ROOT CANAL TREATMENT
INTRODUCTION .
ROOT CANAL TREATMENT
NORMAL TOOTH. ‰ .HOW IT LOOKS? ‰ .STRUCTURE? ‰ .CONTENTS? ‰ .IDENTIFICATION OF VARIOUS AREAS/PARTS?
ROOT CROWN ENAMEL DENTIN PULP CHAMBER CEMENTUM ROOT CANAL END OF ROOT PERIODONTAL LIGAMENT NERVE & BLOOD VESSELS BONE
QUESTIONS ARISING ABT ROOT CANAL TREATMENT !!!! Q.1:- WHAT IS ROOT CANAL TREATMENT ? Q.2:-WHY WOULD YOU NEED ROOT CANAL TREATMENT ? Q.3:- WHY DO WE FEEL PAIN BEFORE ROOT CANAL TREATMENT ? Q.4:- SIGNS AND SYMPTOMS ? Q.5:- HOW DOES THE PULP GET INFECTED ?
Q.6:- WHAT HAPPENS WHEN A PULP GETS INFECTED  ? Q.7:- HOW IS ROOT CANAL TREATMENT DONE ? Q.8:- HOW LONG IS THE TOOTH LIKELY TO LAST  AFTER IT IS ROOT FILLED ?
Q.1:- WHAT IS ROOT CANAL TREATMENT ? ‰ ..ROOT CANAL TREATMENT (ALSO KNOWN AS ENDODONTIC  TREATMENT) IS THE PROCESS WHERE THE DENTIST REMOVES THE PULP.  i.e. PULP EXTIRPATION.  FROM AN INFECTED TOOTH AND REPLACES IT WITH DENTAL FILLING. ‰ ..ROOT CANAL TREATMENT IS ALSO NECESSARY IF THE TOOTH HAS LOST IT’S VITALITY[DIED] BUT GENERALLY IS BECAUSE DECAY HAS  PENETRATED BOTH THE ENAMEL AND DENTIN TO THE CENTRE OF THE TOOTH AND IT MAY CAUSE AN ABSCESS ALSO. ‰ ..IF YOU DON’T WANT YOUR TOOTH TO BE ROOT FILLED THAN  THE ALTERNATIVE IS USUALLY AN EXTRACTION.
 
 
Q.2:-WHY WOULD YOU NEED ROOT CANAL TREATMENT ? ‰ ..ROOT CANAL TREATMENT IS NEEDED FOR FOLLOWING REASONS: INFECTION OR IRREVERSIBLE DAMAGE. AN UNTREATED CAVITY IS A COMMON CAUSE OF PULP INFECTION.THE REDUCED BLOOD SUPPLY ALSO LIMITS THE PULP’S ABILITY TO HEAL ITSELF. ‰ ..THE PULP CAN BECOME DAMAGED FROM TRAUMA, OR  FACTURE OVER  A PERIOD OF TIME. ‰ ..ONCE THE PULP BECOME INFECTED,THE INFECTION CAN  SPREAD TO THE BONE AROUND THE TOOTH, ABSCESS TO FORM IF THE RCT IS NOT DONE,THE TOOTH MAY HAVE TO BE EXTRACTED, BUT THE BONE STILL MAY HAVE TO BE TREATED.
‰ ..IF AN INFECTED TOOTH THAT NEEDS RCT IS IGNORED, NOT  ONLY CAN U  LOOSE THE TOOTH. BUT ALSO INFECTION CAN SPREAD TO OTHER PARTS OF UR BODY.
‰ ..AN INFECTION IN THE ROOT CANAL OF A TOOTH CAN CAUSE… ‰ ..A SWELLING WITH  PUS IN THE AREA AROUND THE TOOTH ROOT ‰ ..A SWELLING THAT MAY SPREAD TO OTHER AREAS OF THE FACE ‰ ..BONE LOSS AROUND THE TIP OF THE ROOT OF THE TOOTH ‰ ..A DRAIN HOLE (CALLED A SINUS) BETWEEN THE ROOT OF THE INFECTED TOOTH AND OUTSIDE CAN BE THGH THE SIDE OF THE  TOOTH INTO THE PERIODONTIUM. Q.3:- WHY DO WE FEEL PAIN BEFORE ROOT CANAL TREATMENT ?
