ANATOMY,PATHOLOGY,D/D,
EVALUATION AND SURGICAL
APPROACH TO PARAPHARYNGEAL SPACE
ETIOPATHOGENESIS AND MANAGEMENT
OF HEAD AND NECK PARAGANGLIOMAS
MADAN GUPTA
JR ENT
PPS(parapharyngeal space tumor)
• Potential space
• Inverted five-sided pyramid with its base towards the sphenoid bone and
its apex- horn of the hyoid bone (Heeneman, Gilbert and Rood,
Prestyloid vs Retrostyloid
• Key anatomical division of PPS
• Tensor-vascular styloid fascia divides into
prestyloid and retrostyloid spaces
• Anterolateral prestyloid/posteriormedial
retrostyloid
• Used to make differential diagnosis based on
imaging
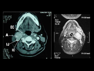
prestyloid Post styloid retropharyngeal
Artery maxillary ICA -
Vein - IJV -
Nerve Inf alveolar nerve IX,X,XI,XII -
Lingual
Cervical
sympatheticauriculotemporal
Lymph node - ++ +++
Glomus body - ++ -
Anatomical importance
• Pre styloid vs Poststyloid
• least resistance-
 the naso- and oropharynx medially.
 the upper neck between the tail of the parotid
and the submandibular gland inferiorly.
the retromandibular fossa posterolaterally.
• The retropharyngeal space is connected with the
parapharyngeal space in an area just medial to
the carotid sheath and its contents.
CONT….
• (node of Rouvière, 1927)- draining the
nasopharynx, upper oropharynx and sinuses.
• Lincoln's highway.
• Patey and Thackray (1956-157) coined the term
'stylomandibular tunnel' formed by the posterior
margin of the ascending ramus of the mandible
anteriorly, the styloid process and
stylomandibular ligament behind and the base of
the skull above. This tunnel resists pressure so
that tumours of the deep lobe of the parotid
gland assume a dumb-bell shape as they grow
CONT…
• upper deep cervical chain are connected
superiorly to the node of Rouvière, while
inferiorly they flow towards the jugulodigastric
node, the node most commonly involved with
metastatic disease from head and neck
tumours
Evaluation
Carrau ,Mayer, Johnson ,nearly 50% of
patients had a neck
mass.
Pathology
Clinical symptoms
• Prestyloid
– Serous otitis media
– Voice change
– Nasal obstruction
– Dyspnea
• Poststyloid
– Compress CN 9th, 10th, 11th, 12th or sympathetic chain
– Hoarseness, dysphagia, dysarthria, Horner’s syndrome
• Cranial nerve paralysis, pain, trismus suggest
malignancy
• Medial displacement of OROPHARYNX or lump
behind the angle of mandible.
• Trismus
• Syncope-may be associated with
glossopharyngeal neuralgia.
• syndrome of inappropriate antidiuretic hormone
secretion or Schwartz-Bartter syndrome.
• Detailed ENT evalution along with CRANIAL
NERVE examination.
FNAC
• equally applicable for neck lumps or lumps in
the oropharynx.
• CT-guided FNAC
• Pitfalls----
Rare tm—false + result
Recurrence cases
CT scan
• Locates tumor to prestyloid vs poststyloid
– Prestyloid tumor displace carotid artery posteriorly
– Poststyloid tumor displace carotid artery anteriorly
• Fat plane between mass and parotid
• Enhancement of lesion
– Schwannoma, paraganglioma, hemangioma,
hemangiopericytoma, aneurysm
• Bone erosion due to malignancy
• Limited soft tissue detail
MRI
• Most useful study
• Relationship of mass and carotid more easily
seen than with CT
• Characteristic appearances of tumor types on
MRI allows preoperative Dx in 90-95% of
patients
Primary Tumors
• Three categories:
• Salivary gland tumors
• Neurogenic tumors
• Miscellaneous tumors
Salivary Gland Tumors
• Most common PPS neoplasms: 40-50%
• Prestyloid masses
• Pleomorphic adenoma 80-90%
• Mucoepidermoid most common malignant
Salivary Gland Tumors
• Located in prestyloid space
• From deep lobe of parotid or minor salivary
glands
• On CT or MRI a fat plane between the parotid
and a prestyloid mass indicates minor salivary
gland origin
• Displace the internal carotid posteriorly
Pleomorphic adenoma
• Low signal intensity on T1
• High signal intensity on T2
• Displace carotid posteriorly
Neurogenic Tumors: 17-25%
• Benign lesions
.Neurilemomas (Schwannomas).
.Neurofibroma.
.Paraganglioma.
.Ganglioneuroma.
• Malignant lesions
.Malignant paraganglioma.
.Neurofibrosarcoma.
.Schwannosarcoma.
.Ganglionblastoma
Schwannoma
• Most common neurogenic neoplasm
• Vagus, sympathetic chain most common
• Benign and slow growing
• Generally don’t affect nerve of origin
• Less than 1% malignant
• Displace internal carotid anteriorly
Schwannoma
• High signal intensity on T2
• Displace carotid anteriorly
Neurofibromas
• 3rd most common neurogenic tumor
• From Schwann cells and fibroblasts
• Unencapsulated (involve nerve)
• Multiple
• Part of Neurofibromatosis type I
Lymphoreticular Lesions
• The PPS and retropharyngeal nodes drain the
oronaso, hypopharyngeal , posterior nasal cavity,
and paranasal sinuses as well the posterior oral
cavity.
• These are two groups, a superior lateral group
(nodes of Rouviere) and an inferior medial group .
