral and IV contrast enhanced CT scan of the thorax in the arterial phase. Oral contrast is seen collecting in the right pleural space with locules of gas. Left pleural effusion is also noted. Figure 2.49  Axial image: oral contrast CT scan of the thorax. Contrast can be seen within the stomach. Contrast has collected around the oesophagus within the posterior mediastinum (arrow). A left-sided pleural effusion is also present, containing locules of gas. Figure 2.50  Axial image: IV contrast enhanced CT scan of the thorax in the arterial phase. Viewed on lung window settings, gas can be seen surrounding the ­superior mediastinal structures. andleftanterioroblique,rightandleftlateralandprone positions, although this depends on patient tolerance. Ideally, the patient should swallow the oral contrast mediumfromacupondemand.Bolusesoforalcontrast K22247_C002.indd 58 16/05/15 3:07 AM
  • 81.
    Gastrointestinal and genitourinaryimaging 59 • Blunt chest trauma. • Secondary to chest, neck or retroperitoneal surgery. • Oesophageal perforation. • Tracheobronchial perforation. • Vigorous exercise. • Asthma. • Barotrauma. • Subcutaneous emphysema, pulmonary interstitial emphysema. • Stab wound. • Infection. • Idiopathic. Table 2.15  Causes of pneumostinum. Figure 2.51  PA chest radiograph. Streaky linear ­lucencies are seen within the superior mediastinum and outlining the left heart border. Subcutaneous ­emphysema is also seen in the supraclavicular fossa bilaterally. Reference Tonolini M, Bianco R (2013) Spontaneous esophageal perforation (Boerhaave syndrome): diagnosis with CT-esophagography. J Emerg Trauma Shock 6:58–60. should be followed down the entire oesophagus. Rupture is confirmed in the presence of extravasation of oral contrast or an irregular collection of contrast external to the oesophageal lumen. Additional findings include oesophageal wall irregularity and distortion, which may suggest para-oesophageal collections. Adequate oesophageal luminal distension is vital to identify oesophageal perforation; this requires a good oral contrast load. The study should always be terminated if oral contrast material is aspirated. Plain films Chest plain film findings are all non-specific but can suggest the diagnosis of oesophageal perforation. The most common sign of oesophageal perforation seen on chest plain film imaging is a left-sided pleural effusion and atelectasis/consolidation, reflecting the fact that the most common site of oesophageal perforation is the distal left-sided posterior wall. Pneumomediastinum should always raise suspicion of oesophageal perforation, especially in the presence of associated symptoms. Pneumomediastinum has many appearances on chest plain film imaging, although all rely on the presence of abnormal gas outlining the normal mediastinal structures (Figure 2.51). Note: Pneumomediastinum on plain film imaging has a low sensitivity and specificity for oesophageal rupture and can be seen in many other conditions (Table 2.15). Key points • Oesophageal perforation has a high mortality rate and urgent diagnosis is essential. • Imaging modalities include CT with water soluble oral contrast and fluoroscopy. Small leaks can be missed on both modalities if the oral contrast load is inadequate. Report checklist • Presence or absence of extra-oesophageal oral contrast. • Attempt to localise any potential oesophageal breach. • Document any associated complications (e.g. mediastinal collections and mediastinitis). K22247_C002.indd 59 16/05/15 3:07 AM
  • 82.
    Chapter 260 and non-compression)is most diagnostic in the hands of experienced sonographers and radiologists. In the on-call setting, the use of ultrasound and experience in scanning for appendicitis may be limited. (See Table 2.16.) Radiological findings Computed tomography The appendix should be identified – the use of multiplanar reformatting is sometimes necessary to achieve this. The normal appendix appears as a tubular or ring-like pericaecal structure that is either totally collapsed or partially filled with fluid, contrast material or air. It has a thickness less than 3 mm. Acute appendicitis causes thickening of the appendix with a two-wall diameter greater than 6–7 mm. Periappendicular inflammatory stranding and free fluid may also be seen (Figure 2.52), as may a calcified appendicolith (seen in 30% of cases, Figure 2.53). Other conditions, such as active Crohn’s disease in the terminal ileum, can cause a similar appearance of a thickened tubular structure in the right iliac fossa. It is important to differentiate the two structures anatomically, since the management of the two conditions differs. Caecal thickening and inflammatory changes may be present, and if oral contrast has been given, it may give rise to an ‘arrowhead’ appearance, as contrast funnels at the caecal apex to the point of the obstructed appendicular orifice. Perforated appendicitis is usually accompanied by pericaecal abscess formation, which presents as an enhancing fluid collection (Figure 2.54). These may ACUTE APPENDICITIS Acute appendicitis is the most common cause of acute abdominal pain and is a surgical emergency. Appendicitis occurs in all age groups; it is rare in infants but becomes increasingly common in childhood, reaching peak incidence in the late teenage years and early twenties. Abdominal pain is the primary symptom of appendicitis and is initially located in the lower epigastrium or periumbilical area. The pain subsequently localises to the right lower quadrant, where it becomes progressively more severe. Anorexia nervosa nearly always accompanies appendicitis. Nausea, vomiting and low-grade fever are common symptoms. Less commonly, diarrhoea or constipation may be seen. The physical examination findings in acute appendicitis are localised abdominal tenderness, rigidity, muscle guarding, pain on percussion and rebound tenderness. Pain in the right lower quadrant with palpation of the left lower quadrant (Rovsing sign) is helpful in supporting a clinical diagnosis. High C-reactive protein (0.8 mg/dl) with leucocytosis and neutrophilia is the most significant laboratory finding. The diagnosis of acute appendicitis is primarily a clinical one; however, many conditions have similar clinical presentations to appendicitis and a definitive diagnosis may be difficult to make. In these cases of clinical uncertainty, the on-call radiologist may be required to aid the diagnosis. Radiological investigations Both CT and ultrasound can be useful in the diagnosis of acute appendicitis and its complications. Radiology, primarily CT, can reduce the number of misdiagnoses and negative laparotomies, with high positive and negative predictive values of between 95 and 98% and 95 and 100%, respectively (Curtin et al., 1995). In addition,itcanbeofuseinthedetectionofappendicular abscesses, postoperative complications and other conditionsmimickingappendicitis.Ultrasoundalsohas a diagnostic role in patients where CT is less favourable (e.g. children, young women and pregnant women). The reported positive and negative predictive values are 91 to 94% and 89 to 97%, respectively (Curtin et al., 1995). The use of ultrasound (compression MODALITY PROTOCOL CT Post IV contrast, portal venous phase: 100 ml IV contrast, 4 ml/sec via 18G cannula. Scan at 70 seconds. Scan from above diaphragm to femoral head level. Ultrasound 6–9MHz linear probe. Table 2.16 Acute appendicitis. Imaging ­protocol. K22247_C002.indd 60 16/05/15 3:07 AM
  • 83.
    Gastrointestinal and genitourinaryimaging 61 Figure 2.52  Coronal image: oral and IV contrast enhanced CT scan of the abdomen and pelvis in the portal venous phase. A thick-walled appendix can be seen in the right iliac fossa (arrow). There is adjacent inflammatory fat stranding. Figure 2.53  Axial image: oral and IV contrast enhanced CT scan of the abdomen and pelvis in the portal venous phase. A thick-walled appendix can be seen in the right iliac fossa containing a round calcified appendicolith (arrow). Figure 2.54  Axial image: oral and IV contrast enhanced CT scan of the abdomen and pelvis in the portal venous phase. A relatively well-defined mass is seen in the right iliac fossa just anterior to the right psoas muscle (arrow). An abscess has formed around the appendix, with inflammatory changes visible around the mass. K22247_C002.indd 61 16/05/15 3:07 AM
  • 84.
    Chapter 262 may alsobe increased echogenicity of the mesenteric fat that surrounds the appendix. Adjacent hypoechoic free fluid may also be seen, in addition to focal abscess formation. Key points • Appendicitis is primarily a clinical diagnosis. Radiology should only be used in situations where the clinical diagnosis is uncertain. • Ultrasound can be used in cases where CT is less favourable (i.e. children and pregnant women), but it is is user dependent. • Key CT features include a thickened appendix (6 mm), surrounding inflammatory mesenteric changes and the presence of an appendicolith. Report checklist • Document the diameter of the appendix and the degree of appendicular thickening. • Presence or absence of complications, such as appendicular abscesses and perforation. References Brown M (2008) Imaging acute appendicitis. Semin Ultrasound CT 29:293–307. Curtin K, Fitzgerald S, Nemcek A et al. (1995) CT diagnosis of acute appendicitis: imaging findings. Am J Roentgenol 164:905–909. involve adjacent structures (Figures 2.55a–c). Free intraperitoneal gas is suggestive of appendicular perforation without abscess formation, and is best appreciated on lung or bone window settings. As with any cause of intra-abdominal inflammation, acute appendicitis can cause localised small bowel ileus, suggested by small bowel dilatation without an associated transition point. Sagittal and coronal reformats can help to identify the appendix when it is difficult to find. They can also be used to identify where abscesses are tracking, and the nature of their relationship to the appendix. Ultrasound Appendicitis is diagnosed on ultrasound when the total appendix diameter is greater than 6 mm or individual wall thickness is greater than 3 mm (Brown, 2008). The diagnosis is also suggested by a ­non-compressible appendix during scanning (Figures 2.56a, b). A technique of graded compression should be adopted. This requires the operator to gradually increase pressure on the patient during the scan over the site of tenderness, in order to displace loops of bowel and demonstrate the appendix. In normal patients, it can be difficult to visualise the appendix. An appendicolith appears as a focal hypoechoic structure within the tubular appendix, which usually demonstrates posterior acoustic shadowing. These are often present in patients with acute appendicitis. There K22247_C002.indd 62 16/05/15 3:07 AM
  • 85.
    Gastrointestinal and genitourinaryimaging 63 Figures 2.55a–c  Axial, coronal and sagittal images: IV contrast enhanced CT scans of the abdomen and pelvis in the portal venous phase. These demonstrate a thickened, inflamed appendix with a right iliopsoas abscess. (a) ( b) (c) Figures 2.56a, b  Transverse and longitudinal ultrasonograms of the appendix. The appendix has a diameter of 8 mm and is non compressible consistent with acute appendicitis. No appendicolith or surrounding fluid collections are seen. The mesenteric fat surrounding the appendix is echogenic, which is a non-specific feature often seen in acute appendicitis. (a) ( b) K22247_C002.indd 63 16/05/15 3:07 AM
  • 86.
    Chapter 264 ACUTE PANCREATITIS Acutepancreatitis is an acute inflammatory process of the pancreas, which may also involve adjacent or remote tissues and organs. The incidence rate ranges from 150 to 420 per 1 million (Johnson et al., 2005). The commonest causes of acute pancreatitis are cholelithiasis and elevated alcohol consumption; the latter, if sustained, can also cause chronic pancreatitis. Acute pancreatitis can also be iatrogenic, secondary to endoscopic retrograde cholangiopancreatography. Additional, rarer causes include abdominal surgery, trauma, congenital pancreatic divisum, hyperlipidaemia, hypercalcaemia and infection. Symptoms and signs of acute pancreatitis include abdominal pain, nausea and vomiting and pyrexia. If severe, a profound systemic inflammatory response can lead to haemodynamic instability and, ultimately, multiorgan failure. The diagnosis is often suggested by a significant elevation in serum pancreatic enzyme levels (e.g. amylase and lipase), although a low level elevation of amylase is non-specific and can also be seen in other causes of an acute abdomen. Many clinical scoring systems, such as the Glasgow (Table 2.17) and APACHE II (Acute Physiology and Chronic Health Evaluation) Scores are used to provide an objective assessment of the severity of pancreatitis. Complications of acute pancreatitis include pancreatic pseudocysts,focalabscessformationandperipancreatic fluid collections, pancreatic necrosis, haemorrhage, MODALITY PROTOCOL CT Arterial phase: 100 ml IV contrast via 18G cannula, 4 ml/sec. Bolus track centred on mid-abdominal aorta. No oral contrast. ­Image the pancreas only. Portal venous phase: IV contrast as above, scan at 70 seconds after contrast ­administration. Scan from just above ­diaphragm to femoral head level. Table 2.18 Acute pancreatitis. Imaging ­protocol. arterial pseudoaneurysm formation and venous thrombosis (e.g. the portal and splenic veins). The severity of acute pancreatitis is highly variable; it can range from mild and self-limiting to fulminant. If severe, the mortality rate is estimated to be as high as 50%. Note: The diagnosis of acute pancreatitis is a clinicalone,usuallymadeonthebasisofelevatedserum pancreatic enzyme levels and an appropriate clinical history. Radiological investigations are not required to establish the diagnosis; however, they do play a role in identifying the complications that can arise in more severe cases. Radiological investigations CT is the imaging modality of choice for identifying the complications that can arise secondary to severe cases of acute pancreatitis. It is quick, readily available and also aids in identifying alternative intra- abdominal pathologies. An arterial phase, in addition to the portal venous phase, aids in the identification of vascular complications; however, it is usually only used when there is concern about necrotic pancreatitis and therefore an arterial phase may not routinely be required. Ultrasound can be used to identify the underlying cause (e.g. gallstones); however, it is less sensitive than CT at identifying pancreatic necrosis. Ultrasound can also be technically challenging in acutely unwell patients; difficulties include a limited acoustic window, which can result in suboptimal views of the pancreas. (See Table 2.18.) PaO2 8 kPa 1 Age 55 years old 1 Neutrophilia: WCC 15 × 109/l 1 Calcium 2 mmol/l 1 Renal function: urea 16 mmol/l 1 Enzymes: LDH 600 U/l; AST 200 U/lL 1 Albumin 32 g/l (serum) 1 Sugar: blood glucose 10 mmol/l 1 Table 2.17 Glasgow Score: a score of 3 or more indicates ­severe pancreatitis. K22247_C002.indd 64 16/05/15 3:07 AM
  • 87.
    Gastrointestinal and genitourinaryimaging 65 radiologically from a primary pancreatic malignancy and can prove a diagnostic challenge; clinical history can be useful in these situations. The pancreas should enhance uniformly on the arterial and portal venous phases. Loss of pancreatic enhancement, as evidenced by decreased parenchymal attenuation (which can be uniform or focal), is suggestive of pancreatic necrosis and indicates severe pancreatitis (Figure 2.58). Locules of gas within the non-enhancing pancreatic parenchyma are highly suggestive of infective necrosis, again indicating severe pancreatitis. The severity of acute pancreatitis can be graded on CT imaging using Figure 2.58  Axial image: IV contrast enhanced CT scan of the abdomen in the portal venous phase. The pancreas is ill defined with surrounding ­inflammatory changes consistent with acute ­pancreatitis. In addition, there are focal areas of non-enhancing tissue within the body of the pancreas, consistent with pancreatic necrosis. Figure 2.57  Axial image: IV contrast enhanced CT scan of the abdomen in the portal venous phase. The pancreatic tail is ill-defined and oedematous with surrounding inflammatory changes consistent with focal ­pancreatitis. A filling defect can be seen within the portal vein near the pancreatic head, representing non-occlusive ­thrombosis (arrow). Radiological findings Computed tomography In mild cases of acute pancreatitis, the pancreas can appear normal on CT imaging. Findings can include an enlarged oedematous pancreas with associated peripancreaticinflammatoryfatstranding(Figure 2.57). Localised free fluid is common and may extend along the mesentery, mesocolon and hepatoduodenal ligament and into peritoneal spaces. Acute pancreatitis can be diffuse or focal, the latter affecting a single part of the gland such as the head or tail. Cases of focal acute pancreatitis can be difficult to differentiate K22247_C002.indd 65 16/05/15 3:07 AM
  • 88.
    Chapter 266 collection witha uniformly thick wall (Figure 2.59), the degree of enhancement of which can vary. All peripancreatic collections can be complicated by infection. The presence of locules of gas within any collection should raise the suspicion of infection; however, CT imaging cannot readily differentiate infected from non-infected collections and ultimately aspiration and microbiological analysis may be required. Peripancreatic collections can be drained percutaneously by ultrasound or CT; discussion with an interventional radiologist is advised in these cases. The portal, splenic and superior mesenteric veins should be inspected for thrombosis, appearing as focal filling defects within the veins on portal venous phased imaging (see Figure 2.57). Arterial pseudoaneurysms can also occur, most commonly involvingthesplenicartery.Pseudoaneurysmsmanifest theCTSeverityIndex(CTSI)constructedbyBalthazar et al., 1990 (Table 2.19). Peripancreatic fluid collections can consist of exudative fluid, necrotic tissue or haemorrhage, all of which can be complicated by infection. The appearance of enhancing fluid collections on CT imaging can vary, ranging from uniform low attenuation collections to heterogeneous mixed density collections. It is important to differentiate these acute collections from pancreatic pseudocysts. The latter are common sequelae of acute pancreatitis and represent organisation of leaked pancreatic fluid. Pancreatic pseudocysts develop at least 4 weeks after the onset of acute pancreatic inflammation and the term ‘pseudocyst’ should be avoided in the early period. Pancreatic pseudocysts generally appear as a uniform low attenuation peripancreatic fluid GRADING OF PANCREATITIS Normal pancreas 0 Enlargement of pancreas 1 Inflammatory changes in pancreas and peripancreatic fat 2 Ill-defined single fluid collection 4 Two or more poorly defined fluid collections 5 DEGREE OF PANCREATIC NECROSIS None 0 Less than or equal to 30% 2 Between 30% and 50% 4 Greater than 50% 6 OVERALL SCORE AND SEVERITY OF ACUTE PANCREATITIS 0–3 points Mild 4–6 points Moderate 7–10 points Severe Table 2.19 Acute pancreatitis. CT Severity Index. Figure 2.59  Axial image: IV contrast enhanced CT scan of the abdomen in the portal venous phase. There is a round, thick-walled pseudocyst that lies between the pancreatic neck and the stomach. K22247_C002.indd 66 16/05/15 3:07 AM
  • 89.
    Gastrointestinal and genitourinaryimaging 67 Key points • Imaging is not required to establish the diagnosis of acute pancreatitis, but it does play a role in identifying the complications that can arise. In these cases, CT is the imaging modality of choice. • CT findings of acute pancreatitis include pancreatic swelling and oedema, peripancreatic inflammatory fat stranding and fluid. • Acute pancreatitis can be complicated by pancreatic necrosis, focal abscess formation and peripancreatic fluid collections, arterial pseudoaneurysms, active bleeding and venous thrombosis. Report checklist • Presence or absence of complications of pancreatitis, including necrosis, abscess formation, portal vein/splenic vein/superior mesenteric vein thrombosis, pseudocyst and abscess formation, pseudoaneurysm formation and bleeding, colitis, pneumonia and pleural effusions. • Consider the causes of pancreatitis, for example the presence or absence of gallstones. • Presence or absence of biliary dilatation or obstruction. References Balthazar EJ, Robinson DL, Megibow AJ et al. (1990) Acute pancreatitis: value of CT in establishing prognosis. Radiology 174:331–336. Johnson CD, Charnley R, Rowlands B et al. (2005) UK guidelines for the management of acute pancreatitis. Gut 54:1–9. as well-defined rounded high attenuation foci on the arterial phase, which demonstrates the same degree of attenuation as the remainder of the arterial system. Pseudoaneurysms may or may not be traced to a parent vessel. Pseudoaneurysms can be complicated by acute bleeding, which may also appear as a hyperattenuating contrast blush on arterial phased imaging. On a single arterial phase, active bleeding can be difficult to distinguish from pseudoaneurysms; however, the latter wash out on delayed imaging, thus allowing differentiation. The gallbladder should be inspected for gallstones, thepresenceofwhichmayindicatethelikelyunderlying cause. Gallstones have a highly variable appearance on CT imaging; they can be purely calcified or demonstratelaminatedcalcification.Alternatively,they can be soft tissue density or even isoattenuating to the adjacent bile; the latter may be missed on CT imaging. The biliary system should be inspected for dilatation, which may indicate an impacted gallstone distally. The common bile duct should measure less than 6 mm in people less than 60 years of age, with an additional 1 mm permitted for every extra decade over 60 years. In the presence of biliary dilatation, the common bile duct should be traced distally in order to attempt to identify an impacted stone or obstructing soft tissue mass; these can be challenging to differentiate on CT. It is important to distinguish acute from chronic pancreatitis, the latter commonly occurring secondary to chronic alcohol excess. Chronic pancreatitis manifests on CT as atrophy of the pancreas, with scattered foci of pancreatic calcification and irregular pancreatic duct dilatation. K22247_C002.indd 67 16/05/15 3:07 AM
  • 90.
    Chapter 268 ACUTE DIVERTICULITIS Diverticulaeare mucosal herniations through the muscularis layer of the bowel wall. They can occur anywhere in the bowel but are most common in the colon due to raised intraluminal pressures. The incidence of colonic diverticulitis is high in the general population; however, diverticulitis most commonly occurs in the elderly (Baker et al., 2008). Clinical symptoms and signs are varied but typically include pain mainly localising to the left lower quadrant, low- grade fever and constipation/diarrhoea. Leucocytosis and a raised C-reactive protein may also be present. Complications of acute diverticulitis include perforation, collection/abscess, fistula formation and post-inflammatory strictures, which can cause bowel obstruction. Fistula formation, involving either the bladder or vagina, can result in pneumaturia or foul smelling vaginal discharge, respectively. Although symptoms and signs can vary, perforated diverticulitis is a surgical emergency and often requires urgent laparotomy.Whilethediagnosiscanbemadeclinically, imaging is increasingly being utilised to guide potential surgicalmanagementandshouldbeperformedwithout delay if there is clinical suspicion of perforation. Radiological investigations IV contrast enhanced CT is the imaging modality of choice and can diagnose both diverticulitis and its important complications. Positive oral contrast can be administeredasperlocalprotocol;however,thisshould not delay imaging if the patient is acutely unwell. Abdominal plain film imaging has a role in assessing for other causes of abdominal pain, such as bowel obstruction, although it cannot definitively diagnose diverticulitis. Free gas may be seen on both abdominal and chest plain film imaging and is consistent with perforation. (See Table 2.20.) Radiological findings Computed tomography Diverticulae appear as multiple small sacular out- pouchings arising from the bowel wall. They are more common on the mesenteric side of the colon, where nutrient arteries enter. Acute diverticulitis is suggested by a segment of colonic wall thickening (3 mm) and pericolonic fat stranding (Figure 2.60). MODALITY PROTOCOL CT Post IV contrast, portal venous phase: 100 ml IV contrast, 4 ml/sec via 18G cannula. Scan at 70 seconds. Scan from above diaphragm to femoral head level. Table 2.20 Acute diverticulitis. Imaging protocol. Figure 2.60  Axial image: IV contrast enhanced CT scan of the abdomen and pelvis in the portal venous phase. The sigmoid colon is abnormally thickened in the ­presence of multiple diverticula. The surrounding ­mesentery is hazy due to local inflammation. This is usually seen in conjunction with multiple diverticulae, although these can sometimes be difficult to appreciate. Associated free fluid can be seen, as with any inflammatory intra-abdominal pathology. Multiplanar reformatting, particularly the coronal view, may be helpful to show mild pericolonic fat stranding associated with horizontally oriented segments of colon. Note: Short segments of colonic wall thickening (5 cm) can also be seen in cases of primary colorectal malignancy and it can sometimes be difficult to differentiate radiologically between the twoentities.Localisedlymphadenopathycanbeseenin both. Other findings of disseminated malignancy, such as metastatic disease, may help reveal the underlying cause of bowel wall thickening; however, in equivocal cases the possibility of malignancy should be raised. K22247_C002.indd 68 16/05/15 3:07 AM
  • 91.
    Gastrointestinal and genitourinaryimaging 69 Figure 2.61  Sagittal image: IV contrast enhanced CT scan of the abdomen and pelvis in the portal venous phase. The image ­demonstrates locules of free gas within the bowel ­mesentery ­secondary to ­perforated ­diverticulitis. Figure 2.62  Axial image: oral and IV contrast enhanced CT scan of the pelvis in the portal venous phase. A focal abscess can be seen in the mid pelvis as a result of ­localised diverticular perforation. Surrounding inflammatory changes can be seen as a hazy appearance within the adjacent mesentery. Figure 2.63  Axial image: IV contrast enhanced CT scan of the pelvis in the portal venous phase. The image demonstrates diverticulitis with an ­interloop abscess (arrow). Indeterminate cases may ultimately require further evaluation with endoscopy. An important complication of diverticulitis is perforation, confirmed on CT by the presence of free gas (Figure 2.61). This is better appreciated on both lung and bone window settings. Other complications include abscess formation, presenting as a pericolonic fluid-containing focus with or without air and an enhancing wall (Figure 2.62). Interloop abscesses may also occur (Figure 2.63). The size of the abscess is important since this can guide potential treatment. For accessible abscesses, percutaneous radiologically- guideddrainagecanbesuggested.Fistulationcanoccur (suggesting a subacute to chronic course), commonly between the bladder and cervix, and should be suspected in the absence of a clear fat plain between the twostructures.Gaswithinthevaginalvaultandbladder (without prior instrumentation) should also raise the suspicion of fistulation. A thin track of oral contrast can occasionally be seen between the two fistulating K22247_C002.indd 69 16/05/15 3:07 AM
  • 92.
    Chapter 270 • Themain findings of diverticulitis include the presence of diverticulae, bowel wall thickening and pericolonic fat stranding. • Short segment bowel wall thickening can also be seen in primary colorectal malignancy and should always be considered as an alternative diagnosis. Report checklist • Presence or absence of complications (e.g. abscess formation, perforation, fistulation and post- inflammatory strictures). • Consider the differential diagnosis of underlying colonic malignancy. • Emphasise that in indeterminate cases, direct visualisation via colonoscopy is advised at a clinically appropriate time References Baker M (2008) Imaging and interventional techniques in acute left-sided diverticulitis. J Gastrointest Surg 12:1314–1317. DeStigter K, Keating D (2009) Imaging update: acute colonic diverticulitis. Clin Colon Rectal Surg 22:147–155. structures, confirming the diagnosis (Figure 2.64). Diverticulitis can also be complicated by hepatic abscess formation, appearing as a ring enhancing hypoattenuating focus within the liver (DeStigter Keating, 2009). There is a classification that is intermittently used for staging diverticulitis according to its severity: The Hinchey Classification of Diverticulitis (Table 2.21). This classification is useful in guiding management since localised disease (i.e. stages 1 and 2) is managed conservatively with IV fluid rehydration, IV antibiotics and, if the abscess collections are large, with image- guided percutaneous drainage. Surgical management is recommended for stages 3 and 4, and for patients that do not improve under medical management or have fistula formation. It is also recommended where there is uncertainty as to whether there may be underlying malignancy. Key points • CT is the imaging modality of choice to assess for the presence of, severity and complications of acute diverticulitis. Figure 2.64  Sagittal image: IV and oral contrast enhanced CT scan of the pelvis in the portal venous phase. The image demonstrates the presence of oral contrast in the vaginal vault (arrow). The adjacent loops of sigmoid colon are thickened secondary to acute ­diverticulitis, which has resulted in a colovaginal fistula. Stage 1a Phlegmon. Stage 1b Diverticulitis with pericolic or mesenteric abscess. Stage 2 Diverticulitis with walled off pelvic abscess. Stage 3 Diverticulitis with generalised purulent peritonitis Stage 4 Diverticulitis with generalised faecal peritonitis. Table 2.21 The Hinchey Classification of ­Diverticulitis. K22247_C002.indd 70 16/05/15 3:07 AM
  • 93.
    Gastrointestinal and genitourinaryimaging 71 cases may warrant urgent surgical intervention. For repeated episodes secondary to gallstones, elective cholecystectomy is often recommended. Emphysematous cholecystitis must be distinguished from simple acute cholecystitis secondary to gallstones. Emphysematous cholecystitis occurs secondary to gas producing organisms such as Clostridium spp. and Escherichia coli and can be rapidly fatal. Urgent diagnosis is vital to facilitate early surgical intervention. Radiological investigations Ultrasound is the imaging modality of choice when acutecholecystitisisclinicallysuspected.Thesensitivity of ultrasound ranges from 80% to 100% and specificity ranges from 60% to 100% (Smith et al., 2009). CT can also be used to diagnose cholecystitis and may be a more appropriate first-line investigation in suspected cases of complicated acute cholecystitis; however, CT is less sensitive than ultrasound for subtle gallbladder wall changes. Plain film imaging can yield signs such as radiopaque gallstones or pneumobilia, but it is not diagnostic. (See Table 2.22.) Radiological findings Ultrasound Findings on ultrasound include gallbladder wall thickening (3 mm), pericholecystic hypoechoic fluid andthepresenceofapositivesonographicMurphysign (Figure 2.65).Gallbladderwallthickeninginisolationis ACUTE CHOLECYSTITIS Acute cholecystitis is the most common acute inflammatory condition of the gallbladder. The vast majority of cases occur secondary to gallstones, usually due to gallstone impaction in the gallbladder neck or cystic duct. A smaller proportion of cases are due to inflammation in the absence of gallstones and these are termed acalculous cholecystitis. Cholecystitis due to gallstones classically occurs in middle-aged women, with obesity being a well- recognised predisposing factor. Acute cholecystitis secondary to gallstones should be differentiated from acalculous cholecystitis, the latter occurring more commonly in critically unwell and paediatric patients without underlying gallstone disease. Symptoms and signs, regardless of the underlying cause, can include right upper quadrant abdominal pain and tenderness, fever and nausea and vomiting. The patient may have a positive Murphy sign, defined as pain on inspiration while palpating the right upper quadrant. Elevated inflammatory markers are a common, but non-specific, associated finding. Complications of acute cholecystitis include abscess formation, pericholecystic fluid collections, gallbladder perforation and enteric fistulation. It is important to identify these complications, since they carryasignificantlyincreasedmortalityrate.Treatment of non-complicated cases is often conservative via appropriate antibiotic therapy; however, complicated MODALITY PROTOCOL Ultrasound 1–5MHz curvilinear probe. CT Post IV contrast, portal venous phase: 100 ml IV contrast, 4 ml/sec via 18G cannula. Scan at 70 seconds. Scan from just above diaphragm to femoral head level. Table 2.22 Acute cholecystitis. Imaging protocol. Figure 2.65  Transverse ultrasonogram of the ­gallbladder. The gallbladder is thick walled with ­surrounding pericholecystic fluid in keeping with acute cholecystitis. K22247_C002.indd 71 16/05/15 3:07 AM
  • 94.
    Chapter 272 Computed tomography CTfeatures include gallbladder wall thickening (3–5 mm), mural or mucosal hyperenhancement, pericholecystic fluid and adjacent soft tissue inflammatory stranding (Figure 2.66). Gallstones on CT, if visualised, may appear as hyperattenuating (calcified) or hypoattenuating (cholesterol containing) filling defects within the gallbladder lumen. Liver parenchyma adjacent to the gallbladder fossa may also hyperenhance because of reactive hyperaemia. CT is particularly useful in detecting the complications of acute cholecystitis. Specific findings that suggest emphysematous cholecystitis include foci of gas within the gallbladder wall or lumen (Figure 2.67), which can be quickly identified on lung window settings. Features of gallbladder perforation include a focal discontinuity in the gallbladder wall and pericholecystic fluid collections, although the latter can also be seen without gallbladder perforation (Figure 2.68). Other complications include abscess formationaroundthegallbladder.Thismayextendinto the liver, resulting in a liver abscess that may require percutaneous drainage (Figure 2.69). a non-specific finding (Table 2.23) and must always be interpreted with additional sonographic findings and an appropriate clinical history. Gallbladder collapse is a common finding in the post-prandial state. Care must be taken since this can give a false impression of wall thickening. Less specific imaging findings of acute cholecystitis include abnormally increased gallbladder distension and echogenic bile (sludge) within the gallbladder. The presence of sludge, in addition to gallbladder wall thickening in the absence of gallstones, is suggestive of acalculous cholecystitis. Gallstones may or may not be visualised within the gallbladder neck or cystic duct, and they typically appear as echogenic foci with posterior acoustic shadowing. Note: Gallstones are a common incidental finding in asymptomatic patients and their presence does not imply acute cholecystitis. Emphysematous cholecystitis is characterised by gas within the gallbladder wall or lumen, appearing as increased echogenic foci with low-level posterior acoustic shadowing and reverberation artefact. Gallbladder perforation can be challenging to diagnoseonultrasound;however,itshouldbesuspected in the presence of pericholecystic fluid collections or a focal discontinuity in the gallbladder wall. • Cholecystitis. • Hepatitis. • Cirrhosis. • Congestive heart failure. • Hypoalbuminaemia. • Renal failure. • Sepsis. Table 2.23 Causes of gallbladder wall thickening. Figure 2.66  Axial image: IV contrast enhanced CT scan of the abdomen in the portal venous phase. The gallbladder wall is thickened and there is ­adjacent inflammatory fat stranding and free fluid. The ­appearance is consistent with acute cholecystitis. K22247_C002.indd 72 16/05/15 3:07 AM
  • 95.
    Gastrointestinal and genitourinaryimaging 73 Key points • Ultrasound is the initial imaging modality of choice in the diagnosis of acute cholecystitis. • CT is useful for identifying the complications of acute cholecystitis such as emphysematous cholecystitis and gallbladder perforation. • The hallmark of acute cholecystitis is gallbladder wall thickening, although in isolation this is a ­non-specific finding. Figure 2.67  Axial image: IV contrast enhanced CT scan of the abdomen in the portal venous phase. The gallbladder contains air, as does the gallbladder wall, in keeping with emphysematous cholecystitis Figure 2.68  Axial image: IV contrast enhanced CT scan of the abdomen in the portal venous phase. The gallbladder wall is thickened with large volumes of pericholecystic fluid consistent with acute cholecystitis. A defect is seen in the anterior gallbladder wall (arrow), consistent with a gallbladder perforation. Figure 2.69  Axial image: IV contrast enhanced CT scan of the abdomen in the portal venous phase. The medial wall of the gallbladder is indistinct due to local perforation. Low attenuation material is seen within the right lobe of liver, which communicates with the gallbladder. This appearance is therefore consistent with gallbladder perforation leading to liver abscess formation. Report checklist • Presence or absence of gallstones. • Presence or absence of intrahepatic or extrahepatic biliary dilatation, which may imply an impacted gallstone more distally within the biliary system. Reference Smith EA, Dillman JR, Elsayes KM et al. (2009) Cross-sectional imaging of acute and chronic gallbladder inflammatory disease. Am J Roentgenol 192:188–196. K22247_C002.indd 73 16/05/15 3:07 AM
  • 96.
    Chapter 274 imaged withCT to fully characterise the severity. (See Table 2.24.) Radiological findings Comuted tomography CT readily identifies gas both within the renal parenchyma and the collecting system. Gas can appear macroscopically similar to fat on CT; direct evaluation of Hounsfield units (gas = approximately 1,000; fat = 50 to –160) and evaluation with lung window settings helps to differentiate the two. Streaky or mottled gas in the interstitium of renal parenchyma, radiating from medulla to cortex, is highly suggestive of emphysematous pyelonephritis (Figures 2.70a, b). Gas can also be seen in the perinephric soft tissues and retroperitoneum; the latter signifies a breach of Gerota’s fascia (Figure 2.71). Focal rim enhancement within the affected renal parenchyma can indicate focal abscess formation. Further non-specific signs can also be seen, such as enhancing perinephric fluid collections, unilateral renal enlargement and decreased parenchymal enhancement (the latter should always prompt scrutiny of the corresponding renal artery and vein to assess for thrombus). Hydronephrosis can be seeninassociationwithemphysematouspyelonephritis and should prompt the search for an obstruction in the ureter. Gas that is limited to the collecting system is suggestive of emphysematous pyelitis (Figure 2.72), although this can also be seen in ureteric fistulation with bowel (secondary to inflammatory bowel disease or malignancy) or pre-existing ileal conduit formation. The ureters should be traced distally to ensure that this is not the case. EMPHYSEMATOUS PYELONEPHRITIS Emphysematous pyelonephritis is a severe, life- threatening infection of the renal parenchyma by gas forming organisms. Approximately 70% of cases are secondary to Escherichia coli, although other causative organisms such as Klesbiella pneumonia and Proteus mirabilis arealsoseen.Thereisastrongassociationwith diabetes mellitus, which is seen in up to 90% of cases (Joseph et al., 1996). Symptoms and signs include flank pain and fever with a rapid progression to sepsis and profound haemodynamic instability. Palpable crepitus over the affected flank is more specific, although the sensitivity of this sign is low. The mortality rate can be as high as 50% and urgent diagnosis is vital (Grayson et al., 2002). The on-call radiologist should have a high index of suspicion for this condition in any diabetic patient with sepsis of unknown origin. Treatment can be conservative in mild cases, involving prompt antibiotic therapy, fluid resuscitation and drainage of complicating collections. In severe cases that fail to respond to conservative management, nephrectomy may be required. It is important to differentiate true emphysematous pyelonephritis from emphysematous pyelitis, in which gas is limited to the renal collecting system. The latter is also associated with diabetes mellitus infection, but carries a much better prognosis; as such, these cases are often managed conservatively. Radiological investigations CT is the initial imaging modality of choice in cases where emphysematous pyelonephritis is strongly suspected. CT is both sensitive and specific and in addition can identify alternative causes of abdominal pain. Although abdominal plain films are usually one of the first radiological investigations performed in any patient presenting with abdominal pain, the sensitivity of this modality for the changes of emphysematous pyelonephritis is low. Renal ultrasound can be an appropriate initial investigation to perform in patients presentingwithflankpaininordertolookforalternative pathologies; however, it is user dependent, technically challenging in larger patients and not as sensitive as CT for emphysematous pyelonephritis. Ultrasound can also underestimate the extent of renal parenchymal involvement, therefore suspected cases should also be MODALITY PROTOCOL CT Post IV contrast, portal venous phase: 100 ml IV contrast, 4 ml/sec via 18G cannula. Scan at 70 seconds after initiation of injection. Scan from just above diaphragm to femoral head level. Table 2.24 Emphysematous pyelonephritis. Imaging protocol. K22247_C002.indd 74 16/05/15 3:07 AM
  • 97.
    Gastrointestinal and genitourinaryimaging 75 Figures 2.70a, b  Axial and coronal images: IV contrast enhanced CT scans of the abdomen in the portal venous phase. Gas is seen within the left renal parenchyma and there is heterogeneous parenchymal enhancement. Figure 2.71  Axial image: IV contrast enhanced CT scan of the abdomen in the portal venous phase. ­Abnormal left renal parenchymal gas and enhancement is once again shown. There is further retroperitoneal free gas and fluid. Figure 2.72  Axial image: unenhanced CT scan of the abdomen. Locules of gas are seen within the left renal collecting system and upper ureter. (a) (b) K22247_C002.indd 75 16/05/15 3:07 AM
  • 98.