Q.4:- SIGNS AND SYMPTOMS ? ‰ ..IF U’VE AN INFECTION OF THE PULP, U MAY NOT FEEL ANY PAIN AT FIRST. BUT IF LEFT UNTREATED INFECTION’LL CAUSE PAIN AND SWELLING. IN SOME CASES, AN ABSCESS WILL FORM. EVENTUALLY TOOTH NEED TO BE EXTRACTED. SOME INDICATIONS THAT A TOOTH MAY NEED A ROOT CANAL TREATMENT R: ‰ ..A TOOTH THAT HURTS SIGNIFICANTLY WHEN U BITE DOWN ON  IT, TOUCH IT OR PUSH ON IT. ‰ ..SENSITIVITY TO  HEAT.
‰ ..SENSITIVITY TO COLD THAT LASTS LONGER THEN A COUPLE OF SECONDS. ‰ ..FACIAL SWELLING NEAR THE AFFECTED TOOTH. ‰ ..A DISCOLORED TOOTH, WITH OR WITHOUT ACCOMPANYING  PAIN.
Q.5:- HOW DOES THE PULP GET INFECTED ? ‰ ..SOMETIMES THE PULP INSIDE UR TEETH BECOMES INFLAMED OR INFECTED. ‰ ..THIS CAN BE CAUSED BY DEEP DECAY, REPEATED DENTAL PROCEDURES ON THE TOOTH, A CRACK OR CHIP ON THE TOOTH ,OR A BLOW TO THE TOOTH. THE MOST COMMON CAUSE IS TOOTH DECAY.
 
‰ ..TOOTH DECAY IF LEFT UNTREATED SPREADS TO PULP THEN IT  BEGINS TO DEGENETRATE. ‰ ..AS WITH ANY INFECTION THERE IS FORMATION OF PUS, WHICH TENDS TO GET ACCUMULATED AT TIP OF ROOTS WITHIN THE JAWBONE, FORMING A “PUS-POCKET” CALLED AN ABSCESS. Q.6:- WHAT HAPPENS WHEN A PULP GETS INFECTED ?
 
 
 
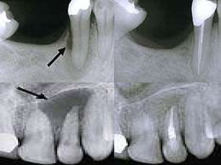
Q.7:- HOW IS ROOT CANAL TREATMENT DONE ? ‰ ..FIRST AN OPENING IS MADE THGH THE OCCLUSAL AREA OF POSTERIOR TEETH AND CINGULUM OF ANTERIOR TEETH. ‰ ..IF MORE THAN ONE VISIT IS NEEDED, A TEMPORARY FILLING IS PLACED IN THE OPENING OF THE TOOTH. ‰ ..AFTER THE DISEASED PULP IS REMOVED, THE PULP CHAMBER & ROOT CANAL IS ENLARGED & SHAPED IN PREPARATION FOR  BEING FILLED. ‰ ..THE TEMPORARY FILLING IS REMOVED AND THE PULP CHAMBER & ROOT CANAL PERMANENT  RESTORATION IS TAPERED, SOMETIME A METAL OR PLASTIC ROD IS PLACED IN THE CANAL FOR SUPPORT. THIS ROD IS CALLED POST.