• Lymphoma is the most common
• metastases from thyroid cancer, and sqamous
cell carcinoma, and renal cell carcinoma and
osteogenic sarcoma may present in the nodes of
the PPS
Other rare lesions of the PPS
• They include:
• Vascular (Hemangiopericytoma, angiosarcoma)
• Muscle (Rhabdomyoma, Leiomyoma, rhabdomyosarcoma)
• Connective tissue (Lipoma, fibroma, fibosarcoma,
chondrosarcoma)
• Meningioma, Meningiosarcoma.
• Congenital (Branchial cleft cyst, dermoid, hemongioma,
lymphangioma,
• arteriovenous malformation).
• Pseudotumor sclerosing cervicitis, myositis, abscees, aneurysm.
• Malignant invasion from surrounding structure
• Distant metastases
(Curtin,1987).
Axial T1W MR shows a homogeneous, infiltrating rhabdomyosarcoma in the
left PPS. The tumor has destroyed the left mandible, posterior maxillary sinus wall, and
skull base (from Som PM, Curtin HD. Parapharyngeal space. In: Head and Neck
Imaging: 1996: 943).
Coronal T2W MR scans show an infiltrating right PPS tumor (metastatic
renal cell carcinoma) eroding the skull base and invading the cavernous sinus and the
pterygoid muscles (from Som PM, Curtin HD. Parapharyngeal space. In: Head and
Neck Imaging: 1996: 937).
Surgical approaches
• Transoral
• Cervical with or without mandibulotomy
• Cervical-parotid
• Transparotid
• Cervical-transpharyngeal “swing”
• Infratemporal fossa
• Transcervical-transmastoid
Transoral
• Has been used for small, benign tumors
• Very limited exposure
• Increased risk of tumor spillage, neurovascular
injury
Cervical
• With or without
mandibulotomy
• Transverse incision at level
of hyoid
• Submandibular gland
displace or removed
• Increase exposure by
releasing digastric,
stylohyoid, styloglossus
from hyoid, cut
stylomandibular ligament,
mandibulotomy
Cervical-parotid
• Extend cervical incision up infront of ear
• Allows identification facial nerve
• Divide posterior belly digastric
• Divide stylomandibular ligament, styloglossus,
stylohyoid close to styloid process
• Can use mandibulotomy
Cervical-parotid approach
Indications
• Can be used to remove majority of the
parapharyngeal tumor
– All deep lobe parotid tumors and extraparotid
salivary tumors
– Low grade malignant tumors of deep lobe of
parotid
– Many poststyloid tumors, including most
neurogenic tumors and small paragangliomas
Transparotid
• For deep lobe parotid tumors
• Superficial parotidectomy
• Facial nerve retracted
• Dissect around mandible
• May use mandibulotomy
Cervical-transpharyngeal
• “mandibular swing”
• Large or highly
vascular tumors
• Mandibulotomy
anteriorly, incise along
floor of mouth to
anterior tonsillar pillar
• Need a tracheotomy
indications
• All vascular tumors that extend into the
superior portion of the parapharyngeal space
• Malignant tumor invaded skull base or
vertebral body
Infratemporal fossa
• Preauricular lateral infratemporal fossa
approach
• Skull base or infratemporal fossa involvement
• Can combine with frontotemporal craniotomy
Transcervical-transmastoid
• Cervical incision carried
postauricularly
• Mastoidectomy
• Remove mastoid tip
exposing jugular fossa
• Facial nerve may need to
be dissected from
Fallopian canal
PARAGANGLIOMA
Paraganglia are specialized neural crest cells that arise in association with the
autonomic ganglia..
Classification according to the anatomic sites -Glenner and Grimley :
1. Branchiomeric (Head and neck) paraganglia
2. Intravagal paraganglia
3. Aorticosympathetic paraganglia
4. Visceral autonomic paraganglia
BRANCHIOMERIC PARAGANGLIOMA
• Carotid body tumour
• Jugulotympanic
• Aorticopulmonary
• Subclavian
• Laryngeal
• Coronary
• Orbital
Pathology
• Type I: chief cells/granular cells
• Type II: sustentacular cells
• "Zellballen“
• Agrressive tumor
– ↓sustentacular cells
– ↑ratio of immunohistochemical
analysis of chief cells &
sustentacular cells
Pathology
• Type I
– Catecholamines,
tryptophan-containing
protein
– APUD/diffuse
neuroendocrine system
Nuclear pleomorphism and cellular hyperchromatism are common & should not
be considered as evidence of malignancy
 Malignancy is based on the clinical finding of metastasis, not on histologic
examination
Pathology
• Immunohisochemistry
– Type I cells
• Neuron-specific
enolase, chromogranin
A, synaptophysin,
serotonin
– Type II cells
• S-100, glial fibrillary
acidic protein
Functional glomus jugulare
• Paraganglioma neuropeptides
– Norepinephrine, serotonin, vasoactive intestinal peptide, neuron
specific enolase
• 1-3% functional
• Norepinephrine levels 4-5 times normal to elevate BP
• Symptoms
– Headache, palpitations, flushing, perspiration , pallor , nausea
Functional glomus jugulare
• Labs
– 24-hour urine
• Norepinephrine metabolites: vanillylmandelic acid,
normetanephrine
• Excess epinephrine, metanephrine suspect pheochromocytoma
• CT abdomen / selective renal vein sampling to r/o pheochromocytoma
• Treatment- alpha and beta antagonists
Carotid body tm
• Haller –round reddish brown to tan structure
found in adventia of the CCA
• Post-medial wall at bifurcation
• Attached by “Mayer ligament”
• Normal CB-3-5mm, <15gm
Etiopathogenesis
I. Chronic hypoxic stimulation
II. Genetic
 familial 4 gene
 Encodes succinate dehydrogenase complex
 Defect -↑ intracellular concentration of
molecular hypoxic mediator and vascular
endothelial growth factor---hyperplasia
,angiogenesis and neoplasia.