    Chapter 276 should beactively excluded. In the presence of diffuse retroperitoneal gas, the kidney can be difficult to visualise (Figures 2.74a. b). Abdominal plain film imaging Abdominalplainfilmscandemonstrateabnormallucent gas collections. The diagnosis is suggested by mottled lucencies overlying the renal outlines, which may also correspond to the outline of the renal pyramids. Curvilinear lucencies may indicate subcapsular or perinephric gas. Retroperitoneal gas is indicated by increased definition of the psoas shadows, representing a gas–muscle interface. Note: Retroperitoneal gas is not specific for emphysematous pyelonephritis and can also be seen in perforation of retroperitoneal bowel (duodenum, ascending colon, descending colon and rectum). Key points • Emphysematous pyelonephritis is a life- threatening infection of the kidney and should be suspected in any diabetic patient presenting with flank pain or sepsis of unknown origin. • CT is the most sensitive and specific radiological investigation. Emphysematous pyelonephritis is confirmed when gas is identified in the renal parenchyma, whereas in emphysematous pyelitis, the gas is limited to the collecting system only. Various systems have been proposed to stage the spectrum of findings seen in emphysematous pyelonephritis and pyelitis; these have prognostic importance (Tables 2.25 and 2.26: Huang Tseng, 2000; Wan et al., 1996). Emphysematous cystitis is a rare separate entity where a gas forming infection occurs in the bladder wall. It may be caused by bacterial or fungal infections with E. coli being the most common causative agent (Figure 2.73) Ultrasound Gas within the renal parenchyma has the appearance of high-amplitude echogenic foci, commonly with associated reverberation artefact and comet tail ‘dirty’ shadowing. Calculi can also give a similar appearance, although they characteristically produce more uniform posterior acoustic shadowing. Hydronephrosis Class 1 Gas limited to collecting system. Class 2 Gas limited to renal parenchyma (without ­extrarenal extension). Class 3a Extension of gas or abscess to perinephric space. Class 3b Extension of gas or abscess to pararenal space. Class 4 Bilateral emphysematous pyelonephritis or solitary kidney with emphysematous pyelonephritis. Table 2.25 Emphysematous pyelonephritis. Huang–Tseng CT classification system. Type 1 Renal parenchymal destruction with streaky or mottled appearance of gas. Intra- or extrarenal fluid collections are ­characteristically absent. Type 2 Renal or extrarenal collections associated with bubbly or loculated gas, or gas within the ­collecting system or ureter. Table 2.26 Emphysematous pyelonephritis. Wan et al. classification system. Figure 2.73  Axial image: IV contrast enhanced CT scan of the abdomen and pelvis in the portal venous phase. There are multiple locules of gas within the bladder wall, consistent with ­emphysematous cystitis. K22247_C002.indd 76 16/05/15 3:07 AM
  • 99.
    Gastrointestinal and genitourinaryimaging 77 Huang JJ, Tseng CC (2000) Emphysematous pyelonephritis: clinicoradiological classification, management, prognosis, and pathogenesis. Arch Intern Med 160:797–805. Joseph RC, Amendola MA, Artze ME et al. (1996) Genitourinary tract gas: imaging evaluation. Radiographics 16:295–308. Wan YL, Lee TY, Bullard MJ et al. (1996) Acute gas- producing bacterial renal infection: correlation between imaging findings and clinical outcome. Radiology 198:433–438. Report checklist • Distinguish between emphysematous pyelitis and emphysematous pyelonephritis. • Presence or absence of adverse prognostic features, such as breach of Gerotas fascia and pararenal collections. • Emphasise urgent surgical review. References Grayson DE, Abbott RM, Levy AD et al. (2002) Emphysematous infections of the abdomen and pelvis: a pictoral review. Radiographics 22:543–561. Figure 2.74a, b  Ultrasonograms of the kidney. Cortical echogenicity is seen in the interpolar region of the kidney, representing parenchymal gas, resulting in an irregular acoustic shadow, which obscures the normal renal contour. (a) (b) K22247_C002.indd 77 16/05/15 3:07 AM
  • 100.
    Chapter 278 Radiological investigations Thefirst-line investigation for suspected hydronephrosis is ultrasound. Once the presence of hydronephrosishasbeenconfirmed,CTisthemodality of choice for establishing the cause. (See Table 2.27.) Radiological findings Ultrasound Ultrasound of both flanks should be performed to identify both kidneys. Size, corticomedullary differentiation (CMD) and cortical thickness of the kidneys should be assessed. The pelvicalyceal system should be examined in transverse and longitudinal planes; a dilated system indicates hydronephrosis (Figure 2.75). Quantification of hydronephrosis is subjective,butsomecategorisationintomild,moderate or severe should be made. Cortical thickness can be an indicator of the chronicity of renal disease. In the context of hydronephrosis, a thinned renal cortex suggests that the hydronephrosis is long-standing (in the absence of pre-existing renal disease). Parapelvic cysts should not be confused for hydronephrosis. The proximal ureter should be assessed for hydroureter. The bladder should ideally be full and examinedforthepresenceoftransitionalcellcarcinoma (TCC) as a cause for obstruction. The distal ureters can also be assessed here. Bladder outflow obstruction can often cause prominence of the pelvicalyceal system bilaterally. This can be assessed by asking patients to empty their bladder and rescanning both kidneys to assess for any changes in the degree of dilatation. HYDRONEPHROSIS Hydronephrosis is defined as dilatation of the drainage system of the kidney (calices, infundibula and renal pelvis). The term ureterohydronephrosis, or hydroureter, is used when the dilatation also involves the ureters. Hydronephrosis can be acute or chronic, unilateral or bilateral, physiological or pathological. Hydronephrosis can be due to obstructive or non- obstructive causes. Obstructive uropathy refers to the functional or anatomical obstruction of urinary flow at any level of the urinary tract. Obstructive nephropathy is present when the obstruction causes functional or anatomical renal damage, usually manifesting as a decrease in GFR. Hydronephrosis in young adults is most commonly due to renal tract calculi, while in older adults, prostatic hypertrophy/carcinoma, gynaecological malignancies, retroperitoneal or pelvic neoplasms and calculi are the main causes. Clinical features may include back/flank pain, haematuria, retention, fever and deranged renal biochemistry(creatinineandGFRspecifically).Incases of acute hydronephrosis, correction of the obstruction usually returns the renal function to normal levels. Complications or non-treatment can lead to infection orpyonephrosis,chronicobstructionor,lesscommonly, perforation of the urinary tract leading to peritoneal urine leak (urinoma). MODALITY PROTOCOL Ultrasound Curvilinear probe 1–5MHz. CT Non-contrast, nephrographic phase and delayed phase CT post IV contrast: initial scan unenhanced. 100 ml IV contrast via 18G cannula, 4 ml/sec. Scan at 120 seconds (nephrographic phase) and 12 minutes (delayed phase). Scan from above diaphragm to femoral head level. Table 2.27  Hydronephrosis. Imaging protocol. Figure 2.75  Ultrasonogram of the right kidney in the longitudinal plane. The renal pelvis and intrarenal calyces are dilated and contain anechoic fluid. K22247_C002.indd 78 16/05/15 3:07 AM
  • 101.
    Gastrointestinal and genitourinaryimaging 79 This easily identifies calcified renal tract calculi and hydronephrosis (Figure 2.77). It is sometimes difficult to differentiate between phleboliths and distal ureteric calculi in the pelvis; the use of multiplanar reformatting in sagittal and coronal planes can help. Thickening or mesentericfatstrandingaroundtheureterscanindicate recent passage of stones. Contrast enhanced CT can be performed in the portal venous phase. This can be useful for assessing for pelvic/retroperitoneal/gynaecological malignancies, inflammatory aortic aneurysms, and retroperitoneal fibrosis (Figure 2.78) as well as large bladder tumours as a cause for hydronephrosis. Retroperitoneal fibrosis Ultrasound should be the only modality used for suspected hydronephrosis in pregnancy, which can be physiological if present. CT should otherwise be performed if acute hydronephrosis is detected on ultrasound. Computed tomography Hydronephrosis is readily visible on unenhanced and contrast enhanced CT, shown as a dilated pelvicalyceal system (Figure 2.76). In younger patients presenting with pain/haematuria and hydronephrosis, the most likely cause is calculi. In these cases, a plain low- dose kidney–ureter–bladder CT can be performed. Figure 2.77  Axial image: CT scan of the abdomen without IV contrast. A rounded, hyperdense calculus is seen occluding the lumen of the right ureter. Figure 2.76  Axial image: CT scan of the abdomen without IV contrast. The right pelvicalyceal system is dilated compared with the left side. Right renal ­parenchymal volume is preserved. There are mild right perinephric inflammatory changes. Figure 2.78  Coronal image: IV contrast enhanced CT scan of the abdomen in the portal venous phase. Bilateral ureteric stents are noted. Both ureters are thickened with abnormal soft tissue seen at the left renal hlium, suggestive of retroperitoneal fibrosis. ­Subcapsular haematoma is noted adjacent to the left kidney. K22247_C002.indd 79 16/05/15 3:07 AM
  • 102.
    Chapter 280 RENAL TRANSPLANTDYSFUNCTION Renal transplantation is an increasingly important surgical treatment for end stage chronic kidney disease, negating the need for lifelong dialysis and its complications. A basic understanding of the common surgical techniques and resulting anatomy is essential to allow accurate interpretation of renal transplant pathology. The transplanted kidney is usually situated in the extraperitoneal space in the right iliac fossa. The exact type of arterial anastomosis depends on the nature of the transplanted kidney. Kidneys from living donors are normally grafted via either an end-to-end anastomosis of the donor renal artery and the recipient internaliliacarteryoranend-to-sideanastomosisofthe donor renal artery to the recipient external iliac artery. Cadaverickidneysaretypicallyharvestedwithasegment of aorta, which is attached to the external iliac artery via an end-to-side anastomosis. The venous anatomy is more consistent; the donor renal vein is attached via an end-to-side anastomosis with the external iliac vein. The donor ureter is usually implanted directly into the dome of the bladder. It is important that any potential complications of renaltransplantationareidentifiedasquicklyaspossible intheearlypostoperativeperiod,sincetheycanresultin loss of the graft. Potential complications include renal artery/vein thrombosis, renal artery stenosis, acute tubular necrosis, infection, perigraft fluid collections, hydronephrosis and rejection (hyperacute, acute and chronic). Renal transplant dysfunction should be suspected in the presence of deranged renal function or absence of normalising renal function in the early postoperative period. Other more non-specific symptoms and signs, such as pain, pyrexia, hypertension and anuria, can also be seen. Acute vascular complications, such as renal artery and vein thrombosis, are less commonly seen outside of the perioperative period. While there are some non-specific imaging findings of graft rejection, ultimate diagnosis requires renal biopsy. and inflammatory abdominal aneurysms cause medial deviation of the ureters. Delayed phase contrast enhanced CT imaging opacifies the pelvicalyceal system, ureters and bladder. This technique is useful in detecting ureteric strictures or carcinomas, bladder carcinoma (TCC) and non-calcified calculi. This protocol can be used to differentiate between parapelvic cysts and true hydronephrosis. Discussion with interventional radiology regarding placement of a nephrostomy in an recommended hydronephrotic kidney should be recommended at the end of the report. Key points • First-line investigation should always be ultrasound, on which a dilated pelvicalyceal system is diagnostic. Cortical thickness is important in deciding whether the obstruction is chronic or acute. • CT is very useful in identifying the cause for the hydronephrosis. Protocols should be tailored to the age of the patient and clinical suspicion. Report checklist • Characterise the degree of hydronephrosis as mild, moderate or severe. • Identify the level of obstruction and presence or absence of an impacted ureteric calculus. A focal ureteric calibre change can suggest a pathology even if an abnormality cannot be seen. • Presence or absence of signs of an infected system – this warrants emergency intervention with a nephrostomy. • In cases of hydronephrosis emphasise the need for an urgent urological review. K22247_C002.indd 80 16/05/15 3:07 AM
  • 103.
    Gastrointestinal and genitourinaryimaging 81 The overall length of the renal graft should be documented during any ultrasound scan. Graft enlargement may indicate acute infection or rejection and renal vein thrombosis, whereas graft atrophy may be seen in chronic rejection. CMD in a transplanted kidney is often not as pronounced as in a normal kidney; however, it should still be present. The cortical echogenicity should be similar to that of the liver. Loss of CMD, prominence of the medullary pyramids and cortical thinning are all non-specific signs of graft dysfunction. Focal areas of increased/ decreased echogenicity may indicate focal oedema or infarction. The Doppler flow of the graft should be assessed globally. Doppler flow should be uniform throughout the graft (Figure 2.79); a focal area of decreased flow is suspicious for an infarct. The main, upper, mid and lower pole interlobar renal arteries and veins should be assessed with Doppler ultrasound. Absent flow in any of these may indicate arterial/venous thrombosis, an important early post-surgical complication, which should be urgently communicated to the referring team. Waveforms from these vessels should be sampled and analysed. Familiarity with the ‘normal’ arterial Radiological investigations Ultrasound is the initial imaging modality of choice, allowing assessment of the renal graft, surrounding soft tissues and Doppler assessment of the major renal vessels.CTcanbeusedtotroubleshootscenarioswhere ultrasound is indeterminate (i.e. where the main renal artery/vein cannot be identified), although IV contrast should be used with caution in patients with impaired renal function. Both an arterial and a portal venous phase are required for full assessment of vascular and parenchymal complications. Radionucleotide imaging also plays an important role and can help differentiate between different pathologies where ultrasound findings are non-specific. (See Table 2.28.) Radiological findings Ultrasound As with any postoperative imaging, it is important to obtain a precise description of the operation and expected anatomy before undertaking ultrasound assessment of a renal graft. Before starting the scan, be sure to identify the transplant site, usually in the right iliac fossa, and remove any potential wound dressing that can cause an artefact. MODALITY PROTOCOL Ultrasound Curvilinear, 4 MHz probe. Doppler and wave- form sampling of renal vessels. CT Aortic angiogram: 100 ml IV contrast via 18G cannula, 4 ml/sec. Bolus track centred on mid-abdominal aorta. Scan from just above diaphragm to femoral head level. Portal venous phase: IV contrast as above, scan at 70 seconds. No oral contrast. Scan from just above diaphragm to femoral head level. Table 2.28 Renal transplant dysfunction. Imaging protocol. Figure 2.79  Longitudinal image: colour Doppler ultrasonogram of the transplant kidney. Colour flow is seen at the renal hilum, which extends through the renal sinus and into the medulla uniformly. K22247_C002.indd 81 16/05/15 3:07 AM
  • 104.
    Chapter 282 collecting systemcan remain mildly dilated post renal transplantation,thereforeitisessentialtocomparewith previousimagingforevidenceofprogressivedilatation. Echogenic material within the collecting system can indicate pyelonephrosis. waveform is essential (Figures 2.80, 2.83) – this should demonstrate a rapid systolic upstroke and positive diastolicflow.A‘parvustardus’waveform(a broadening of the waveform, with an increase in the acceleration time of the systolic upstroke) is commonly seen in renal artery stenosis (Figures 2.81, 2.84). Elevation of flow in the main renal artery (200cm/sec) may also be seen in this condition. Reversal of arterial flow in diastole is often an indicator of renal vein thrombosis or acute tubular necrosis, both common early postoperative complications (Figure 2.82). The Resistive Index (RI; Figure 2.85) should be calculated for the main and interlobar renal arteries and should be less than 0.8; any elevation of the RI is again an indication of graft dysfunction (Brown et al., 2000). Pseudoaneurysms can complicate renal biopsy, appearing as focal hypoechoic lesions, distinguished from cysts by a turbulent internal flowonDoppleranalysis.Ultimately,ifthereisdoubtas to whether any vascular abnormality is due to technical factors, further assessment with CT is advisable. Ureteric obstruction and hydronephrosis can be caused by postoperative ureteric fibrosis, usually at the site of ureteric and bladder anastomosis, although other causes include infection or compressing fluid collections. Note: Because of denervation, the Figure 2.80  Diagram of a normal renal artery waveform. Figure 2.82  Diagram of abnormal renal artery ­waveform demonstrating reversed diastolic flow. Figure 2.81  Diagram of abnormal ‘parvus-tardus’ renal artery waveform. K22247_C002.indd 82 16/05/15 3:07 AM
  • 105.
    Gastrointestinal and genitourinaryimaging 83 Figure 2.83  Pulsed wave Doppler ultrasonogram of the renal artery. The normal waveform demonstrates a rapid systolic upstroke of short duration, followed by decreased flow. Continuous diastolic flow should always be observed. Figure 2.84  Pulsed wave Doppler ultrasonogram of the renal artery. There is reduced amplitude of the ­waveform with prolonged systolic upstoke, which is ­typically described as a ‘parvus-tardus’ waveform. Perinephric fluid collections are commonly seen in the early postoperative period and include haematomas, lymphoceles and urinomas. The size of any fluid collection should be documented, along with any evidence of mass effect or adjacent structure compression. The presence of heterogeneously echogenic material suggests haematoma, a small amount of which is not uncommon in the early postoperative period. Both urinomas and lymphoceles appear as well-defined hypoechoic fluid collections and are indistinguishable on ultrasound imaging; however, urinomas are often associated with pain and are usually seen earlier in the postoperative period than lymphoceles, which are typically seen later (5–6 weeks). Ultimate diagnosis often requires percutaneous aspiration or drainage. Computed tomography The principles of CT interpretation mirror that of ultrasound. The renal graft, commonly identified in the right iliac fossa, should demonstrate uniform enhancement on the portal venous phase (Figure 2.86). Figure 2.85  The Resistive Index. RI = Peak systolic flow − Peak diastolic flow Peak systolic flow Figure 2.86  Axial image: IV contrast enhanced CT scan of the pelvis in the portal venous phase. The renal transplant located in the right iliac fossa demonstrates uniform parenchymal and vascular enhancement. A left iliac fossa colostomy is also present. K22247_C002.indd 83 16/05/15 3:07 AM
  • 106.
    Chapter 284 Key points • Complications of renal transplantation include infection, renal artery/vein thrombosis, perinephric fluid collections, acute tubular necrosis, renal artery stenosis, hydronephrosis and rejection (hyperacute, acute and chronic). • Ultrasound imaging allows accurate assessment of the renal parenchyma, collecting system, major vessels and surrounding structures. Failure to identify the renal artery on Doppler ultrasound is a surgical emergency. Further assessment with CT can be helpful in these situations. • Elevation of the RI (0.8) is suggestive of graft dysfunction. Report checklist • Document the RI and acceleration times of the major renal vessels and flow in the renal vein. • Presence or absence of hydronephrosis. • Presence or absence of complications, such as renal infarcts and perinephric collections. Reference Brown E, Chen M, Wolfman N et al. (2000) Complications of renal transplantation: evaluation with US and radionuclide imaging. RadioGraphics 20:607–622. Infarcts appear as focal wedge-shaped areas of hypoattenuation. The renal artery should be traced from its site of anastomosis to the renal hilum on the arterial phase. Failure to identify the renal artery, or a filling defect within, is suggestive of thrombosis. Any focal narrowing of the renal artery should raise suspicion of stenosis, although this may require catheter angiography to diagnose definitively. The renal vein should also be inspected for filling defects, which may represent thrombosis. The ureter should be followed through to its anastomosis with the bladder; this can be difficult in the absence of any ureteric dilatation. The collecting system should be inspected for hydronephrosis and hyperattenuating material within; the latter can represent clot or infection. The precise appearance of perinephric haematoma depends on the age of blood products within, although it generally appears heterogeneous with areas of increased attenuation. Although a small amount of perinephric haematoma is common in the early postoperativeperiod,thepresenceofthisshouldalways prompt the search for active bleeding, appearing as a hyperattenuating contrast blush on the arterial phase. As with ultrasound, it is difficult to distinguish between urinomas, lymphoceles and infected fluid collections, whichcanallappearaslow-density(20Hu)enhancing fluid collections (Figure 2.87). Figure 2.87  Axial image: IV contrast enhanced CT scan of the pelvis in the portal venous phase. There is a uniform low attenuation fluid collection adjacent to the renal transplant in the right iliac fossa. Subsequent percutaneous aspiration confirmed a urinoma. A stent is seen within the renal pelvis. K22247_C002.indd 84 16/05/15 3:07 AM
  • 107.
    Gastrointestinal and genitourinaryimaging 85 and inferior margins of the IVC are usually end-to-end anastomoses (Crossin et al., 2003). Radiological investigations Ultrasound is the initial modality of choice. Patients in the immediate postoperative period may be unwell and immobile and in such cases a portable scan may be necessary. Colour Doppler imaging is essential in the assessment of liver transplants and allows dynamic evaluationofflowthroughthehepaticvasculature,with individual assessment of the hepatic artery, IVC and portal vein required for a complete assessment. Further evaluation may be performed with contrast enhanced CT in situations where ultrasound has yielded an indeterminate result. Dual phase imaging (arterial and portal venous phase) is often performed through the upper abdomen in order to fully evaluate thevascularsupplytotheliverinadditiontothehepatic parenchyma. (See Table 2.29.) Radiological findings Ultrasound The parenchymal echogenicity of the hepatic graft should be scrutinised on grey scale imaging. Diffuse abnormalities have a wide differential, which include rejection and ischaemia. The appearances can be LIVER TRANSPLANT DYSFUNCTION Liver transplantation has long been an accepted treatment for end-stage liver failure, with innovative techniques such as living donor and split liver transplantation now commonplace. A wide variety of complications can occur after transplantation, some more common in the early postoperative period. Symptoms and signs vary according to the precise pathology; however, one of the most common presentations is delayed or deteriorating liver function. Assessment of a transplanted liver can often be a difficult task, especially in the emergency setting. Urgentdiagnosis,particularlyofvascularcomplications in the early postoperative period, is vital since some complications can result in loss of the graft. There are numerous non-vascular complications, including biliary stenosis, biliary leakage and acute and chronic graft rejection. The urgency of diagnosis should be dictated by the urgency of management, and as such not all complications require out of hours imaging. Athoroughunderstandingofthesurgicalanatomyis crucial in order to aid image interpretation and identify abnormalities. Variations in vascular supply and local preferences for particular surgical techniques should be taken into consideration, as they may determine the type of surgery performed. There are also anatomical differences between adult and paediatric liver transplants (e.g. split versus whole liver transplant), which are important when identifying structures on imaging. It is therefore advisable to become familiar with the surgical history of individual patients prior to imaging, to better interpret the anatomical findings. In general, the donor common bile duct is anastomosed to the recipient common hepatic duct. However, if this is not possible, the common bile duct may be anastomosed directly into a loop of jejunum (Bhargava et al., 2011). Donor transplants will routinelyundergocholecystectomy.Therecanbesome variability in the type of hepatic artery anastomosis, but it is usually formed by the union of the donor coeliac axis and the recipient hepatic artery. The site of anastomosis is important to identify in order to accurately perform and interpret Doppler studies. The portal vein anastomosis is an end-to-end anastomosis provided the vessels are patent. Finally, the superior MODALITY PROTOCOL Ultrasound Low frequency curvilinear probe (e.g. 1–5MHz) for assessment of the liver vascula- ture, subphrenic space and upper abdomen. A high frequency linear probe (e.g. 6–9MHz) may be useful for higher resolution parenchy- mal images. CT Arterial phase: 100 ml IV contrast via 18G cannula, 4 ml/sec. Bolus track centred on mid- abdominal aorta. No oral contrast. Diaphragm to iliac crests. Helical acquisition, 1 mm slice thickness. Scan on inspiration. Portal venous phase: IV contrast as above, scan at 70 seconds post contrast. No oral contrast. Diaphragm to pubic symphysis. Helical acquisition, 1 mm slice thickness. Scan on inspiration. Table 2.29 Liver trasplant assessment. Imaging protocol. K22247_C002.indd 85 16/05/15 3:07 AM
  • 108.
    Chapter 286 narrowing. Similarly,an increase in the peak systolic velocity may also be observed. Severely stenotic arteries mayeventuallythromboseandshownoflow.Pulse-wave Doppler classically shows a ‘parvus-tardus’ waveform in stenosed vessels (i.e. increased peak systolic acceleration time [0.08 sec] with a slow deceleration) (Figure 2.89). The RI is a measure of the resistance to blood flow and can also be a useful tool in the assessment of the post-transplantliver(see Figure 2.85,p.83).NormalRI values range between 0.5 and 0.8. In the postoperative period, RI values may be elevated for several days, but they should generally reduce to normal limits. Elevated RI values may be a sign of organ rejection or venous outflow obstruction. Portal vein abnormalities are relatively rare. The commonest complications include portal vein stenosis and thrombosis. The normal portal vein is anechoic with thin, regular walls and uniform calibre. Acute thrombus within the portal vein may present as echogenic material within the lumen of the vessel with reduced or no flow on colour Doppler. Complications involving the IVC are uncommon but include thrombosis and IVC stenosis at the anastomotic site. Clinical features are those of Budd– Chiarisyndromeandincludehepatomegaly,ascitesand pleural effusions, which may be seen on ultrasound. Biliary complications are relatively common following transplant and include leaks and stricture non-specific, but may be seen as a heterogeneous echotexture. In cases of rejection, there are often no correlatingfeatureswithDopplerstudies.Liverinfarcts occurmostcommonlyintheearlypostoperativeperiod, and present as focal, wedge-shaped areas of decreased echogenicity. Abnormal Doppler waveforms may be recorded in cases of infarction. Hepatic artery complications account for the largest proportion of vascular complications, which include thrombosis and stenosis. Hepatic artery thrombosis is a surgical emergency due to the high risk of ischaemia and infarction to the transplant. In addition to this, the bile ducts receive their blood supply solely from the hepatic artery, and so thrombosis of the vessel may lead to biliary duct ischaemia and stricture formation. An appreciation of the normal hepatic artery flow and waveform is useful in order to identify abnormalities. The normal hepatic artery demonstrates a pulsatile waveformwitharapidsystolicupstrokeandcontinuous diastolic blood flow (Figure 2.88). Absent flow within the hepatic artery with colour and pulse-wave Doppler imaging allows for correct diagnosisofhepaticarterythrombosisinthemajorityof cases. Assessment should be made of the extrahepatic, intrahepatic and right and left branches of the artery. Hepatic artery stenosis tends to occur at the site of the anastomosis. Colour flow may demonstrate post- stenotic turbulent flow depending on the degree of Figure 2.88  Doppler ultrasonogram of the hepatic artery. The waveform demonstrates a sharp systolic upstroke and short deceleration time with ­continuous diastolic flow. Measurements have been made ­documenting the peak systolic and end diastolic values with the calculated Resistive Index of 0.63. Figure 2.89  Doppler ultrasonogram of a stenotic hepatic artery. The deceleration time of the waveform is prolonged resulting in a ‘parvus-tardus’ waveform. K22247_C002.indd 86 16/05/15 3:07 AM
  • 109.
    Gastrointestinal and genitourinaryimaging 87 Report checklist • Presence and quality of colour and Doppler flow within the hepatic artery, portal vein, hepatic veins and IVC. • Comment on the parenchyma and the presence of any focal abnormalities that may represent liver infarcts in the acutely unwell patient. • Signs of portal hypertension. References Bhargava P, Vaidya S, Dick AA et al. (2011) Imaging of orthotopic liver transplantation: review. Am J Roentgenol 196:WS15–25. Caiado A, Blasbalg R, Marcelino A et al. (2007) Complications of liver transplantation: multimodality imaging approach. Radiographics 27:1401–1417. Crossin JD, Muradali D, Wilson SR (2003) US of liver transplants: normal and abnormal. Radiographics 23:1093–1114. formation. Bile leaks may be seen in the immediate postoperative period, and may be seen as anechoic fluid collections lying in close proximity to the liver. Stricturesmayformattheanastomoticsiteorasaresult ofhepaticarterydysfunction.Ingeneral,however,these do not tend to occur in the immediate postoperative setting. On ultrasound, strictures may be seen as a narrowing of the luminal diameter of the common bile duct at the anastomotic site. Significant strictures may result in biliary obstruction and intrahepatic biliary duct dilatation. Computed tomography MultidetectorCTimagingprovidesdetailedresolution of the hepatic vascular anatomy. Arterial phase imaging allows for detailed assessment of the hepatic artery, whileportalphaseimagingprovidesoptimalassessment of the portal vein, hepatic veins and IVC. Each phase allows for assessment of the vascular patency and calibre of the appropriate structures, as well as allowing for appraisal of the integrity of the anastomoses. The main limitation of CT is the inability to assess flow patterns within vessels, and it should therefore be used as an adjunct to ultrasound. Imaging of the hepatic vasculature follows the same principles regardless of the vessel being assessed on contrast enhanced CT. Opacification of the vessel lumen, anatomical course and anastomotic site should all be assessed for each vessel individually (Figure 2.90). The liver parenchyma is best assessed on portal phase images. Liver infarctions are seen as wedge- shaped areas of low attenuation/non-enhancing tissue. Perihepatic complications such as haematoma or biloma can be easily seen as hypodense fluid collections adjacent to the liver (Caiado et al., 2007). Key points • Assessment of the transplanted liver should be performed with reference to the surgical procedure and correlated appropriately. • Ultrasound with use of colour and pulse-wave Doppler is vital to assess the hepatic vascular supply and drainage. • CT may help to clarify anatomical details, but should be used in addition to ultrasound to assess flow dynamics. Figure 2.90  Axial image: IV contrast enhanced CT scan of the abdomen in the portal venous phase. The hepatic artery is thready and poorly opacified at the porta hepatis due to thrombosis. A wedge-shaped area of non-enhancing liver is shown on the right, ­representing infracted parenchyma as a result of the thrombosed hepatic artery (arrow). K22247_C002.indd 87 16/05/15 3:07 AM
  • 110.
    Chapter 288 reporting suchstudies; it is therefore not discussed in detail. (See Table 2.30.) Radiological findings Ultrasound The normal pelvis does not contain fluid-filled structures, although small traces of physiological fluid may be present in the pouch of Douglas. Typically, patients with tubo-ovarian abscess develop adnexal abscesses, which may be seen as complex, multilocular cystic masses. These often extend behind the uterus and into the pouch of Douglas. The cystic components within the masses may be simple or they may have complex features with thick irregular walls/septations with debris within them. Free fluid may also be seen within the pelvis. In cases of pyosalpinx, adhesions may form within the fallopian tubes, causing blockages. This allows pus to collect within the tube and may appear as a tubular, cystic structure within the adnexa. Computed tomography The findings on CT correspond to the appearance demonstrated on ultrasound; however, the overall extent of the disease may be better delineated on cross- sectional imaging. Tubo-ovarian abscesses are shown as thick-walled cystic masses on contrast enhanced CT with internal septations (Wilbur et al., 1992, Figures 2.91–2.94). Other less specific features of tubo- ovarianabscess includeinflammationandthickeningof the uterosacral ligaments and rectosigmoid colon when there is posterior extension of the inflammatory mass. Para-aortic lymphadenopathy may also be present. TUBO-OVARIAN ABSCESS Pelvic inflammatory disease is a broad term used to describe infection of the female genital tract. Tubo- ovarian abscess is a well-recognised complication of pelvic inflammatory disease, and occurs as a result of ascending vaginal infection, which may spread to the endometrium, fallopian tubes or ovaries and is then complicated by abscess formation. If left untreated, it has the potential to cause severe sepsis. Patients may present with fever, pelvic pain and vaginal discharge, although these features are non- specific.Typically,patientsareyoungfemaleswhomay ormaynothaveahistoryofpelvicinflammatorydisease. Patientspresentingacutelymayhaveawidedifferential diagnosis, which includes appendicitis, diverticulitis or endometriosis. As a result, it is an important condition to be aware of when scanning an acutely unwell female, as it may masquerade as other entities. Radiological investigations Given the often non-specific nature of the clinical presentation, tubo-ovarian abscess may not necessarily be diagnosed easily. However, imaging can be very useful in aiding diagnosis in conjunction with clinical and biochemical findings. Ultrasound is the imaging modality of choice in patients with suspected tubo-ovarian abscess, as it allows a thorough assessment of the adnexa while avoiding ionising radiation. Unfortunately, if the diagnosis is not considered, patients may proceed initially to CT; although this often confirms the diagnosis, the added radiation dose makes this less favourable. Transabdominal scanning of the pelvis is usually adequate to assess the pelvic structures, with the patient scanned with a full urinary bladder. However, if the adnexa are not clearly imaged, a transvaginal scan may be warranted if the experience of the operator allows this. CT is often performed to identify the cause of pelvic pain of uncertain origin. MRI is a preferred option to CT, as this can clearly delineate the adnexal structures without the use of ionising radiation. This is not routinely available out of hours, nor is the expertise in MODALITY PROTOCOL Ultrasound 1–5MHz curvilinear probe to perform a transabdominal scan. CT Post IV contrast, portal venous phase: 100 ml IV contrast, 4 ml/sec via 18G cannula. Scan at 70 seconds. Scan from above diaphragm to femoral head level. Table 2.30 Tubo-ovarian abscess. Imaging protocol. K22247_C002.indd 88 16/05/15 3:07 AM
  • 111.
    Gastrointestinal and genitourinaryimaging 89 Figure 2.91  Axial image: IV contrast enhanced CT scan of the pelvis in the portal venous phase. There are enhancing, tubular structures within both adnexa, which contain low density material consistent with bilateral pyosalpinx (arrow). There is stranding of the adjacent fat due to local inflammation. Figure 2.92  Axial image: IV contrast enhanced CT scan of the pelvis in the portal venous phase. There is a significant amount of stranding of the fat around the uterus due to local inflammation. Figure 2.93  Coronal image: IV contrast enhanced CT scan of the pelvis in the portal venous phase. There are enhancing, tubular structures within both adnexa, which contain low density material consistent with bilateral pyosalpinx. There is stranding of the adjacent fat due to local inflammation. Figure 2.94  Sagittal image: IV contrast enhanced CT scan of the pelvis in the portal venous phase. There is a rounded structure seen posterior to the mid uterus in keeping with pyosalpinx, with a second collection seen more superiorly, which would be consistent with a ­tubo-ovarian abscess (arrow). K22247_C002.indd 89 16/05/15 3:07 AM
  • 112.
    Chapter 290 OVARIAN TORSION Gynaecologicalcauses of pelvic and abdominal pain are common in women across a range of ages. The most critical of these is acute ovarian torsion. Although a relatively rare condition, misdiagnosis can have significant implications for the patient, resulting in ovarian necrosis and peritonitis. Similar to testicular torsion, ovarian torsion occurs when the vascular pedicle supplying the ovary twists about the broad ligament. This initially results in venous outflow obstruction causing marked congestion, eventually leading to arterial compromise and infarction of the affected ovary. Suggested predisposing factors include large ovarian cysts and cystic neoplasms (Chang et al., 2008).Previousepisodesofpelvicinflammatorydisease and endometriosis may reduce the likelihood of torsion owing to the increased incidence of adhesions, which act to immobilise the ovary. Acute iliac fossa and pelvic pain is a common clinical presentation in women and can prove difficult to manage. The various pathologies that may mimic the presenting symptoms can be difficult to distinguish and include appendicitis, diverticulitis and renal colic (Duigenan et al., 2012). The role of imaging is often to helpdifferentiatebetweentheseentities,inconjunction with clinical and biochemical findings. Key points • Tubo-ovarian abscess can be a difficult diagnosis to make given the non-specific symptoms that may be present and the myriad of other mimicking pathologies. • Diagnosis can be made effectively on ultrasound but may be encountered on CT when imaging the acutely unwell patient. Report checklist • Document whether the abnormality is unilateral or bilateral. • Presence or absence of a drainable collection. • Consider the differential diagnosis of gynaecological malignancy. Reference Wilbur AC, Aizenstein RI, Napp TE (1992) CT findings in tuboovarian abscess. Am J Roentgenol 158:575–579. K22247_C002.indd 90 16/05/15 3:07 AM
  • 113.
    Gastrointestinal and genitourinaryimaging 91 Radiological investigations The often non-specific presentation of ovarian torsion can make diagnosis difficult, and as a result the most appropriate form of imaging may not always be clear. However, in cases where ovarian torsion is suspected, ultrasound is the initial imaging modality of choice. A transabdominal scan should be adequate to establish the diagnosis with a well distended urinary bladder, but in more difficult cases a transvaginal scan may be necessary. CT imaging may be performed, although the findings are more non-specific and it is not recommended in the first instance. (See Table 2.31.) Radiological findings Ultrasound The principal sonographic finding of ovarian torsion is unilateral enlargement of the affected ovary (4 cm), which occurs due to venous congestion (Figure 2.95). Affected ovaries may also demonstrate abnormal echogenicity within the parenchyma. It is therefore important to assess the contralateral ovary for comparison of ovarian size and volume as well as for abnormal unilateral parenchymal changes. The ovaries should be closely scrutinised for an underlying mass lesion, as these are often present and predispose to torsion. Another feature that should be assessed is the distribution of follicles within the ovary. In normal patients, follicles of varying sizes can be seen randomly distributedthroughouttheovaries.However,incasesof torsion, the follicles tend to be peripherally distributed. Free fluid within the pelvis may be seen, which is a non- specific sign. Colour Doppler is an important tool for assessing blood flow within the ovary. Completely absent arterial flow within the ovary is the classic feature that may be observed. However, more subtle findings such as reversed or absent diastolic flow may be MODALITY PROTOCOL Ultrasound Low frequency curvilinear probe (e.g. 1–5 MHz). Images should be acquired of both adnexa to demonstrate the size and vascularity of both ovaries. Table 2.31  Ovarian torsion. Imaging protocol. Figure 2.95  Ultrasonogram of the left ovary in the longitudinal plane. The ovary is enlarged with increased heterogeneous echogenicity. seen. The presence of arterial flow does not exclude torsion, as sporadic flow may be seen in an intermittent torsion. Computed tomography CT of the pelvis may be performed for the assessment of abdominal pain. The principal finding, as seen on ultrasound, is a unilateral enlarged heterogeneous K22247_C002.indd 91 16/05/15 3:07 AM
  • 114.
    Chapter 292 ovary, whichmay be abnormally positioned in the midline(Figures2.96,2.97).Inflammatoryfatstranding maybeseenintheadjacenttissuesofthepelvisaswellas small volumes of free fluid. Contrast enhanced CT may reveal abnormal ovarian enhancement and engorged vessels on the affected side. Key points • Ovarian torsion is a relatively rare, but clinically significant condition that requires urgent surgical intervention. • The condition may present with non-specific signs and symptoms, which may make diagnosis difficult. Figure 2.96  Axial image: IV contrast enhanced CT scan of the pelvis in the portal venous phase. A ­heterogeneous fat-containing adnexal mass is shown in the midline, representing a torted dermoid cyst (arrow). Figure 2.97  Axial image: IV contrast enhanced CT scan of the pelvis in the portal phase. There is a large, non-enhancing left adnexal mass with adjacent fluid and inflammatory changes within the adjacent tissues consistent with a left ovarian torsion. Report checklist • Presence or absence of colour Doppler flow within the ovary. • Presence or absence of an adnexal mass as a predisposing factor. • Consider differential diagnoses such as ovarian malignancy. References Chang HC, Bhatt S, Dogra VS (2008) Pearls and pitfalls in diagnosis of ovarian torsion. Radiographics 28:1355–1368. Duigenan S, Oliva E, Lee SI (2012) Ovarian torsion: diagnostic features on CT and MRI with pathologic correlation. Am J Roentgenol 198:W122–W131. K22247_C002.indd 92 16/05/15 3:07 AM
  • 115.
    Gastrointestinal and genitourinaryimaging 93 Radiological findings Ultrasound Within the first 6 hours, the affected testicle may be slightly enlarged, with normal or decreased echogenicity (Figures 2.98, 2.99). With increasing TESTICULAR TORSION Testicular torsion is a urological emergency occurring most frequently in adolescent boys and with an incidence of 1 in 160 (Chen John, 2006). Torsion occurs when an abnormally mobile testis twists on the spermatic cord, obstructing its blood supply. Typical symptoms and signs include acute onset of severe testicular pain, nausea and vomiting, and a high riding/ transverse lying testicle. The ischaemia can lead to testicular necrosis if not corrected within 5–6 hours of the onset of pain. Torsion can be intermittent and can undergo spontaneous de-torsion. There are many other conditions mimicking testicular torsion, such as epididymitis and torsion of the testes appendage, which can make clinical diagnosis difficult. Prompt diagnosis and early treatment is essential as time is critical for testicular salvage. If clinical suspicion is high, imaging is not indicated and the patient should betakentotheatreforanexploration.Forindeterminate cases, imaging may be requested, more often than not to investigate or exclude alternative pathologies. It is important to emphasise that imaging cannot exclude testicular torsion, since the torsion may be intermittent in nature. The patient should always undergo surgical exploration if clinical suspicion is high. Radiological investigations Imaging of the testes is by ultrasound. Sonographic signs may be very subtle in the early period. Always commence with examination of the clinically normal testes. The settings for colour Doppler should be adjusted such that background noise is just visible. (See Table 2.32.) MODALITY PROTOCOL Ultrasound 6–9 MHz linear probe. Table 2.32 Testicular torsion. Imaging protocol. Figure 2.98  Ultrasonogram of both testes in the ­transverse plane. The right testicle is enlarged compared with the left, with a heterogeneous, coarsened ­echotexture. Figure 2.99  Ultrasonogram of both testes in the transverse plane. There is a central area of abnormally low echogenicity within the left testicle, with a rim of apparently normal testicular tissue. K22247_C002.indd 93 16/05/15 3:07 AM
  • 116.