‰ ..IN FINAL STEP, A CROWN IS USUALLY PLACED OVER THE  TOOTH TO RESTORE ITS NATURAL SHINY APPERANCE. IF THE  TOOTH IS MUCH BROKEN, A POST MAY BE REQUIRED TO BE BUILD UNDER THE CROWN. ‰ ..ALL RCT PROCEDURES R DONE BY ISOLATING THE TOOTH WITH A RUBBER DAM TO PROVIDE SALIVA-FREE ENVIRONMENT. RCT MAY BE DONE IN SINGLE OR MULTIPLE VISITS DEPENDING  ON COMPLEXITY OF THE TOOTH. ‰ ..OFTEN..,X-RAYS R TAKEN TO DETERMINE THE LENGTH OF THE ROOT & TO MONITOR THE VARIOUS ASPECTS OF TREATMENT.
ILLUSTRATIONS:- ROOT CANAL TREATMENT FROM START TO FINISH. 1.PULP DAMAGE THE MOST COMMON WAY FOR THE PULP TO BECOME INFECTED IS FROM AN UNTREATES CAVITIES  THAT CONTAINS BACTERIA WHICH RELEASES ACID.THAT CAUSE PULP DAMAGE.
2.PULP REMOVAL PULP IS REMOVED BY BARBED BROUCHES.
3. REMOVING THE  INFECTED TISSUE. SPECIAL FILES R USED TO CLEAN THE INFECTION & UNHEALTHY PULP OUT  OF THE CANALS. IRRIGATION IS USED TO CLEAN SMALL  OFFSHOOTS OF MAIN CANAL CALLED LATERAL CANAL. ENDODONTIC FILE
 
PLUGGER GUTTA- PERCHA 4. FILLING THE CANALS. THE CANALS R FILLED WITH A PERMANENT MATERIAL GUTTA- PERCHA. THIS HELPS TO SAVE TOOTH & KEEP THE CANALS FREE OF THE CONTAMINATION. A THIN, METAL INSTRUMENT PLUGGER, IS USED TO PUSH  THE GUTTA-PERCHA IN CANALS SO THAT IT BECOMES COMPACT
FILLING MATERIAL 5.REBUILDING THE TOOTH A TEMPORARY FILLING MATERIAL IS PLACED ON TOP OF THE GUTTA- PERCHA TO SEAL THE OPENING UNTIL THE TOOTH IS READY TO BE PREPARED FOR A CROWN. A CROWN, SOMETIMES CALLED CAP, IS MADE TO LOOK LIKE A NATURAL TOOTH, AND IS PLACED ON TOP.
FILLING MATERIAL POST IN SOME CASES, A POST IS  PLACED TO CROWN THE EXTRA  SUPPORT. 6. EXTRA SUPPORT
CROWN FILLING ,ATERIAL BONE LATERAL CANALS GUTTA- PERCHA POST PERIODONTAL LIGAMENT GUMS 7. THE CROWNING TOUCH THE CROWN IS CEMENTED  INTO THE PLACE.
 
 
Q.8:- HOW LONG IS THE TOOTH LIKELY TO LAST  AFTER IT IS ROOT FILLED ? ‰ ..ROOT FILLED TEETH OFTEN LAST FOR MANY YEARS. IT IS, HOWEVER, VERY DIFFICULT FOR A DENTIST TO COMPLETELY  ERADICATE THE INFECTION INSIDE THE TOOTH.  AS A RESULT, IT IS IMPOSSIBLE TO GUARANTEE THAT THE TOOTH WILL  SURVIVE FOR A PARTICULAR LENGTH OF LENGTH OF TIME. ‰ ..IN ANY EVENT, THE LIFE EXPECTANCY OF ANY TOOTH ISN’T ENTIRELY DOWN TO UR DENTIST, BUT IS GREATLY INFLUENCED  BY FACTORS UNDER UR OWN CONTROL, SUCH AS UR DIET & HOW WELL U LOOK AFTER UR TEETH. ‰ ..IF THE INFECTION COMES BACK IT IS OFTEN POSSIBLE FOR  UR DENTIST TO REPEAT THE RCT TO GET RID OF THE INFECTION AGAIN & AVOID EXTRACTING THE TOOTH.
 

Root canal treatment__cons._

  • 1.
  • 2.
  • 3.
  • 4.
