Managing Lymph Node Tuberculosis
Ankur gupta
An Overview
• Commonest form of Extrapulmonary TB with
vivid clinical manifestations, resulting from
multiple, complex & variable pathogenetic –
immunologic pathways.
• Epidemiological characteristics differ from PTB.
• Diagnosis may be challenging & management
may be far from satisfactory.
• Multimodality treatment options frequently
required.
Historical Perspective
• 2700 BC – Mentioned in Chinese literature
• 1500 BC – Ebes papyrus
• 484- 425 BC – Herodotus (Exclusion of those affected with leprous
or scrofulous lesion from general population).
• 460-377 BC – Hippocrates
• 300BC to 620AD – Indian Literature “Kanth Mala”
• 466-511 SD – Clovis I (France) Scrofulous tumours, started royal
touch. “Kings evil” or “royal disease”.
• 936-1018 AD –Abdul Quasin AI Zahrani discussed surgical
excision.
• In medieval Europe practice of royal touch continued.
Historical Perspective
• 1757 - 1836 – In France Louis XVI and his successors
continued to touch the persons with scrofula.
• 1786 -1851 – Jean Lugol - Iodine solution treatment
• Early in 20th century – surgical excision.
• 1937 – Griffith 50% of cervical adenitis was due to M-
bovis
• 1950-70 – ATT + various surgical procedures
• 1975 – 75% isolates for adult LNTB – Mycobacterium
tuberculosis (public health lab service, UK & Republic of Ireland).
Tubercular Lymphadenitis
• Peripheral tuberculous lymphadenitis—previously
termed ‘‘scrofula’’—is a unique manifestation of
disease due to organisms of the Mycobacterium
tuberculosis complex.
• Current Imaging modalities have dramatically
altered management of deep TBLN.
• Epidemiologic characteristics differ from those of
pulmonary tuberculosis.
• Clinical manifestations are variable.
• Diagnosis may be challenging.
• Treatment may be frustrating.
Epidemiology
• Worldwide, including western countries, the
proportion of extrapulmonary cases, with their
principal subset, lymphadenitis, has increased.
• In low TB burden countries, the majority of
patients are foreign-born, with a pattern
consistent with reactivation disease.
• U.S.A – Adults 95% MTB ; Children 92% NTM
• Immigrants from SouthEast Asia and India appear
to have a special predilection for tuberculous
lymphadenitis ( U.S., Canada & Britain).
• Africans may also have an increased risk of
lymph node tuberculosis.
• The basis for enhanced risk among women,
Asians and Africans is not known.
Global Epidemiology of Tuberculous Lymphadenitis
Ref :Current diagnosis & management of peripheral tuberculous lymphadenitis CID 2011: 53 (15 september). 555-562 Fontanilla et al
• Possible host factors include :
– Occupations or cultural practices favoring
oropharyngeal exposures to M. tuberculosis complex
(eg. exposure to Mycobacterium bovis or M.
tuberculosis from milking cows).
– Genetically determined organ tropism.
– Hormonal influences
– Effects related to bacillus Calmette-Gue´rin (BCG)
immunization.
– Differences in health-seeking behavior.
LNTB, HIV & Diabetes mellitus
• Extrapulmonary tuberculosis, including lymphatic
tuberculosis, is more common among immunocompromised
patients, including those with HIV infection.
• Although diabetes mellitus is a risk factor for pulmonary
tuberculosis, studies suggest that it may reduce the relative
risk of tuberculous lymphadenitis.*
• Anti – TNF α antagonist therapy may lead to TBLN.**
* Int J Tuberc Lung Dis 2003; 7:987–93. Medicine (Baltimore) 2005; 84:350–62 ** Lancet, infect Dis 2003, 3,148-155
Microbiology
• M. tuberculosis is the usual cause of tuberculous
lymphadenitis.
• Other infectious causes of chronic lymphadenitis
include :
– Nontuberculous mycobacteria (including M.
scrofulaceum, M. avium, and M. haemophilum)
– Pseudomonas pseudomallei
– Toxoplasma species
– Bartonella species
– Fungi.
Tuberculous granuloma
•
Clinical features
• Usually presents as a slowly progressive,
painless swelling of a single group of lymph
nodes.
• The duration of symptoms at the time of
presentation is typically 1–2 months, varying
from 3 weeks to 8 months.
• The mean duration of symptoms is usually
longer in men than in women.
LNTB PROGRESSION
GRANULOMA
SOLID CASEOUS TISSUE (CMI – Cytotoxic
T Cells)
LIQUIFIED CASEOUS MATERIAL (DTH)
COLD ABSCESS
X
X Therapeutic agent that reduce amount of liquifaction would be of considerable help.
Tubercle bacilli
are dormant
Persistent LNTB
Tubercle bacilli
multiply
logarithmically
& in extra-
cellular
environment
reaching in
tremendous
numbers
Yukari C. Manabe & Arthur M. Dannenberg Jr. Pathophysiology : Basic Aspects in David Schlossberg –
Tuberculosis & NTM Infections, Tata McGraw Hill, 5th Edition, 2007; 18-51.
Stage I
Enlarged firm
mobile discrete
nodes
(Lymphoid
hyperplasia
with formation
of tubercles &
granuloma)
Stage II
Large rubbery
nodes fixed to
surrounding
tissue due to
periadenitis
(Caseation
starts)
Stage III
Central
softening due to
abscess
formation
(progressive
Caseation
necrosis)
Stage IV
Collar stud
abscess
formation. skin
over is inflamed
(Rupture of
caseous
material)
Stage V
Sinus tract
formation
Symptomatology
• Patients do not generally report significant pain at
presentation.