    Chapter 294 time fromsymptom onset, the affected testicle shows decreased echogenicity and appears heterogeneous compared with the other side, which is a sign of poor viability. A transverse view showing both testicles is useful for comparison. Figures 2.101a, b  Ultrasonograms of the left testicle in the transverse and longitudinal planes. There is an ­abnormal area of central low echogenicity within the testicle. On colour Doppler imaging, peripheral flow can be seen within the epididymis and surrounding structures, but is absent within the testicle itself. Figures 2.100a, b  Ultrasonogram of the left testicle in the transverse plane. The testicle demonstrates abnormal, coarsened heterogeneous echotexture. There is absent flow within the testicle on colour Doppler imaging. Whenbloodflowisabsentintheaffectedtesticle,the diagnosisoftesticulartorsionisclear(Figures 2.100a, b, 2.101a, b). Occasionally, decreased blood flow seen in early torsion can be erroneously diagnosed as normal. Comparison with the contralateral side is therefore crucial. (a) (b) (a) (b) K22247_C002.indd 94 16/05/15 3:07 AM
  • 117.
    Gastrointestinal and genitourinaryimaging 95 Other features of torsion may include enlargement of the epididymal head due to involvement of the differential artery and a reactive hydrocele. Testicular appendage torsion appears as a lesion of low echogenicity with a central low echogenic area adjacent to the epididymis. Epididymitis appears as a swollen, heterogeneous epididymis with scrotal thickening, hydrocele and increased vascularity of the epididymis on colour Doppler. As already highlighted, a normal study cannot exclude the diagnosis; this should be emphasised to the referring team. Key point • Testicular torsion is primarily a clinical diagnosis. Ultrasound should only be used in situations where the clinical diagnosis is uncertain. Report checklist • Presence of asymmetry in the testicular appearances, commenting on Doppler flow, echogenicity and size. • Emphasise that even in the case of a ‘normal’ ultrasound, testicular torsion cannot be excluded. Reference ChenP,JohnS(2006)Ultrasoundoftheacutescrotum. Appl Radiol 35:8–17. K22247_C002.indd 95 16/05/15 3:07 AM
  • 118.
  • 119.
    97 Chapter 3 NEUROLOGY ANDNON-TRAUMATIC SPINAL IMAGING STROKE Stroke can be defined as a rapid onset ischaemic or haemorrhagic insult to the brain, which can result in permanent loss of brain parenchyma and permanent neurological deficit. The commonest clinical sign of stroke is a focal neurological deficit. While other signs such as headache, reduced Glasgow Coma Score (GCS) and vomiting are more typical of haemorrhagic stroke,clinicalsymptomsandsignscannotdifferentiate between either aetiology. The diagnosis of transient ischaemic attack (TIA) is a retrospective one, defined as a reversible neurological deficit that resolves within 24 hours. Ischaemia is the commonest cause of stroke, seen in up to 80% of cases (Srinivasan et al., 2006). Most ischaemiceventsaresecondarytoatheroscleroticplaque ruptureresultinginin-situthrombosis,andassuchthey are heavily associated with atherosclerotic risk factors. Although rarer, cardiac emboli (or systemic emboli via a cardiac septal defect) are nonetheless potential causes, and should be considered in the absence of appropriate risk factors and in younger patients. Stroke due to haemorrhage should not be confused with haemorrhagic transformation of an ischaemic event, which can occur in up to 40% of cases (Shiber et al., 2010). Primary intracerebral haemorrhage is a result of chronic vessel damage due to hypertension. Secondary causes of haemorrhage include trauma, vasculitis and an underlying lesion such as a Circle of Willis aneurysm, an arteriovenous malformation or a parenchymal mass lesion. An understanding of the pathophysiology of ischaemic stoke is necessary to appreciate the corresponding imaging findings. Cell hypoxia causes an ‘ischaemic cascade’, initially resulting in cytotoxic oedema. Vasogenic oedema occurs within 4–6 hours. Due to collateralisation, the result is a core of necrosis surrounded by cells that are potentially viable if perfusion is restored; the latter region is referred to as the penumbra. As infarction matures, cell death results in encephalomalacia with secondary volume loss. Urgent imaging is vital to identify ischaemic cases, sincethesemaybeamenabletoconventionalantiplatelet therapy and thrombolysis if the symptomatic period is less than 3 hours. More novel treatments also include thrombectomy,althoughthisiscurrentlyonlyavailable in specialist centres. Radiological investigations Unenhanced CT imaging and MRI are the main imaging modalities used in acute stroke management. CT imaging is readily available and is considered the initial modality of choice. Whilst CT imaging is effective at identifying haemorrhage, it is not uncommon for CT to fail to identify the subtle signs of acute infarction and it is vital to appreciate that ischaemic stroke cannot be excluded on CT in the early symptomatic period. Depending of the centre, contrast enhanced CTA can also be used to identify an acute thrombus that may be amenable to thrombectomy. MRI with diffusion weighted sequences is more sensitive than CT at identifying ischaemic stroke in the hyperacute to acute period and can be used in cases of a normal CT study, although this should not delay potential thrombolytic therapy. BothCTimagingandMRIarediscussedsubsequently, K22247_C003.indd 97 16/05/15 3:08 AM
  • 120.
    Chapter 398 although theirexact use depends upon local protocol and availability. (See Table 3.1.) Radiological findings Computed tomography Unenhanced CT imaging is primarily used to exclude intracranial haemorrhage, which contraindicates potential therapies for ischaemic stroke. The attenuation of blood products varies according to age. Acutehaemorrhageappearsashighattenuationmaterial within the brain parenchyma. Typical ‘hypertensive haemorrhage’ often has a predisposition for the basal ganglia region, brainstem and cerebellum (Figure 3.1). Ifhaemorrhageisidentifiedinalesstypicallocation,itis always important to consider alternative causes such as underlying mass lesions, arteriovenous malformations or venous sinus thrombosis (Figures 3.2, 3.3). In this scenario, contrast enhanced CT imaging should be obtained to further characterise any possible underlying cause. The size of any haemorrhagic focus should be documented, as well as any evidence of mass effect; the latter is indicated on CT by surrounding low attenuation representing vasogenic oedema, midline shift and descent of the cerebellar tonsils below the level of the foramen magnum (Figure 3.4). Subtle CT signs of an acute ischaemic stroke include focal hyperdensity in a cerebral artery representing acute thrombus (hyperdense cerebral artery sign, Figure 3.5) and subtle loss of grey–white matter differentiation, which represents early cytotoxic oedema (insular ribbon sign, Figure 3.6). Careful image windowing (width 8 Hu, centre 32 Hu) has been shown to increase detection of the latter subtle sign. MODALITY PROTOCOL CT Unenhanced. Scan from skull base level to vertex. MRI Sagittal T1 weighted, axial T2 and proton ­density weighted, axial gradient echo and diffusion weighted imaging and coronal FLAIR sequences of the brain. Table 3.1  Stroke. Imaging protocol. Figure 3.2  Axial image: unenhanced CT scan of the brain. There is a small focal haemorrhage in the right frontal lobe with mild adjacent vasogenic oedema. This is in an unusual position for a ‘hypertensive bleed’. Figure 3.1  Axial image: unenhanced CT scan of the brain. Ill-defined hyperdense material centred on the right frontal deep white matter, consistent with an acute hypertensive haemorrhage. K22247_C003.indd 98 16/05/15 3:08 AM
  • 121.
    Neurology and non-traumaticspinal imaging 99 Figure 3.4  Axial image: unenhanced CT scan of the brain. There is a focal area of low attenuation centred on the right basal ganglia. This causes effacement of the right lateral ventricle and midline shift to the left. Dependent intraventricular haemorrhage is also noted. Figure 3.5  Axial image: unenhanced CT scan of the brain. There is a large area of low attenuation involving the right parieto-occipital lobes with loss of grey-white matter differentiation consistent with acute stroke. The right middle cerebral artery is hyperdense due to thrombus (arrow). Figure 3.3  Axial image: IV contrast enhanced CT scan of the brain. After IV contrast administration, a small abnormal vessel is seen underlying the haemorrhage, in keeping with a vascular malformation (arrow). This is the same patient as in Figure 3.2. Figure 3.6  Axial image: unenhanced CT scan of the brain. There is subtle loss of the grey-white matter ­differentiation of the right-sided insular ribbon (arrow), consistent with acute right middle cerebral artery infarction. K22247_C003.indd 99 16/05/15 3:08 AM
  • 122.
    Chapter 3100 vessel ischaemia(Figure 3.9). However, this should not be confused with acute transependymal oedema, which produces a similar appearance. Lacunar infarcts present as small focal areas of low attenuation and are another common finding in chronic small vessel ischaemia. Magnetic resonance imaging The principles of MRI interpretation mirror those of CT. The signal characteristics of haemorrhage on MRI characteristically alter with age (Table 3.2). Blood products characteristically cause a pronounced susceptibility artefact on gradient echo sequences, which can increase sensitivity. Hyperacute to acute infarction is best identified on diffusion weighted sequences as increased signal on diffusion imaging with corresponding decreased signal on ADC mapping (Figures 3.10a, b); however, typical imaging characteristics of infarcts vary with time on these As an ischaemic stroke evolves, there is an increase in the degree of cytotoxic and vasogenic oedema, which has a typical CT appearance of wedge-shaped low attenuation that extends to involve the cerebral cortex (Figure 3.7). It can be useful to classify the infarction in relation to its arterial territory. If the oedema does not correspond to a particular arterial territory, alternative causes should be considered (e.g. an underlying mass lesion). Haemorrhagic transformation of a formerly ischaemic stroke can also occur, which typically has the appearance of petechial haemorrhage on a background of cytotoxic oedema corresponding to a typical arterial territory. ChronicinfarctscanbeidentifiedbytheirtypicalCT appearance; wedge-shaped regions of cerebrospinal fluid(CSF)density(encephalomalacia),withsecondary signs of parenchymal volume loss such as ex-vacuo ventricular dilatation (Figure 3.8). Periventricular low attenuation often represents coexisting small Figure 3.7  Axial image: unenhanced CT scan of the brain. Wedge-shaped area of low attenuation in the right middle cerebral artery territory, which extends to the cortex, consistent with acute infarction. Figure 3.8  Axial image: unenhanced CT scan of the brain. Large area of low attenuation in the right occipital lobe. This is of similar density to CSF, with evidence of right cerebal volume loss and expansion of the extra-axial CSF spaces. K22247_C003.indd 100 16/05/15 3:08 AM
  • 123.
    Neurology and non-traumaticspinal imaging 101 Figures 3.10a, b  Axial images: diffusion and ADC map of the brain. (3.10a) High signal is seen in the left frontal lobe on diffusion images. (3.10b) The corresponding area on the ADC map is low signal, signifying restricted ­diffusion as seen in acute stroke. Figure 3.9  Axial image: unenhanced CT scan of the brain. Low attenuation periventricular changes around the frontal horns are consistent with small vessel disease. Table 3.2 Signal characteristics of haemorrhage on MRI. EVOLUTION MRI SIGNAL ­CHARACTERISTICS BIOCHEMISTRY Hours T1 isointensity T2 isointensity Intracellular ­oxyhaemaglobin Hours–2 days T1 isointensity T2 hypointensity Intracellular ­deoxyhaemaglobin 2–7 days T1 hyperintensity T2 hypointensity Intracellular ­methaemaglobin 1–4 weeks T1 hyperintensity T2 hyperintensity Extracellular ­methaemaglobin 4 weeks Peripheral T1 ­hypointensity Central T2 ­hyperintensity with a hypointense rim Extracellular ­haemosiderin (a) (b) K22247_C003.indd 101 16/05/15 3:08 AM
  • 124.
    Chapter 3102 CAROTID ARTERYDISSECTION Carotid artery dissection (CAD) is estimated to be an underlying cause in up to 25% of strokes in young and middle-aged patients and should always be considered in young patients presenting with acute onset neurological signs (Rodallec et al., 2008). Dissection can be both spontaneous and traumatic in aetiology, with traumatic cases associated with high-impact blunt head and neck trauma. Spontaneous dissections are reported following trivial activities such as coughing, sneezing and normal physiological neck movements. Where this is the case, underlying arteriopathies such as connective tissue disorders should be suspected, including fibromuscular dysplasia, Ehlers–Danlos syndrome, Marfan syndrome and polycystic kidney disease. Knowledge of the pathophysiology of dissection is necessary to understand the relevant imaging findings. Dissections can be caused by both an intimal tear leading to propagation of blood within the media, or by primary intramural haematoma with resultant intimal perforation. In classic dissections, an intimal flap is liftedawayfromthemedia;thisresultsinthecreationof two channels within the aortic lumen (referred to as the true and false lumens). The severity of symptoms and signs depends on the degree of vascular compromise, but can include headache, neck pain, ipsilateral Horner’s syndrome, pulsatile tinnitus, amaurosis fugax and focal neurology. Although there is currently a limited evidence base regarding appropriate treatment, this may involve anticoagulation and therefore urgent diagnosis is vital. Radiological investigations Both CTA and magnetic resonance angiography (MRA) are sensitive and specific for CAD. The carotid artery should be imaged from the aortic arch to the Circle of Willis; both modalities can also be extended to image the brain to assess for the associated signs of stroke. MRI can be more sensitive than CT for carotid artery intramural haematoma (although this depends sequences. Care must be taken not to incorrectly diagnose T2 ‘shine through’ phenomenon as restricted diffusion, the former appearing as increased signal on diffusion weighted sequences without corresponding decreased signal on ADC mapping. Vasogenic and cytotoxic oedema present as increased signal intensity on T2 weighted and FLAIR sequences. A chronic infarct appears as CSF density (increased signal on T2 weighted sequences, decreased signal on T1 weighted sequences and FLAIR suppression) with secondary signs of volume loss. Key points • Acute stroke can be both ischaemic and haemorrhagic in nature. • CT is the initial imaging modality of choice and should be performed immediately to exclude a haemorrhagic cause, although it can fail to identify hyperacute to acute infarction. • Important early CT signs of stroke include subtle loss of the grey–white matter differentiation, hyperdense cerebral artery sign and insular ribbon sign. Careful CT windowing (width 8 Hu, centre 32 Hu) has been shown to increase the sensitivity for subtle loss of grey–white matter differentiation. • MRI with diffusion weighted sequences is more sensitive than CT at identifying infarction in the hyperacute to acute period. Report checklist • Presence or absence of haemorrhage. • Presence or absence of thrombus in the cerebral artery which, depending on the institution, may be amenable to immediate thrombectomy. References Shiber JR, Fontane E, Adewale A 2010 Stroke registry: hemorrhagic vs ischemic strokes. Am J Emerg Med 28:331–333. Srinivasan A, Goyal M, Azri F et al. (2006) State-of- the-art imaging of acute stroke. RadioGraphics 26:S75–S95. K22247_C003.indd 102 16/05/15 3:08 AM
  • 125.
    Neurology and non-traumaticspinal imaging 103 haematoma include eccentric/concentric mural thickening causing narrowing of the lumen and an increase in the external calibre of the vessel (Rodallec et al., 2008). As cases progress, complete occlusion of the lumen can occur. on the age of blood products) and the intracranial hyperacute signs of stroke. MRI is, however, more time-consuming and may not be available out of hours. CTA is quick, can be incorporated into polytrauma CT protocols in the context of a traumatic aetiology and in most centres is considered the initial modality of choice. The addition of unenhanced imaging increases the CT sensitivity for intramural haematoma. Catheter angiography has traditionally been used in the initial assessment for CAD, but this is invasive, carries a small risk of complications and should be reserved for indeterminate CT and MRI cases where there is still a strong clinical suspicion of dissection. (See Table 3.3.) Radiological findings Computed tomography Unenhancedimagingshouldfirstbescrutinisedforacute intramural haematoma, which appears as eccentric/ concentric high attenuation within the carotid artery wall; this may only be appreciated as wall thickening in the presence of IV contrast (Figure 3.11). This should not be confused with atheroma, which is generally low to intermediate attenuation on unenhanced imaging, often demonstrating calcification. The most common site of CAD is just cranial to the carotid bifurcation. Artefact from dental amalgam and beam hardening artefact at the skull base can both create the impression of high attenuation in the region of the carotid arteries, which can be misinterpreted as intramural haematoma. The brain parenchyma should be inspected for the early subtle signs of stroke. A classic dissection flap presents on CTA as a linear low attenuation filling defect coursing across the opacified carotid artery lumen, although this can be difficult to appreciate because of the small calibre of the vessel. The carotid arteries should be scrutinised in axial, coronal and sagittal planes using multiplanar reformatting and wide window settings. Additional findings suggestive of dissection and intramural MODALITY PROTOCOL CT Unenhanced phase. Scan from aortic arch to Circle of Willis. Carotid angiogram: 100 ml IV contrast via 18G cannula, 4 ml/sec. Bolus track centred on aortic arch. Scan from aortic arch to Circle of Willis. Table 3.3 Carotid artery dissection. Imaging protocol. Figure 3.11  Axial image: IV contrast enhanced CT scan of the upper thorax in the arterial phase. There is thickening of the right common carotid antery, secondary to intramural haematoma (arrow). K22247_C003.indd 103 16/05/15 3:08 AM
  • 126.
    Chapter 3104 Magnetic resonanceimaging Intramural haematoma may be appreciated on axial T1 fat saturated sequences, characteristically appearing as crescenterichighsignalsurroundingacentralflowvoid, which corresponds to the carotid artery (Figure 3.12). The age of the haematoma is important; in the first few days, the haematoma consists predominantly of deoxyhaemaglobin and may be isointense (Rodallec et al.,2008).Intramuralhaematomausuallycausesfocal dilation of the vessel with corresponding narrowing/ signal loss in the lumen, which is best appreciated on MRA imaging (Figure 3.13). On time of flight MRA sequences,intramuralhaematomacanmanifestasarim aroundthecarotidartery,whichdisplayssignalintensity between that of the arterial flow and periarterial tissues. As with CT imaging, the brain parenchyma should be scrutinised on MRI, particularly using diffusion weighted sequences, looking for the signs of stroke. Key points • CAD can be spontaneous or traumatic in nature. Spontaneous cases are commonly associated with connective tissue disorders. • The commonest symptoms are headache and neck pain. CAD should always be suspected in younger patients presenting with acute-onset neurological signs. • Both CT and MRI are sensitive and specific and play a role in investigating CAD, although CT is quicker and more readily available out of hours at most centres. • Eccentric/concentric high attenuation and high signal is suggestive of intramural haematoma on unenhanced CT imaging and axial T1 fat saturated MRI sequences, respectively. Signs of dissection on CTA and MRA include a dissection flap and focal luminal narrowing. Report checklist • In cases positive for intramural haematoma or dissection, document whether flow is seen in the carotid artery distal to the abnormality. • Recommend further imaging of the brain to look for ischaemia if not already performed. Reference Rodallec MH, Marteau V, Gerber S et al. (2008) Craniocervical arterial dissection: spectrum of imaging findings and differential diagnosis. Radiographics 28:1711–1728. Figure 3.12  Axial image: T1 fat saturated weighted MR image of the neck. A rim of crescenteric high signal is seen along the anteromedial wall of the left internal carotid artery, representing intramural haematoma (arrow). Figure 3.13  Axial image: MRA sequence of the neck. There is absent flow within the left internal carotid artery due to dissection. Normal flow patterns can be seen in the left external carotid, right internal/external carotid and vertebral arteries. K22247_C003.indd 104 16/05/15 3:08 AM
  • 127.
    Neurology and non-traumaticspinal imaging 105 symptoms, and a LP should always be performed in ‘normal’ CT studies to prevent a false-negative result. CT is the imaging modality of choice in the initial assessment of acute symptoms, with a reported sensitivityof95%at12hours,althoughthisfallsto75% at 72 hours. If the duration of symptoms is longer than this, it may be more appropriate to progress directly to LP as CT can yield a false-negative result. For more subacute presentations, MRI should be considered since it is more sensitive than CT. Both CTA and MRA canalsobeutilised(usuallyintheabsenceofatraumatic history) to determine the cause of SAH; however, SUBARACHNOID HAEMORRHAGE Subarachnoid haemorrhage (SAH) is defined as blood within the space between the pial and arachnoid membranes and is a neurosurgical emergency. There are many causes of SAH (Table 3.4); common causes include trauma or the spontaneous rupture of ‘Berry’ aneurysms of the Circle of Willis. Complications after initial subarachnoid bleeding include intracerebral haemorrhage, hydrocephalus, cerebral oedema and raised intracranial pressure, vasospasm and re-bleeding. Classic symptoms and signs include an occipital ‘thunderclap’ headache and meningism, although focal neurological signs and reduced GCS can also be seen. Commonly used clinical grading tools include the Hunt and Hess and the World Federation of Neurosurgical Societies scales (Tables 3.5 and 3.6). Urgent diagnosis is vital to facilitate neurosurgical or interventional radiological treatment such as coiling or embolisation; however, the mortality rate in the first month after bleeding is still estimated to be as high as 40%. It is important to appreciate that radiology is only part of the diagnostic pathway, which also involves CSF analysis for xanthochromia obtained from lumbar puncture (LP). Radiological investigations The decision to image with CT or MRI depends on the symptomatic duration, since this affects the sensitivity of both modalities. It should be emphasised that CT cannot exclude SAH, regardless of the duration of • Trauma. • Ruptured Berry aneurysm. • Non-aneurysmal (perimesencaphalic) haemorrhage. • Arteriovenous malformation. • Dural arteriovenous fistula. • Spinal arteriovenous malformation. • Venous infarction. • Intradural arterial dissection. • Cocaine use. Table 3.4 Causes of subarachnoid ­haemorrhage. Grade 1 GCS 15. Grade 2 GCS 13–14 without deficit. Grade 3 GCS 13–14 with focal neurological deficit. Grade 4 GCS 7–12. Grade 5 GCS 7. GCS = Glasgow Coma Scale Table 3.6 The World Federation of ­Neurosurgical Societies scale for grading subarachnoid haemorrhage. Grade 1 Asymptomatic or minimal headache and slight neck stiffness. 70% survival. Grade 2 Moderate to severe headache; neck stiffness; no neurological deficit except cranial nerve palsy. 60% survival. Grade 3 Drowsy; minimal neurological deficit. 50% survival. Grade 4 Stuporous; moderate to severe hemiparesis; possibly early decerebrate rigidity and vegetative disturbances. 20% survival. Grade 5 Deep coma; decerebrate rigidity; moribund. 10% survival. Table 3.5 The Hunt and Hess scale. K22247_C003.indd 105 16/05/15 3:08 AM
  • 128.
    Chapter 3106 Radiological findings Computedtomography SAH is confirmed on unenhanced CT imaging by identifying high attenuation blood products in the subarachnoid spaces (Figures 3.14a, b), accentuated by using blood window settings (width 175, level 50). Common areas to miss subtle haematoma include the pre-pontine cistern, sylvian fissures, sulcal spaces near thevertexanddependentpartsoftheventricularsystem (Figures 3.15a–c). The severity of SAH can be graded with the Fischer scale (Table 3.8). In any CT scan that does not identify SAH, it is important to emphasise in the report that a ‘normal’ scan does not exclude SAH, and further assessment with LP should be considered. catheter angiography remains the gold standard in this regard. Catheter angiography has the advantages (compared with CT and MRI) of increased spatial resolution and temporal information regarding vessel flow. (See Table 3.7.) Figures 3.14a, b  Axial images: unenhanced CT scans of the brain. Hyperdense material is seen within the ­suprasellar, pre-pontine and interpedicular cisterns consistent with acute SAH. MODALITY PROTOCOL CT Unenhanced. Scan from level of foramen magnum to vertex. Intracranial angiogram: 100 ml IV contrast via 18G cannula, 4 ml/sec. Bolus track ­centred on aortic arch. Scan from level of aortic arch to vertex. Table 3.7 Subarachnoid haemorrhage. ­Imaging  protocol. (a) (b) K22247_C003.indd 106 16/05/15 3:08 AM
  • 129.
    Neurology and non-traumaticspinal imaging 107 Figures 3.15a–c  Axial images: unenhanced CT scans of the brain. Serpiginous hyperdense ­haemorrhage can be seen within the sulcal spaces towards the vertex (3.15a) and in the sylvian fissures (3.15b, c). ­Intraventricular haemorrhage is also shown in a ­dependent position in the occipital horns (3.15c). (a) (b) (c) It is important to inspect for the complications of SAH. SAH can lead to diffuse intracerebral oedema, which results in raised intracranial pressure. This presents as generalised sulcal and basal cistern effacement and reduced grey–white matter differentiation. If severe, this can lead to tonsillar descent, indicated by reduced CSF space at the foramen magnum. Complicating ischaemia, which can be venous in nature, appears as wedge-shaped areas of low attenuation involving the cortex. Hydrocephalus can also occur, which if gross is readily apparent; however, more subtle signs include mild temporal horn prominence and third ventricle convexity. All patients without a history of trauma should have further assessment with CT intracranial angiogrography to assess for underlying causes such as intracranialaneurysmsorarteriovenousmalformations. Familiarity with the normal Circle of Willis anatomy Group 1 No blood detected. Group 2 Diffuse thin (1 mm) SAH with no clots. Group 3 Localised clots and /or layers of blood 1 mm in thickness. Group 4 Intracerebral or intraventricular blood (+/− SAH). Table 3.8 The Fischer scale. K22247_C003.indd 107 16/05/15 3:08 AM
  • 130.
    Chapter 3108 is essential(Figure 3.16). The Circle of Willis should be systematically scrutinised with appropriate image window settings, multiplanar reformats and maximum intensity projection (MIP), looking for any focal vascular dilatation that is consistent with aneurysm (Figures 3.17a, b, 3.18a, b). Arteriovenous malformations usually manifest as a focal cluster of dilated, serpiginous enhancing vessels (Figures 3.19a, b). Figure 3.17a, b  Axial images: IV contrast enhanced CT angiogram scans of the brain. There are round, well-defined aneurysms arising from the left middle cerebral artery bifurcation (3.17a) and the distal right middle cerebral artery towards the right sylvian fissure (3.17b, arrow). (a) (b) Figure 3.16  The normal Circle of Willis anatomy and common aneurysm locations. 1 = anterior communicating artery; 2 = anterior cerebral artery; 3 = middle cerebral artery; 4 = internal carotid artery; 5 = posterior communicating artery; 6 = posterior cerebral artery; 7 = superior cerebellar artery; 8 = anterior inferior cerebellar artery; 9 = basilar artery; 10 = vertebral artery; 11 = anterior spinal artery; • = Common aneurysm locations. 1 2 3 4 5 6 7 89 10 11 K22247_C003.indd 108 16/05/15 3:08 AM
  • 131.
    Neurology and non-traumaticspinal imaging 109 Figures 3.18a, b  3-D reconstructed MIP images showing a right internal carotid artery aneurysm (arrow). Figures 3.19a, b  Axial T2 weighted MR image (3.19a) and MRA MIP image (3.19b) showing a right occipital arteriovenous malformation. On the axial T2 image this is shown as multiple, serpiginous flow voids in the right occipital lobe. (a) (a) (b)(b) (b)(b) s A R I L P Post/Rt Sup/Ant Ant/Lft Inf/Post K22247_C003.indd 109 16/05/15 3:08 AM
  • 132.
    Chapter 3110 SUBDURAL HAEMATOMA Subduralhaematoma (SDH) is defined as an accumulation of blood between the dura and the arachnoid mater. Bleeding is venous in nature, due to the tearing of bridging cortical veins as they cross the subdural space to drain into the adjacent dural sinus. SDH can occur in any demographic following significant trauma; however, it is more commonly seen in the elderly, the anticoagulated and patients with chronic alcohol dependence after a more innocuous injury. In the paediatric demographic with suspicious history, SDH should prompt the possibility of non- accidentalinjury.Symptomsandsignsvarysignificantly, but include headache, confusion, focal neurological deficit and depressed GCS. Like symptom severity, the mortality rate varies according to the severity of haematomaanddegreeofmasseffect.Urgentdiagnosis is important since significant SDHs may require neurosurgical drainage, although smaller haematomas may be treated conservatively. As a result, the on-call radiologistshouldhaveahighindexofsuspicionforthis condition, especially in at-risk demographics following head injury (see Appendix 1). Radiological investigations CT is the imaging modality of choice in the acute setting because of its high sensitivity and specificity. (See Table 3.9.) Key points • SAH is a neurosurgical emergency. • Radiology plays a part in the diagnostic pathway, which also includes LP. CT imaging cannot exclude SAH, and the sensitivity drops as the time from symptom onset increases. • Careful image windowing is essential to identify subtle haemorrhage. Review areas should include the pre-pontine cistern cistern, sylvian fissures, sulcal spaces near the vertex and dependent parts of the ventricular system. • Common complications include secondary venous ischaemia, cerebral oedema and hydrocephalus. • All patients with a non-traumatic history of SAH should have further assessment with CT intracranial angiography to assess for an underlying cause. Report checklist • The degree of mass effect (i.e. midline shift/ cerebellar tonsillar descent). • Presence or absence of hydrocephalus. • In cases of non-traumatic SAH, consider an underlying aneurysm – advise for the patient to be recalled for CTA if not already performed. • Emphasise that even in cases of a ‘normal’ CT scan, SAH cannot be excluded and a LP should be performed. MODALITY PROTOCOL CT Unenhanced. Scan from level of foramen magnum to vertex. Table 3.9 Subdural haematoma. Imaging protocol. K22247_C003.indd 110 16/05/15 3:08 AM
  • 133.
    Neurology and non-traumaticspinal imaging 111 Radiological findings Computed tomography Subdural collections appear on CT as crescenteric extra-axial collections adjacent to the surface of the brain. The attenuation of the collection varies with the age of the blood products within. Acute haematomas present as high attenuation in relation to brain parenchyma (Figure 3.20). The sensitivity for identifying subtle SDH can be increased by using blood window settings (width 175, level 50). In comparison, chronic haematomas demonstrate decreased attenuation in relation to brain parenchyma and may contain calcification, another useful clue to assess age (Figures 3.21a, b). Acute on chronic haematomas display mixed attenuation and can often demonstrate dependent layering of acute blood products within, referred to as a haematocrit level. Figure 3.20  Axial image: unenhanced CT scan of the brain. There is a crescenteric rim of hyperdense material overlying the left cerebral hemisphere consistent with acute SDH. This causes effacement of the left cerebral hemisphere with midline shift to the right. Further areas of parenchymal haemorrhage can also be seen in the frontal lobes. Figures 3.21a, b  Axial images: unenhanced CT scans of the brain. Hypodense crescenteric collections are seen overlying the right cerebral hemispheres representing chronic subdural collections. There is mass effect with effacement of the underlying cerebral sulci, but no midline shift. (a) (b) K22247_C003.indd 111 16/05/15 3:08 AM
  • 134.
    Chapter 3112 Subtle subdural bleeds canoften be missed, especially those that track along the falx cerebri and tentorium cerebelli (Figures 3.22a, b). The use of multiplanar reformats, especially coronal images, is useful in this regard. The extent and size of the SDH should be assessed. This can be described in terms of the maximum depth andtheextentofcerebralconvexitythatthehaematoma abuts. Of more importance, although related, is the degree of mass effect, which is indicated by local sulcal, ventricular and basal cistern effacement, midline shift, and tonsillar descent (Figure 3.23). MRI can sometimes be useful to age the bleeds or to differentiate chronic bleeds from cerebral atrophy resulting in a large CSF space (Figure 3.24). The main differential diagnoses include extradural haematoma (EDH) and subdural hygroma. SDHs are crescenteric in morphology and can cross sutures; conversely, extradural haematomas are lenticular and are bound by sutures (however they can cross the midline and venous sinus reflections). Extradural haematomas are also more commonly associated with skull vault fractures, although this finding does not preclude a subdural collection. Differentiation between chronic SDH and subdural hygroma can be Figures 3.22a, b  (3.22a) Axial image: unenhanced CT scan of the brain. Hyperdense material is seen tracking along the falx, which should normally be pencil thin, as a result of an acute parafalcine SDH. (3.22b) Coronal image: unenhanced CT scan of the brain. There is an SDH overlying the right cerebral hemisphere. In addition, there is a more subtle parafalcine SDH. (a) (b) difficult. Subdural hygroma presents as a CSF density subdural collection through which vessels may be seen traversing; however, it does not extend into the sulcal spaces. Key points • SDH can occur following head trauma and can occur in the elderly following more minor injury. In paediatric patients, always consider non- accidental injury. • CT is the imaging modality of choice. SDHs demonstrate a crescenteric morphology and can cross suture lines. • Visualisation of subtle SDHs can be aided by utilising blood window settings (width 175, level 50) and multiplanar reformats. Report checklist • Comment on the age of the haematoma; acute, acute on chronic, or chronic. • The degree of mass effect (i.e. midline shift/ cerebellar tonsillar descent). • Presence or absence of a skull fracture. • Recommend urgent neurosurgical opinion. K22247_C003.indd 112 16/05/15 3:08 AM
  • 135.
    Neurology and non-traumaticspinal imaging 113 EXTRADURAL HAEMATOMA EDH is a collection of blood within the extradural space (i.e. the potential space between the inner table of the skull vault and the dura mater). It typically occurs following traumatic head injuries and is often associated with an underlying skull fracture. EDH is usually caused by arterial bleeds (typically branches of the meningeal arteries), in contrast to SDH, which is usuallytheresultofavenousbleed.Assuch,itcanresult in a rapid accumulation of blood within a relatively shortspaceoftime.Clinically,patientstypicallypresent with a history of significant head trauma, followed by a lucentinterval.Followingthis,patientsmaydeteriorate rapidly due to the expanding size of the haematoma. The condition can be life threatening and may require urgent neurosurgical decompression, therefore urgent diagnosis is vital. Radiological investigations Unenhanced axial CT imaging through the brain is the modality of choice. Bony algorithm reconstructions of images may be useful to identify underlying fractures. Small, peripheral haematomas may be subtle and difficult to identify, so image interpretation on blood window settings (window 150, level 75) is also advised. (See Table 3.10.) Figure 3.23  Axial image: unenhanced CT scans of the brain. Crescenteric collection overlying the left cerebral hemisphere is mixed density with both high and low attenuation material, consistent with an acute on chronic SDH. There is effacement of the underlying sulci with midline shift to the right. Figure 3.24  Coronal image: FLAIR MRI sequence showing hyperintense bilateral subdural collections overlying the cerebral hemispheres (arrows). Note the prominent low signal CSF spaces, suppressed on this FLAIR sequence. MODALITY PROTOCOL CT Unenhanced. Scan from level of foramen magnum to vertex. Table 3.10 Extradural haematoma. Imaging protocol. K22247_C003.indd 113 16/05/15 3:08 AM
  • 136.
    Chapter 3114 Radiological findings Computedtomography Imaging with CT is often all that is required to confirm the diagnosis. Acute EDH is hyperdense on non- enhanced CT. It is an extra-axial collection and so appears at the periphery of the brain (Figure 3.25a). Typically, an EDH conforms to a lenticular or lens type shape, with a convexity that indents into the brain. EDHs are bound by the dural attachments and therefore cannot extend beyond cranial sutures. This distinguishing feature can help to differentiate between subdural and extradural collections. EDHs may also show a swirling appearance within the collection; this has been suggested as indicating active bleeding and therefore continued expansion. As with a SDH, it is useful to measure the maximum depth of the EDH and assess the degree of mass effect and midline shift (Figure 3.25b). Whenever an extra-axial collection with a morphology suggestive of an EDH is identified, the skull vault should be scrutinised on bone window settings to identify associated skull vault fractures (Figure 3.26). Findings should always be urgently communicated to the neurosurgical team to avoid a delay in potential surgical management. Key points • EDH is a neurosurgical emergency and urgent imaging is vital. • The typical appearance is that of a lenticular, hyperdense extra-axial collection. • Findings should be communicated urgently to the neurosurgical team for consideration of evacuation of the haematoma. Report checklist • The degree of mass effect (e.g. midline shift/ cerebellar tonsillar descent associated with any EDH). • Presence or absence of a skull fracture. • Recommend urgent neurosurgical opinion. Figure 3.25a  Axial image: unenhanced CT scan of the brain. A hyperdense, lenticular extra-axial collection is seen overlying the left frontal lobe, consistent with an acute extradural haematoma. Figure 3.25b  Axial image: unenhanced CT scan of the brain. The extradural haematoma seen in Figure 3.25a is indenting the underlying parenchyma, causing sulcal effacement and mild midline shift to the right of up to 4 mm. (b)(a) K22247_C003.indd 114 16/05/15 3:08 AM
  • 137.
    Neurology and non-traumaticspinal imaging 115 often less appropriate in the out of hours setting. While far less sensitive, venous sinus thrombosis can also be identified on unenhanced CT, therefore systematic scrutiny of the venous sinus system should be a review area on any CT head study. (See Table 3.11.) Radiological findings The principles of interpreting venogram imaging are the same regardless of the modality used, although therearecommonpitfallsspecifictobothCTandMRI, which are discussed subsequently. Knowledge of the CEREBRAL VENOUS SINUS THROMBOSIS Although rare, cerebral venous sinus thrombosis is a potentially life-threatening neurological emergency. While up to 25% of cases are idiopathic (Stam, 2003), any cause of a pro-thrombotic state can predispose a patient to venous sinus thrombosis. Such causes include malignancy, sepsis, dehydration, pregnancy, oral contraceptive pill use and clotting abnormalities. Localised infection, such as sinusitis, is also a common potential cause. Symptoms and signs depend on the site and extent of the thrombosis and include headache, seizures, focal neurology and reduced GCS. Complications of venous sinus thrombosis include venous haemorrhage and infarction. Prompt diagnosis is essential to facilitate urgent treatment with IV heparin. Radiological investigations Contrast enhanced CT venography is the modality of choice in the acute setting. MRI is also utilised in the investigation of venous sinus thrombosis; however, it is Figure 3.26  Axial image: unenhanced CT scan of the brain. Comminuted linear fractures can be seen through the greater wing of the left sphenoid bone, extending into the left sphenoid sinus, which is opacified with haemorrhage. MODALITY PROTOCOL CT Intracranial venogram: 100 ml IV contrast via 18G cannula, 2 ml/sec. Scan at 45 seconds after initiation of injection. Scan from skull base to vertex level. Table 3.11 Cerebral venous sinus thrombosis. Imaging protocol. K22247_C003.indd 115 16/05/15 3:08 AM
  • 138.
    Chapter 3116 is arachnoidgranulations, which are physiological structures that protrude into the normal dural sinus lumen. These are characteristically found laterally in the transverse sinus and in the superior sagittal sinus andappearasrounded,verywell-definedfillingdefects. If there is diagnostic uncertainty on contrast enhanced modalities, correlation with unenhanced imaging can be helpful, since arachnoid granulations often display a similar attenuation to CSF. Acute to subacute venous sinus thrombosis should be suspected on an unenhanced study where there is high attenuation corresponding to a segment of the venous sinus system (Figures 3.28, 3.29a). Common false positives on unenhanced CT include transverse sinus physiological normal anatomy of the venous sinus system is essential, and both the superficial veins and deep sinus system should be scrutinised in their entirety. The appearance of thrombus varies with age, although for the purposes of this chapter acute and subacute thrombosis are considered. Computed tomography Venous sinus thrombosis presents on contrast enhanced CT as a filling defect within the venous sinus (Figures 3.27a–c). The venous sinus system should be scrutinised in axial, sagittal and coronal planes with widewindowsettingstoavoidmissingsubtlethrombus. A common false positive on contrast enhanced CT (a) (b) (c) Figures 3.27a–c  Axial and sagittal images: IV contrast enhanced CT scans of the brain in the venous phase. Filling defects are seen within the sagittal sinus, consistent with venous sinus thrombosis (arrow). K22247_C003.indd 116 16/05/15 3:08 AM
  • 139.