Pathogenesis
• Hypoxia, Hypercapnia , ↓ ph
↓
stimulation of type 1 cell
↓
↑ autonomic activity
↓
↑ resp rate,↑( heart rate & systemic
vascular tone & bp)
Imaging
• Jansen et al
o Sequencial imaging
doubling time-7.13 yrs
growth rate- 0.83 mm/yr
SHAMBLIAN:
TYPE 1-ICA circumference -<180 *
TYPE 2-ICA circumference->180*-<270*
TYPE 3-ICA circumference->270*
Screening for carriers of SDH Gene
• Annual physical examination and
measurement of blood pressure.
• Annual levels of urinary catecholamine and
metanephrine
• Imaging of neck,thorax,abdomen and pelvis
every 6-12 month by ct and or mri.
Management
• Surgery
• positioned with neck extended
• Subcutaneous injection with 40 mL of 1:100 000
adrenaline will aid haemostasis.
• incision -skin crease 2 cm below the mandible
• anterior border of the sternocleidomastoid is incised -
retracted - exposure of the carotid sheath.
• common carotid artery is achieved after exposure and
dissection of the contents of the carotid sheath.
Complication
• Lack and collegue-15 % of CN palsy
• Anand and collegue-1181 cases
ICA injury-23%
CNS complication-26%
Controversy over surgery for
multicentric tumor
• B/l carotid body tm
 Save atleast one vagus
 Resect smaller first
 Unilateral preexisting CN palsy-functional side
operated if clinically observed
 Enlarged tm---RT may be option
• Baroreflex failure syndrome
 B/L denervation-unopposed sympathetic outflow
 Compensation-baroreceptor aorta,regrowth of C sinus
 T/t-sodium nitroprusside- f/b-clonidine or
phenoxybenzamine
RADIATION
No. of CBT RT dose f/u period Local control
University of
florida
23 35-48.5 Gy 1.5-10 yrs 96 %
Valdagni et al 13 46-60 Gy 1-19 yrs 100%
Jugulotympanic paraganglioma
• 2nd most common temporal bone tumor
• Incidence = 1:1,300,000
• Female to male ratio = 4:1
• Median age of presentation = 50-60 years
• Familial form a/w higher incidence of multicentricity (25-50%)
• Malignancy rate < 5%
• Slow growing, spread along pathways of least resistance
• Guild
– paraganglia of the temporal bone as ovoid, lobulated bodies
measuring between 1-1.5mm in diameter , on the average, there are
three such bodies in each ear
• Adventitia of the jugular vein ( glomus jugulare tumor) - 85% of cases
• Jacobson’s nerve, a branch of the glossopharyngeal nerve ( glomus
tympanicum) - 12% of cases
• Arnolds nerve , a branch of CN X, gives rise to glomus tympanicum in 3%
of cases
• Blood supply  ascending pharyngeal artery via inferior tympanic and
neuromeningeal branches
Jugulotympanic Paragangliomas
• Routes of spread
– air cell tracts
– eustachian tube
– vascular lumens
– neurovascular foramina including IAC
– bone erosion
(watch for carotid crest separating the
internal carotid from the internal jugular
vein)
Presentation
• Pulsatile tinnitus (80%)
• Hearing loss (60%)
– Conductive
– Sensorineural (if labirinth eroded)
• Aural fullness
• Red or reddish-blue mass behind TM
• Vascular ear "polyp"
• Brown’s sign
• Aquino sign
• Bruit over the mastoid
Presentation
• Cranial deficits (35%)
– most commonly IX, X
– VII, VIII, XI and XII can be affected
– Vernet syndrome ( IX, X,XI)
– Villaret syndrome (jugular foramen syndrome + Horner’s syndrome)
– IV, V & VI impairment if cavernous sinus involved
• Ataxia if cerebellum is involved
Syndromes
• MEN IIA-Sipple’s syndrome
– RET proto-oncogene chromosome 10
– Medullary thyroid carcinoma, pheochromocytoma, parathyroid
hyperplasia
• MEN IIB
– RET but different site
– Mucosal neuromas
• Von Hipple-Lindau
– Retinal angiomas, cerebellar hemangioblastomas
• Carney’s complex
– Gastric leiomyosarcoma, pulmonary chondroma, extra-adrenal
functional paragangliomas
Familial paragangliomas
• 10% of cases
• Chromosomes 11q13.1, 11q22-q23
• Autosomal dominant
• Genomic imprinting
– Only expressed if father passes gene
• ? Higher incident with hypoxia due to altitude or medical conditions
Evaluation
• Fine cut CT of Temporal bone with contrast
– bony partition between the jugular fossa
and hypotympanum
– Caroticojugular spine
– VII, cochlea and ICA
– Excludes aberrant internal carotid artery /
high riding dehiscent jugular bulb
– Sections down to the carotid body
excludes multicentric lesions
 Audiogram with tympanometry
Evaluation
• MRI
– intracranial and intradural extension
– T1-weighted images, relationship with
neighboring neurovascular structures
– diagnostic flow voids within the tumor
(salt and pepper pattern)
Vascular assessment
• 4 vessel arteriography
– Multicentricity
– Feeding vessels
– Intrasinus and intravenous extension
– Adequacy of flow in the contralateral
sigmoid and/or internal jugular vein
– Embolization
– BOT
• Evaluation of collateral blood supply to the brain
– single-photon emission computed tomography (SPECT) with balloon
occlusion
– transcranial Doppler, or angiography and balloon occlusion
– xenon-enhanced computed tomography (ABOX-CT) scan
• predict the probability of cerebral ischemia when the ipsilateral ICA is
sacrificed
• indicated when the risk for injury or the need for sacrifice of the ICA is
high
ABOX-CT scan
• High sensitivity and specificity