    NORMAL TOOTH. ‰.HOW IT LOOKS? ‰ .STRUCTURE? ‰ .CONTENTS? ‰ .IDENTIFICATION OF VARIOUS AREAS/PARTS?
  • 5.
    ROOT CROWN ENAMELDENTIN PULP CHAMBER CEMENTUM ROOT CANAL END OF ROOT PERIODONTAL LIGAMENT NERVE & BLOOD VESSELS BONE
  • 6.
    QUESTIONS ARISING ABTROOT CANAL TREATMENT !!!! Q.1:- WHAT IS ROOT CANAL TREATMENT ? Q.2:-WHY WOULD YOU NEED ROOT CANAL TREATMENT ? Q.3:- WHY DO WE FEEL PAIN BEFORE ROOT CANAL TREATMENT ? Q.4:- SIGNS AND SYMPTOMS ? Q.5:- HOW DOES THE PULP GET INFECTED ?
  • 7.
    Q.6:- WHAT HAPPENSWHEN A PULP GETS INFECTED ? Q.7:- HOW IS ROOT CANAL TREATMENT DONE ? Q.8:- HOW LONG IS THE TOOTH LIKELY TO LAST AFTER IT IS ROOT FILLED ?
  • 8.
    Q.1:- WHAT ISROOT CANAL TREATMENT ? ‰ ..ROOT CANAL TREATMENT (ALSO KNOWN AS ENDODONTIC TREATMENT) IS THE PROCESS WHERE THE DENTIST REMOVES THE PULP. i.e. PULP EXTIRPATION. FROM AN INFECTED TOOTH AND REPLACES IT WITH DENTAL FILLING. ‰ ..ROOT CANAL TREATMENT IS ALSO NECESSARY IF THE TOOTH HAS LOST IT’S VITALITY[DIED] BUT GENERALLY IS BECAUSE DECAY HAS PENETRATED BOTH THE ENAMEL AND DENTIN TO THE CENTRE OF THE TOOTH AND IT MAY CAUSE AN ABSCESS ALSO. ‰ ..IF YOU DON’T WANT YOUR TOOTH TO BE ROOT FILLED THAN THE ALTERNATIVE IS USUALLY AN EXTRACTION.
  • 9.
  • 10.
  • 11.
    Q.2:-WHY WOULD YOUNEED ROOT CANAL TREATMENT ? ‰ ..ROOT CANAL TREATMENT IS NEEDED FOR FOLLOWING REASONS: INFECTION OR IRREVERSIBLE DAMAGE. AN UNTREATED CAVITY IS A COMMON CAUSE OF PULP INFECTION.THE REDUCED BLOOD SUPPLY ALSO LIMITS THE PULP’S ABILITY TO HEAL ITSELF. ‰ ..THE PULP CAN BECOME DAMAGED FROM TRAUMA, OR FACTURE OVER A PERIOD OF TIME. ‰ ..ONCE THE PULP BECOME INFECTED,THE INFECTION CAN SPREAD TO THE BONE AROUND THE TOOTH, ABSCESS TO FORM IF THE RCT IS NOT DONE,THE TOOTH MAY HAVE TO BE EXTRACTED, BUT THE BONE STILL MAY HAVE TO BE TREATED.
  • 12.
    ‰ ..IF ANINFECTED TOOTH THAT NEEDS RCT IS IGNORED, NOT ONLY CAN U LOOSE THE TOOTH. BUT ALSO INFECTION CAN SPREAD TO OTHER PARTS OF UR BODY.
  • 13.
    ‰ ..AN INFECTIONIN THE ROOT CANAL OF A TOOTH CAN CAUSE… ‰ ..A SWELLING WITH PUS IN THE AREA AROUND THE TOOTH ROOT ‰ ..A SWELLING THAT MAY SPREAD TO OTHER AREAS OF THE FACE ‰ ..BONE LOSS AROUND THE TIP OF THE ROOT OF THE TOOTH ‰ ..A DRAIN HOLE (CALLED A SINUS) BETWEEN THE ROOT OF THE INFECTED TOOTH AND OUTSIDE CAN BE THGH THE SIDE OF THE TOOTH INTO THE PERIODONTIUM. Q.3:- WHY DO WE FEEL PAIN BEFORE ROOT CANAL TREATMENT ?