• Node tenderness during examination is noted in
only 10%–35% of cases.
• A draining sinus may be present in 4%–11% of
cases.
• Unilateral involvement of 1–3 nodes has been
noted in 85% of cases.
• Cervical chain involvement is most common
(45%–70%) with 12%–26% in the supraclavicular
region; 20% of cases are bilateral.
Progressive Generalized Lymphadenopathy
• Symmetrical adenopathy with nodes typically
< 3 cm.
• Reported in 94% of patients with HIV-induced
lymphadenopathy, compared with 29% of
patients with HIV-associated tuberculous
lymphadenitis.
• Regresses with progression of HIV disease.
• Fever & weight loss were reported in 40%-60%
of HIV-positive patients in series from India.
• HIV-positive patients with tuberculous
lymphadenitis typically have a higher rate of
disseminated disease than do HIV-negative
patients.
• HIV infection has been presumed to be responsible
for the rise in number of tuberculous lymphadenitis
cases.
• Clinical manifestations depends on CD 4+ count.
• >250–granuloma&/orcaseationnecrosis-AFB±
• < 200–poor granuloma formation – AFB +
• <100 –acute pyogenic abscess – AFB +++
Trends of EPTB under RNTCP: A study from south Delhi, V.K. Arora &
Rajnish Gupta. Ind J Tube vol 53 No. 2 April 2006: 76-83
Deep TBLN – Clinical Manifestations
• Mediastinal LN :
- Cough, dyspnoea & Occasional dysphagia
- Endobronchial TB, RML Syndrome
- Caseous pneumonia & Obstructive Lobar
emphysema
• Intercostal LN :
- Chronic chest pain
- Parasternal & mammary cold abscess.
Paratracheal LN communicate with deep cervical &
abdominal LN
• Abdominal LN :
Porta hepatis : Progressive obstructive jaundice
( Pathognomonic of HIV )
Mesentric : Subacute intestinal obstruction
Para aortic : Chylothorax, Chylous ascitis &
chyluria.
Retroperitoneal : Chronic abdominal pain,
Psoas abscess.
Femoral triangle : LN of Poplat – UL lower
limb swelling
STERNAL COLD ABSCESS
STERNAL ABSCESS
STERNAL ABSCESS
SUPRASTERNAL NOTCH ABSCESS
SUPRASTERNAL NOTCH ABSCESS
SUPRACLAVICULAR ABSCESS
SUPRASTERNAL NOTCH &
SUPRACLAVICULAR
(Abscess and post operative scar)
MULTINODAL INVOLVEMENT WITH
SINUSES AND SCARS
MULTIPLE ABSCESS
(with communicating tract)
Signs and symptoms
Jose-Mario Fontanilla et al, 2011
1990
Dandapat
et al
n=80
1991
V.K.
Arora
n=1530
1993
Subramany
am
n=105
2008
Ajmer
n=1482
2014
Ajmer
n=3204
Site of involvement (%)
Cervical 70 94.4 93.3 83.8 86
Axillary 06 4.3 3.8 6.6 4.0
Inguinal 09 ND 2.9 5.2 3.8
Multiple sites 15 ND ND 4.1 6.2
Physical findings (%)
Matting & fixity 55 ND 68 43.6 51.6
Discrete nodes 22.5 ND 32 32.2 32.4
Abscess
formation
15 ND 15.2 7.1 7.2
Sinuses 13 ND 10.5 6.6 2.2
Ulcers ND ND 7.6 4.3 1.8
Lymph node TB in HIV seronegative
Diagnostic Studies
• A definitive diagnosis of tuberculous
lymphadenitis can be made by culture or
polymerase chain reaction demonstration of M.
tuberculosis in an affected lymph node,
thereby permitting distinction from other
mycobacteria that may cause lymphadenitis.
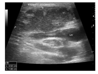
Ultrasound
• Ultrasound is an excellent first-line investigation as it
assess cervical lymphadenopathy and also enables
guided fine needle aspiration cytology.
• The combination of grey-scale imaging and FNAC as a
sensitivity of 92% and specificity 97% in distinguishing
benign from malignant nodal disease.
• Differentiating features from neck metastasis include:
– Nodal matting
– Surrounding soft tissue oedema (less marked than one
would expect given the size of the collections)
– Homogeneity
– Intranodal cystic necrosis and
– Posterior enhancement.
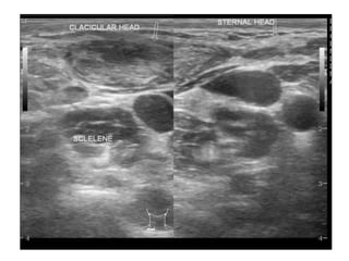
Ultrasound
• Doppler examination is particularly useful in
helping distinguish tuberculous infection from
necrotic metastatic disease.
• Reactive nodes (including those in tuberculous
lymphadenitis) demonstrate prominent
vascularity, but mostly confined to the hilum,
whereas malignant nodes demonstrate more
peripheral/capsular vascularity.
CT SCAN
• CT appearances of tuberculous lymphadenitis
is variable depending on the degree of
caseation.
• Nodes may initially appear merely enlarged,
often with attenuation similar to muscle.
• Eventually, central caseation develops and the
nodes become centrally low density and
eventually frankly cystic.
• They are , usually, matted together with only
minor surrounding inflammatory changes.
CT Features of Abdominal lymphadenitis
WithContrast-enhanced CT, tuberculous
lymphadenitis is associated with higher
incidence of peripheral enhancement with
multilocular appearance and heterogeneous
attenuation, compared with lymphoma.