    Neurology and non-traumaticspinal imaging 117 dominanceanddehydration,althoughthelatterusually causesglobalvenoussinushyperattenuationasopposed to a focal abnormality. The potential complications of venous sinus thrombosis must be considered. Parenchymal oedema can occur secondary to venous sinus thrombosis and presents as focal low attenuation, generally within the white matter. It should be noted that this is often reversible and may not necessarily progress to venous infarction. Indirect signs include atypical haemorrhage and oedema that does not correspond to an arterial territory.Bilateralthalamicoedemaishighlysuggestive of thrombosis of the deep venous system (internal cerebral veins, vein of Galen and straight sinus); if this is seen on unenhanced imaging, further contrast enhanced imaging should be performed to assess for venous sinus thrombosis (Figure 3.29b). Secondary haemorrhage can also be seen, which differs in its morphologyfromatypical‘hypertensive’ haemorrhage. Figure 3.28  Axial image: unenhanced CT scan of the brain. The anterior portion of the superior sagittal sinus is hyperdense (arrow) compared with the corresponding posterior segment, which is suspicious of a venous sinus thrombus in the anterior portion. Figure 3.29a  Axial image: unenhanced CT scan of the brain. High attenuation thrombus is seen within the internal cerebral veins (arrow). Figure 3.29b  Axial image: unenhanced CT scan of the brain. In addition to the thrombosis of the internal cerebral veins seen in Figure 3.29a, there is low attenuation change affecting both thalami, consistent with infarction. (a) (b) K22247_C003.indd 117 16/05/15 3:08 AM
  • 140.
    Chapter 3118 (Table 3.12).When seen in association with venous sinus thrombosis, increased parenchymal signal on T2 weighted and FLAIR sequences is suggestive of associated oedema. Corresponding restricted diffusion on diffusion weighted sequences is indicative of complicating infarction (Figures 3.31–3.33a, b). Key points • CT venography is the imaging modality of choice for diagnosing venous sinus thrombosis in the out of hours setting. • The hallmark of venous sinus thrombosis on contrast enhanced CT is a filling defect in the venous sinus system. Report checklist • Document the venous sinuses involved. • Presence or absence of any complications of venous sinus thrombosis (e.g. oedema, infarction or haemorrhage). Reference Stam J (2003) Cerebral venous and sinus thrombosis: incidence and causes in ischemic stroke. Adv Neurol 92:225–232. Typical characteristics include irregular, flame- shaped haemorrhage involving both the cortex and subcortical regions. The identification of this type of ‘atypical’ haemorrhage on a unenhanced study should always prompt suspicion of venous sinus thrombosis. A common cause of venous sinus thrombosis is sinusitis. The paranasal air spaces and mastoid air cells should be well aerated – any opacification of these spaces is suggestive of sinusitis. Magnetic resonance imaging As with CT, venous sinus thrombosis is suggested on contrast enhanced and time of flight MRI sequences as a filling defect within the venous sinus (Figure 3.30). Interpretation of time of flight MRI can be more challenging than contrast enhanced imaging. A common false positive is flow gap phenomenon, which occurs when the plane of acquisition is not perpendicular to the sinus (for example axial image acquisition of the superior sagittal sinus). Knowledge ofthislimitation,alongwithcorrelationwithadditional sequences, can help prevent this pitfall. The venous sinus system should also be scrutinised on T1 and T2 weighted sequences, although the precise signal characteristic of the thrombus is dictated by its age Figure 3.30  3-D reconstruction of a MR venogram sequence. No flow is seen within the straight sinus owing to occlusion as a result of venous sinus thrombosis. AGE OF THROMBUS T1 SIGNAL T2 SIGNAL Acute (0–5 days) Isointense Hypointense Subacute (6–15 days) Hyperintense Hyperintense Chronic (15 days) Isointense Isointense/hypointense Table 3.12 MRI signal characteristics of an ageing thrombus. K22247_C003.indd 118 16/05/15 3:08 AM
  • 141.
    Neurology and non-traumaticspinal imaging 119 Figure 3.33a, b  These axial true diffusion and ADC map images show high signal within the affected areas and this would therefore be in keeping with a subacute infarct within these regions. Figure 3.31  Axial T2 weighted MR image showing high signal within both thalamic nuclei as well as within the heads of both caudate lobes and the right basal ganglia. Figure 3.32  Axial FLAIR MR image demonstrating high signal within both thalamic nuclei as well as within the heads of both caudate lobes and the right basal ganglia. (a) (b) K22247_C003.indd 119 16/05/15 3:08 AM
  • 142.
    Chapter 3120 Radiological investigations CTis the imaging modality of choice to diagnose hydrocephalus in the acute setting. This allows accurate assessment of the parenchyma as well as the ventricular system. If an underlying mass lesion is seen on unenhanced imaging, post-contrast images may be acquired to help characterise this further. In patients presenting with a suspicion of hydrocephalus who have aVPshuntinsitu,shuntfractureshouldfirstbeexcluded via a plain film series. Ultimately, however, exclusion of hydrocephalus requires evaluation with CT. Intheon-callsetting,furtherimagingisnotroutinely required to establish the diagnosis. If no underlying cause is seen on CT, patients may require an MRI brain study to evaluate CSF and aqueductal flow. Similarly, hydrocephalus in neonates may be assessed with cranial ultrasound in order to avoid ionising radiation; however, this is not a standard sonographic skill and would not routinely be performed out of hours other than in dedicated paediatric neurosurgical centres. (See Table 3.13.) Radiological findings Computed tomography An unenhanced CT scan of the brain is the imaging modality of choice to identify the presence of HYDROCEPHALUS Hydrocephalus is a commonly encountered, treatable neurosurgical emergency. It occurs when there is excessive CSF within the cerebral ventricles, which results in dilatation of the ventricular system causing increased intracranial pressure. Patients who present acutely may have varied clinical symptoms ranging from headache, nausea and vomiting to reduced consciousness. Ultimately, increased intraventricular pressure may result in brain damage and death if left untreated. Urgent imaging is indicated and facilitates neurosurgicaltreatment,usuallyviaexternalventricular drain (EVD) placement. The underlying aetiology of hydrocephalus can be broadly split into two groups: communicating and non-communicating. Communicating hydrocephalus refers to abnormalities relating to extraventricular CSF production and absorption, often at the level of the arachnoidgranulations.Commoncausesofobstruction at this level include meningitis, SAH and venous sinus thrombosis. Non-communicating hydrocephalus tends to occur as a result of obstruction at the level of the ventricles, which may be due to tumour or intraventricularhaemorrhage,inadditiontocongenital abnormalities such as aqueductal stenosis at the level of the fourth ventricle. Another, less common cause of hydrocephalus are CSF producing tumours such as choroid plexus papillomas. Patients that have undergone treatment for hydrocephalus in the past may have a ventriculoperitoneal (VP) shunt in situ. This is an internal drain in which the cranial tip lies within the ventricular system. The line is then positioned subcutaneously through the neck, along the chest wall andintotheabdomen.Thecaudallinetiplieswithinthe peritoneum where the CSF drains and is subsequently reabsorbed. Occasionally, these shunts may fracture and their ability to function may be compromised (see Ventricularperitoneal shunt complications). MODALITY PROTOCOL CT Unenhanced. Scan from level of foramen magnum to vertex. Post contrast images in patients with suspected or confirmed mass lesion; 50 ml IV contrast via hand injection, scanned ­approximately 2–3 minutes post injection. Table 3.13  Hydrocephalus. Imaging protocol. K22247_C003.indd 120 16/05/15 3:08 AM
  • 143.
    Neurology and non-traumaticspinal imaging 121 ventricular system should prompt the suspicion of communicating hydrocephalus. In contrast, non-communicating hydrocephalus can manifest as dilatationofaproximalpartoftheventricularsystem. Forexample,dilatationofthelateralandthirdventricles inisolationinfersobstructionatthelevelofthecerebral aqueduct, commonly seen in aqueduct stenosis. Space- occupying lesions can cause pressure and obstruction of the ventricular system. These are best visualised with IV contrast, which should be administered if there is a suspicion of an underlying mass lesion. hydrocephalus. The earliest radiological sign of hydrocephalus is dilatation of the temporal horns of the lateralventricles.Innormalindividuals,theseshouldbe slit-like or conform to a ‘tear drop’ shape (Figure 3.34). However, in patients with hydrocephalus the horns dilate and may become enlarged with added convexity (Figure 3.35).Ifthehydrocephaluscontinues,dilatation oftheremainderoftheventriclesensues,withincreased ventricular size demonstrated on CT imaging. It is important to consider which parts of the ventricular system are dilated. Dilation of the entire Figure 3.34  Axial image: unenhanced contrast CT scan of the brain. Normal appearances of the temporal horns of the lateral ventricles with a slit-like morphology. Figure 3.35  Axial image: unenhanced CT scan of the brain. The temporal horns are dilated with loss of the normal tear drop morphology indicating hydrocephalus. K22247_C003.indd 121 16/05/15 3:08 AM
  • 144.
    Chapter 3122 Asaresultoftheincreasingventricularvolume,there may beconsiderable mass effect on the brain tissues, whichmaybeseenaseffacedsulciandobliteratedextra- axial CSF spaces (Figure 3.36). The pressure within the ventricles may also damage the ependymal lining of the ventricles. If this occurs, the pressure within the ventriclesmayforceCSFintotheperiventricular tissues. Thisisknownastransependymaloedema(Figure 3.37). This can have a similar appearance to small vessel ischaemia; however, associated ventricular dilatation is the key to distinguishing the two entities. Parenchymal atrophy is a normal consequence of ageing; compensatory ventricular dilatation often occurs as a result of this. It is therefore important to take the degree of cerebral atrophy into account when assessing the calibre of the ventricular system. In young patients with completely preserved parenchyma, any dilatation of the temporal horns should rouse suspicion, but in elderly patients with large amounts of parenchymal atrophy, the ‘normal’ appearance may be prominence of the ventricles. Therefore, the most useful way to assess for any acute changes is to compare with any previous imaging. As with VP shunts, the tips of EVDs should traverse the ventricular system. EVDs may be misplaced at the time of insertion or subsequently; this results in ineffective drainage of the ventricular system. It is useful to document the position of the VP shunt, since any movement in the position of the tip can be relevant in the future. It is not uncommon to identify mild parenchymal haemorrhage around the tract of the EVD in the acute period, although this should not be excessive. Plain films VP shunts are used to treat hydrocephalus, and are particularly common in children. The lines used are radiopaque and their position and integrity can therefore be assessed fairly well on plain film imaging. The cranial portion of a VP shunt is usually attached to an extracranial port, which lies within the scalp tissues. At the attachment distal to this port, there is Figure 3.37  Axial image: unenhanced CT scan of the brain. The lateral ventricles are dilated, and periventricular low attenuation changes can be seen representing transependymal oedema in acute hydrocephalus. Figure 3.36  Axial image: unenhanced CT scan of the brain. There is effacement of the normal sulcal pattern and extra-axial CSF spaces due to raised intracranial pressure. K22247_C003.indd 122 16/05/15 3:08 AM
  • 145.
    Neurology and non-traumaticspinal imaging 123 VENTRICULOPERITONEAL SHUNT ­MALFUNCTIONS VPshuntingisacommontreatmentforhydrocephalus, particularly in children. CSF is drained via a subcutaneous drain and absorbed by the peritoneum, thus relieving excess intraventricular pressure. Shunt obstruction is a common complication and can result in progressive hydrocephalus, which is a neurosurgical emergency. Symptoms and signs of shunt failure include headache, nausea and vomiting, reduced GCS and prolonged refill of the shunt reservoir. In the paediatric population, clinical signs can also include increasing head circumference and fontanelle bulging. Additional complications of shunt insertion, such as infection, CSF pseudocysts and slit ventricle syndrome (SVS), can also be encountered. often a short segment of radiolucency representing the shunt valve, which is normal, but this should not be longer than a few centimetres (Figure 3.38, Goeser et al., 1998). This may be difficult to appreciate and comparison with previous images is therefore crucial to identify subtle abnormalities. The distal portion of the line should be traced on the chest and abdominal plain films to ensure a correct tip position within the abdomen. Lines should also be scrutinisedforevidenceoffracture;normallinesshould be continuous with no breaks evident below the head. Skull plain films are not indicated for the assessment of hydrocephalus, other than to assess for VP shunt abnormalities. Key points • Unenhanced CT imaging is the modality of choice in the acute investigation of hydrocephalus. • The earliest sign of hydrocephalus is dilatation of the temporal horns of the lateral ventricles. • A shunt series should be performed in addition to CT imaging in patients with VP shunts presenting with signs of hydrocephalus. Report checklist • Document the type of hydrocephalus (communicating or non-communicating) and the level of obstruction. • Consider underlying causes of non- communicating hydrocephalus (e.g. an obstructing mass). • Consider causes of communicating hydrocephalus (e.g. meningitis or SAH). • Recommend urgent neurosurgical opinion. Reference Goeser CD, McLeary MS, Young LW (1998) Diagnostic imaging of ventriculoperitoneal shunt malfunctions and complications. Radiographics 18:635–651v. Figure 3.38  Lateral skull radiograph. The radiopaque shunt can be seen with a short radiolucent gap within the extracranial soft tissues, which is a normal appearance for a VP shunt (arrow). K22247_C003.indd 123 16/05/15 3:08 AM
  • 146.
    Chapter 3124 Radiological investigations Assessmentof shunt malfunction should begin with a plain film series of the subcutaneous shunt tubing to assess for mechanical breakage of the tubing. If there is clinical suspicion of shunt malfunction, further assessment with CT imaging should be performed without delay. Post IV contrast CT head imaging should be obtained if there is a clinical concern of shunt infection. (See Table 3.14.) Radiological findings Plain films Plain films should be assessed to identify discontinuity in the shunt tubing. Breakage commonly occurs at sites of increased mobility, such as the neck, although it can occur in any location (Figure 3.39). There is commonly a radiolucent portion of the shunt tubing just external to the entry point into the skull (Figure 3.40). This can be incorrectly interpreted as a fracture in the shunt tubing, a common pitfall. The distal end of the shunt should be coiled in the peritoneal cavity, projected over the middle to lower abdomen (Figure 3.41). Shunt migration can also occur, resulting in an abnormal course of the shunt tubing. Note: Plain film imaging alone cannot exclude internal blockage of the shunt tubing and hydrocephalus, and therefore CT imaging is required. MODALITY PROTOCOL Plain film series Lateral and AP skull. PA chest radiograph. AP abdominal radiograph. The neck should be imaged in either the chest or skull radiographs. CT Unenhanced. Scan from level of foramen magnum to vertex. Table 3.14 Ventriculoperitoneal shunt malfunctions. Imaging protocol. Figure 3.39  AP chest and upper abdomen radiograph. The shunt can be seen descending from the neck projected through the thorax, where a clear break can be seen just lateral to the left heart, with separation of the proximal and distal fragments. Figure 3.40  Lateral skull radiograph. The normal lucency can be seen representing the valve of the shunt. However, inferior to this, there is a break in the continuity of the shunt consistent with shunt fracture. K22247_C003.indd 124 16/05/15 3:08 AM
  • 147.
    Neurology and non-traumaticspinal imaging 125 Computed tomography When interpreting CT imaging for shunt complications, it is important to compare with previous CT studies. CT imaging allows assessment of the shunt position–thetubeshouldideallytraversetheventricular system (Figure 3.42). Migration of the proximal shunt tip when compared with previous imaging can occur. With careful image windowing, the proximal aspect of the extracranial component of the shunt tubing can be inspected for discontinuity. The hallmark of VP shunt obstruction on CT is progressive ventricular dilatation (Figure 3.43). The ventricles may remain dilated despite effective shunting, again highlighting the importance of comparison with previous CT head imaging. Ancillary signs of hydrocephalus include basal cistern effacement, peripheral sulcal effacement and transependymal oedema; the latter appears as periventricular low attenuation change. Figure 3.41  AP abdominal radiograph. The shunt can be seen projected over the right abdomen, eventually coiling within the mid abdomen. Shunt continuity is maintained with no evidence of shunt fracture. Figure 3.42  Axial image: unenhanced CT scan of the brain. The shunt can be seen entering the right parietal lobe into the right lateral ventricle, with the tip lying in the midline in the third ventricle near the foramen of Munro. Figure 3.43  Axial image: unenhanced CT scan of the brain. There is dilatation of the lateral ventricles consistent with hydrocephalus. There are periventricular low attenuation changes representing transependymal oedema. K22247_C003.indd 125 16/05/15 3:08 AM
  • 148.
    Chapter 3126 INTRACRANIAL ABSCESSAND SUBDURAL EMPYEMA The term ‘intracranial abscess’ may refer to both cerebral abscess and subdural empyema. Cerebral abscess results from a focal infection of the brain parenchyma. Four stages are recognised in the progressive evolution of this entity: early cerebritis, late cerebritis, evolving abscess and established abscess. Subdural empyema refers to a focal infection located within the dura and arachnoid mater. Both cerebral abscessandsubduralempyemasharesimilaraetiologies and can complicate each other. Causes include direct spread from adjacent structures (such as sinusitis, mastoiditis and dental infection), haematogenous spread, complications of neurosurgery and meningitis, although haematogenous spread is less commonly seen in subdural empyema as opposed to cerebral abscess. Symptomsandsignsmostcommonlyincludeheadache, fever, focal neurology and seizures, with the nature of focal neurological signs depending on lesion location and degree of mass effect. An associated elevation of inflammatory markers can inform the diagnosis; however,itsabsenceshouldnotdissuadefromthis.Risk factors for haematological spread include IV drug use, bacterial endocarditis, systemic sepsis, chronic lung infection and bronchiectasis, and left to right shunts. Early diagnosis via imaging is vital; this has helped to decrease the once high mortality rate, although this is still estimated at approximately 5–15%. In cases of established abscess or empyema, treatment involves surgical excision and drainage in addition to antibiotic therapy. Always consider whether or not the patient is or could be immunocompromised. Aspergillosis can present as an invasive paranasal sinusitis with extension into the orbit and brain. It can also present as an intracerebral abscess or infarct. Candidiasis can present as microabscesses. Toxoplasmosis can present with multiple intracerebral abscesses, which are more commonly seen in the basal ganglia, thalami and corticomedullary junction. Tuberculosis can have a variable presentation with leptomeningeal enhancement, cerebritis and abscesses. In cases of chronic hydrocephalus, periventricular fibrosis can occur, which reduces the plasticity of the ventricles. It should therefore be noted that increased intraventricularpressuremayoccurevenintheabsence of an increase in intraventricular size. SVS is a rare but important complication of VP shunting. Patients present with clinical symptoms of hydrocephalus, but conversely have slit-like, disproportionately collapsed ventricles in relation to the degree of sulcal/basilar cistern effacement on cross-sectional imaging. This is a difficult diagnosis to make in the absence of previous imaging. In cases where there is clinical suspicion of infection, post IV contrast CT imaging should be performed. Ependymal or sulcal enhancement can be seen in meningitis, which can occur secondary to shunt infection. The local soft tissues adjacent to the extracranial shunt tubing should also be scrutinised for enhancing fluid collections. Key points • VP shunting is a common treatment for hydrocephalus. Complications include shunt failure (obstruction and breakage) and infection, which can result in progressive hydrocephalus. • Shunt plain film and CT head imaging should be performed without delay if there is clinical suspicion of shunt failure. • Shunt obstruction can be inferred from the presence of increasing ventricular size or transependymal oedema. Report checklist • Presence or absence of any shunt discontinuity on the plain film series. • Precise location of the tip of the VP shunt and whether it traverses the ventricular system. • Presence or absence of hydrocephalus and transependymal oedema. • Recommend urgent neurosurgical opinion in cases of progressive hydrocephalus. K22247_C003.indd 126 16/05/15 3:08 AM
  • 149.
    Neurology and non-traumaticspinal imaging 127 Lymphoma in immunocompetent patients usually presents as solid mass lesions with uniform enhancement. In the immunocompromised patient, however, lymphoma can be characterised by ring enhancing lesions. Radiological investigations MRIwithIVcontrastanddiffusionweightedsequences is the most sensitive imaging modality in the diagnosis of cerebral abscess and subdural empyema. However, MRI is not always available out of hours and may not be suitable in acutely unstable patients owing to its long acquisition time. CT is often performed prior to MRI and can be useful to exclude alternative causes of focal neurology, such as stroke or intracranial haemorrhage. Whilst contrast enhanced CT imaging can identify the characteristic ring enhancement that is typical of an established cerebral abscess, its major limitation lies in the low specificity of this sign, which can also be seen in both primary and secondary intra-axial malignant lesions. In this scenario, correlation with clinical history is helpful, although ultimately confirmation often requires MRI. Both unenhanced and IV contrast enhanced CT can yield a false-negative result in cases of cerebritis. Unenhanced CT imaging can readily identify subdural collections, but it cannot confirm infection; the addition of IV contrast increases sensitivity. (See Table 3.15.) Radiological findings Computed tomography On the unenhanced phase, a cerebral abscess typically has the appearance of a cystic focus of low attenuation (the precise Hu of which varies according to the purulence of the abscess) with an isoattenuating or hyperattenuating rim. There is typically thin rim enhancement after administration of IV contrast, in contradistinction to the thick, irregular enhancement seen in malignant lesions, although this is variable (Figure 3.44). Note: It may be difficult on CT to MODALITY PROTOCOL CT Unenhanced. Scan from level of foramen magnum to vertex. Post IV contrast: 100 ml IV contrast via 18G cannula, 4 ml/sec. Scan at 40 seconds after start of injection. Scan from level of foramen magnum to vertex. MRI Sagittal T1 weighted, axial PD, T2 and ­diffusion weighted, coronal FLAIR and pre- and post-IV contrast T1 weighted sequences. Table 3.15 Intracranial abscess and subdural empyema. Imaging protocol. Figure 3.44  Axial image: IV contrast enhanced CT scan of the brain. A thick-walled lesion is seen in the right parietal lobe, which demonstrates peripheral wall enhancement, more so anteriorly than posteriorly. Centrally the lesion is low attenuation with no enhancement, representing a necrotic centre. Low attenuation changes are seen surrounding the lesion, representing vasogenic oedema. K22247_C003.indd 127 16/05/15 3:08 AM
  • 150.
    Chapter 3128 Subdural empyemasappear similar to SDHs in their shape and their relationship to sutures and dural reflections. They demonstrate a crescenteric shape (in contradistinction to extradural collections, which are convex)andcanalsobeseentrackingalongthetentorium and falx. Loculation of any subdural collection should always prompt the suspicion of infection. Subdural empyemas are usually hypoattenuating and similar in density to chronic SDHs; however, they generally display dural enhancement on the contrast enhanced phase (Figure 3.46). As with any subdural collection, the depth and degree of associated mass effect are useful findings and often dictate the urgency of surgical intervention. distinguish between an abscess and a malignant lesion. Perilesional low attenuation change often represents associated vasogenic oedema, which is also seen in association with malignant lesions. The degree of mass effect is important, indicated by sulcal or ventricular effacement and midline shift. Cerebritis may appear as anill-definedfocusoflowattenuationandcanbedifficult to differentiate from areas of ischaemia. The enhanced phase may show absent or patchy enhancement as opposed to the typical rim enhancement of cerebral abscess. Subependymal enhancement can indicate associated ventriculitis, although this can also be seen with malignant infiltration (Figure 3.45). Figure 3.45  Axial image: IV contrast enhanced CT scan of the brain. There is subependymal enhancement (arrow), secondary to ventriculitis and meningitis. Figure 3.46  Axial image: IV contrast enhanced CT scan of the brain. A subdural collection is demonstrated overlying the right frontal lobe and tracking along the anterior falx with peripherally enhancing meninges, consistent with an empyema (arrow). A further subdural empyema is seen posteriorly tracking along the tentorium cerebelli. K22247_C003.indd 128 16/05/15 3:08 AM
  • 151.
    Neurology and non-traumaticspinal imaging 129 Magnetic resonance imaging The principles of MRI interpretation mirror that of CT. Cerebral abscesses usually demonstrate central hyperintensity on T2 weighted and FLAIR sequences (typically less intense than CSF signal – Figure 3.47). This corresponds to central hypointensity on T1 weighted sequences (typically of higher signal than CSF). A thin, regular hypointense to isointense capsule can usually be seen on T2 weighted sequences, with corresponding enhancement on post-contrast T1 weighted sequences (Figure 3.48). Perilesional increased signal on T2 weighted and FLAIR sequences usually signifies vasogenic oedema, although this can sometimes represent tumour infiltration if secondary to malignant lesions. Cerebritis may appear as a non- specific focus of increased signal on T2 weighted and FLAIR sequences. Subdural empyemas generally show similar signal characteristics to the central component of a cerebral abscess and, as with CT, may show associated dural enhancement on post-contrast T1 weighted sequences. Diffusion weighted sequences allow differentiation of infective and malignant aetiologies; the latter typically does not demonstrate restricted diffusion, Figure 3.47  Axial image: T2 weighted MR image of the brain. The abscess centred on the right thalamus demonstrates intermediate to high signal centrally with a low signal capsule. Surrounding high signal changes around the lesion represent vasogenic oedema. Figure 3.48  Axial image: T1 weighted MR image of the brain post contrast. There is enhancement of the peripheral capsule surrounding the abscess. The central contents of the lesion do not enhance. K22247_C003.indd 129 16/05/15 3:08 AM
  • 152.
    Chapter 3130 malignancy. Parenchymalabscess can be differentiated due to the associated presence of restricted diffusion on MRI. • Intracranial empyema appears as a crescenteric subdural collection. Associated dural enhancement and restricted diffusion is characteristic. Report checklist • Document the degree of surrounding oedema and mass effect/midline shift. • Consider other differential diagnoses for multiple ring enhancing lesions including metastases, demyelination, multicentric glioma, lymphoma, embolic infarcts. • Consider whether the patient could be immunocompromised. although there are exceptions to this rule. Restricted diffusion is confirmed by an increased signal on the diffusion weighted sequence and corresponding decreased signal on ADC mapping (Figures 3.49a, b). Key points • Intracranial infection in the form of parenchymal abscess or subdural empyema is a neurosurgical emergency. • MRI with IV contrast and diffusion weighted sequences is the most sensitive and specific modality, although may not be readily available. Pre- and post-contrast enhanced CT is a useful alternative out of hours. • Parenchymal abscess presents as a ring enhancing lesion on both modalities; however, similar appearances can be seen with intracranial Figure 3.49a, b  Axial images: diffusion imaging (3.49a) and ADC map (3.49b) of the brain. The contents of the abscess are high signal on diffusion imaging and low signal on the ADC map (i.e. the abscess restricts diffusion). Note how the capsule of the abscess does not restrict diffusion. (a) (b) K22247_C003.indd 130 16/05/15 3:08 AM
  • 153.
    Neurology and non-traumaticspinal imaging 131 quickly treatment is initiated. Although the ultimate diagnosis is made from polymerase chain reaction analysis of CSF obtained from LP, typical imaging findings can suggest the diagnosis. Treatment with IV antiviral agents can be started prophylactically prior to diagnosis, therefore imaging does not necessarily have to be performed out of hours. HSV encephalitis should be distinguished from HSV meningitis; the latter is usually caused by HSV-2 infection and generally follows a benign cause. Aswithcerebralabscesses,itisimportanttoconsider whether the patient is immunocompromised. Human immunodeficiency virus (HIV) can itself directly involve the CNS. It causes a subacute encephalitis characterised by diffuse bilateral signal change in the white matter/basal ganglia in the absence of mass effect/contrast enhancement. HIV also produces a vasculitis, which can coexist with the infection, causing multiple small infarcts. Cerebral atrophy is common. Progressive multifocal leucoencephalopathy is caused by papovavirus (JC virus) in patients with HIV. It is characterised by extensive asymmetrical involvement of the cerebral white matter with sparing of the cerebral cortex. There is usually little in the way of mass effect or contrast enhancement (Figures 3.50a, b). HERPES SIMPLEX ENCEPHALITIS Herpes simplex encephalitis is an acute or subacute infectionofthebrainparenchymabytheherpessimplex virus (HSV). There are two main subtypes of infection, which differ in their demographics, causative organism and pathophysiology. Adult infection (the focus of this chapter) is caused by HSV-1 in 90% of cases (Bulakbasi Kocaoglu,2008).Itresultsinamore focalencephalitis in the frontal or temporal lobes and is considered secondary to reactivation of the dormant virus. Neonatal cases are usually caused by HSV-2, which producesamoregeneralisedencephalitisandisacquired by the neonate via maternal transmission at delivery (Bulakbasi Kocaoglu, 2008). Limbic encephalitis, a paraneoplastic phenomenon that occurs secondary to manynon-centralnervoussystem(CNS)malignancies, can produce similar neurological findings. Symptomsandsignsofadultviralencephalitisinclude headache, fever, seizures, focal neurological deficits and alteredordecreasedlevelofconsciousness.Because of the non-specific nature of these symptoms and signs, cases cannot reliably be differentiated clinically from other intracranial pathologies. The mortality rate is high, although the exact prognosis depends on how (a) (b) Figure 3.50a, b  Axial T2 and FLAIR MR images from a patient with progressive multifocal leucoencephalopathy. These demonstrate asymmetrical but diffuse white matter signal change with sparing of the cerebral cortex and no mass effect. K22247_C003.indd 131 16/05/15 3:08 AM
  • 154.
    Chapter 3132 signal onT2 and FLAIR sequences and corresponding decreased signal on T1 weighted sequences. Abnormality can be unilateral or bilateral. In cases causing unilateral abnormality of the insular cortex, the differential of a middle cerebral artery territory infarct should be considered. This usually involves the basal ganglia structures, which are characteristically spared in HSV encephalitis, although in practice differentiation between the two entities can be difficult. These characteristic findings are normally seen in immunocompetent patients. In immunocompromised patients, a more diffuse pattern of involvement is seen. Similar imaging findings can also be seen in limbic encephalitis. Restricted diffusion may precede T2 and FLAIR abnormalities. Viral encephalitis can be complicated by haemorrhagic transformation, which typically demonstrates increased signal on T1 sequences in the subacute phase. Gyriform (or, less commonly, localised leptomeningeal or ring) enhancement on post-contrast T1 weighted sequences in affected areas can also be seen subacutely; however, its absence should not dissuade from the diagnosis. Generalised leptomeningeal and subependymal enhancement can be seen in cases of meningitis, which can present with similar symptoms, although it should be noted that imaging does not routinely form part of the investigation pathway for meningitis. Computed tomography The temporal and inferior aspect of the frontal lobes should be scrutinised for low attenuation abnormality, suggestive of oedema (Figures 3.51a, b). It should be noted that assessment of these areas, particularly the temporal lobes, is hampered on CT by beam hardening artefact. This typically causes streaky low attenuation, which can be mistakenly interpreted as oedema. Familiarity with the ‘normal’ spectrum of appearances of these regions on CT is vital to avoid false positives. Haemorrhage in involved areas is readily identified on CT. As with MRI, gyriform enhancement can be seen on post-contrast images and suggests subacute infection. Note: CT cannot exclude viral encephalitis; this should be emphasised in the report. Cerebral atrophy is not a feature. Cytomegalovirus infection is usually only seen in immunocompromised patients and presents with patchy periventricular signal change. Radiological investigations MRIisthemostsensitiveandspecificimagingmodality forthechangesofherpessimplexencephalitis,although this modality can be normal early on in the course of infection; as such, a normal scan should not exclude the diagnosis. Utilisation of diffusion weighted sequences increases sensitivity. The main limitation with MRI lies in its limited out of hours availability. CT is less sensitive than MRI. CT imaging is often normal; as withMRI,anormalstudycannotexcludethediagnosis. However, CT is often performed prior to MRI because of the non-specific presentation of HSV encephalitis and is still useful in excluding alternative pathologies, such as stroke. The exact order of imaging depends on the clinical index of suspicion and local availability of MRI. (See Table 3.16.) Radiological findings Magnetic resonance imaging HSVencephalitistypicallycausesoedemainthemedial aspect of the temporal lobes, inferolateral frontal lobes and insular cortex. Oedema presents as increased MODALITY PROTOCOL MRI Axial T1 and T2 weighted, sagittal T1 weighted, coronal FLAIR, diffusion weighted and pre-/ post-contrast T1 weighted sequences. CT Unenhanced. Scan from skull base to vertex. Post IV contrast: 100 ml IV contrast via 18G cannula, 4 ml/sec. Scan at 40 seconds after start of injection. Scan from skull base to vertex. Table 3.16 Herpes simplex encephalitis. Imaging protocol. K22247_C003.indd 132 16/05/15 3:08 AM
  • 155.
    Neurology and non-traumaticspinal imaging 133 • MRI is more sensitive than CT; however, neither can exclude the diagnosis. Typical findings include oedema in the temporal and inferior frontal lobes. Haemorrhagic transformation and subacute gyriform enhancement can be seen. Report checklist • Consider differential diagnoses (e.g. infarct). • Consider whether the patient may be immunocompromised. • Presence or absence of signs of raised intracranial pressure (e.g. cerebellar tonsillar descent and basal cistern/sulcal effacement). Reference Bulakbasi N, Kocaoglu M (2008) Central nervous system infections of herpes virus family. Neuroimaging Clin North Am 18:53–84. Cerebral oedema can also be seen in the presence of underlying parenchymal lesions, such as cerebral abscess and malignancy. These underlying diagnoses should always be considered whenever oedema is identified on CT. Distinguishing features include the acute history and typical fever of encephalitis and the more convincing ring enhancement seen in parenchymal mass lesions. Key points • HSV encephalitis should be suspected in patients presenting with fever, headache, seizures, focal neurological deficits and altered level of consciousness. • Diagnosis is made with polymerase chain reaction analysis of CSF obtained via LP. Antiviral agent treatment can be started prophylactically prior to imaging. (a) (b) Figure 3.51a, b  Axial images: unenhanced CT scans of the brain. Low attenuation changes can be seen in the left temporal lobe consistent with oedema. The sulci in the affected region are effaced compared with the unaffected right side. K22247_C003.indd 133 16/05/15 3:08 AM
  • 156.
    Chapter 3134 level ofabnormality within the spine. Cauda equina syndrome is a clinical triad of symptoms occurring secondary to compression of the cauda equina nerve roots within the spinal canal. This clinical syndrome is comprised of lower limb motor dysfunction, saddle/ perineal anaesthesia and urinary or bowel dysfunction. Patients may also have reduced anal tone on rectal examination. Radiological investigations MRI is the imaging modality of choice for suspected cases of cord or cauda equina nerve root compression. MRI provides accurate assessment of the neurological structures,spinalanatomy,bonemarrow,intervertebral discs and soft tissues. Note: Not all centres offer an MRI service out of hours, therefore some patients may require transfer to other centres. (See Table 3.17.) Radiological findings Magnetic resonance imaging In normal patients, the spinal cord runs through the spinal canal and is surrounded by CSF. The cord terminatesattheconusmedullaris,abovetheL1/2level in adults. Beyond the conus, cauda equina nerve roots descend through the spinal canal, exiting through the intervertebral foramina. SPINAL CORD COMPRESSION AND CAUDA EQUINA SYNDROME Spinal cord compression and cauda equina syndrome are acute neurological emergencies that require urgent diagnosis and treatment. They occur as a result of compression of either the spinal cord or cauda equina nerve roots; this causes an acute neurological deficit which, if left untreated, may be irreversible. Prompt diagnosis requires imaging and is necessary to facilitate urgent intervention. Commoncausesofspinalcordorcaudaequinanerve root compression include malignancy, intervertebral disc prolapse and trauma. Malignant cord compression most commonly occurs as a result of metastatic infiltration of the vertebral body bone marrow, with resulting expansion and encroachment of the spinal canal. Less commonly, it can be the result of metastatic disease to the spinal cord or meninges. Depending on the severity of symptoms, malignant cord compression may be treated with urgent radiotherapy. Disc dehydration is a normal part of ageing; however, it can be complicated by herniation of disc contents into the spinal canal. This can compress the spinal cord and cauda equina nerve roots, resulting in neurologicalcompromise.Thismostcommonlyoccurs in the lumbar spine. In the context of trauma, spinal cord or cauda equina nerverootcompression may be due to a combinationof spinal malalignment, fracture with bony retropulsion or compressing haematoma. In contradistinction to malignantcordcompression,compressionsecondaryto disc prolapse or traumatic injury is usually more acute, and treatment involves urgent surgical decompression. Compressionmayalsooccurasacomplicationofspinal surgery; such complications include epidural abscess and haematoma. Typically, patients with spinal cord compression present with a loss of motor function below the level of compression and a distinct sensory, dermatomal deficit, which clinically can be used to anticipate the MODALITY PROTOCOL MRI Sagittal T1, sagittal T2 and axial T2 weighted sequences. In patients with suspected meta- static disease and postoperative patients, additional sagittal STIR and post IV contrast axial and sagittal T1 images should also be acquired. Table 3.17 Spinal cord compression and cauda equina syndrome. Imaging protocol. K22247_C003.indd 134 16/05/15 3:08 AM
  • 157.
    Neurology and non-traumaticspinal imaging 135 within the spinal canal (Figure 3.53). It is important to distinguish this from unilateral compression of a nerve root, either in the lateral recess or the intervertebral foramina.Thelatterisacommonresultofdegenerative disc disease and typically presents with radicular symptoms. An underlying disc prolapse causing cord or cauda equina nerve root compression is readily evident on MRI. Normal intervertebral discs demonstrate increased signal centrally on T2 weighted sequences; Regardless of the cause of the cord compression, imaging findings include loss of the normal CSF space around the cord and compression, usually indicated by a contour abnormality of the cord. In acute cases, compression of the cord may lead to oedema within the spinal cord; this appears as increased signal within the cord on T2 weighted sequences (Figure 3.52). In cases of cauda equina nerve root compression, there is obliteration of the CSF space, which may result in significant crowding or displacement of the nerve roots Figure 3.52  Sagittal image: T2 weighted MR image of the cervical spine. There is a fracture/dislocation at C5/6 resulting in cord compression at this level. No CSF can be seen surrounding the cord at the level of the compression. A focus of high signal change can be seen within the spinal cord at this level, representing a traumatic cord contusion. Figure 3.53  Axial image: T2 weighted MR image of the lumbar spine. There is a central disc protrusion, which indents into the spinal canal, resulting in cauda equina nerve root compression. K22247_C003.indd 135 16/05/15 3:08 AM
  • 158.
    Chapter 3136 In patientswho have undergone recent spinal surgery, post IV contrast T1 imaging is useful in identifying enhancing collections within the spinal canal that may be causing cord compression. Key points • Spinal cord compression and cauda equina syndrome are neurological emergencies requiring prompt diagnosis and neurosurgical intervention. • Potential causes include malignancy, intervertebral disc disease, trauma and epidural abscess/ haematoma. Report checklist • Document the degree of cord compression. • Presence or absence of myelopathy. • Consider the underlying cause; for example, disseminated malignancy or degenerative disc disease. • In cases of cord compression, recommend urgent neurosurgical opinion. however, this signal decreases with advancing dehydration and degeneration (Figures 3.54a, b). Malignant cord compression may be caused by a soft tissue or expansile mass arising from the vertebral body, causing anterior compression of the spinal cord or cauda equina nerve roots. In adults, the vertebral bodies typically demonstrate increased signal (relative to the intervertebral discs) on T1 weighted sequences, representing normal fatty marrow. Malignant infiltration typically appears as decreased signal on T1 and T2 weighted sequences (Figure 3.55). In cases of metastatic disease, multiple lesions may be seen throughout the spine. Diffuse metastatic spinal infiltration may be difficult to appreciate on first inspection; however, it should be suspected if the vertebral bodies demonstrate diffusely decreased signal on T1 weighted sequences. Subtle lesions that may be difficult to appreciate on T1 images may be seen more easily on fat suppressed/STIR sequences. Epidural haematomas can occur as a complication of spinal surgery or secondary to trauma. They demonstrate a variable signal according to their age; however, if acute, they typically appear as a lenticular- shaped collection of increased signal on T1 weighted sequences. Figure 3.54a, b  Sagittal and axial images: T2 weighted MR images of the thoracic spine. A large central posterior disc prolapse is shown, which is obliterating the spinal canal. Cord signal abnormality is also seen. (a) (b) K22247_C003.indd 136 16/05/15 3:08 AM
  • 159.