  • 14.
    Q.4:- SIGNS ANDSYMPTOMS ? ‰ ..IF U’VE AN INFECTION OF THE PULP, U MAY NOT FEEL ANY PAIN AT FIRST. BUT IF LEFT UNTREATED INFECTION’LL CAUSE PAIN AND SWELLING. IN SOME CASES, AN ABSCESS WILL FORM. EVENTUALLY TOOTH NEED TO BE EXTRACTED. SOME INDICATIONS THAT A TOOTH MAY NEED A ROOT CANAL TREATMENT R: ‰ ..A TOOTH THAT HURTS SIGNIFICANTLY WHEN U BITE DOWN ON IT, TOUCH IT OR PUSH ON IT. ‰ ..SENSITIVITY TO HEAT.
  • 15.
    ‰ ..SENSITIVITY TOCOLD THAT LASTS LONGER THEN A COUPLE OF SECONDS. ‰ ..FACIAL SWELLING NEAR THE AFFECTED TOOTH. ‰ ..A DISCOLORED TOOTH, WITH OR WITHOUT ACCOMPANYING PAIN.
  • 16.
    Q.5:- HOW DOESTHE PULP GET INFECTED ? ‰ ..SOMETIMES THE PULP INSIDE UR TEETH BECOMES INFLAMED OR INFECTED. ‰ ..THIS CAN BE CAUSED BY DEEP DECAY, REPEATED DENTAL PROCEDURES ON THE TOOTH, A CRACK OR CHIP ON THE TOOTH ,OR A BLOW TO THE TOOTH. THE MOST COMMON CAUSE IS TOOTH DECAY.
  • 17.
  • 18.
    ‰ ..TOOTH DECAYIF LEFT UNTREATED SPREADS TO PULP THEN IT BEGINS TO DEGENETRATE. ‰ ..AS WITH ANY INFECTION THERE IS FORMATION OF PUS, WHICH TENDS TO GET ACCUMULATED AT TIP OF ROOTS WITHIN THE JAWBONE, FORMING A “PUS-POCKET” CALLED AN ABSCESS. Q.6:- WHAT HAPPENS WHEN A PULP GETS INFECTED ?
  • 19.
  • 20.
  • 21.
  • 22.
    Q.7:- HOW ISROOT CANAL TREATMENT DONE ? ‰ ..FIRST AN OPENING IS MADE THGH THE OCCLUSAL AREA OF POSTERIOR TEETH AND CINGULUM OF ANTERIOR TEETH. ‰ ..IF MORE THAN ONE VISIT IS NEEDED, A TEMPORARY FILLING IS PLACED IN THE OPENING OF THE TOOTH. ‰ ..AFTER THE DISEASED PULP IS REMOVED, THE PULP CHAMBER & ROOT CANAL IS ENLARGED & SHAPED IN PREPARATION FOR BEING FILLED. ‰ ..THE TEMPORARY FILLING IS REMOVED AND THE PULP CHAMBER & ROOT CANAL PERMANENT RESTORATION IS TAPERED, SOMETIME A METAL OR PLASTIC ROD IS PLACED IN THE CANAL FOR SUPPORT. THIS ROD IS CALLED POST.
  • 23.
    ‰ ..IN FINALSTEP, A CROWN IS USUALLY PLACED OVER THE TOOTH TO RESTORE ITS NATURAL SHINY APPERANCE. IF THE TOOTH IS MUCH BROKEN, A POST MAY BE REQUIRED TO BE BUILD UNDER THE CROWN. ‰ ..ALL RCT PROCEDURES R DONE BY ISOLATING THE TOOTH WITH A RUBBER DAM TO PROVIDE SALIVA-FREE ENVIRONMENT. RCT MAY BE DONE IN SINGLE OR MULTIPLE VISITS DEPENDING ON COMPLEXITY OF THE TOOTH. ‰ ..OFTEN..,X-RAYS R TAKEN TO DETERMINE THE LENGTH OF THE ROOT & TO MONITOR THE VARIOUS ASPECTS OF TREATMENT.