MRI
• MRI appearances are similar to those of CT,
ranging form homogeneously enlarged nodes,
to cystic transformation with peripheral
enhancement.
PET CT
• Is an important noninvasive diagnostic tool.
• Enlarged FDG 18 avid LN having standardized uptake
value (SUV) of <5 are diagnostic of tuberculosis.
• More useful in detecting reactivation of LNTB during
immunosuppressive diseases like HIV, cancer etc.
(Anergy may limit usefulness of MT test, IFN Y assay
may end up with intermediate results).
• Serial decline in SUV is useful in monitoring drug
response (Cut of value 1.8).
• Metabolic response may indicate clinical response and
guide duration of ATT.
Nucleic acid amplification
• Nucleic acid amplification tests (NAATs) may
provide a rapid, specific, and sensitive means
of diagnosis.
• A systematic review of NAAT in tuberculous
lymphadenitis revealed highly variable and
inconsistent results (sensitivity, 2%–100%;
specificity, 28%–100%).
LNTB newer diagnostic techniques
Nested PCR
(Mexico)
Smear PCR*
(Norway)
Sensitivity 96% 85%
Specificity 93% 95%
Positive predictive value 96% 96%
Negative predictive value 93% 59%
Conventional Methods
Z-N smear 15% 15.3%
MTB Culture 26% 24.4%
Cytology / Histopathology 62%
• *PCR using DNA eluted from dried FNAC smears of patients with LNTB
• Results were compared with Nested PCR on DNA from Biopsies from the
case as a gold standard
• Useful when cytology is equivocal
Diagn Mol Pathol. 2008, Sept. 17(3); 174-8
• Excisional biopsy is the most invasive
approach to diagnosis; however, it has the
highest sensitivity and may produce a more
rapid and favorable symptomatic response and
has been recommended in cases involving
multiple nodes.
• Complications of biopsy include postsurgical
pain, wound infection, sinus formation and
scar.
FNAC
• FNA is first-line diagnostic technique,
especially in tuberculosis-endemic countries,
where the test is both sensitive and specific.
• FNA is safer, less invasive, and more practical
than biopsy, especially in resource-limited
settings.
• Yield : 48 - 83%
FNAC techniq FNAC techniqueues-
Guidelines
• 5 ml syringe- 18 to 21 g
needle- 3 microscopy glass
slides ( AFB, gram’s, cytology)
• Hold the gland between thumb
& index finger
• Site – centre of node – point of
maximum fluctuation (through
healthy skin)
• Pull back on the syringe piston
– if no aspirate obtained –
move the needle in both
direction while gently
compressing the LN
• 5 ml syringe- 18 to 21 g
needle- 3 microscopy glass
slides ( AFB, gram’s,
cytology).
• Hold the gland between
thumb & index finger.
• Site – centre of node – point
of maximum fluctuation
(through healthy skin).
• Pull back on the syringe
piston – if no aspirate
obtained – move the needle
in both direction while
gently compressing the LN.
• Culture remains the gold standard for diagnosis,
but may take 2–4 weeks to yield results.
• A positive acid-fast bacilli (AFB) stain result
indicates a mycobacterial etiology and has
excellent specificity for M. tuberculosis in adults.
• Following Histologic features support a diagnosis
of probable tuberculosis in AFB-negative, culture-
negative cases,
– nonspecific lymphoid infiltrates,
– noncaseating granulomas,
– Langerhan giant cells in areas of extensive caseous
necrosis.
Ancillary Diagnostic Tests
• Sensitivity and Specificity of Tuberculin test
were 86% and 67%, respectively, and of
IGRAs, 86% and 87%, respectively.
Drug Treatment
• Isoniazid, Rifampin, Pyrazinamide and
Ethambutol for 2 months, followed by
Isoniazid and Rifampin for another 4 months.
• The 6-month recommendation is supported by
studies that showed no difference between 6
and 9 months of treatment in cure rates (89%–
94%) or relapse rates (3%).
• Practical Endpoints
Steroid Therapy
• The benefit of routine corticosteroid therapy
for peripheral tuberculous lymphadenitis is
unknown.
• A double blind, placebo controlled trial
involving 117 children with endobronchial
tuberculosis revealed a significantly greater
improvement in those who received a 37-day
tapering course of steroids.
Possible Mechanism for the Beneficial
Effect of Corticosteroids
• Adjunctive use of corticosteroids in TB may have
– anti inflammatory effect
– Inhibitory actions on the release and activity of
lymphokines and cytokines leading to rapid regression
of LN size & obviate potential complications.
– Directly suppress the pathologic effects of cytokine
TNF & from activated CD4+
• Even in Rifampicin containing regimen
significant clinical advantage is observed.
• Prevent Paradoxical reactions.
• Ethical committee approval obtained
• No. of patients included: 334
INCLUSION CRITERIA :
• Proven tissue diagnosis of tubercular lymphadenitis
• Started on att
EXCLUSION CRITERIA:
• Cold abscess
• HIV,DM &other immunosuppressive illness,
malignancy
Intra LN injection of Methylprednisolone
MATERIALS AND METHODS
• Inj METHYLPREDNISOLONE ACETATE 0.5 – 4 ml
injected into lymph nodes according to the size
(measured using divider & scale)
Size of LN(cm) Amount injected(ml)
1-2 1
2-3 2
3-4 3
4-5 4
• At interval of 2 weeks.
• Maximum 3 doses.
• Followed up fortnightly.
• Successful outcome : Reduction in size of 50%
or more.