    Neurology and non-traumaticspinal imaging 137 adults usually originates from the endplates directly. Risk factors include immunodeficiency, diabetes mellitus, remote infection and IV drug use. The commonest causative organism is Staphylococcus aureus; others include Streptococcus viridans (particularly in immunocompromised patients) and Mycobacterium tuberculosis, although the latter characteristically spares the vertebral disc. Symptoms include back pain and pyrexia and the on-call radiologist should always consider the potential of discitis in a patient with pyrexia of unknown origin. Swift diagnosis is vital to ensure appropriate antibiotic and immobilisation therapy, which can prevent the long-term neurological morbidity of this condition. Imaging may not necessarily have to be conducted out of hours unless there are symptoms or signs of cord compromise, since this may necessitate urgent surgical intervention. Radiological investigations Plain film imaging of the spine is useful as a first- line assessment for discitis; however, it is relatively insensitive in the initial phases and as such cannot exclude the diagnosis. Plain film imaging can, however, be helpful in excluding alternative pathologies that may cause back pain; for example, osteoporotic wedge fractures. MRI with IV contrast is sensitive and specific and is the modality of choice, although both CT imaging and nuclear imaging can be helpful in cases where MRI is contraindicated. Even in the presence of characteristic plain film findings, further imaging with MRI is usually necessary in order to assess the extent of bony involvement and the degree of neurological compromise. (See Table 3.18.)SPONDYLODISCITIS Spondylodiscitis, or infection of the vertebral discs and adjacent bodies, can result in aggressive vertebral destruction and neurological compromise. Spondylodiscitis has a bimodal distribution, occurring both in the paediatric and middle-aged/elderly populations, although the pathophysiology is different in the two groups. In children, infection usually begins in the disc itself (due to its good vascular supply), spreading to the adjacent endplates. Infection in Figure 3.55  Sagittal image: T1 weighted MR image of the lumbar spine. There are multiple low attenuation lesions within the lumbar spine consistent with multiple metastases. Compression fractures are also noted. MODALITY PROTOCOL MRI Sagittal and axial T1 and T2 weighted, sagit- tal STIR and pre/post IV contrast T1 weighted sequences of the whole spine. Table 3.18  Spondylodiscitis. Imaging protocol. K22247_C003.indd 137 16/05/15 3:08 AM
  • 160.
    Chapter 3138 the extentof adjacent vertebral body involvement increases; this is best appreciated as marrow oedema on STIRsequences.Inadvanceddisease,bonydestruction can occur. While tuberculosis discitis can appear identical to discitis secondary to another organism, it usually spares the disc space until late in the disease. Other findings characteristic of tuberculosis include skip lesions and marked kyphosis secondary to bone destruction (gibbus deformity). Radiological findings Magnetic resonance imaging DiscitisisdiagnosedonMRIbyidentifyingcharacteristic inflammation and oedema of the disc and adjacent vertebral body endplates. This is best appreciated on sagittal T2 and STIR sequences as increased signal within affected discs and endplates, which corresponds to decreased signal on T1 sequences (Figures 3.56a. b). Knowledge of the characteristic degenerative changes that can affect the vertebral body endplates is necessary since these can be falsely interpreted as infection (Table 3.19). In contradistinction to infective endplate changes, degenerative endplate changes are not associated with increased signal within the disc on T2 weighted or STIR sequences. As infection progresses the disc space is typically lost. (Note: This is also seen in degeneration; however, this does not demonstrate increased T2 signal within the disc.) As the endplate cortices become eroded, the characteristic low signal of the cortex is lost. Disc enhancement can also be seen on post-contrast sequences (best appreciated on sagittal views), although the absence of enhancement does not exclude the diagnosis. As infection progresses, (a) (b) Figures 3.56a, b  Sagittal images: T2 weighted and STIR MR images of the lumbar spine. There is high signal within the L2/3 intervertebral disc shown on both sequences. In addition, abnormal marrow signal can be seen extending into the L2 and L3 vertebral bodies on the STIR sequence (3.56b). MODIC TYPE T1 SIGNAL T2 SIGNAL PATHOPHYSIOLOGY I Decreased Increased Bone marrow oedema. II Increased Increased Normal haemopoetic marrow conversion into fatty marrow. III Decreased Decreased Sclerosis. Table 3.19 Modic degenerative endplate changes. K22247_C003.indd 138 16/05/15 3:08 AM
  • 161.
    Neurology and non-traumaticspinal imaging 139 and can also involve the paravertebral and psoas major muscles. Paraspinal collections have similar signal characteristics as epidural abscesses (Figure 3.57). Plain films Typical plain film findings of discitis include loss of disc space initially, progressing to irregular, ill-defined endplate erosions and eventually bony destruction (Figure 3.58; Jallo Keenan, 2011; Varma et al., 2001). In cases of extensive bony involvement, it can be difficulttodistinguishdiscitisfromotherprocessesthat cause aggressive bony destruction, such as malignancy. Discitis can be complicated by paravertebral collections and epidural abscess formation; the latter typically appears as a focus of increased signal on T2 weighted and STIR sequences in the epidural space, demonstrating ring enhancement on post-contrast sequences. As with any spinal pathology, it is important to assess whether any abscess compresses the spinal cord or nerve roots (see Spinal cord compression and cauda equina syndrome). Acute cord compression requires urgent neurosurgical decompression and should be promptly communicated to the referring team. Collections typically spread both superiorly and inferiorly under the anterior longitudinal ligament Figure 3.57  Axial image: T2 weighted MR image of the thoracic spine. There is a paravertebral collection (see arrow) as a result of discitis. Figure 3.58  AP lumbar spine radiograph. The L2/3 endplates are eroded and ill defined, with loss of disc and vertebral body height at these levels. K22247_C003.indd 139 16/05/15 3:09 AM
  • 162.
    Chapter 3140 and nerveroots can occur and should be communicated urgently to the referring team. Report checklist • Presence or absence of complications, such as epidural abscess or paravertebral collection. • Document whether there is any evidence of spinal cord or cauda equina nerve root compression. • In cases of neurological compromise, recommend urgent neurosurgical opinion. References Jallo GI, Keenan MA (2011) Diskitis. Medline Feb. VarmaR,LanderP,AssafA(2001)Imagingofpyogenic infectious spondylodiskitis. Radiologic Clin North Am 39:203–213. In cases of discitis with an associated paravertebral abscess, widening or convexity of the normal paraspinal lines can be seen on AP views of the thoracic spine (Figure 3.59). Any suspicion of discitis on plain film imaging should prompt further assessment with MRI. Key points • Spondylodiscitis should always be suspected in cases of pyrexia of unknown origin. • MRI with IV contrast is sensitive and specific for the changes of discitis and is considered the modality of choice. Typical findings include disc and endplate oedema and enhancement. • Complications of spondylodiscitis include bony destruction, epidural abscess and paravertebral collections. Compression of the spinal cord Figure 3.59  AP chest radiograph. A retrocardiac paraspinal bulge is seen, which represents a paraspinal collection (arrow). K22247_C003.indd 140 16/05/15 3:09 AM
  • 163.
    141 Chapter 4 PAEDIATRIC IMAGING INTUSSUSCEPTION Intussusceptionis defined as forward peristalsis of proximal bowel into the lumen of the more distal bowel. The proximal part of the bowel is termed the intussusceptum and the distal bowel is termed the intussuscipiens. The condition is most common in children under 3 years and is usually idiopathic in this age group. In children older than 3 years, there is often a lead point for the cause of the intussusception (e.g. Meckel’s diverticulum). Intussusception can also be seen as a rare cause of bowel obstruction in adults. Clinical features include abdominal pain, bloody diarrhoea and a palpable mass. A small number of cases will reduce spontaneously, but the majority require intervention in order to resolve completely. The condition is considered an emergency due to the high risk of bowel ischaemia and bowel perforation, and therefore requires prompt diagnosis to prevent complications. Radiological investigations The diagnosis of intussusception utilises several imaging modalities; however, it differs slightly for paediatric and adult cases. A plain AXR is inevitably performed, followed by ultrasound +/− fluoroscopic air enema (in paediatric cases). An ultrasound scan should be performed in an attempt to localise and identify the intussusception. An air enema using fluoroscopy is both diagnostic and therapeutic. This requires insufflation of the bowel with air via a rectal catheter with a good seal, up to a pressure of 120 mmHg. Contrast enhanced CT is reserved for the investigation of intussusceptions in adults; this modality should not form the routine investigatory pathway in paediatric cases. (See Table 4.1.) Radiological findings Ultrasound The entire abdomen and pelvis should be scrutinised systematically. Classically, intussusceptions appears as a solid mass with alternating rings of hyper- and hypoechogenicity. The appearance represents alternating layers of hypoechoic bowel wall and hyperechoic mesenteric fat that have telescoped into one another, with a typical ‘target sign’ (Figure 4.1). MODALITY PROTOCOL Ultrasound 6–9 MHz linear probe should be used to examine the entire abdomen. Fluoroscopic air enema Air insufflation of the large bowel to a maximum pressure of 120 mmHg via a rectal catheter. Table 4.1  Intussusception. Imaging protocol. Figure 4.1  Ultrasonogram of the bowel in the transverse plane. Typical ‘target’ sign appearance with alternating hyper- and hypoechoic rings representing the hypoechoic bowel wall and the hyperechoic mesenteric fat telescoping into the intussuscipiens (arrow). K22247_C004.indd 141 16/05/15 3:10 AM
  • 164.
    Chapter 4142 The ultrasoundappearance has also been likened to a ‘pseudokidney’, with the combination of hypoechogenic bowel wall and hyperechogenic mesenteric fat (Figure 4.2). In patients where no evidence of intussusception is seen, other pathology that may mimic the presenting features should be considered (e.g. appendicitis). Fluoroscopic air enema The aim of an air enema is to identify the site of the abnormality and to force the intussusceptum into its normal position. This appears as a round, intraluminal massthatmovesretrogradewithincreasingairpressure. Successful reduction is demonstrated by reflux of gas into the small bowel and the resolution of the soft tissue mass (Figures 4.3a, b). Insufflation air pressures of up to 120 mmHg should be used up to a maximum of three attempts. If repeated insufflation of the bowel with air is unsuccessful, surgical intervention should be considered. Success rates of over 80% have been suggested following air reduction. However, 5–10% of intussusceptions may reoccur, usually within the first 72 hours, therefore close attention to worsening Figure 4.2  Ultrasonogram of the bowel in the longitudinal plane. ‘Pseudokidney’ appearance is shown as the hypoechoic bowel wall with central echogenicity due to the mesenteric fat herniating into the distal bowel lumen. Figures 4.3a, b  AP images of the abdomen during fluoroscopic air enema reduction. (4.3a) The intussusceptum can be seen at the hepatic flexure outlined by gas instilled within the colon (arrow). (4.3b) The intussusception is no longer visible within the colon, with reflux of gas into the small bowl indicating reduction of the intussusception. abdominal symptoms should be made (Donnelly et al., 2005). Contraindications to air enema reduction include bowel perforation, haemodynamic instability or signs of peritonism/bowel ischaemia. (a) (b) K22247_C004.indd 142 16/05/15 3:10 AM
  • 165.
    Paediatric imaging 143 BOWELMALROTATION Bowel malrotation is considered a surgical emergency owing to the high risk of bowel ischaemia. The vast majority of patients present in the first few months of life (many in the first week of life); however, the condition may be first diagnosed in older children and even in adults, often with a history of chronic symptomatology. Presenting features include bilious vomiting, abdominal distension, weight loss and irritability. Innormalindividuals,duringdevelopment,thesmall bowel rotates about the mesentery in an anticlockwise direction of 270 degrees. The duodenojejunal (DJ) junction is positioned in the left upper quadrant and the caecum in the right lower quadrant, with a long mesenteric base, which secures the bowel leaving it unlikely to twist. Malrotation is an embryological abnormality whereby the rotation and position of the bowel is altered and results in an abnormal mesenteric attachment, which is often short with an increased likelihood of midgut volvulus. As a result of this developmentalabnormality,thenormalpositionsofthe DJ junction and caecum are altered and it is this feature that is utilised in diagnostic imaging. Radiological investigations An upper GI contrast study should be performed to assess the position of the DJ flexure. A dense contrast medium should be used (e.g. barium) with the patient positioned in both supine and lateral positions. A small bowelfollowthrough/contrastenemacanbeperformed to demonstrate the position of the caecum in equivocal cases. (See Table 4.2.) Plain films An AXR is rarely normal. Classically, there is a paucity ofgasintherightlowerquadrantwithnon-visualisation of the caecum. A meniscus of soft tissue outlined by gas within the colon may also be demonstrated. Depending on the site of the intussusception, small bowel obstruction may be apparent. A normal variant of the position of the sigmoid colon in the right lower quadrant, and the associated presence of gas in this position, may provide false reassurance for those presenting with ileocolic intussusceptions, a potential pitfall. Computed tomography CT is not advised in patients presenting acutely; however, an intussusception may be seen incidentally in patients presenting with non-specific symptoms, particularly adult patients. The appearances on CT are similar to those seen on ultrasound, with telescoping of bowel with alternating layers of bowel and mesenteric fat. The bowel must be assessed in detail, in particular looking for an underlying lesion that may be acting as a lead point. Bowel obstruction may also be seen. Key points • Intussusception is a life-threatening condition due to the risk of bowel ischaemia and perforation, and so prompt diagnosis is necessary. • Multiple forms of imaging are usually used to confirm the presence of intussusception, with an air enema reserved for both diagnosis and treatment. • If an air enema fails to reduce an intussusception after three attempts, the patient should be considered for surgical treatment. Report checklist • Recommend urgent air enema reduction in cases of intussusception – the patient will often require prior fluid resuscitation and stabilisation. Reference Donnelly LF, Jones BV, O’Hara SM et al. (2005) (eds) Diagnostic Imaging: Pediatrics, 1st edn. Friesens, Altona, pp. 74–77. MODALITY PROTOCOL ­Fluoroscopic upper ­gastrointestinal contrast study Standard formulation barium (e.g. Baritop) should be instilled into the stomach either orally or via a nasogastric tube. Contrast should be followed and observed to pass into the duodenum and to the DJ flexure, and the position should be documented. Table 4.2  Bowel malrotation. Imaging ­protocol. K22247_C004.indd 143 16/05/15 3:10 AM
  • 166.
    Chapter 4144 Radiological findings Uppergastrointestinal contrast study An upper GI contrast study is the procedure of choice to diagnose malrotation. On an AP view, the normal position of the DJ flexure is to the left of the spine at the same level or above the duodenal bulb (Figure 4.4). Both criteria must be met in order for a diagnosis of malrotation to be excluded. An abnormally positioned DJ flexure is diagnostic of malrotation (Figure 4.5). As well as an abnormal bowel position, the SMA/SMV axis may be abnormal, although this feature is not specific for malrotation. Gross abnormalities are easy to identify where the duodenum does not cross the midline at all and is located on the right side of the abdomen. However, subtle abnormalities in the DJ junction position may be more difficult to appreciate. In equivocal cases, a small bowel follow through or large bowel enema can be performed to document the position of the caecum. This should normally be in the right lower quadrant; however, in malrotation it is often positioned in the right upper or left upper quadrants. A mid-gut Figure 4.4  AP image from an upper GI contrast study. The normal position of the duodenal- jejunal flexure is shown to the left of the spine at the same level of the duodenal bulb (arrow). Figure 4.5  AP image from an upper GI contrast study in a patient with malrotation. The duodenal-jejunal flexure is positioned to the left of the spine (arrow); however, it is below the level of the duodenal bulb (arrowhead). volvulus present at the time of examination may be shown by a ‘corkscrew’ appearance of the bowel – this occurs due to twisting of the small bowel about the mesentery and mesenteric vessels. IfthepositionoftheDJflexureisnotdocumentedon the first pass of the contrast, opacification of overlying distal bowel loops may obscure the duodenum and make interpretation difficult, which can result in the procedure having to be repeated. In such cases, the patient may have to wait several hours for the contrast to pass through the proximal small bowel loops before a repeat examination can be performed. Administering too much contrast may also have a similar effect, and timing is therefore crucial when performing such studies. The normal DJ flexure is mobile in children, and the normal position may be displaced by adjacent masses or feeding tubes. Ultrasound Ultrasound is usually performed for other pathology such as suspected hypertrophic pyloric stenosis (HPS). However, if this is not demonstrated, other upper K22247_C004.indd 144 16/05/15 3:10 AM
  • 167.
    Paediatric imaging 145 MECONIUMILEUS Meconiumileusisoneofthecommonestcausesofdistal bowel obstruction in the neonate. In normal neonates, meconium is passed within the first 48 hours of birth and when this does not occur, meconium ileus is often suspected clinically. Other signs and symptoms include abdominal distension and bilious vomiting. Meconium ileus occurs because of abnormally thick meconium, which lodges itself in the distal ileum and cannot pass into the large bowel, resulting in bowel obstruction. It is a common presenting feature in cystic fibrosis and, as such, all patients who present with meconium ileus should be considered to have cystic fibrosis unless proven otherwise. In a high proportion of cases the condition may be complicated by bowel perforation or volvulus; these usually require surgical intervention to remove the meconium. In uncomplicated patients, water soluble contrast enemas are performed for diagnosis and treatment. The other conditions to consider for causes of distal bowel obstruction include Hirschsprung’s disease and small bowel atresia. Radiological investigations In all patients, a water soluble contrast enema is the procedure of choice for diagnosis. A reasonably high osmolar agent should be used to encourage fluid to move into the bowel lumen and allow easier passage of the meconium. A catheter should be inserted rectally, but inflation of the balloon is not recommended because of the increased risk of perforation in these patients. (See Table 4.3.) abdominalpathologyshouldbesoughtandmalrotation may be the cause. Ultrasound findings are not specific for malrotation, and may represent normal variation without underlying abnormality. Features include a reversed SMA/SMV relationship (i.e. the SMV is to the left of the SMA rather than to the right) or a swirledappearanceofthemesentery/mesentericvessels indicating a volvulus. Computed tomography Findings are similar to ultrasound, with a reversed SMA/SMV relationship. Mid-gut volvulus may be demonstrated by a swirled appearance of the mesentery and mesenteric vessels. Evidence of bowel ischaemia secondary to volvulus may be seen in advanced cases, features of which include pneumatosis coli, abnormal bowel enhancement following IV contrast and free intraperitoneal gas due to bowel perforation. Plain films A distended, gas-filled stomach and proximal duodenum may be demonstrated by a paucity of gas distally. Patients with volvulus and bowel ischaemia are very unwell, and signs on plain film include free intraperitoneal gas, pneumatosis coli and portal venous gas within the liver. It is important to emphasise, however, that abdominal plain films can be normal and do not exclude the diagnosis. Key points • Malrotation is a surgical emergency and a delay in diagnosis can have life-threatening consequences for the patient. • An abnormally positioned DJ flexure on an upper GI contrast study is diagnostic for malrotation. • Adjuncts to upper GI contrast studies include small bowel follow through or contrast enemas, with less emphasis on the use of ultrasound and CT. Report checklist • Document the position of the DJ flexure. • Presence or absence of signs of bowel ischaemia or perforation. MODALITY PROTOCOL Fluoroscopic lower ­gastrointestinal ­water soluble ­contrast study A catheter should be inserted rectally. A high osmolar water soluble contrast agent (e.g. Omnipaque 300) is then instilled via the catheter to opacify the large bowel and distal ileum. Table 4.3  Meconium ileus. Imaging protocol. K22247_C004.indd 145 16/05/15 3:10 AM
  • 168.
    Chapter 4146 The studycan simultaneously be used to exclude othercausesofdistalbowelobstruction.Hirschsprung’s disease occurs when a segment of aganglionic bowel results in bowel obstruction. On a contrast enema, this is shownas acalibrechangebetweentheganglionicand aganglionic segments. In small bowel atresia, contrast may reflux into the small bowel but may not progress beyond a certain level due to incomplete formation of the bowel. Plain films A plain abdominal film is usually performed by the admitting team; this may show dilated loops of bowel indicating a distal bowel obstruction (Figure 4.7). Typically, there is a ‘bubbly’ appearance to the bowel in the affected loops (usually the right lower quadrant), which represents a mixture of gas and inspissated meconium. Complicated cases involving perforation Radiological findings Lower gastrointestinal contrast study Water soluble contrast is required to reflux into the distal ileum in order to demonstrate the meconium, which will be shown as filling defects within the lumen of the bowel (Figure 4.6). These are typically multiple and often resemble pellets. Care should be taken not to introduce too much gas into the bowel, as gas bubbles may also have a similar appearance. Other findings include the presence of microcolon, which is thought to occur as a result of non-use of the large bowel. In patients where contrast cannot be seen to enter the distal ileum or where meconium does not pass despite multiple enemas, surgical intervention is recommended. In the absence of any abnormality on water soluble contrast enema, other causes of bilious vomiting should be considered, such as small bowel malrotation. Figure 4.6  AP image from a single contrast water soluble enema. The colon is small in calibre (microcolon) as a result of non-use. Multiple filling defects can be seen in the left colon, hepatic flexure, right colon and distal ileum as a result of inspissated meconium within the bowel (arrows). Figure 4.7  AP abdominal radiograph. There are multiple dilated loops of bowel consistent with a distal bowel obstruction. There is no free intraperitoneal free gas or peritoneal calcifications to suggest bowel perforation or meconium peritonitis. K22247_C004.indd 146 16/05/15 3:10 AM
  • 169.
    Paediatric imaging 147 DUODENALATRESIA Abnormalities of the duodenum are among the commonestcausesforproximalsmallbowelobstruction in neonates. There is a spectrum of abnormalities ranging from complete duodenal atresia to duodenal stenosis/webs, as well as extraduodenal abnormalities resulting in obstructions such as haematoma, annular pancreas and SMA syndrome. Each of these has its own underlyingpathologyandsotheinvestigationsrequired to make each diagnosis can vary. Mid-gut volvulus is an important cause for duodenal obstruction (see Bowel malrotation). Duodenal atresia is an important diagnosis that should not be missed, as it requires curative surgical repair. The exact cause of duodenal atresia is not fully understood, but it is thought to be due to a failure of canalisation of the duodenal lumen in utero. It is on a spectrum of conditions ranging from complete atresia with a blind ending lumen to duodenal stenosis with a patent lumen resulting in partial obstruction. The clinical presentation varies depending on the degree of atresia/stenosis, but typical features include feeding intolerance, vomiting and dehydration. The vomiting tends to be bilious, as most atresias are distal to the ampulla of Vater; however, non-bilious vomiting may occur in patients with a proximal atresia. Duodenal atresiaisknowntobeassociatedwithDown’ssyndrome and some VACTERL anomalies. Radiological investigations A plain AXR can usually diagnose duodenal atresia. For duodenal webs/stenosis, an upper GI contrast study using barium is usually performed to demonstrate passage of contrast through the abnormal segment of bowel into the normal distal loops. This can be may demonstrate free intraperitoneal gas or curvi- linear peritoneal calcifications as a result of meconium peritonitis. Soft tissue masses may also form following perforation,whichmaybeduetopseudocystformation; ifthisissuspected,furtherevaluationcanbeundertaken with ultrasound. Key points • Meconium ileus is a common cause of bowel obstruction in the neonate; its presence usually indicates an underlying diagnosis of cystic fibrosis. • A water soluble contrast enema should be performed in all patients, taking care not to inflate a balloon tipped catheter due to the risk or perforation. • Typical findings on water soluble contrast enema include microcolon and meconium filling defects in the distal ileum. • Surgical intervention is indicated in cases of complicated meconium ileus or when meconium cannot be demonstrated on a water soluble contrast enema. Report checklist • Presence or absence of any abnormal filling defects within the terminal ileum and large bowel. • Document relevant negatives to exclude the presence of Hirschsprung’s disease and small bowel atresia. K22247_C004.indd 147 16/05/15 3:10 AM
  • 170.
    Chapter 4148 segment (Figure4.8). Because of the complete obstruction, there is also an absence of bowel gas in the distal bowel loops. These two features are diagnostic of duodenal atresia and no further imaging is necessary to confirm the diagnosis. If the plain abdominal film demonstrates only minimal distension of the stomach and duodenum in addition to distal bowel gas, this appearance may be due to duodenal stenosis/web or small bowel malrotation. In these cases, an upper GI contrast study is indicated. easily performed either by instilling barium into the stomach via an NG tube or administering it orally. (See Table 4.4.) Radiological findings Plain films A plain abdominal film is often all that is required to make the diagnosis of duodenal atresia. The typical finding of a ‘double bubble’ represents the gas-filled stomach and duodenal bulb proximal to the obstructed Figure 4.8  AP radiograph of the abdomen. There is marked gaseous distension of the stomach and proximal duodenum producing a characteristic ‘double bubble’ sign. No gas is seen distally within the bowel. MODALITY PROTOCOL Abdominal plain film imaging AP supine abdominal radiograph to include the diaphragms and iliac crests. ­Fluoroscopic upper ­gastrointestinal contrast study Standard formulation barium (e.g. Baritop) should be instilled into the stomach either orally or via a nasogastric tube. Contrast should be followed and observed to pass into the duodenum and proximal small bowel. Table 4.4  Duodenal atresia. Imaging protocol. K22247_C004.indd 148 16/05/15 3:10 AM
  • 171.
    Paediatric imaging 149 Uppergastrointestinal contrast study If distal bowel gas is seen on the plain film, a contrast study is indicated. In patients with partial duodenal obstruction (e.g. duodenal stenosis or web), contrast outlines a narrowed duodenal lumen in the affected segment, but eventually passes beyond this point into thedistalbowelloops.Bowelmalrotation/volvulusmay also produce symptoms of duodenal obstruction. Key points • Duodenal atresia is an important and common cause of duodenal obstruction and requires corrective surgery. • The condition can be confidently diagnosed on plain film if the relevant radiological features are observed (i.e. ‘double bubble’ appearance and an absence of distal bowel gas). • In cases of partial duodenal obstruction an upper GI contrast study is indicated. Report checklist • Presence or absence of signs of perforation. • Recommend a water soluble upper GI contrast study if bowel gas is seen distally to look for incomplete obstruction/other causes. MODALITY PROTOCOL Ultrasound Medium to high frequency linear probe (e.g. 6–9 MHz). Images should be acquired in both the long and short axis of the pylorus. Table 4.5  Hypertrophic pyloric stenosis. ­Imaging protocol. HYPERTROPHIC PYLORIC STENOSIS Hypertrophic pyloric stenosis (HPS) is a relatively common condition of uncertain aetiology resulting in gastric outlet obstruction. The condition is characterised by hypertrophy of the circular muscle of the pylorus, and predominantly affects children up to 12 weeks of age. It typically presents with projectile, non-bilious vomiting after feeds and secondary hypochloraemic alkalosis. It has a tendency to affect the first-born males within families. Clinically, patients haveapalpableolive-sizedmasswithintheepigastrium, which represents the hypertrophied pylorus. Although the condition may not warrant immediate imaging out of hours, patients with long-standing symptoms may present with considerable weight loss and, as such, a prompt diagnosis is important in order to consider the most appropriate management. Immediate treatment is often aimed at optimising rehydration and correction of electrolyte imbalances prior to definitive surgical treatment. Radiological investigations Ultrasound is the modality of choice to assess the pylorus, with the stomach empty initially. If the stomach is not distended, giving small amounts of fluid to distend the stomach may allow observation of peristaltic waves in the supine or right anterior oblique positions. The pylorus is typically located in the right upper quadrant or epigastrium, but the position is variable depending on the degree of gastric distension. Barium studies may also be of some use in demonstratinganarrowedpyloricchannel,buttheyare not routinely performed. (See Table 4.5.) K22247_C004.indd 149 16/05/15 3:10 AM
  • 172.
    Chapter 4150 Radiological findings Ultrasound Patientsshould be scanned supine and should initially have an empty stomach to avoid overdistension and displacement of the pylorus, which makes imaging more difficult. Small amounts of fluid can be given to allow dynamic scanning of the pylorus to assess gastric emptying and peristalsis. HPS is diagnosed on ultrasound by measuring the length of the pyloric channel, the pyloric diameter and the pyloric wall Figure 4.9  Ultrasonogram of the pylorus in the transverse plane. The thickened pyloric wall is shown as the hypoechoic circular outer wall (arrow), while the mucosal lining is seen as the hyperechoic central structure containing gas casting a posterior shadow. The diameter of the pyloric canal is greater than 8 mm. Figure 4.10  Ultrasonogram of the pylorus in the longitudinal plane. The pyloric wall thickness is greater than 4 mm and the pyloric canal length is greater than 12 mm, signifying hypertrophic pyloric stenosis. thickness (Figures 4.9, 4.10; Table 4.6). In borderline patients (e.g. pyloric thickness 3 mm, channel length 11 mm), the pyloric index (PI) may be a useful tool: PI = T × L × (D − T) × π Patient’s weight (kg) T = pyloric wall thickness (cm); L = pyloric channel length (cm); D = pyloric wall diameter (cm); π = 3.14. K22247_C004.indd 150 16/05/15 3:10 AM
  • 173.
    Paediatric imaging 151 ORBITALAND PERIORBITAL CELLULITIS Orbital and periorbital cellulitis require prompt and accurate diagnosis and treatment. Differentiating between these two conditions is vital, as they often require different management strategies. The distinction between orbital and periorbital cellulitis relates to the anatomical compartments of the orbit. The orbital septum is a thin layer of fibrous tissue that acts as the anterior boundary of the orbit. Infections that lie anterior to this are considered to be periorbital (or pre-septal), while infections deep to this layer are labelled as orbital (or post-septal). It is also useful to make the distinction as to whether the abnormality is intraconal (i.e. within the boundaries of the ocular muscles) or extraconal, since this can narrow down the potential differential diagnosis. Clinically, patients may present with proptosis and ophthalmoplegia in addition to localised or systemic signs of infection. Periorbital infections are usually managed more conservatively with antibiotics, whereas orbital infections may require more intensive treatment or intervention in order to prevent complications such as venous thrombosis or abscess formation.Inextremecircumstances,lossofvisionmay result if left untreated. Note: Not all patients who present with signs of periorbital infection require imaging. Assessment by an ophthalmologist can help determine whether the patient’s symptoms and clinical condition merit further investigation. Radiological investigations CT is the imaging modality of choice, as it provides excellent soft tissue and bony resolution to assess for signs of osteomyelitis and subperiosteal abscess formation. Orbital infections may commonly occur as a result of sinus disease, so it is prudent to image both the orbits and sinuses to try and identify a source of infection. Multiplanar reformats are vital in order to aid identification of subperiosteal infection. (See Table 4.7.) This calculation is based on the parameters listed and can be particularly useful in premature babies. The PI should be less than 0.46; a value greater than this implies underlying pyloric stenosis. Additional features that would suggest underlying HPS include hyperperistalsis of the stomach and reduced or absent gastric emptying on dynamic scanning. Pylorospasm can be incorrectly diagnosed as HPS. In both conditions the pyloric mucosa is often hypertrophied. However, in pylorospasm, the muscle thicknessisusuallynormalandabnormalmeasurements are transient, therefore repeat ultrasound can help to exclude HPS. If no abnormality is seen on initial scanning, other causes of vomiting should be considered (e.g. bowel malrotation with evidence of reversed SMA/SMV axis or duodenal atresia). Key points • HPS is a relatively common condition which, depending on the clinical condition of the patient, may not necessarily require out of hours imaging. • The imaging modality of choice is ultrasound to assess the pyloric wall thickness and pyloric channel length. • The PI is a useful tool in equivocal cases or in premature babies. • If no abnormality is demonstrated on ultrasound, consider other causes of vomiting such as bowel malrotation or duodenal atresia/stenosis. Report checklist • Document the length of the pyloric channel, the pyloric diameter and the pyloric wall thickness. • Document the PI in equivocal cases. • Consider additional causes if the above measurements are normal. NORMAL PYLORIC STENOSIS Pyloric wall thickness 2 mm 4 mm Pyloric diameter 6 mm 8 mm Pyloric channel length 10 mm 12 mm Table 4.6  Typical ultrasound measurements in hypertrophic pyloric stenosis (­accepted values vary between centres). K22247_C004.indd 151 16/05/15 3:10 AM
  • 174.
    Chapter 4152 Radiological findings Computedtomography The findings of periorbital cellulitis on CT imaging includeperiorbitalsofttissueswellingandinflammatory fat stranding, which are both limited to the pre- septal soft tissues (Figure 4.11). Orbital cellulitis may demonstrate similar findings to periorbital cellulitis, but with post-septal involvement. Post-septal involvement may be indicated by an intraconal or MODALITY PROTOCOL CT Helical acquisition from the supraorbital ridge to the base of the maxillary sinuses. 0.625– 1.25 mm slick thickness with sagittal, coronal and bony algorithm reformatted images. Post contrast images (e.g. 50 ml Omnipaque 300) should also be acquired at 90–120 seconds. Table 4.7  Orbital and periorbital cellulitis. Imaging protocol. Figure 4.11  Axial image: unenhanced CT scan of the orbits. There is a pre-septal fluid collection involving the right eye with marked inflammatory changes in the surrounding tissues, but not extending into the orbit. Locules of gas can be seen adjacent to the lateral orbital wall as a result of gas forming infection (arrow). extraconal soft tissue mass (which may or may not demonstratepost-IVcontrastenhancement),stranding of the intraconal fat and thickening of the intraorbital musculature (Figures 4.12a, b). The intraorbital structures and intraconal fat are best visualised on appropriate image window settings (width 400, level 40). Post-contrast images should be reviewed in order to identify any enhancing subperiosteal collections that may require surgical drainage (Figures 4.13a, b). Figures 4.12a, b  Coronal images: IV contrast enhanced CT scans of the orbits in the delayed phase. A right subperiosteal collection is seen overlying the right zygoma, with extension into the lateral orbit abutting the lateral rectus muscle. Ill-defined inflammatory changes can be seen in the intraconal fat (arrow). (a) ( b) K22247_C004.indd 152 16/05/15 3:10 AM
  • 175.
    Paediatric imaging 153 Theorbit should be inspected in all three planes using multiplanar reformats; subperiosteal collections are often best visualised in the coronal plane. Review of images on bone window settings (width 3,000, level 650) is paramount, as sinus disease can be a common underlying cause. Sinusitis manifests as opacification of the paranasal air spaces with mucosal thickening. There may be associated bony destruction causing a communication between the sinus and the orbit. Key points • It is important to distinguish simple periorbital cellulitis from orbital cellulitis, as true orbital involvement may necessitate surgical intervention. • CT scans should be reviewed in axial, coronal and sagittal planes to scrutinise for any post-septal involvement. • Review of images on bone window settings is vital to look for signs of underlying sinus disease. Report checklist • Presence or absence of intraorbital involvement or subperiosteal abscess. • In cases of subperiosteal abscess, assess the degree of proptosis. • Consider an underlying cause, such as sinus disease. Inspect for bony destruction. • In cases of orbital involvement, recommend urgent ophthalmology review. Figures 4.13a, b  Axial and coronal images: IV contrast enhanced CT scans of the orbits in the delayed phase. There is an enhancing subperiosteal collection within the right orbit, causing significant proptosis (arrow). Note the associated sinus disease in the right maxillary antrum and ethmoid air cells (arrowhead). (b) (a) K22247_C004.indd 153 16/05/15 3:10 AM
  • 176.
    Chapter 4154 In patientswhere there is suspicion of intracranial abnormality, post-contrast imaging of the brain is indicated to look for signs of abscess or venous sinus thrombosis. (See Table 4.8.) Radiological findings Computed tomography In normal individuals, the middle ear cleft should be aerated with no fluid visible around the ossicles (Figure 4.14). In cases of AOM, fluid may accumulate within the middle ear and mastoid air cells. This is shownasfluiddensitymaterialsurroundingtheossicles (Figure 4.15). This appearance may be seen in patients with uncomplicated AOM with no further radiological abnormalities. In cases where there is involvement of the mastoid air cells, these are opacified rather than being air filled. In new born patients, the mastoid air cells are not pneumatised; this process usually occurs over the first 1–2 years of life. Therefore, in these patients it is important to look for asymmetry in the appearance of the mastoids, which might indicate signs of unilateral infection. Coalescent mastoiditis may be seen as destruction of the bony septations within the mastoid resulting in coalescence of the air cells into large fluid- filled pockets. In chronic cases, the bone may also become sclerotic. Inflammatory changes may be seen in the soft tissues overlying the mastoid. In complicated cases, there may be extension of the infection resulting in subperiosteal abscess (Figure 4.16). This can be ACUTE OTITIS MEDIA Middle ear infection is a common condition, often encountered in the paediatric population. Most children have at least one episode of acute otitis media (AOM), usually before the age of 12 months (Lissauer et al., 2012). Patients typically present with otalgia and fever, and clinical examination of the tympanic membrane is sufficient to make the diagnosis. In the majority of cases, this is a self-limiting condition that can be managed conservatively with pain relief and antibiotics when symptoms persist. In chronic cases, AOM can lead to fluid accumulation within the middle ear (glue ear). This may lead to hearing loss and speech and language developmental delay. In the acute setting, the major complications of AOM include meningitis or mastoiditis, which may lead to epidural abscess and venous sinus thrombosis. These entities can result in significant morbidity and mortality if not diagnosed and treated. Epidural abscess and venous sinus thrombosis are discussed separately elsewhere (see Chapter 3: Neurology and non-traumatic spinal imaging, Intracranial abscess and subdural empyema and Cerebral venous sinus thrombosis). Meningitis is a neurological emergency requiring rapid diagnosis and treatment. In general, diagnosis is made on history and clinical examination in conjunction with CSF cultures. There is an occasional role for imaging in cases where there is a suspicion of intracranial abscess. Mastoiditis occurs when infection in the middle ear spreads into the adjacent mastoid air cells. This often presents as erythema, swelling and pain over the mastoid/post-auricular region. In cases of complicated AOM, involvement of the ENT/ neurosurgical teams is advised. Radiological investigations Uncomplicated AOM does not require imaging; however, patients suspected of developing intracranial complications associated with AOM do warrant imaging for further assessment in order to characterise the extent of disease. CT is the imaging modality of choice as it allows clear delineation of the bony architecture of the middle ear and skull to help identify areas of disease. A limited unenhanced CT of the temporal bones should be performed initially. MODALITY PROTOCOL CT Unenhanced. Scan from level of orbital floor to foramen magnum. Thin slice (e.g. 0.625 mm) high-resolution bony algorithm reconstructions required in the axial and coronal planes. Post IV contrast: 2 ml/kg via 20G cannula, 3 ml/sec. Scan at 120 seconds after start of injection. Scan from level of foramen magnum to vertex. Table 4.8  Acute otitis media. Imaging ­protocol. K22247_C004.indd 154 16/05/15 3:10 AM
  • 177.
