Sarcoidosis
DEAPCIT
definition
• Idiopathic, multi-system, chronic
granulomatous disease characterised by
noncaseating granuloma formation
epidemiology
• Prevalence = 50/100 000
• Common in African Americans, not in Africans
living in Africa
• Common in Japan, uncommon in rest of Asia
• Clusters in health workers
• Age = 20 – 40 yrs
• F>M
aetiology
• Genetic predisposition + environmental trigger
• Genetic
– Most common allele found in sarcoidosis is HLA-B8

• ? Infectious Ag triggers CMI response & starts
disease process
– Many organisms have been linked to sarcoidosis:
• M Tb
• Mycoplasma species; Borrelia burgdorferi;
Propionibacterium acnes
• Fungi - Histoplasma and Cryptococcus species
• Viruses - EBV, CMV, HSV, hepatitis C virus, and rubella
pathophysiology
• May begin with lung alveolitis
• This overstimulated local cellular immune
response may involve overactive TH-cells, which
release chemotactic factors to attract monocytes
from blood to lungs & nose, resulting in chronic
inflammation
• Macrophages transform into giant cells, which
then form epithelioid cells, which form
granuloma
• Mature epithelioid granulomas release ACE
pathology
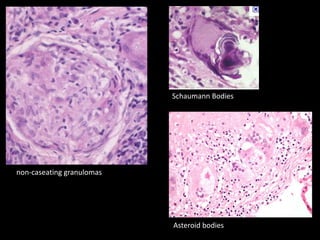
• Giant cells, epithelioid cells & macrophages in noncaseating granulomas, which have fewer lymphocytes
surrounding = ‘naked tubercle’
• Fibrinoid necrosis
• Giant cells have prominent inclusion bodies (e.g. asteroids,
Schaumann)
• Asteroid bodies are star-shaped eosinophilic structures
• Schaumann bodies are round or oval, laminated structures,
which are usually calcified at the periphery
• Granulomas are referred to as ‘naked’ because they only
have a sparse lymphocytic infiltrate at the margins
• Giant cells are larger & have more nuclei than in TB
Schaumann Bodies

non-caseating granulomas

Asteroid bodies
Clinical (2 patterns)
•

Acute

– Sudden, with remission in 2 years
– More common in Caucasians
– May present with Lofgren’s Syndrome
•
•
•

•

Bilateral hilar LN
Ankle arthritis
Erythema nodosum

•

Constitutional symptoms

–
–

Nodular, erythematous eruption on anterior LL
Type IV hypersensitivity reaction

Chronic

– Gradual onset, with relapses
– More organ-specific symptoms, which result from irreversible fibrosis
Course of disease
• Asymptomatic (30-50%)
• Constitutional Symptoms (30%)
• Organ-Specific Symptoms (20-40%)
– Lung LN (90%, 30% symptomatic)
– LN = 30%
– splenomegaly in 40 – 80%
– Skin = 25%
– Eye = 20 – 30%
– Neuro = < 10%
– Cardiac = 5%
– GIT
– Renal
ENT
• Occur in 9%-15% of patient with sarcoidosis
• Most common with
– Cervical LN
– Parotidomegaly
– Facial nerve palsy
Laryngeal = 1 – 5%
– Hoarseness, dyspnoea /
stridor
– Rarely painful
– Early stage = whitebrown mucosal nodules
– Later stage = pale,
oedematous epiglottis
• Lesser changes in
remaining supraglottis
(arytenoids, aryepiglottic
folds, false VC)
• Glottis rarely involved
• Sinonasal = 10%:
– NOT often presenting
symptom
– Nasal obstruction,
rhinorrhoea, PND
– Anosmia, recurrent sinusitis,
epiphora
– Firm, raised subcutaneous
yellow papule on nose, may
become confluent
– Diffuse nasal crusting & thick
mucous
– Submucosal nodules on
septum & IT, with dry friable
mucosa
• Sarcoidosis interferes with
submucosal gland function,
causing dryness