• 50% size reduction in –
2 weeks – 151 patients (45%)
4 weeks – 116 patients (35%)
6 weeks – 34 patients (10%)
• 301 patients (90%) has got >50% node size
reduction in 6 weeks time
• Complete regression in 83 patients (24.85%)
Paradoxical Upgrading Reactions
• Worsening of symptoms during treatment (ie,
paradoxical upgrading reaction [PUR]).
• One definition is the development of enlarging
nodes, new nodes, or a new draining sinus in
patients who have received at least 10 days of
treatment.
• PUR has been reported in 20%–23% of HIV-negative
patients.
• It occurred at a median of 1.5 months
• Manifestations of PUR have included
– enlarging lymph nodes in 32%–68% of cases
– New nodes in 27%–36%
– pain in 60%
– draining sinuses in 12%–60%
• In addition, increased adenopathy has also been
reported in 9%–11% of patients a mean of 27 months
after successful treatment
Increase in size of LN, appearance of new LN
Cold abscess/ collarstud abscess formation
Necrotising/ Caseous reaction
Local inflammation
Production of TNF-Alpha, IL-2, IL-6, IL-8, IFN Y & other cytokines
Release of mycobacterial products
Rapid mycobacterial killing
Successful chemotherapy ( ATT)
Flow diagram showing possible mechanism of adverse events
during effective ATT
Ref : Dr. Rakesh Gupta, N Gupta R dixit et al in Richard W. Light’s Pleural Diseases, Vol 2nd : 6th
edn 2013 PP 247-248.
• Biopsy or culture of nodes involved in PUR
typically shows granuloma formation and
negative culture results with or without
positive AFB stains.
• Steroids have been considered as a means to
reduce the robust immune response in PUR,
but their use is controversial.
• Intra LN injection of depot
Methylprednisolone averts most of these, if
given at earliest warning signal.
Surgical Therapy
• Guidelines recommend surgical excision only
in unusual circumstances :
– For patients who have discomfort from tense,
fluctuant lymph nodes.
– For paradoxical upgrade reactions.
– As an adjunct to antibiotic therapy for disease
cause by drug resistant Organisms.
– Cervical lymphadenitis due to nontuberculous
mycobacteria.
DEPTT. OF SURGERY, QUEEN MARY HOSPITAL,
UNIVERSITY OF HONGKONG (1978-1984)
199 LNTB CASES  181 CERVICAL LNTB
40 (22.1%) had abscess or
discharging sinus
Put on 2S2H2R2Z2/ 4H2R2 ,No atypical
mycobacteria ,all sensitive
Tuberculous cervical abscess: comparing the results of
total excision against simple incision and drainage. Br. J.
Surg. 1988, Vol. 75, Jun, 554.
Alternating patients
Total Excision GA abscess wall +
adjacent deep seated LNs were excised
 Primary wound closure
2218
Incision & drainage LA & wounds were
kept open for drainage
• Persistent sinus with track
connecting to deeper tissue
• Developed new abscess
Re-excision (mean time of 3.2 weeks)
Follow-up
Results
Excision
Group (n=18)
Incision Group
(n=22)
Persistent
wound problem
after 3 weeks
6.0% 73%
Asymptomatic
at 2 years 78% 77%
Residual LN at
2 years 17% 18%
NTM Lymphadenitis
• M. avium complex. – commonest
• M. scrofulaceum (predominant before 1970), M. malmonse & M.
kansasii
• Unilateral & nontender
• Submandibular, submaxillary
• Cervical or preauricular LN in young children of 1-5 years of age
• Truly localized disease
• 92% U.S. children (1-5yrs age) have NTM disease.
• In Australia & Canada NTM LN are 10 times more common.
• Mycobacterial adenitis, caused by nontuberculous mycobacteria,
such as M. avium complex, is typically seen in non-BCG
immunized children in developed countries.
Diagnosis
1. Simple diagnostic biopsy / incision and
drainage - may lead to fistula formation.
2. FNAC is controversial.
3. Skin tests with NTM antigens.
4. NTM antigen specific Gamma interferon.
Treatment
Treatment of NTM adenitis is surgical and
achieves cure rate > 70%.
LN TB in Children
• Lung route / Tonsillar route
• In recent & acute infection – Greater degree of
periadenitis.
• Later or sooner LN softens and forms abscess.
• Anti- gravity aspiration just delay the process
and may lead to sinus formation.
• Majority of LN TB is regional component of
primary complex rather than result of
hematogenous dissemination.
Ref :Miller 1983 ; TB in Children
Bacille Calmette-Guérin lymphadenitis
• Most common complication of BCG vaccination.
• Two forms of BCG lymphadenitis can be
recognised in its natural course :
1. Simple or non-suppurative lymphadenitis,
usually regresses spontaneously.
2. Suppurative BCG lymphadenitis distinguished
by the development of fluctuations in the
swelling, with erythema and oedema of
overlying skin.
Diagnosis of BCG lymphadenitis
• Isolated axillary (or supraclavicular/cervical)
lymph node enlargement.
• History of BCG vaccination on the same side.
• Absence of tenderness and raised temperature
over the swelling.
• Absence of fever and other constitutional
symptoms.
• Chest radiography, Mantoux reaction, and
haematological analysis are not helpful. Fine
needle aspiration cytology corroborates the
clinical diagnosis in doubtful cases.
Management of BCG lymphadenitis
• No role for antibiotics or Antituberculous drugs.
• Needle aspiration –
– Recommended for suppurative BCG lymphadenitis.
– Prevents discharge and associated complications.
– Shortens the duration of healing.
– Safe.
• Surgical excision
Useful in cases with failed needle aspiration, multiloculated or
matted lymph nodes, and draining sinuses.
• Non-suppurative BCG lymphadenitis is a benign condition
and regresses spontaneously without any treatment.