    Paediatric imaging 155 Figure4.16  Axial image: post IV contrast CT scan of the brain. There is a thick-walled, enhancing collection overlying the right temporal bone consistent with an abscess as a result of underlying mastoiditis. Figure 4.15  Axial image: unenhanced CT scan of the brain. The right middle ear cleft and mastoid air cells are opacified with fluid due to infection. There is also coalescence of the right mastoid air cells (arrow). Figure 4.14  Axial image: unenhanced CT scan of the brain. The middle ear clefts and mastoid air cells are pneumatised with no fluid opacification evident. seen as a thick-walled, enhancing collection adjacent to the mastoid, and is important to identify as surgical drainage may be required. Key points • AOM is a common childhood infection that can usually be managed conservatively for the majority of patients. • Patients whose symptoms persist despite treatment or who develop signs of complications may require cross-sectional imaging. Report checklist • Evidence or otherwise of bony erosion. • Presence or absence of mastoid air cell opacification and coalescence. • Presence or absence of intracerebral infection/ abscess and venous sinus thrombosis. Reference Lissauer T, Clayden G (2012) Illustrated Textbook of Paediatrics,4thedn.MosbyElsevier,London,p. 278. K22247_C004.indd 155 16/05/15 3:10 AM
  • 178.
    Chapter 4156 Radiological investigations Inthe emergency setting, IV contrast enhanced CT is the imaging modality of choice. CT readily delineates the deep neck anatomy, allowing identification of potential abscesses and their relation to adjacent structures. CT can also differentiate focal abscesses from cellulitis and lymphadenopathy, which are potential differential diagnoses. CT also plays a role in identifying the cause of a potential abscess, such as tonsillitis or dental infections. Note, however, that CT has a not insignificant false-negative and false-positive rate and therefore, even in cases of a normal CT, surgical exploration may be required if there is a strong clinical suspicion (Craig Schunk, 2003). Note also thatemergencyimagingshouldnotbedelayeduntilthe patient develops more significant signs such as airway compromise, as by this time it may be too late. Traditionally, lateral cervical X-rays have been utilised in the investigation of retropharyngeal abscess. These may show soft tissue swelling posterior to the pharynx (i.e. widening of the pre-vertebral soft tissues). This is non-specific and can also be seen in discitis, paravertebral collections and trauma. A normal X-ray does not exclude the diagnosis and, even if abnormal, further imaging with CT is often indicated to delineate the precise anatomy. (See Table 4.9.) PARAPHARYNGEAL AND RETROPHARYNGEAL ABSCESS Focal infections of the deep neck are a medical and surgical emergency, requiring prompt diagnosis and treatment. Parapharyngeal and retropharyngeal abscesses usually arise secondary to oropharyngeal or dental infections such as acute tonsillitis (or post tonsillectomy), dental infection, petrositis and Bezold’s abscess. Whilst both parapharyngeal and retropharyngeal abscesses can occur at any age, they are more common in the paediatric population (Craig Schunk, 2003). The presentation of parapharyngeal and retropharyngeal abscesses varies significantly. Initially, symptoms and signs can mimic an upper respiratory tract infection (which may precede a focal abscess); they include sore throat, fever and cervical lymphadenopathy. In younger children, symptoms and signs may be more non-specific, such as irritability and poorfeeding.Inflammatorymarkersareoftenelevated, but may also be normal. A key indicator is a rapid progression of symptoms and signs suggesting upper airway obstruction, including dysphagia, neck stiffness, stridor, dyspnoea and drooling. If untreated, parapharyngeal and retropharyngeal abscesses can be rapidly fatal. Complications include laryngeal oedema, which can lead to airway obstruction, mediastinitis, jugular venous thrombosis and osteomyelitis. Urgent imaging is often necessary to delineate the location of the abscess and additional complications. Small abscesses are sometimes treated with IV antibiotics in isolation; however, surgical drainage may often be required in addition to this. MODALITY PROTOCOL CT 100 ml IV contrast via 18G cannula, 2 ml/ sec. Scan at 50 seconds after initiation of injection. Scan from thoracic inlet to skull base level. Table 4.9  Parapharyngeal and retropharyngeal abscess. Imaging protocol. K22247_C004.indd 156 16/05/15 3:10 AM
  • 179.
    Paediatric imaging 157 location,since it connects the deep cervical spaces to the mediastinum. The prevertebral space is located posterior to the danger space and anterior to the longus colli muscles. An abscess typically appears as a focal area of fluid attenuation (0–20 Hu) with associated uniform rim enhancement post IV contrast. It is important to localise any potential abscess to its anatomical compartment. Abscesses in the retropharyngeal space usually displace the triangular parapharyngeal fat anterolaterallyandthepharynxanteriorly.Inaddition, retropharyngeal abscesses displace the longus colli muscles posteriorly (in contradistinction to pathology in the perivertebral space, which displaces these muscles anteriorly). In normal individuals, the ‘danger’ space cannot be reliably distinguished from the retropharyngeal space. Conversely, an abscess in the parapharyngeal space usually displaces the Radiological findings Computed tomography Knowledge of the normal anatomy of the neck is vital when interpreting CT imaging. The neck can be broadlydividedintosevendeepspaces:parapharyngeal, pharyngeal mucosal, retropharyngeal, parotid, carotid, masticator and perivertebral (Table 4.10). The parapharyngeal space is a pyramidal fatty-filled space withitsbaseattheskullbaseandapexatthehyoidbone. On cross-sectional imaging, it has a triangular shape. The retropharyngeal space is a potentially mostly fatty- filled space in the midline of the neck. It extends from the skull base to approximately the level of tracheal bifurcation, posterior to the pharynx and oesophagus. On cross-sectional imaging, it demonstrates a broadly rectangular shape. It is separated from the more posteriorly situated ‘virtual’ danger space by the alar fascia. The danger space is an important anatomical NECK SPACE BOUNDARIES RELATIONS CONTENTS Parapharyngeal Superior: skull base. Inferior: hyoid bone. Medial: middle layer of deep ­cervical facia. Lateral: fascia associated with the deep lobe of parotid gland. Anterior: fascia covering the medial pterygoid. Posterior aspect: pre-vertical fascia. Anterior: medial pterygoid. Posterior: pre-vertebral space. Lateral: masticator space. Medial: pharyngeal mucosal space. Fat; trigeminal nerve; internal maxillary artery; ascending ­pharyngeal artery; pterygoid venous plexus. Retropharyngeal Superior: clivus. Inferior: point of alar and middle layer of deep cervical fascia fusion (usually T4 level). Lateral: deep layer of deep cervical fascia. Anterior: middle layer of deep cervical fascia. Posterior: alar fascia. Anterior: pharyngeal mucosal space. Posterior: danger space. Posterolateral: carotid space. Anterolateral: parapharyngeal space. Fat; lateral and medial ­retropharyngeal lymph nodes. Table 4.10  Anatomy of the parapharyngeal and retropharyngeal spaces. K22247_C004.indd 157 16/05/15 3:10 AM
  • 180.
    Chapter 4158 significantly compressthe pharynx, leading to respiratory compromise. It is important to appreciate that infection may spread to different compartments within the neck (Figures 4.17a–d). carotid space and sheath laterally. Abscesses may cause significant compression and displacement of adjacent structures; this should be commented upon. For example, a retropharyngeal abscess may Figure 4.17a–d  Axial images: IV contrast enhanced CT scans of the neck in the arterial phase. Multiple images demonstrating ring enhancing collections/abscesses in the parapharyngeal region in the neck (arrows). Note the varying degrees of airway compromise secondary to mass effect. (a) (b) (c) (d) K22247_C004.indd 158 16/05/15 3:10 AM
  • 181.
    Paediatric imaging 159 demonstratelinear enhancing densities within. If imaged, the mandible may demonstrate periodontal lucenciesorbonedestruction,suggestiveofperiodontal abscess formation. Key points • Parapharyngeal or retropharyngeal abscesses are common in the paediatric population, usually occurring secondary to oral pharyngeal or periodontal infection. • In the emergency setting, CT is the imaging modality of choice. • Knowledge of the deep neck anatomy is vital in aiding interpretation of CT imaging. Report checklist • Anatomical location and size of any abscess. • Document the relationship with adjacent structures. • Degree of mass effect and airway compromise. Reference Craig FW, Schunk JE (2003) Retropharyngeal abscess in children: clinical presentation, utility of imaging, andcurrentmanagement.Pediatrics111:1394–1398. Distinguishing tumours from abscesses in the deep compartments of the neck can be difficult. Higher attenuation and more solid components of the abnormality are more suggestive of tumour; however, tumours may become significantly necrotic with a more cystic appearance, mimicking abscesses. While pharyngeal tumours may also invade the parapharyngeal or retropharyngeal spaces, they are expected to centre on the pharyngeal mucosal space (as opposed to the parapharyngeal or retropharyngeal spaces). Parapharyngeal or retropharyngeal cellulitis typically appears as low attenuation soft tissue swelling; however, it lacks the focal cystic collection and rim enhancement of an abscess. In the presence of infection within the neck, the jugular veins should be scrutinised for filling defects, which suggest thrombosis. Cervical lymphadenopathy is often seen secondary to abscesses. In the case of a retropharyngeal abscess involving the danger space, mediastinitiscanalsooccur,manifestingasfatstranding or focal collections within the mediastinum; this carries a significant mortality. The cause of any potential abscess should be considered. Tonsillitis may appear as unilateral or bilateral enlargement of the tonsils, which can also K22247_C004.indd 159 16/05/15 3:10 AM
  • 182.
  • 183.
    161 Chapter 5 TRAUMA IMAGING INTRODUCTIONTO IMAGING IN MAJOR TRAUMA Imaging of severely injured patients within the context of major trauma can present many challenges. The spectrum of injury may be incredibly varied, involving multiple body systems and sometimes with limited clinical information. Injuries may result from innumerable circumstances ranging from gunshot wounds and work place injuries, to blunt injuries from road traffic collisions and falls from height. As a result, the imaging findings may be complex and a clear understanding of the mechanism of injury can be invaluable in predicting patterns of injury and identifying which areas to scrutinise in detail. In the UK, major trauma patients are cared for in dedicated major trauma centres (MTCs). These are designated hospitals that are equipped with the relevant clinical expertise and resources to deal with these often complex patients. The initial imaging of trauma patients usually occurs within these specialised centres; however, a small number may present to other hospitals; it is vital that in these cases patients are managed quickly and safely. Several different trauma scoring systems are available, but the most frequently used is the Injury Severity Score (ISS) (Baker et al., 1974). This scores injuries from 1 to 75, the latter being the most serious. Patients who have an ISS 15 are defined as having suffered from a major trauma. Patients with an ISS of 9–15 are defined as having suffered a moderately severe trauma. Patients with an ISS 15 should be managed in an MTC. However, it is not possible to determine the ISS at the time of injury because this requires a full diagnostic assessment. For this reason, patients with potential major trauma injuries (decision made by mechanism of injury and at-site assessment) will be taken directly to an MTC if travel time allows or else to the nearest trauma unit for stabilisation and then subsequent transfer to an MTC. Incorrectly triaged or self-presentingpatientsmaypresenttoanytraumaunit. MTCs have all the services required to receive and manage seriously injured patients. Elements of the requirement of an MTC include: • Emergency care: • Consultant on site to lead the trauma team 24 hours a day. • Appropriately trained trauma team. • Ability to perform a resuscitative thoracotomy in the emergency department. • Massive haemorrhage protocol in place for patients with acute blood loss. • Immediate availability of fully staffed operating theatre 24 hours a day. • All emergency operative procedures should have evidence of consultant involvement. • Consultants in all emergency specialities (e.g. surgery, interventional radiology, anaesthesia) should be available on site within 30 minutes. • Radiology: • Immediate access to CT (within 60 minutes) with reporting within 60 minutes of performing the scan. • Availability of interventional radiologist within 60 minutes of referral. • Ongoing care: • Immediate access to critical care or high- dependency unit. The decision to perform imaging should be made in conjunction with the lead trauma physician. Local protocols are usually in place to help determine which K22247_C005.indd 161 16/05/15 3:11 AM
  • 184.
    Chapter 5162 method ofimaging. In paediatric patients, there is a greater need to consider the effect of ionising radiation and its long-term effects. In these patients, a bedside ultrasoundmaybehelpfulasaninitialtriagetoolbefore proceeding to CT. The Royal College of Radiologists in the UK has published guidelines advocating the use of CT rather than ultrasound in major trauma patients (Royal College of Radiologists, 2014). Many major trauma patients are unable to provide an accurate medical history and a clinical decision may need to be made in the best interest of the patient given the potential for significant internal injury. Departmental guidelines should be consulted where appropriate. Where there is a significant mechanism of injury, IV contrast is used to accurately assess the solid organ parenchyma and vasculature and to identify sources of active haemorrhage. A compromise may be made by administering contrast agents with a lower incidence of contrast-induced nephropathy. The exact CT protocol often depends on local guidelines; however, most centres advocate both an arterial and portal venous phase. The arterial phase facilitates identification of active arterial haemorrhage, which may require immediate surgical treatment. The portal venousphaseisessentialtoallowaccurateassessmentof thesolidabdominalorgans.Acquisitionoftheseimages may be either as separate phases or as a combined dual phase single acquisition, depending on local departmental guidelines. Patient positioning on the CT table should be optimised to produce diagnostic quality images. Monitoring leads should be moved to the periphery where possible. Scanning the head and neck with the arms down helps to acquire images with reduced artefact. Similarly, scanning the body with the arms up reduces beam hardening artefacts through the abdomen and pelvis that may mimic injuries. In all types of injury, the CT scout images should be reviewed routinely. These often image areas outside of the imaged region of the main CT scan, and can provide valuable information regarding peripheral injuries such as long bone fractures, which may not otherwisebeincludedontheCT.Itmayalsoallowearly identification of pathology, which can be relayed to the referring team (e.g. presence of haemo/pneumothorax, free intra-abdominal gas). patients warrant imaging; these protocols should be used as guidelines, with each case assessed on an individual basis. The clinical history/mechanism of injury and clinical findings on the primary survey of the patient should be considered. In severely haemodynamically unstable patients, it may be appropriate to proceed to surgery without imaging. Imaging should be performed in a timely fashion to provide an accurate assessment of the patient, facilitating the most appropriate management. In general, the primary aim of imaging is to evaluate known injuries that are apparent clinically, as well as identify those injuries that are not apparent on clinical examination and which may have a bearing on the clinical course of the patient. The Royal College of Radiologists in the UK provides several standards for Trauma Radiology in Severely Injured Patients (see Appendix 2). A whole body polytrauma CT is indicated when: • There is haemodynamic instability. • FAST (if used) has demonstrated intra-abdominal fluid. • If plain films suggest significant injury, such as pneumothorax/pelvic injuries. • Obvious severe injury on clinical assessment. • The mechanism of injury or presentation suggests that there may be occult severe injuries that cannot be excluded by clinical assessment or plain films. For example: • Ejection from vehicle. • Entrapment in vehicle for 30 minutes. • Fatality at scene. • Injury to more than one body region. • Fall from 10 feet (3 metres). • Gunshot wound. • High speed rollover. • Pedestrian versus car travelling at 30 mph. • Fall downstairs (5 steps) and age 65 years. Once the decision has been made to perform imaging, the correct modality must then be selected. In adult patients with a high suspicion of injury, CT is the initial imaging modality of choice. Other modalities such as ultrasound, MRI and plain film imaging may be used as an adjunct; however, the ease of access and relatively short scan times for CT make it a practical first-line K22247_C005.indd 162 16/05/15 3:11 AM
  • 185.
    Trauma imaging 163 Activehaemorrhage Administering IV contrast and timing the scans appropriately can help identify sources of active haemorrhage, which may require urgent intervention. Active bleeding often manifests as a ‘contrast blush’ on the arterial phase. Demonstrating contrast extravasation during the arterial phase of imaging suggests active, arterial haemorrhage. Imaging the same region during the delayed phase can be useful, as it can also demonstrate pooling of contrast within the affected region, which may provide a subjective measure of the rate of blood loss (Figures 5.1a, b). It is very important with penetrating injuries to know: • What is the instrument of injury – knife/bullet/ other? • How many penetrating injuries have occurred? One should always be able to identify the entry wound and it is necessary to have an understanding of the trajectory of the wound and how deep the injury is likely to extend. This is particularly important since It is useful to do an initial immediate assessment of the images as the scan is being performed. This allows for a ‘primary assessment’ to identify any immediate life-threateningconditions(e.g.tensionpneumothorax, incorrectly sited ET tube, active haemorrhage/splenic rupture). Most departments will have a proforma for a rapid initial radiological assessment. An example is included in Appendix 3. Penetrating injury Penetrating injuries include stabbings and gunshot wounds, but they may also be sustained in conjunction with blunt injuries depending on the mechanism of injury. In general, penetrating injuries tend to be more localised with regards to the body parts involved; however, depending on the instrument, severe internal injuries can be sustained. It is normally prudent to imagesegmentsofthebodyaboveandbelowtheregion where the penetration occurred, since the internal tract of the injury may be difficult to predict from the external injury (e.g. imaging a stab injury to the thorax may include the neck and abdomen). Figures 5.1a, b  Axial images: IV contrast enhanced CT scans of the pelvis in the arterial and delayed phases. There is active arterial contrast extravasation into subcutaneous haematoma overlying the right anterior pelvis (5.1a, arrow). On the delayed image (5.1b), the extravasated contrast has dispersed into the haematoma (arrow). (a) (b) K22247_C005.indd 163 16/05/15 3:11 AM
  • 186.
    Chapter 5164 patients may be unconscious and therefore unableto give the information themselves. This information therefore should be made available by the emergency clinician who has completed a thorough primary and secondarysurvey.Astabbingcaseisshown(Figures 5.2, 5.3a, b). This patient was stabbed with a kitchen knife a single time. The posterior chest wound can be seen on the left, but as well as this there is a high attenuation right-sided pleural effusion (Figure 5.2). On close examination there are tiny avulsed fragments of bone from the lateral aspect of the right vertebral body and rib head at this level, and on the arterial phase scans (Figures 5.3a, b) there is visible active contrast extravasation from an intercostal artery, which explains the right haemothorax. The trajectory of the knife can therefore be identified and it would suggest that the knife would have had to traverse the spinal canal. Figure 5.2  Axial image: unenhanced CT chest scan. There is a large laceration to the left posterior chest wall (arrow) with bilateral pleural effusions. Figures 5.3a, b  Axial images: IV contrast enhanced CT chest scans in the arterial phase. This is on soft tissue windows. Two tiny fragments of bone are seen at the level of the right rib head. There is high attenuation material layered in the right pleural effusion consistent with active contrast extravasation (arrows). When re-windowed (5.3b) it is possible to see the extravasation of contrast from a right intercostal vessel. The trajectory of the knife can be calculated from the injuries – the path crosses through the spinal canal. (a) (b) K22247_C005.indd 164 16/05/15 3:11 AM
  • 187.
    Trauma imaging 165 trajectoryofthewound.Aleftrectussheathhaematoma froma stab wound is shown (Figures 5.5a, b). The direction of the stab wound is easily visible on the sagittal reformat. The patient was unconscious and unable to give any clinical information. On MRI, the appearance of the thoracic spine with focal high signal within the cord is consistent with a cord injury (Figures 5.4a, b). Sagittal and coronal reformat assessment is essential in cases of penetrating trauma to correctly identify the Figure 5.4a, b  Sagittal and axial T2 weighted MR images of the thoracic spine. There is high signal seen within the centre of the thoracic spinal cord consistent with cord transection (5.4a, arrow). (a) (b) Figure 5.5a, b  Axial and sagittal images: unenhanced CT scans of the abdomen and pelvis. There is a left rectus sheath haematoma with the trajectory of the knife easily identifiable on the reformatted image. (a) (b) K22247_C005.indd 165 16/05/15 3:11 AM
  • 188.
    Chapter 5166 Blunt injury Bluntinjury may occur through a variety of situations, which include, but are not limited to: • Road traffic collisions – pedestrians and drivers, restrained and unrestrained. • Fall from height/stairs. • Blast injuries. In general, these types of injuries have the potential to involve multiple body regions; as such, there should be a low threshold to image several regions to identify occult injuries. Sagittal and coronal reformat assessment is also essentialinallcasesofblunttraumainordertocorrectly identify bony injuries. Fractures are much easier to see on sagittal and coronal reformatted images than on the axial images, particularly in the spine. A depressed skull fracture at the skull vault, which could be missed without reformats, is shown (Figures 5.6, 5.7). 3-D reformats can be useful here (Figures 5.8a, b). Individual protocols and techniques are discussed in the following sections. However, it is important to reiterate that each case should be protocolled and Figure 5.6  Axial image: unenhanced CT brain scan on bone windows. There is a depressed left parietal vault fracture. Figure 5.7  Coronal image: unenhanced CT brain scan on bone windows. There is a depressed left parietal vault fracture, which is more clearly visible than in Figure 5.6. scanned individually and adjusted to the needs of the patient and the suspected injuries sustained. Referral to departmental guidelines, when available, should be the first form of reference for the on-call radiologist. In general, it is advised that paediatric traumas should be discussed with the consultant radiologist on call for advice regarding scan protocols. Key points • All trauma scans need to be assessed with sagittal and coronal reformatted images. • Knowledge about the mechanism of injury as well as the site and number of penetrating injuries is required. Reference Baker SP, O’Neill B, Haddon W Jr et al. (1974) The Injury Severity Score: a method for describing patients with multiple injuries and evaluating emergency care. J Trauma 14:187–196. RoyalCollegeofRadiologists(2014)Paediatric Trauma Protocols. Royal College of Radiologists, London. K22247_C005.indd 166 16/05/15 3:11 AM
  • 189.
    Trauma imaging 167 MAJORTRAUMA: THORAX Thoracic trauma can result in severe, life-threatening injuries that need rapid diagnosis and treatment. The myriad of pathology can be variable, resulting in problems with both respiratory and cardiovascular function and leading to a rapid deterioration in the patient’s condition. Mortality rates have been reported in the region of 10–15% as a result of thoracic trauma, which is second only to head injuries in the context of major trauma patients (Shorr et al., 1987; Kaewlai et al., 2008). The mechanism of injury, clinical parameters and examination findings all provide important information to the radiologist and can often be used to predictpatternsofinjuryandtheunderlyingpathology. Radiological investigations In most dedicated trauma centres, patients with significant chest trauma should ideally be assessed with contrast enhanced CT. Not only does this allow a rapid diagnosis of any acute pathology that may be present, it also assists in ascertaining the adequacy of placement of support lines and tubes. Contrast enhanced CT gives an accurate depiction of the aorta to assess for any acute aortic injury, which may potentially be life MODALITY PROTOCOL CT Arterial phase: 100 ml IV contrast via 18G cannula, 4 ml/sec. Bolus track centred on the aortic arch. Scan from the thoracic inlet to the inferior border of liver. Slice thickness of 0.625–1.25 mm to allow accurate multiplanar reformats of the images. Table 5.1  Major trauma: thorax. Imaging ­protocol. Figures 5.8a, b  Reformatted 3-D images of the vault fracture (arrows) shown in Figures 5.6 and 5.7. (a) (b) threatening. It can also highlight any acute arterial haemorrhage, which may necessitate urgent surgical or interventional input. Chest plain film imaging may be performed in some centres where CT is not readily available or prior to transferring a patient to a dedicated trauma unit. Although gross pathology may be seen on chest plain film imaging, significant pathologies may be missed. Images are inevitably acquired in an AP supine position, which may obscure important pathologies such as pneumothorax and haemothorax in addition to great vessel injuries. (See Table 5.1.) K22247_C005.indd 167 16/05/15 3:11 AM
  • 190.
    Chapter 5168 Haematoma withinthe mediastinum is most often the result of venous bleeding; however, when present thisshouldalwayspromptthesuspicionofaorticinjury. Decelerationinjuriescanalsoresultinbluntinjuryofthe mediastinumagainsttheposteriorsternum,resultingin stranding or haziness of the mediastinal fat (Figure 5.9) or focal haematoma. On CT, mediastinal haematoma appears as dense soft tissue material. Knowledge of the normal morphology of the thymus gland, which is present in children (and some young adults), is vital since this can be falsely interpreted as haematoma. Pneumomediastinum is not uncommon and is best appreciated on lung window settings. Causes include alveolar rupture, extension from pneumothoraces or surgical emphysema, tracheobronchial injury and penetrating trauma. Oesophageal rupture is another important cause, and can be the result of penetrating trauma. Cardiac injury Cardiac injuries can be fatal and should be identified and acted upon as a matter of urgency. CT may demonstrate haemopericardium, although this can also be seen in cases of dissection and myocardial infarction (Figure 5.10). As with a pleural effusion, increased Radiological findings Specific pathologies are discussed separately. In general, as with any polytrauma imaging, an initial survey of CT imaging should be performed in order to quickly identify life-threatening injuries. In the thorax, this includes traumatic aortic injury, tension pneumothoraces and haemopericardium with cardiac tamponade. Once these injuries have been excluded, a more detailed imaging survey can be carried out. In all cases, chest CT imaging should always be inspected on lung window (width 1,600, level 550), soft tissue/ mediastinal window (width 450, level 70) and bone window (width 2,000, level 250) settings in order to appreciate the full spectrum of injury. Mediastinal injury Injurytothemediastinalcontentscanhavecatastrophic consequences, particularly when the aorta and great vessels are involved. It is advisable to assess for major mediastinal vascular injury initially, since injuries to the thoracic aorta can be immediately life threatening. The spectrum of traumatic aortic injury also includes aortic dissection, which should be inspected for (see Chapter 1: Acute aortic syndrome and Thoracic aortic injury). Figure 5.9  Axial image: IV contrast enhanced CT scan of the thorax in the arterial phase. Ill-defined, hazy linear densities can be seen in the medastinal fat anterior to the aortic arch as a result of mediastinal contusional injury (arrow). No active haemorrhage is seen. Figure 5.10  Axial image: IV contrast enhanced CT scan of the thorax in the arterial phase. There is large volume, homogenous fluid within the pericardium surrounding the heart, which in the context of trauma is likely to represent haemopericardium. K22247_C005.indd 168 16/05/15 3:11 AM
  • 191.
    Trauma imaging 169 duringrespiration. In a pneumothorax, gas within the pleural space causes the lung to separate from the chest wall and collapse. This in itself may reduce respiratory capacity and compromise function. Gas may collect within the pleural space by several means. The most common cause is air leakage from traumatic alveolar rupture. Other causes include blunt and penetrating chest wall injury. On CT, a pneumothorax is seen as a collection of gas surrounding the lung within the pleural space (Figure 5.11). Other features include an absence of vascular lung markings that reach the chest wall and a well-defined lung edge seen within the thorax away from the chest wall. Findings on chest plain film imaging are similar, with a lung edge visible and an absence of vascular markings at the lung periphery in an erect/semi-erect patient (Figure 5.12). In supine patients, however, findings may be more subtle. In this density of pericardial fluid suggests haemorrhage, and the Hu of any pericardial fluid should always be sampled.Thenormalpericardiumshouldbepencilthin and not contain any significant volume of fluid, with a normal fat plane seen between the cardiac chambers and the pericardium. Simple pericardial effusions are not uncommon, and can be seen in pre-existing heart disease. Large pericardial effusions can result in cardiac tamponade, whereby the excess fluid around the heart impairs cardiac function, resulting in impaired venous return to the heart. Pneumothorax A pneumothorax is the result of gas collecting within the pleural space. In normal individuals, the pleural space is a potential space between the visceral and parietal pleura. It normally contains a small volume of fluid to lubricate the pleura and allow movement Figure 5.11  Axial image: IV contrast enhanced CT scan of the thorax in the arterial phase. Viewed on lung window settings, gas is illustrated as areas of low attenuation. There are bilateral pneumothoraces. In addition, there is marked pneumomediastinum and surgical emphysema, which can be seen tracking within and around the muscles of the chest wall. Figure 5.12  AP portable chest radiograph. A large right pneumothorax is demonstrated, with no vascular markings visible. The collapsed right lung is seen as a soft tissue mass adjacent to the right heart. There is no mediastinal shift to suggest tension. K22247_C005.indd 169 16/05/15 3:11 AM
  • 192.
    Chapter 5170 defect inthe pleura (e.g. broken rib) and through the fascial planes into the subcutaneous tissues. It may also occurasaresultofdirectpenetratinginjurytothechest, resultinginatractbetweenthesubcutaneoustissuesand the outside. On imaging, this is seen as gas overlying the chest within the subcutaneous tissues. This is often a fairly self-limiting condition with treatment aimed at the underlying pneumothorax. However, it may occasionally progress and become extensive resulting in airway compromise. Haemothorax Haemothorax is defined as the presence of blood within the pleural space. The underlying cause may be any cause of haemorrhage within the thorax, such as pleural injury, rib fracture or lung injury. On CT imaging, haemothoraces appear as fluid within the pleural spaces, which is usually denser than simple pleural effusions (Figure 5.14). It should be noted position, gas collects in the most dependent position (anteroinferiorly against the diaphragm), appearing as a deep sulcus sign (Figure 5.13). The main complication of a pneumothorax is the development of a tension pneumothorax. This occurs when gas is able to collect within the pleural space but is not able to escape. This results in a large volume of gas within the pleural space, which exerts considerable masseffect,resulting in shifting of mediastinalcontents to the contralateral side. The mass effect of this raises the pressure within the thorax and compromises venous return to the heart, leading to cardiac failure. A tension pneumothorax ideally should not be seen on imaging as it is a clinical diagnosis requiring immediate intervention.However,ifitisseenonimaging,itshould be immediately decompressed. Pneumothoraces in the context of chest trauma may also result in subcutaneous emphysema. This occurs when gas within the pleural space tracks through a Figure 5.14  Axial image: IV contrast enhanced CT scan of the thorax in the arterial phase. Dependent fluid can be seen in the right pleural space. A right pneumothorax is also seen, and this is therefore a pneumohaemothorax. Figure 5.13  AP chest radiograph. There is a left pneumothorax. In the supine position, gas within the pleural space collects within the most superior part of the thorax, which is the costophrenic recess antero- inferiorly (arrow). K22247_C005.indd 170 16/05/15 3:11 AM
  • 193.
    Trauma imaging 171 painfulfor the patient, and so can result in splinted breathing and inadequate ventilation, which can lead to atelectasis and infection. They are therefore important to identify in order to prevent complications. A flail segment is defined as two or more contiguous ribs that are fractured in at least two places. The result is a separated segment of the chest wall, which moves independently and paradoxically to the rest of the thoraciccage(Figures5.15,5.16)duringinspirationand expiration. Flail segments may be difficult to manage due to inadequate respiration and pain, and patients may require sedation. Furthermore, patients with flail chest may often have underlying lung contusions, which can further impair respiratory function. that a small amount of blood within simple pleural fluid can be difficult to appreciate visually, and the Hu of pleural fluid should be sampled in the context of trauma (a value 40 Hu is suggestive of haemorrhage). The chest wall and mediastinum should be scrutinised for causes of haemorrhage and for any signs of active contrast extravasation. Rib fracture and flail chest Rib fractures are very common in patients with chest trauma. Isolated, non-displaced fractures may result in a small amount of local lung contusion or small haemothoraces, but otherwise they do not cause a large amount of direct damage. However, they can be very Figure 5.15  Coronal image: IV contrast enhanced CT scan of the thorax and abdomen in the arterial phase. Viewed on bone window settings, a left-sided flail segment is seen with multiple posterior rib fractures (arrow). Right lung contusions are also shown. Figure 5.16  3-D rendered image of the left posterolateral thoracic cage. There are multiple fractures visible along contiguous ribs consistent with a flail segment. K22247_C005.indd 171 16/05/15 3:11 AM
  • 194.
    Chapter 5172 tearing. Theleft dome is more commonly injured than the right side. Defects within the diaphragm may result in herniation of abdominal contents into the thorax, with the potential for strangulation (Figure 5.18). On imaging, diaphragmatic defects can be subtle. Images should be reviewed in the sagittal and coronal planes, and the diaphragmatic contour should be traced carefully, paying particular attention to any defects. Other subtle signs include the presence of free fluid on either side of the diaphragm, which should raise suspicions. Diaphragmatic hernias are usually fairly obvious to see on CT; however, patients may not develop these until a long time after the initial injury. Key points • Trauma to the thorax can result in a wide range of pathologies, many of which can be life threatening. • Compromise of the airway, respiratory or cardiovascular functions are all potential problems with thoracic injuries, and require prompt diagnosis and treatment. Report checklist • Think ABCDE when considering chest trauma. • A = airway. Is the endotracheal (ET) tube in the right place? Is there a foreign body obstructing the airway (e.g. blood)? Is there trauma to the trachea? • B = breathing. Is there a tension pneumothorax? • C = circulation. Is there an aortic injury? Is there cardiac tamponade or haemopericardium? Is there a large haemothorax? • D = diaphragm. Is there diaphragmatic injury? • And once all of these are excluded, then one can look at E = everything else. References KaewlaiR,AveryL,AsraniA et al.(2008)Multidetector CTofbluntthoracictrauma.Radiographics28:1555– 1570. Shorr RM, Crittenden M, Indeck M et al. (1987) Blunt thoracic trauma: analysis of 515 patients. Ann Surg 206:200–205. Lung contusion and lung laceration Lung contusions represent small areas of haemorrhage within the alveoli. They may occur as a result of direct, blunt or penetrating injury, but are also often seen in deceleration type injuries (Figure 5.17). On CT, they are usually only visible on lung window levels and have a non-specific appearance of patchy, ill-defined areas of ground glass or air space opacities in a non- segmental distribution. Lung lacerations represent shearing injuries of the lung parenchyma. These have a very characteristic appearance and manifest on CT imaging as linear opacities extending through the lung parenchyma. As these evolve, cavities form, often containing gas-fluid levels within. Lacerations usually heal without complication but may take many weeks to months to fully resolve. Diaphragmatic injury Injuriestothediaphragmcanbedifficulttoidentifyand ifleftuntreated,mayresultinsignificantcomplications. Injurymayoccurfromeitherbluntorpenetratinginjury to the abdomen. In blunt injuries, a sudden increase in intra-abdominal pressure results in the diaphragm Figure 5.17  Axial image: contrast enhanced CT scan of the thorax in the arterial phase. Ill-defined, ground glass changes in the left lung anteriorly represent lung contusions. In addition, a rounded lesion is seen within the left lung, which contains a gas-fluid level consistent with a pulmonary laceration. K22247_C005.indd 172 16/05/15 3:11 AM
  • 195.
    Trauma imaging 173 MAJORTRAUMA: ABDOMEN AND PELVIS As with major thoracic trauma, significant intra- abdominal injury can carry a high morbidity and mortality rate. Because of the number of organ systems in the abdomen and pelvis, injuries may be varied and complex; the input of multiple clinical specialties may therefore be required. As with all trauma cases, the mechanism of injury is key and can help the on-call radiologist anticipate potential patterns of injury. Figure 5.18  Sagittal image: contrast enhanced CT scan of the thorax, abdomen and pelvis in the arterial phase. The left hemidiaphragm is discontinuous and contains a large defect through which the stomach has herniated into the thorax (arrow). Radiological investigations Inhaemodynamicallystablepatients,CTistheimaging modality of choice. It can be undertaken relatively quickly and provides definitive imaging of the solid organs and bowel, enabling identification of apparent and occult injuries. In unstable patients, CT may not be appropriate given the time taken to transfer and scan the patient. Under these circumstances, it may be more prudent to proceed directly to exploratory laparotomy; this should be discussed with the referring trauma team. Ultrasound can also play a role in trauma K22247_C005.indd 173 16/05/15 3:11 AM
  • 196.
    Chapter 5174 imagingoftheabdomenandpelvis,andhasbeenshown to bea useful tool in identifying free fluid in unstable patients (Smith  Wood, 2013; Figure 5.19). It can be performed at the patient’s bedside, which may be more appropriate for critically unstable patients who cannot be transferred safely to the CT scanner. Ultrasound may also be more suitable for paediatric patients with a low clinical suspicion of significant injury. While a useful adjunct, it should be emphasised that ultrasound is not as sensitive or specific as CT for traumatic intra- abdominal and pelvic injury. Full assessment with CT imaging should include both an arterial and portal phase of the abdomen and pelvis. The arterial phase is useful for all trauma patients, as it helps to identify active, arterial contrast extravasation (i.e. active bleeding), which may require immediate intervention. The portal venous phase allows accurate assessment of the abdominal viscera. On an arterial phase, some of the viscera (in particular the spleen) typically demonstrate heterogeneous enhancement. It can therefore be difficult to fully exclude underlying visceral injuries, such as contusions or lacerations, when assessing the arterial phase in isolation. Split bolus techniques, in which a combined arterial and portal venous phase is obtained on a single Figure 5.19  Ultrasonogram of the liver and right kidney in the longitudinal plane. Anechoic free fluid is seen in the right hepatorenal space. In the context of abdominal trauma, this most likely represents haemoperitoneum. acquisition of the abdomen and pelvis, may be used to reduce the radiation dose to the patient. Bladder injuries may occur when adjacent pelvic injuries are present. Imaging of bladder ruptures can be performed as either direct or indirect cystography. A direct cystogram is obtained by instilling contrast media into the urinary bladder via a urethral catheter and then imaging the patient. This method allows a larger volume of contrast to be instilled under greater pressure, allowing smaller defects to become apparent.Anindirectcystogramisobtainedbycarrying out delayed imaging of the patient following the administration of IV contrast, which is subsequently excreted into the renal collecting systems and bladder. The volume of contrast within the bladder is often less than that seen in direct cystography and is under less pressure. As a result, smaller injuries may be overlooked. In practice, a repeat CT scan at a delayed intervalisofteneasiertoperformacutely.Alternatively, fluoroscopic assessment via a cystogram study may be performed. (See Table 5.2.) Radiological findings Aswithalltraumaimaging,itcanbeusefultoperforman initial surveyof CT imagingof theabdomenandpelvis, with an aim of identifying serious life-threatening injuries, which may require urgent intervention and immediate communication to the referring team. Such injuries include traumatic aortic rupture and active arterial contrast extravasation leading to significant haemorrhage. The attenuation of any intra-abdominal pelvic free fluid should be precisely measured, as intermediate or high-density fluid is suggestive of haemoperitoneum. This can be a useful localising sign on an initial survey; for example, haemoperitoneum localised around the spleen is suggestive of a splenic injury. Once significant life-threatening injury has been excluded, a systematic approach to inspection of the remaining structures should take place. It is also useful to look initially for signs that the patient is compromised/in distress. A significantly flattened IVC (Figure 5.20) would suggest a significant loss of intravascular volume. Hyperattenuatting adrenal glands (Figure 5.21) suggest that they are overactive, which is a significant stress response. These features can reflect the severity of the injuries. K22247_C005.indd 174 16/05/15 3:11 AM
  • 197.
    Trauma imaging 175 Figure5.20  Axial image: IV contrast enhanced CT scan of the abdomen in the portal venous phase. There is marked flattening of the IVC, suggesting a significant reduction in the intravascular volume. Intra-abdominal free fluid can be seen around the liver and loops of bowel. Figure 5.21  Axial image: IV contrast enhanced CT scan of the abdomen in the portal venous phase. Hyperattanuating adrenals suggest a significant stress response. MODALITY PROTOCOL CT Arterial and portal phase acquisition: 100 ml IV contrast via 18G cannula, 4 ml/sec. Scan at 25–30 seconds (arterial phase) and 65 seconds (portal phase) after initiation of injection. Image acquisition from just above the diaphragm to just below the pubic symphysis, to include the femoral necks. Helical acquisition, slice thickness of 0.625–1.25 mm to allow accurate multiplanar reformats of images. Bony algorithm reformatted images should also be produced through the imaged region. Ultrasound 1–5 MHz curvilinear probe on general abdominal settings should be used to assess the abdomen and pelvis. CT/fluoroscopy Indirect cystography: delayed imaging of the pelvis when assessing for the presence of bladder wall ­rupture. ­Indirect imaging should be performed between 15 and 30 minutes following the IV contrast ­injection. Direct cystography: the urinary bladder should be distended with water soluble contrast via a urethral ­catheter until the patient feels full. Suggested concentration: 50 ml water soluble contrast in 1,000 ml of water, although this depends on the concentration of contrast. The catheter should be clamped in order to prevent bladder emptying, and the patient’s pelvis should be imaged. Table 5.2  Major trauma: abdomen and pelvis. Imaging protocol. K22247_C005.indd 175 16/05/15 3:11 AM
  • 198.