• Technique
– non-detachable balloon inflated in ICA for 15 minutes, while the
awake patient is monitored for any neurological deficit
– Any neurological deficit  cessation of the test high-risk pt
– If no deficits  balloon deflated  pt taken toCT scan suite
– A mixture of 32% xenon and 68% oxygen is administered via
facial mask for 4 minutes
– CT scan demonstrates the cerebral distribution of xenon, which
reflects the blood flow {cubic centimeters (cm3) of blood flow
per minute per 100 grams of brain tissue (cm3/min/100 g)}
ABOX-CT scan
• High sensitivity and specificity
• Technique
– non-detachable balloon inflated in ICA for 15 minutes, while the
awake patient is monitored for any neurological deficit
– Any neurological deficit  cessation of the test high-risk pt
– If no deficits  balloon deflated  pt taken toCT scan suite
– A mixture of 32% xenon and 68% oxygen is administered via
facial mask for 4 minutes
– CT scan demonstrates the cerebral distribution of xenon, which
reflects the blood flow {cubic centimeters (cm3) of blood flow
per minute per 100 grams of brain tissue (cm3/min/100 g)}
Evaluation
• FNAC not advised
• VMA, metanephrines, catecholamines level in 24 hr urine
• Abdominal CT if symptomatic ( flushing, HTN)
• Scintigraphy techniques
– I-123 metaiodobenzyleguanidine – endocrine activity in glomus
– Octreotide scintigraphy – multiplicity
– 18F-PET & 18FDG PET- multiplicity
Glasscock-Jackson Classification
• Glomus Jugulare
– I. Small tumor involving jugular bulb, middle ear, and mastoid
– II. Tumor extending under internal auditory canal; may have
intracranial extension (ICE)
– III. Tumor extending into petrous apex; may have ICE
– IV. Tumor extending beyond petrous apex into clivus or infratemporal
fossa; may have ICE
Fisch Classification (1981)
• Class A - Middle ear, strictly promontory
• Class B - Tympanomastoid area
• Class C - Carotid
– C1 Carotid Foramen
– C2 Vertical segment of carotid canal
– C3 Horizontal segment of carotid canal
– C4 Foramen lacerum and cavernous sinus
• Class D - Dural
• Extradural
– De1: Intercranial Extradural extension < 2cm
– De2: Intracranial Extradural extension > 2cm
• Intradural
– Di1: Intracranial Intradural extension < 2cm
– Di2: Intracranial Intradural extention > 2cm
– D3: Metastasis
Pre-op embolisation
• For larger glomus jugulare tumors ( also for meningiomas)
• Approximately 24 to 48 hours prior to surgery
• Advantages
– reduce intra-op bleeding
– improve intra-op visualization of the tumor
– decrease surgical time
Studies have shown that the risk of ORN is low if the optimal dose of XRT of
35Gy/3weeks or 45Gy/4weeks is used
cranial nerve deficits
vascular injury
bleeding
CSF leak
tumor regrowth
late-onset cranial nerve
defects
osteoradionecrosis of
temporal bone
Surgery Radiation
therapy
Guidelines
• Pts > 65 years of age/ poor pulmonary
function / complicating medical
conditions / Di3 tumour  radiation
therapy
• Multicentric tumors
– bilateral lower cranial nerve deficits
can be devastating
– most life-threatening lesion to be
treated first
surgery
Secreting
tumors
Healthy,
young
patients (<65
years)
Large tumors
with cranial
nerve
compromise
Surgical Treatment
BASIC PRINCIPLES
• Exposure of all tumor margins
• Identification/control of vital
regional anatomy
• Access to all margins of ICE
Surgical technique
• Glasscock and Jackson Class I and II or Fisch C1 or C2 can be resected with
extended facial recess approach
• Infratemporal fossa approach for tumors beyond petrous apex or involve
cavernous sinus
• Tumors with intracranial extension may be resected with inratemporal
fossa approach
• Retrosigmoid and/or suboccipital approach may be necessary for tumors
with extension into posterior cranial fossa
Infratemporal fossa approach
• TYPE A-JUGULAR BULB
VERTICAL PETROUS CAROTID
POST INFRATEMPORAL FOSSA
• TYPE B-PETROUS APEX
CLIVUS
SUP INFRATEMPORAL FOSSA
• TYPE C-NASOPHARYNX
PERITUBAL SPACE
ROSTRAL CLIVUS
PARASELLAR AREA
PTERYGOPALATINE FOSSA
• TYPE D-PREAURICULAR-
PETROUS APEX
NASOPHARYNX
PARASELLAR AREA
PTERYGOPALATINE FOSSA
ANTERIOR INFRATEMPORAL FOSSA
TYPE A APPROACH
TYPE B
TYPE C
PREAURICULAR APPROACH
Vagal paraganlioma
• Paraganglionic tissue associated with one of
the gamglia of the vagus nerve.
• May present as palpable neck mass
• Tvc paralysis or horner syndrome
• May involve IX, XI, and XII
staging
Management
• Counseled about sacrifice of vagus nerve
• Treatment almost same as carotid body tm
• Mostly by transcervical approach
• For superiorly located tm-combinde trans
mastoid and transcervical approach
Conclusion--- PPS
• Rare tumor in an complex anatomical area
• Subtle clinical presentation
• Radiographic imaging is important
• Prestyloid vs poststyloid space
• Surgery is the main treatment
Conclusion--PARAGANGLOMA
• Preop embolization and imaging aid in
surgery.
• Experience in skull base surgery.
• Proper counseling of patient regarding post op
complication and rehabilitation.
• Rule out functional glomus.
• In Future, genetic analysis may help in early
diagnosis and management.

Presentation1

  • 1.