Conclusion
• Good FNAC / needle biopsy / ZN staining / MT
test & ESR make diagnosis in almost all cases.
• Optimal management of comorbid conditions.
• LNTB enlarge during ATT or appear afresh will
eventually respond to treatment.
• Development of fluctuation requires immediate
attention - Early surgical intervention.
• Residual LN at end of ATT should be closely
monitored.
THANK YOU
IT IS A GOOD IDEA TO MAKE THE
MOST OF WHAT WE HAVE…..

Tubercular lymphadenitis management

  • 1.
    Managing Lymph NodeTuberculosis Ankur gupta
  • 2.
    An Overview • Commonestform of Extrapulmonary TB with vivid clinical manifestations, resulting from multiple, complex & variable pathogenetic – immunologic pathways. • Epidemiological characteristics differ from PTB. • Diagnosis may be challenging & management may be far from satisfactory. • Multimodality treatment options frequently required.
  • 3.
    Historical Perspective • 2700BC – Mentioned in Chinese literature • 1500 BC – Ebes papyrus • 484- 425 BC – Herodotus (Exclusion of those affected with leprous or scrofulous lesion from general population). • 460-377 BC – Hippocrates • 300BC to 620AD – Indian Literature “Kanth Mala” • 466-511 SD – Clovis I (France) Scrofulous tumours, started royal touch. “Kings evil” or “royal disease”. • 936-1018 AD –Abdul Quasin AI Zahrani discussed surgical excision. • In medieval Europe practice of royal touch continued.
  • 4.
    Historical Perspective • 1757- 1836 – In France Louis XVI and his successors continued to touch the persons with scrofula. • 1786 -1851 – Jean Lugol - Iodine solution treatment • Early in 20th century – surgical excision. • 1937 – Griffith 50% of cervical adenitis was due to M- bovis • 1950-70 – ATT + various surgical procedures • 1975 – 75% isolates for adult LNTB – Mycobacterium tuberculosis (public health lab service, UK & Republic of Ireland).
  • 5.
    Tubercular Lymphadenitis • Peripheraltuberculous lymphadenitis—previously termed ‘‘scrofula’’—is a unique manifestation of disease due to organisms of the Mycobacterium tuberculosis complex. • Current Imaging modalities have dramatically altered management of deep TBLN. • Epidemiologic characteristics differ from those of pulmonary tuberculosis. • Clinical manifestations are variable. • Diagnosis may be challenging. • Treatment may be frustrating.
  • 6.
    Epidemiology • Worldwide, includingwestern countries, the proportion of extrapulmonary cases, with their principal subset, lymphadenitis, has increased. • In low TB burden countries, the majority of patients are foreign-born, with a pattern consistent with reactivation disease. • U.S.A – Adults 95% MTB ; Children 92% NTM
  • 7.
    • Immigrants fromSouthEast Asia and India appear to have a special predilection for tuberculous lymphadenitis ( U.S., Canada & Britain). • Africans may also have an increased risk of lymph node tuberculosis. • The basis for enhanced risk among women, Asians and Africans is not known.
  • 8.
    Global Epidemiology ofTuberculous Lymphadenitis Ref :Current diagnosis & management of peripheral tuberculous lymphadenitis CID 2011: 53 (15 september). 555-562 Fontanilla et al
  • 9.
    • Possible hostfactors include : – Occupations or cultural practices favoring oropharyngeal exposures to M. tuberculosis complex (eg. exposure to Mycobacterium bovis or M. tuberculosis from milking cows). – Genetically determined organ tropism. – Hormonal influences – Effects related to bacillus Calmette-Gue´rin (BCG) immunization. – Differences in health-seeking behavior.
  • 10.
    LNTB, HIV &Diabetes mellitus • Extrapulmonary tuberculosis, including lymphatic tuberculosis, is more common among immunocompromised patients, including those with HIV infection. • Although diabetes mellitus is a risk factor for pulmonary tuberculosis, studies suggest that it may reduce the relative risk of tuberculous lymphadenitis.* • Anti – TNF α antagonist therapy may lead to TBLN.** * Int J Tuberc Lung Dis 2003; 7:987–93. Medicine (Baltimore) 2005; 84:350–62 ** Lancet, infect Dis 2003, 3,148-155
  • 11.
    Microbiology • M. tuberculosisis the usual cause of tuberculous lymphadenitis. • Other infectious causes of chronic lymphadenitis include : – Nontuberculous mycobacteria (including M. scrofulaceum, M. avium, and M. haemophilum) – Pseudomonas pseudomallei – Toxoplasma species – Bartonella species – Fungi.
  • 12.
  • 13.
    Clinical features • Usuallypresents as a slowly progressive, painless swelling of a single group of lymph nodes. • The duration of symptoms at the time of presentation is typically 1–2 months, varying from 3 weeks to 8 months. • The mean duration of symptoms is usually longer in men than in women.
  • 14.
    LNTB PROGRESSION GRANULOMA SOLID CASEOUSTISSUE (CMI – Cytotoxic T Cells) LIQUIFIED CASEOUS MATERIAL (DTH) COLD ABSCESS X X Therapeutic agent that reduce amount of liquifaction would be of considerable help. Tubercle bacilli are dormant Persistent LNTB Tubercle bacilli multiply logarithmically & in extra- cellular environment reaching in tremendous numbers Yukari C. Manabe & Arthur M. Dannenberg Jr. Pathophysiology : Basic Aspects in David Schlossberg – Tuberculosis & NTM Infections, Tata McGraw Hill, 5th Edition, 2007; 18-51.
  • 15.