– Septal perforations & polyps
– Rarely, granulomas may
erode through palate

• Ear - rare
– Pinna = nodules
– ME = ET obstruction from NP
involvement
– SNHL < 1% = sudden,
asymmetric, fluctuating, high
or low frequency
– Permanent loss or complete
recovery
– Vestibular involvement
recovers less well than
acoustic
– Vestibulo-acoustic
involvement is often
concurrent with facial palsy &
uveitis
• Oropharyngeal
– Tonsils in 2%
– Pharyngeal & oesophageal
stenosis may result from fibrosis

• Neurosarcoid = 5%
– CN > CNS symptoms (e.g.
pituitary involvement causes DI)
– Basal Granulomatous Meningitis
• Causes multiple cranial
neuropathies by involvement of
nerves with perivascular
lymphocytic infiltrates in IAC,
causing fluctuating ischaemia
• Facial > optic > glossopharyngeal
> vagus > cochlear nerves
– TV channels + 8

• Fluctuating ischaemia of facial
nerve caused by perivascular
lymphocytic infiltration
proximal to geniculate ganglion,
leads to reversible neuropraxia –
often sudden, bilateral palsies,
which resolve

• Cervical LN = 50%
– FNA has high yield

• Parotidomegaly = 6%
– Usually bilateral & FNA is
useful
– Heerfordt’s disease
(Uveoparotid Fever)
• Uveitis, parotitis, facial
paralysis, fever
Investigation
• Biopsy
– Submucosal nodules or transbronchial lung, LN, lip gland
– histopath, AFB, culture

• Bronchoalveolar lavage = elevated CD4:CD8 ratio
• Haematologic
– Ca (serum & urine) = elevated
– Serum ACE
• Correlates with active disease in 40 – 90%
• Used in monitoring

• CXR (respiratory symptoms are most common)
– Bilateral hilar lymphadenopathy & lung infiltrates

• Kveim Test
– Part of a spleen from a patient with known sarcoidosis is injected into skin of a
patient suspected to have the disease
– If granulomas are found (4–6 weeks later), the test is positive
Management
• MEDICAL
– Steroids = mainstay
– Systemic steroids in eye / organ involvement
– Topical steroids in skin / eye disease
– Inhaled steroids in URT / LRT disease
– MTX / Azathioprine

• Surgical
• Laryngeal
– Steroids
– Intralesional steroid injection
– If unresponsive, consider low-dose RTH
– Tracheostomy or RTH / laser to obstructing lesions