  • 24.
    ILLUSTRATIONS:- ROOT CANALTREATMENT FROM START TO FINISH. 1.PULP DAMAGE THE MOST COMMON WAY FOR THE PULP TO BECOME INFECTED IS FROM AN UNTREATES CAVITIES THAT CONTAINS BACTERIA WHICH RELEASES ACID.THAT CAUSE PULP DAMAGE.
  • 25.
    2.PULP REMOVAL PULPIS REMOVED BY BARBED BROUCHES.
  • 26.
    3. REMOVING THE INFECTED TISSUE. SPECIAL FILES R USED TO CLEAN THE INFECTION & UNHEALTHY PULP OUT OF THE CANALS. IRRIGATION IS USED TO CLEAN SMALL OFFSHOOTS OF MAIN CANAL CALLED LATERAL CANAL. ENDODONTIC FILE
  • 27.
  • 28.
    PLUGGER GUTTA- PERCHA4. FILLING THE CANALS. THE CANALS R FILLED WITH A PERMANENT MATERIAL GUTTA- PERCHA. THIS HELPS TO SAVE TOOTH & KEEP THE CANALS FREE OF THE CONTAMINATION. A THIN, METAL INSTRUMENT PLUGGER, IS USED TO PUSH THE GUTTA-PERCHA IN CANALS SO THAT IT BECOMES COMPACT
  • 29.
    FILLING MATERIAL 5.REBUILDINGTHE TOOTH A TEMPORARY FILLING MATERIAL IS PLACED ON TOP OF THE GUTTA- PERCHA TO SEAL THE OPENING UNTIL THE TOOTH IS READY TO BE PREPARED FOR A CROWN. A CROWN, SOMETIMES CALLED CAP, IS MADE TO LOOK LIKE A NATURAL TOOTH, AND IS PLACED ON TOP.
  • 30.
    FILLING MATERIAL POSTIN SOME CASES, A POST IS PLACED TO CROWN THE EXTRA SUPPORT. 6. EXTRA SUPPORT
  • 31.
    CROWN FILLING ,ATERIALBONE LATERAL CANALS GUTTA- PERCHA POST PERIODONTAL LIGAMENT GUMS 7. THE CROWNING TOUCH THE CROWN IS CEMENTED INTO THE PLACE.
  • 32.
  • 33.
  • 34.
    Q.8:- HOW LONGIS THE TOOTH LIKELY TO LAST AFTER IT IS ROOT FILLED ? ‰ ..ROOT FILLED TEETH OFTEN LAST FOR MANY YEARS. IT IS, HOWEVER, VERY DIFFICULT FOR A DENTIST TO COMPLETELY ERADICATE THE INFECTION INSIDE THE TOOTH. AS A RESULT, IT IS IMPOSSIBLE TO GUARANTEE THAT THE TOOTH WILL SURVIVE FOR A PARTICULAR LENGTH OF LENGTH OF TIME. ‰ ..IN ANY EVENT, THE LIFE EXPECTANCY OF ANY TOOTH ISN’T ENTIRELY DOWN TO UR DENTIST, BUT IS GREATLY INFLUENCED BY FACTORS UNDER UR OWN CONTROL, SUCH AS UR DIET & HOW WELL U LOOK AFTER UR TEETH. ‰ ..IF THE INFECTION COMES BACK IT IS OFTEN POSSIBLE FOR UR DENTIST TO REPEAT THE RCT TO GET RID OF THE INFECTION AGAIN & AVOID EXTRACTING THE TOOTH.
  • 35.