    Stage I Enlarged firm mobilediscrete nodes (Lymphoid hyperplasia with formation of tubercles & granuloma) Stage II Large rubbery nodes fixed to surrounding tissue due to periadenitis (Caseation starts) Stage III Central softening due to abscess formation (progressive Caseation necrosis) Stage IV Collar stud abscess formation. skin over is inflamed (Rupture of caseous material) Stage V Sinus tract formation
  • 16.
    Symptomatology • Patients donot generally report significant pain at presentation. • Node tenderness during examination is noted in only 10%–35% of cases. • A draining sinus may be present in 4%–11% of cases. • Unilateral involvement of 1–3 nodes has been noted in 85% of cases. • Cervical chain involvement is most common (45%–70%) with 12%–26% in the supraclavicular region; 20% of cases are bilateral.
  • 17.
    Progressive Generalized Lymphadenopathy •Symmetrical adenopathy with nodes typically < 3 cm. • Reported in 94% of patients with HIV-induced lymphadenopathy, compared with 29% of patients with HIV-associated tuberculous lymphadenitis. • Regresses with progression of HIV disease.
  • 18.
    • Fever &weight loss were reported in 40%-60% of HIV-positive patients in series from India. • HIV-positive patients with tuberculous lymphadenitis typically have a higher rate of disseminated disease than do HIV-negative patients.
  • 19.
    • HIV infectionhas been presumed to be responsible for the rise in number of tuberculous lymphadenitis cases. • Clinical manifestations depends on CD 4+ count. • >250–granuloma&/orcaseationnecrosis-AFB± • < 200–poor granuloma formation – AFB + • <100 –acute pyogenic abscess – AFB +++ Trends of EPTB under RNTCP: A study from south Delhi, V.K. Arora & Rajnish Gupta. Ind J Tube vol 53 No. 2 April 2006: 76-83
  • 20.
    Deep TBLN –Clinical Manifestations • Mediastinal LN : - Cough, dyspnoea & Occasional dysphagia - Endobronchial TB, RML Syndrome - Caseous pneumonia & Obstructive Lobar emphysema • Intercostal LN : - Chronic chest pain - Parasternal & mammary cold abscess. Paratracheal LN communicate with deep cervical & abdominal LN
  • 21.
    • Abdominal LN: Porta hepatis : Progressive obstructive jaundice ( Pathognomonic of HIV ) Mesentric : Subacute intestinal obstruction Para aortic : Chylothorax, Chylous ascitis & chyluria. Retroperitoneal : Chronic abdominal pain, Psoas abscess. Femoral triangle : LN of Poplat – UL lower limb swelling
  • 22.
  • 23.
  • 24.
  • 25.
  • 26.
  • 27.
  • 28.
  • 29.
  • 30.
  • 31.
    Signs and symptoms Jose-MarioFontanilla et al, 2011
  • 32.
    1990 Dandapat et al n=80 1991 V.K. Arora n=1530 1993 Subramany am n=105 2008 Ajmer n=1482 2014 Ajmer n=3204 Site ofinvolvement (%) Cervical 70 94.4 93.3 83.8 86 Axillary 06 4.3 3.8 6.6 4.0 Inguinal 09 ND 2.9 5.2 3.8 Multiple sites 15 ND ND 4.1 6.2 Physical findings (%) Matting & fixity 55 ND 68 43.6 51.6 Discrete nodes 22.5 ND 32 32.2 32.4 Abscess formation 15 ND 15.2 7.1 7.2 Sinuses 13 ND 10.5 6.6 2.2 Ulcers ND ND 7.6 4.3 1.8 Lymph node TB in HIV seronegative
  • 33.
    Diagnostic Studies • Adefinitive diagnosis of tuberculous lymphadenitis can be made by culture or polymerase chain reaction demonstration of M. tuberculosis in an affected lymph node, thereby permitting distinction from other mycobacteria that may cause lymphadenitis.
  • 34.
    Ultrasound • Ultrasound isan excellent first-line investigation as it assess cervical lymphadenopathy and also enables guided fine needle aspiration cytology. • The combination of grey-scale imaging and FNAC as a sensitivity of 92% and specificity 97% in distinguishing benign from malignant nodal disease. • Differentiating features from neck metastasis include: – Nodal matting – Surrounding soft tissue oedema (less marked than one would expect given the size of the collections) – Homogeneity – Intranodal cystic necrosis and – Posterior enhancement.
  • 35.
    Ultrasound • Doppler examinationis particularly useful in helping distinguish tuberculous infection from necrotic metastatic disease. • Reactive nodes (including those in tuberculous lymphadenitis) demonstrate prominent vascularity, but mostly confined to the hilum, whereas malignant nodes demonstrate more peripheral/capsular vascularity.
  • 39.
    CT SCAN • CTappearances of tuberculous lymphadenitis is variable depending on the degree of caseation. • Nodes may initially appear merely enlarged, often with attenuation similar to muscle. • Eventually, central caseation develops and the nodes become centrally low density and eventually frankly cystic. • They are , usually, matted together with only minor surrounding inflammatory changes.
  • 40.
    CT Features ofAbdominal lymphadenitis WithContrast-enhanced CT, tuberculous lymphadenitis is associated with higher incidence of peripheral enhancement with multilocular appearance and heterogeneous attenuation, compared with lymphoma.
  • 42.
    MRI • MRI appearancesare similar to those of CT, ranging form homogeneously enlarged nodes, to cystic transformation with peripheral enhancement.
  • 43.