    ANATOMY,PATHOLOGY,D/D, EVALUATION AND SURGICAL APPROACHTO PARAPHARYNGEAL SPACE ETIOPATHOGENESIS AND MANAGEMENT OF HEAD AND NECK PARAGANGLIOMAS MADAN GUPTA JR ENT
  • 2.
    PPS(parapharyngeal space tumor) •Potential space • Inverted five-sided pyramid with its base towards the sphenoid bone and its apex- horn of the hyoid bone (Heeneman, Gilbert and Rood,
  • 5.
    Prestyloid vs Retrostyloid •Key anatomical division of PPS • Tensor-vascular styloid fascia divides into prestyloid and retrostyloid spaces • Anterolateral prestyloid/posteriormedial retrostyloid • Used to make differential diagnosis based on imaging
  • 6.
    prestyloid Post styloidretropharyngeal Artery maxillary ICA - Vein - IJV - Nerve Inf alveolar nerve IX,X,XI,XII - Lingual Cervical sympatheticauriculotemporal Lymph node - ++ +++ Glomus body - ++ -
  • 8.
    Anatomical importance • Prestyloid vs Poststyloid • least resistance-  the naso- and oropharynx medially.  the upper neck between the tail of the parotid and the submandibular gland inferiorly. the retromandibular fossa posterolaterally. • The retropharyngeal space is connected with the parapharyngeal space in an area just medial to the carotid sheath and its contents.
  • 9.
    CONT…. • (node ofRouvière, 1927)- draining the nasopharynx, upper oropharynx and sinuses. • Lincoln's highway. • Patey and Thackray (1956-157) coined the term 'stylomandibular tunnel' formed by the posterior margin of the ascending ramus of the mandible anteriorly, the styloid process and stylomandibular ligament behind and the base of the skull above. This tunnel resists pressure so that tumours of the deep lobe of the parotid gland assume a dumb-bell shape as they grow
  • 10.
    CONT… • upper deepcervical chain are connected superiorly to the node of Rouvière, while inferiorly they flow towards the jugulodigastric node, the node most commonly involved with metastatic disease from head and neck tumours
  • 11.
    Evaluation Carrau ,Mayer, Johnson,nearly 50% of patients had a neck mass.
  • 12.
  • 13.
    Clinical symptoms • Prestyloid –Serous otitis media – Voice change – Nasal obstruction – Dyspnea • Poststyloid – Compress CN 9th, 10th, 11th, 12th or sympathetic chain – Hoarseness, dysphagia, dysarthria, Horner’s syndrome • Cranial nerve paralysis, pain, trismus suggest malignancy
  • 14.
    • Medial displacementof OROPHARYNX or lump behind the angle of mandible. • Trismus • Syncope-may be associated with glossopharyngeal neuralgia. • syndrome of inappropriate antidiuretic hormone secretion or Schwartz-Bartter syndrome. • Detailed ENT evalution along with CRANIAL NERVE examination.
  • 15.
    FNAC • equally applicablefor neck lumps or lumps in the oropharynx. • CT-guided FNAC • Pitfalls---- Rare tm—false + result Recurrence cases
  • 16.
    CT scan • Locatestumor to prestyloid vs poststyloid – Prestyloid tumor displace carotid artery posteriorly – Poststyloid tumor displace carotid artery anteriorly • Fat plane between mass and parotid • Enhancement of lesion – Schwannoma, paraganglioma, hemangioma, hemangiopericytoma, aneurysm • Bone erosion due to malignancy • Limited soft tissue detail
  • 17.
    MRI • Most usefulstudy • Relationship of mass and carotid more easily seen than with CT • Characteristic appearances of tumor types on MRI allows preoperative Dx in 90-95% of patients
  • 18.
    Primary Tumors • Threecategories: • Salivary gland tumors • Neurogenic tumors • Miscellaneous tumors
  • 19.
    Salivary Gland Tumors •Most common PPS neoplasms: 40-50% • Prestyloid masses • Pleomorphic adenoma 80-90% • Mucoepidermoid most common malignant
  • 20.
    Salivary Gland Tumors •Located in prestyloid space • From deep lobe of parotid or minor salivary glands • On CT or MRI a fat plane between the parotid and a prestyloid mass indicates minor salivary gland origin • Displace the internal carotid posteriorly
  • 21.
    Pleomorphic adenoma • Lowsignal intensity on T1 • High signal intensity on T2 • Displace carotid posteriorly
  • 22.
    Neurogenic Tumors: 17-25% •Benign lesions .Neurilemomas (Schwannomas). .Neurofibroma. .Paraganglioma. .Ganglioneuroma. • Malignant lesions .Malignant paraganglioma. .Neurofibrosarcoma. .Schwannosarcoma. .Ganglionblastoma
  • 23.
    Schwannoma • Most commonneurogenic neoplasm • Vagus, sympathetic chain most common • Benign and slow growing • Generally don’t affect nerve of origin • Less than 1% malignant • Displace internal carotid anteriorly
  • 24.
    Schwannoma • High signalintensity on T2 • Displace carotid anteriorly
  • 25.
    Neurofibromas • 3rd mostcommon neurogenic tumor • From Schwann cells and fibroblasts • Unencapsulated (involve nerve) • Multiple • Part of Neurofibromatosis type I
  • 26.
    Lymphoreticular Lesions • ThePPS and retropharyngeal nodes drain the oronaso, hypopharyngeal , posterior nasal cavity, and paranasal sinuses as well the posterior oral cavity. • These are two groups, a superior lateral group (nodes of Rouviere) and an inferior medial group . • Lymphoma is the most common • metastases from thyroid cancer, and sqamous cell carcinoma, and renal cell carcinoma and osteogenic sarcoma may present in the nodes of the PPS
  • 27.