    Chapter 5176 GRADE TYPEOF INJURY DESCRIPTION OF INJURY I Haematoma Subcapsular 10% surface area. Laceration Capsular tear 1 cm depth. II Haematoma Subcapsular 10–50% surface area. Laceration Capsular tear 1–3 cm depth, 10 cm length. III Haematoma Subcapsular 50% surface area or intraparenchymal haematoma 10 cm. Laceration 3 cm parenchymal depth. IV Laceration Parenchymal disruption involving 25–75% of hepatic lobe or 1–3 Couinaud’s segments. V Laceration Parenchymal disruption involving 75% of hepatic lobe or 3 Couinaud’s segments Vascular Juxtahepatic venous injuries (i.e. retrohepatic vena cava/central major hepatic veins). VI Vascular Hepatic avulsion. Table 5.3  Liver injury scale (1994 revision). GRADE TYPE OF INJURY DESCRIPTION OF INJURY I Haematoma Subcapsular 10% surface area. Laceration Capsular tear 1 cm parenchymal depth. II Haematoma Subcapsular 10–50% surface area or intraparenchymal 5 cm depth. Laceration Capsular tear 1–3 cm parenchymal depth that does not involve a trabecular vessel. III Haematoma Subcapsular 50% surface area or expanding, ruptured subcapsular or parenchymal haematoma, intraparenchymal haematoma 5 cm or expanding. Laceration 3 cm parenchymal depth or involving trabecular vessels. IV Laceration Laceration involving segmental or hilar vessels producing major devascularisation (25% of spleen). V Laceration Completely shattered spleen. Vascular Hilar vascular injury with devascularised spleen. Table 5.4  Spleen injury scale (1994 revision). which outlines individual scales to categorise injuries sustained in trauma (Tables 5.3, 5.4 and 5.5). Solid organ injuries, which include the liver, spleen, pancreas,kidneysandadrenalglands,canallbeassessed usingcontrastenhancedCT.Thekidneysandpancreas demonstrate adequate enhancement during the arterial phase, but the remainder show uniform parenchymal enhancement during the portal venous phase. In general, three main visceral injuries are likely to occur as a result of significant trauma: laceration, contusion/haematoma or vascular insult. Parenchymal Solid organ injury Injuriestothesolidabdominalorgansarecommonplace in both blunt and penetrating injuries. The liver is the most frequently injured organ in blunt injury (Yoon et al., 2005), followed by the spleen. Many solid organ injuriesmaybemanagedconservatively;however,active haemorrhage may require interventional radiological input and it is therefore important to appreciate the spectrum of injury. A grading system has been developed by the American Association for the Surgery of Trauma, K22247_C005.indd 176 16/05/15 3:11 AM
  • 199.
    Trauma imaging 177 lacerationstypically appear as irregular, linear low attenuation lesions coursing through the viscera and represent a shearing type injury (Figure 5.22). It is important to appreciate the relationship of lacerations with underlying major vessels, since these are at risk of injury. Lacerations can also occur in the kidney; if these extend to also involve the medulla and renal hilum, injury to the renal pelvis can occur. This should be suspected in the presence of low attenuation free fluid around the renal pelvis and kidney. If an underlying injury to the renal collecting system is suspected, delayed imaging can be performed. In this scenario, excretedcontrastthatliesoutsideoftherenalpelvisand ureter is indicative of an underlying collecting system/ ureteric injury. Parenchymal contusions are often more rounded, ill-defined low attenuation lesions within the visceral parenchyma. These typically occur after blunt injury but may also be seen following penetrating injuries. GRADE TYPE OF INJURY DESCRIPTION OF INJURY I Contusion Microscopic or gross haematuria, urological studies normal. Haematoma Subcapsular, non-expanding without parenchymal laceration. II Haematoma Non-expanding perirenal haematoma confirmed to renal retroperitoneum. Laceration 1.0 cm parenchymal depth of renal cortex without urinary extravasation. III Laceration 1.0 cm parenchymal depth of renal cortex without collecting system rupture or urinary extrava- sation. IV Laceration Parenchymal laceration extending through renal cortex, medulla and collecting system. Vascular Main renal artery or vein injury with contained haemorrhage. V Laceration Completely shattered kidney. Vascular Avulsion of renal hilum, which devascularises the kidney. Table 5.5  Kidney injury scale. Figure 5.22  Axial image: IV contrast enhanced CT scan of the abdomen in the portal venous phase. The body of the pancreas has an ill-defined, fragmented contour and demonstrates abnormal enhancement due to a laceration (arrow). Free fluid is noted within the abdomen. K22247_C005.indd 177 16/05/15 3:11 AM
  • 200.
    Chapter 5178 Both lacerationand contusions can be complicated by activebleeding,appearingasahighattenuationcontrast blush(presentonbothanarterialphaseandadualphase, split bolus study) (Figures 5.23, 5.24a–c). Subcapsular Figure 5.23  Axial image: IV contrast enhanced CT scan of the abdomen in the portal venous phase. Contrast blush can be seen in the spleen, indicating active contrast extravasation (arrow). Figures 5.24a–c  Axial images: unenhanced (5.24a) and IV contrast enhanced CT scans of the abdomen in the arterial (5.24b) and portal venous (5.24c) phases. On the non-contrast image it is possible to appreciate the slightly hyperdense rim of material related to the spleen consistent with a subcapsular haematoma. On the arterial phase images it is possible to make out a splenic artery traumatic pseudoaneurysm (5.24b, arrow), which shows further contrast filling in the portal venous phase (5.24c, arrowhead). Pseudoaneurysms and active extravasations should be immediately referred to the interventional radiologist on call for embolisation/coiling of the bleeding vessel. haematomas can also be seen around the liver and spleen, appearing as a hypoattenuating crescenteric or lenticularrimincomparisonwiththeenhancingvisceral parenchyma(Figures5.25–5.27).Incontradistinctionto free intra-abdominal fluid or haematoma, subcapsular haematoma typically causes contour abnormality of the visceral parenchyma. Major vascular injury, including transection, dissection and avulsions, can result in end organ ischaemia and infarction (Figure 5.28). Low attenuation defects in a wedge shape or corresponding to a vascular territory should raise suspicion of vascular injury. Pseudoaneurysms can also occur following traumatic injury. These appear as rounded, well- defined hyperattenuating lesions (corresponding to the density of contrast in the arterial vessels), apparent on both an arterial and dual phase study. These typically demonstrate washout of enhancement on the portal venous phase. Mesenteric and bowel injury Injuriestothemesenteryandbowelcanbeverydifficult to identify on CT imaging and the on-call radiologist must be vigilant when evaluating imaging in trauma patients. The consequences of missed injuries include bowel ischaemia and intra-abdominal sepsis, which may be life threatening. (a) (b) (c) K22247_C005.indd 178 16/05/15 3:11 AM
  • 201.
    Trauma imaging 179 Figure5.25  Axial image: IV contrast enhanced CT scan of the abdomen in the arterial phase. There is ill-defined low attenuation in the right posterior liver consistent with a liver laceration (arrow). Active contrast extravasation is seen as high attenuation material within the abnormal region. Subcapsular haematoma is also noted. Figure 5.26  Coronal image: IV contrast enhanced CT scan of the abdomen in the portal venous phase. The spleen is lacerated and demonstrates abnormal parenchymal enhancement (arrow). Contained subcapsular splenic haematoma is also seen. Figure 5.27  Axial image: IV contrast enhanced CT scan of the abdomen in the portal venous phase. The right adrenal gland is thickened and does not enhance normally when compared with the left adrenal gland. The appearance is consistent with a right adrenal gland contusion (arrow). Figure 5.28  Axial image: IV contrast enhanced CT scan of the abdomen in the arterial phase. The left renal artery has been avulsed from its pedicle at the aorta and can be seen as an irregular contrast blush at its origin (arrow). There is end organ ischaemia, seen as a non- enhancing left kidney (arrowhead). K22247_C005.indd 179 16/05/15 3:11 AM
  • 202.
    Chapter 5180 Pelvic injury Pelvicfractures may occur as a result of blunt traumatic injuries and, depending on the mechanism of injury, certain patterns of injury may occur, producing characteristic fracture patterns. These particular fractures may result in significant vascular and nerve damage to local structures and have the potential to cause significant morbidity. In the presence of pelvic fractures, it is important to identify and follow the major pelvic vessels, as these are at risk of injury. Bladder and urethral injury Bladder injuries can be broadly divided into two categories: intraperitoneal or extraperitoneal rupture. Both types of bladder injury may be seen as a defect within the bladder wall, in addition to an unusual or irregular contour of the bladder (Figures 5.30, 5.31a, b). Typically, the bladder may be pear shaped as a result of external compression of the bladder from pelvic haematoma. Extraperitoneal bladder rupture is far more common, and usually occurs as a result of local bony pelvic injury or direct penetrating injury. The normal mesentery should be of fatty tissue density and contain regular, linear vessels that course through the abdomen towards the bowel. Specific signs of mesenteric injury include active contrast extravasation from mesenteric vessels, mesenteric vascular beading and termination of mesenteric vessels (Brofman et al., 2006). Less specific signs include mesenteric infiltration (seen as areas of haziness and stranding of mesenteric tissue) or focal mesenteric haematomas. Secondary signs of mesenteric injury include evidence of bowel ischaemia, such as bowel wall thickening, abnormal bowel wall enhancement or pneumatosis. Direct bowel injuries may be difficult to identify on CT. Bowel rupture may result in pneumoperitoneum; as such, all abdominal images should be reviewed on lung window settings (width 1,600, level 550) in order to identify locules of free intra-abdominal gas. Other specific signs of bowel injury include discontinuity of bowelloopsandextraluminaloralcontrast(Figure 5.29). These signs are not commonly seen, particularly the latter, as the requirement to administer oral contrast prior to CT scanning can cause unacceptable delays in imaging and therefore diagnosis. Figure 5.30  Coronal image: IV contrast enhanced CT scan of the pelvis in the portal venous phase. The urinary bladder is thickened with an irregular contour due to blunt abdominal injury. A defect in the wall of the bladder can be seen at its superior border (arrow). Pelvic fractures can also be appreciated. Figure 5.29  Axial image: IV contrast enhanced CT scan of the abdomen in the portal venous phase. There are multiple loops of thickened, hyperenhancing bowel as a result of mesenteric injury, producing a shocked bowel appearance. K22247_C005.indd 180 16/05/15 3:11 AM
  • 203.
    Trauma imaging 181 Figures5.31a, b  Axial and coronal images: IV contrast enhanced CT scans of the abdomen in the portal venous phase. Intraperitoneal bladder rupture as shown by a left lateral bladder wall defect with fluid density material leaking into the abdomen (arrows). Figure 5.32  Sagittal image: direct CT cystography scan following intravesical contrast injection. The superior bladder wall has an abnormal contour with evidence of contrast leakage seen within the posterior abdomen (arrow). Imaging demonstrates contrast extravasation outside of the peritoneum, usually around the bladder base and pelvic floor, and remains confined to the pelvis. Intraperitonealbladderruptureislesscommon,usually occurring as a result of blunt abdominal injury to a distendedbladder.Imagingdemonstratesextravasation of contrast into the peritoneum (Figure 5.32). Urethral injuries typically occur in straddle injuries or as a result of pelvic fractures. Clinically, patients who have blood at the urethral meatus or perineal bruising may have an underlying urethral injury. In these cases, retrograde urethrography is advocated prior to catheterisation (Ramchandani Buckler, 2009). Urethral injury is seen as irregular contrast extravasation and pooling outside of the normal contour of the urethra. (a) (b) K22247_C005.indd 181 16/05/15 3:11 AM
  • 204.
    Chapter 5182 MAJOR TRAUMA:SPINE Injuries to the spine may result in significant morbidity and mortality and therefore require careful interpretation when assessing. Unstable fractures resulting in severe neurological emergencies require rapid diagnosis and discussion with spinal surgeons in order to establish the most appropriate management plan. Fractures of the spine are relatively commonplace in the context of trauma. It is important to be able to describe whether injuries are radiologically stable or unstable,asthishasimmediateconsequencesforpatient and staff alike. A practical way of determining the stability of a fracture is to assess injuries with the three column approach (Denis, 1983). This method divides the vertebral body into three columns: anterior, middle and posterior (Figure 5.33). The anterior column Key points • Abdominal and pelvic trauma findings can be complex, but a systematic approach to each area can help to identify injuries. • Utilise both arterial and portal phase images in order to assess the vascular tree and solid organs, respectively. • Consider performing cystography in patients with suspected bladder injury. Report checklist • Signs that the patient is in distress. • Presence or absence of active bleeding/contrast extravasation. • Document the attenuation of any free fluid – increased density fluid may represent haemorrhage. • Comment on each organ to assess for injury. References Brofman N, Atri M, Epid D et al. (2006) Evaluation of bowel and mesenteric blunt trauma with multi- detector CT. Radiographics 26:1119–1131. Moore EE, Cogbill TH, Malangoni M et al. Scaling system for organ specific injuries. American Association for the Surgery of Trauma. www.aast. org/Library/TraumaTools/InjuryScoringScales. aspx Accessed on 22nd February 2014. Ramchandani P, Buckler PM (2009) Imaging of genitourinary trauma. Am J Roentgenol 192:1514– 1523. Smith ZA, Wood D (2014) Emergency focused assessment with sonography in trauma (FAST) and haemodynamic stability. Emerg Med J 31:273–277. Online First 10.1136/emermed-2012-202268. Yoon W, Jeong YY, Kim JK et al. (2005) CT in blunt trauma. Radiographics 25:87–104. Figure 5.33  Axial image: unenhanced CT scan of the cervical spine. Each vertebra can be divided into three columns. The anterior column encompasses the anterior two-thirds of the vertebral body including the anterior longitudinal ligament. The middle column encompasses the posterior one-third of the vertebral body including the posterior longitudinal ligament. The posterior column encompasses the remaining structures including the pedicles, lamina and spinous processes. K22247_C005.indd 182 16/05/15 3:11 AM
  • 205.
    Trauma imaging 183 evidenceof bony injury on CT imaging may still have significant ligamentous injury, and in these cases MRI may be indicated. The majority of the vertebrae within the spine have a similar anatomical configuration, with the vertebral body connected to the spinous processes via the lamina. The exceptions to this are C1 and C2, which are discussed later. Radiological investigations The choice of imaging modality varies across centres, depending on local specialties and access to imaging. In general, patients may have plain film imaging as a first line of investigation, but those who have sustained significant trauma or who cannot be accurately assessed clinically may proceed immediately to CT. This is the modality of choice to assess the bony detail of the spine; however, soft tissue and ligamentous structures are poorly assessed. MRI is usually reserved for patients who may have a suspicion of ligamentous or spinal cord injuries. (See Table 5.6.) MODALITY PROTOCOL CT Helical acquisition with images acquired at least one vertebral level above and below the area of interest. Images should be acquired as thin slices (i.e. 0.625–1.25 mm) with bony algorithm reconstructions. Images should be reformatted to include the sagittal and coronal planes. MRI Sagittal T1 weighted, T2 weighted, STIR and axial T2 weighted images through the region of interest. Table 5.6  Major trauma: spine. Imaging ­protocol. Figure 5.34  Axial image: unenhanced CT scan of the abdomen. There is a minimally displaced fracture of the right transverse process of the L1 vertebra (arrow). No other fractures are seen, therefore this is a single column injury. comprises the anterior two-thirds of the vertebral body (to include the anterior longitudinal ligament), the middlecolumncomprisestheposteriorone-thirdofthe vertebral body (to include to the posterior longitudinal ligament) and the posterior column comprises the posterior elements (pedicles, lamina, spinous process, ligamentum flavum and interspinous ligaments). With this approach, injury to a single column is deemed to be stable (Figure 5.34), while injuries to two or more columns should be considered as unstable. Evaluation of the soft tissues is paramount when assessingthespineforbonyinjury.Significantsofttissue injury, including damage to the major ligamentous complexes,canbepresentintheabsenceofbonyinjury. CTimagingisbothsensitiveandspecificforacutebony injuriesinvolvingthespine;however,softtissueinjuries may not be seen. The limits of CT imaging should thereforebeappreciatedbyboththeradiologistandthe referring clinician to ensure that radiological findings, or the lack there of, are interpreted in conjunction with the clinical examination findings. Patients with no K22247_C005.indd 183 16/05/15 3:11 AM
  • 206.
    Chapter 5184 Radiological findings Plainfilms For patients who have sustained minor trauma, or in those centres without readily available access to CT imaging, plain film imaging may be performed as the initial investigation. Plain film images of any part of the spine should be acquired in at least two perpendicular planes. In the cervical spine, a standard trauma series comprises a lateral view, an AP view and an open mouth peg view. The thoracic and lumbar spine are conventionally imaged in the lateral and AP positions. A systematic approach to assessing the cervical spine plain film series is paramount to ensure that subtle pathologies are not missed. The adequacy of the image should always be assessed initially, as this may limit the amount of information that can confidently be given to clinicians. Lateral cervical spine plain film images should include the C7/T1 vertebral junction. A swimmer’s view can aid visualisation of the cervical spine more distally. An open-mouth peg view of the C1/C2 vertebrae should not have overlying artefact obscuringtheimage,asthismayresultinapoor-quality, non-diagnostic study. Oncetheimagehasbeendeemedadequate,itshould be scrutinised for signs of injury. Every cortex of each vertebra should be traced to look for signs of fracture. Following this, the lateral view should be evaluated for signs of subluxation or dislocation. An assessment should also be made of the pre-vertebral soft tissues, which lie anterior to the vertebra. These should have a thickness of no more than 5 mm above C4 and 20 mm below C4. The contour of the soft tissues is also important and should be smooth. Localised bulging of the soft tissues may suggest underlying pathology. Thevertebralbodyheightshouldbeassessedonboth the lateral and AP view. Loss of vertebral body height may be due to fracture. The spinous processes should bealignedandcentrallypositionedontheAPview.The absence of, or an unusually positioned, spinous process should raise suspicion of a subluxation or dislocation. The peg view is usually straightforward to review, providing there is no artefact. The lateral masses of C1 should be aligned within the C2 facets with no overhanging; loss of alignment may indicate a fracture of C1. A similar approach to the thoracic and lumbar spines may be adopted. Careful evaluation of the vertebral body height and cortices can help to identify fractures, in addition to changes in alignment and displacement of bony structures. In elderly patients, pre-existing degenerative changes can make it impossible to confidently exclude an underlying fracture. In these situations, it is always advisable to assess further with CT imaging. Computed tomography In major trauma patients, CT is often the first-line imagingmodalityofchoiceforthespine.Thesensitivity of identifying bony injury is far greater than with plain film imaging. However, the large number of images can make it easy to miss pathology. The cervical spine should be visualised in axial, sagittal and coronal planes; fracturesinasingleplanemaybeeasytooverlook.Many picture archiving and communication systems (PACSs) allow the on-call radiologist to perform multiplanar reformats of images at the reporting workstation. The same principles apply to the evaluation of CT imaging as are used in the assessment of plain film imaging. They should be carefully examined for evidence of cortical disruption, loss of height and alignment in order to identify underlying injury. It is important to clearly state whether injuries appear stableorunstabledependingonthenumberofcolumns involvedintheinjury.Inadditiontothis,anysignificant misalignment or retropulsion of bony fragments into the spinal canal should be communicated to the referring team, as this may require urgent surgical intervention. While most fractures are readily identifiable on CT imaging, there is a spectrum of more subtle abnormalities that can indicate a significant underlying injury. Such findings include widening of a single disc space, widening of facet joints and widening of a single interspinous distance. These findings may indicate underlying ligamentous or soft tissue injury. An apparently normal CT study does not exclude underlying ligamentous injury; this should always be emphasised to the referring team. The radiological findings should always be correlated with the clinical K22247_C005.indd 184 16/05/15 3:11 AM
  • 207.
    Trauma imaging 185 STIRimaging. It is therefore important to scrutinise T1 images for any evidence of traumatic haematoma both within and outside the spine, as this may result in spinal cord compression. Examples of spinal fractures Jefferson fracture This describes an unstable burst fracture of the C1 vertebra. It occurs as a result of a significant axial load type injury (e.g. diving injury). Radiologically, the fracture can be seen on an open-mouth peg view as lateral displacement of the lateral masses away from the odontoid peg. On CT imaging, the fracture appears as a disrupted ring in comparison with the normally intact vertebra (Figure 5.35). This is considered an unstable injury. examination findings; if there is a discrepancy between the two, an MRI scan should be considered to assess for an underlying soft tissue injury. Radiological clearance ofthespinemaybereassuringtoclinicians,butitshould not replace the clinical examination findings. As with plain film imaging, significant degenerative changes may make it difficult to fully exclude underlying bony injury, even on CT imaging. Depending on the index of suspicion of injury, in these cases further assessment with MRI may by prudent. Magnetic resonance imaging Definitive assessment of the spinal cord and ligamentousstructuresisperformedwithMRI.Patients with suspected spinal injuries with neurological deficits benefit from early scanning and spinal surgical input, which can prevent lasting damage. In all patients, an assessment of the spinal cord and canal should be made to identify any evidence of spinal cord compression (see Chapter 3: Neurology and non-traumatic spinal imaging, Spinal cord compression and cauda equina syndrome). This is best performed on T2 weighted axial and sagittal imaging. In trauma patients, it is prudent to perform STIR imaging to assess for bone marrow and soft tissue oedema. In the context of trauma, underlying bone marrow oedema is suggestive of fracture, although the precise morphology of the fracture is better assessed with CT imaging. The presence of oedema within the ligaments is important in assessing the stability of an injury. Typically, injury to the interspinous ligaments is inferred by the presence of oedema within these tissues on STIR imaging. Assessment of the anterior andposteriorlongitudinalligamentsisbestappreciated on T2 and STIR imaging; ligaments should appear as a continuous low signal structure. Any focal defect or signal change in the ligament is suggestive of injury. T1 weighted images also have a role in assessing injured patients. Acute haematoma appear as high signal on T1 images and do not suppress signal on Figure 5.35  Axial image: unenhanced CT scan of the cervical spine. There is a comminuted, burst fracture of the C1 vertebra, with fractures seen through the anterior arch and left posterior arch. K22247_C005.indd 185 16/05/15 3:11 AM
  • 208.
    Chapter 5186 Odontoid pegfractures Peg fractures can be classified depending on the site of fracture (Figure 5.36). Fractures are usually visible on lateral cervical spine plain film images as a lucent lineextendingthroughtheodontoidprocess.Similarly, Figure 5.37  Sagittal image: unenhanced CT scan of the cervical spine. There is a type 1 odontoid peg fracture with minimal displacement of the fracture fragment. There is no retropulsion into the spinal canal. Figure 5.36  The differing well-recognised configurations of odontoid peg fractures. Type 1 fractures involve the tip of the odontoid process only. Type 2 fractures involve the base of the odontoid process but do not extend into the vertebral body. Type 3 fractures involve the base of the odontoid process and extend into the vertebral body. on CT imaging fractures are seen as cortical breaks through the peg resulting in separation from the vertebral body (Figure 5.37). Flexion teardrop fracture This is a severe, unstable injury that can result in significant morbidity. The injury occurs as a result of a flexion and compression injury, causing shearing of the anteroinferior corner of the vertebral body. The injury also results in subluxation of the facet joints and displacement of the vertebral body with three column ligamentous disruption. This may result in spinal cord compression. The injury should not be confused with an extension teardrop fracture, which can be seen as an avulsion injury from the anterioinferior corner of the vertebral body; however, no other features of vertebral fracture or compression are present. Type 1 Type 2 Type 3 K22247_C005.indd 186 16/05/15 3:11 AM
  • 209.
    Trauma imaging 187 (Figure 5.38a)and CT imaging (Figure 5.38b) typically shows anterolisthesis at the level of dislocation on the lateral view, less than 25% of the width of the vertebral body. In bilateral facet dislocations, the affected level is shown as ‘perched’ facets, with anterolisthesis of 25% at the affected level. Bilateral injuries may result Facet joint dislocation Rotational flexion injuries of the cervical spine may result in unilateral or bilateral facet joint subluxation or dislocation. Unilateral injuries are stable but bilateral injuries should be treated as unstable. In unilateral facet dislocation, cervical spine plain film Figures 5.38a, b  Lateral cervical spine radiograph (5.38a) and parasagittal CT image (5.38b) of the cervical spine. The lateral cervical spine radiograph demonstrates an abnormal step between C5 and C6 along the anterior margin of the vertebral bodies. The CT scan of the same patient demonstrates a C5/6 facet joint dislocation with loss of the normal articulation and a typical ‘perched’ facet appearance (arrow). (a) (b) K22247_C005.indd 187 16/05/15 3:11 AM
  • 210.
    Chapter 5188 in ligamentousinjury affecting all three columns (Figure 5.39). Burst fracture Burst fractures typically occur in the thoracolumbar spine as a result of significant axial loading type Figure 5.40  Lateral lumbar spine radiograph. The L2 vertebral body is abnormal, with loss of height and irregular margins as a result of a burst fracture. Sclerotic areas within the vertebral body are due to areas of impaction. There is mild retropulsion of the fragments into the spinal canal. A further fracture can be seen involving the anterosuperior corner of the L5 vertebral body. Figure 5.39  Sagittal image: STIR sequence MR image of the cervical spine. The normal low signal anterior longitudinal ligament is not visible anterior to the C5/C6 intervertebral disc. The posterior longitudinal ligament is also disrupted and can be seen as an irregular structure within the spinal canal (arrow). High signal changes can be seen in the C5/C6 interspinous ligaments posteriorly, also consistent with ligamentous disruption (arrowhead). The appearance therefore suggests three-column ligamentous disruption. injuries. These are unstable, three column injuries. On plain film imaging, the injuries are seen as irregular, comminuted fractures involving the vertebral body (Figure5.40).Typically,thereisretropulsionoffracture fragments into the spinal canal, which may cause cord compression (Figure 5.41). K22247_C005.indd 188 16/05/15 3:11 AM
  • 211.
    Trauma imaging 189 Reportchecklist • Document the number of columns involved and therefore the radiological stability of injuries. • Presence or absence of any evidence of spinal cord compromise (e.g. bony retropulsion, epidural haematoma, cord injury). Reference Denis F (1983) The three column spine and its significance in the classification of acute thoracolumbar spinal injuries. Spine 8:817–831. Key points • Assessment of spinal injuries may involve plain film, CT and MRI. • Apparently normal plain film or CT imaging does not exclude spinal injuries and clinical examination findings play a crucial role in identifying soft tissue injuries. In cases of suspected soft tissue or ligamentous injury, further assessment with MRI is indicated. Figure 5.41  Sagittal image: unenhanced CT scan of the lumbar spine. Multiple fractures can be seen involving the L1–L3 vertebrae. The L1 vertebra has multiple fractures involving the anterior and middle columns, with retropulsion of fragments into the spinal canal. Further fractures can be seen involving the anterosuperior corners of the L2 and L3 vertebral bodies. K22247_C005.indd 189 16/05/15 3:11 AM
  • 212.
  • 213.
    191 Chapter 6 INTERVENTIONAL AND­VASCULAR IMAGING AND IATROGENIC ­COMPLICATIONS ACUTE ARTERIAL ISCHAEMIA Acute arterial occlusion in an extremity must be treated as a medical/surgical emergency as there is not only danger to the limb, but also to the life of the patient. Generally this condition occurs in elderly patients with multiple comorbidities. Acute arterial occlusion can be the result of a proximal embolus lodging in a more distal vessel, acute thrombosis of a previously patent artery, acute thrombosis of a stent or graft, dissection of an artery or direct trauma to an artery. The most common source of embolism is the heart; for example, from thrombus within an LV aneurysm (Figure 6.1) or secondary to arrhythmias. Arterio- arterial emboli can arise from aneurysms or from non-occlusive, ulcerated atheromatous plaques. Acute in-situ thrombosis occurs mostly at sites of stenotic arteriosclerotic lesions. Other causes of arterial thrombosis include ­pro-thrombotic states such as recent trauma/surgery, pregnancy, cancer, reversal of anticoagulation,nephroticsyndromeandinflammatory bowel disease. Presentation with acute arterial ischaemia is most commonly seen in the lower limbs and characterised by ‘the 6 P’s: pain, pallor, pulselessness, paraesthesia, paralysisandpoikilothermia(i.e.coldness).Paraesthesia and paralysis imply irreversible ischaemia, and muscle rigidity is a sign of a non-salvageable limb. With acute occlusion of central blood vessels such as the aorta, iliac or femoral arteries, there is complete ischaemia with onset of rhabdomyolysis after four to six hours; this can lead to severe local and generalised symptoms because of the dangerous metabolites released. Radiological investigations Ultrasoundcanbeusedfortheassessmentofperipheral arterial flow, especially in the arms and legs. Doppler or duplex scanning can assess arterial flow patterns to assess for thrombosis. In the acute setting, however, the availability of expertise in duplex scanning is relatively rare. Figure 6.1  Axial image: IV contrast enhanced CT scan of the chest in the arterial phase. The non-enhancing filling defect (arrow) in the left ventricle is ­consistent with LV thrombus. There is thinning of the LV ­myocardium at the apex due to a previous infarct. K22247_C006.indd 191 16/05/15 3:12 AM
  • 214.
    Chapter 6192 Figure 6.2 Axial image: IV contrast enhanced CT scan of the lower limbs in the arterial phase. The lumen of the right superficial femoral artery does not opacify with contrast, while the corresponding artery on the left does. No collateral vessels are seen around the right superficial femoral artery, suggesting acute arterial thrombosis. Figure 6.3  Axial image: IV contrast enhanced CT scan of the pelvis in the arterial phase. An intraluminal filling defect can be seen in the right common iliac artery (arrow). A small amount of peripheral enhancement is seen around the periphery of the occluded vessel. MODALITY PROTOCOL CT Angiogram: 100 ml IV contrast via 18G cannula, 4 ml/sec. Bolus track centred on the descending thoracic aorta (if assessing lower limbs)/centre on ascending aorta (for upper limbs). Scan from just above aortic arch to ankles for lower limbs or C2 to hands depending on side. Table 6.1 Acute arterial ischaemia. ­Imaging  protocol. CTA is the imaging modality of choice in the acute setting to assess the vasculature for acute arterial thrombosis or embolus. The protocol varies depending on whether the lower or upper limbs are affected. (See Table 6.1.) Radiological findings Computed tomography A good CTA enables the radiologist to fully assess the arterial tree; however, windowing may be useful to reduce the glare from the bright contrast within the vessel and therefore allow more accurate assessment. The blood vessels must be carefully scrutinised from a proximal to distal direction. It is important to first assess the heart for valve abnormalities, such as vegetation or thrombus within any of the cardiac chambers. The whole aorta should then be assessed for the presence of any aneurysms. If an aneurysm is present, comment should be made as to the amount of intramural thrombus and also as to whether there is any leak. All the major vessels should be assessed carefully in a systematic fashion, one side at a time. Features suggestive of acute arterial occlusion are an abrupt cut-off of the arterial opacification, with a lack of surrounding collaterals (Figure 6.2). In the acute thrombosis, the presence of clot leads to a smooth but abrupt cut-off. The affected arteries may be expanded with clot and may show subtle peripheral enhancement (Figure 6.3). K22247_C006.indd 192 16/05/15 3:12 AM
  • 215.
    Interventional and ­vascularimaging and iatrogenic ­complications 193 IATROGENIC COMPLICATIONS Iatrogenic complications of medical interventions are relatively commonplace and occur across many facets of medical practice. These may be related to routine procedures that may have minimal clinical significance to the patient (e.g. bruising following venepuncture), but can also have significant and potentially life- threatening consequences for patients. Some of these are particularly pertinent to radiologists either because of the frequency of errors that may be avoided by thorough radiological interpretation or because they may be may be related to common interventional radiologyprocedures.Thefollowingsectionhighlights some of the commonest complications that may be encountered. NASOGASTRIC TUBE MISPLACEMENT ReducingtheharmcausedbymisplacedNG tubeswasa Patient Safety Alert published by The National Patient SafetyAgency(NPSA)in2005.InthereporttheNPSA provided guidance for checking and confirming that an NG tube had been inserted into the correct place (i.e. the stomach). After placement, an NG tube is aspirated and the aspirate tested on litmus paper to confirm that it is acidic (i.e. gastric aspirate). Inpatientswhoaresedated,haveapoorcoughreflex, are intubated or agitated there is increased risk of tube misplacement. This can lead to severe complications such as pneumonia, pneumothorax, empyema and pulmonary haemorrhage. It is useful to assess the vessels using multiplanar reformats. The length, extent and number of vessels involved should be reported. Distal filling and quality of blood vessels beyond the occlusion should be commented on as these have implications for management. Treatment is either by vascular surgery or interventional radiology. It is often difficult to distinguish between acute and chronic occlusions; however, the clinical history should be noted, as this is a key factor in deciding between the two. The presence of collateral vessels can imply chronicity. Arterial thrombus may be present in central vessels in patients with pro-thrombotic states. Careful assessment of the aorta and its branches is important as well as assessment of visceral enhancement of bowel, kidneys, etc. Key points • Where patients present with the 6 P’s, there is limited time to salvage the leg. There should be no delays in organising a CTA for these patients in order to assess the arterial tree. • A systematic approach is always best when assessing vasculature; this can be proximal to distal and one side then the other. Coronal reformats can be very useful. • Acute thrombus results in a smooth, abrupt cut-off of the arterial opacification with a lack of collaterals. The affected vessel may be expanded and show some peripheral enhancement. Report checklist • The quality of vessels proximal and distal to any occlusion; whether they are patent and/or how good they are. This has implications for management options such as bypass/thrombolysis. • Degree of collateralisation. • Recommend urgent vascular surgical opinion. K22247_C006.indd 193 16/05/15 3:12 AM
  • 216.
    Chapter 6194 Figure 6.5 PA chest radiograph. A nasogastric tube is seen passing into the right lower lobe bronchus and coiled in the right lower zone. An endotrached tube is also sited. Figure 6.4  PA chest radiograph. A nasogastric tube is seen passing centrally and coursing to the left under the left hemidiaphragm. A tunnelled left-sided central line is also noted. Radiological investigations Plainfilmimagingofthechestisusuallyadequatewhere aspiration is not possible or there is concern regarding the position of the NG tube tip. (See Table 6.2.) Radiological findings Plain films NG tubes vary in type and opacity. Some tubes are opaque throughout their length, whereas some only havearadiopaquetip.AnormalNGtubeshouldcourse centrally through the thorax and lie with the tip below the left hemidiaphragm (Figure 6.4). NG tubes that do not follow this path may be within a bronchus or coiled in the oesophagus (Figures 6.5–6.7). Particular attention should be paid to whether the path of the NG tube projects over the right or left main bronchi. Suspicion of an NG tube within the lungs should be urgently discussed with the referring team. If the NG tube is projected in the midline below the carina but not in the stomach (i.e. distal oesophagus), it can be suggested that the tube is advanced a further 5–10 cm prior to use. If the NG tube tip cannot be seen clearly, a small volume of water soluble contrast (e.g. Gastromiro) can be injected through the tube and then re-imaged to confirm the tip position. Key points • NG tubes should normally descend centrally though the thorax, with the tip seen below the left hemidiaphragm. • Misplaced NG tubes should be communicated to the clinical team in order to prevent inappropriate use. Table 6.2 Nasogastric tube misplacement. ­Imaging protocol. MODALITY PROTOCOL Plain film imaging PA CXR to include the diaphragm. Water ­soluble contrast may be injected through the nasogastric tube if the line tip is not radiopaque. K22247_C006.indd 194 16/05/15 3:12 AM
  • 217.
    Interventional and ­vascularimaging and iatrogenic ­complications 195 Figure 6.6  PA chest radiograph. A nasogastric tube is seen passing into the left lower lobe bronchus. There is evidence of a left lower lobe pneumonia. Figure 6.7  Axial image: IV contrast enhanced CT scan of the thorax, which shows a significant left lower lobe pneumonia with a left lower lobe abscess, ­secondary to feeding via an incorrectly sited nasogastric tube (removed prior to imaging). ENDOTRACHEAL TUBE MISPLACEMENT A misplaced ET tube is a relatively common complication that is detected on post-intubation radiographs. If undetected, it can lead to respiratory complications and unnecessary morbidity and mortality. If the ET tube is too high, it can rub against the vocal cords and cause damage; if too low, it can selectively intubate the right or left bronchus, causing collapse of the contralateral lung. Table 6.3 Endotracheal tube misplacement. Imaging protocol. MODALITY PROTOCOL Plain film imaging PA chest X-ray to include the diaphragm. Radiological investigations Plain film imaging of the chest should be performed in all patients who have undergone ET tube placement. (See Table 6.3.) K22247_C006.indd 195 16/05/15 3:12 AM
  • 218.
    Chapter 6196 This isseen as dense opacification of the collapsed lung with volume loss, and mediastinal shift towards the collapsed lung. If the oesophagus has been intubated in error, gaseous distension of the stomach will be noted, with reduced lung volumes. Key points • A normal ET tube tip should lie 3–5 cm above the carina. • Intubation of a main bronchus can cause significant morbidity and the clinical team should be informed as a matter of urgency. Radiological findings Plain films A correctly placed ET tube tube should be seen in the midlinewiththetiplying3–5cmabovethecarina.Even when the carina is not visible, it can be assumed that a tip position overlying T3/T4 is safe. There can be considerable movement of the ET tube tip depending on the position of the neck, so accurate positioning can be difficult to determine. MisplacementoftheETtube,eithertooloworhigh, should be communicated immediately to the clinical team. If too low, there may be selective intubation of the right or left main bronchus, with corresponding collapse of the contralateral lung (Figures 6.8, 6.9). Figure 6.9  PA chest radiograph. The endotracheal tube in the same patient as in Figure 6.8 has been ­withdrawn to lie within the trachea and the left lung can be seen to have ­re-expanded. Figure 6.8  PA chest radiograph. An endotracheal tube is seen in the right main bronchus with almost complete collapse of the left lung. K22247_C006.indd 196 16/05/15 3:12 AM
  • 219.
    Interventional and ­vascularimaging and iatrogenic ­complications 197 ENDOVASCULAR STENT ENDOLEAK An endoleak is characterised by persistent blood flow within an aneurysm sac following endovascular aneurysm repair (EVAR). Normally, the aortic stent- graft used for EVAR excludes the aneurysm from the circulation by providing a conduit for blood to bypass the sac. Endoleaks are a common complication of EVAR and are found in 30–40% of patients intraoperatively (seen on the on-table angiogram after stent deployment) and in 20–40% during follow-up CTA imaging (Stavropoulos Charagundla, 2007). Endoleaks are often asymptomatic; however, they are significant as flow within the aneurysm sac is at high pressure and if untreated, the aneurysm sac may expand, leading to eventual rupture. As such, aneurysm expansion following EVAR always warrants investigation for endoleak. The causes of endoleak can be classified into five types (Table 6.4). Type I: Leak at graft attachment site: • Ia: proximal. • Ib: distal. Type II: Aneurysm sac filling via branch vessel: • IIa: single vessel. • IIb: two vessels or more. Type III: Leak through defect in graft: • IIIa: junctional separation of the modular components. • IIIb: fractures or holes involving the endograft. Type IV: Leak through graft fabric as a result of graft porosity. Type V: Continued expansion of aneurysm sac without ­demonstrable leak on imaging (endotension). Table 6.4  Classification of endoleaks. Table 6.5 Endovascular stent endoleak. ­Imaging protocol. MODALITY PROTOCOL CT Unenhanced. No oral contrast. Scan from just above diaphragm to the femoral heads. If a thoracic aortic endovascular stent ­endoleak is suspected, coverage of the thorax may suffice. Aortic angiogram: 100 ml IV contrast via 18G cannula, 4 ml/sec. Bolus track ­centred on mid-abdominal aorta. Scan from just above ­diaphragm to femoral heads. If a ­thoracic aortic endovascular stent ­endoleak is ­suspected, coverage of the thorax may suffice. Radiological investigations Ultrasound is usually used as a follow-up imaging modality to assess sac size and to check for the presence of an endoleak. It can also be used in the acute setting, but views may be limited as the quality of the images is user dependent. In the acute setting, the most accurate modality is CT.Thisenablestheradiologisttoaccuratelyassessthe sac size, confirm and characterise the endoleak as well as check for a leaking aneurysm. (See Table 6.5.) Radiological findings Computed tomography Baseline non-contrast CT imaging of the aorta is necessary to establish a baseline density within the aneurysm sac. Sometimes, the presence of calcification can mimic contrast and therefore alter the image interpretation. K22247_C006.indd 197 16/05/15 3:12 AM
  • 220.