    PET CT • Isan important noninvasive diagnostic tool. • Enlarged FDG 18 avid LN having standardized uptake value (SUV) of <5 are diagnostic of tuberculosis. • More useful in detecting reactivation of LNTB during immunosuppressive diseases like HIV, cancer etc. (Anergy may limit usefulness of MT test, IFN Y assay may end up with intermediate results). • Serial decline in SUV is useful in monitoring drug response (Cut of value 1.8). • Metabolic response may indicate clinical response and guide duration of ATT.
  • 44.
    Nucleic acid amplification •Nucleic acid amplification tests (NAATs) may provide a rapid, specific, and sensitive means of diagnosis. • A systematic review of NAAT in tuberculous lymphadenitis revealed highly variable and inconsistent results (sensitivity, 2%–100%; specificity, 28%–100%).
  • 45.
    LNTB newer diagnostictechniques Nested PCR (Mexico) Smear PCR* (Norway) Sensitivity 96% 85% Specificity 93% 95% Positive predictive value 96% 96% Negative predictive value 93% 59% Conventional Methods Z-N smear 15% 15.3% MTB Culture 26% 24.4% Cytology / Histopathology 62% • *PCR using DNA eluted from dried FNAC smears of patients with LNTB • Results were compared with Nested PCR on DNA from Biopsies from the case as a gold standard • Useful when cytology is equivocal Diagn Mol Pathol. 2008, Sept. 17(3); 174-8
  • 46.
    • Excisional biopsyis the most invasive approach to diagnosis; however, it has the highest sensitivity and may produce a more rapid and favorable symptomatic response and has been recommended in cases involving multiple nodes. • Complications of biopsy include postsurgical pain, wound infection, sinus formation and scar.
  • 47.
    FNAC • FNA isfirst-line diagnostic technique, especially in tuberculosis-endemic countries, where the test is both sensitive and specific. • FNA is safer, less invasive, and more practical than biopsy, especially in resource-limited settings. • Yield : 48 - 83%
  • 48.
    FNAC techniq FNACtechniqueues- Guidelines • 5 ml syringe- 18 to 21 g needle- 3 microscopy glass slides ( AFB, gram’s, cytology) • Hold the gland between thumb & index finger • Site – centre of node – point of maximum fluctuation (through healthy skin) • Pull back on the syringe piston – if no aspirate obtained – move the needle in both direction while gently compressing the LN • 5 ml syringe- 18 to 21 g needle- 3 microscopy glass slides ( AFB, gram’s, cytology). • Hold the gland between thumb & index finger. • Site – centre of node – point of maximum fluctuation (through healthy skin). • Pull back on the syringe piston – if no aspirate obtained – move the needle in both direction while gently compressing the LN.
  • 49.
    • Culture remainsthe gold standard for diagnosis, but may take 2–4 weeks to yield results. • A positive acid-fast bacilli (AFB) stain result indicates a mycobacterial etiology and has excellent specificity for M. tuberculosis in adults. • Following Histologic features support a diagnosis of probable tuberculosis in AFB-negative, culture- negative cases, – nonspecific lymphoid infiltrates, – noncaseating granulomas, – Langerhan giant cells in areas of extensive caseous necrosis.
  • 50.
    Ancillary Diagnostic Tests •Sensitivity and Specificity of Tuberculin test were 86% and 67%, respectively, and of IGRAs, 86% and 87%, respectively.
  • 51.
    Drug Treatment • Isoniazid,Rifampin, Pyrazinamide and Ethambutol for 2 months, followed by Isoniazid and Rifampin for another 4 months. • The 6-month recommendation is supported by studies that showed no difference between 6 and 9 months of treatment in cure rates (89%– 94%) or relapse rates (3%). • Practical Endpoints
  • 52.
    Steroid Therapy • Thebenefit of routine corticosteroid therapy for peripheral tuberculous lymphadenitis is unknown. • A double blind, placebo controlled trial involving 117 children with endobronchial tuberculosis revealed a significantly greater improvement in those who received a 37-day tapering course of steroids.
  • 53.
    Possible Mechanism forthe Beneficial Effect of Corticosteroids • Adjunctive use of corticosteroids in TB may have – anti inflammatory effect – Inhibitory actions on the release and activity of lymphokines and cytokines leading to rapid regression of LN size & obviate potential complications. – Directly suppress the pathologic effects of cytokine TNF & from activated CD4+ • Even in Rifampicin containing regimen significant clinical advantage is observed. • Prevent Paradoxical reactions.
  • 54.
    • Ethical committeeapproval obtained • No. of patients included: 334 INCLUSION CRITERIA : • Proven tissue diagnosis of tubercular lymphadenitis • Started on att EXCLUSION CRITERIA: • Cold abscess • HIV,DM &other immunosuppressive illness, malignancy Intra LN injection of Methylprednisolone MATERIALS AND METHODS
  • 55.
    • Inj METHYLPREDNISOLONEACETATE 0.5 – 4 ml injected into lymph nodes according to the size (measured using divider & scale) Size of LN(cm) Amount injected(ml) 1-2 1 2-3 2 3-4 3 4-5 4
  • 56.
    • At intervalof 2 weeks. • Maximum 3 doses. • Followed up fortnightly. • Successful outcome : Reduction in size of 50% or more. • 50% size reduction in – 2 weeks – 151 patients (45%) 4 weeks – 116 patients (35%) 6 weeks – 34 patients (10%) • 301 patients (90%) has got >50% node size reduction in 6 weeks time • Complete regression in 83 patients (24.85%)
  • 57.
    Paradoxical Upgrading Reactions •Worsening of symptoms during treatment (ie, paradoxical upgrading reaction [PUR]). • One definition is the development of enlarging nodes, new nodes, or a new draining sinus in patients who have received at least 10 days of treatment.
  • 58.