    Other rare lesionsof the PPS • They include: • Vascular (Hemangiopericytoma, angiosarcoma) • Muscle (Rhabdomyoma, Leiomyoma, rhabdomyosarcoma) • Connective tissue (Lipoma, fibroma, fibosarcoma, chondrosarcoma) • Meningioma, Meningiosarcoma. • Congenital (Branchial cleft cyst, dermoid, hemongioma, lymphangioma, • arteriovenous malformation). • Pseudotumor sclerosing cervicitis, myositis, abscees, aneurysm. • Malignant invasion from surrounding structure • Distant metastases (Curtin,1987).
  • 28.
    Axial T1W MRshows a homogeneous, infiltrating rhabdomyosarcoma in the left PPS. The tumor has destroyed the left mandible, posterior maxillary sinus wall, and skull base (from Som PM, Curtin HD. Parapharyngeal space. In: Head and Neck Imaging: 1996: 943).
  • 29.
    Coronal T2W MRscans show an infiltrating right PPS tumor (metastatic renal cell carcinoma) eroding the skull base and invading the cavernous sinus and the pterygoid muscles (from Som PM, Curtin HD. Parapharyngeal space. In: Head and Neck Imaging: 1996: 937).
  • 30.
    Surgical approaches • Transoral •Cervical with or without mandibulotomy • Cervical-parotid • Transparotid • Cervical-transpharyngeal “swing” • Infratemporal fossa • Transcervical-transmastoid
  • 31.
    Transoral • Has beenused for small, benign tumors • Very limited exposure • Increased risk of tumor spillage, neurovascular injury
  • 32.
    Cervical • With orwithout mandibulotomy • Transverse incision at level of hyoid • Submandibular gland displace or removed • Increase exposure by releasing digastric, stylohyoid, styloglossus from hyoid, cut stylomandibular ligament, mandibulotomy
  • 33.
    Cervical-parotid • Extend cervicalincision up infront of ear • Allows identification facial nerve • Divide posterior belly digastric • Divide stylomandibular ligament, styloglossus, stylohyoid close to styloid process • Can use mandibulotomy
  • 34.
  • 35.
    Indications • Can beused to remove majority of the parapharyngeal tumor – All deep lobe parotid tumors and extraparotid salivary tumors – Low grade malignant tumors of deep lobe of parotid – Many poststyloid tumors, including most neurogenic tumors and small paragangliomas
  • 36.
    Transparotid • For deeplobe parotid tumors • Superficial parotidectomy • Facial nerve retracted • Dissect around mandible • May use mandibulotomy
  • 37.
    Cervical-transpharyngeal • “mandibular swing” •Large or highly vascular tumors • Mandibulotomy anteriorly, incise along floor of mouth to anterior tonsillar pillar • Need a tracheotomy
  • 38.
    indications • All vasculartumors that extend into the superior portion of the parapharyngeal space • Malignant tumor invaded skull base or vertebral body
  • 39.
    Infratemporal fossa • Preauricularlateral infratemporal fossa approach • Skull base or infratemporal fossa involvement • Can combine with frontotemporal craniotomy
  • 40.
    Transcervical-transmastoid • Cervical incisioncarried postauricularly • Mastoidectomy • Remove mastoid tip exposing jugular fossa • Facial nerve may need to be dissected from Fallopian canal
  • 41.
    PARAGANGLIOMA Paraganglia are specializedneural crest cells that arise in association with the autonomic ganglia.. Classification according to the anatomic sites -Glenner and Grimley : 1. Branchiomeric (Head and neck) paraganglia 2. Intravagal paraganglia 3. Aorticosympathetic paraganglia 4. Visceral autonomic paraganglia
  • 42.
    BRANCHIOMERIC PARAGANGLIOMA • Carotidbody tumour • Jugulotympanic • Aorticopulmonary • Subclavian • Laryngeal • Coronary • Orbital
  • 43.
    Pathology • Type I:chief cells/granular cells • Type II: sustentacular cells • "Zellballen“ • Agrressive tumor – ↓sustentacular cells – ↑ratio of immunohistochemical analysis of chief cells & sustentacular cells
  • 44.
    Pathology • Type I –Catecholamines, tryptophan-containing protein – APUD/diffuse neuroendocrine system Nuclear pleomorphism and cellular hyperchromatism are common & should not be considered as evidence of malignancy  Malignancy is based on the clinical finding of metastasis, not on histologic examination
  • 45.
    Pathology • Immunohisochemistry – TypeI cells • Neuron-specific enolase, chromogranin A, synaptophysin, serotonin – Type II cells • S-100, glial fibrillary acidic protein
  • 46.
    Functional glomus jugulare •Paraganglioma neuropeptides – Norepinephrine, serotonin, vasoactive intestinal peptide, neuron specific enolase • 1-3% functional • Norepinephrine levels 4-5 times normal to elevate BP • Symptoms – Headache, palpitations, flushing, perspiration , pallor , nausea
  • 47.
    Functional glomus jugulare •Labs – 24-hour urine • Norepinephrine metabolites: vanillylmandelic acid, normetanephrine • Excess epinephrine, metanephrine suspect pheochromocytoma • CT abdomen / selective renal vein sampling to r/o pheochromocytoma • Treatment- alpha and beta antagonists
  • 48.
    Carotid body tm •Haller –round reddish brown to tan structure found in adventia of the CCA • Post-medial wall at bifurcation • Attached by “Mayer ligament” • Normal CB-3-5mm, <15gm
  • 49.
    Etiopathogenesis I. Chronic hypoxicstimulation II. Genetic  familial 4 gene  Encodes succinate dehydrogenase complex  Defect -↑ intracellular concentration of molecular hypoxic mediator and vascular endothelial growth factor---hyperplasia ,angiogenesis and neoplasia.
  • 50.