    Chapter 6198 Key points • Unenhanced CT is very important in order to compare areas of high attenuation within the aneurysm sac on follow-up contrast enhanced imaging. • Type 2 endoleaks can usually be traced back to a collateral vessel, usually a branch of a lumbar artery or inferior mesenteric branch. Reference Stavropoulos SW, Charagundla SR (2007) Imaging techniques for detection and management of endoleaks after endovascular aortic aneurysm repair. Radiology 243:641–55. CTA in an endoleak classically demonstrates high attenuation (representing leaking contrast) external to the stent in the aneurysm sac, which is not present in the unenhanced phase. This may be seen adjacent to the proximal end of the graft (Type 1) (Figure 6.10) or at the junctional zones of the graft (Type 3) (Figures 6.11, 6.12). The most common type of endoleak (Type 2) is seen as focal areas of high density within the aneurysm sac (Figure 6.13). Often the origin can be traced to a vessel entering the sac. The vessels are usually lumbar or inferior mesenteric collaterals in the case of EVAR. On detecting an endoleak, findings should be communicated to the vascular surgical team. A variety of treatment options are available depending on the type and size of the endoleak. Figure 6.11  Axial image: IV contrast enhanced CT scan of the thorax in the arterial phase. Contrast is seen in the aneurysm sac at the mid aspect of the covered stent (arrow). This was not present on the plain scan and the features are in keeping with a Type 3 endoleak. Figure 6.10  Axial image: IV contrast enhanced CT scan of the abdomen in the arterial phase. Contrast is seen in the aneurysm sac at the proximal aspect of the graft (arrow). This was not present on the plain scan and the features are in keeping with a Type 1 endoleak. K22247_C006.indd 198 16/05/15 3:12 AM
  • 221.
    Interventional and ­vascularimaging and iatrogenic ­complications 199 COMPLICATIONS OF COMMON FEMORAL ARTERY PUNCTURE Common femoral artery (CFA) puncture is frequently performed by interventional radiologists (IRs), cardiologists and neurointerventional radiologists. Arterial puncture site complications include haematoma, dissection, thrombosis, arteriovenous fistula and pseudoaneurysm. Although rare, puncture site injuries may cause serious sequelae and can lead to death. The most common complication following CFA puncture is haematoma. This is usually caused by a puncture that is too high (above the inguinal ligament) or too low (below the femoral head). Haematomas may also result from a failure of adequate compression after sheath removal or failure of endovascular closure devices.Haematomascanbeofvaryingsizes;punctures above the inguinal ligament are difficult to compress after removal of sheaths and often lead to large retroperitoneal haematomas. These can continue to bleed and patients often present with flank or lower abdominal swelling/bruising as well as signs and symptoms of shock. Punctures that are too low can lead to haematomas extending into the thigh. The second most common complication of CFA puncture is pseudoaneurysm formation. A pseudoaneurysm is defined as an arterial wall disruption in which an extravascular cavity communicates with the vessel lumen but is contained by surrounding haematoma or adjacent tissues. CFA pseudoaneurysms are more common in punctures that are below the femoral head. Patients often present days after CFA puncture with a large or expanding pulsatile groin swelling. They may also present with signs and symptoms of shock as well as a reduced haemoglobin level. Radiological investigations Ultrasound and Doppler ultrasound of the groin is a very useful first-line imaging method to assess for CFA puncture complications. The groin and femoral vessels are usually very easy to see on ultrasound. If ultrasound fails to detect any abnormality and there is ongoing Figure 6.12  Axial image: IV contrast enhanced CT scan of the abdomen in the arterial phase. Contrast is seen in the aneurysm sac at the mid aspect of the graft (arrow). This is in keeping with a Type 3 endoleak. Figure 6.13  Axial image: IV contrast enhanced CT scan of the abdomen in the arterial phase. Contrast is seen in the aneurysm sac at the periphery on the right. A vessel can be seen superiorly adjacent to the sac, which is a branch of the inferior mesenteric artery. The ­features are in keeping with a Type 2 endoleak. K22247_C006.indd 199 16/05/15 3:12 AM
  • 222.
    Chapter 6200 Table 6.6 Complicationsof common femoral artery puncture. Imaging protocol. MODALITY PROTOCOL CT Unenhanced. No oral contrast. Scan from just above the diaphragm to below the femoral heads. Aortic angiogram: 100 ml IV contrast via 18G cannula, 4 ml/sec. Bolus track centred on mid-abdominal aorta. No oral contrast. Scan from the diaphragm to below the femoral heads. Delayed phase: IV contrast as above, scan at 120 seconds after start of contrast injection. Scan from the diaphragm to the femoral heads. Ultrasound High frequency linear probe (e.g. 6–9 MHz) with use of colour Doppler imaging. clinical concern, further evaluation with CTA may be helpful. This can help to delineate vascular anatomy as well as identify focal areas of active haemorrhage. (See Table 6.6.) Radiological findings Ultrasound Ultrasound of the affected groin should be performed with a linear transducer. First, the CFA should be identified and assessed for patency. Colour Doppler flow and signal should be assessed for normal arterial waveforms. The same should then be carried out for the superficial femoral artery, profunda femoris artery and the visible external iliac vessel. The arteries should be assessed in longitudinal and transverse planes. Any focal outpouchings containing flow and/ or discontinuity of the vessel wall must be considered a pseudoaneurysm. The size of the pseudoaneurysm must be measured as well as the neck of the aneurysm, Figure 6.14  Ultrasonogram showing a mixed ­echogenicity mass in the upper thigh consistent with an evolving haematoma. as both these factors play a role in deciding treatment options. Following this, the soft tissues surrounding the blood vessels should be assessed for haematoma. The ultrasound features for haematoma are non-specific, and usually appear as hypo- or mixed echoic areas, which have variable definition (Figure 6.14). These should be assessed for colour Doppler flow, to look for active bleeding. Computed tomography CT assessment for CFA puncture complications is reserved for cases where patients are unstable and/or ultrasound fails to provide a diagnosis. Unenhanced CT should be performed in the first instance. This not only provides a baseline image for comparison, but it can detect haematomas in the soft tissues and retroperitoneum. Retroperitoneal haematomas on CT appear either as linear streaky opacities in the fat or K22247_C006.indd 200 16/05/15 3:12 AM
  • 223.
    Interventional and ­vascularimaging and iatrogenic ­complications 201 Figure 6.15  Axial image: IV contrast enhanced CT scan of the pelvis in the arterial phase. Contrast is seen in the right common femoral artery with a thin track of contrast extending superiorly into a focal collection of contrast. This area was not present on plain imaging and showed wash out on subsequent delayed imaging. The features are in keeping with a right common femoral artery pseudoaneurysm. as well-defined high attenuating soft tissue masses or collections. It is important to perform an arterial phase study if the plain scan confirms a retroperitoneal haematoma. This allows for assessment of active arterial bleeding, which is seen as an ill-defined high attenuation blush of contrast adjacent to the blood vessel or within the collections. Delayed phase imaging often shows an increase in the high attenuation area, in keeping with haemorrhage. If active bleeding is detected, urgent discussion with the clinical team is necessary. Pseudoaneurysms can also be seen on CT, although most can be detected on ultrasound. Pseudoaneurysms are seen as a focal contrast-filled outpouching of the artery in the arterial phase. In the portal venous phase, these outpouchings show a washout of contrast, which is diagnostic of pseudoaneurysms. There is often surrounding haematoma and or/inflammatory change (Figure 6.15). Key points • A combination of ultrasound and CT imaging should be utilised to identify common complications of CFA puncture. • In unstable patients, triple-phase CT is a useful method to characterise the puncture site. K22247_C006.indd 201 16/05/15 3:12 AM
  • 224.
  • 225.
    203 Appendix 1 CRITERIA FORPERFORMING A CT HEAD SCAN [1] For adults who have sustained a head injury and have any of the following risk factors, perform a CT head scan within 1 hour of the risk factor being identified: • GCS less than 13 on initial assessment in the emergency department. • GCS less than 15 at 2 hours after the injury on assessment in the emergency department. • Suspected open or depressed skull fracture. • Any sign of basal skull fracture (haemotympanum, ‘panda’ eyes, cerebrospinal fluid leakage from the ear or nose, Battle’s sign). • Post-traumatic seizure. • Focal neurological deficit. • More than 1 episode of vomiting. • A provisional written radiology report should be made available within 1 hour of the scan being performed. [2] For children who have sustained a head injury and have any of the following risk factors, perform a CT head scan within 1 hour of the risk factor being identified: • Suspicion of non-accidental injury. • Post-traumatic seizure but no history of epilepsy. • On initial emergency department assessment, GCS less than 14, or for children under 1 year GCS (paediatric) less than 15. • At 2 hours after the injury, GCS less than 15. • Suspected open or depressed skull fracture or tense fontanelle. • Any sign of basal skull fracture (haemotympanum, ‘panda’ eyes, cerebrospinal fluid leakage from the ear or nose, Battle’s sign). • Focal neurological deficit. • For children under 1 year, presence of bruise, swelling or laceration of more than 5 cm on the head. • A provisional written radiology report should be made available within 1 hour of the scan being performed. [3] For children who have sustained a head injury and have more than one of the following risk factors (and none of those listed under [2] above), perform a CT head scan within 1 hour of the risk factors being identified: • Loss of consciousness lasting more than 5 minutes (witnessed). • Abnormal drowsiness. • Three or more discrete episodes of vomiting. • Dangerous mechanism of injury (high-speed road traffic accident either as pedestrian, cyclist or vehicle occupant, fall from a height of greater than 3 metres, high-speed injury from a projectile or other object). K22247_Appendix I.indd 203 16/05/15 3:15 AM
  • 226.
    Appendix 1204 • Amnesia(antegrade or retrograde) lasting more than 5 minutes. • A provisional written radiology report should be made available within 1 hour of the scan being performed. [4] Children who have sustained a head injury and have only 1 of the risk factors listed under [3] above (and none of those listed under [2] above) should be observed for a minimum of 4 hours after the head injury. If during observation any of the risk factors below are identified, perform a CT head scan within 1 hour: • GCS less than 15. • Further vomiting. • A further episode of abnormal drowsiness. • A provisional written radiology report should be made available within 1 hour of the scan being performed. If none of these risk factors occur during observation, use clinical judgement to determine whether a longer period of observation is needed. GCS = Glasgow Coma Score From National Institute for Health and Care Excellence (2014) CG 176 Head injury. Triage, assessment, investigation and early management of head injury in children, young people and adults. Manchester: NICE. Available from www.nice.org.uk/CG176. With permission. K22247_Appendix I.indd 204 16/05/15 3:15 AM
  • 227.
    205 Appendix 2 STANDARDS OFPRACTICE AND GUIDANCE FOR TRAUMA RADIOLOGY IN SEVERELY INJURED PATIENTS Standardsofpracticeandguidancefortraumaradiology in severely injured patients. (Taken from The Royal College of Radiologists (2011) Standards of Practice and Guidance for Trauma Radiology in Severely Injured Patients. Royal College of Radiologists, London, with permission.) INTRODUCTION This standards of practice guideline is intended to complement the recently published NHS report, Regional Networks for Major Trauma,2 to which Fellows of The Royal College of Radiologists (RCR) contributed through the NHS Clinical Advisory Group’s(CAG)ReportonRegionalTraumaNetworks. These standards of practice are written with the support of the National Clinical Director for Trauma Care under whose leadership the NHS CAG report was developed. These standards and guidelines should be read in conjunction with the NHS CAG publication which states the definitions and principles on which these are based. Although the report is to be actioned by the NHS in England, a similar standard of care is appropriate in managing severely injured patients in other parts of the UK. The purpose of this publication is, therefore, to set standards related to diagnostic and interventional radiology for use by major trauma centres (MTCs) and trauma units (TUs) relating to: • How diagnostic imaging and interventional radiology services should be provided and used in the management of the severely injured patient • When diagnostic imaging and interventional radiology are appropriate and when they are contraindicated • What quality indicators can be used in the provision of diagnostic imaging and interventional radiology for trauma • The provision of protocols for imaging and reporting that can be adapted according to loco-regional service requirements and equipment. The standards reflect consensus opinion based on available evidence and best existing practice. As stated, they are intended for local and regional consideration for adoption and adaptation according to current and future resources. They are based on the principle that the care provided to the trauma patient in the first few hours can be absolutely critical in terms of predicting longer-term recovery and that good trauma care involves getting the patient to the right place at the right time for the right treatment. The standards also recognise that in the overall management of the severely injured patient, from roadside to rehabilitation, diagnostic and therapeutic radiology plays a pivotal role but is but a small part of the whole management process. The standards will deal largely but not exclusively with the severely injured patient (SIP) following major trauma. NHS Choices defines major trauma as ‘multiple, serious injuries that could result in death or serious disability’.3 These might include serious head injuries, severe gunshot wounds, falls, crush injuries or road traffic accidents. Major trauma is defined in the scientific literature using the Injury Severity Score (ISS).4 The ISS is an anatomical scoring system derived from imaging and clinical examination which assigns a value to injuries in different parts of the body using the Abbreviated Injury Scale (AIS).5 The highest scores from three different body regions are used to K22247_Appendix II.indd 205 16/05/15 3:16 AM
  • 228.
    Appendix 2206 calculate afigure representing the severity of injury. An ISS greater than 15 is defined as major trauma. This would include serious injuries such as bleeding in the brain or a fracture of the pelvis and cases of multiple injuries, especially where the risk of haemodynamic instability is a consideration. The acute trauma setting is not the place for disagreements about the patient pathway. Immediate management decisions must be made by the designated trauma team leader. Standard 1. The trauma team leader is in overall charge in acute care. Imaging and intervention Radiologists Just as the trauma team leader must be an experienced consultant, there must also be consultant-delivered input for imaging and intervention. Standard 2. Protocol-driven imaging and intervention must be available and delivered by experienced staff. Acute care for SIPs must be consultant delivered. Location and facilities The location of imaging facilities, their design and the equipment they contain should be based on the following principles. • Speed is of the essence – time is tissue, time is organs, time is life; delay is deterioration, disability and death. • Moving a severely injured patient introduces delays and can exacerbate blood loss. The less the patient is moved and the shorter the distance, the greater will be the chance of survival. Quality indicator MTCs and TUs will have multidisciplinary debriefings about SIPs on a regular basis to assess the process and adjust pathways if necessary. A radiologist involved in trauma management shouldattendsuchmeetings.Inaddition,individual cases should be considered in the radiology department on a regular basis. • Imaging in SIPs more accurately delineates the extent of injury than clinical examination. • The imaging technique of choice is the one which is definitive in the trauma setting. In SIPs this will most often be head-to-thigh contrast- enhanced multidetector computed tomography (MDCT). • Definitive imaging should not be delayed by other, less accurate, investigations. • The imaging environment requires all the life support facilities available in the emergency room. This will include monitoring and gases. The room design should allow visual and technical monitoring of the patient by anaesthetic staff. Standard 3. MDCT should be adjacent to, or in, the emergency room. Where this is not the case: • Transfers must be rehearsed and performed according to protocol • Radiology departments in MTCs and TUs should plan to make this available in the near future. Digital radiography Digital radiography (DR) must be present in the emergencyroom.AchestX-ray(CXR)mightprecedea MDCT scan if there is doubt about the side or presence of a pneumothorax in a patient with respiratory compromise. Once the decision is taken to request an emergency MDCT, plain films of the abdomen or pelvis are usually irrelevant and extremity imaging should be delayed until life-threatening injuries have been diagnosed and treated. The British Orthopaedic Association and British Society of Spine Surgeons do not recommend plain films of the C-spine in a SIP and their standard of practice for C-spine clearance is CT.6 Cervical spinal injury precautions and pelvic binders should remain in place until the MDCT has been fully assessed. Where severe injury is to the spine only, MDCT or MRI scan might be required but a plain film series of the cervical spine might also be indicated. K22247_Appendix II.indd 206 16/05/15 3:16 AM
  • 229.
    STANDARDS OF PRACTICEAND GUIDANCE FOR TRAUMA RADIOLOGY 207 Standard 4. Digital radiography must be available in the emergency room. FAST Focusedabdominalsonographyintrauma(FAST)does not offer any additional information to that obtained with a CT scan and should not be performed if it would delay transfer to CT. FAST is a poor discriminator of therequirementorotherwiseforlaparotomyintrauma. Studies have shown negative predictive values of only 50–63% for FAST in unstable patients.7,8 FAST does have value in the diagnosis of pericardial effusion and in experienced hands might detect free intra-abdominal fluid in an otherwise non-compromised patient. It has an important role in triage when managing multiple SIPs simultaneously or in a major incident scenario. As with all imaging, a report on a FAST scan should be documented and the designation of the operator recorded. Standard 5. If there is an early decision to request MDCT, FAST and DR should not cause any delay. Magnetic resonance imaging (MRI) MRI is not indicated in the setting of acute trauma care. However, in the MTC, it must be available 24 hours a day, seven days a week. It should be in the same building as the emergency department or, if it is in a different building, protocols should be in place for the transfer of critically injured patients if further management is dependent on MRI in the first 12 hours. InaTUwithoutaccessto24-hourMRI,formalwritten protocols should be in place for the transfer of patients to a facility that has 24-hour MRI. Quality indicator WhereFASTorplainfilmshavebeenusedinaSIP, their use and value in that case should be evaluated in a multidisciplinary debriefing. Quality indicator An annual audit of justification in trauma imaging should be carried out by the radiology department. Standard 6. MRI must be available with safe access for the SIP. Indications for imaging in the SIP As stated above, there may be indications for plain DR but these should never delay an MDCT if a decision has been taken early that this is the imaging modality of choice. There may be circumstances where imaging is inappropriate;forexample,whereaSIPisadmittedwith profound shock, is not responding to intravenous fluids and the site of bleeding is clear from the mechanism of injury and rapid assessment. Such patients may be best taken straight to theatre. The more accessible the MDCTscanneristotheemergencyroomandthemore efficient CT transfer organisation is, the less frequently this should happen. A polytrauma protocol MDCT is indicated when: • There is haemodynamic instability. • The mechanism of injury or presentation suggests that there may be occult severe injuries that cannot be excluded by clinical examination or plain films. • FAST (if used) has demonstrated intra-abdominal fluid. • If plain films suggest significant injury, such as pneumothorax, pelvic fractures. • Obvious severe injury on clinical assessment. Standard 7. A CT request in the trauma setting should comply with the Ionising Radiation (Medical Exposure) Regulations 20009 (IR(ME)R) justification regulations like any other request for imaging involving ionising radiation. Quality indicator Availability of clear protocols for the transfer of SIPs to MRI facilities within 12 hours. K22247_Appendix II.indd 207 16/05/15 3:16 AM
  • 230.
    Appendix 2208 Appendix 1demonstrates a sample request card which trusts can modify according to local needs. NOTE: SomeMTCsinotherEuropeanandNorth American countries have adopted a ‘CT first’ protocol. The UK awaits the results of the Randomized study of Early Assessment by CT scanning in Trauma patients (REACT)trialcurrentlyrecruitingpatientstoaCT-first or resuscitation-first protocol in the Netherlands. The result of that study might supersede the indications above and major trauma itself may justify immediate MDCT 10 delaying only in the resuscitation area for time-critical interventions such as securing an airway or profound hypotension. Preparation and transfer to MDCT There should be agreed local protocols with clear attribution of responsibility for every stage. Request for MDCT Clear protocols must exist for notifying the CT department of the need for urgent imaging and how the department will respond to ensure that the scanner is clear to receive the incoming injured patient. It must be clear who is responsible for this at both ends. There should be a detailed polytrauma request form (see Appendix 1). Transfer route to CT This must be established in advance. Transfer staff should be notified well in advance. IV access Right antecubital access is preferred for contrast administration (left-sided injections compromise interpretation of mediastinal vasculature). However, if arm vein access is not possible and a central line is in situ, it should be of a type that can accept 4 ml contrast/ second via a power injector. This might require local negotiation with emergency department doctors beforehand. Pelvic fracture If a pelvic fracture is suspected, a temporary pelvic stabilisation (wrap, binder and so on) should be applied before MDCT. Limb fractures Rapid immobilisation such as air splints. Only immediately limb conserving manipulations/splinting should be performed prior to CT. Urinary catheter All significantly injured patients without obvious contraindications should be catheterised unless this would delay transfer to CT. The catheter should be clamped prior to MDCT. Pregnancy There must be awareness of pregnancy status in female SIPs of childbearing age. The health of the mother takes precedence over the health of the fetus and, if appropriate, modification of pathways should be decided by the trauma team leader and consultant radiologist. Standard 8. There should be clear written protocols for MDCT preparation and transfer to the scan room. MDCT imaging protocols Whole-body MDCT has been shown to be a predictor of survival in SIPs when compared to no CT or targeted CT.11 Clearly there are many abnormalities that might be detected on whole-body MDCT in the SIP and protocolsshouldbedesignedtoimagetheseasclearlyas possible. Protocols should be the same across networks so that repeat scanning is not required where transfer is necessary. Where active contrast extravasation is seen, the on-call interventional radiologist should be informed immediately along with the trauma team leader. Where findings are equivocal, the on-call consultant radiologist shouldbeaskedforanimmediate opinion. Quality indicator Such protocols should be written and available and the process should be a statutory evaluation at debriefing. K22247_Appendix II.indd 208 16/05/15 3:16 AM
  • 231.
    STANDARDS OF PRACTICEAND GUIDANCE FOR TRAUMA RADIOLOGY 209 Examples of polytrauma CT protocols are listed in Appendix 2. An MDCT protocol should be agreed across a trauma network to ensure consistency and obviate the need for repeat scanning if transfer is necessary. The NHS CAG document2 refers to the patient who is ‘stable enough to undergo MDCT’. The phrase used reflects the difficulty in being too prescriptive in giving guidance about the stability of a SIP and fitness for investigation. It can be argued that the greater the haemodynamic instability, the greater the requirement for accurate diagnosis to allow targeted surgery/intervention. In the perfect emergency room environment where all imaging is immediately co-located, there should only be a very small minority of patients who are too unstable for MDCT. Such patients would probably require open procedures in the emergency room environment. However, local circumstanceswillvaryandundoubtedlysuchdecisions have to be made at the time by the trauma team leader after consultation. Protocols for unstable patient transfer should take accountofunitgeographyandberehearsedtomaximise the proportion of patients who can access CT. Standard 9. Whole-body contrast- enhanced MDCT is the default imaging procedure of choice in the SIP. Imaging protocols should be clearly defined and uniform across a regional trauma network. Standard 10. Future planning and design of emergency rooms should concentrate on increasing the number of SIPs stable enough for MDCT and intervention. Reporting The initial MDCT should be attended by an appropriately trained on-call radiologist. Trainees Quality indicator Imaging and reporting protocols should be agreed across referral regions and written protocols must be available. should involve on-call consultant radiologists as soon as possible. Reporting follows the Advanced Trauma Life Support (ATLS)12 system in that there should be an initial primary survey followed by a secondary survey. Initial primary survey review The aim of this is to give an immediate indication of the major life-threatening injuries while active management continues. The initial images should be reviewedlookingforthoracicinjuriesthatmightimpair breathing, vascular injuries that might cause bleeding and neurological injuries that might cause disability if not treatedrapidly. AsuggestedCT primarysurveypro forma is provided in Appendix 3. Such a form should be filled in at the time, signed and dated. A copy should be handed to the trauma team leader and a duplicate scanned into the radiology information system (RIS). Theclinicalteamshouldfillintheircontactdetailsso thatwhenthefulltraumaproformareportiscompleted, all the necessary points of contact are available. Standard 11. The primary survey report should be issued immediately to the trauma team leader. It should be signed and designated and a copy should be retained in the CT department (or RIS). Secondary/definitive survey Once the initial scan results and pro forma have been communicated to the trauma team, the scan should be carefully reviewed against a written set of criteria and the secondary trauma report completed (Appendix 4). Thisshouldbeperformedbyaconsultantradiologistor in consultation with a consultant radiologist who may provide this report via a teleradiology link of suitable quality.13 NOTE: Radiologists working remotely for teleradiology companies have imaging equipment that allows diagnostic reports in real time and the UK military have reporting facilities in the UK that allows accurate reporting of trauma scans from field hospitals anywhere in the world, although they do deploy radiologists on site to cope with rapid fluctuations in patient care. All the areas listed in Appendix 4 should be reported on. This report should be completed within one hour to ensure there is no unnecessary delay to clinical K22247_Appendix II.indd 209 16/05/15 3:16 AM
  • 232.
    Appendix 2210 management. Anysignificant findings, particularly where there is a variance to the initial primary survey report, should be telephoned through to relevant clinicians. Again, the list of contact details will be invaluable where there is a change in findings.14 Standard 12. On-call consultant radiologists should provide the final report on the SIP within one hour of MDCT image acquisition. Standard 13. On-call consultant radiologists must have teleradiology facilities at home that allow accurate reports to be issued within one hour of MDCT image acquisition. Interventional radiology (IR) The role of IR in the SIP is to stop haemorrhage as quickly as possible with minimal interference to the patient’s already damaged physiology. It is as much a form of damage control as pressing on a bleeding artery or surgical packing. Information supplied by MDCT is key to informing the decision-making process and guiding a catheter to the haemorrhage site. It is likely that there will never be Level 1 evidence for endovascular techniques in trauma but, with this caveat, there are no significant contraindications to the use of IR to arrest haemorrhage in major trauma. There is a growing body of Level 2/3 evidence for its safety, efficacy, speed and cost-effectiveness. The decision on whether a patient with traumatic haemorrhage undergoes endovascular treatment, open surgery, a combination of the two or non-operative management (NOM) is typically a decision made by both the trauma team leader and the interventional radiologist after consultation with other consultants involved (Appendix 5). Decisions must be made quickly and should be driven by agreed algorithms. Establishing routes of communication between the services is paramount. Quality indicator All imaging should be discussed at debriefing meetings and errors of protocol or fact discussed at discrepancy meetings.15 A checklist of quality indicators for IR is provided in Appendix 6. Endovascular theatres When IR is indicated in SIP management, rapid access to endovascular intervention is essential. Therefore, angiography facilities should be located as close as possible to the emergency department and should certainly be in the same building and on the same floor. In future, angiography suites should be co-located within an acute theatre complex/emergency room that provides surgical and anaesthetic support to acutely ill patients. Such facilities are not yet available in the UK. Standard 14. IR facilities should be co-located to the emergency department. Facilities Angiography suites must have modern (installed within the last ten years) fixed C-arm imaging equipment. Roomsneedtobelargeenoughtohandlethenumerous individuals who accompany the very unstable trauma patient. They should have the same facilities as an operating theatre and ideally should have positive pressure air change. Portable C-arm equipment should only be used in the context of immediate stabilisation by occlusion balloon inflation. Portable units do not offer the same imaging quality as fixed units and there is evidence of patient harm occurring with the use of such units, principally due to poor image quality.16 In addition, portable units can only operate for a limited time before overheating. Standard 15. Angiographic facilities and endovascular theatres in MTCs should be safe environments for SIPs and should be of theatre standard. Protocols Local services should take particular care to develop transfer protocols for both internal and external anaesthetic supported transfer. A frequent source of delay in many centres is the internal transfer of haemodynamically compromised patients for CT imaging or embolisation. Agreed pathways and improvements to local environment should be K22247_Appendix II.indd 210 16/05/15 3:16 AM
  • 233.
    STANDARDS OF PRACTICEAND GUIDANCE FOR TRAUMA RADIOLOGY 211 prioritised to minimise delay while maintaining patient safety. Standard 16. Agreed written transfer protocols between the emergency department and imaging/interventional facilities internally or externally must be available. Workforce Adequate staffing levels (radiologist, radiographer and nursing staff) must be available. Much trauma occurs outside normal working hours and the best clinical outcomes are achieved by rapid access to a consultant- led and delivered IR service. If resident on-call IR staff are not considered necessary, early warning systems for on-call IR teams should be in place. The priority must be at all times to develop systems that reduce the key clinical criterion of the total time to arrest haemorrhage. Standard 17. IR trauma teams should be in place within 60 minutes of the patient’s admission or 30 minutes of referral. Consumable equipment There should be a full range of occlusion balloons, catheters, embolic materials and stent grafts available and there should be a robust system in place for replacement of used items. The use of embolisation packs are particularly recommended, especially on rare occasions when procedures are being undertaken outside the routine angiographic environment. Standard 18. Any deficiency in consumable equipment should be reported at the debriefing and be the subject of an incident report. Audit and morbidity and mortality meetings Multidisciplinary team audit including all involved specialties is essential to improve and maintain high-quality clinical services. Radiologists should ensure they participate in ongoing audit of trauma services and contribute to local and national audit mechanisms. Approved by the Board of the Faculty of Clinical Radiology: 25 February 2011. References 1.  Department of Health. The Operating Framework fortheNHSinEngland2011/12.http://www.dh.gov. uk/en/Publicationsandstatistics/Publications/ PublicationsPolicyAndGuidance/DH_122738 (last accessed 26/4/11) 2.  NHS Clinical Advisory Group. Regional Networks for Major Trauma. http://www.excellence. eastmidlands.nhs.uk/welcome/improving-care/ emergency-urgent-care/major-trauma/nhs- clinical-advisory-group/ (last accessed 26/4/11) 3.  NHS Choices. http://www.nhs.uk/ N H S E n g l a n d / A b o u t N H S s e r v i c e s / Emergencyandurgentcareservices/Pages/ Majortraumaservices.aspx (last accessed 26/4/11) 4.  Baker SP, O’Neill B, Haddon W Jr, Long WB. The injury severity score: a method for describing patients with multiple injuries and evaluating emergency care. J Trauma 1974; 14: 187–196. 5.  Copes WS, Sacco WJ, Champion HR, Bain LW. Progress in Characterising Anatomic Injury. In: Proceedings of the 33rd Annual Meeting of the Association for the Advancement of Automotive Medicine, Baltimore, MA, USA: 205–218. 6.  British Orthopaedic Association and British Association of Spinal Surgeons. Standards for Trauma (BOAST). Spinal clearance in the trauma patient. London: BOA, 2008. 7.  Friese RS, Malekzadeh S, Shafi S, Gentilello LM, Starr A. Abdominal ultrasound is an unreliable modality for the detection of hemoperitoneum in patients with pelvic fracture. J Trauma 2007; 63: 97–102. 8.  Tayal VS, Nielsen A, Jones AE, Thomason MH, Kellam J, Norton HJ. Accuracy of trauma ultrasound in major pelvic injury. J Trauma-Injury Infection Critical Care 2006; 61: 1453–1457. 9.  Department of Health. The Ionising Radiation (Medical Exposure) Regulations 2000 (together with notes on good practice) http://www.dh.gov. uk/en/Publicationsandstatistics/Publications/ PublicationsPolicyAndGuidance/DH_4007957 (last accessed 19/5/11) 10.  Saltzherr TP, Fung Kon Jin PH, Bakker FC et al. An evaluation of a Shockroom located CT scanner: a randomized study of early assessment by K22247_Appendix II.indd 211 16/05/15 3:16 AM
  • 234.
    Appendix 2212 SITE NOMIR DCS Thoracic aorta No role except in small partial thickness tears. Stent graft for suitable lesions. Ascending aortic injury or arch injury involv- ing great vessels. Abdominal aorta No role. Occlusion balloon, stent graft for suitable lesions. Injury requiring visceral revascularisation or untreatable by EVAR. Peripheral or branch artery No role. Occlusion balloon, stent graft or embolisation. Any lesion which cannot rapidly be controlled or which will require other revascularisation. Kidney Subcapsular or retroperito- neal haematoma without active arterial bleeding. Active arterial bleeding, embolisation or stent graft. Renal injury in association with multiple other bleeding sites or other injuries requir- ing urgent surgical repair. Spleen Lacerations, haematoma without active bleeding or evidence of false aneurysm. Active arterial bleeding or false aneurysm. Focal embolisation for focal lesion Proximal embolisation for diffuse injury. Packing or splenectomy for active bleeding in association with multiple other bleeding sites. Liver Subcapsular or intraperito- neal haematoma or lacera- tions without active arterial bleeding. Active arterial bleeding. Focal embolisation if possible. Non-selective embolisation if multiple bleeding sites as long as portal vein is patent. Packing if emergency laparotomy needed with subsequent repeat CT and embolisation if required. Pelvis Minor injury with no active bleeding. Focal embolisation for arterial injury (bleeding, false aneurysm or cut-off). External compression and subsequent fixa- tion if bleeding from veins or bones. Intestine Focal contusion with no evidence of ischaemia, per- foration or haemorrhage. Focal bleeding with no evidence of ischaemia or perforation. Or, to stabilise patient, allowing interval laparotomy pending treatment of other injuries. Ischaemia or perforation requiring lapa- rotomy +/- bowel resection. CT scanning in trauma patients in the bi-located trauma center North-West Netherlands (REACT trial). BMC Emerg Med 2008; 8: 10. 11.  Huber-Wagner S, Lefering R, Qvick LM et al. Effect of whole-body CT during trauma resuscitation on survival: a retrospective, multicentre study. Lancet 2009; 373: 1455–1461. 12.  http://www.facs.org/trauma/atls/about.html (last accessed 26/4/11) 13.  TheRoyalCollegeofRadiologists.Standardsforthe provision of teleradiology within the United Kingdom. London: The Royal College of Radiologists, 2010. 14.  The Royal College of Radiologists. Standards for the communication of critical, urgent and unexpected significant radiological findings. London: The Royal College of Radiologists, 2008. 15.  The Royal College of Radiologists. Standards for Radiology Discrepancy Meetings. London: The Royal College of Radiologists, 2007. 16.  MHRA. Joint Working Group to produce guidance on delivering an Endovascular Aneurysm Repair (EVAR) Service. London: MHRA, 2010. http:// www.mhra.gov.uk/Publications/Safetyguidance/ Otherdevicesafetyguidance/CON105763 (last accessed 26/4/11) GUIDANCE ON THE ­INDICATIONS FOR NON-­OPERATIVE ­MANAGEMENT (NOM), ­INTERVENTIONAL RADIOLOGY (IR) AND DAMAGE CONTROL SURGERY (DCS) IN THE SIP Decisions regarding IR or DCS will be modified according to the facilities and staff available and the patient’s stability at presentation. (After Dr D Kessel) K22247_Appendix II.indd 212 16/05/15 3:16 AM
  • 235.
    213 Appendix 3 TRAUMA COMPUTEDTOMOGRAPHY PRIMARY ASSESSMENT CT HEAD:Vault #/base of skull #/orbital#/facial bones# Subdural bleed/extradural bleed Other: Patient name Hospital ID Date Reporting radiologist CT CHEST: Pneumothorax/haemothorax/pneumomediastinum/thoracic aorta injury Rib #...........................................................................Thoracic spine #.................................................................................. Other: Lines Present Satisfactory position ETT Central line Chest drain NG tube CT C-SPINE: Odontoid peg#/C1# Other: CT ABDOMEN: Free fluid/pneumoperitoneum/liver laceration/splenic laceration/abdominal aorta injury Lumbar spine #....................................................................................................................................................................... Other: CT PELVIS – Free fluid/bladder injury Pelvic #................................................................................................................................................................................... Other: Adapted from a preliminary report byThe Heart of England NHS FoundationTrust Radiology Department,June 2014,with permission.A full report will be available on CRIS® (Computerised Radiology Information System). K22247_Appendix III.indd 213 16/05/15 3:17 AM
  • 236.
    Using the VitalSource® ebook Accessto the VitalBookTM ebook accompanying this book is via VitalSource® Bookshelf – an ebook reader which allows you to make and share notes and highlights on your ebooks and search across all of the ebooks that you hold on your VitalSource Bookshelf. You can access the ebook online or offline on your smartphone, tablet or PC/Mac and your notes and highlights will automatically stay in sync no matter where you make them. 1. Create a VitalSource Bookshelf account at https://online.vitalsource.com/user/new or log into your existing account if you already have one. 2. Redeem the code provided in the panel below to get online access to the ebook. Log in to Bookshelf and click the Account menu at the top right of the screen. Select Redeem and enter the redemption code shown on the scratch-off panel below in the Code To Redeem box. Press Redeem. Once the code has been redeemed your ebook will download and appear in your library. DOWNLOAD AND READ OFFLINE To use your ebook offline, download BookShelf to your PC, Mac, iOS device, Android device or Kindle Fire, and log in to your Bookshelf account to access your ebook: On your PC/Mac Go to http://bookshelf.vitalsource.com/ and follow the instructions to download the free VitalSource Bookshelf app to your PC or Mac and log into your Bookshelf account. On your iPhone/iPod Touch/iPad Download the free VitalSource Bookshelf App available via the iTunes App Store and log into your Bookshelf account. You can find more information at https://support. vitalsource.com/hc/en-us/categories/200134217- Bookshelf-for-iOS On your Android™ smartphone or tablet Download the free VitalSource Bookshelf App available via Google Play and log into your Bookshelf account. You can find more information at https://support.vitalsource.com/ hc/en-us/categories/200139976-Bookshelf-for-Android- and-Kindle-Fire On your Kindle Fire Download the free VitalSource Bookshelf App available from Amazon and log into your Bookshelf account. You can find more information at https://support.vitalsource.com/ hc/en-us/categories/200139976-Bookshelf-for-Android- and-Kindle-Fire N.B. The code in the scratch-off panel can only be used once. When you have created a Bookshelf account and redeemed the code you will be able to access the ebook online or offline on your smartphone, tablet or PC/Mac. SUPPORT If you have any questions about downloading Bookshelf, creating your account, or accessing and using your ebook edition, please visit http://support.vitalsource.com/ Accessing the E-book edition of ON CALL RADIOLOGY
  • 237.
    ON CALL RADIOLOGY Gareth Lewis• Hiten Patel Sachin Modi • Shahid Hussain • download the ebook to your computer or access it anywhere with an internet browser • search the full text and add your own notes and highlights • link through from references to PubMed ISBN: 978-1-4822-2167-1 9 781482 221671 90000 K22247 MEDICINE On Call Radiology presents case discussions on the most common and important clinical emergencies and their corresponding imaging findings encountered on-call. Cases are divided into thoracic, gastrointestinal and genitourinary, neurological and non-traumatic spinal, paediatric, trauma, interventional and vascular imaging. Iatrogenic complications are also discussed. Each case is presented as a realistic clinical scenario and includes a clinical history and request for imaging. Multi-modality imaging examples and a case discussion on the diagnosis and basic management, with emphasis on important radiological findings, are also presented. This book combines a case-based discussion format with practical advice on imaging decision making in the acute setting. It also offers guidance on radiology report writing and techniques, with a focus on relevant positive and negative findings to pass on to referring clinicians. On Call Radiology offers invaluable knowledge and practical tips for any on-call radiologist. ON CALL RADIOLOGY K22247_Cover.indd All Pages 5/21/15 1:52 PM