    • PUR hasbeen reported in 20%–23% of HIV-negative patients. • It occurred at a median of 1.5 months • Manifestations of PUR have included – enlarging lymph nodes in 32%–68% of cases – New nodes in 27%–36% – pain in 60% – draining sinuses in 12%–60% • In addition, increased adenopathy has also been reported in 9%–11% of patients a mean of 27 months after successful treatment
  • 59.
    Increase in sizeof LN, appearance of new LN Cold abscess/ collarstud abscess formation Necrotising/ Caseous reaction Local inflammation Production of TNF-Alpha, IL-2, IL-6, IL-8, IFN Y & other cytokines Release of mycobacterial products Rapid mycobacterial killing Successful chemotherapy ( ATT) Flow diagram showing possible mechanism of adverse events during effective ATT Ref : Dr. Rakesh Gupta, N Gupta R dixit et al in Richard W. Light’s Pleural Diseases, Vol 2nd : 6th edn 2013 PP 247-248.
  • 60.
    • Biopsy orculture of nodes involved in PUR typically shows granuloma formation and negative culture results with or without positive AFB stains. • Steroids have been considered as a means to reduce the robust immune response in PUR, but their use is controversial. • Intra LN injection of depot Methylprednisolone averts most of these, if given at earliest warning signal.
  • 61.
    Surgical Therapy • Guidelinesrecommend surgical excision only in unusual circumstances : – For patients who have discomfort from tense, fluctuant lymph nodes. – For paradoxical upgrade reactions. – As an adjunct to antibiotic therapy for disease cause by drug resistant Organisms. – Cervical lymphadenitis due to nontuberculous mycobacteria.
  • 62.
    DEPTT. OF SURGERY,QUEEN MARY HOSPITAL, UNIVERSITY OF HONGKONG (1978-1984) 199 LNTB CASES  181 CERVICAL LNTB 40 (22.1%) had abscess or discharging sinus Put on 2S2H2R2Z2/ 4H2R2 ,No atypical mycobacteria ,all sensitive Tuberculous cervical abscess: comparing the results of total excision against simple incision and drainage. Br. J. Surg. 1988, Vol. 75, Jun, 554. Alternating patients Total Excision GA abscess wall + adjacent deep seated LNs were excised  Primary wound closure 2218 Incision & drainage LA & wounds were kept open for drainage • Persistent sinus with track connecting to deeper tissue • Developed new abscess Re-excision (mean time of 3.2 weeks) Follow-up Results Excision Group (n=18) Incision Group (n=22) Persistent wound problem after 3 weeks 6.0% 73% Asymptomatic at 2 years 78% 77% Residual LN at 2 years 17% 18%
  • 63.
    NTM Lymphadenitis • M.avium complex. – commonest • M. scrofulaceum (predominant before 1970), M. malmonse & M. kansasii • Unilateral & nontender • Submandibular, submaxillary • Cervical or preauricular LN in young children of 1-5 years of age • Truly localized disease • 92% U.S. children (1-5yrs age) have NTM disease. • In Australia & Canada NTM LN are 10 times more common. • Mycobacterial adenitis, caused by nontuberculous mycobacteria, such as M. avium complex, is typically seen in non-BCG immunized children in developed countries.
  • 64.
    Diagnosis 1. Simple diagnosticbiopsy / incision and drainage - may lead to fistula formation. 2. FNAC is controversial. 3. Skin tests with NTM antigens. 4. NTM antigen specific Gamma interferon. Treatment Treatment of NTM adenitis is surgical and achieves cure rate > 70%.
  • 66.
    LN TB inChildren • Lung route / Tonsillar route • In recent & acute infection – Greater degree of periadenitis. • Later or sooner LN softens and forms abscess. • Anti- gravity aspiration just delay the process and may lead to sinus formation. • Majority of LN TB is regional component of primary complex rather than result of hematogenous dissemination. Ref :Miller 1983 ; TB in Children
  • 67.
    Bacille Calmette-Guérin lymphadenitis •Most common complication of BCG vaccination. • Two forms of BCG lymphadenitis can be recognised in its natural course : 1. Simple or non-suppurative lymphadenitis, usually regresses spontaneously. 2. Suppurative BCG lymphadenitis distinguished by the development of fluctuations in the swelling, with erythema and oedema of overlying skin.
  • 68.
    Diagnosis of BCGlymphadenitis • Isolated axillary (or supraclavicular/cervical) lymph node enlargement. • History of BCG vaccination on the same side. • Absence of tenderness and raised temperature over the swelling. • Absence of fever and other constitutional symptoms. • Chest radiography, Mantoux reaction, and haematological analysis are not helpful. Fine needle aspiration cytology corroborates the clinical diagnosis in doubtful cases.
  • 69.
    Management of BCGlymphadenitis • No role for antibiotics or Antituberculous drugs. • Needle aspiration – – Recommended for suppurative BCG lymphadenitis. – Prevents discharge and associated complications. – Shortens the duration of healing. – Safe. • Surgical excision Useful in cases with failed needle aspiration, multiloculated or matted lymph nodes, and draining sinuses. • Non-suppurative BCG lymphadenitis is a benign condition and regresses spontaneously without any treatment.
  • 70.
    Conclusion • Good FNAC/ needle biopsy / ZN staining / MT test & ESR make diagnosis in almost all cases. • Optimal management of comorbid conditions. • LNTB enlarge during ATT or appear afresh will eventually respond to treatment. • Development of fluctuation requires immediate attention - Early surgical intervention. • Residual LN at end of ATT should be closely monitored.
  • 71.
    THANK YOU IT ISA GOOD IDEA TO MAKE THE MOST OF WHAT WE HAVE…..