    Pathogenesis • Hypoxia, Hypercapnia, ↓ ph ↓ stimulation of type 1 cell ↓ ↑ autonomic activity ↓ ↑ resp rate,↑( heart rate & systemic vascular tone & bp)
  • 51.
    Imaging • Jansen etal o Sequencial imaging doubling time-7.13 yrs growth rate- 0.83 mm/yr SHAMBLIAN: TYPE 1-ICA circumference -<180 * TYPE 2-ICA circumference->180*-<270* TYPE 3-ICA circumference->270*
  • 56.
    Screening for carriersof SDH Gene • Annual physical examination and measurement of blood pressure. • Annual levels of urinary catecholamine and metanephrine • Imaging of neck,thorax,abdomen and pelvis every 6-12 month by ct and or mri.
  • 57.
    Management • Surgery • positionedwith neck extended • Subcutaneous injection with 40 mL of 1:100 000 adrenaline will aid haemostasis. • incision -skin crease 2 cm below the mandible • anterior border of the sternocleidomastoid is incised - retracted - exposure of the carotid sheath. • common carotid artery is achieved after exposure and dissection of the contents of the carotid sheath.
  • 60.
    Complication • Lack andcollegue-15 % of CN palsy • Anand and collegue-1181 cases ICA injury-23% CNS complication-26%
  • 61.
    Controversy over surgeryfor multicentric tumor • B/l carotid body tm  Save atleast one vagus  Resect smaller first  Unilateral preexisting CN palsy-functional side operated if clinically observed  Enlarged tm---RT may be option • Baroreflex failure syndrome  B/L denervation-unopposed sympathetic outflow  Compensation-baroreceptor aorta,regrowth of C sinus  T/t-sodium nitroprusside- f/b-clonidine or phenoxybenzamine
  • 62.
    RADIATION No. of CBTRT dose f/u period Local control University of florida 23 35-48.5 Gy 1.5-10 yrs 96 % Valdagni et al 13 46-60 Gy 1-19 yrs 100%
  • 63.
    Jugulotympanic paraganglioma • 2ndmost common temporal bone tumor • Incidence = 1:1,300,000 • Female to male ratio = 4:1 • Median age of presentation = 50-60 years • Familial form a/w higher incidence of multicentricity (25-50%) • Malignancy rate < 5% • Slow growing, spread along pathways of least resistance
  • 64.
    • Guild – paragangliaof the temporal bone as ovoid, lobulated bodies measuring between 1-1.5mm in diameter , on the average, there are three such bodies in each ear • Adventitia of the jugular vein ( glomus jugulare tumor) - 85% of cases • Jacobson’s nerve, a branch of the glossopharyngeal nerve ( glomus tympanicum) - 12% of cases • Arnolds nerve , a branch of CN X, gives rise to glomus tympanicum in 3% of cases • Blood supply  ascending pharyngeal artery via inferior tympanic and neuromeningeal branches
  • 65.
    Jugulotympanic Paragangliomas • Routesof spread – air cell tracts – eustachian tube – vascular lumens – neurovascular foramina including IAC – bone erosion (watch for carotid crest separating the internal carotid from the internal jugular vein)
  • 66.
    Presentation • Pulsatile tinnitus(80%) • Hearing loss (60%) – Conductive – Sensorineural (if labirinth eroded) • Aural fullness • Red or reddish-blue mass behind TM • Vascular ear "polyp" • Brown’s sign • Aquino sign • Bruit over the mastoid
  • 67.
    Presentation • Cranial deficits(35%) – most commonly IX, X – VII, VIII, XI and XII can be affected – Vernet syndrome ( IX, X,XI) – Villaret syndrome (jugular foramen syndrome + Horner’s syndrome) – IV, V & VI impairment if cavernous sinus involved • Ataxia if cerebellum is involved
  • 68.
    Syndromes • MEN IIA-Sipple’ssyndrome – RET proto-oncogene chromosome 10 – Medullary thyroid carcinoma, pheochromocytoma, parathyroid hyperplasia • MEN IIB – RET but different site – Mucosal neuromas • Von Hipple-Lindau – Retinal angiomas, cerebellar hemangioblastomas • Carney’s complex – Gastric leiomyosarcoma, pulmonary chondroma, extra-adrenal functional paragangliomas
  • 69.
    Familial paragangliomas • 10%of cases • Chromosomes 11q13.1, 11q22-q23 • Autosomal dominant • Genomic imprinting – Only expressed if father passes gene • ? Higher incident with hypoxia due to altitude or medical conditions
  • 70.
    Evaluation • Fine cutCT of Temporal bone with contrast – bony partition between the jugular fossa and hypotympanum – Caroticojugular spine – VII, cochlea and ICA – Excludes aberrant internal carotid artery / high riding dehiscent jugular bulb – Sections down to the carotid body excludes multicentric lesions  Audiogram with tympanometry
  • 71.
    Evaluation • MRI – intracranialand intradural extension – T1-weighted images, relationship with neighboring neurovascular structures – diagnostic flow voids within the tumor (salt and pepper pattern)
  • 72.
    Vascular assessment • 4vessel arteriography – Multicentricity – Feeding vessels – Intrasinus and intravenous extension – Adequacy of flow in the contralateral sigmoid and/or internal jugular vein – Embolization – BOT
  • 74.
    • Evaluation ofcollateral blood supply to the brain – single-photon emission computed tomography (SPECT) with balloon occlusion – transcranial Doppler, or angiography and balloon occlusion – xenon-enhanced computed tomography (ABOX-CT) scan • predict the probability of cerebral ischemia when the ipsilateral ICA is sacrificed • indicated when the risk for injury or the need for sacrifice of the ICA is high
  • 75.