Sarcoidosis

  • 1.
  • 2.
    definition • Idiopathic, multi-system,chronic granulomatous disease characterised by noncaseating granuloma formation
  • 3.
    epidemiology • Prevalence =50/100 000 • Common in African Americans, not in Africans living in Africa • Common in Japan, uncommon in rest of Asia • Clusters in health workers • Age = 20 – 40 yrs • F>M
  • 4.
    aetiology • Genetic predisposition+ environmental trigger • Genetic – Most common allele found in sarcoidosis is HLA-B8 • ? Infectious Ag triggers CMI response & starts disease process – Many organisms have been linked to sarcoidosis: • M Tb • Mycoplasma species; Borrelia burgdorferi; Propionibacterium acnes • Fungi - Histoplasma and Cryptococcus species • Viruses - EBV, CMV, HSV, hepatitis C virus, and rubella
  • 5.
    pathophysiology • May beginwith lung alveolitis • This overstimulated local cellular immune response may involve overactive TH-cells, which release chemotactic factors to attract monocytes from blood to lungs & nose, resulting in chronic inflammation • Macrophages transform into giant cells, which then form epithelioid cells, which form granuloma • Mature epithelioid granulomas release ACE
  • 6.
    pathology • Giant cells,epithelioid cells & macrophages in noncaseating granulomas, which have fewer lymphocytes surrounding = ‘naked tubercle’ • Fibrinoid necrosis • Giant cells have prominent inclusion bodies (e.g. asteroids, Schaumann) • Asteroid bodies are star-shaped eosinophilic structures • Schaumann bodies are round or oval, laminated structures, which are usually calcified at the periphery • Granulomas are referred to as ‘naked’ because they only have a sparse lymphocytic infiltrate at the margins • Giant cells are larger & have more nuclei than in TB
  • 7.
  • 8.
    Clinical (2 patterns) • Acute –Sudden, with remission in 2 years – More common in Caucasians – May present with Lofgren’s Syndrome • • • • Bilateral hilar LN Ankle arthritis Erythema nodosum • Constitutional symptoms – – Nodular, erythematous eruption on anterior LL Type IV hypersensitivity reaction Chronic – Gradual onset, with relapses – More organ-specific symptoms, which result from irreversible fibrosis
  • 9.
    Course of disease •Asymptomatic (30-50%) • Constitutional Symptoms (30%) • Organ-Specific Symptoms (20-40%) – Lung LN (90%, 30% symptomatic) – LN = 30% – splenomegaly in 40 – 80% – Skin = 25% – Eye = 20 – 30% – Neuro = < 10% – Cardiac = 5% – GIT – Renal
  • 10.
    ENT • Occur in9%-15% of patient with sarcoidosis • Most common with – Cervical LN – Parotidomegaly – Facial nerve palsy
  • 11.
    Laryngeal = 1– 5% – Hoarseness, dyspnoea / stridor – Rarely painful – Early stage = whitebrown mucosal nodules – Later stage = pale, oedematous epiglottis • Lesser changes in remaining supraglottis (arytenoids, aryepiglottic folds, false VC) • Glottis rarely involved
  • 12.
    • Sinonasal =10%: – NOT often presenting symptom – Nasal obstruction, rhinorrhoea, PND – Anosmia, recurrent sinusitis, epiphora – Firm, raised subcutaneous yellow papule on nose, may become confluent – Diffuse nasal crusting & thick mucous – Submucosal nodules on septum & IT, with dry friable mucosa • Sarcoidosis interferes with submucosal gland function, causing dryness – Septal perforations & polyps – Rarely, granulomas may erode through palate • Ear - rare – Pinna = nodules – ME = ET obstruction from NP involvement – SNHL < 1% = sudden, asymmetric, fluctuating, high or low frequency – Permanent loss or complete recovery – Vestibular involvement recovers less well than acoustic – Vestibulo-acoustic involvement is often concurrent with facial palsy & uveitis
  • 13.
    • Oropharyngeal – Tonsilsin 2% – Pharyngeal & oesophageal stenosis may result from fibrosis • Neurosarcoid = 5% – CN > CNS symptoms (e.g. pituitary involvement causes DI) – Basal Granulomatous Meningitis • Causes multiple cranial neuropathies by involvement of nerves with perivascular lymphocytic infiltrates in IAC, causing fluctuating ischaemia • Facial > optic > glossopharyngeal > vagus > cochlear nerves – TV channels + 8 • Fluctuating ischaemia of facial nerve caused by perivascular lymphocytic infiltration proximal to geniculate ganglion, leads to reversible neuropraxia – often sudden, bilateral palsies, which resolve • Cervical LN = 50% – FNA has high yield • Parotidomegaly = 6% – Usually bilateral & FNA is useful – Heerfordt’s disease (Uveoparotid Fever) • Uveitis, parotitis, facial paralysis, fever
  • 14.
    Investigation • Biopsy – Submucosalnodules or transbronchial lung, LN, lip gland – histopath, AFB, culture • Bronchoalveolar lavage = elevated CD4:CD8 ratio • Haematologic – Ca (serum & urine) = elevated – Serum ACE • Correlates with active disease in 40 – 90% • Used in monitoring • CXR (respiratory symptoms are most common) – Bilateral hilar lymphadenopathy & lung infiltrates • Kveim Test – Part of a spleen from a patient with known sarcoidosis is injected into skin of a patient suspected to have the disease – If granulomas are found (4–6 weeks later), the test is positive
  • 15.
    Management • MEDICAL – Steroids= mainstay – Systemic steroids in eye / organ involvement – Topical steroids in skin / eye disease – Inhaled steroids in URT / LRT disease – MTX / Azathioprine • Surgical
  • 16.
    • Laryngeal – Steroids –Intralesional steroid injection – If unresponsive, consider low-dose RTH – Tracheostomy or RTH / laser to obstructing lesions