    ABOX-CT scan • Highsensitivity and specificity • Technique – non-detachable balloon inflated in ICA for 15 minutes, while the awake patient is monitored for any neurological deficit – Any neurological deficit  cessation of the test high-risk pt – If no deficits  balloon deflated  pt taken toCT scan suite – A mixture of 32% xenon and 68% oxygen is administered via facial mask for 4 minutes – CT scan demonstrates the cerebral distribution of xenon, which reflects the blood flow {cubic centimeters (cm3) of blood flow per minute per 100 grams of brain tissue (cm3/min/100 g)}
  • 76.
    ABOX-CT scan • Highsensitivity and specificity • Technique – non-detachable balloon inflated in ICA for 15 minutes, while the awake patient is monitored for any neurological deficit – Any neurological deficit  cessation of the test high-risk pt – If no deficits  balloon deflated  pt taken toCT scan suite – A mixture of 32% xenon and 68% oxygen is administered via facial mask for 4 minutes – CT scan demonstrates the cerebral distribution of xenon, which reflects the blood flow {cubic centimeters (cm3) of blood flow per minute per 100 grams of brain tissue (cm3/min/100 g)}
  • 77.
    Evaluation • FNAC notadvised • VMA, metanephrines, catecholamines level in 24 hr urine • Abdominal CT if symptomatic ( flushing, HTN) • Scintigraphy techniques – I-123 metaiodobenzyleguanidine – endocrine activity in glomus – Octreotide scintigraphy – multiplicity – 18F-PET & 18FDG PET- multiplicity
  • 78.
    Glasscock-Jackson Classification • GlomusJugulare – I. Small tumor involving jugular bulb, middle ear, and mastoid – II. Tumor extending under internal auditory canal; may have intracranial extension (ICE) – III. Tumor extending into petrous apex; may have ICE – IV. Tumor extending beyond petrous apex into clivus or infratemporal fossa; may have ICE
  • 79.
    Fisch Classification (1981) •Class A - Middle ear, strictly promontory • Class B - Tympanomastoid area • Class C - Carotid – C1 Carotid Foramen – C2 Vertical segment of carotid canal – C3 Horizontal segment of carotid canal – C4 Foramen lacerum and cavernous sinus
  • 82.
    • Class D- Dural • Extradural – De1: Intercranial Extradural extension < 2cm – De2: Intracranial Extradural extension > 2cm • Intradural – Di1: Intracranial Intradural extension < 2cm – Di2: Intracranial Intradural extention > 2cm – D3: Metastasis
  • 84.
    Pre-op embolisation • Forlarger glomus jugulare tumors ( also for meningiomas) • Approximately 24 to 48 hours prior to surgery • Advantages – reduce intra-op bleeding – improve intra-op visualization of the tumor – decrease surgical time
  • 86.
    Studies have shownthat the risk of ORN is low if the optimal dose of XRT of 35Gy/3weeks or 45Gy/4weeks is used cranial nerve deficits vascular injury bleeding CSF leak tumor regrowth late-onset cranial nerve defects osteoradionecrosis of temporal bone Surgery Radiation therapy
  • 87.
    Guidelines • Pts >65 years of age/ poor pulmonary function / complicating medical conditions / Di3 tumour  radiation therapy • Multicentric tumors – bilateral lower cranial nerve deficits can be devastating – most life-threatening lesion to be treated first surgery Secreting tumors Healthy, young patients (<65 years) Large tumors with cranial nerve compromise
  • 88.
    Surgical Treatment BASIC PRINCIPLES •Exposure of all tumor margins • Identification/control of vital regional anatomy • Access to all margins of ICE
  • 89.
    Surgical technique • Glasscockand Jackson Class I and II or Fisch C1 or C2 can be resected with extended facial recess approach • Infratemporal fossa approach for tumors beyond petrous apex or involve cavernous sinus • Tumors with intracranial extension may be resected with inratemporal fossa approach • Retrosigmoid and/or suboccipital approach may be necessary for tumors with extension into posterior cranial fossa
  • 90.
    Infratemporal fossa approach •TYPE A-JUGULAR BULB VERTICAL PETROUS CAROTID POST INFRATEMPORAL FOSSA • TYPE B-PETROUS APEX CLIVUS SUP INFRATEMPORAL FOSSA • TYPE C-NASOPHARYNX PERITUBAL SPACE ROSTRAL CLIVUS PARASELLAR AREA PTERYGOPALATINE FOSSA • TYPE D-PREAURICULAR- PETROUS APEX NASOPHARYNX PARASELLAR AREA PTERYGOPALATINE FOSSA ANTERIOR INFRATEMPORAL FOSSA
  • 91.
  • 94.
  • 95.
  • 96.
  • 97.
    Vagal paraganlioma • Paraganglionictissue associated with one of the gamglia of the vagus nerve. • May present as palpable neck mass • Tvc paralysis or horner syndrome • May involve IX, XI, and XII
  • 98.
  • 99.
    Management • Counseled aboutsacrifice of vagus nerve • Treatment almost same as carotid body tm • Mostly by transcervical approach • For superiorly located tm-combinde trans mastoid and transcervical approach
  • 100.
    Conclusion--- PPS • Raretumor in an complex anatomical area • Subtle clinical presentation • Radiographic imaging is important • Prestyloid vs poststyloid space • Surgery is the main treatment
  • 101.
    Conclusion--PARAGANGLOMA • Preop embolizationand imaging aid in surgery. • Experience in skull base surgery. • Proper counseling of patient regarding post op complication and rehabilitation. • Rule out functional glomus. • In Future, genetic analysis may help in early diagnosis and management.

Editor's Notes

  • #42 Intravagal not included under branchiomeric as not related to arterial vasculature
  • #45 Intracytoplasmic organelles, dense-core granulesAPUD- amino precursor uptake and decarboxylation
  • #64 (MC-acoustic neuromas)